FRACTURE
HEALING
PRESENTER: DR KAMINI DADSENA
MODERATOR: DR ROHIT CHANDRA
FRACTURE
ETIOLOGY
Singaram M et al, Prevalence, pattern, etiology, and management of
maxillofacial trauma in a developing country: a retrospective study. J
Korean Assoc Oral Maxillofac Surg 2016;42:174-181)
BONE BIOLOGY
BONE BIOLOGY
Bone Cells
BONE FORMATION
1. Intramembranous Ossification
2. Endochondral Ossification
INTRAMEMBRANOUS OSSIFICATION
ENDOCHONDRAL OSSIFICATION
Biophysical Properties
Factors affecting type of
1. Degree of force
2. Resistance to force offered by facial bones
3. Point of application of the force
4. Cross sectional aea of the object
FRACTURE HEALING
1. Primary fracture healing
2. Secondary fracture healing
PRIMARY FRACTURE HEALING
1. Contact Healing
2. Gap Healing
Contact Healing
PRIMARY FRACTURE HEALING
Franz Haerle, Atlas of Craniomaxillofacial Osteosynthesis
Gap Healing
PRIMARY FRACTURE HEALING
Haversian remodeling.
Franz Haerle, Atlas of Craniomaxillofacial Osteosynthesis
Secondary Bone Healing
Impact
Initial Stage
Cartilagenous
Callus
Bony Callus
Remodelling
Initial Stage
Bone fracture with rupture of blood vessels and hematoma in surrounding soft tissues
Cartilaginous Callus Formation
Franz Haerle, Atlas of Craniomaxillofacial Osteosynthesis
Types of primary callus
Textbook of oral and maxillofacial surgery by gustav o Kruger.
Hard Callus Formation
Remodeling
Franz Haerle, Atlas of Craniomaxillofacial Osteosynthesis
Haversian remodelling begins to reconstruct the lamellar direction of the bone.
Gap Healing
Complications of fracture
healing
1. Non union
2. Mal union
Nonunion
Etiology
 Fracture instability (mobility)
 Infection
 No contact between fragments
Management
 Identifying the cause
 Controlling infection
 Surgical reconstruction
Malunion
Etiology
 Inadequate occlusal reduction during surgery
 Inadequate osseous reduction during surgery
 Indirect reduction (eg, condyle fractures)
 Imprecise application of internal fixation devices
 Inadequate stability (lack of rigidity)
Management
 Identification of the cause
 Osteotomies as necessary (re-fracture, standard
osteotomies, combinations)
Conclusion
 A thorough understanding of the basic science of
bone healing is essential to provide best treatment
outcome.
THANK YOU

Fracture healing bone healing

Editor's Notes

  • #3 Fracture is a break in the structural continuity of bone, And starts immediately after the fracture occurs. fracture results in a well-defined progression of tissue responses that are designed to remove tissue debris, to reestablish vascular supply and to produce a new skeletal matrix.
  • #4 Fracture may be a sequel of RTA, fall, interpersonal violence, sports related injury, industrial injury , iatrogenic injury or rbcz of pathology 267
  • #5 Bone is a mineralized connective tissue consisting of type I collagen and noncollagenous, structural matrix proteins. Characteristic of all bones are a dense outer sheet of compact bone and a central, medullary cavity. The cavity is filled with red or yellow bone marrow that is interrupted, by a network of bone trabeculae, cancellous bone. Surrounded by a connective tissue layer called periosteum.
  • #6 Cortical bone consists of: Multiple columnar bone units (osteons), composed of a central longitudinal canal (Haversian canal) that contains a central blood vessel and nervous tissue. Transverse nutrient canals (Volkmann canals) connecting adjacent osteons. Bone is laid down in concentric layers around each Haversian canal. Osteocytes are scattered throughout osteons, each within its own space (lacuna).
  • #7 There are 4 types of bone cells Osteogenic stem cells produce osteoblast Osteoblast are Matrix synthesizing responsible for bone growth Osteocytes are Mature bone cells that maintains bone matrix within lacunae Osteoclast Are Multinucleated bone resorbing giant cell with ruffled border
  • #8 All bone are mesodermal origin. The process of bone formation is called ossification. intramembranous ossification bones of the vault of the skull frontal parietal, the mandible and the clavicle. Temporal squamous and tympanic, Sphenoid greater wing + pterigoid laminnae, maxilla, palatine zygoma, nasal lacrimal vomar Occipital: The interparietal part (lying above the superior nuchal lines) is formed in membrane; the rest of the bone is formed by endochondral ossification.
  • #9 -In some situations, bone is laid down directly in a fibrous membrane. This is called intramembranous ossification - Mesenchymal cells differentiate into osteoblasts lay down osteoid. - intramembranous ossification bones of the vault of the skull frontal parietal, the mandible maxilla, palatine zygoma, nasal lacrimal vomar. Temporal squamous and tympanic, Sphenoid greater wing + pterigoid laminnae, Occipital: The interparietal part (lying above the superior nuchal lines) is formed in membrane
  • #10 When bone formation is preceded by the formation of a cartilaginous model that closely resembles the bone to be formed. And cartilage is subsequently replaced by (not converted into) bone. This kind of bone formation is called endochondral ossification. Vascular ingrowth When bone fully mature Endochondral ethmoid + inferior nasal concae,condyle coronoid of mandi petrous + mastoid Sphenoid rest rest of occipital - This phenomena also occurs in healing of fractures.
  • #11 Energy storage capacity of bone depends upon speed of loading i.e. force of traumatic blow. Higher the speed more the energy stored. When force of traumatic blow overcomes the internal strength of bone fracture occurs. When fracture occurs stored energy is released. Speed of loading affects the pattern of fracture: When loading speed is Low energy dissipated through single fracture line less displacement of soft tissue and remaining intact bone. When loading speed is Higher energy not dissipated thrugh single break Comminuted Fracture and extensive soft tissue damage results
  • #12 1 directly related to momentum of object responsible for trauma or body
  • #13 Biology of fracture healing is a complex process that lead to regeneration of normal bone architecture. There are two types of fracture healing: Primary fracture healing Secondary fracture healing Primary bone healing, requires rigid fixation and immobility of fracture segments with a minimal gap between them (less than 100 μm). Osteoclasts migrate to the fracture site and widen adjacent haversian systems, allowing osteoblasts to deposit bone matrix, or osteoid, eventually to calcify into organized mature lamellar bone.3 Secondary, bone healing, is more complex and occurs when a significant gap or interfragmentary motion is present. Secondary bone healing involves the formation of a fibrocartilaginous intermediary bone callous (Fig. 33-1) There are four distinct stages of indirect bone healing but the end product is the same as mature bone formed in primary healing. The initial insult propagates the inflammatory stage. A hematoma between and around the fracture develops and stabilizes, drawing inflammatory cells to the site. Necrotic and nonviable bone near the fracture is cellularly débrided and repair is initiated by angiogenesis and the activation of osteoprogenitor cells and fibroblasts. The second, or soft callus, stage is characterized by conversion of the hematoma to a fibrocartilaginous mass to bridge the fracture. Fibroblasts and mesenchymal elements are highly active in laying down new collagen to create the substrate into which the third phase, or hard callus stage, develops. During this period, osteoid is calcified and periosteal and endosteal bone ingrowth starts to replace the soft callus as a result of endochondral bone formation. Finally, in the remodeling stage, the woven bone of the hard callus matures and organizes to a trabecular structure to re-create the native preinjury structure.4 Although distinct, both types of bone healing may occur simultaneously in the same fracture. As three-dimensional structures, bones may have varying levels of contact and fracture reduction in the same general site, resulting in endochondral and lamellar elements in different areas at the same point in time (Fig. 33-2).
  • #14 Close apposition of bone fragments allow transverse bridging of haversian system. Requires: Excellent anatomical reduction Minimal or no mobility Excellent blood supply Precludes the necessity for callus formation. First reported by Danis (1949) described as sodure autogene
  • #15 Contact healing of the bone means healing of the fracture line after stable anatomical repositioning, with perfect interfragmentary contact and without the possibility for any cellular or vascular ingrowth Cutting cones are able to cross this interface from one fragment to the other by remodeling the haversian canal. Haversian canal remodeling is the main mechanism for restoration of the internal architecture of compact bone Contact healing takes place over the whole fracture line after perfect anatomical reduction, osteosynthesis, and mechanical rest. Contact healing is only seen directly beneath the miniplate Resultant core provides pathway for vessel ingrowth and osteoblastic proliferation to form new bone.
  • #16 Gap healing takes place in stable or “quiet” gaps with a width greater than the 200-μm osteonal diameter. Ingrowth of vessels and mesenchymal cells starts after surgery. Osteoblasts deposit osteoid on the fragment ends without osteoclastic resorption. The gaps are filled exclusively with primarily formed, transversely oriented lamellar bone. Replacement is usually completed within 4 to 6 weeks In the second stage, the transversely oriented bone lamellae are replaced by axially orientated osteons, a process which is referred to as haversian remodeling After 10 weeks the fracture is replaced by newly reconstructed cortical bone Osteoblasts deposit osteoid,a nd the gaps are filled with primary formation of transversely orientated lamellar bone. Haversian remodeling. Transversely oriented bone lamellae are replaced by axially orientated osteons. Small gaps left Blood vessels invade, bring mesenchymal osteoblastic precursors. Bone deposited directly without resorption and immediate callus formation. 0.3 mm gap - lamellar bone directly 0.5- 1 mm gap- woven bone followed by lamellar bone. Firstly bundles are arranged perpendicular to long axis. Over the time they arrange themselves along the long axis of repaired bone.
  • #17 Secondary bone healing occurs via the pluripotential cells located within the cortical and cancellous bone periosteum and associated soft tissue. It results from the mechanical instability of the fracture, caused by resorption of fracture ends and callus formation. seen in cases with or without direct fixation of fracture site
  • #18 Begins with hematoma formation Bone fracture leads to the rupture of blood vessels with hematoma formation in the surrounding soft tissue and localized avascularity of the fragment ends. Further complications are thrombosis of the vessels within the haversian and Volkmann canals a fewmillimeters from the ends of fragments Polymorphs, histiocytes and mast cells make their appearance. Initiation of cellular proliferation.. These are plueripotent. Capillary ingrowth and fibroblasts migrate into wound and lay down collagen.
  • #19 Initially, the formation of periosteal callus leads to a decrease in interfragmentary strain, which is followed by interfragmentary and endosteal callus formation. Invading granulation tissue replaces the initial hematoma and is transformed into interfragmentary connective tissue (Fig. 4.4). The ends of the fragments are resorbed by osteoclasts (Figs. 4.4, 4.5). The more interfragmentary con-nective tissue is remodeled into fibrocartilage (Fig. 4.6). Since fibrocartilage is more rigid than fibrous tissue, the interfragmentary tissue becomes stiffer and increases the resistance to motion of the fragments. During this phase, the callus can be comprised of fibrous connective tissue, blood vessels, cartilage. Low oxygen tension and at the site of fracture. Continuous compression and tension at the site of fracture. Periosteal and endosteal mesenchymal cells fibro-cartilagenous callus CGF-1 and later CGF-2 Type II collagen and hyaluronic acid. Macrophages, fibroblasts and osteoblasts release enzyme collagenase. Cuff or callus formed around the fracture site stabilise the involved area
  • #20 Depending on location Anchoring callus developes on the outside surface of the bone near the periosteum. It extends some distance away from the fracture. Sealing callus developes on the inside surface of the bone across the fractured end. It fills the marrow space and goes out into the fractured site. It forms from endosteal proliferation. Bridging callus developes on the outside surface between the two fractured ends. This is the only cartilaginous. Uniting callus forms between the ends of bones and between the area of primary calluses that have formed on the two fractured parts.. It forms by direct ossification, extensive resorption of bone ends occurs by this time. It does not form until the other forms of calluses are well developed
  • #21 Fibrocartiage undergo calcification into woven bone. Spaces in the Cartilagenous callus allows vascular ingrowth which changes the environment conductive to formation of osteoblasts. Deposit osteoid on the spicules of calcified cartilage Undergo calcification, forms bone beginning at periphery Progresses as homogenous calcification Initially woven bone is formed Subsequently the fibrocartilage undergoes mineralization. Vascular invasion of fibrocartilage is combined with resorption of mineralized matrix. Calcified fibrocartilage must undergo resorption before osteoblasts can start to produce osteoid as a base for new bone deposition (Fig. 4.7). Initially the calcified fibrocartilage is replaced by woven bone.
  • #22 Remodelling Woven bone undergo organization to form lamellar bone. In accordance with the wolff’s law. Wolf law every change in the form and the function of a bone leads to changes in  its internal architecture and in its external form
  • #23 Three windows in a mandibular fracture with miniplate osteosynthesis on the tension side. This shows indirect bone healing in the window on the inferior border of the mandible with the mobile fragment; direct bone healing in the window of the lateral cortex of the mandible by contact healing after perfect and anatomical reduction; direct bone healing in the window of the inner cortex of the mandible by gap healing.
  • #26 A nonunion occurs when the fracture does not heal in an appropriate time frame. The result is mobility of the fracture segments present after an adequate healing phase. Patients may also demonstrate malocclusion and infection at the site of fracture.
  • #27 Etiology Nonunions are usually the result of one or more of the following factors: Fracture instability (mobility) Infection Inaccurate reduction No contact between fragments Treatment Treatment will consist of: Identifying the cause Controlling infection Surgical reconstruction: removing the existing hardware, debridement of devital bone and/or soft tissues, decortication of bone fragments at the fracture ends, reestablishing occlusion, stabilizing segments using a locking reconstruction plate 2.4, and autogenous bone graft to this area.
  • #28 : removing the existing hardware, debridement of devital bone and/or soft tissues, decortication of bone fragments at the fracture ends, reestablishing occlusion, stabilizing segments using a locking reconstruction plate 2.4, and autogenous bone graft to this area.
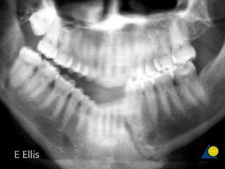
  • #29 Panoramic x-ray 6 weeks after treatment of left angle fracture with single miniplate. The fracture is grossly mobile, infected, and the plate has become loose
  • #30 The fracture was debrided, the plate removed, the infection drained, and the patient placed on antibiotics to control infection. Once infection has subsided, the patient was taken to surgery and the fracture exposed through a submandibular approach. The fibrous tissue between the fragments was debrided and the fragments decorticated.
  • #31 The occlusion was reestablished with MMF. A reconstruction plate was then adapted and secured to provide load-bearing fixation across the fracture gap.. Particulate autogenous bone was placed into the fracture gap and the incision closed in layers.
  • #32 Panoramic x-ray taken 10 months postoperatively showing bone filling fracture gap
  • #33 A malunion results when the bony fracture segments heal in an incorrect or nonanatomic position, which can lead to a deformity.16 For fractures of the jaws, malunion will create a malocclusion.
  • #34 A malunion results when the bony fracture segments heal in an incorrect or nonanatomic position, which can lead to a deformity.16 For fractures of the jaws, malunion will create a malocclusion.
  • #39 Intraoperative photograph showing malunion of left parasymphyseal fracture. Rt angle region
  • #40 angle osteotomy and fixation with two miniplates.