Γραβάνης Δήμος
Εδικ/νος Ακτινοδιαγνωστικής
Κοντογιαννόπουλος Χ.
Διευθ/ης ΕΣΥ
ΕΑΝΠ ΜΕΤΑΞΑ 2016
Οι Επεμβατικοί Ακτινολόγοι είναι εξειδικευμένοι Ακτινολόγοι οι οποίοι χρησιμοποιούν τις
ελάχιστα επεμβατικές μεθόδους. Έχουν ένα αξιοσημείωτο εύρος εκπαίδευσης και προσφέρουν
συμβουλές σε όλες τις ειδικότητες της Ιατρικής.
Οι επεμβατικές πράξεις, άλλες είναι καθοδηγούμενες υπό ακτίνες Χ , με μηχανήματα τελευταίας
τεχνολογίας (Ψηφιακός Αγγειογράφος), άλλες είναι καθοδηγούμενες από υπερηχοτομογράφο ή
από Αξονικό Τομογράφο .
Σήμερα πολλές από τις παθήσεις που παλαιότερα απαιτούσαν ανοικτό χειρουργείο, μπορούν
να θεραπευτούν χωρίς χειρουργείο από τους Επεμβατικούς Ακτινολόγους με λιγότερο ρίσκο,
λιγότερο πόνο, λιγότερο χρόνο ανάρρωσης σε σύγκριση με το ανοικτό χειρουργείο. Για τους
λόγους αυτούς στις Ηνωμένες Πολιτείες της Αμερικής -όχι άδικα- αποκαλείται :
"η χειρουργική του μέλλοντος".
Μοντέρνες, ελάχιστα επεμβατικές θεραπείες είναι διαθέσιμες για πολλές παθήσεις, ωστόσο
ελάχιστοι ασθενείς γνωρίζουν για αυτές.Είναι σημαντικό για τους ασθενείς, να έχουν μια δεύτερη
γνώμη και να ξέρουν όλες τις δυνατές επιλογές που τους προσφέρει η σύγχρονη Ιατρική πριν
αποφασίσουν να οδηγηθούν σε οποιοδήποτε ανοικτό χειρουργείο.
Από τον Απρίλιο του 2012 η Επεμβατική Ακτινολογία αναγνωρίζεται και στην Ελλάδα
ως Κλινική υποειδικότητα της Ακτινολογίας (ΦΕΚ 1020 τεύχος Β από 3/4/2012). 36
Η ιστορία της Επεμβατικής Ακτινολογίας ξεκινά όταν ο Sven Ivar Seltinger το 1953 δημοσιεύει
μια μέθοδο, για τον διαδερμικό αρτηριακό καθετηριασμό. Από τότε άνοιξε η πόρτα για τις
αγγειογραφίες και γεννήθηκε η Επεμβατική Ακτινολογία.
 1964: Η πρώτη αγγειοπλαστική
 1966: Γίνεται ο πρώτος εμβολισμός όγκου
 1967: Γίνεται η πρώτη εκλεκτική έκχυση φαρμάκων σε αιμορραγία του πεπτικού.
 1970: Διαδερμική αφαίρεση λίθων από τον κοινό χοληδόχο πόρο.
 1974: Θρομβόλυση, για την αντιμετώπιση αρτηριακής εμβολής.
 1977-1983: Εφαρμόζεται ο χημειοεμβολισμός για την θεραπεία όγκων του ήπατος.
 1980: Εμφανίζονται τα πρώτα stent χοληφόρων.
 1981: Εμβολισμός για αντιμετώπιση τραύματος στον σπλήνα.
 1982: Πρώτη εφαρμογή του TIPS ( διασφαγιτιδική, διαηπατική πυλαιοσυστηματική αναστόμωση).
 1983: Εμφάνιση των αυτοεκτεινόμενων stent.
 1984: Πρώτη Σπονδυλοπλαστική
 1990: Θερμοκαυτηρίαση όγκων ήπατος.
 1991: Τοποθέτηση stent grafts σε ανεύρυσμα κοιλιακής αορτής.
 1994: Εκτεινόμενα με μπαλόνι stent καρωτίδων
Σήμερα υπάρχει μια πληθώρα υλικών τα οποία χρησιμοποιούνται από τους Επεμβατικούς
Ακτινολόγους, ενώ ακόμη εξελίσσονται διάφορες τεχνικές για ακόμη καλύτερα αποτελέσματα
με στόχο πάντα την’’ελάχιστη επεμβατική θεραπεία’’.
ΕΠΕΜΒΑΤΙΚΗ ΑΚΤΙΝΟΛΟΓΙΑ
ΑΓΓΕΙΑΚΗ ΜΗ ΑΓΓΕΙΑΚΗ
ΘΕΡΑΠΕΥΤΙΚΗ ΔΙΑΓΝΩΣΤΙΚΗ
Επεμβατική Καρδιολογία, Επεμβατική Νευροακτινολογία,
Επεμβατικής Αγγειοακτινολογίας
Kοιλιακά όργανα ,πεπτικός σωλήνας, κοιλιακή και
θωρακική κοιλότητα, Ουροποιο-γεννητικό σύστημα,
Μυοσκελετικό σύστημα και Μαστός
 Διαγνωστική Αγγειογραφία
 Διαδερμική Αγγειοπλαστική
 Διαδερμική Ενδοαυλική Θρομβόλυση
 Διαδερμική Απεικόνιση και Αποκατάσταση Βλαβών Φίστουλας Αιμοκάθαρσης
 Διαδερμική Ενδοαυλική Αιμοληψία Ενδοκρινών Οργάνων
 Διαδερμικός Εμβολισμός Αιμορραγίας(σε βάση επείγοντως)
 Διαδερμικός Εμβολισμός Κακοήθων Όγκων
 Διαδερμικός Εμβολισμός Ανευρυσμάτων Εγκεφάλου
 Διαδερμικός Εμβολισμός Αρτηριοφλεβωδών Δυσπλασιών Εγκεφάλου και
Σπονδυλικής Στήλης
 Διαδερμικός Χημειοεμβολισμός Ηπατωμάτων
 Διαδερμικός Εμβολισμός Ινομυωμάτων Μήτρας
 Διαδερμική Τοποθέτηση Καθετήρων Χορήγησης Χημειοθεραπείας Hickman
 Διαδερμική Ενδοαυλική Εκλεκτική Χημειοθεραπεία Όγκων
 Τοποθέτηση Φίλτρων Κάτω Κοίλης Φλέβας
 Aκτινολογικά καθοδηγούμενη Tοποθέτηση Eνδοαυλικών Aγγειακών Διχαλωτών
μοσχευμάτων στην Κοιλιακή Αορτή και τις Λαγόνιες Αρτηρίες (Stent-Graft)
ΑΓΓΕΙΑΚΕΣ ΕΠΕΜΒΑΤΙΚΕΣ ΠΡΑΞΕΙΣ
 Διαδερμική Βιοψία Ήπατος
 Διαδερμική Διηπατική Χολαγγειογραφία
 Διηπατική Παροχέτευση Χοληφόρων
 Διαδερμική Διηπατική Λιθοτριψία Χολολίθων
 Διαδερμική Διασφαγιτιδική Ενδοηπατική
Πυλαιοσυστηματική Αναστόμωση (TIPS)
ΜΗ ΑΓΓΕΙΑΚΕΣ ΕΠΕΜΒΑΤΙΚΕΣ ΠΡΑΞΕΙΣ ΗΠΑΤΟΣ-ΧΟΛΗΦΟΡΩΝ
 Μαστογραφικά κατευθυνόμενος προεγχειρητικός
εντοπισμός μάζας(Hook)
 Υπερηχοτομογραφική βιοψία μάζας μαστού με λεπτή βελόνη
 Στερεοτακτική βιοψία μαστού με πιστόλι βιοψίας(B.L.E.S)
 Υπερηχοτομογραφική βιοψία μάζας μαστού με πιστόλι
βιοψίας
 Στερεοτακτική βιοψία μαστού με Μαμμοτόμο
 Υπερηχοτομογραφική βιοψία μάζας μαστού με Μαμμοτόμο
 Υπερηχοτομογραφική βιοψία όζου θυρεοειδους με λεπτή
βελόνη
ΜΗ ΑΓΓΕΙΑΚΕΣ ΕΠΕΜΒΑΤΙΚΕΣ ΠΡΑΞΕΙΣ ΜΑΣΤΩΝ –ΟΖΩΝ ΘΥΡ.
 Διαδερμικές Παροχετεύσεις (ασκιτικές –υπεζοκωτικες συλλογές ,
αποστήματα)
 Διαδερμική βιοψία νεφρού
 Διορθική βιοψία προστάτη
 Διαδερμική Βιοψία Οστού
 Διαδερμική Βιοψίας Μαζών Πνεύμονος
 Διαδερμική Βιοψία Κοιλιακών Μαζών
 Διαδερμική Παροχέτευση Συλλογής
 Διαδερμική νεφροστομία
 Διαδερμική Γαστροστομία
 Διαδερμική Σπονδυλοπλαστική
 Διαδερμική Νευρόλυση του Κοιλιακού Πλέγματος
 Τοποθέτηση μεταλλικών ναρθήκων (stent) Οισοφάγου
 Τοποθέτηση μεταλλικών ναρθήκων (stent) Παχέος Εντέρου
 Τοποθέτηση μεταλλικών ναρθήκων (stent) Τραχείας
 Διαδερμικός Καυτηριασμός Όγκων με Ραδιοσυχνότητες(RFA)
 Ενδοαυλική διάνοιξη αποφραγμένων Σαλπίγγων
ΛΟΙΠΕΣ ΜΗ ΑΓΓΕΙΑΚΕΣ ΕΠΕΜΒΑΤΙΚΕΣ ΠΡΑΞΕΙΣ
ΕΝΔΕΙΞΕΙΣ
 Διάχυτες αλλοιώσεις
 Εστιακές αλλοιώσεις (Ταυτοποίηση βλάβης ιδίως σε άτυπη
απεικόνιση & σε προϋπάρχουσα κακοήθεια).
ΒΙΟΨΙΕΣ (FNB , FNA)
 Αιμορραγική διάθεση.
INR>1,5
 Aιμοπετάλια <50x109/L
 Μη συνεργάσιμος ασθενής.
 Απουσία ασφαλούς παραθύρου για προσπέλαση (π.χ πυλαία, ΚΚΦ,
μεγάλο αγγείο).
ΑΝΤΕΝΔΕΙΞΕΙΣ
 Ενημέρωση ασθενούς !!!
 Αιμορραγικός έλεγχος
 +/-Χορήγηση αναλγητικών και ηρεμιστικών 1-2 ώρες πριν
ΠΡΟΕΤΟΙΜΑΣΙΑ
FNA: βελόνες (κυτταρολογική)
Λεπτές: (20-23g)
Ευρείες: (16-19g)
CNB: ιστοτεμάχια
ασφαλέστερη διάγνωση
(18-20g)
 Οι περισσότερες βιοψίες καλό θα είναι
να γίνονται με λήψη ιστοτεμαχίων. Έτσι
έχουμε ακριβέστερη διάγνωση ιδίως όταν η
βλάβη αφορά καλοήθεια ή λέμφωμα, χωρίς
να αυξάνεται το ποσοστό επιπλοκών.
ΥΛΙΚΑ
TEXNIKH
Τοπική Αντισηψία
+/-
A. ΕΠΙΤΥΧΗΜΕΝΗ ΛΗΨΗ
ΥΛΙΚΟY
B. ΕΠΕΞΕΡΓΑΣΙΑ ΚΑΙ
ΕΞΕΤΑΣΗ ΤΟΥ ΥΛΙΚΟΥ
ΔΥΟ ΦΑΣΕΙΣ
FNA ΟΖΟΥ
ΘΥΡΕΟΕΙΔΟΥΣ ΑΔΕΝΑ
FNA NECK MASSES
FNA – FNB BREAST
FNB LIVER U/S- C/T
FNB LIVER C/T
Αντιδράσεις από ερεθισμό του πνευμονογαστρικού
Αντιδράσεις απο lidocaine hydrochloride, xylocaine
Υποκάψιο αιμάτωμα
Ενδοπαρεγχυματική αιμμοραγία
Βλάβη στα παρακείμενα όργανα(χοληδόχος
κύστη,ΚΧΠ, αγγεία,πνεύμονας ,έντερο).
Εμφύτευση όγκου < 1%
Θνητότητα < 0,1%
ΕΠΙΠΛΟΚΕΣ
FNB ΠΝΕΥΜΟΝΑ C/T
FNB ΠΝΕΥΜΟΝΑ C/T
FNB ΠΝΕΥΜΟΝΑ C/T
FNB ΠΝΕΥΜΟΝΑ C/T
Πνευμοθώρακας 11%
Αιμορραγία 5%
Αντίδραση από το πνευμονογαστρικό <1%
Τρώση μεσολοβίου < 1%
Θάνατος ~ 0,02%
Μετάσταση στην πορεία της βελόνης ~ 0,012%
ΕΠΙΠΛΟΚΕΣ
• Πνευμοθώρακας 20,5%
• Τοποθέτηση παροχέτευσης 3,1 %
• Αιμόπτυση 5,3 %
• Θάνατος 0,15 %
Θεωρούμενα επιτρεπτά ποσοστά
επιπλοκών
CNB
• 95% διαγνωστική ακρίβεια
• 93% ευαισθησία
• 98% ειδικότητα
• 6% αρνητική προγνωστική αξία
• 99% θετική προγνωστική αξία
• 0,7% ψ. θετικά
• 15% ψ. αρνητικά
Αποδεκτά αποτελέσματα
 Ψευδώς θετικά <1%
 Επάρκεια δειγμάτων >90% των
περιπτώσεων
 Ευαισθησία σε κακοήθεις βλάβες >2εκ:
85-90%
FNB ΝΕΦΡΟΣ
FNB ΠΑΓΚΡΕΑΣ
FNB ΛΕΝΦΑΔΕΝΕΣ
ΟΣΤΑ
ΕΥΑΙΣΘΗΣΙΑ ΤΗΣ ΜΕΘΟΔΟΥ
 Οστεομυελίτιδες
καλλιέργεια - 52%
ιστολογική+καλλιέργεια - 88,9%
 Νεοεξεργασίες - 94%
ΚΑΘΕΤΗΡΕΣ 8-24 F
ΠΑΡΟΧΕΤΕΥΣΕΙΣ
ΚΑΘΕΤΗΡΕΣ 8-24 F
ΠΑΡΟΧΕΤΕΥΣΕΙΣ
ΠΑΡΟΧΕΤΕΥΣΕΙΣ
ΠΑΡΟΧΕΤΕΥΣΕΙΣ
ΠΑΡΟΧΕΤΕΥΣΕΙΣ
ΠΕΡΙΚΑΡΔΙΑΚΗ ΣΥΛΛΟΓΗ
Αλκοόλη σε ΗΚΚ
ΧΟΛΟΚΥΣΤΟΣΤΟΜΙΕΣ
ΠΑΡΟΧΕΤΕΥΣΗ ΧΟΛΗΦΟΡΩΝ
Μέθοδοι τοποθέτησης:
.CT
.Υπερηχοτομογραφικά
.Ακτινοσκοπικά
.Συνδυασμοί
.Διεγχειρητικά
ΝΕΦΡΟΣΤΟΜΙΕΣ
Ενδείξεις
.Απόφραξη του αποχετευτικού συστήματος
εξαιτίας εσωτερικής ή εξωτερικής απόφραξης του
ουρητήρα λόγω:
.Λίθων
.Κακοήθειας
.Ιατρογενώς
.Πυονέφρωση ή επιμολυσμένη υδρονέφρωση:
.Gram (-)
.Ιατρικό επείγον
Πρόσβαση για άλλες επεμβάσεις του
ουροποιητικού:
.Αφαίρεση λίθων (50% σε εξειδικευμένα κέντρα)
.Τοποθέτηση ουρητηρικής ενδοπρόθεσης
Φαρμακευτική χορήγηση λυτικών ουσιών για:
.Λίθους νεφρού ή ουρητήρα
.Μυκήτωμα
Αφαίρεση ξένων σωμάτων
.Διαφυγή ουροποιητικού
.Ουρίνωμα
.Επικοινωνία ουροποιητικού
.Συρίγγιο
.Εκτροπή ούρων σε αιμορραγική κυστίτιδα
Πλεονεκτήματα διαδερμικής
νεφροστομίας:
.Μεγάλο εύρος καθετήρων (12F-14F)
.Πλύσεις
.Μέτρηση παροχής ούρων
.Τοπική αναισθησία
.Χρήση αγγειογραφικής //
χειρουργικής αίθουσας
Αντενδείξεις
.Βαριά διαταραχή πηκτικότητας, μη
ελεγχόμενη
.Ηπατική ανεπάρκεια
.Πολυοργανική ανεπάρκεια
Προετοιμασία Ασθενούς
.INR: <1,5
.PLT: >50.000/mm3 (100.000)
.Καλλιέργειες, Βιοχημικό προφίλ
.Επί ιστορικού αλλεργίας σε σκιαγραφικό:
-Μεθυλπρεδνιζολόνη (32mg, 12h + 2h pre,
per-os)
-Αντιισταμινικά (1h IV ή per-os)
Προετοιμασία Ασθενούς
Τοπική αναισθησία:
.1% Xylocaine (λιδοκαϊνη)
Καταστολή:
Επαναλαμβανόμενες δόσεις:
.25 – 50 mg Fentanyl
.0.5 – 1 mg μιδαζολάμη
Τεχνική
Επιλογή σημείου παρακέντησης:
Οπίσθιος κάλυκας:
Ζώνη Brodel
.Ελαχιστοποίηση αιμορραγίας
.Ευθεία γραμμή οδηγού σύρματος
– πυέλου:
.Διαστολές – τοποθέτηση καθετήρα
Πρόσθιος κάλυκας:
.Οξεία γωνία οδηγών – καθετήρα
.Σκιαγράφηση + επανάληψη
παρακέντησης
.Επιλογή σημείου παρακέντησης:
Υποπλεύρια:
.Ελαχιστοποίηση θωρακικών
επιπλοκών
.Μείωση πόνου
Μεσοπλεύρια:
.Αυξημένη πιθανότητα επιπλοκών
.Αυξημένος πόνος
Επιπλοκές
 Σηπτικό σοκ 1-3%
 Σηπτικό σοκ σε πυόνεφρο 7-9%
 Αιμορραγία (μετάγγιση) 1-4%
 Αγγειακή κάκωση (εμβολισμός – νεφρεκτομή) 0.1 – 1%
 Τρώση εντέρου 0.2%
 Θωρακικές επιπλοκές (πνευμο-, υδρο-, αιμο- θώρακας,
εμπύημα 0.1 – 0.2%
Stent Ουρητήρων
Stent JJ ή διπλό J Stent
 Στις Ηνωμένες Πολιτείες της Αμερικής, η υποειδικότητα αυτή έχει
πλέον διαχωριστεί πλήρως από την Ακτινοδιαγνωστική και
περιλαμβάνει ξεχωριστό τμήμα στην Ιατρική, έχοντας θέσει
διαφορετικές προϋποθέσεις για τη λήψη της ειδικότητας.
 Οι Επεμβατικοί Ακτινολόγοι είναι Ιατροί εξειδικευμένοι στην
Ακτινοδιαγνωστική, που κατά την διάρκεια ή και μετά την εκπαίδευση
τους, εξειδικεύτηκαν στις Επεμβατικές Ακτινολογικές τεχνικές. Το
σημαντικό πλεονέκτημα τους είναι ότι έχουν άριστη γνώση των
απεικονιστικών μεθόδων, οι οποίες τους καθοδηγούν στην εκτέλεση
των επεμβατικών πράξεων
Ακτινοσκοπικό (Ψηφιακό)
Ψηφιακός Αγγειογράφος
Be safely,
Be cool !!!
“ Όταν η επιστήμη συναντά την τέχνη ο πόνος
είναι λύτρωση”
Ασθενής που υπεβλήθη σε RFA πνεύμονα
Ευχαριστώ !!

Eπεμβατική Ακτινολογία

  • 1.
  • 2.
    Οι Επεμβατικοί Ακτινολόγοιείναι εξειδικευμένοι Ακτινολόγοι οι οποίοι χρησιμοποιούν τις ελάχιστα επεμβατικές μεθόδους. Έχουν ένα αξιοσημείωτο εύρος εκπαίδευσης και προσφέρουν συμβουλές σε όλες τις ειδικότητες της Ιατρικής. Οι επεμβατικές πράξεις, άλλες είναι καθοδηγούμενες υπό ακτίνες Χ , με μηχανήματα τελευταίας τεχνολογίας (Ψηφιακός Αγγειογράφος), άλλες είναι καθοδηγούμενες από υπερηχοτομογράφο ή από Αξονικό Τομογράφο . Σήμερα πολλές από τις παθήσεις που παλαιότερα απαιτούσαν ανοικτό χειρουργείο, μπορούν να θεραπευτούν χωρίς χειρουργείο από τους Επεμβατικούς Ακτινολόγους με λιγότερο ρίσκο, λιγότερο πόνο, λιγότερο χρόνο ανάρρωσης σε σύγκριση με το ανοικτό χειρουργείο. Για τους λόγους αυτούς στις Ηνωμένες Πολιτείες της Αμερικής -όχι άδικα- αποκαλείται : "η χειρουργική του μέλλοντος". Μοντέρνες, ελάχιστα επεμβατικές θεραπείες είναι διαθέσιμες για πολλές παθήσεις, ωστόσο ελάχιστοι ασθενείς γνωρίζουν για αυτές.Είναι σημαντικό για τους ασθενείς, να έχουν μια δεύτερη γνώμη και να ξέρουν όλες τις δυνατές επιλογές που τους προσφέρει η σύγχρονη Ιατρική πριν αποφασίσουν να οδηγηθούν σε οποιοδήποτε ανοικτό χειρουργείο. Από τον Απρίλιο του 2012 η Επεμβατική Ακτινολογία αναγνωρίζεται και στην Ελλάδα ως Κλινική υποειδικότητα της Ακτινολογίας (ΦΕΚ 1020 τεύχος Β από 3/4/2012). 36
  • 3.
    Η ιστορία τηςΕπεμβατικής Ακτινολογίας ξεκινά όταν ο Sven Ivar Seltinger το 1953 δημοσιεύει μια μέθοδο, για τον διαδερμικό αρτηριακό καθετηριασμό. Από τότε άνοιξε η πόρτα για τις αγγειογραφίες και γεννήθηκε η Επεμβατική Ακτινολογία.  1964: Η πρώτη αγγειοπλαστική  1966: Γίνεται ο πρώτος εμβολισμός όγκου  1967: Γίνεται η πρώτη εκλεκτική έκχυση φαρμάκων σε αιμορραγία του πεπτικού.  1970: Διαδερμική αφαίρεση λίθων από τον κοινό χοληδόχο πόρο.  1974: Θρομβόλυση, για την αντιμετώπιση αρτηριακής εμβολής.  1977-1983: Εφαρμόζεται ο χημειοεμβολισμός για την θεραπεία όγκων του ήπατος.  1980: Εμφανίζονται τα πρώτα stent χοληφόρων.  1981: Εμβολισμός για αντιμετώπιση τραύματος στον σπλήνα.  1982: Πρώτη εφαρμογή του TIPS ( διασφαγιτιδική, διαηπατική πυλαιοσυστηματική αναστόμωση).  1983: Εμφάνιση των αυτοεκτεινόμενων stent.  1984: Πρώτη Σπονδυλοπλαστική  1990: Θερμοκαυτηρίαση όγκων ήπατος.  1991: Τοποθέτηση stent grafts σε ανεύρυσμα κοιλιακής αορτής.  1994: Εκτεινόμενα με μπαλόνι stent καρωτίδων Σήμερα υπάρχει μια πληθώρα υλικών τα οποία χρησιμοποιούνται από τους Επεμβατικούς Ακτινολόγους, ενώ ακόμη εξελίσσονται διάφορες τεχνικές για ακόμη καλύτερα αποτελέσματα με στόχο πάντα την’’ελάχιστη επεμβατική θεραπεία’’.
  • 4.
    ΕΠΕΜΒΑΤΙΚΗ ΑΚΤΙΝΟΛΟΓΙΑ ΑΓΓΕΙΑΚΗ ΜΗΑΓΓΕΙΑΚΗ ΘΕΡΑΠΕΥΤΙΚΗ ΔΙΑΓΝΩΣΤΙΚΗ Επεμβατική Καρδιολογία, Επεμβατική Νευροακτινολογία, Επεμβατικής Αγγειοακτινολογίας Kοιλιακά όργανα ,πεπτικός σωλήνας, κοιλιακή και θωρακική κοιλότητα, Ουροποιο-γεννητικό σύστημα, Μυοσκελετικό σύστημα και Μαστός
  • 5.
     Διαγνωστική Αγγειογραφία Διαδερμική Αγγειοπλαστική  Διαδερμική Ενδοαυλική Θρομβόλυση  Διαδερμική Απεικόνιση και Αποκατάσταση Βλαβών Φίστουλας Αιμοκάθαρσης  Διαδερμική Ενδοαυλική Αιμοληψία Ενδοκρινών Οργάνων  Διαδερμικός Εμβολισμός Αιμορραγίας(σε βάση επείγοντως)  Διαδερμικός Εμβολισμός Κακοήθων Όγκων  Διαδερμικός Εμβολισμός Ανευρυσμάτων Εγκεφάλου  Διαδερμικός Εμβολισμός Αρτηριοφλεβωδών Δυσπλασιών Εγκεφάλου και Σπονδυλικής Στήλης  Διαδερμικός Χημειοεμβολισμός Ηπατωμάτων  Διαδερμικός Εμβολισμός Ινομυωμάτων Μήτρας  Διαδερμική Τοποθέτηση Καθετήρων Χορήγησης Χημειοθεραπείας Hickman  Διαδερμική Ενδοαυλική Εκλεκτική Χημειοθεραπεία Όγκων  Τοποθέτηση Φίλτρων Κάτω Κοίλης Φλέβας  Aκτινολογικά καθοδηγούμενη Tοποθέτηση Eνδοαυλικών Aγγειακών Διχαλωτών μοσχευμάτων στην Κοιλιακή Αορτή και τις Λαγόνιες Αρτηρίες (Stent-Graft) ΑΓΓΕΙΑΚΕΣ ΕΠΕΜΒΑΤΙΚΕΣ ΠΡΑΞΕΙΣ
  • 6.
     Διαδερμική ΒιοψίαΉπατος  Διαδερμική Διηπατική Χολαγγειογραφία  Διηπατική Παροχέτευση Χοληφόρων  Διαδερμική Διηπατική Λιθοτριψία Χολολίθων  Διαδερμική Διασφαγιτιδική Ενδοηπατική Πυλαιοσυστηματική Αναστόμωση (TIPS) ΜΗ ΑΓΓΕΙΑΚΕΣ ΕΠΕΜΒΑΤΙΚΕΣ ΠΡΑΞΕΙΣ ΗΠΑΤΟΣ-ΧΟΛΗΦΟΡΩΝ
  • 7.
     Μαστογραφικά κατευθυνόμενοςπροεγχειρητικός εντοπισμός μάζας(Hook)  Υπερηχοτομογραφική βιοψία μάζας μαστού με λεπτή βελόνη  Στερεοτακτική βιοψία μαστού με πιστόλι βιοψίας(B.L.E.S)  Υπερηχοτομογραφική βιοψία μάζας μαστού με πιστόλι βιοψίας  Στερεοτακτική βιοψία μαστού με Μαμμοτόμο  Υπερηχοτομογραφική βιοψία μάζας μαστού με Μαμμοτόμο  Υπερηχοτομογραφική βιοψία όζου θυρεοειδους με λεπτή βελόνη ΜΗ ΑΓΓΕΙΑΚΕΣ ΕΠΕΜΒΑΤΙΚΕΣ ΠΡΑΞΕΙΣ ΜΑΣΤΩΝ –ΟΖΩΝ ΘΥΡ.
  • 8.
     Διαδερμικές Παροχετεύσεις(ασκιτικές –υπεζοκωτικες συλλογές , αποστήματα)  Διαδερμική βιοψία νεφρού  Διορθική βιοψία προστάτη  Διαδερμική Βιοψία Οστού  Διαδερμική Βιοψίας Μαζών Πνεύμονος  Διαδερμική Βιοψία Κοιλιακών Μαζών  Διαδερμική Παροχέτευση Συλλογής  Διαδερμική νεφροστομία  Διαδερμική Γαστροστομία  Διαδερμική Σπονδυλοπλαστική  Διαδερμική Νευρόλυση του Κοιλιακού Πλέγματος  Τοποθέτηση μεταλλικών ναρθήκων (stent) Οισοφάγου  Τοποθέτηση μεταλλικών ναρθήκων (stent) Παχέος Εντέρου  Τοποθέτηση μεταλλικών ναρθήκων (stent) Τραχείας  Διαδερμικός Καυτηριασμός Όγκων με Ραδιοσυχνότητες(RFA)  Ενδοαυλική διάνοιξη αποφραγμένων Σαλπίγγων ΛΟΙΠΕΣ ΜΗ ΑΓΓΕΙΑΚΕΣ ΕΠΕΜΒΑΤΙΚΕΣ ΠΡΑΞΕΙΣ
  • 9.
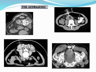
    ΕΝΔΕΙΞΕΙΣ  Διάχυτες αλλοιώσεις Εστιακές αλλοιώσεις (Ταυτοποίηση βλάβης ιδίως σε άτυπη απεικόνιση & σε προϋπάρχουσα κακοήθεια). ΒΙΟΨΙΕΣ (FNB , FNA)
  • 10.
     Αιμορραγική διάθεση. INR>1,5 Aιμοπετάλια <50x109/L  Μη συνεργάσιμος ασθενής.  Απουσία ασφαλούς παραθύρου για προσπέλαση (π.χ πυλαία, ΚΚΦ, μεγάλο αγγείο). ΑΝΤΕΝΔΕΙΞΕΙΣ
  • 11.
     Ενημέρωση ασθενούς!!!  Αιμορραγικός έλεγχος  +/-Χορήγηση αναλγητικών και ηρεμιστικών 1-2 ώρες πριν ΠΡΟΕΤΟΙΜΑΣΙΑ
  • 12.
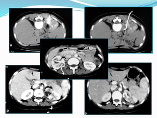
    FNA: βελόνες (κυτταρολογική) Λεπτές:(20-23g) Ευρείες: (16-19g) CNB: ιστοτεμάχια ασφαλέστερη διάγνωση (18-20g)  Οι περισσότερες βιοψίες καλό θα είναι να γίνονται με λήψη ιστοτεμαχίων. Έτσι έχουμε ακριβέστερη διάγνωση ιδίως όταν η βλάβη αφορά καλοήθεια ή λέμφωμα, χωρίς να αυξάνεται το ποσοστό επιπλοκών. ΥΛΙΚΑ
  • 13.
  • 14.
    A. ΕΠΙΤΥΧΗΜΕΝΗ ΛΗΨΗ ΥΛΙΚΟY B.ΕΠΕΞΕΡΓΑΣΙΑ ΚΑΙ ΕΞΕΤΑΣΗ ΤΟΥ ΥΛΙΚΟΥ ΔΥΟ ΦΑΣΕΙΣ
  • 15.
  • 16.
  • 17.
  • 18.
  • 19.
  • 20.
    Αντιδράσεις από ερεθισμότου πνευμονογαστρικού Αντιδράσεις απο lidocaine hydrochloride, xylocaine Υποκάψιο αιμάτωμα Ενδοπαρεγχυματική αιμμοραγία Βλάβη στα παρακείμενα όργανα(χοληδόχος κύστη,ΚΧΠ, αγγεία,πνεύμονας ,έντερο). Εμφύτευση όγκου < 1% Θνητότητα < 0,1% ΕΠΙΠΛΟΚΕΣ
  • 21.
  • 22.
  • 23.
  • 24.
  • 25.
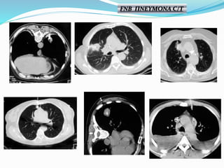
    Πνευμοθώρακας 11% Αιμορραγία 5% Αντίδρασηαπό το πνευμονογαστρικό <1% Τρώση μεσολοβίου < 1% Θάνατος ~ 0,02% Μετάσταση στην πορεία της βελόνης ~ 0,012% ΕΠΙΠΛΟΚΕΣ
  • 26.
    • Πνευμοθώρακας 20,5% •Τοποθέτηση παροχέτευσης 3,1 % • Αιμόπτυση 5,3 % • Θάνατος 0,15 % Θεωρούμενα επιτρεπτά ποσοστά επιπλοκών
  • 27.
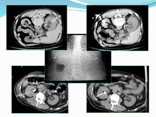
    CNB • 95% διαγνωστικήακρίβεια • 93% ευαισθησία • 98% ειδικότητα • 6% αρνητική προγνωστική αξία • 99% θετική προγνωστική αξία • 0,7% ψ. θετικά • 15% ψ. αρνητικά
  • 28.
    Αποδεκτά αποτελέσματα  Ψευδώςθετικά <1%  Επάρκεια δειγμάτων >90% των περιπτώσεων  Ευαισθησία σε κακοήθεις βλάβες >2εκ: 85-90%
  • 29.
  • 30.
  • 31.
  • 32.
    ΕΥΑΙΣΘΗΣΙΑ ΤΗΣ ΜΕΘΟΔΟΥ Οστεομυελίτιδες καλλιέργεια - 52% ιστολογική+καλλιέργεια - 88,9%  Νεοεξεργασίες - 94%
  • 33.
  • 34.
  • 35.
  • 36.
  • 37.
  • 38.
  • 39.
  • 40.
  • 41.
  • 42.
    Μέθοδοι τοποθέτησης: .CT .Υπερηχοτομογραφικά .Ακτινοσκοπικά .Συνδυασμοί .Διεγχειρητικά ΝΕΦΡΟΣΤΟΜΙΕΣ Ενδείξεις .Απόφραξη τουαποχετευτικού συστήματος εξαιτίας εσωτερικής ή εξωτερικής απόφραξης του ουρητήρα λόγω: .Λίθων .Κακοήθειας .Ιατρογενώς .Πυονέφρωση ή επιμολυσμένη υδρονέφρωση: .Gram (-) .Ιατρικό επείγον Πρόσβαση για άλλες επεμβάσεις του ουροποιητικού: .Αφαίρεση λίθων (50% σε εξειδικευμένα κέντρα) .Τοποθέτηση ουρητηρικής ενδοπρόθεσης Φαρμακευτική χορήγηση λυτικών ουσιών για: .Λίθους νεφρού ή ουρητήρα .Μυκήτωμα Αφαίρεση ξένων σωμάτων .Διαφυγή ουροποιητικού .Ουρίνωμα .Επικοινωνία ουροποιητικού .Συρίγγιο .Εκτροπή ούρων σε αιμορραγική κυστίτιδα
  • 43.
    Πλεονεκτήματα διαδερμικής νεφροστομίας: .Μεγάλο εύροςκαθετήρων (12F-14F) .Πλύσεις .Μέτρηση παροχής ούρων .Τοπική αναισθησία .Χρήση αγγειογραφικής // χειρουργικής αίθουσας Αντενδείξεις .Βαριά διαταραχή πηκτικότητας, μη ελεγχόμενη .Ηπατική ανεπάρκεια .Πολυοργανική ανεπάρκεια Προετοιμασία Ασθενούς .INR: <1,5 .PLT: >50.000/mm3 (100.000) .Καλλιέργειες, Βιοχημικό προφίλ .Επί ιστορικού αλλεργίας σε σκιαγραφικό: -Μεθυλπρεδνιζολόνη (32mg, 12h + 2h pre, per-os) -Αντιισταμινικά (1h IV ή per-os)
  • 44.
    Προετοιμασία Ασθενούς Τοπική αναισθησία: .1%Xylocaine (λιδοκαϊνη) Καταστολή: Επαναλαμβανόμενες δόσεις: .25 – 50 mg Fentanyl .0.5 – 1 mg μιδαζολάμη Τεχνική Επιλογή σημείου παρακέντησης: Οπίσθιος κάλυκας: Ζώνη Brodel .Ελαχιστοποίηση αιμορραγίας .Ευθεία γραμμή οδηγού σύρματος – πυέλου: .Διαστολές – τοποθέτηση καθετήρα Πρόσθιος κάλυκας: .Οξεία γωνία οδηγών – καθετήρα .Σκιαγράφηση + επανάληψη παρακέντησης .Επιλογή σημείου παρακέντησης: Υποπλεύρια: .Ελαχιστοποίηση θωρακικών επιπλοκών .Μείωση πόνου Μεσοπλεύρια: .Αυξημένη πιθανότητα επιπλοκών .Αυξημένος πόνος
  • 50.
    Επιπλοκές  Σηπτικό σοκ1-3%  Σηπτικό σοκ σε πυόνεφρο 7-9%  Αιμορραγία (μετάγγιση) 1-4%  Αγγειακή κάκωση (εμβολισμός – νεφρεκτομή) 0.1 – 1%  Τρώση εντέρου 0.2%  Θωρακικές επιπλοκές (πνευμο-, υδρο-, αιμο- θώρακας, εμπύημα 0.1 – 0.2%
  • 51.
    Stent Ουρητήρων Stent JJή διπλό J Stent
  • 52.
     Στις ΗνωμένεςΠολιτείες της Αμερικής, η υποειδικότητα αυτή έχει πλέον διαχωριστεί πλήρως από την Ακτινοδιαγνωστική και περιλαμβάνει ξεχωριστό τμήμα στην Ιατρική, έχοντας θέσει διαφορετικές προϋποθέσεις για τη λήψη της ειδικότητας.  Οι Επεμβατικοί Ακτινολόγοι είναι Ιατροί εξειδικευμένοι στην Ακτινοδιαγνωστική, που κατά την διάρκεια ή και μετά την εκπαίδευση τους, εξειδικεύτηκαν στις Επεμβατικές Ακτινολογικές τεχνικές. Το σημαντικό πλεονέκτημα τους είναι ότι έχουν άριστη γνώση των απεικονιστικών μεθόδων, οι οποίες τους καθοδηγούν στην εκτέλεση των επεμβατικών πράξεων
  • 53.
  • 54.
  • 55.
    “ Όταν ηεπιστήμη συναντά την τέχνη ο πόνος είναι λύτρωση” Ασθενής που υπεβλήθη σε RFA πνεύμονα Ευχαριστώ !!