CATHETER
DÙNG TRONG
LMNCT VÀ TNT
BS. Nguyễn Trường Hải
Khoa HSTC-CĐ BVND115
TỔNG QUAN
USRDS 2011: 80% BN IHD lần đầu được thực hiện bằng catheter
Hiểu rõ về catheter lọc máu là rất cần thiết
TỔNG QUAN
PHÂN LOẠI
Catheter ngắn hạn
● Ưu điểm: dễ thực hiện, thao tác nhanh phù hợp cho trường hợp cấp
cứu, có thể làm ngay tại giường.
● Nhược điểm: thời gian sử dụng ngắn, tỷ lệ nhiễm trùng tăng lên rõ
rệt khi sử dụng >1 tuần.
PHÂN LOẠI
Catheter dài hạn: thường được đặt với kỹ thuật đặt catheter hầm ở các
bệnh nhân có kế hoạch lọc máu > 1 tuần.
● Ưu điểm: sử dụng được trong thời gian dài, tỷ lệ nhiễm trùng do
catheter thấp.
● Nhược điểm: kỹ thuật đặt catheter hầm khó, cần làm trong phòng mổ
hoặc phòng tiểu phẫu.
THIẾT KẾ
Phần chính:
● Nòng
● Đầu tận
● Lỗ bên
● Cuff
Hub
● Vòng chống gập
● Cánh để khâu cố định
Phần kéo dài
● Đai thông số
● Khoá
● Đầu nối Luer
NÒNG
Nhiều thiết diện nòng:
hình tròn đơn thuần,
D-shaped, C-shaped,
đồng trục (coaxial), …
Bề mặt trong nòng ống
được thiết kế trơn láng
để tránh hiện tượng tán
huyết.
THIẾT KẾ
ĐẦU TẬN & LỖ BÊN
1 lỗ bên
2 lỗ bên
Staggered (shotgun,step)
Split
Symmetric
THIẾT KẾ
Step vs Split vs Symmetrical‐tip
Ling,Xiao-Chun,et al.“A Systematic Review and Meta-Analysis of the Comparison of Performance among Step-Tip,Split-Tip,and Symmetrical-Tip Hemodialysis Catheters.”Journal of Vascular Surgery,vol.69,no.4,Apr.2019,pp.1282–92
Step vs Split vs Symmetrical‐tip
Ling,Xiao-Chun,et al.“A Systematic Review and Meta-Analysis of the Comparison of Performance among Step-Tip,Split-Tip,and Symmetrical-Tip Hemodialysis Catheters.”Journal of Vascular Surgery,vol.69,no.4,Apr.2019,pp.1282–92
CUFF
Hàng rào chống lại vi
khuẩn xâm nhập
Giúp cố định catheter
Chỉ có ở catheter dài hạn
THIẾT KẾ
HUB
THIẾT KẾ
Tạo đường ống cố định
cho máu chảy qua xuyên
suốt chiều dài catheter.
Có thể có vòng chống
gập giúp giảm thiểu việc
gập, xoắn vặn.
CÁNH
Cố định catheter vào da.
Ngăn tuột catheter.
Catheter di động ra vào
tự do sẽ khiến vi trùng có
thể di chuyển ngược
dòng vào máu làm tăng
tỷ lệ nhiễm trùng.
THIẾT KẾ
PHẦN KÉO DÀI
Thường có hình trụ, trong
suốt.
Là vị trí gắn với đầu nối
để kết nối máy lọc máu.
Đai thông số (ID ring) thể
hiện thông số của
catheter.
THIẾT KẾ
ĐẦU NỐI
Kết nối catheter với máy
lọc máu.
Được quy định màu sắc:
Màu đỏ tương ứng với
đầu lấy máu ra. Màu
xanh dương ứng với đầu
trả máu về.
THIẾT KẾ
KHOÁ
2 kiểu khoá thường dùng:
● Khoá kéo (slide
clamp): thường dùng
cho đầu kéo có
đường kính nhỏ
● Khoá Halkey-Robert
THIẾT KẾ
CHẤT LIỆU
Chất liệu lý tưởng:
● Tương thích sinh học
● Không kích hoạt dòng thác đông máu
● Nhạy nhiệt (Thermosensitive)
VD: silicone, polyvinyl chloride (PVC), polyethylene (PE),
Polytetrafluoroethylene (PTFE), polyurethane (PU), carbothane...
Silicone
Tương thích với máu cao
Trơ với hầu hết hoá chất
Mềm
CHẤT LIỆU
Polyurethane
Tương thích sinh học
Nhạy nhiệt
Chịu lực tốt
Thành mỏng hơn silicone
Thời gian sử dụng ngắn
Bị hư hại bởi cồn, iod
CHẤT LIỆU
Carbothane
Tương thích sinh học
Nhạy nhiệt
Chịu lực tốt
Thời gian sử dụng dài
CHẤT LIỆU
SIZE
KDOQI 2006
CHIỀU DÀI
LỰA CHỌN CATHETER
Size và chiều dài nhỏ nhất mà có thể cung cấp lưu lượng dòng vừa đủ
Đủ cứng để thao tác qua da dễ dàng và khó xẹp dưới áp lực âm
Đủ mềm dẻo để định hình trong lòng mạch, ít gây tổn thương mạch máu
Tương thích sinh học với máu tốt
Cuff: không cuff nếu thời gian lọc máu < 1 tuần, có cuff nếu thời gian lọc
máu > 1 - 3 tuần
Phù hợp với tình hình thực tế tại cơ sở y tế hiện tại
CHỌN VỊ TRÍ ĐẶT CATHETER
Cân nhắc giữa các vấn đề:
● Tốc độ dòng
● Nhiễm trùng
● Huyết khối
● Sang chấn cơ học
CHỌN VỊ TRÍ ĐẶT CATHETER
CHỌN VỊ TRÍ ĐẶT CATHETER
Benichou,Nicolas,et al.“Vascular Access for Renal Replacement Therapy among 459 Critically Ill Patients: A Pragmatic Analysis of the Randomized AKIKI Trial.”Annals of Intensive Care,vol.11,no.1,Apr.2021,p.56,https://doi.org/10.1186/s13613-021-00843-3
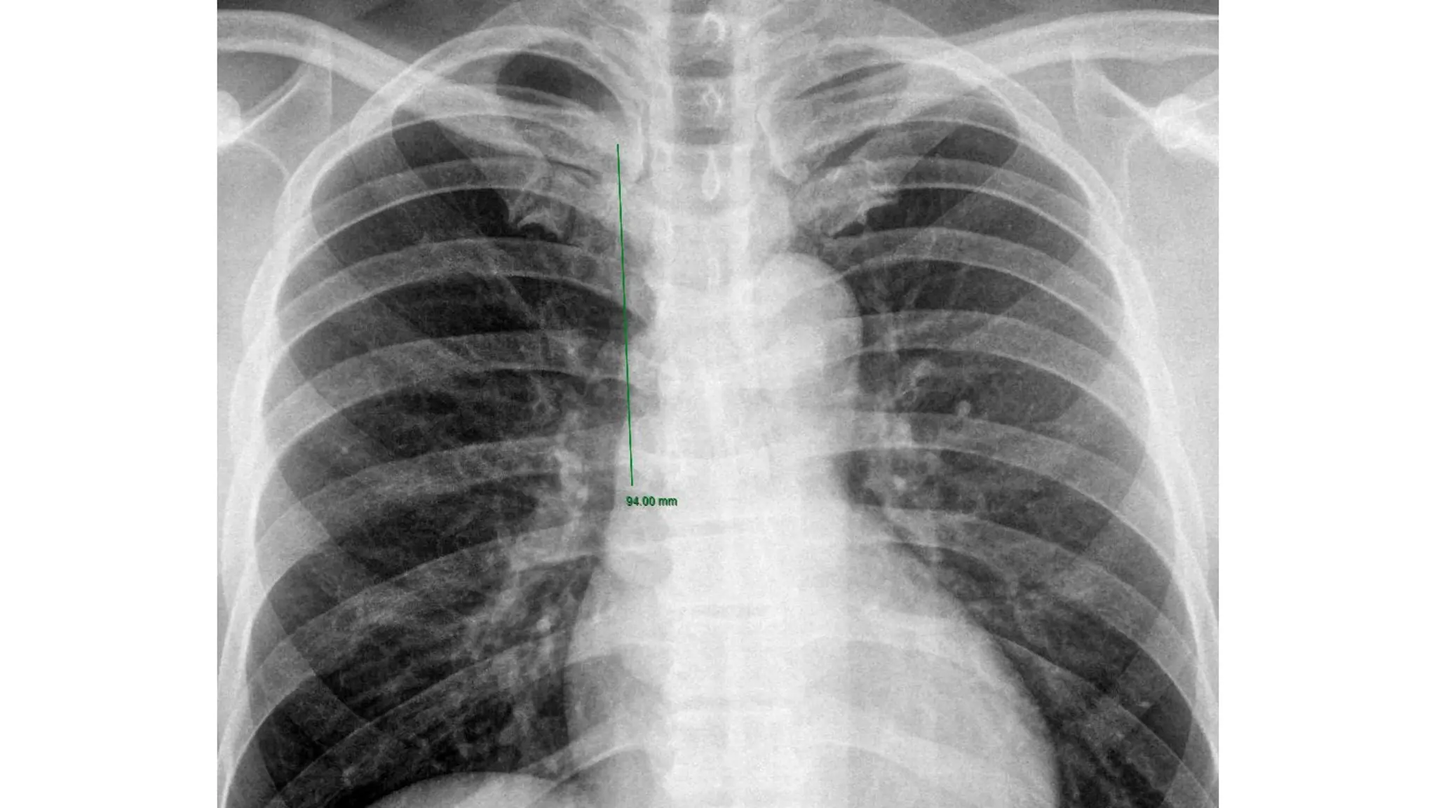
CHỌN MỐC CỐ ĐỊNH CATHETER
Vị trí đầu catheter lý tưởng:
● Cảnh: nhĩ phải
● Đùi: TM chủ dưới
CHỌN MỐC CỐ ĐỊNH CATHETER
BYT?
Peres 1990:
● cảnh (P) H/10 cm
● cảnh (T) H/10 + 4 cm
● dưới đòn (P) H/10 - 2 cm
● dưới đòn (T) H/10 + 2 cm
ECG? Siêu âm? XQ?
CHỌN MỐC CỐ ĐỊNH CATHETER
CHỌN MỐC CỐ ĐỊNH CATHETER
Ahn,J.H.,et al.“Transoesophageal Echocardiographic Evaluation of Central Venous Catheter Positioning Using Peres’Formula or a Radiological Landmark-Based Approach: A Prospective Randomized Single-Centre Study.”British Journal of Anaesthesia,vol.118,no.2,Feb.2017,pp.215–22
DO ĐẶT CATHETER
● Chảy máu,
hematoma
● Đâm nhầm vào động
mạch
● Tràn khí màng phổi
● Thuyên tắc khí
● Rối loạn nhịp
● Chèn ép tim
BIẾN CHỨNG
RECIRCULATION
Khi máu đã được lọc bị hút
ngược lại vào hệ thống lọc
Bình thường < 5%
Phụ thuộc vào
● Thiết kế
● Độ dài
● Vị trí đặt catheter
● Tốc độ lấy máu
● Cách nối đầu
BIẾN CHỨNG
NHIỄM TRÙNG
BIẾN CHỨNG
HUYẾT KHỐI
BIẾN CHỨNG
Hiểu rõ về catheter lọc máu là cần thiết cho cả bác sĩ chuyên khoa thận
và chuyên khoa hồi sức tích cực
Lựa chọn đúng loại catheter, vị trí và mốc cố định tối ưu giúp tăng hiệu
quả trong lọc máu
Cần lưu ý khi thao tác và chăm sóc để giảm tỷ lệ biến chứng liên quan
đến catheter
TÓM TẮT
CẢM ƠN QUÝ ĐỒNG NGHIỆP
ĐÃ CHÚ Ý LẮNG NGHE

Hướng dẫn sử dụng catheter trong lọc máu ngoài cơ thể và thận nhân tạo.pdf

  • 1.
    CATHETER DÙNG TRONG LMNCT VÀTNT BS. Nguyễn Trường Hải Khoa HSTC-CĐ BVND115
  • 2.
    TỔNG QUAN USRDS 2011:80% BN IHD lần đầu được thực hiện bằng catheter Hiểu rõ về catheter lọc máu là rất cần thiết
  • 3.
  • 4.
    PHÂN LOẠI Catheter ngắnhạn ● Ưu điểm: dễ thực hiện, thao tác nhanh phù hợp cho trường hợp cấp cứu, có thể làm ngay tại giường. ● Nhược điểm: thời gian sử dụng ngắn, tỷ lệ nhiễm trùng tăng lên rõ rệt khi sử dụng >1 tuần.
  • 5.
    PHÂN LOẠI Catheter dàihạn: thường được đặt với kỹ thuật đặt catheter hầm ở các bệnh nhân có kế hoạch lọc máu > 1 tuần. ● Ưu điểm: sử dụng được trong thời gian dài, tỷ lệ nhiễm trùng do catheter thấp. ● Nhược điểm: kỹ thuật đặt catheter hầm khó, cần làm trong phòng mổ hoặc phòng tiểu phẫu.
  • 6.
    THIẾT KẾ Phần chính: ●Nòng ● Đầu tận ● Lỗ bên ● Cuff Hub ● Vòng chống gập ● Cánh để khâu cố định Phần kéo dài ● Đai thông số ● Khoá ● Đầu nối Luer
  • 7.
    NÒNG Nhiều thiết diệnnòng: hình tròn đơn thuần, D-shaped, C-shaped, đồng trục (coaxial), … Bề mặt trong nòng ống được thiết kế trơn láng để tránh hiện tượng tán huyết. THIẾT KẾ
  • 8.
    ĐẦU TẬN &LỖ BÊN 1 lỗ bên 2 lỗ bên Staggered (shotgun,step) Split Symmetric THIẾT KẾ
  • 9.
    Step vs Splitvs Symmetrical‐tip Ling,Xiao-Chun,et al.“A Systematic Review and Meta-Analysis of the Comparison of Performance among Step-Tip,Split-Tip,and Symmetrical-Tip Hemodialysis Catheters.”Journal of Vascular Surgery,vol.69,no.4,Apr.2019,pp.1282–92
  • 10.
    Step vs Splitvs Symmetrical‐tip Ling,Xiao-Chun,et al.“A Systematic Review and Meta-Analysis of the Comparison of Performance among Step-Tip,Split-Tip,and Symmetrical-Tip Hemodialysis Catheters.”Journal of Vascular Surgery,vol.69,no.4,Apr.2019,pp.1282–92
  • 11.
    CUFF Hàng rào chốnglại vi khuẩn xâm nhập Giúp cố định catheter Chỉ có ở catheter dài hạn THIẾT KẾ
  • 12.
    HUB THIẾT KẾ Tạo đườngống cố định cho máu chảy qua xuyên suốt chiều dài catheter. Có thể có vòng chống gập giúp giảm thiểu việc gập, xoắn vặn.
  • 13.
    CÁNH Cố định cathetervào da. Ngăn tuột catheter. Catheter di động ra vào tự do sẽ khiến vi trùng có thể di chuyển ngược dòng vào máu làm tăng tỷ lệ nhiễm trùng. THIẾT KẾ
  • 14.
    PHẦN KÉO DÀI Thườngcó hình trụ, trong suốt. Là vị trí gắn với đầu nối để kết nối máy lọc máu. Đai thông số (ID ring) thể hiện thông số của catheter. THIẾT KẾ
  • 15.
    ĐẦU NỐI Kết nốicatheter với máy lọc máu. Được quy định màu sắc: Màu đỏ tương ứng với đầu lấy máu ra. Màu xanh dương ứng với đầu trả máu về. THIẾT KẾ
  • 16.
    KHOÁ 2 kiểu khoáthường dùng: ● Khoá kéo (slide clamp): thường dùng cho đầu kéo có đường kính nhỏ ● Khoá Halkey-Robert THIẾT KẾ
  • 17.
    CHẤT LIỆU Chất liệulý tưởng: ● Tương thích sinh học ● Không kích hoạt dòng thác đông máu ● Nhạy nhiệt (Thermosensitive) VD: silicone, polyvinyl chloride (PVC), polyethylene (PE), Polytetrafluoroethylene (PTFE), polyurethane (PU), carbothane...
  • 18.
    Silicone Tương thích vớimáu cao Trơ với hầu hết hoá chất Mềm CHẤT LIỆU
  • 19.
    Polyurethane Tương thích sinhhọc Nhạy nhiệt Chịu lực tốt Thành mỏng hơn silicone Thời gian sử dụng ngắn Bị hư hại bởi cồn, iod CHẤT LIỆU
  • 20.
    Carbothane Tương thích sinhhọc Nhạy nhiệt Chịu lực tốt Thời gian sử dụng dài CHẤT LIỆU
  • 21.
  • 22.
  • 23.
    LỰA CHỌN CATHETER Sizevà chiều dài nhỏ nhất mà có thể cung cấp lưu lượng dòng vừa đủ Đủ cứng để thao tác qua da dễ dàng và khó xẹp dưới áp lực âm Đủ mềm dẻo để định hình trong lòng mạch, ít gây tổn thương mạch máu Tương thích sinh học với máu tốt Cuff: không cuff nếu thời gian lọc máu < 1 tuần, có cuff nếu thời gian lọc máu > 1 - 3 tuần Phù hợp với tình hình thực tế tại cơ sở y tế hiện tại
  • 24.
    CHỌN VỊ TRÍĐẶT CATHETER Cân nhắc giữa các vấn đề: ● Tốc độ dòng ● Nhiễm trùng ● Huyết khối ● Sang chấn cơ học
  • 25.
    CHỌN VỊ TRÍĐẶT CATHETER
  • 26.
    CHỌN VỊ TRÍĐẶT CATHETER Benichou,Nicolas,et al.“Vascular Access for Renal Replacement Therapy among 459 Critically Ill Patients: A Pragmatic Analysis of the Randomized AKIKI Trial.”Annals of Intensive Care,vol.11,no.1,Apr.2021,p.56,https://doi.org/10.1186/s13613-021-00843-3
  • 27.
    CHỌN MỐC CỐĐỊNH CATHETER Vị trí đầu catheter lý tưởng: ● Cảnh: nhĩ phải ● Đùi: TM chủ dưới
  • 28.
    CHỌN MỐC CỐĐỊNH CATHETER BYT? Peres 1990: ● cảnh (P) H/10 cm ● cảnh (T) H/10 + 4 cm ● dưới đòn (P) H/10 - 2 cm ● dưới đòn (T) H/10 + 2 cm ECG? Siêu âm? XQ?
  • 29.
    CHỌN MỐC CỐĐỊNH CATHETER
  • 30.
    CHỌN MỐC CỐĐỊNH CATHETER Ahn,J.H.,et al.“Transoesophageal Echocardiographic Evaluation of Central Venous Catheter Positioning Using Peres’Formula or a Radiological Landmark-Based Approach: A Prospective Randomized Single-Centre Study.”British Journal of Anaesthesia,vol.118,no.2,Feb.2017,pp.215–22
  • 31.
    DO ĐẶT CATHETER ●Chảy máu, hematoma ● Đâm nhầm vào động mạch ● Tràn khí màng phổi ● Thuyên tắc khí ● Rối loạn nhịp ● Chèn ép tim BIẾN CHỨNG
  • 32.
    RECIRCULATION Khi máu đãđược lọc bị hút ngược lại vào hệ thống lọc Bình thường < 5% Phụ thuộc vào ● Thiết kế ● Độ dài ● Vị trí đặt catheter ● Tốc độ lấy máu ● Cách nối đầu BIẾN CHỨNG
  • 33.
  • 35.
  • 36.
    Hiểu rõ vềcatheter lọc máu là cần thiết cho cả bác sĩ chuyên khoa thận và chuyên khoa hồi sức tích cực Lựa chọn đúng loại catheter, vị trí và mốc cố định tối ưu giúp tăng hiệu quả trong lọc máu Cần lưu ý khi thao tác và chăm sóc để giảm tỷ lệ biến chứng liên quan đến catheter TÓM TẮT
  • 37.
    CẢM ƠN QUÝĐỒNG NGHIỆP ĐÃ CHÚ Ý LẮNG NGHE