THE MORAL ISSUE OF
JOFRED M. MARTINEZ, RN
CHAPTER 10
THE MORAL ISSUE OF
JOFRED M. MARTINEZ, RN
CHAPTER 10
These are defects, malformations, or abnormalities of
a child which are present at birth.
Several causes of congenital deformities stem from:
• radiation
• drugs
• chemicals
• nutritional deficiencies
• biological disease agents
GENETIC DEFORMITIES
These are hereditary, they are the outcome of the
genetic information of the child.
CONGENITAL DEFORMITIES
These are defects or malformations present at birth;
they are nonhereditary insofar as they are not due to
the genetic material but to some physical damage
during fetal development.
The affected newborn has a twenty-first triple rather
that twenty-first pair of chromosomes
The child affected with Down’s syndrome is born
retarded and with various physical deformities:
a broad skull, a large tongue and upward
slant of eyelids.
The newborn with this type of deformity has the following
features:
• opening in the spine
• a bulging sac from the protrusion of the membrane
covering of the spinal cord
• spinal fluid and nerve tissue contained in the
swelling protuberance
• paralysis below the waist
• no control of bladder and bowel movements
It is a defective condition characterized by the
accumulation of fluid within the ventricles or between
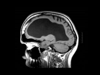
the membranes of the brain.
Brain damage follows from the pressure build-up
from the fluid that cannot escape, resulting in the
death of the child.
In this deformity, the brain is partially or almost totally
absent. Some bones of the skull are not completely
formed, thus leaving an opening through which the
brain material swells out forming a sac or bag.
There seems to be no hope for improvement for this
birth defect through technological means at present.
An atresia is the closing or blockage of a normal canal
or opening. This refers to the closing of the
esophagus, the muscular tube has no opening
through which milk or food may reach the stomach..
An atresia is the closing or blockage of a normal canal
or opening. This refers to the closing of the
esophagus, the muscular tube has no opening
through which milk or food may reach the stomach..
Committed to promote the good and to avoid
evil, can doctors and nurses condone the
death of such a child?
ROMAN CATHOLIC CHURCH
Even the most terribly malformed baby is a
human person, so its right to life must be
respected and safeguarded.
KANTIAN PRINCIPLES
A malformed baby is a person, then it possesses an
inherent dignity and worth. But aside from being
defective, it lacks the capacity to reason and to
express its will.
ROSS ETHICAL PRINCIPLES
Which prima facie duty is more stringent, the duty to
have a deformed baby be operated on for a spina
bifida condition, the cost of which is tremendous and
burdensome to the family; or the duty to just let the
malformed child die in a quiet painless way?
JOSEPH FLETCHER
He does not favor the expulsion of a terribly
malformed fetus and the decision to terminate a
“subhuman life in extremis” and also endorses the
merciful and painless killing of horribly deformed
babies and terminally ill patients.
Certain defects are necessary for the existence of
individuality.
Johann Wolfgang von Goethe

Bioethics Birth Deformities

  • 1.
    THE MORAL ISSUEOF JOFRED M. MARTINEZ, RN CHAPTER 10
  • 2.
    THE MORAL ISSUEOF JOFRED M. MARTINEZ, RN CHAPTER 10
  • 3.
    These are defects,malformations, or abnormalities of a child which are present at birth. Several causes of congenital deformities stem from: • radiation • drugs • chemicals • nutritional deficiencies • biological disease agents
  • 5.
    GENETIC DEFORMITIES These arehereditary, they are the outcome of the genetic information of the child. CONGENITAL DEFORMITIES These are defects or malformations present at birth; they are nonhereditary insofar as they are not due to the genetic material but to some physical damage during fetal development.
  • 6.
    The affected newbornhas a twenty-first triple rather that twenty-first pair of chromosomes The child affected with Down’s syndrome is born retarded and with various physical deformities: a broad skull, a large tongue and upward slant of eyelids.
  • 11.
    The newborn withthis type of deformity has the following features: • opening in the spine • a bulging sac from the protrusion of the membrane covering of the spinal cord • spinal fluid and nerve tissue contained in the swelling protuberance • paralysis below the waist • no control of bladder and bowel movements
  • 16.
    It is adefective condition characterized by the accumulation of fluid within the ventricles or between the membranes of the brain. Brain damage follows from the pressure build-up from the fluid that cannot escape, resulting in the death of the child.
  • 20.
    In this deformity,the brain is partially or almost totally absent. Some bones of the skull are not completely formed, thus leaving an opening through which the brain material swells out forming a sac or bag. There seems to be no hope for improvement for this birth defect through technological means at present.
  • 23.
    An atresia isthe closing or blockage of a normal canal or opening. This refers to the closing of the esophagus, the muscular tube has no opening through which milk or food may reach the stomach..
  • 25.
    An atresia isthe closing or blockage of a normal canal or opening. This refers to the closing of the esophagus, the muscular tube has no opening through which milk or food may reach the stomach..
  • 27.
    Committed to promotethe good and to avoid evil, can doctors and nurses condone the death of such a child?
  • 28.
    ROMAN CATHOLIC CHURCH Eventhe most terribly malformed baby is a human person, so its right to life must be respected and safeguarded.
  • 29.
    KANTIAN PRINCIPLES A malformedbaby is a person, then it possesses an inherent dignity and worth. But aside from being defective, it lacks the capacity to reason and to express its will.
  • 30.
    ROSS ETHICAL PRINCIPLES Whichprima facie duty is more stringent, the duty to have a deformed baby be operated on for a spina bifida condition, the cost of which is tremendous and burdensome to the family; or the duty to just let the malformed child die in a quiet painless way?
  • 31.
    JOSEPH FLETCHER He doesnot favor the expulsion of a terribly malformed fetus and the decision to terminate a “subhuman life in extremis” and also endorses the merciful and painless killing of horribly deformed babies and terminally ill patients.
  • 32.
    Certain defects arenecessary for the existence of individuality. Johann Wolfgang von Goethe