CT NGỰC
Ths. BS. Hoàng Đình Dương
MỤC TIÊU
1. Hiểu các khái niệm cơ bản
2. Biết cách đọc phim CT ngực
3. Nhận biết các bất thường trên CT ngực
4. Phân tích được bất thường trên CT
ngực là tổn thương gì
5. Kết luận bệnh lý trên CT ngực
NỘI DUNG
1. KHÁI NIỆM VỀ CT
2. CT NGỰC: KỸ THUẬT, CHỈ ĐỊNH, CÁC LOẠI CT
NGỰC
3. CÁC BƯỚC ĐỌC CT NGỰC
4. CẤU TRÚC GIẢI PHẪU VÙNG NGỰC TRONG CT
NGỰC: PHỔI, TRUNG THẤT, MẠCH MÁU
5. CÁC MẶT CẮT CT NGỰC
6. CÁC TỔN THƯƠNG TRÊN CT NGỰC
7. CÁC LÁT CẮT CT NGỰC (ÔN TẬP) + CÁC DẤU
HIỆU TRONG XQ-CT NGỰC
8. CÁC TÌNH HUỐNG LÂM SÀNG
KHÁI NIỆM
• CT scanner (Computed Tomography): chụp
cắt lớp vi tính
• MSCT (Multislide Computed Tomography)
chụp cắt lớp vi tính đa lớp cắt
• CT dùng tia X
# ảnh CT scan không phải là ảnh tia X, mà là
ảnh được tái tạo lại từ bộ nhớ của máy tính
• Thế hệ đầu tiên 4 lát cắt/giây, rồi lên 16, 32,
64, 128 và hiện nay 640 lát cắt
Máy CT scanner
Máy CT scanner
QUY TRÌNH CHỤP CT
Trước khi chụp CT
• Tháo bỏ tất cả các vật bằng kim loại: trang sức, kẹp tóc, kính,
đồng hồ, áo nịt ngực có gọng kim loại, thiết bị trợ thính và răng giả
vì chúng sẽ gây nhiễu ảnh khi chụp.
• Có thai hoặc nghi ngờ có thai phải thông báo cho nhân viên y tế
• Bệnh nhân phải thông báo nếu đang mắc một trong các bệnh: tiểu
đường, tĩnh mạch, hen suyễn, thận và dị ứng thuốc.
• Bệnh nhân và người thân cần ký vào bản cam kết tiêm thuốc cản
quang nếu cần tiêm thuốc cản quang.
• Nhịn ăn trước 4 - 6 giờ tiêm thuốc cản quang. Bệnh nhân có thể
uống nước với lượng vừa phải trước khi chụp cắt lớp vi tính 2 giờ.
• Trẻ sơ sinh hoặc trẻ mới biết đi, bác sĩ có thể cho trẻ ngủ để chụp
các bộ phận không tiêm thuốc, phải tiêm thuốc cản quang thì cần
cho trẻ dùng an thần để tránh trẻ cử động khi tiêm thuốc cản quang.
• Tùy vào vị trí cơ thể cần chụp CT, người bệnh có thể được yêu cầu
cởi quần, áo và mặc áo do bệnh viện cung cấp.
Trong khi chụp CT
• Bệnh nhân nằm ngửa trên bàn trong phòng chụp hoặc nằm theo
một số tư thế đặc biệt theo yêu cầu của chẩn đoán.
• Thời gian chụp cắt lớp vi tính thường kéo dài 3 - 5 phút, một số
trường hợp kéo dài hơn (lên tới 15 - 45 phút) sẽ được nhân viên y
tế giải thích kỹ lưỡng cho bệnh nhân.
• Khi chụp CT bệnh nhân cần nằm yên. Nếu chụp ngực và bụng,
người bệnh nên nín thở theo hướng dẫn của nhân viên y tế.
• Bệnh nhân có tiêm thuốc cản quang thường có cảm giác nóng dọc
theo vùng mặt, cổ, ngực và có thể lan tới vùng bẹn trong vòng vài
giây, người bệnh vẫn cần nằm yên khi chụp để có kết quả tốt nhất.
• Một số trường hợp chụp CT đường tiêu hóa, y bác sĩ có thể yêu
cầu bệnh nhân uống thuốc cản quang hoặc nước để tăng độ
tương phản cấu trúc ống tiêu hóa, hỗ trợ chẩn đoán tốt hơn.
QUY TRÌNH CHỤP CT
Sau khi chụp CT
• Bệnh nhân không tiêm thuốc cản quang có thể hoạt động bình
thường, ăn uống thêm nếu không phải làm thêm các xét nghiệm
khác.
• Bệnh nhân có tiêm thuốc cản quang sau khi chụp vẫn giữ đường
truyền ở tĩnh mạch và được theo dõi trong phòng theo dõi khoảng
30 phút, nếu không có diễn biến bất thường thì nhân viên y tế sẽ
tháo kim ra nếu không có chỉ định sử dụng đường truyền tĩnh
mạch). Sau tháo kim người bệnh cần đè tay vào vị trí tiêm thuốc
trong khoảng 5 - 10 phút để tránh chảy máu. Trong vòng 24 giờ sau
tiêm thuốc cản quang, người bệnh cần uống nhiều nước để đào thải
thuốc ra khỏi cơ thể.
• Nếu có biểu hiện bất thường như chóng mặt, buồn nôn, nôn ói,
ngứa, đỏ da, khó thở, sốt,... sau khi chụp cắt lớp vi tính thì bệnh
nhân nên thông báo ngay với nhân viên y tế hoặc đến cơ sở y tế
gần nhất để thăm khám, phát hiện bệnh.
QUY TRÌNH CHỤP CT
CLIP 1
Đậmđộ:đơnvịHounsfields (HU)
KHÁI NiỆM VỀ CỬA SỔ (WINDOW-WIDTH)
VÀ MỰC NGANG GiỮA (LEVEL)
October 31, 2014 8
CẤU TRÚC MÔ QUA CT
Đơn vị tỉ trọng Housfield: có ba loại cấu trúc dựa
theo tỉ trọng:
1. Cấu trúc tăng tỉ trọng: số đo tỉ trọng cao hơn
mô lành cùng loại.
2. Cấu trúc giảm tỉ trọng: số đo tỉ trọng thấp hơn
mô lành cùng loại
3. Cấu trúc đồng tỉ trọng: số đo tỉ trọng ngang
bằng mô lành cùng loại.
- Cấu trúc dịch: dịch trong các nang thận, dịch thấm có tỉ trọng gần với
tỉ trọng nước. phụ thuộc nhiều vào lượng protein có trong dịch. Dịch
nang là dịch vô mạch, nên tỉ trọng sẽ không đổi khi tiêm thuốc cản
quang tĩnh mạch.
- Dịch tiết hoặc dịch viêm có lượng albumin cao trên 30g/l, tỉ trọng 20-
30 đơn vị H.
- Máu, ổ máu tụ: lượng albumin của các phân tử hữu hình.
• Máu mới tỉ trọng 55 đơn vị H, khi các thành phần hữu hình tan hết, tỉ
trọng giảm xuống 15-20 đơn vị H.
• Máu cục tỉ trọng cao hơn hẳn máu trong tuần hoàn. Hiện tượng tăng
tỉ trọng của ổ máu tụ chỉ tồn tại đến ngày thứ 7 sau chảy máu, sau
đó tỉ trọng trở nên cân bằng với mô mềm. Sau 2 tuần, tỉ trọng thấp
hơn mô mềm.
• Những ổ máu tụ lớn, giai đoạn muộn do fibrin lắng đọng tạo nên
một bao xung quanh, bên trong là dịch lỏng, trông giống như một
nang dịch.
CẤU TRÚC MÔ QUA CT
Nang gan
VỠ LOÉT ĐỘNG MẠCH CHỦ NGỰC
-> MÁU XOANG NGỰC (T)
- Ổ áp xe: dịch mủ tỉ trọng 30 đơn vị H, tổ
chức bao quanh giàu mạch máu, khi tiêm
thuốc cản quang vào tĩnh mạch sẽ thấy một
bao tăng tỉ trọng bao bọc quanh ổ áp xe. Tỉ
trọng của mủ trong ổ áp xe theo thời gian sẽ
giảm dần xuống gần bằng tỉ trọng của nước.
- Các ổ hoại tử: ổ giảm tỉ trọng rõ.
CẤU TRÚC MÔ QUA CT
Áp xe phổi (P)
CT NGỰC
Kỹ thuật chụp CT ngực
Chỉ định chụp CT ngực
Các bệnh lý gặp trong CT ngực
1. CTngựcthườngqui(standard/conventionalCT):
• Bềdày: 310mm
• Vùngkhảosátrộng,chụpnhanh
• Khảosáttoànbộnhumôphổi
• Tiêmcảnquang/TM:+/-
• Chỉđịnh:
 BấtthườngtrênXqngực
 ĐánhgiágđKphổi
 Theodõidicănphổi
 Bất thườngmàngphổi,trungthất
 Trànmủmàngphổi
KỸ THUẬT

Látcắt mỏng:1
-
‐
1
.
3
m
m

Chohình ảnhcó độphângiải cao:mạchmáu,phế
nang,môkẽ,đường dẫnkhí

Khôngtiêmcảnquang
2. CT ĐỘ PHÂN GIẢI CAO (HRCT)
Chỉđịnh
• TổnthươngphổilantoảtrênXq
• Xqbìnhthườngnhưngcóbấtthườngtrêncác
test CNhô hấp(PFT
s)
• Làppđánhgiácơ bảntrênBNbệnhphổilantoả
• Nốt phổi đơnđộc
• Bệnhphổi đanghoạt độnghoặccũ(xơ)
• Horamáu
• Hướngdẫnsinhthiết phổi
• Theo dõi mộtsốbệnhlý nhumôphổi
HRCT
Liều bức xạthấp hơn CTthông thường#30-50%
H/ảnhcó độ phângiải kémhơnCTthông
thường
Sửdụng:
 Tầmsoát Kphổi: đangNC
 Theo dõi: nhiễm trùng, saughép phổi, di
căn phổi
3. CT LIỀU THẤP
• CTđộngmạchphổi (pulmonaryCTangiography):
Thuyêntắcphổi
• CTđộngmạchchủngực(aortic CTangiography):
PhìnhĐMC


BóctáchĐMC


ChấnthươngĐMC


Chỉđịnh chụp ĐMCn
g
ự
c
-
‐
b
ụ
n
g
4. CT MẠCH MÁU (CT ANGIOGRAPHY)
1.Optimal (tối ưu)2.T
oolate (muộn). 3.T
ransient interruptionof contrast(gián đoạn)
Transient Interruption of Contrast: Deep inspiration results in dilution of
contrast in the right atrium by unopacified blood from the inferior vena
cava. (Gián đoạn thuốc tương phản)
Chỉđịnh:
 Huyết khối tĩnhmạch
 HCTM chủtrên
 Bất thường tĩnhmạch
5.CTngựccótiêmcảnquangthôngthường
Chỉđịnh:
-
‐ Bấtthườngtrung
thất, phổi, màng
phổi, thànhngực
-
‐ Xẹpphổithuỳ
-
‐ Phânbiệt hạchvới
mạchmáu
6.CThaithìhítvàovàthởra
Chỉđịnh: Bệnhlý gâytắc nghẽnđườngdẫnkhí:
CT NGỰC
• Axial: ngang,Sagittal: đứng dọc,Coronal: đứngngang
CT NGỰC
CỬASỔ:
1. T
rungthất/mômềm(mediastinalwindows)
2. Phổi (lungwindows)
3. Xương (bonewindows)
CT NGỰC
CÁC PHIM CT NGỰC
CT ngực
• Chụp CT ngực không cản quang
• Chụp CT ngực có cản quang
Các cửa sổ
• Cửa sổ trung thất
• Cửa sổ phổi
• Cửa sổ màng phổi
• Cửa sổ xương
XEM HÌNH KHÔNG CHÍCH CHẤT TƯƠNG PHẢN (CE-) TRƯỚC
RỒI MỚI ĐẾN HÌNH CÓ CHÍCH CHẤT TƯƠNG PHẢN (CE+)
October 31, 2014 10
CÁC CỬA SỔ CT NGỰC
Cửa sổ trung thất:
• Xem tim và các mạch máu lớn
• Các tổn thương có đậm độ bất thường hoặc
đồng đậm độ với mô mềm trung thất và phổi:
u, dịch, hạch trung thất…, cũng có thể thất
bật thường xương
Cửa sổ phổi: xem tràn khí màng phổi và
trung thất, kén khí, xơ, các tổn thương mô kẽ
Cửa sổ xương: thấy rõ hơn hình ảnh hủy
xương, chi tiết xương
PHÂN BiỆT HÌNH CỬA SỔ TRUNG THẤT VÀ CỬA SỔ PHỔI
October 31, 2014 7
CỬA SỔ TRUNG THẤT CỬA SỔ PHỔI
LEVEL=40 , WINDOW=400 LEVEL=-600 , WINDOW=1600
October 31, 2014 9
October 31, 2014 4
October 31, 2014 5
2/XEM HÌNH “SCOUT VIEW” ĐỂ BiẾT VỊ TRÍ LÁT CẮT
PA SCOUT X-RAY
October 31, 2014 6
• CỬA SỔ TRUNG THẤT (CS MÔMỀM)
• CỬA SỔ NHU MÔ (CS PHỔI)
• CỬA SỔ XƯƠNG
CÁC BƯỚC ĐỌC CT
1. Tuyến giáp kích thước, đậm độ
2. Thành ngực: mô mềm, tuyến vú (u)
3. Màng phổi: dày/u/đóng vôi MP, TDMP, TMMP
4. Nhu mô phổi
5. Tim: các buồng tim, màng ngoài tim (TDMT),
vôi hóa mạch vành
6. Mạch máu: ĐMC, ĐM phổi, các nhánh
(hẹp/ phình, bóc tách…)
7. Hạch: trung thất, hạch nách
CỬA SỔ TRUNG THẤT
CỬA SỔ TRUNG THẤT
1. Nhu mô phổi
2. Khí phế quản
3. Tìm khí bất thường: TKMP, TK trung
thất, TK dưới da
CỬA SỔ PHỔI
CỬA SỔ XƯƠNG
• Vị trí
• Kích thước
• Hình dạng
• Đường bờ
• Cấu trúc bên trong (đóng vôi, tạo hang, liềm khí…)
• Đậm độ (trước và sau tiêm thuốc)
• Liên quan cấu trúc xung quanh (TD: tổn thương vệ
tinh, co kéo màng phổi, xâm lấn mạch máu…)
CÁCH MÔ TẢ TỔN THƯƠNG
 ĐỌC PHIM THEO TRÌNH TỰ
 MỘT BỆNH LÝ CÓ NHIỀU DẠNG TỔN THƯƠNG PHỔI
& NGƯỢC LẠI
 KẾT HỢP VỚI TIỀN CĂN + LS  CHẨN ĐOÁN
VÀ CHẨN ĐOÁN PHÂN BIỆT
KẾT LUẬN
• Xác định rãnh liên thùy  thùy
• Phế quản và động mạch đi vào trung tâm
phân thùy phân thùy
GIẢI PHẪU PHÂN THÙY PHỔI
Đầumũitên:rãnhliên thùybé
Mũi tên:rãnh liênthùylớn
(S1)
(
S
1
-
‐
2
)
(S3)
(S1)
(S2) (
S
1
-
‐
2
)
(S3)
(S3)
(S6)
(S10) (S7)
(S9)
(
S
7
-
‐
8
(S5)
(S4)
(S5)
(S4)
(S8)
(S9)
(S10)
Posterior: sau - Anterior: trước - Superior: trên - Inferior: dưới
GIẢI PHẪU CÂY PHẾ QUẢN
• Vị trí:giữahaiphổi,sauxươngức,trước cộtsống,bắt
đầutừ lỗ trên lồngngực(thoracicinlet/outlet) đếncơ
hoành
• Giảiphẫu:chiathành4vùngtừ trên xuốngdựavào:
 T
rênĐMC(trung thất trên)(supraaortic)
 QuaiĐMC vàcửa sổphế chủ(aorticarch)
 CácĐMphổi,khoangdưới carina,ngáchTM đ
ơ
n
-
‐
thựcquản
 Timvàvùngcạnhtim (heartandparacardium)
TRUNG THẤT
• Internalmammaryartery:ĐM vútrong
• Innominateartery:ĐM thâncánhtayđầu
• Brachiocephalic vein: TMthâncánhtayđầu
Azygosarch:quaiTM đơn,aorticpulmonarywindow:cửasổphếchủ,pretracheal:
trước khíquản
HẠCH TRUNG THẤT
TA: thân trước (truncus
anterior)
IA: ĐM gian thùy
BT: thân đáy (basal trunk)
A1: đỉnh
A2: sau
A3: trước
A4: ngoài
A5: trong
A6: trên
A7: đáy trong
A8: đáy trước
A9: đáy ngoài
A10: đáy sau
ĐỘNG MẠCH PHỔI (P)
Thuỳtrên(P):
NhánhA1,A2,A3xuấtphát từthân trước
A1
A3 A3
Thuỳgiữa(P) mặttrước trongcủaĐMgianthuỳ
A6
A4 A5
A4
A
8
-
‐
9
-
‐
1
0
A7
Thuỳ dưới (P):
-
‐Nh
á
n
hA6:từ ĐMC gian thuỳ ngang mức
mặt sau trong
-
‐
N
h
á
n
hA7:đáyt
r
o
n
g
-
‐
c
ạ
n
htim, từ thân đáyđi xuốngvàotrong
A
9
-
‐
10
A7
A8
A10
A9
A8
A7
IA: ĐM gian thùy
BT: thân đáy (basal trunk)
A1 + A2: đỉnh sau
A3: trước
A4: ngoài
A5: trong
A6: trên
A7 + A8: đáy trước trong
A9: đáy ngoài
A10: đáy sau
ĐỘNG MẠCH PHỔI (T)
Thuỳtrên(T)
NhánhA1+2:từ mặttrênĐMphổi (T)đi lêntrên
NhánhA3:đi ratrước
A3
A1+
2 A1+
2
A3
A1+
2
Thuỳtrên(T)
NhánhA4:lưỡi trên, từ mặttrước ĐM gianthuỳđi lên trên
A4
A5
A6
Thuỳdưới (T)
NhánhA6:từ ĐM gianthuỳngangmứchoặcngaytrênchỗ xuất
phátĐMthuỳlưỡi, đi rasau
A4
A5
A6
Thuỳdưới(T):
NhánhA7+8:từ thân
đáy đi xuống,ra
trước, vào trong
NhánhA9:rangoài
NhánhA10:rasau
A9
A10
A8
A7
CÁC MẶT CẮT CT NGỰC
GIẢI PHẪU CT NGỰC BÌNH THƯỜNG
HÌNH 1
October 31, 2014
1, Coracoid. 2, Right clavicle. 3, Right common carotid artery.
4, Thyroid. 5, Internal jugular vein. 6, Left clavicle.
7, Left subclavian vein. 8, Left humeral head.
9, Scapular spine. 10, Spinous process.
12
HÌNH 2
1, Right humeral head. 2, Oesophagus. 3, Trachea. 4,
Left subclavian vein. 5, Scapular spine. 6, Glena
October 31, 2014 13
HÌNH 3
1, Right lung. 2, Rib. 3, Oesophagus. 4, Trachea.
5, Left brachiocephalic vein .
6, Left common carotid artery. 7,Left axillary vein.
8, Left Lung. 9, Transverse process. 10, Scapula.
October 31, 2014 14
HÌNH 4
1, Trachea. 2, Rib. 3, Brachiocephalic artery. 4, Left brachiocephalic vein .
5, Pectoralis major muscle. 6, Pectoralis minor muscle.
7, Left common carotid artery. 8, Left subclavian artery,
O
c
t
o
b
e
r
9
O
e
s
o
p
h
a
g
u
s
.
3
1
,2
0
1
4 10, Scapula. 15
HÌNH 5
1, Right lung. 2, Rib. 3, Trachea. 4, Left brachiocephalic vein .
5, Brachiocephalic artery. 6, Left common carotid artery.
7, Left subclavian artery. 8, Scapula. 9, Oesophagus.
10, Spinous process.
October 31, 2014 16
HÌNH 6
1, Oesophagus. 2, Rib. 3, Trachea. 4, Superior vena cava.
5, Brachiocephalic artery.
6, Left common carotid artery. 7, Aorta. 8, Scapula. 9, Spinal
canal.
October 31, 2014 17
HÌNH 7
1, Right lung. 2, Trachea. 3, Superior vena cava. 4, Aortic
arch.5, Left Lung. 6, Scapula 7, Vertebral body. 8, Rib.
October 31, 2014 18
HÌNH 8
1, Right lung. 2, Superior vena cava. 3, Thoracic ascending
aorta. 4, Thoracic descending aorta. 5, Rib. 6, Left Lung.
7, Oesophagus. 8, Trachea.
October 31, 2014 19
HÌNH 9
1, Right lung. 2, Right pulmonary vein. 3, Superior vena cava.
4, Thoracic ascending aorta. 5, Left pulmonary artery.
6, Left pulmonary vein. 7, Left Lung. 8, Scapula 9, Spinal canal. 10, Rib.
October 31, 2014 20
HÌNH 10
1, Right pulmonary artery. 2, Right lung. 3, Superior vena cava.
4, Thoracic ascending aorta. 5, Pulmonary trunk. 6, Left pulmonary vein.
7, Left pulmonary artery. 8, Scapula. 9, Rib10, Left Lung.
October 31, 2014 21
HÌNH 11
1, Right lung. 2, Right pulmonary artery. 3, Superior vena cava.
4, Thoracic ascending aorta. 5, Pulmonary artery root. 6, Left pulmonary vein.
7, Left pulmonary artery. 8, Rib. 9, Thoracic descending aorta
October 31, 2014 22
HÌNH 12
1, Right atrium. 2, Aortic root. 3, Pulmonary outflow
tract. 4, Left atrium. 5, Thoracic descending aorta.
October 31, 2014 23
CÁC TỔN THƯƠNG TRÊN CT NGỰC
 BỆNH LÝ MÀNG PHỔI
 BỆNH LÝ XOANG MÀNG PHỔI: TKPM, TDMP, MỦ MÀNG PHỔI
 BỆNH LÝ NHU MÔ PHỔI
 VIÊM PHỔI
 ÁP XE PHỔI
 XẸP PHỔI
 BÓNG/ KÉN KHÍ PHỔI
 KHÍ PHẾ THỦNG
 DÃN PHẾ QUẢN
 PHỔI BIỆT TRÍ
 THUYÊN TẮC PHỔI
 U PHỔI LÀNH TÍNH
 UNG THƯ PHỔI
 BỆNH LÝ TRUNG THẤT: U, HẠCH, KHÍ-MỦ TRUNG THẤT
 CÁC TỔN THƯƠNG KHÁC: VỠ HOÀNH, THOÁT VỊ HOÀNH…
BEÄNH LYÙ MAØNG PHOÅI
MAØNG PHOÅI
MAØNG PHOÅI
• MP thaønh ñöôïc caáp maùu bôûi maïch maùu heä thoáng, daãn löu veà
nhó (P) theo heä thoáng tónh maïch ñôn, baùn ñôn, tónh maïch vuù
trong.
• MP taïng ñöôïc caáp maùu bôûi maïch phoåi vaø daãn löu veà tónh
maïch phoåi.
MAØNG PHOÅI
-Bình thöôøng daøy 0.2-0.4mm.
*Toån thöông:
-Bernou: tuø
-Thöôøng keùo daøi theo khoang maøng phoåi, giôùi haïn nhu moâ
phoåi roõ.
-Coù theå thaáy taùch laù thaønh, laù taïng (sau tieâm).
U MAØNG PHOÅI
-U maøng phoåi laønh tính: u sôïi (pleural fibroma) hay u trung
bieåu moâ laønh tính (benign mesothelioma), u môõ.
-U maøng phoåi aùc tính: Di caên maøng phoåi, u trung bieåu moâ aùc
tính.
U TRUNG BIEÅU MOÂ LAØNH TÍNH
(BENIGN MESOTHELIOMA)
-40-60 tuoåi, Nam: Nöõ = 1: 1
-Khoái ñôn ñoäc, khoâng lieân quan amian.
-Bôø ñeàu. Thöôøng ôû ½ ngöïc döôùi.
-80% töø maøng phoåi taïng, 20% maøng phoåi thaønh.
-Ñoùng voâi < 5%, hoaïi töû neáu u lôùn.
-Thöôøng keát hôïp beänh lyù phì ñaïi xöông-khôùp.
-Toån thöông ñaäm ñoä moâ ñoàng nhaát, thöôøng tieáp xuùc thaønh
ngöïc (khoâng ñoàng nhaát do hoaïi töû, xuaát huyeát), baét quang
khoâng ñoàng nhaát.
-Ñaëc ñieåm hình aûnh khoâng phaân bieät laønh hay aùc tuy nhieân toån
thöông aùc thöôøng > 10cm, hoaïi töû trung taâm vaø TDMP nhieàu.
U SÔÏI MAØNG PHOÅI
U SÔÏI MAØNG PHOÅI
U MÔÕ MAØNG PHOÅI
-Laønh tính.
-Bôø roõ, nhaün, ñaäm ñoä môõ, döïa vaøo maøng phoåi.
DI CAÊN MAØNG PHOÅI
-Laø u aùc tính hay gaëp nhaát cuûa
maøng phoåi.
-Ung thö pheá quaûn (40-50%),
vuù, lymphoma, buoàng tröùng,
tieâu hoùa.
-Thöôøng keøm traøn dòch maøng
phoåi
Hình CT
-Daøy maøng phoåi, traøn dòch
-Baét quang maïnh khoâng ñoàng
nhaát
Ung thö buoàng tröùng di caên
maøng phoåi
U TRUNG BIEÅU MOÂ AÙC TÍNH
(MALIGNANT MESOTHELIOMA).
-Chieám < 5% beänh lyù aùc tính maøng phoåi.
-Coù lieân quan vôùi asbestos.
-Lan khaép maøng phoåi  daøy maøng phoåi, khoâng ñeàu, coù
noát.
-Ñoùng voâi maøng phoåi 5%.
-Traøn dòch maøng phoåi < 80%.
-Khoâng coù hình aûnh ñaëc hieäu.
U MAØNG PHOÅI AÙC TÍNH
Nam > nöõ : 5/1. Tieàn söû: asbestos
-Daøy maøng phoåi > 1cm, daïng noát
khoâng ñeàu, lieân quan maøng phoåi trung
thaát, thöôøng ôû moät beân (daáu hieäu aùc
tính)
-Vaøo caùc raõnh maøng phoåi
-Ñoùng voâi , dòch maøng phoåi
-Xaâm laán thaønh ngöïc, trung thaát, haïch
lôùn, di caên
CE:Taêng quang maïnh, khoâng ñoàng
nhaát
* Caàn phaân bieät: UMP laønh tính, u haït
vieâm Biopsy
Mesothelioma aùc tính
BEÄNH LYÙ XOANG MAØNG PHOÅI
TRAØN DÒCH MAØNG PHOÅI
Nguyeân nhaân: Suy tim, vieâm nhieãm, u..
Hình aûnh
-Dòch ôû phía sau khi beänh nhaân naèm ngöõa
-Ñaäm ñoä dòch: cao trong chaûy maùu, dòch coù protein cao
-Maøng phoåi coù theå daøy, baét quang sau tieâm caûn quang
(daøy ñeàu trong vieâm, daøy noát thoâ, khoâng ñeàu trong u..)
Vai troø CT:
-Ñaùnh giaù möùc ñoä, loaïi (khu truù, töï do), vò trí traøn dòch
-Gôïi yù nguyeân nhaân (vieâm, u..)
-Phaân bieät: Traøn dòch maøng phoåi><Abscess phoåi ngoaïi
bieân
Traøn dòch maøng phoåi töï do: dòch töï do
khoang maøng phoåi, eùp gaây xeïp phoåi
thuï ñoäng
Traøn muû maøng phoåi khu truù: dòch khu
truù ôû caùc tuùi maøng phoåi dính nhau,
taêng quang caùc thaønh tuùi naøy sau tieâm
caûn quang
TRAØN DÒCH MAØNG PHOÅI COÙ NGAÊN
TRAØN KHÍ MAØNG PHOÅI
Nguyeân nhaân: chaán thöông, thuû thuaät can thieäp, vôõ caùc
boùng khí, u aùc tính…
Hình aûnh CT
-Hình vuøng traøn khí ñaäm ñoä thaáp (khí), khoâng coù nhu moâ
phoåi, phoåi xeïp bò ñaåy vaøo trong.
Vai troø CT:
-Chaån ñoaùn xaùc ñònh (khí ít), khu truù, phaân bieät vôùi bulla
-Toån thöông phoåi keøm theo (blebs, beänh lyù moâ keû, dính
maøng phoåi, traøn dòch maùu keát hôïp..)
-Ñaùnh giaù bieán chöùng, theo doõi hieäu quaû ñieàu trò
TRAØN KHÍ MAØNG PHOÅI
Traøn khí maøng phoåi [P]: ñaäm ñoä thaáp (khí), khoâng coù
nhu moâ phoåi, phoåi xeïp bò ñaåy vaøo trong.
CAÂY PHEÁ QUAÛN VAØ PHAÂN THUØY PHOÅI
+CT cho chi tieát giaûi phaãu toát raát nhieàu so vôùi X
quang qui öôùc
+Phaân tích hình aûnh CT
-Caây pheá quaûn
-Phaân thuøy phoåi
-Raõnh maøng phoåi
Ngang möùc cung
ñoäng maïch chuû
3
3
2
1/2
1
6
Möùc Carina
3
3
6
2
6
1/2
Möùc ñoäng
maïch phoåi (T)
3
3
6
6
1/2
2
Möùc ñoäng
maïch phoåi (P)
6
6
5
4
5
4
6
6
5
4
5
4
Möùc nhó T
10
5
4
8
9
10
4
7/8
9
TOÙM LAÏI
• Ngang möùc carina: thaáy ñoäng maïch phoåi (T), thaáy
pheá quaûn (P) chia cho thuøy treân baét ñaàu thaáy
phaân thuøy 6 (P).
• Ngang möùc ñoäng maïch phoåi (P): thaáy pheá quaûn (T)
chiaheát thuøy treân xuaát hieän thuøy giöõa, thuøy
löôõi.
• Ngang möùc nhó (T): pheá quaûn (P) chia thuøy giöõa-
döôùi heát phaân thuøy 6 phaân thuøy 8,9,10.
• Ngang möùc 4 buoàng heát haï phaân thuøy 4 (T).
BEÄNH LYÙ PHOÅI
GIAÛI PHAÃU
-Khí quaûn: Ñöôøng kính ngang # 25mm ôû nam vaø
21mm ôû nöõ.
-Pheá quaûn (P): # 15mm.
-Pheá quaûn (T): # 13mm.
-Thaân ÑMP: 2.4 cm ± 0.2 cm
-ÑMP (P) ñoaïn gaàn: 1.9 cm ± 0.3 cm
-ÑMP (P) ñoaïn xa: 1.5 cm ± 0.3 cm
-ÑMP (T): 2.1 cm ± 0.4 cm
DAÏNG TOÅN THÖÔNG PHOÅI
-Daïng ñoâng ñaëc
-Daïng ñöôøng
-Daïng noát
-Daïng kính môø
-Daïng nang khí
DAÏNG ÑOÂNG ÑAËC
-Ñaùm môø hôïp löu, heä thoáng.
-Phaân boá theo thuøy, phaân thuøy.
-Air bronchogram.
DAÏNG ÑOÂNG ÑAËC
DAÏNG ÑÖÔØNG
-Xô, daïng löôùi, daïng ñöôøng (daøy vaùch gian tieåu
thuøy)…
-Do u, beänh phoåi moâ keõ, phuø phoåi…
XÔ PHOÅI
Xơ phổi vô căn (IPF-Idiopathic Pulmonary Fibrosis)
DAÏNG KÍNH MÔØ
-Ñaùm môø nheï, khoâng xoùa môø maïch maùu trong vuøng
toån thöông.
-Phuø phoåi, vieâm phoåi, xuaát huyeát phoåi…
DAÏNG KÍNH MÔØ
DAÏNG NOÁT
-Tree-in-bud (maàm caây)
-Noát phaân boá ngaãu nhieân
-Do u, vieâm, buïi phoåi…
TREE-IN-BUB (MAÀM CAÂY)
TREE-IN-BUB (MAÀM CAÂY)
DAÏNG NOÁT
DAÏNG NANG KHÍ
Lymphangioleiomyomatosis
Kết hợp với bệnh xơ cũ (Tuberous sclerosis)
-Thaønh moûng < 1mm.
-Khoang ñöôïc laáp ñaày khí.
-Trong phoåi.
-Thöôøng keát hôïp khí pheá thuõng
-Coù theå nhieãm truøng
BÓNG KHÍ – KÉN KHÍ
KÉN KHÍ NHIEÃM TRUØNG
-Möùc khí-dòch
-Phaân bieät abscess phoåi:
+Chöùa ít dòch hôn
+Thaønh moûng hôn
+Khoâng coù vieâm phoåi xung quanh
+Laâm saøng bieåu hieän nheï nhaøng hôn.
BÓNG KHÍ – KÉN KHÍ
CAÙC LOAÏI XEÏP PHOÅI
-Taéc ngheõn
-Thuï ñoäng
-Daïng troøn
-Daïng ñöôøng
Nguyeân nhaân: U, vieâm, nuùt nhaày, vaät
laï..
Hình aûnh CT
-Ñaäm ñoä moâ meàm, taêng quang sau
tieâm caûn quang (caùc maïch maùu)
-Kheùp maïch maùu, keùo raõnh maøng phoåi
-Keùo trung thaát, roán phoåi, cô hoøanh,
heïp khoaûng lieân söôøn
-Taêng thoâng khí buø tröø
-Caùc daïng xeïp caùc thuøy phoåi
Vai troø CT
-Ñaùnh giaù vò trí, möùc ñoä xeïp
-Tìm nguyeân nhaân (xeïp do u?)
-Toån thöông keøm theo
XEÏP PHOÅI
Xeïp thuyø treân phoåi (T) do u phoåi, u phía
trong gaây loài bôø baát thöôøng, ñaäm ñoä u
giaûm so vôùi vuøng phoåi xeïp.
XEÏP PHOÅI THUØY TREÂN
XEÏP PHOÅI TROØN
-Khoái môø ñaùy phoåi, tieáp xuùc maøng phoåi.
-Ñuoâi sao choåi treân CT (Comet tail) : maïch maùu vaø
pheá quaûn hoäi tuï vaø xoaùy quanh khoái môø.
-Baét quang maïnh, daøy maøng phoåi keá caän.
XEÏP PHOÅI TROØN
Comet tail
Phaân loïai (Reid/1950)
-Daõn pheá quaûn hình truï (cylindrical)
-Daõn pheá quaûn hình chuøm (varicose)
-Daõn pheá quaûn hình tuùi (saccular)
Hình aûnh CT
-(1) Daøy thaønh vaø daõn loøng pheá quaûn (tram lines, signet ring, string of
pearls, grapes) (2) Thaáy pheá quaûn ôû ngoaïi bieân phoåi (3) Nang coù möùc khí/
dòch (4) Loaïi daõn pheá quaûn
-Thay ñoåi xung quanh: xô, toå ong, roái loïan thoâng khí...
Vai troø CT:
-Chaån ñoaùn xaùc ñònh, kieåu loaïi, vò trí (1 hay nhieàu phaân thuyø, 1 hay 2 beân
phoåi), möùc ñoä.
-Toån thöông phoåi keøm theo.
-CT raát giaù trò (ñaëc bieät HRCT) / Chuïp pheá quaûn chaån ñoaùn hieän nay ít phoå
bieán
DAÕN PHEÁ QUAÛN ( BRONCHIECTASIS)
Daõn pheá quaûn vôùi daáu hieäu voøng nhaãn (signet ring sign): pheá quaûn lôùn hôn
ñoäng maïch ñi keøm (bình thöôøng khi tæ soá pheá quaûn/maïch maùu < 1.2)
Daõn pheá quaûn vôùi daáu hieäu ñöôøng ray ( ‘tram line’ sign): do daõn pheá
quaûn daïng truï khi pheá quaûn song song vôùi maët caét .
DAÕN PHEÁ QUAÛN
DAÕN PHEÁ QUAÛN
DAÕN PHEÁ QUAÛN
VIEÂM PHOÅI
Ñöôøng vaøo: Heä thoáng khí-pheá
quaûn, ñöôøng maùu, tröïc tieáp
(thaønh ngöïc, maøng phoåi..)
Phaân loaïi: (1) Vieâm phoåi thuøy
(2)Pheá quaûn pheá vieâm (3)
Vieâm phoåi moâ keõ
Hình aûnh CT:
-Daïng ñaùm môø raûi raùc, hôïp
löu, air-bronchogam (+/-)
-Toån thöông moâ keõ
Vieâm phoåi (pneumonia): daïng
ñaùm môø, coù air-bronchogram.
Hình kính môø-raát nhaïy trong vieâm phoåi.
VIEÂM PHOÅI THUØY DÖÔÙI (P)
VIEÂM PHOÅI LUPUS (HÌNH KÍNH MÔØ)
HÌNH TRE-IN-BUD
BEÄNH PHOÅI MOÂ KEÕ
-Toån thöông vaùch caùc khoaûng khí.
-Dieãn tieán maïn tính taïo xô.
XÔ PHOÅI VOÂ CAÊN (IPF)
BEÄNH SARCOIDOSIS
-Beänh moâ haït heä thoáng, nguyeân nhaân chöa roõ.
-Nöõ: Nam: 3: 1 ; Da ñen: Da traéng: 14:1
-Haïch roán phoåi, trung thaát, toån thöông da, maét.
-Toån thöông phoåi daïng noát nhoû, ñöôøng, kính môø…
-Hoäi chöùng Lofgren: Haïch roán phoåi hai beân caáp, soát,
hoàng ban noát, ñau khôùp.
HAÏCH TRUNG THAÁT VAØ ROÁN PHOÅI
(SARCOIDOSIS)
BEÄNH MOÂ BAØO X (HISTIOCYTOSIS
X)(EOSINOPHILIC GRANULOMA)
-Nguyeân nhaân khoâng roõ raøng.
-Traøn khí maøng phoåi xaûy ra > 25%.
-Noát nhoû lan roäng phoåi. Toån thöông daïng nang chöùa
khí nhoû, ôû ngoaïi vi.
-Coù theå xô, “toå ong”
ABSCESS PHOÅI (PULMONARY ABSCESS)
Nguyeân nhaân: Thöôøng laø haäu
quaûn vieâm phoåi (tuï caàu,
Klebsiella)
Hình CT
PL: Coù theå hieän dieän möùc khí-
dòch
CE: Taêng quang ngoaïi bieân
(thaønh oå abscess), khoâng thaáy
taêng quang trung taâm (vuøng hoaïi
töû)
Vai troø CT
-Vò trí, kích thöôùc, ñoä daøy thaønh,
toån thöông phoåi lieân quan
-Chaån ñoaùn phaân bieät
Abscess phoåi: hình möïc dòch-khí, coù
taêng quang vieàn sau tieâm caûn quang
ABSCESS PHOÅI # MỦ MÀNG PHỔI
Áp xe phổi được phân thành 2 loại:
Áp xe phổi nguyên phát: các ổ nung mủ trên một phổi lành,
chưa có tổn thương hay bệnh lý trước đây.
Áp xe phổi thứ phát: các ổ nung mủ được hình thành trên một
phổi bệnh lý, tồn tại các tổn thương cũ:hang lao, giãn phế
quản, nang phổi.
ABSCESS PHOÅI (PULMONARY ABSCESS)
KHÍ THUÕNG PHOÅI [EMPHYSEMA]
Phaân loaïi (American thoracic society 1962)
1/Khí thuõûng trung taâm tieåu thuyø (Centrilobular emphysema)
-Vuøng khí thuõng > 1cm quanh ñoäng maïch trung taâm thuøy phoåi thöù
caáp. Hay gaëp phaàn cao thuøy giưõa
2/Khí thuõng toaøn tieåu thuyø( Panlobular emphysema)
-Vuøng khí thuõng lan toûa, ñoàng nhaát. Hay gaëp thuøy döôùi
3/ Khí thuõng caïïnh vaùch (Paraseptal emphysema)
-Vuøng khí thuõng ngoïai bieân caïnh maøng phoåi, caïnh laù taïng maøng
phoåi, raõnh lieân thuøy.
Ngoaøi ra:
*Khí thuõng caïnh vuøng seïo ( Paracicatricial emphysema): Lôùn
khoaûng khí, huûy moâ phoåi caïnh vuøng seïo
Khí thuõng trung taâm tieåu thuyø
KHÍ THUÕNG PHOÅI
KÉN KHÍ – KHÍ
PHẾ THŨNG
THUYEÂN TAÉC PHOÅI
Hình CT
-Khuyeát trong loøng maïch
do cuïc maùu ñoâng
-Vuøng taêêng ñaäm ñoä, hình
cheâm, neàn döïa vaøo maøng
phoåi (nhoài maùu phoåi)
-Roái loïan thoâng khí
Thuyeân taéc ñoäng maïch phoåi: hình
khuyeát thuoác (maùu ñoâng) ôû ngoaïi bieân
cuûa ñoäng maïch phoåi (T)
Thuyeân taéc ñoäng maïch phoåi keøm nhoài maùu phoåi: vuøng nhoài maùu
hình tam giaùc, vôùi ñaùy roäng ôû phiaù ngoaïi bieân
THUYEÂN TAÉC PHOÅI
THUYEÂN TAÉC PHOÅI
- Tắc động mạch phổi (Pulmonary embolism – PE) là bệnh lý tim mạch cấp tính
thường gặp.
- Bệnh đứng hàng thứ 3 sau nhồi máu cơ tim và tai biến mạch máu não. (the third most
common acute cardiovascular disease after myocardial infarction
and stroke).
- Hàng ngàn case tử vong mỗi năm do không chẩn đoán được bệnh.
- Các test chẩn đoán bao gồm:
1. D-dimer có độ nhạy cao nhưng độ đặc hiệu thấp.
2. Xạ hình thông khí – tưới máu (ventilation-perfusion scintigraphy) có độ nhạy
cao, độ đặc hiệu thấp.
3. Siêu âm mạch máu chi dưới có độ đặc hiệu cao, nhưng độ nhạy
thấp.
4. CT động mạch phổi (Computed tomographic pulmonary
angiography) trong một phân tích gộp cho thấy độ nhạy 53%–100% và độ đặc hiệu 83%–
100%. (Khoảng cách lớn là do sự cải tiến liên tục của CT).
5. Chụp động mạch phổi bằng DSA là phương pháp tham khảo chuẩn,
cho phép khẳng định hay loại trừ chẩn đoán. Nhưng ít được sử dụng do thiết bị khôn sẵn
có
Tắc động mạch phổi cấp (Acute Pulmonary Embolism):
- Các tiêu chí chẩn đoán PE cấp bao gồm:
. Khuyết thuốc hết lòng mạch.
. Khuyết thuốc một phần vùng trung tâm.
. Khuyết thuốc một phần lệch tâm (góc giữa huyết khối và
thành mạch là góc nhọn).
- Các dấu hiệu phụ:
. Tăng đậm độ nhu mô phổi, hình tam giác có đáy ở ngoại biên và
đỉnh
hướng vào trong.
. Tăng đậm độ dạng đường (linear bands)...
(thường không đặc hiệu – có nhiều bệnh lý có hình ảnh tương tự).
- Dấu hiệu tăng đậm độ trong lòng động mạch phổi trên phim không cản quang có
giá trị tham khảo và cần phải có phim có cản quang để khẳng định chẩn đoán.
- Các trường hợp CTPA chưa khẳng định được thì phải làm thêm:
. Xạ hình thộng khí – tưới máu.
. CTPA lần 2.
- Các dấu hiệu gợi ý trên siêu âm tim:
. Dãn lớn thất phải.
. Tăng áp động mạch phổi.
. Phồng vách thất sang trái...mà không giải thích được.
5
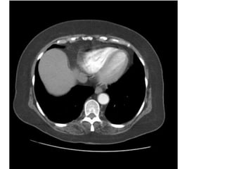
Figure 4. PE cấp ở BN nữ 32 tuổi, lâm sàng có đau ngực. CT cho thấy PE ở
nhánh phân thùy đáy – sau của động mạch thùy dưới (P). (mũi tên). Động mạch
bị tắc dãn lớn hơn các mạch máu kế cận.
6
Figure 5a. PE cấp ở bn nữ 45 tuổi, lâm sàng có đau ngực.
(a) PE ở nhánh phân thùy đáy – ngoài của động mạch thùy dưới (P). Hình ảnh
khuyết thuốc một phần, thuốc cản quang bao xung quanh tạo thành dấu hiệu đồng
tiền tròn (polo mint sign) (mũi tên).
7
Figure 5b.
(b) hình ảnh tắc cấp tính các nhánh hạ phân thùy (subsegmental arteries) của
động mạch phân thùy đáy – ngoài (the laterobasal segment) (mũi tên).
8
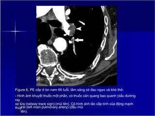
Figure 6. PE cấp ở bn nam 66 tuổi, lâm sàng có đau ngực và khó thở.
- Hình ảnh khuyết thuốc một phần, có thuốc cản quang bao quanh (dấu đường
ray
xe lửa (railway track sign) (mũi tên). Có hình ảnh tắc cấp tính của động mạch
thùy
trái (left main pulmonary artery) (đầu mũi
tên).
Tiếp tuyến của huyết khối (đường liên tục)
và tiếp tuyến của thành mạch (đường
không liên tục) tạo thành góc nhọn.
Figure 7. PE cấp ở bn nữ 58 tuổi, lâm sàng có đau ngực và khó thở.
- PE có hình ảnh khuyết thuốc lệch tâm, thuốc cản quang bao quanh và tạo thành
10góc nhọn với thành mạch. (mũi tên).
Figure 8. PE cấp ở bn nữ 58 tuổi, có đau ngực và khó thở.
- Hình ảnh PE cấp với các dấu hiệu phụ (ancillary findings):
. Tăng đậm độ nhu mô phổi hình chêm (mũi tên), dâu hiệu này có
thể là
biểu hiện của nhồi máu nhu mô phổi. (mũi tên).
. Dải tăng đậm độ (linear band) (đầu mũi tên).
(chú ý: có rất nhiều bệnh lý có các dấu hiệu này, nên cần kết hợp lâm sàng
và chẩn đoán phân biệt...)
11
Thất
phải
Thất trái
Figure 9. PE ở bn nữ 42 tuổi, đau ngực và khó thở nhiều.
- Hình ảnh thất phải dãn lớn hơn thất trái.
12
Hình chưa tiêm thuốc CTPA có tiêm
thuốc
Figure 10a. PE cấp không có triệu chứng ở bn nữ 87 tuổi.
(a) CT không cản quang thấy có vùng tăng đậm độ nhẹ bên trong động mạch
phổi
(P). (mũi tên).
(b) CTPA cho thấy PE cấp nhánh chính của động mạch phổi (P) và nhánh liên
thùy
1
3
của động mạch phổi (T).
Tắc động mạch phổi mạn (Chronic Pulmonary Embolism): -
Khuyết thuốc hoàn toàn lòng mạch (kích thước của mách máu bị
tắc nhỏ hơn mạch máu kế cận).
- Khuyết thuốc một phần (góc tù).
- Nhiều mạch máu bàng hệ...
** Bác sĩ hình ảnh và bác sĩ lâm sàng nên biết:
- Khả năng chẩn đoán của CTPA.
- Các test chẩn đoán khác khi CTPA chưa xác định được.
- Chẩn đoán PE cần dựa trên nhiều yếu tố:
. Lâm sàng đau ngực, khó thở...không giải thích được.
. Siêu âm dãn thất phải, dãn động mạch phổi, tăng áp động
mạch phổi...không giải thích được.
. Huyết khối tĩnh mạch chi dưới.
. Biểu hiện trên CTPA.
14
Figure 11. PE mạn tính ở bn nam 27 tuổi, lâm sàng có khó thở.
- Cho thấy tắc nhiều nhánh nhỏ ở phổi phải, kích thước nhỏ hơn các mạch máu kế
cận và cùng vị trí (phổi trái).
- Tuần hoàn bàng hệ từ nhánh hemi – cơ hoành (hemidiaphragmatic artery) (mũi
tên).
Figure 13. sau thời gian điều trị chụp lại thấy có tuần hoàn trở lại, hình ảnh
thuốc cản quang nhỏ bên trong lồng mạch.( mũi tên).
15
Huyết khối gây khuyết
thuốc
Figure 12. PE mạn tính ở bn nam 62 tuổi, lâm sàng có khó thở.
- Hình ảnh khuyết thuốc lệch tâm, tiếp tuyến huyết khối và thành mạch là góc tù.
(mũi tên).
- Dãn động mạch phế quản bàng hệ. (đầu mũi tên).
16
Figure 14. PE mạn tính ở bn nam 56 tuổi, lâm sàng có khó thở.
- Cho thấy đường khuyết thuốc nhỏ bên trong động mạch liên thùy. (mũi
tên).
- Dãn động mạch phế quản bàng hệ (đầu mũi tên). 17
Figure 15. PE mạn tính ở bn nam 62 tuổi.
- Huyết khối động mạch phổi gốc (thân chung) và nhánh chính bên trái (đầu mũi
tên).
- Các động mạch phế quản bàng hệ (mũi tên).
18
Figure 16. PE mạn tính ở bn nữ 60, lâm sàng có khó thở.
- Hình ảnh tưới máu dạng khảm.
- Vùng giảm tưới máu (mũi tên) kích thước các mạch máu nhỏ hơn vùng kế cận
và đối bên.
1
9
Figure 17. PE mạn ở bn nam 62 tuổi, lâm sàng có khó thở.
- Hình ảnh vôi hóa thành động mạch phổi. Dấu hiệu thứ phát của tắc động
mạch phổi mạn tính.
(cần kết hợp lâm sàng và chẩn đoán phân biệt…)
2
0
Figure 18. Tăng áp động mạch phổi thứ phát sau PE mạn ở bn nam 62 tuổi
(cùng của bn hình 12).
- Đường kính động mạch phổi 41 mm. (bình thường < 30 mm).
2
1
Thất phải
Figure 19. PE mạn có tràn dịch màng tim (mũi tên trắng), tăng áp động mạch
phổi và dãn thất (P).
22
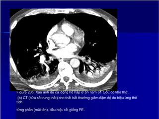
Figure 20a. Xảo ảnh do cử động hô hấp ở bn nam 61 tuổi, có khó thở.
(a) CT (cửa sổ phổi) hình ảnh phức hợp các mạch máu dạng mòng biển
(seagull sign) (mũi tên).
2
4
Figure 20b. Xảo ảnh do cử động hô hấp ở bn nam 61 tuổi, có khó thở.
(b) CT (cửa sổ trung thất) cho thất bất thường giảm đậm độ do hiệu ứng thể
tích
2
5
từng phần (mũi tên), dấu hiệu rất giống PE.
Figure 21. BN nữ 39 tuổi, lâm sàng có đau ngực.
- Hình bị nhiễu do độ mịn (ồn – noise) không chuẩn. Rất dễ lẫm với tắc nhanh
nhỏ động mạch phổi.
2
6
Figure 22a. BN nam 63 bị suy hô hấp.
- Xảo ảnh do cứng hóa chùm tia (Beam-hardening artifact).
- (a) catheter trong động mạch phổi gây nên xảo ảnh cứng hóa chum tia ở
động mạch phổi gốc và nhánh phải. (mũi tên). Có huyết khối nhỏ ở nhánh
trái.
27
Figure 22b. Beam-hardening artifact in a 63-year-old man with respiratory
failure.
(b) CT cửa sổ xương thấy rõ catheter trong lòng động mạch phổi. Hiệu ứng
cứng hóa chùm tia vẫn còn.
- Catheter màu trắng.
- Xảo ảnh màu đen. (mũi tên).
28
Figure 23. BN nữ 60 tuổi đau ngực kiểu viêm màng phổi (đau nhiều khi hít
thở).
- Xảo ảnh liên quan đến dòng chảy.
- Hình tái tạo coronal cho thấy động mạch liên thùy (P) và nhánh đáy sau của
động mạch phổi (P) ngấm thuốc không đều. (mũi tên).
2
9
Figure 24a, b: Xảo ảnh liên quan đến dòng chảy ở bn nữ 73 tuổi có đau
ngực.
(a) CT cho thấy tăng quang kém ở đm liên thùy và thùy giữa (P) do xảo ảnh
liên quan đến dòng chảy. Ở phía xa hơn động mạch phổi lại tăng quang bình
thường.
- Thực quản dãn và chứa đầy dịch.
- (b) Chụp lại cho thấy PE ở nhánh trong và nhánh ngoài của đm thùy giữa.
(mũi tên).
3
0
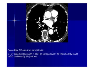
Figure 25a. PE cấp ở bn nam 59 tuổi.
(a) CT scan (window width = 400 HU, window level = 40 HU) cho thấy huyết
khối ở đm liên thùy (P) (mũi tên).
3
1
Figure 25b. PE cấp ở bn nam 59 tuổi.
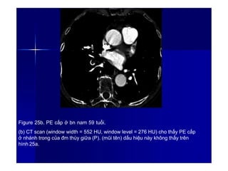
(b) CT scan (window width = 552 HU, window level = 276 HU) cho thấy PE cấp
ở nhánh trong của đm thùy giữa (P). (mũi tên) dấu hiệu này không thấy trên
hình 25a.
3
2
Figure 25c. PE cấp ở bn nam 59 tuổi.
(c) CT scan (window width = 700 HU, window level = 100 HU) cho thấy
thrombus ở đm liên thùy (P) và nhánh trong của đm thùy giữa (P).
- Hình 25 cho thấy ở các cửa sổ khác nhau có hiệu quả phát hiện huyết khối
khác
nhau.
33
Figure 26. Xảo ảnh dải sọc (streak artifact) ở bn nữ 35 tuổi, có đau
ngực.
- Xảo ảnh dải sọc do đậm độ chất cản quang cao trong tĩnh mạch chủ
trên. (mũi tên). Xảo ảnh này có thể nhận biết được do hướng lan và vị trí
“không phải giải phẩu” (nonanatomic) của nó.
34
Figure 27a. Xảo ảnh thuật toán (algorithm) ở bn nữa 70 tuổi. Lâm sàng
khó thở.
(a) CT cho thấy có tăng quang ngoài rìa các mạch máu giống hư PE
cấp. (mũi tên). Dấu hiệu này thường thấy khi ta xem lại hình bằng các
cửa sổ trung thất hay cửa sổ phổi chuyên về thuyên tắc (nghĩa là có áp
dụng thuật toán trong tái tạo hình ảnh) thấy có vòng sáng bright quanh
động mạch đặc biệt khi có kèm với xảo ảnh dòng chảy.
35
Figure 27b. Xảo ảnh thuật toán (algorithm) ở bn nữa 70 tuổi. Lâm sàng
khó thở.
(b) CT với thuật toán chuẩn (standard algorithm) không thấy xảo ảnh này.
Không thấy PE trên hình này.
36
Figure 28a. Xảo ảnh thể tích từng phần ở bn nữ 52 tuổi. Lâm sàng có khó
thở.
(a) Lát cắt có độ dày 3.75 mm, giá trị trung bình thể tích của mạch máu và
phổi tạo nên xảo ảnh giống như PE ở đm phân thùy trước của thùy trên
phổi trái. (mũi tên). Nhưng hình ảnh này có giới hạn không rõ.
3
7
Figure 28b, c: Xảo ảnh thể tích từng phần ở bn nữ 52 tuổi. Lâm sàng có khó
thở. (b) Lát cắt ngay phía dưới thấy đm thùy trên phổi trái còn bình thường.
(c) Lát cắt ngay phía trên cho thấy thuốc lắp đầy lòng động mạch thùy trên và đm
phân thùy trước.
Các biểu hiện ở hình (b) và (c) cho thấy dấu hiệu giảm đậm độ ở hình (a) là xáo
ảnh
38
thể tích từng phần.
Figure 29. Xảo ảnh bước thang (stair step) ở bn nam 84 tuổi. Lâm sàng có
khó thở và đau ngực.
- Các đường giảm đậm độ ngang qua các mạch máu trên hình tái tạo
coronal. (mũi tên).
- Xảo ảnh này nhận biết là nhờ tính chất non – anatomic của nó.
39
Figure 30a. Hạch bình thường vùng rốn phổi 2
bên.
40
Figure 30b. Hạch bình thường vùng cạnh động mạch liên thùy 2
bên.
41
Figure 30c. Hạch bình thường vùng thùy giữa (P) và thùy
lưỡi (T).
42
Figure 30d. Hạch bình thường thùy dưới 2 bên.
43
Figure 31. Chỗ chia đôi của đm thùy lưỡi và thùy
dưới phổi trái. (mũi tên). Trường hợp này nên xem
các lắt cắt tiếp theo sẽ rõ bản chất của dấu hiệu này.
44
Figure 32. Hình ảnh của tĩnh mạch chưa
tăng quang trong thì động mạch (rất giống tắc đm
phổi hoàn toàn). Cần xem thêm trong các thì
45
Figure 33. Nút nhày phế quản ở bn nữ 83 tuổi, lâm sàng
có khó thở. (mũi tên). Rất giống PE cấp. Phế quản của
phân thùy đáy – sau dãn, lắp đầy chất nhày. Động mạch đi
kèm kích thước bình thường. (đầu mũi tên).
46
Figure 34a. Bn nữ 56 tuổi bị suy tim trái, khó thở.
(a) phù mô kẽ quanh mạch máu (mũi tên) giống như PE mạn tính.
(b) (cửa sổ phổi) phù mô kẽ quanh mạch máu, dấu kính mờ, dày rãnh liên
thùy và đường dày trơn láng. (mũi tên). Tràn dịch màng phổi 2 bên.
4
7
Figure 35a. BN nam 65 tuổi có khó thở, tăng sức đề kháng mạch máu khu trú.
(a) xảo ảnh dòng chảy do tăng đề kháng khu trú (mũi tên), dấu hiệu rất giống PE
cấp. Có tràn dịch màng phổi và xẹp phổi.
48
Figure 35d. BN nam 65 tuổi có khó thở, tăng sức đề kháng mạch máu
khu trú.
(d) Hình ảnh xoắn vặn nhẹ mạch máu phân thùy đáy – sau của đm thùy
dưới phổi (T), nhưng không có PE.
4
9
Figure 35e. BN nam 65 tuổi có khó thở, tăng sức đề kháng mạch máu khu
trú. (e) Hình chụp chếch không thấy PE.
50
Figure 36. BN nam 69 tuổi huyết khối đm phổi (P) sau cắt phổi (P) do
ung thư.
5
1
Figure 37. BN nữ 65 tuổi khó thở, có sarcoma đm phổi gốc (mũi
tên) di căn đm phổi (P). (đầu mũi tên).
52
Figure 38. Bn nữ 78 tuổi, lâm sàng khó thở và endometrial stromal
sarcoma có xâm lấm tĩnh mạch chủ dưới.
- CT cho thấy tắc đm thùy dưới (P) nghĩ do u. (mũi tên).
53
Figure 39. Nam 60 tuổi, lâm sàng có khó thở và carcinoma tế bào thận
nguyên phát.
- CT cho thấy dãn đm tiểu phân thùy của đm phân thùy đáy – sau (P), dãn
thứ
phát sau tắc do u.
5
4
Figure 40. Nam 60 tuổi, lâm sàng có khó thở và carcinoma tế
bào thận nguyên phát.
- CT cho thấy tắc tiểu động mạch của tiểu thùy thứ cấp, hình
ảnh
dạng cây đâm chồi (tree-in-bud). 55
- Hình ảnh rất hiếm và khó chẩn đoán trên CT.
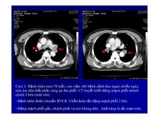
Case 1: Bệnh nhân nam 70 tuổi, vào viện với bệnh cảnh đau ngực nhiều ngày,
siêu âm dãn thất phải, tăng áp đm phổi. CT huyết khối động mạch phổi nhánh
chính 2 bên (mũi tên).
- Bệnh nhân được chuyển BVCR. Chẩn đoán tắc động mạch phổi 2 bên.
57
- Động mạch phổi gốc, nhánh phải và trái không dãn…khả năng là tắc mạn tính.
Đm phổi gốc Đm chủ
lên
Case 2: bệnh nhân nam 61 tuổi, nhập viện vì đau ngực và khó thở.
- Siêu âm: dãn buồng tim phải, tăng áp động mạch phổi.
- CT huyết khối động mạch phổi phải và trái.
- Kích thước đm phổi gốc (d = 33 mm) lớn hơn động mạch chủ cùng lát
cắt…nghĩ tắc cấp.
- Điều trị tiêu sợi huyết tại BVTMAG. Đáp ứng tốt.
58
Case 3: bệnh nhân nam, 67 tuổi, đau ngực.
- Siêu âm: dãn nhẹ thất (P) và tăng nhẹ áp lực đm phổi.
- Chụp CT vì nghi ngờ bóc tách động mạch chủ ngực.
- CT thấy tắc động mạch phổi (P) và nhánh thùy dưới của đm phổi
(P). - Xin chuyển tuyến trên. (BVCR).
59
Case 4: bệnh nhân nữ, 64 tuổi, đau ngực và khó thở.
- Siêu âm: dãn thất (P) và tăng áp đm phổi.
- CT thấy tắc đm phổi nhánh phải và trái.
- Điều trị tại BVTMAG bằng thuốc tiêu sợi huyết. Đáp ứng
tốt.
60
Case 5: bn nam 51 tuổi, BVĐKTTAG chuyển với chẩn đoán huyết khối tĩnh mạch
cẳng chân phát hiện trên siêu âm.
- Nhập viện BVTMAG, bn ho nhiều, khó thở nhẹ và đau ngực.
- CT thấy hình ảnh đông đặc phổi, hình tam giác, đáy dựa vào màng phổi, đính
hướng vào trong; huyết khối nhánh nhỏ ở đm thùy dưới (P).
- Điều trị tại BVTMAG: kháng sinh không đáp ứng; điều trị enoxaparine đáp ứng tốt.
61
Case 6: bn nam nhập viện vì đau ngực, khó thở.
- Siêu âm: dãn thất (P) và tăng áp đm phổi.
- CT thấy huyết khối đm phổi (P). Dãn đm phổi gốc.
COPD. - Điều trị tại BVTMAG. (điều trị nội khoa bảo tồn).
62
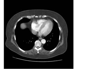
Giải phẩu CT ngực – các mạch máu
lớn.
SVC: tĩnh mạch chủ trên.
Aortic arch: cung đm chủ
Pulmonary artery: đm phổi
Main sterm bronchus: phế quản gốc
63
PHOÅI BIEÄT TRÍ
(PULMONARY SEQUESTRATION)
 Baát thöôøng baåm sinh
 Phaàn phoåi khoâng chöùc naêng
 Khoâng thoâng vôùi caây pheá quaûn
 Caáp maùu bôûi ñoäng maïch heä thoáng.
 Thuøy döôùi phoåi (T) (LLL):Thuøy döôùi phoåi (P) (RLL)=
2:1
 Coù hai loaïi:
 Loaïi noäi thuøy (Intralobar) (80%)
 Loaïi ngoaïi thuøy (Extralobar) (20%)
PHOÅI BIEÄT TRÍ
(PULMONARY SEQUESTRATION)
PHỔI BIỆT TRÍ THÙY DƯỚI
PHOÅI BIEÄT TRÍ
(PULMONARY SEQUESTRATION)
PHOÅI BIEÄT TRÍ NOÄI THUØY
 Ñoäng maïch cung caáp töø ñoäng maïch chuû
 Thöôøng töø ñoäng maïch chuû ngöïc xuoáng
 Tónh maïch daãn löu thöôøng theo heä thoáng tónh maïch phoåi.
PHOÅI BIEÄT TRÍ NOÄI THUØY
 Thuøy döôùi (T), phaân thuøy ñaùy sau chieám 2/3. Coøn
laïi thöôøng phaân thuøy sau thuøy döôùi (P).
 Khoâng thöôøng keát hôïp vôùi caùc baát thöôøng khaùc (coù
theå gaëp 14%).
 Thöôøng nhaän bieát ôû ngöôøi tröôûng thaønh do vieâm
phoåi.
PHOÅI BIEÄT TRÍ NOÄI THUØY
 Khoái daïng moâ, thöôøng tieáp xuùc cô hoaønh (khoâng
nhieãm truøng).
 Neáu nhieãm truøng vaø thoâng caây pheá quaûn coù theå coù
daïng nang chöùa khí, möùc dòch khí.
PHOÅI BIEÄT TRÍ NGOAÏI THUØY
 Phaùt trieån nhö phoåi phuï, ñöôïc bao bôûi maøng phoåi
rieâng.
 Hieám khi nhieãm truøng.
 Haàu heát bieåu hieän laø khoái moâ ñoàng nhaát.
 Lieân quan hoaønh (T) trong 90% tröôøng hôïp.
PHOÅI BIEÄT TRÍ NGOAÏI THUØY
 Ñoäng maïch heä thoáng cung caáp thöôøng töø ñoäng
maïch chuû buïng.
 Thöôøng daãn löu theo heä tónh maïch heä thoáng-Tónh
maïch chuû döôùi, azygos hay baùn ñôn.
 Keát hôïp baát thöôøng khaùc: 60%.
 Thöôøng gaëp thoaùt vò hoaønh baåm sinh.
PHOÅI BIEÄT TRÍ
• Khoái ñaëc coù theå ñoàng nhaát hay khoâng ñoàng nhaát,
ñoâi khi coù nang.
• Ít gaëp hôn coù theå taïo hang lôùn vôùi möùc dòch khí,
khoái daïng nang giôùi haïn roõ.
NOÁT PHOÅI LAØNH TÍNH
 Bôø ñeàu
 Ñaäm ñoä môõ
 Ñoùng voâi
 Sang thöông veä tinh
 Thôøi gian nhaân ñoâi
* Löu yù: Coù söï truøng laép daáu
hieäu hình aûnh giöõa laønh vaø aùc
tínhBiopsy
Sang thöông veä tinh
ÑOÙNG VOÂI
-Trung taâm hay leäch taâm.
-Hình daïng: baép noå, quaû taï, daïng voøng, laám taám…
THÔØI GIAN NHAÂN ÑOÂI
-Neáu toån thöông nhaân ñoâi theå tích > 6tuaàn vaø < 16
thaùng, thöôøng aùc tính.
-Taêng ñöôøng kính leân 25%= nhaân ñoâi theå tích
1cm
1.25
cm
HAMARTOMA
Hamartoma (coù ñaäm ñoä môõ-
voâi beân trong)
Ñoùng voâi trong beänh lyù u
haït laønh tính (granuloma)
NOÁT PHOÅI AÙC TÍNH
 Bôø khoâng ñeàu, tuûa gai
(radiating coronal)
 Co keùo maøng phoåi (Pleural
fingers, flaps)
 Hoäi tuï maïch maùu (Rigler’s
umbilical sign)
 Hoïai töû
 Ñoùng voâi
 Lieân quan trong loøng pheá quaûn
 Thôøi gian nhaân ñoâi [ 30-400
ngaøy]
Ung thö phoåi ngoïai bieân/ Bôø khoâng
ñeàu, tuûa gai/ Co keùo maøng phoåi
Ñaäm ñoä khoâng ñoàng nhaát do hoïai
töû (Ca. teá baøo lôùn keùm bieät hoùa)
Lieân quan vôùi trong loøng pheá
quaûn pheá quaûn thuøy löôõi (T)
(Ca. teá baøo vaûy)
U PHOÅI AÙC TÍNH
*Nguyeân phaùt
– Bronchogeniac carcinoma
– Lymphoma
– Sarcoma
– Plasmacytoma
*Thöù phaùt
– Thaän, ñaïi traøng, buoàng tröùng, töû
cung
– Böôùu Wilm, u xöông
Vai troø CT:
-Ñaùnh giaù vò trí, kích thöôùc, bôø, lieân
quan maøng phoåi, trung thaát, thaønh
ngöïc, haïch, maïch maùu(xaâm
laán?)Staging
-Toån thöông khaùc keøm theo Ung thö phoåi xaâm laán
trung thaát, tónh maïch chuû treân [S]
s
UNG THÖ BIEÅU MOÂ PHEÁ QUAÛN
(Bronchogenic Carcinoma)
 Squamous cell ca 30-35%
 Adenocarcinoma 25-35%
 Small cell or oat cell 25%
 Large cell undifferentiated 10%
UNG THÖ BIEÅU MOÂ PHEÁ QUAÛN
• Ung thö bieåu moâ pheá quaûn thöôøng ñöôïc chia thaønh
hai nhoùm:
– Loaïi teá baøo nhoû (SCLC: Small cell lung cancer ).
– Loaïi khoâng phaûi teá baøo nhoû (NSCLC: Non-small
cell lung cancer).
SCLC
-SCLC ñöôc chia hai giai ñoaïn: giôùi haïn vaø lan roäng.
-SCLC hieám khi phaãu thuaät, thöôøng ñöôïc ñieàu trò
baèng xaï/hoùa.
SCLC
-SCLC thöôøng phaùt trieån töø pheá quaûn chính hay pheá
quaûn thuøy. Phaùt trieån töø loøng noäi pheá quaûn thöôøng hay
gaëp.
-Haïch roán phoåi, caïnh khí quaûn, döôùi carina lieân quan.
-Haàu heát maùu nuoâi töø ñoäng maïch pheá quaûn, moät soá
ñöôïc nuoâi töø ñoäng maïch phoåi.
Small Cell Undifferentiated
Oat Cell
 Xuaát hieän
 Haïch trung thaát
 Khoái ôû roán phoåi
 Noát phoåi nhoû hoaëc khoâng nhìn thaáy.
 Khaû naêng di caên cao.
 Phaùt trieån nhanh.
SCLC-xaâm laán ñoäng maïch phoåi (T).
NSCLC
-NSCLC(Non-small cell lung cancer) chiếm khoảng
75% caùc loại ung thư phổi. Chia thaønh:
adenocarcinoma, squamous cell carcinoma, and
large cell carcinoma.
-NSCLC thöôøng ñöôïc ñaùnh giaù giai ñoaïn baèng
TNM ñeå xeùt chæ ñònh phaãu thuaät.
TNM STAGING
UICC TNM Classification of Malignant
Tumors and the AJCC Cancer Staging
Manual.
• T0 Khoâng coù baèng chöùng u nguyeân phaùt
• T1 d≤3 cm vaø ñöôïc bao quanh bôûi phoåi hay maøng phoåi taïng.
•
• T2 d> 3 cm; môû roäng ñeán maøng phoåi taïng, xeïp phoåi, beänh phoåi
taéc ngheõn lieân quan ít hôn moät phoåi; u noäi pheá quaûn thuøy; hay u pheá
quaûn chính > 2cm töø carina.
• T3 U ôû ñænh; xeïp hoaøn toaøn moät phoåi; u noäi pheá quaûn cuûa pheá
quaûn chính trong voøng 2cm töø carina nhöng khoâng xaâm laán carina;
hay u baát kyøkích thöôùc naøo xaâm laán tröïc tieáp ñeán caùc caáu truùc nhö
thaønh ngöïc, maøng phoåi trung thaát, cô hoaønh…
• T4 Xaâm laán cô quan trung thaát: thöïc quaûn, khí quaûn, carina, maïch
maùu lôùn, vaø/hoaëc tim; taéc tónh maïch chuû treân; lieân quan thaân soáng,
thaàn kinh quaët ngöôïc; traøn dòch maøng tim hay maøng phoåi aùc tính;
caùc noát phoåi veä tinh trong cuøng thuøy vôùi u.
TNM STAGING
• N0 Khoâng haïch
• N1 Haïch roán phoåi hay pheá quaûn phoåi cuøng beân.
• N2 Haïch trung thaát cuøng beân hay ôû daây chaèng
Haïch caïnh khí quaûn treân vaø döôùi.
Haïch tröôùc vaø sau khí quaûn
Haïch vuøng ñoäng maïch chuû vaø cöûa soå pheá
chuû.
Haïch caïnh ñoäng maïch chuû.
Haïch caïnh thöïc quaûn.
ÔÛ daây chaèng phoåi.
Haïch döôùi carina
• N3 Haïch roán phoåi hay trung thaát ñoái beân hay haïch thöôïng ñoøn.
TNM STAGING
• M0 Khoâng di caên
• M1 Coù di caên
TNM STAGING
• IA T1N0M0
• IB T2N0M0
• IIA T1N1M0
• IIB T2N1M0 hay T3N0M0
• IIIA T1-3N2M0 hay T3N1M0
• IIIB T4 hay N3M0
• IV Coù M1
TNM STAGING
• Tieân löôïng soáng sau 5 naêm (MYÕ):
IA 75%
IB 55%
IIA 50%
IIB 40%
IIIA 10-35% (IIIA tieân löôïng xaáu nhöng
coøn coù khaû naêng phaãu thuaät).
IIIB 5% (IIIB: khoâng phaãu thuaät).
IV < 5%
TNM STAGING
• Tieân löôïng soáng sau 5 naêm (CHAÂU AÂU):
IA 60%
IB 38%
IIA 34%
IIB 24%
IIIA 13% (IIIA tieân löôïng xaáu nhöng
coøn coù khaû naêng phaãu thuaät).
IIIB 5% (IIIB: khoâng phaãu thuaät).
IV <1%
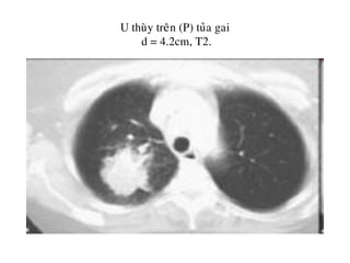
U thuøy treân (P) tuûa gai
d = 4.2cm, T2.
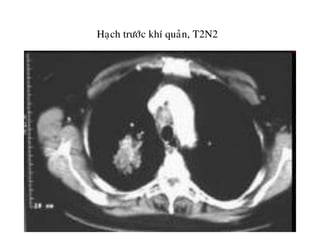
Haïch tröôùc khí quaûn, T2N2
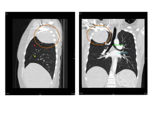
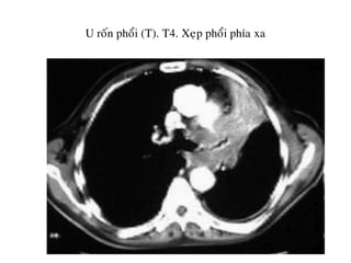
U roán phoåi (T). T4. Xeïp phoåi phía xa
Haïch döôùi carina
Haïch trung thaát hai beân, tröôùc khí quaûn -N3
U roán phoåi (P) xaâm laán trung thaát - T4
Haïch trung thaát - N3
Squamous Cell Carcinoma
 Naèm ôû trung taâm (2/3)
 Khoái
 Xeïp phoåi
 “Daáu S ngöôïc cuûa Golden"
 Vieâm phoåi sau taéc ngheõn.
 Naèm ôû ngoaïi vi (1/3)
 Coù theå coù hang.
 Lieân quan haàu heát vôùi thuoác laù.
Adenocarcinoma
 Thöôøng noát ôû ngoaïi bieân.
 Noát ñôn ñoäc (52%)
 Phaân boá thuøy treân (69%)
Large Cell-Undifferentiated
 10%
 Khoái lôùn ôû ngoaïi bieân
 Thöôøng lieân quan maøng phoåi
TOÙM LAÏI VÒ TRÍ PHAÂN BOÁ
 Trung taâm
 Squamous cell
 Small cell
 Ngoaïi vi
 Adenocarcinoma
 Large cell
VÒ TRÍ PHAÂN BOÁ
 Pancoast tumor=superior sulcus tumor (4%)
 Thöôøng laø teá baøo vaûy (squamous cell).
 Taéc tónh maïch chuû treân(5%)
 Thöôøng gaëp do teá baøo nhoû (small cell).
THÔØI GIAN SOÁNG
 # 40 thaùng
 Squamous cell 30%
 Large cell 16%
 Adenocarcinoma 15%
 Oat cell 1%
DI CAÊN PHOÅI
SOLITARY METASTASES MULTIPLE NODULES
Colon (30-40%)
Sarcomas, particularly from bone
Kidney
Testicle
Breast
Malignant melanoma
Kidney
Thyroid
Sarcoma of bone
LYMPHANGITIC SPREAD CAVITARY METS
Lesions arise around chest
Simulate CHF
Lung
Breast
Thyroid
Larynx
Stomach
Pancreas
Cervix
Usually thick walled with nodular inner margin
Squamous cell primaries such as
Head and neck tumors
Ca of the cervix
Transitional cell ca
Melanoma
Adenocarcinoma
DI CAÊN PHOÅI
DAØY VAÙCH GIAN TIEÅU THUØY
DI CAÊN ÑÖÔØNG BAÏCH HUYEÁT TÖØ RCC
BEÄNH LYÙ TRUNG THAÁT
CT VAØ U TRUNG THAÁT
-Chaån ñoaùn xaùc ñònh baát thöôøng trung thaát treân X quang qui
öôùc
-Chaån ñoaùn phaân bieät U vôùi caùc beänh lyù khaùc: phình maïch
maùu, daõn thöïc quaûn, meningocele..
-Ñaùnh giaù u veà vò trí, kích thöôùc, ñeø ñaåy-xaâm laám caùc caáu truùc
khaùc: maïch maùu (ñoäng maïch phoåi, chuû, tónh maïch chuû), khí-
pheá quaûn, thaønh ngöïc (coät soáng..), baûn chaát moâ hoïc (ñaït
khoaûng 68%) [lipoma, cyst..]
-Caùc toån thöông keøm theo (phoåi..)
-Khaû naêng phaãu thuaät u
-Trung thaát tröôùc (A)
-Trung thaát giöõa (M)
-Trung thaát sau (P)
[Davis, Sabiton/ 1987]
A
M
P
PHAÂN TAÀNG TRUNG THAÁT
CAÙC KHOANG TRUNG THAÁT
TRUNG THAÁT TRÖÔÙC
*Giôùi haïn: phía
tröôùc laø xöông öùc,
phía sau laø bôø
tröôùc tim.
TRUNG THAÁT GIÖÕA
*Giôùi haïn: Bôø tröôùc tim ñeán
maët tröôùc coät soáng.
*Goàm caùc caáu truùc: Thöïc
quaûn, TK X, TK quaët ngöôïc,
TK hoaønh, tim, ÑM vaø TM
phoåi ôû roán phoåi, khí quaûn vaø
pheá quaûn goác, TM chuû treân
vaø TM chuû döôùi
TRUNG THAÁT SAU
*Goàm caùc caáu truùc:
-ÑM chuû xuoáng
-Xöông coät soáng vaø xöông
söôøn, TK, tuûy soáng
-Tónh maïch ñôn vaø baùn ñôn
TRUNG THAÁT TREÂN
* Naèm ôû phía treân ñöôøng
ngang veõ töø goùc Luis ñeán
coät soáng.
*Goàm: tuyeán giaùp, quai
ÑM chuû vaø caùc maïch maùu
lôùn, ñoaïn gaàn cuûa TK X vaø
TK quaët ngöôïc, thöïc quaûn
vaø khí quaûn.
1. Khôùp öùc-ñoøn
2. Tónh maïch thaân caùnh tay ñaàu (T)
3. Cung ñoäng maïch chuû
4. Cöûa soå pheá chuû
5. Ñoäng maïch phoåi (T)
6. Thaân vaø ñoäng maïch phoåi (P)
7. Nhó (T)
8. Caùc buoàng tim
9. Khoang sau chaân hoaønh
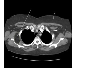
CAÙC MAËT CAÉT CÔ BAÛN TRUNG THAÁT
1. Ngang möùc khôùp öùc ñoøn
5 maïch maùu : 3 ñoäng maïch phiaù sau (döôùi ñoøn (s) caûnh (c), thaân caùnh tay
ñaàu (b) vaø 2 tónh maïch phiaù tröôùc thaân caùnh tay ñaàu (P) vaø (T) (bv)
Löu yù caùc beänh lyù: maïch maùu (phình-daõn maïch..), u, haïch
2. Ngang möùc tónh maïch
thaân caùnh tay ñaàu (T)
Tónh maïch caùnh tay ñaàu (T)
(ibv) chaïy ngang – tröôùc, qua (P)
hôïp vôùi nhaùnh (P) taïo tónh maïch
chuû treân.
Löu yù caùc beänh lyù: u, haïch
3. Ngang möùc cung ñoäng maïch chuû
Cung ñoäng maïch chuû (ARCH) vaø tónh maïch chuû treân (S) ngay beân
(P). Phiaù tröôùc laø caáu truùc môõ hình tam giaùc.
Löu yù caùc beänh lyù: maïch maùu (phình maïch..), haïch, u
4. Ngang möùc cöûa soå pheá chuû
Cöûa soå pheá chuû: giöõa cung ñoäng maïch chuû vaø ñoäng maïch phoåi (T)
. Coù vaøi haïch nhoû vuøng naøy. Tónh maïch Azygos chaïy sau, ra tröôùc
caïnh (P) khí quaûn vaøo tónh maïch chuû treân.
Löu yù caùc beänh lyù: maïch maùu (phình maïch..), haïch, u
Av
5. Ngang möùc ñoäng maïch phoåi
(T)
Ñoäng maïch phoåi (T) [LPA] taïo bôø (T) trung thaát.
Löu yù caùc beänh lyù: maïch maùu (phình-thuyeân taéc maïch ñoäng maïch
phoåi..), haïch, u
6. Ngang möùc ñoäng maïch phoåi (P) vaø thaân ñoäng maïch phoåi
Ñoäng maïch phoåi (P) [RPA] töø thaân ñoäng maïch phoåi [MPA], chaïy sang (P)
phiaù sau ñoäng maïch chuû leân [AA]
Löu yù caùc beänh lyù: maïch maùu (phình-thuyeân taéc maïch ñoäng maïch phoåi..),
haïch, u
7. Ngang möùc nhó (T)
thaân ñoäng maïch phoåi [MPA], ñoäng maïch chuû leân [AA]
8. Ngang möùc 4 buoàng tim
Thaáy caùc buoàng tim. Maøng ngoaøi tim taïo ñöôøng môø giöõa hai lôùp môõ [M]
Löu yù caùc beänh lyù: tim (huyeát khoái), haïch tröôùc tim, u thöïc quaûn, coät soáng
M
9. Ngang möùc khoang sau chaân hoøanh
KHOÁI CHOAÙN CHOÃ TRUNG THAÁT
TRÖÔÙC
(ANTERIOR MEDIASTINUM)
-U: Thymoma, Teratoma, Thyroid, Lymphoma
-Khaùc: Di caên, u trung moâ, phình maïch
-Goùc taâm hoøanh: Keùn maøng phoåi-tim, thoaùt vò hoaønh, tuùi môõ
ngoøai tim
Thymoma 2cm, laønh tính, khoâng
xaâm laán, b/n bò nhöôïc cô
Teratoma
KHOÁI CHOAÙN CHOÃ TRUNG THAÁT GIÖÕA
(MIDDLE MEDIASTINUM)
-U: Lymphoma, Di caên
-Khaùc: Phình maïch, keùn khí
pheá quaûn
-Thöïc quaûn: Ung thö, thoùat vò
Di caên K phoåi (loaïi teá baøo nhoû) vaøo cöûa
soå pheá chuû, tröôùc pheá quaûn
KHOÁI CHOAÙN CHOÃ TRUNG THAÁT SAU
(POSTERIOR MEDIASTINUM)
-U nguoàn goác thaàn kinh
-Coät soáng: Di caên, vieâm
-Caïnh soáng: tuï maùu, abscess,
toå chöùc taïo maùu ngoøai tuûy
-Phình maïch, thoùat vò hoøanh,
u môõ.
U bao daây thaàn kinh (Schwannoma):
caïnh soáng, taêng quang khoâng ñoàng nhaát
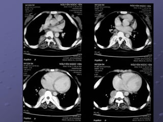
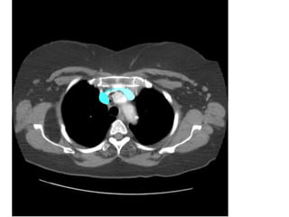
HAÏCH TRUNG THAÁT
Ñaùnh giaù chính xaùc haïch trung thaát raát quan troïng
trong choïn löïa toái öu phöông phaùp ñieàu trò, tieân
löôïng beänh ôû beänh nhaân NSCLC
PHAÂN LOAÏI HAÏCH THEO VUØNG
American Thoracic Society
NHOÙM HAÏCH TRUNG THAÁT TREÂN (1-4)
• 1. Trung thaát cao nhaát: treân tónh maïch thaân tay ñaàu
(T).
• 2. Caïnh khí quaûn treân: treân cung ñoäng maïch chuû
nhöng döôùi tónh maïch thaân tay ñaàu (T).
• 3. Tröôùc maïch maùu hay tröôùc coät soáng.
• 4. Caïnh khí quaûn döôùi.
NHOÙM HAÏCH CHUÛ (5-6)
• 5. Döôùi ñoäng maïch chuû.
• 6. Caïnh ñoäng maïch chuû: naèm tröôùc ngoaøi ñoäng
maïch chuû leân vaø cung ñoäng maïch chuû.
NHOÙM HAÏCH TRUNG THAÁT DÖÔÙI (7-9)
• 7. Döôùi carina
• 8. Caïnh thöïc quaûn (döôùi carina).
• 9. Daây chaèng phoåi.
NHOÙM HAÏCH NAÈM ÔÛ ROÁN, GIAN THUØY,
THUØY, PHAÂN THUØY, HAÏ PHAÂN THUØY
(10-14)
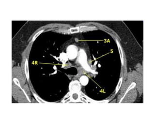
1. TRUNG THAÁT CAO NHAÁT
Tónh maïch thaân tay ñaàu vaãn coøn naèm beân (T) ñöôøng giöõa.
Haïch naèm treân ñöôøng maø tónh maïch thaân tay ñaàu (T)
chaïy ngang qua tröôùc khí quaûn
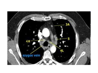
2.CAÏNH KHÍ QUAÛN TREÂN
Coù haïch nhoû tröôùc maïch maùu -3A
3. HAÏCH TRÖÔÙC MAÏCH MAÙU VAØ TRÖÔÙC SOÁNG
Khoâng naèm caïnh khí quaûn- naèm tröôùc maïch maùu (3A) hay sau thöïc quaûn tröôùc coät soáng (3P)
Haïch tröôùc maïch maùu -3A.
Haïch caïnh khí quaûn döôùi -4R.
4. HAÏCH CAÏNH KHÍ QUAÛN DÖÔÙI
Naèm döôùi ñöôøng ngang veõ tieáp tuyeán bôø treân
cung ñoäng maïch chuû.
4R-Haïch naèm beân (P) ñöôøng giöõa khí quaûn.
4L-Haïch naèm beân (T) ñöôøng giöõa khí quaûn môû roäng ñeán pheá quaûn
chính (T) ôû möùc bôø treân cuûa pheá quaûn thuøy treân (T)-Bao goàm nhoùm
haïch caïnh khí quaûn naèm ôû möùc trung gian ñeán daây chaèng ñoäng maïch.
5. HAÏCH DÖÔÙI ÑOÄNG MAÏCH CHUÛ: ngoaøi daây chaèng ñoäng maïch.
6. HAÏCH CAÏNH ÑOÄNG MAÏCH CHUÛ
Naèm tröôùc ngoaøi ñoäng maïch chuû leân, cung ñoäng maïch chuû, döôùi bôø treân cung
ñoäng maïch chuû.
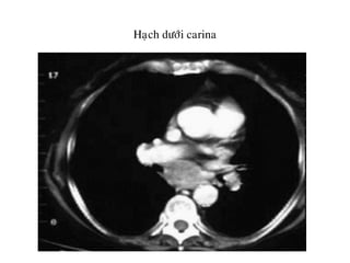
7.NHOÙM HAÏCH DÖÔÙI CARINA
8 NHOÙM HAÏCH CAÏNH THÖÏC QUAÛN
Naèm döôùi carina.
Caïnh thaønh thöïc quaûn, beân (P) hay (T) ñöôøng giöõa.
9. NHOÙM HAÏCH DAÂY CHAÈNG PHOÅI
Naèm beân trong daây chaèng phoåi, bao goàm haïch naèm ôû thaønh sau vaø
phaàn thaáp cuûa tónh maïch phoåi döôùi.
10. NHOÙM HAÏCH ROÁN PHOÅI
KEÁT LUAÄN
-CT laø khaûo saùt hình aûnh giaù trò.
-Chæ ñònh roäng raõi ôû caùc beänh lyù phoåi- maøng phoåi-
trung thaát…
-Caàn keát hôïp caùc phöông tieän chaån ñoaùn hình aûnh
khaùc -laâm saøng-caän laâm saøng.
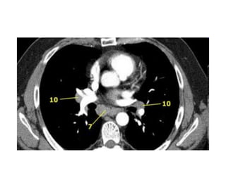
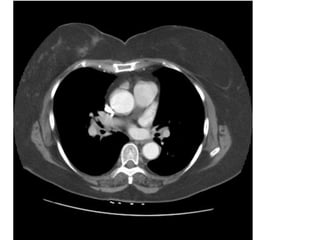
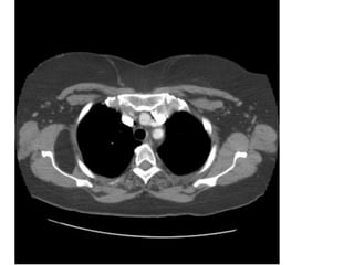
CÁC LÁT CẮT
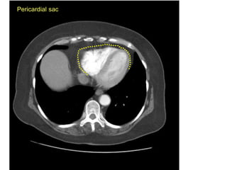
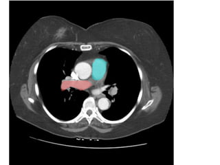
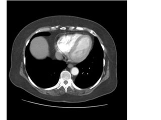
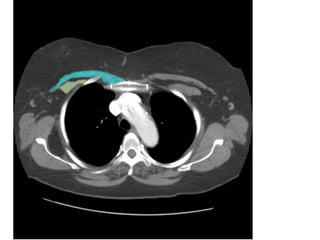
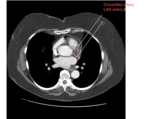
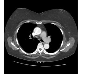
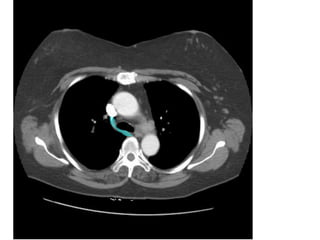
CT NGỰC BÌNH THƯỜNG
A
D
Circumflex artery (LCx)
LAD artery (LAD)
left ventricular wall and septum
papillary wall muscles
mitral valve leaflets. )
Pericardial sac
CÁC DẤU HIỆU TRONG XQ-CT
CERVICO-THORACIC SIGN (-)
POSTERIOR MEDIASTINUM + CALCIFICATION NEUROBLASTOMA
October 31, 2014 24
ICEBERG SIGN (+) ICEBERG SIGN (-)
October 31, 2014 25
ICEBERG SIGN (+)
NEUROBLASTOMA
October 31, 2014 26
ICEBERG SIGN (-) : NEUROBLASTOMA
October 31, 2014 27
ICEBERG SIGN (-): NEURINOMA
October 31, 2014 28
THYMIC SAIL SIGN
October 31, 2014 29
October 31, 2014 30
October 31, 2014 31
Caáu truùc hoài aâm luoân luoân ñaëc,
ñoàng daïng
THYMIC SAIL SIGN
October 31, 2014 D.Anthoine et al.L’Imagerie Thoracique.1996-1998. 32
HILUM CONVERGENCE SIGN:
PHÌNH ÑOÄNG MAÏCH PHOÅI (T)
October 31, 2014 D.Anthoine et al.L’Imagerie Thoracique.1996-1998. 33
HILUM CONVERGENCE SIGN:
TAÊNG AÙP ÑOÄNG MAÏCH PHOÅI / ÑAÛO NGÖÔÏC
PHUÛ TAÏNG
October 31, 2014 34
HILUM OVERLAY SIGN:
TERATOMA
October 31, 2014 35
October 31, 2014 36
RUL Consolidation Strep Pneumonia
October 31, 2014 A.J.Chandrasekhar,M.D.Chest X-ray Atlas. 37
AIR BRONCHOGRAM SIGN (+):
VIEÂM PHOÅI
October 31, 2014
Joseph K.T.Lee. Lee computed body tomography with MRI correlation. 38
October 31, 2014
Non–small cell carcinoma of the bronchus
(S-Golden’s sign)
Weissleder et al.Diagnostic Imaging Expert.1998 39
XEÏP THUØY TREÂN PHOÅI (T) (caùc ñaàu muõi teân)
DO U PHEÁ QUAÛN (muõi teân) S-GOLDEN’S SIGN
October 31, 2014
Joseph K.T.Lee. Lee computed body tomography with MRI correlation. 1998
40
HAMPTON’S HUMP
October 31, 2014 41
October 31, 2014 42
October 31, 2014
WESTEMARK’S SIGN (+)
HAMPTON’S HUMP (+)
PULMONARY EMBOLI 43
BN 25F.BVBD : U TRUNG
THẤT
BN 40F BV PNT : U TRUNG THẤT
XIN CHÂN THÀNH CẢM ƠN

CT NGỰC - CLS HÈ 2019 (1).pdf

  • 1.
    CT NGỰC Ths. BS.Hoàng Đình Dương
  • 2.
    MỤC TIÊU 1. Hiểucác khái niệm cơ bản 2. Biết cách đọc phim CT ngực 3. Nhận biết các bất thường trên CT ngực 4. Phân tích được bất thường trên CT ngực là tổn thương gì 5. Kết luận bệnh lý trên CT ngực
  • 3.
    NỘI DUNG 1. KHÁINIỆM VỀ CT 2. CT NGỰC: KỸ THUẬT, CHỈ ĐỊNH, CÁC LOẠI CT NGỰC 3. CÁC BƯỚC ĐỌC CT NGỰC 4. CẤU TRÚC GIẢI PHẪU VÙNG NGỰC TRONG CT NGỰC: PHỔI, TRUNG THẤT, MẠCH MÁU 5. CÁC MẶT CẮT CT NGỰC 6. CÁC TỔN THƯƠNG TRÊN CT NGỰC 7. CÁC LÁT CẮT CT NGỰC (ÔN TẬP) + CÁC DẤU HIỆU TRONG XQ-CT NGỰC 8. CÁC TÌNH HUỐNG LÂM SÀNG
  • 4.
    KHÁI NIỆM • CTscanner (Computed Tomography): chụp cắt lớp vi tính • MSCT (Multislide Computed Tomography) chụp cắt lớp vi tính đa lớp cắt • CT dùng tia X # ảnh CT scan không phải là ảnh tia X, mà là ảnh được tái tạo lại từ bộ nhớ của máy tính • Thế hệ đầu tiên 4 lát cắt/giây, rồi lên 16, 32, 64, 128 và hiện nay 640 lát cắt
  • 5.
  • 6.
  • 7.
    QUY TRÌNH CHỤPCT Trước khi chụp CT • Tháo bỏ tất cả các vật bằng kim loại: trang sức, kẹp tóc, kính, đồng hồ, áo nịt ngực có gọng kim loại, thiết bị trợ thính và răng giả vì chúng sẽ gây nhiễu ảnh khi chụp. • Có thai hoặc nghi ngờ có thai phải thông báo cho nhân viên y tế • Bệnh nhân phải thông báo nếu đang mắc một trong các bệnh: tiểu đường, tĩnh mạch, hen suyễn, thận và dị ứng thuốc. • Bệnh nhân và người thân cần ký vào bản cam kết tiêm thuốc cản quang nếu cần tiêm thuốc cản quang. • Nhịn ăn trước 4 - 6 giờ tiêm thuốc cản quang. Bệnh nhân có thể uống nước với lượng vừa phải trước khi chụp cắt lớp vi tính 2 giờ. • Trẻ sơ sinh hoặc trẻ mới biết đi, bác sĩ có thể cho trẻ ngủ để chụp các bộ phận không tiêm thuốc, phải tiêm thuốc cản quang thì cần cho trẻ dùng an thần để tránh trẻ cử động khi tiêm thuốc cản quang. • Tùy vào vị trí cơ thể cần chụp CT, người bệnh có thể được yêu cầu cởi quần, áo và mặc áo do bệnh viện cung cấp.
  • 8.
    Trong khi chụpCT • Bệnh nhân nằm ngửa trên bàn trong phòng chụp hoặc nằm theo một số tư thế đặc biệt theo yêu cầu của chẩn đoán. • Thời gian chụp cắt lớp vi tính thường kéo dài 3 - 5 phút, một số trường hợp kéo dài hơn (lên tới 15 - 45 phút) sẽ được nhân viên y tế giải thích kỹ lưỡng cho bệnh nhân. • Khi chụp CT bệnh nhân cần nằm yên. Nếu chụp ngực và bụng, người bệnh nên nín thở theo hướng dẫn của nhân viên y tế. • Bệnh nhân có tiêm thuốc cản quang thường có cảm giác nóng dọc theo vùng mặt, cổ, ngực và có thể lan tới vùng bẹn trong vòng vài giây, người bệnh vẫn cần nằm yên khi chụp để có kết quả tốt nhất. • Một số trường hợp chụp CT đường tiêu hóa, y bác sĩ có thể yêu cầu bệnh nhân uống thuốc cản quang hoặc nước để tăng độ tương phản cấu trúc ống tiêu hóa, hỗ trợ chẩn đoán tốt hơn. QUY TRÌNH CHỤP CT
  • 9.
    Sau khi chụpCT • Bệnh nhân không tiêm thuốc cản quang có thể hoạt động bình thường, ăn uống thêm nếu không phải làm thêm các xét nghiệm khác. • Bệnh nhân có tiêm thuốc cản quang sau khi chụp vẫn giữ đường truyền ở tĩnh mạch và được theo dõi trong phòng theo dõi khoảng 30 phút, nếu không có diễn biến bất thường thì nhân viên y tế sẽ tháo kim ra nếu không có chỉ định sử dụng đường truyền tĩnh mạch). Sau tháo kim người bệnh cần đè tay vào vị trí tiêm thuốc trong khoảng 5 - 10 phút để tránh chảy máu. Trong vòng 24 giờ sau tiêm thuốc cản quang, người bệnh cần uống nhiều nước để đào thải thuốc ra khỏi cơ thể. • Nếu có biểu hiện bất thường như chóng mặt, buồn nôn, nôn ói, ngứa, đỏ da, khó thở, sốt,... sau khi chụp cắt lớp vi tính thì bệnh nhân nên thông báo ngay với nhân viên y tế hoặc đến cơ sở y tế gần nhất để thăm khám, phát hiện bệnh. QUY TRÌNH CHỤP CT
  • 10.
  • 11.
  • 12.
    KHÁI NiỆM VỀCỬA SỔ (WINDOW-WIDTH) VÀ MỰC NGANG GiỮA (LEVEL) October 31, 2014 8
  • 13.
    CẤU TRÚC MÔQUA CT Đơn vị tỉ trọng Housfield: có ba loại cấu trúc dựa theo tỉ trọng: 1. Cấu trúc tăng tỉ trọng: số đo tỉ trọng cao hơn mô lành cùng loại. 2. Cấu trúc giảm tỉ trọng: số đo tỉ trọng thấp hơn mô lành cùng loại 3. Cấu trúc đồng tỉ trọng: số đo tỉ trọng ngang bằng mô lành cùng loại.
  • 14.
    - Cấu trúcdịch: dịch trong các nang thận, dịch thấm có tỉ trọng gần với tỉ trọng nước. phụ thuộc nhiều vào lượng protein có trong dịch. Dịch nang là dịch vô mạch, nên tỉ trọng sẽ không đổi khi tiêm thuốc cản quang tĩnh mạch. - Dịch tiết hoặc dịch viêm có lượng albumin cao trên 30g/l, tỉ trọng 20- 30 đơn vị H. - Máu, ổ máu tụ: lượng albumin của các phân tử hữu hình. • Máu mới tỉ trọng 55 đơn vị H, khi các thành phần hữu hình tan hết, tỉ trọng giảm xuống 15-20 đơn vị H. • Máu cục tỉ trọng cao hơn hẳn máu trong tuần hoàn. Hiện tượng tăng tỉ trọng của ổ máu tụ chỉ tồn tại đến ngày thứ 7 sau chảy máu, sau đó tỉ trọng trở nên cân bằng với mô mềm. Sau 2 tuần, tỉ trọng thấp hơn mô mềm. • Những ổ máu tụ lớn, giai đoạn muộn do fibrin lắng đọng tạo nên một bao xung quanh, bên trong là dịch lỏng, trông giống như một nang dịch. CẤU TRÚC MÔ QUA CT
  • 15.
  • 16.
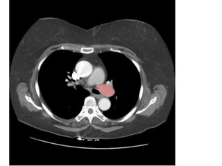
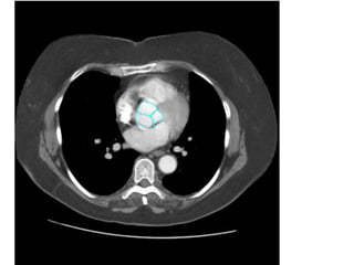
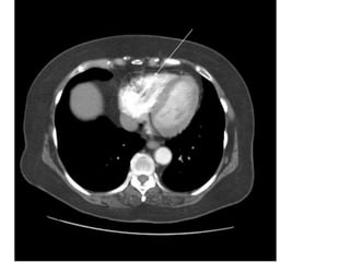
    VỠ LOÉT ĐỘNGMẠCH CHỦ NGỰC -> MÁU XOANG NGỰC (T)
  • 17.
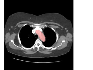
    - Ổ ápxe: dịch mủ tỉ trọng 30 đơn vị H, tổ chức bao quanh giàu mạch máu, khi tiêm thuốc cản quang vào tĩnh mạch sẽ thấy một bao tăng tỉ trọng bao bọc quanh ổ áp xe. Tỉ trọng của mủ trong ổ áp xe theo thời gian sẽ giảm dần xuống gần bằng tỉ trọng của nước. - Các ổ hoại tử: ổ giảm tỉ trọng rõ. CẤU TRÚC MÔ QUA CT
  • 18.
  • 19.
    CT NGỰC Kỹ thuậtchụp CT ngực Chỉ định chụp CT ngực Các bệnh lý gặp trong CT ngực
  • 20.
    1. CTngựcthườngqui(standard/conventionalCT): • Bềdày:310mm • Vùngkhảosátrộng,chụpnhanh • Khảosáttoànbộnhumôphổi • Tiêmcảnquang/TM:+/- • Chỉđịnh:  BấtthườngtrênXqngực  ĐánhgiágđKphổi  Theodõidicănphổi  Bất thườngmàngphổi,trungthất  Trànmủmàngphổi KỸ THUẬT
  • 21.
     Látcắt mỏng:1 - ‐ 1 . 3 m m  Chohình ảnhcóđộphângiải cao:mạchmáu,phế nang,môkẽ,đường dẫnkhí  Khôngtiêmcảnquang 2. CT ĐỘ PHÂN GIẢI CAO (HRCT)
  • 22.
    Chỉđịnh • TổnthươngphổilantoảtrênXq • Xqbìnhthườngnhưngcóbấtthườngtrêncác testCNhô hấp(PFT s) • Làppđánhgiácơ bảntrênBNbệnhphổilantoả • Nốt phổi đơnđộc • Bệnhphổi đanghoạt độnghoặccũ(xơ) • Horamáu • Hướngdẫnsinhthiết phổi • Theo dõi mộtsốbệnhlý nhumôphổi HRCT
  • 23.
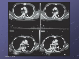
    Liều bức xạthấphơn CTthông thường#30-50% H/ảnhcó độ phângiải kémhơnCTthông thường Sửdụng:  Tầmsoát Kphổi: đangNC  Theo dõi: nhiễm trùng, saughép phổi, di căn phổi 3. CT LIỀU THẤP
  • 25.
    • CTđộngmạchphổi (pulmonaryCTangiography): Thuyêntắcphổi •CTđộngmạchchủngực(aortic CTangiography): PhìnhĐMC   BóctáchĐMC   ChấnthươngĐMC   Chỉđịnh chụp ĐMCn g ự c - ‐ b ụ n g 4. CT MẠCH MÁU (CT ANGIOGRAPHY)
  • 26.
    1.Optimal (tối ưu)2.T oolate(muộn). 3.T ransient interruptionof contrast(gián đoạn)
  • 27.
    Transient Interruption ofContrast: Deep inspiration results in dilution of contrast in the right atrium by unopacified blood from the inferior vena cava. (Gián đoạn thuốc tương phản)
  • 28.
    Chỉđịnh:  Huyết khốitĩnhmạch  HCTM chủtrên  Bất thường tĩnhmạch
  • 29.
    5.CTngựccótiêmcảnquangthôngthường Chỉđịnh: - ‐ Bấtthườngtrung thất, phổi,màng phổi, thànhngực - ‐ Xẹpphổithuỳ - ‐ Phânbiệt hạchvới mạchmáu
  • 30.
  • 31.
    • Axial: ngang,Sagittal:đứng dọc,Coronal: đứngngang CT NGỰC
  • 32.
    CỬASỔ: 1. T rungthất/mômềm(mediastinalwindows) 2. Phổi(lungwindows) 3. Xương (bonewindows) CT NGỰC
  • 33.
    CÁC PHIM CTNGỰC CT ngực • Chụp CT ngực không cản quang • Chụp CT ngực có cản quang Các cửa sổ • Cửa sổ trung thất • Cửa sổ phổi • Cửa sổ màng phổi • Cửa sổ xương
  • 34.
    XEM HÌNH KHÔNGCHÍCH CHẤT TƯƠNG PHẢN (CE-) TRƯỚC RỒI MỚI ĐẾN HÌNH CÓ CHÍCH CHẤT TƯƠNG PHẢN (CE+) October 31, 2014 10
  • 35.
    CÁC CỬA SỔCT NGỰC Cửa sổ trung thất: • Xem tim và các mạch máu lớn • Các tổn thương có đậm độ bất thường hoặc đồng đậm độ với mô mềm trung thất và phổi: u, dịch, hạch trung thất…, cũng có thể thất bật thường xương Cửa sổ phổi: xem tràn khí màng phổi và trung thất, kén khí, xơ, các tổn thương mô kẽ Cửa sổ xương: thấy rõ hơn hình ảnh hủy xương, chi tiết xương
  • 36.
    PHÂN BiỆT HÌNHCỬA SỔ TRUNG THẤT VÀ CỬA SỔ PHỔI October 31, 2014 7
  • 37.
    CỬA SỔ TRUNGTHẤT CỬA SỔ PHỔI LEVEL=40 , WINDOW=400 LEVEL=-600 , WINDOW=1600 October 31, 2014 9
  • 38.
  • 39.
  • 40.
    2/XEM HÌNH “SCOUTVIEW” ĐỂ BiẾT VỊ TRÍ LÁT CẮT PA SCOUT X-RAY October 31, 2014 6
  • 41.
    • CỬA SỔTRUNG THẤT (CS MÔMỀM) • CỬA SỔ NHU MÔ (CS PHỔI) • CỬA SỔ XƯƠNG CÁC BƯỚC ĐỌC CT
  • 42.
    1. Tuyến giápkích thước, đậm độ 2. Thành ngực: mô mềm, tuyến vú (u) 3. Màng phổi: dày/u/đóng vôi MP, TDMP, TMMP 4. Nhu mô phổi 5. Tim: các buồng tim, màng ngoài tim (TDMT), vôi hóa mạch vành 6. Mạch máu: ĐMC, ĐM phổi, các nhánh (hẹp/ phình, bóc tách…) 7. Hạch: trung thất, hạch nách CỬA SỔ TRUNG THẤT
  • 43.
  • 44.
    1. Nhu môphổi 2. Khí phế quản 3. Tìm khí bất thường: TKMP, TK trung thất, TK dưới da CỬA SỔ PHỔI
  • 45.
  • 46.
    • Vị trí •Kích thước • Hình dạng • Đường bờ • Cấu trúc bên trong (đóng vôi, tạo hang, liềm khí…) • Đậm độ (trước và sau tiêm thuốc) • Liên quan cấu trúc xung quanh (TD: tổn thương vệ tinh, co kéo màng phổi, xâm lấn mạch máu…) CÁCH MÔ TẢ TỔN THƯƠNG
  • 47.
     ĐỌC PHIMTHEO TRÌNH TỰ  MỘT BỆNH LÝ CÓ NHIỀU DẠNG TỔN THƯƠNG PHỔI & NGƯỢC LẠI  KẾT HỢP VỚI TIỀN CĂN + LS  CHẨN ĐOÁN VÀ CHẨN ĐOÁN PHÂN BIỆT KẾT LUẬN
  • 48.
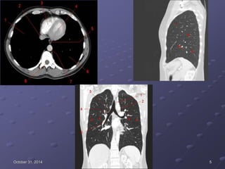
    • Xác địnhrãnh liên thùy  thùy • Phế quản và động mạch đi vào trung tâm phân thùy phân thùy GIẢI PHẪU PHÂN THÙY PHỔI
  • 51.
  • 52.
  • 53.
  • 54.
  • 55.
    (S10) (S7) (S9) ( S 7 - ‐ 8 (S5) (S4) (S5) (S4) (S8) (S9) (S10) Posterior: sau- Anterior: trước - Superior: trên - Inferior: dưới
  • 57.
    GIẢI PHẪU CÂYPHẾ QUẢN
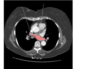
  • 64.
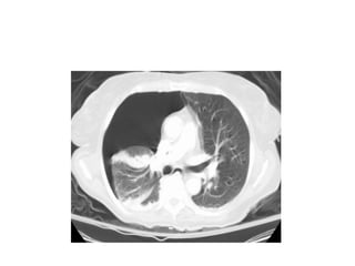
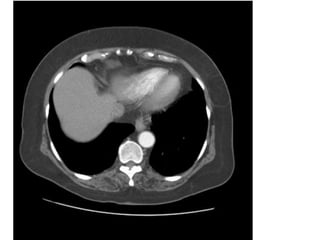
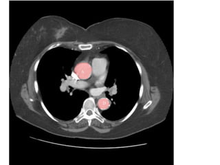
    • Vị trí:giữahaiphổi,sauxươngức,trướccộtsống,bắt đầutừ lỗ trên lồngngực(thoracicinlet/outlet) đếncơ hoành • Giảiphẫu:chiathành4vùngtừ trên xuốngdựavào:  T rênĐMC(trung thất trên)(supraaortic)  QuaiĐMC vàcửa sổphế chủ(aorticarch)  CácĐMphổi,khoangdưới carina,ngáchTM đ ơ n - ‐ thựcquản  Timvàvùngcạnhtim (heartandparacardium) TRUNG THẤT
  • 67.
    • Internalmammaryartery:ĐM vútrong •Innominateartery:ĐM thâncánhtayđầu • Brachiocephalic vein: TMthâncánhtayđầu
  • 71.
  • 78.
  • 84.
    TA: thân trước(truncus anterior) IA: ĐM gian thùy BT: thân đáy (basal trunk) A1: đỉnh A2: sau A3: trước A4: ngoài A5: trong A6: trên A7: đáy trong A8: đáy trước A9: đáy ngoài A10: đáy sau ĐỘNG MẠCH PHỔI (P)
  • 85.
  • 86.
  • 87.
    Thuỳ dưới (P): - ‐Nh á n hA6:từĐMC gian thuỳ ngang mức mặt sau trong - ‐ N h á n hA7:đáyt r o n g - ‐ c ạ n htim, từ thân đáyđi xuốngvàotrong A 9 - ‐ 10 A7 A8 A10 A9 A8 A7
  • 88.
    IA: ĐM gianthùy BT: thân đáy (basal trunk) A1 + A2: đỉnh sau A3: trước A4: ngoài A5: trong A6: trên A7 + A8: đáy trước trong A9: đáy ngoài A10: đáy sau ĐỘNG MẠCH PHỔI (T)
  • 89.
    Thuỳtrên(T) NhánhA1+2:từ mặttrênĐMphổi (T)đilêntrên NhánhA3:đi ratrước A3 A1+ 2 A1+ 2 A3 A1+ 2
  • 90.
    Thuỳtrên(T) NhánhA4:lưỡi trên, từmặttrước ĐM gianthuỳđi lên trên A4 A5 A6
  • 91.
    Thuỳdưới (T) NhánhA6:từ ĐMgianthuỳngangmứchoặcngaytrênchỗ xuất phátĐMthuỳlưỡi, đi rasau A4 A5 A6
  • 92.
    Thuỳdưới(T): NhánhA7+8:từ thân đáy đixuống,ra trước, vào trong NhánhA9:rangoài NhánhA10:rasau A9 A10 A8 A7
  • 93.
  • 113.
    GIẢI PHẪU CTNGỰC BÌNH THƯỜNG HÌNH 1 October 31, 2014 1, Coracoid. 2, Right clavicle. 3, Right common carotid artery. 4, Thyroid. 5, Internal jugular vein. 6, Left clavicle. 7, Left subclavian vein. 8, Left humeral head. 9, Scapular spine. 10, Spinous process. 12
  • 114.
    HÌNH 2 1, Righthumeral head. 2, Oesophagus. 3, Trachea. 4, Left subclavian vein. 5, Scapular spine. 6, Glena October 31, 2014 13
  • 115.
    HÌNH 3 1, Rightlung. 2, Rib. 3, Oesophagus. 4, Trachea. 5, Left brachiocephalic vein . 6, Left common carotid artery. 7,Left axillary vein. 8, Left Lung. 9, Transverse process. 10, Scapula. October 31, 2014 14
  • 116.
    HÌNH 4 1, Trachea.2, Rib. 3, Brachiocephalic artery. 4, Left brachiocephalic vein . 5, Pectoralis major muscle. 6, Pectoralis minor muscle. 7, Left common carotid artery. 8, Left subclavian artery, O c t o b e r 9 O e s o p h a g u s . 3 1 ,2 0 1 4 10, Scapula. 15
  • 117.
    HÌNH 5 1, Rightlung. 2, Rib. 3, Trachea. 4, Left brachiocephalic vein . 5, Brachiocephalic artery. 6, Left common carotid artery. 7, Left subclavian artery. 8, Scapula. 9, Oesophagus. 10, Spinous process. October 31, 2014 16
  • 118.
    HÌNH 6 1, Oesophagus.2, Rib. 3, Trachea. 4, Superior vena cava. 5, Brachiocephalic artery. 6, Left common carotid artery. 7, Aorta. 8, Scapula. 9, Spinal canal. October 31, 2014 17
  • 119.
    HÌNH 7 1, Rightlung. 2, Trachea. 3, Superior vena cava. 4, Aortic arch.5, Left Lung. 6, Scapula 7, Vertebral body. 8, Rib. October 31, 2014 18
  • 120.
    HÌNH 8 1, Rightlung. 2, Superior vena cava. 3, Thoracic ascending aorta. 4, Thoracic descending aorta. 5, Rib. 6, Left Lung. 7, Oesophagus. 8, Trachea. October 31, 2014 19
  • 121.
    HÌNH 9 1, Rightlung. 2, Right pulmonary vein. 3, Superior vena cava. 4, Thoracic ascending aorta. 5, Left pulmonary artery. 6, Left pulmonary vein. 7, Left Lung. 8, Scapula 9, Spinal canal. 10, Rib. October 31, 2014 20
  • 122.
    HÌNH 10 1, Rightpulmonary artery. 2, Right lung. 3, Superior vena cava. 4, Thoracic ascending aorta. 5, Pulmonary trunk. 6, Left pulmonary vein. 7, Left pulmonary artery. 8, Scapula. 9, Rib10, Left Lung. October 31, 2014 21
  • 123.
    HÌNH 11 1, Rightlung. 2, Right pulmonary artery. 3, Superior vena cava. 4, Thoracic ascending aorta. 5, Pulmonary artery root. 6, Left pulmonary vein. 7, Left pulmonary artery. 8, Rib. 9, Thoracic descending aorta October 31, 2014 22
  • 124.
    HÌNH 12 1, Rightatrium. 2, Aortic root. 3, Pulmonary outflow tract. 4, Left atrium. 5, Thoracic descending aorta. October 31, 2014 23
  • 125.
    CÁC TỔN THƯƠNGTRÊN CT NGỰC  BỆNH LÝ MÀNG PHỔI  BỆNH LÝ XOANG MÀNG PHỔI: TKPM, TDMP, MỦ MÀNG PHỔI  BỆNH LÝ NHU MÔ PHỔI  VIÊM PHỔI  ÁP XE PHỔI  XẸP PHỔI  BÓNG/ KÉN KHÍ PHỔI  KHÍ PHẾ THỦNG  DÃN PHẾ QUẢN  PHỔI BIỆT TRÍ  THUYÊN TẮC PHỔI  U PHỔI LÀNH TÍNH  UNG THƯ PHỔI  BỆNH LÝ TRUNG THẤT: U, HẠCH, KHÍ-MỦ TRUNG THẤT  CÁC TỔN THƯƠNG KHÁC: VỠ HOÀNH, THOÁT VỊ HOÀNH…
  • 126.
  • 127.
  • 131.
    MAØNG PHOÅI • MPthaønh ñöôïc caáp maùu bôûi maïch maùu heä thoáng, daãn löu veà nhó (P) theo heä thoáng tónh maïch ñôn, baùn ñôn, tónh maïch vuù trong. • MP taïng ñöôïc caáp maùu bôûi maïch phoåi vaø daãn löu veà tónh maïch phoåi.
  • 132.
    MAØNG PHOÅI -Bình thöôøngdaøy 0.2-0.4mm. *Toån thöông: -Bernou: tuø -Thöôøng keùo daøi theo khoang maøng phoåi, giôùi haïn nhu moâ phoåi roõ. -Coù theå thaáy taùch laù thaønh, laù taïng (sau tieâm).
  • 133.
    U MAØNG PHOÅI -Umaøng phoåi laønh tính: u sôïi (pleural fibroma) hay u trung bieåu moâ laønh tính (benign mesothelioma), u môõ. -U maøng phoåi aùc tính: Di caên maøng phoåi, u trung bieåu moâ aùc tính.
  • 134.
    U TRUNG BIEÅUMOÂ LAØNH TÍNH (BENIGN MESOTHELIOMA) -40-60 tuoåi, Nam: Nöõ = 1: 1 -Khoái ñôn ñoäc, khoâng lieân quan amian. -Bôø ñeàu. Thöôøng ôû ½ ngöïc döôùi. -80% töø maøng phoåi taïng, 20% maøng phoåi thaønh. -Ñoùng voâi < 5%, hoaïi töû neáu u lôùn. -Thöôøng keát hôïp beänh lyù phì ñaïi xöông-khôùp. -Toån thöông ñaäm ñoä moâ ñoàng nhaát, thöôøng tieáp xuùc thaønh ngöïc (khoâng ñoàng nhaát do hoaïi töû, xuaát huyeát), baét quang khoâng ñoàng nhaát. -Ñaëc ñieåm hình aûnh khoâng phaân bieät laønh hay aùc tuy nhieân toån thöông aùc thöôøng > 10cm, hoaïi töû trung taâm vaø TDMP nhieàu.
  • 135.
  • 138.
  • 139.
    U MÔÕ MAØNGPHOÅI -Laønh tính. -Bôø roõ, nhaün, ñaäm ñoä môõ, döïa vaøo maøng phoåi.
  • 140.
    DI CAÊN MAØNGPHOÅI -Laø u aùc tính hay gaëp nhaát cuûa maøng phoåi. -Ung thö pheá quaûn (40-50%), vuù, lymphoma, buoàng tröùng, tieâu hoùa. -Thöôøng keøm traøn dòch maøng phoåi Hình CT -Daøy maøng phoåi, traøn dòch -Baét quang maïnh khoâng ñoàng nhaát Ung thö buoàng tröùng di caên maøng phoåi
  • 141.
    U TRUNG BIEÅUMOÂ AÙC TÍNH (MALIGNANT MESOTHELIOMA). -Chieám < 5% beänh lyù aùc tính maøng phoåi. -Coù lieân quan vôùi asbestos. -Lan khaép maøng phoåi  daøy maøng phoåi, khoâng ñeàu, coù noát. -Ñoùng voâi maøng phoåi 5%. -Traøn dòch maøng phoåi < 80%. -Khoâng coù hình aûnh ñaëc hieäu.
  • 142.
    U MAØNG PHOÅIAÙC TÍNH Nam > nöõ : 5/1. Tieàn söû: asbestos -Daøy maøng phoåi > 1cm, daïng noát khoâng ñeàu, lieân quan maøng phoåi trung thaát, thöôøng ôû moät beân (daáu hieäu aùc tính) -Vaøo caùc raõnh maøng phoåi -Ñoùng voâi , dòch maøng phoåi -Xaâm laán thaønh ngöïc, trung thaát, haïch lôùn, di caên CE:Taêng quang maïnh, khoâng ñoàng nhaát * Caàn phaân bieät: UMP laønh tính, u haït vieâm Biopsy Mesothelioma aùc tính
  • 143.
    BEÄNH LYÙ XOANGMAØNG PHOÅI
  • 144.
    TRAØN DÒCH MAØNGPHOÅI Nguyeân nhaân: Suy tim, vieâm nhieãm, u.. Hình aûnh -Dòch ôû phía sau khi beänh nhaân naèm ngöõa -Ñaäm ñoä dòch: cao trong chaûy maùu, dòch coù protein cao -Maøng phoåi coù theå daøy, baét quang sau tieâm caûn quang (daøy ñeàu trong vieâm, daøy noát thoâ, khoâng ñeàu trong u..) Vai troø CT: -Ñaùnh giaù möùc ñoä, loaïi (khu truù, töï do), vò trí traøn dòch -Gôïi yù nguyeân nhaân (vieâm, u..) -Phaân bieät: Traøn dòch maøng phoåi><Abscess phoåi ngoaïi bieân
  • 145.
    Traøn dòch maøngphoåi töï do: dòch töï do khoang maøng phoåi, eùp gaây xeïp phoåi thuï ñoäng Traøn muû maøng phoåi khu truù: dòch khu truù ôû caùc tuùi maøng phoåi dính nhau, taêng quang caùc thaønh tuùi naøy sau tieâm caûn quang
  • 147.
    TRAØN DÒCH MAØNGPHOÅI COÙ NGAÊN
  • 148.
    TRAØN KHÍ MAØNGPHOÅI Nguyeân nhaân: chaán thöông, thuû thuaät can thieäp, vôõ caùc boùng khí, u aùc tính… Hình aûnh CT -Hình vuøng traøn khí ñaäm ñoä thaáp (khí), khoâng coù nhu moâ phoåi, phoåi xeïp bò ñaåy vaøo trong. Vai troø CT: -Chaån ñoaùn xaùc ñònh (khí ít), khu truù, phaân bieät vôùi bulla -Toån thöông phoåi keøm theo (blebs, beänh lyù moâ keû, dính maøng phoåi, traøn dòch maùu keát hôïp..) -Ñaùnh giaù bieán chöùng, theo doõi hieäu quaû ñieàu trò
  • 149.
    TRAØN KHÍ MAØNGPHOÅI Traøn khí maøng phoåi [P]: ñaäm ñoä thaáp (khí), khoâng coù nhu moâ phoåi, phoåi xeïp bò ñaåy vaøo trong.
  • 151.
    CAÂY PHEÁ QUAÛNVAØ PHAÂN THUØY PHOÅI +CT cho chi tieát giaûi phaãu toát raát nhieàu so vôùi X quang qui öôùc +Phaân tích hình aûnh CT -Caây pheá quaûn -Phaân thuøy phoåi -Raõnh maøng phoåi
  • 153.
    Ngang möùc cung ñoängmaïch chuû 3 3 2 1/2 1 6
  • 154.
  • 155.
  • 156.
  • 157.
  • 158.
  • 159.
    TOÙM LAÏI • Ngangmöùc carina: thaáy ñoäng maïch phoåi (T), thaáy pheá quaûn (P) chia cho thuøy treân baét ñaàu thaáy phaân thuøy 6 (P). • Ngang möùc ñoäng maïch phoåi (P): thaáy pheá quaûn (T) chiaheát thuøy treân xuaát hieän thuøy giöõa, thuøy löôõi. • Ngang möùc nhó (T): pheá quaûn (P) chia thuøy giöõa- döôùi heát phaân thuøy 6 phaân thuøy 8,9,10. • Ngang möùc 4 buoàng heát haï phaân thuøy 4 (T).
  • 160.
  • 161.
    GIAÛI PHAÃU -Khí quaûn:Ñöôøng kính ngang # 25mm ôû nam vaø 21mm ôû nöõ. -Pheá quaûn (P): # 15mm. -Pheá quaûn (T): # 13mm. -Thaân ÑMP: 2.4 cm ± 0.2 cm -ÑMP (P) ñoaïn gaàn: 1.9 cm ± 0.3 cm -ÑMP (P) ñoaïn xa: 1.5 cm ± 0.3 cm -ÑMP (T): 2.1 cm ± 0.4 cm
  • 162.
    DAÏNG TOÅN THÖÔNGPHOÅI -Daïng ñoâng ñaëc -Daïng ñöôøng -Daïng noát -Daïng kính môø -Daïng nang khí
  • 163.
    DAÏNG ÑOÂNG ÑAËC -Ñaùmmôø hôïp löu, heä thoáng. -Phaân boá theo thuøy, phaân thuøy. -Air bronchogram.
  • 164.
  • 165.
    DAÏNG ÑÖÔØNG -Xô, daïnglöôùi, daïng ñöôøng (daøy vaùch gian tieåu thuøy)… -Do u, beänh phoåi moâ keõ, phuø phoåi…
  • 166.
    XÔ PHOÅI Xơ phổivô căn (IPF-Idiopathic Pulmonary Fibrosis)
  • 167.
    DAÏNG KÍNH MÔØ -Ñaùmmôø nheï, khoâng xoùa môø maïch maùu trong vuøng toån thöông. -Phuø phoåi, vieâm phoåi, xuaát huyeát phoåi…
  • 168.
  • 169.
    DAÏNG NOÁT -Tree-in-bud (maàmcaây) -Noát phaân boá ngaãu nhieân -Do u, vieâm, buïi phoåi…
  • 170.
  • 171.
  • 172.
  • 173.
    DAÏNG NANG KHÍ Lymphangioleiomyomatosis Kếthợp với bệnh xơ cũ (Tuberous sclerosis)
  • 174.
    -Thaønh moûng <1mm. -Khoang ñöôïc laáp ñaày khí. -Trong phoåi. -Thöôøng keát hôïp khí pheá thuõng -Coù theå nhieãm truøng BÓNG KHÍ – KÉN KHÍ
  • 175.
    KÉN KHÍ NHIEÃMTRUØNG -Möùc khí-dòch -Phaân bieät abscess phoåi: +Chöùa ít dòch hôn +Thaønh moûng hôn +Khoâng coù vieâm phoåi xung quanh +Laâm saøng bieåu hieän nheï nhaøng hôn.
  • 176.
    BÓNG KHÍ –KÉN KHÍ
  • 178.
    CAÙC LOAÏI XEÏPPHOÅI -Taéc ngheõn -Thuï ñoäng -Daïng troøn -Daïng ñöôøng
  • 179.
    Nguyeân nhaân: U,vieâm, nuùt nhaày, vaät laï.. Hình aûnh CT -Ñaäm ñoä moâ meàm, taêng quang sau tieâm caûn quang (caùc maïch maùu) -Kheùp maïch maùu, keùo raõnh maøng phoåi -Keùo trung thaát, roán phoåi, cô hoøanh, heïp khoaûng lieân söôøn -Taêng thoâng khí buø tröø -Caùc daïng xeïp caùc thuøy phoåi Vai troø CT -Ñaùnh giaù vò trí, möùc ñoä xeïp -Tìm nguyeân nhaân (xeïp do u?) -Toån thöông keøm theo XEÏP PHOÅI Xeïp thuyø treân phoåi (T) do u phoåi, u phía trong gaây loài bôø baát thöôøng, ñaäm ñoä u giaûm so vôùi vuøng phoåi xeïp.
  • 180.
  • 181.
    XEÏP PHOÅI TROØN -Khoáimôø ñaùy phoåi, tieáp xuùc maøng phoåi. -Ñuoâi sao choåi treân CT (Comet tail) : maïch maùu vaø pheá quaûn hoäi tuï vaø xoaùy quanh khoái môø. -Baét quang maïnh, daøy maøng phoåi keá caän.
  • 182.
  • 183.
    Phaân loïai (Reid/1950) -Daõnpheá quaûn hình truï (cylindrical) -Daõn pheá quaûn hình chuøm (varicose) -Daõn pheá quaûn hình tuùi (saccular) Hình aûnh CT -(1) Daøy thaønh vaø daõn loøng pheá quaûn (tram lines, signet ring, string of pearls, grapes) (2) Thaáy pheá quaûn ôû ngoaïi bieân phoåi (3) Nang coù möùc khí/ dòch (4) Loaïi daõn pheá quaûn -Thay ñoåi xung quanh: xô, toå ong, roái loïan thoâng khí... Vai troø CT: -Chaån ñoaùn xaùc ñònh, kieåu loaïi, vò trí (1 hay nhieàu phaân thuyø, 1 hay 2 beân phoåi), möùc ñoä. -Toån thöông phoåi keøm theo. -CT raát giaù trò (ñaëc bieät HRCT) / Chuïp pheá quaûn chaån ñoaùn hieän nay ít phoå bieán DAÕN PHEÁ QUAÛN ( BRONCHIECTASIS)
  • 184.
    Daõn pheá quaûnvôùi daáu hieäu voøng nhaãn (signet ring sign): pheá quaûn lôùn hôn ñoäng maïch ñi keøm (bình thöôøng khi tæ soá pheá quaûn/maïch maùu < 1.2)
  • 185.
    Daõn pheá quaûnvôùi daáu hieäu ñöôøng ray ( ‘tram line’ sign): do daõn pheá quaûn daïng truï khi pheá quaûn song song vôùi maët caét .
  • 186.
  • 187.
  • 188.
  • 189.
    VIEÂM PHOÅI Ñöôøng vaøo:Heä thoáng khí-pheá quaûn, ñöôøng maùu, tröïc tieáp (thaønh ngöïc, maøng phoåi..) Phaân loaïi: (1) Vieâm phoåi thuøy (2)Pheá quaûn pheá vieâm (3) Vieâm phoåi moâ keõ Hình aûnh CT: -Daïng ñaùm môø raûi raùc, hôïp löu, air-bronchogam (+/-) -Toån thöông moâ keõ Vieâm phoåi (pneumonia): daïng ñaùm môø, coù air-bronchogram.
  • 190.
    Hình kính môø-raátnhaïy trong vieâm phoåi.
  • 191.
  • 192.
    VIEÂM PHOÅI LUPUS(HÌNH KÍNH MÔØ)
  • 193.
  • 194.
    BEÄNH PHOÅI MOÂKEÕ -Toån thöông vaùch caùc khoaûng khí. -Dieãn tieán maïn tính taïo xô.
  • 195.
    XÔ PHOÅI VOÂCAÊN (IPF)
  • 196.
    BEÄNH SARCOIDOSIS -Beänh moâhaït heä thoáng, nguyeân nhaân chöa roõ. -Nöõ: Nam: 3: 1 ; Da ñen: Da traéng: 14:1 -Haïch roán phoåi, trung thaát, toån thöông da, maét. -Toån thöông phoåi daïng noát nhoû, ñöôøng, kính môø… -Hoäi chöùng Lofgren: Haïch roán phoåi hai beân caáp, soát, hoàng ban noát, ñau khôùp.
  • 197.
    HAÏCH TRUNG THAÁTVAØ ROÁN PHOÅI (SARCOIDOSIS)
  • 198.
    BEÄNH MOÂ BAØOX (HISTIOCYTOSIS X)(EOSINOPHILIC GRANULOMA) -Nguyeân nhaân khoâng roõ raøng. -Traøn khí maøng phoåi xaûy ra > 25%. -Noát nhoû lan roäng phoåi. Toån thöông daïng nang chöùa khí nhoû, ôû ngoaïi vi. -Coù theå xô, “toå ong”
  • 199.
    ABSCESS PHOÅI (PULMONARYABSCESS) Nguyeân nhaân: Thöôøng laø haäu quaûn vieâm phoåi (tuï caàu, Klebsiella) Hình CT PL: Coù theå hieän dieän möùc khí- dòch CE: Taêng quang ngoaïi bieân (thaønh oå abscess), khoâng thaáy taêng quang trung taâm (vuøng hoaïi töû) Vai troø CT -Vò trí, kích thöôùc, ñoä daøy thaønh, toån thöông phoåi lieân quan -Chaån ñoaùn phaân bieät Abscess phoåi: hình möïc dòch-khí, coù taêng quang vieàn sau tieâm caûn quang
  • 200.
    ABSCESS PHOÅI #MỦ MÀNG PHỔI
  • 201.
    Áp xe phổiđược phân thành 2 loại: Áp xe phổi nguyên phát: các ổ nung mủ trên một phổi lành, chưa có tổn thương hay bệnh lý trước đây. Áp xe phổi thứ phát: các ổ nung mủ được hình thành trên một phổi bệnh lý, tồn tại các tổn thương cũ:hang lao, giãn phế quản, nang phổi. ABSCESS PHOÅI (PULMONARY ABSCESS)
  • 202.
    KHÍ THUÕNG PHOÅI[EMPHYSEMA] Phaân loaïi (American thoracic society 1962) 1/Khí thuõûng trung taâm tieåu thuyø (Centrilobular emphysema) -Vuøng khí thuõng > 1cm quanh ñoäng maïch trung taâm thuøy phoåi thöù caáp. Hay gaëp phaàn cao thuøy giưõa 2/Khí thuõng toaøn tieåu thuyø( Panlobular emphysema) -Vuøng khí thuõng lan toûa, ñoàng nhaát. Hay gaëp thuøy döôùi 3/ Khí thuõng caïïnh vaùch (Paraseptal emphysema) -Vuøng khí thuõng ngoïai bieân caïnh maøng phoåi, caïnh laù taïng maøng phoåi, raõnh lieân thuøy. Ngoaøi ra: *Khí thuõng caïnh vuøng seïo ( Paracicatricial emphysema): Lôùn khoaûng khí, huûy moâ phoåi caïnh vuøng seïo
  • 203.
    Khí thuõng trungtaâm tieåu thuyø
  • 204.
  • 205.
    KÉN KHÍ –KHÍ PHẾ THŨNG
  • 206.
    THUYEÂN TAÉC PHOÅI HìnhCT -Khuyeát trong loøng maïch do cuïc maùu ñoâng -Vuøng taêêng ñaäm ñoä, hình cheâm, neàn döïa vaøo maøng phoåi (nhoài maùu phoåi) -Roái loïan thoâng khí Thuyeân taéc ñoäng maïch phoåi: hình khuyeát thuoác (maùu ñoâng) ôû ngoaïi bieân cuûa ñoäng maïch phoåi (T)
  • 207.
    Thuyeân taéc ñoängmaïch phoåi keøm nhoài maùu phoåi: vuøng nhoài maùu hình tam giaùc, vôùi ñaùy roäng ôû phiaù ngoaïi bieân
  • 208.
  • 209.
  • 210.
    - Tắc độngmạch phổi (Pulmonary embolism – PE) là bệnh lý tim mạch cấp tính thường gặp. - Bệnh đứng hàng thứ 3 sau nhồi máu cơ tim và tai biến mạch máu não. (the third most common acute cardiovascular disease after myocardial infarction and stroke). - Hàng ngàn case tử vong mỗi năm do không chẩn đoán được bệnh. - Các test chẩn đoán bao gồm: 1. D-dimer có độ nhạy cao nhưng độ đặc hiệu thấp. 2. Xạ hình thông khí – tưới máu (ventilation-perfusion scintigraphy) có độ nhạy cao, độ đặc hiệu thấp. 3. Siêu âm mạch máu chi dưới có độ đặc hiệu cao, nhưng độ nhạy thấp. 4. CT động mạch phổi (Computed tomographic pulmonary angiography) trong một phân tích gộp cho thấy độ nhạy 53%–100% và độ đặc hiệu 83%– 100%. (Khoảng cách lớn là do sự cải tiến liên tục của CT). 5. Chụp động mạch phổi bằng DSA là phương pháp tham khảo chuẩn, cho phép khẳng định hay loại trừ chẩn đoán. Nhưng ít được sử dụng do thiết bị khôn sẵn có
  • 211.
    Tắc động mạchphổi cấp (Acute Pulmonary Embolism): - Các tiêu chí chẩn đoán PE cấp bao gồm: . Khuyết thuốc hết lòng mạch. . Khuyết thuốc một phần vùng trung tâm. . Khuyết thuốc một phần lệch tâm (góc giữa huyết khối và thành mạch là góc nhọn). - Các dấu hiệu phụ: . Tăng đậm độ nhu mô phổi, hình tam giác có đáy ở ngoại biên và đỉnh hướng vào trong. . Tăng đậm độ dạng đường (linear bands)... (thường không đặc hiệu – có nhiều bệnh lý có hình ảnh tương tự). - Dấu hiệu tăng đậm độ trong lòng động mạch phổi trên phim không cản quang có giá trị tham khảo và cần phải có phim có cản quang để khẳng định chẩn đoán. - Các trường hợp CTPA chưa khẳng định được thì phải làm thêm: . Xạ hình thộng khí – tưới máu. . CTPA lần 2. - Các dấu hiệu gợi ý trên siêu âm tim: . Dãn lớn thất phải. . Tăng áp động mạch phổi. . Phồng vách thất sang trái...mà không giải thích được. 5
  • 212.
    Figure 4. PEcấp ở BN nữ 32 tuổi, lâm sàng có đau ngực. CT cho thấy PE ở nhánh phân thùy đáy – sau của động mạch thùy dưới (P). (mũi tên). Động mạch bị tắc dãn lớn hơn các mạch máu kế cận. 6
  • 213.
    Figure 5a. PEcấp ở bn nữ 45 tuổi, lâm sàng có đau ngực. (a) PE ở nhánh phân thùy đáy – ngoài của động mạch thùy dưới (P). Hình ảnh khuyết thuốc một phần, thuốc cản quang bao xung quanh tạo thành dấu hiệu đồng tiền tròn (polo mint sign) (mũi tên). 7
  • 214.
    Figure 5b. (b) hìnhảnh tắc cấp tính các nhánh hạ phân thùy (subsegmental arteries) của động mạch phân thùy đáy – ngoài (the laterobasal segment) (mũi tên). 8
  • 215.
    Figure 6. PEcấp ở bn nam 66 tuổi, lâm sàng có đau ngực và khó thở. - Hình ảnh khuyết thuốc một phần, có thuốc cản quang bao quanh (dấu đường ray xe lửa (railway track sign) (mũi tên). Có hình ảnh tắc cấp tính của động mạch thùy trái (left main pulmonary artery) (đầu mũi tên).
  • 216.
    Tiếp tuyến củahuyết khối (đường liên tục) và tiếp tuyến của thành mạch (đường không liên tục) tạo thành góc nhọn. Figure 7. PE cấp ở bn nữ 58 tuổi, lâm sàng có đau ngực và khó thở. - PE có hình ảnh khuyết thuốc lệch tâm, thuốc cản quang bao quanh và tạo thành 10góc nhọn với thành mạch. (mũi tên).
  • 217.
    Figure 8. PEcấp ở bn nữ 58 tuổi, có đau ngực và khó thở. - Hình ảnh PE cấp với các dấu hiệu phụ (ancillary findings): . Tăng đậm độ nhu mô phổi hình chêm (mũi tên), dâu hiệu này có thể là biểu hiện của nhồi máu nhu mô phổi. (mũi tên). . Dải tăng đậm độ (linear band) (đầu mũi tên). (chú ý: có rất nhiều bệnh lý có các dấu hiệu này, nên cần kết hợp lâm sàng và chẩn đoán phân biệt...) 11
  • 218.
    Thất phải Thất trái Figure 9.PE ở bn nữ 42 tuổi, đau ngực và khó thở nhiều. - Hình ảnh thất phải dãn lớn hơn thất trái. 12
  • 219.
    Hình chưa tiêmthuốc CTPA có tiêm thuốc Figure 10a. PE cấp không có triệu chứng ở bn nữ 87 tuổi. (a) CT không cản quang thấy có vùng tăng đậm độ nhẹ bên trong động mạch phổi (P). (mũi tên). (b) CTPA cho thấy PE cấp nhánh chính của động mạch phổi (P) và nhánh liên thùy 1 3 của động mạch phổi (T).
  • 220.
    Tắc động mạchphổi mạn (Chronic Pulmonary Embolism): - Khuyết thuốc hoàn toàn lòng mạch (kích thước của mách máu bị tắc nhỏ hơn mạch máu kế cận). - Khuyết thuốc một phần (góc tù). - Nhiều mạch máu bàng hệ... ** Bác sĩ hình ảnh và bác sĩ lâm sàng nên biết: - Khả năng chẩn đoán của CTPA. - Các test chẩn đoán khác khi CTPA chưa xác định được. - Chẩn đoán PE cần dựa trên nhiều yếu tố: . Lâm sàng đau ngực, khó thở...không giải thích được. . Siêu âm dãn thất phải, dãn động mạch phổi, tăng áp động mạch phổi...không giải thích được. . Huyết khối tĩnh mạch chi dưới. . Biểu hiện trên CTPA. 14
  • 221.
    Figure 11. PEmạn tính ở bn nam 27 tuổi, lâm sàng có khó thở. - Cho thấy tắc nhiều nhánh nhỏ ở phổi phải, kích thước nhỏ hơn các mạch máu kế cận và cùng vị trí (phổi trái). - Tuần hoàn bàng hệ từ nhánh hemi – cơ hoành (hemidiaphragmatic artery) (mũi tên). Figure 13. sau thời gian điều trị chụp lại thấy có tuần hoàn trở lại, hình ảnh thuốc cản quang nhỏ bên trong lồng mạch.( mũi tên). 15
  • 222.
    Huyết khối gâykhuyết thuốc Figure 12. PE mạn tính ở bn nam 62 tuổi, lâm sàng có khó thở. - Hình ảnh khuyết thuốc lệch tâm, tiếp tuyến huyết khối và thành mạch là góc tù. (mũi tên). - Dãn động mạch phế quản bàng hệ. (đầu mũi tên). 16
  • 223.
    Figure 14. PEmạn tính ở bn nam 56 tuổi, lâm sàng có khó thở. - Cho thấy đường khuyết thuốc nhỏ bên trong động mạch liên thùy. (mũi tên). - Dãn động mạch phế quản bàng hệ (đầu mũi tên). 17
  • 224.
    Figure 15. PEmạn tính ở bn nam 62 tuổi. - Huyết khối động mạch phổi gốc (thân chung) và nhánh chính bên trái (đầu mũi tên). - Các động mạch phế quản bàng hệ (mũi tên). 18
  • 225.
    Figure 16. PEmạn tính ở bn nữ 60, lâm sàng có khó thở. - Hình ảnh tưới máu dạng khảm. - Vùng giảm tưới máu (mũi tên) kích thước các mạch máu nhỏ hơn vùng kế cận và đối bên. 1 9
  • 226.
    Figure 17. PEmạn ở bn nam 62 tuổi, lâm sàng có khó thở. - Hình ảnh vôi hóa thành động mạch phổi. Dấu hiệu thứ phát của tắc động mạch phổi mạn tính. (cần kết hợp lâm sàng và chẩn đoán phân biệt…) 2 0
  • 227.
    Figure 18. Tăngáp động mạch phổi thứ phát sau PE mạn ở bn nam 62 tuổi (cùng của bn hình 12). - Đường kính động mạch phổi 41 mm. (bình thường < 30 mm). 2 1
  • 228.
    Thất phải Figure 19.PE mạn có tràn dịch màng tim (mũi tên trắng), tăng áp động mạch phổi và dãn thất (P). 22
  • 229.
    Figure 20a. Xảoảnh do cử động hô hấp ở bn nam 61 tuổi, có khó thở. (a) CT (cửa sổ phổi) hình ảnh phức hợp các mạch máu dạng mòng biển (seagull sign) (mũi tên). 2 4
  • 230.
    Figure 20b. Xảoảnh do cử động hô hấp ở bn nam 61 tuổi, có khó thở. (b) CT (cửa sổ trung thất) cho thất bất thường giảm đậm độ do hiệu ứng thể tích 2 5 từng phần (mũi tên), dấu hiệu rất giống PE.
  • 231.
    Figure 21. BNnữ 39 tuổi, lâm sàng có đau ngực. - Hình bị nhiễu do độ mịn (ồn – noise) không chuẩn. Rất dễ lẫm với tắc nhanh nhỏ động mạch phổi. 2 6
  • 232.
    Figure 22a. BNnam 63 bị suy hô hấp. - Xảo ảnh do cứng hóa chùm tia (Beam-hardening artifact). - (a) catheter trong động mạch phổi gây nên xảo ảnh cứng hóa chum tia ở động mạch phổi gốc và nhánh phải. (mũi tên). Có huyết khối nhỏ ở nhánh trái. 27
  • 233.
    Figure 22b. Beam-hardeningartifact in a 63-year-old man with respiratory failure. (b) CT cửa sổ xương thấy rõ catheter trong lòng động mạch phổi. Hiệu ứng cứng hóa chùm tia vẫn còn. - Catheter màu trắng. - Xảo ảnh màu đen. (mũi tên). 28
  • 234.
    Figure 23. BNnữ 60 tuổi đau ngực kiểu viêm màng phổi (đau nhiều khi hít thở). - Xảo ảnh liên quan đến dòng chảy. - Hình tái tạo coronal cho thấy động mạch liên thùy (P) và nhánh đáy sau của động mạch phổi (P) ngấm thuốc không đều. (mũi tên). 2 9
  • 235.
    Figure 24a, b:Xảo ảnh liên quan đến dòng chảy ở bn nữ 73 tuổi có đau ngực. (a) CT cho thấy tăng quang kém ở đm liên thùy và thùy giữa (P) do xảo ảnh liên quan đến dòng chảy. Ở phía xa hơn động mạch phổi lại tăng quang bình thường. - Thực quản dãn và chứa đầy dịch. - (b) Chụp lại cho thấy PE ở nhánh trong và nhánh ngoài của đm thùy giữa. (mũi tên). 3 0
  • 236.
    Figure 25a. PEcấp ở bn nam 59 tuổi. (a) CT scan (window width = 400 HU, window level = 40 HU) cho thấy huyết khối ở đm liên thùy (P) (mũi tên). 3 1
  • 237.
    Figure 25b. PEcấp ở bn nam 59 tuổi. (b) CT scan (window width = 552 HU, window level = 276 HU) cho thấy PE cấp ở nhánh trong của đm thùy giữa (P). (mũi tên) dấu hiệu này không thấy trên hình 25a. 3 2
  • 238.
    Figure 25c. PEcấp ở bn nam 59 tuổi. (c) CT scan (window width = 700 HU, window level = 100 HU) cho thấy thrombus ở đm liên thùy (P) và nhánh trong của đm thùy giữa (P). - Hình 25 cho thấy ở các cửa sổ khác nhau có hiệu quả phát hiện huyết khối khác nhau. 33
  • 239.
    Figure 26. Xảoảnh dải sọc (streak artifact) ở bn nữ 35 tuổi, có đau ngực. - Xảo ảnh dải sọc do đậm độ chất cản quang cao trong tĩnh mạch chủ trên. (mũi tên). Xảo ảnh này có thể nhận biết được do hướng lan và vị trí “không phải giải phẩu” (nonanatomic) của nó. 34
  • 240.
    Figure 27a. Xảoảnh thuật toán (algorithm) ở bn nữa 70 tuổi. Lâm sàng khó thở. (a) CT cho thấy có tăng quang ngoài rìa các mạch máu giống hư PE cấp. (mũi tên). Dấu hiệu này thường thấy khi ta xem lại hình bằng các cửa sổ trung thất hay cửa sổ phổi chuyên về thuyên tắc (nghĩa là có áp dụng thuật toán trong tái tạo hình ảnh) thấy có vòng sáng bright quanh động mạch đặc biệt khi có kèm với xảo ảnh dòng chảy. 35
  • 241.
    Figure 27b. Xảoảnh thuật toán (algorithm) ở bn nữa 70 tuổi. Lâm sàng khó thở. (b) CT với thuật toán chuẩn (standard algorithm) không thấy xảo ảnh này. Không thấy PE trên hình này. 36
  • 242.
    Figure 28a. Xảoảnh thể tích từng phần ở bn nữ 52 tuổi. Lâm sàng có khó thở. (a) Lát cắt có độ dày 3.75 mm, giá trị trung bình thể tích của mạch máu và phổi tạo nên xảo ảnh giống như PE ở đm phân thùy trước của thùy trên phổi trái. (mũi tên). Nhưng hình ảnh này có giới hạn không rõ. 3 7
  • 243.
    Figure 28b, c:Xảo ảnh thể tích từng phần ở bn nữ 52 tuổi. Lâm sàng có khó thở. (b) Lát cắt ngay phía dưới thấy đm thùy trên phổi trái còn bình thường. (c) Lát cắt ngay phía trên cho thấy thuốc lắp đầy lòng động mạch thùy trên và đm phân thùy trước. Các biểu hiện ở hình (b) và (c) cho thấy dấu hiệu giảm đậm độ ở hình (a) là xáo ảnh 38 thể tích từng phần.
  • 244.
    Figure 29. Xảoảnh bước thang (stair step) ở bn nam 84 tuổi. Lâm sàng có khó thở và đau ngực. - Các đường giảm đậm độ ngang qua các mạch máu trên hình tái tạo coronal. (mũi tên). - Xảo ảnh này nhận biết là nhờ tính chất non – anatomic của nó. 39
  • 245.
    Figure 30a. Hạchbình thường vùng rốn phổi 2 bên. 40
  • 246.
    Figure 30b. Hạchbình thường vùng cạnh động mạch liên thùy 2 bên. 41
  • 247.
    Figure 30c. Hạchbình thường vùng thùy giữa (P) và thùy lưỡi (T). 42
  • 248.
    Figure 30d. Hạchbình thường thùy dưới 2 bên. 43
  • 249.
    Figure 31. Chỗchia đôi của đm thùy lưỡi và thùy dưới phổi trái. (mũi tên). Trường hợp này nên xem các lắt cắt tiếp theo sẽ rõ bản chất của dấu hiệu này. 44
  • 250.
    Figure 32. Hìnhảnh của tĩnh mạch chưa tăng quang trong thì động mạch (rất giống tắc đm phổi hoàn toàn). Cần xem thêm trong các thì 45
  • 251.
    Figure 33. Nútnhày phế quản ở bn nữ 83 tuổi, lâm sàng có khó thở. (mũi tên). Rất giống PE cấp. Phế quản của phân thùy đáy – sau dãn, lắp đầy chất nhày. Động mạch đi kèm kích thước bình thường. (đầu mũi tên). 46
  • 252.
    Figure 34a. Bnnữ 56 tuổi bị suy tim trái, khó thở. (a) phù mô kẽ quanh mạch máu (mũi tên) giống như PE mạn tính. (b) (cửa sổ phổi) phù mô kẽ quanh mạch máu, dấu kính mờ, dày rãnh liên thùy và đường dày trơn láng. (mũi tên). Tràn dịch màng phổi 2 bên. 4 7
  • 253.
    Figure 35a. BNnam 65 tuổi có khó thở, tăng sức đề kháng mạch máu khu trú. (a) xảo ảnh dòng chảy do tăng đề kháng khu trú (mũi tên), dấu hiệu rất giống PE cấp. Có tràn dịch màng phổi và xẹp phổi. 48
  • 254.
    Figure 35d. BNnam 65 tuổi có khó thở, tăng sức đề kháng mạch máu khu trú. (d) Hình ảnh xoắn vặn nhẹ mạch máu phân thùy đáy – sau của đm thùy dưới phổi (T), nhưng không có PE. 4 9
  • 255.
    Figure 35e. BNnam 65 tuổi có khó thở, tăng sức đề kháng mạch máu khu trú. (e) Hình chụp chếch không thấy PE. 50
  • 256.
    Figure 36. BNnam 69 tuổi huyết khối đm phổi (P) sau cắt phổi (P) do ung thư. 5 1
  • 257.
    Figure 37. BNnữ 65 tuổi khó thở, có sarcoma đm phổi gốc (mũi tên) di căn đm phổi (P). (đầu mũi tên). 52
  • 258.
    Figure 38. Bnnữ 78 tuổi, lâm sàng khó thở và endometrial stromal sarcoma có xâm lấm tĩnh mạch chủ dưới. - CT cho thấy tắc đm thùy dưới (P) nghĩ do u. (mũi tên). 53
  • 259.
    Figure 39. Nam60 tuổi, lâm sàng có khó thở và carcinoma tế bào thận nguyên phát. - CT cho thấy dãn đm tiểu phân thùy của đm phân thùy đáy – sau (P), dãn thứ phát sau tắc do u. 5 4
  • 260.
    Figure 40. Nam60 tuổi, lâm sàng có khó thở và carcinoma tế bào thận nguyên phát. - CT cho thấy tắc tiểu động mạch của tiểu thùy thứ cấp, hình ảnh dạng cây đâm chồi (tree-in-bud). 55 - Hình ảnh rất hiếm và khó chẩn đoán trên CT.
  • 261.
    Case 1: Bệnhnhân nam 70 tuổi, vào viện với bệnh cảnh đau ngực nhiều ngày, siêu âm dãn thất phải, tăng áp đm phổi. CT huyết khối động mạch phổi nhánh chính 2 bên (mũi tên). - Bệnh nhân được chuyển BVCR. Chẩn đoán tắc động mạch phổi 2 bên. 57 - Động mạch phổi gốc, nhánh phải và trái không dãn…khả năng là tắc mạn tính.
  • 262.
    Đm phổi gốcĐm chủ lên Case 2: bệnh nhân nam 61 tuổi, nhập viện vì đau ngực và khó thở. - Siêu âm: dãn buồng tim phải, tăng áp động mạch phổi. - CT huyết khối động mạch phổi phải và trái. - Kích thước đm phổi gốc (d = 33 mm) lớn hơn động mạch chủ cùng lát cắt…nghĩ tắc cấp. - Điều trị tiêu sợi huyết tại BVTMAG. Đáp ứng tốt. 58
  • 263.
    Case 3: bệnhnhân nam, 67 tuổi, đau ngực. - Siêu âm: dãn nhẹ thất (P) và tăng nhẹ áp lực đm phổi. - Chụp CT vì nghi ngờ bóc tách động mạch chủ ngực. - CT thấy tắc động mạch phổi (P) và nhánh thùy dưới của đm phổi (P). - Xin chuyển tuyến trên. (BVCR). 59
  • 264.
    Case 4: bệnhnhân nữ, 64 tuổi, đau ngực và khó thở. - Siêu âm: dãn thất (P) và tăng áp đm phổi. - CT thấy tắc đm phổi nhánh phải và trái. - Điều trị tại BVTMAG bằng thuốc tiêu sợi huyết. Đáp ứng tốt. 60
  • 265.
    Case 5: bnnam 51 tuổi, BVĐKTTAG chuyển với chẩn đoán huyết khối tĩnh mạch cẳng chân phát hiện trên siêu âm. - Nhập viện BVTMAG, bn ho nhiều, khó thở nhẹ và đau ngực. - CT thấy hình ảnh đông đặc phổi, hình tam giác, đáy dựa vào màng phổi, đính hướng vào trong; huyết khối nhánh nhỏ ở đm thùy dưới (P). - Điều trị tại BVTMAG: kháng sinh không đáp ứng; điều trị enoxaparine đáp ứng tốt. 61
  • 266.
    Case 6: bnnam nhập viện vì đau ngực, khó thở. - Siêu âm: dãn thất (P) và tăng áp đm phổi. - CT thấy huyết khối đm phổi (P). Dãn đm phổi gốc. COPD. - Điều trị tại BVTMAG. (điều trị nội khoa bảo tồn). 62
  • 267.
    Giải phẩu CTngực – các mạch máu lớn. SVC: tĩnh mạch chủ trên. Aortic arch: cung đm chủ Pulmonary artery: đm phổi Main sterm bronchus: phế quản gốc 63
  • 268.
    PHOÅI BIEÄT TRÍ (PULMONARYSEQUESTRATION)  Baát thöôøng baåm sinh  Phaàn phoåi khoâng chöùc naêng  Khoâng thoâng vôùi caây pheá quaûn  Caáp maùu bôûi ñoäng maïch heä thoáng.  Thuøy döôùi phoåi (T) (LLL):Thuøy döôùi phoåi (P) (RLL)= 2:1  Coù hai loaïi:  Loaïi noäi thuøy (Intralobar) (80%)  Loaïi ngoaïi thuøy (Extralobar) (20%)
  • 269.
  • 270.
    PHỔI BIỆT TRÍTHÙY DƯỚI
  • 271.
  • 272.
    PHOÅI BIEÄT TRÍNOÄI THUØY  Ñoäng maïch cung caáp töø ñoäng maïch chuû  Thöôøng töø ñoäng maïch chuû ngöïc xuoáng  Tónh maïch daãn löu thöôøng theo heä thoáng tónh maïch phoåi.
  • 273.
    PHOÅI BIEÄT TRÍNOÄI THUØY  Thuøy döôùi (T), phaân thuøy ñaùy sau chieám 2/3. Coøn laïi thöôøng phaân thuøy sau thuøy döôùi (P).  Khoâng thöôøng keát hôïp vôùi caùc baát thöôøng khaùc (coù theå gaëp 14%).  Thöôøng nhaän bieát ôû ngöôøi tröôûng thaønh do vieâm phoåi.
  • 274.
    PHOÅI BIEÄT TRÍNOÄI THUØY  Khoái daïng moâ, thöôøng tieáp xuùc cô hoaønh (khoâng nhieãm truøng).  Neáu nhieãm truøng vaø thoâng caây pheá quaûn coù theå coù daïng nang chöùa khí, möùc dòch khí.
  • 275.
    PHOÅI BIEÄT TRÍNGOAÏI THUØY  Phaùt trieån nhö phoåi phuï, ñöôïc bao bôûi maøng phoåi rieâng.  Hieám khi nhieãm truøng.  Haàu heát bieåu hieän laø khoái moâ ñoàng nhaát.  Lieân quan hoaønh (T) trong 90% tröôøng hôïp.
  • 276.
    PHOÅI BIEÄT TRÍNGOAÏI THUØY  Ñoäng maïch heä thoáng cung caáp thöôøng töø ñoäng maïch chuû buïng.  Thöôøng daãn löu theo heä tónh maïch heä thoáng-Tónh maïch chuû döôùi, azygos hay baùn ñôn.  Keát hôïp baát thöôøng khaùc: 60%.  Thöôøng gaëp thoaùt vò hoaønh baåm sinh.
  • 277.
    PHOÅI BIEÄT TRÍ •Khoái ñaëc coù theå ñoàng nhaát hay khoâng ñoàng nhaát, ñoâi khi coù nang. • Ít gaëp hôn coù theå taïo hang lôùn vôùi möùc dòch khí, khoái daïng nang giôùi haïn roõ.
  • 279.
    NOÁT PHOÅI LAØNHTÍNH  Bôø ñeàu  Ñaäm ñoä môõ  Ñoùng voâi  Sang thöông veä tinh  Thôøi gian nhaân ñoâi * Löu yù: Coù söï truøng laép daáu hieäu hình aûnh giöõa laønh vaø aùc tínhBiopsy Sang thöông veä tinh
  • 280.
    ÑOÙNG VOÂI -Trung taâmhay leäch taâm. -Hình daïng: baép noå, quaû taï, daïng voøng, laám taám…
  • 281.
    THÔØI GIAN NHAÂNÑOÂI -Neáu toån thöông nhaân ñoâi theå tích > 6tuaàn vaø < 16 thaùng, thöôøng aùc tính. -Taêng ñöôøng kính leân 25%= nhaân ñoâi theå tích 1cm 1.25 cm
  • 282.
  • 283.
    Hamartoma (coù ñaämñoä môõ- voâi beân trong) Ñoùng voâi trong beänh lyù u haït laønh tính (granuloma)
  • 285.
    NOÁT PHOÅI AÙCTÍNH  Bôø khoâng ñeàu, tuûa gai (radiating coronal)  Co keùo maøng phoåi (Pleural fingers, flaps)  Hoäi tuï maïch maùu (Rigler’s umbilical sign)  Hoïai töû  Ñoùng voâi  Lieân quan trong loøng pheá quaûn  Thôøi gian nhaân ñoâi [ 30-400 ngaøy] Ung thö phoåi ngoïai bieân/ Bôø khoâng ñeàu, tuûa gai/ Co keùo maøng phoåi
  • 286.
    Ñaäm ñoä khoângñoàng nhaát do hoïai töû (Ca. teá baøo lôùn keùm bieät hoùa) Lieân quan vôùi trong loøng pheá quaûn pheá quaûn thuøy löôõi (T) (Ca. teá baøo vaûy)
  • 287.
    U PHOÅI AÙCTÍNH *Nguyeân phaùt – Bronchogeniac carcinoma – Lymphoma – Sarcoma – Plasmacytoma *Thöù phaùt – Thaän, ñaïi traøng, buoàng tröùng, töû cung – Böôùu Wilm, u xöông Vai troø CT: -Ñaùnh giaù vò trí, kích thöôùc, bôø, lieân quan maøng phoåi, trung thaát, thaønh ngöïc, haïch, maïch maùu(xaâm laán?)Staging -Toån thöông khaùc keøm theo Ung thö phoåi xaâm laán trung thaát, tónh maïch chuû treân [S] s
  • 288.
    UNG THÖ BIEÅUMOÂ PHEÁ QUAÛN (Bronchogenic Carcinoma)  Squamous cell ca 30-35%  Adenocarcinoma 25-35%  Small cell or oat cell 25%  Large cell undifferentiated 10%
  • 289.
    UNG THÖ BIEÅUMOÂ PHEÁ QUAÛN • Ung thö bieåu moâ pheá quaûn thöôøng ñöôïc chia thaønh hai nhoùm: – Loaïi teá baøo nhoû (SCLC: Small cell lung cancer ). – Loaïi khoâng phaûi teá baøo nhoû (NSCLC: Non-small cell lung cancer).
  • 290.
    SCLC -SCLC ñöôc chiahai giai ñoaïn: giôùi haïn vaø lan roäng. -SCLC hieám khi phaãu thuaät, thöôøng ñöôïc ñieàu trò baèng xaï/hoùa.
  • 291.
    SCLC -SCLC thöôøng phaùttrieån töø pheá quaûn chính hay pheá quaûn thuøy. Phaùt trieån töø loøng noäi pheá quaûn thöôøng hay gaëp. -Haïch roán phoåi, caïnh khí quaûn, döôùi carina lieân quan. -Haàu heát maùu nuoâi töø ñoäng maïch pheá quaûn, moät soá ñöôïc nuoâi töø ñoäng maïch phoåi.
  • 292.
    Small Cell Undifferentiated OatCell  Xuaát hieän  Haïch trung thaát  Khoái ôû roán phoåi  Noát phoåi nhoû hoaëc khoâng nhìn thaáy.  Khaû naêng di caên cao.  Phaùt trieån nhanh.
  • 293.
    SCLC-xaâm laán ñoängmaïch phoåi (T).
  • 294.
    NSCLC -NSCLC(Non-small cell lungcancer) chiếm khoảng 75% caùc loại ung thư phổi. Chia thaønh: adenocarcinoma, squamous cell carcinoma, and large cell carcinoma. -NSCLC thöôøng ñöôïc ñaùnh giaù giai ñoaïn baèng TNM ñeå xeùt chæ ñònh phaãu thuaät.
  • 295.
    TNM STAGING UICC TNMClassification of Malignant Tumors and the AJCC Cancer Staging Manual. • T0 Khoâng coù baèng chöùng u nguyeân phaùt • T1 d≤3 cm vaø ñöôïc bao quanh bôûi phoåi hay maøng phoåi taïng. • • T2 d> 3 cm; môû roäng ñeán maøng phoåi taïng, xeïp phoåi, beänh phoåi taéc ngheõn lieân quan ít hôn moät phoåi; u noäi pheá quaûn thuøy; hay u pheá quaûn chính > 2cm töø carina. • T3 U ôû ñænh; xeïp hoaøn toaøn moät phoåi; u noäi pheá quaûn cuûa pheá quaûn chính trong voøng 2cm töø carina nhöng khoâng xaâm laán carina; hay u baát kyøkích thöôùc naøo xaâm laán tröïc tieáp ñeán caùc caáu truùc nhö thaønh ngöïc, maøng phoåi trung thaát, cô hoaønh… • T4 Xaâm laán cô quan trung thaát: thöïc quaûn, khí quaûn, carina, maïch maùu lôùn, vaø/hoaëc tim; taéc tónh maïch chuû treân; lieân quan thaân soáng, thaàn kinh quaët ngöôïc; traøn dòch maøng tim hay maøng phoåi aùc tính; caùc noát phoåi veä tinh trong cuøng thuøy vôùi u.
  • 296.
    TNM STAGING • N0Khoâng haïch • N1 Haïch roán phoåi hay pheá quaûn phoåi cuøng beân. • N2 Haïch trung thaát cuøng beân hay ôû daây chaèng Haïch caïnh khí quaûn treân vaø döôùi. Haïch tröôùc vaø sau khí quaûn Haïch vuøng ñoäng maïch chuû vaø cöûa soå pheá chuû. Haïch caïnh ñoäng maïch chuû. Haïch caïnh thöïc quaûn. ÔÛ daây chaèng phoåi. Haïch döôùi carina • N3 Haïch roán phoåi hay trung thaát ñoái beân hay haïch thöôïng ñoøn.
  • 297.
    TNM STAGING • M0Khoâng di caên • M1 Coù di caên
  • 298.
    TNM STAGING • IAT1N0M0 • IB T2N0M0 • IIA T1N1M0 • IIB T2N1M0 hay T3N0M0 • IIIA T1-3N2M0 hay T3N1M0 • IIIB T4 hay N3M0 • IV Coù M1
  • 299.
    TNM STAGING • Tieânlöôïng soáng sau 5 naêm (MYÕ): IA 75% IB 55% IIA 50% IIB 40% IIIA 10-35% (IIIA tieân löôïng xaáu nhöng coøn coù khaû naêng phaãu thuaät). IIIB 5% (IIIB: khoâng phaãu thuaät). IV < 5%
  • 300.
    TNM STAGING • Tieânlöôïng soáng sau 5 naêm (CHAÂU AÂU): IA 60% IB 38% IIA 34% IIB 24% IIIA 13% (IIIA tieân löôïng xaáu nhöng coøn coù khaû naêng phaãu thuaät). IIIB 5% (IIIB: khoâng phaãu thuaät). IV <1%
  • 301.
    U thuøy treân(P) tuûa gai d = 4.2cm, T2.
  • 302.
  • 303.
    U roán phoåi(T). T4. Xeïp phoåi phía xa
  • 304.
  • 305.
    Haïch trung thaáthai beân, tröôùc khí quaûn -N3
  • 306.
    U roán phoåi(P) xaâm laán trung thaát - T4 Haïch trung thaát - N3
  • 307.
    Squamous Cell Carcinoma Naèm ôû trung taâm (2/3)  Khoái  Xeïp phoåi  “Daáu S ngöôïc cuûa Golden"  Vieâm phoåi sau taéc ngheõn.  Naèm ôû ngoaïi vi (1/3)  Coù theå coù hang.  Lieân quan haàu heát vôùi thuoác laù.
  • 308.
    Adenocarcinoma  Thöôøng noátôû ngoaïi bieân.  Noát ñôn ñoäc (52%)  Phaân boá thuøy treân (69%)
  • 309.
    Large Cell-Undifferentiated  10% Khoái lôùn ôû ngoaïi bieân  Thöôøng lieân quan maøng phoåi
  • 310.
    TOÙM LAÏI VÒTRÍ PHAÂN BOÁ  Trung taâm  Squamous cell  Small cell  Ngoaïi vi  Adenocarcinoma  Large cell
  • 311.
    VÒ TRÍ PHAÂNBOÁ  Pancoast tumor=superior sulcus tumor (4%)  Thöôøng laø teá baøo vaûy (squamous cell).  Taéc tónh maïch chuû treân(5%)  Thöôøng gaëp do teá baøo nhoû (small cell).
  • 312.
    THÔØI GIAN SOÁNG # 40 thaùng  Squamous cell 30%  Large cell 16%  Adenocarcinoma 15%  Oat cell 1%
  • 313.
    DI CAÊN PHOÅI SOLITARYMETASTASES MULTIPLE NODULES Colon (30-40%) Sarcomas, particularly from bone Kidney Testicle Breast Malignant melanoma Kidney Thyroid Sarcoma of bone LYMPHANGITIC SPREAD CAVITARY METS Lesions arise around chest Simulate CHF Lung Breast Thyroid Larynx Stomach Pancreas Cervix Usually thick walled with nodular inner margin Squamous cell primaries such as Head and neck tumors Ca of the cervix Transitional cell ca Melanoma Adenocarcinoma
  • 314.
  • 315.
    DAØY VAÙCH GIANTIEÅU THUØY DI CAÊN ÑÖÔØNG BAÏCH HUYEÁT TÖØ RCC
  • 316.
  • 317.
    CT VAØ UTRUNG THAÁT -Chaån ñoaùn xaùc ñònh baát thöôøng trung thaát treân X quang qui öôùc -Chaån ñoaùn phaân bieät U vôùi caùc beänh lyù khaùc: phình maïch maùu, daõn thöïc quaûn, meningocele.. -Ñaùnh giaù u veà vò trí, kích thöôùc, ñeø ñaåy-xaâm laám caùc caáu truùc khaùc: maïch maùu (ñoäng maïch phoåi, chuû, tónh maïch chuû), khí- pheá quaûn, thaønh ngöïc (coät soáng..), baûn chaát moâ hoïc (ñaït khoaûng 68%) [lipoma, cyst..] -Caùc toån thöông keøm theo (phoåi..) -Khaû naêng phaãu thuaät u
  • 318.
    -Trung thaát tröôùc(A) -Trung thaát giöõa (M) -Trung thaát sau (P) [Davis, Sabiton/ 1987] A M P PHAÂN TAÀNG TRUNG THAÁT
  • 319.
  • 320.
    TRUNG THAÁT TRÖÔÙC *Giôùihaïn: phía tröôùc laø xöông öùc, phía sau laø bôø tröôùc tim.
  • 321.
    TRUNG THAÁT GIÖÕA *Giôùihaïn: Bôø tröôùc tim ñeán maët tröôùc coät soáng. *Goàm caùc caáu truùc: Thöïc quaûn, TK X, TK quaët ngöôïc, TK hoaønh, tim, ÑM vaø TM phoåi ôû roán phoåi, khí quaûn vaø pheá quaûn goác, TM chuû treân vaø TM chuû döôùi
  • 322.
    TRUNG THAÁT SAU *Goàmcaùc caáu truùc: -ÑM chuû xuoáng -Xöông coät soáng vaø xöông söôøn, TK, tuûy soáng -Tónh maïch ñôn vaø baùn ñôn
  • 323.
    TRUNG THAÁT TREÂN *Naèm ôû phía treân ñöôøng ngang veõ töø goùc Luis ñeán coät soáng. *Goàm: tuyeán giaùp, quai ÑM chuû vaø caùc maïch maùu lôùn, ñoaïn gaàn cuûa TK X vaø TK quaët ngöôïc, thöïc quaûn vaø khí quaûn.
  • 324.
    1. Khôùp öùc-ñoøn 2.Tónh maïch thaân caùnh tay ñaàu (T) 3. Cung ñoäng maïch chuû 4. Cöûa soå pheá chuû 5. Ñoäng maïch phoåi (T) 6. Thaân vaø ñoäng maïch phoåi (P) 7. Nhó (T) 8. Caùc buoàng tim 9. Khoang sau chaân hoaønh CAÙC MAËT CAÉT CÔ BAÛN TRUNG THAÁT
  • 325.
    1. Ngang möùckhôùp öùc ñoøn 5 maïch maùu : 3 ñoäng maïch phiaù sau (döôùi ñoøn (s) caûnh (c), thaân caùnh tay ñaàu (b) vaø 2 tónh maïch phiaù tröôùc thaân caùnh tay ñaàu (P) vaø (T) (bv) Löu yù caùc beänh lyù: maïch maùu (phình-daõn maïch..), u, haïch
  • 326.
    2. Ngang möùctónh maïch thaân caùnh tay ñaàu (T) Tónh maïch caùnh tay ñaàu (T) (ibv) chaïy ngang – tröôùc, qua (P) hôïp vôùi nhaùnh (P) taïo tónh maïch chuû treân. Löu yù caùc beänh lyù: u, haïch
  • 327.
    3. Ngang möùccung ñoäng maïch chuû Cung ñoäng maïch chuû (ARCH) vaø tónh maïch chuû treân (S) ngay beân (P). Phiaù tröôùc laø caáu truùc môõ hình tam giaùc. Löu yù caùc beänh lyù: maïch maùu (phình maïch..), haïch, u
  • 328.
    4. Ngang möùccöûa soå pheá chuû Cöûa soå pheá chuû: giöõa cung ñoäng maïch chuû vaø ñoäng maïch phoåi (T) . Coù vaøi haïch nhoû vuøng naøy. Tónh maïch Azygos chaïy sau, ra tröôùc caïnh (P) khí quaûn vaøo tónh maïch chuû treân. Löu yù caùc beänh lyù: maïch maùu (phình maïch..), haïch, u Av
  • 329.
    5. Ngang möùcñoäng maïch phoåi (T) Ñoäng maïch phoåi (T) [LPA] taïo bôø (T) trung thaát. Löu yù caùc beänh lyù: maïch maùu (phình-thuyeân taéc maïch ñoäng maïch phoåi..), haïch, u
  • 330.
    6. Ngang möùcñoäng maïch phoåi (P) vaø thaân ñoäng maïch phoåi Ñoäng maïch phoåi (P) [RPA] töø thaân ñoäng maïch phoåi [MPA], chaïy sang (P) phiaù sau ñoäng maïch chuû leân [AA] Löu yù caùc beänh lyù: maïch maùu (phình-thuyeân taéc maïch ñoäng maïch phoåi..), haïch, u
  • 331.
    7. Ngang möùcnhó (T) thaân ñoäng maïch phoåi [MPA], ñoäng maïch chuû leân [AA]
  • 332.
    8. Ngang möùc4 buoàng tim Thaáy caùc buoàng tim. Maøng ngoaøi tim taïo ñöôøng môø giöõa hai lôùp môõ [M] Löu yù caùc beänh lyù: tim (huyeát khoái), haïch tröôùc tim, u thöïc quaûn, coät soáng M
  • 333.
    9. Ngang möùckhoang sau chaân hoøanh
  • 334.
    KHOÁI CHOAÙN CHOÃTRUNG THAÁT TRÖÔÙC (ANTERIOR MEDIASTINUM) -U: Thymoma, Teratoma, Thyroid, Lymphoma -Khaùc: Di caên, u trung moâ, phình maïch -Goùc taâm hoøanh: Keùn maøng phoåi-tim, thoaùt vò hoaønh, tuùi môõ ngoøai tim
  • 335.
    Thymoma 2cm, laønhtính, khoâng xaâm laán, b/n bò nhöôïc cô Teratoma
  • 336.
    KHOÁI CHOAÙN CHOÃTRUNG THAÁT GIÖÕA (MIDDLE MEDIASTINUM) -U: Lymphoma, Di caên -Khaùc: Phình maïch, keùn khí pheá quaûn -Thöïc quaûn: Ung thö, thoùat vò Di caên K phoåi (loaïi teá baøo nhoû) vaøo cöûa soå pheá chuû, tröôùc pheá quaûn
  • 337.
    KHOÁI CHOAÙN CHOÃTRUNG THAÁT SAU (POSTERIOR MEDIASTINUM) -U nguoàn goác thaàn kinh -Coät soáng: Di caên, vieâm -Caïnh soáng: tuï maùu, abscess, toå chöùc taïo maùu ngoøai tuûy -Phình maïch, thoùat vò hoøanh, u môõ. U bao daây thaàn kinh (Schwannoma): caïnh soáng, taêng quang khoâng ñoàng nhaát
  • 338.
    HAÏCH TRUNG THAÁT Ñaùnhgiaù chính xaùc haïch trung thaát raát quan troïng trong choïn löïa toái öu phöông phaùp ñieàu trò, tieân löôïng beänh ôû beänh nhaân NSCLC
  • 339.
    PHAÂN LOAÏI HAÏCHTHEO VUØNG American Thoracic Society
  • 340.
    NHOÙM HAÏCH TRUNGTHAÁT TREÂN (1-4) • 1. Trung thaát cao nhaát: treân tónh maïch thaân tay ñaàu (T). • 2. Caïnh khí quaûn treân: treân cung ñoäng maïch chuû nhöng döôùi tónh maïch thaân tay ñaàu (T). • 3. Tröôùc maïch maùu hay tröôùc coät soáng. • 4. Caïnh khí quaûn döôùi.
  • 341.
    NHOÙM HAÏCH CHUÛ(5-6) • 5. Döôùi ñoäng maïch chuû. • 6. Caïnh ñoäng maïch chuû: naèm tröôùc ngoaøi ñoäng maïch chuû leân vaø cung ñoäng maïch chuû.
  • 342.
    NHOÙM HAÏCH TRUNGTHAÁT DÖÔÙI (7-9) • 7. Döôùi carina • 8. Caïnh thöïc quaûn (döôùi carina). • 9. Daây chaèng phoåi.
  • 343.
    NHOÙM HAÏCH NAÈMÔÛ ROÁN, GIAN THUØY, THUØY, PHAÂN THUØY, HAÏ PHAÂN THUØY (10-14)
  • 344.
    1. TRUNG THAÁTCAO NHAÁT
  • 345.
    Tónh maïch thaântay ñaàu vaãn coøn naèm beân (T) ñöôøng giöõa. Haïch naèm treân ñöôøng maø tónh maïch thaân tay ñaàu (T) chaïy ngang qua tröôùc khí quaûn
  • 346.
    2.CAÏNH KHÍ QUAÛNTREÂN Coù haïch nhoû tröôùc maïch maùu -3A
  • 347.
    3. HAÏCH TRÖÔÙCMAÏCH MAÙU VAØ TRÖÔÙC SOÁNG Khoâng naèm caïnh khí quaûn- naèm tröôùc maïch maùu (3A) hay sau thöïc quaûn tröôùc coät soáng (3P)
  • 348.
    Haïch tröôùc maïchmaùu -3A. Haïch caïnh khí quaûn döôùi -4R.
  • 349.
    4. HAÏCH CAÏNHKHÍ QUAÛN DÖÔÙI Naèm döôùi ñöôøng ngang veõ tieáp tuyeán bôø treân cung ñoäng maïch chuû. 4R-Haïch naèm beân (P) ñöôøng giöõa khí quaûn.
  • 351.
    4L-Haïch naèm beân(T) ñöôøng giöõa khí quaûn môû roäng ñeán pheá quaûn chính (T) ôû möùc bôø treân cuûa pheá quaûn thuøy treân (T)-Bao goàm nhoùm haïch caïnh khí quaûn naèm ôû möùc trung gian ñeán daây chaèng ñoäng maïch.
  • 354.
    5. HAÏCH DÖÔÙIÑOÄNG MAÏCH CHUÛ: ngoaøi daây chaèng ñoäng maïch. 6. HAÏCH CAÏNH ÑOÄNG MAÏCH CHUÛ Naèm tröôùc ngoaøi ñoäng maïch chuû leân, cung ñoäng maïch chuû, döôùi bôø treân cung ñoäng maïch chuû.
  • 356.
  • 358.
    8 NHOÙM HAÏCHCAÏNH THÖÏC QUAÛN Naèm döôùi carina. Caïnh thaønh thöïc quaûn, beân (P) hay (T) ñöôøng giöõa.
  • 359.
    9. NHOÙM HAÏCHDAÂY CHAÈNG PHOÅI Naèm beân trong daây chaèng phoåi, bao goàm haïch naèm ôû thaønh sau vaø phaàn thaáp cuûa tónh maïch phoåi döôùi.
  • 360.
    10. NHOÙM HAÏCHROÁN PHOÅI
  • 361.
    KEÁT LUAÄN -CT laøkhaûo saùt hình aûnh giaù trò. -Chæ ñònh roäng raõi ôû caùc beänh lyù phoåi- maøng phoåi- trung thaát… -Caàn keát hôïp caùc phöông tieän chaån ñoaùn hình aûnh khaùc -laâm saøng-caän laâm saøng.
  • 362.
    CÁC LÁT CẮT CTNGỰC BÌNH THƯỜNG
  • 383.
  • 387.
  • 393.
    left ventricular walland septum papillary wall muscles mitral valve leaflets. )
  • 398.
  • 401.
    CÁC DẤU HIỆUTRONG XQ-CT
  • 402.
    CERVICO-THORACIC SIGN (-) POSTERIORMEDIASTINUM + CALCIFICATION NEUROBLASTOMA October 31, 2014 24
  • 403.
    ICEBERG SIGN (+)ICEBERG SIGN (-) October 31, 2014 25
  • 404.
  • 405.
    ICEBERG SIGN (-): NEUROBLASTOMA October 31, 2014 27
  • 406.
    ICEBERG SIGN (-):NEURINOMA October 31, 2014 28
  • 407.
  • 408.
  • 409.
    October 31, 201431 Caáu truùc hoài aâm luoân luoân ñaëc, ñoàng daïng THYMIC SAIL SIGN
  • 410.
    October 31, 2014D.Anthoine et al.L’Imagerie Thoracique.1996-1998. 32
  • 411.
    HILUM CONVERGENCE SIGN: PHÌNHÑOÄNG MAÏCH PHOÅI (T) October 31, 2014 D.Anthoine et al.L’Imagerie Thoracique.1996-1998. 33
  • 412.
    HILUM CONVERGENCE SIGN: TAÊNGAÙP ÑOÄNG MAÏCH PHOÅI / ÑAÛO NGÖÔÏC PHUÛ TAÏNG October 31, 2014 34
  • 413.
  • 414.
  • 415.
    RUL Consolidation StrepPneumonia October 31, 2014 A.J.Chandrasekhar,M.D.Chest X-ray Atlas. 37
  • 416.
    AIR BRONCHOGRAM SIGN(+): VIEÂM PHOÅI October 31, 2014 Joseph K.T.Lee. Lee computed body tomography with MRI correlation. 38
  • 417.
    October 31, 2014 Non–smallcell carcinoma of the bronchus (S-Golden’s sign) Weissleder et al.Diagnostic Imaging Expert.1998 39
  • 418.
    XEÏP THUØY TREÂNPHOÅI (T) (caùc ñaàu muõi teân) DO U PHEÁ QUAÛN (muõi teân) S-GOLDEN’S SIGN October 31, 2014 Joseph K.T.Lee. Lee computed body tomography with MRI correlation. 1998 40
  • 419.
  • 420.
  • 421.
    October 31, 2014 WESTEMARK’SSIGN (+) HAMPTON’S HUMP (+) PULMONARY EMBOLI 43
  • 422.
    BN 25F.BVBD :U TRUNG THẤT
  • 424.
    BN 40F BVPNT : U TRUNG THẤT
  • 427.