BASICS
OF
CT SCAN
DR SAPAN KUMAR
2ND YEAR PG
GENERAL SURGERY
MKCG
• INTRODUCTION
• HISTORY
• PARTS OF CT SCAN MACHINE
• PRINCIPLE OF CT SCAN
• TYPES OF CT SCAN-
CONVETIONAL CT
SPIRAL CT
MULTIDETECTOR CT
• CONTRAST MEDIA IN CT
• CT GUIDED INTERVENTIONS
• SPECIAL SCANS-
CT ANGIOGRAPHY
CARDIAC CT
• ADVANTAGES OF CT
• DISADVANTAGES OF CT
INTRODUCTION
The term ‘Computed Tomography’
Tomo- slices, section, to cut
graphy- to write, draw, picture
It is a medical imaging technique that uses computer processed
combinations of multiple xray measurements taken from different angles of
body.
HISTORY OF CT SCAN
• In 1917, Johann Radon, an Australian
mathematician presented an algorithm for creating
an image from a set of measured projection data.
• First CT machine used for clinical purpose was
developed by late Sir Godfrey Hounsfield, was
installed at Atkinson Morley Hospital, London in
early 1970s.
• Over the decades the CT machines became faster
as the processing power of computers improved.
• In late 1980s , the development of slip ring technology enables
continuous revolution of Xray unit , which not only reduce the
acquisition time per axial image to 1s but also allowed helical data to be
acquired. This revolunised CT because the whole organ systems could be
now examined continuously during a single breath hold.
• The next step of development occurred in late 1990s, when detectors
were split into multiple thin rows along z axis to permit acquisition of
multiple sections simultaneously, MULTIDETECTOR CT. this decreased
acquisition time further and made it possible to use thin sections.
• In 2000s introduction of cardiac CT, based on ECG synchronisation to
freeze cardiac motion. The number of detector increased from 4 to
somewhere between 64 and 320 depending on manufacture. Rapid tube
rotation (<0.3s) and dual source system with two Xray tube were
developed to optimise cardiac imaging.
PARTS OF CT SCAN MACHINE
• Gantry
• X-Ray Tubes
• X-Ray Detectors
• Filter
• Collimator
GANTRY
• It is the major component of CT system
• It’s a movable frame that contains x ray tube, filter, detector.
Revolve around the patient. Acquire information at different angles
and projections.
• Slipring technology eliminated the need of cables and allow
continuous rotation of gantry components.
• The opening through which patient passes is called gantry
aperature. Diameter ranges from 50 to 85cms
XRAY TUBE
• 3 main parts of Xray tube anode, cathode, filament.
• When filament is heated , electrons are ejected from its surface and
move towards anode
COLLIMATOR
• It’s the important component for reducing radiation dose and
improving image quality by reducing scatter radiation
• These determine the section thickness that will be utilised in CT
scan procedure
• Narrowing and widening of beam
FILTER
• Made of aluminium or Teflon
• Provide equal photon distribution across the Xray beam.
• Reduce overall patient dose by removing softer radiation
DETECTORS
• They gather information by measuring the Xray attenuation through
objects
• Scintillation detectors- use solid material in which the energy of
Xray is converted to light photons. E.g., sodium iodide, cadmium
tungstate
• Gas ionisation detectors- based on ionisation of gas inside closed
chamber when Xray energy is absorbed into gas. 100% effective
utilisation of energy. E.g., xenon
PRINCIPLE OF CT SCAN
The Xray pass through body and are detected by a detector
positioned on opposite side of body. The projection data must be
acquired from multiple angle around the body. From these data
the computer reconstructs an image
CT NUMBER
• CT image is composed of thousands of tiny squares (pixels) each of
which computer assigned a CT number from -1000 to +1000,
measured in Hounsfield unit, named after sir Godfrey Hounsfield.
• CT number vary according to the density of tissue. It is the measure
of how much Xray beam is absorbed.
• Dense substance absorbs more Xray, high CT number, increased
attenuation, displayed as whiter densities (Hyperdense)
• Less dense substance absorbs few Xray, has low CT number,
decreased attenuation. Displayed as black densities (Hypodense)
CT IMAGE QUALITY
• Spatial resolution- ability to differentiate small objects that are
adjacent to one another
• Contrast resolution- ability of CT scan to differentiate small
attenuation .
• Image noise- one of the limiting factor of CT image quality. It’s a
portion of signal that contains no information. It is characterized by
grainy appearance of image
• Image artefact- any distortion or error in the image that is unrelated
to subject. Motion, metallic objects, equipment malfunction may
cause artifacts.
MEASURE OF RADIATION
• Absorbed radiation is measured by Absorbed dose.
• The unit for absorbed dose is Gray
• Energy absorbed per unit of mass.
• Absorbed dose does not take into account the biological effect of that
radiation.
• Effective dose attempt to corelate the absorbed dose with potential
biological effect.
• Unit for these dose is Sievert(Sv)
BIOLOGICAL EFFECT OF CT RADIATION
• Deterministic effect- dose dependent
eg, hail loss, skin erythema, sterility
• Stochastic effect- dose independent. By chance
eg, cancer
CONVENTIONAL CT
• Traditionally operated in step and shoot method, data acquisition
and patient positioning phase.
• During data acquisition phase , the Xray tube rotates around the
patient, who is maintained in stationary position. Latter patient is
transported to the next prescribed scanning location
• Power to Xray tube via cord
• More scan time (interscan delay)
SPIRAL/ HELICAL CT
• First spiral CT was introduced for clinical application in eary 1990s.
• This is characterized by continuous patient transport through the
gantry with Xray tube rotates around patient simultaneously
acquiring data.
• Power to Xray tube via slip ring
• Advantage is reduced scan time (no interscan delay)
MULTIDETECTOR CT
• Combination of spiral CT with multiple detector.
• Current models are capable of acquiring 64, 128 or 256 channels of
helical data simultaneously.
• MDCT can reduce scan time, permit imaging with thinner
collimation. The use of thinner collimation in conjunction with high
resolution reconstruction algorithms yields images of higher spatial
resolution.
• Single breath hold
CONTRAST MEDIA IN CT
• IV contrast medium is essential for optimising most CT
examinations, because resulting differential contrast enhancement of
various tissue improves delineation of normal and abnormal
structures.
Ionic- water soluble iodide dyes
e.g., sodium diatrizoate, meglumine iothalamate
cheaper, often toxic, may cause anaphylaxis
Non ionic- safer, but expensive
e.g., iohexol
PATIENT PREPARATION FOR CONTRAST
• Check for history of known allergies, previous reaction to contrast
agents, renal function.
• Patient with renal dysfunction should be hydrated before and after
procedure.
• Patient with metformin who have abnormal renal function are at risk
of developing lactic acidosis.
• Overt hyperthyroidism is an absolute contraindication to iodinated
contrast.
• For injection 18-20G iv cannula should ideally be sited in
antecubital vein. A saline bolus may be delivered immediately
following the contrast medium to flush the arm vein to ensure the
full utilisation of injected contrast material.
POTENTIAL COMPLICATIONS OF
CONTRAST AGENTS
• Extravasation of contrast at injection site is painful. If this
occurs, injection should be stopped immediately. Aspiration of
contrast via cannula should be attempted.
• Early reactions(<60 min)
• Mild to moderate- nausea, vomiting, urticaria,
bronchospasm
• Severe- laryngeal or pulmonary edema, hypotension,
anaphylactic shock, respiratory/cardiac arrest
Delayed reactions (>60 min)
Skin rashes, pruritus, headache, dizziness, diarrhoea, flu like
symptoms, arm pain
Radiologist should be familiar with local policy and procedures
for the managing these complications
CT GUIDED INTERVENTIONS
• Biopsy
• Drainage & aspiration
PLANNING AND PATIENT PREPARATION
FOR CT GUIDED INTERVENTION
• Informed consent should be acquired before undertaking any
interventional procedure, with the advised of all relative risk
• Patient should often be positioned slightly off-centre so that there is
adequate space between gantry and patient.
• The skin entry site should be localised and marked. All procedure
should be performed under aseptic condition.
• Local anaesthesia should be used as required
PROCEDURE CT GUIDED
INTERVENTION
• Following suitable anaesthesia, skin should be punctured and needle
to be advanced.
• Low dose images may be acquired at intervals to assess the position
of needle in relation to target.
• However single shot acquisition is preferred over CT fluoroscopy
because of low radiation exposure
PATIENT FOLLOW UP AFTER CT GUIDED
INTERVENTION
• Following CT guided procedure , regular routine observation (pulse,
BP, spo2) should be performed for 4-6 hrs
• Following pulmonary procedure, chest radiograph to be performed
(1-4 hr) to exclude pneumothorax
CT ANGIOGRAPHY
• Protocols combine with high resolution helical CT acquisition with
iv iodinated contrast
• Image acquisition during arterial, venous and/or equilibrium phases
• Both intraluminal and extraluminal structure is revealed using this
technique, with detection of intimal calcification and mural
thrombosis.
CARDIAC CT
• Based on synchronisation of data acquisition with the cardiac cycle.
• Coronary CT angiography- assess coronary arteries and occlusions
• Coronary CT calcium scan- look for calcium deposits in coronary
arteries (increased risk of MI)
VIRTUAL COLONOSCOPY /
CT COLONOGRAPHY
• Introduced in 1994.
• It is a relative new non invasive method of imaging of colon in
which thin section helical CT data are used to generate image of
colon.
• Detects colonic polyps. Also display internal density of detected
lesion as well as extra colonic abdominal pathology
CT IN SURGICAL PRACTICES
With current multidetector scanner the examination of head, spine, chest,
abdomen, pelvis can be completed in less than 5 minutes. However much
more time is taken up in transferring the patient and the associated
monitoring equipment. Thus total time may exceeds 30 minutes. Hence
CT should be reserved for individuals whose condition is stable.
• Head & Chest trauma Diverticulitis
• Pancreatitis Appendicitis
• Aortic aneurysm Bowel obstruction
• Ischemia/infarction of bowel wall
CT HEAD
• Typically used to detect infarction, tumor, calcifications,
haemorrhage
CT CHEST
• Haemothorax, pneumothorax
• Detect both acute and chronic changes in lung parenchyma
CT IN BOWEL WALL ISCHEMIA
• Iv contrast may be used to look for thrombus/emboli in mesenteric
vessel.
• Ischemia is difficult to diagnose radiologically, but may suspected
clinically- bowel wall thickening, submucosal edema, free fluid
(haemorrhagic) between the folds of mesentery. Ischemia is strongly
suspected if these findings are seen associated with loop obstruction
or strangulated herina
• Bowel wall ischemia leads to transmural infarction , evidence of
pneumatosis (air in bowel wall) . The air in bowel wall may track
into mesenteric vein and to portal vein.
CT IN APPENDICITIS
• In past clinical diagnosis of appendicitis obviated any need for imaging,
but with proven accuracy of available imaging modalities has become
increasingly popular to reduce negative appendicectomy rates.
• In children , pregnant female ultrasound is the best, to avoid radiation
exposure.
• Retrocecal appendicitis can readily escape detection with ultrasound.
Hence CT is the next modality of choice in most adults.
• The diagnosis of appendicitis in CT requires identification of thickened
appendix (>7mm), with peri appendiceal inflammatory changes. Other
sign may include free fluid, thickening caecal pole
• Both CT and ultrasound can also identify collections if an inflamed
appendix ruptures.
CT IN DIVERTICULITIS
• Typically presents with left iliac fossa pain and pyrexia
• Typical CT appearance is of pericolic inflammatory change around
diverticulum, most commonly in sigmoid colon.
• Complications of diverticulitis include perforation, abscess
formation. CT is modality of choice to identify these and can be
used to guide percutaneous abscess drainage as a bridge to definite
surgery.
CT IN PANCREATITIS
• When diagnosis is straight forward clinically there may be no need
for imaging. CT may be used to confirm the diagnosis, to assess the
severity of process and look for complication.
• In mild acute pancreatitis, CT may be normal, may show enlarged
edematous gland.
• More sever attack may show peripancreatic fluid collection,
vascular complication such as pseudo-aneurysm and necrosis of
gland itself or surrounding fat.
• Necrosis typically develop after 48-72 hours after the onset of
symptoms and manifest on CT as lack of enhancement of the area.
CT IN AORTIC ANEURYSM
• If a pulsatile mass is felt in abdomen, diagnosis of possible
abdominal aortic aneurysm is suspected.
• Ultrasound is modality of choice , provided aorta is not obscured by
bowel gas.
• If aneurysm is identified and information regarding extend and size
is required ( for surgical or endovascular repair planning), CT
angiography is indicated from arch to pubic symphysis in arterial
phase after iv contrast
• In case of suspected aneurysm rupture , urgent CT angiography to
performed , provided patient is hemodynamically stable
CT IN ONCOLOGY
• TNM Staging
• Tumour – MRI
• Nodes- pet CT
• Mets- CT (lung mets, liver mets)
• PET Scan
PET SCAN
• It’s a functional imaging technique that uses radiotracers to
visualise and measure change in metabolic processes.
• Technique with FDG(fluorodeoxyglucose) an analogue of glucose.
Reflects tumor cell metabolism.
• Pet imaging with oxygen 15 indirectly measures blood flow to the
brain
ADVANTAGES OF CT SCAN
• High spatial and contrast resolution
• Rapid acquisition of image in one breath hold
• Excellent for pulmonary masses, liver, pancreatic, renal and bowel
pathology
• Multiplanar reconstruction and 3 dimensional imaging
• Ability to guide intervention such as percutaneous biopsy and
drainage
DISADVANTAGES OF CT SCAN
• High radiation dose
• Poor soft tissue resolution of peripheries and superficial structures
• Patient needs to be able to lie flat and still
REFERENCES
• Grainger & Allison’s Diagnostic Radiology – 6th edition
• Learning Radiology , Recognising the Basics – 3rd edition
• Basic Radiology – 2nd edition
• Bailey & Love’s Short Practice of Surgery – 27th edition
THANK YOU

Basics of ct scan

  • 1.
    BASICS OF CT SCAN DR SAPANKUMAR 2ND YEAR PG GENERAL SURGERY MKCG
  • 2.
    • INTRODUCTION • HISTORY •PARTS OF CT SCAN MACHINE • PRINCIPLE OF CT SCAN • TYPES OF CT SCAN- CONVETIONAL CT SPIRAL CT MULTIDETECTOR CT • CONTRAST MEDIA IN CT • CT GUIDED INTERVENTIONS • SPECIAL SCANS- CT ANGIOGRAPHY CARDIAC CT • ADVANTAGES OF CT • DISADVANTAGES OF CT
  • 3.
    INTRODUCTION The term ‘ComputedTomography’ Tomo- slices, section, to cut graphy- to write, draw, picture It is a medical imaging technique that uses computer processed combinations of multiple xray measurements taken from different angles of body.
  • 4.
    HISTORY OF CTSCAN • In 1917, Johann Radon, an Australian mathematician presented an algorithm for creating an image from a set of measured projection data. • First CT machine used for clinical purpose was developed by late Sir Godfrey Hounsfield, was installed at Atkinson Morley Hospital, London in early 1970s. • Over the decades the CT machines became faster as the processing power of computers improved.
  • 5.
    • In late1980s , the development of slip ring technology enables continuous revolution of Xray unit , which not only reduce the acquisition time per axial image to 1s but also allowed helical data to be acquired. This revolunised CT because the whole organ systems could be now examined continuously during a single breath hold. • The next step of development occurred in late 1990s, when detectors were split into multiple thin rows along z axis to permit acquisition of multiple sections simultaneously, MULTIDETECTOR CT. this decreased acquisition time further and made it possible to use thin sections.
  • 6.
    • In 2000sintroduction of cardiac CT, based on ECG synchronisation to freeze cardiac motion. The number of detector increased from 4 to somewhere between 64 and 320 depending on manufacture. Rapid tube rotation (<0.3s) and dual source system with two Xray tube were developed to optimise cardiac imaging.
  • 7.
    PARTS OF CTSCAN MACHINE • Gantry • X-Ray Tubes • X-Ray Detectors • Filter • Collimator
  • 8.
    GANTRY • It isthe major component of CT system • It’s a movable frame that contains x ray tube, filter, detector. Revolve around the patient. Acquire information at different angles and projections. • Slipring technology eliminated the need of cables and allow continuous rotation of gantry components. • The opening through which patient passes is called gantry aperature. Diameter ranges from 50 to 85cms
  • 9.
    XRAY TUBE • 3main parts of Xray tube anode, cathode, filament. • When filament is heated , electrons are ejected from its surface and move towards anode
  • 10.
    COLLIMATOR • It’s theimportant component for reducing radiation dose and improving image quality by reducing scatter radiation • These determine the section thickness that will be utilised in CT scan procedure • Narrowing and widening of beam
  • 11.
    FILTER • Made ofaluminium or Teflon • Provide equal photon distribution across the Xray beam. • Reduce overall patient dose by removing softer radiation
  • 12.
    DETECTORS • They gatherinformation by measuring the Xray attenuation through objects • Scintillation detectors- use solid material in which the energy of Xray is converted to light photons. E.g., sodium iodide, cadmium tungstate • Gas ionisation detectors- based on ionisation of gas inside closed chamber when Xray energy is absorbed into gas. 100% effective utilisation of energy. E.g., xenon
  • 13.
    PRINCIPLE OF CTSCAN The Xray pass through body and are detected by a detector positioned on opposite side of body. The projection data must be acquired from multiple angle around the body. From these data the computer reconstructs an image
  • 14.
    CT NUMBER • CTimage is composed of thousands of tiny squares (pixels) each of which computer assigned a CT number from -1000 to +1000, measured in Hounsfield unit, named after sir Godfrey Hounsfield. • CT number vary according to the density of tissue. It is the measure of how much Xray beam is absorbed. • Dense substance absorbs more Xray, high CT number, increased attenuation, displayed as whiter densities (Hyperdense) • Less dense substance absorbs few Xray, has low CT number, decreased attenuation. Displayed as black densities (Hypodense)
  • 15.
    CT IMAGE QUALITY •Spatial resolution- ability to differentiate small objects that are adjacent to one another • Contrast resolution- ability of CT scan to differentiate small attenuation . • Image noise- one of the limiting factor of CT image quality. It’s a portion of signal that contains no information. It is characterized by grainy appearance of image • Image artefact- any distortion or error in the image that is unrelated to subject. Motion, metallic objects, equipment malfunction may cause artifacts.
  • 16.
    MEASURE OF RADIATION •Absorbed radiation is measured by Absorbed dose. • The unit for absorbed dose is Gray • Energy absorbed per unit of mass. • Absorbed dose does not take into account the biological effect of that radiation. • Effective dose attempt to corelate the absorbed dose with potential biological effect. • Unit for these dose is Sievert(Sv)
  • 17.
    BIOLOGICAL EFFECT OFCT RADIATION • Deterministic effect- dose dependent eg, hail loss, skin erythema, sterility • Stochastic effect- dose independent. By chance eg, cancer
  • 18.
    CONVENTIONAL CT • Traditionallyoperated in step and shoot method, data acquisition and patient positioning phase. • During data acquisition phase , the Xray tube rotates around the patient, who is maintained in stationary position. Latter patient is transported to the next prescribed scanning location • Power to Xray tube via cord • More scan time (interscan delay)
  • 19.
    SPIRAL/ HELICAL CT •First spiral CT was introduced for clinical application in eary 1990s. • This is characterized by continuous patient transport through the gantry with Xray tube rotates around patient simultaneously acquiring data. • Power to Xray tube via slip ring • Advantage is reduced scan time (no interscan delay)
  • 20.
    MULTIDETECTOR CT • Combinationof spiral CT with multiple detector. • Current models are capable of acquiring 64, 128 or 256 channels of helical data simultaneously. • MDCT can reduce scan time, permit imaging with thinner collimation. The use of thinner collimation in conjunction with high resolution reconstruction algorithms yields images of higher spatial resolution. • Single breath hold
  • 21.
    CONTRAST MEDIA INCT • IV contrast medium is essential for optimising most CT examinations, because resulting differential contrast enhancement of various tissue improves delineation of normal and abnormal structures. Ionic- water soluble iodide dyes e.g., sodium diatrizoate, meglumine iothalamate cheaper, often toxic, may cause anaphylaxis Non ionic- safer, but expensive e.g., iohexol
  • 22.
    PATIENT PREPARATION FORCONTRAST • Check for history of known allergies, previous reaction to contrast agents, renal function. • Patient with renal dysfunction should be hydrated before and after procedure. • Patient with metformin who have abnormal renal function are at risk of developing lactic acidosis. • Overt hyperthyroidism is an absolute contraindication to iodinated contrast. • For injection 18-20G iv cannula should ideally be sited in antecubital vein. A saline bolus may be delivered immediately following the contrast medium to flush the arm vein to ensure the full utilisation of injected contrast material.
  • 23.
    POTENTIAL COMPLICATIONS OF CONTRASTAGENTS • Extravasation of contrast at injection site is painful. If this occurs, injection should be stopped immediately. Aspiration of contrast via cannula should be attempted. • Early reactions(<60 min) • Mild to moderate- nausea, vomiting, urticaria, bronchospasm • Severe- laryngeal or pulmonary edema, hypotension, anaphylactic shock, respiratory/cardiac arrest
  • 24.
    Delayed reactions (>60min) Skin rashes, pruritus, headache, dizziness, diarrhoea, flu like symptoms, arm pain Radiologist should be familiar with local policy and procedures for the managing these complications
  • 25.
    CT GUIDED INTERVENTIONS •Biopsy • Drainage & aspiration
  • 26.
    PLANNING AND PATIENTPREPARATION FOR CT GUIDED INTERVENTION • Informed consent should be acquired before undertaking any interventional procedure, with the advised of all relative risk • Patient should often be positioned slightly off-centre so that there is adequate space between gantry and patient. • The skin entry site should be localised and marked. All procedure should be performed under aseptic condition. • Local anaesthesia should be used as required
  • 27.
    PROCEDURE CT GUIDED INTERVENTION •Following suitable anaesthesia, skin should be punctured and needle to be advanced. • Low dose images may be acquired at intervals to assess the position of needle in relation to target. • However single shot acquisition is preferred over CT fluoroscopy because of low radiation exposure
  • 28.
    PATIENT FOLLOW UPAFTER CT GUIDED INTERVENTION • Following CT guided procedure , regular routine observation (pulse, BP, spo2) should be performed for 4-6 hrs • Following pulmonary procedure, chest radiograph to be performed (1-4 hr) to exclude pneumothorax
  • 29.
    CT ANGIOGRAPHY • Protocolscombine with high resolution helical CT acquisition with iv iodinated contrast • Image acquisition during arterial, venous and/or equilibrium phases • Both intraluminal and extraluminal structure is revealed using this technique, with detection of intimal calcification and mural thrombosis.
  • 30.
    CARDIAC CT • Basedon synchronisation of data acquisition with the cardiac cycle. • Coronary CT angiography- assess coronary arteries and occlusions • Coronary CT calcium scan- look for calcium deposits in coronary arteries (increased risk of MI)
  • 31.
    VIRTUAL COLONOSCOPY / CTCOLONOGRAPHY • Introduced in 1994. • It is a relative new non invasive method of imaging of colon in which thin section helical CT data are used to generate image of colon. • Detects colonic polyps. Also display internal density of detected lesion as well as extra colonic abdominal pathology
  • 32.
    CT IN SURGICALPRACTICES With current multidetector scanner the examination of head, spine, chest, abdomen, pelvis can be completed in less than 5 minutes. However much more time is taken up in transferring the patient and the associated monitoring equipment. Thus total time may exceeds 30 minutes. Hence CT should be reserved for individuals whose condition is stable. • Head & Chest trauma Diverticulitis • Pancreatitis Appendicitis • Aortic aneurysm Bowel obstruction • Ischemia/infarction of bowel wall
  • 33.
    CT HEAD • Typicallyused to detect infarction, tumor, calcifications, haemorrhage
  • 34.
    CT CHEST • Haemothorax,pneumothorax • Detect both acute and chronic changes in lung parenchyma
  • 37.
    CT IN BOWELWALL ISCHEMIA • Iv contrast may be used to look for thrombus/emboli in mesenteric vessel. • Ischemia is difficult to diagnose radiologically, but may suspected clinically- bowel wall thickening, submucosal edema, free fluid (haemorrhagic) between the folds of mesentery. Ischemia is strongly suspected if these findings are seen associated with loop obstruction or strangulated herina • Bowel wall ischemia leads to transmural infarction , evidence of pneumatosis (air in bowel wall) . The air in bowel wall may track into mesenteric vein and to portal vein.
  • 38.
    CT IN APPENDICITIS •In past clinical diagnosis of appendicitis obviated any need for imaging, but with proven accuracy of available imaging modalities has become increasingly popular to reduce negative appendicectomy rates. • In children , pregnant female ultrasound is the best, to avoid radiation exposure. • Retrocecal appendicitis can readily escape detection with ultrasound. Hence CT is the next modality of choice in most adults. • The diagnosis of appendicitis in CT requires identification of thickened appendix (>7mm), with peri appendiceal inflammatory changes. Other sign may include free fluid, thickening caecal pole • Both CT and ultrasound can also identify collections if an inflamed appendix ruptures.
  • 40.
    CT IN DIVERTICULITIS •Typically presents with left iliac fossa pain and pyrexia • Typical CT appearance is of pericolic inflammatory change around diverticulum, most commonly in sigmoid colon. • Complications of diverticulitis include perforation, abscess formation. CT is modality of choice to identify these and can be used to guide percutaneous abscess drainage as a bridge to definite surgery.
  • 42.
    CT IN PANCREATITIS •When diagnosis is straight forward clinically there may be no need for imaging. CT may be used to confirm the diagnosis, to assess the severity of process and look for complication. • In mild acute pancreatitis, CT may be normal, may show enlarged edematous gland. • More sever attack may show peripancreatic fluid collection, vascular complication such as pseudo-aneurysm and necrosis of gland itself or surrounding fat. • Necrosis typically develop after 48-72 hours after the onset of symptoms and manifest on CT as lack of enhancement of the area.
  • 45.
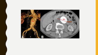
    CT IN AORTICANEURYSM • If a pulsatile mass is felt in abdomen, diagnosis of possible abdominal aortic aneurysm is suspected. • Ultrasound is modality of choice , provided aorta is not obscured by bowel gas. • If aneurysm is identified and information regarding extend and size is required ( for surgical or endovascular repair planning), CT angiography is indicated from arch to pubic symphysis in arterial phase after iv contrast • In case of suspected aneurysm rupture , urgent CT angiography to performed , provided patient is hemodynamically stable
  • 47.
    CT IN ONCOLOGY •TNM Staging • Tumour – MRI • Nodes- pet CT • Mets- CT (lung mets, liver mets) • PET Scan
  • 48.
    PET SCAN • It’sa functional imaging technique that uses radiotracers to visualise and measure change in metabolic processes. • Technique with FDG(fluorodeoxyglucose) an analogue of glucose. Reflects tumor cell metabolism. • Pet imaging with oxygen 15 indirectly measures blood flow to the brain
  • 50.
    ADVANTAGES OF CTSCAN • High spatial and contrast resolution • Rapid acquisition of image in one breath hold • Excellent for pulmonary masses, liver, pancreatic, renal and bowel pathology • Multiplanar reconstruction and 3 dimensional imaging • Ability to guide intervention such as percutaneous biopsy and drainage
  • 51.
    DISADVANTAGES OF CTSCAN • High radiation dose • Poor soft tissue resolution of peripheries and superficial structures • Patient needs to be able to lie flat and still
  • 52.
    REFERENCES • Grainger &Allison’s Diagnostic Radiology – 6th edition • Learning Radiology , Recognising the Basics – 3rd edition • Basic Radiology – 2nd edition • Bailey & Love’s Short Practice of Surgery – 27th edition
  • 53.