Covid-19
pandemic
Islam M. Ibrahim, M.D., FACP, FCCP.
Pulmonary and critical care department,
University of California San Diego, USA.
• United StatesUnited States
• Confirmed 587,337
• Recovered 44,207
• Deaths 23,649
• WorldwideWorldwide
• Confirmed 1,920,918
• Recovered 453,289
• Deaths 119,686
Healthcare
burden .
8
COVID-19 Surge Capacity Plan
April 1, 2020
Dr. Jess Mandel | Chief, Division of Pulmonary, Critical Care and Sleep Medicine
Mobe Montesa | Nursing Director, Cardiovascular Services
Leah Adrid | Asst. Director of Operations, Capacity Management & Pt. Flow
Jarrod McDonald | Assoc. Director, Health System Innovation & Transformation
Anticipated Critical Care Bed Need (Worst Case)
- 1 2 2 4 6 8 12 18 27
39
58
84
121
171
236
316
405
492
561
596 588
542
473
393
317
250
194
149
114
87
66
51
38 29 22 17 13 10 8 6- 1 1 1 2 3 4 6 9 13 20 29
42
60
85
118
158
203
246
281
298 294
271
236
197
159
125
97
75
57
44
33 25 19 15 11 9 7 5 4 3
-
100
200
300
400
500
600
700
3/23/2020 4/23/2020 5/23/2020 6/23/2020 7/23/2020 8/23/2020 9/23/2020 10/23/2020 11/23/2020 12/23/2020
Predicted UCSD Critical Care Census at 50% Social Distancing & 6 day* ICU LOS
icu vent UCSD ICU Capacity
Physically capable
of increasing by
115 to 285 CC beds
Portion At Risk
 Send out if possible
 LST Rationing / Ethics Protocol
Current COVID Census
Shifts entire model timeline up ~1 ¾ months
Source: U Penn COVID Model
*Improvements in care aim to reduce LOS
Key Deliverables:
• Validate outstanding non-traditional areas for overflow
• Determine if non-traditional areas meet structural and regulatory
requirements (O2, Gas, Electric, etc.)
Key Deliverables:
• Determine potential pool and number of staff from non-inpatient areas (e.g.
JMC PACU, Hillcrest PACU, GI, Cath lab, EP)
• Determine total number of nursing, physician & RT staff by level of care
• Create RN staffing model when ratios can no longer be maintained.
Key Deliverables:
• Create an educational plan for educational needs and structured format (e.g.
Social Distancing, Online format, Hands on, Shadowing/floating options)
• Create a content List of Gaps for each unit, level of care, and floating needs
• Work with the staffing plan to take determine staff that need education
Key Deliverables:
• Supply & equipment gap analysis, prioritized by surge phase
• Process for getting the units necessary supplies/equipment
• Implement appropriate Modifications/EPIC/Pyxis access real time
Non
Traditional
Overflow
Unit
Readiness
Education
Staffing
Physician & RN/RT
Taskforce Deliverables in Progress
COVID Physician Staffing (Non-Critical Care)
Medical Staff Physician Surge Staffing Request
 Identifies providers with board certifications and/or ability to provide Critical Care,
Emergency Medicine & Hospital Medicine care
 Highlights potential risk factors (>65, existing comorbidities, etc.)
 Captures contact information
6 IMU RNs
Bedside RN ICU Model #1
< 250 ventilators (Utilizes IMU RNs in ICU)
Each Pod
1 ICU RN
2 IMU RN
.7 RT
5 patients
All 1:1 patients in ICU will
be screened for acuity
and paired based off
need (IABP, Impellas,
Tandems, CRRT,
CABG/VALVE, PTE). True
1:1 patients will remain
1:1, and additional ICU
RNs will be added.
Based of 330 ICU patients:
Core group:
66 ICU RNs needed per shift + 1:1
132 IMU RNs
33 RTs
Patient ratio will reduce once we exceed 250
ventilators (see model #2)
This model will be adjusted to each unit’s physical space
**If available
COVID Coordinator- stocks and
monitors PPE. RN/ >
1 PCCM team
.3 Pharmacy
1 Charge RN (ICU preferred)**
1 COVID Coordinator**
3 ICU RNs
2 RTs*
6 IMU RNs
15 patients
22 additional ICU RN
22 additional non ICU RNs
22 CCP, MA or LVN
**If additional staff are available
deploy based on acuity
Pyramid
1 CCP, MA or LVN**
6 IMU RNs
Each Pod
1 ICU RN
2 IMU RN
.5 RT
5 patients
All 1:1 patients in ICU will
be screened for acuity
and paired based off
need (IABP, Impellas,
Tandems, CRRT,
CABG/VALVE, PTE). True
1:1 patients will remain
1:1, and additional ICU
RNs will be added.
Based of 330 ICU patients:
Core group:
66 ICU RNs needed + 1:1
99 IMU RNs
33 RTs
RT ratio will reduce once we exceed 250
ventilators (see model #2)
This model will be adjusted to each unit’s physical space
**If available
COVID Coordinator- stocks and
monitors PPE. RN or >
1 PCCM team
1 Charge RN (ICU preferred)**
1 COVID Coordinator**
2 ICU RNs
1 RTs*
3 IMU RNs
10 patients
Bedside RN ICU Model #2
> 250 ventilators
33 additional ICU RN
33 additional non ICU RNs
33 CCP, MA or LVNs
**Extra available staff (including
students) deploy based on acuity
Pyramid
1 CCP, MA, or LVN**
Have the capacity to run ~330 – 400
COVID Critical Care beds total
Diagnosis.
PCR.
Serology.
immunoassay kit helps to
identify total
immunoglobulin, including
IgG, IgM, and IgA,
Laboratory diagnosis
Indications for testing ICU patients for SARS CoV-2
• every critically ill patient arriving with respiratory infection should be
considered potentially infected with SARS-CoV-2.
• (RT-PCR) is the gold standard for similar viral infections,
• extended incubation period poses diagnostic challenges
• viral shedding prior to the onset of symptoms.
European Society of Intensive Care Medicine and the Society of Critical Care Medicine 2020
Symptoms.
FEVER (TEMPERATURE >
99 DEGREES FAHRENHEIT)
■ NEW COUGH ■ NEW SHORTNESS OF
BREATH
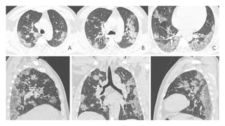
Radiology.
Risk stratification.
High Flow Nasal Cannula
chest.2020.03.043
HVNI therapy can be substantially slowed
using a surgical facemask in place
increasing flow rate if the patient is
displaying increased work of breathing.
precautions must considered while
managing patients on HVNI
Intensive care admission.
Intubation/mechanical
ventilation
Ventilation
strategies.
Joint Statement on Multiple
Patients Per Ventilator
March 26, 2020 12:00 p.m.
The Society of Critical Care Medicine
(SCCM),
American Association for Respiratory
Care (AARC),
American Society of Anesthesiologists
(ASA),
Anesthesia Patient Safety Foundation
(ASPF),
American Association of Critical-Care
Nurses (AACN),
American College of Chest Physicians
(CHEST)
Reasons include:
Volumes would go to the most compliant lung
segments.
• PEEP would be impossible to manage.
• measuring pulmonary mechanics would be
challenging, if not impossible.
• Alarm monitoring and management would
not be feasible.
• Individualized management for clinical
improvement or deterioration would be
impossible.
• In the case of a cardiac arrest, ventilation to
all patients would need to be
• Additional external monitoring would be
required.
• patients deteriorate and recover at different
rates,
• The greatest risks occur with sudden
deterioration of a single patient (e.g.,
pneumothorax, kinked endotracheal tube),
with the balance of ventilation distributed to
the other patients.
Nonsedation or light
sedation in critically
ill vented patients.
•Daily sedation breaks
•fewer ICU days
•fewer days on the vent.
ECMO for COVID-19 Patients with Severe Cardiopulmonary Failure
ECMO
• should be offered to patients with a good prognosis
• advanced age, multiple co-morbidities, or multiple
organ failure
• observing no lung or cardiac recovery after
approximately 21 days* on ECMO can be considered
futile
Society guidelines.
Surviving Sepsis Campaign:
Guidelines on
the Management of Critically
Ill Adults with
Coronavirus Disease 2019
(COVID-19)
PPE.
Management of shock.
American Thoracic Society‐led International Task Force
Management of bronchial asthma with COVID-19
• continue all inhaled medication, including inhaled corticosteroids,
• acute asthma attacks / short course of oral corticosteroids to prevent serious consequences.
• long-term treatment with (OCS) should be continued in the lowest possible dose
• Biologic therapies should be used in severe asthma patients who qualify
• Nebulisers should,be avoided / increased risk of disseminating COVID-19
• (pMDI) via a spacer is the preferred treatment
• allergic rhinitis should continue to take their nasal corticosteroids,
• Routine spirometry testing should be suspended
• Prognosis.
Antibiotics.
Experimental drugs.
Hydroxychloroquine sulfate for COVID-19.
studies are all small
randomized 30 patients to
hydroxychloroquine plus usual care, or
usual care alone,
hydroxychloroquine group did not do
better,
with a primary outcome of negative viral
testing at 7 days.
more study is needed.
Anticoagulations.
Heparin treatment has
been recommended for
COVID-19, however, its
efficacy remains to be
validated.
• 28-day mortality of heparin users were lower than
nonusers In patients with D-dimer > 3.0 ug/mL.
• Heparin treatment appears to be associated with
better prognosis in severe COVID-19 patients with
coagulopathy.
Angiotensin
II for the
treatment of
COVID-19-
related
vasodilatory
shock.
This is a perspective.
exogenous AngII might be
very helpful in treating
COVID-19 patients shock.
Clinical trials.
Treatment of 5 critically ill pts with COVID-19 with convalescent plasma.
JAMA
• 5 Donors
• lab-confirmed SARS-CoV-2 positive
• turned negative
• asymptomatic for at least 10 days
• high levels of SARS-CoV-2-specific
antibodies.
• Recipients
• lab-confirmed COVID-19,
• severe PNA with rapid progression
• and P:F <300,
• on vent.
The authors say that three patients had no detectable virus by day 3
Convalescent sera.
SMALL, UNCONTROLLED
STUDY
MAY AT LEAST BE
SAFE/REASONABLE
MORE STUDIES ARE
NEEDED
Coronavirus
polymerase
inhibition with
remdesivir
Covid 19 (1)
Covid 19 (1)
Covid 19 (1)
Covid 19 (1)
Covid 19 (1)
Covid 19 (1)
Covid 19 (1)

Covid 19 (1)

  • 1.
    Covid-19 pandemic Islam M. Ibrahim,M.D., FACP, FCCP. Pulmonary and critical care department, University of California San Diego, USA.
  • 2.
    • United StatesUnitedStates • Confirmed 587,337 • Recovered 44,207 • Deaths 23,649 • WorldwideWorldwide • Confirmed 1,920,918 • Recovered 453,289 • Deaths 119,686
  • 7.
  • 8.
    8 COVID-19 Surge CapacityPlan April 1, 2020 Dr. Jess Mandel | Chief, Division of Pulmonary, Critical Care and Sleep Medicine Mobe Montesa | Nursing Director, Cardiovascular Services Leah Adrid | Asst. Director of Operations, Capacity Management & Pt. Flow Jarrod McDonald | Assoc. Director, Health System Innovation & Transformation
  • 9.
    Anticipated Critical CareBed Need (Worst Case) - 1 2 2 4 6 8 12 18 27 39 58 84 121 171 236 316 405 492 561 596 588 542 473 393 317 250 194 149 114 87 66 51 38 29 22 17 13 10 8 6- 1 1 1 2 3 4 6 9 13 20 29 42 60 85 118 158 203 246 281 298 294 271 236 197 159 125 97 75 57 44 33 25 19 15 11 9 7 5 4 3 - 100 200 300 400 500 600 700 3/23/2020 4/23/2020 5/23/2020 6/23/2020 7/23/2020 8/23/2020 9/23/2020 10/23/2020 11/23/2020 12/23/2020 Predicted UCSD Critical Care Census at 50% Social Distancing & 6 day* ICU LOS icu vent UCSD ICU Capacity Physically capable of increasing by 115 to 285 CC beds Portion At Risk  Send out if possible  LST Rationing / Ethics Protocol Current COVID Census Shifts entire model timeline up ~1 ¾ months Source: U Penn COVID Model *Improvements in care aim to reduce LOS
  • 10.
    Key Deliverables: • Validateoutstanding non-traditional areas for overflow • Determine if non-traditional areas meet structural and regulatory requirements (O2, Gas, Electric, etc.) Key Deliverables: • Determine potential pool and number of staff from non-inpatient areas (e.g. JMC PACU, Hillcrest PACU, GI, Cath lab, EP) • Determine total number of nursing, physician & RT staff by level of care • Create RN staffing model when ratios can no longer be maintained. Key Deliverables: • Create an educational plan for educational needs and structured format (e.g. Social Distancing, Online format, Hands on, Shadowing/floating options) • Create a content List of Gaps for each unit, level of care, and floating needs • Work with the staffing plan to take determine staff that need education Key Deliverables: • Supply & equipment gap analysis, prioritized by surge phase • Process for getting the units necessary supplies/equipment • Implement appropriate Modifications/EPIC/Pyxis access real time Non Traditional Overflow Unit Readiness Education Staffing Physician & RN/RT Taskforce Deliverables in Progress
  • 11.
    COVID Physician Staffing(Non-Critical Care) Medical Staff Physician Surge Staffing Request  Identifies providers with board certifications and/or ability to provide Critical Care, Emergency Medicine & Hospital Medicine care  Highlights potential risk factors (>65, existing comorbidities, etc.)  Captures contact information
  • 12.
    6 IMU RNs BedsideRN ICU Model #1 < 250 ventilators (Utilizes IMU RNs in ICU) Each Pod 1 ICU RN 2 IMU RN .7 RT 5 patients All 1:1 patients in ICU will be screened for acuity and paired based off need (IABP, Impellas, Tandems, CRRT, CABG/VALVE, PTE). True 1:1 patients will remain 1:1, and additional ICU RNs will be added. Based of 330 ICU patients: Core group: 66 ICU RNs needed per shift + 1:1 132 IMU RNs 33 RTs Patient ratio will reduce once we exceed 250 ventilators (see model #2) This model will be adjusted to each unit’s physical space **If available COVID Coordinator- stocks and monitors PPE. RN/ > 1 PCCM team .3 Pharmacy 1 Charge RN (ICU preferred)** 1 COVID Coordinator** 3 ICU RNs 2 RTs* 6 IMU RNs 15 patients 22 additional ICU RN 22 additional non ICU RNs 22 CCP, MA or LVN **If additional staff are available deploy based on acuity Pyramid 1 CCP, MA or LVN**
  • 13.
    6 IMU RNs EachPod 1 ICU RN 2 IMU RN .5 RT 5 patients All 1:1 patients in ICU will be screened for acuity and paired based off need (IABP, Impellas, Tandems, CRRT, CABG/VALVE, PTE). True 1:1 patients will remain 1:1, and additional ICU RNs will be added. Based of 330 ICU patients: Core group: 66 ICU RNs needed + 1:1 99 IMU RNs 33 RTs RT ratio will reduce once we exceed 250 ventilators (see model #2) This model will be adjusted to each unit’s physical space **If available COVID Coordinator- stocks and monitors PPE. RN or > 1 PCCM team 1 Charge RN (ICU preferred)** 1 COVID Coordinator** 2 ICU RNs 1 RTs* 3 IMU RNs 10 patients Bedside RN ICU Model #2 > 250 ventilators 33 additional ICU RN 33 additional non ICU RNs 33 CCP, MA or LVNs **Extra available staff (including students) deploy based on acuity Pyramid 1 CCP, MA, or LVN** Have the capacity to run ~330 – 400 COVID Critical Care beds total
  • 14.
  • 15.
  • 16.
    Serology. immunoassay kit helpsto identify total immunoglobulin, including IgG, IgM, and IgA,
  • 17.
    Laboratory diagnosis Indications fortesting ICU patients for SARS CoV-2 • every critically ill patient arriving with respiratory infection should be considered potentially infected with SARS-CoV-2. • (RT-PCR) is the gold standard for similar viral infections, • extended incubation period poses diagnostic challenges • viral shedding prior to the onset of symptoms. European Society of Intensive Care Medicine and the Society of Critical Care Medicine 2020
  • 18.
    Symptoms. FEVER (TEMPERATURE > 99DEGREES FAHRENHEIT) ■ NEW COUGH ■ NEW SHORTNESS OF BREATH
  • 19.
  • 24.
  • 26.
    High Flow NasalCannula chest.2020.03.043 HVNI therapy can be substantially slowed using a surgical facemask in place increasing flow rate if the patient is displaying increased work of breathing. precautions must considered while managing patients on HVNI
  • 28.
  • 29.
  • 30.
  • 31.
    Joint Statement onMultiple Patients Per Ventilator March 26, 2020 12:00 p.m. The Society of Critical Care Medicine (SCCM), American Association for Respiratory Care (AARC), American Society of Anesthesiologists (ASA), Anesthesia Patient Safety Foundation (ASPF), American Association of Critical-Care Nurses (AACN), American College of Chest Physicians (CHEST)
  • 32.
    Reasons include: Volumes wouldgo to the most compliant lung segments. • PEEP would be impossible to manage. • measuring pulmonary mechanics would be challenging, if not impossible. • Alarm monitoring and management would not be feasible. • Individualized management for clinical improvement or deterioration would be impossible. • In the case of a cardiac arrest, ventilation to all patients would need to be • Additional external monitoring would be required. • patients deteriorate and recover at different rates, • The greatest risks occur with sudden deterioration of a single patient (e.g., pneumothorax, kinked endotracheal tube), with the balance of ventilation distributed to the other patients.
  • 33.
    Nonsedation or light sedationin critically ill vented patients. •Daily sedation breaks •fewer ICU days •fewer days on the vent.
  • 34.
    ECMO for COVID-19Patients with Severe Cardiopulmonary Failure
  • 35.
    ECMO • should beoffered to patients with a good prognosis • advanced age, multiple co-morbidities, or multiple organ failure • observing no lung or cardiac recovery after approximately 21 days* on ECMO can be considered futile
  • 36.
  • 37.
    Surviving Sepsis Campaign: Guidelineson the Management of Critically Ill Adults with Coronavirus Disease 2019 (COVID-19)
  • 39.
  • 40.
  • 48.
    American Thoracic Society‐ledInternational Task Force
  • 51.
    Management of bronchialasthma with COVID-19 • continue all inhaled medication, including inhaled corticosteroids, • acute asthma attacks / short course of oral corticosteroids to prevent serious consequences. • long-term treatment with (OCS) should be continued in the lowest possible dose • Biologic therapies should be used in severe asthma patients who qualify • Nebulisers should,be avoided / increased risk of disseminating COVID-19 • (pMDI) via a spacer is the preferred treatment • allergic rhinitis should continue to take their nasal corticosteroids, • Routine spirometry testing should be suspended
  • 55.
  • 56.
  • 57.
  • 58.
    Hydroxychloroquine sulfate forCOVID-19. studies are all small randomized 30 patients to hydroxychloroquine plus usual care, or usual care alone, hydroxychloroquine group did not do better, with a primary outcome of negative viral testing at 7 days. more study is needed.
  • 62.
    Anticoagulations. Heparin treatment has beenrecommended for COVID-19, however, its efficacy remains to be validated. • 28-day mortality of heparin users were lower than nonusers In patients with D-dimer > 3.0 ug/mL. • Heparin treatment appears to be associated with better prognosis in severe COVID-19 patients with coagulopathy.
  • 63.
    Angiotensin II for the treatmentof COVID-19- related vasodilatory shock. This is a perspective. exogenous AngII might be very helpful in treating COVID-19 patients shock.
  • 64.
  • 65.
    Treatment of 5critically ill pts with COVID-19 with convalescent plasma. JAMA • 5 Donors • lab-confirmed SARS-CoV-2 positive • turned negative • asymptomatic for at least 10 days • high levels of SARS-CoV-2-specific antibodies. • Recipients • lab-confirmed COVID-19, • severe PNA with rapid progression • and P:F <300, • on vent. The authors say that three patients had no detectable virus by day 3
  • 69.
    Convalescent sera. SMALL, UNCONTROLLED STUDY MAYAT LEAST BE SAFE/REASONABLE MORE STUDIES ARE NEEDED
  • 79.