David D Nowell PhD 
www.DrNowell.com 
Executive Function: 
Effective Strategies and 
Interventions
www.DrNowell.com 
DavidNowellSeminars 
DavidNowell
Overview 
• Brain Overview in 27 Slides 
• Models of EF 
• Strategic Behavioral Inquiry (HËDŸDT?) 
• Disorders Which Impact EF 
• Real Life Implications of EF Deficits 
• Assessment of EF 
• Strategies and Case Studies 
• Q&A&D
www.slideshare.net/dnowell
BRAIN OVERVIEW IN 27 SLIDES
What does dopamine feeeel like?
Ways of thinking about the brain 
• Left to right 
• Top to bottom 
• Front to back 
• Top-down and bottom-up
what IS… 
12/3/2014 
© 2011 David D. Nowell, Ph.D. All rights 
reserved. 
28
…what COULD BE 
12/3/2014 
© 2011 David D. Nowell, Ph.D. All rights 
reserved. 
29
What’s wrong with this brain model?
What’s wrong with this brain model?
What’s wrong with this brain model?
MODELS OF EXECUTIVE 
DYSFUNCTION
• McCloskey’s model 
• Barkley’s model 
• BRIEF model
McCloskey’s Clusters 
• Attentional cluster 
• Engagement cluster 
• Optimize cluster 
• Evaluation cluster 
• Efficiency cluster 
• Memory cluster
McCloskey’s Clusters 
• Attentional cluster 
– Becoming aware 
– Focusing attention 
– Sustaining attention
Sleep hygiene 
• Strict bedtime 
• Use bed only for sleep 
• No caffeine after mid-afternoon 
• No activating media after 7pm
Establish bedtime routine
Fidget supports
McCloskey’s Clusters 
• Engagement cluster 
– Initiating 
– Putting in effort 
– Inhibiting 
– Stopping 
– Interrupting
Reward small units of effort
There’s no such thing 
as “disinhibited”
The “talking stick”
DRO 
Differential Reinforcement of Other
McCloskey’s Clusters 
• Optimize cluster 
– Modulating 
– Monitoring 
– Correcting
Sam rode her new blue bicycle down the steep 
hill, enjoying the crisp Autumn air and bright 
late-afternoon sun.
Sam rode her new blue bicycle down the 
steep hill, enjoying the crisp Autumn air 
and bright late-afternoon sun.
GREEN
Voice Modulation 
• 5 – football game 
• 4 – large clasroom 
• 3 – small group 
• 2 – talking quietly with a friend 
• 1 - whisper
• Give multi-step directions while playing catch 
• Play mindfulness “freeze tag” 
• Quiz do-over 
• Make use of rhythm and music 
(508) 579-7958
Don’t stealth bomb inattentive 
students 
• “Pete in about a minute I’ll ask you about..”
McCloskey’s Clusters 
• Evaluation cluster 
– Sizing up 
– Anticipating 
– Estimating time 
– Making associations 
– Generating solutions 
– Organizing 
– Comparing
12/3/2014 
© 2011 David D. Nowell, Ph.D. All rights 
reserved. 
66
12/3/2014 
© 2011 David D. Nowell, Ph.D. All rights reserved. 
67
12/3/2014 
© 2011 David D. Nowell, Ph.D. All rights reserved. 
68
12/3/2014 
© 2011 David D. Nowell, Ph.D. All rights reserved. 
69
Time Horizon 
1 hour 1 day 1 week 1 month 1 year
10-Minute 
Morning Review
Using your phone’s navigator as a 
time-management tool
McCloskey’s Clusters 
• Efficiency cluster 
– Sensing time 
– Pacing 
– Sequencing 
– Using routines / executing
Distraction delay training
McCloskey’s Clusters 
• Memory cluster 
– Holding 
– Manipulating 
– Storing 
– Retrieving
Prospective Memory
The Executive Functions 
• Sensing to the self 
• Speech to the self 
• Emotion to the self 
• Play to the self
The Executive Functions 
• Sensing to the self 
• Speech to the self 
• Emotion to the self 
• Play to the self 
Barkley, RA, (2012)
BRIEF (Behavioral Rating Inventory of 
Executive Functioning) 
• Inhibiting 
• Shifting 
• Controlling emotions 
• Initiating 
• Working memory 
• Planning 
• Organizing materials 
• Monitoring 
• Metacognition 
• Behavioral regulation
Self-control
The Executive Functions 
• Sensing to the self (HËDŸDT) 
• Speech to the self 
• Emotion to the self 
• Play to the self 
Barkley, RA, (2012)
BRIEF 
• Inhibiting (HËDŸDT) 
• Shifting 
• Controlling emotions 
• Initiating 
• Working memory 
• Planning 
• Organizing materials 
• Monitoring 
• Metacognition 
• Behavioral regulation
STRATEGIC BEHAVIORAL INQUIRY
12/3/2014 
© 2011 David D. Nowell, Ph.D. All rights 
reserved. 
106
12/3/2014 
© 2011 David D. Nowell, Ph.D. All rights 
reserved. 
107
Objectives of SBI 
• Specific behavioral strategy 
• What was the feeling-goal? 
• Motivational level on a scale from 1-10
Benefits of SBI 
• Affirms the value of clients’ unique internal 
experience 
• Emphasizes the culture of self-regulation 
• Encourages metacognition
Assumptions of SBI 
• Everybody’s doing the best they can 
• Behavior is not incomprehensible or random 
• Behavior follows patterns which reveal 
themselves to the curious observer free of 
prejudice or blame or theory
Personal Application
…and How Exactly 
Did You Do That?
…and How Exactly 
Did You Do That?
Personal Application 
• What bad habit persists? And How Exactly Do 
You Do That?
Learn from your To-Do list 
• Which things are not getting completed? 
• How – exactly – are these not getting 
completed? How do you do that?
Clinical Application 
• Who in your clinic or classroom is 
demonstrating remarkable “resilience” – 
persistence despite significant obstacles? And 
how, exactly, does he/she do that?
Clinical Application 
• Who in your clinic or classroom is 
demonstrating remarkable “resilience” – 
persistence despite significant obstacles? And 
how, exactly, does he/she do that? 
• What recurring behavioral problem is showing 
up in your clinic or classroom?
Clinical Application 
• Who in your clinic or classroom is 
demonstrating remarkable “resilience” – 
persistence despite significant obstacles? And 
how, exactly, does he/she do that? 
• What recurring behavioral problem is showing 
up in your clinic or classroom? 
• Note: we aren’t asking “why did you do that,” 
but rather “how exactly did you do that.”
How to do SBI 
“How exactly did you do that?” 
“How did you know it was time to _____?” 
“How long had you been thinking about ____?”
12/3/2014 
© 2011 David D. Nowell, Ph.D. All rights 
reserved. 
123
DISORDERS WHICH IMPACT 
EXECUTIVE FUNCTIONS
• ADHD 
• Schizophrenia 
• Bipolar Disorder 
• Anxiety Disorder 
• Autistic Spectrum Disorders 
• Sensory Processing Disorder 
• Specific Learning Disorders 
• Tourette’s Syndrome 
• Sleep Disorders
20%–60% of the variance in functional outcome 
(Sabhesan & Parthasarathy 2005)
Gur RE, Turetsky BI, Loughead J, et al. (2007)
(Clark, Iversen & Goodwin 2001)
(Rubinsztein, Fletcher, et al. 2001)
Fujii, Kitagawa, et al 2013
(Airaksinen, Larsson, & Forsell 2005)
Appendix A
(Brosnan, Demetre, et al 2002)
Appendix B
ADHD OCD 
Tourette
(Rechtschaffen & Siegel 2000)
ADHD and Brain Development
Sluggish Cognitive Tempo 
• Daydreaming 
• Easily confused 
• Staring 
• Easily fatigued 
• Sluggish 
• Withdrawn 
• Slow to complete tasks 
• Lower levels of parent stress 
• Less situation-specific than hyperactive type
REAL LIFE IMPACT OF EF DEFICITS
Preschool 
12/3/2014 
© 2011 David D. Nowell, Ph.D. All rights 
reserved. 
157 
1. 1-step errands 
2. Chores with cues 
3. Basic inhibition
Kindergarten - 
2nd Grade 
12/3/2014 
© 2011 David D. Nowell, Ph.D. All rights 
reserved. 
158 
1. 2-3 step directions 
2. 20-30 minute assignments 
3. Follow rules/inhibit/no grabbing
3rd-5th Grade 
12/3/2014 
© 2011 David D. Nowell, Ph.D. All rights 
reserved. 
159 
1. Simple shopping list 
2. Keep track of variable daily schedule 
3. Inhibit and regulate even without teacher present 
4. Simple delayed gratification (phone)
6th – 8th Grade 
12/3/2014 
© 2011 David D. Nowell, Ph.D. All rights 
reserved. 
160 
1. Complex chores 
2. Organizing system 
3. Time management 
4. Self soothe 
5. Manage conflict
Teenage-mid 20’s 
12/3/2014 
© 2011 David D. Nowell, Ph.D. All rights 
reserved. 
161 
1. Independent with assignments 
2. Make adjustments based on feedback 
3. Inhibit reckless behavior 
4. Say “no” to fun activity if other plans already made 
5. Take others’ perspective
Knock 3 years off his age
12/3/2014 
© 2011 David D. Nowell, Ph.D. All rights 
reserved. 
163 
Lending Your Brain
Arenas of Involvement 
• Intrapersonal 
• Interpersonal 
• Environmental 
• Academic / symbol system 
(McCloskey & Perkins, 2013)
Executive Functions and Math 
• Verbal strategies 
– Please excuse my dear Aunt Sallly (PEMDAS)
Executive Functions and Math 
• Verbal strategies 
– Please excuse my dear aunt sally (PEMDAS) 
– KNOW 
• Key words, numbers, operation, work it out
Key words 
Numbers I 
need 
Operations 
Work it out
Executive Functions and Math 
• Visual strategies
Executive Functions and Math 
• Hands-on strategies
Executive Functions and Reading
EZ-C Reader
Executive Functions and Writing
Executive Functions and Writing
Executive Functions and Writing
Executive Functions and Writing
Executive Functions and Writing
Executive Functions and Study Skills
Cornell note-taking system
Cornell note-taking system 
Class and date
Cornell note-taking system 
Class and date 
Notes
Cornell note-taking system 
Class and date 
Notes 
Notes 
Notes
Cornell note-taking system 
Class and date 
Notes 
Notes 
Notes
Cornell note-taking system 
Class and date 
Notes 
Notes 
Notes
Cornell note-taking system 
Class and date 
Notes 
Notes 
Notes 
SUMMARY
Cornell note-taking system 
Class and date 
Notes 
Notes 
Notes 
SUMMARY
Cornell note-taking system 
Class and date
Cornell note-taking system 
Class and date 
Notes
Cornell note-taking system 
Class and date 
Notes 
Notes 
Notes
Cornell note-taking system 
Class and date 
Notes 
Notes 
Notes
Cornell note-taking system 
Class and date 
Notes 
Notes 
Notes
Cornell note-taking system 
Class and date 
Notes 
Notes 
Notes 
SUMMARY
Cornell note-taking system 
Class and date 
Notes 
Notes 
Notes 
SUMMARY
Chunk Chew and Check 
• Grades K-2: about 5 minute chunks 
• Grades 3-6: about 10 minute chunks 
• Grades 7-12: about 15 minute chunks
Executive Functions and Homework
Executive Functions and Homework
Homework Considerations for Teachers 
• Target productivity first, then accuracy 
• Reduce homework 
– Overall correlation of homework with 
achievement is just .15-.25 across all grades 
and weaker in elementary grades* 
– For high school, best amount was 1.5-2.5 
hrs/night; more time had no further benefits* 
*Cooper, Robinson, & Patall (2006). Review of Educational 
Research, 76(1), 1-62.
Executive Functions and Social Skills
Accommodations for EF Deficits 
• Preferential seating 
• Extra set of textbooks at home 
• Quiet test environment 
• Time off the clock during testing (schedule breaks) 
• Pre- and post-class 1:1 review of content 
• Visual schedule 
• Movement breaks 
• Fidget/sensory interventions 
• Verbal cues 
• External time cues (Time Timers products, or kitchen timer) 
• Teacher check-off on homework binder 
• “Locker” is in guidance counselor’s office 
• Attention coach (10-15 minutes)
Examples of IEP Goals for EF Deficits 
1. Self Awareness 
a. Student will identify tasks that are easy or difficult for him/her. 
b Student will accurately explain why some tasks are easy or difficult 
d.Student will offer help to another when he/she is more capable than 
another child 
2. Goal setting 
a. Student will participate with teachers in setting academic goals. 
3. Planning 
a.Given a selection of 6 activities for an instructional session, student will 
select 3, indicate 
their order, create a plan on paper and stick to the plan. 
c. Having failed to accurately predict his/her grade on a test, student will 
create a plan for improving 
performance on the next test.
Examples of IEP Goals for EF Deficits 
4. Organizing 
a. To relate a story, student will place illustrations in order and then narrate 
the 
sequence of events 
B. Student will prepare an organized semantic map or outline before 
proceeding with writing projects 
5. Self-initiating 
a. Without prompts, student will begin his/her assigned tasks 
6. Self-monitoring & self evaluating 
a. Student will identify errors in his/her work without teacher assistance 
7. Problem Solving 
a. When faced with obstacles to educational or social objectives, student will 
identify possible courses of action, identify pros and cons for each, choose a 
course of action, perform it and evaluate its effectiveness.
What are our data sources? 
• Record review 
• Interview 
• Collateral interview 
• Checklists 
• Mental status examination 
• Test scores
ASSESSMENT OF EXECUTIVE 
FUNCTIONING
Curious Compassionate 
Nonjudgmental Evaluation 
• Skillfully eliciting the chief complaint 
• HËDŸDT? 
• Forming a diagnostic impression 
• Defending your diagnosis / impression
Skillfully eliciting the chief complaint 
• Too much of what? Or too little of what? 
• Invoking the Pediatric Fairy (or the Psychiatric 
Genie)
HËDŸDT? 
• How exactly did you do that? 
– Everybody’s doing the best he/she can 
– Every behavior problem is either 
• Skills deficit 
• Contingency problem
Forming a diagnostic impression 
• Where do you see it the most? And where do 
you see it the least? 
• Two disorders = two stories
Forming a diagnostic impression 
• Where do you see it the most? And where do 
you see it the least? 
• Two disorders = two stories
Documenting and communicating your 
conclusions 
• The footprints in the butter 
• Defend your diagnosis
Approaches to Evaluation of EF 
• Formal direct 
• Informal direct 
• Formal indirect 
• Informal indirect
Evaluation of EF 
• Informal Indirect 
– Review of records 
– Collateral interviews (see McCloskey 2012)
Evaluation of EF 
• Formal Indirect 
– BRIEF (Behavior Rating Inventory of Executive 
Functioning) 
– BASC (Behavior Assessment for Children) 
– CBCL (Achenbach Child Behavior Checklist) 
– BDEFS-CA (Barkley Deficits in Executive 
Functioning Scale – Children and Adolescents)
Evaluation of EF 
• Informal Direct 
– Review of work samples 
– Process-approach to test performance 
– Mental Status Examination 
– Classroom observation
Evaluation of EF 
• Formal Direct 
– NEPSY 
– CAS (Cognitive Assessment System) 
– Delis-Kaplan Executive Function System 
– Continuous Performance Tests (Vigil; Connors CPT; 
IVA) 
– Wisconsin Card Sorting Test 
– Trail Making Test for Children 
– Rey-Osterreith 
– Functional Behavior Assessment
Avoiding the most common 
diagnostic error
STRATEGIES AND CASE STUDIES
Stimulant Treatment for ADHD
Image: wikimedia commons
Cortico-striatal loop
Increase salience
Two weeks from now, how will you 
know whether it’s working? 
Appendix D
Daily report card 
Appendix C
Antecedent Support for Executive 
Dysfunction
12/3/2014 
© 2011 David D. Nowell, Ph.D. All rights 
reserved. 
258 
A 
ANTECEDENT 
B 
BEHAVIOR 
C 
CONSEQUENCES
12/3/2014 
© 2011 David D. Nowell, Ph.D. All rights 
reserved. 
259 
A 
ANTECEDENTS 
B 
BEHAVIOR 
C 
CONSEQUENCES
“Modified Independence” 
• Chronic disability perspective 
• Time prosthetics 
• Problem-solving prosthetics (mind map) 
• Math prosthetics 
• Sequence prosthetics 
• Motivation prosthetics
12/3/2014 
© 2011 David D. Nowell, Ph.D. All rights 
reserved. 
262 
A 
ANTECEDENTS 
Set them up for 
success
Clear boundaries
Clear (see-through) storage
12/3/2014 
© 2011 David D. Nowell, Ph.D. All rights 
reserved. 
270 
A 
ANTECEDENTS 
Identify exceptions 
Where do you see 
it the most? 
Where do you see 
it the least?
Rules 
•Waking up 
•Bedtime 
•Chores 
•Homework 
•TV / internet 
A 
ANTECEDENTS
Launching Pad
Expectations 
•Specific 
•Behavioral 
•In advance 
A 
ANTECEDENTS
Communication 
•Get eye contact 
•Speak clearly 
•Provide behavioral info 
•Check for understanding 
A 
ANTECEDENTS
12/3/2014 
© 2011 David D. Nowell, Ph.D. All rights 
reserved. 
282 
A 
ANTECEDENTS 
Provide prosthetic 
cues at the “point-of- 
performance” 
(Barkley)
If It’s Harder than a “3” Find Some 
Way to Make It Easier 
easy hard 
12/3/2014 
© 2011 David D. Nowell, Ph.D. All rights 
reserved. 
284
12/3/2014 
© 2011 David D. Nowell, Ph.D. All rights 
reserved. 
286
Assign separate due dates for smaller 
parts of big projects
Appendix H
Increase salience
StayOnTask app
The “talking stick”
Provide multiple cues for transitions 
• Verbal “two minute warning” 
• Visual schedule 
• Changes in lighting 
• Nonverbal cues
Instant study carrel
Time “in”
Place the student with tactile 
defensiveness at the edge of the group
Heavy work
ADD Coaching
Movement Techniques 
• Exercise 
• Yoga 
• Martial arts
Bal-A-Vis-X
Balance screen time and “green time”
Balance screen time and “green time”
Supplements and Diet 
• Omegas 
• Food additives 
• Food allergies 
• Pesticides
12/3/2014 
© 2011 David D. Nowell, Ph.D. All rights 
reserved. 
311 
A 
ANTECEDENT 
B 
BEHAVIOR 
C 
CONSEQUENCES 
Behavioral Support
12/3/2014 
© 2011 David D. Nowell, Ph.D. All rights 
reserved. 
313 
B 
BEHAVIOR 
“A healthy high-functioning 
26 
year old”
12/3/2014 
© 2011 David D. Nowell, Ph.D. All rights 
reserved. 
314
12/3/2014 
© 2011 David D. Nowell, Ph.D. All rights 
reserved. 
315 
B 
BEHAVIOR 
More 
• Behavioral control 
• Choices and options 
• Self-regulation 
• Arousal 
• Motivation 
• Mood 
• Attention
Mindfulness
Dr. Sara Lazar
Metacognition 
• How much effort am I giving this? 
• What has worked for me before? 
• When to shift from processing to maintenance
Hypnosis
Mnemonics Training
12/3/2014 
© 2011 David D. Nowell, Ph.D. All rights 
reserved. 
325 
A 
ANTECEDENT 
B 
BEHAVIOR 
C 
CONSEQUENCES
Don’t reward them with stuff
Rotate rewards frequently
Use extrinsic reward 
creatively 
12/3/2014 
© 2011 David D. Nowell, Ph.D. All rights 
reserved. 
332
Emphasize the sensory details of your 
desired outcome
Cortico-striatal loop
Determine what basic provisions are 
unconditional… 
• Love 
• Respect 
• Safety 
• 3 meals 
• Essential clothing 
• Temperature-controlled environment 
• 30 minutes of video games
…and which are contingent 
• Special foods 
• Expensive or trendy clothing 
• Extra video game time 
• WiFi password
Clip and share horrible articles about 
teens falling out of the back of pickup 
trucks 
• Review cause and effect 
• Discuss consequences 
• Emphasize behavioral agency
The “Big Five” 
• Daily focus time 
• Nutrition 
• Movement 
• Sleep 
• Connection
10-Minute 
Morning Review
12/3/2014 
© 2011 David D. Nowell, Ph.D. All rights 
reserved. 
343 
…the most 
important 10 
minutes of the 
day….
The best defense against the 
manipulation of our attention is 
to determine for ourselves – in 
advance - how we want to 
invest it. 
- E. Goldberg
Key features of a great planner system
Key features of a great planner system 
• 2 pages per day 
• Master to-do list 
• With the client at all times
Yoga / read 
Phone calls 
Staff meeting 
Planning 
session 
billing
Vh: jeff w/ puritan oil 
Vc: kate re: brimfield 
TC umass dermatology. 
Spoke w/ cindy 508 8564000
Key features of a great planner system 
• 2 pages per day 
• Master to-do list 
• With the client at all times
What’s a To-Do list for anyway?
Key features of a great planner system 
• 2 pages per day 
• Master to-do list 
• With the client at all times
Key features of a great planner system 
• The “technology” 
• The “practice”
Key features of a great planner system 
• The “technology” 
• The “practice”
Weekly Overview
10-Minute Morning Review
The “Big Five” 
• Daily focus time 
• Nutrition 
• Movement 
• Sleep 
• Connection
Nutrition essentials 
• Emphasize protein at every snack and meal 
• Eat fewer processed foods 
• Choose local 
• Pay close attention to patterns between food 
and focus/mood
The “Big Five” 
• Daily focus time / Motivational clarity 
• Nutrition 
• Movement 
• Sleep 
• Connection
“Exercise for focus” is different from 
"exercise for fitness”
The “Big Five” 
• Daily focus time / Motivational clarity 
• Nutrition 
• Movement 
• Sleep 
• Connection
The “Big Five” 
• Daily focus time / Motivational clarity 
• Nutrition 
• Movement 
• Sleep 
• Connection
Positive characteristics of many people 
with attentional / executive challenges 
Appendix G
Don’t do anything for your ADHD 
teenager which could be managed by 
a machine or an app
“Walk Me Up” app
www.slideshare.net/dnowell
Let’s stay in touch! 
 Join my e-newsletter list: 
 Fill out a card today and drop it in the box. 
 Sign up on my web site or Facebook page 
 Visit us on the web: www.DrNowell.com 
@davidnowell David Nowell Seminars
Q & A & D
Fail-proof desk activities 
Appendix A
Determine in Advance When You’ll 
Check Email and Facebook Tomorrow
• Review expectations in 
advance 
• Teens and college 
students may take more 
initiative with this
Generic Issues Associated with Transition to 
Adolescence 
• Increased physical size and neurological maturation 
• Increasing maturation of sexuality 
• Increasing desire to individuate from parents; decreasing 
influence of parents on teen behavior 
• Increasing time away from home & parents 
• Increasing number of domains of major life activities to which 
the teen must adapt 
– Sex, driving, peers, money & work, community activities, crime, drugs 
• Greater involvement with and influence of peers 
• Most of these are adversely affected by delay in self-regulation 
associated with ADHD
How do symptoms change by adolescence? 
• Hyperactivity declines more steeply than does inattention and 
related executive function (EF) deficits 
• Motor restlessness becomes a more internalized subjective sense of 
feeling a need to be busy all the time 
• Transition to middle school is associated with a transient increase 
(reversal of decline) in ADHD symptoms 
• The inattentive/EF symptoms have a greater impact on school 
functioning than HI symptoms; increases with age 
• Impulsivity is more related to impaired nonacademic domains: 
– development of ODD 
– drug experimentation 
– speeding while driving 
– risky sexual behavior, taking on dares from peers 
– impulsive verbal behavior 
– reactive aggression
Symptom Transitions (continued) 
• But inattention also has adverse impacts on non-academic 
functioning : 
– Poor attention to traffic density and speed while in community auto 
traffic settings 
– Greater risk for pedestrian/cycling accidents in traffic settings 
– Greater crash risk as drivers (in vehicle distractions are most 
contributory) 
– Accelerated use of nicotine after experimentation 
• Self-medication ??? 
– Poor follow through on chores and other home responsibilities 
– Poorer work performance in school 
– Poor work performance part-time employment settings 
– Inattention to others’ comments and needs in social activities
Emerging Impact of EF Deficits 
• Poor working memory (remembering to do things) 
– Less follow through on promises and commitments to others 
– Increasing adverse impact of reading-listening-viewing comprehension 
deficits, especially in school & work settings 
• Impaired planning, anticipation, and preparatory behavior; not 
ready for the future as it arrives 
– Reduced valuing of future rewards relative to peers 
– Consequently, don’t persist toward future goals and show poor delay of 
gratification 
• Deficient sense of time and time management 
– A restricted temporal window relative to peers 
• Poor emotion regulation (related to poor inhibition) 
– Deficient control of anger & frustration most impairing 
• Decreased fluency (rapid assembly of ideas into coherent verbal 
reports and behavior)
Basic Considerations 
• Don’t retain in grade! 
• Sept is to establish behavioral control 
• Decrease total workload, or 
• Give smaller quotas of work at a time 
• Target productivity first, accuracy later 
• Reduce homework 
– Overall correlation with achievement is just .15-.25 (just 2-6% of 
variance in achievement) across all grades and weaker in 
elementary grades* 
– For high school, best amount was 1.5-2.5 hrs/night; more hours 
had no further benefits* 
*Cooper, Robinson, & Patall (2006). Review of Educational Research, 76(1), 1-62.
Tips for Teens 
• As needed, use ADHD medications – have 
parents negotiate a contract with the teen if 
necessary 
• Find a “Coach” or “Mentor” (Just 15 min.) 
– The Coaches’ office is the student’s “locker” 
– Schedule in three 5-minute checkups across each day 
– Use behavior report card to monitor teen across classes 
– Use daily assignment sheets requiring teacher initials 
– Cross temporal accountability is the key to success 
• Identify a parent-school ADHD liaison 
– Serves as an intermediary on issues between parents & school
A Daily Behavior Card 
Each teacher rates each behavior at end of each class; 1=Excellent (+25), 2=Good (+15), 3=Fair (+5), 4=Poor (-15), 
5=Terrible (-25) 
Subjects 1 2 3 4 5 6 7 
Class 
Participation 
Performs assigned 
classwork 
Follows class rules 
Gets along well 
with others 
Completes home-work 
assignments 
Teacher’s 
Initials
More Tips for Teens 
• Use a daily school behavior card for self-evaluation 
after; move to weekly after 3+ good weeks 
• Keep extra set of books at home 
• Learn typing/keyboard skills for writing assignments 
• Require continuous note-taking to pay attention to 
lectures or during reading assignments 
• Tape record important lectures – check out the 
Smart Pen that digitally records lectures or other 
conversations at livescribe.com
More Tips for Teens 
• “Bucks for Bs” system 
– grades on each assignment = $ from parents 
• Get week-at-a glance calendar with journal or other organizing 
notebook system 
• Schedule hard classes in AM 
• Alternate required with elective classes 
• Extra time on timed tests (???) – no evidence it helps 
– Better to have distraction free test setting and intersperse 
breaks in testing to create shorter test periods (time off the 
clock) 
• Permit music during homework* 
• Get written syllabus as handouts 
*Soderlund et al. (2007). Journal of Child Psychology and Psychiatry, 48, 840-847.
Still More Tips for Teens 
• Learn SQ4R for reading comprehension 
– Survey material, draft questions, then: 
– Read, recite, write, review 
• Peer tutoring in class 
• “Study-with-a-buddy” after school 
• Find “fall-back” classmates (swap phone, e-mail, & fax 
numbers) for lost or missing assignment sheets 
• Attend after-school help-sessions 
• Schedule parent-teacher-teen review meetings every 6 
weeks (not at 9 week grading period)
Teaching skills is inadequate
What and who is the “A”
Chronic disability perspective
Reverse Engineering the Carrot and 
Stick 
• Rey O versus VMI 
• Carrot and stick 
• Break down large projects 
• scaffolding
• Present various models of EF 
• Settle on 10-ish 
• Introduce HEDYDT? (disappearing ink, do you 
comment, hedydt) 
• Create more handouts (e.g. worksheet for 
determining contingencies)
Overview 
• Brain overview in 11 slides 
– Amygdala (mindfulness), hippocampi (exercise), PFC (screen time/green time, sleep), PFC regions, loops 
• Models of EF 
– Small group: what is EF 
– Hot and cold EFs 
– 10 Efs - consider dawson guare model 
– Barkley’s 4 
– McCloskey’s 30-st 
• EF as Self-Regulation 
– Sensing to the self, etc 
– Central impairment is in self-regulation 
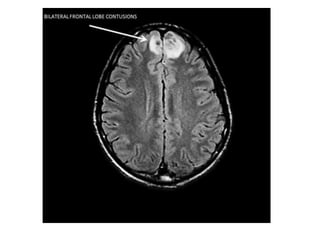
• Disorders which impact EF 
– ADHD 
– TBI 
– Schizophrenia 
– Bipolar Disorder 
– ASD 
– Anxiety Disorders 
– Leaning Disorders 
– Oppositional Defiant Disorder 
• Real life implications of EF deficits 
– EF and reading 
– EF and writing 
– EF and math 
– EF and test-taking 
– Metacognitive Awareness Inventory (Schraw & Dennison 1994) 
• Assessment of EF 
– Direct formal etc 
– Curious compassionate nonjudgmental evaluation 
• Strategic Behavioral Inquiry (HEDYDT?) 
• Asking 2 Questions 
• Case Studies and EF Strategies 
• School Accommodations and Supports 
• Big 5 EF Supports
• N-back with a deck of cards
Accomodations 
• Meltzer (kindle)
ADHD 
Inattentive 
Sluggish 
Cognitive Tempo 
Hyperactive Combined
5-42 / (10-2)+3x6 
P 5-42 / (8)+3x6 
E 5-16 / (8)+3x6 
MD 5-2+18 
AS 21

Executive Function: Effective Strategies and Interventions

  • 1.
    David D NowellPhD www.DrNowell.com Executive Function: Effective Strategies and Interventions
  • 2.
  • 4.
    Overview • BrainOverview in 27 Slides • Models of EF • Strategic Behavioral Inquiry (HËDŸDT?) • Disorders Which Impact EF • Real Life Implications of EF Deficits • Assessment of EF • Strategies and Case Studies • Q&A&D
  • 5.
  • 6.
  • 10.
    What does dopaminefeeeel like?
  • 23.
    Ways of thinkingabout the brain • Left to right • Top to bottom • Front to back • Top-down and bottom-up
  • 28.
    what IS… 12/3/2014 © 2011 David D. Nowell, Ph.D. All rights reserved. 28
  • 29.
    …what COULD BE 12/3/2014 © 2011 David D. Nowell, Ph.D. All rights reserved. 29
  • 30.
    What’s wrong withthis brain model?
  • 31.
    What’s wrong withthis brain model?
  • 32.
    What’s wrong withthis brain model?
  • 33.
    MODELS OF EXECUTIVE DYSFUNCTION
  • 34.
    • McCloskey’s model • Barkley’s model • BRIEF model
  • 36.
    McCloskey’s Clusters •Attentional cluster • Engagement cluster • Optimize cluster • Evaluation cluster • Efficiency cluster • Memory cluster
  • 37.
    McCloskey’s Clusters •Attentional cluster – Becoming aware – Focusing attention – Sustaining attention
  • 38.
    Sleep hygiene •Strict bedtime • Use bed only for sleep • No caffeine after mid-afternoon • No activating media after 7pm
  • 39.
  • 42.
  • 44.
    McCloskey’s Clusters •Engagement cluster – Initiating – Putting in effort – Inhibiting – Stopping – Interrupting
  • 46.
  • 53.
    There’s no suchthing as “disinhibited”
  • 54.
  • 55.
  • 56.
    McCloskey’s Clusters •Optimize cluster – Modulating – Monitoring – Correcting
  • 57.
    Sam rode hernew blue bicycle down the steep hill, enjoying the crisp Autumn air and bright late-afternoon sun.
  • 58.
    Sam rode hernew blue bicycle down the steep hill, enjoying the crisp Autumn air and bright late-afternoon sun.
  • 59.
  • 62.
    Voice Modulation •5 – football game • 4 – large clasroom • 3 – small group • 2 – talking quietly with a friend • 1 - whisper
  • 63.
    • Give multi-stepdirections while playing catch • Play mindfulness “freeze tag” • Quiz do-over • Make use of rhythm and music (508) 579-7958
  • 64.
    Don’t stealth bombinattentive students • “Pete in about a minute I’ll ask you about..”
  • 65.
    McCloskey’s Clusters •Evaluation cluster – Sizing up – Anticipating – Estimating time – Making associations – Generating solutions – Organizing – Comparing
  • 66.
    12/3/2014 © 2011David D. Nowell, Ph.D. All rights reserved. 66
  • 67.
    12/3/2014 © 2011David D. Nowell, Ph.D. All rights reserved. 67
  • 68.
    12/3/2014 © 2011David D. Nowell, Ph.D. All rights reserved. 68
  • 69.
    12/3/2014 © 2011David D. Nowell, Ph.D. All rights reserved. 69
  • 70.
    Time Horizon 1hour 1 day 1 week 1 month 1 year
  • 71.
  • 87.
    Using your phone’snavigator as a time-management tool
  • 88.
    McCloskey’s Clusters •Efficiency cluster – Sensing time – Pacing – Sequencing – Using routines / executing
  • 89.
  • 93.
    McCloskey’s Clusters •Memory cluster – Holding – Manipulating – Storing – Retrieving
  • 94.
  • 99.
    The Executive Functions • Sensing to the self • Speech to the self • Emotion to the self • Play to the self
  • 100.
    The Executive Functions • Sensing to the self • Speech to the self • Emotion to the self • Play to the self Barkley, RA, (2012)
  • 101.
    BRIEF (Behavioral RatingInventory of Executive Functioning) • Inhibiting • Shifting • Controlling emotions • Initiating • Working memory • Planning • Organizing materials • Monitoring • Metacognition • Behavioral regulation
  • 102.
  • 103.
    The Executive Functions • Sensing to the self (HËDŸDT) • Speech to the self • Emotion to the self • Play to the self Barkley, RA, (2012)
  • 104.
    BRIEF • Inhibiting(HËDŸDT) • Shifting • Controlling emotions • Initiating • Working memory • Planning • Organizing materials • Monitoring • Metacognition • Behavioral regulation
  • 105.
  • 106.
    12/3/2014 © 2011David D. Nowell, Ph.D. All rights reserved. 106
  • 107.
    12/3/2014 © 2011David D. Nowell, Ph.D. All rights reserved. 107
  • 108.
    Objectives of SBI • Specific behavioral strategy • What was the feeling-goal? • Motivational level on a scale from 1-10
  • 109.
    Benefits of SBI • Affirms the value of clients’ unique internal experience • Emphasizes the culture of self-regulation • Encourages metacognition
  • 110.
    Assumptions of SBI • Everybody’s doing the best they can • Behavior is not incomprehensible or random • Behavior follows patterns which reveal themselves to the curious observer free of prejudice or blame or theory
  • 111.
  • 113.
    …and How Exactly Did You Do That?
  • 115.
    …and How Exactly Did You Do That?
  • 116.
    Personal Application •What bad habit persists? And How Exactly Do You Do That?
  • 117.
    Learn from yourTo-Do list • Which things are not getting completed? • How – exactly – are these not getting completed? How do you do that?
  • 118.
    Clinical Application •Who in your clinic or classroom is demonstrating remarkable “resilience” – persistence despite significant obstacles? And how, exactly, does he/she do that?
  • 119.
    Clinical Application •Who in your clinic or classroom is demonstrating remarkable “resilience” – persistence despite significant obstacles? And how, exactly, does he/she do that? • What recurring behavioral problem is showing up in your clinic or classroom?
  • 120.
    Clinical Application •Who in your clinic or classroom is demonstrating remarkable “resilience” – persistence despite significant obstacles? And how, exactly, does he/she do that? • What recurring behavioral problem is showing up in your clinic or classroom? • Note: we aren’t asking “why did you do that,” but rather “how exactly did you do that.”
  • 121.
    How to doSBI “How exactly did you do that?” “How did you know it was time to _____?” “How long had you been thinking about ____?”
  • 123.
    12/3/2014 © 2011David D. Nowell, Ph.D. All rights reserved. 123
  • 126.
    DISORDERS WHICH IMPACT EXECUTIVE FUNCTIONS
  • 127.
    • ADHD •Schizophrenia • Bipolar Disorder • Anxiety Disorder • Autistic Spectrum Disorders • Sensory Processing Disorder • Specific Learning Disorders • Tourette’s Syndrome • Sleep Disorders
  • 128.
    20%–60% of thevariance in functional outcome (Sabhesan & Parthasarathy 2005)
  • 130.
    Gur RE, TuretskyBI, Loughead J, et al. (2007)
  • 131.
    (Clark, Iversen &Goodwin 2001)
  • 133.
  • 134.
  • 135.
  • 139.
  • 143.
  • 144.
  • 145.
  • 146.
  • 149.
    ADHD and BrainDevelopment
  • 154.
    Sluggish Cognitive Tempo • Daydreaming • Easily confused • Staring • Easily fatigued • Sluggish • Withdrawn • Slow to complete tasks • Lower levels of parent stress • Less situation-specific than hyperactive type
  • 155.
    REAL LIFE IMPACTOF EF DEFICITS
  • 157.
    Preschool 12/3/2014 ©2011 David D. Nowell, Ph.D. All rights reserved. 157 1. 1-step errands 2. Chores with cues 3. Basic inhibition
  • 158.
    Kindergarten - 2ndGrade 12/3/2014 © 2011 David D. Nowell, Ph.D. All rights reserved. 158 1. 2-3 step directions 2. 20-30 minute assignments 3. Follow rules/inhibit/no grabbing
  • 159.
    3rd-5th Grade 12/3/2014 © 2011 David D. Nowell, Ph.D. All rights reserved. 159 1. Simple shopping list 2. Keep track of variable daily schedule 3. Inhibit and regulate even without teacher present 4. Simple delayed gratification (phone)
  • 160.
    6th – 8thGrade 12/3/2014 © 2011 David D. Nowell, Ph.D. All rights reserved. 160 1. Complex chores 2. Organizing system 3. Time management 4. Self soothe 5. Manage conflict
  • 161.
    Teenage-mid 20’s 12/3/2014 © 2011 David D. Nowell, Ph.D. All rights reserved. 161 1. Independent with assignments 2. Make adjustments based on feedback 3. Inhibit reckless behavior 4. Say “no” to fun activity if other plans already made 5. Take others’ perspective
  • 162.
    Knock 3 yearsoff his age
  • 163.
    12/3/2014 © 2011David D. Nowell, Ph.D. All rights reserved. 163 Lending Your Brain
  • 164.
    Arenas of Involvement • Intrapersonal • Interpersonal • Environmental • Academic / symbol system (McCloskey & Perkins, 2013)
  • 165.
    Executive Functions andMath • Verbal strategies – Please excuse my dear Aunt Sallly (PEMDAS)
  • 167.
    Executive Functions andMath • Verbal strategies – Please excuse my dear aunt sally (PEMDAS) – KNOW • Key words, numbers, operation, work it out
  • 168.
    Key words NumbersI need Operations Work it out
  • 169.
    Executive Functions andMath • Visual strategies
  • 176.
    Executive Functions andMath • Hands-on strategies
  • 184.
  • 185.
  • 186.
  • 187.
  • 188.
  • 189.
  • 190.
  • 194.
  • 195.
  • 196.
  • 197.
    Cornell note-taking system Class and date Notes
  • 198.
    Cornell note-taking system Class and date Notes Notes Notes
  • 199.
    Cornell note-taking system Class and date Notes Notes Notes
  • 200.
    Cornell note-taking system Class and date Notes Notes Notes
  • 201.
    Cornell note-taking system Class and date Notes Notes Notes SUMMARY
  • 202.
    Cornell note-taking system Class and date Notes Notes Notes SUMMARY
  • 203.
  • 204.
    Cornell note-taking system Class and date Notes
  • 205.
    Cornell note-taking system Class and date Notes Notes Notes
  • 206.
    Cornell note-taking system Class and date Notes Notes Notes
  • 207.
    Cornell note-taking system Class and date Notes Notes Notes
  • 208.
    Cornell note-taking system Class and date Notes Notes Notes SUMMARY
  • 209.
    Cornell note-taking system Class and date Notes Notes Notes SUMMARY
  • 211.
    Chunk Chew andCheck • Grades K-2: about 5 minute chunks • Grades 3-6: about 10 minute chunks • Grades 7-12: about 15 minute chunks
  • 212.
  • 217.
  • 221.
    Homework Considerations forTeachers • Target productivity first, then accuracy • Reduce homework – Overall correlation of homework with achievement is just .15-.25 across all grades and weaker in elementary grades* – For high school, best amount was 1.5-2.5 hrs/night; more time had no further benefits* *Cooper, Robinson, & Patall (2006). Review of Educational Research, 76(1), 1-62.
  • 222.
  • 223.
    Accommodations for EFDeficits • Preferential seating • Extra set of textbooks at home • Quiet test environment • Time off the clock during testing (schedule breaks) • Pre- and post-class 1:1 review of content • Visual schedule • Movement breaks • Fidget/sensory interventions • Verbal cues • External time cues (Time Timers products, or kitchen timer) • Teacher check-off on homework binder • “Locker” is in guidance counselor’s office • Attention coach (10-15 minutes)
  • 224.
    Examples of IEPGoals for EF Deficits 1. Self Awareness a. Student will identify tasks that are easy or difficult for him/her. b Student will accurately explain why some tasks are easy or difficult d.Student will offer help to another when he/she is more capable than another child 2. Goal setting a. Student will participate with teachers in setting academic goals. 3. Planning a.Given a selection of 6 activities for an instructional session, student will select 3, indicate their order, create a plan on paper and stick to the plan. c. Having failed to accurately predict his/her grade on a test, student will create a plan for improving performance on the next test.
  • 225.
    Examples of IEPGoals for EF Deficits 4. Organizing a. To relate a story, student will place illustrations in order and then narrate the sequence of events B. Student will prepare an organized semantic map or outline before proceeding with writing projects 5. Self-initiating a. Without prompts, student will begin his/her assigned tasks 6. Self-monitoring & self evaluating a. Student will identify errors in his/her work without teacher assistance 7. Problem Solving a. When faced with obstacles to educational or social objectives, student will identify possible courses of action, identify pros and cons for each, choose a course of action, perform it and evaluate its effectiveness.
  • 227.
    What are ourdata sources? • Record review • Interview • Collateral interview • Checklists • Mental status examination • Test scores
  • 228.
  • 229.
    Curious Compassionate NonjudgmentalEvaluation • Skillfully eliciting the chief complaint • HËDŸDT? • Forming a diagnostic impression • Defending your diagnosis / impression
  • 230.
    Skillfully eliciting thechief complaint • Too much of what? Or too little of what? • Invoking the Pediatric Fairy (or the Psychiatric Genie)
  • 231.
    HËDŸDT? • Howexactly did you do that? – Everybody’s doing the best he/she can – Every behavior problem is either • Skills deficit • Contingency problem
  • 234.
    Forming a diagnosticimpression • Where do you see it the most? And where do you see it the least? • Two disorders = two stories
  • 237.
    Forming a diagnosticimpression • Where do you see it the most? And where do you see it the least? • Two disorders = two stories
  • 239.
    Documenting and communicatingyour conclusions • The footprints in the butter • Defend your diagnosis
  • 240.
    Approaches to Evaluationof EF • Formal direct • Informal direct • Formal indirect • Informal indirect
  • 241.
    Evaluation of EF • Informal Indirect – Review of records – Collateral interviews (see McCloskey 2012)
  • 242.
    Evaluation of EF • Formal Indirect – BRIEF (Behavior Rating Inventory of Executive Functioning) – BASC (Behavior Assessment for Children) – CBCL (Achenbach Child Behavior Checklist) – BDEFS-CA (Barkley Deficits in Executive Functioning Scale – Children and Adolescents)
  • 243.
    Evaluation of EF • Informal Direct – Review of work samples – Process-approach to test performance – Mental Status Examination – Classroom observation
  • 244.
    Evaluation of EF • Formal Direct – NEPSY – CAS (Cognitive Assessment System) – Delis-Kaplan Executive Function System – Continuous Performance Tests (Vigil; Connors CPT; IVA) – Wisconsin Card Sorting Test – Trail Making Test for Children – Rey-Osterreith – Functional Behavior Assessment
  • 245.
    Avoiding the mostcommon diagnostic error
  • 246.
  • 247.
  • 248.
  • 250.
  • 254.
  • 255.
    Two weeks fromnow, how will you know whether it’s working? Appendix D
  • 256.
    Daily report card Appendix C
  • 257.
    Antecedent Support forExecutive Dysfunction
  • 258.
    12/3/2014 © 2011David D. Nowell, Ph.D. All rights reserved. 258 A ANTECEDENT B BEHAVIOR C CONSEQUENCES
  • 259.
    12/3/2014 © 2011David D. Nowell, Ph.D. All rights reserved. 259 A ANTECEDENTS B BEHAVIOR C CONSEQUENCES
  • 260.
    “Modified Independence” •Chronic disability perspective • Time prosthetics • Problem-solving prosthetics (mind map) • Math prosthetics • Sequence prosthetics • Motivation prosthetics
  • 262.
    12/3/2014 © 2011David D. Nowell, Ph.D. All rights reserved. 262 A ANTECEDENTS Set them up for success
  • 265.
  • 266.
  • 270.
    12/3/2014 © 2011David D. Nowell, Ph.D. All rights reserved. 270 A ANTECEDENTS Identify exceptions Where do you see it the most? Where do you see it the least?
  • 271.
    Rules •Waking up •Bedtime •Chores •Homework •TV / internet A ANTECEDENTS
  • 277.
  • 280.
    Expectations •Specific •Behavioral •In advance A ANTECEDENTS
  • 281.
    Communication •Get eyecontact •Speak clearly •Provide behavioral info •Check for understanding A ANTECEDENTS
  • 282.
    12/3/2014 © 2011David D. Nowell, Ph.D. All rights reserved. 282 A ANTECEDENTS Provide prosthetic cues at the “point-of- performance” (Barkley)
  • 284.
    If It’s Harderthan a “3” Find Some Way to Make It Easier easy hard 12/3/2014 © 2011 David D. Nowell, Ph.D. All rights reserved. 284
  • 286.
    12/3/2014 © 2011David D. Nowell, Ph.D. All rights reserved. 286
  • 287.
    Assign separate duedates for smaller parts of big projects
  • 288.
  • 291.
  • 294.
  • 295.
  • 296.
    Provide multiple cuesfor transitions • Verbal “two minute warning” • Visual schedule • Changes in lighting • Nonverbal cues
  • 299.
  • 300.
  • 302.
    Place the studentwith tactile defensiveness at the edge of the group
  • 304.
  • 305.
  • 306.
    Movement Techniques •Exercise • Yoga • Martial arts
  • 307.
  • 308.
    Balance screen timeand “green time”
  • 309.
    Balance screen timeand “green time”
  • 310.
    Supplements and Diet • Omegas • Food additives • Food allergies • Pesticides
  • 311.
    12/3/2014 © 2011David D. Nowell, Ph.D. All rights reserved. 311 A ANTECEDENT B BEHAVIOR C CONSEQUENCES Behavioral Support
  • 313.
    12/3/2014 © 2011David D. Nowell, Ph.D. All rights reserved. 313 B BEHAVIOR “A healthy high-functioning 26 year old”
  • 314.
    12/3/2014 © 2011David D. Nowell, Ph.D. All rights reserved. 314
  • 315.
    12/3/2014 © 2011David D. Nowell, Ph.D. All rights reserved. 315 B BEHAVIOR More • Behavioral control • Choices and options • Self-regulation • Arousal • Motivation • Mood • Attention
  • 320.
  • 321.
  • 322.
    Metacognition • Howmuch effort am I giving this? • What has worked for me before? • When to shift from processing to maintenance
  • 323.
  • 324.
  • 325.
    12/3/2014 © 2011David D. Nowell, Ph.D. All rights reserved. 325 A ANTECEDENT B BEHAVIOR C CONSEQUENCES
  • 330.
  • 331.
  • 332.
    Use extrinsic reward creatively 12/3/2014 © 2011 David D. Nowell, Ph.D. All rights reserved. 332
  • 333.
    Emphasize the sensorydetails of your desired outcome
  • 335.
  • 337.
    Determine what basicprovisions are unconditional… • Love • Respect • Safety • 3 meals • Essential clothing • Temperature-controlled environment • 30 minutes of video games
  • 338.
    …and which arecontingent • Special foods • Expensive or trendy clothing • Extra video game time • WiFi password
  • 340.
    Clip and sharehorrible articles about teens falling out of the back of pickup trucks • Review cause and effect • Discuss consequences • Emphasize behavioral agency
  • 341.
    The “Big Five” • Daily focus time • Nutrition • Movement • Sleep • Connection
  • 342.
  • 343.
    12/3/2014 © 2011David D. Nowell, Ph.D. All rights reserved. 343 …the most important 10 minutes of the day….
  • 344.
    The best defenseagainst the manipulation of our attention is to determine for ourselves – in advance - how we want to invest it. - E. Goldberg
  • 345.
    Key features ofa great planner system
  • 346.
    Key features ofa great planner system • 2 pages per day • Master to-do list • With the client at all times
  • 347.
    Yoga / read Phone calls Staff meeting Planning session billing
  • 348.
    Vh: jeff w/puritan oil Vc: kate re: brimfield TC umass dermatology. Spoke w/ cindy 508 8564000
  • 351.
    Key features ofa great planner system • 2 pages per day • Master to-do list • With the client at all times
  • 353.
    What’s a To-Dolist for anyway?
  • 357.
    Key features ofa great planner system • 2 pages per day • Master to-do list • With the client at all times
  • 358.
    Key features ofa great planner system • The “technology” • The “practice”
  • 359.
    Key features ofa great planner system • The “technology” • The “practice”
  • 360.
  • 365.
  • 366.
    The “Big Five” • Daily focus time • Nutrition • Movement • Sleep • Connection
  • 367.
    Nutrition essentials •Emphasize protein at every snack and meal • Eat fewer processed foods • Choose local • Pay close attention to patterns between food and focus/mood
  • 368.
    The “Big Five” • Daily focus time / Motivational clarity • Nutrition • Movement • Sleep • Connection
  • 369.
    “Exercise for focus”is different from "exercise for fitness”
  • 370.
    The “Big Five” • Daily focus time / Motivational clarity • Nutrition • Movement • Sleep • Connection
  • 373.
    The “Big Five” • Daily focus time / Motivational clarity • Nutrition • Movement • Sleep • Connection
  • 374.
    Positive characteristics ofmany people with attentional / executive challenges Appendix G
  • 375.
    Don’t do anythingfor your ADHD teenager which could be managed by a machine or an app
  • 376.
  • 381.
  • 382.
    Let’s stay intouch!  Join my e-newsletter list:  Fill out a card today and drop it in the box.  Sign up on my web site or Facebook page  Visit us on the web: www.DrNowell.com @davidnowell David Nowell Seminars
  • 385.
    Q & A& D
  • 386.
  • 388.
    Determine in AdvanceWhen You’ll Check Email and Facebook Tomorrow
  • 389.
    • Review expectationsin advance • Teens and college students may take more initiative with this
  • 390.
    Generic Issues Associatedwith Transition to Adolescence • Increased physical size and neurological maturation • Increasing maturation of sexuality • Increasing desire to individuate from parents; decreasing influence of parents on teen behavior • Increasing time away from home & parents • Increasing number of domains of major life activities to which the teen must adapt – Sex, driving, peers, money & work, community activities, crime, drugs • Greater involvement with and influence of peers • Most of these are adversely affected by delay in self-regulation associated with ADHD
  • 391.
    How do symptomschange by adolescence? • Hyperactivity declines more steeply than does inattention and related executive function (EF) deficits • Motor restlessness becomes a more internalized subjective sense of feeling a need to be busy all the time • Transition to middle school is associated with a transient increase (reversal of decline) in ADHD symptoms • The inattentive/EF symptoms have a greater impact on school functioning than HI symptoms; increases with age • Impulsivity is more related to impaired nonacademic domains: – development of ODD – drug experimentation – speeding while driving – risky sexual behavior, taking on dares from peers – impulsive verbal behavior – reactive aggression
  • 392.
    Symptom Transitions (continued) • But inattention also has adverse impacts on non-academic functioning : – Poor attention to traffic density and speed while in community auto traffic settings – Greater risk for pedestrian/cycling accidents in traffic settings – Greater crash risk as drivers (in vehicle distractions are most contributory) – Accelerated use of nicotine after experimentation • Self-medication ??? – Poor follow through on chores and other home responsibilities – Poorer work performance in school – Poor work performance part-time employment settings – Inattention to others’ comments and needs in social activities
  • 393.
    Emerging Impact ofEF Deficits • Poor working memory (remembering to do things) – Less follow through on promises and commitments to others – Increasing adverse impact of reading-listening-viewing comprehension deficits, especially in school & work settings • Impaired planning, anticipation, and preparatory behavior; not ready for the future as it arrives – Reduced valuing of future rewards relative to peers – Consequently, don’t persist toward future goals and show poor delay of gratification • Deficient sense of time and time management – A restricted temporal window relative to peers • Poor emotion regulation (related to poor inhibition) – Deficient control of anger & frustration most impairing • Decreased fluency (rapid assembly of ideas into coherent verbal reports and behavior)
  • 394.
    Basic Considerations •Don’t retain in grade! • Sept is to establish behavioral control • Decrease total workload, or • Give smaller quotas of work at a time • Target productivity first, accuracy later • Reduce homework – Overall correlation with achievement is just .15-.25 (just 2-6% of variance in achievement) across all grades and weaker in elementary grades* – For high school, best amount was 1.5-2.5 hrs/night; more hours had no further benefits* *Cooper, Robinson, & Patall (2006). Review of Educational Research, 76(1), 1-62.
  • 395.
    Tips for Teens • As needed, use ADHD medications – have parents negotiate a contract with the teen if necessary • Find a “Coach” or “Mentor” (Just 15 min.) – The Coaches’ office is the student’s “locker” – Schedule in three 5-minute checkups across each day – Use behavior report card to monitor teen across classes – Use daily assignment sheets requiring teacher initials – Cross temporal accountability is the key to success • Identify a parent-school ADHD liaison – Serves as an intermediary on issues between parents & school
  • 396.
    A Daily BehaviorCard Each teacher rates each behavior at end of each class; 1=Excellent (+25), 2=Good (+15), 3=Fair (+5), 4=Poor (-15), 5=Terrible (-25) Subjects 1 2 3 4 5 6 7 Class Participation Performs assigned classwork Follows class rules Gets along well with others Completes home-work assignments Teacher’s Initials
  • 397.
    More Tips forTeens • Use a daily school behavior card for self-evaluation after; move to weekly after 3+ good weeks • Keep extra set of books at home • Learn typing/keyboard skills for writing assignments • Require continuous note-taking to pay attention to lectures or during reading assignments • Tape record important lectures – check out the Smart Pen that digitally records lectures or other conversations at livescribe.com
  • 398.
    More Tips forTeens • “Bucks for Bs” system – grades on each assignment = $ from parents • Get week-at-a glance calendar with journal or other organizing notebook system • Schedule hard classes in AM • Alternate required with elective classes • Extra time on timed tests (???) – no evidence it helps – Better to have distraction free test setting and intersperse breaks in testing to create shorter test periods (time off the clock) • Permit music during homework* • Get written syllabus as handouts *Soderlund et al. (2007). Journal of Child Psychology and Psychiatry, 48, 840-847.
  • 399.
    Still More Tipsfor Teens • Learn SQ4R for reading comprehension – Survey material, draft questions, then: – Read, recite, write, review • Peer tutoring in class • “Study-with-a-buddy” after school • Find “fall-back” classmates (swap phone, e-mail, & fax numbers) for lost or missing assignment sheets • Attend after-school help-sessions • Schedule parent-teacher-teen review meetings every 6 weeks (not at 9 week grading period)
  • 400.
  • 401.
    What and whois the “A”
  • 402.
  • 403.
    Reverse Engineering theCarrot and Stick • Rey O versus VMI • Carrot and stick • Break down large projects • scaffolding
  • 404.
    • Present variousmodels of EF • Settle on 10-ish • Introduce HEDYDT? (disappearing ink, do you comment, hedydt) • Create more handouts (e.g. worksheet for determining contingencies)
  • 405.
    Overview • Brainoverview in 11 slides – Amygdala (mindfulness), hippocampi (exercise), PFC (screen time/green time, sleep), PFC regions, loops • Models of EF – Small group: what is EF – Hot and cold EFs – 10 Efs - consider dawson guare model – Barkley’s 4 – McCloskey’s 30-st • EF as Self-Regulation – Sensing to the self, etc – Central impairment is in self-regulation • Disorders which impact EF – ADHD – TBI – Schizophrenia – Bipolar Disorder – ASD – Anxiety Disorders – Leaning Disorders – Oppositional Defiant Disorder • Real life implications of EF deficits – EF and reading – EF and writing – EF and math – EF and test-taking – Metacognitive Awareness Inventory (Schraw & Dennison 1994) • Assessment of EF – Direct formal etc – Curious compassionate nonjudgmental evaluation • Strategic Behavioral Inquiry (HEDYDT?) • Asking 2 Questions • Case Studies and EF Strategies • School Accommodations and Supports • Big 5 EF Supports
  • 406.
    • N-back witha deck of cards
  • 407.
  • 409.
    ADHD Inattentive Sluggish Cognitive Tempo Hyperactive Combined
  • 410.
    5-42 / (10-2)+3x6 P 5-42 / (8)+3x6 E 5-16 / (8)+3x6 MD 5-2+18 AS 21