Prof NB Venkateswarlu
Head, IT, GVPCOE
Visakhapatnam
venkat_ritch@yahoo.com
www.gvpcoeedu.org
First Let me say
Hearty Welcome
to you All
Also, let me
congrachulate
Mr. Nerukonda V Prasad
Chairman, ANITS,
Mr. V. Tapovardhan,
Secretary/Correspondent
Prof R. Ramakrishna Rao,
Director, ANITS
Prof. R. Govardhan Rao
Principal
my good old friend
Prof K. Appa Rao,
Head, CSE and Convener
Mr. B Tirumal Rao &
Mrs. R. Bramarambha
Co-Conveners
and other Organizers
Overview of D.I.P
Session I
Application/Research areas in I.P
• Optical Character Recognition
• Alternative technologies
such a Lip movement recog, Brialle readers
• Security
• Compression
• Image Data bases and retrieval, mining
• Real time monitoring
• Forensic applications
Application/Research areas in I.P
• Medical Imaging
• Astronomy
• Manufacturing
• Robotics
• Monitoring and surveillance
• Remote Sensing
• Calibrating lenses
“Sarvendriyanam
Nayanam
Pradhanam”
The visual information is the
prime reason for our intelligent
actions!!.
Is there any relation
between Computer
Graphics and Image
Processing?
What is digital Image?
• Converting visual information into digital data
such that there is one to one correspondence.
Involves sampling and quantization like any
other sensory applications.
Barber in Chennai used
I.P to decide which hair
styles suits to his
customer.
A Typical Image Processing
System contains
Image
Acquisition
Image Pre-
Processing
Image Acquisition
Image En-
hancement
Image Seg-
mentation
Image Featu-
re Extraction
Image Class-
fication
Image Unde-
rstanding
Types of Images
• 2D Images
• 3D Images (CAT images)
• 2 1/2D Images (Range
(LIDAR) Images)
• Tactile Images
D.I.P vs Electromagnetic Spectrum
• Gamma Ray Imaging –PET
• X Ray Imaging – angiograms, board test
• UV - Flourcense microscopy, lithography
• Visible and infrared- Remote Sensing
• Microwave band – SAR
• Radio band – MRI
• Ultrasound - Medicine
Thermal Imaging – Testing a
Battery
Image Acquisition
What is meant by Resolution?
Pixel
Gray level
Band
RGB, R ,G and B bands
False Color Images
Mixing Low and High resolution
images. See increased sharpness
Pre-Processing
• Noise elimination
• Geometric corrections
• Cloud corrections in the remote sensing
Top:- Original, Mean Filtered
Bottom:- Gaussian and Median Filtered
Mean Filtering
• Window size can vary
and also weights can
change
• Gaussian and Mean
filtering retains low
frequencies
components while
blurring edges
Median Filtering
• Computationally intensive
• Eliminates blurs and retains edges
• Introduces speckle noise
• After median filtering histogram peaks
becomes narrower such that thresholding
becomes easy
Histogram before and after median
filtering
of the features removed. Example
in the following figure the arrows
points to the objects which are
removed if the window size is 5
Conditional Median – A threshold is
used – Example: original, window
of 5 and conditional median with
threshold of 50
Median Filtering of Color Images –
median of average of R+G+B
Hit or Miss Median Filter is used to
remove speckle noise and scan line
noise in surveillance cameras
Eliminating Background Noise from
improper illumination conditions
Selecting background areas and
fitting background surface and then
adjusting the image
Eliminating noise in Video Seq.
Image Averaging
Enhancement Techniques
Histogram Stretching
a[m,n] = original brightness
b[m,n]= output brightness
B= number of bits for each pixel
Modified Contrast Stretching
Histogram Stretching
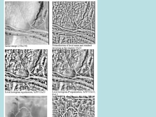
Local contrast Equalization
P-histogram Equalization
Local Variance Equalization
Joining multiple images. In the
following example first 3 principal
components are added to generate
the following image
Session - II
Edge/Boundary
Detection
Edge Detection – Horizontal
Derivative
Embossing Filter or Directional
Derivative
Original, directional, Laplacian,
Sharpening
Sobel and Prewitt Operators
means first isolating the edges in
an image, amplifying them, and
then adding them back into the
image. Examination of Figure 33
shows that the Laplacian is a
mechanism for isolating the gray
level edges.
Original Laplacian-enhanced
The term k is the amplifying term
and k > 0. The effect of this
technique is shown in Figure 48.
The Laplacian used to produce
Image
Segmentation
&
BinarizationMain objective is dividing image into
meaningful groups. Edge detection can be
also called as one type of segmentation.
Binarization is the process of dividing image
into background and foreground. Widely
used in OCR.
segmenting the foreground from
background. In this section we will
two of the most common
techniques--thresholding and edge
finding-- and we will present
techniques for improving the quality
of the segmentation result. It is
important to understand that:
* there is no universally applicable
segmentation technique that will
work for all images, and,
* no segmentation technique is
Simple Two level Thresholding
• This technique is based upon a simple
concept. A parameter called the
brightness threshold is chosen and
applied to the image a[m,n] as follows:
Local Methods Are very much
needed
• Kittler’s Method
• Method proposed by Me.
Clustering Algorithms – K-means
Region based
Region agglomeration
Region division
Use of Simulated Images
• Testing purpose we need simulated
images.
• Especially for testing transform based
methods such as filters etc.,.
• Also for calibrating lenses etc., simulated
images are used
Session III
Feature Extraction
and Classification
Feature Extraction
• Shape based
• Contour based
• Area based
• Transform based
• Projections
• Signature
• Problem specific
Perimeter, length etc. First
Convex hull is extracted
Skeletons
Averaged Radial density
Radial Basis functions
Rose Plots
Chain Codes
Crack code - 32330300
Signature
Bending Energy
Chord Distribution
Fourier Descriptors
Structure
Grammar Based Recognition
• Language rules are used
Splines
Horizontal and vertical projections
Elongated ness
Convex hull
Compactness
Hidden Markov Models
Morphology
Classification/Pattern Recognition
• Statistical
• Syntactical Linguistic
• Discriminant function
• Fuzzy
• Neural
• Hybrid
Patterns
Features (measurements)
Classes
Classification
Training
Training set
Testing set
%correct classification
%mis classification
• Boot strap testing
• Distance based
• Decision surface based
• statistical
Neural Methods
• Non deterministic methods
• Supervised and unsupervised applications
can be used
• Major draw back is their huge simulation
time requirements
• Main advantage is that they can be
realized in embedded system or as a
ASIC
• For recognition problems – Back
propagation network is used.
• For clustering purpose – Kohonen is used,
ART1, ART2.
• For pattern recollection etc – Hopfield
networks are used. Example criminal
identification
• Associative memories can be also used.
• Neurons
• Firing characteristics
• Neural connections
• Learning equation
• No of hidden layers
• No of neurons
• Training by epoch or sample
An example – Digit recognition
Vector coding
Fuzzy Methods
• Possibility and probability
Image Understanding
• Recognition vs understanding
Characteristics of Knowledge-Based
Image Understanding
• Image understanding is a knowledge-based
process. For the several processing steps we
need different kinds of knowledge. Knowledge
can be coded implicitly (procedural knowledge)
or explicitly (declarative knowledge).
• Because of the ill-posed problem of interpreting
images without prior knowledge, image
understanding must consist of data-driven
(bottom-up) methods and model-driven (top-
down) processes.
• Image understanding is a goal-directed activity.
The control of a single operation - like focusing,
coarse and fine analysis - must depend on the
image´s current context.
Expert Systems for Image Processing and
Analysis
• There are two kinds of knowledge-based
systems for image understanding:
• Expert Systems for Image Processing and
Analysis (ESIPA) which deal with low-level
processing up to segmentation.
• Image Understanding Systems (IUS) which have
the symbolic description of an image as their
goal.
• The criteria to distinguish between those two are
their tasks (use given methods/find new ones),
their knowledge sources (not domain
specific/domain specific) and their objectives
(eg. "find all squares"/"find the tumor"). In this
chapter I'm concentrating on ESIPAs and in the
next on IUSs.
Image Document Understanding
• Vast archives of information, handwritten and machine printed on
paper, have accumulated over centuries. Advances in computer and
communication technologies now offer drastically improved ways to
store, retrieve, and distribute their contents. Billions of paper
documents wait to be made accessible via electronic media.
• Document image understanding and retrieval research seeks to
discover methods for automatically extracting and organizing
information from handwritten and machine printed paper documents
containing text, line drawings, maps, music scores, etc. Its
characteristic problems include some of the earliest attacked by
computer-vision pioneers. The field has long been distinguished by
close and productive ties between the academic and commercial
communities. Today, document analysis research supports a viable
industry which, stimulated by the growing demand for digital
archives, the proliferation of inexpensive personal document
scanners, and the ubiquity of FAXes, is poised for rapid growth. But
the performance of these technologies still lags far behind human
abilities. Many technical problems, critically important on both
theoretical and practical grounds, remain open.
• We are pleased to offer a collection of state-of-the-art papers
Computer Vision Application
• Robotics
Motion Image Applications
• Compression
• Understanding
• Robotics
• Bandwidth reduction
Correspondence problem
Practical examples
cloud tracking from a sequence of satellite meteorological data
cloud character and motion prediction,
motion analysis for autonomous road vehicles,
automatic satellite location by detecting specific points of interest on the
Earth's surface
city traffic analysis
many military applications.
Most complex methods work even if both camera and objects are moving.
Session IV
Image Fusion
Image Mosaicing
• Mosaicing Involves
1. Acquiring images
correcting applying cropping, resizing,
flipping
2. Identifying the tie points
3. Identifying the match
4. Joining the images
5. Final adjustments such as tonal
adjustments among the images
Image Mosaicking
Ready to Join Images
Marking a Tie Point
Joined Image
Image Registration – Need in
Image Fusion
Image Compression
For less storage space
For conserving bandwidth
For ease of retrieval
What is the basis for
compression?
Redundancy!!
Autocorrelation at
various levels – intra
pixel, intra band, intra
frame etc.
• Scalar vs block
• Lossy vs lossless
• Uniform and non-uniform
• Predictive encoding
• Spatial domain vs frequency domain
• Vector Quantization
• JPEG
• Wavelets
• Fractals
Scalar – DPCM,ADPCM, Huffman
2D Prediction
Principles of Transform coding
JPEG Coding
JPEG Decoding
Original Image, Difference with
JPEG image, Hue channel before
and after JPEG compression
Progressive Compression
Compression of Video Frames
Principal Component Analysis
Parallel Computers for D.I.P
• Why do need?
• Fastness or for real time performance
• Especially for real time monitoring with
images we need the parallel computers.
• Coarse/fine graininess
• CLIP4
• DAP
• ILLIAC4
• MPP
• Connection Machine
• Systolic Arrays
• How much benefit we get very much
depends on the algorithm and parallel HW
architecture.
• There is no guarantee that an efficient
serial algorithm is going to be efficient
parallel algorithm. And also, vice versa
may not be true always.
• Most important thing is mapping on the
parallel HW.
• Complexity very much requires
communication cost to be included.
Medical Imaging
• CT
• X-RAY
• PET
• MRI
• SPECT
Reconstruction Tomography
Non destructive Testing
• Space bourne materials
SPECT
• Digital medical imaging systems such as computed tomography (CT), magnetic resonance imaging (MRI), and
single-photon emission computed tomography (SPECT) are being used in large numbers in hospitals. Further,
direct high-resolution digital imaging systems are becoming available for application to chest and breast imaging.
Increasing use of these digital medical imaging modalities, digitization of x-ray film images for computer
processing or archival, and high demands on speed and lossless performance of image archival and
communication systems in the medical environment have placed increasing emphasis on the development of
lossless image coding and compression techniques with improved performance. High-resolution medical images
possess characteristics different from those of other commonly-encountered images; in particular, they tend to
possess high correlation in regions corresponding to anatomical or radiographic features, which could be
exploited for data compression. We have developed a number of reversible or lossless image data compression
schemes using combinations of many techniques such as two-dimensional linear predictive coding, transform
coding, interpolative coding, Huffman coding, arithmetic coding, Lempel-Ziv coding, and Peano-scanning
techniques. We have also developed new methods of computing and encoding two-dimensional linear prediction
and transform coefficients.
• In order to exploit the presence of high correlation within radiographic structures, we have recently developed a
segmentation-based coding scheme which decomposes a given image into a number of adaptive regions; the
image is then broken down into a discontinuity index part, an error image part, and a seed data part, which are
then encoded using the JBIG (Joint Bi-level Image experts Group) standard. An innovative combination of JBIG
procedures with the F-transform have also been developed to achieve improved lossless compression.
• We have evaluated the performance of the techniques with a large set of test images and high-resolution digitized
medical images of up to 4096x4096 10-bit pixels. Data reduction achieved has been very good, from 10 bits to 2.9
bits for medical images, and from 8 bits to has been very good, from 10 bits to 2.9 bits for medical has been very
good, from 10 bits to 2.9 bits for medical has been very good, from 10 bits to 2.9 bits for medical images, and
from 8 bits ts for non-medical images. The techniques should find applications in medical image archival and
communication systems.
Astronomy
Remote Sensing and D.I.P
• Sarswati River
• Rama’s setu
• Water areas identification
• Identifying forest fires
• Identifying urban growth
• Coast line changes
• An ant movement can be identified
• Satellites such as Landsat, SPOT, IRS
• NIMBUS
• SAR, SLAR
• 242 channels HIRIS, IVIRIS satellites
• Air bourn plane images
• Here also training and classification
• Survey of India maps made in 1937 we
are using. Very difficult to prepare survey,
geological survey maps. Satellite data is
very useful.
Security Application
• System Security – Finger Prints – BC
Hostels
• Eye pupils for Ration Cards
• System security using face recognition
Alibaba 40 Thieves
Example
Multimedia Security
• Who has issued multimedia content
• Who has sent
• When it is sent
• Is it modified
• Where it is got modified
• What was it before modifications
Multimedia Hiding
• No extra headers are needed
• Synchronizations problems are less
• Self authenticating and correcting
Examples
• Bin Laden example
• Stegonagraphy – Pure, Private, Public
Optical Character Recognition
• Printed
• Hand Printed
• Hand written
• Printed digits
• Hand printed digits
• Signatures
• Main applications are
• Postal sorting
• Office Automation
• Reading machine development
• Banking
• Helping disabled
• Form processing
• Examination evaluations
Main difficulties
• Paper quality
• Paper orientation
• Paper background
• Variety of fonts
• Different style of writings
• Scanner errors (discontinuities)
• Breaking the documents into lines, words
and characters
Main difficulties
• Different inks
• Ink spreading
• Age of the paper
• Real time requirement
• Size variations
• Poor writing (kids writing which does not
have structure)
Online recognition
Offline recognition
Approach
Sample data collection
Pre-processing
Training set
Classification set
System development
Realizing in HW
Alternative Technologies
• Reading machines
• Chairs with Ultra sound sensors
Scalable Vector Graphic Format
SVGF is non-visual extension of a digital
image format. The aim of this study is to
allow blind computer users to have access
to the semantic and spatial content of
pictures available on the Internet.
Braille, verbal descriptions etc., are
automatically displayed
Session V
Hints For Research
What
Is
Research
What is research?
3 depressions and
6 papers!!!!
I don’t believe in “Practice Makes
Man Perfect”. Rather I believe in
“Frustration Makes Man Perfect”.
What is research -Cont
“First, they ignore you.
Then they laugh at you.
Then they fight you.
Then you win."
--- Mahatma Gandhi
What is research - Cont
Don’t think the work should be conclusive.
Tomorrow if you prove that Newton is
wrong and apple can go up also. You will
be awarded Ph.d
What is research -Cont
What is the research and what is
Development?
Development means we are sure of the
outcome.
Research: We are not sure of the final
outcome. Also when do you get also we
do not know.
What is research -Cont
If you dream an Idea today
night and you will see the
same published in a Journal
next day. Don’t feel sorry. It
indicates that your thoughts
are correct. Your progress is
correct. Not only seven people
like you exists in world else
where. But also they may think
similar to you.
What is research - Cont
Do proper Literature survey.
Prepare a state of art report
and give a seminar on it and
invite people (experts) in
that area and have their
feed back.
What is research - Cont
Make sure that the
examiners will not
point out that the
work is already done
else where.
What is research - Cont
Think. Think. Think.
You will get the answer.
--- Prof J. Venkata Ramana
What is research - Cont
Scribble your ideas on a
piece of paper and file.
A British Example of
weather forecasting. Just
because of data storage.
What is research - Cont
• Current Contents
• Abstracts
• Journals
• Magazines
• Survey Articles
• State of art Proceedings
• Technical reports
• White Papers
What is research - Cont
• Wikipedia
• Bogs
• Patent reports
• Make sure you don’t forget acknowledging
the material you have used
• See the copyrights also
What is research - Cont
Learn a Foreign Language –
Especially, we computer science
people should learn probably
Chinese, Japanese, etc,.
Use the help of JNU, Delhi and
CEFL, Hyderabad for
Translation works.
What is research - Cont
What way you can present your work/ideas?
1. Letters
2. Articles
3. Communications
4. Papers
5. Bogs
6. White papers
What is research - Cont
Make sure that you will do the following.
1. Proper English while writing article
2. Proper title
3. Proper abstract
4. Follow Electronics submissions
5. Maintain your website
6. Make sure that your article is available in your
web site after acceptance.
7. Make sure that you will apply for patent
What is research - Cont
Attend the Conferences/workshops/courses
in your subject area. You will get into
contact with experts in your area. You can
give feed of this to your Supervisor. They
may become your examiners. Preferably
invite them to your college for a talk and
that time have your supervisor and
discuss about your work. This will help you
reduce time to get reports after
submission.
What is research in I.P?
I compare it as research in Chemistry where
we will have some set of Unit Operations
(reactions such as titrations) which when
we apply on some chemical compounds
we will get some final product (s).
Similarly, I.P research can be also said as
having finding set of Algorithms and
sequence of algorithm’s which gives
expected results in an application.
Peep into MATLAB
• It is Versatile
• It is in Wide Use
• It is standardized
• It is portable
• It is programmable
• Supports many toolboxes
• Excellent IDE
• Unix Style command interface
• We can work directly at command prompt
like PL/SQL
• We can execute a set of MATLAB
commands like Shell or Batch script files.
• We can write our own re-usable programs
or functions called M-Functions.
• Excellent debugging, tracing facilities are
available
To read and display
image array=imread(‘filename’);
Ex:
f=imread(‘seg.jpg’);
imshow(image array);
Ex:imshow(f);
Note: It can support variety of image formats such
as JPG, TIF, PCX etc.,. It assumes by default
they are available in C.W.D
imshow(f, G);
G=no of Levels
Exporting Images
imwrite(image array, ‘filename’);
imwrite(f, ‘xxx.jpg’);
Also supports many
formats
Image Information
size(f)
whos f
imfinfo
pixval
Image Conversions
im2uint8(image array)
im2unit16(image array)
im2double(image array)
im2bw(image array)
mat2gray(image array)
Image Operations
logical(image array)
islogical(image array)
imadjust(image array)
imcomplement(image
array)
Histogram Operations
H=imhist(image array)
Bar Chart
h=[1,7,8,6,5,5,4,4,4,9];
h1=(1:10:100);
hor=1:10:100
bar(hor,h,h1)
image array=histeq(image array)
g=ContrastStretchNorm(double(f));
g,f are image arrays
image array=fft2(image array)
Script File Execution
w=[2 -1 -1; -1 2 -1; -1 -1 2];
f=imread('sem.jpg');
g=imfilter(double(f),w);
imshow(g);
Let script file name is FIL.m.
We can it by typing its name
Function Execution
Let function file name is
imcircle.m.
The file contains
function s=imcircle(n) etc
We can use it
F=imcircle(300)
At command prompt.
Free D.I.P SW’s
• VIPS
• Khoros
• FIPS
• CIPS
• Image magic
• GIMP
Commercial Image Processing SW
• Accuvision
• MIDAS
• ERDAS
• SACIMAGE
Popular Image Data bases
• SUNY database for OCR
• LILO
• Leeds database for faces
• More accessible version
• ICS > CVRL > Links > Image databases>
•
•
•
• Image Data Bases
• Pointers to Public Image Databases
• DARPA Image Understanding datasets (motion,
stereo, medical, aerial, range, ...)
• VASC Image Database at CMU (motion, stereo,
texture, outdoor)
• Imagery Archive at MIT Media Lab (mostly textures)
• Vision Image Archive at UMass (sequences, stereo,
medical, indoor, outdoor, road, underwater, aerial,
satelite, space, and more)
• Imagery Archive at Teleos
• Medical Image Databases from Penn State
Journals related to D.I.P
• Image Processing and Computer Vision
Journals:
• Computer Vision and Image Understanding
• Digital Signal Processing: A Review Journal
• Electronic Letters on Computer Vision and Image A
• Foundations and Trends in Computer Graphics and
• IEE Proceedings - Vision, Image and Signal Process
• IEEE Journals Overview (IEEE Stylefiles)
• IEEE Manuscript Central
• IEEE Transactions on Image Processing
• Click a book link to view all the available details:
· Scalable Parallel Computing: Technology, Architecture, Programming
· Parallel and Distributed Computing Handbook
· Message Passing Server Internals
· Parallel Processing (State of the Art Report, Series 15, No 4, Infotech)
· Scientific Computing : An Introduction with Parallel Computing
· The Helios Parallel Operating System
· Massively Parallel Models of Computation: Distributed Parallel Processing in Artificial Intelligence and Optimization (Ellis
Horwood Series in Artif)
· Fundamentals of Parallel Computing
· Limits to Parallel Computation: P-Completeness Theory
· Parallel Optimization: Theory, Algorithms, and Applications (Numerical Mathematics and Scientific Computation)
· Concurrent Systems: An Integrated Approach to Operating Systems, Database, and Distributed Systems (2nd Edition)
· Software Design Methods for Concurrent and Real-Time Systems
· An Introduction to Parallel Computing: Design and Analysis of Algorithms, Second Edition
· Natural and Artificial Parallel Computation
· Execution Models of Prolog for Parallel Computers
· Parallel Computational Fluid Dynamics: Implementations and Results (Scientific and Engineering Computation)
· Massively Parallel Artificial Intelligence
· Advances in Distributed and Parallel Knowledge Discovery
· Perceptrons - Expanded Edition: An Introduction to Computational Geometry
· Explorations in Parallel Distributed Processing - Macintosh version: A Handbook of Models, Programs, and Exercises
· Introduction to Parallel and Vector Solution of Linear Systems (Frontiers in Computer Science)
· Introduction to Parallel Processing: Algorithms and Architectures (Plenum Series in Computer Science)
· Parallel-Vector Equation Solvers for Finite Element Engineering
· Hierarchical Scheduling in Parallel and Cluster Systems (Series in Computer Science (Kluwer
Academic/Plenum Publishers).)
· Logics and Models of Concurrent Systems (NATO Asi
Series, Advanced Science Institutes Series, Series F, Computer and Systems Sciences, Vol 13)
· Seminar on Concurrency (Lecture Note in Computer Science, Vol. 197)
· The Analysis of Concurrent Systems (Lecture Notes in Computer Science, Vol 207)
· Conpar 86 (Lecture Notes in Computer Science, Vol 237)
· Wopplot 86: Parallel Processing: Logic Organization, and Technology (Lecture Notes in Computer Science, Vol 253)
·
Algebra of Communicating Processes: Proceedings of Acp94, the First Workshop on the Algebra of Communicating Processes, Utr
·
Bibliography of Parallel
Architectures and Image
Processing

Anits dip

  • 1.
    Prof NB Venkateswarlu Head,IT, GVPCOE Visakhapatnam venkat_ritch@yahoo.com www.gvpcoeedu.org
  • 2.
    First Let mesay Hearty Welcome to you All
  • 3.
    Also, let me congrachulate Mr.Nerukonda V Prasad Chairman, ANITS, Mr. V. Tapovardhan, Secretary/Correspondent
  • 4.
    Prof R. RamakrishnaRao, Director, ANITS Prof. R. Govardhan Rao Principal
  • 5.
    my good oldfriend Prof K. Appa Rao, Head, CSE and Convener Mr. B Tirumal Rao & Mrs. R. Bramarambha Co-Conveners and other Organizers
  • 6.
  • 7.
    Application/Research areas inI.P • Optical Character Recognition • Alternative technologies such a Lip movement recog, Brialle readers • Security • Compression • Image Data bases and retrieval, mining • Real time monitoring • Forensic applications
  • 8.
    Application/Research areas inI.P • Medical Imaging • Astronomy • Manufacturing • Robotics • Monitoring and surveillance • Remote Sensing • Calibrating lenses
  • 9.
    “Sarvendriyanam Nayanam Pradhanam” The visual informationis the prime reason for our intelligent actions!!.
  • 10.
    Is there anyrelation between Computer Graphics and Image Processing?
  • 11.
    What is digitalImage? • Converting visual information into digital data such that there is one to one correspondence. Involves sampling and quantization like any other sensory applications. Barber in Chennai used I.P to decide which hair styles suits to his customer.
  • 12.
    A Typical ImageProcessing System contains Image Acquisition Image Pre- Processing Image Acquisition Image En- hancement Image Seg- mentation Image Featu- re Extraction Image Class- fication Image Unde- rstanding
  • 13.
    Types of Images •2D Images • 3D Images (CAT images) • 2 1/2D Images (Range (LIDAR) Images) • Tactile Images
  • 14.
    D.I.P vs ElectromagneticSpectrum • Gamma Ray Imaging –PET • X Ray Imaging – angiograms, board test • UV - Flourcense microscopy, lithography • Visible and infrared- Remote Sensing • Microwave band – SAR • Radio band – MRI • Ultrasound - Medicine
  • 15.
    Thermal Imaging –Testing a Battery
  • 16.
    Image Acquisition What ismeant by Resolution? Pixel Gray level Band
  • 24.
    RGB, R ,Gand B bands
  • 25.
  • 26.
    Mixing Low andHigh resolution images. See increased sharpness
  • 27.
    Pre-Processing • Noise elimination •Geometric corrections • Cloud corrections in the remote sensing
  • 28.
    Top:- Original, MeanFiltered Bottom:- Gaussian and Median Filtered
  • 29.
    Mean Filtering • Windowsize can vary and also weights can change • Gaussian and Mean filtering retains low frequencies components while blurring edges
  • 30.
    Median Filtering • Computationallyintensive • Eliminates blurs and retains edges • Introduces speckle noise • After median filtering histogram peaks becomes narrower such that thresholding becomes easy
  • 31.
    Histogram before andafter median filtering
  • 32.
    of the featuresremoved. Example in the following figure the arrows points to the objects which are removed if the window size is 5
  • 33.
    Conditional Median –A threshold is used – Example: original, window of 5 and conditional median with threshold of 50
  • 34.
    Median Filtering ofColor Images – median of average of R+G+B
  • 35.
    Hit or MissMedian Filter is used to remove speckle noise and scan line noise in surveillance cameras
  • 36.
    Eliminating Background Noisefrom improper illumination conditions
  • 37.
    Selecting background areasand fitting background surface and then adjusting the image
  • 38.
    Eliminating noise inVideo Seq. Image Averaging
  • 39.
    Enhancement Techniques Histogram Stretching a[m,n]= original brightness b[m,n]= output brightness B= number of bits for each pixel
  • 40.
  • 41.
  • 43.
  • 45.
  • 46.
  • 49.
    Joining multiple images.In the following example first 3 principal components are added to generate the following image
  • 50.
  • 51.
    Edge Detection –Horizontal Derivative
  • 52.
    Embossing Filter orDirectional Derivative
  • 54.
  • 55.
  • 56.
    means first isolatingthe edges in an image, amplifying them, and then adding them back into the image. Examination of Figure 33 shows that the Laplacian is a mechanism for isolating the gray level edges. Original Laplacian-enhanced
  • 57.
    The term kis the amplifying term and k > 0. The effect of this technique is shown in Figure 48. The Laplacian used to produce
  • 58.
    Image Segmentation & BinarizationMain objective isdividing image into meaningful groups. Edge detection can be also called as one type of segmentation. Binarization is the process of dividing image into background and foreground. Widely used in OCR.
  • 59.
    segmenting the foregroundfrom background. In this section we will two of the most common techniques--thresholding and edge finding-- and we will present techniques for improving the quality of the segmentation result. It is important to understand that: * there is no universally applicable segmentation technique that will work for all images, and, * no segmentation technique is
  • 60.
    Simple Two levelThresholding • This technique is based upon a simple concept. A parameter called the brightness threshold is chosen and applied to the image a[m,n] as follows:
  • 62.
    Local Methods Arevery much needed • Kittler’s Method • Method proposed by Me.
  • 63.
  • 64.
  • 65.
    Use of SimulatedImages • Testing purpose we need simulated images. • Especially for testing transform based methods such as filters etc.,. • Also for calibrating lenses etc., simulated images are used
  • 67.
  • 68.
    Feature Extraction • Shapebased • Contour based • Area based • Transform based • Projections • Signature • Problem specific
  • 69.
    Perimeter, length etc.First Convex hull is extracted
  • 70.
  • 72.
  • 73.
  • 74.
  • 75.
  • 76.
    Crack code -32330300
  • 77.
  • 78.
  • 79.
  • 80.
  • 81.
  • 82.
    Grammar Based Recognition •Language rules are used
  • 83.
  • 84.
  • 85.
  • 86.
  • 87.
  • 88.
  • 89.
  • 90.
    Classification/Pattern Recognition • Statistical •Syntactical Linguistic • Discriminant function • Fuzzy • Neural • Hybrid
  • 91.
  • 92.
    • Boot straptesting • Distance based • Decision surface based • statistical
  • 94.
    Neural Methods • Nondeterministic methods • Supervised and unsupervised applications can be used • Major draw back is their huge simulation time requirements • Main advantage is that they can be realized in embedded system or as a ASIC
  • 95.
    • For recognitionproblems – Back propagation network is used. • For clustering purpose – Kohonen is used, ART1, ART2. • For pattern recollection etc – Hopfield networks are used. Example criminal identification • Associative memories can be also used.
  • 96.
    • Neurons • Firingcharacteristics • Neural connections • Learning equation • No of hidden layers • No of neurons • Training by epoch or sample
  • 97.
    An example –Digit recognition
  • 98.
  • 99.
  • 100.
  • 102.
    Characteristics of Knowledge-Based ImageUnderstanding • Image understanding is a knowledge-based process. For the several processing steps we need different kinds of knowledge. Knowledge can be coded implicitly (procedural knowledge) or explicitly (declarative knowledge). • Because of the ill-posed problem of interpreting images without prior knowledge, image understanding must consist of data-driven (bottom-up) methods and model-driven (top- down) processes. • Image understanding is a goal-directed activity. The control of a single operation - like focusing, coarse and fine analysis - must depend on the image´s current context.
  • 103.
    Expert Systems forImage Processing and Analysis • There are two kinds of knowledge-based systems for image understanding: • Expert Systems for Image Processing and Analysis (ESIPA) which deal with low-level processing up to segmentation. • Image Understanding Systems (IUS) which have the symbolic description of an image as their goal. • The criteria to distinguish between those two are their tasks (use given methods/find new ones), their knowledge sources (not domain specific/domain specific) and their objectives (eg. "find all squares"/"find the tumor"). In this chapter I'm concentrating on ESIPAs and in the next on IUSs.
  • 104.
    Image Document Understanding •Vast archives of information, handwritten and machine printed on paper, have accumulated over centuries. Advances in computer and communication technologies now offer drastically improved ways to store, retrieve, and distribute their contents. Billions of paper documents wait to be made accessible via electronic media. • Document image understanding and retrieval research seeks to discover methods for automatically extracting and organizing information from handwritten and machine printed paper documents containing text, line drawings, maps, music scores, etc. Its characteristic problems include some of the earliest attacked by computer-vision pioneers. The field has long been distinguished by close and productive ties between the academic and commercial communities. Today, document analysis research supports a viable industry which, stimulated by the growing demand for digital archives, the proliferation of inexpensive personal document scanners, and the ubiquity of FAXes, is poised for rapid growth. But the performance of these technologies still lags far behind human abilities. Many technical problems, critically important on both theoretical and practical grounds, remain open. • We are pleased to offer a collection of state-of-the-art papers
  • 105.
  • 106.
    Motion Image Applications •Compression • Understanding • Robotics • Bandwidth reduction
  • 109.
    Correspondence problem Practical examples cloudtracking from a sequence of satellite meteorological data cloud character and motion prediction, motion analysis for autonomous road vehicles, automatic satellite location by detecting specific points of interest on the Earth's surface city traffic analysis many military applications. Most complex methods work even if both camera and objects are moving.
  • 110.
  • 111.
    Image Mosaicing • MosaicingInvolves 1. Acquiring images correcting applying cropping, resizing, flipping 2. Identifying the tie points 3. Identifying the match 4. Joining the images 5. Final adjustments such as tonal adjustments among the images
  • 112.
  • 113.
  • 114.
  • 115.
  • 117.
    Image Registration –Need in Image Fusion
  • 118.
    Image Compression For lessstorage space For conserving bandwidth For ease of retrieval
  • 120.
    What is thebasis for compression? Redundancy!! Autocorrelation at various levels – intra pixel, intra band, intra frame etc.
  • 121.
    • Scalar vsblock • Lossy vs lossless • Uniform and non-uniform • Predictive encoding • Spatial domain vs frequency domain • Vector Quantization • JPEG • Wavelets • Fractals
  • 122.
  • 123.
  • 125.
  • 127.
  • 128.
  • 131.
    Original Image, Differencewith JPEG image, Hue channel before and after JPEG compression
  • 132.
  • 133.
  • 134.
  • 135.
    Parallel Computers forD.I.P • Why do need? • Fastness or for real time performance • Especially for real time monitoring with images we need the parallel computers. • Coarse/fine graininess
  • 136.
    • CLIP4 • DAP •ILLIAC4 • MPP • Connection Machine • Systolic Arrays
  • 137.
    • How muchbenefit we get very much depends on the algorithm and parallel HW architecture. • There is no guarantee that an efficient serial algorithm is going to be efficient parallel algorithm. And also, vice versa may not be true always.
  • 138.
    • Most importantthing is mapping on the parallel HW. • Complexity very much requires communication cost to be included.
  • 139.
    Medical Imaging • CT •X-RAY • PET • MRI • SPECT
  • 140.
  • 144.
    Non destructive Testing •Space bourne materials
  • 145.
    SPECT • Digital medicalimaging systems such as computed tomography (CT), magnetic resonance imaging (MRI), and single-photon emission computed tomography (SPECT) are being used in large numbers in hospitals. Further, direct high-resolution digital imaging systems are becoming available for application to chest and breast imaging. Increasing use of these digital medical imaging modalities, digitization of x-ray film images for computer processing or archival, and high demands on speed and lossless performance of image archival and communication systems in the medical environment have placed increasing emphasis on the development of lossless image coding and compression techniques with improved performance. High-resolution medical images possess characteristics different from those of other commonly-encountered images; in particular, they tend to possess high correlation in regions corresponding to anatomical or radiographic features, which could be exploited for data compression. We have developed a number of reversible or lossless image data compression schemes using combinations of many techniques such as two-dimensional linear predictive coding, transform coding, interpolative coding, Huffman coding, arithmetic coding, Lempel-Ziv coding, and Peano-scanning techniques. We have also developed new methods of computing and encoding two-dimensional linear prediction and transform coefficients. • In order to exploit the presence of high correlation within radiographic structures, we have recently developed a segmentation-based coding scheme which decomposes a given image into a number of adaptive regions; the image is then broken down into a discontinuity index part, an error image part, and a seed data part, which are then encoded using the JBIG (Joint Bi-level Image experts Group) standard. An innovative combination of JBIG procedures with the F-transform have also been developed to achieve improved lossless compression. • We have evaluated the performance of the techniques with a large set of test images and high-resolution digitized medical images of up to 4096x4096 10-bit pixels. Data reduction achieved has been very good, from 10 bits to 2.9 bits for medical images, and from 8 bits to has been very good, from 10 bits to 2.9 bits for medical has been very good, from 10 bits to 2.9 bits for medical has been very good, from 10 bits to 2.9 bits for medical images, and from 8 bits ts for non-medical images. The techniques should find applications in medical image archival and communication systems.
  • 149.
  • 150.
    Remote Sensing andD.I.P • Sarswati River • Rama’s setu • Water areas identification • Identifying forest fires • Identifying urban growth • Coast line changes • An ant movement can be identified
  • 151.
    • Satellites suchas Landsat, SPOT, IRS • NIMBUS • SAR, SLAR • 242 channels HIRIS, IVIRIS satellites • Air bourn plane images
  • 152.
    • Here alsotraining and classification • Survey of India maps made in 1937 we are using. Very difficult to prepare survey, geological survey maps. Satellite data is very useful.
  • 153.
    Security Application • SystemSecurity – Finger Prints – BC Hostels • Eye pupils for Ration Cards • System security using face recognition
  • 154.
  • 155.
    Multimedia Security • Whohas issued multimedia content • Who has sent • When it is sent • Is it modified • Where it is got modified • What was it before modifications
  • 156.
    Multimedia Hiding • Noextra headers are needed • Synchronizations problems are less • Self authenticating and correcting Examples • Bin Laden example • Stegonagraphy – Pure, Private, Public
  • 160.
    Optical Character Recognition •Printed • Hand Printed • Hand written • Printed digits • Hand printed digits • Signatures
  • 161.
    • Main applicationsare • Postal sorting • Office Automation • Reading machine development • Banking • Helping disabled • Form processing • Examination evaluations
  • 162.
    Main difficulties • Paperquality • Paper orientation • Paper background • Variety of fonts • Different style of writings • Scanner errors (discontinuities) • Breaking the documents into lines, words and characters
  • 163.
    Main difficulties • Differentinks • Ink spreading • Age of the paper • Real time requirement • Size variations • Poor writing (kids writing which does not have structure)
  • 164.
  • 165.
    Approach Sample data collection Pre-processing Trainingset Classification set System development Realizing in HW
  • 166.
  • 167.
    • Reading machines •Chairs with Ultra sound sensors
  • 168.
    Scalable Vector GraphicFormat SVGF is non-visual extension of a digital image format. The aim of this study is to allow blind computer users to have access to the semantic and spatial content of pictures available on the Internet. Braille, verbal descriptions etc., are automatically displayed
  • 169.
  • 170.
  • 171.
    What is research? 3depressions and 6 papers!!!! I don’t believe in “Practice Makes Man Perfect”. Rather I believe in “Frustration Makes Man Perfect”.
  • 172.
    What is research-Cont “First, they ignore you. Then they laugh at you. Then they fight you. Then you win." --- Mahatma Gandhi
  • 173.
    What is research- Cont Don’t think the work should be conclusive. Tomorrow if you prove that Newton is wrong and apple can go up also. You will be awarded Ph.d
  • 174.
    What is research-Cont What is the research and what is Development? Development means we are sure of the outcome. Research: We are not sure of the final outcome. Also when do you get also we do not know.
  • 175.
    What is research-Cont If you dream an Idea today night and you will see the same published in a Journal next day. Don’t feel sorry. It indicates that your thoughts are correct. Your progress is correct. Not only seven people like you exists in world else where. But also they may think similar to you.
  • 176.
    What is research- Cont Do proper Literature survey. Prepare a state of art report and give a seminar on it and invite people (experts) in that area and have their feed back.
  • 177.
    What is research- Cont Make sure that the examiners will not point out that the work is already done else where.
  • 178.
    What is research- Cont Think. Think. Think. You will get the answer. --- Prof J. Venkata Ramana
  • 179.
    What is research- Cont Scribble your ideas on a piece of paper and file. A British Example of weather forecasting. Just because of data storage.
  • 180.
    What is research- Cont • Current Contents • Abstracts • Journals • Magazines • Survey Articles • State of art Proceedings • Technical reports • White Papers
  • 181.
    What is research- Cont • Wikipedia • Bogs • Patent reports • Make sure you don’t forget acknowledging the material you have used • See the copyrights also
  • 182.
    What is research- Cont Learn a Foreign Language – Especially, we computer science people should learn probably Chinese, Japanese, etc,. Use the help of JNU, Delhi and CEFL, Hyderabad for Translation works.
  • 183.
    What is research- Cont What way you can present your work/ideas? 1. Letters 2. Articles 3. Communications 4. Papers 5. Bogs 6. White papers
  • 184.
    What is research- Cont Make sure that you will do the following. 1. Proper English while writing article 2. Proper title 3. Proper abstract 4. Follow Electronics submissions 5. Maintain your website 6. Make sure that your article is available in your web site after acceptance. 7. Make sure that you will apply for patent
  • 185.
    What is research- Cont Attend the Conferences/workshops/courses in your subject area. You will get into contact with experts in your area. You can give feed of this to your Supervisor. They may become your examiners. Preferably invite them to your college for a talk and that time have your supervisor and discuss about your work. This will help you reduce time to get reports after submission.
  • 186.
    What is researchin I.P? I compare it as research in Chemistry where we will have some set of Unit Operations (reactions such as titrations) which when we apply on some chemical compounds we will get some final product (s). Similarly, I.P research can be also said as having finding set of Algorithms and sequence of algorithm’s which gives expected results in an application.
  • 187.
    Peep into MATLAB •It is Versatile • It is in Wide Use • It is standardized • It is portable • It is programmable • Supports many toolboxes • Excellent IDE • Unix Style command interface
  • 188.
    • We canwork directly at command prompt like PL/SQL • We can execute a set of MATLAB commands like Shell or Batch script files. • We can write our own re-usable programs or functions called M-Functions. • Excellent debugging, tracing facilities are available
  • 189.
    To read anddisplay image array=imread(‘filename’); Ex: f=imread(‘seg.jpg’); imshow(image array); Ex:imshow(f); Note: It can support variety of image formats such as JPG, TIF, PCX etc.,. It assumes by default they are available in C.W.D
  • 190.
  • 191.
    Exporting Images imwrite(image array,‘filename’); imwrite(f, ‘xxx.jpg’); Also supports many formats
  • 192.
  • 193.
    Image Conversions im2uint8(image array) im2unit16(imagearray) im2double(image array) im2bw(image array) mat2gray(image array)
  • 194.
    Image Operations logical(image array) islogical(imagearray) imadjust(image array) imcomplement(image array)
  • 195.
    Histogram Operations H=imhist(image array) BarChart h=[1,7,8,6,5,5,4,4,4,9]; h1=(1:10:100); hor=1:10:100 bar(hor,h,h1)
  • 196.
    image array=histeq(image array) g=ContrastStretchNorm(double(f)); g,fare image arrays image array=fft2(image array)
  • 197.
    Script File Execution w=[2-1 -1; -1 2 -1; -1 -1 2]; f=imread('sem.jpg'); g=imfilter(double(f),w); imshow(g); Let script file name is FIL.m. We can it by typing its name
  • 198.
    Function Execution Let functionfile name is imcircle.m. The file contains function s=imcircle(n) etc We can use it F=imcircle(300) At command prompt.
  • 199.
    Free D.I.P SW’s •VIPS • Khoros • FIPS • CIPS • Image magic • GIMP
  • 200.
    Commercial Image ProcessingSW • Accuvision • MIDAS • ERDAS • SACIMAGE
  • 201.
    Popular Image Databases • SUNY database for OCR • LILO • Leeds database for faces
  • 202.
    • More accessibleversion • ICS > CVRL > Links > Image databases> • • • • Image Data Bases • Pointers to Public Image Databases • DARPA Image Understanding datasets (motion, stereo, medical, aerial, range, ...) • VASC Image Database at CMU (motion, stereo, texture, outdoor) • Imagery Archive at MIT Media Lab (mostly textures) • Vision Image Archive at UMass (sequences, stereo, medical, indoor, outdoor, road, underwater, aerial, satelite, space, and more) • Imagery Archive at Teleos • Medical Image Databases from Penn State
  • 203.
    Journals related toD.I.P • Image Processing and Computer Vision Journals: • Computer Vision and Image Understanding • Digital Signal Processing: A Review Journal • Electronic Letters on Computer Vision and Image A • Foundations and Trends in Computer Graphics and • IEE Proceedings - Vision, Image and Signal Process • IEEE Journals Overview (IEEE Stylefiles) • IEEE Manuscript Central • IEEE Transactions on Image Processing
  • 204.
    • Click abook link to view all the available details: · Scalable Parallel Computing: Technology, Architecture, Programming · Parallel and Distributed Computing Handbook · Message Passing Server Internals · Parallel Processing (State of the Art Report, Series 15, No 4, Infotech) · Scientific Computing : An Introduction with Parallel Computing · The Helios Parallel Operating System · Massively Parallel Models of Computation: Distributed Parallel Processing in Artificial Intelligence and Optimization (Ellis Horwood Series in Artif) · Fundamentals of Parallel Computing · Limits to Parallel Computation: P-Completeness Theory · Parallel Optimization: Theory, Algorithms, and Applications (Numerical Mathematics and Scientific Computation) · Concurrent Systems: An Integrated Approach to Operating Systems, Database, and Distributed Systems (2nd Edition) · Software Design Methods for Concurrent and Real-Time Systems · An Introduction to Parallel Computing: Design and Analysis of Algorithms, Second Edition · Natural and Artificial Parallel Computation · Execution Models of Prolog for Parallel Computers · Parallel Computational Fluid Dynamics: Implementations and Results (Scientific and Engineering Computation) · Massively Parallel Artificial Intelligence · Advances in Distributed and Parallel Knowledge Discovery · Perceptrons - Expanded Edition: An Introduction to Computational Geometry · Explorations in Parallel Distributed Processing - Macintosh version: A Handbook of Models, Programs, and Exercises · Introduction to Parallel and Vector Solution of Linear Systems (Frontiers in Computer Science) · Introduction to Parallel Processing: Algorithms and Architectures (Plenum Series in Computer Science) · Parallel-Vector Equation Solvers for Finite Element Engineering · Hierarchical Scheduling in Parallel and Cluster Systems (Series in Computer Science (Kluwer Academic/Plenum Publishers).) · Logics and Models of Concurrent Systems (NATO Asi Series, Advanced Science Institutes Series, Series F, Computer and Systems Sciences, Vol 13) · Seminar on Concurrency (Lecture Note in Computer Science, Vol. 197) · The Analysis of Concurrent Systems (Lecture Notes in Computer Science, Vol 207) · Conpar 86 (Lecture Notes in Computer Science, Vol 237) · Wopplot 86: Parallel Processing: Logic Organization, and Technology (Lecture Notes in Computer Science, Vol 253) · Algebra of Communicating Processes: Proceedings of Acp94, the First Workshop on the Algebra of Communicating Processes, Utr · Bibliography of Parallel Architectures and Image Processing