PA 2.4
DESCRIBE AND DISCUSS CELL DEATH, TYPE &
MECHANISM, NECROSIS, APOPTOSIS,
DIFFERENCES BETWEEN NECROSIS & APOPTOSIS
AUTOLYSIS
Dr IRA BHARADWAJ
MCI TEACHER ID: PAT 2300569
KUHS FACULTY ID: M21512
TEXTBOOK REFRENCES
• ROBBINS BASIC PATHOLOGY
• HARSH MOHAN TEXTBOOK OF PATHOLOGY
• OTHER STANDARD REFRENCES
SLO
• TYPES OF CELL DEATH
• DEFINITION OF APOPTOSIS
• ETIOLOGY OF APOPTOSIS
• PATHOGENESIS OF APOPTOSIS
• BIOCHEMICAL CHANGES IN APOPTOSIS
• LAB DX OF APOPTOSIS
SLO
• EXAMPLES OF APOPTOSIS
• MORPHOLOGY OF APOPTOSIS
• DIFFERNCES BETWEEN NECROSIS &
APOPTOSIS
• AUTOLYSIS
CELL DEATH
TYPES
• NECROSIS [already discussed]
• APOPTOSIS
• AUTOLYSIS
APOPTOSIS
DEFINITION
Regulated (programmed) cell death, to
remove unwanted & irreparably
damaged cells with minimal host
reaction
There is no leakage of cell contents.
Activated cellular enzymes degrade nuclear
& cytoplasmic proteins resulting in
fragmentation of cell contents enclosed
APOPTOSIS
DEFINITION
by intact but biochemically altered cell
membrane to form apoptotic bodies
which are rapidly phagocytosed without
inflammation
Necrosis & apoptosis may coexist -
necroptosis
APOPTOSIS
ETIOLOGY
PHYISIOLOGICAL – removal of cells at the end of
life span & limit no of cells in proliferating
tissues.
• Embryogenesis (programmed cell death)
• Involution of hormone dependent tissues eg
menstruation, post lactation breast
• Cell loss in proliferating tissues eg, bone
marrow
APOPTOSIS
ETIOLOGY
• Elimination of cells after their use is over
eg neutrophils at end of inflammation,
lymphocytes at end of immune response
• Elimination of self reactive lymphocytes,
• Cytotoxic T lymphocytes kill cells by
apoptosis
APOPTOSIS
ETIOLOGY
PATHOLOGICAL
• Remove genetically / irreparably
damaged cells without inflammation
• Cell injury in viral infections ( HIV )
• Apoptosis of cells in organ with
slowly developing duct obstruction
APOPTOSIS
ETIOLOGY
• DNA damage by radiation, drugs,
hypoxia, temperature extremes may
damage cells directly / ROS to induce
apoptosis/necrosis
• Excess of misfolded proteins leading to
ER stress
APOPTOSIS
PATHOGENESIS
Activation of enzymes – caspases
(cystine proteases that cleave proteins
after aspartic residue) by
• Mitochondrial (intrinsic) pathway
• Death receptor (extrinsic) pathway
• Common pathway
APOPTOSIS
PATHOGENESIS
OTHER MECHANISMS OF APOPTOSIS:
• Calcium directly activates caspases &
increases mitochondrial permeability,
• ROS – protein & DNA damage
• CYTOTOXIC T LYMPHOCYTES- secrete
granzymes which directly activate
executioner caspase [common pathway]
PATHOGENESIS OF APOPTOSIS
MITOCHONDRIAL (INTRINSIC)PATHWAY
Bcl-2 family (about 20 proteins)
• Sensor proteins - BH3 activated by
etiology
• Proapoptotic proteins –Bak, Bax
increased
• Anti apoptotic proteins – Bcl-2, Bcl-
x1 decreased
PATHOGENESIS OF APOPTOSIS
MITOCHONDRIAL (INTRINSIC)PATHWAY
Bak & Bax - affects permeability of
mitochondrial membrane – to form channels
for escape of:
• Proteins: proapoptotic & inhibitors of anti
apoptotic factors in cytoplasm
• Cytochrome C: activate caspase 9 (initiator)
Mitochondrial pathway is the commonest
mechanism of apoptosis.
Mitochondria have important role in both
necrosis & apoptosis
PATHOGENESIS OF APOPTOSIS
DEATH RECEPTOR ( EXTRINSIC ) PATHWAY
• Cell surface has Death Receptors for TNF &
Fas (CD95)
• FasL present on activated TL & cytotoxic T
lymphocytes bind to Fas on cell membrane
• Activate caspase 8 (initiator)
• Activates BcL2 family (proapoptotic - Bid )
leading to apoptosis via mitochondrial
pathway also
PATHOGENESIS OF APOPTOSIS
DEATH RECEPTOR ( EXTRINSIC ) PATHWAY
• FLIP – anti caspase, blocks DR pathway,
viruses produce FLIP like chemical to
ensure cell survival of infected cells
• Death receptor pathway is used for
removal of cells by cytotoxic TL & self
reactive TL
PATHOGENESIS OF APOPTOSIS
COMMON PATHWAY
• Caspase 8 & 9 ( INITIATOR CASPASES )
• Activate caspase 3&6 ( EXECUTIONER
CASPASES ) , these
• Cleave DNA, nucleoproteins and
cytoskeleton, resulting in
• Fragmentation of cells
• Each fragment is surrounded by cell
membrane & is ka apoptotic body
PATHOGENESIS OF APOPTOSIS
APOPTOTIC BODIES
• Apoptotic bodies are degraded contents
of cells, bound by cell membrane
• Biochemical changes in cell membrane
induce phagocytosis by tissue
macrophages & other phagocytic cells
without inflammation
PATHOGENESIS OF APOPTOSIS
CLEARANCE OF APOPTOTIC BODIES
• In normal cells phosphatidylserine is present
on the inner leaflet of the plasma membrane,
but in apoptotic cells this phospholipid "flips"
out and is expressed on the outer layer of the
membrane, where it is recognized by
macrophages.
• Cells that are dying by apoptosis also secrete
soluble factors that recruit phagocytes
BIOCHEMICAL CHANGES IN APOPTOSIS
• Proteolysis of cytoskeleton due to breakdown
of protein cross linkages
• Fragmentation of nucleus by nuclease enzyme
• Flipping of phosphatidylserine from inner
surface of cell membrane to outer surface of
membrane , this attracts phagocytic cells
• In some cases trombospondin appears on
surface of apoptotic bodies , this attracts
phagocytes
RESEARCH LAB Dx OF APOPTOSIS
• ANNEXIN V ASSAY – this dye binds to
phosphatidylserine
• CHROMATIN CONDENSATION – seen in H&E stain &
other special nuclear stains like Feulgen , and
fluorescent stain (acridine orange)
• AGROSE GEL ELECTROPHORESIS – fragmented DNA
shows step ladder pattern
• ACTIVATED CASPASES & CYTOCHROME C ASSAY
• FLOW CYTOMETRY – shows rapid shrinkage of cells
APOPTOSIS
EXAMPLES
• GROWTH FACTOR DEPRIVATION
• DNA DAMAGE
• ACCUMALATION OF MISFOLDED PROTEINS (
ER STRESS )
• IMMUNE SYSTEM :
Self reactive lymphocytes
Cytotoxic t lymphocytes
APOPTOSIS
GROWTH FACTOR DEPRIVATION
SEEN IN
• Hormone dependent cells
• Lymphocytes not stimulated by antigens
• Decrease /absence of growth factors
• APOPTOSIS BY MITOCHONDRIAL PATHWAY –
increase proapoptotic factors & decrease anti
apoptotic factors
APOPTOSIS
DNA DAMAGE
• Exposure of cells to radiation , chemicals
[chemotherapeutic agents] & other causes
induces DNA damage
• When DNA is damaged, the p53 protein
accumulates in cells.
• p53 first arrests the cell cycle (at the G1
phase) to allow for repair of DNA
• If DNA is repaired cell returns to normal state
APOPTOSIS
DNA DAMAGE
• If DNA is not repaired, p53 triggers
apoptosis, mainly by stimulating
synthesis of pro-apoptotic Bcl-2 proteins
• Apoptosis occurs via mitochondrial
pathway
APOPTOSIS
DNA DAMAGE
• When p53 is mutated or absent (as it is
in certain cancers), it is incapable of
inducing apoptosis, so that cells with
damaged DNA are allowed to survive.
• In such cells, the DNA damage may result
in mutations or translocations that lead
to neoplastic transformation [cancer]
APOPTOSIS: ER STRESS
ACCUMULATION OF MISFOLDED PROTEINS
• Normal protein synthesis requires
folding of proteins in a specific
manner by chaperons in ER
• Misfolded proteins are removed by
ubiquitin – protease pathway
APOPTOSIS: ER STRESS
ACCUMULATION OF MISFOLDED PROTEINS
Accumulation of misfolded proteins in ER occurs
in genetic & acquired conditions
GENETIC CONDITIONS
• Cystic fibrosis,
• Familial hypercholesterolemia,
• A-1-AT deficiency
APOPTOSIS: ER STRESS
ACCUMULATION OF MISFOLDED PROTEINS
ACQUIRED [ENVIRONMENTAL] CONDITIONS
• aging
• mutations
• chronic nutritional deficiency
• oxygen deficiency
• infections
Present in Neurodegenerative diseases like
Alzheimer & Parkinson disease
APOPTOSIS: ER STRESS
ACCUMULATION OF MISFOLDED PROTEINS
• This leads to decrease in protein synthesis &
increase in chaperon synthesis resulting in
decreased levels of misfolded proteins
• When these adaptations fail, misfolded
proteins accumulate in ER leading to ER
stress
• ER stress activates caspases leading to
apoptosis via mitochondrial pathway
APOPTOSIS: IMMUNOLOGY
Self-Reactive Lymphocytes
• Lymphocytes capable of recognizing self
antigens are normally produced in all
individuals.
• If these lymphocytes encounter self
antigens, they (lymphocytes) die by
apoptosis via death receptor pathway
[CD95/ Fas]
APOPTOSIS: IMMUNOLOGY
Cytotoxic T Lymphocyte
• Cytotoxic T lymphocytes (CTLs)
recognize foreign antigens presented
on the surface of infected host cells
and tumor cells.
• Upon activation, CTL granule
proteases called granzymes enter
the target cells
APOPTOSIS: IMMUNOLOGY
Cytotoxic T Lymphocyte
• Granzymes cleave proteins at aspartate
residues and are able to activate cellular
caspases.
• In this way, the CTL kills target cells by
directly inducing the effector phase of
apoptosis, without engaging
mitochondria or death receptors.
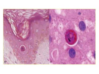
MORPHOLOGY 0F APOPTOSIS
• Cell shrinkage
• Chromatin
condensation
• Formation of
cytoplasmic blebs
and apoptotic bodies
• Phagocytosis of
apoptotic cells or cell
bodies usually by
macrophages.
NECROSIS Vs APOPTOSIS
ETIOLOGY PATHOLOGICAL PHYSIOLOGICAL AS WELL
AS PATHOLOGICAL
PATHOGENESIS CELL MEMBRANE DAMAGE
RESULTING IN LEAKAGE OF
CONTENTS, does not
require energy
DEGRADATION OF
CELLULAR CONTENTS WITH
FORMATION OF APOPTOTIC
BODIES, requires energy
MORPHOLOGY 5 TYPES DEPENDING ON
ETIOLOGY, LIKE CASEOUS,
COAGULATIVE, OTHERS
FORMATION OF APOPTOTIC
BODIES
No of cells effected
Cell size
Cell membrane
Nucleus
Cellular contents
several
Increased
Broken
Pyknosis, karyorrhexis,
karyolysis
Digested , leak out
single
Decreased
Intact
Fragmented
Intact, may be degraded, do
not leak out
TISSUE REACTION INFLAMMATION NO INFLAMMATION
AUTOLYSIS
• Autolysis means self digestion
• Destruction of cell by self enzymes, usually
lysosomal
• Usually this process occurs in injured & dying
cells
ESSAY QS
• Write the causes, bio chemical features,
mechanisms and examples of apoptosis .
Differentiate between Necrosis and Apoptosis

APOPTOSIS

  • 1.
    PA 2.4 DESCRIBE ANDDISCUSS CELL DEATH, TYPE & MECHANISM, NECROSIS, APOPTOSIS, DIFFERENCES BETWEEN NECROSIS & APOPTOSIS AUTOLYSIS Dr IRA BHARADWAJ MCI TEACHER ID: PAT 2300569 KUHS FACULTY ID: M21512
  • 2.
    TEXTBOOK REFRENCES • ROBBINSBASIC PATHOLOGY • HARSH MOHAN TEXTBOOK OF PATHOLOGY • OTHER STANDARD REFRENCES
  • 3.
    SLO • TYPES OFCELL DEATH • DEFINITION OF APOPTOSIS • ETIOLOGY OF APOPTOSIS • PATHOGENESIS OF APOPTOSIS • BIOCHEMICAL CHANGES IN APOPTOSIS • LAB DX OF APOPTOSIS
  • 4.
    SLO • EXAMPLES OFAPOPTOSIS • MORPHOLOGY OF APOPTOSIS • DIFFERNCES BETWEEN NECROSIS & APOPTOSIS • AUTOLYSIS
  • 5.
    CELL DEATH TYPES • NECROSIS[already discussed] • APOPTOSIS • AUTOLYSIS
  • 7.
    APOPTOSIS DEFINITION Regulated (programmed) celldeath, to remove unwanted & irreparably damaged cells with minimal host reaction There is no leakage of cell contents. Activated cellular enzymes degrade nuclear & cytoplasmic proteins resulting in fragmentation of cell contents enclosed
  • 8.
    APOPTOSIS DEFINITION by intact butbiochemically altered cell membrane to form apoptotic bodies which are rapidly phagocytosed without inflammation Necrosis & apoptosis may coexist - necroptosis
  • 9.
    APOPTOSIS ETIOLOGY PHYISIOLOGICAL – removalof cells at the end of life span & limit no of cells in proliferating tissues. • Embryogenesis (programmed cell death) • Involution of hormone dependent tissues eg menstruation, post lactation breast • Cell loss in proliferating tissues eg, bone marrow
  • 10.
    APOPTOSIS ETIOLOGY • Elimination ofcells after their use is over eg neutrophils at end of inflammation, lymphocytes at end of immune response • Elimination of self reactive lymphocytes, • Cytotoxic T lymphocytes kill cells by apoptosis
  • 11.
    APOPTOSIS ETIOLOGY PATHOLOGICAL • Remove genetically/ irreparably damaged cells without inflammation • Cell injury in viral infections ( HIV ) • Apoptosis of cells in organ with slowly developing duct obstruction
  • 12.
    APOPTOSIS ETIOLOGY • DNA damageby radiation, drugs, hypoxia, temperature extremes may damage cells directly / ROS to induce apoptosis/necrosis • Excess of misfolded proteins leading to ER stress
  • 13.
    APOPTOSIS PATHOGENESIS Activation of enzymes– caspases (cystine proteases that cleave proteins after aspartic residue) by • Mitochondrial (intrinsic) pathway • Death receptor (extrinsic) pathway • Common pathway
  • 14.
    APOPTOSIS PATHOGENESIS OTHER MECHANISMS OFAPOPTOSIS: • Calcium directly activates caspases & increases mitochondrial permeability, • ROS – protein & DNA damage • CYTOTOXIC T LYMPHOCYTES- secrete granzymes which directly activate executioner caspase [common pathway]
  • 15.
    PATHOGENESIS OF APOPTOSIS MITOCHONDRIAL(INTRINSIC)PATHWAY Bcl-2 family (about 20 proteins) • Sensor proteins - BH3 activated by etiology • Proapoptotic proteins –Bak, Bax increased • Anti apoptotic proteins – Bcl-2, Bcl- x1 decreased
  • 16.
    PATHOGENESIS OF APOPTOSIS MITOCHONDRIAL(INTRINSIC)PATHWAY Bak & Bax - affects permeability of mitochondrial membrane – to form channels for escape of: • Proteins: proapoptotic & inhibitors of anti apoptotic factors in cytoplasm • Cytochrome C: activate caspase 9 (initiator) Mitochondrial pathway is the commonest mechanism of apoptosis. Mitochondria have important role in both necrosis & apoptosis
  • 18.
    PATHOGENESIS OF APOPTOSIS DEATHRECEPTOR ( EXTRINSIC ) PATHWAY • Cell surface has Death Receptors for TNF & Fas (CD95) • FasL present on activated TL & cytotoxic T lymphocytes bind to Fas on cell membrane • Activate caspase 8 (initiator) • Activates BcL2 family (proapoptotic - Bid ) leading to apoptosis via mitochondrial pathway also
  • 19.
    PATHOGENESIS OF APOPTOSIS DEATHRECEPTOR ( EXTRINSIC ) PATHWAY • FLIP – anti caspase, blocks DR pathway, viruses produce FLIP like chemical to ensure cell survival of infected cells • Death receptor pathway is used for removal of cells by cytotoxic TL & self reactive TL
  • 20.
    PATHOGENESIS OF APOPTOSIS COMMONPATHWAY • Caspase 8 & 9 ( INITIATOR CASPASES ) • Activate caspase 3&6 ( EXECUTIONER CASPASES ) , these • Cleave DNA, nucleoproteins and cytoskeleton, resulting in • Fragmentation of cells • Each fragment is surrounded by cell membrane & is ka apoptotic body
  • 22.
    PATHOGENESIS OF APOPTOSIS APOPTOTICBODIES • Apoptotic bodies are degraded contents of cells, bound by cell membrane • Biochemical changes in cell membrane induce phagocytosis by tissue macrophages & other phagocytic cells without inflammation
  • 23.
    PATHOGENESIS OF APOPTOSIS CLEARANCEOF APOPTOTIC BODIES • In normal cells phosphatidylserine is present on the inner leaflet of the plasma membrane, but in apoptotic cells this phospholipid "flips" out and is expressed on the outer layer of the membrane, where it is recognized by macrophages. • Cells that are dying by apoptosis also secrete soluble factors that recruit phagocytes
  • 24.
    BIOCHEMICAL CHANGES INAPOPTOSIS • Proteolysis of cytoskeleton due to breakdown of protein cross linkages • Fragmentation of nucleus by nuclease enzyme • Flipping of phosphatidylserine from inner surface of cell membrane to outer surface of membrane , this attracts phagocytic cells • In some cases trombospondin appears on surface of apoptotic bodies , this attracts phagocytes
  • 25.
    RESEARCH LAB DxOF APOPTOSIS • ANNEXIN V ASSAY – this dye binds to phosphatidylserine • CHROMATIN CONDENSATION – seen in H&E stain & other special nuclear stains like Feulgen , and fluorescent stain (acridine orange) • AGROSE GEL ELECTROPHORESIS – fragmented DNA shows step ladder pattern • ACTIVATED CASPASES & CYTOCHROME C ASSAY • FLOW CYTOMETRY – shows rapid shrinkage of cells
  • 26.
    APOPTOSIS EXAMPLES • GROWTH FACTORDEPRIVATION • DNA DAMAGE • ACCUMALATION OF MISFOLDED PROTEINS ( ER STRESS ) • IMMUNE SYSTEM : Self reactive lymphocytes Cytotoxic t lymphocytes
  • 27.
    APOPTOSIS GROWTH FACTOR DEPRIVATION SEENIN • Hormone dependent cells • Lymphocytes not stimulated by antigens • Decrease /absence of growth factors • APOPTOSIS BY MITOCHONDRIAL PATHWAY – increase proapoptotic factors & decrease anti apoptotic factors
  • 28.
    APOPTOSIS DNA DAMAGE • Exposureof cells to radiation , chemicals [chemotherapeutic agents] & other causes induces DNA damage • When DNA is damaged, the p53 protein accumulates in cells. • p53 first arrests the cell cycle (at the G1 phase) to allow for repair of DNA • If DNA is repaired cell returns to normal state
  • 29.
    APOPTOSIS DNA DAMAGE • IfDNA is not repaired, p53 triggers apoptosis, mainly by stimulating synthesis of pro-apoptotic Bcl-2 proteins • Apoptosis occurs via mitochondrial pathway
  • 30.
    APOPTOSIS DNA DAMAGE • Whenp53 is mutated or absent (as it is in certain cancers), it is incapable of inducing apoptosis, so that cells with damaged DNA are allowed to survive. • In such cells, the DNA damage may result in mutations or translocations that lead to neoplastic transformation [cancer]
  • 31.
    APOPTOSIS: ER STRESS ACCUMULATIONOF MISFOLDED PROTEINS • Normal protein synthesis requires folding of proteins in a specific manner by chaperons in ER • Misfolded proteins are removed by ubiquitin – protease pathway
  • 32.
    APOPTOSIS: ER STRESS ACCUMULATIONOF MISFOLDED PROTEINS Accumulation of misfolded proteins in ER occurs in genetic & acquired conditions GENETIC CONDITIONS • Cystic fibrosis, • Familial hypercholesterolemia, • A-1-AT deficiency
  • 33.
    APOPTOSIS: ER STRESS ACCUMULATIONOF MISFOLDED PROTEINS ACQUIRED [ENVIRONMENTAL] CONDITIONS • aging • mutations • chronic nutritional deficiency • oxygen deficiency • infections Present in Neurodegenerative diseases like Alzheimer & Parkinson disease
  • 34.
    APOPTOSIS: ER STRESS ACCUMULATIONOF MISFOLDED PROTEINS • This leads to decrease in protein synthesis & increase in chaperon synthesis resulting in decreased levels of misfolded proteins • When these adaptations fail, misfolded proteins accumulate in ER leading to ER stress • ER stress activates caspases leading to apoptosis via mitochondrial pathway
  • 35.
    APOPTOSIS: IMMUNOLOGY Self-Reactive Lymphocytes •Lymphocytes capable of recognizing self antigens are normally produced in all individuals. • If these lymphocytes encounter self antigens, they (lymphocytes) die by apoptosis via death receptor pathway [CD95/ Fas]
  • 36.
    APOPTOSIS: IMMUNOLOGY Cytotoxic TLymphocyte • Cytotoxic T lymphocytes (CTLs) recognize foreign antigens presented on the surface of infected host cells and tumor cells. • Upon activation, CTL granule proteases called granzymes enter the target cells
  • 37.
    APOPTOSIS: IMMUNOLOGY Cytotoxic TLymphocyte • Granzymes cleave proteins at aspartate residues and are able to activate cellular caspases. • In this way, the CTL kills target cells by directly inducing the effector phase of apoptosis, without engaging mitochondria or death receptors.
  • 38.
    MORPHOLOGY 0F APOPTOSIS •Cell shrinkage • Chromatin condensation • Formation of cytoplasmic blebs and apoptotic bodies • Phagocytosis of apoptotic cells or cell bodies usually by macrophages.
  • 40.
    NECROSIS Vs APOPTOSIS ETIOLOGYPATHOLOGICAL PHYSIOLOGICAL AS WELL AS PATHOLOGICAL PATHOGENESIS CELL MEMBRANE DAMAGE RESULTING IN LEAKAGE OF CONTENTS, does not require energy DEGRADATION OF CELLULAR CONTENTS WITH FORMATION OF APOPTOTIC BODIES, requires energy MORPHOLOGY 5 TYPES DEPENDING ON ETIOLOGY, LIKE CASEOUS, COAGULATIVE, OTHERS FORMATION OF APOPTOTIC BODIES No of cells effected Cell size Cell membrane Nucleus Cellular contents several Increased Broken Pyknosis, karyorrhexis, karyolysis Digested , leak out single Decreased Intact Fragmented Intact, may be degraded, do not leak out TISSUE REACTION INFLAMMATION NO INFLAMMATION
  • 41.
    AUTOLYSIS • Autolysis meansself digestion • Destruction of cell by self enzymes, usually lysosomal • Usually this process occurs in injured & dying cells
  • 42.
    ESSAY QS • Writethe causes, bio chemical features, mechanisms and examples of apoptosis . Differentiate between Necrosis and Apoptosis