Bronchiole: A tiny continuation of the bronchi & connects to
the alveoli. Resp. bronchioles the final branches
A clinical scenario
• Age: 5mo, formula fed, with UR catarrh (rhinitis, -/+
cough, LGF x3d). Then suddenly developed fast br.,
tachycardia, chest indrawing, wheezing. Still
playful, ~normal feeding
What is the Dx?
BRONCHIOLITIS
At the end of this session you will learn
• Bronchiolitis is a very common viral (RSV) ARI
• Commonest LRTI & pneumonia in infants (3-9mo)
• Mostly mild: LGF & cold; self-limited
• Prognosis is excellent
• Needs only supportive Rx: mostly no ABT
• It is uncommon in breastfed babies
• Can cause hyperactive airways
ABT: antibiotic therapy LRT: lower resp. tract
INTRODUCTION
Bronchiolitis: inflammation of bronchioles with excessive
mucus & bronchospasm
• Common c/of hospitalization
• May be associated with significant MM
• Can cause Hyperactive/Reactive Airway:
– Bronchospasm from allergy/infection
– Mostly temporary
– Not BA; but asthma-like syn.
– May later become BA (child is old enough for bronchial
challenge test)
MICROBIOLOGY
• Typically viral: RSV: 80%
– Influenza, parainfluenza A B C
– Rhinovirus
– Metapneumovirus
– Coronavirus (SARS. MERS)
– Bocavirus
• Occasionally M pneumoniae
RSV
Ubiquitous
• Seasonal
– Temperate Southern H: May-Sep, peak May-July
– ,, Northern H: Nov.- April, peak Jan-Feb
– Tropical: rainy season
• 90% by 2y age have exposure
METAPNEUMOVIRUS
• Paramyxovirus; may co-infect with other viruses
• May cause pneumonia
PARAINFLUENZA: Usually type 3
Electron micrograph of respiratory syncytial virus (RSV)
INFLUENZA VIRUS
• Very similar to RSV or parainfluenza v. in CF
• Similar in distribution to RSV
BOCAVIRUS: May cause pertussis-like illness
RHINOVIRUS
• >160 serotypes! Mainly ‘common cold’
• Affects LRT in children with chr. LD
• Often co-infects with other viruses
CORONAVIRUS
• 2nd commonest c/of common cold
• Non-SARS types cause bronchiolitis
• SARS, MERS
EPIDEMIOLOGY
• Typically 3-9 mo
– 60% <6 mo; 80% <1y. Not beyond 5y
• 60% of all LRTI in infants. 3% admission
Incidence: 31/1,000 infants
RSV in admitted pts.
• 40% of all LRTI in 1st y of life
• 20% of all LRTI in  5 y ..
PATHOGENESIS
• IP: 2-8 days
• Inflammation, cell necrosis, ciliary damage
• Edema, mucus, sloughed epithelium: block
• Peribronchial lymphocytic infiltration (cuffing)
FACTORS FOR SEVERE B.
• Preterm, LBW, age: <6w
• Cystic fibrosis
• BA, Chr. LD or anatomical defects of airways
• Cardiac disease, kidney disease
• Immunodeficiency
• ENVIRONMENTAL: active/passive smoking, overcrowding,
child care centre, high altitude
CLASSICAL PRESENTATION
• Starts as URT catarrh: rhinitis, -/+ cough, LGF: 1-3d then:
– fast br., tachycardia, chest indrawing, wheezing
• Mostly mild
• Full recovery: 2-8w
• No recurrence in RSV. If any, look for HD, BA, CF, etc.
PHYSICAL SIGNS
• Tachypnea: cut-offs
– <60d 60 bpm (Preterm 70)
– 2mo-12mo 50 ,,
– 1y- 5y 40 ,,
• Vesicular br. with prolonged expiration, diffuse wheezes
and crackles
• ~Dehydration
• ~conjunctivitis or AOM
• ~cyanosis or apnea in young infants
S/of SEVERE DISEASE
Indication of admission: average stay: 3 d
• Age <3 mo.
• Toxic look, dehydrated, apneic spells
• RR: >70
• O2 <90% on room air; CO2 trapping
• Nasal flare (pneumonia)
• Atelectasis
• Poor feeding
• S/o HF
• 2y infx.
Parent unable to home care
Apnea in bronchiolitis
• 20% of admitted RSV Bronchiolitis in < 2-3 mo, prematurity
• May be the presenting symptom
• Recurrence rate 50%
• Mortality <2%
Dehydration in ARI
• Fever
• Fast br.
• Poor intake
• Vomiting
• Runny nose
• Parenteral diarrhea
DIAGNOSIS: Clinical
• Based on: h/o & PE
• Supported by CXR
• hyperinflation, flat diaphragm, air bronchograms,
peribronchial cuffing, patchy infiltrates, atelectasis
Air trapping. Peribronchial cuffing due to wall thickening. Minimal
focal atelectasis. Tubular heart. Flat low-set D
Peribronchial
cuffing
DX: VIRAL ISOLATION
• Generally not warranted. It rarely affects Rx/outcomes
– it may decrease AB use; may stop spread
– may help guide antiviral Rx
• Nasal aspirate: Ag detection; EM; FAB tests; culture & PCR
OTHER TESTS
Mostly in complications
• CBC: 2y infx.
• CRP: …
• ABG to evaluate respiratory failure
• CXR for pneumonia, heart disease
DD
• BA
• Bronchitis/pneumonia
• Chr. lung D
• FB, GERD or aspiration
• Cong. HD or HF
• Vascular rings, bronchomalacia, complete tracheal rings or
other anomalies
COURSE
Depends on co-morbidities. Usually self-limited
– wheezing may continue >1w
– Anorexia & disturbed sleep may persist for 2-4w
DD: Bronchiolitis & Bronchitis
• Anatomical: bronchioles are very small & delicate airways
that lead to alveoli ("cul de sacs“ for gas exchange).
Bronchi are much larger "pipes" immediately after the
trachea
• Bronchiolitis is an infant to early childhood illness
• Bronchitis is more seen in teens & adults
• Cigarette smoke is a predisposing factor for both d.
• Both are viral inf. & do not require ABT
• Bronchitis has more productive cough
TREATMENT: SUPPORTIVE CARE
• Clean airway with saline, correct dehydration
• Antipyretics SOS
• Humidified O2
• Mechanical ventilation for pCO2 >55 or apnea
• Monitor:
– apnea, hypoxia
– hydration, respiratory
failure, HF
CHEST PHYSIOTHERAPY
• Not recommended: no cl. improvement, nor reduces O2
need or shorten hospital stay
• May increase distress & irritability
FLUID ADMINISTRATION
Oral & IVF in dehydration
Monitor for fluid overload as SIADH may occur
BRONCHODILATORS: Not recommended
Consider in severe wheezing
Albuterol/racemic epinephrine may work; but SE
common: tachycardia, hypoxemia, tremor,
constipation, insomnia, etc.
Anticholinergics: No benefit
CORTICOSTERIODS
Not recommended
• May help in chr. LD or recurrent wheezing
• Prednisone, dexamethasone
• Inhaler: not helpful
RIBAVIRIN
• Not routinely recommended
• Very costly. May be useful in severe RSV
• Must be used early
ANTIBIOTICS: No routine ABT. Used in 2y bacterial infx.
(positive culture, AOM, Consolidation on CXR)
NON-STANDARD THERAPIES
• Heliox
– helium & O2 decreases breathing work
– only small benefit in limited patients
• RSV-IG or Palivizumab
– no improvement in routine cases
• Surfactant
– may decrease duration of mechanical ventilation or ICU
stay
DISCHARGE CRITERIA
• Normal RR
• Adequate feeding
• No supplemental O2
• Caretaker educated & confident; capable of bulb suctioning
PROGNOSIS: Excellent
• MR <1% in admitted children
• 80% deaths in infants
COMPLICATIONS
Highest in high-risks
• Apnea: in young infants
• Respiratory failure: 15%
• 2y bacterial inf.: 1%
• Collapse, consolidation
• Otitis media
Prognosis
• Excellent
• Death: <2% (2y bacterial pn. & interstitial pn.)
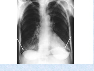
CXR: hyperinflation with flattened diaphragm & bilateral atelectasis in
the R apical & L basal regions in a 16d-old with severe bronchiolitis
PREVENTION
• Hand washing; avoid viral contact, smoking
• New vaccine under trials
• Hyperimmune Ig
• MAB: palivizumab
– 55% less admission for preterm/chr. LD & 45% for cong.
HD. Given monthly through RSV season
• Influenza vaccine
BRONCHIOLITIS & B.A.
• RSV is a risk for recurrent wheeze (40%) & reduced FEV1
up to age 11y
• Association of RSV with later BA
– may be a predisposition factor
Bronchiolitis obliterans (BO)
• Or obliterative/constrictive B. usually adenovirus.
Rare but fatal (irreversible): fibrosis +/or
inflammation: block
B. obliterans organizing pn. (BOOP) or cryptogenic
organizing pn. (COP)
• Non-infx.; often in Rh A, or with amiodarone
• CF & CXR show pn. But no response to ABT
Some interesting CX-Rays
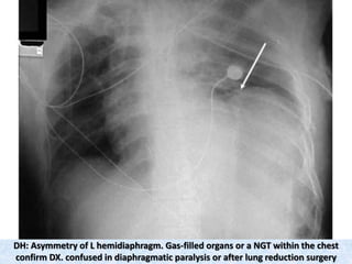
DH: Asymmetry of L hemidiaphragm. Gas-filled organs or a NGT within the chest
confirm DX. confused in diaphragmatic paralysis or after lung reduction surgery
CDH: Morgagni defect
Pneumoperitoneum: mostly perforation. Erect XR: air crescent under D. Sometimes, a double-
wall, or Rigler's, sign can be seen which refers to internal & external air outlining the intestinal
A tension PT: air under pressure: one-way valve. tracheal shift, hyperresonance & no
BS, distended neck veins, hypoxia. affected lung collapses; widened IC spaces
Pneumomediastinum. Most commonly follows injury to esophagus/adjacent alveoli. CXR: free air may
outline anatomic structures. Common findings are a thin line of radiolucency that outlines the cardiac
outline, vertically oriented streaks of air in the mediastinum, a double bronchial wall sign, or lucency
around the right pulmonary artery, the "ring around the artery" sign. Air is most easily detected
retrosternally on lateral CXR. Air is fixed in a pneumomediastinum & does not rise to the highest point
Airway FB, most often in children; the
commonest site is R main B due to its being
posterior, straighter, & wider. Indirect s/of
ingestion include focal overinflation with partial
obstruction or collapse in complete obstruction.
See a radiopaque object lodged in the R main
bronchus of a child
Aspiration pn.: aspirated flora or gastric contents. A. pneumonitis: from chemical
insult. CXR: bilateral opacities in the middle or lower zones. Acute: infiltrates or lobar
Rt. middle lobe collapse with obliteration of R heart border
A hydropneumothorax: esophageal rupture, trauma, gas-forming MO, bronchopleural
fistula, surgery. See horizontal AF level
MCQs
• RSV is the commonest c/of bronchiolitis
• ABT is usually required in B
• Most B are later associated with BA
• In EBF babies B is rare
• Anticholingergic nebulization is beneficial in B
• B is usually a killer D
• SARS/MERS is caused by RSV
• Antiviral Rx is beneficial in all B cases
Bronchiolitis
Bronchiolitis
Bronchiolitis

Bronchiolitis

  • 9.
    Bronchiole: A tinycontinuation of the bronchi & connects to the alveoli. Resp. bronchioles the final branches
  • 13.
    A clinical scenario •Age: 5mo, formula fed, with UR catarrh (rhinitis, -/+ cough, LGF x3d). Then suddenly developed fast br., tachycardia, chest indrawing, wheezing. Still playful, ~normal feeding What is the Dx?
  • 14.
  • 15.
    At the endof this session you will learn • Bronchiolitis is a very common viral (RSV) ARI • Commonest LRTI & pneumonia in infants (3-9mo) • Mostly mild: LGF & cold; self-limited • Prognosis is excellent • Needs only supportive Rx: mostly no ABT • It is uncommon in breastfed babies • Can cause hyperactive airways ABT: antibiotic therapy LRT: lower resp. tract
  • 16.
    INTRODUCTION Bronchiolitis: inflammation ofbronchioles with excessive mucus & bronchospasm • Common c/of hospitalization • May be associated with significant MM • Can cause Hyperactive/Reactive Airway: – Bronchospasm from allergy/infection – Mostly temporary – Not BA; but asthma-like syn. – May later become BA (child is old enough for bronchial challenge test)
  • 17.
    MICROBIOLOGY • Typically viral:RSV: 80% – Influenza, parainfluenza A B C – Rhinovirus – Metapneumovirus – Coronavirus (SARS. MERS) – Bocavirus • Occasionally M pneumoniae
  • 18.
    RSV Ubiquitous • Seasonal – TemperateSouthern H: May-Sep, peak May-July – ,, Northern H: Nov.- April, peak Jan-Feb – Tropical: rainy season • 90% by 2y age have exposure METAPNEUMOVIRUS • Paramyxovirus; may co-infect with other viruses • May cause pneumonia PARAINFLUENZA: Usually type 3
  • 19.
    Electron micrograph ofrespiratory syncytial virus (RSV)
  • 20.
    INFLUENZA VIRUS • Verysimilar to RSV or parainfluenza v. in CF • Similar in distribution to RSV BOCAVIRUS: May cause pertussis-like illness RHINOVIRUS • >160 serotypes! Mainly ‘common cold’ • Affects LRT in children with chr. LD • Often co-infects with other viruses CORONAVIRUS • 2nd commonest c/of common cold • Non-SARS types cause bronchiolitis • SARS, MERS
  • 21.
    EPIDEMIOLOGY • Typically 3-9mo – 60% <6 mo; 80% <1y. Not beyond 5y • 60% of all LRTI in infants. 3% admission Incidence: 31/1,000 infants RSV in admitted pts. • 40% of all LRTI in 1st y of life • 20% of all LRTI in  5 y ..
  • 22.
    PATHOGENESIS • IP: 2-8days • Inflammation, cell necrosis, ciliary damage • Edema, mucus, sloughed epithelium: block • Peribronchial lymphocytic infiltration (cuffing)
  • 23.
    FACTORS FOR SEVEREB. • Preterm, LBW, age: <6w • Cystic fibrosis • BA, Chr. LD or anatomical defects of airways • Cardiac disease, kidney disease • Immunodeficiency • ENVIRONMENTAL: active/passive smoking, overcrowding, child care centre, high altitude
  • 24.
    CLASSICAL PRESENTATION • Startsas URT catarrh: rhinitis, -/+ cough, LGF: 1-3d then: – fast br., tachycardia, chest indrawing, wheezing • Mostly mild • Full recovery: 2-8w • No recurrence in RSV. If any, look for HD, BA, CF, etc.
  • 25.
    PHYSICAL SIGNS • Tachypnea:cut-offs – <60d 60 bpm (Preterm 70) – 2mo-12mo 50 ,, – 1y- 5y 40 ,, • Vesicular br. with prolonged expiration, diffuse wheezes and crackles • ~Dehydration • ~conjunctivitis or AOM • ~cyanosis or apnea in young infants
  • 26.
    S/of SEVERE DISEASE Indicationof admission: average stay: 3 d • Age <3 mo. • Toxic look, dehydrated, apneic spells • RR: >70 • O2 <90% on room air; CO2 trapping • Nasal flare (pneumonia) • Atelectasis • Poor feeding • S/o HF • 2y infx. Parent unable to home care
  • 27.
    Apnea in bronchiolitis •20% of admitted RSV Bronchiolitis in < 2-3 mo, prematurity • May be the presenting symptom • Recurrence rate 50% • Mortality <2%
  • 28.
    Dehydration in ARI •Fever • Fast br. • Poor intake • Vomiting • Runny nose • Parenteral diarrhea
  • 29.
    DIAGNOSIS: Clinical • Basedon: h/o & PE • Supported by CXR • hyperinflation, flat diaphragm, air bronchograms, peribronchial cuffing, patchy infiltrates, atelectasis
  • 30.
    Air trapping. Peribronchialcuffing due to wall thickening. Minimal focal atelectasis. Tubular heart. Flat low-set D
  • 32.
  • 33.
    DX: VIRAL ISOLATION •Generally not warranted. It rarely affects Rx/outcomes – it may decrease AB use; may stop spread – may help guide antiviral Rx • Nasal aspirate: Ag detection; EM; FAB tests; culture & PCR OTHER TESTS Mostly in complications • CBC: 2y infx. • CRP: … • ABG to evaluate respiratory failure • CXR for pneumonia, heart disease
  • 34.
    DD • BA • Bronchitis/pneumonia •Chr. lung D • FB, GERD or aspiration • Cong. HD or HF • Vascular rings, bronchomalacia, complete tracheal rings or other anomalies COURSE Depends on co-morbidities. Usually self-limited – wheezing may continue >1w – Anorexia & disturbed sleep may persist for 2-4w
  • 35.
    DD: Bronchiolitis &Bronchitis • Anatomical: bronchioles are very small & delicate airways that lead to alveoli ("cul de sacs“ for gas exchange). Bronchi are much larger "pipes" immediately after the trachea • Bronchiolitis is an infant to early childhood illness • Bronchitis is more seen in teens & adults • Cigarette smoke is a predisposing factor for both d. • Both are viral inf. & do not require ABT • Bronchitis has more productive cough
  • 36.
    TREATMENT: SUPPORTIVE CARE •Clean airway with saline, correct dehydration • Antipyretics SOS • Humidified O2 • Mechanical ventilation for pCO2 >55 or apnea • Monitor: – apnea, hypoxia – hydration, respiratory failure, HF
  • 37.
    CHEST PHYSIOTHERAPY • Notrecommended: no cl. improvement, nor reduces O2 need or shorten hospital stay • May increase distress & irritability FLUID ADMINISTRATION Oral & IVF in dehydration Monitor for fluid overload as SIADH may occur BRONCHODILATORS: Not recommended Consider in severe wheezing Albuterol/racemic epinephrine may work; but SE common: tachycardia, hypoxemia, tremor, constipation, insomnia, etc. Anticholinergics: No benefit
  • 38.
    CORTICOSTERIODS Not recommended • Mayhelp in chr. LD or recurrent wheezing • Prednisone, dexamethasone • Inhaler: not helpful RIBAVIRIN • Not routinely recommended • Very costly. May be useful in severe RSV • Must be used early ANTIBIOTICS: No routine ABT. Used in 2y bacterial infx. (positive culture, AOM, Consolidation on CXR)
  • 39.
    NON-STANDARD THERAPIES • Heliox –helium & O2 decreases breathing work – only small benefit in limited patients • RSV-IG or Palivizumab – no improvement in routine cases • Surfactant – may decrease duration of mechanical ventilation or ICU stay
  • 40.
    DISCHARGE CRITERIA • NormalRR • Adequate feeding • No supplemental O2 • Caretaker educated & confident; capable of bulb suctioning PROGNOSIS: Excellent • MR <1% in admitted children • 80% deaths in infants
  • 41.
    COMPLICATIONS Highest in high-risks •Apnea: in young infants • Respiratory failure: 15% • 2y bacterial inf.: 1% • Collapse, consolidation • Otitis media Prognosis • Excellent • Death: <2% (2y bacterial pn. & interstitial pn.)
  • 42.
    CXR: hyperinflation withflattened diaphragm & bilateral atelectasis in the R apical & L basal regions in a 16d-old with severe bronchiolitis
  • 43.
    PREVENTION • Hand washing;avoid viral contact, smoking • New vaccine under trials • Hyperimmune Ig • MAB: palivizumab – 55% less admission for preterm/chr. LD & 45% for cong. HD. Given monthly through RSV season • Influenza vaccine
  • 44.
    BRONCHIOLITIS & B.A. •RSV is a risk for recurrent wheeze (40%) & reduced FEV1 up to age 11y • Association of RSV with later BA – may be a predisposition factor
  • 45.
    Bronchiolitis obliterans (BO) •Or obliterative/constrictive B. usually adenovirus. Rare but fatal (irreversible): fibrosis +/or inflammation: block B. obliterans organizing pn. (BOOP) or cryptogenic organizing pn. (COP) • Non-infx.; often in Rh A, or with amiodarone • CF & CXR show pn. But no response to ABT
  • 46.
  • 48.
    DH: Asymmetry ofL hemidiaphragm. Gas-filled organs or a NGT within the chest confirm DX. confused in diaphragmatic paralysis or after lung reduction surgery
  • 49.
  • 50.
    Pneumoperitoneum: mostly perforation.Erect XR: air crescent under D. Sometimes, a double- wall, or Rigler's, sign can be seen which refers to internal & external air outlining the intestinal
  • 52.
    A tension PT:air under pressure: one-way valve. tracheal shift, hyperresonance & no BS, distended neck veins, hypoxia. affected lung collapses; widened IC spaces
  • 53.
    Pneumomediastinum. Most commonlyfollows injury to esophagus/adjacent alveoli. CXR: free air may outline anatomic structures. Common findings are a thin line of radiolucency that outlines the cardiac outline, vertically oriented streaks of air in the mediastinum, a double bronchial wall sign, or lucency around the right pulmonary artery, the "ring around the artery" sign. Air is most easily detected retrosternally on lateral CXR. Air is fixed in a pneumomediastinum & does not rise to the highest point
  • 54.
    Airway FB, mostoften in children; the commonest site is R main B due to its being posterior, straighter, & wider. Indirect s/of ingestion include focal overinflation with partial obstruction or collapse in complete obstruction. See a radiopaque object lodged in the R main bronchus of a child
  • 56.
    Aspiration pn.: aspiratedflora or gastric contents. A. pneumonitis: from chemical insult. CXR: bilateral opacities in the middle or lower zones. Acute: infiltrates or lobar
  • 57.
    Rt. middle lobecollapse with obliteration of R heart border
  • 58.
    A hydropneumothorax: esophagealrupture, trauma, gas-forming MO, bronchopleural fistula, surgery. See horizontal AF level
  • 59.
    MCQs • RSV isthe commonest c/of bronchiolitis • ABT is usually required in B • Most B are later associated with BA • In EBF babies B is rare • Anticholingergic nebulization is beneficial in B • B is usually a killer D • SARS/MERS is caused by RSV • Antiviral Rx is beneficial in all B cases