1
Life Finds A Way:Life Finds A Way:
JustJust Donโ€™t Give UpDonโ€™t Give Up
Life Finds A Way:Life Finds A Way:
JustJust Donโ€™t Give Up โ€ฆDonโ€™t Give Up โ€ฆ
Life Finds A Way:Life Finds A Way:
JustJust Donโ€™t Give Up โ€ฆDonโ€™t Give Up โ€ฆ
5
Life Finds A Way:Life Finds A Way:
JustJust Donโ€™t Give Up โ€ฆDonโ€™t Give Up โ€ฆ
A R IA R I
SIGNS OF RESPIRATORY DISTRESSSIGNS OF RESPIRATORY DISTRESS
11
13
14
15
Definition of A R IDefinition of A R I (Acute Resp. Infection)(Acute Resp. Infection)
This term isThis term is usedused by HW to indicate ac. inf. ofby HW to indicate ac. inf. of
resp. system in U-5y childrenresp. system in U-5y children
In this age group such inf. are often not anatomicallyIn this age group such inf. are often not anatomically
localized, rather spreads rapidly to adjacent partslocalized, rather spreads rapidly to adjacent parts
An U-5 child getsAn U-5 child gets 3-6 ARIs/y3-6 ARIs/y regardless of livingregardless of living
standardstandard
HW: health worker. U-5: under 5 years of age. Inf.: infectionHW: health worker. U-5: under 5 years of age. Inf.: infection
16
Clinical AnatomyClinical Anatomy
โ€ข RT is divided into 3 parts:RT is divided into 3 parts:
URT:URT: nosenose โ‡’โ‡’ tracheatrachea (PNS, mouth, tonsils,(PNS, mouth, tonsils,
pharynx, auditory T,pharynx, auditory T, middle-earmiddle-ear, larynx), larynx)
LRT:LRT: tracheatrachea โ‡’โ‡’ bronchibronchi โ‡’โ‡’ air ductsair ducts
Lung parenchymaLung parenchyma
17
18
19
20
21
Normal Defence of RSNormal Defence of RS
These are unique!These are unique!
โ€ข Breathing, coughing, sneezingBreathing, coughing, sneezing
โ€ข Mucosal antibodiesMucosal antibodies
โ€ข Ciliary sweepingCiliary sweeping
โ€ข PhagocytesPhagocytes
โ€ข Physical filteringPhysical filtering
(Think how less often you catch cold and cough!)(Think how less often you catch cold and cough!)
22
Physical filterPhysical filter
23
Unique brooms!Unique brooms!
24
ARI in ChildrenARI in Children Spread Rapidly:Spread Rapidly:
โ€ข Shorter & narrower RTShorter & narrower RT
โ€ข Cough not strongCough not strong
โ€ข Less immuneLess immune
โ€ข Auditory tube is:Auditory tube is:
โ€“ shortershorter
โ€“ narrowernarrower
โ€“ straighterstraighter
Sites A R ISites A R I
โ€ข RhinitisRhinitis
โ€ข SinusitisSinusitis
โ€ข TonsillitisTonsillitis
โ€ข PharyngitisPharyngitis
โ€ข EpiglottitisEpiglottitis
โ€ข LaryngitisLaryngitis
โ€ข AOMAOM
โ€ข TracheitisTracheitis
โ€ข BronchitisBronchitis
โ€ข BronchiolitisBronchiolitis
โ€ข PneumoniaPneumonia
โ€ข Bronchitis & Pn.Bronchitis & Pn.
(Br.Pn.)(Br.Pn.)
Children usually have combinations:Children usually have combinations:
Ac. rhinopharyngotonsillitis +/- AOM, ac. LTBAc. rhinopharyngotonsillitis +/- AOM, ac. LTB
(croup), Br.Pn, etc.(croup), Br.Pn, etc.
26
ARI is a syndrome:ARI is a syndrome:
โ€“ cough,cough, breath ratebreath rate
โ€“ chest indrawing,chest indrawing, stridorstridor
โ€“ +/-+/- 4 general4 general danger signdanger signs (IMCI)s (IMCI)
NoNo Dr,Dr, nono stethoscope,stethoscope, nono lab.!lab.!
27
Normal breathing rateNormal breathing rate
AgeAge Br. RateBr. Rate Fast breathingFast breathing
<2 mo<2 mo <60/min<60/min โ‰ฅโ‰ฅ6060
(preterm 70)(preterm 70)
2-12mo2-12mo <50/min<50/min โ‰ฅ 50โ‰ฅ 50
1-5 y1-5 y <40/min<40/min โ‰ฅ 40โ‰ฅ 40
Counting BreathingCounting Breathing
โ€ข The childThe child mustmust be calmbe calm
โ€ข Count full 1 minuteCount full 1 minute
โ€ข Count the abdominal swelling in inspirationCount the abdominal swelling in inspiration
Breathing rate is the most imp. single sign for classification & follow-upBreathing rate is the most imp. single sign for classification & follow-up
Fast breathingFast breathing
Chest indrawing:Chest indrawing:
โ€ข Suprasternal, supraclavicular, sternalSuprasternal, supraclavicular, sternal retraction/recessionretraction/recession
โ€ข Intercostal spaceIntercostal space ,,,,
โ€ข SubcostalSubcostal ,,,,
44 General Danger signs:General Danger signs:
โ€ข Lethargic/unconsciousLethargic/unconscious
โ€ข Poor feeding/not feedingPoor feeding/not feeding at allat all
โ€ข Vomits everythingVomits everything
โ€ข ConvulsionConvulsion 28
29
DANGER
SIGNS
CONVULSIONS
INABILITY TO DRINK
OR BREASTFEED
VOMITING
LETHARGY
UNCONSCIOUSNESS
30
Additional SS of ARI for DoctorsAdditional SS of ARI for Doctors
โ€ข Cold, sore throatCold, sore throat
โ€ข CoughCough,, sputumsputum
โ€ข Nasal flareNasal flare
โ€ข StridorStridor
โ€ข VVoice changeoice change
โ€ข GruntingGrunting
โ€ข CyanosisCyanosis
โ€ข Asymmetry of chest &Asymmetry of chest &
its movementits movement
โ€ข Tracheal deviationTracheal deviation
โ€ข Displaced heartDisplaced heart
โ€ข Auscultation:Auscultation:
31
Auscultatory FindingsAuscultatory Findings
โ€ข Poor or unequal air entryPoor or unequal air entry
โ€ข Prolonged expirationProlonged expiration
โ€ข Wheeze/ronchiWheeze/ronchi
โ€ข Fine +/-coarse crepitationsFine +/-coarse crepitations
โ€ข Bronchial breath soundBronchial breath sound
โ€ข Post-tussive creps/or ronchiPost-tussive creps/or ronchi
32
33
Depth of ARI ProblemDepth of ARI Problem
โ€ข Pneumonia is the biggest U-5 killer (0.9million/y; 16% ofPneumonia is the biggest U-5 killer (0.9million/y; 16% of
total:total: mmoreore than AIDS, malaria & TB combinedthan AIDS, malaria & TB combined);); 90%90%
in L&MICs (70% in Africa & SEA)in L&MICs (70% in Africa & SEA)
โ€ข Commonest admission (Commonest admission (12-45%)12-45%)
โ€ข OPD: 20-60% A R IOPD: 20-60% A R I
โ€ข V. imp. precipitator of malnutrition, VADXV. imp. precipitator of malnutrition, VADX
โ€ข NationalNational Health IndexHealth Index of a countryof a country
((5.6 million U-5 death in 2016: 16,000/d.5.6 million U-5 death in 2016: 16,000/d. 70% from inf.)70% from inf.)
34
ARI
54%
Diarrhoea
85%
Malaria
79%
Measles
89%
Percentage of deaths occurring among:
Global Disease Burden Borne by U-5 (Y 2000)
Key facts:Key facts: PneumoniaPneumonia
โ€ขKills by hypoxiaKills by hypoxia due to pus & fluid in alveolidue to pus & fluid in alveoli
โ€ขC/by viruses, bacteria or fungi. Bacteria can be Rx with ABs,C/by viruses, bacteria or fungi. Bacteria can be Rx with ABs,
but only 30% of children get itbut only 30% of children get it
โ€ขRx with low-cost, low-tech. drugs & careRx with low-cost, low-tech. drugs & care
โ€ขPx. byPx. by immunizationimmunization,, nutritionnutrition && clean environmentclean environment
Death from diarrhea has been dramatically lowered byDeath from diarrhea has been dramatically lowered by
successful ORTsuccessful ORT
35
ARI mortality/morbidity highest in U-5yARI mortality/morbidity highest in U-5y
โ€“ Lack of breast feedingLack of breast feeding
โ€“ Formula feeding,Formula feeding, bottle feedingbottle feeding
โ€“ Weaned earlyWeaned early
โ€“ HIVHIV
โ€“ <2 years of age<2 years of age
โ€“ Lack of vaccinationLack of vaccination
โ€“ MalnutritionMalnutrition
โ€“ VADXVADX
โ€“ Poor education, overcrowding, poor clothingPoor education, overcrowding, poor clothing
โ€“ Difficult access to healthcare, medicationDifficult access to healthcare, medication
37
Aetiology of A R IAetiology of A R I
โ€ข VirusesViruses
โ€ข BacteriaBacteria
โ€ข MycoplasmaMycoplasma
โ€ข FungusFungus
โ€ข Parasites, wormsParasites, worms
Aetiology โ€ฆAetiology โ€ฆ
โ€ข Varies: age, immune status, where contractedVaries: age, immune status, where contracted
โ€ข Community acquired pneumonia (CAP)Community acquired pneumonia (CAP)
โ€“ L&MICsL&MICs
โ€ข VirusesViruses 40%40%
โ€ข S. pneumoniae, Hib, S aureus, Moraxella,S. pneumoniae, Hib, S aureus, Moraxella,
Mycoplasma, Chlamydia inMycoplasma, Chlamydia in 60%60%
โ€“ HICsHICs
โ€ข Bacteria:Bacteria: 5-10%5-10%
Etiology Based on AgeEtiology Based on Age
AgeAge OrganismOrganism
NeonatesNeonates GBS, E coli, Klebsiella, SGBS, E coli, Klebsiella, S
aureusaureus
InfantsInfants Pneumococcus, Chlamydia,Pneumococcus, Chlamydia,
RSV, Hib, StaphRSV, Hib, Staph
1-5y1-5y Viruses, Pneumococcus, HibViruses, Pneumococcus, Hib
Chlamydia, Mycoplasma,Chlamydia, Mycoplasma,
Staph, GASStaph, GAS
5-18y5-18y Mycoplasma, Pneumococcus,Mycoplasma, Pneumococcus,
Chlamydia, HibChlamydia, Hib
40
VirusesViruses
โ€ข RhinovirusesRhinoviruses
โ€ข RSVRSV
โ€ข AdenovirusesAdenoviruses
โ€ข Influenza, parainfluenza A B CInfluenza, parainfluenza A B C
โ€ข MyxovirusesMyxoviruses
โ€ข Corona viruses (SARS, MERS)Corona viruses (SARS, MERS)
โ€ข Boca virusBoca virus
โ€ข MetapneumovirusMetapneumovirus
41
Common BacteriaCommon Bacteria
โ€ข **
S. pneumoniaeS. pneumoniae
โ€ข **
HibHib
โ€ข S. pyogenesS. pyogenes
โ€ข S. aureusS. aureus
โ€ข **
M. tuberculosisM. tuberculosis
โ€ข **
C diphtheriaeC diphtheriae
โ€ข Enteric bacilliEnteric bacilli
โ€ข PseudomonasPseudomonas
โ€ข KlebsiellaKlebsiella
โ€ข MoraxellaMoraxella
*Vaccine available
42
Others
โ€ข Chlamydia
โ€ข Mycoplasma
โ€ข Fungus: C. albicans, Histoplasma
โ€ข Miscellaneous: P. jirovecii (carinii), worms
P jirovecii:P jirovecii: yeast-like fungus; causes pn.; an imp. pathogen, particularlyyeast-like fungus; causes pn.; an imp. pathogen, particularly
amongamong immunocompromisedimmunocompromised; aka; aka P. cariniiP. carinii
43
How A R I HarmsHow A R I Harms
โ€ข HypoxiaHypoxia:: convulsion, deathconvulsion, death
โ€ข Malnutrition &Malnutrition & VADX:VADX:
โ€ข ChestChest: collapse, consolidation, effusion, abscess,: collapse, consolidation, effusion, abscess,
bronchiectasis, pneumothoraxbronchiectasis, pneumothorax
โ€ข Blood:Blood: sepsis, deranged ABB, dyselectrolytemiasepsis, deranged ABB, dyselectrolytemia
โ€ข Meningitis, IgA nephropathyMeningitis, IgA nephropathy
VADX: Vitamin A defi. and xerophthalmia. ABB: acid base balanceVADX: Vitamin A defi. and xerophthalmia. ABB: acid base balance
44
ARI Causes Malnutrition & VADXARI Causes Malnutrition & VADX
โ€ข Poor feedingPoor feeding
โ€ข Negative nitrogen balanceNegative nitrogen balance
โ€ข VD, F: dehydrationVD, F: dehydration
โ€ข Exhaustion of VAExhaustion of VA
โ€ข Faulty feeding, tabooFaulty feeding, taboo
Mn.: Malnutrition. VD: vomiting diarrhoea. F: fever. VA: vitamin AMn.: Malnutrition. VD: vomiting diarrhoea. F: fever. VA: vitamin A
45
Dehydration in ARIDehydration in ARI::
โ€ข Fast breathingFast breathing
โ€ข FeverFever
โ€ข NVDNVD
โ€ข Runny noseRunny nose
โ€ข Poor/faulty feedingPoor/faulty feeding
NVD: nausea vomiting diarrheaNVD: nausea vomiting diarrhea
46
How A R I killsHow A R I kills
AcuteAcute
โ€ข HypoxiaHypoxia
โ€ข HHypoglycemia, convulsion, cardiac failureypoglycemia, convulsion, cardiac failure
โ€ข Septicemia, dehydrationSepticemia, dehydration
LateLate
โ€ข Malnutrition, VADXMalnutrition, VADX
โ€ข Suffocation, aspirationSuffocation, aspiration
47
Hospital PictureHospital Picture
โ€ข Out of 1690 cases admitted in BMCH pediatricOut of 1690 cases admitted in BMCH pediatric
ward 400 (23.7%) had ARIward 400 (23.7%) had ARI
โ€ข Peak incidence during Oct-NovPeak incidence during Oct-Nov
48
Death from ARI is DecliningDeath from ARI is Declining**
โ€ข Br. feedingBr. feeding
โ€ข No bottle feedingNo bottle feeding
โ€ข Socioeconomic &Socioeconomic &
environ. changeenviron. change
โ€ข Falling malnutritionFalling malnutrition
โ€ข HPVAC distributionHPVAC distribution
โ€ข EPIEPI
HPVAC: high potency vitamin A capsuleHPVAC: high potency vitamin A capsule
โ€ข Family planningFamily planning
โ€ข Modern health careModern health care
โ€ข Better & cheap drugsBetter & cheap drugs
โ€ข Female literacyFemale literacy
โ€ข Health awarenessHealth awareness
*
Previously 4million, now 0.9Previously 4million, now 0.9
ManagementManagement
According toAccording to
IMCIIMCI[[[[
IMCI: integrated management of childhood illnessesIMCI: integrated management of childhood illnesses
History TakingHistory Taking
1. General Danger Signs1. General Danger Signs
2. Main Symptoms2. Main Symptoms
a. Cougha. Cough โˆšโˆš
b. Diarrheab. Diarrhea
c. Feverc. Fever
d. Ear Problemsd. Ear Problems
3. Nutritional Status3. Nutritional Status
4. Immunization Status4. Immunization Status
5. Other Problems5. Other Problems
IMCI Record FormIMCI Record Form
51
Assess whether the child hasAssess whether the child has
โ€ข No pneumoniaNo pneumonia (cold-cough; chr. cough)(cold-cough; chr. cough)
โ€ข Pneumonia orPneumonia or
โ€ข Severe PneumoniaSevere Pneumonia
In babies <2mo any pneumonia isIn babies <2mo any pneumonia is
severe pneumoniasevere pneumonia
52
Fast breathing +Fast breathing +
chest indrawing orchest indrawing or
Stridor in a calmStridor in a calm
child. (Any GD sign)child. (Any GD sign)
SevereSevere PneumoniaPneumonia
oror
(Very Severe Disease)(Very Severe Disease)
Fast breathingFast breathing PneumoniaPneumonia
No signs ofNo signs of
pneumonia or verypneumonia or very
severe diseasesevere disease
No pneumonia:No pneumonia:
cough or coldcough or cold
53
Limitations โ€ฆLimitations โ€ฆ
Pneumonia in IMCI may be actuallyPneumonia in IMCI may be actually
โ€ข BronchiolitisBronchiolitis
โ€ข Br. AsthmaBr. Asthma
โ€ข DiphtheriaDiphtheria
โ€ข PertussisPertussis
โ€ข HGFHGF
โ€ข CCFCCF
No pneumonia may be TBNo pneumonia may be TB
PneumoniaPneumonia
โ€ข Inflam. of lung parenchyma ยฑ consolidationInflam. of lung parenchyma ยฑ consolidation
โ€ข Fast breathingFast breathing
โ€ข HICs:HICs: viral:viral: Low morbidity-mortalityLow morbidity-mortality
โ€ข L&MICs:L&MICs:
โ€“ Bacteria in 65%Bacteria in 65%
โ€“ Cheap oral ABT: Amoxicillin can causeCheap oral ABT: Amoxicillin can cause 84%84%
reduction in deathreduction in death
55
Severe PneumoniaSevere Pneumonia
โ€ข Very sick,Very sick, not able to feednot able to feed
โ€ข Tachypnoea,Tachypnoea, tachycardiatachycardia
โ€ข Chest indrawingChest indrawing
โ€ข Creps, wheezeCreps, wheeze
โ€ข Cyanosis, convulsionCyanosis, convulsion
โ€ข DrowsinessDrowsiness
+/- Fever+/- Fever
56
Lab. Dx. of PneumoniaLab. Dx. of Pneumonia
(not for HW/IMCI)(not for HW/IMCI)
โ€ข CXRCXR
โ€ข CBC filmCBC film
โ€ข CS of blood, tracheal & lung aspirateCS of blood, tracheal & lung aspirate
โ€ข Throat swabThroat swab
57
S. pneumoniae
58
Pneumococcal pneumoniaPneumococcal pneumonia
R upper lobe consolidationR upper lobe consolidation
59
60
61
Air-fluid level in Lung AbscessAir-fluid level in Lung Abscess
Complications of pneumoniaComplications of pneumonia
IntrathoracicIntrathoracic
โ€ข Pleural effusion, empyemaPleural effusion, empyema
โ€ข Collapse, consolidationCollapse, consolidation
โ€ข Lung abscess, pneumatoceleLung abscess, pneumatocele
โ€ข PneumothoraxPneumothorax
ExtrathoracicExtrathoracic
โ€ข Septicemia, meningitisSepticemia, meningitis
โ€ข DehydrationDehydration
โ€ข Myocarditis, pericarditisMyocarditis, pericarditis
โ€ข Acidosis, dyselectrolytemiasAcidosis, dyselectrolytemias
64
PneumatocelePneumatocele
65
66
Consolidated lungConsolidated lung
67
Rx: General PrinciplesRx: General Principles
โ€ข O2,O2, air way careair way care
โ€ข Nebulized beta-agonist, anticholinergicNebulized beta-agonist, anticholinergic
โ€ข Antibiotics (parenteral)Antibiotics (parenteral)
โ€ข Feeding, warmthFeeding, warmth
โ€ข FEBFEB
โ€ข Vitamin AVitamin A
โ€ข ZincZinc
โ€ข CounselingCounseling
โ€ข FUFU
68
Rx. Severe PneumoniaRx. Severe Pneumonia
โ€ข Admission must,Admission must, OO22
โ€ข Airway patency:Airway patency:
โ€“ suction clearancesuction clearance
โ€“ Nebulized bronchodilator, anti-secretoryNebulized bronchodilator, anti-secretory
โ€ข Parenteral ABTParenteral ABT
โ€ข Lowering HGFLowering HGF
โ€ข Feeding, FEB, warmthFeeding, FEB, warmth
โ€ข Vitamin A, zincVitamin A, zinc
69
Antibiotics in PneumoniaAntibiotics in Pneumonia
Pneumonia is mostly viral but 2y infx. is commonPneumonia is mostly viral but 2y infx. is common
โ€ข Injectable: usuallyInjectable: usually >1 AB>1 AB
โ€ข Minimum 10d. Up to 3wMinimum 10d. Up to 3w
โ€ข Penicillin +gentamicin/amikacin are goodPenicillin +gentamicin/amikacin are good
โ€ข Staph coverage for babies <2yrStaph coverage for babies <2yr
70
When You Defer ABWhen You Defer AB
โ€ข The child is stable, playful, no HGFThe child is stable, playful, no HGF
โ€ข EBF, no bottle feedingEBF, no bottle feeding
โ€ข Taking feeds normallyTaking feeds normally
โ€ข SupervisedSupervised
71
Rx for Cough & Cold (no pn.)Rx for Cough & Cold (no pn.)
โ€ข Exclude AOMExclude AOM
โ€ข Ensure feedingEnsure feeding
โ€ข Treat feverTreat fever
โ€ข Clean noseClean nose
โ€ข Steam therapySteam therapy
โ€ข Honey+tulsiHoney+tulsi
Chr./rec. CoughChr./rec. Cough
โ€ข TB?TB?
โ€ข Congenital HD?Congenital HD?
โ€ข FB?FB?
โ€ข Reactive airway?Reactive airway?
โ€ข GERD?GERD?
72
73
Follow up for PneumoniaFollow up for Pneumonia
โ€ข Count breath (most important single sign)Count breath (most important single sign)
โ€ข Watch activities: smiles, plays, feeds. Urine outputWatch activities: smiles, plays, feeds. Urine output
If the child stays at homeIf the child stays at home
โ€ข Teach mom how to observe for SoB, count breathTeach mom how to observe for SoB, count breath
โ€ข Nose cleaning, feeding, warmthNose cleaning, feeding, warmth
โ€ข Ask to return immediately:Ask to return immediately:
s/of deterioration (fast br., chest indrawing)s/of deterioration (fast br., chest indrawing)
poor feedingpoor feeding
74
75
HumidificationHumidification
76
Prevention of A R IPrevention of A R I
โ€ข Breast feedingBreast feeding
โ€ข No formula, no feederNo formula, no feeder
โ€ข ImmunizationImmunization
โ€ข HPVAC, ZincHPVAC, Zinc
โ€ข Rx malnutritionRx malnutrition
โ€ข Warmth, warm clothingWarmth, warm clothing
โ€ข No air pollutionNo air pollution
โ€ข No smoking!No smoking!
โ€ข Female literacyFemale literacy
โ€ข Family Planning,Family Planning,
birth spacingbirth spacing
โ€ข SanitationSanitation
โ€ข No overcrowdingNo overcrowding
77
ACUTE EPIGLOTTITISACUTE EPIGLOTTITIS
โ€ข Life-threatening inf. of epiglottis,Life-threatening inf. of epiglottis,
aryepiglottic folds & arytenoidaryepiglottic folds & arytenoid
(sudden suffocation)(sudden suffocation)
โ€ข Mostly in wintersMostly in winters
โ€ข Peak :-1โ€“6 y old. M:F 3:2Peak :-1โ€“6 y old. M:F 3:2
โ€ข Commonly bacteria: Hib. Concomitant bacteremia, pn.,Commonly bacteria: Hib. Concomitant bacteremia, pn.,
AOM, arthritis, etc. by Hib may be presentAOM, arthritis, etc. by Hib may be present
79
AC. EPIGLOTTITISAC. EPIGLOTTITIS
aka supraglottitisaka supraglottitis
CFCF
โ€“ Usually nocturnal; midnightUsually nocturnal; midnight
โ€“ HGF, sore throat, SoB, rapidlyHGF, sore throat, SoB, rapidly
progressing res. obstructionprogressing res. obstruction
โ€“ toxic, dysphagic, chest indrawing, drooling,toxic, dysphagic, chest indrawing, drooling, hyperhyper
extended neck, tripod positionextended neck, tripod position
โ€“ stridor is a late finding; cyanosis, coma, deathstridor is a late finding; cyanosis, coma, death
โ€“ mouth is open, jaw thrust forwardmouth is open, jaw thrust forward ((sniffing positionsniffing position).).
Barking cough is rareBarking cough is rare
EXAMINATIONEXAMINATION
โ€ข Do notDo not examine the throatexamine the throat
โ€ข Assess severityAssess severity
โ€“ degree of stridor, resp. rate, HRdegree of stridor, resp. rate, HR
โ€“ pulse oximetry, arousalpulse oximetry, arousal
โ€ข Dx:Dx:
โ€“ โ€œโ€œcherry redโ€ epiglottischerry redโ€ epiglottis
โ€“ โ€˜โ€˜thumb signโ€™ on lateral neck XRthumb signโ€™ on lateral neck XR
โ€“ blood CS, electrolytesblood CS, electrolytes
โ€ข Direct laryngoscopy:Direct laryngoscopy: cherry redcherry red epiglottisepiglottis
But not recommended!But not recommended!
ACUTE EPIGLOTTITIS โ€ฆACUTE EPIGLOTTITIS โ€ฆ
Lateral neck XR:Lateral neck XR:
(thumb sign)(thumb sign)
Rx (AC. EPIGLOTTITIS)Rx (AC. EPIGLOTTITIS)
A medical emergency!A medical emergency!
โ€ข ICUICU
โ€ข endotracheal intubation may be neededendotracheal intubation may be needed
โ€ข help from anesthetist & ENT surgeonhelp from anesthetist & ENT surgeon
โ€ข IV Amplicillin/Ceftriaxone (100 mg/kg/d) x10dIV Amplicillin/Ceftriaxone (100 mg/kg/d) x10d
โ€ข O2, ABB, IVF, nutritionO2, ABB, IVF, nutrition
โ€ข Rifampicin prophylaxis to close contactsRifampicin prophylaxis to close contacts
A L T B (croup)A L T B (croup)
โ€ข Mucositis of glottis-subglottisMucositis of glottis-subglottis;; usually viral:usually viral:
parainfluenza 1,2,3 (75%),parainfluenza 1,2,3 (75%), influenza A,B; RSV,influenza A,B; RSV,
epiglottitis, diphtheriaepiglottitis, diphtheria
โ€ข TracheitisTracheitis
โ€ข Age : 6moโ€“6yAge : 6moโ€“6y
ALTB: Ac. LaryngotracheobronchitisALTB: Ac. Laryngotracheobronchitis (CROUP)(CROUP)
โ€ข Inflam. swelling of throat: classical:Inflam. swelling of throat: classical: stridorstridor,,
"barking" cough"barking" cough,, hoarsenesshoarseness (within 1-2d)(within 1-2d)
โ€ข Features of URTI + croupFeatures of URTI + croup
โ€ข LGF, prolonged inspirationLGF, prolonged inspiration
โ€ข Severe at night, on lyingSevere at night, on lying
โ€ข Relieved by sitting upRelieved by sitting up
โ€ข Neck XR: subglotticNeck XR: subglottic
narrowingnarrowing (Steeple sign)(Steeple sign)
Dx: mainly clinical. XRDx: mainly clinical. XR
neck: steeple signneck: steeple sign
(unreliable)(unreliable)
DD/causes of croup:DD/causes of croup:
โ€ข ALTBALTB
โ€ข Ac. infectious laryngitisAc. infectious laryngitis
โ€ข Ac. epiglottitisAc. epiglottitis
โ€ข Spasmodic croupSpasmodic croup
โ€ข Bacterial tracheitisBacterial tracheitis
โ€ข DiphtheriaDiphtheria
โ€ข Measles croupMeasles croup
Ac. Laryngotracheobronchitis (ALTB)Ac. Laryngotracheobronchitis (ALTB)
DD: Ac. LTB and Ac. EpiglottitisDD: Ac. LTB and Ac. Epiglottitis
CroupCroup EpiglottitisEpiglottitis
CourseCourse daysdays hourshours
ProdromeProdrome coryzacoryza
CoughCough barkingbarking slight if any, thickslight if any, thick
FeedingFeeding ableable nono
MouthMouth closedclosed droolingdrooling
ToxicToxic nono yesyes
FeverFever <38.5<38.500
CC >38.5>38.5 00
CC
StridorStridor raspingrasping softsoft
VoiceVoice hoarsehoarse Weal/silentWeal/silent
A L T B: RxA L T B: Rx
โ€ข humidified airhumidified air
โ€ข steroidssteroids
โ€ข reduce severity and duration/need forreduce severity and duration/need for
intubationintubation
โ€ขprednisolone p.o. 2mg/kg/d x3dprednisolone p.o. 2mg/kg/d x3d
โ€ข nebulized budesonidenebulized budesonide
โ€ข nebulized adrenalinenebulized adrenaline
โ€ข Very common in childrenVery common in children
โ€ข Age: 2-6 mo.:Age: 2-6 mo.:
โ€“ S. pneumoniaeS. pneumoniae, Hib, M. catarrhalis, Hib, M. catarrhalis
Symptoms:Symptoms:
โ€ข earache,earache, inconsolable cryinconsolable cry & sleep disturbances, fit,& sleep disturbances, fit,
sometimes DVsometimes DV
Signs:Signs:
โ€ข Otorrhea or bulged congested TM, PEDOtorrhea or bulged congested TM, PED
PED: perforated eardrumPED: perforated eardrum
92
93
DxDx
โ€ข History, autoscopyHistory, autoscopy
โ€ข MyringotomyMyringotomy
โ€ข CBC, pus CSCBC, pus CS
94
TreatmentTreatment
โ€ขBroad-spectrum ABTBroad-spectrum ABT
โ€ขAnalgesic, decongestant (local/systemic)Analgesic, decongestant (local/systemic)
โ€ข Saline nose washSaline nose wash
โ€ขMyringotomy SOSMyringotomy SOS
โ€ขLocal AB drop for PEDLocal AB drop for PED
โ€ขNo bath in PEDNo bath in PED
Complications of OMComplications of OM
โ€ข MastoiditisMastoiditis
โ€ข MeningitisMeningitis
โ€ข Brain abscessBrain abscess
โ€ข PEDPED
โ€ข Deafness-dumbness, poor learningDeafness-dumbness, poor learning
โ€ข ConvulsionConvulsion
96
97
MCQMCQ
โ€ข HPVAC is an imp. intervention to prevent ARIHPVAC is an imp. intervention to prevent ARI
โ€ข Feeding bottle is a baby killerFeeding bottle is a baby killer
โ€ข Cut-off mark of fast breathing at 9 mo is 40Cut-off mark of fast breathing at 9 mo is 40
โ€ข Any pneumonia in <6o-days of age is severe pn.Any pneumonia in <6o-days of age is severe pn.
โ€ข O2 is the most important Rx for severe pn.O2 is the most important Rx for severe pn.
โ€ข Bacterial pneumonia can cause lung abscessBacterial pneumonia can cause lung abscess
MCQMCQ
โ€ข Parenteral ABT is recommended for severe pn.Parenteral ABT is recommended for severe pn.
โ€ข Zn has an imp. role in shortening of duration &Zn has an imp. role in shortening of duration &
prevention of recurrence of ARI in childrenprevention of recurrence of ARI in children
โ€ข Commonest c/of ac. epiglottitis is HibCommonest c/of ac. epiglottitis is Hib
โ€ข Ac. epiglottitis is usually Dx by direct laryngoscopy
โ€ข Croup means stridor, hoarseness, barking cough
โ€ข EPI has significant contribution in lowering ARI
98
100
Next:
Diarrhea
Ari

Ari

  • 1.
  • 2.
    Life Finds AWay:Life Finds A Way: JustJust Donโ€™t Give UpDonโ€™t Give Up
  • 3.
    Life Finds AWay:Life Finds A Way: JustJust Donโ€™t Give Up โ€ฆDonโ€™t Give Up โ€ฆ
  • 4.
    Life Finds AWay:Life Finds A Way: JustJust Donโ€™t Give Up โ€ฆDonโ€™t Give Up โ€ฆ
  • 5.
    5 Life Finds AWay:Life Finds A Way: JustJust Donโ€™t Give Up โ€ฆDonโ€™t Give Up โ€ฆ
  • 9.
    A R IAR I
  • 10.
    SIGNS OF RESPIRATORYDISTRESSSIGNS OF RESPIRATORY DISTRESS
  • 11.
  • 13.
  • 14.
  • 15.
    15 Definition of AR IDefinition of A R I (Acute Resp. Infection)(Acute Resp. Infection) This term isThis term is usedused by HW to indicate ac. inf. ofby HW to indicate ac. inf. of resp. system in U-5y childrenresp. system in U-5y children In this age group such inf. are often not anatomicallyIn this age group such inf. are often not anatomically localized, rather spreads rapidly to adjacent partslocalized, rather spreads rapidly to adjacent parts An U-5 child getsAn U-5 child gets 3-6 ARIs/y3-6 ARIs/y regardless of livingregardless of living standardstandard HW: health worker. U-5: under 5 years of age. Inf.: infectionHW: health worker. U-5: under 5 years of age. Inf.: infection
  • 16.
    16 Clinical AnatomyClinical Anatomy โ€ขRT is divided into 3 parts:RT is divided into 3 parts: URT:URT: nosenose โ‡’โ‡’ tracheatrachea (PNS, mouth, tonsils,(PNS, mouth, tonsils, pharynx, auditory T,pharynx, auditory T, middle-earmiddle-ear, larynx), larynx) LRT:LRT: tracheatrachea โ‡’โ‡’ bronchibronchi โ‡’โ‡’ air ductsair ducts Lung parenchymaLung parenchyma
  • 17.
  • 18.
  • 19.
  • 20.
  • 21.
    21 Normal Defence ofRSNormal Defence of RS These are unique!These are unique! โ€ข Breathing, coughing, sneezingBreathing, coughing, sneezing โ€ข Mucosal antibodiesMucosal antibodies โ€ข Ciliary sweepingCiliary sweeping โ€ข PhagocytesPhagocytes โ€ข Physical filteringPhysical filtering (Think how less often you catch cold and cough!)(Think how less often you catch cold and cough!)
  • 22.
  • 23.
  • 24.
    24 ARI in ChildrenARIin Children Spread Rapidly:Spread Rapidly: โ€ข Shorter & narrower RTShorter & narrower RT โ€ข Cough not strongCough not strong โ€ข Less immuneLess immune โ€ข Auditory tube is:Auditory tube is: โ€“ shortershorter โ€“ narrowernarrower โ€“ straighterstraighter
  • 25.
    Sites A RISites A R I โ€ข RhinitisRhinitis โ€ข SinusitisSinusitis โ€ข TonsillitisTonsillitis โ€ข PharyngitisPharyngitis โ€ข EpiglottitisEpiglottitis โ€ข LaryngitisLaryngitis โ€ข AOMAOM โ€ข TracheitisTracheitis โ€ข BronchitisBronchitis โ€ข BronchiolitisBronchiolitis โ€ข PneumoniaPneumonia โ€ข Bronchitis & Pn.Bronchitis & Pn. (Br.Pn.)(Br.Pn.) Children usually have combinations:Children usually have combinations: Ac. rhinopharyngotonsillitis +/- AOM, ac. LTBAc. rhinopharyngotonsillitis +/- AOM, ac. LTB (croup), Br.Pn, etc.(croup), Br.Pn, etc.
  • 26.
    26 ARI is asyndrome:ARI is a syndrome: โ€“ cough,cough, breath ratebreath rate โ€“ chest indrawing,chest indrawing, stridorstridor โ€“ +/-+/- 4 general4 general danger signdanger signs (IMCI)s (IMCI) NoNo Dr,Dr, nono stethoscope,stethoscope, nono lab.!lab.!
  • 27.
    27 Normal breathing rateNormalbreathing rate AgeAge Br. RateBr. Rate Fast breathingFast breathing <2 mo<2 mo <60/min<60/min โ‰ฅโ‰ฅ6060 (preterm 70)(preterm 70) 2-12mo2-12mo <50/min<50/min โ‰ฅ 50โ‰ฅ 50 1-5 y1-5 y <40/min<40/min โ‰ฅ 40โ‰ฅ 40 Counting BreathingCounting Breathing โ€ข The childThe child mustmust be calmbe calm โ€ข Count full 1 minuteCount full 1 minute โ€ข Count the abdominal swelling in inspirationCount the abdominal swelling in inspiration Breathing rate is the most imp. single sign for classification & follow-upBreathing rate is the most imp. single sign for classification & follow-up
  • 28.
    Fast breathingFast breathing Chestindrawing:Chest indrawing: โ€ข Suprasternal, supraclavicular, sternalSuprasternal, supraclavicular, sternal retraction/recessionretraction/recession โ€ข Intercostal spaceIntercostal space ,,,, โ€ข SubcostalSubcostal ,,,, 44 General Danger signs:General Danger signs: โ€ข Lethargic/unconsciousLethargic/unconscious โ€ข Poor feeding/not feedingPoor feeding/not feeding at allat all โ€ข Vomits everythingVomits everything โ€ข ConvulsionConvulsion 28
  • 29.
    29 DANGER SIGNS CONVULSIONS INABILITY TO DRINK ORBREASTFEED VOMITING LETHARGY UNCONSCIOUSNESS
  • 30.
    30 Additional SS ofARI for DoctorsAdditional SS of ARI for Doctors โ€ข Cold, sore throatCold, sore throat โ€ข CoughCough,, sputumsputum โ€ข Nasal flareNasal flare โ€ข StridorStridor โ€ข VVoice changeoice change โ€ข GruntingGrunting โ€ข CyanosisCyanosis โ€ข Asymmetry of chest &Asymmetry of chest & its movementits movement โ€ข Tracheal deviationTracheal deviation โ€ข Displaced heartDisplaced heart โ€ข Auscultation:Auscultation:
  • 31.
    31 Auscultatory FindingsAuscultatory Findings โ€ขPoor or unequal air entryPoor or unequal air entry โ€ข Prolonged expirationProlonged expiration โ€ข Wheeze/ronchiWheeze/ronchi โ€ข Fine +/-coarse crepitationsFine +/-coarse crepitations โ€ข Bronchial breath soundBronchial breath sound โ€ข Post-tussive creps/or ronchiPost-tussive creps/or ronchi
  • 32.
  • 33.
    33 Depth of ARIProblemDepth of ARI Problem โ€ข Pneumonia is the biggest U-5 killer (0.9million/y; 16% ofPneumonia is the biggest U-5 killer (0.9million/y; 16% of total:total: mmoreore than AIDS, malaria & TB combinedthan AIDS, malaria & TB combined);); 90%90% in L&MICs (70% in Africa & SEA)in L&MICs (70% in Africa & SEA) โ€ข Commonest admission (Commonest admission (12-45%)12-45%) โ€ข OPD: 20-60% A R IOPD: 20-60% A R I โ€ข V. imp. precipitator of malnutrition, VADXV. imp. precipitator of malnutrition, VADX โ€ข NationalNational Health IndexHealth Index of a countryof a country ((5.6 million U-5 death in 2016: 16,000/d.5.6 million U-5 death in 2016: 16,000/d. 70% from inf.)70% from inf.)
  • 34.
    34 ARI 54% Diarrhoea 85% Malaria 79% Measles 89% Percentage of deathsoccurring among: Global Disease Burden Borne by U-5 (Y 2000)
  • 35.
    Key facts:Key facts:PneumoniaPneumonia โ€ขKills by hypoxiaKills by hypoxia due to pus & fluid in alveolidue to pus & fluid in alveoli โ€ขC/by viruses, bacteria or fungi. Bacteria can be Rx with ABs,C/by viruses, bacteria or fungi. Bacteria can be Rx with ABs, but only 30% of children get itbut only 30% of children get it โ€ขRx with low-cost, low-tech. drugs & careRx with low-cost, low-tech. drugs & care โ€ขPx. byPx. by immunizationimmunization,, nutritionnutrition && clean environmentclean environment Death from diarrhea has been dramatically lowered byDeath from diarrhea has been dramatically lowered by successful ORTsuccessful ORT 35
  • 36.
    ARI mortality/morbidity highestin U-5yARI mortality/morbidity highest in U-5y โ€“ Lack of breast feedingLack of breast feeding โ€“ Formula feeding,Formula feeding, bottle feedingbottle feeding โ€“ Weaned earlyWeaned early โ€“ HIVHIV โ€“ <2 years of age<2 years of age โ€“ Lack of vaccinationLack of vaccination โ€“ MalnutritionMalnutrition โ€“ VADXVADX โ€“ Poor education, overcrowding, poor clothingPoor education, overcrowding, poor clothing โ€“ Difficult access to healthcare, medicationDifficult access to healthcare, medication
  • 37.
    37 Aetiology of AR IAetiology of A R I โ€ข VirusesViruses โ€ข BacteriaBacteria โ€ข MycoplasmaMycoplasma โ€ข FungusFungus โ€ข Parasites, wormsParasites, worms
  • 38.
    Aetiology โ€ฆAetiology โ€ฆ โ€ขVaries: age, immune status, where contractedVaries: age, immune status, where contracted โ€ข Community acquired pneumonia (CAP)Community acquired pneumonia (CAP) โ€“ L&MICsL&MICs โ€ข VirusesViruses 40%40% โ€ข S. pneumoniae, Hib, S aureus, Moraxella,S. pneumoniae, Hib, S aureus, Moraxella, Mycoplasma, Chlamydia inMycoplasma, Chlamydia in 60%60% โ€“ HICsHICs โ€ข Bacteria:Bacteria: 5-10%5-10%
  • 39.
    Etiology Based onAgeEtiology Based on Age AgeAge OrganismOrganism NeonatesNeonates GBS, E coli, Klebsiella, SGBS, E coli, Klebsiella, S aureusaureus InfantsInfants Pneumococcus, Chlamydia,Pneumococcus, Chlamydia, RSV, Hib, StaphRSV, Hib, Staph 1-5y1-5y Viruses, Pneumococcus, HibViruses, Pneumococcus, Hib Chlamydia, Mycoplasma,Chlamydia, Mycoplasma, Staph, GASStaph, GAS 5-18y5-18y Mycoplasma, Pneumococcus,Mycoplasma, Pneumococcus, Chlamydia, HibChlamydia, Hib
  • 40.
    40 VirusesViruses โ€ข RhinovirusesRhinoviruses โ€ข RSVRSV โ€ขAdenovirusesAdenoviruses โ€ข Influenza, parainfluenza A B CInfluenza, parainfluenza A B C โ€ข MyxovirusesMyxoviruses โ€ข Corona viruses (SARS, MERS)Corona viruses (SARS, MERS) โ€ข Boca virusBoca virus โ€ข MetapneumovirusMetapneumovirus
  • 41.
    41 Common BacteriaCommon Bacteria โ€ข** S. pneumoniaeS. pneumoniae โ€ข ** HibHib โ€ข S. pyogenesS. pyogenes โ€ข S. aureusS. aureus โ€ข ** M. tuberculosisM. tuberculosis โ€ข ** C diphtheriaeC diphtheriae โ€ข Enteric bacilliEnteric bacilli โ€ข PseudomonasPseudomonas โ€ข KlebsiellaKlebsiella โ€ข MoraxellaMoraxella *Vaccine available
  • 42.
    42 Others โ€ข Chlamydia โ€ข Mycoplasma โ€ขFungus: C. albicans, Histoplasma โ€ข Miscellaneous: P. jirovecii (carinii), worms P jirovecii:P jirovecii: yeast-like fungus; causes pn.; an imp. pathogen, particularlyyeast-like fungus; causes pn.; an imp. pathogen, particularly amongamong immunocompromisedimmunocompromised; aka; aka P. cariniiP. carinii
  • 43.
    43 How A RI HarmsHow A R I Harms โ€ข HypoxiaHypoxia:: convulsion, deathconvulsion, death โ€ข Malnutrition &Malnutrition & VADX:VADX: โ€ข ChestChest: collapse, consolidation, effusion, abscess,: collapse, consolidation, effusion, abscess, bronchiectasis, pneumothoraxbronchiectasis, pneumothorax โ€ข Blood:Blood: sepsis, deranged ABB, dyselectrolytemiasepsis, deranged ABB, dyselectrolytemia โ€ข Meningitis, IgA nephropathyMeningitis, IgA nephropathy VADX: Vitamin A defi. and xerophthalmia. ABB: acid base balanceVADX: Vitamin A defi. and xerophthalmia. ABB: acid base balance
  • 44.
    44 ARI Causes Malnutrition& VADXARI Causes Malnutrition & VADX โ€ข Poor feedingPoor feeding โ€ข Negative nitrogen balanceNegative nitrogen balance โ€ข VD, F: dehydrationVD, F: dehydration โ€ข Exhaustion of VAExhaustion of VA โ€ข Faulty feeding, tabooFaulty feeding, taboo Mn.: Malnutrition. VD: vomiting diarrhoea. F: fever. VA: vitamin AMn.: Malnutrition. VD: vomiting diarrhoea. F: fever. VA: vitamin A
  • 45.
    45 Dehydration in ARIDehydrationin ARI:: โ€ข Fast breathingFast breathing โ€ข FeverFever โ€ข NVDNVD โ€ข Runny noseRunny nose โ€ข Poor/faulty feedingPoor/faulty feeding NVD: nausea vomiting diarrheaNVD: nausea vomiting diarrhea
  • 46.
    46 How A RI killsHow A R I kills AcuteAcute โ€ข HypoxiaHypoxia โ€ข HHypoglycemia, convulsion, cardiac failureypoglycemia, convulsion, cardiac failure โ€ข Septicemia, dehydrationSepticemia, dehydration LateLate โ€ข Malnutrition, VADXMalnutrition, VADX โ€ข Suffocation, aspirationSuffocation, aspiration
  • 47.
    47 Hospital PictureHospital Picture โ€ขOut of 1690 cases admitted in BMCH pediatricOut of 1690 cases admitted in BMCH pediatric ward 400 (23.7%) had ARIward 400 (23.7%) had ARI โ€ข Peak incidence during Oct-NovPeak incidence during Oct-Nov
  • 48.
    48 Death from ARIis DecliningDeath from ARI is Declining** โ€ข Br. feedingBr. feeding โ€ข No bottle feedingNo bottle feeding โ€ข Socioeconomic &Socioeconomic & environ. changeenviron. change โ€ข Falling malnutritionFalling malnutrition โ€ข HPVAC distributionHPVAC distribution โ€ข EPIEPI HPVAC: high potency vitamin A capsuleHPVAC: high potency vitamin A capsule โ€ข Family planningFamily planning โ€ข Modern health careModern health care โ€ข Better & cheap drugsBetter & cheap drugs โ€ข Female literacyFemale literacy โ€ข Health awarenessHealth awareness * Previously 4million, now 0.9Previously 4million, now 0.9
  • 49.
    ManagementManagement According toAccording to IMCIIMCI[[[[ IMCI:integrated management of childhood illnessesIMCI: integrated management of childhood illnesses
  • 50.
    History TakingHistory Taking 1.General Danger Signs1. General Danger Signs 2. Main Symptoms2. Main Symptoms a. Cougha. Cough โˆšโˆš b. Diarrheab. Diarrhea c. Feverc. Fever d. Ear Problemsd. Ear Problems 3. Nutritional Status3. Nutritional Status 4. Immunization Status4. Immunization Status 5. Other Problems5. Other Problems IMCI Record FormIMCI Record Form
  • 51.
    51 Assess whether thechild hasAssess whether the child has โ€ข No pneumoniaNo pneumonia (cold-cough; chr. cough)(cold-cough; chr. cough) โ€ข Pneumonia orPneumonia or โ€ข Severe PneumoniaSevere Pneumonia In babies <2mo any pneumonia isIn babies <2mo any pneumonia is severe pneumoniasevere pneumonia
  • 52.
    52 Fast breathing +Fastbreathing + chest indrawing orchest indrawing or Stridor in a calmStridor in a calm child. (Any GD sign)child. (Any GD sign) SevereSevere PneumoniaPneumonia oror (Very Severe Disease)(Very Severe Disease) Fast breathingFast breathing PneumoniaPneumonia No signs ofNo signs of pneumonia or verypneumonia or very severe diseasesevere disease No pneumonia:No pneumonia: cough or coldcough or cold
  • 53.
    53 Limitations โ€ฆLimitations โ€ฆ Pneumoniain IMCI may be actuallyPneumonia in IMCI may be actually โ€ข BronchiolitisBronchiolitis โ€ข Br. AsthmaBr. Asthma โ€ข DiphtheriaDiphtheria โ€ข PertussisPertussis โ€ข HGFHGF โ€ข CCFCCF No pneumonia may be TBNo pneumonia may be TB
  • 54.
    PneumoniaPneumonia โ€ข Inflam. oflung parenchyma ยฑ consolidationInflam. of lung parenchyma ยฑ consolidation โ€ข Fast breathingFast breathing โ€ข HICs:HICs: viral:viral: Low morbidity-mortalityLow morbidity-mortality โ€ข L&MICs:L&MICs: โ€“ Bacteria in 65%Bacteria in 65% โ€“ Cheap oral ABT: Amoxicillin can causeCheap oral ABT: Amoxicillin can cause 84%84% reduction in deathreduction in death
  • 55.
    55 Severe PneumoniaSevere Pneumonia โ€ขVery sick,Very sick, not able to feednot able to feed โ€ข Tachypnoea,Tachypnoea, tachycardiatachycardia โ€ข Chest indrawingChest indrawing โ€ข Creps, wheezeCreps, wheeze โ€ข Cyanosis, convulsionCyanosis, convulsion โ€ข DrowsinessDrowsiness +/- Fever+/- Fever
  • 56.
    56 Lab. Dx. ofPneumoniaLab. Dx. of Pneumonia (not for HW/IMCI)(not for HW/IMCI) โ€ข CXRCXR โ€ข CBC filmCBC film โ€ข CS of blood, tracheal & lung aspirateCS of blood, tracheal & lung aspirate โ€ข Throat swabThroat swab
  • 57.
  • 58.
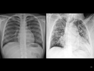
    58 Pneumococcal pneumoniaPneumococcal pneumonia Rupper lobe consolidationR upper lobe consolidation
  • 59.
  • 60.
  • 61.
    61 Air-fluid level inLung AbscessAir-fluid level in Lung Abscess
  • 63.
    Complications of pneumoniaComplicationsof pneumonia IntrathoracicIntrathoracic โ€ข Pleural effusion, empyemaPleural effusion, empyema โ€ข Collapse, consolidationCollapse, consolidation โ€ข Lung abscess, pneumatoceleLung abscess, pneumatocele โ€ข PneumothoraxPneumothorax ExtrathoracicExtrathoracic โ€ข Septicemia, meningitisSepticemia, meningitis โ€ข DehydrationDehydration โ€ข Myocarditis, pericarditisMyocarditis, pericarditis โ€ข Acidosis, dyselectrolytemiasAcidosis, dyselectrolytemias
  • 64.
  • 65.
  • 66.
  • 67.
    67 Rx: General PrinciplesRx:General Principles โ€ข O2,O2, air way careair way care โ€ข Nebulized beta-agonist, anticholinergicNebulized beta-agonist, anticholinergic โ€ข Antibiotics (parenteral)Antibiotics (parenteral) โ€ข Feeding, warmthFeeding, warmth โ€ข FEBFEB โ€ข Vitamin AVitamin A โ€ข ZincZinc โ€ข CounselingCounseling โ€ข FUFU
  • 68.
    68 Rx. Severe PneumoniaRx.Severe Pneumonia โ€ข Admission must,Admission must, OO22 โ€ข Airway patency:Airway patency: โ€“ suction clearancesuction clearance โ€“ Nebulized bronchodilator, anti-secretoryNebulized bronchodilator, anti-secretory โ€ข Parenteral ABTParenteral ABT โ€ข Lowering HGFLowering HGF โ€ข Feeding, FEB, warmthFeeding, FEB, warmth โ€ข Vitamin A, zincVitamin A, zinc
  • 69.
    69 Antibiotics in PneumoniaAntibioticsin Pneumonia Pneumonia is mostly viral but 2y infx. is commonPneumonia is mostly viral but 2y infx. is common โ€ข Injectable: usuallyInjectable: usually >1 AB>1 AB โ€ข Minimum 10d. Up to 3wMinimum 10d. Up to 3w โ€ข Penicillin +gentamicin/amikacin are goodPenicillin +gentamicin/amikacin are good โ€ข Staph coverage for babies <2yrStaph coverage for babies <2yr
  • 70.
    70 When You DeferABWhen You Defer AB โ€ข The child is stable, playful, no HGFThe child is stable, playful, no HGF โ€ข EBF, no bottle feedingEBF, no bottle feeding โ€ข Taking feeds normallyTaking feeds normally โ€ข SupervisedSupervised
  • 71.
    71 Rx for Cough& Cold (no pn.)Rx for Cough & Cold (no pn.) โ€ข Exclude AOMExclude AOM โ€ข Ensure feedingEnsure feeding โ€ข Treat feverTreat fever โ€ข Clean noseClean nose โ€ข Steam therapySteam therapy โ€ข Honey+tulsiHoney+tulsi Chr./rec. CoughChr./rec. Cough โ€ข TB?TB? โ€ข Congenital HD?Congenital HD? โ€ข FB?FB? โ€ข Reactive airway?Reactive airway? โ€ข GERD?GERD?
  • 72.
  • 73.
    73 Follow up forPneumoniaFollow up for Pneumonia โ€ข Count breath (most important single sign)Count breath (most important single sign) โ€ข Watch activities: smiles, plays, feeds. Urine outputWatch activities: smiles, plays, feeds. Urine output If the child stays at homeIf the child stays at home โ€ข Teach mom how to observe for SoB, count breathTeach mom how to observe for SoB, count breath โ€ข Nose cleaning, feeding, warmthNose cleaning, feeding, warmth โ€ข Ask to return immediately:Ask to return immediately: s/of deterioration (fast br., chest indrawing)s/of deterioration (fast br., chest indrawing) poor feedingpoor feeding
  • 74.
  • 75.
  • 76.
    76 Prevention of AR IPrevention of A R I โ€ข Breast feedingBreast feeding โ€ข No formula, no feederNo formula, no feeder โ€ข ImmunizationImmunization โ€ข HPVAC, ZincHPVAC, Zinc โ€ข Rx malnutritionRx malnutrition โ€ข Warmth, warm clothingWarmth, warm clothing โ€ข No air pollutionNo air pollution โ€ข No smoking!No smoking! โ€ข Female literacyFemale literacy โ€ข Family Planning,Family Planning, birth spacingbirth spacing โ€ข SanitationSanitation โ€ข No overcrowdingNo overcrowding
  • 77.
  • 78.
    ACUTE EPIGLOTTITISACUTE EPIGLOTTITIS โ€ขLife-threatening inf. of epiglottis,Life-threatening inf. of epiglottis, aryepiglottic folds & arytenoidaryepiglottic folds & arytenoid (sudden suffocation)(sudden suffocation) โ€ข Mostly in wintersMostly in winters โ€ข Peak :-1โ€“6 y old. M:F 3:2Peak :-1โ€“6 y old. M:F 3:2 โ€ข Commonly bacteria: Hib. Concomitant bacteremia, pn.,Commonly bacteria: Hib. Concomitant bacteremia, pn., AOM, arthritis, etc. by Hib may be presentAOM, arthritis, etc. by Hib may be present
  • 79.
  • 80.
    AC. EPIGLOTTITISAC. EPIGLOTTITIS akasupraglottitisaka supraglottitis CFCF โ€“ Usually nocturnal; midnightUsually nocturnal; midnight โ€“ HGF, sore throat, SoB, rapidlyHGF, sore throat, SoB, rapidly progressing res. obstructionprogressing res. obstruction โ€“ toxic, dysphagic, chest indrawing, drooling,toxic, dysphagic, chest indrawing, drooling, hyperhyper extended neck, tripod positionextended neck, tripod position โ€“ stridor is a late finding; cyanosis, coma, deathstridor is a late finding; cyanosis, coma, death โ€“ mouth is open, jaw thrust forwardmouth is open, jaw thrust forward ((sniffing positionsniffing position).). Barking cough is rareBarking cough is rare
  • 81.
    EXAMINATIONEXAMINATION โ€ข Do notDonot examine the throatexamine the throat โ€ข Assess severityAssess severity โ€“ degree of stridor, resp. rate, HRdegree of stridor, resp. rate, HR โ€“ pulse oximetry, arousalpulse oximetry, arousal โ€ข Dx:Dx: โ€“ โ€œโ€œcherry redโ€ epiglottischerry redโ€ epiglottis โ€“ โ€˜โ€˜thumb signโ€™ on lateral neck XRthumb signโ€™ on lateral neck XR โ€“ blood CS, electrolytesblood CS, electrolytes
  • 82.
    โ€ข Direct laryngoscopy:Directlaryngoscopy: cherry redcherry red epiglottisepiglottis But not recommended!But not recommended! ACUTE EPIGLOTTITIS โ€ฆACUTE EPIGLOTTITIS โ€ฆ
  • 83.
    Lateral neck XR:Lateralneck XR: (thumb sign)(thumb sign)
  • 84.
    Rx (AC. EPIGLOTTITIS)Rx(AC. EPIGLOTTITIS) A medical emergency!A medical emergency! โ€ข ICUICU โ€ข endotracheal intubation may be neededendotracheal intubation may be needed โ€ข help from anesthetist & ENT surgeonhelp from anesthetist & ENT surgeon โ€ข IV Amplicillin/Ceftriaxone (100 mg/kg/d) x10dIV Amplicillin/Ceftriaxone (100 mg/kg/d) x10d โ€ข O2, ABB, IVF, nutritionO2, ABB, IVF, nutrition โ€ข Rifampicin prophylaxis to close contactsRifampicin prophylaxis to close contacts
  • 85.
    A L TB (croup)A L T B (croup) โ€ข Mucositis of glottis-subglottisMucositis of glottis-subglottis;; usually viral:usually viral: parainfluenza 1,2,3 (75%),parainfluenza 1,2,3 (75%), influenza A,B; RSV,influenza A,B; RSV, epiglottitis, diphtheriaepiglottitis, diphtheria โ€ข TracheitisTracheitis โ€ข Age : 6moโ€“6yAge : 6moโ€“6y ALTB: Ac. LaryngotracheobronchitisALTB: Ac. Laryngotracheobronchitis (CROUP)(CROUP)
  • 86.
    โ€ข Inflam. swellingof throat: classical:Inflam. swelling of throat: classical: stridorstridor,, "barking" cough"barking" cough,, hoarsenesshoarseness (within 1-2d)(within 1-2d) โ€ข Features of URTI + croupFeatures of URTI + croup โ€ข LGF, prolonged inspirationLGF, prolonged inspiration โ€ข Severe at night, on lyingSevere at night, on lying โ€ข Relieved by sitting upRelieved by sitting up โ€ข Neck XR: subglotticNeck XR: subglottic narrowingnarrowing (Steeple sign)(Steeple sign)
  • 87.
    Dx: mainly clinical.XRDx: mainly clinical. XR neck: steeple signneck: steeple sign (unreliable)(unreliable)
  • 88.
    DD/causes of croup:DD/causesof croup: โ€ข ALTBALTB โ€ข Ac. infectious laryngitisAc. infectious laryngitis โ€ข Ac. epiglottitisAc. epiglottitis โ€ข Spasmodic croupSpasmodic croup โ€ข Bacterial tracheitisBacterial tracheitis โ€ข DiphtheriaDiphtheria โ€ข Measles croupMeasles croup Ac. Laryngotracheobronchitis (ALTB)Ac. Laryngotracheobronchitis (ALTB)
  • 89.
    DD: Ac. LTBand Ac. EpiglottitisDD: Ac. LTB and Ac. Epiglottitis CroupCroup EpiglottitisEpiglottitis CourseCourse daysdays hourshours ProdromeProdrome coryzacoryza CoughCough barkingbarking slight if any, thickslight if any, thick FeedingFeeding ableable nono MouthMouth closedclosed droolingdrooling ToxicToxic nono yesyes FeverFever <38.5<38.500 CC >38.5>38.5 00 CC StridorStridor raspingrasping softsoft VoiceVoice hoarsehoarse Weal/silentWeal/silent
  • 90.
    A L TB: RxA L T B: Rx โ€ข humidified airhumidified air โ€ข steroidssteroids โ€ข reduce severity and duration/need forreduce severity and duration/need for intubationintubation โ€ขprednisolone p.o. 2mg/kg/d x3dprednisolone p.o. 2mg/kg/d x3d โ€ข nebulized budesonidenebulized budesonide โ€ข nebulized adrenalinenebulized adrenaline
  • 91.
    โ€ข Very commonin childrenVery common in children โ€ข Age: 2-6 mo.:Age: 2-6 mo.: โ€“ S. pneumoniaeS. pneumoniae, Hib, M. catarrhalis, Hib, M. catarrhalis Symptoms:Symptoms: โ€ข earache,earache, inconsolable cryinconsolable cry & sleep disturbances, fit,& sleep disturbances, fit, sometimes DVsometimes DV Signs:Signs: โ€ข Otorrhea or bulged congested TM, PEDOtorrhea or bulged congested TM, PED PED: perforated eardrumPED: perforated eardrum
  • 92.
  • 93.
  • 94.
    DxDx โ€ข History, autoscopyHistory,autoscopy โ€ข MyringotomyMyringotomy โ€ข CBC, pus CSCBC, pus CS 94
  • 95.
    TreatmentTreatment โ€ขBroad-spectrum ABTBroad-spectrum ABT โ€ขAnalgesic,decongestant (local/systemic)Analgesic, decongestant (local/systemic) โ€ข Saline nose washSaline nose wash โ€ขMyringotomy SOSMyringotomy SOS โ€ขLocal AB drop for PEDLocal AB drop for PED โ€ขNo bath in PEDNo bath in PED
  • 96.
    Complications of OMComplicationsof OM โ€ข MastoiditisMastoiditis โ€ข MeningitisMeningitis โ€ข Brain abscessBrain abscess โ€ข PEDPED โ€ข Deafness-dumbness, poor learningDeafness-dumbness, poor learning โ€ข ConvulsionConvulsion 96
  • 97.
    97 MCQMCQ โ€ข HPVAC isan imp. intervention to prevent ARIHPVAC is an imp. intervention to prevent ARI โ€ข Feeding bottle is a baby killerFeeding bottle is a baby killer โ€ข Cut-off mark of fast breathing at 9 mo is 40Cut-off mark of fast breathing at 9 mo is 40 โ€ข Any pneumonia in <6o-days of age is severe pn.Any pneumonia in <6o-days of age is severe pn. โ€ข O2 is the most important Rx for severe pn.O2 is the most important Rx for severe pn. โ€ข Bacterial pneumonia can cause lung abscessBacterial pneumonia can cause lung abscess
  • 98.
    MCQMCQ โ€ข Parenteral ABTis recommended for severe pn.Parenteral ABT is recommended for severe pn. โ€ข Zn has an imp. role in shortening of duration &Zn has an imp. role in shortening of duration & prevention of recurrence of ARI in childrenprevention of recurrence of ARI in children โ€ข Commonest c/of ac. epiglottitis is HibCommonest c/of ac. epiglottitis is Hib โ€ข Ac. epiglottitis is usually Dx by direct laryngoscopy โ€ข Croup means stridor, hoarseness, barking cough โ€ข EPI has significant contribution in lowering ARI 98
  • 100.

Editor's Notes

  • #21ย Alveolar epithelium comprises 2 main cell types: type I &amp; type II. Type I cell is a complex branched cell with multiple cytoplasmic plates that are greatly attenuated &amp; relatively devoid of organelles; these plates represent the gas exchange surface in the alveolus. Type II cell acts as the &amp;quot;caretaker&amp;quot; of the alveolar compartment. It responds to damage of the vulnerable type I cell by dividing and acting as a progenitor cell for both type I and type II cells. In addition, it synthesises, stores &amp; releases surfactant, where it acts to optimize gas exchange
  • #24ย Goblet cellย is a glandular, modified simple columnar cell; secrete gel-forming mucins. Mucin: hydratedย mucinogen,ย containsย CHOย suchย asย thoseย fromย theย gobletย cellsย ofย gut, submaxillaryย g, etc. Itย isย alsoย presentย in theย groundย substance ofย con. tissue, esp.ย mucousย CT, isย solubleย inย alkalineย water, &amp; isย precipitatedย byย aceticย a;ย mucins lubricate &amp; protectย body cavityย linings
  • #31ย SS: symptoms and signs
  • #35ย 5.6 million U-5 died in 2016: 15,000/d. Leading c/of death are preterm, pn., HIE, D &amp;malaria
  • #37ย Under-five mortality: situation: 5.9 millionย died in 2015, 16000/d Highest in ย Africaย (90/1000 lb), x7 higher than that in Europe (12/1000lb). Manyย countriesย still have v high mortality โ€“ particularly those in Africa,ย homeย to 11 of 12 countries with a rate &amp;gt;100/1000lb. In 2013, the U-5MR in low-income countries was 76/1000lb โ€“ x13 theย average rateย in high-income countries (6/1000lb). Reducing these inequities across countries and savingย moreย childrenโ€™s lives by ending preventable child deaths are important priorities
  • #57ย HW: health worker
  • #58ย G+ve capsulated diplococcus. Some have a halo: capsule. The capsule gives a survival advantage
  • #65ย Pneumatoceles are thin-walled, air-filled cysts within lung; can be single emphysematous but are more often multiple. Most often seen in ac. Pn., commonly byย S aureus; also withย S pneumoniae,ย Hib,ย E coli,ย GAS, Serratia marcescens, K pneumoniae,ย adenovirus, TB; generally seen soon after pn. but can be observed initially. Noninf. causes: hydrocarbon ingestion, trauma, and PP ventilation. In preemies with RDS, pneumatoceles result mostly from ventilator-induced lung injury. Mostly they are asymptomatic and do not require surgery.ย Rx of pneumonia with ABT is the first-line therapy. Close observation in the early stages and periodic FU care is usually adequate. The natural course is slow with no further clinical sequelae. Invasive approaches should only be reserved for patients who develop complications
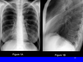
  • #66ย 1A: CXR: ill-defined R perihilar opacity obscuring R heart border &amp; contains no air bronchograms. 1B: a corresponding triangular opacity with its base abutting the sternum and its apex directed toward hilum. Note anterior displacement of oblique fissure and elevation of R hemi-diaphragm. Dx: : R Middle Lobe Atelectasis
  • #69ย ABT: usually ampi-genta, chloramphenicol When the child is kept at home, teach the mother how to observe s/of breathlessness. Ask her to report to the HC immediately if there is deterioration
  • #70ย WHO classification and Rx of childhood pn. at health facilities 2 major changes: (A) now just 2 categories of pn. instead of 3 (โ€œpn.โ€ which is treated at home with oral amoxicillin and โ€œsevere pn.โ€ which requires Injectable AB and (B) oral amoxicillin replaces oral cotrimoxazole as DoC, preferably in 250mg dispersible tablet form, 2/d x5d which can be reduced to 3 in low HIV settings
  • #72ย For persistent cough (&amp;gt;30d) full Ix are required to exclude TB, cong. HD, FB, atopy, etc.
  • #85ย Epiglottis: ceftriaxone is DoC. This is broad-spectrum against gram-negative, lower efficacy against gram-positive: 100mg/kg/d IV on first day; follow with 50 mg/kg on day 2 or 75 mg/kg qDay for 10-14 days
  • #86ย Croup is a commonย resp.ย problem in young children. Common in the fall and winter. Main symptom is a harsh, barking cough. Causes edema in larynx, trachea, bronchi. This can make it hard for your child to breathe. It can be scary, but rarely serious; usually better in several days with rest and care at home C/by the same viruses of common cold.
  • #89ย Laryngitis is one of the most common conditions in the larynx. It manifests in both acute and chronic forms. Ac laryngitis is usually self-limited. If &amp;gt;3w, it isย chronic. The etiology of AL: vocal misuse, exposure to noxious agents, URTI. Mostly viral but sometimes bacterial. Pix: larynx of a 62y F with an intermittent exudative AL treated conservatively. Rarely, laryngitis is autoimmune (RA,ย relapsing polychondritis, Wegener granulomatosis, sarcoidosis). CL may be c/by cigarette smokeย or polluted air (chemicals), irritation fromย asthmaย inhalers, vocal misuse, or GERD. Vocal misuse: increased adducting force of the vocal folds: increased contact and friction between folds. The area becomes swollen.ย Vocal therapyย has the greatest benefit in the patient with CL Although AL is usually not a result of vocal abuse, vocal abuse is often a result of AL. The underlying inf/inflam results in a hoarse voice. Typically, the pt exacerbates dysphonia by misuse of the voice in an attempt to maintain premorbid phonating ability
  • #99ย Zinc is imp for cellular growth, cellular differentiation and metabolism. Deficiency limits growth and decreases immunity. Although severe deficiency is rare, mild to moderate may be common worldwide. Zinc may reduce frequency and severity of ARI. Zinc deficient children are at increased risk of restricted growth and developing D, ARI. D and pn. are the 2 most common c/of U-5MR in LICs. Undernutrition is considered the underlying c/of 50% of pn.. Pn alone kills more than AIDS, malaria or measles combined. Zn may reduce the number of episodes and severity of bronchiolitis and pn. Zinc and ORS is the basis of management of D.