CHRONIC PANCREATITIS
MODERATORS
DR R B DHADED
DR S S KARBHARI
DR SANJEEV PATIL
DR AMARESH BIRADAR
PRESENTOR
DR RINALDO M, MS POST GRADUATE
MR MEDICAL COLLEGE,GULBARGA
(MBBS- STANLEY MEDICAL COLLEGE, CHENNAI)
History
 Herophilus, Greek surgeon first described pancreas.
 Wirsung discovered the pancreatic duct in 1642.
 Pancreas as a secretory gland was investigated by Graaf in 1671.
 R. Fitz established pancreatitis as a disease in 1889.
 Whipple performed the first pancreatico-duodenectomy in 1935
and refined it in 1940.
Anatomy of Pancreas
 Weight: 75 - 125 g
 Size: 10 to 20 cm
 It lies in the retro peritoneum just anterior to the first lumbar vertebrae
 Anatomically divided into four portions, the head, neck, body and tail.
Ducts of Pancreas
 Main duct of pancreas (Duct of Wirsung): It begins in the tail of pancreas and
runs on the posterior surface of the body and head of pancreas, receives
numerous tributaries at right angle along its length (‘Herring bone pattern’).
 It joins the bile duct in the wall of the second part of duodenum to form
hepatopancreatic ampulla (of Vater) and opens on the summit of major
duodenal papilla (8-10 cm from pylorus).
 Accessory pancreatic duct (Duct of Santorini): It begins in the lower part of
the head and opens into the duodenum at minor duodenal papilla (6-8 cm
from the pylorus).
Blood Supply of Pancreas
 Pancreatic branches of splenic artery
 Superior pancreaticoduodenal artery
 Inferior pancreaticoduodenal artery
The venous drainage mimics the arterial supply and drains into portal vein
Nerve Supply
 Parasympathetic supply is from vagus and sympathetic innervation is from splanchnic nerves.
Physiology
 The human pancreas is a complex gland, with endocrine and exocrine
functions.
 It is mainly composed of acinar cells (85%) and islets cells (2%) embedded in a
complex extracellular matrix(10%). The remaining 3% to 4% is comprised of
the epithelial duct system and blood vessels
Physiology
 Secretion/day: 2.5ltrs( bicarbonate rich)
 Three phases of secretion
 Cephalic : 20%( vagal Ach)
 Gastric : 10%(gastric distention- vagovagal reflex)
 Intestinal: 70%(secretin , cholecystokinin)
Physiology
 Exocrine secretion: Acinar cells synthesize many enzymes (proteases) that
digest food proteins
 trypsin, chymotrypsin, carboxypeptidase, elastase.
 Acinar cells synthesize these proteases as inactive proenzymes (intracellular
zymogen granules)
 Duodenal mucosa secretes enterokinase- causes enzymatic activation of
trypsin from trypsinogen
 Trypsin causes autoactivation of trypsinogen and other proenzymes
Physiology
 Acinar cells also produce pancreatic amylase and lipase as active enzymes.
 With the exception of cellulose, pancreatic amylase hydrolyzes major
polysaccharides into small oligosaccharides, which can be further digested by
the oligosaccharidases present in the duodenal and jejunal epithelium.
 Pancreatic lipase hydrolyzes ingested fats into free fatty acids and 2-
monoglycerides.
 Acinar cells also produce other enzymes that digest fat, but they are
secreted as proenzymes- colipase, cholesterol ester hydrolase, and
phospholipase A2
Autoprotection
 Pancreatic enzymes are inactive inside acinar cells because they are synthesized and stored
as inactive enzymes
 Acinar cells synthesize pancreatic secretory trypsin inhibitor, which also protects acinar
cells from autodigestion because it counteracts premature activation of trypsinogen inside
acinar cells (encoded by serine protease inhibitor Kazal type1 (SPINK-1) gene –
 Mutations are associated with the development of chronic pancreatitis, especially in
childhood.
Physiology
 Endocrine part constitutes islets of pancreas which is distributed more
numerous in tail of pancreas.
α cells secrete glucagon
β cells secrete insulin
δ cells secrete Somatostatin
PP cells secrete Pancreatic polypeptide
CHRONIC PANCREATITIS
 The hallmark of chronic pancreatitis is the persistent inflammation and
irreversible fibrosis associated with atrophy of the pancreatic parenchyma.
 Associated with chronic pain and endocrine and exocrine insufficiency that
significantly decrease the quality of life.
 Chronic pancreatitis affects between 3 and 10/100,000 persons.
Risk Factors
 Heavy alcohol consumption (MCC) – 70-80%
 Chronic duct obstruction
 Trauma
 Pancreas divisum,
 Cystic dystrophy of the duodenal wall,
 Hyperparathyroidism,
 Hypertriglyceridemia,
 Autoimmune pancreatitis,
 Tropical pancreatitis
 Hereditary pancreatitis
 Idiopathic
Etiologic factors associated With CP: TIGAR-O
Toxic metabolic hypothesis- Alcohol Abuse
 Alcohol increases the total protein concentration in the pancreatic juice, it
promotes the synthesis and secretion of lithostathine by acinar cells, and
increases glycoprotein 2 (GP2) secretion in pancreatic juice.
 These factors lead to protein precipitation and subsequent formation of
protein plugs and eventually stones inside the pancreatic duct
 Fatty acid ethyl esters and reactive oxygen species, cause fragility of intra-
acinar organelles such as zymogen granules and lysosomes, which leads to
abnormal pancreatic enzyme activation inside acinar cells.
 Acetaldehyde, another alcohol metabolite, causes direct acinar injury
Necrosis fibrosis hypothesis
 chronic necrosis and inflammation (necroinflammation) induce the release of
inflammatory mediators such as platelet-derived growth factor, TGF-β, TNF-
α, IL-1, and IL-6 which are known to activate PSCs pancreatic stellate cells
(PSCs)
 chronic necroinflammation induced by ethanol activates PSCs and induces
pancreatic fibrosis.
Ductal obstruction hypothesis
Chronic
alcohol use
acinar and
ductal cell
protein rich
pancreatic
juice, low
in volume
and HCO3
formation
of protein
precipitates
– plug
calcification
of ppt –
ductal
stone
formation
ductule
obstruction
parenchym
al damage
Pancreatic ductal stone are seen in
alcoholic, tropical, hereditary, idiopathic
Sleisenger and Fordtran’s - 9th edition.
• Cystic fibrosis is assosiated with
abnormalities of HCO3 secretion, ductal
dilatation, ppt formation, pancreatic atrophy
• Seen in 50% of idiopathic CP, not common in
alcoholic CP
CFTR –
cystic fibrosis
trans-membrane
conductance
regulator
• Seen in pediatric Idiopathic CP, hereditary
Pancreatitis, Tropical Pancreatitis; but
not in chronic alcoholic pancreatitis
SPINK1 - serine
protease inhibitor
Kazal type 1
Genetic forms
• Once trypsinogen is activated to trypsin,
becomes resistant to inactivation and
activate other proenzymes leading to
episodes of acute pancreatitis– like
necrosis fibrosis theory
PRSS1 – cationic
trypsinogen gene
Spectrum of Chronic Pancreatitis
 Early – pancreatic oedema – chronic inflammation, normal secretary function
 Moderate – early fibrosis; only few acinar cells –exocrine dysfunction
 Late – fibrosis – loss of secretary function – diabetes mellitus
Pain hypothesis in pancreatitis
Acute and chronic inflammation of the pancreas.
 Increased pressure within the pancreatic ductal system and parenchyma,
ductal dilatation, stasis.
 Ischaemia of the parenchyma secondary to increased interstitial pressure.
 Over expression of a particular protein in pancreatic nerve fibres.
 Pancreatic nerve growth factor released by degenerating acinar cells and its
high affinity receptor that promotes nerve growth and repair.
Classification
Types of Chronic Pancreatitis
Autoimmune Pancreatitis
 chronic inflammatory disorder that involves the pancreas.
 Type 1 is the most common
 more common in men than women
 80% of patients are older than 50 years
 Patients with autoimmune pancreatitis can develop acute symptoms such as
jaundice or AP, closely mimicking patients with pancreatic adenocarcinoma
 Tropical pancreatitis is one of the most common forms of
chronic pancreatitis in certain areas of southwest India.
 Tropical pancreatitis is generally a disease of youth and early
adulthood, with a mean age at onset of 24 years.
 Tropical pancreatitis accounts for about 70% of all cases of
chronic pancreatitis in southern India, whereas alcohol is a more
dominant cause in the north.
 The disease classically manifests as abdominal pain, severe
malnutrition, and exocrine or endocrine insufficiency.
TROPICAL PANCREATITIS
 One striking feature is the propensity to diabetes, and
endocrine insufficiency appears to be an inevitable
consequence of tropical chronic pancreatitis (often classified as
a specific cause of diabetes called fibrocalculous pancreatic
diabetes).
 Pancreatic calculi develop in more than 90% of patients.
 The pathology is characterized by large intraductal calculi,
marked dilation of the main pancreatic duct, and gland
atrophy.
 The pathophysiology of tropical pancreatitis is unknown, a
number of genetic mutations have been identified, with
mutations in the SPINK1 and chymotrypsinogen genes being
most common.
 Environmental triggers for the disease that have
been proposed include protein-calorie malnutrition,
deficiencies of trace elements and micronutrients
coupled with oxidative stress, cyanogenic glycosides
present in cassava (tapioca—a main dietary
component).
Idiopathic Pancreatitis
Early onset
• 20yr mean age, male=female
• 96% pain
• Calcification, exocrine or endocine insufficiency
develop slowly over time – 25, 26 -27.5 yrs
• CFTR, SPINK1 genes
Late onset
• Pain is less frequent 54%-75%
• Age of onset 56yrs, m=f
• 90% calcification is seen
PAIN
inflammation
duct
obstruction
high
pancreatic
tissue pressure
fibrotic
encasement of
sensory nerves
neuropathy
Parameter Type I IDDM Juvenile
Onset
Type II NIDDM Adult
Onset
Type III Apancreatic
Postoperative Onset
Ketoacidosis Common Rare Rare
Hyperglycemia Severe Usually mild Mild
Hypoglycemia Common Rare Common
Peripheral insulin
sensitivity
Normal or increased Decreased Increased
Hepatic insulin sensitivity Normal Normal or decreased Decreased
Insulin levels Low High Low
Glucagon levels Normal or high Normal or high Low
Pancreatic polypeptide
levels
High High Low
Typical age of onset Childhood or adolescence Adulthood Any
Clinical Features
 Pain in epigastric region, persistent and severe, which radiates to back
 Exocrine dysfunction: Diarrhoea, asthenia, loss of weight and appetite, steatorrhoe,
malabsorption
 Endocrine dysfunction: Diabetes mellitus
 In severe cases, diseases associated with fat-soluble vitamin deficiency, such as bleeding,
osteopenia, and osteoporosis develop
 Mild jaundice is due to narrowing of retropancreatic bile duct and cholangitis
Examination:
 During an attack, patients may assume a
characteristic position in an attempt to relieve their
abdominal pain (leaning forward).
 Occasionally, a tender fullness or mass may be
palpated in the epigastrium, suggesting the presence
of a pseudocyst or an inflammatory mass in the
abdomen.
 Patients with advanced disease (ie, patients with
steatorrhea) exhibit decreased subcutaneous fat,
temporal wasting, sunken supraclavicular fossa, and
other physical signs of malnutrition.
 Jaundice may be seen in the presence of coexistent
alcoholic liver disease or bile duct compression
within the head of the pancreas.
 A palpable spleen may also rarely be found in
patients with thrombosis of the splenic vein as a
consequence of chronic pancreatitis or in patients
with portal hypertension due to coexistent chronic
liver disease.
 Abnormalities of pancreatic structure or function
may take years or even decades to develop, or may
not develop at all.
 All available diagnostic tests are most accurate in far-
advanced disease, when obvious functional or
structural abnormalities have developed.
 Conversely, all diagnostic tests are less accurate in
less advanced or early chronic pancreatitis.
 Functional abnormalities in chronic pancreatitis
include exocrine insufficiency (maldigestion and
steatorrhea), and endocrine insufficiency (diabetes
mellitus).
Test Sensitivity Invasiveness, Risk Cost Comments
USG + 0 + Reasonable screen
Almost 100% specificity
CT ++ 0 ++ Detects advanced
disease
MRI/MRCP +++ 0 +++ Assesses ducts and
parenchyma
Operator dependence
Secretin enhancement
may improve sensitivity
EUS +++ ++ +++ Assesses ducts and
parenchyma
Limited availability
ERCP ++++ +++ +++ Detects early ductal
changes
Hormone-stimulated
PFT
++++ ++ ++ Traditional methods not
widely available
Endoscopic methods in
development
The anatomic proximity of the pancreatic head and stomach antrum is
constant, and enlargement of the pancreatic head usually causes
effacement of the antrum. This finding has been termed the pad sign.
Upper gastrointestinal tract barium
study shows a reverse 3 in the
duodenum due to chronic pancreatitis.
Pancreatic carcinoma can have a
similar appearance
Upper GI tract barium series
ABDOMINAL ULTRASOUND: Ultrasonographic findings
indicative of chronic pancreatitis include dilation of the
pancreatic duct, pancreatic ductal stones, gland atrophy
or enlargement, irregular gland margins, pseudocysts,
and changes in the parenchymal echo texture.
• In late stages of the disease, the pancreas becomes atrophic and
fibrotic, and it shrinks. These changes result in a small, echogenic
pancreas with a heterogeneous echotexture.
• Pseudocysts may occur, and focal hypoechoic inflammatory
masses may mimic pancreatic neoplasia.
• Calculi and calcification in the gland result in densely echogenic
foci, which may show shadow
ULTRASOUND
Currently, CT is regarded as the
imaging modality of choice for the
initial evaluation of suggested
chronic pancreatitis.
The diagnostic features of:
• pancreatic ductal dilatation (68%)
• parenchymal atrophy (54%),
• pancreatic calcifications(50%)
• pancreatic enlargement
• thickening of the peripancreatic
fascia, and
• bile duct involvement
are depicted well on CT scans.
CT Findings
CT ABDOMEN
Investigations
 MRCP
assess both pancreatic parenchyma and ducts at the same time ,to evaluate intraductal
strictures and pancreatic duct disruption
 Plain X-ray shows diffuse( not focal) calcification in 65% of patients.
Chronic Pancreatitis
MRI, particularly MRCP,
is a noninvasive
technique.
The combination of
pancreatic parenchyma
imaging sequences
with MR angiography
and secretin-enhanced
MRCP offers the
possibility of a
comprehensive
examination within a
single diagnostic
modality for evaluation
of the full range of
pancreatic diseases. (A) MRCP demonstrates a "double duct" stricture with proximal dilatation
of the common bile duct and pancreatic duct (arrow). A cystic lesion is seen
between the common bile duct and the duodenal wall. (B) Fat-suppressed
TSE T1-weighted image. Unenhanced (C) and delayed gadolinium-
enhanced (D) T1-weighted images, demonstrate diffuse enhancement of the
sheetlike mass, which corresponded to fibrotic tissue.
Groove pancreatitis
MRI
MRCP
Rosemont Consensus-Based Endoscopic Ultrasound
Features for Diagnosis of Chronic Pancreatitis
Parenchymal Features
 Major A criteria
• Hyperechoic foci with postacoustic shadowing
 Major B criteria
• Honeycombing lobularity*
 Minor criteria
• Hyperechoic, nonshadowing foci ≥3 mm in length and width
• Lobularity including three or more noncontiguous lobules in the body or tail
• Pancreatic cysts ≥2 mm in short axis
• At least three strands†
Ductal Features
 Major A criteria
• Main pancreatic duct calculi‡
 Minor criteria
• Irregular main pancreatic duct contour
• Dilated side branches§
• Main pancreatic duct dilation (≥3.5 mm in the body
or ≥1.5 mm in the tail)
• Hyperechoic main pancreatic duct margin >50% of
the main pancreatic duct in the body and tail*
Diagnosis of Chronic Pancreatitis
• One major A criteria + three or more minor criteria
• One major A criteria + major B criteria
• Two major A criteria
EUS is the most accurate technique to diagnose chronic pancreatitis in patients
with minimal-change disease or in the early stages.
Endoscopic retrograde cholangiopancreatography (ERCP)
Mild pancreatitis
may present with
minimal dilation of
the main
pancreatic duct
and some clubbing
of the side
branches of the
duct
ERCP
Chronic Pancreatitis
Endoscopic retrograde cholangiopancreatography (ERCP)
The patient with
moderately-
staged chronic
pancreatitis
shows moderate
dilation of the
main pancreatic
duct (1.5 times
the normal size)
This is
accompanied by
moderate
clubbing of the
side branches of
the main
pancreatic duct
ERCP
Chronic Pancreatitis
Endoscopic retrograde cholangiopancreatography (ERCP)
A characteristic "chain of
lakes" appearance of the
main pancreatic duct can
be noted on ERCP in
patients with severe
chronic pancreatitis.
The main pancreatic duct
is enlarged (greater than
1.5 times) with increased
tortuosity.
There is severe clubbing
and dilation of the side
branches.
Stone formation and
occlusion of the
pancreatic duct may
occur in this stage of the
disease
ERCP
Investigations
 Secretin cholecystokinin test is the gold standard for assessing pancreatic function.
 After over night fasting, double lumen tube is placed into the duodenum at the level of ligament of
Treitz under C ARM guidance. Gastric and duodenal juices are aspirated.
 Continuous IV secretin 1 u/kg/hour and CCK are infused in 90 minutes. Sampling of duodenal juice is
done in every 10 minutes for one hour for analysis of volume, HCO3-, amylase, lipase and proteases. It
is to assess functional deficiency.
 In chronic pancreatitis volume is normal - > 2 ml/kg but less bicarbonate content - < 80 m Eq/L.
 In malignancy volume is reduced due to obstruction - < 2 ml/kg; bicarbonate level is normal - > 80 m
Eq/L; enzyme levels are normal.
Investigations
Functional tests
 Measurement of the fecal elastase-1 level is the preferred noninvasive study
to diagnose pancreatic exocrine insufficiency.
 above 200 μg/g feces is normal
 between 100 and 200 μg/g - mild to moderate pancreatic insufficiency
 below 100 μg/g -severe pancreatic exocrine insufficiency.
 The fecal fat and weight estimation test measures the fat content of stool
after a nutritional intake of 100 g of fat/day over 3 days. If the stool fat
content exceeds 7 g/day, the diagnosis of steatorrhea is established.
Treatment
 The main goal in the treatment of these patients is palliation of symptoms.
 Optimal treatment requires that a multidisciplinary team follow a
systematized and well-structured therapeutic plan.
 Patient counseling is an important component because current evidence
suggests that this disease is irreversible, but disease progression can be
delayed if the predisposing condition is eradicated.
 Patients should be strongly encouraged to stop drinking and smoking.
Treatment
Conservative
 Avoid alcohol.
 Low fat, high protein, high carbohydrate diet; small and more frequent
meals.
 Pancreatic enzyme supplements, vitamins and minerals, medium chain fatty
acids.
 For pain—analgesics, splanchnic nerve or coeliac plexus block.
 Control of diabetes by oral hypoglycaemics or insulin.
 Somatostatin and its analogues.
 Repeated ascitic taps for pancreatic ascites.
Treatment
 Because most patients develop pain during the natural history of the disease, analgesic
selection is a cornerstone of treatment.
 Nonsteroidal anti-inflammatory drugs (NSAIDs) are the first line of treatment.
 Moderate to severe pain that does not respond to NSAIDs should be treated with
tramadol or propoxyphene.
 Finally, patients with severe pain that does not respond to these recommendations
should be treated with potent long-acting narcotics
Treatment
 Alternative drugs useful in the treatment of other conditions associated with
chronic pain, such as tricyclic antidepressants, selective serotonin reuptake
inhibitors, combined serotonin and norepinephrine reuptake inhibitors, andα2δ
inhibitors may also be considered.
 It is controversial whether pancreatic enzyme replacement helps control the chronic
pain seen in this condition.
 Therapeutic trials with pancreatic enzymes should last at least 6 weeks and should
be given along with proton pump inhibitors because acid suppression improves the
effects of uncoated pancreatic enzymes
Name Dose Lipase/Protease (USP
Units)
Conventional (non-enteric-coated) compounds
Viokase 8 tablets each time 8000/30,000
Ku-Zyme HP 8 tablets each time 8000/30,000
Enteric-coated compounds
Creon 10 2–3 capsules each time 10,000/37,500
Creon 20 2–3 capsules each time 20,000/75,000
Pancrease MT 10 2–3 capsules each time 10,000/30,000
Pancrease MT 16 2–3 capsules each time 16,000/48,000
Medical therapy
Interventional Therapy: Endoscopic Treatment
 ERCP is the primary modality for treating symptomatic pancreatic duct obstruction with dilation and
polyethylene stent placement
 Only after a thorough evaluation, which includes CT, MRCP, and/or EUS, has completely ruled out the
possibility of malignancy should endoscopic treatment be considered.
 Endoscopic stone extraction should be considered for patients with pain and pancreatic duct dilation
secondary to stones.
 Extracorporeal shock wave lithotripsy followed by therapeutic ERCP may be required for the
treatment of large impacted stones.
 Temporary relief of the obstruction using plastic stents is indicated for patients with cholangitis or for
those who are severely malnourished.
Indications for surgery
 Persisting pain - main indication
 Severe malabsorption and Suspicion of malignant transformation
 Multiple relapses
 Complications like pseudocyst, segmental portal hypertension
 Biliary obstruction (Wadsworth syndrome)
 Pancreatic ductal dilatation > 7 mm
 Pancreatic ascites/fistula
 Pancreatic ductal stenosis
Surgical treatment:
I-Pancreatic duct drainage: In patients with a dilated
pancreatic duct, pancreaticojejunostomy is indicated.
II-Pancreatic resection: If the disease is limited to the
head of the pancreas, a Whipple operation
(pancreaticoduodenectomy) can produce good
results.
 In patients with intractable pain and diffuse disease
with nondilated ducts, a subtotal or total
pancreatectomy can be offered.
III-Total pancreatectomy and islet autotransplantation:
 In selected patients, the long-term morbidity caused
by diabetes following total pancreatectomy can be
avoided.
 This involves harvesting the islets from the resected
pancreas and injecting them into the portal system,
which then lodges them in the liver.
Pancreatic Duct Dilation Secondary to
Duct Stones or Strictures
95% subtotal pancreatectomy.
 Distal pancreatectomy—Spleen, body and tail of the pancreas are removed—
Child’s operation.
 Puestow’s operation—As the duct is dilated more than 8 mm, duct can easily
be opened longitudinally. After removing all stones from the duct, it is
anastomosed to the jejunum as side to side Roux-en-Y anastomosis. In
Puestow’s operation spleen is removed.
 The anterior surface of the pancreatic duct is opened
 After all stones are removed, a standard Roux-en-Y is used to create a two-
layer lateral pancreaticojejunostomy.
 The modified Puestow procedure provides palliation of pain in 80% of cases
 Puestow and Gillesby's longitudinal pancreaticojejunostomy
Surgery
 Longitudinal pancreatico-jejunostomy after excision of peripancreatic duct tissue—here superficial
part of the head of pancreas is removed to achieve improved drainage—Frey procedure.
 It is done when ductal dilatation is not adequate; head is more than 4 cm thick. Head coring is done
with retaining 5 mm thick tissue in front of veins, close to duodenum. It shows 75% pain relief in 3
years.
 Also an alternative for patients with a dilated pancreatic duct secondary to a benign stricture in the
head of the pancreas associated with severe inflammation, scarring, or portal hypertension
surrounding the head of the pancreas
 Resection of tail of pancreas with retrograde pancreatico-jejunostomy—Duval procedure.
Frey procedure - intraoperative photographs
Drainage procedures
 Duval’s caudal pancreaticojejunostomy
Pancreatic Duct Dilation Secondary to a Single
Stricture and/or Stone
 As an alternative to a Puestow or Frey procedure, a
pancreaticoduodenectomy can be performed to relieve the obstruction
 Absolutely contraindicated if more than one obstruction is present in the duct
Focal Inflammatory Mass Without Significant
Dilation of the Pancreatic Duct
 Finding a focal mass is concerning because it may represent an area of
pancreatic adenocarcinoma that has developed in the setting of chronic
pancreatitis.
 Resection is recommended for surgical candidates to avoid any error in
diagnosis.
Diffuse Glandular Involvement Without Dilation of
the Pancreatic Duct
 The most effective treatment to eliminate pain is total pancreatectomy
 Islet autotransplantation after total pancreatectomy to prevent the effects of
surgically induced diabetes.
Surgery
 Partington – Rochelle operation: Here longitudinal pancreaticojejunostomy is
done using almost entire laid open pancreatic duct. Spleen is retained in this
procedure. This is now commonly done procedure.
 Total pancreatectomy is indicated when entire gland is diseased. It relieves the
pain and also prevents the diseased pancreas from turning into malignancy.
Patient has to take insulin and oral pancreatic enzymes permanently (brittle
diabetes).
 Longitudinal dochotomy in obstructing calcific pancreatitis(Partington and
Rochelle)
Surgery
 Therapeutic ERCP is useful in removal of stones in dilated duct.
 If disease mainly involves head of the pancreas, then pancreatico-
duodenectomy can be done—Whipple’s procedure.
 Duodenal preserving resection of head of pancreas in front of portal vein
with jejunal loop anastomosis to transected neck of pancreas—Beger
procedure. Here extensive resection of head (than Frey’s) is done.
 DM – but end organ damages of DM and DKA are rare
 Non DM retinopathy (peripheral) due to Vit A and Zn defc.
 Pleural, peritoneal and pericardial effusions with high
amylase
 GI bleeding – PUD, gastritis, pseudocyst, varies (SV
thrombosis)
 Cholestasis, icterus, cholangitis, biliary cirrhosis
 Fistula – internal or external
 Subcutaneous fat necrosis – tender red nodules on the shins
 Pseudocyst
 Pancreatic carcinoma – 4% life time risk
 Narcotic addiction
COMPLICATIONS
Prognosis
 The prognostic factors associated with chronic pancreatitis are
age at diagnosis, smoking, continued use of alcohol, and the
presence of liver cirrhosis.
 The overall survival rate is 70% at 10 years and 45% at 20
years.
 The risk of developing pancreatic cancer is approximately 4%
at 20 years.
Pseudocyst of pancreas
 It is localized collection of sequestered pancreatic fluid, usually 3 weeks after
an attack of acute pancreatitis.
 It can occur after trauma and recurrent chronic pancreatitis.
 Collection usually occurs in the lesser sac in relation to stomach, but can occur in
relation with duodenum, jejunum, colon, splenic hilum.
Sites of pseudocyst
 Lesser sac—commonest, i.e. between colon and stomach
 In relation to:
• Duodenum
• Jejunum
• Colon
• Splenic hilum
 Types
Depending on whether it communicates with pancreatic duct or not it is
classified as:
1. Communicating pseudocyst.
2. Noncommunicating pseudocyst.
It can be
• Acute pseudocyst.
• Chronic pseudocyst
Clinical features
 A swelling in the epigastric region- hemispherical, smooth, soft, not moving
with respiration, not mobile, upper margin is diffuse but lower margin well
defined, resonant or impaired resonant on percussion, with transmitted
pulsation confirmed by knee-elbow position.
 If infected,- tender mass and pt is toxic with fever, chills.
 Because stomach is stretched towards the abdominal wall, Ryle’s tube passed
will be felt per abdominally (Baid test).
Differential diagnosis
 Aortic aneurysm.
 Retro-peritoneal cyst or tumour.
 Cystadeno carcinoma of pancreas.
 Mesenteric cyst.
 Hydatid cyst.
 Investigations
 U/S abdomen reveals the size and thickness
 Endosonography (EUS)
 CT scan is ideal. It demonstrates size, shape, number, wall thickness,
contents, pancreatic duct size, and extent of necrosis in pancreas,
calcification and atrophy in chronic pancreatitis, regional vessels
 MRCP delineates ductal anatomy and its abnormality.
 ERCP - to find out the communication.
 Barium meal- shows widened vertebrogastric angle
 LFT, serum amylase- deranged
Treatment
 Connservative treatment-spontaneous regression has been documented in up
to 70% of asymptomatic patients
 Invasive therapies - for symptomatic patients or when the differentiation
between a cystic neoplasm and pseudocyst is not possible.
indications for surgery
 Size more than 6 cm
 Formed pseudocyst
 Infected pseudocyst
 Cyst persisting after 6 weeks/progressive cyst
 Multiple cysts/cyst due to trauma
 Communicating cysts/cyst with severe pain
 Thick walled pseudocyst
 Cysto-gastrostomy(Jurasz operation)
 Cysto-duodenostomy.
 Cystojejunostomy( Roux-en-Y) : large, recurrent cyst.
 If infected, cystogastrostomy with external drainage is done using Malecot’s
catheter (Smith operation).
 Endoscopic cysto-gastric stenting.
 Laparoscopic cystogastrostomy
 Transpapillary drainage, endoscopic dilation and stent placement
Endoluminal cystogastrostomy
 U/S guided aspiration is useful in initial phases
 Along with cystojejunostomy, pancreaticojejunostomy should be done if there
is ductal stricture and dilatation and communication with pseudocyst.
 Distal pancreatectomy with pseudocyst removal if cyst is in distal part.
Pancreatic duct leak
 ERCP is most helpful to
delineate the location
 Antisecretory therapy with the
somatostatin analog octreotide
acetate, together with bowel
rest and parenteral nutrition,
Roux en y
pancreaticojejunostomy
Duodenal Stenosis
 Clinical manifestations include abdominal pain, nausea, vomiting, and
significant weight loss.
 Differential diagnoses include other causes of gastric outlet obstruction
secondary to upper gastrointestinal malignancies and gastroparesis.
 Severely malnourished patients require IV hydration, nutritional support, and
gastric decompression with a nasogastric tube.
 Permanent treatment requires a gastrojejunostomy.
Biliary Strictures
 Chronic scarring and fibrosis of the head of the pancreas result in external
compression of the intrapancreatic portion of the common bile duct
 IV fluid and antibiotic therapy and temporary bile duct decompression with
plastic stents is indicated for patients who present with cholangitis.
 Pancreaticoduodenectomy is indicated for patients in whom malignancy
cannot be excluded before surgery.
 A Roux-en-Y hepaticojejunostomy is an alternative treatment for patients
without evidence of malignancy or significant scarring that precludes
resection of the head of the pancreas.
Bile duct stricture secondary to chronic pancreatitis
Surgery
 When duodenal, biliary and pancreatic obstruction is present- choledocho
jejunal- pancreatico-jejunal and gastrojejunal anastomosis may be needed –
triple anastomosis.
 Only biliary stricture which can not be managed by ERCP needs
choledochojejunostomy.
THANK YOU

Chronic pancreatitis

  • 1.
    CHRONIC PANCREATITIS MODERATORS DR RB DHADED DR S S KARBHARI DR SANJEEV PATIL DR AMARESH BIRADAR PRESENTOR DR RINALDO M, MS POST GRADUATE MR MEDICAL COLLEGE,GULBARGA (MBBS- STANLEY MEDICAL COLLEGE, CHENNAI)
  • 2.
    History  Herophilus, Greeksurgeon first described pancreas.  Wirsung discovered the pancreatic duct in 1642.  Pancreas as a secretory gland was investigated by Graaf in 1671.  R. Fitz established pancreatitis as a disease in 1889.  Whipple performed the first pancreatico-duodenectomy in 1935 and refined it in 1940.
  • 3.
    Anatomy of Pancreas Weight: 75 - 125 g  Size: 10 to 20 cm  It lies in the retro peritoneum just anterior to the first lumbar vertebrae  Anatomically divided into four portions, the head, neck, body and tail.
  • 4.
    Ducts of Pancreas Main duct of pancreas (Duct of Wirsung): It begins in the tail of pancreas and runs on the posterior surface of the body and head of pancreas, receives numerous tributaries at right angle along its length (‘Herring bone pattern’).  It joins the bile duct in the wall of the second part of duodenum to form hepatopancreatic ampulla (of Vater) and opens on the summit of major duodenal papilla (8-10 cm from pylorus).
  • 5.
     Accessory pancreaticduct (Duct of Santorini): It begins in the lower part of the head and opens into the duodenum at minor duodenal papilla (6-8 cm from the pylorus).
  • 6.
    Blood Supply ofPancreas  Pancreatic branches of splenic artery  Superior pancreaticoduodenal artery  Inferior pancreaticoduodenal artery The venous drainage mimics the arterial supply and drains into portal vein
  • 8.
    Nerve Supply  Parasympatheticsupply is from vagus and sympathetic innervation is from splanchnic nerves.
  • 9.
    Physiology  The humanpancreas is a complex gland, with endocrine and exocrine functions.  It is mainly composed of acinar cells (85%) and islets cells (2%) embedded in a complex extracellular matrix(10%). The remaining 3% to 4% is comprised of the epithelial duct system and blood vessels
  • 10.
    Physiology  Secretion/day: 2.5ltrs(bicarbonate rich)  Three phases of secretion  Cephalic : 20%( vagal Ach)  Gastric : 10%(gastric distention- vagovagal reflex)  Intestinal: 70%(secretin , cholecystokinin)
  • 11.
    Physiology  Exocrine secretion:Acinar cells synthesize many enzymes (proteases) that digest food proteins  trypsin, chymotrypsin, carboxypeptidase, elastase.  Acinar cells synthesize these proteases as inactive proenzymes (intracellular zymogen granules)  Duodenal mucosa secretes enterokinase- causes enzymatic activation of trypsin from trypsinogen  Trypsin causes autoactivation of trypsinogen and other proenzymes
  • 12.
    Physiology  Acinar cellsalso produce pancreatic amylase and lipase as active enzymes.  With the exception of cellulose, pancreatic amylase hydrolyzes major polysaccharides into small oligosaccharides, which can be further digested by the oligosaccharidases present in the duodenal and jejunal epithelium.  Pancreatic lipase hydrolyzes ingested fats into free fatty acids and 2- monoglycerides.  Acinar cells also produce other enzymes that digest fat, but they are secreted as proenzymes- colipase, cholesterol ester hydrolase, and phospholipase A2
  • 13.
    Autoprotection  Pancreatic enzymesare inactive inside acinar cells because they are synthesized and stored as inactive enzymes  Acinar cells synthesize pancreatic secretory trypsin inhibitor, which also protects acinar cells from autodigestion because it counteracts premature activation of trypsinogen inside acinar cells (encoded by serine protease inhibitor Kazal type1 (SPINK-1) gene –  Mutations are associated with the development of chronic pancreatitis, especially in childhood.
  • 14.
    Physiology  Endocrine partconstitutes islets of pancreas which is distributed more numerous in tail of pancreas. α cells secrete glucagon β cells secrete insulin δ cells secrete Somatostatin PP cells secrete Pancreatic polypeptide
  • 15.
    CHRONIC PANCREATITIS  Thehallmark of chronic pancreatitis is the persistent inflammation and irreversible fibrosis associated with atrophy of the pancreatic parenchyma.  Associated with chronic pain and endocrine and exocrine insufficiency that significantly decrease the quality of life.  Chronic pancreatitis affects between 3 and 10/100,000 persons.
  • 16.
    Risk Factors  Heavyalcohol consumption (MCC) – 70-80%  Chronic duct obstruction  Trauma  Pancreas divisum,  Cystic dystrophy of the duodenal wall,  Hyperparathyroidism,  Hypertriglyceridemia,  Autoimmune pancreatitis,  Tropical pancreatitis  Hereditary pancreatitis  Idiopathic
  • 17.
  • 18.
    Toxic metabolic hypothesis-Alcohol Abuse  Alcohol increases the total protein concentration in the pancreatic juice, it promotes the synthesis and secretion of lithostathine by acinar cells, and increases glycoprotein 2 (GP2) secretion in pancreatic juice.  These factors lead to protein precipitation and subsequent formation of protein plugs and eventually stones inside the pancreatic duct  Fatty acid ethyl esters and reactive oxygen species, cause fragility of intra- acinar organelles such as zymogen granules and lysosomes, which leads to abnormal pancreatic enzyme activation inside acinar cells.  Acetaldehyde, another alcohol metabolite, causes direct acinar injury
  • 19.
    Necrosis fibrosis hypothesis chronic necrosis and inflammation (necroinflammation) induce the release of inflammatory mediators such as platelet-derived growth factor, TGF-β, TNF- α, IL-1, and IL-6 which are known to activate PSCs pancreatic stellate cells (PSCs)  chronic necroinflammation induced by ethanol activates PSCs and induces pancreatic fibrosis.
  • 20.
    Ductal obstruction hypothesis Chronic alcoholuse acinar and ductal cell protein rich pancreatic juice, low in volume and HCO3 formation of protein precipitates – plug calcification of ppt – ductal stone formation ductule obstruction parenchym al damage Pancreatic ductal stone are seen in alcoholic, tropical, hereditary, idiopathic Sleisenger and Fordtran’s - 9th edition.
  • 21.
    • Cystic fibrosisis assosiated with abnormalities of HCO3 secretion, ductal dilatation, ppt formation, pancreatic atrophy • Seen in 50% of idiopathic CP, not common in alcoholic CP CFTR – cystic fibrosis trans-membrane conductance regulator • Seen in pediatric Idiopathic CP, hereditary Pancreatitis, Tropical Pancreatitis; but not in chronic alcoholic pancreatitis SPINK1 - serine protease inhibitor Kazal type 1 Genetic forms • Once trypsinogen is activated to trypsin, becomes resistant to inactivation and activate other proenzymes leading to episodes of acute pancreatitis– like necrosis fibrosis theory PRSS1 – cationic trypsinogen gene
  • 22.
    Spectrum of ChronicPancreatitis  Early – pancreatic oedema – chronic inflammation, normal secretary function  Moderate – early fibrosis; only few acinar cells –exocrine dysfunction  Late – fibrosis – loss of secretary function – diabetes mellitus
  • 23.
    Pain hypothesis inpancreatitis Acute and chronic inflammation of the pancreas.  Increased pressure within the pancreatic ductal system and parenchyma, ductal dilatation, stasis.  Ischaemia of the parenchyma secondary to increased interstitial pressure.  Over expression of a particular protein in pancreatic nerve fibres.  Pancreatic nerve growth factor released by degenerating acinar cells and its high affinity receptor that promotes nerve growth and repair.
  • 24.
  • 25.
    Types of ChronicPancreatitis Autoimmune Pancreatitis  chronic inflammatory disorder that involves the pancreas.  Type 1 is the most common  more common in men than women  80% of patients are older than 50 years  Patients with autoimmune pancreatitis can develop acute symptoms such as jaundice or AP, closely mimicking patients with pancreatic adenocarcinoma
  • 26.
     Tropical pancreatitisis one of the most common forms of chronic pancreatitis in certain areas of southwest India.  Tropical pancreatitis is generally a disease of youth and early adulthood, with a mean age at onset of 24 years.  Tropical pancreatitis accounts for about 70% of all cases of chronic pancreatitis in southern India, whereas alcohol is a more dominant cause in the north.  The disease classically manifests as abdominal pain, severe malnutrition, and exocrine or endocrine insufficiency. TROPICAL PANCREATITIS
  • 27.
     One strikingfeature is the propensity to diabetes, and endocrine insufficiency appears to be an inevitable consequence of tropical chronic pancreatitis (often classified as a specific cause of diabetes called fibrocalculous pancreatic diabetes).  Pancreatic calculi develop in more than 90% of patients.  The pathology is characterized by large intraductal calculi, marked dilation of the main pancreatic duct, and gland atrophy.  The pathophysiology of tropical pancreatitis is unknown, a number of genetic mutations have been identified, with mutations in the SPINK1 and chymotrypsinogen genes being most common.
  • 28.
     Environmental triggersfor the disease that have been proposed include protein-calorie malnutrition, deficiencies of trace elements and micronutrients coupled with oxidative stress, cyanogenic glycosides present in cassava (tapioca—a main dietary component).
  • 29.
    Idiopathic Pancreatitis Early onset •20yr mean age, male=female • 96% pain • Calcification, exocrine or endocine insufficiency develop slowly over time – 25, 26 -27.5 yrs • CFTR, SPINK1 genes Late onset • Pain is less frequent 54%-75% • Age of onset 56yrs, m=f • 90% calcification is seen
  • 30.
  • 31.
    Parameter Type IIDDM Juvenile Onset Type II NIDDM Adult Onset Type III Apancreatic Postoperative Onset Ketoacidosis Common Rare Rare Hyperglycemia Severe Usually mild Mild Hypoglycemia Common Rare Common Peripheral insulin sensitivity Normal or increased Decreased Increased Hepatic insulin sensitivity Normal Normal or decreased Decreased Insulin levels Low High Low Glucagon levels Normal or high Normal or high Low Pancreatic polypeptide levels High High Low Typical age of onset Childhood or adolescence Adulthood Any
  • 32.
    Clinical Features  Painin epigastric region, persistent and severe, which radiates to back  Exocrine dysfunction: Diarrhoea, asthenia, loss of weight and appetite, steatorrhoe, malabsorption  Endocrine dysfunction: Diabetes mellitus  In severe cases, diseases associated with fat-soluble vitamin deficiency, such as bleeding, osteopenia, and osteoporosis develop  Mild jaundice is due to narrowing of retropancreatic bile duct and cholangitis
  • 33.
    Examination:  During anattack, patients may assume a characteristic position in an attempt to relieve their abdominal pain (leaning forward).  Occasionally, a tender fullness or mass may be palpated in the epigastrium, suggesting the presence of a pseudocyst or an inflammatory mass in the abdomen.
  • 34.
     Patients withadvanced disease (ie, patients with steatorrhea) exhibit decreased subcutaneous fat, temporal wasting, sunken supraclavicular fossa, and other physical signs of malnutrition.  Jaundice may be seen in the presence of coexistent alcoholic liver disease or bile duct compression within the head of the pancreas.  A palpable spleen may also rarely be found in patients with thrombosis of the splenic vein as a consequence of chronic pancreatitis or in patients with portal hypertension due to coexistent chronic liver disease.
  • 36.
     Abnormalities ofpancreatic structure or function may take years or even decades to develop, or may not develop at all.  All available diagnostic tests are most accurate in far- advanced disease, when obvious functional or structural abnormalities have developed.  Conversely, all diagnostic tests are less accurate in less advanced or early chronic pancreatitis.  Functional abnormalities in chronic pancreatitis include exocrine insufficiency (maldigestion and steatorrhea), and endocrine insufficiency (diabetes mellitus).
  • 37.
    Test Sensitivity Invasiveness,Risk Cost Comments USG + 0 + Reasonable screen Almost 100% specificity CT ++ 0 ++ Detects advanced disease MRI/MRCP +++ 0 +++ Assesses ducts and parenchyma Operator dependence Secretin enhancement may improve sensitivity EUS +++ ++ +++ Assesses ducts and parenchyma Limited availability ERCP ++++ +++ +++ Detects early ductal changes Hormone-stimulated PFT ++++ ++ ++ Traditional methods not widely available Endoscopic methods in development
  • 38.
    The anatomic proximityof the pancreatic head and stomach antrum is constant, and enlargement of the pancreatic head usually causes effacement of the antrum. This finding has been termed the pad sign. Upper gastrointestinal tract barium study shows a reverse 3 in the duodenum due to chronic pancreatitis. Pancreatic carcinoma can have a similar appearance Upper GI tract barium series
  • 39.
    ABDOMINAL ULTRASOUND: Ultrasonographicfindings indicative of chronic pancreatitis include dilation of the pancreatic duct, pancreatic ductal stones, gland atrophy or enlargement, irregular gland margins, pseudocysts, and changes in the parenchymal echo texture.
  • 40.
    • In latestages of the disease, the pancreas becomes atrophic and fibrotic, and it shrinks. These changes result in a small, echogenic pancreas with a heterogeneous echotexture. • Pseudocysts may occur, and focal hypoechoic inflammatory masses may mimic pancreatic neoplasia. • Calculi and calcification in the gland result in densely echogenic foci, which may show shadow ULTRASOUND
  • 41.
    Currently, CT isregarded as the imaging modality of choice for the initial evaluation of suggested chronic pancreatitis. The diagnostic features of: • pancreatic ductal dilatation (68%) • parenchymal atrophy (54%), • pancreatic calcifications(50%) • pancreatic enlargement • thickening of the peripancreatic fascia, and • bile duct involvement are depicted well on CT scans. CT Findings
  • 42.
  • 43.
    Investigations  MRCP assess bothpancreatic parenchyma and ducts at the same time ,to evaluate intraductal strictures and pancreatic duct disruption  Plain X-ray shows diffuse( not focal) calcification in 65% of patients.
  • 44.
    Chronic Pancreatitis MRI, particularlyMRCP, is a noninvasive technique. The combination of pancreatic parenchyma imaging sequences with MR angiography and secretin-enhanced MRCP offers the possibility of a comprehensive examination within a single diagnostic modality for evaluation of the full range of pancreatic diseases. (A) MRCP demonstrates a "double duct" stricture with proximal dilatation of the common bile duct and pancreatic duct (arrow). A cystic lesion is seen between the common bile duct and the duodenal wall. (B) Fat-suppressed TSE T1-weighted image. Unenhanced (C) and delayed gadolinium- enhanced (D) T1-weighted images, demonstrate diffuse enhancement of the sheetlike mass, which corresponded to fibrotic tissue. Groove pancreatitis MRI
  • 45.
  • 47.
    Rosemont Consensus-Based EndoscopicUltrasound Features for Diagnosis of Chronic Pancreatitis Parenchymal Features  Major A criteria • Hyperechoic foci with postacoustic shadowing  Major B criteria • Honeycombing lobularity*  Minor criteria • Hyperechoic, nonshadowing foci ≥3 mm in length and width • Lobularity including three or more noncontiguous lobules in the body or tail • Pancreatic cysts ≥2 mm in short axis • At least three strands†
  • 48.
    Ductal Features  MajorA criteria • Main pancreatic duct calculi‡  Minor criteria • Irregular main pancreatic duct contour • Dilated side branches§ • Main pancreatic duct dilation (≥3.5 mm in the body or ≥1.5 mm in the tail) • Hyperechoic main pancreatic duct margin >50% of the main pancreatic duct in the body and tail*
  • 49.
    Diagnosis of ChronicPancreatitis • One major A criteria + three or more minor criteria • One major A criteria + major B criteria • Two major A criteria EUS is the most accurate technique to diagnose chronic pancreatitis in patients with minimal-change disease or in the early stages.
  • 50.
    Endoscopic retrograde cholangiopancreatography(ERCP) Mild pancreatitis may present with minimal dilation of the main pancreatic duct and some clubbing of the side branches of the duct ERCP
  • 51.
    Chronic Pancreatitis Endoscopic retrogradecholangiopancreatography (ERCP) The patient with moderately- staged chronic pancreatitis shows moderate dilation of the main pancreatic duct (1.5 times the normal size) This is accompanied by moderate clubbing of the side branches of the main pancreatic duct ERCP
  • 52.
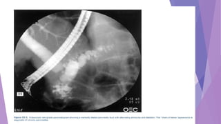
    Chronic Pancreatitis Endoscopic retrogradecholangiopancreatography (ERCP) A characteristic "chain of lakes" appearance of the main pancreatic duct can be noted on ERCP in patients with severe chronic pancreatitis. The main pancreatic duct is enlarged (greater than 1.5 times) with increased tortuosity. There is severe clubbing and dilation of the side branches. Stone formation and occlusion of the pancreatic duct may occur in this stage of the disease ERCP
  • 54.
    Investigations  Secretin cholecystokinintest is the gold standard for assessing pancreatic function.  After over night fasting, double lumen tube is placed into the duodenum at the level of ligament of Treitz under C ARM guidance. Gastric and duodenal juices are aspirated.  Continuous IV secretin 1 u/kg/hour and CCK are infused in 90 minutes. Sampling of duodenal juice is done in every 10 minutes for one hour for analysis of volume, HCO3-, amylase, lipase and proteases. It is to assess functional deficiency.  In chronic pancreatitis volume is normal - > 2 ml/kg but less bicarbonate content - < 80 m Eq/L.  In malignancy volume is reduced due to obstruction - < 2 ml/kg; bicarbonate level is normal - > 80 m Eq/L; enzyme levels are normal.
  • 55.
    Investigations Functional tests  Measurementof the fecal elastase-1 level is the preferred noninvasive study to diagnose pancreatic exocrine insufficiency.  above 200 μg/g feces is normal  between 100 and 200 μg/g - mild to moderate pancreatic insufficiency  below 100 μg/g -severe pancreatic exocrine insufficiency.  The fecal fat and weight estimation test measures the fat content of stool after a nutritional intake of 100 g of fat/day over 3 days. If the stool fat content exceeds 7 g/day, the diagnosis of steatorrhea is established.
  • 57.
    Treatment  The maingoal in the treatment of these patients is palliation of symptoms.  Optimal treatment requires that a multidisciplinary team follow a systematized and well-structured therapeutic plan.  Patient counseling is an important component because current evidence suggests that this disease is irreversible, but disease progression can be delayed if the predisposing condition is eradicated.  Patients should be strongly encouraged to stop drinking and smoking.
  • 58.
    Treatment Conservative  Avoid alcohol. Low fat, high protein, high carbohydrate diet; small and more frequent meals.  Pancreatic enzyme supplements, vitamins and minerals, medium chain fatty acids.  For pain—analgesics, splanchnic nerve or coeliac plexus block.  Control of diabetes by oral hypoglycaemics or insulin.  Somatostatin and its analogues.  Repeated ascitic taps for pancreatic ascites.
  • 59.
    Treatment  Because mostpatients develop pain during the natural history of the disease, analgesic selection is a cornerstone of treatment.  Nonsteroidal anti-inflammatory drugs (NSAIDs) are the first line of treatment.  Moderate to severe pain that does not respond to NSAIDs should be treated with tramadol or propoxyphene.  Finally, patients with severe pain that does not respond to these recommendations should be treated with potent long-acting narcotics
  • 60.
    Treatment  Alternative drugsuseful in the treatment of other conditions associated with chronic pain, such as tricyclic antidepressants, selective serotonin reuptake inhibitors, combined serotonin and norepinephrine reuptake inhibitors, andα2δ inhibitors may also be considered.  It is controversial whether pancreatic enzyme replacement helps control the chronic pain seen in this condition.  Therapeutic trials with pancreatic enzymes should last at least 6 weeks and should be given along with proton pump inhibitors because acid suppression improves the effects of uncoated pancreatic enzymes
  • 61.
    Name Dose Lipase/Protease(USP Units) Conventional (non-enteric-coated) compounds Viokase 8 tablets each time 8000/30,000 Ku-Zyme HP 8 tablets each time 8000/30,000 Enteric-coated compounds Creon 10 2–3 capsules each time 10,000/37,500 Creon 20 2–3 capsules each time 20,000/75,000 Pancrease MT 10 2–3 capsules each time 10,000/30,000 Pancrease MT 16 2–3 capsules each time 16,000/48,000
  • 62.
  • 63.
    Interventional Therapy: EndoscopicTreatment  ERCP is the primary modality for treating symptomatic pancreatic duct obstruction with dilation and polyethylene stent placement  Only after a thorough evaluation, which includes CT, MRCP, and/or EUS, has completely ruled out the possibility of malignancy should endoscopic treatment be considered.  Endoscopic stone extraction should be considered for patients with pain and pancreatic duct dilation secondary to stones.  Extracorporeal shock wave lithotripsy followed by therapeutic ERCP may be required for the treatment of large impacted stones.  Temporary relief of the obstruction using plastic stents is indicated for patients with cholangitis or for those who are severely malnourished.
  • 64.
    Indications for surgery Persisting pain - main indication  Severe malabsorption and Suspicion of malignant transformation  Multiple relapses  Complications like pseudocyst, segmental portal hypertension  Biliary obstruction (Wadsworth syndrome)  Pancreatic ductal dilatation > 7 mm  Pancreatic ascites/fistula  Pancreatic ductal stenosis
  • 65.
    Surgical treatment: I-Pancreatic ductdrainage: In patients with a dilated pancreatic duct, pancreaticojejunostomy is indicated. II-Pancreatic resection: If the disease is limited to the head of the pancreas, a Whipple operation (pancreaticoduodenectomy) can produce good results.  In patients with intractable pain and diffuse disease with nondilated ducts, a subtotal or total pancreatectomy can be offered.
  • 66.
    III-Total pancreatectomy andislet autotransplantation:  In selected patients, the long-term morbidity caused by diabetes following total pancreatectomy can be avoided.  This involves harvesting the islets from the resected pancreas and injecting them into the portal system, which then lodges them in the liver.
  • 67.
    Pancreatic Duct DilationSecondary to Duct Stones or Strictures 95% subtotal pancreatectomy.  Distal pancreatectomy—Spleen, body and tail of the pancreas are removed— Child’s operation.  Puestow’s operation—As the duct is dilated more than 8 mm, duct can easily be opened longitudinally. After removing all stones from the duct, it is anastomosed to the jejunum as side to side Roux-en-Y anastomosis. In Puestow’s operation spleen is removed.
  • 68.
     The anteriorsurface of the pancreatic duct is opened  After all stones are removed, a standard Roux-en-Y is used to create a two- layer lateral pancreaticojejunostomy.  The modified Puestow procedure provides palliation of pain in 80% of cases
  • 70.
     Puestow andGillesby's longitudinal pancreaticojejunostomy
  • 71.
    Surgery  Longitudinal pancreatico-jejunostomyafter excision of peripancreatic duct tissue—here superficial part of the head of pancreas is removed to achieve improved drainage—Frey procedure.  It is done when ductal dilatation is not adequate; head is more than 4 cm thick. Head coring is done with retaining 5 mm thick tissue in front of veins, close to duodenum. It shows 75% pain relief in 3 years.  Also an alternative for patients with a dilated pancreatic duct secondary to a benign stricture in the head of the pancreas associated with severe inflammation, scarring, or portal hypertension surrounding the head of the pancreas  Resection of tail of pancreas with retrograde pancreatico-jejunostomy—Duval procedure.
  • 73.
    Frey procedure -intraoperative photographs
  • 74.
    Drainage procedures  Duval’scaudal pancreaticojejunostomy
  • 75.
    Pancreatic Duct DilationSecondary to a Single Stricture and/or Stone  As an alternative to a Puestow or Frey procedure, a pancreaticoduodenectomy can be performed to relieve the obstruction  Absolutely contraindicated if more than one obstruction is present in the duct
  • 76.
    Focal Inflammatory MassWithout Significant Dilation of the Pancreatic Duct  Finding a focal mass is concerning because it may represent an area of pancreatic adenocarcinoma that has developed in the setting of chronic pancreatitis.  Resection is recommended for surgical candidates to avoid any error in diagnosis.
  • 77.
    Diffuse Glandular InvolvementWithout Dilation of the Pancreatic Duct  The most effective treatment to eliminate pain is total pancreatectomy  Islet autotransplantation after total pancreatectomy to prevent the effects of surgically induced diabetes.
  • 78.
    Surgery  Partington –Rochelle operation: Here longitudinal pancreaticojejunostomy is done using almost entire laid open pancreatic duct. Spleen is retained in this procedure. This is now commonly done procedure.  Total pancreatectomy is indicated when entire gland is diseased. It relieves the pain and also prevents the diseased pancreas from turning into malignancy. Patient has to take insulin and oral pancreatic enzymes permanently (brittle diabetes).
  • 80.
     Longitudinal dochotomyin obstructing calcific pancreatitis(Partington and Rochelle)
  • 81.
    Surgery  Therapeutic ERCPis useful in removal of stones in dilated duct.  If disease mainly involves head of the pancreas, then pancreatico- duodenectomy can be done—Whipple’s procedure.  Duodenal preserving resection of head of pancreas in front of portal vein with jejunal loop anastomosis to transected neck of pancreas—Beger procedure. Here extensive resection of head (than Frey’s) is done.
  • 83.
     DM –but end organ damages of DM and DKA are rare  Non DM retinopathy (peripheral) due to Vit A and Zn defc.  Pleural, peritoneal and pericardial effusions with high amylase  GI bleeding – PUD, gastritis, pseudocyst, varies (SV thrombosis)  Cholestasis, icterus, cholangitis, biliary cirrhosis  Fistula – internal or external  Subcutaneous fat necrosis – tender red nodules on the shins  Pseudocyst  Pancreatic carcinoma – 4% life time risk  Narcotic addiction COMPLICATIONS
  • 84.
    Prognosis  The prognosticfactors associated with chronic pancreatitis are age at diagnosis, smoking, continued use of alcohol, and the presence of liver cirrhosis.  The overall survival rate is 70% at 10 years and 45% at 20 years.  The risk of developing pancreatic cancer is approximately 4% at 20 years.
  • 85.
    Pseudocyst of pancreas It is localized collection of sequestered pancreatic fluid, usually 3 weeks after an attack of acute pancreatitis.  It can occur after trauma and recurrent chronic pancreatitis.  Collection usually occurs in the lesser sac in relation to stomach, but can occur in relation with duodenum, jejunum, colon, splenic hilum.
  • 86.
    Sites of pseudocyst Lesser sac—commonest, i.e. between colon and stomach  In relation to: • Duodenum • Jejunum • Colon • Splenic hilum
  • 87.
     Types Depending onwhether it communicates with pancreatic duct or not it is classified as: 1. Communicating pseudocyst. 2. Noncommunicating pseudocyst. It can be • Acute pseudocyst. • Chronic pseudocyst
  • 88.
    Clinical features  Aswelling in the epigastric region- hemispherical, smooth, soft, not moving with respiration, not mobile, upper margin is diffuse but lower margin well defined, resonant or impaired resonant on percussion, with transmitted pulsation confirmed by knee-elbow position.  If infected,- tender mass and pt is toxic with fever, chills.  Because stomach is stretched towards the abdominal wall, Ryle’s tube passed will be felt per abdominally (Baid test).
  • 89.
    Differential diagnosis  Aorticaneurysm.  Retro-peritoneal cyst or tumour.  Cystadeno carcinoma of pancreas.  Mesenteric cyst.  Hydatid cyst.
  • 90.
     Investigations  U/Sabdomen reveals the size and thickness  Endosonography (EUS)  CT scan is ideal. It demonstrates size, shape, number, wall thickness, contents, pancreatic duct size, and extent of necrosis in pancreas, calcification and atrophy in chronic pancreatitis, regional vessels  MRCP delineates ductal anatomy and its abnormality.  ERCP - to find out the communication.  Barium meal- shows widened vertebrogastric angle  LFT, serum amylase- deranged
  • 92.
    Treatment  Connservative treatment-spontaneousregression has been documented in up to 70% of asymptomatic patients  Invasive therapies - for symptomatic patients or when the differentiation between a cystic neoplasm and pseudocyst is not possible.
  • 93.
    indications for surgery Size more than 6 cm  Formed pseudocyst  Infected pseudocyst  Cyst persisting after 6 weeks/progressive cyst  Multiple cysts/cyst due to trauma  Communicating cysts/cyst with severe pain  Thick walled pseudocyst
  • 94.
     Cysto-gastrostomy(Jurasz operation) Cysto-duodenostomy.  Cystojejunostomy( Roux-en-Y) : large, recurrent cyst.  If infected, cystogastrostomy with external drainage is done using Malecot’s catheter (Smith operation).  Endoscopic cysto-gastric stenting.  Laparoscopic cystogastrostomy  Transpapillary drainage, endoscopic dilation and stent placement
  • 95.
  • 97.
     U/S guidedaspiration is useful in initial phases  Along with cystojejunostomy, pancreaticojejunostomy should be done if there is ductal stricture and dilatation and communication with pseudocyst.  Distal pancreatectomy with pseudocyst removal if cyst is in distal part.
  • 98.
    Pancreatic duct leak ERCP is most helpful to delineate the location  Antisecretory therapy with the somatostatin analog octreotide acetate, together with bowel rest and parenteral nutrition, Roux en y pancreaticojejunostomy
  • 99.
    Duodenal Stenosis  Clinicalmanifestations include abdominal pain, nausea, vomiting, and significant weight loss.  Differential diagnoses include other causes of gastric outlet obstruction secondary to upper gastrointestinal malignancies and gastroparesis.  Severely malnourished patients require IV hydration, nutritional support, and gastric decompression with a nasogastric tube.  Permanent treatment requires a gastrojejunostomy.
  • 100.
    Biliary Strictures  Chronicscarring and fibrosis of the head of the pancreas result in external compression of the intrapancreatic portion of the common bile duct  IV fluid and antibiotic therapy and temporary bile duct decompression with plastic stents is indicated for patients who present with cholangitis.  Pancreaticoduodenectomy is indicated for patients in whom malignancy cannot be excluded before surgery.  A Roux-en-Y hepaticojejunostomy is an alternative treatment for patients without evidence of malignancy or significant scarring that precludes resection of the head of the pancreas.
  • 101.
    Bile duct stricturesecondary to chronic pancreatitis
  • 102.
    Surgery  When duodenal,biliary and pancreatic obstruction is present- choledocho jejunal- pancreatico-jejunal and gastrojejunal anastomosis may be needed – triple anastomosis.  Only biliary stricture which can not be managed by ERCP needs choledochojejunostomy.
  • 104.