Chronic total occlusion-
Management strategies and Wiring
Techniques
DEFINITION
• >99% stenosed
• Duration >3 months
• TIMI 0-1
CTO-MANAGEMENT
AND WIRING
TECHNIQUES
Histopathology
• Organized thrombus.
• Fibrotic plaque
• Calcified lesions.
• Proximal/ distal fibrous cap
• Micro channel in the occlusion segment
CTO-MANAGEMENT
AND WIRING
TECHNIQUES
CTO-MANAGEMENT
AND WIRING
TECHNIQUES
CTO-MANAGEMENT
AND WIRING
TECHNIQUES
CTO-MANAGEMENT
AND WIRING
TECHNIQUES
Micro channels inside the occlusion
• Often extend to small side branch & to
adventitia
• Extravascular micro channels in early phase of
occlusion
• More mature CTO –intravascular channels
increase
• Matured CTO - both fewer
• Longitudinal continuity – 85% of entire length
of CTO
CTO-MANAGEMENT
AND WIRING
TECHNIQUES
Why Bother to do PCI?
Chronic Total Occlusion (CTO)
Because successful CTO recanalization may result in
Angina/Ischemia relief
Freedom from subsequent CABG
Improved LV function
Improvement in event-free survival
Presence of CTO in CAD Imparts Adverse Prognosis
Series
Name/Year
Successful PCI
(N)
FU
(months)
Asymptomatic
(%)
Olivari, 2003 248 12 89
Berger, 1996 139 6 87
Ivanhoe, 1992 264 36 69
Ruocco, 1992 160 24 69
Bell, 1992 234 32 76
TOTAL >1000 >24 mo >80%
CTO Recanalization and Angina Relief
Chronic Total Occlusion (CTO)
Symptom relief
• TOAT-GISE (Total Occlusion
An-gioplasty Study–Società
Italiana di Cardiologia Invasiva)
trial, CTO-PCI success - 86%,
70% angina-free survival
(p=0.008)
• Cheng et al. Demonstrated
that 76% of patients with CTO
who were treated with PCI
experienced an improved
angina classification, whereas
17% of patients who were not
treated with PCI improved
(p<0.05).
CTO-MANAGEMENT
AND WIRING
TECHNIQUES
Meta-Analysis of CTO Outcomes
Joyal et al., Am Heart J 2010;160:179.
13 Observational Studies, 7288 patients
weighted averaged follow-up 6 years
OR for Success
vs. Failure
95% Cl p Value
Mortality 0.56 0.43-0.72 <0.001
MI 0.74 0.44-1.25 0.26
Subsequent CABG 0.22 0.17-0.27 <0.001
Residual Angina 0.45 0.30-0.67 0.001
Evaluation of LV Function 3-Yrs after
Percutaneous Recanalization of CTO
Kirschbaum S et al, Am J Cardiol 2008;101:179
Changes in LV Volume Indexes and EF between Baseline and 3-Yr FU
Measured Using Magnetic Resonance Imaging (N=21)
Mean ejection fraction improved slightly, but end-systolic and end-
diastolic volume indexes decreased significantly.
35
30
86 636078
• A 3.8% to 8.4% absolute reduction in mortality
was associated with successful versus failed
CTO-PCI.
Survival advantage
CTO-MANAGEMENT
AND WIRING
TECHNIQUES
CTO-MANAGEMENT
AND WIRING
TECHNIQUES
Northeast
Georgia
Heart Center
2011 ACCF/AHA/SCAI PCI Guidelines
What We Can Do
• Class IIa Recommendation
• PCI of a CTO in pts with appropriate clinical
indications and suitable anatomy is reasonable
when performed by operators with appropriate
expertise (Level of Evidence: B)
Levine GN, et al. JACC doi:10.1016/j.jacc.2011.08.007
PCI of CTO
CTO-MANAGEMENT AND WIRING
TECHNIQUES
• Symptoms
▫ A CTO with well developed collaterals is hemodynamically
similar to 90% coronary stenosis without collaterals –
significant recovery of ventricular function is expected
• Viable myocardium
▫ Recovery of LV function depends on the presence of
hibernating viable myocardium
• Success
▫ If the likelihood of success is moderate to high (>60%)
and the likelihood of complications less, PCI is
encouraging.
Patient selection CTO-MANAGEMENT
AND WIRING
TECHNIQUES
Appropriate Use Criteria 2012
Stress test results, Medications Asx CCS 1-2 CCS 3-4
Low risk, No / min meds I (1) I (2) I (3)
Low risk, Max meds I (1) U (4) U (6)
Intermed risk, No / min meds I (3) U (4) U (6)
Intermed risk, Max meds U (4) U (5) A (7)
High risk, No / min meds U (4) U (5) A (7)
High risk, Max meds U (5) A (7) A (8)
CTO (no other CAD)
CTO-MANAGEMENT AND WIRING
TECHNIQUES
Barriers
• Complications
• Failure rates
• Economic burden
• CIN
CTO-MANAGEMENT
AND WIRING
TECHNIQUES
Economic burden
Repeat procedures
• Fluoroscopy
• Hardware more
CTO-MANAGEMENT
AND WIRING
TECHNIQUES
Complications
• Impairment of collateral flow
▫ spasm, shearing off side-branches and collateral by
dissection, distal embolization
• Dissection with branch occlusion & Perforation
▫ intra-wall balloon expansion, side-branch dilatation,
damage of neochannels connecting vasa vasorum
• Guidewire entrapment
• Subacute vessel reocclusion
▫ 8% of total occlusion within 24hr Vs. 1.8% of non total
occlusion
• CIN
• Radiation
CTO-MANAGEMENT
AND WIRING
TECHNIQUES
Reasons
• Not able to cross guidewire – 63%
• Long intimal dissection – 24%
• Dye extravasation – 11%
• Balloon did not cross or dilate – 2%
• Thrombus – 1.2%
Kinoshita I, et al. JACC 1995;26:409-411
CTO-MANAGEMENT
AND WIRING
TECHNIQUES
Predictors of failure
• Clinical-
▫ Duration - >3-6 monthS
▫ CRF
• Angiographic
▫ Calcification(at entry point/at distal cap)
▫ Blunt stump
▫ >45 angulation of target vessel
▫ Length of occlusion >15-20mm
▫ Vessel <3mm
▫ Multiple lesions in target artery
▫ Lack of distal vessel filling
▫ Bridging collaterals and side branch
CTO-MANAGEMENT
AND WIRING
TECHNIQUES
Predictors of success or failure in PCI of CTO
Predictors of success
Duration < 3 months
Antegrade flow +
Tapered morphology +
Bridging collaterals –
Side branch –
lesion length < 15 mm
Single vessel disease
Predictors of failure
Duration > 3 months
Antegrade flow –
Tapered morphology –
Bridging collaterals +
Side branch +, ostial lesion
lesion length > 15 mm
Multi vessel disease
Vessel & lesion tortuosity &
calcification
Bridging collaterals are more common
in lesions > 3 months old. Extensive
bridging collaterals that form caput
medusae around the occluded vessel
are generally not suitable for PCI
CTO-MANAGEMENT
AND WIRING
TECHNIQUES
Predictors of Procedural SuccessTOAT - GISE
CTO-MANAGEMENT
AND WIRING
TECHNIQUES
PROCEDURAL SUCCESS
CTO-MANAGEMENT
AND WIRING
TECHNIQUES
CTO-MANAGEMENT
AND WIRING
TECHNIQUES
CTO MANGEMENT
CTO-MANAGEMENT
AND WIRING
TECHNIQUES
Preprocedure planning
Paramount importance – planning reduces difficulties half
way through the procedure
Spend time examining diagnostic films or angiogram & decide on
Approach ,vascular access, guide shape & size
dedicated equipment availability
Discourage routine adhoc CTO PCI
Occluded & contralateral vessel reviewed in multiple projection
frame by frame to
understand complete anatomy
identify proximal & distal cap
vessel course & side branch
calcification
details of collateral circulation
Contrast volume defined prior to procedure - 4xGFR(ml)
EURO CTO club;2012 consensus
CTO-MANAGEMENT
AND WIRING
TECHNIQUES
Precautions
▫ Covered stents
▫ Embolization coils
▫ Pericardiocentesis trays
▫ Thrombectomy devices
CTO-MANAGEMENT
AND WIRING
TECHNIQUES
Role of dual injection
Critical for performing CTO PCI–in all cases with good contralateral
collaterals
Allows for optimal visualization of CTO vessel
Crucial for determining lesion length, size & location of distal
target vessel
To assess any bifurcation at distal cap
Assess presence, size & tortuosity of collateral vessel
Best performed
At low magnification ,prolonged imaging exposure
No table panning - allows for optimal delineation of CTO segment
collateral vessel location & course
JACC intrvn2012;5:367-79
CTO-MANAGEMENT
AND WIRING
TECHNIQUES
First inject donor – then occluded vessel – minimize radiation
Septal collaterals best visualized –RAO cranial OR straight RAO
Epicardial collaterals need tailored view
more often from diagonal ,LCX or PLV
LAO & RAO cranial – Best to image distal lateral wall collaterals
(OM-PLV, diagonal to diagonal/OM connections)
RAO & AP caudal- proximal OM collaterals and those in AV groove
JACC intrvn2012;5:367-79
CTO-MANAGEMENT
AND WIRING
TECHNIQUES
Guide catheter
• First key to success
• For effective guide wire manipulation :
▫ coaxial orientation of guide catheter important
▫ stability& back up force
• RCA - AL1/0.75 with side holes
• Sheperd crook RCA - AL1or2
• Prox RCA lesion - JR ( avoid ostial damage)
• LCA - Extra back up(XBU,EBU,)
• LCX (short left main) - AL1 or2 (better support,
co-axial)
CTO-MANAGEMENT
AND WIRING
TECHNIQUES
Guide catheter
• 7F or 8F guide catheter
▫ Superior backup support (needed in CTO)
▫ Inter twining is less common while using parallel wires
▫ Switching over to devices like rotablator is easy
▫ Permit better contrast injection.
▫ Radial approach,usually is not preferred for CTO.
• Side hole guide catheter is useful for RCA
▫ Maintains perfusion to the sinus node artery & conus
branch
CTO-MANAGEMENT
AND WIRING
TECHNIQUES
CTO WIRES
CTO-MANAGEMENT
AND WIRING
TECHNIQUES
CTO-MANAGEMENT
AND WIRING
TECHNIQUES
CLASSIFICATION OF CTO WIRES
CTO-MANAGEMENT
AND WIRING
TECHNIQUES
COMMONLY USED CTO WIRES
CTO-MANAGEMENT
AND WIRING
TECHNIQUES
CTO-MANAGEMENT
AND WIRING
TECHNIQUES
CTO-MANAGEMENT
AND WIRING
TECHNIQUES
Fielder™ / Fielder FC™ (Asahi Intec Co.)
• Special guidewire - distal coil coated with
polymer sleeve & further coated with a
hydrophilic coating
• Provides advanced slip performance &
trackability for highly stenosed lesion & tortuous
vessels
• Very good torque performance
• Combines both slide and torque performance
• Primary wire used in the retrograde technique of
recanalization of CTO
CTO-MANAGEMENT
AND WIRING
TECHNIQUES
CTO-MANAGEMENT
AND WIRING
TECHNIQUES
CTO-MANAGEMENT
AND WIRING
TECHNIQUES
Whisper
• Durasteel™ Core-to-tip designed to improve
steering, durable shape retention and tactile
feedback
• Full Polymer cover with Hydrophilic coating
intended for deliverability and smooth lesion access
• Responsease™ “transitionless” core grind designed
to provide improved tracking and better torque
response
• Tip coils designed to provide softer, shapeable tip
and also improve tactile feedback
CTO-MANAGEMENT
AND WIRING
TECHNIQUES
CONQUEST SERIES
CTO-MANAGEMENT
AND WIRING
TECHNIQUES
Pilot 200 guidewire (Abbott Vascular).
▫ Polymer-jacket
▫ Moderately high– gram-force (4 to 6 g),,
▫ Non tapered
▫ 0.014-inch guide wire.
• For complex lesion crossing, long lesions,
knuckle technique, and dissection/re-entry.
• Performs well in very tortuous segments with an
ambiguous course
CTO-MANAGEMENT
AND WIRING
TECHNIQUES
GAIA WIRES
CTO-MANAGEMENT
AND WIRING
TECHNIQUES
Micro catheters
• Wire exchange[floppy to dedicated stiffer]
• Torque to tip & improve feedback
• Tip stiffness of guide wire
CTO-MANAGEMENT
AND WIRING
TECHNIQUES
Corsair micro catheter (Asahi Intecc)
• 2.7-F catheter with OTW hybrid catheter
• Both micro catheter and support
• Bidirectional wire braiding for torque
transmission, and an inner polymer lumen with
soft tip for optimal wire control
• Cross collateral channels and provides the
primary basis for conventional retrograde
procedures.
• Super selective injection for collaterals
• Antegrade direction for wire support.
CTO-MANAGEMENT
AND WIRING
TECHNIQUES
The Corsair catheter is advanced by rotation in either direction.
The Corsair should not be over-rotated (10 consecutive turns without
release) as over-rotation could cause catheter kinking
CTO-MANAGEMENT
AND WIRING
TECHNIQUES
Tornus micro catheter (Asahi Intecc)
• Braided-wire mesh OTW microcatheter with left-
handed thread allowing for channel preparation and
lesion crossing in resistant occlusions.
• Advanced using counterclockwise rotation and
removed using clockwise rotation.
• Guidewire should remain within the Tornus inner
lumen during manipulations, and over-rotation
should be avoided to minimize the risk of kinking.
• Contrast injections should not be performed
through the Tornus, as the contrast escapes through
the wire braid.
CTO-MANAGEMENT
AND WIRING
TECHNIQUES
CTO-MANAGEMENT
AND WIRING
TECHNIQUES
Finecross microcath
terumois.com
CTO-MANAGEMENT
AND WIRING
TECHNIQUES
CTO-MANAGEMENT
AND WIRING
TECHNIQUES
Lesion crossing and lumen re-entry
technologies
• CrossBoss catheter (BridgePoint Medical,
Plymouth, Minnesota)
• Stingray balloon and Stingray guidewire systems
(BridgePoint Medical).
CTO-MANAGEMENT
AND WIRING
TECHNIQUES
STRATEGIES
Antegrade approach Retrograde approach
▫ SINGLE WIRE
▫ DOUBLE WIRE
 Parallel wiring
 Seesaw wiring
 Subintimal tracking and
reentry
 IVUS guided approach
 Retrograde wire crossing
 Kissing wire technique
 Knuckle wire technique
 CART
 Reverse CART
CTO-MANAGEMENT
AND WIRING
TECHNIQUES
Wire escalation strategy
• 1. Floppy wire as the 1st wire
• 2. Intermediate or MIRACLE 3
• 3. MIRACLE 6
• 4. MIRACLE 12 or Conquest Family
CTO-MANAGEMENT
AND WIRING
TECHNIQUES
• Wire shaping
1ºbend of 30-45º
1-2mm from tip
Find softest part
2ºbend-10-15º
@3-6mm
Work as a navigator
to orient tip
CTO-MANAGEMENT
AND WIRING
TECHNIQUES
Tip curve should be just larger than lumen diameter
CTO, the lumen diameter = 0 mm
For CTO lesion – Guide wire-tip curve should be very small
Larger curve may hurt the vessel wall during direction control
CTO-MANAGEMENT
AND WIRING
TECHNIQUES
Guide wire negotiation
• Different methods
• Sliding AT proximal cap
• Drilling inside CTO
• Penetration Distal cap
CTO-MANAGEMENT
AND WIRING
TECHNIQUES
•Simultaneous rotation & probing of lesion
•High chance of entering to subintimal space ( tactile
response - nil )
SLIDING
•Recent occlusion
•Predominance of micro channels
•Extremely low friction wires for picking micro channels
used
• Recent total, subtotal occlusion ,ISR attempted with this
strategy
•Long duration – Micro channels replaced by fibrotic
tissue
CTO-MANAGEMENT
AND WIRING
TECHNIQUES
BEWARE bridging collaterals masquerading as microchannel
Polymer sleeved wires NOT forced against resistance, small tip bend,
probing with mild rotation
Soft wires with polymer sleeve – Fielder series/ Whisper/ PT II
CTO-MANAGEMENT
AND WIRING
TECHNIQUES
Drilling Strategy
• If discrete entry point present
•Technique
short curve(2mm) @45-60º to distal tip
sometimes a secondary curve given proximally
wire advanced with rapid rotational tip and gentle probing
start with MOD stiffness – progressive increase in stiffness
Entry to false lumen judged by tactile feel on pulling stiff wire
•Reserved for the most skilled and experienced operator
•Ineffective with Blunt entry ,heavily calcific & resistant lesions
CTO-MANAGEMENT
AND WIRING
TECHNIQUES
CTO-MANAGEMENT
AND WIRING
TECHNIQUES
Penetration
•Technique
Pushing stiff wire slowly& gradually – minimum rotation to target
direction
Tapered tip wires
Softer tip intially progressively stiffer wires
Route determined – various angio findings in multiple views, not by
tactile feel
•Useful for blunt ,heavily calcific or resistant lesions
•Not for CTO with tortuous angulated or bridging collaterals because
of higher chance of perforation
Drilling & penetration – guide support & tipload important
Tip load - success - chance of perforation
CTO-MANAGEMENT
AND WIRING
TECHNIQUES
Penetration power = tipload/tiparea
CTO-MANAGEMENT
AND WIRING
TECHNIQUES
• Tactile sensations
▫ Feeling of the dimple at the entry point,
especially in the abrupt type of CTO entry
▫ Feeling of strong resistance when pulling back
the wire inside the CTO body, —in this situation, the
wire tip has most likely migrated into the subintima.
▫ Feeling of no resistance the wire tip moves
freely—this most likely means that the wire tip is
either in the true lumen or in the extravascular space
CTO-MANAGEMENT
AND WIRING
TECHNIQUES
Anchoring wire technique
▫ Guiding catheter is unstable
▫ One wire is positioned in a prox side branch
▫ Other wire for crossing of the occlusion
CTO-MANAGEMENT
AND WIRING
TECHNIQUES
Anchoring wire
• Side branch protection
▫ Occlusion is long/ distal to side branch
• Correction of tortuosities
▫ Proximal tortuosities
• Buddy wire technique
▫ Facilitate passage of stent in complex lesions
▫ Serves as rail support.
CTO-MANAGEMENT
AND WIRING
TECHNIQUES
Double wire
• Parallel wire technique
CTO-MANAGEMENT
AND WIRING
TECHNIQUES
1st wire in false channel
left in situ
2nd stiffer wire advanced parallel to first wire in same path
redirected to enter distal true lumen
main pitfall is wire twisting each other
Support catheter use, appropriate wire selection& handling –essential to
avoid wire twisting
Main purpose : - redirecting a wire inside body of a cto & puncturing distal
fibrous cap
Important prerequisite – distal vessel visualization
CTO-MANAGEMENT
AND WIRING
TECHNIQUES
See-Saw Wiring
CTO-MANAGEMENT
AND WIRING
TECHNIQUES
See-Saw Wiring
• Modification of parallel wire technique
• Uses 2 microcatheters or OTW baloons
• When first wire fails , 2nd wire with
microcatheter or OTW baloon is inserted
• Risk – false lumen may enlarge – procedure
failure
CTO-MANAGEMENT
AND WIRING
TECHNIQUES
Side branch technique
CTO-MANAGEMENT
AND WIRING
TECHNIQUES
Success
• (1) Angle between direction in which the wire
lies and the bifurcating side branch is less than
90°;
• (2) No diffuse plaque build-up about the true
lumen in the distal portion of the CTO
• (3)True lumen to the ostium of the side branch,
the wire must be just to the side of the true
lumen in the distal part of the CTO
CTO-MANAGEMENT
AND WIRING
TECHNIQUES
Open sesame technique
• Hard plaque
• Failed even with conquest pro 8-20
• Side branch just in front of proximal cap
• Pass stiff guide wire and/ or a balloon into side
branch.
• Distortion of geometry
• Enables guide wire to advance into true lumen.
CTO-MANAGEMENT
AND WIRING
TECHNIQUES
CTO-MANAGEMENT
AND WIRING
TECHNIQUES
CTO-MANAGEMENT
AND WIRING
TECHNIQUES
Dissection reentry techniques
• STAR -Uncontrolled
• LAST - Somewhat controlled
• Dedicated systems -Controlled
CTO-MANAGEMENT
AND WIRING
TECHNIQUES
• Subintimal tracking and rentry technique
Used when attempts to recanalize true lumen failed
0.014 hydrophilic wire with J configration used(whisper,pilot)
Hydrophilic wire pushed through subintimal dissection plane
When pushed distal to occlusion J tip directed to truelumen
In an attempt to reenter the true lumen
•Successful in those with previous attempt failed
•High chance of perforation
STAR Technique
CTO-MANAGEMENT
AND WIRING
TECHNIQUES
CTO-MANAGEMENT
AND WIRING
TECHNIQUES
Knuckle wire technique
•Polymer jacket wire (fielder XT or pilot-
200)manipulated
• To create wire loop – advanced subintimally across
CTO
•OTW system advanced to this area- rentry to true
lumen with a stiffer wire or pilot 200
CTO-MANAGEMENT
AND WIRING
TECHNIQUES
LAST technique
• To initiate subintimal angioplasty and to
enter CTO body to limit long false lumens
CTO-MANAGEMENT
AND WIRING
TECHNIQUES
Cross Boss catheter
• Metal OTW micro catheter with rounded tip to prevent
vessel exit
• Device rotated rapidly in either direction using fast spin
• Can advance through the CTO without a wire in the lead
• Subintimal position- true lumen reentry performed
• Smaller subadventitial space – less likely to accumulate
blood
CTO-MANAGEMENT
AND WIRING
TECHNIQUES
CTO-MANAGEMENT
AND WIRING
TECHNIQUES
Sting ray balloon & guide wire system
1mm flat balloon with 3 exit ports connected to the same lumen
Distal exit port – for balloon positioning
Uses guide wire with extreme tapered tip (0.0025) for reentry
Distal true lumen entry confirmed by contralateral injection
CTO-MANAGEMENT
AND WIRING
TECHNIQUES
CTO-MANAGEMENT
AND WIRING
TECHNIQUES
CTO-MANAGEMENT
AND WIRING
TECHNIQUES
RETROGRADE APPROACH
• Initially used after a failed antegrade approach
• Now used as initial strategy in challenging cases
▫ Ostial occlusion
▫ Large side branch at proximal cap
▫ Long occlusion (>30mm)
▫ Severe tortuosity or calcification
▫ Without stump
▫ Visible continuous collaterals
CTO-MANAGEMENT
AND WIRING
TECHNIQUES
Collateral selection
Preference - Bypass graft > septal > epicardial
Selective injection of collateral
Surfing technique for crossing invisible septal collateral
Wiring collateral – achieved with OTW system or dedicated
septal dilator(corsair)
Contrast injection to assess best connection
CTO-MANAGEMENT
AND WIRING
TECHNIQUES
Hydrophillic polymer jacket wire with <1mm 30-45º tip used
to cross recipient artey
Fielder FC,Pilot-50,Whisper, Choicept,Runthrough
Wire should move freely - difficulty to advance – perforation?
whipping of wire - RV or LV entry (rarely pericardium)
Of no consequence if recognized before advancing OTW system
Collateral dilatation using 1.5 mm balloon @ 1-2 atm or Corsair
Epicardial collaterals
size most important factor in wiring success
should never be dilated
CTO-MANAGEMENT
AND WIRING
TECHNIQUES
Antegrade crossing
• Simplest form of retrograde technique
• Retrograde wire advanced to distal cap
• Acts as a marker of distal true lumen
• Serves as a target for antegrade wire
CTO-MANAGEMENT
AND WIRING
TECHNIQUES
Kissing wire
Manipulation of both antegrade and retrograde wires in CTO until they
meet
Antegrade wire follow channel made by retrograde wire in true lumen of
distal vessel
CTO-MANAGEMENT
AND WIRING
TECHNIQUES
Retrograde true lumen puncture
Most pure form of retrograde technique(only in 40% retro tech)
Hydrophilic wire advanced to the lesion
Advancement of microcatheter or OTW baloon – additional support
CTO crossed retrogradely using hydrophillic wire or stiffer wire
Maneuvers to enhance chance of crossing
Inflating retrograde baloon - coaxial anchor
Stiffer tapered tip or hydrophilic wires
IVUS facilitation of retrograde wire to proximal true lumen
CTO-MANAGEMENT
AND WIRING
TECHNIQUES
CTO-MANAGEMENT
AND WIRING
TECHNIQUES
• Basic concept –create subintimal dissection with
limited extension only at the site of a CTO.
• Antegrade wire advanced into CTO then to
subintimal space.
• Retrograde wire through collateral with
microcatheter to distal end of CTO - into the
CTO- then to subintimal space.
• Baloon inflation inside CTO using small balloon
over the retrograde wire in subintima
• Balloon inflated inside CTO
• To keep inflated space open deflated baloon left
in subintimal space
C A R T Controlled antegrade & retrograde subintimal tracking
CTO-MANAGEMENT
AND WIRING
TECHNIQUES
Two subintimal dissection provide reentry space for
antegrade wiring
Antegrade wire advanced along deflated retrograde
balloon into the distal true lumen
Limited subintimal tracking (dissection) only in CTO
segment
Avoids difficulty of reentering distal true lumen
Dilatation and stent implantation after successful
recanalization
CTO-MANAGEMENT
AND WIRING
TECHNIQUES
CTO-MANAGEMENT
AND WIRING
TECHNIQUES
Use smallest sized baloon inside CTO to create sufficient
wire reentry space
Access to distal CTO mainly via septal collatrels,
by polymer jacket wire over microcatheter or otw
baloon
Septal channel dilatation at 1.25mm baloon at low
pressure
Major limitations
Limited access of collateral channels to target CTO
Empiric estimation of retrograde baloon size
Overall unpredictable procedure time
CTO-MANAGEMENT
AND WIRING
TECHNIQUES
Reverse CART technique
• Engage a guidewire retrogradely in the distal cap of the CTO
• Another wire anterogradely in the proximal cap of the CTO
• Retrograde wire advanced in subintimal space into CTO lesion
• Subintimal channel is enlarged by anterograde balloon
• Plaque dissection and modification of the lesion
• Retrograde wire advanced to cross the dissection
• Link up with the anterograde wire in proximal true lumen
• Wire externalized (Exchange length)
• Anterograde PCI done
CTO-MANAGEMENT
AND WIRING
TECHNIQUES
CTO-MANAGEMENT
AND WIRING
TECHNIQUES
KNUCKLE WIRE TECHNIQUE
Best suited for long segment of occlusion
Retrograde wire usually a polymer jacket wire
manipulated to form a loop at wire tip advanced in
subintimal space across CTO
Eg: Fielder XT or Pilot-200
Rounded wire loop advanced in subintimal space across
CTO without causing perforation
OTW system advanced to this area followed by attempt to
reenter true lumen using a stiff wire with short bend or
hydrophillic wire
Eg: Confianza Pro 12 or Pilot 200
CTO-MANAGEMENT
AND WIRING
TECHNIQUES
CTO-MANAGEMENT
AND WIRING
TECHNIQUES
CTO-MANAGEMENT
AND WIRING
TECHNIQUES
CTO-MANAGEMENT
AND WIRING
TECHNIQUES
CTO-MANAGEMENT
AND WIRING
TECHNIQUES
Antegrade vs retrograde
CTO-MANAGEMENT
AND WIRING
TECHNIQUES
Treating lesion after crossing
CTO crossed by antegrade wiring (kissing wire,CART)
Antegrade CTO PCI can be done
Retrograde balloon can trap antegrade wire to facilitate procedure
Retrograde wire crosses to true lumen
Options : Antegrade wiring
Retrograde wire externalization
Retrograde stent delivery
DES is preferred in CTO PCI
CTO-MANAGEMENT
AND WIRING
TECHNIQUES
CTO-MANAGEMENT
AND WIRING
TECHNIQUES
BVS IN CTO
CTO-MANAGEMENT
AND WIRING
TECHNIQUES
APPROACH
CTO-MANAGEMENT
AND WIRING
TECHNIQUES
CTO-MANAGEMENT
AND WIRING
TECHNIQUES
IVUS Navigated Wiring
IVUS – Depict cross sectional view of coronary tree
IVUS focus on plaque distribution, calcification, reference vessel size &
side branch anatomy
Applicability of IVUS in CTO PCI
1)Side branch method to navigate CTO wire into true lumen from
proximal cap
2)Subintimal rentry from the proximal true lumen
IVUS guided subintimal rentry – Last resort for getting a subintimal wire
into distal true lumen
Applicable even after losing site of distal vascular bed on angio
CTO-MANAGEMENT
AND WIRING
TECHNIQUES
•1.5-2mm baloon dilatation in presumed subintimal space
•IVUS is advanced into the space monitored to orient 2nd wire to
true lumen
Key points
a) Ability to translate cross sectional image into 3D needed
b) 2nd stiff tapered wire over micro catheter - 8f guide mandatory
c) Reentry point should be closer to proximal cap
d) Contrast injection should be withheld esp after small ballon
dilatation
CTO-MANAGEMENT
AND WIRING
TECHNIQUES
CTO-MANAGEMENT
AND WIRING
TECHNIQUES
CTO-MANAGEMENT
AND WIRING
TECHNIQUES
Forward looking IVUS
CTO-MANAGEMENT
AND WIRING
TECHNIQUES
Forward looking IVUS
CTO-MANAGEMENT
AND WIRING
TECHNIQUES
Forward looking IVUS
CTO-MANAGEMENT
AND WIRING
TECHNIQUES
Optical coherence reflectometry
CTO-MANAGEMENT
AND WIRING
TECHNIQUES
CTO-MANAGEMENT
AND WIRING
TECHNIQUES
CTO-MANAGEMENT
AND WIRING
TECHNIQUES
CTO-MANAGEMENT
AND WIRING
TECHNIQUES
n
CTO-MANAGEMENT
AND WIRING
TECHNIQUES
CTO-MANAGEMENT
AND WIRING
TECHNIQUES
CTO-MANAGEMENT
AND WIRING
TECHNIQUES
CTO-MANAGEMENT
AND WIRING
TECHNIQUES
CTO-MANAGEMENT
AND WIRING
TECHNIQUES
CTO-MANAGEMENT
AND WIRING
TECHNIQUES
Debulking of calcific lesion
• Rotational atherectomy
• Directional atherectomy
• Silverman plaque excision system
• Excimer Laser atherectomy
CTO-MANAGEMENT
AND WIRING
TECHNIQUES
Collagenase plaque digestion
CTO-MANAGEMENT
AND WIRING
TECHNIQUES
Magnetic navigation
• Magnetic navigation wire
• Stereo taxis Magnetic Radio Frequency Guide
wire
• Magnetic navigation micro robot
CTO-MANAGEMENT
AND WIRING
TECHNIQUES
Complications
CTO-MANAGEMENT
AND WIRING
TECHNIQUES
Northeast
Georgia
Heart Center
CTO PCI
• Have clear cut indications for PCI
• Proper case selection for operator skills
• Have pre-defined limits for stopping
• Avoid preventable complications
• excess contrast, radiation
• Failed PCI is not a bad outcome
• Stage 2 may yield better result
Summary
CTO-MANAGEMENT AND WIRING
TECHNIQUES
Northeast
Georgia
Heart Center
FINALLY
STOP QUESTIONING
Why should we open the occluded vessel?
CTO-MANAGEMENT AND WIRING
TECHNIQUES
Northeast
Georgia
Heart Center
• START QUESTIONING
What is the justification to leave the vessel closed?
CTO-MANAGEMENT AND WIRING
TECHNIQUES
Northeast
Georgia
Heart Center
THANK YOU
CTO-MANAGEMENT AND WIRING
TECHNIQUES

Chronic total occlusion (CTO)

  • 1.
    Chronic total occlusion- Managementstrategies and Wiring Techniques
  • 2.
    DEFINITION • >99% stenosed •Duration >3 months • TIMI 0-1 CTO-MANAGEMENT AND WIRING TECHNIQUES
  • 3.
    Histopathology • Organized thrombus. •Fibrotic plaque • Calcified lesions. • Proximal/ distal fibrous cap • Micro channel in the occlusion segment CTO-MANAGEMENT AND WIRING TECHNIQUES
  • 4.
  • 5.
  • 6.
  • 7.
    Micro channels insidethe occlusion • Often extend to small side branch & to adventitia • Extravascular micro channels in early phase of occlusion • More mature CTO –intravascular channels increase • Matured CTO - both fewer • Longitudinal continuity – 85% of entire length of CTO CTO-MANAGEMENT AND WIRING TECHNIQUES
  • 8.
    Why Bother todo PCI? Chronic Total Occlusion (CTO) Because successful CTO recanalization may result in Angina/Ischemia relief Freedom from subsequent CABG Improved LV function Improvement in event-free survival Presence of CTO in CAD Imparts Adverse Prognosis
  • 9.
    Series Name/Year Successful PCI (N) FU (months) Asymptomatic (%) Olivari, 2003248 12 89 Berger, 1996 139 6 87 Ivanhoe, 1992 264 36 69 Ruocco, 1992 160 24 69 Bell, 1992 234 32 76 TOTAL >1000 >24 mo >80% CTO Recanalization and Angina Relief Chronic Total Occlusion (CTO)
  • 10.
    Symptom relief • TOAT-GISE(Total Occlusion An-gioplasty Study–Società Italiana di Cardiologia Invasiva) trial, CTO-PCI success - 86%, 70% angina-free survival (p=0.008) • Cheng et al. Demonstrated that 76% of patients with CTO who were treated with PCI experienced an improved angina classification, whereas 17% of patients who were not treated with PCI improved (p<0.05). CTO-MANAGEMENT AND WIRING TECHNIQUES
  • 11.
    Meta-Analysis of CTOOutcomes Joyal et al., Am Heart J 2010;160:179. 13 Observational Studies, 7288 patients weighted averaged follow-up 6 years OR for Success vs. Failure 95% Cl p Value Mortality 0.56 0.43-0.72 <0.001 MI 0.74 0.44-1.25 0.26 Subsequent CABG 0.22 0.17-0.27 <0.001 Residual Angina 0.45 0.30-0.67 0.001
  • 12.
    Evaluation of LVFunction 3-Yrs after Percutaneous Recanalization of CTO Kirschbaum S et al, Am J Cardiol 2008;101:179 Changes in LV Volume Indexes and EF between Baseline and 3-Yr FU Measured Using Magnetic Resonance Imaging (N=21) Mean ejection fraction improved slightly, but end-systolic and end- diastolic volume indexes decreased significantly. 35 30 86 636078
  • 13.
    • A 3.8%to 8.4% absolute reduction in mortality was associated with successful versus failed CTO-PCI. Survival advantage CTO-MANAGEMENT AND WIRING TECHNIQUES
  • 14.
  • 15.
    Northeast Georgia Heart Center 2011 ACCF/AHA/SCAIPCI Guidelines What We Can Do • Class IIa Recommendation • PCI of a CTO in pts with appropriate clinical indications and suitable anatomy is reasonable when performed by operators with appropriate expertise (Level of Evidence: B) Levine GN, et al. JACC doi:10.1016/j.jacc.2011.08.007 PCI of CTO CTO-MANAGEMENT AND WIRING TECHNIQUES
  • 16.
    • Symptoms ▫ ACTO with well developed collaterals is hemodynamically similar to 90% coronary stenosis without collaterals – significant recovery of ventricular function is expected • Viable myocardium ▫ Recovery of LV function depends on the presence of hibernating viable myocardium • Success ▫ If the likelihood of success is moderate to high (>60%) and the likelihood of complications less, PCI is encouraging. Patient selection CTO-MANAGEMENT AND WIRING TECHNIQUES
  • 17.
    Appropriate Use Criteria2012 Stress test results, Medications Asx CCS 1-2 CCS 3-4 Low risk, No / min meds I (1) I (2) I (3) Low risk, Max meds I (1) U (4) U (6) Intermed risk, No / min meds I (3) U (4) U (6) Intermed risk, Max meds U (4) U (5) A (7) High risk, No / min meds U (4) U (5) A (7) High risk, Max meds U (5) A (7) A (8) CTO (no other CAD) CTO-MANAGEMENT AND WIRING TECHNIQUES
  • 18.
    Barriers • Complications • Failurerates • Economic burden • CIN CTO-MANAGEMENT AND WIRING TECHNIQUES
  • 19.
    Economic burden Repeat procedures •Fluoroscopy • Hardware more CTO-MANAGEMENT AND WIRING TECHNIQUES
  • 20.
    Complications • Impairment ofcollateral flow ▫ spasm, shearing off side-branches and collateral by dissection, distal embolization • Dissection with branch occlusion & Perforation ▫ intra-wall balloon expansion, side-branch dilatation, damage of neochannels connecting vasa vasorum • Guidewire entrapment • Subacute vessel reocclusion ▫ 8% of total occlusion within 24hr Vs. 1.8% of non total occlusion • CIN • Radiation CTO-MANAGEMENT AND WIRING TECHNIQUES
  • 21.
    Reasons • Not ableto cross guidewire – 63% • Long intimal dissection – 24% • Dye extravasation – 11% • Balloon did not cross or dilate – 2% • Thrombus – 1.2% Kinoshita I, et al. JACC 1995;26:409-411 CTO-MANAGEMENT AND WIRING TECHNIQUES
  • 22.
    Predictors of failure •Clinical- ▫ Duration - >3-6 monthS ▫ CRF • Angiographic ▫ Calcification(at entry point/at distal cap) ▫ Blunt stump ▫ >45 angulation of target vessel ▫ Length of occlusion >15-20mm ▫ Vessel <3mm ▫ Multiple lesions in target artery ▫ Lack of distal vessel filling ▫ Bridging collaterals and side branch CTO-MANAGEMENT AND WIRING TECHNIQUES
  • 23.
    Predictors of successor failure in PCI of CTO Predictors of success Duration < 3 months Antegrade flow + Tapered morphology + Bridging collaterals – Side branch – lesion length < 15 mm Single vessel disease Predictors of failure Duration > 3 months Antegrade flow – Tapered morphology – Bridging collaterals + Side branch +, ostial lesion lesion length > 15 mm Multi vessel disease Vessel & lesion tortuosity & calcification Bridging collaterals are more common in lesions > 3 months old. Extensive bridging collaterals that form caput medusae around the occluded vessel are generally not suitable for PCI CTO-MANAGEMENT AND WIRING TECHNIQUES
  • 24.
    Predictors of ProceduralSuccessTOAT - GISE CTO-MANAGEMENT AND WIRING TECHNIQUES
  • 25.
  • 26.
  • 27.
  • 28.
    Preprocedure planning Paramount importance– planning reduces difficulties half way through the procedure Spend time examining diagnostic films or angiogram & decide on Approach ,vascular access, guide shape & size dedicated equipment availability Discourage routine adhoc CTO PCI Occluded & contralateral vessel reviewed in multiple projection frame by frame to understand complete anatomy identify proximal & distal cap vessel course & side branch calcification details of collateral circulation Contrast volume defined prior to procedure - 4xGFR(ml) EURO CTO club;2012 consensus CTO-MANAGEMENT AND WIRING TECHNIQUES
  • 29.
    Precautions ▫ Covered stents ▫Embolization coils ▫ Pericardiocentesis trays ▫ Thrombectomy devices CTO-MANAGEMENT AND WIRING TECHNIQUES
  • 30.
    Role of dualinjection Critical for performing CTO PCI–in all cases with good contralateral collaterals Allows for optimal visualization of CTO vessel Crucial for determining lesion length, size & location of distal target vessel To assess any bifurcation at distal cap Assess presence, size & tortuosity of collateral vessel Best performed At low magnification ,prolonged imaging exposure No table panning - allows for optimal delineation of CTO segment collateral vessel location & course JACC intrvn2012;5:367-79 CTO-MANAGEMENT AND WIRING TECHNIQUES
  • 31.
    First inject donor– then occluded vessel – minimize radiation Septal collaterals best visualized –RAO cranial OR straight RAO Epicardial collaterals need tailored view more often from diagonal ,LCX or PLV LAO & RAO cranial – Best to image distal lateral wall collaterals (OM-PLV, diagonal to diagonal/OM connections) RAO & AP caudal- proximal OM collaterals and those in AV groove JACC intrvn2012;5:367-79 CTO-MANAGEMENT AND WIRING TECHNIQUES
  • 32.
    Guide catheter • Firstkey to success • For effective guide wire manipulation : ▫ coaxial orientation of guide catheter important ▫ stability& back up force • RCA - AL1/0.75 with side holes • Sheperd crook RCA - AL1or2 • Prox RCA lesion - JR ( avoid ostial damage) • LCA - Extra back up(XBU,EBU,) • LCX (short left main) - AL1 or2 (better support, co-axial) CTO-MANAGEMENT AND WIRING TECHNIQUES
  • 33.
    Guide catheter • 7For 8F guide catheter ▫ Superior backup support (needed in CTO) ▫ Inter twining is less common while using parallel wires ▫ Switching over to devices like rotablator is easy ▫ Permit better contrast injection. ▫ Radial approach,usually is not preferred for CTO. • Side hole guide catheter is useful for RCA ▫ Maintains perfusion to the sinus node artery & conus branch CTO-MANAGEMENT AND WIRING TECHNIQUES
  • 34.
  • 35.
  • 36.
    CLASSIFICATION OF CTOWIRES CTO-MANAGEMENT AND WIRING TECHNIQUES
  • 37.
    COMMONLY USED CTOWIRES CTO-MANAGEMENT AND WIRING TECHNIQUES
  • 38.
  • 39.
  • 40.
    Fielder™ / FielderFC™ (Asahi Intec Co.) • Special guidewire - distal coil coated with polymer sleeve & further coated with a hydrophilic coating • Provides advanced slip performance & trackability for highly stenosed lesion & tortuous vessels • Very good torque performance • Combines both slide and torque performance • Primary wire used in the retrograde technique of recanalization of CTO CTO-MANAGEMENT AND WIRING TECHNIQUES
  • 41.
  • 42.
  • 43.
    Whisper • Durasteel™ Core-to-tipdesigned to improve steering, durable shape retention and tactile feedback • Full Polymer cover with Hydrophilic coating intended for deliverability and smooth lesion access • Responsease™ “transitionless” core grind designed to provide improved tracking and better torque response • Tip coils designed to provide softer, shapeable tip and also improve tactile feedback CTO-MANAGEMENT AND WIRING TECHNIQUES
  • 44.
  • 45.
    Pilot 200 guidewire(Abbott Vascular). ▫ Polymer-jacket ▫ Moderately high– gram-force (4 to 6 g),, ▫ Non tapered ▫ 0.014-inch guide wire. • For complex lesion crossing, long lesions, knuckle technique, and dissection/re-entry. • Performs well in very tortuous segments with an ambiguous course CTO-MANAGEMENT AND WIRING TECHNIQUES
  • 46.
  • 47.
    Micro catheters • Wireexchange[floppy to dedicated stiffer] • Torque to tip & improve feedback • Tip stiffness of guide wire CTO-MANAGEMENT AND WIRING TECHNIQUES
  • 48.
    Corsair micro catheter(Asahi Intecc) • 2.7-F catheter with OTW hybrid catheter • Both micro catheter and support • Bidirectional wire braiding for torque transmission, and an inner polymer lumen with soft tip for optimal wire control • Cross collateral channels and provides the primary basis for conventional retrograde procedures. • Super selective injection for collaterals • Antegrade direction for wire support. CTO-MANAGEMENT AND WIRING TECHNIQUES
  • 49.
    The Corsair catheteris advanced by rotation in either direction. The Corsair should not be over-rotated (10 consecutive turns without release) as over-rotation could cause catheter kinking CTO-MANAGEMENT AND WIRING TECHNIQUES
  • 50.
    Tornus micro catheter(Asahi Intecc) • Braided-wire mesh OTW microcatheter with left- handed thread allowing for channel preparation and lesion crossing in resistant occlusions. • Advanced using counterclockwise rotation and removed using clockwise rotation. • Guidewire should remain within the Tornus inner lumen during manipulations, and over-rotation should be avoided to minimize the risk of kinking. • Contrast injections should not be performed through the Tornus, as the contrast escapes through the wire braid. CTO-MANAGEMENT AND WIRING TECHNIQUES
  • 51.
  • 52.
  • 53.
  • 54.
    Lesion crossing andlumen re-entry technologies • CrossBoss catheter (BridgePoint Medical, Plymouth, Minnesota) • Stingray balloon and Stingray guidewire systems (BridgePoint Medical). CTO-MANAGEMENT AND WIRING TECHNIQUES
  • 55.
    STRATEGIES Antegrade approach Retrogradeapproach ▫ SINGLE WIRE ▫ DOUBLE WIRE  Parallel wiring  Seesaw wiring  Subintimal tracking and reentry  IVUS guided approach  Retrograde wire crossing  Kissing wire technique  Knuckle wire technique  CART  Reverse CART CTO-MANAGEMENT AND WIRING TECHNIQUES
  • 56.
    Wire escalation strategy •1. Floppy wire as the 1st wire • 2. Intermediate or MIRACLE 3 • 3. MIRACLE 6 • 4. MIRACLE 12 or Conquest Family CTO-MANAGEMENT AND WIRING TECHNIQUES
  • 57.
    • Wire shaping 1ºbendof 30-45º 1-2mm from tip Find softest part 2ºbend-10-15º @3-6mm Work as a navigator to orient tip CTO-MANAGEMENT AND WIRING TECHNIQUES
  • 58.
    Tip curve shouldbe just larger than lumen diameter CTO, the lumen diameter = 0 mm For CTO lesion – Guide wire-tip curve should be very small Larger curve may hurt the vessel wall during direction control CTO-MANAGEMENT AND WIRING TECHNIQUES
  • 59.
    Guide wire negotiation •Different methods • Sliding AT proximal cap • Drilling inside CTO • Penetration Distal cap CTO-MANAGEMENT AND WIRING TECHNIQUES
  • 60.
    •Simultaneous rotation &probing of lesion •High chance of entering to subintimal space ( tactile response - nil ) SLIDING •Recent occlusion •Predominance of micro channels •Extremely low friction wires for picking micro channels used • Recent total, subtotal occlusion ,ISR attempted with this strategy •Long duration – Micro channels replaced by fibrotic tissue CTO-MANAGEMENT AND WIRING TECHNIQUES
  • 61.
    BEWARE bridging collateralsmasquerading as microchannel Polymer sleeved wires NOT forced against resistance, small tip bend, probing with mild rotation Soft wires with polymer sleeve – Fielder series/ Whisper/ PT II CTO-MANAGEMENT AND WIRING TECHNIQUES
  • 62.
    Drilling Strategy • Ifdiscrete entry point present •Technique short curve(2mm) @45-60º to distal tip sometimes a secondary curve given proximally wire advanced with rapid rotational tip and gentle probing start with MOD stiffness – progressive increase in stiffness Entry to false lumen judged by tactile feel on pulling stiff wire •Reserved for the most skilled and experienced operator •Ineffective with Blunt entry ,heavily calcific & resistant lesions CTO-MANAGEMENT AND WIRING TECHNIQUES
  • 63.
  • 64.
    Penetration •Technique Pushing stiff wireslowly& gradually – minimum rotation to target direction Tapered tip wires Softer tip intially progressively stiffer wires Route determined – various angio findings in multiple views, not by tactile feel •Useful for blunt ,heavily calcific or resistant lesions •Not for CTO with tortuous angulated or bridging collaterals because of higher chance of perforation Drilling & penetration – guide support & tipload important Tip load - success - chance of perforation CTO-MANAGEMENT AND WIRING TECHNIQUES
  • 65.
    Penetration power =tipload/tiparea CTO-MANAGEMENT AND WIRING TECHNIQUES
  • 66.
    • Tactile sensations ▫Feeling of the dimple at the entry point, especially in the abrupt type of CTO entry ▫ Feeling of strong resistance when pulling back the wire inside the CTO body, —in this situation, the wire tip has most likely migrated into the subintima. ▫ Feeling of no resistance the wire tip moves freely—this most likely means that the wire tip is either in the true lumen or in the extravascular space CTO-MANAGEMENT AND WIRING TECHNIQUES
  • 67.
    Anchoring wire technique ▫Guiding catheter is unstable ▫ One wire is positioned in a prox side branch ▫ Other wire for crossing of the occlusion CTO-MANAGEMENT AND WIRING TECHNIQUES
  • 68.
    Anchoring wire • Sidebranch protection ▫ Occlusion is long/ distal to side branch • Correction of tortuosities ▫ Proximal tortuosities • Buddy wire technique ▫ Facilitate passage of stent in complex lesions ▫ Serves as rail support. CTO-MANAGEMENT AND WIRING TECHNIQUES
  • 69.
    Double wire • Parallelwire technique CTO-MANAGEMENT AND WIRING TECHNIQUES
  • 70.
    1st wire infalse channel left in situ 2nd stiffer wire advanced parallel to first wire in same path redirected to enter distal true lumen main pitfall is wire twisting each other Support catheter use, appropriate wire selection& handling –essential to avoid wire twisting Main purpose : - redirecting a wire inside body of a cto & puncturing distal fibrous cap Important prerequisite – distal vessel visualization CTO-MANAGEMENT AND WIRING TECHNIQUES
  • 71.
  • 72.
    See-Saw Wiring • Modificationof parallel wire technique • Uses 2 microcatheters or OTW baloons • When first wire fails , 2nd wire with microcatheter or OTW baloon is inserted • Risk – false lumen may enlarge – procedure failure CTO-MANAGEMENT AND WIRING TECHNIQUES
  • 73.
  • 74.
    Success • (1) Anglebetween direction in which the wire lies and the bifurcating side branch is less than 90°; • (2) No diffuse plaque build-up about the true lumen in the distal portion of the CTO • (3)True lumen to the ostium of the side branch, the wire must be just to the side of the true lumen in the distal part of the CTO CTO-MANAGEMENT AND WIRING TECHNIQUES
  • 75.
    Open sesame technique •Hard plaque • Failed even with conquest pro 8-20 • Side branch just in front of proximal cap • Pass stiff guide wire and/ or a balloon into side branch. • Distortion of geometry • Enables guide wire to advance into true lumen. CTO-MANAGEMENT AND WIRING TECHNIQUES
  • 76.
  • 77.
  • 78.
    Dissection reentry techniques •STAR -Uncontrolled • LAST - Somewhat controlled • Dedicated systems -Controlled CTO-MANAGEMENT AND WIRING TECHNIQUES
  • 79.
    • Subintimal trackingand rentry technique Used when attempts to recanalize true lumen failed 0.014 hydrophilic wire with J configration used(whisper,pilot) Hydrophilic wire pushed through subintimal dissection plane When pushed distal to occlusion J tip directed to truelumen In an attempt to reenter the true lumen •Successful in those with previous attempt failed •High chance of perforation STAR Technique CTO-MANAGEMENT AND WIRING TECHNIQUES
  • 80.
  • 81.
    Knuckle wire technique •Polymerjacket wire (fielder XT or pilot- 200)manipulated • To create wire loop – advanced subintimally across CTO •OTW system advanced to this area- rentry to true lumen with a stiffer wire or pilot 200 CTO-MANAGEMENT AND WIRING TECHNIQUES
  • 82.
    LAST technique • Toinitiate subintimal angioplasty and to enter CTO body to limit long false lumens CTO-MANAGEMENT AND WIRING TECHNIQUES
  • 83.
    Cross Boss catheter •Metal OTW micro catheter with rounded tip to prevent vessel exit • Device rotated rapidly in either direction using fast spin • Can advance through the CTO without a wire in the lead • Subintimal position- true lumen reentry performed • Smaller subadventitial space – less likely to accumulate blood CTO-MANAGEMENT AND WIRING TECHNIQUES
  • 84.
  • 85.
    Sting ray balloon& guide wire system 1mm flat balloon with 3 exit ports connected to the same lumen Distal exit port – for balloon positioning Uses guide wire with extreme tapered tip (0.0025) for reentry Distal true lumen entry confirmed by contralateral injection CTO-MANAGEMENT AND WIRING TECHNIQUES
  • 86.
  • 87.
  • 88.
    RETROGRADE APPROACH • Initiallyused after a failed antegrade approach • Now used as initial strategy in challenging cases ▫ Ostial occlusion ▫ Large side branch at proximal cap ▫ Long occlusion (>30mm) ▫ Severe tortuosity or calcification ▫ Without stump ▫ Visible continuous collaterals CTO-MANAGEMENT AND WIRING TECHNIQUES
  • 89.
    Collateral selection Preference -Bypass graft > septal > epicardial Selective injection of collateral Surfing technique for crossing invisible septal collateral Wiring collateral – achieved with OTW system or dedicated septal dilator(corsair) Contrast injection to assess best connection CTO-MANAGEMENT AND WIRING TECHNIQUES
  • 90.
    Hydrophillic polymer jacketwire with <1mm 30-45º tip used to cross recipient artey Fielder FC,Pilot-50,Whisper, Choicept,Runthrough Wire should move freely - difficulty to advance – perforation? whipping of wire - RV or LV entry (rarely pericardium) Of no consequence if recognized before advancing OTW system Collateral dilatation using 1.5 mm balloon @ 1-2 atm or Corsair Epicardial collaterals size most important factor in wiring success should never be dilated CTO-MANAGEMENT AND WIRING TECHNIQUES
  • 91.
    Antegrade crossing • Simplestform of retrograde technique • Retrograde wire advanced to distal cap • Acts as a marker of distal true lumen • Serves as a target for antegrade wire CTO-MANAGEMENT AND WIRING TECHNIQUES
  • 92.
    Kissing wire Manipulation ofboth antegrade and retrograde wires in CTO until they meet Antegrade wire follow channel made by retrograde wire in true lumen of distal vessel CTO-MANAGEMENT AND WIRING TECHNIQUES
  • 93.
    Retrograde true lumenpuncture Most pure form of retrograde technique(only in 40% retro tech) Hydrophilic wire advanced to the lesion Advancement of microcatheter or OTW baloon – additional support CTO crossed retrogradely using hydrophillic wire or stiffer wire Maneuvers to enhance chance of crossing Inflating retrograde baloon - coaxial anchor Stiffer tapered tip or hydrophilic wires IVUS facilitation of retrograde wire to proximal true lumen CTO-MANAGEMENT AND WIRING TECHNIQUES
  • 94.
  • 95.
    • Basic concept–create subintimal dissection with limited extension only at the site of a CTO. • Antegrade wire advanced into CTO then to subintimal space. • Retrograde wire through collateral with microcatheter to distal end of CTO - into the CTO- then to subintimal space. • Baloon inflation inside CTO using small balloon over the retrograde wire in subintima • Balloon inflated inside CTO • To keep inflated space open deflated baloon left in subintimal space C A R T Controlled antegrade & retrograde subintimal tracking CTO-MANAGEMENT AND WIRING TECHNIQUES
  • 96.
    Two subintimal dissectionprovide reentry space for antegrade wiring Antegrade wire advanced along deflated retrograde balloon into the distal true lumen Limited subintimal tracking (dissection) only in CTO segment Avoids difficulty of reentering distal true lumen Dilatation and stent implantation after successful recanalization CTO-MANAGEMENT AND WIRING TECHNIQUES
  • 97.
  • 98.
    Use smallest sizedbaloon inside CTO to create sufficient wire reentry space Access to distal CTO mainly via septal collatrels, by polymer jacket wire over microcatheter or otw baloon Septal channel dilatation at 1.25mm baloon at low pressure Major limitations Limited access of collateral channels to target CTO Empiric estimation of retrograde baloon size Overall unpredictable procedure time CTO-MANAGEMENT AND WIRING TECHNIQUES
  • 99.
    Reverse CART technique •Engage a guidewire retrogradely in the distal cap of the CTO • Another wire anterogradely in the proximal cap of the CTO • Retrograde wire advanced in subintimal space into CTO lesion • Subintimal channel is enlarged by anterograde balloon • Plaque dissection and modification of the lesion • Retrograde wire advanced to cross the dissection • Link up with the anterograde wire in proximal true lumen • Wire externalized (Exchange length) • Anterograde PCI done CTO-MANAGEMENT AND WIRING TECHNIQUES
  • 100.
  • 101.
    KNUCKLE WIRE TECHNIQUE Bestsuited for long segment of occlusion Retrograde wire usually a polymer jacket wire manipulated to form a loop at wire tip advanced in subintimal space across CTO Eg: Fielder XT or Pilot-200 Rounded wire loop advanced in subintimal space across CTO without causing perforation OTW system advanced to this area followed by attempt to reenter true lumen using a stiff wire with short bend or hydrophillic wire Eg: Confianza Pro 12 or Pilot 200 CTO-MANAGEMENT AND WIRING TECHNIQUES
  • 102.
  • 103.
  • 104.
  • 105.
  • 106.
  • 107.
    Treating lesion aftercrossing CTO crossed by antegrade wiring (kissing wire,CART) Antegrade CTO PCI can be done Retrograde balloon can trap antegrade wire to facilitate procedure Retrograde wire crosses to true lumen Options : Antegrade wiring Retrograde wire externalization Retrograde stent delivery DES is preferred in CTO PCI CTO-MANAGEMENT AND WIRING TECHNIQUES
  • 108.
  • 109.
  • 110.
  • 111.
  • 112.
    IVUS Navigated Wiring IVUS– Depict cross sectional view of coronary tree IVUS focus on plaque distribution, calcification, reference vessel size & side branch anatomy Applicability of IVUS in CTO PCI 1)Side branch method to navigate CTO wire into true lumen from proximal cap 2)Subintimal rentry from the proximal true lumen IVUS guided subintimal rentry – Last resort for getting a subintimal wire into distal true lumen Applicable even after losing site of distal vascular bed on angio CTO-MANAGEMENT AND WIRING TECHNIQUES
  • 113.
    •1.5-2mm baloon dilatationin presumed subintimal space •IVUS is advanced into the space monitored to orient 2nd wire to true lumen Key points a) Ability to translate cross sectional image into 3D needed b) 2nd stiff tapered wire over micro catheter - 8f guide mandatory c) Reentry point should be closer to proximal cap d) Contrast injection should be withheld esp after small ballon dilatation CTO-MANAGEMENT AND WIRING TECHNIQUES
  • 114.
  • 115.
  • 116.
  • 117.
  • 118.
  • 119.
  • 120.
  • 121.
  • 122.
  • 123.
  • 124.
  • 125.
  • 126.
  • 127.
  • 128.
  • 129.
    Debulking of calcificlesion • Rotational atherectomy • Directional atherectomy • Silverman plaque excision system • Excimer Laser atherectomy CTO-MANAGEMENT AND WIRING TECHNIQUES
  • 130.
  • 131.
    Magnetic navigation • Magneticnavigation wire • Stereo taxis Magnetic Radio Frequency Guide wire • Magnetic navigation micro robot CTO-MANAGEMENT AND WIRING TECHNIQUES
  • 132.
  • 133.
    Northeast Georgia Heart Center CTO PCI •Have clear cut indications for PCI • Proper case selection for operator skills • Have pre-defined limits for stopping • Avoid preventable complications • excess contrast, radiation • Failed PCI is not a bad outcome • Stage 2 may yield better result Summary CTO-MANAGEMENT AND WIRING TECHNIQUES
  • 134.
    Northeast Georgia Heart Center FINALLY STOP QUESTIONING Whyshould we open the occluded vessel? CTO-MANAGEMENT AND WIRING TECHNIQUES
  • 135.
    Northeast Georgia Heart Center • STARTQUESTIONING What is the justification to leave the vessel closed? CTO-MANAGEMENT AND WIRING TECHNIQUES
  • 136.

Editor's Notes

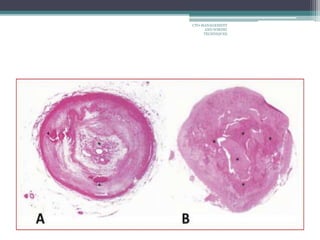
  • #3 Some classifications,early chronic 1-3months,late chronic >3 months
  • #6 Movat-Stained Sections Showing Temporal Changes in Vessel Size and Intraluminal Microvessels Representative histological sections of occlusions at 2(A),6(B),12(C), and 24 weeks (D). There was marked reduction in vessel size at 6 weeks (note the differ-ences in calibration). Microvessels (indicated by*) were maximal at 6 weeks with a decrease at the later time period.
  • #7 The cross-sectional histopathological images of angiographically occluded coronary artery in the different occluded period.(A) 1.5-year chronic total occlusion that has organized thrombus with microchannel in original lumen area(*) with some calcification(arrowhead) in dense fibrous tissue. (B) 5-year chronic total occlusion in which much calcium(*) was observed without microchannels.
  • #59 Increasingly, the Japanese are using the Gaia wire (Asahi Intecc) during wire escalation. This is a novel CTO wire utilising composite core technology that theoretically allows greater directional control within the body of the CTO without compromising penetration power
  • #90 A guidewire technique in PCI for CTOs that starts with the intermediate guidewire and moves to the Confianza Pro tapered guidewire, either alone or by performing a see-saw or parallel-wire technique, can achieve a high initial success rate with an acceptably low major complication rat
  • #92 SAFER STAR TECHNIQUE-CARLINO CONTRAST ASSISTED,MINI STAR-GALASSI,PROXIMAL CAP PENETRATED AND THEN INTO FALSE LUMEN,SHORTER FALSE LUMEN
  • #147 CRONUS-1ST GEN WIRE,NOW TITAN SERIES,PEGASUS SERIES WIRES