Doppler Ultrasound in Obstetrics
DR.RIYADH AL ESAWI
DMRD, MSc, PhD
assist .Prof. Diagnostic Radiology
Faculty of Medicine/Kufa University
The Doppler effect, which was first reported
by Christian Doppler in 1842, describes the
apparent variation in frequency of a light
or a sound wave as the source of the wave
approaches or moves away, relative to an
observer.
 SGA and IUGR are too often used synonymously
though there is a degree of overlap.
 SGA fetus is not necessarily growth retarded.
Baby may be constitutionally small not at increase
risk.
 Late onset of pathological cessation of growth
may produce a baby with typical feature of IUGR--
-increase perinatal mortality and morbidity.
FETAL DYSMATURITY
Incidence
Dysmaturity compromises one third of
LBW babies.
 In developed countries about 3-10%
 Term babies 5%
 Post term 15%
LOW BIRTH WEIGHT
 WHO has defined LBW as one whose
birth weight is less than 2500 g irrespective
of gestational age.
 Very low birth weight =<1500 g
 Extremely low birth weight < 1000 g.
Fetal growth
 Up to 16 weeks there is cellular hyperplasia
 16-32 weeks –hyperplasia and hypertrophy
 After 32 weeks– hypertrophy.
 Most of fetal weight gain ( two third) occur
beyond 24th week of gestation.
types
 Based on clinical evaluation and U.S
examination.
 1-fetuses those are small and healthy.
Birth weight is less than 10th percentile for
gestational age, they have normal ponderal
index, normal subcutaneous fat and usually have
uneventful neonatal course.
 2-fetuses where growth is restricted by
pathological process –true IUGR.
 Depend on relative size of their head,
abdomen and femur, they are subdivided
into.
 Symmetrical , type 1
 Asymmetrical ,type 2
Symmetrical 20%
 Effect involve cellular hyperplasia
 Reduced total cell number.
 Most often caused by structural or chromosomal
abnormalities or congenital infection (TORCH).
 Pathological process is intrinsic to the fetus and
involve all organs including the head.
Asymmetrical 80%
 Affect cellular hypertrophy in later months of
gestation.
 Total cell number is normal but small size.
 Pathological process is maternal, extrinsic to the
fetus.
 Placental cause with shunting of oxygen and
nutrients to the brain.
Biophysical
 First examination 16-20 weeks should confirm
gestational age , anomalies.
 USG 2-3 weekly
 Diagnosis of IUGR type
 Head circumference/abdominal circumference ratios
 > 1- before 32weeks, elevated—asymmetrical IUGR.
 =1, 32-34 weeks– asymmetrical IUGR
 <1 after 34 weeks- 85% IUGR fetuses are detected
 AC – single most sensitive parameter.
 Serial measurements of AC and fetal weight are
more diagnostic.
 Femur length , is not affected in asymmetrical IUGR
 FL/AC=22 from 21 weeks to term
 FL/AC> 23.5-IUGR.
 Amniotic fluid volume
 Vertical pocket of amniotic fluid <1 cm suggest IUGR.
 Four quadrant technique measuring vertical diameter
of largest pockets of fluid in each of 4 quadrants of
uterus , the sum of results is AFI
 AFI 5-25 cm is normal.
 Anatomical survey to exclude fetal abnormalities.
 BPD measurement.
Placental grading
 Grade 0; seen in less than 18 weeks
 Uniform echogenecity with smooth chorionic plate.
 Grade 1 ;18-29 weeks, occasional parenchymal
calcification/ hyper-echoic area.
 Grade II. >30 weeks, occasional basal
calcification/hyper-echoic areas may also have
comma type densities at the chorionic plate.
 Grade III > 39 weeks
 Significant basal calcification.
 Chorionic plate interrupted by indentations.
An early progression to grade III placenta is some
times associated with placental insufficiency.
Doppler effect
Doppler indices that are commonly used in
obstetrics. D, diastole; PI, pulsatility index;
RI, resistive index;
S, systole
Quantative analysis
Qualitative analysis
Diastolic notch
Absent EDF
Reverse EDF
Fetal circulation (Moore KL, Persaud TVN 1998 and Whitaker, Kent
2007) 4
Fetal circulation
There are three major vascular shunts
Ductus venosus -between umbilical vein and IVC
Foramen ovale- between right and left atria
Ductus arteriosus-between pulmonary artery and
descending aorta.
Doppler studies
Maternal side– uterine arteries
Placental side----umbilical arteries
Fetal side---MCA+ descending aorta
venous circulation ----DV, hepatic ,
umbilical veins
fetal heart.
UTERINE ARTERY
 The uterine arteries branch into arcuate which lead
to spiral arteries within the myometrium.
 With advancing gestation due to trophoblastic
invasion of uterine spiral arteries , it dilates and
result in fall in the resistance to blood flow.
 Uterine artery flow in non pregnant women is 50
ml/min, and increase to 700 ml/min in 3rd trimester.
 Hence , in normal pregnancy diastolic component is
transformed from one of low peak flow and diastolic
notch to one of high flow and no diastolic notch by
18-22 weeks, PI < 1.2 is normal.
 PI> 1.45 with bilateral notches , sign of clinically
significant uteroplacental vascular ischemia.
Uterine artery score
Abnormal uterine artery flow
Increase resistance , high RI and PI
Persistent of early diastolic notch.
Score ¼-4/4
Placental side;Umbilical
arterial circulation
The umbilical arterial circulation is normally a low
impedance circulation , with an increase in the
amount of end diastolic flow with advancing
gestation . Umbilical arterial Doppler waveforms
reflect the status of the placental circulation, and
the increase in end diastolic flow that is seen
with advancing gestation is a direct result of an
increase in the number of tertiary stem villi that
takes place with placental maturation . Diseases
that obliterate small muscular arteries in
placental tertiary stem villi result in a progressive
decrease in
end-diastolic flow in the umbilical arterial Doppler waveforms
until absent, and then reverse flow during diastole is noted.
Reversed diastolic flow in the umbilical arterial circulation
represents an advanced stage of placental compromise, and
is associated with more than seventy percent of placental
arterial obliteration .
The presence of absent or reversed end diastolic flow in the
umbilical artery is commonly associated with severe
intrauterine growth restriction and oligohydramnios .
Doppler waveforms of the umbilical arteries can be obtained
from any segment along the umbilical cord.Waveforms
obtained from the placental end of the cord show more end
diastolic flow than
waveforms obtained from the abdominal cord
Insertion . Differences in Doppler indices
of arterial waveforms obtained from different
anatomic locations of the same umbilical cord
are generally minor and have no significance on
clinical practice.
Umbilical artery Doppler
Abnormalities
Increase resistance , RI, PI, S/D
Absent diastolic flow
Reverse diastolic flow
Blood flow class (BFC)
BFC=I , mean+2 SD
BFC=II , mean=3SD
BFC=III a
BFC=IIIb
Fetal side; Middle cerebral
circulation
The cerebral circulation is normally a high
impedance circulation with continuous
forward
flow throughout the cardiac cycle.
The middle cerebral artery is the most
accessible
cerebral vessel to ultrasound imaging in the
fetus,
and it carries more than 80% of cerebral blood
flow.
In the presence of fetal hypoxemia, central
redistribution of blood flow occurs, resulting in an
increased blood flow to the brain, heart, and
adrenals, and a reduction in flow to the
peripheral and placental circulations.
This blood flow redistribution is known as the
brain-sparing reflex, and plays a major role in
fetal adaptation to oxygen deprivation.
Middle cerebral artery Doppler waveforms,
obtained from the proximal portion of the
vessel, immediately after its origin from the
circle ofWillis, have shown the best
reproducibility.
Late third trimester MCA Doppler spectrum
 At the late third trimester, the PI, RI, and S/D decrease and
the AT increases due to decrease of vascular resistance which
may be attributed to the increase of deoxyribonucleic acid in
the fetal brain (Chandra et al).
Co W
MCA
IUGR
34 weeks viable fetus with normal umbilical artery blood flow.
 In the hypoxic fetus, the cerebral vasculature dilates
and this causes a reduction in the MCA pulsatility
index in a phenomenon known as “brain sparing”.
With disease progression the fetus is no longer able to
compensate, and resistance in the MCA increases.
 In the preterm (<32 weeks) small for gestational age
fetus, MCA Doppler has limited accuracy in predicting
acidaemia in the absence of other Doppler
abnormalities.
 In the term small for gestational age fetus with
normal umbilical artery Doppler, an abnormal MCA
Doppler (PI < 5th centile) has moderate predictive
value for acidosis at birth and should be used to time
delivery.
 Transient MCA-REDF likely occurs due to
excessive external probe pressure and is an
artifact that is of no clinical consequence.When
this occurs, it is suggested that the
measurements are repeated and confirmed by a
second operator with attention to minimizing
transducer pressure.
 Rarely, persistent MCA-REDF occurs , which
indicate severe fetal morbidity and mortality.
example
 30 yrs pregnant leady with 32 weeks gestation
 USG, shows HC/AC> 1.3
 Liquor amount- severe oligohydramnios
 AFI=3.5 cm.
 MCA PI=1.27
 UA PI=1.4
 CPR=0.9
 impression-fetal hypoxia/IUGR.
 Sonographic criteria for diagnosis of IUGR
 1-elevated HC/AC ratio PPV 62%.
 Elevated ratio of FL/AC
 Presence of oligohydramnios without
ruptured membranes.
 Presence of advanced placental grade
(Grannum grade III).
 MCA Doppler in fetal anaemia
 In 1990 G.Mari proposed the use of MCA Doppler
for the diagnosis of fetal anaemia.
 The sensitivity of PSV for the prediction of
moderate –severe anaemia without hydropse
was 100% with a false positive 12%.
 The PPV and NPV were 65 % and 100 %
respectively.
 The risk of anaemia was high in fetuses with
a PSV of 1.5 times the median or higher.
 Fetuses with values below 1.5 either did not
have anaemia or had only mild degree.
Fetal Aorta
Thoracic aorta has higher PI&RI than abdominal
aorta
Time average mean velocity is constant 35_+
5.5 cm/s
fetal aorta
Thoracic descending aorta in
healthy fetus
IUGR IN 27 WEEK descending
aorta
Fetal side, venous Doppler
Doppler waveforms obtained from the central
venous circulation in the fetus reflect the
physiologic status of the right ventricle. Specific
information with regards to right ventricular
preload, myocardial compliance, and right
ventricular end-diastolic pressure can be derived
from Doppler flow studies of the inferior vena
cava and ductus venosus in the fetus .
Inferior vena cava Doppler waveforms can be obtained from
a coronal plane of the chest and abdomen.
In this view, the inferior vena cava can be imaged as it
enters into the right atrium, joined by the ductus venosus
and the left hepatic vein .
The inferior vena cava can be studied at two locations: at
the inlet into the right atrium, or in the segment between
the entrance of the renal vein and the ductus venosus.
A good correlation coefficient exists between these two
measurement sites, and the location that provides the
smallest angle of insonation with the blood flow should
be chosen .
Inferior vena cava Doppler waveforms are
triphasic in shape, with the first phase
corresponding to ventricular systole, the second
phase to early diastole, and the third phase to
late diastole or the atrial kick.
IVC
Doppler velocity waveforms of the
inferior vena cava in a normal fetus in
the third trimester of pregnancy.
DUCTUS VENOSUS
the ductus venosus can be identified as it branches
from the umbilical vein,Turbulence is commonly
seen within the ductus venosus given its narrow
lumen,The presence of turbulence on color flow
Doppler helps in identifying the ductus venosus in
early gestations. Ductus venosus Doppler
waveforms are biphasic in shape, with the first
phase corresponding to ventricular systole, the
second phase to early diastole, other consider
second phase to late diastole or the atrial kick.
DUCTUS VENOSUS
Doppler velocity waveforms of the ductus venosus
in a normal fetus in the third trimester of
pregnancy.
Ductus venosus
Abnormal ductus venosus
Doppler in a trisomy 21 .
shows retrograde flow
during atrial contractions
ABNORMAL DV BLOOD FLOW
twin pregnancy
 Growth in multiple pregnancy
 Most of these fetuses are constitutionally small
and are not suffering from uteroplacental
insufficiency.
 An inter- twin growth discrepancy 20-25% is
considered to be significant.
 Twin –to -twin transfusion syndrome
(TTTS)color Doppler finding in the donor are
susally typical of utero-placental insufficiency.
Example
 USG findings in early onset severe IUGR at 28 weeks, anatomical finding
short femurs and echogenic bowel..
 Biometry
 EFW 640 g< 10th centile. HC/AC ratio 1.35 (normal <1.2)
 AFI =7 cm
 Doppler finding
 Uterine arteries B/L early diastolic notches
 Lt.uterine artery PI 1.97, RT PI 1.65
 UA absent EDF in both.
 Smooth umbilical venous cord flow, peak velocity 16 cm/s.
 MCA PI 1.12 (redistribution).
 Ductus venosus positiveA wave 32 cm/s, normal.
 biophysical profile score-8/8 normal.
 Cerebro-placental ratio is better predictor of
IUGR, than MCA or UA alone
 Diagnostic accuracy for CPR was 90%,
compared with 78>8% for MAC and 83.3 for
umbilical artery.
 normal CPR> 1.08.
 Protocol (after 28W)
 Step (1) : Assess fetoplacental circulation (Umb.A)
 If abnormal >>> Fetoplacental insufficiency.
 Step (2) : Assess fetal arterial circulation (M.C.A)
 If abnormal >>> arterial redistribution (Brain sparing
mechanism).
 Step (3) : Assess fetal venous circulation(D.V)
 If abnormal >>> (Impending) Fetal heart failure.
Table (1) Middle CerebralArtery (MCA), UmbilicalArtery( UA)
and CPR (MCA/UA) DopplerWaveform Parameters at 16-20
Weeks Gest.Age. 17
Parameter
No=60
Mean Range SD SEM
95% Confidence Interval
Lower limit Upper limit
MCPI 1.64 1.27-1.96 0.16 0.021 1.60 1.68
MC RI 0.77 0.62-0.86 0.042 0.0054 0.76 0.78
MC S/D 4.53 3.0-7.0 0.88 0.11 4.30 4.76
MC AT(ms) 70.13 32-96 16.61 2.140 65.84 74.42
UA PI 1.35 0.9-1.74 0.171 0.022 1.31 1.39
UA RI 0.72 0.57-0.8 0.050 0.006 0.71 0.737
UA S/D 3.73 2.34-5.13 0.62 0.080 3.57 3.89
UAAT(ms) 96.78 56-120 14.49 1.870 93.03 100.52
MC PI/UA PI 1.22 0.92-1.62 0.164 0.021 1.18 1.26
MC RI/ UA RI 1.06 0.91-1.29 0.090 0.016 1.04 1.08
MC S.D/ UA
S.D
1.23 0.9-2.01 0.32 0.041 1.15 1.32
MC AT/UAAT 0.73 0.4-1.11 0.17 0.022 0.68 0.77
Table (2) DopplerWaveforms of MCA, UAand MCA/UARatio
18 Parameters at the 24-28Weeks GestationalAge (Week).
Parameter
No= 60
Mean Range SD SEM
95% Confidence Interval for Mean
Lower limit Upper limit
MCPI 1.82 1.25-2.43 0.26 0.034 1.75 1.89
MC RI 0.81 0.68-1.0 0.058 0.0075 0.80 0.83
MC S/D 5.81 3.1-12.6 1.80 0.23 5.34 6.27
MC AT(ms) 60.23 40-88 10.07 1.30 57.63 62.83
UA PI 1.13 0.6-1.45 0.18 0.023 1.08 1.17
UA RI 0.67 0.44-0.8 0.062 0.008 0.65 0.68
UA S/D 3.14 1.79-4.64 0.62 0.080 2.98 3.31
UAAT(ms) 101.31 80-136 12.96 1.67 97.95 104.67
MCPI/UAPI 1.64 1.1-2.55 0.30 0.039 1.56 1.72
MC RI/UA
RI
1.22 0.97-1.81 0.13 0.018 1.18 1.25
MC S.D/
UA S.D
1.88 0.91-5.08 0.65 0.084 1.71 2.05
MC AT/UA
AT
0.59 0.35-0.9 0.12 0.016 0.56 0.63
Table (3) Dopplerwaveforms of MCA, UAand MCA/UARatio
Parameters at the 36-40Weeks GestationalAge (Week). 19
Parameter
No=60
Mean Range SD SEM
95% Confidence Interval for Mean
Lower limit Upper limit
MCPI 1.62 0.95-2.59 0.35 0.045 1.53 1.71
MCRI 0.78 0.6-0.92 0.071 0.0092 0.746 0.78
MC S/D 4.67 2.47-8.1 1.37 0.18 4.31 5.02
MC AT(ms) 66.58 48-96 10.00 1.29 63.99 69.16
UA PI 0.92 0.52-1.23 0.16 0.021 0.87 0.96
UA RI 0.58 0.42-0.7 0.069 0.009 0.57 0.60
UA S/D 2.48 1.74-3.3 0.40 0.051 2.38 2.60
UAAT(ms) 98.05 56-144 16.99 2.19 93.65 102.44
MCPI/UAPI 1.80 1.03-3.26 0.48 0.061 1.68 1.93
MCRI/UARI 1.30 1.01-1.71 0.16 0.021 1.25 1.34
MC S.D/ UAS.D 1.91 1.02-3.54 0.62 0.084 1.75 2.07
MC AT/ UAAT 0.69 0.31-1.0 0.15 0.020 0.65 0.73
Fetal cardiac Doppler
Doppler indices in fetal echocardiography are
quantitative parameters, and are for the majority,
angle dependent.To obtain accurate Doppler
indices in fetal echocardiography, the sample
volume is placed distal to the respective valves, the
insonating angle 15-20 degree.
Doppler waveforms should be obtained during fetal
apnea, and multiple measurements should be
made. Color Doppler is used to direct placement of
the sample volume; placing the sample volume at
the brightest colors of the blood flow segment will
ensure the best measurements.
The fetal circulation is different from the adult
circulation in many aspects.The fetal
circulation is in parallel, rather than in series,
and the right ventricular cardiac output is
greater than the left ventricular cardiac output .
The progressive development of organs during
gestation influences blood distribution and
vascular impedance .
 With advancing gestation, ventricular
compliance is increased, total peripheral
resistance is decreased, preload is increased, and
combined cardiac output is increased .
Compliance of the fetal left heart increases more
rapidly than compliance of the fetal right heart
with advancing gestation .
The pulmonary vascular resistance is high in the
fetus and the pulmonary arterial pressure is
almost systemic. Flow to the pulmonary
vascular bed is maintained at a low rate with
a noted increase toward the end of gestation
. Cardiac output in the fetus is mainly affected
by preload and ventricular compliance .The
presence of right to left shunts at the level of
the foramen ovale and ductus arteriosus has
a significant impact on cardiac flow patterns
and affects the distribution of blood and
oxygen to various organs.
Flow across the foramen ovale contributes
to the majority of blood entering the left
ventricle and more than two thirds of right
ventricular output is directed to the ductus
arteriosus .This shunting mechanism ensures
the delivery of blood with high oxygen content
to the coronary and cerebral circulations
Doppler waveforms across the atrioventricular valves
are biphasic in shape.The first peak (E wave),
corresponds to early ventricular filling of diastole,
and the second peak (A wave) corresponds to atrial
systole or the atrial kick. Unlike in postnatal life,
the velocity of the A wave is higher than that of the
E wave in the fetus .This highlights the importance
of the role that atrial systole plays in cardiac filling
in the fetus. E/A ratio increases with advancing
gestation and reflects ventricular diastolic function
. E and A velocity peaks are higher in the right
ventricle, and this right ventricular dominance is
noted from the first trimester.
Shifting to left ventricular dominance starts in utero
toward the end of gestation . E/A ratio is an index
of ventricular preload and compliance .
Doppler waveforms across the semilunar valves
are uniphasic in shape. Indices most commonly
used for the semilunar Doppler waveforms include
the peak systolic velocity (PSV) and the time to
peak velocity (TPV). PSV andTPV increase with
advancing gestation across the semilunar
valves. PSV is higher across the aorta than
across the pulmonary artery because of a
decreased after load and a smaller diameter
across the aorta .These Doppler indices
reflect ventricular contractility, arterial
pressures, and after loads.
Mitral valve
Pulsed-Doppler study showing
normal mitral inflow. apical
image with the sample volume
(S) placed in the mitral orifice
between left atrium (LA) and
left ventricle (LV). normal inflow
pattern with an initial large
passive flow (E) followed by a
later smaller active flow (A)
produced by atrial systole.
Echo indices in semilunar
valve
Doppler indices that are commonly used in fetal echocardiography. (A) Peak
systolic velocity (PSV) is the peak velocity achieved during one cardiac cycle.
(B) Acceleration time (AT) is the time it takes the velocity to reach its peak in
one cardiac cycle. (C )Time velocity integral (TVI) is the integral of the
planimetric area under the curve.TVI expresses the distance that the red
blood cells would have to cover with a constant area of the flow section.
Fetal Doppler and intrauterine
growth
restriction
Arterial Doppler abnormalities, at the level of the
umbilical and middle cerebral arteries (brain-
sparing reflex), confirm the presence of
hypoxemia in the growth-restricted fetus, and
present early warning signs. Once arterial
centralization occurs, however, no clear trend is
noted in the observational period, and thus
arterial redistribution may not be helpful for the
timing of the delivery
On the other hand, the presence of reversed
diastolic flow in the umbilical arteries is a sign of
advanced fetal compromise, and strong
consideration should be given for delivery, except
for extreme prematurity. Cesarean section should
be given preference in this setting, because labor
may cause further fetal compromise
The current literature suggests that venous Doppler
abnormalities in the inferior vena cava and ductus
venosus and abnormal fetal heart rate
monitoring, even in its computerized version,
follow arterial Doppler abnormalities and are thus
associated with a more advanced stage of fetal
compromise.
Furthermore, in the majority of severely growth
restricted fetuses, sequential deterioration of
arterial and venous Doppler precedes
biophysical profile score deterioration . At
least one third of fetuses show early signs of
circulatory deregulation-
1 week before biophysical profile deterioration,
and that in most cases, Doppler deterioration
preceded biophysical profile deterioration by
1 day.
The occurrence of such abnormal late stage changes
of vascular adaptation by the intrauterine growth-
retarded (IUGR) fetus appears to be the best
predictor of perinatal death, independent of
gestational age and weight In a longitudinal study
on Doppler and IUGR fetuses, all intrauterine
deaths and all neonatal deaths had late Doppler
changes at the time of delivery, whereas only a
few of the surviving fetuses showed such changes
.
This sequential deterioration of the hypoxemic,
growth-restricted fetus is rarely seen at gestations
beyond 34 weeks . Indeed, normal umbilical artery
Doppler is common in growth restricted
fetuses in late gestations, and cerebroplacental
ratios have poor correlation with outcome of
IUGR fetuses at greater than 34 weeks of gestation.
Caution should therefore be exercised when Doppler is
used in the clinical management of IUGR fetuses
beyond 34 weeks of gestation.The pathophysiology of
fetal growth restriction has not been fully described
because recent studies have highlighted the presence
of significant variation in fetal adaptation to
hypoxemia.The pattern of incremental deterioration
of arterial Doppler abnormalities, followed by venous
Doppler abnormalities, then followed by fetal heart
tracings and biophysical profile abnormalities, is not
seen in about 20% of preterm fetuses
Furthermore, only 70% of IUGR fetuses show
significant deterioration of all vascular beds by the
time they were delivered, and about 10% showed
no significant circulatory change by delivery time .
In a prospective, observational study, more than
50% of IUGR fetuses delivered because of abnormal
fetal heart rate tracings did not have venous
Doppler abnormalities . In view of these findings,
the universal introduction of venous Doppler in the
clinical management of the growth-restricted fetus
should await the results of randomized trials on this
subject.
IUGR is associated with several changes at the level
of the fetal heart involving preload, afterload,
ventricular compliance, and myocardial
contractility. An increase in afterload is seen at
the level of the right ventricle because of
increased placental impedance . A decrease in
afterload is noted at the level of the left ventricle
because of decreased cerebral impedance
associated with the brain-sparing reflex .These
changes in afterload result in a redistribution of
the cardiac output from right to left ventricle .
Preload is reduced at both atrioventricular valves
because of
hypovolemia and decreased filling associated with
IUGR.This decrease in preload is reflected by a
decrease in the E/A ratio, decreased atrial peak,
and decreased time velocity integral at the mitral
and tricuspid valves.
myocardial contractility
Reduced myocardial contractility in the presence of
severe IUGR has also been reported.
Ventricular ejection force, an index of ventricular
systolic function that is independent of preload and
after load is decreased at the level of the right and
left ventricle in fetal growth restriction . IUGR fetuses
that have reduced ventricular ejection force have a
shorter time to delivery, a higher incidence of non
reassuring fetal heart rate tracing, and a lower pH at
birth when compared with controls.
Ejection fraction
A significant correlation between the severity of
fetal acidosis at cordocentesis and ventricular
ejection force values validates the association
of this index and the severity of fetal compromise.
Myocardial cell damage, demonstrated
by elevated levels of cardiac troponin-T, is seen in
some fetuses that have severe growth restriction .
This advanced stage of fetal compromise is
associated with signs of increased systemic
venous pressure,
a change in the distribution of cardiac output, a rise
in right ventricle afterload, and a high incidence of
tricuspid regurgitation .These findings suggest
that Doppler abnormalities in the proximal venous
system of the growth restricted fetus suggest fetal
myocardial cell damage and increased systemic
venous Pressure.
The fetal heart plays a central role in the adaptive
mechanisms for hypoxemia and placental
insufficiency. Studies showed umbilical artery and
middle cerebral artery are the first variables to
become abnormal .These arterial Doppler
abnormalities are followed by abnormalities in the
right cardiac diastolic indices, followed by the right
cardiac systolic indices, and finally by both left
diastolic and systolic cardiac indices . Preserving
the left systolic function as the last variable to
become abnormal ensures an adequate left
ventricular output, which supplies the cerebral and
coronary circulations.
Several of the Doppler changes seen in association
with fetal IUGR in the peripheral circulation
are directly related to the adaptation of the
fetal heart.The current management of IUGR
involves Doppler at the peripheral arterial circulation(
middle cerebral and umbilical arteries), central
venous vessels (ductus venosus and inferior vena
cava), and cardiotocography. Adding cardiac
Doppler may improve management of the IUGR
Fetus, however, changes in the central venous
circulation reflect an advanced stage of fetal
compromise, commonly associated with
myocardial dysfunction and damage.
GREATTHANKS

Doppler in obstetric power point presentation (4)

  • 1.
    Doppler Ultrasound inObstetrics DR.RIYADH AL ESAWI DMRD, MSc, PhD assist .Prof. Diagnostic Radiology Faculty of Medicine/Kufa University The Doppler effect, which was first reported by Christian Doppler in 1842, describes the apparent variation in frequency of a light or a sound wave as the source of the wave approaches or moves away, relative to an observer.
  • 2.
     SGA andIUGR are too often used synonymously though there is a degree of overlap.  SGA fetus is not necessarily growth retarded. Baby may be constitutionally small not at increase risk.  Late onset of pathological cessation of growth may produce a baby with typical feature of IUGR-- -increase perinatal mortality and morbidity.
  • 3.
    FETAL DYSMATURITY Incidence Dysmaturity compromisesone third of LBW babies.  In developed countries about 3-10%  Term babies 5%  Post term 15%
  • 4.
    LOW BIRTH WEIGHT WHO has defined LBW as one whose birth weight is less than 2500 g irrespective of gestational age.  Very low birth weight =<1500 g  Extremely low birth weight < 1000 g.
  • 5.
    Fetal growth  Upto 16 weeks there is cellular hyperplasia  16-32 weeks –hyperplasia and hypertrophy  After 32 weeks– hypertrophy.  Most of fetal weight gain ( two third) occur beyond 24th week of gestation.
  • 6.
    types  Based onclinical evaluation and U.S examination.  1-fetuses those are small and healthy. Birth weight is less than 10th percentile for gestational age, they have normal ponderal index, normal subcutaneous fat and usually have uneventful neonatal course.
  • 7.
     2-fetuses wheregrowth is restricted by pathological process –true IUGR.  Depend on relative size of their head, abdomen and femur, they are subdivided into.  Symmetrical , type 1  Asymmetrical ,type 2
  • 8.
    Symmetrical 20%  Effectinvolve cellular hyperplasia  Reduced total cell number.  Most often caused by structural or chromosomal abnormalities or congenital infection (TORCH).  Pathological process is intrinsic to the fetus and involve all organs including the head.
  • 9.
    Asymmetrical 80%  Affectcellular hypertrophy in later months of gestation.  Total cell number is normal but small size.  Pathological process is maternal, extrinsic to the fetus.  Placental cause with shunting of oxygen and nutrients to the brain.
  • 10.
    Biophysical  First examination16-20 weeks should confirm gestational age , anomalies.  USG 2-3 weekly  Diagnosis of IUGR type  Head circumference/abdominal circumference ratios  > 1- before 32weeks, elevated—asymmetrical IUGR.  =1, 32-34 weeks– asymmetrical IUGR  <1 after 34 weeks- 85% IUGR fetuses are detected  AC – single most sensitive parameter.
  • 12.
     Serial measurementsof AC and fetal weight are more diagnostic.  Femur length , is not affected in asymmetrical IUGR  FL/AC=22 from 21 weeks to term  FL/AC> 23.5-IUGR.  Amniotic fluid volume  Vertical pocket of amniotic fluid <1 cm suggest IUGR.  Four quadrant technique measuring vertical diameter of largest pockets of fluid in each of 4 quadrants of uterus , the sum of results is AFI  AFI 5-25 cm is normal.  Anatomical survey to exclude fetal abnormalities.  BPD measurement.
  • 13.
    Placental grading  Grade0; seen in less than 18 weeks  Uniform echogenecity with smooth chorionic plate.  Grade 1 ;18-29 weeks, occasional parenchymal calcification/ hyper-echoic area.  Grade II. >30 weeks, occasional basal calcification/hyper-echoic areas may also have comma type densities at the chorionic plate.  Grade III > 39 weeks  Significant basal calcification.  Chorionic plate interrupted by indentations. An early progression to grade III placenta is some times associated with placental insufficiency.
  • 15.
  • 16.
    Doppler indices thatare commonly used in obstetrics. D, diastole; PI, pulsatility index; RI, resistive index; S, systole Quantative analysis Qualitative analysis Diastolic notch Absent EDF Reverse EDF
  • 17.
    Fetal circulation (MooreKL, Persaud TVN 1998 and Whitaker, Kent 2007) 4
  • 18.
    Fetal circulation There arethree major vascular shunts Ductus venosus -between umbilical vein and IVC Foramen ovale- between right and left atria Ductus arteriosus-between pulmonary artery and descending aorta.
  • 19.
    Doppler studies Maternal side–uterine arteries Placental side----umbilical arteries Fetal side---MCA+ descending aorta venous circulation ----DV, hepatic , umbilical veins fetal heart.
  • 20.
  • 21.
     The uterinearteries branch into arcuate which lead to spiral arteries within the myometrium.  With advancing gestation due to trophoblastic invasion of uterine spiral arteries , it dilates and result in fall in the resistance to blood flow.  Uterine artery flow in non pregnant women is 50 ml/min, and increase to 700 ml/min in 3rd trimester.  Hence , in normal pregnancy diastolic component is transformed from one of low peak flow and diastolic notch to one of high flow and no diastolic notch by 18-22 weeks, PI < 1.2 is normal.  PI> 1.45 with bilateral notches , sign of clinically significant uteroplacental vascular ischemia.
  • 26.
    Uterine artery score Abnormaluterine artery flow Increase resistance , high RI and PI Persistent of early diastolic notch. Score ¼-4/4
  • 29.
    Placental side;Umbilical arterial circulation Theumbilical arterial circulation is normally a low impedance circulation , with an increase in the amount of end diastolic flow with advancing gestation . Umbilical arterial Doppler waveforms reflect the status of the placental circulation, and the increase in end diastolic flow that is seen with advancing gestation is a direct result of an increase in the number of tertiary stem villi that takes place with placental maturation . Diseases that obliterate small muscular arteries in placental tertiary stem villi result in a progressive decrease in
  • 30.
    end-diastolic flow inthe umbilical arterial Doppler waveforms until absent, and then reverse flow during diastole is noted. Reversed diastolic flow in the umbilical arterial circulation represents an advanced stage of placental compromise, and is associated with more than seventy percent of placental arterial obliteration . The presence of absent or reversed end diastolic flow in the umbilical artery is commonly associated with severe intrauterine growth restriction and oligohydramnios . Doppler waveforms of the umbilical arteries can be obtained from any segment along the umbilical cord.Waveforms obtained from the placental end of the cord show more end diastolic flow than
  • 31.
    waveforms obtained fromthe abdominal cord Insertion . Differences in Doppler indices of arterial waveforms obtained from different anatomic locations of the same umbilical cord are generally minor and have no significance on clinical practice.
  • 36.
    Umbilical artery Doppler Abnormalities Increaseresistance , RI, PI, S/D Absent diastolic flow Reverse diastolic flow
  • 37.
    Blood flow class(BFC) BFC=I , mean+2 SD BFC=II , mean=3SD BFC=III a BFC=IIIb
  • 38.
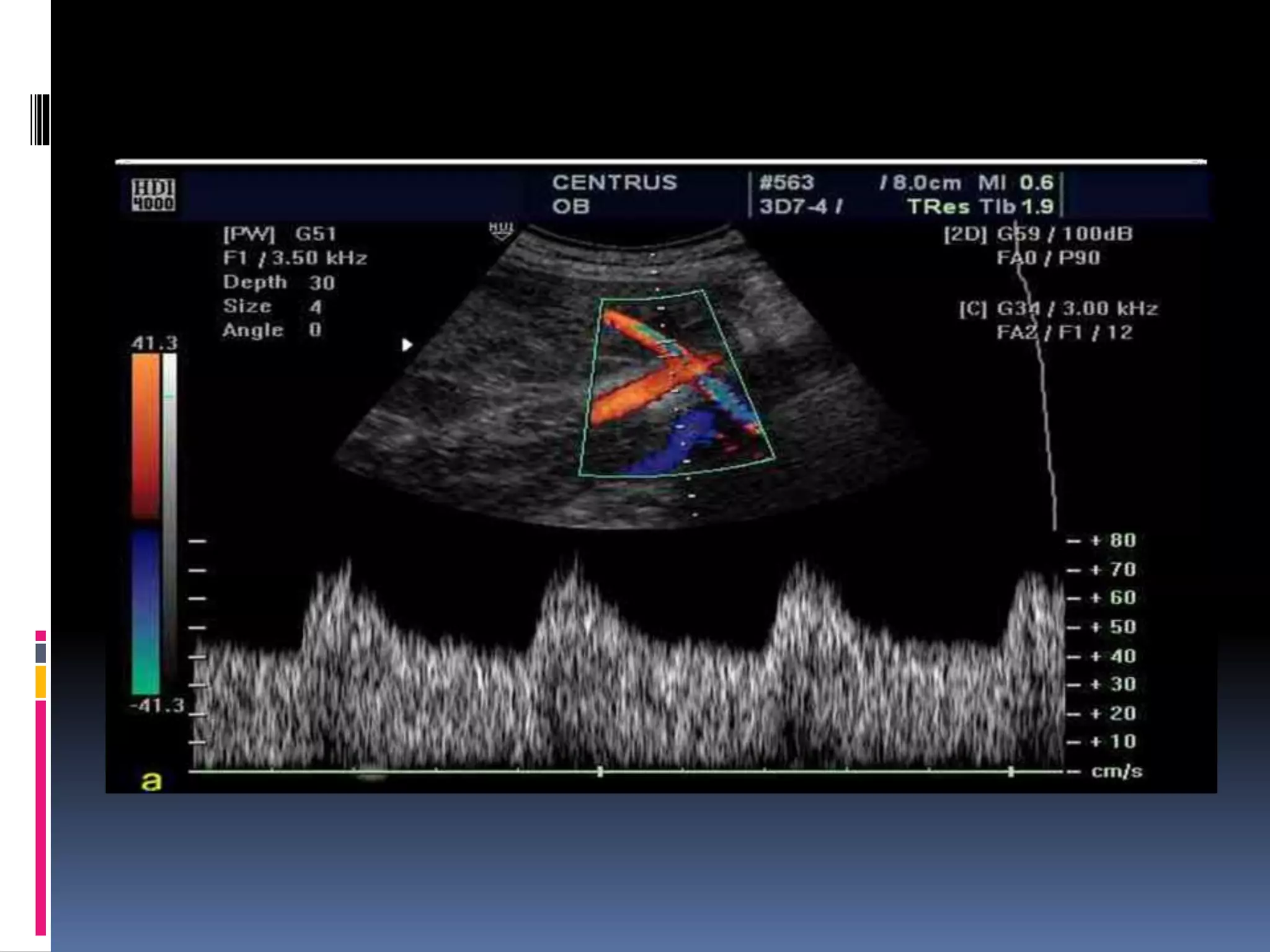
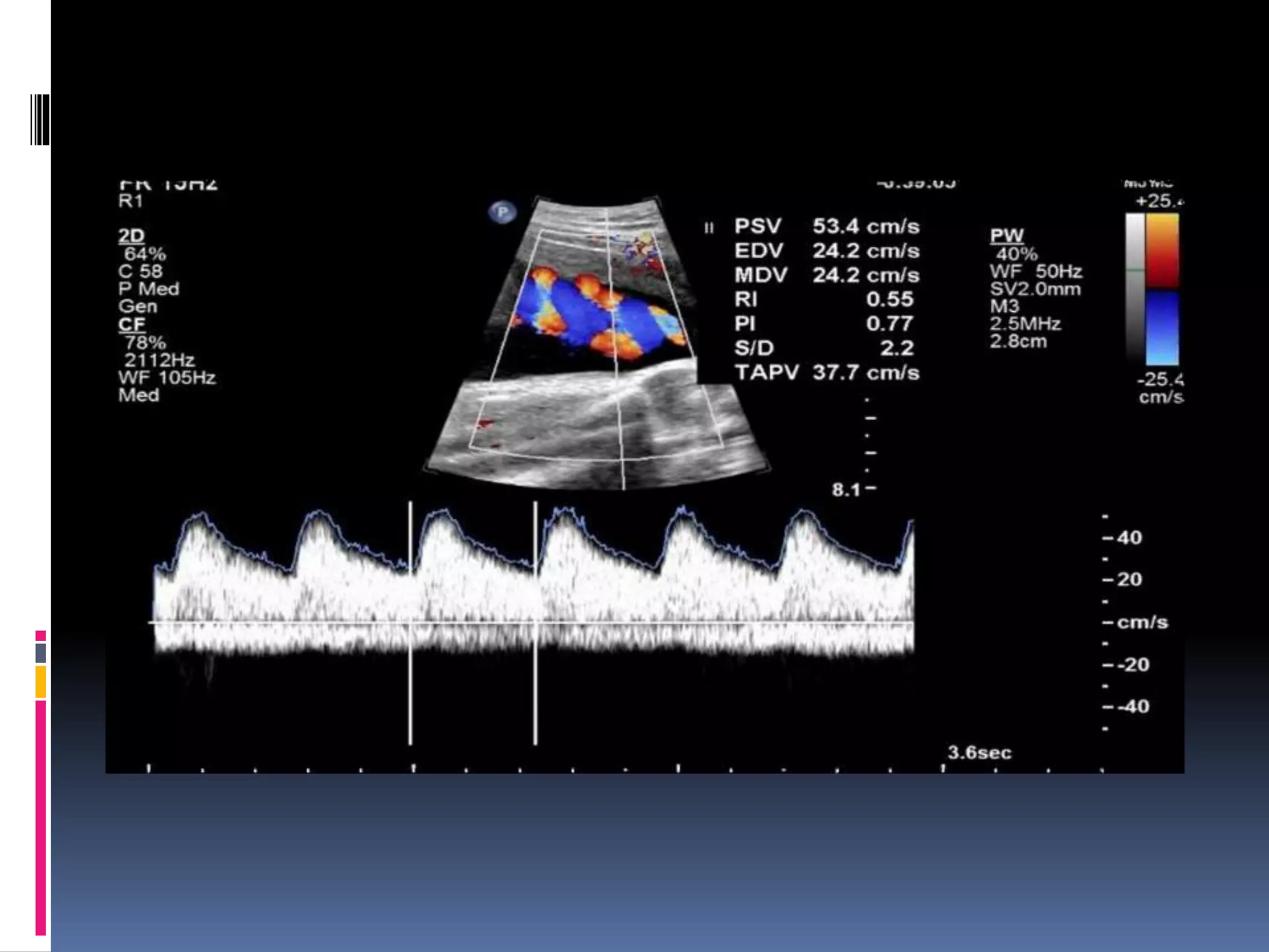
    Fetal side; Middlecerebral circulation The cerebral circulation is normally a high impedance circulation with continuous forward flow throughout the cardiac cycle. The middle cerebral artery is the most accessible cerebral vessel to ultrasound imaging in the fetus, and it carries more than 80% of cerebral blood flow.
  • 39.
    In the presenceof fetal hypoxemia, central redistribution of blood flow occurs, resulting in an increased blood flow to the brain, heart, and adrenals, and a reduction in flow to the peripheral and placental circulations. This blood flow redistribution is known as the brain-sparing reflex, and plays a major role in fetal adaptation to oxygen deprivation.
  • 40.
    Middle cerebral arteryDoppler waveforms, obtained from the proximal portion of the vessel, immediately after its origin from the circle ofWillis, have shown the best reproducibility.
  • 41.
    Late third trimesterMCA Doppler spectrum  At the late third trimester, the PI, RI, and S/D decrease and the AT increases due to decrease of vascular resistance which may be attributed to the increase of deoxyribonucleic acid in the fetal brain (Chandra et al).
  • 42.
  • 43.
  • 44.
  • 49.
    34 weeks viablefetus with normal umbilical artery blood flow.
  • 50.
     In thehypoxic fetus, the cerebral vasculature dilates and this causes a reduction in the MCA pulsatility index in a phenomenon known as “brain sparing”. With disease progression the fetus is no longer able to compensate, and resistance in the MCA increases.  In the preterm (<32 weeks) small for gestational age fetus, MCA Doppler has limited accuracy in predicting acidaemia in the absence of other Doppler abnormalities.  In the term small for gestational age fetus with normal umbilical artery Doppler, an abnormal MCA Doppler (PI < 5th centile) has moderate predictive value for acidosis at birth and should be used to time delivery.
  • 51.
     Transient MCA-REDFlikely occurs due to excessive external probe pressure and is an artifact that is of no clinical consequence.When this occurs, it is suggested that the measurements are repeated and confirmed by a second operator with attention to minimizing transducer pressure.  Rarely, persistent MCA-REDF occurs , which indicate severe fetal morbidity and mortality.
  • 52.
    example  30 yrspregnant leady with 32 weeks gestation  USG, shows HC/AC> 1.3  Liquor amount- severe oligohydramnios  AFI=3.5 cm.  MCA PI=1.27  UA PI=1.4  CPR=0.9  impression-fetal hypoxia/IUGR.
  • 53.
     Sonographic criteriafor diagnosis of IUGR  1-elevated HC/AC ratio PPV 62%.  Elevated ratio of FL/AC  Presence of oligohydramnios without ruptured membranes.  Presence of advanced placental grade (Grannum grade III).
  • 54.
     MCA Dopplerin fetal anaemia
  • 55.
     In 1990G.Mari proposed the use of MCA Doppler for the diagnosis of fetal anaemia.  The sensitivity of PSV for the prediction of moderate –severe anaemia without hydropse was 100% with a false positive 12%.  The PPV and NPV were 65 % and 100 % respectively.
  • 56.
     The riskof anaemia was high in fetuses with a PSV of 1.5 times the median or higher.  Fetuses with values below 1.5 either did not have anaemia or had only mild degree.
  • 57.
    Fetal Aorta Thoracic aortahas higher PI&RI than abdominal aorta Time average mean velocity is constant 35_+ 5.5 cm/s
  • 58.
  • 59.
    Thoracic descending aortain healthy fetus
  • 60.
    IUGR IN 27WEEK descending aorta
  • 61.
    Fetal side, venousDoppler Doppler waveforms obtained from the central venous circulation in the fetus reflect the physiologic status of the right ventricle. Specific information with regards to right ventricular preload, myocardial compliance, and right ventricular end-diastolic pressure can be derived from Doppler flow studies of the inferior vena cava and ductus venosus in the fetus .
  • 62.
    Inferior vena cavaDoppler waveforms can be obtained from a coronal plane of the chest and abdomen. In this view, the inferior vena cava can be imaged as it enters into the right atrium, joined by the ductus venosus and the left hepatic vein . The inferior vena cava can be studied at two locations: at the inlet into the right atrium, or in the segment between the entrance of the renal vein and the ductus venosus. A good correlation coefficient exists between these two measurement sites, and the location that provides the smallest angle of insonation with the blood flow should be chosen .
  • 63.
    Inferior vena cavaDoppler waveforms are triphasic in shape, with the first phase corresponding to ventricular systole, the second phase to early diastole, and the third phase to late diastole or the atrial kick.
  • 64.
  • 65.
    Doppler velocity waveformsof the inferior vena cava in a normal fetus in the third trimester of pregnancy.
  • 66.
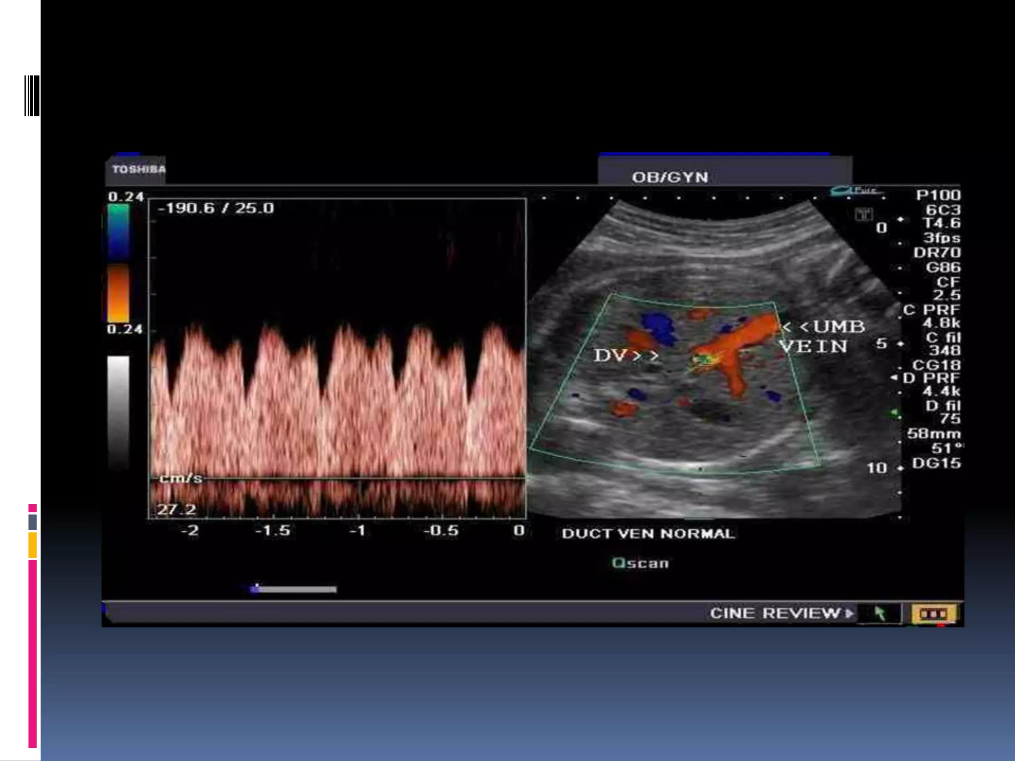
    DUCTUS VENOSUS the ductusvenosus can be identified as it branches from the umbilical vein,Turbulence is commonly seen within the ductus venosus given its narrow lumen,The presence of turbulence on color flow Doppler helps in identifying the ductus venosus in early gestations. Ductus venosus Doppler waveforms are biphasic in shape, with the first phase corresponding to ventricular systole, the second phase to early diastole, other consider second phase to late diastole or the atrial kick.
  • 68.
  • 69.
    Doppler velocity waveformsof the ductus venosus in a normal fetus in the third trimester of pregnancy.
  • 70.
    Ductus venosus Abnormal ductusvenosus Doppler in a trisomy 21 . shows retrograde flow during atrial contractions
  • 72.
  • 73.
    twin pregnancy  Growthin multiple pregnancy  Most of these fetuses are constitutionally small and are not suffering from uteroplacental insufficiency.  An inter- twin growth discrepancy 20-25% is considered to be significant.  Twin –to -twin transfusion syndrome (TTTS)color Doppler finding in the donor are susally typical of utero-placental insufficiency.
  • 74.
    Example  USG findingsin early onset severe IUGR at 28 weeks, anatomical finding short femurs and echogenic bowel..  Biometry  EFW 640 g< 10th centile. HC/AC ratio 1.35 (normal <1.2)  AFI =7 cm  Doppler finding  Uterine arteries B/L early diastolic notches  Lt.uterine artery PI 1.97, RT PI 1.65  UA absent EDF in both.  Smooth umbilical venous cord flow, peak velocity 16 cm/s.  MCA PI 1.12 (redistribution).  Ductus venosus positiveA wave 32 cm/s, normal.  biophysical profile score-8/8 normal.
  • 75.
     Cerebro-placental ratiois better predictor of IUGR, than MCA or UA alone  Diagnostic accuracy for CPR was 90%, compared with 78>8% for MAC and 83.3 for umbilical artery.  normal CPR> 1.08.
  • 76.
     Protocol (after28W)  Step (1) : Assess fetoplacental circulation (Umb.A)  If abnormal >>> Fetoplacental insufficiency.  Step (2) : Assess fetal arterial circulation (M.C.A)  If abnormal >>> arterial redistribution (Brain sparing mechanism).  Step (3) : Assess fetal venous circulation(D.V)  If abnormal >>> (Impending) Fetal heart failure.
  • 77.
    Table (1) MiddleCerebralArtery (MCA), UmbilicalArtery( UA) and CPR (MCA/UA) DopplerWaveform Parameters at 16-20 Weeks Gest.Age. 17 Parameter No=60 Mean Range SD SEM 95% Confidence Interval Lower limit Upper limit MCPI 1.64 1.27-1.96 0.16 0.021 1.60 1.68 MC RI 0.77 0.62-0.86 0.042 0.0054 0.76 0.78 MC S/D 4.53 3.0-7.0 0.88 0.11 4.30 4.76 MC AT(ms) 70.13 32-96 16.61 2.140 65.84 74.42 UA PI 1.35 0.9-1.74 0.171 0.022 1.31 1.39 UA RI 0.72 0.57-0.8 0.050 0.006 0.71 0.737 UA S/D 3.73 2.34-5.13 0.62 0.080 3.57 3.89 UAAT(ms) 96.78 56-120 14.49 1.870 93.03 100.52 MC PI/UA PI 1.22 0.92-1.62 0.164 0.021 1.18 1.26 MC RI/ UA RI 1.06 0.91-1.29 0.090 0.016 1.04 1.08 MC S.D/ UA S.D 1.23 0.9-2.01 0.32 0.041 1.15 1.32 MC AT/UAAT 0.73 0.4-1.11 0.17 0.022 0.68 0.77
  • 78.
    Table (2) DopplerWaveformsof MCA, UAand MCA/UARatio 18 Parameters at the 24-28Weeks GestationalAge (Week). Parameter No= 60 Mean Range SD SEM 95% Confidence Interval for Mean Lower limit Upper limit MCPI 1.82 1.25-2.43 0.26 0.034 1.75 1.89 MC RI 0.81 0.68-1.0 0.058 0.0075 0.80 0.83 MC S/D 5.81 3.1-12.6 1.80 0.23 5.34 6.27 MC AT(ms) 60.23 40-88 10.07 1.30 57.63 62.83 UA PI 1.13 0.6-1.45 0.18 0.023 1.08 1.17 UA RI 0.67 0.44-0.8 0.062 0.008 0.65 0.68 UA S/D 3.14 1.79-4.64 0.62 0.080 2.98 3.31 UAAT(ms) 101.31 80-136 12.96 1.67 97.95 104.67 MCPI/UAPI 1.64 1.1-2.55 0.30 0.039 1.56 1.72 MC RI/UA RI 1.22 0.97-1.81 0.13 0.018 1.18 1.25 MC S.D/ UA S.D 1.88 0.91-5.08 0.65 0.084 1.71 2.05 MC AT/UA AT 0.59 0.35-0.9 0.12 0.016 0.56 0.63
  • 79.
    Table (3) Dopplerwaveformsof MCA, UAand MCA/UARatio Parameters at the 36-40Weeks GestationalAge (Week). 19 Parameter No=60 Mean Range SD SEM 95% Confidence Interval for Mean Lower limit Upper limit MCPI 1.62 0.95-2.59 0.35 0.045 1.53 1.71 MCRI 0.78 0.6-0.92 0.071 0.0092 0.746 0.78 MC S/D 4.67 2.47-8.1 1.37 0.18 4.31 5.02 MC AT(ms) 66.58 48-96 10.00 1.29 63.99 69.16 UA PI 0.92 0.52-1.23 0.16 0.021 0.87 0.96 UA RI 0.58 0.42-0.7 0.069 0.009 0.57 0.60 UA S/D 2.48 1.74-3.3 0.40 0.051 2.38 2.60 UAAT(ms) 98.05 56-144 16.99 2.19 93.65 102.44 MCPI/UAPI 1.80 1.03-3.26 0.48 0.061 1.68 1.93 MCRI/UARI 1.30 1.01-1.71 0.16 0.021 1.25 1.34 MC S.D/ UAS.D 1.91 1.02-3.54 0.62 0.084 1.75 2.07 MC AT/ UAAT 0.69 0.31-1.0 0.15 0.020 0.65 0.73
  • 80.
    Fetal cardiac Doppler Dopplerindices in fetal echocardiography are quantitative parameters, and are for the majority, angle dependent.To obtain accurate Doppler indices in fetal echocardiography, the sample volume is placed distal to the respective valves, the insonating angle 15-20 degree.
  • 81.
    Doppler waveforms shouldbe obtained during fetal apnea, and multiple measurements should be made. Color Doppler is used to direct placement of the sample volume; placing the sample volume at the brightest colors of the blood flow segment will ensure the best measurements.
  • 82.
    The fetal circulationis different from the adult circulation in many aspects.The fetal circulation is in parallel, rather than in series, and the right ventricular cardiac output is greater than the left ventricular cardiac output . The progressive development of organs during gestation influences blood distribution and vascular impedance .
  • 83.
     With advancinggestation, ventricular compliance is increased, total peripheral resistance is decreased, preload is increased, and combined cardiac output is increased . Compliance of the fetal left heart increases more rapidly than compliance of the fetal right heart with advancing gestation .
  • 84.
    The pulmonary vascularresistance is high in the fetus and the pulmonary arterial pressure is almost systemic. Flow to the pulmonary vascular bed is maintained at a low rate with a noted increase toward the end of gestation . Cardiac output in the fetus is mainly affected by preload and ventricular compliance .The presence of right to left shunts at the level of the foramen ovale and ductus arteriosus has a significant impact on cardiac flow patterns and affects the distribution of blood and oxygen to various organs.
  • 85.
    Flow across theforamen ovale contributes to the majority of blood entering the left ventricle and more than two thirds of right ventricular output is directed to the ductus arteriosus .This shunting mechanism ensures the delivery of blood with high oxygen content to the coronary and cerebral circulations
  • 86.
    Doppler waveforms acrossthe atrioventricular valves are biphasic in shape.The first peak (E wave), corresponds to early ventricular filling of diastole, and the second peak (A wave) corresponds to atrial systole or the atrial kick. Unlike in postnatal life, the velocity of the A wave is higher than that of the E wave in the fetus .This highlights the importance of the role that atrial systole plays in cardiac filling in the fetus. E/A ratio increases with advancing gestation and reflects ventricular diastolic function . E and A velocity peaks are higher in the right ventricle, and this right ventricular dominance is noted from the first trimester.
  • 87.
    Shifting to leftventricular dominance starts in utero toward the end of gestation . E/A ratio is an index of ventricular preload and compliance . Doppler waveforms across the semilunar valves are uniphasic in shape. Indices most commonly used for the semilunar Doppler waveforms include the peak systolic velocity (PSV) and the time to peak velocity (TPV). PSV andTPV increase with
  • 88.
    advancing gestation acrossthe semilunar valves. PSV is higher across the aorta than across the pulmonary artery because of a decreased after load and a smaller diameter across the aorta .These Doppler indices reflect ventricular contractility, arterial pressures, and after loads.
  • 89.
    Mitral valve Pulsed-Doppler studyshowing normal mitral inflow. apical image with the sample volume (S) placed in the mitral orifice between left atrium (LA) and left ventricle (LV). normal inflow pattern with an initial large passive flow (E) followed by a later smaller active flow (A) produced by atrial systole.
  • 90.
    Echo indices insemilunar valve Doppler indices that are commonly used in fetal echocardiography. (A) Peak systolic velocity (PSV) is the peak velocity achieved during one cardiac cycle. (B) Acceleration time (AT) is the time it takes the velocity to reach its peak in one cardiac cycle. (C )Time velocity integral (TVI) is the integral of the planimetric area under the curve.TVI expresses the distance that the red blood cells would have to cover with a constant area of the flow section.
  • 91.
    Fetal Doppler andintrauterine growth restriction Arterial Doppler abnormalities, at the level of the umbilical and middle cerebral arteries (brain- sparing reflex), confirm the presence of hypoxemia in the growth-restricted fetus, and present early warning signs. Once arterial centralization occurs, however, no clear trend is noted in the observational period, and thus arterial redistribution may not be helpful for the timing of the delivery
  • 92.
    On the otherhand, the presence of reversed diastolic flow in the umbilical arteries is a sign of advanced fetal compromise, and strong consideration should be given for delivery, except for extreme prematurity. Cesarean section should be given preference in this setting, because labor may cause further fetal compromise
  • 93.
    The current literaturesuggests that venous Doppler abnormalities in the inferior vena cava and ductus venosus and abnormal fetal heart rate monitoring, even in its computerized version, follow arterial Doppler abnormalities and are thus associated with a more advanced stage of fetal compromise.
  • 94.
    Furthermore, in themajority of severely growth restricted fetuses, sequential deterioration of arterial and venous Doppler precedes biophysical profile score deterioration . At least one third of fetuses show early signs of circulatory deregulation-
  • 95.
    1 week beforebiophysical profile deterioration, and that in most cases, Doppler deterioration preceded biophysical profile deterioration by 1 day.
  • 96.
    The occurrence ofsuch abnormal late stage changes of vascular adaptation by the intrauterine growth- retarded (IUGR) fetus appears to be the best predictor of perinatal death, independent of gestational age and weight In a longitudinal study on Doppler and IUGR fetuses, all intrauterine deaths and all neonatal deaths had late Doppler changes at the time of delivery, whereas only a few of the surviving fetuses showed such changes .
  • 97.
    This sequential deteriorationof the hypoxemic, growth-restricted fetus is rarely seen at gestations beyond 34 weeks . Indeed, normal umbilical artery Doppler is common in growth restricted fetuses in late gestations, and cerebroplacental ratios have poor correlation with outcome of IUGR fetuses at greater than 34 weeks of gestation.
  • 98.
    Caution should thereforebe exercised when Doppler is used in the clinical management of IUGR fetuses beyond 34 weeks of gestation.The pathophysiology of fetal growth restriction has not been fully described because recent studies have highlighted the presence of significant variation in fetal adaptation to hypoxemia.The pattern of incremental deterioration of arterial Doppler abnormalities, followed by venous Doppler abnormalities, then followed by fetal heart tracings and biophysical profile abnormalities, is not seen in about 20% of preterm fetuses
  • 99.
    Furthermore, only 70%of IUGR fetuses show significant deterioration of all vascular beds by the time they were delivered, and about 10% showed no significant circulatory change by delivery time . In a prospective, observational study, more than 50% of IUGR fetuses delivered because of abnormal fetal heart rate tracings did not have venous Doppler abnormalities . In view of these findings, the universal introduction of venous Doppler in the clinical management of the growth-restricted fetus should await the results of randomized trials on this subject.
  • 100.
    IUGR is associatedwith several changes at the level of the fetal heart involving preload, afterload, ventricular compliance, and myocardial contractility. An increase in afterload is seen at the level of the right ventricle because of increased placental impedance . A decrease in afterload is noted at the level of the left ventricle because of decreased cerebral impedance associated with the brain-sparing reflex .These changes in afterload result in a redistribution of the cardiac output from right to left ventricle . Preload is reduced at both atrioventricular valves because of
  • 101.
    hypovolemia and decreasedfilling associated with IUGR.This decrease in preload is reflected by a decrease in the E/A ratio, decreased atrial peak, and decreased time velocity integral at the mitral and tricuspid valves.
  • 102.
    myocardial contractility Reduced myocardialcontractility in the presence of severe IUGR has also been reported. Ventricular ejection force, an index of ventricular systolic function that is independent of preload and after load is decreased at the level of the right and left ventricle in fetal growth restriction . IUGR fetuses that have reduced ventricular ejection force have a shorter time to delivery, a higher incidence of non reassuring fetal heart rate tracing, and a lower pH at birth when compared with controls.
  • 103.
  • 104.
    A significant correlationbetween the severity of fetal acidosis at cordocentesis and ventricular ejection force values validates the association of this index and the severity of fetal compromise. Myocardial cell damage, demonstrated by elevated levels of cardiac troponin-T, is seen in some fetuses that have severe growth restriction . This advanced stage of fetal compromise is associated with signs of increased systemic venous pressure,
  • 105.
    a change inthe distribution of cardiac output, a rise in right ventricle afterload, and a high incidence of tricuspid regurgitation .These findings suggest that Doppler abnormalities in the proximal venous system of the growth restricted fetus suggest fetal myocardial cell damage and increased systemic venous Pressure.
  • 106.
    The fetal heartplays a central role in the adaptive mechanisms for hypoxemia and placental insufficiency. Studies showed umbilical artery and middle cerebral artery are the first variables to become abnormal .These arterial Doppler abnormalities are followed by abnormalities in the right cardiac diastolic indices, followed by the right cardiac systolic indices, and finally by both left diastolic and systolic cardiac indices . Preserving the left systolic function as the last variable to become abnormal ensures an adequate left ventricular output, which supplies the cerebral and coronary circulations.
  • 107.
    Several of theDoppler changes seen in association with fetal IUGR in the peripheral circulation are directly related to the adaptation of the fetal heart.The current management of IUGR involves Doppler at the peripheral arterial circulation( middle cerebral and umbilical arteries), central venous vessels (ductus venosus and inferior vena cava), and cardiotocography. Adding cardiac Doppler may improve management of the IUGR
  • 108.
    Fetus, however, changesin the central venous circulation reflect an advanced stage of fetal compromise, commonly associated with myocardial dysfunction and damage.
  • 109.

Editor's Notes

  • #7 Adult Ponderal Index = Weight in kg / Height3 (m) Infant/Child Ponderal Index = 100 x Weight (grams) / Height3 (cm)
  • #16 The Doppler effect (fd) is dependent on the velocity of flow (V) of the blood within a vessel, the initial frequency of the ultrasound beam (fc), and the cosine of the angle (A) that the ultrasound beam makes with the direction of flow. The Doppler effect is displayed on the monitor as a time-dependent plot of the frequency shift (fd) within a cardiac cycle.
  • #44 Middle cerebral artery Doppler waveforms in a normal fetus in the third trimester of pregnancy. Note the high-impedance circulation with decreased enddiastolic velocity
  • #45 Middle cerebral artery Doppler waveforms in a growth-restricted fetus showing a low-impedance circulation with an increase in the end-diastolic velocity.
  • #65 Coronal view of the fetal chest and abdomen with color Doppler showing the ductus venosus (DV) and the hepatic vein (superior to the ductus venosus) joining the inferior vena cava (IVC) before it enters the right atrium
  • #79 MCA parameters increased at 24-28 weeks except the AT which decreased.