Dr.Tinet Mary Augustine. BDS,MDS
Pediatric Dentist
Dr.Tinet’s Pedorayz, Pediatric And Early Age Orthodontic
Dental Clinic
TRAUMATIC INJURIES TO
THE PERMANENT DENTITION
-CROWN FRACTURE
DR.TINET MARY AUGUSTINE.BDS.MDS 1
Introduction
DR.TINET MARY AUGUSTINE.BDS.MDS 2
CONTENTS
 Introduction
 Etiology
 Incidence
 Predisposing factors
 Mechanism of dental injury
 Wound healing and treatment principles
 History and clinical examination
 Classification of TDI
DR.TINET MARY AUGUSTINE.BDS.MDS 3
•Traumatic injuries of the primary dentition
•Traumatic injuries of the permanent dentition
•Crown fractures
•Crown Root fractures
•Root Fractures
•Luxation injuries
•Avulsion
•Soft Tissue Injuries
•Injuries to the Supporting Bone
•Prevention Of Dental Injuries
•Summary and ConclusionDR.TINET MARY AUGUSTINE.BDS.MDS 4
Incidence of dental trauma due to automobile accidents and violent sports
has increased significantly during the last decade causing anterior teeth of
children and teenagers to be commonly affected.
 Mean prevalence of dental and oral injuries is between 14% and 27%.
Quality and timeliness of initial care contribute to a desirable
outcome by promoting healing.
DR.TINET MARY AUGUSTINE.BDS.MDS 5
Incidence of dental trauma will overtake the incidence of caries and
periodontal disease in children and teenagers. (Andreasen 1993)
DR.TINET MARY AUGUSTINE.BDS.MDS 6
Etiology
 Unintentional TDI
 Intentional TDI (self harm and violence)
 Iatrogenic injuries
DR.TINET MARY AUGUSTINE.BDS.MDS 7
Etiology
 Falls & Collisions
 Sports
DR.TINET MARY AUGUSTINE.BDS.MDS 8
•Automobile Injuries
•Assaults
•Mental Retardation
•Epilepsy
DR.TINET MARY AUGUSTINE.BDS.MDS 9
Mechanism of dental injuries
Direct Trauma
DR.TINET MARY AUGUSTINE.BDS.MDS 10
Indirect Trauma
DR.TINET MARY AUGUSTINE.BDS.MDS 11
HALLETS FACTORS
INFLUENCING
TRAUMA:
 Energy of Impact
 Resilience of impacting object
 Shape of impacting object
 Direction of Impacting force.
DR.TINET MARY AUGUSTINE.BDS.MDS 12
PREVALENCE IN PRIMARY DENTITION (at 5
years )
 Boys (31-40%)
 Girls (16-30%)
Andreasen 1972DR.TINET MARY AUGUSTINE.BDS.MDS 13
PREVALENCE IN PERMANENT DENTITION
( 12 Years)
Boys (12-33%)
Girls (4-19%)
Andreasen 1972DR.TINET MARY AUGUSTINE.BDS.MDS 14
WOUND HEALING SUBSEQUENT TO INJURY
 Wound healing is a reaction of any multicellular organism
on tisssue damage in order to restore the continuity and
function of the tissue or organ.
DR.TINET MARY AUGUSTINE.BDS.MDS 15
The sequence of events after wounding is:
 Control of bleeding
 Establishing a line of defense against infection
 Cleansing the wound site of necrotic tissue elements, bacteria
or foreign bodies
 Closing the wound gap with newly formed connective tissue
and epithelium
 Modifying the primary wound tissue to a more functionally
suitable tissue.
DR.TINET MARY AUGUSTINE.BDS.MDS 16
Traumatic dental injury represents acute transmission of
energy to the tooth and supporting structures
Tooth Supporting tissue
Fracture Displacement Separation Crushing
DR.TINET MARY AUGUSTINE.BDS.MDS 17
Separation Crushing
-extrusive luxation
-Cleavage of intercellular structures
-Limited damage to cells
-Wound healing by the existing
cellular system with minimum delay.
-Intrusive luxation
-extensive damage to cellular & intercellular
system
-wound healing by removal of damaged tissue
by macrophages & osteoclasts before
restoration of traumatized tissue
-delayed healing (splinting period)
DR.TINET MARY AUGUSTINE.BDS.MDS 18
Possible Consequences of Dental Trauma
 Pulpal hyperemia
 May lead to infarction and necrosis
DR.TINET MARY AUGUSTINE.BDS.MDS 19
Internal Hemorrhage
 Capillary rupture due to increased pressure
 Within 2-3 weeks
DR.TINET MARY AUGUSTINE.BDS.MDS 20
Internal Resorption
 Due to osteoclastic action
 "Pink spot" perforation may occur
DR.TINET MARY AUGUSTINE.BDS.MDS 21
Calcific Metamorphosis
DR.TINET MARY AUGUSTINE.BDS.MDS 22
Peripheral Root Resorption
 Due to damage of peridontal structures
 Usually in severe injuries with displacement of the tooth
DR.TINET MARY AUGUSTINE.BDS.MDS 23
Ankylosis
 PDL injury > inflammation > osteoclastic activity > fusion
between bone and root surface
DR.TINET MARY AUGUSTINE.BDS.MDS 24
Examination of the traumatized patients
How did the injury occur?
Where did the injury occur?
When did the injury occur?
Has there been previous injury to the teeth?
Has there been any treatment before?
Is there any reaction in the teeth to cold and/or heat?
Is there any disturbance in the bite?
DR.TINET MARY AUGUSTINE.BDS.MDS 25
Clinical examination
 Chief complaint
 External examination
 Intraoral soft tissue examination
 Examination of hard tissue
 Mobility testing
 Percussion testing
 Thermal and Electrometric testing
DR.TINET MARY AUGUSTINE.BDS.MDS 26
Soft Tissue Injuries
 Examine lacerations and contusions of the face, lips, and
gingivae
 Remove any tooth fragments or debris embedded in the
tissue
 Gently cleanse the area to aid in visual examination
(topical anesthetic, soaked gauze sponges)
 Develop treatment plan
DR.TINET MARY AUGUSTINE.BDS.MDS 27
Hard Tissue Injuries
 Examine teeth and alveolar process
 Note extent of crown fracture, if any
 Check for displaced or avulsed teeth
 Note amount of mobility
 Check for pulp exposures
 Examine adjacent/opposing teeth for injury
DR.TINET MARY AUGUSTINE.BDS.MDS 28
Radiographic Examination
 Radiographs of the injured tooth, adjacent teeth, and
opposing teeth
 Evaluate proximity of fracture to pulp
 Estimate root development
 Look for root and alveolar fractures
 Note any periapical pathology
DR.TINET MARY AUGUSTINE.BDS.MDS 29
Overcoming the disadvantages of conventional
radiography
DR.TINET MARY AUGUSTINE.BDS.MDS 30
Other Diagnostic Tests
 Wait at least 2 weeks
 Electrical and thermal tests may be unreliable in primary
teeth
DR.TINET MARY AUGUSTINE.BDS.MDS 31
Classification
 Classification of Anterior teeth trauma by Sweets (1955)
 Ellis & Davey’s classification (1970)
 Modified Ellis classification
 Andreasen classification( 1981)
 Heithersay and Morile (1982)
 Garcia Godoys classification (1984)
 WHO International Classification of Diseases (1992)
 WHO classification (1993)
DR.TINET MARY AUGUSTINE.BDS.MDS 32
CLASS 1 FRACTURE OF CROWN EXPOSING NO DENTIN
CLASS 2 FRACTURE OF CROWN EXPOSING LITTLE DENTIN
CLASS 3 EXTENSIVE FRACTURE OF CROWN INVOLVING MORE DENTIN BUT NO PULP
EXPOSURE
CLASS 4 EXTENSIVE FRACTURE OF CROWN EXPOSING PULP
CLASS 5 COMPLETE FRACTURE OF CROWN EXPOSING PULP
CLASSS 6 FRACTURE OF ROOT WITH OR WITHOUT LOSS OF CROWN STRUCTURE
CLASSS 7 TOOTH LOSS AS A RESULT OF TRAUMA
Classification of Anterior teeth trauma by
Sweets (1955)
DR.TINET MARY AUGUSTINE.BDS.MDS 33
 DISADVANTAGE:
 No stress on injuries to supporting structures soft tissues and
bone.
 Indicates more towards permanent teeth than primary
teeth
DR.TINET MARY AUGUSTINE.BDS.MDS 34
Ellis and Davey’s classification (1960)
Class I -Fracture involving enamel
Class II -Fracture involving enamel & dentin
Class III -Fracture involving enamel,dentin & pulp
Class IV -Teeth that lost their vitality with or without
loss of crown
Class V -Traumatically avulsed tooth
Class VI -Fracture of the root with or without crown fracture
Class VII -Displacement of the tooth without crown/root fracture
Class VIII -Cervical crown fracture
Class IX -Fracture of deciduous teeth
DR.TINET MARY AUGUSTINE.BDS.MDS 35
DR.TINET MARY AUGUSTINE.BDS.MDS 36
Modified Ellis classification
[By McDonald, Avery and Lynch(1983)]
Class I - Simple fracture of crown , involving little or no dentin
Class II - Extensive fracture of the crown involving considerable dentin but
not the dental pulp
Class III - - Extensive fracture of the crown involving considerable dentin and
exposing the pulp
Class IV - loss of the entire crown
DR.TINET MARY AUGUSTINE.BDS.MDS 37
 Andreasen classification( 1981)
Injuries to teeth
 Crown infraction and uncomplicated fracture without
involvement of dentin
 Uncomplicated crown fracture with involvement of
dentin
 Complicated crown fracture
 Uncomplicated crown root fracture
 Complicated crown root fracture
 Root fracture
DR.TINET MARY AUGUSTINE.BDS.MDS 38
 Injuries to periodontal tissues
Concussion
Subluxation
Intrusive luxation
Extrusive luxation
lateral luxation
Exarticulation
DR.TINET MARY AUGUSTINE.BDS.MDS 39
Injuries To Supporting Bone
 Comminution of mandibular or maxillary alveolar socket.
 Fracture of maxillary or mandibular socket wall.
 Fracture of maxillary or mandibular alveolar process
DR.TINET MARY AUGUSTINE.BDS.MDS 40
Injury to gingiva or oral mucosa
 Laceration of gingiva or oral mucosa
 Contusion
 Abrasion
DR.TINET MARY AUGUSTINE.BDS.MDS 41
Heithersay and Morile (1982)
Classification of subgingival fractures based on level of teeth fracture in relation to various horizontal planes
of the periodontium
Class I : fracture line does not extend below the level of
attatched gingiva
Class II : fracture line extends below the level of attatched
gingiva but not below the level of the alveolar crest
Class III : fracture line extends below the level of alveolar crest
Class IV : fracture line is within the coronal
third of the root but below the level of
alveolar crest
DR.TINET MARY AUGUSTINE.BDS.MDS 42
 Garcia Godoys classification (1984)
Class 0 – enamel crack
Class 1 – enamel fracture
Class 2 – enamel- dentin fracture without pulp exposure
Class 3 – enamel-dentin fracture with pulp exposure
Class 4 – enamel-dentin-cementum fracture without pulp
exposure
Class 5 – enamel-dentin-cementum fracture with pulp
exposure
Class 6 – root fracture
Class 7 – concussion
Class 8 – luxation ( loosening )
Class 9 – lateral displacement
Class 10 – intrusion
Class 11 – extrusion
Class 12 – avulsion
DR.TINET MARY AUGUSTINE.BDS.MDS 43
Type of injuries Code
Enamel infarction N 502.50
Enamel fracture N 502.50
Enamel- dentin fracture
(uncomplicated crown fracture)
N 502.51
Complicated crown fracture N 502.52
Root fracture N 502.53
Uncomplicated Crown- root fracture N 502.54
Complicated Crown- root fracture N 502.54
WHO International Classification of Diseases (1992)
A. INJURIES TO HARD DENTAL TISSUES AND PULP
DR.TINET MARY AUGUSTINE.BDS.MDS 44
 Concussion
 Subluxation
 Extrusive luxation
 Lateral luxation
 Intrusive luxation
 Avulsion
 N 503.20
 N 503.20
 N 503.20
 N 503.20
 N 503.21
 N 503.22
B. INJURIES TO THE PERIODONTAL TISSUES
DR.TINET MARY AUGUSTINE.BDS.MDS 45
 Communition of mandibular alveolar
socket
 Communition of maxillary alveolar
socket
 Fracture of mandibular alveolar socket
wall
 Fracture of maxillary alveolar socket
wall
 Fracture of mandible
 Fracture of maxilla
 N 502.60
 N 502.40
 N 502.60
 N 502.40
 N 502.61
 N 502.42
C. INJURIES TO THE SUPPORTING BONE
DR.TINET MARY AUGUSTINE.BDS.MDS 46
 Laceration
 Contusion
 Abrasion
 S 01.50
 S 00.50
 S 00.50
D. INJURIES TO THE GINGIVA OR ORAL MUCOSA
DR.TINET MARY AUGUSTINE.BDS.MDS 47
WHO (1993)
873.60 873.61 873.62 873.63
873.64 873.66 873.67 873.68DR.TINET MARY AUGUSTINE.BDS.MDS 48
873.69 – soft tissue injuries
WHO
DR.TINET MARY AUGUSTINE.BDS.MDS 49
 Andreasen modification of WHO classification
873.64 – complicated and uncomplicated
crown root fracture
873.66 – concussion
Subluxation
Luxation injuries with alveolar
fractures
DR.TINET MARY AUGUSTINE.BDS.MDS 50
 History
 Diagnosis
 Treatment protocol
EXAMINATION AND DIAGNOSIS
DR.TINET MARY AUGUSTINE.BDS.MDS 51
 Patient’s name,age,sex,address and telephone number:
 When did the injury occur
 Where did the injury occur:
 How did injury occur:
 Treatment elsewhere:
 History of previous dental injuries:
 General health:
 Did the trauma cause drowsiness, vomiting or headache:
 Is there spontaneous pain from the teeth:
History
DR.TINET MARY AUGUSTINE.BDS.MDS 52
 Are the teeth tender to touch or during eating:
 Is there any disturbance in the bite:
 Recording of extraoral wounds and palpation of the facial
skeleton:
 Recording of injuries to oral mucosa or gingival injuries:
 Examination of crowns ofteeth:
 Recording of displacement of teeth:
 Disturbances in occlusion:
 Tenderness of teeth to percussion and change in percussion
tone:
 Reaction of teeth to pulpal testing:
DR.TINET MARY AUGUSTINE.BDS.MDS 53
Overview of the
management of the
traumatized teeth
(Anderson Classification)
DR.TINET MARY AUGUSTINE.BDS.MDS 54
INFRACTION
DR.TINET MARY AUGUSTINE.BDS.MDS 55
ENAMEL FRACTURE
DR.TINET MARY AUGUSTINE.BDS.MDS 56
ENAMEL DENTIN FRACTURE
DR.TINET MARY AUGUSTINE.BDS.MDS 57
ENAMEL DENTIN PULP FRACTURE
DR.TINET MARY AUGUSTINE.BDS.MDS 58
CROWN ROOT FRACTURE WITHOUT PULP
EXPOSURE
DR.TINET MARY AUGUSTINE.BDS.MDS 59
CROWN ROOT FRACTURE WITH PULP
EXPOSURE
DR.TINET MARY AUGUSTINE.BDS.MDS 60
DR.TINET MARY AUGUSTINE.BDS.MDS 61
ROOT FRACTURE
DR.TINET MARY AUGUSTINE.BDS.MDS 62
ALVEOLAR FRACTURE
DR.TINET MARY AUGUSTINE.BDS.MDS 63
CONCUSSION AND SUBLUXATION
DR.TINET MARY AUGUSTINE.BDS.MDS 64
EXTRUSIVE LUXATION
DR.TINET MARY AUGUSTINE.BDS.MDS 65
LATERAL LUXATION
DR.TINET MARY AUGUSTINE.BDS.MDS 66
INTRUSIVE LUXATION
DR.TINET MARY AUGUSTINE.BDS.MDS 67
AVULSION
DR.TINET MARY AUGUSTINE.BDS.MDS 68
DR.TINET MARY AUGUSTINE.BDS.MDS 69
DENTAL TRAUMATOLOGY
CROWN FRACTURE
DR.TINET MARY AUGUSTINE.BDS.MDS 70
INTRODUCTION
DR.TINET MARY AUGUSTINE.BDS.MDS 71
INFRACTION
DR.TINET MARY AUGUSTINE.BDS.MDS 72
ENAMEL FRACTURE
DR.TINET MARY AUGUSTINE.BDS.MDS 73
 LUNDY AND STANLEY (1969):Speed of bacterial
penetration into prepared dentin left exposed to saliva
and plaque formation in vivo was found to be 0.03–
0.36mm 6–11 days after preparation and 0.52mm after
approximately 84 days.
INVOLVING DENTIN
DR.TINET MARY AUGUSTINE.BDS.MDS 74
INFLUENCE OF PRIMARY TOOTH FRACTURE
DR.TINET MARY AUGUSTINE.BDS.MDS 75
Management
DR.TINET MARY AUGUSTINE.BDS.MDS 76
Reattachment of fragments
DR.TINET MARY AUGUSTINE.BDS.MDS 77
DR.TINET MARY AUGUSTINE.BDS.MDS 78
DR.TINET MARY AUGUSTINE.BDS.MDS 79
DR.TINET MARY AUGUSTINE.BDS.MDS 80
DR.TINET MARY AUGUSTINE.BDS.MDS 81
DR.TINET MARY AUGUSTINE.BDS.MDS 82
DR.TINET MARY AUGUSTINE.BDS.MDS 83
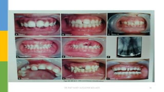
COMPLICATED CROWN
FRACTURE(Ellis fracture Class III)
DR.TINET MARY AUGUSTINE.BDS.MDS 84
Incidence
 Complicated crown fractures occur in 0.9% to 13% of all dental injuries.
DR.TINET MARY AUGUSTINE.BDS.MDS 85
Clinical Examination
 Inspection and exploration of the tooth.
 Inspection - show the size of the pulp exposure, the presence or absence of
hemorrhage, and the amount of crown structure remaining.
 The degree of pulp involvement varies from a pinpoint exposure to a total
unroofing of the coronal pulp
 Experience of pain
DR.TINET MARY AUGUSTINE.BDS.MDS 86
Radiographic examination
A. The state of apical development
B. The state of the apical and periapical zones.
C. Presence of radicular fracture
DR.TINET MARY AUGUSTINE.BDS.MDS 87
Biologic Consequences
• If left untreated - results in pulp necrosis.
• First reaction after the injury is hemorrhage and local inflammation .
• In the first 24 hours after the injury, a proliferative response with
inflammation extending not more than 2 mm into the pulp will be present
• In time, the bacterial challenge results in local pulpal necrosis and a slow
apical progression of the pulpal inflammation
DR.TINET MARY AUGUSTINE.BDS.MDS 88
DR.TINET MARY AUGUSTINE.BDS.MDS 89
DR.TINET MARY AUGUSTINE.BDS.MDS 90
MANAGEMENT
The patient’s clinical history brings out factors that influence the treatment plan.
• Time elapsed between the time of injury and the time the patient is seen in the operatory.
• Size of the pulp exposure.
• Size of the remaining crown
• Stage of development of the tooth - maturity of the tooth,
• Concomitant luxation injury,
• Age of the patient as well as the effect of surgical procedures and choice of wound dressing
DR.TINET MARY AUGUSTINE.BDS.MDS 91
Time Between Trauma and Treatment
• For 48 hours after a traumatic injury, the initial reaction of the pulp is proliferative, with no
more than a 2-mm depth of pulpal inflammation.
• After 48 hours, chances of direct bacterial contamination of the pulp increase,
DR.TINET MARY AUGUSTINE.BDS.MDS 92
Stage of Development of the Tooth
• Loss of vitality in an immature tooth can have catastrophic consequences
• Pulpectomy in a mature tooth has an extremely high success rate
DR.TINET MARY AUGUSTINE.BDS.MDS 93
Concomitant Attachment Damage
• A concomitant luxation injury compromises the nutritional supply to the pulp &
contraindicates conservative treatment.
• In immature luxated teeth the chance of pulp survival is considerable and conservative
treatment may allow further root development.
DR.TINET MARY AUGUSTINE.BDS.MDS 94
• Vital pulp therapy - pulp capping, partial pulpotomy, or full pulpotomy
• Non vital pulp therapy- Pulpectomy.
• The choice of treatment depends on the stage of development of the tooth,
the time between trauma and treatment, concomitant periodontal injury,
and the restorative treatment plan.
TREATMENT
DR.TINET MARY AUGUSTINE.BDS.MDS 95
Vital Pulp Therapy: Requirements for Success
• Treatment of a non inflamed pulp.
Vital pulp therapy of the inflamed pulp yields an inferior success rate, so
the optimal time for treatment is in the first 24 hours when pulp inflammation is
superficial.
DR.TINET MARY AUGUSTINE.BDS.MDS 96
Bacteria-tight seal
If the exposed pulp is effectively sealed from bacterial leakage, successful healing of
the pulp with a hard tissue barrier will occur independent of the dressing placed on
the pulp and after more extended time periods between accident and treatment.
DR.TINET MARY AUGUSTINE.BDS.MDS 97
 The effect of age is controversial as degenerative changes in the pulp increase with
age.
 Capping or pulpotomy, should not be performed if degenerative or inflammatory
changes are anticipated, such as in teeth with reduced pulpal lumen due to trauma. So
removal of the pulp could be a more successful procedure
 Surgical procedures invariably cause further injury to the remaining pulp and should
be kept to a minimum.
DR.TINET MARY AUGUSTINE.BDS.MDS 98
Pulp Capping
• Pulp capping implies placing the dressing directly on the pulp
exposure without any removal of the soft tissue
TREATMENT METHODS
DR.TINET MARY AUGUSTINE.BDS.MDS 99
• When a small exposure can be treated shortly after injury within 24 hours..
INDICATION
DR.TINET MARY AUGUSTINE.BDS.MDS 100
• The fracture surface and pulpal wound are washed with saline.
• When bleeding has ceased, the exposed pulp is covered with a soft-or a hard-setting
calcium hydroxide compound.
• The exposed dentin - protected with glass ionomer cement
• If the definitive restoration of the crown must be postponed, a temporary crown
restoration should be placed
PROCEDURE
DR.TINET MARY AUGUSTINE.BDS.MDS 101
 Various instruments have been recommended for pulpal amputation, such as spoon
excavators, slowly rotating round burs and high-speed abrasive diamonds.
 Spoon excavator, successfully used in molars, has proven unsuitable in young incisors.
 Slowly rotating instruments are known to inflict significant injury to the remaining pulp,
limiting the chance of survival
 Injury to the underlying tissue is minimal when abrasive diamond is used at high speed to
remove part of the pulp, provided that the bur and tissues are adequately cooled
PULPAL AMPUTATION
DR.TINET MARY AUGUSTINE.BDS.MDS 102
• Camp (2002) asserted that almost all young, endodontically
involved teeth have a good blood supply and there is always vital
tissue in the apical third of the canal, which cannot be removed
• Pulp capping and Pulpotomy - remains valuable techniques
DR.TINET MARY AUGUSTINE.BDS.MDS 103
• Zinc oxide-eugenol cements
• Polycarboxylate cements
• Collagen
• Calcium hydroxide (Ca[OH]2
• Bonding agents
• Glass Ionomer Cements
• Mineral Trioxide Aggregate (MTA)
• Biodentine
• Emdogain
• Propolis
• Endosequence.
MEDICAMENTS
DR.TINET MARY AUGUSTINE.BDS.MDS 104
• Calcium hydroxide has traditionally been used for vital pulp therapy
• Advantage - antibacterial and disinfects the superficial pulp.
CALCIUM HYDROXIDE
DR.TINET MARY AUGUSTINE.BDS.MDS 105
• Liquefaction necrosis - in the most superficial layers
• Deeper layers of pulp - a coagulative necrosis at the junction of the necrotic and
vital pulp, resulting in mild irritation.
• Mild irritation initiates an inflammatory response, and in the absence of bacteria
the pulp will heal with a hard tissue barrier
 Hard-setting calcium hydroxide does not cause necrosis of the superficial layers
of pulp, it has also been shown to initiate healing with a hard tissue barrier.
HISTOLOGIC PICTURE
DR.TINET MARY AUGUSTINE.BDS.MDS 106
DR.TINET MARY AUGUSTINE.BDS.MDS 107
DR.TINET MARY AUGUSTINE.BDS.MDS 108
 Tunnel defects through dentinal bridges under it and poor sealing properties
(Schuurs et al. 2000).
• Many materials, such as zinc oxide eugenol, tricalcium phosphate, and
composite resin, have been proposed as medicaments for vital pulp therapy.
•
DISADVANTAGE
DR.TINET MARY AUGUSTINE.BDS.MDS 109
MTA reveals very good sealing properties in dry and blood
contaminated environments [Maturo et al., 2009].
MTA
DR.TINET MARY AUGUSTINE.BDS.MDS 110
BIODENTIN
• Biocompatabile
• Good antimicrobial activity
• Stimulate tertiary dentin formation
• Stronger mechanically,less soluble and produce tighter seals compared with
calcium hydroxide
• Less setting time,
• Good handling characteristic than MTA
DR.TINET MARY AUGUSTINE.BDS.MDS 111
• More recent studies suggest that with the bioceramic as the pulp cap, the inflamed pulp is
not the impediment as previously thought, but rather that the seal seems to be the major
factor for success.
DR.TINET MARY AUGUSTINE.BDS.MDS 112
 It is defined as the treatment of a vital pulp by capping or pulpotomy
in order to permit continued growth of the root and closure of the open
apex.
APEXOGENESIS
DR.TINET MARY AUGUSTINE.BDS.MDS 113
• Root end development occurs in a tooth with a normal pulp and minimal inflammation
• Pulp of immature teeth has significant reparative potential
• Pulp revascularisation and repair occurs more efficiently in tooth with an open apex
• Poor long term prognosis of an endodontically treated immature teeth
• Relatively thin dentine in obturated canals of immature roots and open apex are prone
to fracture
RATIONALE
DR.TINET MARY AUGUSTINE.BDS.MDS 114
 Sustaining a viable Hertwig’s sheath to stimulate continues development of root
 To attain favourable crown:root ratio
 To attain root end closure
 To preserve pulp vitality to secure further root development and maturation
 Generating dentinal bridge at the site of pulpotomy
GOAL
DR.TINET MARY AUGUSTINE.BDS.MDS 115
• Traumatized or pulpally involved vital permanent tooth when root apex is
incompletely formed.
• No history of spontaneous pain
• No sensitivity on percussion
• No hemorrhage.
• Normal radiographic appearance.
INDICATION
DR.TINET MARY AUGUSTINE.BDS.MDS 116
 Evidence that radicular pulp has undergone degenerative changes
 Purulent drainage
 History of prolonged pain
 Necrotic debris in canal
 Periapical radiolucency
CONTRAINDICATION
DR.TINET MARY AUGUSTINE.BDS.MDS 117
 Proposed by Mejare and Cvek in 1978.
 Indicated in young permanent teeth where the pulp is exposed by
mechanical or bacterial means and the remaining radicular tissue is
judged vital by clinical and radiographic criteria whereas the root
closure is not complete.
PARTIAL PULPOTOMY - CVEK PULPOTOMY.
DR.TINET MARY AUGUSTINE.BDS.MDS 118
 Administration of an anesthetic (possibly without a vasoconstrictor), rubber dam
placement, and superficial disinfection
 1- to 2-mm deep cavity is prepared into the pulp, using a high-speed handpiece
with a sterile diamond bur of appropriate size and copious water coolant
 bleeding is excessive, the pulp is amputated deeper until only moderate
hemorrhage is seen.
 Excess blood is carefully removed by rinsing with sterile saline, and the area is
dried with a sterile cotton pellet.
 Use of 5% sodium hypochlorite ( bleach)
TECHNIQUE
DR.TINET MARY AUGUSTINE.BDS.MDS 119
 A thin layer of pure calcium hydroxide is mixed with sterile saline or anesthetic
solution to a thick mix and carefully placed on the pulp stump.
 The prepared cavity is filled with a material with the best chance of a bacteria-
tight seal to a level flush with the fractured surface.
DR.TINET MARY AUGUSTINE.BDS.MDS 120
DR.TINET MARY AUGUSTINE.BDS.MDS 121
DR.TINET MARY AUGUSTINE.BDS.MDS 122
DR.TINET MARY AUGUSTINE.BDS.MDS 123
DR.TINET MARY AUGUSTINE.BDS.MDS 124
DR.TINET MARY AUGUSTINE.BDS.MDS 125
DR.TINET MARY AUGUSTINE.BDS.MDS 126
DR.TINET MARY AUGUSTINE.BDS.MDS 127
 Minor injury to the pulp
 Undisturbed physiologic apposition of dentin, especially in the critical cervical area of the tooth.
 Coronal pulp remains, which allows sensitivity testing to be carried out at the follow-up visits.
 Prognosis is extremely good (94% to 96%).
 Compared with pulp capping, it implies better wound control and, by sealing off the cavity with
a material which does not allow microleakage, provides effective protection for the pulp.
ADVANTAGE
DR.TINET MARY AUGUSTINE.BDS.MDS 128
 Cvek, (1978) reported 96% success rate with partial pulpotomy technique
regardless of the stage of the root development, contamination by the oral fluids
(up to 7 days), or size of the original exposure (up to 4mm).
 Fuks et al (1987) reported 94% success with partial pulpotomy or shallow
pulpotomy technique when employed in complicated crown fractures.
SUCCESS RATE
DR.TINET MARY AUGUSTINE.BDS.MDS 129
 Blanco, (1996) concluded that, the partial pulpotomy technique is a successful and
permanent treatment of crown fractures with pulpal exposure regardless of the size of
exposure, the maturity of the root, or the interval between accident and dental treatment.
 Blanco and Cohen (2002) evaluated the Cveks pulpotomy in the management of immature
and mature teeth and found that treatment is successful and concluded that partial
pulpotomy remains the prudent treatment choice with proper case selection.
DR.TINET MARY AUGUSTINE.BDS.MDS 130
 Full pulpotomy involves removal of the entire coronal pulp to a level
of the root orifices.
FULL PULPOTOMY/CERVICAL PULPOTOMY
DR.TINET MARY AUGUSTINE.BDS.MDS 131
 Traumatic exposures after more than 72 hour
 Carious exposure of a young tooth with a partially developed apex
 Contraindicated in mature teeth.
INDICATION
DR.TINET MARY AUGUSTINE.BDS.MDS 132
 Administration of an anesthetic,
 Rubber dam placement,
 Superficial disinfection,
 The coronal pulp is removed to the level of the root orifices calcium
hydroxide dressing, a bacteria-tight seal, and coronal restoration.
TECHNIQUE
DR.TINET MARY AUGUSTINE.BDS.MDS 133
 Sensitivity testing not possible, owing to the loss of coronal pulp
CONSIDERATION
DR.TINET MARY AUGUSTINE.BDS.MDS 134
 Radiographic Evaluation- to assess for signs of apical periodontitis
and to ensure the continuation of root formation
 Clinical evaluation
FOLLOW UP
DR.TINET MARY AUGUSTINE.BDS.MDS 135
 Range of 75%, is poorer than for partial pulpotomy.
 Because of the inability to evaluate pulp status after full pulpotomy,
some authors have recommended radicular procedure having a success
rate in the range of 95%, whereas if apical periodontitis develops, the
prognosis of root canal treatment drops significantly to about 80%
PROGNOSIS
DR.TINET MARY AUGUSTINE.BDS.MDS 136
• Obliteration of the pulp chamber,
• High solubility in oral fluids,
• Lack of adhesion to the dentin.
• Multiple visits are required
• Hard tissue formed under calcium hydroxide has tunnel defects.
DISADVANTAGE(when using CaOH)
Accorinte Mde L, Holland R, Reis A, Bortoluzzi MC, Murata SS, Dezan E, Jr, et al. Evaluation of mineral trioxide
aggregate and calcium hydroxide cement as pulp-capping agents in human teeth. J Endod. 2008;34:1–6.DR.TINET MARY AUGUSTINE.BDS.MDS 137
MTA PULPOTOMY
DR.TINET MARY AUGUSTINE.BDS.MDS 138
DR.TINET MARY AUGUSTINE.BDS.MDS 139
DR.TINET MARY AUGUSTINE.BDS.MDS 140
• No clinical symptoms
• No radiographically demonstrable intraradicular or periradicular pathological changes
• Continued root development in immature teeth
• Radiographically observed (and eventually clinically verified) continuous hard tissue
barrier
• Positive sensitivity to electrical stimulation
• Follow-up for at least 3 years.
EVALUATION
DR.TINET MARY AUGUSTINE.BDS.MDS 141
HEALING FREQUENCIES
DR.TINET MARY AUGUSTINE.BDS.MDS 142
CLASS IV- tooth devitalized by trauma with or
without loss of tooth structure.
DR.TINET MARY AUGUSTINE.BDS.MDS 143
IMMATURE TOOTH
DR.TINET MARY AUGUSTINE.BDS.MDS 144
• It is defined as a method to induce development of the root apex of an immature
pulpless tooth by formation of osteocementum/bone like tissue (Cohen).
 Apexification is a method of inducing apical closure through the formation of
mineralized tissue in the apical pulp region of a nonvital tooth with an
incompletely formed root and an open apex (Morse et al. 1990).
APEXIFICATION
DR.TINET MARY AUGUSTINE.BDS.MDS 145
 For nonvital permanent teeth with open apex (Blunderbuss canals).
 To induce either closure of open apical third of root canal or the
formation of an apical calcific barrier against which obturation can be
achieved.
INDICATION
DR.TINET MARY AUGUSTINE.BDS.MDS 146
• Moller et al. (981) have shown that infected necrotic pulp tissue induces strong inflammatory
reactions in the periapical tissues. Therefore removal of the infected pulp tissue should create an
environment conducive to apical closure without use of a medication.
• McCormick et al. (1983) have hypothesized that debridement of the root canal and removal of
the necrotic pulp tissue and microorganisms along with a decrease in pulp space are the critical
factors in apexification.
• Chawla HS et al , England MC et al, Whittle M et al - have described apical closure without the
use of a medicament.
DIFFERENT VIEWS
DR.TINET MARY AUGUSTINE.BDS.MDS 147
• Das S et al instrumentation may in fact hamper root development and that preparation of
these canals should be done cautiously, if at all
.
• Cooke and Robotham hypothesize that the remnants of Hertwig’s epithelial root sheath,
under favorable conditions, may organize the apical mesodermal tissue into root
components. They advise avoidance of trauma to the tissue around the apex.
DR.TINET MARY AUGUSTINE.BDS.MDS 148
 Zinc oxide eugenol
 Tricalcium phosphate+β-tricalcium phosphate
 Resorbable tricalcium phosphate
 Collagen–calcium phosphate gel
 Calcium hydroxide
 Mineral trioxide aggregate.
MEDICAMENTS USED
DR.TINET MARY AUGUSTINE.BDS.MDS 149
• Calcium hydroxide was first introduced by Kaiser in 1964 who
proposed that this material mixed with camphorated parachlorophenol
(CMCP) would induce the formation of a calcified barrier across the
apex
• Popularized by Frank
CALCIUM HYDROXIDE
DR.TINET MARY AUGUSTINE.BDS.MDS 150
Hard Tissue Apical Barrier
• Pure calcium hydroxide powder is mixed with sterile saline (or anesthetic solution) to a
thick (powdery) consistency The calcium hydroxide is packed against the apical soft
tissue with a plugger or thick point to initiate hard tissue formation.
• This step is followed by backfilling with calcium hydroxide to completely fill the canal
Traditional Method - calcium hydroxide
apexification
DR.TINET MARY AUGUSTINE.BDS.MDS 151
 Calcium hydroxide washout is evaluated by its relative radiodensity in the canal,
it is prudent to use a calcium hydroxide mixture without the addition of a
radiopaquer, such as barium sulfate..
 At 3-month intervals, a radiograph is exposed to evaluate whether a hard tissue
barrier has formed and if the calcium hydroxide has washed out of the canal.
 Excessive calcium hydroxide dressing changes should be avoided - because the
initial toxicity of the material is thought to delay healing.
DR.TINET MARY AUGUSTINE.BDS.MDS 152
• When completion of a hard tissue barrier is suspected, the calcium hydroxide
washed out of the canal with NaOCl
• A file of a size that can easily reach the apex can be used to gently probe for a stop at
the apex.
• When a hard tissue barrier is indicated radiographically and can be probed with an
instrument, the canal is ready for filling.
DR.TINET MARY AUGUSTINE.BDS.MDS 153
 Periapical healing and the formation of a hard tissue barrier occur
predictably with long-term calcium hydroxide treatment (79% to 96%).
 There are several associated problems :
1. The time required for formation of the calcified barrier (3-24 months)
2. Multiple appointments needed for reapplication of calcium hydroxide
3. The effect of long-term (several months or more) calcium hydroxide on
the mechanical properties of dentin.
PROGNOSIS
DR.TINET MARY AUGUSTINE.BDS.MDS 154
Frank's criteria for apexification
DR.TINET MARY AUGUSTINE.BDS.MDS 155
 Care must be taken to avoid excessive lateral force during filling, owing to the thin walls of the
root.
 Hard tissue barrier consists of irregularly arranged layers of coagulated soft tissue, calcified tissue,
and cementum like tissue, islands of soft connective tissue, giving the barrier a “Swiss cheese”
consistency.
 Formation of the hard tissue barrier might be some distance short of the radiographic apex
 Filling should be completed to the level of the hard tissue barrier and not forced toward the
radiographic apex.
Filling the Root Canal
DR.TINET MARY AUGUSTINE.BDS.MDS 156
CONSIDERATION
 Exposure to calcium hydroxide denatures the carboxylate and phosphate groups in dentin .
 Highest frequency of fracture occurred in teeth with the least developed roots
. Andreasen JO, Farik B, Munksgaard EC. Long-term calcium hydroxide as a root canal
dressing may increase risk of root fracture. Dent Traumatol 2002;18:134-7
DR.TINET MARY AUGUSTINE.BDS.MDS 157
• Chawla (1980) suggests that that it suffices to place the paste only once and wait for
radiographic evidence of barrier formation
• Chosack et al. (1997) found that after the initial root filling with calcium hydroxide
there was nothing to be gained by repeated root filling either monthly or after 3 months.
• Proponents of a single application claim that the calcium hydroxide is only required to
initiate the healing reaction and therefore repeated applications are not warranted
How often the calcium hydroxide dressing
should be changed??
DR.TINET MARY AUGUSTINE.BDS.MDS 158
• Calcium hydroxide should be replaced only when symptoms develop or the
material appears to have washed out of the canal when viewed radiographically.
Cvek M. Treatment of non-vital permanent incisors with calcium hydroxide. I. Follow-up of periapical repair
and apical closure of immature roots. Odonotol Revy 1972;23:27–44.
Feiglin B. Differences in apex formation during apexification with calcium hydroxide paste. Endod Dent
Traumatol 1985;1:195–9.
DR.TINET MARY AUGUSTINE.BDS.MDS 159
• Radiographs cannot be relied upon to determine the amount of calcium hydroxide remaining in
the canal or to demonstrate whether or not the barrier is complete.
• It allows clinical assessment of barrier formation and may increase the speed of bridge formation
• Ideal time to replace a dressing depends on the stage of treatment and the size of the foramen
opening.
• removal of the pulp could be a more successful procedure, although no age limit can be set for
either pulp preservation or removal. However, conservative treatment
Abbot P. Apexification with calcium hydroxide – when should the dressing be changed? The case for
regular dressing changes. Aust Endod J 1998;24:27–32DR.TINET MARY AUGUSTINE.BDS.MDS 160
• Sheehy and Roberts - 5 to 20 months.
• Finucane and kinirons - mean time to barrier formation was 34.2 weeks (range
13–67 weeks).
• Age may be inversely related to the time required for apical barrier formation.
Time required for apical barrier formation in
apexification using calcium hydroxide
DR.TINET MARY AUGUSTINE.BDS.MDS 161
• Cvek has reported that infection and/or the presence of a periapical radiolucency at
the start of treatment increases the time required for barrier formation
• Kleier and Barr found that in the presence of symptoms the time required for
apical closure was extended by approximately 5 months to an average of 15.9
months
DR.TINET MARY AUGUSTINE.BDS.MDS 162
• Morse et al. - as the non-surgical condensation of a biocompatible
material into the apical end of the root canal.
• The rationale is to establish an apical stop that would enable the root
canal to be filled immediately.
ONE VISIT APEXIFICATION
DR.TINET MARY AUGUSTINE.BDS.MDS 163
 MTA
 BIODENTIN
MATERIAL OF CHOICE
DR.TINET MARY AUGUSTINE.BDS.MDS 164
• MTA has good physical characteristics and is biocompatible.
• Provides a very good seal
• Has excellent marginal adaptation
• Maintains a high pH for a long period of time.
MTA
DR.TINET MARY AUGUSTINE.BDS.MDS 165
MTA or One Visit Apexification
DR.TINET MARY AUGUSTINE.BDS.MDS 166
DR.TINET MARY AUGUSTINE.BDS.MDS 167
• Within six months, a 0.43 mm thick dentin bridge is evident when MTA is used compared to 0.15
mm with no odontoblastic layer in the case of calcium hydroxide.
• Accorinte et al., have reported that pulp healing with calcium hydroxide is slower than that with
MTA, when used as a pulp capping agent in human teeth.
• Sarkar et al. have proved that MTA can bond chemically to the dentin by a diffusion-controlled
reaction between the apatite layer of MTA and the dentin.
• Chen et al. have shown that MTA is biocompatible and appears to have osetoconduction effects
on the bone cells
COMPARITIVE STUDIES
DR.TINET MARY AUGUSTINE.BDS.MDS 168
• Witherspoon and Ham - MTA provides scaffolding for the formation of hard tissue
and the potential of a better biological seal.
• Regan and Gutmann - consider that the importance of this technique lies in the
expedient cleaning and shaping of the root canal system, followed by its apical seal
with a material that favors regeneration. Fractures of immature teeth with thin roots
is reduced - a bonded core can be placed immediately within the root canal.
DR.TINET MARY AUGUSTINE.BDS.MDS 169
DR.TINET MARY AUGUSTINE.BDS.MDS 170
COMPARITIVE STUDY(SHABAHANG 2000)
DR.TINET MARY AUGUSTINE.BDS.MDS 171
 “Biologically based procedures designed to replace damaged
structures, including dentin and root structures, as well as cells of the
pulp-dentin complex.
 Regeneration of functional pulpal tissue - utilizing protocols referred
to as regenerative endodontic procedures (REPs).
REGENERATIVE ENDODONTICS
Murray PE, Garcia-Godoy F, Hargreaves KM. Regenerative endodontics: a
review of current status and a call for action. J Endod 2007;33:377-90
DR.TINET MARY AUGUSTINE.BDS.MDS 172
 Complete restoration of pulpal function
 Healing of apical periodontitis
 Continued development of the root apex
 Increased thickness of the root canal wall of immature teeth with
pulpal necrosis.
 Regenerative endodontic therapy - an alternative treatment approach
builds on the principles of Regenerative medicine and Tissue
engineering.
GOALS
DR.TINET MARY AUGUSTINE.BDS.MDS 173
Tissue engineering is an interdisciplinary field that integrates the
principles of biology and engineering to develop biological substitutes
that replace or regenerate human cells, tissue or organs in order to
restore or establish normal function
TISSUE ENGINEERING
DR.TINET MARY AUGUSTINE.BDS.MDS 174
KEY ELEMENTS OF TISSUE ENGINEERING
DR.TINET MARY AUGUSTINE.BDS.MDS 175
 Stem cells are defined as a distinct subpopulation of undifferentiated cells
with self-renewal and differentiation potential.
There are two main types:
 Embryonic, and adult or postnatal.
STEM CELLS
DR.TINET MARY AUGUSTINE.BDS.MDS 176
• Tooth germ progenitor cells (TGPCS);
• Dental follicle stem cells (DFSCS);
• Salivary gland stem cells - SGSCS);
• Stem cells of the apical papilla (SCAP);
• Dental pulp stem cells (DPSCS);
• Inflamed periapical progenitor cells (IPAPCS);
• Stem cells from human exfoliated deciduous teeth(shed);
• Periodontal ligament stem cells (PDLSCS),
• Bone marrow stem cells (BMSCS)
• oral epithelial stem cells (OESCS);
• Gingival-derived mesenchymal stem cells (GMSCS);
• Periosteal stem cells (PSCS).
Sources of postnatal stem cells in the oral
environment
Hargreaves KM, Diogenes A, Teixeira FB:
Treatment options: biologic basis of
regenerative endodontic procedures, J
Endod 39:s30, 2013DR.TINET MARY AUGUSTINE.BDS.MDS 177
 The apical papilla and its residing stem cells (SCAP) were first characterized in 2006.
 The apical papilla is a dense reservoir of undifferentiated MSCs with great proliferative
and odontogenic differentiation capacity.
 SCAP are regulated by Hertwig’s epithelial root sheath
DR.TINET MARY AUGUSTINE.BDS.MDS 178
Growth Factors
 Growth factors are proteins that bind to receptors on the cell and act as signals to
induce cellular proliferation and/or differentiation
 Key growth factors in pulp and dentin formation - bone morphogenetic protein,
transforming growth factor–beta and fibroblastic growth factor .
 Current REPs - utilize growth factors found in platelets and dentin .
DR.TINET MARY AUGUSTINE.BDS.MDS 179
 Dentin contains a number of bioactive molecules that, when released, play
an important role in regenerative procedures
 Dentine phosphoprotein (DPP) and dentine sialoprotein (DSP) -
noncollagenous proteins of organic matrix.
 Dentin-derived growth factors are thought to play a key role to be
deciphered into the regulation of progenitor cell recruitment, cell
proliferation, and differentiation of new dentine-secreting cells
Smith AJ, Scheven BA, Takahashi Y, et al. Dentine as a bioactive extracellular matrix. Arch Oral Biol
2012;57:109-21. 26. Sun HH, Jin T, Yu Q, et al. Biological approaches toward dental pulp regeneration by tissue
engineering. J Tissue Eng Regen Med 2011;5:e1-16.DR.TINET MARY AUGUSTINE.BDS.MDS 180
DR.TINET MARY AUGUSTINE.BDS.MDS 181
Scaffolds
 Scaffolds provide support for cell organization, proliferation, differentiation and vascularization
 Provide a spatially correct position of cell location
 Nutrient and gaseous exchanges
Galler KM, Hartgerink JD, Cavender AC, et al. A customized self-assembling peptide
hydrogel for dental pulp tissue engineering. Tissue Eng Part A 2012;18:176-84.
DR.TINET MARY AUGUSTINE.BDS.MDS 182
• Dentin , the blood clot, platelet-rich plasma ,platelet rich fibrin.
• Biodegradable or permanent scaffolds made of natural (collagen, hyaluronic acid,
chitosan and chitin)
• Synthetic - polylactic acid, polyglycolic acid, tricalcium phosphate, polyepsilon
caprolactone,hydroxyapatite materials
• Peptide hydrogel nanofibers and various fibrin gels
SCAFFOLDS
DR.TINET MARY AUGUSTINE.BDS.MDS 183
What are the Considerations for Clinical Regenerative
Endodontic Procedures?
1. Young patient
2. Necrotic pulp and immature apex
3. Minimal or no instrumentation of the dentinal walls
4. Placement of an intracanal medicament
5. Creation of a blood clot or protein scaffold in canal
6. Effective coronal seal .
Law A. Considerations for regeneration procedures. J Endod 2013;39(3 Suppl):S44-56.
DR.TINET MARY AUGUSTINE.BDS.MDS 184
Procedure
 Two- or multi-step procedure
 The first appointment-proper access and disinfection of the pulp space.
 The second appointment focuses on removing the antimicrobial medicament
 Releasing growth factors from the dentin (e.G., By irrigating EDTA)
DR.TINET MARY AUGUSTINE.BDS.MDS 185
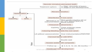
PROTOCOLS TO BE FOLLOWED
FIRST APPOINTMENT-DISINFECTION
ANESTHESIA, RUBBER DAM ISOLATION
REMOVAL OF CARIES IF ANY,DEROOFING OF PULPCHAMBER,REMOVAL OF CORONAL PULP ,GET A
STRAIGHT LINE ACCESS
COPIOUS IRRIGATION
1.5% NaOCl (20ml/canal ,5min) ; Saline/EDTA (20ml/canal ,5min)
DRY CANAL WITH PAPER POINTS
PLACE INTRACANAL MEDICAMENT
Triple antibiotic paste/calcium hydroxide
CORONAL SEAL TO PREVENT MICROLEAKAGE
DR.TINET MARY AUGUSTINE.BDS.MDS 186
SECOND APPOINTMENT(2-4 WEEKS)
ASSESS THE RESPONSE OF INITIAL TREATMENT
ANESTHESIA,3%MEPIVACAINE WITHOUT VASOCONSTRICTOR
ISOLATION
COPIOUS GENTLE IRRIGATION WITH 20ML OF 17% EDTA
DRY WITH PAPER POINT.
CORONAL SEAL -PLACE 3-4MM RMGIC
PLACE A RESORBABLE MATRIX OVER THE BLOOD IF NECESSARY AND WHITE MTA/BIODENTIN AS
CAPPING MATERIAL
INDUCE BLEEDING PASSING 2MM PAST APICAL FORAMEN TO THE LEVEL OF CEJ
COMPLETE SEAL USING PREFORMED CROWNS/CONVENTIONAL CROWNS
DR.TINET MARY AUGUSTINE.BDS.MDS 187
A) Root canal revascularization via blood clotting
First Treatment Visit for Regenerative Endodontics
DR.TINET MARY AUGUSTINE.BDS.MDS 188
• Typically 2 to 4 Weeks after the First Visit
• Clinical exam to ensure that that there is no moderate to severe sensitivity to
palpation & percussion.
• Local anesthesia (no epinephrine), rubber dam isolation is obtained.
• Intracanal medicament is removed by irrigating with 17% EDTA (30 mL/canal, 5
min) & then a final flush with saline (5 mL/canal, 1 min).
• Canals - dried with paper points.
Final (Second) Treatment Visit for
Regenerative Endodontics
DR.TINET MARY AUGUSTINE.BDS.MDS 189
• Bleeding is induced by rotating a precurved K-file size #25 at 2 mm past the apical foramen -
whole canal filled with blood to the level of the cementoenamel junction.
• Premeasured piece of collaplug is carefully placed on top of the blood clot to serve as an
internal matrix for the placement of approximately 3 mm of white MTA (Dentsply, Tulsa,
OK) or Biodentin (Septodont).
• 3- to 4-mm layer of glass ionomer layer is flowed gently over the bioactive coronal barrier &
light cured for 40 secs.
• A bonded reinforced composite resin restoration is placed over the glass ionomer.
• Followed-up at 3 months, 6 months, and yearly after that for a total of 4 years.
DR.TINET MARY AUGUSTINE.BDS.MDS 190
DR.TINET MARY AUGUSTINE.BDS.MDS 191
DR.TINET MARY AUGUSTINE.BDS.MDS 192
Advantage
 Easy delivery, adequate mechanical properties, controllable biodegradation &
incorporation of growth factors.
Disadvantage
 The blood clot contains a great number of hematopoietic cells that eventually undergo cell
death, releasing their toxic intracellular enzymes into the microenvironment, which may
be detrimental to stem cell survival.
DR.TINET MARY AUGUSTINE.BDS.MDS 193
Medicaments to disinfect the canal space
 Triple antibiotic paste ( 1 : 1 : 1 mixture of ciprofloxacin/metronidazole/minocycline)
 Ca(OH)2
 An in vitro study has shown that a TAP concentration of 39 μg/mL would be best for
application in disinfection root canal
Chuensombat S., Khemaleelakul S., Chattipakorn S., Srisuwan T. Cytotoxic effects and
antibacterial efficacy of a 3-antibiotic combination: an in vitro study. Journal of
Endodontics. 2013;39(6):813–819. doi: 10.1016/j.joen.2012.11.041.DR.TINET MARY AUGUSTINE.BDS.MDS 194
 Tooth is asymptomatic and functional
Radiographic evaluation:
6-12 months
 Resolution of periapical radiolucency
 May see increased dentinal wall thickness
12-24 months
 Increased dentinal wall thickness
 Increased root length
Guidelines for clinical and radiographic follow-
up evaluation
DR.TINET MARY AUGUSTINE.BDS.MDS 195
 Discoloration of the tooth after revascularisation- due to minocycline in TAP or
MTA ( grey/white) -cervical barrier
 Patient compliance
 Nature of the hard tissue formed – cementum like, bone like or PDL like tissues
 Poor root devolopment
 Increased dentin wall thickness occurs in the apical third and middle third and not
in cervical third
Drawbacks or limitations
DR.TINET MARY AUGUSTINE.BDS.MDS 196
 Revascularisation depends on the presence of stem cells and growth factors
 Calcification of the canal space after the procedure
 Chances for failure after revascularization- high in long standing chronic infections
DR.TINET MARY AUGUSTINE.BDS.MDS 197
PRF- Platelet rich fibrin
DR.TINET MARY AUGUSTINE.BDS.MDS 198
DR.TINET MARY AUGUSTINE.BDS.MDS 199
Drawbacks to their clinical use:
• The process requires collection of intravenous blood that can be challenging in
children,
• The diversity and concentration of growth factors within PRP and PRF
preparations are not controllable,
• They lack temporal degradation control and the mechanical strength to support
a coronal restoration..
DR.TINET MARY AUGUSTINE.BDS.MDS 200
Contemp Clin Dent. 2015 Jan-Mar; 6(1): 63–68
• PRF has huge potential to accelerate the growth characteristics in immature
necrotic permanent teeth as compared to PRP and blood clot.
DR.TINET MARY AUGUSTINE.BDS.MDS 201
DR.TINET MARY AUGUSTINE.BDS.MDS 202
DR.TINET MARY AUGUSTINE.BDS.MDS 203
Whether the procedure should be considered a permanent treatment???.
• These teeth will develop obliteration of the canal lumen and should have clinic-
radiological follow-up
• Nygaard-Ostby - several degrees of internal root canal resorption after 10 months,
• Obliteration of the root canal following the REP procedure, might lead to endodontic and
prosthetic future complication
Wigler R, Kaufman AY, Lin S, et al. Revascularization: a treatment for permanent teeth
with necrotic pulp and incomplete root development. J Endod 39: 319-326, 201
DR.TINET MARY AUGUSTINE.BDS.MDS 204
• failure is coronal microleakage of saliva -an obliterated root canal also
obstructs the adequate orthograde treatments which commonly leads to technical
complications such as root perforation or instrument breakage.
Hugo Plascencia , Álvaro Cruz ,Mariana Díaz, Ana Laura Jiménez Root Canal Filling after
Revascularization/Revitalization
The Journal of Clinical Pediatric Dentistry Volume 40, Number 6/2016
DR.TINET MARY AUGUSTINE.BDS.MDS 205
FACTORS DETERMINING THE SUCCESS OF
THE PROCEDURE
DR.TINET MARY AUGUSTINE.BDS.MDS 206
OVERALL OF THE CLINICAL PROCEDURES
Hoshino E, Kurihara-Ando N, Sato I, Uematsu H, Sato M, Kota K, Iwaku M. In-vitro antibacterial susceptibility of bacteria
taken from infected root dentine to a mixture of ciprofloxacin, metronidazole and minocycline. Int Endod J. 1996;29:125
DR.TINET MARY AUGUSTINE.BDS.MDS 207
DR.TINET MARY AUGUSTINE.BDS.MDS 208
DR.TINET MARY AUGUSTINE.BDS.MDS 209
DR.TINET MARY AUGUSTINE.BDS.MDS 210
DR.TINET MARY AUGUSTINE.BDS.MDS 211
THANK YOU
DR.TINET MARY AUGUSTINE.BDS.MDS 212

Dental Crown fracture

  • 1.
    Dr.Tinet Mary Augustine.BDS,MDS Pediatric Dentist Dr.Tinet’s Pedorayz, Pediatric And Early Age Orthodontic Dental Clinic TRAUMATIC INJURIES TO THE PERMANENT DENTITION -CROWN FRACTURE DR.TINET MARY AUGUSTINE.BDS.MDS 1
  • 2.
  • 3.
    CONTENTS  Introduction  Etiology Incidence  Predisposing factors  Mechanism of dental injury  Wound healing and treatment principles  History and clinical examination  Classification of TDI DR.TINET MARY AUGUSTINE.BDS.MDS 3
  • 4.
    •Traumatic injuries ofthe primary dentition •Traumatic injuries of the permanent dentition •Crown fractures •Crown Root fractures •Root Fractures •Luxation injuries •Avulsion •Soft Tissue Injuries •Injuries to the Supporting Bone •Prevention Of Dental Injuries •Summary and ConclusionDR.TINET MARY AUGUSTINE.BDS.MDS 4
  • 5.
    Incidence of dentaltrauma due to automobile accidents and violent sports has increased significantly during the last decade causing anterior teeth of children and teenagers to be commonly affected.  Mean prevalence of dental and oral injuries is between 14% and 27%. Quality and timeliness of initial care contribute to a desirable outcome by promoting healing. DR.TINET MARY AUGUSTINE.BDS.MDS 5
  • 6.
    Incidence of dentaltrauma will overtake the incidence of caries and periodontal disease in children and teenagers. (Andreasen 1993) DR.TINET MARY AUGUSTINE.BDS.MDS 6
  • 7.
    Etiology  Unintentional TDI Intentional TDI (self harm and violence)  Iatrogenic injuries DR.TINET MARY AUGUSTINE.BDS.MDS 7
  • 8.
    Etiology  Falls &Collisions  Sports DR.TINET MARY AUGUSTINE.BDS.MDS 8
  • 9.
  • 10.
    Mechanism of dentalinjuries Direct Trauma DR.TINET MARY AUGUSTINE.BDS.MDS 10
  • 11.
    Indirect Trauma DR.TINET MARYAUGUSTINE.BDS.MDS 11
  • 12.
    HALLETS FACTORS INFLUENCING TRAUMA:  Energyof Impact  Resilience of impacting object  Shape of impacting object  Direction of Impacting force. DR.TINET MARY AUGUSTINE.BDS.MDS 12
  • 13.
    PREVALENCE IN PRIMARYDENTITION (at 5 years )  Boys (31-40%)  Girls (16-30%) Andreasen 1972DR.TINET MARY AUGUSTINE.BDS.MDS 13
  • 14.
    PREVALENCE IN PERMANENTDENTITION ( 12 Years) Boys (12-33%) Girls (4-19%) Andreasen 1972DR.TINET MARY AUGUSTINE.BDS.MDS 14
  • 15.
    WOUND HEALING SUBSEQUENTTO INJURY  Wound healing is a reaction of any multicellular organism on tisssue damage in order to restore the continuity and function of the tissue or organ. DR.TINET MARY AUGUSTINE.BDS.MDS 15
  • 16.
    The sequence ofevents after wounding is:  Control of bleeding  Establishing a line of defense against infection  Cleansing the wound site of necrotic tissue elements, bacteria or foreign bodies  Closing the wound gap with newly formed connective tissue and epithelium  Modifying the primary wound tissue to a more functionally suitable tissue. DR.TINET MARY AUGUSTINE.BDS.MDS 16
  • 17.
    Traumatic dental injuryrepresents acute transmission of energy to the tooth and supporting structures Tooth Supporting tissue Fracture Displacement Separation Crushing DR.TINET MARY AUGUSTINE.BDS.MDS 17
  • 18.
    Separation Crushing -extrusive luxation -Cleavageof intercellular structures -Limited damage to cells -Wound healing by the existing cellular system with minimum delay. -Intrusive luxation -extensive damage to cellular & intercellular system -wound healing by removal of damaged tissue by macrophages & osteoclasts before restoration of traumatized tissue -delayed healing (splinting period) DR.TINET MARY AUGUSTINE.BDS.MDS 18
  • 19.
    Possible Consequences ofDental Trauma  Pulpal hyperemia  May lead to infarction and necrosis DR.TINET MARY AUGUSTINE.BDS.MDS 19
  • 20.
    Internal Hemorrhage  Capillaryrupture due to increased pressure  Within 2-3 weeks DR.TINET MARY AUGUSTINE.BDS.MDS 20
  • 21.
    Internal Resorption  Dueto osteoclastic action  "Pink spot" perforation may occur DR.TINET MARY AUGUSTINE.BDS.MDS 21
  • 22.
  • 23.
    Peripheral Root Resorption Due to damage of peridontal structures  Usually in severe injuries with displacement of the tooth DR.TINET MARY AUGUSTINE.BDS.MDS 23
  • 24.
    Ankylosis  PDL injury> inflammation > osteoclastic activity > fusion between bone and root surface DR.TINET MARY AUGUSTINE.BDS.MDS 24
  • 25.
    Examination of thetraumatized patients How did the injury occur? Where did the injury occur? When did the injury occur? Has there been previous injury to the teeth? Has there been any treatment before? Is there any reaction in the teeth to cold and/or heat? Is there any disturbance in the bite? DR.TINET MARY AUGUSTINE.BDS.MDS 25
  • 26.
    Clinical examination  Chiefcomplaint  External examination  Intraoral soft tissue examination  Examination of hard tissue  Mobility testing  Percussion testing  Thermal and Electrometric testing DR.TINET MARY AUGUSTINE.BDS.MDS 26
  • 27.
    Soft Tissue Injuries Examine lacerations and contusions of the face, lips, and gingivae  Remove any tooth fragments or debris embedded in the tissue  Gently cleanse the area to aid in visual examination (topical anesthetic, soaked gauze sponges)  Develop treatment plan DR.TINET MARY AUGUSTINE.BDS.MDS 27
  • 28.
    Hard Tissue Injuries Examine teeth and alveolar process  Note extent of crown fracture, if any  Check for displaced or avulsed teeth  Note amount of mobility  Check for pulp exposures  Examine adjacent/opposing teeth for injury DR.TINET MARY AUGUSTINE.BDS.MDS 28
  • 29.
    Radiographic Examination  Radiographsof the injured tooth, adjacent teeth, and opposing teeth  Evaluate proximity of fracture to pulp  Estimate root development  Look for root and alveolar fractures  Note any periapical pathology DR.TINET MARY AUGUSTINE.BDS.MDS 29
  • 30.
    Overcoming the disadvantagesof conventional radiography DR.TINET MARY AUGUSTINE.BDS.MDS 30
  • 31.
    Other Diagnostic Tests Wait at least 2 weeks  Electrical and thermal tests may be unreliable in primary teeth DR.TINET MARY AUGUSTINE.BDS.MDS 31
  • 32.
    Classification  Classification ofAnterior teeth trauma by Sweets (1955)  Ellis & Davey’s classification (1970)  Modified Ellis classification  Andreasen classification( 1981)  Heithersay and Morile (1982)  Garcia Godoys classification (1984)  WHO International Classification of Diseases (1992)  WHO classification (1993) DR.TINET MARY AUGUSTINE.BDS.MDS 32
  • 33.
    CLASS 1 FRACTUREOF CROWN EXPOSING NO DENTIN CLASS 2 FRACTURE OF CROWN EXPOSING LITTLE DENTIN CLASS 3 EXTENSIVE FRACTURE OF CROWN INVOLVING MORE DENTIN BUT NO PULP EXPOSURE CLASS 4 EXTENSIVE FRACTURE OF CROWN EXPOSING PULP CLASS 5 COMPLETE FRACTURE OF CROWN EXPOSING PULP CLASSS 6 FRACTURE OF ROOT WITH OR WITHOUT LOSS OF CROWN STRUCTURE CLASSS 7 TOOTH LOSS AS A RESULT OF TRAUMA Classification of Anterior teeth trauma by Sweets (1955) DR.TINET MARY AUGUSTINE.BDS.MDS 33
  • 34.
     DISADVANTAGE:  Nostress on injuries to supporting structures soft tissues and bone.  Indicates more towards permanent teeth than primary teeth DR.TINET MARY AUGUSTINE.BDS.MDS 34
  • 35.
    Ellis and Davey’sclassification (1960) Class I -Fracture involving enamel Class II -Fracture involving enamel & dentin Class III -Fracture involving enamel,dentin & pulp Class IV -Teeth that lost their vitality with or without loss of crown Class V -Traumatically avulsed tooth Class VI -Fracture of the root with or without crown fracture Class VII -Displacement of the tooth without crown/root fracture Class VIII -Cervical crown fracture Class IX -Fracture of deciduous teeth DR.TINET MARY AUGUSTINE.BDS.MDS 35
  • 36.
  • 37.
    Modified Ellis classification [ByMcDonald, Avery and Lynch(1983)] Class I - Simple fracture of crown , involving little or no dentin Class II - Extensive fracture of the crown involving considerable dentin but not the dental pulp Class III - - Extensive fracture of the crown involving considerable dentin and exposing the pulp Class IV - loss of the entire crown DR.TINET MARY AUGUSTINE.BDS.MDS 37
  • 38.
     Andreasen classification(1981) Injuries to teeth  Crown infraction and uncomplicated fracture without involvement of dentin  Uncomplicated crown fracture with involvement of dentin  Complicated crown fracture  Uncomplicated crown root fracture  Complicated crown root fracture  Root fracture DR.TINET MARY AUGUSTINE.BDS.MDS 38
  • 39.
     Injuries toperiodontal tissues Concussion Subluxation Intrusive luxation Extrusive luxation lateral luxation Exarticulation DR.TINET MARY AUGUSTINE.BDS.MDS 39
  • 40.
    Injuries To SupportingBone  Comminution of mandibular or maxillary alveolar socket.  Fracture of maxillary or mandibular socket wall.  Fracture of maxillary or mandibular alveolar process DR.TINET MARY AUGUSTINE.BDS.MDS 40
  • 41.
    Injury to gingivaor oral mucosa  Laceration of gingiva or oral mucosa  Contusion  Abrasion DR.TINET MARY AUGUSTINE.BDS.MDS 41
  • 42.
    Heithersay and Morile(1982) Classification of subgingival fractures based on level of teeth fracture in relation to various horizontal planes of the periodontium Class I : fracture line does not extend below the level of attatched gingiva Class II : fracture line extends below the level of attatched gingiva but not below the level of the alveolar crest Class III : fracture line extends below the level of alveolar crest Class IV : fracture line is within the coronal third of the root but below the level of alveolar crest DR.TINET MARY AUGUSTINE.BDS.MDS 42
  • 43.
     Garcia Godoysclassification (1984) Class 0 – enamel crack Class 1 – enamel fracture Class 2 – enamel- dentin fracture without pulp exposure Class 3 – enamel-dentin fracture with pulp exposure Class 4 – enamel-dentin-cementum fracture without pulp exposure Class 5 – enamel-dentin-cementum fracture with pulp exposure Class 6 – root fracture Class 7 – concussion Class 8 – luxation ( loosening ) Class 9 – lateral displacement Class 10 – intrusion Class 11 – extrusion Class 12 – avulsion DR.TINET MARY AUGUSTINE.BDS.MDS 43
  • 44.
    Type of injuriesCode Enamel infarction N 502.50 Enamel fracture N 502.50 Enamel- dentin fracture (uncomplicated crown fracture) N 502.51 Complicated crown fracture N 502.52 Root fracture N 502.53 Uncomplicated Crown- root fracture N 502.54 Complicated Crown- root fracture N 502.54 WHO International Classification of Diseases (1992) A. INJURIES TO HARD DENTAL TISSUES AND PULP DR.TINET MARY AUGUSTINE.BDS.MDS 44
  • 45.
     Concussion  Subluxation Extrusive luxation  Lateral luxation  Intrusive luxation  Avulsion  N 503.20  N 503.20  N 503.20  N 503.20  N 503.21  N 503.22 B. INJURIES TO THE PERIODONTAL TISSUES DR.TINET MARY AUGUSTINE.BDS.MDS 45
  • 46.
     Communition ofmandibular alveolar socket  Communition of maxillary alveolar socket  Fracture of mandibular alveolar socket wall  Fracture of maxillary alveolar socket wall  Fracture of mandible  Fracture of maxilla  N 502.60  N 502.40  N 502.60  N 502.40  N 502.61  N 502.42 C. INJURIES TO THE SUPPORTING BONE DR.TINET MARY AUGUSTINE.BDS.MDS 46
  • 47.
     Laceration  Contusion Abrasion  S 01.50  S 00.50  S 00.50 D. INJURIES TO THE GINGIVA OR ORAL MUCOSA DR.TINET MARY AUGUSTINE.BDS.MDS 47
  • 48.
    WHO (1993) 873.60 873.61873.62 873.63 873.64 873.66 873.67 873.68DR.TINET MARY AUGUSTINE.BDS.MDS 48
  • 49.
    873.69 – softtissue injuries WHO DR.TINET MARY AUGUSTINE.BDS.MDS 49
  • 50.
     Andreasen modificationof WHO classification 873.64 – complicated and uncomplicated crown root fracture 873.66 – concussion Subluxation Luxation injuries with alveolar fractures DR.TINET MARY AUGUSTINE.BDS.MDS 50
  • 51.
     History  Diagnosis Treatment protocol EXAMINATION AND DIAGNOSIS DR.TINET MARY AUGUSTINE.BDS.MDS 51
  • 52.
     Patient’s name,age,sex,addressand telephone number:  When did the injury occur  Where did the injury occur:  How did injury occur:  Treatment elsewhere:  History of previous dental injuries:  General health:  Did the trauma cause drowsiness, vomiting or headache:  Is there spontaneous pain from the teeth: History DR.TINET MARY AUGUSTINE.BDS.MDS 52
  • 53.
     Are theteeth tender to touch or during eating:  Is there any disturbance in the bite:  Recording of extraoral wounds and palpation of the facial skeleton:  Recording of injuries to oral mucosa or gingival injuries:  Examination of crowns ofteeth:  Recording of displacement of teeth:  Disturbances in occlusion:  Tenderness of teeth to percussion and change in percussion tone:  Reaction of teeth to pulpal testing: DR.TINET MARY AUGUSTINE.BDS.MDS 53
  • 54.
    Overview of the managementof the traumatized teeth (Anderson Classification) DR.TINET MARY AUGUSTINE.BDS.MDS 54
  • 55.
  • 56.
    ENAMEL FRACTURE DR.TINET MARYAUGUSTINE.BDS.MDS 56
  • 57.
    ENAMEL DENTIN FRACTURE DR.TINETMARY AUGUSTINE.BDS.MDS 57
  • 58.
    ENAMEL DENTIN PULPFRACTURE DR.TINET MARY AUGUSTINE.BDS.MDS 58
  • 59.
    CROWN ROOT FRACTUREWITHOUT PULP EXPOSURE DR.TINET MARY AUGUSTINE.BDS.MDS 59
  • 60.
    CROWN ROOT FRACTUREWITH PULP EXPOSURE DR.TINET MARY AUGUSTINE.BDS.MDS 60
  • 61.
  • 62.
    ROOT FRACTURE DR.TINET MARYAUGUSTINE.BDS.MDS 62
  • 63.
    ALVEOLAR FRACTURE DR.TINET MARYAUGUSTINE.BDS.MDS 63
  • 64.
    CONCUSSION AND SUBLUXATION DR.TINETMARY AUGUSTINE.BDS.MDS 64
  • 65.
  • 66.
    LATERAL LUXATION DR.TINET MARYAUGUSTINE.BDS.MDS 66
  • 67.
  • 68.
  • 69.
  • 70.
  • 71.
  • 72.
  • 73.
    ENAMEL FRACTURE DR.TINET MARYAUGUSTINE.BDS.MDS 73
  • 74.
     LUNDY ANDSTANLEY (1969):Speed of bacterial penetration into prepared dentin left exposed to saliva and plaque formation in vivo was found to be 0.03– 0.36mm 6–11 days after preparation and 0.52mm after approximately 84 days. INVOLVING DENTIN DR.TINET MARY AUGUSTINE.BDS.MDS 74
  • 75.
    INFLUENCE OF PRIMARYTOOTH FRACTURE DR.TINET MARY AUGUSTINE.BDS.MDS 75
  • 76.
  • 77.
    Reattachment of fragments DR.TINETMARY AUGUSTINE.BDS.MDS 77
  • 78.
  • 79.
  • 80.
  • 81.
  • 82.
  • 83.
  • 84.
    COMPLICATED CROWN FRACTURE(Ellis fractureClass III) DR.TINET MARY AUGUSTINE.BDS.MDS 84
  • 85.
    Incidence  Complicated crownfractures occur in 0.9% to 13% of all dental injuries. DR.TINET MARY AUGUSTINE.BDS.MDS 85
  • 86.
    Clinical Examination  Inspectionand exploration of the tooth.  Inspection - show the size of the pulp exposure, the presence or absence of hemorrhage, and the amount of crown structure remaining.  The degree of pulp involvement varies from a pinpoint exposure to a total unroofing of the coronal pulp  Experience of pain DR.TINET MARY AUGUSTINE.BDS.MDS 86
  • 87.
    Radiographic examination A. Thestate of apical development B. The state of the apical and periapical zones. C. Presence of radicular fracture DR.TINET MARY AUGUSTINE.BDS.MDS 87
  • 88.
    Biologic Consequences • Ifleft untreated - results in pulp necrosis. • First reaction after the injury is hemorrhage and local inflammation . • In the first 24 hours after the injury, a proliferative response with inflammation extending not more than 2 mm into the pulp will be present • In time, the bacterial challenge results in local pulpal necrosis and a slow apical progression of the pulpal inflammation DR.TINET MARY AUGUSTINE.BDS.MDS 88
  • 89.
  • 90.
  • 91.
    MANAGEMENT The patient’s clinicalhistory brings out factors that influence the treatment plan. • Time elapsed between the time of injury and the time the patient is seen in the operatory. • Size of the pulp exposure. • Size of the remaining crown • Stage of development of the tooth - maturity of the tooth, • Concomitant luxation injury, • Age of the patient as well as the effect of surgical procedures and choice of wound dressing DR.TINET MARY AUGUSTINE.BDS.MDS 91
  • 92.
    Time Between Traumaand Treatment • For 48 hours after a traumatic injury, the initial reaction of the pulp is proliferative, with no more than a 2-mm depth of pulpal inflammation. • After 48 hours, chances of direct bacterial contamination of the pulp increase, DR.TINET MARY AUGUSTINE.BDS.MDS 92
  • 93.
    Stage of Developmentof the Tooth • Loss of vitality in an immature tooth can have catastrophic consequences • Pulpectomy in a mature tooth has an extremely high success rate DR.TINET MARY AUGUSTINE.BDS.MDS 93
  • 94.
    Concomitant Attachment Damage •A concomitant luxation injury compromises the nutritional supply to the pulp & contraindicates conservative treatment. • In immature luxated teeth the chance of pulp survival is considerable and conservative treatment may allow further root development. DR.TINET MARY AUGUSTINE.BDS.MDS 94
  • 95.
    • Vital pulptherapy - pulp capping, partial pulpotomy, or full pulpotomy • Non vital pulp therapy- Pulpectomy. • The choice of treatment depends on the stage of development of the tooth, the time between trauma and treatment, concomitant periodontal injury, and the restorative treatment plan. TREATMENT DR.TINET MARY AUGUSTINE.BDS.MDS 95
  • 96.
    Vital Pulp Therapy:Requirements for Success • Treatment of a non inflamed pulp. Vital pulp therapy of the inflamed pulp yields an inferior success rate, so the optimal time for treatment is in the first 24 hours when pulp inflammation is superficial. DR.TINET MARY AUGUSTINE.BDS.MDS 96
  • 97.
    Bacteria-tight seal If theexposed pulp is effectively sealed from bacterial leakage, successful healing of the pulp with a hard tissue barrier will occur independent of the dressing placed on the pulp and after more extended time periods between accident and treatment. DR.TINET MARY AUGUSTINE.BDS.MDS 97
  • 98.
     The effectof age is controversial as degenerative changes in the pulp increase with age.  Capping or pulpotomy, should not be performed if degenerative or inflammatory changes are anticipated, such as in teeth with reduced pulpal lumen due to trauma. So removal of the pulp could be a more successful procedure  Surgical procedures invariably cause further injury to the remaining pulp and should be kept to a minimum. DR.TINET MARY AUGUSTINE.BDS.MDS 98
  • 99.
    Pulp Capping • Pulpcapping implies placing the dressing directly on the pulp exposure without any removal of the soft tissue TREATMENT METHODS DR.TINET MARY AUGUSTINE.BDS.MDS 99
  • 100.
    • When asmall exposure can be treated shortly after injury within 24 hours.. INDICATION DR.TINET MARY AUGUSTINE.BDS.MDS 100
  • 101.
    • The fracturesurface and pulpal wound are washed with saline. • When bleeding has ceased, the exposed pulp is covered with a soft-or a hard-setting calcium hydroxide compound. • The exposed dentin - protected with glass ionomer cement • If the definitive restoration of the crown must be postponed, a temporary crown restoration should be placed PROCEDURE DR.TINET MARY AUGUSTINE.BDS.MDS 101
  • 102.
     Various instrumentshave been recommended for pulpal amputation, such as spoon excavators, slowly rotating round burs and high-speed abrasive diamonds.  Spoon excavator, successfully used in molars, has proven unsuitable in young incisors.  Slowly rotating instruments are known to inflict significant injury to the remaining pulp, limiting the chance of survival  Injury to the underlying tissue is minimal when abrasive diamond is used at high speed to remove part of the pulp, provided that the bur and tissues are adequately cooled PULPAL AMPUTATION DR.TINET MARY AUGUSTINE.BDS.MDS 102
  • 103.
    • Camp (2002)asserted that almost all young, endodontically involved teeth have a good blood supply and there is always vital tissue in the apical third of the canal, which cannot be removed • Pulp capping and Pulpotomy - remains valuable techniques DR.TINET MARY AUGUSTINE.BDS.MDS 103
  • 104.
    • Zinc oxide-eugenolcements • Polycarboxylate cements • Collagen • Calcium hydroxide (Ca[OH]2 • Bonding agents • Glass Ionomer Cements • Mineral Trioxide Aggregate (MTA) • Biodentine • Emdogain • Propolis • Endosequence. MEDICAMENTS DR.TINET MARY AUGUSTINE.BDS.MDS 104
  • 105.
    • Calcium hydroxidehas traditionally been used for vital pulp therapy • Advantage - antibacterial and disinfects the superficial pulp. CALCIUM HYDROXIDE DR.TINET MARY AUGUSTINE.BDS.MDS 105
  • 106.
    • Liquefaction necrosis- in the most superficial layers • Deeper layers of pulp - a coagulative necrosis at the junction of the necrotic and vital pulp, resulting in mild irritation. • Mild irritation initiates an inflammatory response, and in the absence of bacteria the pulp will heal with a hard tissue barrier  Hard-setting calcium hydroxide does not cause necrosis of the superficial layers of pulp, it has also been shown to initiate healing with a hard tissue barrier. HISTOLOGIC PICTURE DR.TINET MARY AUGUSTINE.BDS.MDS 106
  • 107.
  • 108.
  • 109.
     Tunnel defectsthrough dentinal bridges under it and poor sealing properties (Schuurs et al. 2000). • Many materials, such as zinc oxide eugenol, tricalcium phosphate, and composite resin, have been proposed as medicaments for vital pulp therapy. • DISADVANTAGE DR.TINET MARY AUGUSTINE.BDS.MDS 109
  • 110.
    MTA reveals verygood sealing properties in dry and blood contaminated environments [Maturo et al., 2009]. MTA DR.TINET MARY AUGUSTINE.BDS.MDS 110
  • 111.
    BIODENTIN • Biocompatabile • Goodantimicrobial activity • Stimulate tertiary dentin formation • Stronger mechanically,less soluble and produce tighter seals compared with calcium hydroxide • Less setting time, • Good handling characteristic than MTA DR.TINET MARY AUGUSTINE.BDS.MDS 111
  • 112.
    • More recentstudies suggest that with the bioceramic as the pulp cap, the inflamed pulp is not the impediment as previously thought, but rather that the seal seems to be the major factor for success. DR.TINET MARY AUGUSTINE.BDS.MDS 112
  • 113.
     It isdefined as the treatment of a vital pulp by capping or pulpotomy in order to permit continued growth of the root and closure of the open apex. APEXOGENESIS DR.TINET MARY AUGUSTINE.BDS.MDS 113
  • 114.
    • Root enddevelopment occurs in a tooth with a normal pulp and minimal inflammation • Pulp of immature teeth has significant reparative potential • Pulp revascularisation and repair occurs more efficiently in tooth with an open apex • Poor long term prognosis of an endodontically treated immature teeth • Relatively thin dentine in obturated canals of immature roots and open apex are prone to fracture RATIONALE DR.TINET MARY AUGUSTINE.BDS.MDS 114
  • 115.
     Sustaining aviable Hertwig’s sheath to stimulate continues development of root  To attain favourable crown:root ratio  To attain root end closure  To preserve pulp vitality to secure further root development and maturation  Generating dentinal bridge at the site of pulpotomy GOAL DR.TINET MARY AUGUSTINE.BDS.MDS 115
  • 116.
    • Traumatized orpulpally involved vital permanent tooth when root apex is incompletely formed. • No history of spontaneous pain • No sensitivity on percussion • No hemorrhage. • Normal radiographic appearance. INDICATION DR.TINET MARY AUGUSTINE.BDS.MDS 116
  • 117.
     Evidence thatradicular pulp has undergone degenerative changes  Purulent drainage  History of prolonged pain  Necrotic debris in canal  Periapical radiolucency CONTRAINDICATION DR.TINET MARY AUGUSTINE.BDS.MDS 117
  • 118.
     Proposed byMejare and Cvek in 1978.  Indicated in young permanent teeth where the pulp is exposed by mechanical or bacterial means and the remaining radicular tissue is judged vital by clinical and radiographic criteria whereas the root closure is not complete. PARTIAL PULPOTOMY - CVEK PULPOTOMY. DR.TINET MARY AUGUSTINE.BDS.MDS 118
  • 119.
     Administration ofan anesthetic (possibly without a vasoconstrictor), rubber dam placement, and superficial disinfection  1- to 2-mm deep cavity is prepared into the pulp, using a high-speed handpiece with a sterile diamond bur of appropriate size and copious water coolant  bleeding is excessive, the pulp is amputated deeper until only moderate hemorrhage is seen.  Excess blood is carefully removed by rinsing with sterile saline, and the area is dried with a sterile cotton pellet.  Use of 5% sodium hypochlorite ( bleach) TECHNIQUE DR.TINET MARY AUGUSTINE.BDS.MDS 119
  • 120.
     A thinlayer of pure calcium hydroxide is mixed with sterile saline or anesthetic solution to a thick mix and carefully placed on the pulp stump.  The prepared cavity is filled with a material with the best chance of a bacteria- tight seal to a level flush with the fractured surface. DR.TINET MARY AUGUSTINE.BDS.MDS 120
  • 121.
  • 122.
  • 123.
  • 124.
  • 125.
  • 126.
  • 127.
  • 128.
     Minor injuryto the pulp  Undisturbed physiologic apposition of dentin, especially in the critical cervical area of the tooth.  Coronal pulp remains, which allows sensitivity testing to be carried out at the follow-up visits.  Prognosis is extremely good (94% to 96%).  Compared with pulp capping, it implies better wound control and, by sealing off the cavity with a material which does not allow microleakage, provides effective protection for the pulp. ADVANTAGE DR.TINET MARY AUGUSTINE.BDS.MDS 128
  • 129.
     Cvek, (1978)reported 96% success rate with partial pulpotomy technique regardless of the stage of the root development, contamination by the oral fluids (up to 7 days), or size of the original exposure (up to 4mm).  Fuks et al (1987) reported 94% success with partial pulpotomy or shallow pulpotomy technique when employed in complicated crown fractures. SUCCESS RATE DR.TINET MARY AUGUSTINE.BDS.MDS 129
  • 130.
     Blanco, (1996)concluded that, the partial pulpotomy technique is a successful and permanent treatment of crown fractures with pulpal exposure regardless of the size of exposure, the maturity of the root, or the interval between accident and dental treatment.  Blanco and Cohen (2002) evaluated the Cveks pulpotomy in the management of immature and mature teeth and found that treatment is successful and concluded that partial pulpotomy remains the prudent treatment choice with proper case selection. DR.TINET MARY AUGUSTINE.BDS.MDS 130
  • 131.
     Full pulpotomyinvolves removal of the entire coronal pulp to a level of the root orifices. FULL PULPOTOMY/CERVICAL PULPOTOMY DR.TINET MARY AUGUSTINE.BDS.MDS 131
  • 132.
     Traumatic exposuresafter more than 72 hour  Carious exposure of a young tooth with a partially developed apex  Contraindicated in mature teeth. INDICATION DR.TINET MARY AUGUSTINE.BDS.MDS 132
  • 133.
     Administration ofan anesthetic,  Rubber dam placement,  Superficial disinfection,  The coronal pulp is removed to the level of the root orifices calcium hydroxide dressing, a bacteria-tight seal, and coronal restoration. TECHNIQUE DR.TINET MARY AUGUSTINE.BDS.MDS 133
  • 134.
     Sensitivity testingnot possible, owing to the loss of coronal pulp CONSIDERATION DR.TINET MARY AUGUSTINE.BDS.MDS 134
  • 135.
     Radiographic Evaluation-to assess for signs of apical periodontitis and to ensure the continuation of root formation  Clinical evaluation FOLLOW UP DR.TINET MARY AUGUSTINE.BDS.MDS 135
  • 136.
     Range of75%, is poorer than for partial pulpotomy.  Because of the inability to evaluate pulp status after full pulpotomy, some authors have recommended radicular procedure having a success rate in the range of 95%, whereas if apical periodontitis develops, the prognosis of root canal treatment drops significantly to about 80% PROGNOSIS DR.TINET MARY AUGUSTINE.BDS.MDS 136
  • 137.
    • Obliteration ofthe pulp chamber, • High solubility in oral fluids, • Lack of adhesion to the dentin. • Multiple visits are required • Hard tissue formed under calcium hydroxide has tunnel defects. DISADVANTAGE(when using CaOH) Accorinte Mde L, Holland R, Reis A, Bortoluzzi MC, Murata SS, Dezan E, Jr, et al. Evaluation of mineral trioxide aggregate and calcium hydroxide cement as pulp-capping agents in human teeth. J Endod. 2008;34:1–6.DR.TINET MARY AUGUSTINE.BDS.MDS 137
  • 138.
    MTA PULPOTOMY DR.TINET MARYAUGUSTINE.BDS.MDS 138
  • 139.
  • 140.
  • 141.
    • No clinicalsymptoms • No radiographically demonstrable intraradicular or periradicular pathological changes • Continued root development in immature teeth • Radiographically observed (and eventually clinically verified) continuous hard tissue barrier • Positive sensitivity to electrical stimulation • Follow-up for at least 3 years. EVALUATION DR.TINET MARY AUGUSTINE.BDS.MDS 141
  • 142.
    HEALING FREQUENCIES DR.TINET MARYAUGUSTINE.BDS.MDS 142
  • 143.
    CLASS IV- toothdevitalized by trauma with or without loss of tooth structure. DR.TINET MARY AUGUSTINE.BDS.MDS 143
  • 144.
    IMMATURE TOOTH DR.TINET MARYAUGUSTINE.BDS.MDS 144
  • 145.
    • It isdefined as a method to induce development of the root apex of an immature pulpless tooth by formation of osteocementum/bone like tissue (Cohen).  Apexification is a method of inducing apical closure through the formation of mineralized tissue in the apical pulp region of a nonvital tooth with an incompletely formed root and an open apex (Morse et al. 1990). APEXIFICATION DR.TINET MARY AUGUSTINE.BDS.MDS 145
  • 146.
     For nonvitalpermanent teeth with open apex (Blunderbuss canals).  To induce either closure of open apical third of root canal or the formation of an apical calcific barrier against which obturation can be achieved. INDICATION DR.TINET MARY AUGUSTINE.BDS.MDS 146
  • 147.
    • Moller etal. (981) have shown that infected necrotic pulp tissue induces strong inflammatory reactions in the periapical tissues. Therefore removal of the infected pulp tissue should create an environment conducive to apical closure without use of a medication. • McCormick et al. (1983) have hypothesized that debridement of the root canal and removal of the necrotic pulp tissue and microorganisms along with a decrease in pulp space are the critical factors in apexification. • Chawla HS et al , England MC et al, Whittle M et al - have described apical closure without the use of a medicament. DIFFERENT VIEWS DR.TINET MARY AUGUSTINE.BDS.MDS 147
  • 148.
    • Das Set al instrumentation may in fact hamper root development and that preparation of these canals should be done cautiously, if at all . • Cooke and Robotham hypothesize that the remnants of Hertwig’s epithelial root sheath, under favorable conditions, may organize the apical mesodermal tissue into root components. They advise avoidance of trauma to the tissue around the apex. DR.TINET MARY AUGUSTINE.BDS.MDS 148
  • 149.
     Zinc oxideeugenol  Tricalcium phosphate+β-tricalcium phosphate  Resorbable tricalcium phosphate  Collagen–calcium phosphate gel  Calcium hydroxide  Mineral trioxide aggregate. MEDICAMENTS USED DR.TINET MARY AUGUSTINE.BDS.MDS 149
  • 150.
    • Calcium hydroxidewas first introduced by Kaiser in 1964 who proposed that this material mixed with camphorated parachlorophenol (CMCP) would induce the formation of a calcified barrier across the apex • Popularized by Frank CALCIUM HYDROXIDE DR.TINET MARY AUGUSTINE.BDS.MDS 150
  • 151.
    Hard Tissue ApicalBarrier • Pure calcium hydroxide powder is mixed with sterile saline (or anesthetic solution) to a thick (powdery) consistency The calcium hydroxide is packed against the apical soft tissue with a plugger or thick point to initiate hard tissue formation. • This step is followed by backfilling with calcium hydroxide to completely fill the canal Traditional Method - calcium hydroxide apexification DR.TINET MARY AUGUSTINE.BDS.MDS 151
  • 152.
     Calcium hydroxidewashout is evaluated by its relative radiodensity in the canal, it is prudent to use a calcium hydroxide mixture without the addition of a radiopaquer, such as barium sulfate..  At 3-month intervals, a radiograph is exposed to evaluate whether a hard tissue barrier has formed and if the calcium hydroxide has washed out of the canal.  Excessive calcium hydroxide dressing changes should be avoided - because the initial toxicity of the material is thought to delay healing. DR.TINET MARY AUGUSTINE.BDS.MDS 152
  • 153.
    • When completionof a hard tissue barrier is suspected, the calcium hydroxide washed out of the canal with NaOCl • A file of a size that can easily reach the apex can be used to gently probe for a stop at the apex. • When a hard tissue barrier is indicated radiographically and can be probed with an instrument, the canal is ready for filling. DR.TINET MARY AUGUSTINE.BDS.MDS 153
  • 154.
     Periapical healingand the formation of a hard tissue barrier occur predictably with long-term calcium hydroxide treatment (79% to 96%).  There are several associated problems : 1. The time required for formation of the calcified barrier (3-24 months) 2. Multiple appointments needed for reapplication of calcium hydroxide 3. The effect of long-term (several months or more) calcium hydroxide on the mechanical properties of dentin. PROGNOSIS DR.TINET MARY AUGUSTINE.BDS.MDS 154
  • 155.
    Frank's criteria forapexification DR.TINET MARY AUGUSTINE.BDS.MDS 155
  • 156.
     Care mustbe taken to avoid excessive lateral force during filling, owing to the thin walls of the root.  Hard tissue barrier consists of irregularly arranged layers of coagulated soft tissue, calcified tissue, and cementum like tissue, islands of soft connective tissue, giving the barrier a “Swiss cheese” consistency.  Formation of the hard tissue barrier might be some distance short of the radiographic apex  Filling should be completed to the level of the hard tissue barrier and not forced toward the radiographic apex. Filling the Root Canal DR.TINET MARY AUGUSTINE.BDS.MDS 156
  • 157.
    CONSIDERATION  Exposure tocalcium hydroxide denatures the carboxylate and phosphate groups in dentin .  Highest frequency of fracture occurred in teeth with the least developed roots . Andreasen JO, Farik B, Munksgaard EC. Long-term calcium hydroxide as a root canal dressing may increase risk of root fracture. Dent Traumatol 2002;18:134-7 DR.TINET MARY AUGUSTINE.BDS.MDS 157
  • 158.
    • Chawla (1980)suggests that that it suffices to place the paste only once and wait for radiographic evidence of barrier formation • Chosack et al. (1997) found that after the initial root filling with calcium hydroxide there was nothing to be gained by repeated root filling either monthly or after 3 months. • Proponents of a single application claim that the calcium hydroxide is only required to initiate the healing reaction and therefore repeated applications are not warranted How often the calcium hydroxide dressing should be changed?? DR.TINET MARY AUGUSTINE.BDS.MDS 158
  • 159.
    • Calcium hydroxideshould be replaced only when symptoms develop or the material appears to have washed out of the canal when viewed radiographically. Cvek M. Treatment of non-vital permanent incisors with calcium hydroxide. I. Follow-up of periapical repair and apical closure of immature roots. Odonotol Revy 1972;23:27–44. Feiglin B. Differences in apex formation during apexification with calcium hydroxide paste. Endod Dent Traumatol 1985;1:195–9. DR.TINET MARY AUGUSTINE.BDS.MDS 159
  • 160.
    • Radiographs cannotbe relied upon to determine the amount of calcium hydroxide remaining in the canal or to demonstrate whether or not the barrier is complete. • It allows clinical assessment of barrier formation and may increase the speed of bridge formation • Ideal time to replace a dressing depends on the stage of treatment and the size of the foramen opening. • removal of the pulp could be a more successful procedure, although no age limit can be set for either pulp preservation or removal. However, conservative treatment Abbot P. Apexification with calcium hydroxide – when should the dressing be changed? The case for regular dressing changes. Aust Endod J 1998;24:27–32DR.TINET MARY AUGUSTINE.BDS.MDS 160
  • 161.
    • Sheehy andRoberts - 5 to 20 months. • Finucane and kinirons - mean time to barrier formation was 34.2 weeks (range 13–67 weeks). • Age may be inversely related to the time required for apical barrier formation. Time required for apical barrier formation in apexification using calcium hydroxide DR.TINET MARY AUGUSTINE.BDS.MDS 161
  • 162.
    • Cvek hasreported that infection and/or the presence of a periapical radiolucency at the start of treatment increases the time required for barrier formation • Kleier and Barr found that in the presence of symptoms the time required for apical closure was extended by approximately 5 months to an average of 15.9 months DR.TINET MARY AUGUSTINE.BDS.MDS 162
  • 163.
    • Morse etal. - as the non-surgical condensation of a biocompatible material into the apical end of the root canal. • The rationale is to establish an apical stop that would enable the root canal to be filled immediately. ONE VISIT APEXIFICATION DR.TINET MARY AUGUSTINE.BDS.MDS 163
  • 164.
     MTA  BIODENTIN MATERIALOF CHOICE DR.TINET MARY AUGUSTINE.BDS.MDS 164
  • 165.
    • MTA hasgood physical characteristics and is biocompatible. • Provides a very good seal • Has excellent marginal adaptation • Maintains a high pH for a long period of time. MTA DR.TINET MARY AUGUSTINE.BDS.MDS 165
  • 166.
    MTA or OneVisit Apexification DR.TINET MARY AUGUSTINE.BDS.MDS 166
  • 167.
  • 168.
    • Within sixmonths, a 0.43 mm thick dentin bridge is evident when MTA is used compared to 0.15 mm with no odontoblastic layer in the case of calcium hydroxide. • Accorinte et al., have reported that pulp healing with calcium hydroxide is slower than that with MTA, when used as a pulp capping agent in human teeth. • Sarkar et al. have proved that MTA can bond chemically to the dentin by a diffusion-controlled reaction between the apatite layer of MTA and the dentin. • Chen et al. have shown that MTA is biocompatible and appears to have osetoconduction effects on the bone cells COMPARITIVE STUDIES DR.TINET MARY AUGUSTINE.BDS.MDS 168
  • 169.
    • Witherspoon andHam - MTA provides scaffolding for the formation of hard tissue and the potential of a better biological seal. • Regan and Gutmann - consider that the importance of this technique lies in the expedient cleaning and shaping of the root canal system, followed by its apical seal with a material that favors regeneration. Fractures of immature teeth with thin roots is reduced - a bonded core can be placed immediately within the root canal. DR.TINET MARY AUGUSTINE.BDS.MDS 169
  • 170.
  • 171.
  • 172.
     “Biologically basedprocedures designed to replace damaged structures, including dentin and root structures, as well as cells of the pulp-dentin complex.  Regeneration of functional pulpal tissue - utilizing protocols referred to as regenerative endodontic procedures (REPs). REGENERATIVE ENDODONTICS Murray PE, Garcia-Godoy F, Hargreaves KM. Regenerative endodontics: a review of current status and a call for action. J Endod 2007;33:377-90 DR.TINET MARY AUGUSTINE.BDS.MDS 172
  • 173.
     Complete restorationof pulpal function  Healing of apical periodontitis  Continued development of the root apex  Increased thickness of the root canal wall of immature teeth with pulpal necrosis.  Regenerative endodontic therapy - an alternative treatment approach builds on the principles of Regenerative medicine and Tissue engineering. GOALS DR.TINET MARY AUGUSTINE.BDS.MDS 173
  • 174.
    Tissue engineering isan interdisciplinary field that integrates the principles of biology and engineering to develop biological substitutes that replace or regenerate human cells, tissue or organs in order to restore or establish normal function TISSUE ENGINEERING DR.TINET MARY AUGUSTINE.BDS.MDS 174
  • 175.
    KEY ELEMENTS OFTISSUE ENGINEERING DR.TINET MARY AUGUSTINE.BDS.MDS 175
  • 176.
     Stem cellsare defined as a distinct subpopulation of undifferentiated cells with self-renewal and differentiation potential. There are two main types:  Embryonic, and adult or postnatal. STEM CELLS DR.TINET MARY AUGUSTINE.BDS.MDS 176
  • 177.
    • Tooth germprogenitor cells (TGPCS); • Dental follicle stem cells (DFSCS); • Salivary gland stem cells - SGSCS); • Stem cells of the apical papilla (SCAP); • Dental pulp stem cells (DPSCS); • Inflamed periapical progenitor cells (IPAPCS); • Stem cells from human exfoliated deciduous teeth(shed); • Periodontal ligament stem cells (PDLSCS), • Bone marrow stem cells (BMSCS) • oral epithelial stem cells (OESCS); • Gingival-derived mesenchymal stem cells (GMSCS); • Periosteal stem cells (PSCS). Sources of postnatal stem cells in the oral environment Hargreaves KM, Diogenes A, Teixeira FB: Treatment options: biologic basis of regenerative endodontic procedures, J Endod 39:s30, 2013DR.TINET MARY AUGUSTINE.BDS.MDS 177
  • 178.
     The apicalpapilla and its residing stem cells (SCAP) were first characterized in 2006.  The apical papilla is a dense reservoir of undifferentiated MSCs with great proliferative and odontogenic differentiation capacity.  SCAP are regulated by Hertwig’s epithelial root sheath DR.TINET MARY AUGUSTINE.BDS.MDS 178
  • 179.
    Growth Factors  Growthfactors are proteins that bind to receptors on the cell and act as signals to induce cellular proliferation and/or differentiation  Key growth factors in pulp and dentin formation - bone morphogenetic protein, transforming growth factor–beta and fibroblastic growth factor .  Current REPs - utilize growth factors found in platelets and dentin . DR.TINET MARY AUGUSTINE.BDS.MDS 179
  • 180.
     Dentin containsa number of bioactive molecules that, when released, play an important role in regenerative procedures  Dentine phosphoprotein (DPP) and dentine sialoprotein (DSP) - noncollagenous proteins of organic matrix.  Dentin-derived growth factors are thought to play a key role to be deciphered into the regulation of progenitor cell recruitment, cell proliferation, and differentiation of new dentine-secreting cells Smith AJ, Scheven BA, Takahashi Y, et al. Dentine as a bioactive extracellular matrix. Arch Oral Biol 2012;57:109-21. 26. Sun HH, Jin T, Yu Q, et al. Biological approaches toward dental pulp regeneration by tissue engineering. J Tissue Eng Regen Med 2011;5:e1-16.DR.TINET MARY AUGUSTINE.BDS.MDS 180
  • 181.
  • 182.
    Scaffolds  Scaffolds providesupport for cell organization, proliferation, differentiation and vascularization  Provide a spatially correct position of cell location  Nutrient and gaseous exchanges Galler KM, Hartgerink JD, Cavender AC, et al. A customized self-assembling peptide hydrogel for dental pulp tissue engineering. Tissue Eng Part A 2012;18:176-84. DR.TINET MARY AUGUSTINE.BDS.MDS 182
  • 183.
    • Dentin ,the blood clot, platelet-rich plasma ,platelet rich fibrin. • Biodegradable or permanent scaffolds made of natural (collagen, hyaluronic acid, chitosan and chitin) • Synthetic - polylactic acid, polyglycolic acid, tricalcium phosphate, polyepsilon caprolactone,hydroxyapatite materials • Peptide hydrogel nanofibers and various fibrin gels SCAFFOLDS DR.TINET MARY AUGUSTINE.BDS.MDS 183
  • 184.
    What are theConsiderations for Clinical Regenerative Endodontic Procedures? 1. Young patient 2. Necrotic pulp and immature apex 3. Minimal or no instrumentation of the dentinal walls 4. Placement of an intracanal medicament 5. Creation of a blood clot or protein scaffold in canal 6. Effective coronal seal . Law A. Considerations for regeneration procedures. J Endod 2013;39(3 Suppl):S44-56. DR.TINET MARY AUGUSTINE.BDS.MDS 184
  • 185.
    Procedure  Two- ormulti-step procedure  The first appointment-proper access and disinfection of the pulp space.  The second appointment focuses on removing the antimicrobial medicament  Releasing growth factors from the dentin (e.G., By irrigating EDTA) DR.TINET MARY AUGUSTINE.BDS.MDS 185
  • 186.
    PROTOCOLS TO BEFOLLOWED FIRST APPOINTMENT-DISINFECTION ANESTHESIA, RUBBER DAM ISOLATION REMOVAL OF CARIES IF ANY,DEROOFING OF PULPCHAMBER,REMOVAL OF CORONAL PULP ,GET A STRAIGHT LINE ACCESS COPIOUS IRRIGATION 1.5% NaOCl (20ml/canal ,5min) ; Saline/EDTA (20ml/canal ,5min) DRY CANAL WITH PAPER POINTS PLACE INTRACANAL MEDICAMENT Triple antibiotic paste/calcium hydroxide CORONAL SEAL TO PREVENT MICROLEAKAGE DR.TINET MARY AUGUSTINE.BDS.MDS 186
  • 187.
    SECOND APPOINTMENT(2-4 WEEKS) ASSESSTHE RESPONSE OF INITIAL TREATMENT ANESTHESIA,3%MEPIVACAINE WITHOUT VASOCONSTRICTOR ISOLATION COPIOUS GENTLE IRRIGATION WITH 20ML OF 17% EDTA DRY WITH PAPER POINT. CORONAL SEAL -PLACE 3-4MM RMGIC PLACE A RESORBABLE MATRIX OVER THE BLOOD IF NECESSARY AND WHITE MTA/BIODENTIN AS CAPPING MATERIAL INDUCE BLEEDING PASSING 2MM PAST APICAL FORAMEN TO THE LEVEL OF CEJ COMPLETE SEAL USING PREFORMED CROWNS/CONVENTIONAL CROWNS DR.TINET MARY AUGUSTINE.BDS.MDS 187
  • 188.
    A) Root canalrevascularization via blood clotting First Treatment Visit for Regenerative Endodontics DR.TINET MARY AUGUSTINE.BDS.MDS 188
  • 189.
    • Typically 2to 4 Weeks after the First Visit • Clinical exam to ensure that that there is no moderate to severe sensitivity to palpation & percussion. • Local anesthesia (no epinephrine), rubber dam isolation is obtained. • Intracanal medicament is removed by irrigating with 17% EDTA (30 mL/canal, 5 min) & then a final flush with saline (5 mL/canal, 1 min). • Canals - dried with paper points. Final (Second) Treatment Visit for Regenerative Endodontics DR.TINET MARY AUGUSTINE.BDS.MDS 189
  • 190.
    • Bleeding isinduced by rotating a precurved K-file size #25 at 2 mm past the apical foramen - whole canal filled with blood to the level of the cementoenamel junction. • Premeasured piece of collaplug is carefully placed on top of the blood clot to serve as an internal matrix for the placement of approximately 3 mm of white MTA (Dentsply, Tulsa, OK) or Biodentin (Septodont). • 3- to 4-mm layer of glass ionomer layer is flowed gently over the bioactive coronal barrier & light cured for 40 secs. • A bonded reinforced composite resin restoration is placed over the glass ionomer. • Followed-up at 3 months, 6 months, and yearly after that for a total of 4 years. DR.TINET MARY AUGUSTINE.BDS.MDS 190
  • 191.
  • 192.
  • 193.
    Advantage  Easy delivery,adequate mechanical properties, controllable biodegradation & incorporation of growth factors. Disadvantage  The blood clot contains a great number of hematopoietic cells that eventually undergo cell death, releasing their toxic intracellular enzymes into the microenvironment, which may be detrimental to stem cell survival. DR.TINET MARY AUGUSTINE.BDS.MDS 193
  • 194.
    Medicaments to disinfectthe canal space  Triple antibiotic paste ( 1 : 1 : 1 mixture of ciprofloxacin/metronidazole/minocycline)  Ca(OH)2  An in vitro study has shown that a TAP concentration of 39 μg/mL would be best for application in disinfection root canal Chuensombat S., Khemaleelakul S., Chattipakorn S., Srisuwan T. Cytotoxic effects and antibacterial efficacy of a 3-antibiotic combination: an in vitro study. Journal of Endodontics. 2013;39(6):813–819. doi: 10.1016/j.joen.2012.11.041.DR.TINET MARY AUGUSTINE.BDS.MDS 194
  • 195.
     Tooth isasymptomatic and functional Radiographic evaluation: 6-12 months  Resolution of periapical radiolucency  May see increased dentinal wall thickness 12-24 months  Increased dentinal wall thickness  Increased root length Guidelines for clinical and radiographic follow- up evaluation DR.TINET MARY AUGUSTINE.BDS.MDS 195
  • 196.
     Discoloration ofthe tooth after revascularisation- due to minocycline in TAP or MTA ( grey/white) -cervical barrier  Patient compliance  Nature of the hard tissue formed – cementum like, bone like or PDL like tissues  Poor root devolopment  Increased dentin wall thickness occurs in the apical third and middle third and not in cervical third Drawbacks or limitations DR.TINET MARY AUGUSTINE.BDS.MDS 196
  • 197.
     Revascularisation dependson the presence of stem cells and growth factors  Calcification of the canal space after the procedure  Chances for failure after revascularization- high in long standing chronic infections DR.TINET MARY AUGUSTINE.BDS.MDS 197
  • 198.
    PRF- Platelet richfibrin DR.TINET MARY AUGUSTINE.BDS.MDS 198
  • 199.
  • 200.
    Drawbacks to theirclinical use: • The process requires collection of intravenous blood that can be challenging in children, • The diversity and concentration of growth factors within PRP and PRF preparations are not controllable, • They lack temporal degradation control and the mechanical strength to support a coronal restoration.. DR.TINET MARY AUGUSTINE.BDS.MDS 200
  • 201.
    Contemp Clin Dent.2015 Jan-Mar; 6(1): 63–68 • PRF has huge potential to accelerate the growth characteristics in immature necrotic permanent teeth as compared to PRP and blood clot. DR.TINET MARY AUGUSTINE.BDS.MDS 201
  • 202.
  • 203.
  • 204.
    Whether the procedureshould be considered a permanent treatment???. • These teeth will develop obliteration of the canal lumen and should have clinic- radiological follow-up • Nygaard-Ostby - several degrees of internal root canal resorption after 10 months, • Obliteration of the root canal following the REP procedure, might lead to endodontic and prosthetic future complication Wigler R, Kaufman AY, Lin S, et al. Revascularization: a treatment for permanent teeth with necrotic pulp and incomplete root development. J Endod 39: 319-326, 201 DR.TINET MARY AUGUSTINE.BDS.MDS 204
  • 205.
    • failure iscoronal microleakage of saliva -an obliterated root canal also obstructs the adequate orthograde treatments which commonly leads to technical complications such as root perforation or instrument breakage. Hugo Plascencia , Álvaro Cruz ,Mariana Díaz, Ana Laura Jiménez Root Canal Filling after Revascularization/Revitalization The Journal of Clinical Pediatric Dentistry Volume 40, Number 6/2016 DR.TINET MARY AUGUSTINE.BDS.MDS 205
  • 206.
    FACTORS DETERMINING THESUCCESS OF THE PROCEDURE DR.TINET MARY AUGUSTINE.BDS.MDS 206
  • 207.
    OVERALL OF THECLINICAL PROCEDURES Hoshino E, Kurihara-Ando N, Sato I, Uematsu H, Sato M, Kota K, Iwaku M. In-vitro antibacterial susceptibility of bacteria taken from infected root dentine to a mixture of ciprofloxacin, metronidazole and minocycline. Int Endod J. 1996;29:125 DR.TINET MARY AUGUSTINE.BDS.MDS 207
  • 208.
  • 209.
  • 210.
  • 211.
  • 212.
    THANK YOU DR.TINET MARYAUGUSTINE.BDS.MDS 212