Ankle Fracture
Nguyễn Văn Tiến
Giải phẫu
1. Xương
• Gọng chày mác được cấu tạo bởi:
• Mắt cá trong
• Mắt cá ngoài
• Trần chày
Giải phẫu
2. Hệ thống dây chằng
Hệ thống dây chằng bên ngoài
• DC sên mác sau
• DC gót mác
• DC Sên mác trước
Hệ thống dây chằng denta
• DC chày sên sau
• DC chày gót
• DC chày ghe
• DC chày sên trước
Giải phẫu
Syndesmotic
• DC chày mác trước
• DC chày mác sau
• Màng liên cốt
Lâm sàng
1. Bệnh sử
• Nguyên nhân chấn thương
• Cơ chế chấn thương
• Tư thế bàn chân khi bị chấn thương
2. Triệu chứng
• Nhìn: Sưng nề, bầm tím, biến dạng, phỏng nước, vết thương
hở
• Sờ: Xác định điểm đau, mạch mu, mạch chày sau
• Các tổn thương khác
Cận lâm sàng
Ottawa
• Các phim cần chụp bao gồm
• AP View
• Lateral view
• Motise view
• Chụp phim xquang cổ chân khi:
• Đau vùng A
• Hoặc đau vùng B
• Hoặc không thực hiện được 4
bước đi
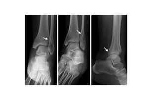
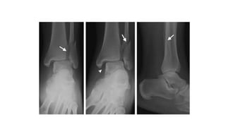
Đọc XQuang
AP
•Tibiofibular clear space : >5mm là bất
thường--> gợi ý tổn thương syndesmosis
•Tibiofibular overlap : <10mm là bất thường-
-> gợi ý tổn thương syndesmosis
•Talar tilt : > 2mm được xem như bất thường
Lateral view
• Gãy mắt cá sau
• Xương sên bán trật ra trước hoặc sau so với xương chày
• Di lệch và chồng ngắn của xương mác
• Các tổn thương phối hợp nếu có
Mortise view
•Chụp AP khi cổ chân xoay trong 10-15 độ
Mortise view
• Các bất thường cần tìm kiếm:
• Medial joint space widening >
4mm --> gợi ý tổn thương dây
chằng denta
• Talocural angle <8 or > 15 độ ( khi
so sánh với chân đối diện)
• Ti/Fi overlap <1 mm
Một số phương tiện CĐHA khác
• Stress Views
• Gravity
• Manual
• CT
• Đánh giá mặt khớp
• Đánh giá tình trạng mắt cá
sau
• MRI
• Tổn thương gân và dây
chằng
• Tổn thương Syndesmotis
Vững hay không vững ?
Sự vững của khớp cổ chân
Khớp cổ chân được ví như 1 chiếc nhẫn. Bao gồm:
• Trân chày
• Mắt cá trong
• Mắt cá ngoài
• Dây chằng denta
• Dây chằng bên ngoài
• Syndesmotis
• Xương gót
• Tổn thương 1 trong các thành
phần trên thường còn vững
• Tổn thương >=2 sẽ mất vững
Vai trò của syndesmotis
• Vai trò của syndesmotis trong sự vững của khớp thể hiện rõ trên mặt
phẳng axial
• Đứt cả dây chằng chày mác trước và sau mất vững
• Đứt dây chăng tương đương với bong chổ bám của nó
1. Tư thế
• Ngữa ( Supination) chiếm 80%,
căng mặt ngoài
• Sấp ( Pronation) chiếm 20%,
căng mặt trong
• Chấn thương sẽ khởi phát ở mặt
căng cổ chân
• Có 2 lực cơ bản gây nên các tổn
thương ở gãy vùng cổ chân
• Lực kéo ( Pull off): thường gây
nên gãy ngang
• Lực đẩy ( Push off): thường gây
nên gãy chéo hoặc gãy thẳng dọc
Lực gây tổn thương
Phân độ Lauge Hansen
Gồm 4 loại
• PER
• PA
• SA
• SER
• Tư thế cổ chân khi bị tổn
thương
• S: supination ( ngữa)
• P: pronation ( sấp)
• Hướng của lực tổn thương
• ER: external rotation ( xoay
ngoài)
• A : Adduction ( khép)
SA ( Ngữa khép)
• SA1: Đứt hệ thống dây chằng bên ngoài hoặc nhổ mắt cá ngoài đoạn
dưới Syndesmosis
• SA2: Gãy mắt cá trong theo hướng thẳng đứng hoặc chéo
SER ( Ngữa- xoay ngoài)
• SER1: Đứt d.c chày mác trước
• SER2: Gãy xương mác theo đường chéo hoặc
chéo xoắn
• SER3: Đứt d.c chày mác sau hoặc nhổ mắt cá
sau
• SER4: Đứt d.c denta hoặc nhổ mắt cá trong
gãy ngang
 SER4 có thể gây đứt dây chằng denta không trên phim
Supination-External Rotation
Stage 2: Stable
Standard: Closed management
Lateral Injury: classic posterosuperioranteroinferior fibula fracture
Medial Injury: Stability maintained
Kristensen Acta Orthop Scand 1985
Supination-External Rotation
Stage 4: Unstable
Lateral Injury: classic posterosuperioranteroinferior fibula fracture
Medial Injury: medial malleolar fracture &*/or deltoid ligament injury
Standard: Surgical management *Tornetta JBJS 2000
SER-2 vs SER-4?
• Michelson. Clin Orthop Rel Res 2001
• DeAngelis Poster OTA 2003
• Tornetta. Poster AAOS 2004
• McConnell JBJS 2004
• Egol JBJS 2004
• Schock Presentation OTA 2006
• Zeni Presentation OTA 2006
• Park J Orthop Trauma 2006
Mục tiêu: đánh giá tổn thương dây chằng denta [mất
vững]
METHOD: MEDIAL TENDERNESS
MEDIAL SWELLING
MEDIAL ECCHYMOSIS
STRESS VIEWS- GRAVITY OR MANUAL
versus
Schock et al. JBJS 89B: 1055-59, 2007.
Strees test
• Có nên chỉ định mổ khi strees test +
• Kenneth tiến hành nghiên cứu trên 21 BN có Strees test
+
• Chụp MRI cho tất cả các bệnh nhân đó
• 19 BN chỉ bị tổn thương 1 phần dây chằng denta sâu
bảo tồn
• 2 bệnh nhân tổn thương hoàn toàn dây chằng denta
sâu phẫu thuật
• Tất cả 21 bênh nhân sau điều trị đều cho kết quả tốt
OTAAnnual Meeting. Foot & Ankle Section. Paper #24, 2006.
PA ( Sấp- Khép)
• PA1: Gãy ngang mắt cá trong ( dưới
syndesmosis) hoặc đứt dây chằng denta
• PA2: Đứt dây chằng chày mác trước
• PA3: Gãy mắt cá ngoài( gãy chéo )
PER ( sấp- xoay ngoài)
• PER1: Gãy ngang mắt cá trong or
đứt dây chằng bên trong
• PER2: Đứt d.c syndesmosis trước
• PER3:  rách màng interosseous (
màng liên cốt) lan lên trên gây
gãy xương mác trên cao
• PER4: Vỡ mắt cá sau
PHÂN LOẠI WEBER
Weber A=SA
Weber B= SER
Weber C= PER or PA
Phân độ Weber và Lauge Hansen giản lược
Tổng kết
• MẤT VỮNG Ở:
• WEBER A G.Đ 2
• WEBER B G.Đ 3-4
• WEBER C G.Đ 3-4
Phân loại AO
Phân loại AO
Phân loại AO
Đọc Xquang theo xương mác
Một số ví dụ
Điều trị
Tình trạng
mô mềm
Sự di
lệch và
độ vững
Tình trạng
chung của
bệnh nhân
Mục tiêu
• Đảm bảo sự liền xương
• Đảm bảo sự hoạt động và chức năng bình thường cho khớp cổ
chân mà không gây đau
Điều trị
• Chỉ định điều trị bảo tồn
• Gãy không di lệch
• Gãy vững
• Bênh có các bệnh lý CCĐ
phẫu thuật
• Chỉ định mổ
• Gãy không vững
• Mặt khớp cập kênh
• Nắn kín thất bại
Lựa chọn thời điểm phẫu thuật
• Carrage và cộng sự 1991 thực hiện nghiên cứu về tỷ lệ biến chứng sau mổ
1991
• Mổ > 24h 44%
• Mổ <24h 5.3%
• Nếu tình trạng phần mềm không tốt, có thể trì hoãn 7-10 ngày
• Mổ sau 2 tuần thường cho kết quả xấu
Garo hay không garo
Maffulli et al 1993
Tq Number
of
patients
Op time Possible
infection
Frank
infection
Yes 40 41 +/- 9 11 3
No 40 53 +/- 12 4 0
Các nguyên tắc KHX
• Mắt cá ngoài
• Mắt cá trong
• Mắt cá sau
• Đánh giá độ vững khớp chày mác dưới
• Cố định khớp chày mác nếu kiểm tra trong mổ mất vững
Gãy mắt cá ngoài
• Nắn hoàn hảo
• Chiều dài
• Xoay
• Gọng chày mác
• Cố định
• Lag screw và nẹp trung hòa
• Nẹp bắc cầu
• Vít ngang gọng chày mác
• Lag screw
Vít lag screw
• Tornetta và Creevy KHX mác bằng lag screw cho 47 BN<50 tuổi
• Tất cả BN đều liễn xương tốt và không gây biến chừng về phần mềm
• Chỉ có 1 BN: đau mặt ngoài cổ chân
• McKenna at el
Lag screw Lag screw và nẹp trung hòa
Mất kết quả nắn 0 ca 0 ca
Nhiễm trùng vết mổ 0 ca 3 ca
Lồi lên của dụng cụ 125 50 %
AOFAS scores at a mean of
12 months
Tương đồng Tương đồng
Vít lag screw
• Gãy xương mác đơn giản kiểu chéo
• Còn đủ chổ để bắt được 2 vít
• Chất lượng xương tốt
Nẹp chống trượt
• Gãy xương mác chéo từ trước dưới lên sau trên
• Xương loãng
• Ưu điểm:
• Bóc tách ít
• Giảm được sự lồi của nẹp lên da
• Cố định tốt mãnh gãy đầu xa
• Tránh được biến chứng vít đầu xa đi vào khớp
• Nhược điểm
• Tổn thương gân xương mác ( nghiên cứu của weber)
Gãy mắt cá trong
• Vít xốp
• Nẹp nâng đỡ và vít lagscrew
• Đinh chỉ thép
Gãy mắt cá trong
• Vít xốp 4.0mm ren ngắn
• Vuông góc với đường gãy
• Ép hai mặt gãy
• Néo ép với kim và chỉ thép
• Mãnh gãy mắt cá trong nhỏ
Gãy mắt cá trong
• Vít xốp
• Nẹp nâng đỡ
Gãy mắt cá sau
25-30% điện tích mặt khớp
Di lệch >2 mm
Có thể bắt 1 hoặc 2 vít xốp
Cố định syndesmotis
• Khi nào cần cố định Syndesmotis?
• Khi gọng chày mác mất vững
• Hoặc loại tổn thương có nguy cơ gây mất vững
Các yếu tố gợi ý mất vững trên Xquang
• Phim AP
• Tibiofibular overlap : <10mm
• Tibiofibular clear space : >5mm
• Phim Mortise
• Medial joint space widening > 4mm
• Trong các trường hợp nghi ngờ đặc biệt có gãy xương mác( SER2 và
SER4) cần chụp phim strees view để kiểm tra Medial wide
• CT, MRI nếu cần thiết
• Quan trọng nhất vẫn là kiểm tra trong mổ bằng nghiệm pháp cotton
• Dùng móc xương đặt vào mắt cá ngoài ngang mức khớp chày mác dưới
và kéo nhẹ ra ngoài, quan sát cổ chân dưới màn tăng sang hoặc chụp X
quang trong mổ.
• Nếu Tibiofibular clear space : >5mm hoặc xương mác di lệch trên 3mm
trở lên thì có chỉ định bắt vít chày mác
Bắt vít cố định gọng chày mác
• Vít này là vít giữ (không phải là
vít nén ép)
• Có thể dùng 1 hoặc 2 vít
• Chịn vít 3.5mm hoặc 4.5mm
• Đi qua 3 hay 4 vỏ xương
• Tháo vít cố định gọng chày mác
trước khi cho bệnh nhân đi
chống chân chịu sức nặng cơ
thể
Ankle fracture

Ankle fracture

  • 1.
  • 2.
    Giải phẫu 1. Xương •Gọng chày mác được cấu tạo bởi: • Mắt cá trong • Mắt cá ngoài • Trần chày
  • 3.
    Giải phẫu 2. Hệthống dây chằng Hệ thống dây chằng bên ngoài • DC sên mác sau • DC gót mác • DC Sên mác trước Hệ thống dây chằng denta • DC chày sên sau • DC chày gót • DC chày ghe • DC chày sên trước
  • 4.
    Giải phẫu Syndesmotic • DCchày mác trước • DC chày mác sau • Màng liên cốt
  • 5.
    Lâm sàng 1. Bệnhsử • Nguyên nhân chấn thương • Cơ chế chấn thương • Tư thế bàn chân khi bị chấn thương 2. Triệu chứng • Nhìn: Sưng nề, bầm tím, biến dạng, phỏng nước, vết thương hở • Sờ: Xác định điểm đau, mạch mu, mạch chày sau • Các tổn thương khác
  • 6.
    Cận lâm sàng Ottawa •Các phim cần chụp bao gồm • AP View • Lateral view • Motise view • Chụp phim xquang cổ chân khi: • Đau vùng A • Hoặc đau vùng B • Hoặc không thực hiện được 4 bước đi
  • 7.
  • 8.
    AP •Tibiofibular clear space: >5mm là bất thường--> gợi ý tổn thương syndesmosis •Tibiofibular overlap : <10mm là bất thường- -> gợi ý tổn thương syndesmosis •Talar tilt : > 2mm được xem như bất thường
  • 9.
    Lateral view • Gãymắt cá sau • Xương sên bán trật ra trước hoặc sau so với xương chày • Di lệch và chồng ngắn của xương mác • Các tổn thương phối hợp nếu có
  • 10.
    Mortise view •Chụp APkhi cổ chân xoay trong 10-15 độ
  • 11.
    Mortise view • Cácbất thường cần tìm kiếm: • Medial joint space widening > 4mm --> gợi ý tổn thương dây chằng denta • Talocural angle <8 or > 15 độ ( khi so sánh với chân đối diện) • Ti/Fi overlap <1 mm
  • 12.
    Một số phươngtiện CĐHA khác • Stress Views • Gravity • Manual • CT • Đánh giá mặt khớp • Đánh giá tình trạng mắt cá sau • MRI • Tổn thương gân và dây chằng • Tổn thương Syndesmotis
  • 13.
    Vững hay khôngvững ? Sự vững của khớp cổ chân Khớp cổ chân được ví như 1 chiếc nhẫn. Bao gồm: • Trân chày • Mắt cá trong • Mắt cá ngoài • Dây chằng denta • Dây chằng bên ngoài • Syndesmotis • Xương gót • Tổn thương 1 trong các thành phần trên thường còn vững • Tổn thương >=2 sẽ mất vững
  • 14.
    Vai trò củasyndesmotis • Vai trò của syndesmotis trong sự vững của khớp thể hiện rõ trên mặt phẳng axial • Đứt cả dây chằng chày mác trước và sau mất vững
  • 15.
    • Đứt dâychăng tương đương với bong chổ bám của nó
  • 16.
    1. Tư thế •Ngữa ( Supination) chiếm 80%, căng mặt ngoài • Sấp ( Pronation) chiếm 20%, căng mặt trong • Chấn thương sẽ khởi phát ở mặt căng cổ chân
  • 17.
    • Có 2lực cơ bản gây nên các tổn thương ở gãy vùng cổ chân • Lực kéo ( Pull off): thường gây nên gãy ngang • Lực đẩy ( Push off): thường gây nên gãy chéo hoặc gãy thẳng dọc Lực gây tổn thương
  • 18.
    Phân độ LaugeHansen Gồm 4 loại • PER • PA • SA • SER • Tư thế cổ chân khi bị tổn thương • S: supination ( ngữa) • P: pronation ( sấp) • Hướng của lực tổn thương • ER: external rotation ( xoay ngoài) • A : Adduction ( khép)
  • 19.
    SA ( Ngữakhép) • SA1: Đứt hệ thống dây chằng bên ngoài hoặc nhổ mắt cá ngoài đoạn dưới Syndesmosis • SA2: Gãy mắt cá trong theo hướng thẳng đứng hoặc chéo
  • 21.
    SER ( Ngữa-xoay ngoài) • SER1: Đứt d.c chày mác trước • SER2: Gãy xương mác theo đường chéo hoặc chéo xoắn • SER3: Đứt d.c chày mác sau hoặc nhổ mắt cá sau • SER4: Đứt d.c denta hoặc nhổ mắt cá trong gãy ngang  SER4 có thể gây đứt dây chằng denta không trên phim
  • 23.
    Supination-External Rotation Stage 2:Stable Standard: Closed management Lateral Injury: classic posterosuperioranteroinferior fibula fracture Medial Injury: Stability maintained Kristensen Acta Orthop Scand 1985
  • 24.
    Supination-External Rotation Stage 4:Unstable Lateral Injury: classic posterosuperioranteroinferior fibula fracture Medial Injury: medial malleolar fracture &*/or deltoid ligament injury Standard: Surgical management *Tornetta JBJS 2000
  • 25.
    SER-2 vs SER-4? •Michelson. Clin Orthop Rel Res 2001 • DeAngelis Poster OTA 2003 • Tornetta. Poster AAOS 2004 • McConnell JBJS 2004 • Egol JBJS 2004 • Schock Presentation OTA 2006 • Zeni Presentation OTA 2006 • Park J Orthop Trauma 2006 Mục tiêu: đánh giá tổn thương dây chằng denta [mất vững] METHOD: MEDIAL TENDERNESS MEDIAL SWELLING MEDIAL ECCHYMOSIS STRESS VIEWS- GRAVITY OR MANUAL
  • 26.
    versus Schock et al.JBJS 89B: 1055-59, 2007.
  • 28.
    Strees test • Cónên chỉ định mổ khi strees test + • Kenneth tiến hành nghiên cứu trên 21 BN có Strees test + • Chụp MRI cho tất cả các bệnh nhân đó • 19 BN chỉ bị tổn thương 1 phần dây chằng denta sâu bảo tồn • 2 bệnh nhân tổn thương hoàn toàn dây chằng denta sâu phẫu thuật • Tất cả 21 bênh nhân sau điều trị đều cho kết quả tốt OTAAnnual Meeting. Foot & Ankle Section. Paper #24, 2006.
  • 29.
    PA ( Sấp-Khép) • PA1: Gãy ngang mắt cá trong ( dưới syndesmosis) hoặc đứt dây chằng denta • PA2: Đứt dây chằng chày mác trước • PA3: Gãy mắt cá ngoài( gãy chéo )
  • 31.
    PER ( sấp-xoay ngoài) • PER1: Gãy ngang mắt cá trong or đứt dây chằng bên trong • PER2: Đứt d.c syndesmosis trước • PER3:  rách màng interosseous ( màng liên cốt) lan lên trên gây gãy xương mác trên cao • PER4: Vỡ mắt cá sau
  • 33.
  • 34.
  • 35.
  • 36.
    Phân độ Webervà Lauge Hansen giản lược
  • 37.
    Tổng kết • MẤTVỮNG Ở: • WEBER A G.Đ 2 • WEBER B G.Đ 3-4 • WEBER C G.Đ 3-4
  • 38.
  • 39.
  • 40.
  • 41.
    Đọc Xquang theoxương mác
  • 43.
  • 48.
    Điều trị Tình trạng mômềm Sự di lệch và độ vững Tình trạng chung của bệnh nhân
  • 49.
    Mục tiêu • Đảmbảo sự liền xương • Đảm bảo sự hoạt động và chức năng bình thường cho khớp cổ chân mà không gây đau
  • 50.
    Điều trị • Chỉđịnh điều trị bảo tồn • Gãy không di lệch • Gãy vững • Bênh có các bệnh lý CCĐ phẫu thuật • Chỉ định mổ • Gãy không vững • Mặt khớp cập kênh • Nắn kín thất bại
  • 51.
    Lựa chọn thờiđiểm phẫu thuật • Carrage và cộng sự 1991 thực hiện nghiên cứu về tỷ lệ biến chứng sau mổ 1991 • Mổ > 24h 44% • Mổ <24h 5.3% • Nếu tình trạng phần mềm không tốt, có thể trì hoãn 7-10 ngày • Mổ sau 2 tuần thường cho kết quả xấu
  • 52.
    Garo hay khônggaro Maffulli et al 1993 Tq Number of patients Op time Possible infection Frank infection Yes 40 41 +/- 9 11 3 No 40 53 +/- 12 4 0
  • 53.
    Các nguyên tắcKHX • Mắt cá ngoài • Mắt cá trong • Mắt cá sau • Đánh giá độ vững khớp chày mác dưới • Cố định khớp chày mác nếu kiểm tra trong mổ mất vững
  • 54.
    Gãy mắt cángoài • Nắn hoàn hảo • Chiều dài • Xoay • Gọng chày mác • Cố định • Lag screw và nẹp trung hòa • Nẹp bắc cầu • Vít ngang gọng chày mác • Lag screw
  • 55.
    Vít lag screw •Tornetta và Creevy KHX mác bằng lag screw cho 47 BN<50 tuổi • Tất cả BN đều liễn xương tốt và không gây biến chừng về phần mềm • Chỉ có 1 BN: đau mặt ngoài cổ chân • McKenna at el Lag screw Lag screw và nẹp trung hòa Mất kết quả nắn 0 ca 0 ca Nhiễm trùng vết mổ 0 ca 3 ca Lồi lên của dụng cụ 125 50 % AOFAS scores at a mean of 12 months Tương đồng Tương đồng
  • 56.
    Vít lag screw •Gãy xương mác đơn giản kiểu chéo • Còn đủ chổ để bắt được 2 vít • Chất lượng xương tốt
  • 57.
    Nẹp chống trượt •Gãy xương mác chéo từ trước dưới lên sau trên • Xương loãng • Ưu điểm: • Bóc tách ít • Giảm được sự lồi của nẹp lên da • Cố định tốt mãnh gãy đầu xa • Tránh được biến chứng vít đầu xa đi vào khớp • Nhược điểm • Tổn thương gân xương mác ( nghiên cứu của weber)
  • 58.
    Gãy mắt cátrong • Vít xốp • Nẹp nâng đỡ và vít lagscrew • Đinh chỉ thép
  • 59.
    Gãy mắt cátrong • Vít xốp 4.0mm ren ngắn • Vuông góc với đường gãy • Ép hai mặt gãy • Néo ép với kim và chỉ thép • Mãnh gãy mắt cá trong nhỏ
  • 60.
    Gãy mắt cátrong • Vít xốp • Nẹp nâng đỡ
  • 61.
    Gãy mắt cásau 25-30% điện tích mặt khớp Di lệch >2 mm Có thể bắt 1 hoặc 2 vít xốp
  • 62.
    Cố định syndesmotis •Khi nào cần cố định Syndesmotis? • Khi gọng chày mác mất vững • Hoặc loại tổn thương có nguy cơ gây mất vững Các yếu tố gợi ý mất vững trên Xquang • Phim AP • Tibiofibular overlap : <10mm • Tibiofibular clear space : >5mm • Phim Mortise • Medial joint space widening > 4mm
  • 63.
    • Trong cáctrường hợp nghi ngờ đặc biệt có gãy xương mác( SER2 và SER4) cần chụp phim strees view để kiểm tra Medial wide • CT, MRI nếu cần thiết • Quan trọng nhất vẫn là kiểm tra trong mổ bằng nghiệm pháp cotton • Dùng móc xương đặt vào mắt cá ngoài ngang mức khớp chày mác dưới và kéo nhẹ ra ngoài, quan sát cổ chân dưới màn tăng sang hoặc chụp X quang trong mổ. • Nếu Tibiofibular clear space : >5mm hoặc xương mác di lệch trên 3mm trở lên thì có chỉ định bắt vít chày mác
  • 64.
    Bắt vít cốđịnh gọng chày mác • Vít này là vít giữ (không phải là vít nén ép) • Có thể dùng 1 hoặc 2 vít • Chịn vít 3.5mm hoặc 4.5mm • Đi qua 3 hay 4 vỏ xương • Tháo vít cố định gọng chày mác trước khi cho bệnh nhân đi chống chân chịu sức nặng cơ thể