Life Finds A Way:Life Finds A Way:
Just Don’t Give UpJust Don’t Give Up
4
ARIARI
SIGNS OF RESPIRATORY DISTRESSSIGNS OF RESPIRATORY DISTRESS
10
12
13
14
Definition of ARIDefinition of ARI (Acute Resp. Infection)(Acute Resp. Infection)
This term isThis term is usedused by HW to indicate ac. Inf. ofby HW to indicate ac. Inf. of
resp. system in U-5y childrenresp. system in U-5y children
In this age group such inf. are often not anatomicallyIn this age group such inf. are often not anatomically
localized, rather spreads rapidly to adjacent partslocalized, rather spreads rapidly to adjacent parts
An U-5 child gets 3-6 ARIs/y regardless of livingAn U-5 child gets 3-6 ARIs/y regardless of living
standardstandard
HW: health worker. U-5: under 5 years of age. Inf.: infectionHW: health worker. U-5: under 5 years of age. Inf.: infection
15
Clinical AnatomyClinical Anatomy
• RT is divided into 3 parts:RT is divided into 3 parts:
URT:URT: nosenose ⇒⇒tracheatrachea (PNS, mouth, tonsils,(PNS, mouth, tonsils,
pharynx, auditory T,pharynx, auditory T, mid-earmid-ear, larynx), larynx)
LRT:LRT: tracheatrachea⇒⇒ bronchibronchi ⇒⇒air ductsair ducts
Lung parenchymaLung parenchyma
16
17
18
19
20
Normal Defence of RSNormal Defence of RS
These are unique!These are unique!
• Breathing, coughing, sneezingBreathing, coughing, sneezing
• Mucosal antibodiesMucosal antibodies
• Ciliary sweepingCiliary sweeping
• PhagocytesPhagocytes
• Physical filteringPhysical filtering
(Think how less often you catch cold and cough)(Think how less often you catch cold and cough)
21
Physical filterPhysical filter
22
Unique brooms!Unique brooms!
GobletGoblet
23
ARI in Children Spread Rapidly:ARI in Children Spread Rapidly:
• Shorter and narrower RTShorter and narrower RT
• Cough not strongCough not strong
• Less immuneLess immune
• Auditory tube is:Auditory tube is:
– shortershorter
– narrowernarrower
– straighterstraighter
Sites of Infections (ARI)Sites of Infections (ARI)
• RhinitisRhinitis
• TonsillitisTonsillitis
• PharyngitisPharyngitis
• EpiglottitisEpiglottitis
• LaryngitisLaryngitis
• AOMAOM
• TracheitisTracheitis
• BronchitisBronchitis
• BronchiolitisBronchiolitis
• Pn./Br.PnPn./Br.Pn
Children usually have combinations:Children usually have combinations:
Ac. rhinopharyngotonsillitis +/- AOM, ac. LTB (croup)Ac. rhinopharyngotonsillitis +/- AOM, ac. LTB (croup)
Br.Pn, etc.Br.Pn, etc.
25
ARI is a syndrome:ARI is a syndrome:
– cough,cough, breath ratebreath rate
– chest indrawing,chest indrawing, stridorstridor
– +/-+/- 4 general4 general danger signdanger signs (IMCI)s (IMCI)
NoNo Dr,Dr, nono stethoscope,stethoscope, nono lab!lab!
26
Normal breathing rateNormal breathing rate
AgeAge RRRR Fast breathingFast breathing
<2mo<2mo <60/min<60/min ≥≥6060
(preterm 70)(preterm 70)
2-12mo2-12mo <50/min<50/min ≥ 50≥ 50
1-5y1-5y <40/min<40/min ≥ 40≥ 40
Counting BreathingCounting Breathing
• The child must be calmThe child must be calm
• Count full 1 minuteCount full 1 minute
• Count the abdominal swelling in inspirationCount the abdominal swelling in inspiration
Chest indrawing:Chest indrawing:
• Suprasternal, supraclavicular retraction/recessionSuprasternal, supraclavicular retraction/recession
• Intercostal spaceIntercostal space ,,,,
• SubcostalSubcostal ,,,,
44 General Danger signs:General Danger signs:
• Lethargic/unconsciousLethargic/unconscious
• Poor feeding/not feedingPoor feeding/not feeding at allat all
• Vomits everythingVomits everything
• ConvulsionConvulsion
27
28
DANGER
SIGNS
CONVULSIONS
INABILITY TO DRINK
OR BREASTFEED
VOMITING
LETHARGY
UNCONSCIOUSNESS
29
SS of ARI for DoctorsSS of ARI for Doctors
• Cold, sore throatCold, sore throat
• CoughCough,, sputumsputum
• Nasal flareNasal flare
• Chest indrawingChest indrawing
• StridorStridor,, voice change,voice change,
gruntinggrunting
• TachypnoeaTachypnoea
• CyanosisCyanosis
• Asymmetry of chest andAsymmetry of chest and
its movementits movement
• Tracheal deviationTracheal deviation
• Displaced heartDisplaced heart
• Auscultation:Auscultation:
30
Auscultatory FindingsAuscultatory Findings
• Poor or unequal air entryPoor or unequal air entry
• Prolonged expirationProlonged expiration
• Wheeze/ronchiWheeze/ronchi
• Fine +/-coarse crepitationsFine +/-coarse crepitations
• Bronchial breath soundBronchial breath sound
• Post-tussive creps/or ronchiPost-tussive creps/or ronchi
31
32
Depth of ARI as ProblemDepth of ARI as Problem
• Biggest U-5 killer (pneumonia: 0.9million/y: 15% of allBiggest U-5 killer (pneumonia: 0.9million/y: 15% of all
deaths); 90% in L&MICs (70% in Africa and SEA)deaths); 90% in L&MICs (70% in Africa and SEA)
• Commonest admission (Commonest admission (12-45%). OPD: 20-60%12-45%). OPD: 20-60%
• V. imp. precipitator of Mn, VADXV. imp. precipitator of Mn, VADX
• NationalNational Health IndexHealth Index of a countryof a country
((5.9 million U-5 death in 2015: 16,000/d.5.9 million U-5 death in 2015: 16,000/d.
70%70% from infectin)from infectin)
33
ARI
54%
Diarrhoea
85%
Malaria
79%
Measles
89%
Percentage of deaths occurring among:
Global Disease Burden Borne by U-5 (Y 2000)
Key factsKey facts PneumoniaPneumonia
•15% of all U-5 deaths:15% of all U-5 deaths: 900k in 2015900k in 2015
•Kills by hypoxia due to pus and fluid in alveoliKills by hypoxia due to pus and fluid in alveoli
•C/by viruses, bacteria or fungiC/by viruses, bacteria or fungi
•Rx with low-cost, low-tech drugs and care (1/3Rx with low-cost, low-tech drugs and care (1/3rdrd
childrenchildren
with pneumonia get AB)with pneumonia get AB)
•Preventable by immunization, nutrition and cleanPreventable by immunization, nutrition and clean
environmentenvironment
34
ARI mortality/morbidity highest in U-5yARI mortality/morbidity highest in U-5y
– Lack of breast feedingLack of breast feeding
– Bottle feeding, weaned earlyBottle feeding, weaned early
– HIVHIV
– <2y of age<2y of age
– Lack of vaccinationLack of vaccination
– Mn., VADXMn., VADX
– Poor education, overcrowding, poor clothingPoor education, overcrowding, poor clothing
– Difficult access to healthcare, medicationDifficult access to healthcare, medication
36
Aetiology of ARIAetiology of ARI
• VirusesViruses
• BacteriaBacteria
• MycoplasmaMycoplasma
• FungusFungus
• Parasites, wormsParasites, worms
Aetiology …Aetiology …
• Varies: age, immune status, where contractedVaries: age, immune status, where contracted
• Community acquired (CAP)Community acquired (CAP)
– Developing countriesDeveloping countries
• VirusesViruses 40%40%
• S. pneumoniae, Hib, S aureus, Moraxella,S. pneumoniae, Hib, S aureus, Moraxella,
Mycoplasma, Chlamydia inMycoplasma, Chlamydia in 60%60%
– Developed countriesDeveloped countries
• Bacteria:Bacteria: 5-10%5-10%
Etiology Based on AgeEtiology Based on Age
AgeAge OrganismOrganism
NeonatesNeonates GBS, E coli, Klebsiella, SGBS, E coli, Klebsiella, S
aureusaureus
InfantsInfants Pneumococcus, Chlamydia,Pneumococcus, Chlamydia,
RSV, Hib, StaphRSV, Hib, Staph
1-5y1-5y Viruses, Pneumococcus, HibViruses, Pneumococcus, Hib
Chlamydia, Mycoplasma,Chlamydia, Mycoplasma,
Staph, GASStaph, GAS
5-18y5-18y Mycoplasma, Pneumococcus,Mycoplasma, Pneumococcus,
Chlamydia, HibChlamydia, Hib
39
VirusesViruses
• RhinovirusesRhinoviruses
• RSVRSV
• AdenovirusesAdenoviruses
• Influenza, parainfluenza A B CInfluenza, parainfluenza A B C
• MyxovirusesMyxoviruses
• Corona viruses (SARS, MERS)Corona viruses (SARS, MERS)
• Boca virus, metapneumovirusBoca virus, metapneumovirus
40
Common BacteriaCommon Bacteria
• **
S. pneumoniaeS. pneumoniae
• **
HibHib
• S. pyogenesS. pyogenes
• S. aureusS. aureus
• **
M. tuberculosisM. tuberculosis
• **
C diphtheriaeC diphtheriae
• Enteric bacilliEnteric bacilli
• PseudomonasPseudomonas
• KlebsiellaKlebsiella
• MoraxellaMoraxella
*Vaccine available
41
Others
• Chlamydia
• Mycoplasma
• Fungus: C. albicans, Histoplasma
• Miscellaneous: P. carinii, worms
42
How ARI HarmsHow ARI Harms
• Malnutrition andMalnutrition and VADX:VADX:
• HypoxiaHypoxia: convulsion, death: convulsion, death
• ChestChest: collapse, consolidation, effusion, L. abscess,: collapse, consolidation, effusion, L. abscess,
bronchiectasis, pneumothoraxbronchiectasis, pneumothorax
• Blood:Blood: sepsis, deranged ABB, dyselectrolytemia,sepsis, deranged ABB, dyselectrolytemia,
meningitis, IgA nephropathymeningitis, IgA nephropathy
VADX: Vitamin A defi. And xerophthalmiaVADX: Vitamin A defi. And xerophthalmia
43
ARI Causes Mn. and VADXARI Causes Mn. and VADX
• Poor feedingPoor feeding
• Negative nitrogen balanceNegative nitrogen balance
• VD, F, dehydrationVD, F, dehydration
• Exhaustion of VAExhaustion of VA
• Faulty feeding, tabooFaulty feeding, taboo
Mn.: Malnutrition. VD: vomiting diarrhoea. F: fever. VA: vitamin AMn.: Malnutrition. VD: vomiting diarrhoea. F: fever. VA: vitamin A
44
Dehydration in ARIDehydration in ARI::
• fast breathingfast breathing
• FF
• NVDNVD
• runny noserunny nose
• poor /faulty feedingpoor /faulty feeding
NVD: nausea vomiting diarrheaNVD: nausea vomiting diarrhea
45
How ARI killsHow ARI kills
AcuteAcute
• HypoxiaHypoxia
• HHypoglycemia, convulsion, cardiac failureypoglycemia, convulsion, cardiac failure
• Septicemia, dehydrationSepticemia, dehydration
LateLate
• Mn., VADXMn., VADX
• Suffocation, aspirationSuffocation, aspiration
46
Hospital PictureHospital Picture
• Out of 1690 cases admitted in BMCH pediatricOut of 1690 cases admitted in BMCH pediatric
ward 400 (23.7%) had ARIward 400 (23.7%) had ARI
• Peak incidence during Oct-NovPeak incidence during Oct-Nov
47
Death from ARI is DecliningDeath from ARI is Declining**
• Br. FeedingBr. Feeding
• No bottle feedingNo bottle feeding
• Socioeconomic andSocioeconomic and
environmental changeenvironmental change
• Falling Mn.Falling Mn.
• HPVAC distributionHPVAC distribution
• EPIEPI
• Family planningFamily planning
• Modern health careModern health care
• Better and cheap drugsBetter and cheap drugs
• Female literacyFemale literacy
• Health awarenessHealth awareness
*
Previously 4mn, now 0.9Previously 4mn, now 0.9
ManagementManagement
According toAccording to
IMCIIMCI[[[[
IMCI: integrated management of childhood illnessesIMCI: integrated management of childhood illnesses
History TakingHistory Taking
1. General Danger Signs1. General Danger Signs
2. Main Symptoms2. Main Symptoms
a. Cougha. Cough
b. Diarrheab. Diarrhea
c. Feverc. Fever
d. Ear Problemsd. Ear Problems
3. Nutritional Status3. Nutritional Status
4. Immunization Status4. Immunization Status
5. Other Problems5. Other Problems
IMCI Record FormIMCI Record Form
50
Assess whether the child hasAssess whether the child has
• No pneumonia (cold-cough; chr. cough)No pneumonia (cold-cough; chr. cough)
• Pneumonia orPneumonia or
• Severe Pn.Severe Pn.
In babies < 2 mo any pneumonia is taken asIn babies < 2 mo any pneumonia is taken as
severe pn.severe pn.
51
Fast breathing +Fast breathing +
chest indrawing orchest indrawing or
Stridor in a calmStridor in a calm
child. (Any GD sign)child. (Any GD sign)
SevereSevere PneumoniaPneumonia
oror
(very severe disease)(very severe disease)
Fast breathingFast breathing PneumoniaPneumonia
No signs ofNo signs of
pneumonia or verypneumonia or very
severe diseasesevere disease
No pneumonia:No pneumonia:
cough or coldcough or cold
52
Limitations …Limitations …
Pneumonia in IMCI may bePneumonia in IMCI may be
• BronchiolitisBronchiolitis
• Br. AsthmaBr. Asthma
• DiphtheriaDiphtheria
• PertussisPertussis
• HGF, CCFHGF, CCF
No pneumonia may be TBNo pneumonia may be TB
PneumoniaPneumonia
• Fast breathingFast breathing
• Inflam. of lung parenchyma + consolidationInflam. of lung parenchyma + consolidation
• Developed world:Developed world: viral:viral: Low morbidity mortalityLow morbidity mortality
• Developing world:Developing world:
– Bacteria in 65%Bacteria in 65%
– Cheap, oral ABT: Co-trimoxazole, Amoxycillin canCheap, oral ABT: Co-trimoxazole, Amoxycillin can
cause 84% reduction in deathcause 84% reduction in death
54
Severe PneumoniaSevere Pneumonia
• Very sick,Very sick, not able to feednot able to feed
• Tachypnoea,Tachypnoea, tachycardiatachycardia
• Chest indrawingChest indrawing
• DrowsinessDrowsiness
• Creps, wheezeCreps, wheeze
• Cyanosis, convulsionCyanosis, convulsion
+/- Fever+/- Fever
55
Lab. Dx. of PneumoniaLab. Dx. of Pneumonia
(not for HW/IMCI)(not for HW/IMCI)
• CXRCXR
• CBC filmCBC film
• CS of blood, tracheal and lung aspirateCS of blood, tracheal and lung aspirate
• Throat swabThroat swab
56
S. pneumoniae
57
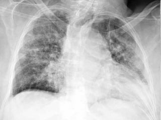
Pneumococcal pneumoniaPneumococcal pneumonia
R upper lobe consolidation with Air BronchogramR upper lobe consolidation with Air Bronchogram
58
59
60
Air-fluid level in Lung Abscess. Note small free PE in RAir-fluid level in Lung Abscess. Note small free PE in R
pleural cavitypleural cavity
Complications of pneumoniaComplications of pneumonia
IntrathoracicIntrathoracic
• P. effusion, empyemaP. effusion, empyema
• Collapse, consolidationCollapse, consolidation
• L. abscess, pneumatoceleL. abscess, pneumatocele
• PneumothoraxPneumothorax
ExtrathoracicExtrathoracic
• Septicemia, meningitisSepticemia, meningitis
• Dehydration, myocarditisDehydration, myocarditis
• Pericarditis, acidosis, dyselectrolytemiasPericarditis, acidosis, dyselectrolytemias
63
64
65
Consolidated lungConsolidated lung
66
Rx: General PrinciplesRx: General Principles
• O2, air way careO2, air way care
• Nebulized beta-agonist, anticholinergicNebulized beta-agonist, anticholinergic
• Antibiotics (parenteral)Antibiotics (parenteral)
• Feeding, warmth, FEBFeeding, warmth, FEB
• Vitamin A, ZnVitamin A, Zn
• Counseling, FUCounseling, FU
67
Rx. Severe PneumoniaRx. Severe Pneumonia
• Admission,Admission, OO22
• Airway patency:Airway patency:
– suction clearancesuction clearance
– Nebulized bronchodilator, anti-secretoryNebulized bronchodilator, anti-secretory
• Parenteral ABParenteral AB
• Lowering HGFLowering HGF
• Feeding, FEB, warmthFeeding, FEB, warmth
• Vitamin A, zincVitamin A, zinc
68
Antibiotics in PneumoniaAntibiotics in Pneumonia
Mostly viral but 2y infx. is commonMostly viral but 2y infx. is common
• Injectable: usuallyInjectable: usually >1 AB>1 AB
• Minimum 10dMinimum 10d
• Penicillin +genta/amikacin are goodPenicillin +genta/amikacin are good
• Staph coverage for babies <2yrStaph coverage for babies <2yr
69
When You Defer ABWhen You Defer AB
• The child is stable, playful, no HGFThe child is stable, playful, no HGF
• EBF, no bottle feedingEBF, no bottle feeding
• Taking feeds normallyTaking feeds normally
• SupervisedSupervised
70
Rx for Cough and Cold (no pn.)Rx for Cough and Cold (no pn.)
• Exclude AOMExclude AOM
• Ensure feedingEnsure feeding
• Treat feverTreat fever
• Clean noseClean nose
• Steam therapySteam therapy
• Honey+tulsiHoney+tulsi
Chr./rec. CoughChr./rec. Cough
• TB?TB?
• Congenital HD?Congenital HD?
• FB?FB?
• Reactive airway?Reactive airway?
• GERD?GERD?
71
72
Follow up for PneumoniaFollow up for Pneumonia
• Count breath (most important single sign)Count breath (most important single sign)
• Watch activities: smiles, plays, feeds. Urine outputWatch activities: smiles, plays, feeds. Urine output
If the child stays at homeIf the child stays at home
• Teach mom how to observe SoB, count breathTeach mom how to observe SoB, count breath
• Nose cleaning, feeding, warmthNose cleaning, feeding, warmth
• Ask to return immediately:Ask to return immediately:
s/of deterioration (fast br., chest indrawing)s/of deterioration (fast br., chest indrawing)
poor feedingpoor feeding
73
74
HumidificationHumidification
75
Prevention of ARIPrevention of ARI
• Breast feedingBreast feeding
• No feederNo feeder
• ImmunizationImmunization
• HPVAC, ZincHPVAC, Zinc
• Rx malnutritionRx malnutrition
• Warmth, warm clothingWarmth, warm clothing
• No air pollutionNo air pollution
• No smokingNo smoking
• Female literacyFemale literacy
• Family Planning,Family Planning,
birth spacingbirth spacing
• SanitationSanitation
• No overcrowdingNo overcrowding
76
ACUTE EPIGLOTTITISACUTE EPIGLOTTITIS
• Life-threatening inf. of epiglottis,Life-threatening inf. of epiglottis,
aryepiglottic folds and arytenoidaryepiglottic folds and arytenoid
(sudden suffocation)(sudden suffocation)
• mostly in wintersmostly in winters
• peak :-1–6 y old. M:F 3:2peak :-1–6 y old. M:F 3:2
• Commonly bacteria: Hib. Concomitant bacteremia, pn.,Commonly bacteria: Hib. Concomitant bacteremia, pn.,
AOM, arthritis, etc. by Hib may be presentAOM, arthritis, etc. by Hib may be present
78
ACUTE EPIGLOTTITISACUTE EPIGLOTTITIS
aka supraglottitisaka supraglottitis
• CFCF
– HGF, sore throat, SoB, rapidlyHGF, sore throat, SoB, rapidly
progressing res. obstructionprogressing res. obstruction
– toxic, dysphagia, chest indrawing, drooling,toxic, dysphagia, chest indrawing, drooling,
hyper extended neck, tripod positionhyper extended neck, tripod position
– stridor is a late finding; cyanosis , coma, deathstridor is a late finding; cyanosis , coma, death
– mouth is open, jaw thrust forwardmouth is open, jaw thrust forward ((sniffingsniffing
positionposition).). Barking cough is rareBarking cough is rare
EXAMINATIONEXAMINATION
• Do notDo not examine the throatexamine the throat
• Assess severityAssess severity
– degree of stridor, resp. rate, HRdegree of stridor, resp. rate, HR
– pulse oximetry, arousalpulse oximetry, arousal
• Dx:Dx:
– ““cherry red” epiglottischerry red” epiglottis
– ‘‘thumb sign’ on lateral neck XRthumb sign’ on lateral neck XR
– blood cultures, electrolytesblood cultures, electrolytes
• Direct laryngoscopy:Direct laryngoscopy: cherry redcherry red epiglottisepiglottis
• But not recommendedBut not recommended
ACUTE EPIGLOTTITIS …ACUTE EPIGLOTTITIS …
Lateral neck XR:Lateral neck XR:
(thumb sign)(thumb sign)
Rx (AC. EPIGLOTTITIS)Rx (AC. EPIGLOTTITIS)
A medical emergency!A medical emergency!
• ICUICU
• endotracheal intubation may be neededendotracheal intubation may be needed
• help from anaesthetist and ENT surgeonhelp from anaesthetist and ENT surgeon
• IV Amplicillin /Ceftriaxone (100 mg/kg/d) x10dIV Amplicillin /Ceftriaxone (100 mg/kg/d) x10d
• O2, ABB, IVF, nutritionO2, ABB, IVF, nutrition
• Rifampicin prophylaxis to close contactsRifampicin prophylaxis to close contacts
ALTB (croup)ALTB (croup)
• Mucositis of glottis-subglottisMucositis of glottis-subglottis;; usually viral:usually viral:
commonlycommonly:: parainfluenza 1,2,3 (75%),parainfluenza 1,2,3 (75%), influenzainfluenza
A,B; RSV,A,B; RSV, epiglottitis, diphtheria, tracheitisepiglottitis, diphtheria, tracheitis
• Age :- 6 mo–6yAge :- 6 mo–6y
ALTB: Ac. LaryngotracheobronchitisALTB: Ac. Laryngotracheobronchitis (CROUP)(CROUP)
• Inflam. swelling of throat: classical:Inflam. swelling of throat: classical: stridorstridor,,
"barking" cough"barking" cough,, hoarsenesshoarseness (within 1-2d)(within 1-2d)
• Features of URTI + croupFeatures of URTI + croup
• LGF, Prolonged inspirationLGF, Prolonged inspiration
• Severe at night, on lyingSevere at night, on lying
• Relieved by sitting upRelieved by sitting up
• Neck XR: subglotticNeck XR: subglottic
narrowingnarrowing (Steeple sign)(Steeple sign)
Dx: mainly clinical. XRDx: mainly clinical. XR
neck: steeple signneck: steeple sign
(unreliable)(unreliable)
DD of croup:DD of croup:
• ALTBALTB
• Ac. infectious laryngitisAc. infectious laryngitis
• Ac. epiglottitisAc. epiglottitis
• Spasmodic croupSpasmodic croup
• Bacterial tracheitisBacterial tracheitis
• DiphtheriaDiphtheria
• Measles croupMeasles croup
Ac. Laryngotracheobronchitis (ALTB)Ac. Laryngotracheobronchitis (ALTB)
DD: Ac. LTB and Ac. EpiglottitisDD: Ac. LTB and Ac. Epiglottitis
CroupCroup EpiglottitisEpiglottitis
CourseCourse daysdays hourshours
ProdromeProdrome coryzacoryza nonenone
CoughCough barkingbarking slight if anyslight if any
FeedingFeeding ableable nono
MouthMouth closedclosed droolingdrooling
ToxicToxic nono yesyes
FeverFever <38.5<38.500
CC >38.5>38.5 00
CC
StridorStridor raspingrasping softsoft
VoiceVoice hoarsehoarse Weal/silentWeal/silent
ALTB: RxALTB: Rx
• humidified airhumidified air
• steroidssteroids
• reduce severity and duration/need forreduce severity and duration/need for
intubationintubation
•Prednisolone p.o. 2mg/kg/d x3dPrednisolone p.o. 2mg/kg/d x3d
• nebulized budesonidenebulized budesonide
• nebulized adrenalinenebulized adrenaline
• Age: 2-6 mo. C/by:Age: 2-6 mo. C/by:
– S. pneumoniaeS. pneumoniae, Hib, M. catarrhalis, Hib, M. catarrhalis
• It is v. common in childrenIt is v. common in children
Symptoms:Symptoms:
• earache,earache, inconsolable cryinconsolable cry && sleep disturbances, fit,sleep disturbances, fit,
sometimes DVsometimes DV,,
Signs:Signs:
• Otorrhea or bulged congested TM, PEDOtorrhea or bulged congested TM, PED
PED: perforated eardrumPED: perforated eardrum
91
92
DxDx
• History, autoscopyHistory, autoscopy
• MyringotomyMyringotomy
• CBC, pus CSCBC, pus CS
93
TreatmentTreatment
•Broad-spectrum ABTBroad-spectrum ABT
•Analgesic, decongestant (local/systemic)Analgesic, decongestant (local/systemic)
• Saline nose washSaline nose wash
•Myringotomy SOSMyringotomy SOS
•Local AB drop for PEDLocal AB drop for PED
•No bath in PEDNo bath in PED
Complications of OMComplications of OM
• MastoiditisMastoiditis
• MeningitisMeningitis
• Brain abscessBrain abscess
• PEDPED
• Deafness-dumbness, poor learningDeafness-dumbness, poor learning
• ConvulsionConvulsion
95
96
MCQMCQ
• HPVAC is an important intervention to prevent ARIHPVAC is an important intervention to prevent ARI
• Feeding bottle is a baby killerFeeding bottle is a baby killer
• Cut-off mark of fast breathing at 9 mo is 40Cut-off mark of fast breathing at 9 mo is 40
• Any pneumonia in <6o-days of age is severe pn.Any pneumonia in <6o-days of age is severe pn.
• O2 is the most important 1O2 is the most important 1stst
Rx for severe pn.Rx for severe pn.
MCQMCQ
• Parenteral ABT is recommended for severe pn.Parenteral ABT is recommended for severe pn.
• Zn has an imp. role in shortening of duration andZn has an imp. role in shortening of duration and
prevention of recurrence of ARI in childrenprevention of recurrence of ARI in children
• Commonest c/of ac. epiglottitis is HibCommonest c/of ac. epiglottitis is Hib
• Ac. epiglottitis is usually Dx by direct laryngoscopy
• Croup means stridor, hoarseness, barking cough
97
99
Next:
Diarrhea
Ari

Ari

  • 1.
    Life Finds AWay:Life Finds A Way: Just Don’t Give UpJust Don’t Give Up
  • 4.
  • 7.
  • 9.
    SIGNS OF RESPIRATORYDISTRESSSIGNS OF RESPIRATORY DISTRESS
  • 10.
  • 12.
  • 13.
  • 14.
    14 Definition of ARIDefinitionof ARI (Acute Resp. Infection)(Acute Resp. Infection) This term isThis term is usedused by HW to indicate ac. Inf. ofby HW to indicate ac. Inf. of resp. system in U-5y childrenresp. system in U-5y children In this age group such inf. are often not anatomicallyIn this age group such inf. are often not anatomically localized, rather spreads rapidly to adjacent partslocalized, rather spreads rapidly to adjacent parts An U-5 child gets 3-6 ARIs/y regardless of livingAn U-5 child gets 3-6 ARIs/y regardless of living standardstandard HW: health worker. U-5: under 5 years of age. Inf.: infectionHW: health worker. U-5: under 5 years of age. Inf.: infection
  • 15.
    15 Clinical AnatomyClinical Anatomy •RT is divided into 3 parts:RT is divided into 3 parts: URT:URT: nosenose ⇒⇒tracheatrachea (PNS, mouth, tonsils,(PNS, mouth, tonsils, pharynx, auditory T,pharynx, auditory T, mid-earmid-ear, larynx), larynx) LRT:LRT: tracheatrachea⇒⇒ bronchibronchi ⇒⇒air ductsair ducts Lung parenchymaLung parenchyma
  • 16.
  • 17.
  • 18.
  • 19.
  • 20.
    20 Normal Defence ofRSNormal Defence of RS These are unique!These are unique! • Breathing, coughing, sneezingBreathing, coughing, sneezing • Mucosal antibodiesMucosal antibodies • Ciliary sweepingCiliary sweeping • PhagocytesPhagocytes • Physical filteringPhysical filtering (Think how less often you catch cold and cough)(Think how less often you catch cold and cough)
  • 21.
  • 22.
  • 23.
    23 ARI in ChildrenSpread Rapidly:ARI in Children Spread Rapidly: • Shorter and narrower RTShorter and narrower RT • Cough not strongCough not strong • Less immuneLess immune • Auditory tube is:Auditory tube is: – shortershorter – narrowernarrower – straighterstraighter
  • 24.
    Sites of Infections(ARI)Sites of Infections (ARI) • RhinitisRhinitis • TonsillitisTonsillitis • PharyngitisPharyngitis • EpiglottitisEpiglottitis • LaryngitisLaryngitis • AOMAOM • TracheitisTracheitis • BronchitisBronchitis • BronchiolitisBronchiolitis • Pn./Br.PnPn./Br.Pn Children usually have combinations:Children usually have combinations: Ac. rhinopharyngotonsillitis +/- AOM, ac. LTB (croup)Ac. rhinopharyngotonsillitis +/- AOM, ac. LTB (croup) Br.Pn, etc.Br.Pn, etc.
  • 25.
    25 ARI is asyndrome:ARI is a syndrome: – cough,cough, breath ratebreath rate – chest indrawing,chest indrawing, stridorstridor – +/-+/- 4 general4 general danger signdanger signs (IMCI)s (IMCI) NoNo Dr,Dr, nono stethoscope,stethoscope, nono lab!lab!
  • 26.
    26 Normal breathing rateNormalbreathing rate AgeAge RRRR Fast breathingFast breathing <2mo<2mo <60/min<60/min ≥≥6060 (preterm 70)(preterm 70) 2-12mo2-12mo <50/min<50/min ≥ 50≥ 50 1-5y1-5y <40/min<40/min ≥ 40≥ 40 Counting BreathingCounting Breathing • The child must be calmThe child must be calm • Count full 1 minuteCount full 1 minute • Count the abdominal swelling in inspirationCount the abdominal swelling in inspiration
  • 27.
    Chest indrawing:Chest indrawing: •Suprasternal, supraclavicular retraction/recessionSuprasternal, supraclavicular retraction/recession • Intercostal spaceIntercostal space ,,,, • SubcostalSubcostal ,,,, 44 General Danger signs:General Danger signs: • Lethargic/unconsciousLethargic/unconscious • Poor feeding/not feedingPoor feeding/not feeding at allat all • Vomits everythingVomits everything • ConvulsionConvulsion 27
  • 28.
    28 DANGER SIGNS CONVULSIONS INABILITY TO DRINK ORBREASTFEED VOMITING LETHARGY UNCONSCIOUSNESS
  • 29.
    29 SS of ARIfor DoctorsSS of ARI for Doctors • Cold, sore throatCold, sore throat • CoughCough,, sputumsputum • Nasal flareNasal flare • Chest indrawingChest indrawing • StridorStridor,, voice change,voice change, gruntinggrunting • TachypnoeaTachypnoea • CyanosisCyanosis • Asymmetry of chest andAsymmetry of chest and its movementits movement • Tracheal deviationTracheal deviation • Displaced heartDisplaced heart • Auscultation:Auscultation:
  • 30.
    30 Auscultatory FindingsAuscultatory Findings •Poor or unequal air entryPoor or unequal air entry • Prolonged expirationProlonged expiration • Wheeze/ronchiWheeze/ronchi • Fine +/-coarse crepitationsFine +/-coarse crepitations • Bronchial breath soundBronchial breath sound • Post-tussive creps/or ronchiPost-tussive creps/or ronchi
  • 31.
  • 32.
    32 Depth of ARIas ProblemDepth of ARI as Problem • Biggest U-5 killer (pneumonia: 0.9million/y: 15% of allBiggest U-5 killer (pneumonia: 0.9million/y: 15% of all deaths); 90% in L&MICs (70% in Africa and SEA)deaths); 90% in L&MICs (70% in Africa and SEA) • Commonest admission (Commonest admission (12-45%). OPD: 20-60%12-45%). OPD: 20-60% • V. imp. precipitator of Mn, VADXV. imp. precipitator of Mn, VADX • NationalNational Health IndexHealth Index of a countryof a country ((5.9 million U-5 death in 2015: 16,000/d.5.9 million U-5 death in 2015: 16,000/d. 70%70% from infectin)from infectin)
  • 33.
    33 ARI 54% Diarrhoea 85% Malaria 79% Measles 89% Percentage of deathsoccurring among: Global Disease Burden Borne by U-5 (Y 2000)
  • 34.
    Key factsKey factsPneumoniaPneumonia •15% of all U-5 deaths:15% of all U-5 deaths: 900k in 2015900k in 2015 •Kills by hypoxia due to pus and fluid in alveoliKills by hypoxia due to pus and fluid in alveoli •C/by viruses, bacteria or fungiC/by viruses, bacteria or fungi •Rx with low-cost, low-tech drugs and care (1/3Rx with low-cost, low-tech drugs and care (1/3rdrd childrenchildren with pneumonia get AB)with pneumonia get AB) •Preventable by immunization, nutrition and cleanPreventable by immunization, nutrition and clean environmentenvironment 34
  • 35.
    ARI mortality/morbidity highestin U-5yARI mortality/morbidity highest in U-5y – Lack of breast feedingLack of breast feeding – Bottle feeding, weaned earlyBottle feeding, weaned early – HIVHIV – <2y of age<2y of age – Lack of vaccinationLack of vaccination – Mn., VADXMn., VADX – Poor education, overcrowding, poor clothingPoor education, overcrowding, poor clothing – Difficult access to healthcare, medicationDifficult access to healthcare, medication
  • 36.
    36 Aetiology of ARIAetiologyof ARI • VirusesViruses • BacteriaBacteria • MycoplasmaMycoplasma • FungusFungus • Parasites, wormsParasites, worms
  • 37.
    Aetiology …Aetiology … •Varies: age, immune status, where contractedVaries: age, immune status, where contracted • Community acquired (CAP)Community acquired (CAP) – Developing countriesDeveloping countries • VirusesViruses 40%40% • S. pneumoniae, Hib, S aureus, Moraxella,S. pneumoniae, Hib, S aureus, Moraxella, Mycoplasma, Chlamydia inMycoplasma, Chlamydia in 60%60% – Developed countriesDeveloped countries • Bacteria:Bacteria: 5-10%5-10%
  • 38.
    Etiology Based onAgeEtiology Based on Age AgeAge OrganismOrganism NeonatesNeonates GBS, E coli, Klebsiella, SGBS, E coli, Klebsiella, S aureusaureus InfantsInfants Pneumococcus, Chlamydia,Pneumococcus, Chlamydia, RSV, Hib, StaphRSV, Hib, Staph 1-5y1-5y Viruses, Pneumococcus, HibViruses, Pneumococcus, Hib Chlamydia, Mycoplasma,Chlamydia, Mycoplasma, Staph, GASStaph, GAS 5-18y5-18y Mycoplasma, Pneumococcus,Mycoplasma, Pneumococcus, Chlamydia, HibChlamydia, Hib
  • 39.
    39 VirusesViruses • RhinovirusesRhinoviruses • RSVRSV •AdenovirusesAdenoviruses • Influenza, parainfluenza A B CInfluenza, parainfluenza A B C • MyxovirusesMyxoviruses • Corona viruses (SARS, MERS)Corona viruses (SARS, MERS) • Boca virus, metapneumovirusBoca virus, metapneumovirus
  • 40.
    40 Common BacteriaCommon Bacteria •** S. pneumoniaeS. pneumoniae • ** HibHib • S. pyogenesS. pyogenes • S. aureusS. aureus • ** M. tuberculosisM. tuberculosis • ** C diphtheriaeC diphtheriae • Enteric bacilliEnteric bacilli • PseudomonasPseudomonas • KlebsiellaKlebsiella • MoraxellaMoraxella *Vaccine available
  • 41.
    41 Others • Chlamydia • Mycoplasma •Fungus: C. albicans, Histoplasma • Miscellaneous: P. carinii, worms
  • 42.
    42 How ARI HarmsHowARI Harms • Malnutrition andMalnutrition and VADX:VADX: • HypoxiaHypoxia: convulsion, death: convulsion, death • ChestChest: collapse, consolidation, effusion, L. abscess,: collapse, consolidation, effusion, L. abscess, bronchiectasis, pneumothoraxbronchiectasis, pneumothorax • Blood:Blood: sepsis, deranged ABB, dyselectrolytemia,sepsis, deranged ABB, dyselectrolytemia, meningitis, IgA nephropathymeningitis, IgA nephropathy VADX: Vitamin A defi. And xerophthalmiaVADX: Vitamin A defi. And xerophthalmia
  • 43.
    43 ARI Causes Mn.and VADXARI Causes Mn. and VADX • Poor feedingPoor feeding • Negative nitrogen balanceNegative nitrogen balance • VD, F, dehydrationVD, F, dehydration • Exhaustion of VAExhaustion of VA • Faulty feeding, tabooFaulty feeding, taboo Mn.: Malnutrition. VD: vomiting diarrhoea. F: fever. VA: vitamin AMn.: Malnutrition. VD: vomiting diarrhoea. F: fever. VA: vitamin A
  • 44.
    44 Dehydration in ARIDehydrationin ARI:: • fast breathingfast breathing • FF • NVDNVD • runny noserunny nose • poor /faulty feedingpoor /faulty feeding NVD: nausea vomiting diarrheaNVD: nausea vomiting diarrhea
  • 45.
    45 How ARI killsHowARI kills AcuteAcute • HypoxiaHypoxia • HHypoglycemia, convulsion, cardiac failureypoglycemia, convulsion, cardiac failure • Septicemia, dehydrationSepticemia, dehydration LateLate • Mn., VADXMn., VADX • Suffocation, aspirationSuffocation, aspiration
  • 46.
    46 Hospital PictureHospital Picture •Out of 1690 cases admitted in BMCH pediatricOut of 1690 cases admitted in BMCH pediatric ward 400 (23.7%) had ARIward 400 (23.7%) had ARI • Peak incidence during Oct-NovPeak incidence during Oct-Nov
  • 47.
    47 Death from ARIis DecliningDeath from ARI is Declining** • Br. FeedingBr. Feeding • No bottle feedingNo bottle feeding • Socioeconomic andSocioeconomic and environmental changeenvironmental change • Falling Mn.Falling Mn. • HPVAC distributionHPVAC distribution • EPIEPI • Family planningFamily planning • Modern health careModern health care • Better and cheap drugsBetter and cheap drugs • Female literacyFemale literacy • Health awarenessHealth awareness * Previously 4mn, now 0.9Previously 4mn, now 0.9
  • 48.
    ManagementManagement According toAccording to IMCIIMCI[[[[ IMCI:integrated management of childhood illnessesIMCI: integrated management of childhood illnesses
  • 49.
    History TakingHistory Taking 1.General Danger Signs1. General Danger Signs 2. Main Symptoms2. Main Symptoms a. Cougha. Cough b. Diarrheab. Diarrhea c. Feverc. Fever d. Ear Problemsd. Ear Problems 3. Nutritional Status3. Nutritional Status 4. Immunization Status4. Immunization Status 5. Other Problems5. Other Problems IMCI Record FormIMCI Record Form
  • 50.
    50 Assess whether thechild hasAssess whether the child has • No pneumonia (cold-cough; chr. cough)No pneumonia (cold-cough; chr. cough) • Pneumonia orPneumonia or • Severe Pn.Severe Pn. In babies < 2 mo any pneumonia is taken asIn babies < 2 mo any pneumonia is taken as severe pn.severe pn.
  • 51.
    51 Fast breathing +Fastbreathing + chest indrawing orchest indrawing or Stridor in a calmStridor in a calm child. (Any GD sign)child. (Any GD sign) SevereSevere PneumoniaPneumonia oror (very severe disease)(very severe disease) Fast breathingFast breathing PneumoniaPneumonia No signs ofNo signs of pneumonia or verypneumonia or very severe diseasesevere disease No pneumonia:No pneumonia: cough or coldcough or cold
  • 52.
    52 Limitations …Limitations … Pneumoniain IMCI may bePneumonia in IMCI may be • BronchiolitisBronchiolitis • Br. AsthmaBr. Asthma • DiphtheriaDiphtheria • PertussisPertussis • HGF, CCFHGF, CCF No pneumonia may be TBNo pneumonia may be TB
  • 53.
    PneumoniaPneumonia • Fast breathingFastbreathing • Inflam. of lung parenchyma + consolidationInflam. of lung parenchyma + consolidation • Developed world:Developed world: viral:viral: Low morbidity mortalityLow morbidity mortality • Developing world:Developing world: – Bacteria in 65%Bacteria in 65% – Cheap, oral ABT: Co-trimoxazole, Amoxycillin canCheap, oral ABT: Co-trimoxazole, Amoxycillin can cause 84% reduction in deathcause 84% reduction in death
  • 54.
    54 Severe PneumoniaSevere Pneumonia •Very sick,Very sick, not able to feednot able to feed • Tachypnoea,Tachypnoea, tachycardiatachycardia • Chest indrawingChest indrawing • DrowsinessDrowsiness • Creps, wheezeCreps, wheeze • Cyanosis, convulsionCyanosis, convulsion +/- Fever+/- Fever
  • 55.
    55 Lab. Dx. ofPneumoniaLab. Dx. of Pneumonia (not for HW/IMCI)(not for HW/IMCI) • CXRCXR • CBC filmCBC film • CS of blood, tracheal and lung aspirateCS of blood, tracheal and lung aspirate • Throat swabThroat swab
  • 56.
  • 57.
    57 Pneumococcal pneumoniaPneumococcal pneumonia Rupper lobe consolidation with Air BronchogramR upper lobe consolidation with Air Bronchogram
  • 58.
  • 59.
  • 60.
    60 Air-fluid level inLung Abscess. Note small free PE in RAir-fluid level in Lung Abscess. Note small free PE in R pleural cavitypleural cavity
  • 62.
    Complications of pneumoniaComplicationsof pneumonia IntrathoracicIntrathoracic • P. effusion, empyemaP. effusion, empyema • Collapse, consolidationCollapse, consolidation • L. abscess, pneumatoceleL. abscess, pneumatocele • PneumothoraxPneumothorax ExtrathoracicExtrathoracic • Septicemia, meningitisSepticemia, meningitis • Dehydration, myocarditisDehydration, myocarditis • Pericarditis, acidosis, dyselectrolytemiasPericarditis, acidosis, dyselectrolytemias
  • 63.
  • 64.
  • 65.
  • 66.
    66 Rx: General PrinciplesRx:General Principles • O2, air way careO2, air way care • Nebulized beta-agonist, anticholinergicNebulized beta-agonist, anticholinergic • Antibiotics (parenteral)Antibiotics (parenteral) • Feeding, warmth, FEBFeeding, warmth, FEB • Vitamin A, ZnVitamin A, Zn • Counseling, FUCounseling, FU
  • 67.
    67 Rx. Severe PneumoniaRx.Severe Pneumonia • Admission,Admission, OO22 • Airway patency:Airway patency: – suction clearancesuction clearance – Nebulized bronchodilator, anti-secretoryNebulized bronchodilator, anti-secretory • Parenteral ABParenteral AB • Lowering HGFLowering HGF • Feeding, FEB, warmthFeeding, FEB, warmth • Vitamin A, zincVitamin A, zinc
  • 68.
    68 Antibiotics in PneumoniaAntibioticsin Pneumonia Mostly viral but 2y infx. is commonMostly viral but 2y infx. is common • Injectable: usuallyInjectable: usually >1 AB>1 AB • Minimum 10dMinimum 10d • Penicillin +genta/amikacin are goodPenicillin +genta/amikacin are good • Staph coverage for babies <2yrStaph coverage for babies <2yr
  • 69.
    69 When You DeferABWhen You Defer AB • The child is stable, playful, no HGFThe child is stable, playful, no HGF • EBF, no bottle feedingEBF, no bottle feeding • Taking feeds normallyTaking feeds normally • SupervisedSupervised
  • 70.
    70 Rx for Coughand Cold (no pn.)Rx for Cough and Cold (no pn.) • Exclude AOMExclude AOM • Ensure feedingEnsure feeding • Treat feverTreat fever • Clean noseClean nose • Steam therapySteam therapy • Honey+tulsiHoney+tulsi Chr./rec. CoughChr./rec. Cough • TB?TB? • Congenital HD?Congenital HD? • FB?FB? • Reactive airway?Reactive airway? • GERD?GERD?
  • 71.
  • 72.
    72 Follow up forPneumoniaFollow up for Pneumonia • Count breath (most important single sign)Count breath (most important single sign) • Watch activities: smiles, plays, feeds. Urine outputWatch activities: smiles, plays, feeds. Urine output If the child stays at homeIf the child stays at home • Teach mom how to observe SoB, count breathTeach mom how to observe SoB, count breath • Nose cleaning, feeding, warmthNose cleaning, feeding, warmth • Ask to return immediately:Ask to return immediately: s/of deterioration (fast br., chest indrawing)s/of deterioration (fast br., chest indrawing) poor feedingpoor feeding
  • 73.
  • 74.
  • 75.
    75 Prevention of ARIPreventionof ARI • Breast feedingBreast feeding • No feederNo feeder • ImmunizationImmunization • HPVAC, ZincHPVAC, Zinc • Rx malnutritionRx malnutrition • Warmth, warm clothingWarmth, warm clothing • No air pollutionNo air pollution • No smokingNo smoking • Female literacyFemale literacy • Family Planning,Family Planning, birth spacingbirth spacing • SanitationSanitation • No overcrowdingNo overcrowding
  • 76.
  • 77.
    ACUTE EPIGLOTTITISACUTE EPIGLOTTITIS •Life-threatening inf. of epiglottis,Life-threatening inf. of epiglottis, aryepiglottic folds and arytenoidaryepiglottic folds and arytenoid (sudden suffocation)(sudden suffocation) • mostly in wintersmostly in winters • peak :-1–6 y old. M:F 3:2peak :-1–6 y old. M:F 3:2 • Commonly bacteria: Hib. Concomitant bacteremia, pn.,Commonly bacteria: Hib. Concomitant bacteremia, pn., AOM, arthritis, etc. by Hib may be presentAOM, arthritis, etc. by Hib may be present
  • 78.
  • 79.
    ACUTE EPIGLOTTITISACUTE EPIGLOTTITIS akasupraglottitisaka supraglottitis • CFCF – HGF, sore throat, SoB, rapidlyHGF, sore throat, SoB, rapidly progressing res. obstructionprogressing res. obstruction – toxic, dysphagia, chest indrawing, drooling,toxic, dysphagia, chest indrawing, drooling, hyper extended neck, tripod positionhyper extended neck, tripod position – stridor is a late finding; cyanosis , coma, deathstridor is a late finding; cyanosis , coma, death – mouth is open, jaw thrust forwardmouth is open, jaw thrust forward ((sniffingsniffing positionposition).). Barking cough is rareBarking cough is rare
  • 80.
    EXAMINATIONEXAMINATION • Do notDonot examine the throatexamine the throat • Assess severityAssess severity – degree of stridor, resp. rate, HRdegree of stridor, resp. rate, HR – pulse oximetry, arousalpulse oximetry, arousal • Dx:Dx: – ““cherry red” epiglottischerry red” epiglottis – ‘‘thumb sign’ on lateral neck XRthumb sign’ on lateral neck XR – blood cultures, electrolytesblood cultures, electrolytes
  • 81.
    • Direct laryngoscopy:Directlaryngoscopy: cherry redcherry red epiglottisepiglottis • But not recommendedBut not recommended ACUTE EPIGLOTTITIS …ACUTE EPIGLOTTITIS …
  • 82.
    Lateral neck XR:Lateralneck XR: (thumb sign)(thumb sign)
  • 83.
    Rx (AC. EPIGLOTTITIS)Rx(AC. EPIGLOTTITIS) A medical emergency!A medical emergency! • ICUICU • endotracheal intubation may be neededendotracheal intubation may be needed • help from anaesthetist and ENT surgeonhelp from anaesthetist and ENT surgeon • IV Amplicillin /Ceftriaxone (100 mg/kg/d) x10dIV Amplicillin /Ceftriaxone (100 mg/kg/d) x10d • O2, ABB, IVF, nutritionO2, ABB, IVF, nutrition • Rifampicin prophylaxis to close contactsRifampicin prophylaxis to close contacts
  • 84.
    ALTB (croup)ALTB (croup) •Mucositis of glottis-subglottisMucositis of glottis-subglottis;; usually viral:usually viral: commonlycommonly:: parainfluenza 1,2,3 (75%),parainfluenza 1,2,3 (75%), influenzainfluenza A,B; RSV,A,B; RSV, epiglottitis, diphtheria, tracheitisepiglottitis, diphtheria, tracheitis • Age :- 6 mo–6yAge :- 6 mo–6y ALTB: Ac. LaryngotracheobronchitisALTB: Ac. Laryngotracheobronchitis (CROUP)(CROUP)
  • 85.
    • Inflam. swellingof throat: classical:Inflam. swelling of throat: classical: stridorstridor,, "barking" cough"barking" cough,, hoarsenesshoarseness (within 1-2d)(within 1-2d) • Features of URTI + croupFeatures of URTI + croup • LGF, Prolonged inspirationLGF, Prolonged inspiration • Severe at night, on lyingSevere at night, on lying • Relieved by sitting upRelieved by sitting up • Neck XR: subglotticNeck XR: subglottic narrowingnarrowing (Steeple sign)(Steeple sign)
  • 86.
    Dx: mainly clinical.XRDx: mainly clinical. XR neck: steeple signneck: steeple sign (unreliable)(unreliable)
  • 87.
    DD of croup:DDof croup: • ALTBALTB • Ac. infectious laryngitisAc. infectious laryngitis • Ac. epiglottitisAc. epiglottitis • Spasmodic croupSpasmodic croup • Bacterial tracheitisBacterial tracheitis • DiphtheriaDiphtheria • Measles croupMeasles croup Ac. Laryngotracheobronchitis (ALTB)Ac. Laryngotracheobronchitis (ALTB)
  • 88.
    DD: Ac. LTBand Ac. EpiglottitisDD: Ac. LTB and Ac. Epiglottitis CroupCroup EpiglottitisEpiglottitis CourseCourse daysdays hourshours ProdromeProdrome coryzacoryza nonenone CoughCough barkingbarking slight if anyslight if any FeedingFeeding ableable nono MouthMouth closedclosed droolingdrooling ToxicToxic nono yesyes FeverFever <38.5<38.500 CC >38.5>38.5 00 CC StridorStridor raspingrasping softsoft VoiceVoice hoarsehoarse Weal/silentWeal/silent
  • 89.
    ALTB: RxALTB: Rx •humidified airhumidified air • steroidssteroids • reduce severity and duration/need forreduce severity and duration/need for intubationintubation •Prednisolone p.o. 2mg/kg/d x3dPrednisolone p.o. 2mg/kg/d x3d • nebulized budesonidenebulized budesonide • nebulized adrenalinenebulized adrenaline
  • 90.
    • Age: 2-6mo. C/by:Age: 2-6 mo. C/by: – S. pneumoniaeS. pneumoniae, Hib, M. catarrhalis, Hib, M. catarrhalis • It is v. common in childrenIt is v. common in children Symptoms:Symptoms: • earache,earache, inconsolable cryinconsolable cry && sleep disturbances, fit,sleep disturbances, fit, sometimes DVsometimes DV,, Signs:Signs: • Otorrhea or bulged congested TM, PEDOtorrhea or bulged congested TM, PED PED: perforated eardrumPED: perforated eardrum
  • 91.
  • 92.
  • 93.
    DxDx • History, autoscopyHistory,autoscopy • MyringotomyMyringotomy • CBC, pus CSCBC, pus CS 93
  • 94.
    TreatmentTreatment •Broad-spectrum ABTBroad-spectrum ABT •Analgesic,decongestant (local/systemic)Analgesic, decongestant (local/systemic) • Saline nose washSaline nose wash •Myringotomy SOSMyringotomy SOS •Local AB drop for PEDLocal AB drop for PED •No bath in PEDNo bath in PED
  • 95.
    Complications of OMComplicationsof OM • MastoiditisMastoiditis • MeningitisMeningitis • Brain abscessBrain abscess • PEDPED • Deafness-dumbness, poor learningDeafness-dumbness, poor learning • ConvulsionConvulsion 95
  • 96.
    96 MCQMCQ • HPVAC isan important intervention to prevent ARIHPVAC is an important intervention to prevent ARI • Feeding bottle is a baby killerFeeding bottle is a baby killer • Cut-off mark of fast breathing at 9 mo is 40Cut-off mark of fast breathing at 9 mo is 40 • Any pneumonia in <6o-days of age is severe pn.Any pneumonia in <6o-days of age is severe pn. • O2 is the most important 1O2 is the most important 1stst Rx for severe pn.Rx for severe pn.
  • 97.
    MCQMCQ • Parenteral ABTis recommended for severe pn.Parenteral ABT is recommended for severe pn. • Zn has an imp. role in shortening of duration andZn has an imp. role in shortening of duration and prevention of recurrence of ARI in childrenprevention of recurrence of ARI in children • Commonest c/of ac. epiglottitis is HibCommonest c/of ac. epiglottitis is Hib • Ac. epiglottitis is usually Dx by direct laryngoscopy • Croup means stridor, hoarseness, barking cough 97
  • 99.

Editor's Notes

  • #23 Goblet cell is a glandular, modified simple columnar epithelial cell whose function is to secrete gel-forming mucins, the major components of mucus. Mucin: hydrated mucinogen, a secretion containing CHO such as those from the goblet cells of gut, submaxillary g, and other mucous glands; it is also present in the ground substance of con. tissue, especially mucous CT, is soluble in alkaline water, and is precipitated by acetic acid; mucins lubricate and protect body cavity linings
  • #30 SS: symptoms and signs
  • #33 WHO pn. is the leading c/of death in children worldwide; kills an estimated 1.1 million U-5 children/y – more than AIDS, malaria and TB combined can be prevented by immunization, adequate nutrition and by addressing environmental factors c/by bacteria can be Rx with ABs, but 30% of children with it receive the ABs Death from diarrhoeal D has been dramatically lowered by successful ORT
  • #36 Under-five mortality: situation: 6.3 million died in 2013, 17000/d Highest in  Africa (90/1000 lb), x7 higher than that in Europe (12/1000lb). Many countries still have v high mortality – particularly those in Africa, home to 11 of 12 countries with a rate &amp;gt;100/1000lb. In 2013, the U-5MR in low-income countries was 76/1000lb – x13 the average rate in high-income countries (6/1000lb). Reducing these inequities across countries and saving more children’s lives by ending preventable child deaths are important priorities
  • #42 Pneumocystis jirovecii: a yeast-like fungus; causes Pneumocystis pneumonia, an imp. pathogen, particularly among immunocompromised; aka P. carinii
  • #56 HW: health worker
  • #57 G+ve capsulated diplococcus. Some have a halo: capsule. The capsule gives a survival advantage
  • #64 Pneumatoceles are thin-walled, air-filled cysts within lung; can be single emphysematous but are more often multiple. Most often seen in ac. Pn., commonly by S aureus; also with S pneumoniae, Hib, E coli, GAS, Serratia marcescens, K pneumoniae, adenovirus, TB; generally seen soon after pn. but can be observed initially. Noninf. causes: hydrocarbon ingestion, trauma, and PP ventilation. In preemies with RDS, pneumatoceles result mostly from ventilator-induced lung injury. Mostly they are asymptomatic and do not require surgery. Rx of pneumonia with ABT is the first-line therapy. Close observation in the early stages and periodic FU care is usually adequate. The natural course is slow with no further clinical sequelae. Invasive approaches should only be reserved for patients who develop complications
  • #65 Fig. 1A: CXR: ill-defined R perihilar opacity obscuring R heart border and contains no air bronchograms. Lateral XR: Fig. 1B: a corresponding triangular opacity with its base abutting the sternum and its apex directed toward hilum. Note anterior displacement of oblique fissure and elevation of R hemi-diaphragm. Dx: : R Middle Lobe Atelectasis (Endobronchial Sq Cell Lung Ca)
  • #68 ABT: usually ampi-genta, chloramphenicol When the child is kept at home, teach the mother how to observe s/of breathlessness. Ask her to report to the HC immediately if there is deterioration
  • #69 WHO classification and Rx of childhood pn. at health facilities 2 major changes: (A) now just 2 categories of pn. instead of 3 (“pn.” which is treated at home with oral amoxicillin and “severe pn.” which requires Injectable AB and (B) oral amoxicillin replaces oral cotrimoxazole as DoC, preferably in 250mg dispersible tablet form, 2/d x5d which can be reduced to 3 in low HIV settings
  • #71 For persistent cough (&amp;gt;30d) full Ix are required to exclude TB, cong. HD, FB, atopy, etc.
  • #84 Epiglottis: ceftriaxone is DoC. This is broad-spectrum against gram-negative, lower efficacy against gram-positive: 100mg/kg/d IV on first day; follow with 50 mg/kg on day 2 or 75 mg/kg qDay for 10-14 days
  • #85 Croup is a common resp. problem in young children. Common in the fall and winter. Main symptom is a harsh, barking cough. Causes edema in larynx, trachea, bronchi. This can make it hard for your child to breathe. It can be scary, but rarely serious; usually better in several days with rest and care at home C/by the same viruses of common cold.
  • #88 Laryngitis is one of the most common conditions in the larynx. It manifests in both acute and chronic forms. Ac laryngitis is usually self-limited. If &amp;gt;3w, it is chronic. The etiology of AL: vocal misuse, exposure to noxious agents, URTI. Mostly viral but sometimes bacterial. Pix: larynx of a 62y F with an intermittent exudative AL treated conservatively. Rarely, laryngitis is autoimmune (RA, relapsing polychondritis, Wegener granulomatosis, sarcoidosis). CL may be c/by cigarette smoke or polluted air (chemicals), irritation from asthma inhalers, vocal misuse, or GERD. Vocal misuse: increased adducting force of the vocal folds: increased contact and friction between folds. The area becomes swollen. Vocal therapy has the greatest benefit in the patient with CL Although AL is usually not a result of vocal abuse, vocal abuse is often a result of AL. The underlying inf/inflam results in a hoarse voice. Typically, the pt exacerbates dysphonia by misuse of the voice in an attempt to maintain premorbid phonating ability
  • #98 WHO Zinc is imp for cellular growth, cellular differentiation and metabolism. Deficiency limits growth and decreases immunity. Although severe deficiency is rare, mild to moderate may be common worldwide. Zinc may reduce frequency and severity of ARI. Zinc deficient children are at increased risk of restricted growth and developing D, ARI. D and pn. are the 2 most common c/of U-5MR in LICs. Undernutrition is considered the underlying c/of 50% of pn.. Pn alone kills more than AIDS, malaria or measles combined. Zn may reduce the number of episodes and severity of bronchiolitis and pn. Zinc and ORS is the basis of management of D.