Megaloblastic Anemias
В12 витамины дутагдалтай холбоотой цус
багадалт
ICD.10 E 53.8
В12 витамин
Насанд хүрсэн эрүүл хүний биед 2-5 мг В12 агууллагддаг.
1000 мкг элгэнд нөөцлөгддөг
В12 сийвэн дэх агууламж – (200-900 пг/мл)
ходоод
Enterohepatic
circulation
Ileum cells
Нойр булчирхайн
фермент
Париеталь
эс
12 хуруу гэдэс
Хоол тэжээлээр
орсон B12
R-Binder
R - B12
R- B12
B12
B12
ДФB12
TC II
B12
Цутгалан гэдэс
Нарийн гэдэсний
дунд доод хэсэг R
ДФ
ДФ- B12
Absorption and
transport of vitamin
B12
В12 витамин дутагдалтай холбоотой цус
багадалт
B12 кофермент
Эмгэг жам
Метилкобаламин дутагдах
Дезоксикобаламины дутагдах
Шалтгаан
Хоол тэжээлээр хангалттай
хэмжээний В12 авч чадахг йү
байх
Цагаан хоол, хоол тэжээлийн хомсдол
В12 шимэгдэлт алдагдах Хорон цус багадалт, ходоодны шарх, ходоод
гэдэс тайрагдах, нарийн гэдэсний йлү
ажиллагаа хямрах
Эм /бигуанид, колхицин, неомицин/
В12 хэрэгцээ ихсэх Жирэмсэн, х х л е, гипертиройдизм, хортө үү ү
хавдар, архаг цус задрал
В12 зарцуулалт ихсэх Шимэгчид, дисбактериоз, дивертикул, мухар
гэдэс тайрагдсаны улмаас залгагдах
В12 н ц багасахөө Элэгний тархмал хатуурал, элэгний архаг
идэвхитэй рэвсэлү
Дархлалын шалтгаан Эсрэг бие сэх, аутоиммуны эмгэгүү
Генетикийн х чин з йлү ү Т р лхийн дархлаа дутал, цусны А б лэгө ө ү
Эмнэлзүйн шинж
Лакдсан хэл
Нугасны арын болон хажуугийн
сэртэн бүтэц алдагдах,
миелэнгүйжих
Цусны шинжилгээнд гарах өөрчлөлт
 Улаан эс цагаан эс ялтас эс цөөрөх панцитопени
 Гиперхромын цус багадалт MCH ӨИ>1.2
 Макроцит мегалоцит MCV
 Анизоцитоз пойкилоцитоз RDW
 Ретикулоцит тоо
 Арьс салст бага зэрэг шарлах
 Элэг дэлүү томрох
/мегалоцит эсүүд ретикуль-эндотелийн гарахдаа гэмтэх/
Макроцит
Macro-ovalocyte in megaloblastic anemia
Захын цусны түрхэц
 Жоллийн биет
 Кеботын цагираг
 Нейтрофиль гиперсегментаци
 Мегалобластын тоо олширсон
 Аварга том мегакариоцит, метамиелоцит
 Хүнд үед эриткариоцитын ихэнх нь базофилийн
/улаан чөмөгний хөх шинж/
Megaloblastic Anemia
megaloblasts
Хауэлл жоллын биенцэр
Бөөмийн үлдэгдэл Howell Jolly Body
Кеботын цагираг
бөөмийн хальсны үлдэгдэл Cabot ring
Нейтрофилийн гиперсегментаци
Hypersegmented neutrophil
Hypersegmented neutrophil
Биохими шинжилгээ
ЛДГ
Шууд бус билирубин бага зэрэг
Гомоцистеин
B12
Эмчилгээ
 Энгийн дэглэм
Фуникулын миелоз-стационарт эмчлэх
 B12 баялаг хоол хүнс хэрэглэх- мах, өндөг, бяслаг сүү, элэг, бөөр
 Цианкобаламин 200-500мкг 4-6 д/х турш
мэдрэлийн шинж- хоногт 2 удаа
мэдрэлийн шинж илрээгүй үед- 1 удаа
 Гидроксикобаламин 500 мкг өнжөөд тарих 4д/х турш
 5-7 дахь хоногт ретикулоцит ихсэж дээд
хэмжээндээ хүрэх /ретикулоцитийн криз/
Барих эмчилгээ
Цко- 400-500 мкг-аар 7 хон 1 удаа 2 сарын турш, дараа
нь сард 2 удаа 2-3 сар тарина
ГКо-эхний 3 сард 500 мкг долоо хоногт 1 удаа, дараа нь
байнга сард 1 удаа тарина
Ходоод тайрагдсан-Гб, эр хэвийн үед барих эмчилгээг
сард 1 удаа тарих
Pernicious anemia Хорон цус багадалт
( Addison - Biermer )
Ходоодны париеталь эсүүдэд аутоиммуны урвал
явагдах
Париеталь эс болон дотоод хүчин зүйлийн эсрэг
эсрэг бие үүсэх
Мегалобласт анеми
Хэлний хөхлөг хатингарших
Мэдрэлийн шинж
Pernicious anemia төрөл
Насанд хүрэгч: дунджаар 60 жил
Өсвөр нас : 10 - 20 жил
төрөлхийн : < 2 жил
Pernicious Anemia
Улаан мах шиг хэл
Pernicious Anemia
витилиго
Эрт үс цайрах
Цэнхэр нүд
Pernicious Anemia (PA)
Pernicious anemia эмгэг жам
Насанд хүрэгч
Ходоод хатингарших:
•Ходоодны их бие хэсэг хамрагдах
•Ходоодны үндсэн эс болон parietal эсүүд мөхөх
•Нарийн гэдэсний метаплази
Өсвөр насны
•Аутосом реццесив
•Сонгомлоор ДХ дутагдах
Pernicious anemia эмгэг жам
Төрөлхийн :
Эцэг эх Pernicious anemia өвдсөн байх
HLA-B7, DW2, DW5, DR2 хамааралтай
Autoimmunity:
Париеталь эсийн эсрэг эсрэг бие үүсэх: 85 %
ДХ эсрэг эсрэг бие үүсэх : 55 - 70 %
Бамбайн дааврын эсрэг эсрэг бие үүсэх
Бусад аутоиммуны өвчнүүд
P.A. LabLab
Мегалобласт анеми
Ийлдэст париеталь эсийн эсрэг эсрэг бие,
ДХ эсрэг эсрэг бие тодорхойлох
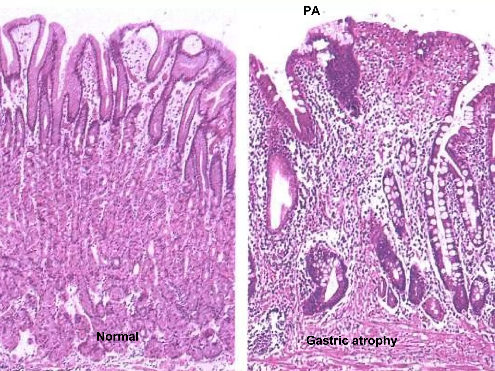
Ходоодны дуран болон биопси: ходоод
хатингарших
Schilling’s тест
Normal Gastric atrophy
PA
Atrophic Gastritis
Shilling Test
1. 1 үе шат: радио идэвхит В12
уулгах
2. 24 цагийн турш шээсээр
ялгарах хэмжих
>5% хэвийн
<5% буурсан
3. 2 үе шат: дахин радио
идэвхит В12, ДХ өгөх
өөрчлөлтгүй=PA
өөрчлөгдөх= malabsorption
1 е шат р д нү ү ү 2 е шат р д нү ү ү Diagnosis
хэвийн -
Хэвийн эсвэл
В12 дутагдал
буурсан хэвийн
Pernicious
anemia
буурсан буурсан
Шимэгдэлт
алдагдах
Pernicious anemia эмчилгээ
Treatment
Насан туршид кобаламин өгөх
Фолийн хүчлийн цус
багадалт
ICD10 .D52 E53.8
Фолийн хүчил
Хүнсний бүтээгдэхүүн болон бие махбодид
фолийн хүчлийн давс полиглутамат хэлбрээр
хадгалагддаг.
Хэвийн үед хүний биед хэрэгцээ 400mcg/day
жирэмсэн/ хөхүүл: 500-800mcg/day
Хүний биед 5-10mg нөөцлөгдөх
Эсийн
хуваагдал
Элэг эсгэгч мах ногоон ургамал
- 1 аяга жүржийн шүүс 82 mcg
- 1 порц ногоон бууцай 131 mcg
- 1 порц шар буурцаг 179 mcg
- 1 порц шош  141 mcg
- 1 зүсэм цагаан талх 20 mcg
Зарим хүнсэнд агуулагдах фолатын хэмжээ
Фолийн хүчил
Хүнсний бүтээгдэхүүн боловсруулах явцад 50%-с
дээш
Сүүг буцалгаж ариутгахад 70-80% алддаг.
Хоол тэжээлээр орсон фолийн хүчлийн
80-90% моноглутамат
30% полиглутамат
Шалтгаан
1. Хоол х нсээрээ фолийн х члийг хангалтг й авсанү ү ү
2. Архаг архидалт, архины хордлого
3. Х хдийг х хний с гээр хооллохг й байхүү ө үү ү
4. Дутуу т р хө ө
5. Ихэр х хд дүү үү
6. Фолийн х члийн шимэгдэлт алдагдахү
7. Жирэмслэлтээс хамгаалах эм дүү
8. Эмийн н лө өө
ФХ шимэгдэлт бууруулах эм /циклосерин, уналт таталтийн эсрэг эм дифенин
фенобарбитал, сахар бууруулдаг эм метформин бигуанид/
Дигидрофолат редуктаза дарангуйлагч эм /халдварын эсрэг эм хлоридин
бисептол, цитостатик эм метотрексат/
9. Цус задрал
10.Цусны болон бусад хавдарууд
11. Фолийн х члийн зарцуулалт ихсэхү
Цус багадалтийн ерөнхий шинжүүд
Ихэвчлэн хүүхэд залуу эмэгтэйчүүд өвчилнө
-Нүдний склер шарангадуу
- Эпилепситэй хүмүүст уналт нь ойртох
-Шизофренитэй хүмүүст сэдрэл нь ихсэдэг
Шинж тэмдэг
1. ЦДШ- Вит В12 дутлын цус багадалттай
адил
2. Биохимид- Сийвэн дэх Фх-н хэмжээ
буурсан байна
3. Миелограммд- мегалобласт хэлбэрийн
цус төлжилт буюу хөх чөмөгний шинж
илэрнэ.
Оношлогоо
15гр гистидинийг өвчтөнд уулгаад шээсээр гарах
формимин глутамины хүчлийг хэмждэг.
Хэвийн үед- шээсээр 1-18мг формимин глутамины
хүчил ялгардаг
/ гистидин глутамины хүчлийн нийлэгжилтэнд
оролцдог/
Фолийн хүчил дутагдалын үед-гистидин хэрэглэсний
дараа шээсээр ялгарах формимин глутамин 20-1500
дахин ихэсдэг.
Фолийн хүчлийн дутагдал илрүүлэхэд
Гистидиний ачаалалтай сорил
-Фолийн хүчлийг хоногт 5-15мг-аар ууна
-У.сэргийлэх тун 1-5мг
Эмчилгээ
Мегалобласт цус багадалтын ялган оношилгоо
Эмнэлз йн шинжү В12 дутагдал Фолатын дутагдал
Асуумж:
Хоол х нсү
Архидалт
Хорон цус багадалт
Байнга биш
Тохиолдохг йү
Ихэнхдээ тохиолдох
Байнга тохиолдох
Архаг архидалт
байхг йү
злэгҮ :
Мэдрэлийн рчл лтөө ө илрэх илрэхг йү
Шинжилгээ:
Сийвэнгийн В12 багасах
Сийвэнгийн фолатын
т вшин буурах 3-20ү
нг/мл
ДХ эсрэг эсрэг бие сэхүү
Шээсээр ФГХ гарах
Шээсээр ММХ гарах
Ходоод шинжлэх
Багасах
60-40 нг/мл
70-с дээш %илрэх
Байх
Байх
Ахили тод илрэх
ДХ дутагдал
Хэвийн
Багасах
Илрэхг йү
Байх
Байхг йү
Ходоодны х чил, пепсин,ү
ДХ хэвийн
Эмчилгээ:
В12 тарих
Фолийн х чил хэрэглэхү
Ретикулоцит с хө ө
Хариу урвал г хг йө ө ү
Хариу урвал г хг йө ө ү
Ретикулоцит с хө ө
Анхаарал тавьсанд баярлалаа

B12 фолийн хүчлийн дутагдлын анеми ppt

  • 1.
    Megaloblastic Anemias В12 витаминыдутагдалтай холбоотой цус багадалт ICD.10 E 53.8
  • 2.
    В12 витамин Насанд хүрсэнэрүүл хүний биед 2-5 мг В12 агууллагддаг. 1000 мкг элгэнд нөөцлөгддөг В12 сийвэн дэх агууламж – (200-900 пг/мл)
  • 5.
    ходоод Enterohepatic circulation Ileum cells Нойр булчирхайн фермент Париеталь эс 12хуруу гэдэс Хоол тэжээлээр орсон B12 R-Binder R - B12 R- B12 B12 B12 ДФB12 TC II B12 Цутгалан гэдэс Нарийн гэдэсний дунд доод хэсэг R ДФ ДФ- B12
  • 6.
  • 7.
    В12 витамин дутагдалтайхолбоотой цус багадалт
  • 8.
  • 9.
  • 10.
  • 13.
    Шалтгаан Хоол тэжээлээр хангалттай хэмжээнийВ12 авч чадахг йү байх Цагаан хоол, хоол тэжээлийн хомсдол В12 шимэгдэлт алдагдах Хорон цус багадалт, ходоодны шарх, ходоод гэдэс тайрагдах, нарийн гэдэсний йлү ажиллагаа хямрах Эм /бигуанид, колхицин, неомицин/ В12 хэрэгцээ ихсэх Жирэмсэн, х х л е, гипертиройдизм, хортө үү ү хавдар, архаг цус задрал В12 зарцуулалт ихсэх Шимэгчид, дисбактериоз, дивертикул, мухар гэдэс тайрагдсаны улмаас залгагдах В12 н ц багасахөө Элэгний тархмал хатуурал, элэгний архаг идэвхитэй рэвсэлү Дархлалын шалтгаан Эсрэг бие сэх, аутоиммуны эмгэгүү Генетикийн х чин з йлү ү Т р лхийн дархлаа дутал, цусны А б лэгө ө ү
  • 14.
  • 15.
  • 16.
    Нугасны арын болонхажуугийн сэртэн бүтэц алдагдах, миелэнгүйжих
  • 18.
    Цусны шинжилгээнд гарахөөрчлөлт  Улаан эс цагаан эс ялтас эс цөөрөх панцитопени  Гиперхромын цус багадалт MCH ӨИ>1.2  Макроцит мегалоцит MCV  Анизоцитоз пойкилоцитоз RDW  Ретикулоцит тоо  Арьс салст бага зэрэг шарлах  Элэг дэлүү томрох /мегалоцит эсүүд ретикуль-эндотелийн гарахдаа гэмтэх/
  • 19.
  • 20.
  • 21.
    Захын цусны түрхэц Жоллийн биет  Кеботын цагираг  Нейтрофиль гиперсегментаци  Мегалобластын тоо олширсон  Аварга том мегакариоцит, метамиелоцит  Хүнд үед эриткариоцитын ихэнх нь базофилийн /улаан чөмөгний хөх шинж/
  • 22.
  • 23.
  • 24.
  • 25.
  • 26.
  • 28.
    Биохими шинжилгээ ЛДГ Шууд бусбилирубин бага зэрэг Гомоцистеин B12
  • 29.
    Эмчилгээ  Энгийн дэглэм Фуникулынмиелоз-стационарт эмчлэх  B12 баялаг хоол хүнс хэрэглэх- мах, өндөг, бяслаг сүү, элэг, бөөр  Цианкобаламин 200-500мкг 4-6 д/х турш мэдрэлийн шинж- хоногт 2 удаа мэдрэлийн шинж илрээгүй үед- 1 удаа  Гидроксикобаламин 500 мкг өнжөөд тарих 4д/х турш  5-7 дахь хоногт ретикулоцит ихсэж дээд хэмжээндээ хүрэх /ретикулоцитийн криз/
  • 30.
    Барих эмчилгээ Цко- 400-500мкг-аар 7 хон 1 удаа 2 сарын турш, дараа нь сард 2 удаа 2-3 сар тарина ГКо-эхний 3 сард 500 мкг долоо хоногт 1 удаа, дараа нь байнга сард 1 удаа тарина Ходоод тайрагдсан-Гб, эр хэвийн үед барих эмчилгээг сард 1 удаа тарих
  • 31.
    Pernicious anemia Хоронцус багадалт ( Addison - Biermer ) Ходоодны париеталь эсүүдэд аутоиммуны урвал явагдах Париеталь эс болон дотоод хүчин зүйлийн эсрэг эсрэг бие үүсэх Мегалобласт анеми Хэлний хөхлөг хатингарших Мэдрэлийн шинж
  • 32.
    Pernicious anemia төрөл Насандхүрэгч: дунджаар 60 жил Өсвөр нас : 10 - 20 жил төрөлхийн : < 2 жил
  • 33.
  • 34.
  • 35.
    Эрт үс цайрах Цэнхэрнүд Pernicious Anemia (PA)
  • 36.
    Pernicious anemia эмгэгжам Насанд хүрэгч Ходоод хатингарших: •Ходоодны их бие хэсэг хамрагдах •Ходоодны үндсэн эс болон parietal эсүүд мөхөх •Нарийн гэдэсний метаплази Өсвөр насны •Аутосом реццесив •Сонгомлоор ДХ дутагдах
  • 37.
    Pernicious anemia эмгэгжам Төрөлхийн : Эцэг эх Pernicious anemia өвдсөн байх HLA-B7, DW2, DW5, DR2 хамааралтай Autoimmunity: Париеталь эсийн эсрэг эсрэг бие үүсэх: 85 % ДХ эсрэг эсрэг бие үүсэх : 55 - 70 % Бамбайн дааврын эсрэг эсрэг бие үүсэх Бусад аутоиммуны өвчнүүд
  • 38.
    P.A. LabLab Мегалобласт анеми Ийлдэстпариеталь эсийн эсрэг эсрэг бие, ДХ эсрэг эсрэг бие тодорхойлох Ходоодны дуран болон биопси: ходоод хатингарших Schilling’s тест
  • 39.
  • 40.
  • 42.
    Shilling Test 1. 1үе шат: радио идэвхит В12 уулгах 2. 24 цагийн турш шээсээр ялгарах хэмжих >5% хэвийн <5% буурсан 3. 2 үе шат: дахин радио идэвхит В12, ДХ өгөх өөрчлөлтгүй=PA өөрчлөгдөх= malabsorption 1 е шат р д нү ү ү 2 е шат р д нү ү ү Diagnosis хэвийн - Хэвийн эсвэл В12 дутагдал буурсан хэвийн Pernicious anemia буурсан буурсан Шимэгдэлт алдагдах
  • 43.
    Pernicious anemia эмчилгээ Treatment Насантуршид кобаламин өгөх
  • 44.
  • 45.
    Фолийн хүчил Хүнсний бүтээгдэхүүнболон бие махбодид фолийн хүчлийн давс полиглутамат хэлбрээр хадгалагддаг. Хэвийн үед хүний биед хэрэгцээ 400mcg/day жирэмсэн/ хөхүүл: 500-800mcg/day Хүний биед 5-10mg нөөцлөгдөх
  • 46.
  • 47.
    Элэг эсгэгч махногоон ургамал
  • 48.
    - 1 аягажүржийн шүүс 82 mcg - 1 порц ногоон бууцай 131 mcg - 1 порц шар буурцаг 179 mcg - 1 порц шош  141 mcg - 1 зүсэм цагаан талх 20 mcg Зарим хүнсэнд агуулагдах фолатын хэмжээ
  • 49.
    Фолийн хүчил Хүнсний бүтээгдэхүүнболовсруулах явцад 50%-с дээш Сүүг буцалгаж ариутгахад 70-80% алддаг. Хоол тэжээлээр орсон фолийн хүчлийн 80-90% моноглутамат 30% полиглутамат
  • 50.
    Шалтгаан 1. Хоол хнсээрээ фолийн х члийг хангалтг й авсанү ү ү 2. Архаг архидалт, архины хордлого 3. Х хдийг х хний с гээр хооллохг й байхүү ө үү ү 4. Дутуу т р хө ө 5. Ихэр х хд дүү үү 6. Фолийн х члийн шимэгдэлт алдагдахү 7. Жирэмслэлтээс хамгаалах эм дүү 8. Эмийн н лө өө ФХ шимэгдэлт бууруулах эм /циклосерин, уналт таталтийн эсрэг эм дифенин фенобарбитал, сахар бууруулдаг эм метформин бигуанид/ Дигидрофолат редуктаза дарангуйлагч эм /халдварын эсрэг эм хлоридин бисептол, цитостатик эм метотрексат/ 9. Цус задрал 10.Цусны болон бусад хавдарууд 11. Фолийн х члийн зарцуулалт ихсэхү
  • 51.
    Цус багадалтийн ерөнхийшинжүүд Ихэвчлэн хүүхэд залуу эмэгтэйчүүд өвчилнө -Нүдний склер шарангадуу - Эпилепситэй хүмүүст уналт нь ойртох -Шизофренитэй хүмүүст сэдрэл нь ихсэдэг Шинж тэмдэг
  • 52.
    1. ЦДШ- ВитВ12 дутлын цус багадалттай адил 2. Биохимид- Сийвэн дэх Фх-н хэмжээ буурсан байна 3. Миелограммд- мегалобласт хэлбэрийн цус төлжилт буюу хөх чөмөгний шинж илэрнэ. Оношлогоо
  • 53.
    15гр гистидинийг өвчтөндуулгаад шээсээр гарах формимин глутамины хүчлийг хэмждэг. Хэвийн үед- шээсээр 1-18мг формимин глутамины хүчил ялгардаг / гистидин глутамины хүчлийн нийлэгжилтэнд оролцдог/ Фолийн хүчил дутагдалын үед-гистидин хэрэглэсний дараа шээсээр ялгарах формимин глутамин 20-1500 дахин ихэсдэг. Фолийн хүчлийн дутагдал илрүүлэхэд Гистидиний ачаалалтай сорил
  • 54.
    -Фолийн хүчлийг хоногт5-15мг-аар ууна -У.сэргийлэх тун 1-5мг Эмчилгээ
  • 55.
    Мегалобласт цус багадалтынялган оношилгоо Эмнэлз йн шинжү В12 дутагдал Фолатын дутагдал Асуумж: Хоол х нсү Архидалт Хорон цус багадалт Байнга биш Тохиолдохг йү Ихэнхдээ тохиолдох Байнга тохиолдох Архаг архидалт байхг йү злэгҮ : Мэдрэлийн рчл лтөө ө илрэх илрэхг йү Шинжилгээ: Сийвэнгийн В12 багасах Сийвэнгийн фолатын т вшин буурах 3-20ү нг/мл ДХ эсрэг эсрэг бие сэхүү Шээсээр ФГХ гарах Шээсээр ММХ гарах Ходоод шинжлэх Багасах 60-40 нг/мл 70-с дээш %илрэх Байх Байх Ахили тод илрэх ДХ дутагдал Хэвийн Багасах Илрэхг йү Байх Байхг йү Ходоодны х чил, пепсин,ү ДХ хэвийн Эмчилгээ: В12 тарих Фолийн х чил хэрэглэхү Ретикулоцит с хө ө Хариу урвал г хг йө ө ү Хариу урвал г хг йө ө ү Ретикулоцит с хө ө
  • 56.

Editor's Notes

  • #3 (
  • #8 дутаг
  • #29 Study of 729 random from the community, no asian or hispanic folks were+