Imaging of congenital heart diseases
DR.RIYADH W AL ESAWI
DMRD, MSc, PhD
Introduction
• The heart is the first organ to form and become functional ,
emphasizing the importance of transport of material to and from
the developing infant. It originates about day 18 or 19 from the
mesoderm and begins beating and pumping blood about day 21 or
22. It forms from the cardiogenic region near the head and is visible
as a prominent heart bulge on the surface of the embryo. Originally,
it consists of a pair of strands called cardiogenic cords that quickly
form a hollow lumen and are referred to as endocardial tubes.
• These then fuse into a single heart tube and differentiate into five
parts, the truncus arteriosus, bulbus cordis, primitive
ventricle, primitive atrium, and sinus venosus, starting about
day 22. The primitive heart begins to form an S shape within the
pericardium between days 23 and 28. The internal septa begin to
form about day 28, separating the heart into the atria and
ventricles, although the foramen ovale persists until shortly after
birth. Between weeks five and eight, the atrioventricular valves
form. The semilunar valves form between weeks five and nine.
CONGENITAL HEART DISEASE
• Definition:
• Congenital heart diseases are structural or functional circulation
system anomalies which provide clinical symptoms at birth or
in other life periods.
MAIN CATEGORIES OF CONGENIAL HEART
DISEASES
1.Diseases with left-to-right shunt.
2.Diseases with prevailing right-to-left shunt.
3. Valves stenosis and valves or ventricules hypoplasia.
4.Anomalies of great vessels.
5. Position anomalies.
6. Other congenital syndromes.
Another division:
Cyanotic HD with decreased pulmonary flow
• Tetralogy of Fallot (ToF), pulmonary atresia with/without ventricular septum
defect (PA + VSD), tricuspid atresia (TA), Ebstein anomaly.
with increased pulmonary flow
• Transposition of great arteries (TGA), common ventricle (CV), anomalous
pulmonary venous connection (PAPVC, TAPVC) .
with pulmonary stasis
• TAPVC with pulmonary veins stenosis, cor triatriatum, mitral stenosis
• Another division:
Non cyanotic HD with pulmonary vein stasis
Critical aortic coarctation, mitral stenosis, pulmonary veins’ stenosis, hypoplasia
of the left heart syndrome (HLHS)
with increased pulmonary flow
Ventricle septum defect (VSD), patent ductus arteriosus (PDA), atrial septum
defect (ASD), atrio-ventricular septum defect („common canal” – AVSD), truncus
arteriosus comunis (TAC), aorto-pulmonary window (A-P W)
• Another division:
Non cyanotic HD with normal pulmonary flow
Aortic stenosis (AS), coarctation of aorta (CoA), pulmonary stenosis (PS),
vascular ring, corrected TGA
Congenital Heart Disease
About 80% of all congenital heart diseases are following eight:
ASD, VSD, PDA, AS, PS, CoA, ToF, TGA,
Protocols of the examination in CT and MR:
- general anesthesia in children
- very good venous access (central)
- maximum short time
- maximum temporal and spatial resolution
- optimalization of the parameters
MR TECHNIQUES
For morphological information
- „Black blood” spin-echo (SE)
- „White blood” fast gradient echo, steady-state free precession (SSFP)
- Contrast enhansed angiography MR
For functional information
-Cine imaging fast gradient echo
-Velocity-encoded cine (VEC) MRI
ECG gated (non-gated SSFP in children), slice thickness 5 mm (3 mm), gap
between slices 1 mm, respiratory compensation, gadolinium-enhanced for
3D
INDICATIONS FOR MR IN CHD
1.Complex CHD
2. Different anomalies of aorta
3. Post-operative patient
The first choice in older children and adults
PROTOCOL FOR CT
- flow?
• from 0.5 ml/sec (newborn)
- delay?
• test bolus!
- ml of non-ionic contrast?
• up to 3 ml/kg b.w. in newborn
• up to 2 ml/kg b.w. the rest
Test-bolus to determine correct timing of contrast enhancement (left)
and region of interest placement in the ascending aorta (right).
Sequential Analysis
1: Atrial Situs.
2: Ventricular Morphology.
3: Ventriculoarterial connection.
4: Other abnormalities.
Anatomical considerations
ATRIAL SITUS
LEFT ATRIUM
Receives the 4 pulmonary veins
ANATOMICAL CONSIDERATIONS
Atrial Situs
Right Atrium
Receives:
• SVC
• IVC
• Coronary Sinus
ANATOMICAL CONSIDERATIONS
Ventricular Morphology
Right Ventricle
-VSD
-ASD
-ECD
-PDA
-Aorto-pulmonary window
-PAPVC
Acyanotic heart diseases with increased pulmonary vascularity
1- ASD
ASDs are seen in 1 per 1,500 live births and account for
30–40 % of all adult congenital heart disease
There are five types of ASD according to their
location within the septum:
1-Secundum ASD. 60-90% of all ASDs. usually an
isolated abnormality.
2-Primum ASD. 5-20% ...
3-Sinus venosus. 5% ...
4-Coronary sinus type ASD ("unroofed coronary
sinus") <1%
5-common atrium, combination of two or more defects.
ASD associated with;
Down syndrome –ASD primum
Holt Oram syndrome ASD secondum
Lautembacher syndrome –ASD+ Mitral stenosis
ASD is more common in females, small defect usually
asymptomatic presented in 4th and 5th decades.
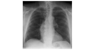
Chest x -ray findings
• Cardiomegaly RT.side.
• Normal left heart
• RA enlargement.
• RV enlargement.
• Full pulmonary conus.
• Increased pulmonary vascular
marking, Plethoric lung fields
ASD
Panels (a) and (b) Large secondum ASD (black arrowheads) associated with right atrial (panels a and b)
and right ventricular enlargement (panel a), indicating volume overload. Note a good tissue rim, exceeding
3 mm in all directions (black arrows) in both panels.
Marilyn J. Siegel2, Tomasz Miszalski-Jamka3, 4 and Robert Pelberg1
ASD
SECONDUM
LARGE ASD SECONDUM
Primum atrial septal defect (ASD). An axial CT shows
the ASD (black arrowhead) located between the level of
the fossa ovalis and atrioventricular valves. This defect
occurs in the lower part of the atrial septum close to the
ventricular inlet valves.
ASD PRIMUM
Marilyn J. Siegel2, Tomasz Miszalski-Jamka3, 4 and Robert Pelberg1
Maximum intensity projections of the sinus venosus atrial septal defect .
Here panels (a), (b), and (c) are axial views each showing 1 of the 3
anomalous pulmonary veins (black arrows, white arrows) entering the
superior vena cava (asterisk). Panel (c) illustrates the SVC straddling both
atria (black arrowhead). The persistent left-sided SVC is again noted by
the black asterisk. White asterisk superior vena cava.
Sinus Venosus ASD
Always with PAPVC
Marilyn J. Siegel2, Tomasz Miszalski-Jamka3, 4 and Robert Pelberg1
A- Axial steady-state free precession (SSFP) image of 43-year-old woman shows sinus venosus defect (straight arrow)
between superior vena cava (SVC) and left atrium (LA). Note also anomalous right upper lobe pulmonary vein (curved
arrow) opening into SVC.
B-Short-axis SSFP image of 54-year-old woman shows inferior sinus venosus defect (straight arrow) between inferior vena
cava (IVC) and left atrium (LA), with jet (curved arrow) extending from LA to IVC.
A
B
Prabhakar Rajiah1 and Jeffrey P. Kanne2October 2011, Volume 197, Number 4
UNROOFED ASD
Represents an unroofed coronary sinus atrial septal defect in a 33 year old patient with repair in childhood who now presents
with right sided heart failure and evidence of an intracardiac shunt. Panel (a) demonstrates a persistent left sided superior vena
cava entering the coronary sinus. A calcified septal closure patch which does not cover the entire defect is also demonstrted
(arrow). Panel (b) demonstrates an intra-atrial communication via the unroofed coronary sinus.
Marilyn J. Siegel2, Tomasz Miszalski-Jamka3, 4 and Robert Pelberg1
Axial and sagittal SSFP images show complete unroofing of coronary
sinus (arrow) and direct communication between it and left atrium
(LA). Prabhakar Rajiah1 and Jeffrey P. Kanne2October 2011, Volume 197, Number 4
COMMON ATRIUM
Common atrium (confluence of two or more
types of ASD defects) is characterized by
complete absence of atrial septum and occurs in
association with other complex defects,
frequently heterotaxy syndrome. It is very rarely
seen in the adult population .
Marilyn J. Siegel2, Tomasz Miszalski-Jamka3, 4 and Robert Pelberg1
PATENT FORAMEN OVALE
Patent foramen ovale (PFO) is the most common form of interatrial
communication. It is caused by a failure of fusion of the flap valve of
the fossa ovalis. The prevalence of PFO declines progressively with
age (34 % up to age 30 years, 25 % for age 30–80 years, and 20 %
older than 80 years).
Two types of PFO exist. The first is the incompetent valve type and
results in right-to-left shunting only when right atrial pressure exceeds
that of the left atrium such as during a Valsalva maneuver.
The second type is called the stretched type and is due to high left
atrial pressure (such as seen in left heart failure) which stretches the
fossa ovalis flap valve to the point of incompetence, resulting in a left-
to-right shunt. While a single defect is most common in PFO, multiple
fenestrations may also be seen.
Marilyn J. Siegel2, Tomasz Miszalski-Jamka3, 4 and Robert Pelberg1
A- Four-chamber steady-state free precession (SSFP) image of 61-year-old woman shows patent foramen ovale
(arrow) in midportion of interatrial septum.
B- SSFP image of 37-year-old woman shows small patent foramen ovale (straight arrow) with shunting of blood
(curved arrow) from left atrium (LA) to right atrium (RA).
A B
Prabhakar Rajiah1 and Jeffrey P. Kanne2October 2011, Volume 197, Number 4
ATRIAL SEPTALANEURYSM
Atrial septal aneurysm (ASA) is associated with a PFO in
30 % of the cases . ASA is defined as an abnormal bulging
of the interatrial septum with an excursion of at least 10
mm and a base span of at least 15 mm.
This is thought to be due to redundancy of the valve of the
fossa ovalis and/or excessive mobility of the atrial septum
with ballooning into the right or left atrial chamber. ASA
may be associated with mitral valve prolapse and atrial
arrhythmias.
Marilyn J. Siegel2, Tomasz Miszalski-Jamka3, 4 and Robert Pelberg1
Four-chamber steady-state free
precession (SSFP) image of 42-
year-old woman shows normal
appearance of atrial septal occluder
device (arrow). No residual shunt is
seen.
Prabhakar Rajiah1 and Jeffrey P. Kanne2October 2011, Volume 197, Number 4
2-VSD
•VSD is the overall second most common congenital cardiac
disease (20%) and is often associated with other congenital
cardiac anomalies, such as tetralogy of Fallot, transposition of
the great arteries, atrioventricular canal, and a single ventricle.
VSD may also be acquired after acute myocardial infarction,
chest trauma, cardiac interventions, or endocarditis.
VSDsmay be classified into four main categories according to their location and
the appearance of the margins of defects.
Type I defects are also known as outlet defects. 5% of all VSDs and are located in the
outlet portions of the left and right ventricles. The superior edge of the VSD is the
joined annulus of the aortic and pulmonary valves. Because the aortic and pulmonary
valves are in fibrous continuity, this type of defect may also be referred to as a supra-
cristal, sub-pulmonary, infundibular, or conoseptal defect.
Type II defects are also called infra- cristal, subaortic, perimembranous, or
paramembranous defects. These defects are the most common type of VSD,
constituting 75% of all cases. They occur around the membranous septum and are
associated with a muscular defect. The defect is just inferior to the aortic valve, and
the annulus of the tricuspid valve contributes to the rim of the defect.
• Type III defects, also called atrioventricular (AV) canal, AV septal, or
inlet septal defects, are located in the posterior region of the septum
beneath the septal leaflet of the tricuspid valve. These defects account
for 10% of all VSD types.
• Type IV is muscular defect account for 10% of all VSDs . They may
be single, but are commonly multiple. the multiple defects occur in the
apical trabecular septum.
Hemodynamics:
LVRVPALALV
Enlarged RV, LV, LA and PA
In case of Eisenmenger syndrome
there is right ventricular to left
ventricular flow.
Clinical:
Smallasymptomatic
Largecongestive heart faliure by 2-3 months
VSD
Chest X ray finding;
Small VSD, normal chest Xray.
Larger VSDs may show cardiomegaly
(particularly left atrial enlargement
although the right and left ventricle can
also be enlarged). A large VSD may also
show features of pulmonary arterial
hypertension, pulmonary edema, pleural
effusion and increased pulmonary
vascular markings
VSD
Chest examination in a 26-year-old man with a muscular VSD. A, Posteroanterior examination shows dilation of the main
pulmonary artery (MP) and hilar right (1 arrow) and left (2 arrow) pulmonary arteries. The upper (3 arrow) and lower (4
arrow) lobe pulmonary arteries are sharp and dilated as well, indicating shunt vascularity. Narrowing of the superior
mediastinum (5 arrow) and displacement of the heart toward the left indicate right heart volume loading. B, Lateral
examination shows filling of the retrosternal space, indicating right heart and main pulmonary artery enlargement. The left
bronchus (1 arrow) is displaced, and the inferior retrocardiac space is filled, indicating left atrial and ventricular
enlargement.
6-year-old boy with a membranous VSD. A, Posteroanterior examination showing typical signs
of shunt vascularity and cardiac enlargement. Right heart enlargement is indicated by the
leftward displacement of the heart from the midline. B, Lateral examination shows filling of the
retrosternal clear space (indicating right heart and pulmonary artery enlargement), and filling of
the superior and inferior retrocardiac space, indicating left atrial and left ventricular
enlargement.
VSD
1- increased vascularity
2- LA enlargement
3-LV enlargement
4-RV enlargement1 2
3
4
Posteroanterior chest examination in a 38-year-old man with an unoperated
membranous VSD.
TTE in subcostal four-chamber view shows a membranous VSD (arrow)
Small defect  Expectant (closes spontaneously)
Large defect  Septal occluding device
A- FETAL SUBAORTIC VSD WITH OVER-RIDING -- B --MUSCULAR VSD
A B
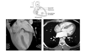
Patent ductus arteriosus or arteriosum (PDA) is a
persistent patency of the ductus arteriosus, a normal
connection of the fetal circulation between the aorta and the
pulmonary arterial system that develops from the 6th aortic
arch.
Epidemiology
PDAs occur in ~1 in 2000 full-term neonates with a F:M of
2:1
3-PDA
Normally closes functionally at 48 hrs &
anatomically at 4 wks
Hemodynamics:
AortaPALALV
LA, LV, Aorta & PA are enlarged
Associations:
Pulmonary atresia, COA
Highest incidence in premature infants with RDS
Clinical:
F > M
Small  asymptomatic; Large  CHF by 2-3
months
Treatment:Indomethacin, Catheter closure or
PDA
1
1-increased vascularity
2-LA enlargement
3-LV enlargement
4-RV normal
4
3
2
Patent ductus arteriosus. Volume render CT and Sagittal steady-state free
precession image of 32-year-old man shows patent ductus arteriosus
(straight arrow) connecting aortic isthmus with main pulmonary artery
(PA), with high-velocity jet (curved arrow) present throughout cardiac
Prabhakar Rajiah1 and Jeffrey P. Kanne2October 2011, Volume 197, Number 4
PDA with jet flow from aorta to PA
Sagittal coronal
PDA
PDA CT ANGIO
4-Aorto-pulmonary window
• An aortopulmonary window defect is an abnormal
communication between the ascending aorta and main
pulmonary artery. The presence of both aortic and pulmonic
valves and of an intact ventricular septum distinguishes it
from truncus arteriosus.
• The pulmonary artery and left heart chambers are typically
enlarged. Other associated anomalies include VSD, aortic
coarctation, and patent ductus arteriosus. Aortopulmonary
window defect requires surgical repair during infancy.
aortopulmonary window
defect. Axial SSFP image of
27-year-old woman shows
communication (arrow)
between aorta (AO) and main
pulmonary artery (PA)
consistent with
aortopulmonary window
defect.
Prabhakar Rajiah1 and Jeffrey P. Kanne2October 2011, Volume 197, Number 4
Aortopulmonary shunts.A Line
diagram illustrates various
surgically created
aortopulmonary shunts.
Prabhakar Rajiah1 and Jeffrey P. Kanne2October 2011, Volume 197, Number 4
Coronal MR angiography image of 21-
year-old man after surgical repair of
tetralogy of Fallot shows absence of right
subclavian artery (arrowheads), which
was taken down for Blalock-Taussig
shunt. Note normal left subclavian artery
(arrow).
Prabhakar Rajiah1 and Jeffrey P. Kanne2October 2011, Volume 197, Number 4
5-Endocardial Cushion Defect, AVSD, AVC
In an atrioventricular defect (i.e., an endocardial cushion defect),
defects of the atrial ostium primum and ventricular inlet septum are
associated with a common atrioventricular valve and abnormal
arrangement of the valve leaflets. The various types of atrioventricular
defects include a complete type (ostium primum ASD, inlet VSD, and
cleft mitral and tricuspid valves); a partial type (ostium primum ASD,
no interventricular shunt, normal atrioventricular valves); and a
common atrium . Direct shunting from the left ventricle into the right
atrium may develop. In the most severe form, all four chambers
communicate causing left-to-right and right-to-left shunting
Gerbode defect
Gerbode defect
A Gerbode defect usually congenital and could be acquired, the acquired defects
are seen below the level of insertion of the tricuspid valve in the interventricular
septum and are caused by surgery, infective endocarditis, or myocardial
infarction .
• Hemodynamics:
A-V septal defect
RA, RV, LA, LV & PA are enlarged, Not Aorta
• Radiographic features:
CXR: cardiomegaly, enlarged PA
Angiography: goose-neck deformity of LVOT on RAO view
• Associations:
Down $ (40%)
• Clinical:
congestive heart faliure by 2-3 months
• Treatment:
Surgical closure before 2 years
Increased flow, Global cardiac enlargement right > left
AVSD
AVSD. Axial SSFP image of 2-year-
old girl shows atrioventricular septal
defect with ostium primum atrial
septal defect (arrowhead) and inlet
ventricular septal defect (arrow).
Prabhakar Rajiah1 and Jeffrey P. Kanne2October 2011, Volume 197, Number 4
Gooseneck deformity
• The gooseneck-shaped deformity in endocardial cushion defect is
caused by a deficiency of both the conus and sinus portions of the
Interventricular septum, with narrowing of the left ventricular outflow
tract. The concavity of the interventricular septum below the mitral
valve, along with the elongation and narrowing of the left ventricular
outflow tract, produces a characteristic shape that has been compared
to a sitting goose with an elongated neck on the anteroposterior
projection in left ventricular angiography.
Gooseneck deformity
Endocardial cushion defects,
which account for 4% of all cases
of congenital heart disease,
6-Anomalous pulmonary venous return
• In total anomalous pulmonary venous return (TAPVR) all of
the pulmonary veins drain into the right atrium or a systemic
venous channel at supracardiac, cardiac, or infra-
diaphragmatic levels. Connections may rarely exist at more
than one level. The supracardiac type most commonly
involves a vertical vein that connects to the brachiocephalic
vein. In the cardiac type, the anomalous vein drains directly
into the right atrium or coronary sinus. The infra-
diaphragmatic type typically drains into the portal vein.
Venous obstruction may be present.
• In PAPVR, one to three pulmonary veins drain into the
systemic venous circulation, either directly into the right
atrium or into systemic veins, resulting in a partial left-to-
right shunt. PAPVR is usually an incidental finding occurring
in 0.7% of the population .
• It most commonly affects the left upper lobe (47%), draining
into the left brachiocephalic vein , followed by the right upper
lobe (38%), right lower lobe (13%), and left lower lobe (2%)
.
• PAPVR is bilateral in 4% of patients. A sinus venosus ASD
occurs in 42% of people with PAPVR of the right upper lobe .
MRI can easily identify and quantify a sinus venosus ASD
and associated anomalous pulmonary veins that are otherwise
occult on echocardiography. Transverse plane acquisitions
and 3D MRA or 3D whole-heart SSFP sequences can depict
these lesions. Flow into the right atrium can be confirmed and
quantified with velocity-encoded phase-contrast MRI .
• Scimitar syndrome (i.e., hypo genetic lung or venolobar
syndrome) is characterized by anomalous drainage of part of
or of the entire right lung into the IVC, coronary sinus, right
atrium, azygos vein, portal vein, or hepatic vein in addition to
hypoplasia of the right lung and right pulmonary artery. The
anomalous pulmonary vein curves medially toward the
diaphragm and the IVC, giving the characteristic appearance
of a scimitar .
PAPVC
• Hemodynamics:
- Some (not all) pulmonary veins drain into RA
or systemic veins
- RA, RV & PA are enlarged
• Types:
Supracardiac (SVC, Azygous vein) resemble
Cardiac (RA, coronary sinus) ASD
Infracardiac (IVC, portal vein) Scimitar $
• Associations:
ASD (sinus venosus defect)
Hypogenetic lung $ -- Scimitar $
Three-dimensional volume-rendered
image of 28-year-old woman shows
anomalous drainage of right superior
pulmonary vein (straight arrow) into
superior vena cava (curved arrow). RA =
right atrium.
Prabhakar Rajiah1 and Jeffrey P. Kanne2October 2011, Volume 197, Number 4
Axial steady-state free precession
image of 43-year-old woman shows
vertical vein (straight arrow) that
drains left upper lobe into left
brachiocephalic vein (curved
arrow).
Prabhakar Rajiah1 and Jeffrey P. Kanne2October 2011, Volume 197, Number 4
• Curved vessel at the right cardiophrenic angel. (curved tubular
structure running parallel to the right heart).
• Hypogenic right lung.
• Increased pulmonary vascularity.
• Radiologically similar to ASD.
SCIMITAR SYNDROME
Scimitar syndrome. Chest x ray, CT MIP, and MRA
• Valvular pulmonary stenosis
• Peripheral pulmonary stenosis
• Aortic stenosis
• Coarctation of aorta
• Interruption of aortic arch
ACYANOTIC CONGRNITAL HEART DISEASES WITH NORMAL
VASCULARITY
Pulmonic Stenosis
• Types:
Vavular (dome-shaped, dysplastic  Noonan $)
Peripheral (main PA, bifurcation, multiple peripheral)
• Hemodynamics:
Obstruction of RV outflow
RV is enlarged (hypertrophy)
Post-stenotic dilatation of Main & left PA in Valvular type
• Radiographic features:
Dilated main &/or left PA, may show mural calcifications
RV hypertrophy
PULMONARY STENOSIS
Valvular pulmonary stenosis
Peripheral pulmonary stenosis
(maternal Rubella, Williams $)
PULMONARY STENOSIS
1-Thickened cusps
2-RV hypertrophy
3- Dilated main and left PA
4- Normal right PA
Pulmonary valve stenosis
AORTIC STENOSIS
• Types:
Sub-vavular
Valvular (bicuspid valve, single horseshoe-shaped valve)
Supravalvular  Williams $ (MR, AS and PS)
• Hemodynamics:
Obstruction of LV outflow
LV is enlarged (hypertrophy)
Post-stenotic dilatation of Aorta in Valvular type
• Radiographic features:
Cardiomegaly (LV hypertrophy), Dilated ascending aorta
AORTIC STENOSIS
Supra-valvular type
(hourglass deformity of ascending aorta)
COARCTATION OF AORTA
COA
Coarctation of the aorta accounts for 5%–10%
of congenital cardiac lesions and is usually sporadic.
However, it occurs with increased frequency
among patients with Turner syndrome,
20%–36% of whom are affected. Clinical manifestations vary from
congestive heart failure in infancy to hypertension with differential
pressures between the upper and lower extremities in adulthood.
COA
Two classic radiologic signs associated with aortic coarctation are
the figure-of-three sign and the reverse figure-of-three sign. The
aortic segment affected by coarctation has a shape that resembles
the number 3 on frontal chest radiographs. The reverse figure-of-
three sign, a mirror image of the number 3, is observed on the left
anterior oblique view during barium esophagography. This sign is
seen in 50%–66% of adults with aortic coarctation
Types:
Infantile type (diffuse, pre-ductal)
Adult type (localized, post or peri-ductal)
Hemodynamics:
Pre-ductal: R-L shunt via PDA or VSD
Post-ductal: L-R shunt via PDA
Collaterals to descending aorta via IMA, periscapular through intercostals
Associations:
Coarctation $: COA, PDA, VSD
Turner $, Marfan $
Bicuspid aortic valve
Circle of Willis Aneurysm
Clinical:
BP difference between arms and legs
Diffuse type: congestive heart faliure in noenates
Treatment:
Resection & anastomosis, patch angioplasty, balloon angioplasty
COARCTATION OF AORTA
• Radiographic features:
• Aortic figure 3
• Reverse figure 3 of Barium
filled esophagus
• Inferior rib notching (3rd to 8th,
>8 yrs, dt dilated intercostal
arteries)
• LV hypertrophy
COARCTATION OF AORTA
figure 3 sign
COA
Aortic Caliber change local narrowing turbulent flow
3 figure sign due to pre and post dilatation, reverse 3 sign , dilatation of arch
vessels, collateral circulations (IMA& intercostal)
JUXTA DUCTAL COA
COA
Coarctation of Aorta (COA)
MRI is the gold standard imaging modality in follow
up post operative.
Coarctation of Aorta (COA)
Inferior rib notching is absent in case of Aberrant SCA with its
origin after COA, thus no collaterals on this side…
50-80% associated with bicuspid aortic valve
I AA
According to the Celoria-Patton classification of IAA ;
type A is defined as interruption distal to the left subclavian artery (42%
of cases);
type B, the interruption is between the left common carotid artery and
subclavian artery (53%).
type C, the interrupted segment is between the innominate artery and
left common carotid artery (4%).
• Occluded Aortic segment
• Mostly at the arch
• Associated with VSD, PDA, DORV
• Radiographic features:
• No aortic knob, large PA
• Neonatal pulmonary edema
Interrupted Aortic Arch
IAA type 1
• 30 Y ,F,HYPERTENSIVE
Just a kink figure 3
No mediastinal widening
No rib notching
No functional stenosis
High riding aortic arch
No collateral
50-80% bicuspid aortic valve
Buckle in descending aorta
Pseudo coarctation of aorta
•‫خير‬ ‫بالف‬ ‫وانتم‬ ‫عام‬ ‫وكل‬ ‫مبارك‬ ‫عيدكم‬
• ‫والسداد‬ ‫بالنجاح‬ ‫لكم‬ ‫تمنياتنا‬

Congenital heart diseases2020

  • 1.
    Imaging of congenitalheart diseases DR.RIYADH W AL ESAWI DMRD, MSc, PhD
  • 2.
    Introduction • The heartis the first organ to form and become functional , emphasizing the importance of transport of material to and from the developing infant. It originates about day 18 or 19 from the mesoderm and begins beating and pumping blood about day 21 or 22. It forms from the cardiogenic region near the head and is visible as a prominent heart bulge on the surface of the embryo. Originally, it consists of a pair of strands called cardiogenic cords that quickly form a hollow lumen and are referred to as endocardial tubes.
  • 3.
    • These thenfuse into a single heart tube and differentiate into five parts, the truncus arteriosus, bulbus cordis, primitive ventricle, primitive atrium, and sinus venosus, starting about day 22. The primitive heart begins to form an S shape within the pericardium between days 23 and 28. The internal septa begin to form about day 28, separating the heart into the atria and ventricles, although the foramen ovale persists until shortly after birth. Between weeks five and eight, the atrioventricular valves form. The semilunar valves form between weeks five and nine.
  • 4.
    CONGENITAL HEART DISEASE •Definition: • Congenital heart diseases are structural or functional circulation system anomalies which provide clinical symptoms at birth or in other life periods.
  • 5.
    MAIN CATEGORIES OFCONGENIAL HEART DISEASES 1.Diseases with left-to-right shunt. 2.Diseases with prevailing right-to-left shunt. 3. Valves stenosis and valves or ventricules hypoplasia. 4.Anomalies of great vessels. 5. Position anomalies. 6. Other congenital syndromes.
  • 6.
    Another division: Cyanotic HDwith decreased pulmonary flow • Tetralogy of Fallot (ToF), pulmonary atresia with/without ventricular septum defect (PA + VSD), tricuspid atresia (TA), Ebstein anomaly. with increased pulmonary flow • Transposition of great arteries (TGA), common ventricle (CV), anomalous pulmonary venous connection (PAPVC, TAPVC) . with pulmonary stasis • TAPVC with pulmonary veins stenosis, cor triatriatum, mitral stenosis
  • 7.
    • Another division: Noncyanotic HD with pulmonary vein stasis Critical aortic coarctation, mitral stenosis, pulmonary veins’ stenosis, hypoplasia of the left heart syndrome (HLHS) with increased pulmonary flow Ventricle septum defect (VSD), patent ductus arteriosus (PDA), atrial septum defect (ASD), atrio-ventricular septum defect („common canal” – AVSD), truncus arteriosus comunis (TAC), aorto-pulmonary window (A-P W)
  • 8.
    • Another division: Noncyanotic HD with normal pulmonary flow Aortic stenosis (AS), coarctation of aorta (CoA), pulmonary stenosis (PS), vascular ring, corrected TGA
  • 9.
  • 10.
    About 80% ofall congenital heart diseases are following eight: ASD, VSD, PDA, AS, PS, CoA, ToF, TGA,
  • 11.
    Protocols of theexamination in CT and MR: - general anesthesia in children - very good venous access (central) - maximum short time - maximum temporal and spatial resolution - optimalization of the parameters
  • 12.
    MR TECHNIQUES For morphologicalinformation - „Black blood” spin-echo (SE) - „White blood” fast gradient echo, steady-state free precession (SSFP) - Contrast enhansed angiography MR
  • 13.
    For functional information -Cineimaging fast gradient echo -Velocity-encoded cine (VEC) MRI ECG gated (non-gated SSFP in children), slice thickness 5 mm (3 mm), gap between slices 1 mm, respiratory compensation, gadolinium-enhanced for 3D
  • 14.
    INDICATIONS FOR MRIN CHD 1.Complex CHD 2. Different anomalies of aorta 3. Post-operative patient The first choice in older children and adults
  • 15.
    PROTOCOL FOR CT -flow? • from 0.5 ml/sec (newborn) - delay? • test bolus! - ml of non-ionic contrast? • up to 3 ml/kg b.w. in newborn • up to 2 ml/kg b.w. the rest
  • 16.
    Test-bolus to determinecorrect timing of contrast enhancement (left) and region of interest placement in the ascending aorta (right).
  • 18.
    Sequential Analysis 1: AtrialSitus. 2: Ventricular Morphology. 3: Ventriculoarterial connection. 4: Other abnormalities. Anatomical considerations
  • 19.
    ATRIAL SITUS LEFT ATRIUM Receivesthe 4 pulmonary veins ANATOMICAL CONSIDERATIONS
  • 20.
    Atrial Situs Right Atrium Receives: •SVC • IVC • Coronary Sinus ANATOMICAL CONSIDERATIONS
  • 21.
  • 22.
    -VSD -ASD -ECD -PDA -Aorto-pulmonary window -PAPVC Acyanotic heartdiseases with increased pulmonary vascularity
  • 24.
    1- ASD ASDs areseen in 1 per 1,500 live births and account for 30–40 % of all adult congenital heart disease There are five types of ASD according to their location within the septum: 1-Secundum ASD. 60-90% of all ASDs. usually an isolated abnormality. 2-Primum ASD. 5-20% ... 3-Sinus venosus. 5% ... 4-Coronary sinus type ASD ("unroofed coronary sinus") <1% 5-common atrium, combination of two or more defects.
  • 25.
    ASD associated with; Downsyndrome –ASD primum Holt Oram syndrome ASD secondum Lautembacher syndrome –ASD+ Mitral stenosis ASD is more common in females, small defect usually asymptomatic presented in 4th and 5th decades.
  • 26.
    Chest x -rayfindings • Cardiomegaly RT.side. • Normal left heart • RA enlargement. • RV enlargement. • Full pulmonary conus. • Increased pulmonary vascular marking, Plethoric lung fields
  • 27.
  • 28.
    Panels (a) and(b) Large secondum ASD (black arrowheads) associated with right atrial (panels a and b) and right ventricular enlargement (panel a), indicating volume overload. Note a good tissue rim, exceeding 3 mm in all directions (black arrows) in both panels. Marilyn J. Siegel2, Tomasz Miszalski-Jamka3, 4 and Robert Pelberg1 ASD SECONDUM
  • 29.
  • 30.
    Primum atrial septaldefect (ASD). An axial CT shows the ASD (black arrowhead) located between the level of the fossa ovalis and atrioventricular valves. This defect occurs in the lower part of the atrial septum close to the ventricular inlet valves. ASD PRIMUM Marilyn J. Siegel2, Tomasz Miszalski-Jamka3, 4 and Robert Pelberg1
  • 31.
    Maximum intensity projectionsof the sinus venosus atrial septal defect . Here panels (a), (b), and (c) are axial views each showing 1 of the 3 anomalous pulmonary veins (black arrows, white arrows) entering the superior vena cava (asterisk). Panel (c) illustrates the SVC straddling both atria (black arrowhead). The persistent left-sided SVC is again noted by the black asterisk. White asterisk superior vena cava. Sinus Venosus ASD Always with PAPVC Marilyn J. Siegel2, Tomasz Miszalski-Jamka3, 4 and Robert Pelberg1
  • 32.
    A- Axial steady-statefree precession (SSFP) image of 43-year-old woman shows sinus venosus defect (straight arrow) between superior vena cava (SVC) and left atrium (LA). Note also anomalous right upper lobe pulmonary vein (curved arrow) opening into SVC. B-Short-axis SSFP image of 54-year-old woman shows inferior sinus venosus defect (straight arrow) between inferior vena cava (IVC) and left atrium (LA), with jet (curved arrow) extending from LA to IVC. A B Prabhakar Rajiah1 and Jeffrey P. Kanne2October 2011, Volume 197, Number 4
  • 33.
    UNROOFED ASD Represents anunroofed coronary sinus atrial septal defect in a 33 year old patient with repair in childhood who now presents with right sided heart failure and evidence of an intracardiac shunt. Panel (a) demonstrates a persistent left sided superior vena cava entering the coronary sinus. A calcified septal closure patch which does not cover the entire defect is also demonstrted (arrow). Panel (b) demonstrates an intra-atrial communication via the unroofed coronary sinus. Marilyn J. Siegel2, Tomasz Miszalski-Jamka3, 4 and Robert Pelberg1
  • 34.
    Axial and sagittalSSFP images show complete unroofing of coronary sinus (arrow) and direct communication between it and left atrium (LA). Prabhakar Rajiah1 and Jeffrey P. Kanne2October 2011, Volume 197, Number 4
  • 35.
    COMMON ATRIUM Common atrium(confluence of two or more types of ASD defects) is characterized by complete absence of atrial septum and occurs in association with other complex defects, frequently heterotaxy syndrome. It is very rarely seen in the adult population . Marilyn J. Siegel2, Tomasz Miszalski-Jamka3, 4 and Robert Pelberg1
  • 36.
    PATENT FORAMEN OVALE Patentforamen ovale (PFO) is the most common form of interatrial communication. It is caused by a failure of fusion of the flap valve of the fossa ovalis. The prevalence of PFO declines progressively with age (34 % up to age 30 years, 25 % for age 30–80 years, and 20 % older than 80 years). Two types of PFO exist. The first is the incompetent valve type and results in right-to-left shunting only when right atrial pressure exceeds that of the left atrium such as during a Valsalva maneuver. The second type is called the stretched type and is due to high left atrial pressure (such as seen in left heart failure) which stretches the fossa ovalis flap valve to the point of incompetence, resulting in a left- to-right shunt. While a single defect is most common in PFO, multiple fenestrations may also be seen. Marilyn J. Siegel2, Tomasz Miszalski-Jamka3, 4 and Robert Pelberg1
  • 37.
    A- Four-chamber steady-statefree precession (SSFP) image of 61-year-old woman shows patent foramen ovale (arrow) in midportion of interatrial septum. B- SSFP image of 37-year-old woman shows small patent foramen ovale (straight arrow) with shunting of blood (curved arrow) from left atrium (LA) to right atrium (RA). A B Prabhakar Rajiah1 and Jeffrey P. Kanne2October 2011, Volume 197, Number 4
  • 38.
    ATRIAL SEPTALANEURYSM Atrial septalaneurysm (ASA) is associated with a PFO in 30 % of the cases . ASA is defined as an abnormal bulging of the interatrial septum with an excursion of at least 10 mm and a base span of at least 15 mm. This is thought to be due to redundancy of the valve of the fossa ovalis and/or excessive mobility of the atrial septum with ballooning into the right or left atrial chamber. ASA may be associated with mitral valve prolapse and atrial arrhythmias. Marilyn J. Siegel2, Tomasz Miszalski-Jamka3, 4 and Robert Pelberg1
  • 39.
    Four-chamber steady-state free precession(SSFP) image of 42- year-old woman shows normal appearance of atrial septal occluder device (arrow). No residual shunt is seen. Prabhakar Rajiah1 and Jeffrey P. Kanne2October 2011, Volume 197, Number 4
  • 40.
    2-VSD •VSD is theoverall second most common congenital cardiac disease (20%) and is often associated with other congenital cardiac anomalies, such as tetralogy of Fallot, transposition of the great arteries, atrioventricular canal, and a single ventricle. VSD may also be acquired after acute myocardial infarction, chest trauma, cardiac interventions, or endocarditis.
  • 41.
    VSDsmay be classifiedinto four main categories according to their location and the appearance of the margins of defects. Type I defects are also known as outlet defects. 5% of all VSDs and are located in the outlet portions of the left and right ventricles. The superior edge of the VSD is the joined annulus of the aortic and pulmonary valves. Because the aortic and pulmonary valves are in fibrous continuity, this type of defect may also be referred to as a supra- cristal, sub-pulmonary, infundibular, or conoseptal defect. Type II defects are also called infra- cristal, subaortic, perimembranous, or paramembranous defects. These defects are the most common type of VSD, constituting 75% of all cases. They occur around the membranous septum and are associated with a muscular defect. The defect is just inferior to the aortic valve, and the annulus of the tricuspid valve contributes to the rim of the defect.
  • 42.
    • Type IIIdefects, also called atrioventricular (AV) canal, AV septal, or inlet septal defects, are located in the posterior region of the septum beneath the septal leaflet of the tricuspid valve. These defects account for 10% of all VSD types. • Type IV is muscular defect account for 10% of all VSDs . They may be single, but are commonly multiple. the multiple defects occur in the apical trabecular septum.
  • 43.
    Hemodynamics: LVRVPALALV Enlarged RV, LV,LA and PA In case of Eisenmenger syndrome there is right ventricular to left ventricular flow. Clinical: Smallasymptomatic Largecongestive heart faliure by 2-3 months VSD
  • 44.
    Chest X rayfinding; Small VSD, normal chest Xray. Larger VSDs may show cardiomegaly (particularly left atrial enlargement although the right and left ventricle can also be enlarged). A large VSD may also show features of pulmonary arterial hypertension, pulmonary edema, pleural effusion and increased pulmonary vascular markings VSD
  • 45.
    Chest examination ina 26-year-old man with a muscular VSD. A, Posteroanterior examination shows dilation of the main pulmonary artery (MP) and hilar right (1 arrow) and left (2 arrow) pulmonary arteries. The upper (3 arrow) and lower (4 arrow) lobe pulmonary arteries are sharp and dilated as well, indicating shunt vascularity. Narrowing of the superior mediastinum (5 arrow) and displacement of the heart toward the left indicate right heart volume loading. B, Lateral examination shows filling of the retrosternal space, indicating right heart and main pulmonary artery enlargement. The left bronchus (1 arrow) is displaced, and the inferior retrocardiac space is filled, indicating left atrial and ventricular enlargement.
  • 46.
    6-year-old boy witha membranous VSD. A, Posteroanterior examination showing typical signs of shunt vascularity and cardiac enlargement. Right heart enlargement is indicated by the leftward displacement of the heart from the midline. B, Lateral examination shows filling of the retrosternal clear space (indicating right heart and pulmonary artery enlargement), and filling of the superior and inferior retrocardiac space, indicating left atrial and left ventricular enlargement.
  • 47.
    VSD 1- increased vascularity 2-LA enlargement 3-LV enlargement 4-RV enlargement1 2 3 4
  • 48.
    Posteroanterior chest examinationin a 38-year-old man with an unoperated membranous VSD.
  • 49.
    TTE in subcostalfour-chamber view shows a membranous VSD (arrow)
  • 51.
    Small defect Expectant (closes spontaneously) Large defect  Septal occluding device A- FETAL SUBAORTIC VSD WITH OVER-RIDING -- B --MUSCULAR VSD A B
  • 52.
    Patent ductus arteriosusor arteriosum (PDA) is a persistent patency of the ductus arteriosus, a normal connection of the fetal circulation between the aorta and the pulmonary arterial system that develops from the 6th aortic arch. Epidemiology PDAs occur in ~1 in 2000 full-term neonates with a F:M of 2:1 3-PDA
  • 53.
    Normally closes functionallyat 48 hrs & anatomically at 4 wks Hemodynamics: AortaPALALV LA, LV, Aorta & PA are enlarged Associations: Pulmonary atresia, COA Highest incidence in premature infants with RDS Clinical: F > M Small  asymptomatic; Large  CHF by 2-3 months Treatment:Indomethacin, Catheter closure or
  • 54.
  • 55.
    Patent ductus arteriosus.Volume render CT and Sagittal steady-state free precession image of 32-year-old man shows patent ductus arteriosus (straight arrow) connecting aortic isthmus with main pulmonary artery (PA), with high-velocity jet (curved arrow) present throughout cardiac Prabhakar Rajiah1 and Jeffrey P. Kanne2October 2011, Volume 197, Number 4
  • 56.
    PDA with jetflow from aorta to PA Sagittal coronal
  • 57.
  • 58.
  • 59.
    4-Aorto-pulmonary window • Anaortopulmonary window defect is an abnormal communication between the ascending aorta and main pulmonary artery. The presence of both aortic and pulmonic valves and of an intact ventricular septum distinguishes it from truncus arteriosus. • The pulmonary artery and left heart chambers are typically enlarged. Other associated anomalies include VSD, aortic coarctation, and patent ductus arteriosus. Aortopulmonary window defect requires surgical repair during infancy.
  • 60.
    aortopulmonary window defect. AxialSSFP image of 27-year-old woman shows communication (arrow) between aorta (AO) and main pulmonary artery (PA) consistent with aortopulmonary window defect. Prabhakar Rajiah1 and Jeffrey P. Kanne2October 2011, Volume 197, Number 4
  • 61.
    Aortopulmonary shunts.A Line diagramillustrates various surgically created aortopulmonary shunts. Prabhakar Rajiah1 and Jeffrey P. Kanne2October 2011, Volume 197, Number 4
  • 62.
    Coronal MR angiographyimage of 21- year-old man after surgical repair of tetralogy of Fallot shows absence of right subclavian artery (arrowheads), which was taken down for Blalock-Taussig shunt. Note normal left subclavian artery (arrow). Prabhakar Rajiah1 and Jeffrey P. Kanne2October 2011, Volume 197, Number 4
  • 63.
  • 64.
    In an atrioventriculardefect (i.e., an endocardial cushion defect), defects of the atrial ostium primum and ventricular inlet septum are associated with a common atrioventricular valve and abnormal arrangement of the valve leaflets. The various types of atrioventricular defects include a complete type (ostium primum ASD, inlet VSD, and cleft mitral and tricuspid valves); a partial type (ostium primum ASD, no interventricular shunt, normal atrioventricular valves); and a common atrium . Direct shunting from the left ventricle into the right atrium may develop. In the most severe form, all four chambers communicate causing left-to-right and right-to-left shunting Gerbode defect
  • 65.
    Gerbode defect A Gerbodedefect usually congenital and could be acquired, the acquired defects are seen below the level of insertion of the tricuspid valve in the interventricular septum and are caused by surgery, infective endocarditis, or myocardial infarction .
  • 66.
    • Hemodynamics: A-V septaldefect RA, RV, LA, LV & PA are enlarged, Not Aorta • Radiographic features: CXR: cardiomegaly, enlarged PA Angiography: goose-neck deformity of LVOT on RAO view • Associations: Down $ (40%) • Clinical: congestive heart faliure by 2-3 months • Treatment: Surgical closure before 2 years
  • 67.
    Increased flow, Globalcardiac enlargement right > left AVSD
  • 68.
    AVSD. Axial SSFPimage of 2-year- old girl shows atrioventricular septal defect with ostium primum atrial septal defect (arrowhead) and inlet ventricular septal defect (arrow). Prabhakar Rajiah1 and Jeffrey P. Kanne2October 2011, Volume 197, Number 4
  • 69.
    Gooseneck deformity • Thegooseneck-shaped deformity in endocardial cushion defect is caused by a deficiency of both the conus and sinus portions of the Interventricular septum, with narrowing of the left ventricular outflow tract. The concavity of the interventricular septum below the mitral valve, along with the elongation and narrowing of the left ventricular outflow tract, produces a characteristic shape that has been compared to a sitting goose with an elongated neck on the anteroposterior projection in left ventricular angiography.
  • 70.
    Gooseneck deformity Endocardial cushiondefects, which account for 4% of all cases of congenital heart disease,
  • 71.
    6-Anomalous pulmonary venousreturn • In total anomalous pulmonary venous return (TAPVR) all of the pulmonary veins drain into the right atrium or a systemic venous channel at supracardiac, cardiac, or infra- diaphragmatic levels. Connections may rarely exist at more than one level. The supracardiac type most commonly involves a vertical vein that connects to the brachiocephalic vein. In the cardiac type, the anomalous vein drains directly into the right atrium or coronary sinus. The infra- diaphragmatic type typically drains into the portal vein. Venous obstruction may be present.
  • 72.
    • In PAPVR,one to three pulmonary veins drain into the systemic venous circulation, either directly into the right atrium or into systemic veins, resulting in a partial left-to- right shunt. PAPVR is usually an incidental finding occurring in 0.7% of the population . • It most commonly affects the left upper lobe (47%), draining into the left brachiocephalic vein , followed by the right upper lobe (38%), right lower lobe (13%), and left lower lobe (2%) .
  • 73.
    • PAPVR isbilateral in 4% of patients. A sinus venosus ASD occurs in 42% of people with PAPVR of the right upper lobe . MRI can easily identify and quantify a sinus venosus ASD and associated anomalous pulmonary veins that are otherwise occult on echocardiography. Transverse plane acquisitions and 3D MRA or 3D whole-heart SSFP sequences can depict these lesions. Flow into the right atrium can be confirmed and quantified with velocity-encoded phase-contrast MRI .
  • 74.
    • Scimitar syndrome(i.e., hypo genetic lung or venolobar syndrome) is characterized by anomalous drainage of part of or of the entire right lung into the IVC, coronary sinus, right atrium, azygos vein, portal vein, or hepatic vein in addition to hypoplasia of the right lung and right pulmonary artery. The anomalous pulmonary vein curves medially toward the diaphragm and the IVC, giving the characteristic appearance of a scimitar .
  • 75.
  • 76.
    • Hemodynamics: - Some(not all) pulmonary veins drain into RA or systemic veins - RA, RV & PA are enlarged • Types: Supracardiac (SVC, Azygous vein) resemble Cardiac (RA, coronary sinus) ASD Infracardiac (IVC, portal vein) Scimitar $ • Associations: ASD (sinus venosus defect) Hypogenetic lung $ -- Scimitar $
  • 77.
    Three-dimensional volume-rendered image of28-year-old woman shows anomalous drainage of right superior pulmonary vein (straight arrow) into superior vena cava (curved arrow). RA = right atrium. Prabhakar Rajiah1 and Jeffrey P. Kanne2October 2011, Volume 197, Number 4
  • 78.
    Axial steady-state freeprecession image of 43-year-old woman shows vertical vein (straight arrow) that drains left upper lobe into left brachiocephalic vein (curved arrow). Prabhakar Rajiah1 and Jeffrey P. Kanne2October 2011, Volume 197, Number 4
  • 79.
    • Curved vesselat the right cardiophrenic angel. (curved tubular structure running parallel to the right heart). • Hypogenic right lung. • Increased pulmonary vascularity. • Radiologically similar to ASD. SCIMITAR SYNDROME
  • 80.
    Scimitar syndrome. Chestx ray, CT MIP, and MRA
  • 81.
    • Valvular pulmonarystenosis • Peripheral pulmonary stenosis • Aortic stenosis • Coarctation of aorta • Interruption of aortic arch ACYANOTIC CONGRNITAL HEART DISEASES WITH NORMAL VASCULARITY
  • 83.
  • 84.
    • Types: Vavular (dome-shaped,dysplastic  Noonan $) Peripheral (main PA, bifurcation, multiple peripheral) • Hemodynamics: Obstruction of RV outflow RV is enlarged (hypertrophy) Post-stenotic dilatation of Main & left PA in Valvular type • Radiographic features: Dilated main &/or left PA, may show mural calcifications RV hypertrophy PULMONARY STENOSIS
  • 85.
    Valvular pulmonary stenosis Peripheralpulmonary stenosis (maternal Rubella, Williams $) PULMONARY STENOSIS
  • 86.
    1-Thickened cusps 2-RV hypertrophy 3-Dilated main and left PA 4- Normal right PA Pulmonary valve stenosis
  • 87.
    AORTIC STENOSIS • Types: Sub-vavular Valvular(bicuspid valve, single horseshoe-shaped valve) Supravalvular  Williams $ (MR, AS and PS) • Hemodynamics: Obstruction of LV outflow LV is enlarged (hypertrophy) Post-stenotic dilatation of Aorta in Valvular type • Radiographic features: Cardiomegaly (LV hypertrophy), Dilated ascending aorta
  • 89.
  • 90.
  • 92.
    COA Coarctation of theaorta accounts for 5%–10% of congenital cardiac lesions and is usually sporadic. However, it occurs with increased frequency among patients with Turner syndrome, 20%–36% of whom are affected. Clinical manifestations vary from congestive heart failure in infancy to hypertension with differential pressures between the upper and lower extremities in adulthood.
  • 93.
    COA Two classic radiologicsigns associated with aortic coarctation are the figure-of-three sign and the reverse figure-of-three sign. The aortic segment affected by coarctation has a shape that resembles the number 3 on frontal chest radiographs. The reverse figure-of- three sign, a mirror image of the number 3, is observed on the left anterior oblique view during barium esophagography. This sign is seen in 50%–66% of adults with aortic coarctation
  • 94.
    Types: Infantile type (diffuse,pre-ductal) Adult type (localized, post or peri-ductal) Hemodynamics: Pre-ductal: R-L shunt via PDA or VSD Post-ductal: L-R shunt via PDA Collaterals to descending aorta via IMA, periscapular through intercostals Associations: Coarctation $: COA, PDA, VSD Turner $, Marfan $ Bicuspid aortic valve Circle of Willis Aneurysm Clinical: BP difference between arms and legs Diffuse type: congestive heart faliure in noenates Treatment: Resection & anastomosis, patch angioplasty, balloon angioplasty COARCTATION OF AORTA
  • 95.
    • Radiographic features: •Aortic figure 3 • Reverse figure 3 of Barium filled esophagus • Inferior rib notching (3rd to 8th, >8 yrs, dt dilated intercostal arteries) • LV hypertrophy COARCTATION OF AORTA
  • 96.
  • 97.
    COA Aortic Caliber changelocal narrowing turbulent flow
  • 98.
    3 figure signdue to pre and post dilatation, reverse 3 sign , dilatation of arch vessels, collateral circulations (IMA& intercostal)
  • 99.
  • 100.
  • 101.
  • 102.
    MRI is thegold standard imaging modality in follow up post operative.
  • 103.
    Coarctation of Aorta(COA) Inferior rib notching is absent in case of Aberrant SCA with its origin after COA, thus no collaterals on this side…
  • 104.
    50-80% associated withbicuspid aortic valve
  • 105.
    I AA According tothe Celoria-Patton classification of IAA ; type A is defined as interruption distal to the left subclavian artery (42% of cases); type B, the interruption is between the left common carotid artery and subclavian artery (53%). type C, the interrupted segment is between the innominate artery and left common carotid artery (4%).
  • 106.
    • Occluded Aorticsegment • Mostly at the arch • Associated with VSD, PDA, DORV • Radiographic features: • No aortic knob, large PA • Neonatal pulmonary edema Interrupted Aortic Arch
  • 107.
    IAA type 1 •30 Y ,F,HYPERTENSIVE
  • 108.
    Just a kinkfigure 3 No mediastinal widening No rib notching No functional stenosis High riding aortic arch No collateral 50-80% bicuspid aortic valve Buckle in descending aorta Pseudo coarctation of aorta
  • 109.
    •‫خير‬ ‫بالف‬ ‫وانتم‬‫عام‬ ‫وكل‬ ‫مبارك‬ ‫عيدكم‬ • ‫والسداد‬ ‫بالنجاح‬ ‫لكم‬ ‫تمنياتنا‬