SRCE(cor)
•šuplji mišićni organ
•centralni organ kardiovaskularnog sustava
•aktivna pumpa koja pokreće cirkulaciju
Topografija
Topografija
• srčana osa ide od
• GORE DESNO I prema DOLE, LEVO I NAPRED
• 2/3 srca leži ulevo,a 1/3 udesno
TopografijaSRCE je smešteno u prednjem medijastinumu,naleže na dijafragmu.SRCE je smešteno u prednjem medijastinumu,naleže na dijafragmu.
Građa srca
• epicardium
• myocardium
• endocardium
Srčani mišić
Miocardium
Građa srca
• To je šuplji mišićni organ koji prihvata krv dospelu venskim
sudovima nakon čega se ritmičkim kontrakcijama istiskuje u
arterijski system.
• srce je smešteno u sredjem delu donjeg sredogruđa
( mediastinum inferius ).
• Srce ima oblik trostrane piramide na kojem razlikujemo bazu
( basis cordis ) I vrh ( apex cordis )
• . Pored baze I vrha srce ima I tri strane
• Prednja strana srca je okrenuta prema grudnoj kosti I rebrima
pa se zato zove grudno-rebarna strana ( facies sternocostalis )
• Leva strana ( facies pulmonalis ) naleže na levo plućno krilo
( facies pulmonalis ).
• Donja strana srca ( facies diaphragmatica ) naleže na prečagu
• Od veikih krvnih sudova iz srca izlaze plućno stablo ( truncus
pulmonalis ), početno deo aorte ( aorta ascedens ).
• U srce se ulivaju gornja I donja šuplja vena ( v. cava superior et
inferior ), I četiri plućne vene ( vv. pulmonales ).
Srce
• basis cordis
• apex cordis
• facies sternocostalis
• facies diaphragmatica
• margo dexter
• margo sinister –
facies pulmonalis
• sulcus coronarius
• Na spoljašnjoj površini srca se nalaze žlebovi koji označavaju
granicu između pojedinih delova srca
• Najvažniji je venačni žleb
• ( sulcus coronarius )koji označava granicu između pretkomora I
komora
OD venačnog žleba se pruža međukomorni žleb ( sulcus interventricularis anterior )
NA zadnjoj strain srca se nalazi zadnji međukomorski žleb ( sulcus interbentricularis
posterior )
• Desna pretkomora I desna komora čine desnu polovinu srca koja je odvojena
od levog srca pomoću srčane pregrade ( septum cordis ).
• Pretkomora I komora su povezane pretkomorno-komornim otvorom ( ostium
atrioventriculare ).
• Gornji deo srčane pregrade je međupretkomorska pregrada ( septum
interatriale ) a donji deo je međukomorska pregrada ( septum interventriculare )
Srčana šupljina
• Srčana šupljina se sastoji iz četiri dela,
• desne I leve pretkomore ( atrium dextrum et sinistrum ) I
desne I leve komore ( ventricullus dexter et sinister ).
Srčane šupljine
• atrium dextrum
• atrium sinistrum
(septum interatriale)
• Leva pretkomora ( atrium sinistrum ) je oblika kocke.
• U levu pretkomoru se ulivaju četiri plućne vene koje donose oksigenisanu
krv iz pluća.
• Na njenom prednjem zidu se nalazi leni pretkomorsko-komorni otvor koji
spaja levu pretkomoru I levu komoru
• Desna pretkomora atrium dexter je oblika nepravine kocke
• u nju se ulivaju gornja i donja suplja vena/v.cava superior et inferior
• na zadnjem zidu se nalazi međuvenska krvžica
• ( tuberculum intervenosum ) koja usmerava krv prema desnom
pretkomorsko-komorskom otvoru
• Unutrašnji zid odgovara međupretkomornoj pregradi I na njemu se nalazi
udubljenje zvano ovalna jama ( fossa ovalis ).
• Spoljasnji zid je prosiren uvastim nastavkom -auricula dextra
• Leva komora ( venrticulus sinister ) je najveća
srčana šupljina
• Na levoj komori se nalaze dva otvora :
• levi pretkomorsko-komorni otvor I otvor aorte .
• Desna srčana pretkomora ( atrium dextrum ) im aoblik
nepravilne kocke
• U desnu pretkomoru se ulivaju gornja I donja šuplja vena
( v. cava superior et inferior ) I srčani venski sinus ( sinus
coronarius ).
Srčane šupljine
• ventriculus dexter
• ventriculus sinister
(septum interventriculare)
Desna komora ( ventriculus dexter ) ima oblik trostrane piramide
. Na bazi desne komore se nalaze dva otvora:
desni pretkomorsko-komorni otvor I otvor plučnog arterijskog stabla.
Srčana ušća
Srčana ušća
venozna ušća srca:
• ostium atrioventriculare dextrum
• ostium atrioventriculare sinistrum
kuspidalni zalisci
musculi papillares
chordae tendineae
• Desni pretkomorsko-komorni otvor ( ostium atrioventriculare
dextrum ) povezuje desnu srčanu pretkomoru I komoru.
• Ovaj otvor zatvara desni pretkomorsko –komorni zalistak
( valva atrioventricularis dextra ) koja se sastoji iz tri listića.
• Zidovi desne komore su neravni I na njemu se nalaze tzv.
Papilarni mišići ( mm. papillares ).
• Drugi otvor se zove otvor plućnog arterijskog stabla ( ostium
trunci pulmonalis ) iz koga se krv putem plućnih arterija
odvodi u pluća.
• Levi pretkomorsko-komorni otvor ( ostium atrioventriculare
sinistrum ) povezuje levu pretkomoru I levu komoru
• Ovaj otvor zatvara levi pretkomorsko-komorni zalistak
( valvula atrioventricularis sinistra ) koja se sastoji iz dva
listića ( valvula bicuspidalis s. mitralis ).
• Drugi otvor je otvor aorte ( ostium aortae ) koji zatvara
zalistak aorte ( valvula aortae ) koja se sastoji iz tri zalistaka.
SRČANI ZALISCISRČANI ZALISCI
• SRČANI ZALISCI su izgradjeni odSRČANI ZALISCI su izgradjeni od
duplikature endokarda i fibroznogduplikature endokarda i fibroznog
skeleta .skeleta .
• TRUKUSPIDALNO ušće , izmedjuTRUKUSPIDALNO ušće , izmedju
desne pretkomore i desne komoredesne pretkomore i desne komore
ima tri kuspisa ( lista ) .ima tri kuspisa ( lista ) .
• MITRALNO ušće , izmedju leveMITRALNO ušće , izmedju leve
pretkome i leve komore ima dvapretkome i leve komore ima dva
lista .lista .
• POLUMESEČASTI zalisci sePOLUMESEČASTI zalisci se
nalaze na na plućnoj arteriji i aorti .nalaze na na plućnoj arteriji i aorti .
• KORONARNE arterije , dve, graneKORONARNE arterije , dve, grane
aorte .aorte .
Srčana ušća
Valva bicuspidalis
Valva bicuspidalis
Srčana ušća
arterijska ušća srca:
• ostium trunci pulmonalis
• ostium aortae
semilunarni zalisci
nodulus
lunule
Valva semilunaris ostia aorte
Valva semilunaris ostia aorte
• Srce poseduje poseban sprovodni system koji mu omogućava da se
automatski kontrakuje brzinom od 60-80 otkucaja u minutu
• Provodni system se sastoji iz : sinoatrijalnog čvora (SA čvor , nodus,
sinoatrialis ), pretkomorno-komornog čvora ,AV čvor , (nodus
atrioventricularis ) I pretkomorno-komornog snopa ( fasciculus
atrioventricularis )
Sprovodna muskulatura srca:
• nodus sinoatrialis (SA čvor)
• nodus atrioventricularis (AV čvor)
• fasciculus atrioventricularis (Hissov
snopić)
SPROVODNI SISTEMSPROVODNI SISTEM
• Sastavljene su od P ćelija i prelaznihSastavljene su od P ćelija i prelaznih
ćelija koje prenose nadražaj na miocite .ćelija koje prenose nadražaj na miocite .
• Ulaze u sastav SA čvora ( zadnji zidUlaze u sastav SA čvora ( zadnji zid
desne pretkomore ), AV spoja , Hisovogdesne pretkomore ), AV spoja , Hisovog
snopa i njegovih grana .snopa i njegovih grana .
Sprovodna muskulatura srca
Nutritivni krvni sudovi
srca
• a.coronaria dextra
• a.coronaria sinistra
• sinus coronarius
Nutritivni krvni sudovi
srca
• Srce ishranjuju dve srterije, desna I
leva srčana arterija ( a. coronaria
dextra et sinistra ).
• Obe su grane početnog dela aorte
( aorta ascedens )Vene srca obrazuju
venski srčani sinus ( sinus coronarius )
koji se uliva u desnu pretkomoru.
•
Krvni sudovi na površini srcaKrvni sudovi na površini srca
Srčana maramica
Pericardium:
• pericardium fibrosum
• pericardium serosum
• Srce se nalazi u srčanoj kesi.
• Srčana kesa se sastoji iz dva dela: spoljašnjeg
( pericardium fibrosum ) I unutrašnjeg ( pericardium
serosum ).
• Unutrašnji deo se sastoji iz dva lista između kojih se
nalazi uzan prostor – duplja srčane maramice ( cavitas
pericardialis ).
• U ovom prostoru se nalazi mala količina serozne tečnosti
koja smanjuje trenje tokom kontrakcija
Srce
Deoxygenated
Blood
…To the
lungs
Oxygenated
Blood
…To the rest
of the body
KARDIOLOGIJAKARDIOLOGIJA
• KARDIOVASKULARNI SISTEM čineKARDIOVASKULARNI SISTEM čine
: SRCE , cirkulacijski sistem: SRCE , cirkulacijski sistem
(arterije , vene i limfatici) .(arterije , vene i limfatici) .
• SISTEMSKU cirkulacijuSISTEMSKU cirkulaciju čine levačine leva
komora , arterije , arteriole ,komora , arterije , arteriole ,
kapilaru, venule , vene , gornja ikapilaru, venule , vene , gornja i
donja šuplja vena i desnadonja šuplja vena i desna
pretkomora )pretkomora )
• Plućnu cirkulacijuPlućnu cirkulaciju čine desnačine desna
komora, plućna arterija, kapilari,komora, plućna arterija, kapilari,
plućne vene i leva pretkomora .plućne vene i leva pretkomora .
Мали и велики крвоток
-Circulus sanguinis major
-Circulus sanguinis minor
SRČANI CIKLUSISRČANI CIKLUSI
• DIJASTOLADIJASTOLA predstavlja pasivno punjenjepredstavlja pasivno punjenje
komora iz pretkomore .komora iz pretkomore .
• SISTOLA KOMORASISTOLA KOMORA::
• 1.faza izometrijske kontrakcije (zatvoreni AV1.faza izometrijske kontrakcije (zatvoreni AV
zalisci )zalisci )
• 2.faza istiskivanja u plućnu arteriju i aortu ( 2/32.faza istiskivanja u plućnu arteriju i aortu ( 2/3
sistolnog volumena )sistolnog volumena )
• 3.faza relaksacije3.faza relaksacije
• MINUTNI VOLUMENMINUTNI VOLUMEN, količina krvi koju desna i, količina krvi koju desna i
leva komora ispumpaju u jednoj minuti ( l/ min )leva komora ispumpaju u jednoj minuti ( l/ min )
Срчани циклус
PULS I KRVNI PRITISAKPULS I KRVNI PRITISAK
• PULS je posledica istiskivanja krvi u aortu iPULS je posledica istiskivanja krvi u aortu i
arterijsko stablo pri svakoj sistoli .arterijsko stablo pri svakoj sistoli .
• KRVNI PRITISAK zavisi od faktora :KRVNI PRITISAK zavisi od faktora :
• 1.udarni volumen leve komore1.udarni volumen leve komore
• 2.elastičnost krvnih sudova2.elastičnost krvnih sudova
• 3.periferni otpor3.periferni otpor
• 4.volumen krvi4.volumen krvi
• 5.viskozitet krvi5.viskozitet krvi
ELEMENTI FIZIKALNOGELEMENTI FIZIKALNOG
PREGLEDA SRCAPREGLEDA SRCA
• INSPEKCIJA (vrh srca , deformitet grudnog koša )INSPEKCIJA (vrh srca , deformitet grudnog koša )
• PALPACIJA ( srčani vrh , tril –kod srčanih mana )PALPACIJA ( srčani vrh , tril –kod srčanih mana )
• AUSKULTACIJA :AUSKULTACIJA :
• 1. tonovi ( 1 , 2 , 3 i 4 . Ton )1. tonovi ( 1 , 2 , 3 i 4 . Ton )
• 2. šumovi ( sistolni i dijastolni - 6 stepena intenziteta )2. šumovi ( sistolni i dijastolni - 6 stepena intenziteta )
• SISTOLNI ŠUMOVI (stenoza aorte i plućne arterije ,SISTOLNI ŠUMOVI (stenoza aorte i plućne arterije ,
VSD, mitralna i trikuspidalna regurgitacijaVSD, mitralna i trikuspidalna regurgitacija
• DIJASTOLNI ŠUMOVI (mitralna stenoza ..)DIJASTOLNI ŠUMOVI (mitralna stenoza ..)
SIMPTOMI I ZNACI BOLESTISIMPTOMI I ZNACI BOLESTI
SRCASRCA
• DISPNEJA-osećaj nedostatka vazduhaDISPNEJA-osećaj nedostatka vazduha
• ORTOPNEJAORTOPNEJA
• STENOKARDIJA , anginoSTENOKARDIJA , anginozni bolzni bol
• PALPITACIJE-neravnomerni rad srcaPALPITACIJE-neravnomerni rad srca
• SINKOPA-kratkotrajni gubitak svestiSINKOPA-kratkotrajni gubitak svesti
• EDEMI i ASCITESEDEMI i ASCITES
• CIJANOZA perifernog tipa (porast redukovanogCIJANOZA perifernog tipa (porast redukovanog
hemoglobina )hemoglobina )
• KAŠALJ i HEMOPTIZIJEKAŠALJ i HEMOPTIZIJE
ELEKTROKARDIOGRAFIJAELEKTROKARDIOGRAFIJA
• EKG , W.Einthoven, NobelovaEKG , W.Einthoven, Nobelova
nagrada 1924 .nagrada 1924 .
• Grafički prikaz električneGrafički prikaz električne
aktivnosti miokarda .aktivnosti miokarda .
• EKG sadrži 12 odvoda:EKG sadrži 12 odvoda:
• 1.tri bipolarna , I , II , III1.tri bipolarna , I , II , III
• 2.tri unipolarna AVR, AVL , AVF2.tri unipolarna AVR, AVL , AVF
• 3.šest prekordijalnih ,V1 – V63.šest prekordijalnih ,V1 – V6
ELEMENTI EKGaELEMENTI EKGa
• FREKVENCA SRČANOGFREKVENCA SRČANOG
RADA(rastojanje izmedju dvaRADA(rastojanje izmedju dva
R zupca )R zupca )
• P TALAS , depolarizacijaP TALAS , depolarizacija
pretkomorapretkomora
• P-R ( PQ ) iNTERVALP-R ( PQ ) iNTERVAL
(sprovodjenje impulsa kroz(sprovodjenje impulsa kroz
pretkomore, AV čvor i Hisovpretkomore, AV čvor i Hisov
snop )snop )
• QRS KOMPLEKS ,QRS KOMPLEKS ,
depolarizacija komoradepolarizacija komora
• ST SEGMENTST SEGMENT
• T TALAS , repolarizacijaT TALAS , repolarizacija
komorakomora
• U TALAS ( kod hipokaliemijeU TALAS ( kod hipokaliemije ))
VEŠTAČKA SRČANAVEŠTAČKA SRČANA
STIMULACIJASTIMULACIJA
• Primena električne struje naPrimena električne struje na
membranu srčane ćelije dovodi domembranu srčane ćelije dovodi do
aktivne i pasivne aktivacije srca .aktivne i pasivne aktivacije srca .
• INDIKACIJA :INDIKACIJA :
• 1.DISFUNKCIJA SA čvora1.DISFUNKCIJA SA čvora
(sinusna bradikardija, sinkopa ,(sinusna bradikardija, sinkopa ,
zamor srčana slabost )zamor srčana slabost )
• 2.AKUTNA i HRONIČNA oboljenja2.AKUTNA i HRONIČNA oboljenja
AV sistema za sprovodjenje ( AVAV sistema za sprovodjenje ( AV
blok I , II i III stepena )blok I , II i III stepena )
DIJAGNOSTIČKE PROCEDUREDIJAGNOSTIČKE PROCEDURE
• ELEKTROKARDIOGRAM , EKGELEKTROKARDIOGRAM , EKG
• RENDGENSKI SNIMAK SRCA i PLUĆARENDGENSKI SNIMAK SRCA i PLUĆA
• EHOSONOGRAFIJA SRCA ( DOPLER)EHOSONOGRAFIJA SRCA ( DOPLER)
• ERGOMETRIJA (test opterećenja )ERGOMETRIJA (test opterećenja )
• NUKLEARNA , scintigrafija srca Tl i PETNUKLEARNA , scintigrafija srca Tl i PET
(pozitron emisiona tomografija srca(pozitron emisiona tomografija srca
• KT i MR srcaKT i MR srca
• KATETERIZACIJA ,ANGIOGRAFIJAKATETERIZACIJA ,ANGIOGRAFIJA
• KT koronarografijaKT koronarografija
• LABORATORIJALABORATORIJA
POREMEĆAJI SRČANOG RITMAPOREMEĆAJI SRČANOG RITMA
• POREMEĆAJI U STVARANJU IMPULSAPOREMEĆAJI U STVARANJU IMPULSA
U SINUSNOM ČVORUU SINUSNOM ČVORU
• POREMEĆAJI U SPROVODJENJUPOREMEĆAJI U SPROVODJENJU
IMPULSAIMPULSA
POREMEĆAJI U STVARANJUPOREMEĆAJI U STVARANJU
IMPULSAIMPULSA
• SINUSNA TAHIKARDIJA , 1OO-14O OTKUCAJA USINUSNA TAHIKARDIJA , 1OO-14O OTKUCAJA U
MIN .MIN .
• SINUSNA BRADIKARDIJA , FREKVENCA ISPOD 5O USINUSNA BRADIKARDIJA , FREKVENCA ISPOD 5O U
MIN.MIN.
• SINUSNA ARITMIJASINUSNA ARITMIJA
• PUTUJUĆI VODIČ SRCAPUTUJUĆI VODIČ SRCA
• PRETKOMORSKA TAHIKARDIJA , 12O-22O U MIN.PRETKOMORSKA TAHIKARDIJA , 12O-22O U MIN.
• ATRIJALNI FLATER , 3OO U MIN.ATRIJALNI FLATER , 3OO U MIN.
• NODALNI RITAM , IMPULS NASTAJE U AV NODUSUNODALNI RITAM , IMPULS NASTAJE U AV NODUSU
• KOMORSKE EKSTRASISTOLE , VESKOMORSKE EKSTRASISTOLE , VES
• VENTRIKULARNA TAHIKARDIJAVENTRIKULARNA TAHIKARDIJA
• FLATER I FIBRILACIJA KOMORA .FLATER I FIBRILACIJA KOMORA .
Poremećaji stvaranja impulsaPoremećaji stvaranja impulsa
POREMEĆAJI SPROVODJENJAPOREMEĆAJI SPROVODJENJA
IMPULSAIMPULSA
• BOLEST SINUSNOG ČVORA , SA BLOK I , II iBOLEST SINUSNOG ČVORA , SA BLOK I , II i
III STEPENAIII STEPENA
• ATRIOVENTRIKULARNI POREMEĆAJIATRIOVENTRIKULARNI POREMEĆAJI
SPROVODJENJA IMPULSA :SPROVODJENJA IMPULSA :
• 1.AV blok I stepena1.AV blok I stepena
• 2.AV blok II stepena ( Mobiz I i II )2.AV blok II stepena ( Mobiz I i II )
• 3.AV blok III stepena3.AV blok III stepena
• INTRAVENTRIKULARNI POREMEĆAJIINTRAVENTRIKULARNI POREMEĆAJI
SPROVODJENJASPROVODJENJA
Poremećaji sprovodjenja impulsaPoremećaji sprovodjenja impulsa
SRČANE MANESRČANE MANE
• URODJENE SRČANEURODJENE SRČANE
MANEMANE
• STEČENE SRČANE MANESTEČENE SRČANE MANE
Anatomija srca – poprečni presekAnatomija srca – poprečni presek
URODJENE SRČANE MANEURODJENE SRČANE MANE
• UZROCIUZROCI : genetski i mutageni (hemijski ,: genetski i mutageni (hemijski ,
infektivni , fizički )infektivni , fizički )
• STENOZA AORTESTENOZA AORTE
• KOARKTACIJA AORTEKOARKTACIJA AORTE
• STENOZA PLUĆNE ARTERIJESTENOZA PLUĆNE ARTERIJE
• ASD , atrijalni defekt septumaASD , atrijalni defekt septuma
• VST, ventrikularni defekt septumaVST, ventrikularni defekt septuma
• PERZISTENTNI DUCTUS ARTERIOSUSPERZISTENTNI DUCTUS ARTERIOSUS
• TETRALOGIJA FALLOTTETRALOGIJA FALLOT
• PENTALOGIJA FALLOTPENTALOGIJA FALLOT
• Маљичасти (Батичасти) прсти
DUCTUS ARTERIOSUS
PERSISTENS (DAP)
ATRIJALNI SEPTALNIATRIJALNI SEPTALNI
DEFEKT (ASD)DEFEKT (ASD)
VENTRIKULARNI SEPTALNIVENTRIKULARNI SEPTALNI
DEFEKT(VSD)DEFEKT(VSD)
Ventrikularni septalni defekt
TETRALOGIJA FALLOTTETRALOGIJA FALLOT
KOARKTACIJA AORTE
STENOZA ARTERIJESTENOZA ARTERIJE
PULMONALISPULMONALIS
STENOZA AORTESTENOZA AORTE
AORTNA STENOZA
АБНОРМАЛНИ ПОЛОЖАЈ СРЦА
Dekstrokardija
Atrijalni septum defekt -
ASD
Rtg ASD-ostium secundum: Dilatacija RV i RA; prominira
pulzatorno naglašena PA; izražena plućna vaskularna šara -
“dance hilare”; “mala aorta”
RV
RA
PA
LV
LA
Anomalija razvoja aortnog
luka
Desni aortni luk
Ventricular septal defect (VSD)
RV
VSD
LV
A B
Koarktacija aorte
VS
Trilogija - Fallot
Pato-anatomski supstrat: valvularna (ili subvalvularna) stenoza PA; ASD;
hipertrofija VD;
Rtg Trilogije-Fallot: RA uvećan; naglašen luk PA; vremenom ⇑ LA, luk LV-
mali; plućna vaskularna šara oskudna.
Angiokardiografija (kateterizacija): promena saturacije u LA (šant L-D i D-L);
proširema RV i PA (postenotično);infundibularna hipertrofija; valvularna
pulm. stenoza;
ASD; nekada proširen LA.
RVRV
Ao
ASD
LV
LA
D’
D G
G’
α Tr2Tr1
Tr Th
RA
VCS
(Asc.A)
T
A
PA
A.AL
LV
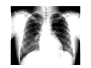
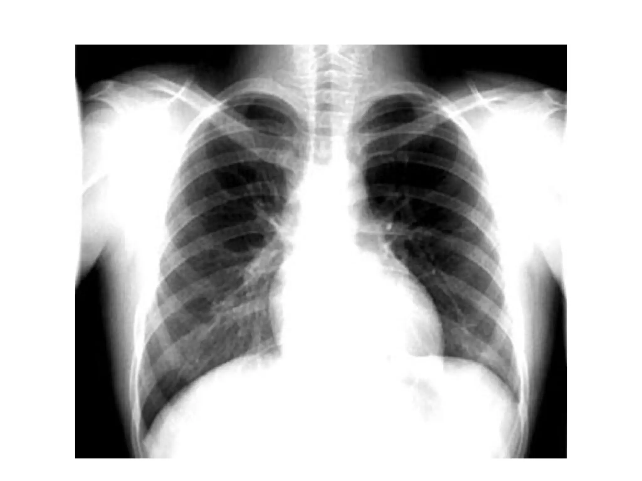
Rtg pluća i srca – normalan nalazRtg pluća i srca – normalan nalaz
Cor
b
o
v
i
n
u
m
RENDGEN ANATOMIJA SRCA
Ishemijska bolest srcaIshemijska bolest srca

Anatomija srca

  • 1.
  • 2.
    •šuplji mišićni organ •centralniorgan kardiovaskularnog sustava •aktivna pumpa koja pokreće cirkulaciju
  • 4.
  • 5.
    Topografija • srčana osaide od • GORE DESNO I prema DOLE, LEVO I NAPRED • 2/3 srca leži ulevo,a 1/3 udesno
  • 6.
    TopografijaSRCE je smeštenou prednjem medijastinumu,naleže na dijafragmu.SRCE je smešteno u prednjem medijastinumu,naleže na dijafragmu.
  • 9.
    Građa srca • epicardium •myocardium • endocardium
  • 11.
  • 12.
  • 14.
  • 15.
    • To ješuplji mišićni organ koji prihvata krv dospelu venskim sudovima nakon čega se ritmičkim kontrakcijama istiskuje u arterijski system. • srce je smešteno u sredjem delu donjeg sredogruđa ( mediastinum inferius ). • Srce ima oblik trostrane piramide na kojem razlikujemo bazu ( basis cordis ) I vrh ( apex cordis ) • . Pored baze I vrha srce ima I tri strane • Prednja strana srca je okrenuta prema grudnoj kosti I rebrima pa se zato zove grudno-rebarna strana ( facies sternocostalis ) • Leva strana ( facies pulmonalis ) naleže na levo plućno krilo ( facies pulmonalis ). • Donja strana srca ( facies diaphragmatica ) naleže na prečagu • Od veikih krvnih sudova iz srca izlaze plućno stablo ( truncus pulmonalis ), početno deo aorte ( aorta ascedens ). • U srce se ulivaju gornja I donja šuplja vena ( v. cava superior et inferior ), I četiri plućne vene ( vv. pulmonales ).
  • 16.
    Srce • basis cordis •apex cordis • facies sternocostalis • facies diaphragmatica • margo dexter • margo sinister – facies pulmonalis • sulcus coronarius
  • 17.
    • Na spoljašnjojpovršini srca se nalaze žlebovi koji označavaju granicu između pojedinih delova srca • Najvažniji je venačni žleb • ( sulcus coronarius )koji označava granicu između pretkomora I komora OD venačnog žleba se pruža međukomorni žleb ( sulcus interventricularis anterior ) NA zadnjoj strain srca se nalazi zadnji međukomorski žleb ( sulcus interbentricularis posterior )
  • 19.
    • Desna pretkomoraI desna komora čine desnu polovinu srca koja je odvojena od levog srca pomoću srčane pregrade ( septum cordis ). • Pretkomora I komora su povezane pretkomorno-komornim otvorom ( ostium atrioventriculare ). • Gornji deo srčane pregrade je međupretkomorska pregrada ( septum interatriale ) a donji deo je međukomorska pregrada ( septum interventriculare )
  • 22.
    Srčana šupljina • Srčanašupljina se sastoji iz četiri dela, • desne I leve pretkomore ( atrium dextrum et sinistrum ) I desne I leve komore ( ventricullus dexter et sinister ).
  • 23.
    Srčane šupljine • atriumdextrum • atrium sinistrum (septum interatriale)
  • 24.
    • Leva pretkomora( atrium sinistrum ) je oblika kocke. • U levu pretkomoru se ulivaju četiri plućne vene koje donose oksigenisanu krv iz pluća. • Na njenom prednjem zidu se nalazi leni pretkomorsko-komorni otvor koji spaja levu pretkomoru I levu komoru • Desna pretkomora atrium dexter je oblika nepravine kocke • u nju se ulivaju gornja i donja suplja vena/v.cava superior et inferior • na zadnjem zidu se nalazi međuvenska krvžica • ( tuberculum intervenosum ) koja usmerava krv prema desnom pretkomorsko-komorskom otvoru • Unutrašnji zid odgovara međupretkomornoj pregradi I na njemu se nalazi udubljenje zvano ovalna jama ( fossa ovalis ). • Spoljasnji zid je prosiren uvastim nastavkom -auricula dextra
  • 25.
    • Leva komora( venrticulus sinister ) je najveća srčana šupljina • Na levoj komori se nalaze dva otvora : • levi pretkomorsko-komorni otvor I otvor aorte .
  • 26.
    • Desna srčanapretkomora ( atrium dextrum ) im aoblik nepravilne kocke • U desnu pretkomoru se ulivaju gornja I donja šuplja vena ( v. cava superior et inferior ) I srčani venski sinus ( sinus coronarius ).
  • 27.
    Srčane šupljine • ventriculusdexter • ventriculus sinister (septum interventriculare) Desna komora ( ventriculus dexter ) ima oblik trostrane piramide . Na bazi desne komore se nalaze dva otvora: desni pretkomorsko-komorni otvor I otvor plučnog arterijskog stabla.
  • 28.
  • 31.
    Srčana ušća venozna ušćasrca: • ostium atrioventriculare dextrum • ostium atrioventriculare sinistrum kuspidalni zalisci musculi papillares chordae tendineae
  • 34.
    • Desni pretkomorsko-komorniotvor ( ostium atrioventriculare dextrum ) povezuje desnu srčanu pretkomoru I komoru. • Ovaj otvor zatvara desni pretkomorsko –komorni zalistak ( valva atrioventricularis dextra ) koja se sastoji iz tri listića. • Zidovi desne komore su neravni I na njemu se nalaze tzv. Papilarni mišići ( mm. papillares ). • Drugi otvor se zove otvor plućnog arterijskog stabla ( ostium trunci pulmonalis ) iz koga se krv putem plućnih arterija odvodi u pluća. • Levi pretkomorsko-komorni otvor ( ostium atrioventriculare sinistrum ) povezuje levu pretkomoru I levu komoru • Ovaj otvor zatvara levi pretkomorsko-komorni zalistak ( valvula atrioventricularis sinistra ) koja se sastoji iz dva listića ( valvula bicuspidalis s. mitralis ). • Drugi otvor je otvor aorte ( ostium aortae ) koji zatvara zalistak aorte ( valvula aortae ) koja se sastoji iz tri zalistaka.
  • 36.
    SRČANI ZALISCISRČANI ZALISCI •SRČANI ZALISCI su izgradjeni odSRČANI ZALISCI su izgradjeni od duplikature endokarda i fibroznogduplikature endokarda i fibroznog skeleta .skeleta . • TRUKUSPIDALNO ušće , izmedjuTRUKUSPIDALNO ušće , izmedju desne pretkomore i desne komoredesne pretkomore i desne komore ima tri kuspisa ( lista ) .ima tri kuspisa ( lista ) . • MITRALNO ušće , izmedju leveMITRALNO ušće , izmedju leve pretkome i leve komore ima dvapretkome i leve komore ima dva lista .lista . • POLUMESEČASTI zalisci sePOLUMESEČASTI zalisci se nalaze na na plućnoj arteriji i aorti .nalaze na na plućnoj arteriji i aorti . • KORONARNE arterije , dve, graneKORONARNE arterije , dve, grane aorte .aorte .
  • 37.
  • 38.
  • 39.
  • 40.
    Srčana ušća arterijska ušćasrca: • ostium trunci pulmonalis • ostium aortae semilunarni zalisci nodulus lunule
  • 41.
  • 42.
  • 43.
    • Srce posedujeposeban sprovodni system koji mu omogućava da se automatski kontrakuje brzinom od 60-80 otkucaja u minutu • Provodni system se sastoji iz : sinoatrijalnog čvora (SA čvor , nodus, sinoatrialis ), pretkomorno-komornog čvora ,AV čvor , (nodus atrioventricularis ) I pretkomorno-komornog snopa ( fasciculus atrioventricularis )
  • 44.
    Sprovodna muskulatura srca: •nodus sinoatrialis (SA čvor) • nodus atrioventricularis (AV čvor) • fasciculus atrioventricularis (Hissov snopić)
  • 45.
    SPROVODNI SISTEMSPROVODNI SISTEM •Sastavljene su od P ćelija i prelaznihSastavljene su od P ćelija i prelaznih ćelija koje prenose nadražaj na miocite .ćelija koje prenose nadražaj na miocite . • Ulaze u sastav SA čvora ( zadnji zidUlaze u sastav SA čvora ( zadnji zid desne pretkomore ), AV spoja , Hisovogdesne pretkomore ), AV spoja , Hisovog snopa i njegovih grana .snopa i njegovih grana .
  • 46.
  • 47.
    Nutritivni krvni sudovi srca •a.coronaria dextra • a.coronaria sinistra • sinus coronarius
  • 48.
    Nutritivni krvni sudovi srca •Srce ishranjuju dve srterije, desna I leva srčana arterija ( a. coronaria dextra et sinistra ).
  • 49.
    • Obe sugrane početnog dela aorte ( aorta ascedens )Vene srca obrazuju venski srčani sinus ( sinus coronarius ) koji se uliva u desnu pretkomoru. •
  • 50.
    Krvni sudovi napovršini srcaKrvni sudovi na površini srca
  • 51.
    Srčana maramica Pericardium: • pericardiumfibrosum • pericardium serosum
  • 52.
    • Srce senalazi u srčanoj kesi. • Srčana kesa se sastoji iz dva dela: spoljašnjeg ( pericardium fibrosum ) I unutrašnjeg ( pericardium serosum ). • Unutrašnji deo se sastoji iz dva lista između kojih se nalazi uzan prostor – duplja srčane maramice ( cavitas pericardialis ). • U ovom prostoru se nalazi mala količina serozne tečnosti koja smanjuje trenje tokom kontrakcija
  • 56.
  • 57.
  • 70.
    KARDIOLOGIJAKARDIOLOGIJA • KARDIOVASKULARNI SISTEMčineKARDIOVASKULARNI SISTEM čine : SRCE , cirkulacijski sistem: SRCE , cirkulacijski sistem (arterije , vene i limfatici) .(arterije , vene i limfatici) . • SISTEMSKU cirkulacijuSISTEMSKU cirkulaciju čine levačine leva komora , arterije , arteriole ,komora , arterije , arteriole , kapilaru, venule , vene , gornja ikapilaru, venule , vene , gornja i donja šuplja vena i desnadonja šuplja vena i desna pretkomora )pretkomora ) • Plućnu cirkulacijuPlućnu cirkulaciju čine desnačine desna komora, plućna arterija, kapilari,komora, plućna arterija, kapilari, plućne vene i leva pretkomora .plućne vene i leva pretkomora .
  • 72.
    Мали и великикрвоток -Circulus sanguinis major -Circulus sanguinis minor
  • 74.
    SRČANI CIKLUSISRČANI CIKLUSI •DIJASTOLADIJASTOLA predstavlja pasivno punjenjepredstavlja pasivno punjenje komora iz pretkomore .komora iz pretkomore . • SISTOLA KOMORASISTOLA KOMORA:: • 1.faza izometrijske kontrakcije (zatvoreni AV1.faza izometrijske kontrakcije (zatvoreni AV zalisci )zalisci ) • 2.faza istiskivanja u plućnu arteriju i aortu ( 2/32.faza istiskivanja u plućnu arteriju i aortu ( 2/3 sistolnog volumena )sistolnog volumena ) • 3.faza relaksacije3.faza relaksacije • MINUTNI VOLUMENMINUTNI VOLUMEN, količina krvi koju desna i, količina krvi koju desna i leva komora ispumpaju u jednoj minuti ( l/ min )leva komora ispumpaju u jednoj minuti ( l/ min )
  • 75.
  • 76.
    PULS I KRVNIPRITISAKPULS I KRVNI PRITISAK • PULS je posledica istiskivanja krvi u aortu iPULS je posledica istiskivanja krvi u aortu i arterijsko stablo pri svakoj sistoli .arterijsko stablo pri svakoj sistoli . • KRVNI PRITISAK zavisi od faktora :KRVNI PRITISAK zavisi od faktora : • 1.udarni volumen leve komore1.udarni volumen leve komore • 2.elastičnost krvnih sudova2.elastičnost krvnih sudova • 3.periferni otpor3.periferni otpor • 4.volumen krvi4.volumen krvi • 5.viskozitet krvi5.viskozitet krvi
  • 77.
    ELEMENTI FIZIKALNOGELEMENTI FIZIKALNOG PREGLEDASRCAPREGLEDA SRCA • INSPEKCIJA (vrh srca , deformitet grudnog koša )INSPEKCIJA (vrh srca , deformitet grudnog koša ) • PALPACIJA ( srčani vrh , tril –kod srčanih mana )PALPACIJA ( srčani vrh , tril –kod srčanih mana ) • AUSKULTACIJA :AUSKULTACIJA : • 1. tonovi ( 1 , 2 , 3 i 4 . Ton )1. tonovi ( 1 , 2 , 3 i 4 . Ton ) • 2. šumovi ( sistolni i dijastolni - 6 stepena intenziteta )2. šumovi ( sistolni i dijastolni - 6 stepena intenziteta ) • SISTOLNI ŠUMOVI (stenoza aorte i plućne arterije ,SISTOLNI ŠUMOVI (stenoza aorte i plućne arterije , VSD, mitralna i trikuspidalna regurgitacijaVSD, mitralna i trikuspidalna regurgitacija • DIJASTOLNI ŠUMOVI (mitralna stenoza ..)DIJASTOLNI ŠUMOVI (mitralna stenoza ..)
  • 78.
    SIMPTOMI I ZNACIBOLESTISIMPTOMI I ZNACI BOLESTI SRCASRCA • DISPNEJA-osećaj nedostatka vazduhaDISPNEJA-osećaj nedostatka vazduha • ORTOPNEJAORTOPNEJA • STENOKARDIJA , anginoSTENOKARDIJA , anginozni bolzni bol • PALPITACIJE-neravnomerni rad srcaPALPITACIJE-neravnomerni rad srca • SINKOPA-kratkotrajni gubitak svestiSINKOPA-kratkotrajni gubitak svesti • EDEMI i ASCITESEDEMI i ASCITES • CIJANOZA perifernog tipa (porast redukovanogCIJANOZA perifernog tipa (porast redukovanog hemoglobina )hemoglobina ) • KAŠALJ i HEMOPTIZIJEKAŠALJ i HEMOPTIZIJE
  • 79.
    ELEKTROKARDIOGRAFIJAELEKTROKARDIOGRAFIJA • EKG ,W.Einthoven, NobelovaEKG , W.Einthoven, Nobelova nagrada 1924 .nagrada 1924 . • Grafički prikaz električneGrafički prikaz električne aktivnosti miokarda .aktivnosti miokarda . • EKG sadrži 12 odvoda:EKG sadrži 12 odvoda: • 1.tri bipolarna , I , II , III1.tri bipolarna , I , II , III • 2.tri unipolarna AVR, AVL , AVF2.tri unipolarna AVR, AVL , AVF • 3.šest prekordijalnih ,V1 – V63.šest prekordijalnih ,V1 – V6
  • 80.
    ELEMENTI EKGaELEMENTI EKGa •FREKVENCA SRČANOGFREKVENCA SRČANOG RADA(rastojanje izmedju dvaRADA(rastojanje izmedju dva R zupca )R zupca ) • P TALAS , depolarizacijaP TALAS , depolarizacija pretkomorapretkomora • P-R ( PQ ) iNTERVALP-R ( PQ ) iNTERVAL (sprovodjenje impulsa kroz(sprovodjenje impulsa kroz pretkomore, AV čvor i Hisovpretkomore, AV čvor i Hisov snop )snop ) • QRS KOMPLEKS ,QRS KOMPLEKS , depolarizacija komoradepolarizacija komora • ST SEGMENTST SEGMENT • T TALAS , repolarizacijaT TALAS , repolarizacija komorakomora • U TALAS ( kod hipokaliemijeU TALAS ( kod hipokaliemije ))
  • 81.
    VEŠTAČKA SRČANAVEŠTAČKA SRČANA STIMULACIJASTIMULACIJA •Primena električne struje naPrimena električne struje na membranu srčane ćelije dovodi domembranu srčane ćelije dovodi do aktivne i pasivne aktivacije srca .aktivne i pasivne aktivacije srca . • INDIKACIJA :INDIKACIJA : • 1.DISFUNKCIJA SA čvora1.DISFUNKCIJA SA čvora (sinusna bradikardija, sinkopa ,(sinusna bradikardija, sinkopa , zamor srčana slabost )zamor srčana slabost ) • 2.AKUTNA i HRONIČNA oboljenja2.AKUTNA i HRONIČNA oboljenja AV sistema za sprovodjenje ( AVAV sistema za sprovodjenje ( AV blok I , II i III stepena )blok I , II i III stepena )
  • 82.
    DIJAGNOSTIČKE PROCEDUREDIJAGNOSTIČKE PROCEDURE •ELEKTROKARDIOGRAM , EKGELEKTROKARDIOGRAM , EKG • RENDGENSKI SNIMAK SRCA i PLUĆARENDGENSKI SNIMAK SRCA i PLUĆA • EHOSONOGRAFIJA SRCA ( DOPLER)EHOSONOGRAFIJA SRCA ( DOPLER) • ERGOMETRIJA (test opterećenja )ERGOMETRIJA (test opterećenja ) • NUKLEARNA , scintigrafija srca Tl i PETNUKLEARNA , scintigrafija srca Tl i PET (pozitron emisiona tomografija srca(pozitron emisiona tomografija srca • KT i MR srcaKT i MR srca • KATETERIZACIJA ,ANGIOGRAFIJAKATETERIZACIJA ,ANGIOGRAFIJA • KT koronarografijaKT koronarografija • LABORATORIJALABORATORIJA
  • 83.
    POREMEĆAJI SRČANOG RITMAPOREMEĆAJISRČANOG RITMA • POREMEĆAJI U STVARANJU IMPULSAPOREMEĆAJI U STVARANJU IMPULSA U SINUSNOM ČVORUU SINUSNOM ČVORU • POREMEĆAJI U SPROVODJENJUPOREMEĆAJI U SPROVODJENJU IMPULSAIMPULSA
  • 84.
    POREMEĆAJI U STVARANJUPOREMEĆAJIU STVARANJU IMPULSAIMPULSA • SINUSNA TAHIKARDIJA , 1OO-14O OTKUCAJA USINUSNA TAHIKARDIJA , 1OO-14O OTKUCAJA U MIN .MIN . • SINUSNA BRADIKARDIJA , FREKVENCA ISPOD 5O USINUSNA BRADIKARDIJA , FREKVENCA ISPOD 5O U MIN.MIN. • SINUSNA ARITMIJASINUSNA ARITMIJA • PUTUJUĆI VODIČ SRCAPUTUJUĆI VODIČ SRCA • PRETKOMORSKA TAHIKARDIJA , 12O-22O U MIN.PRETKOMORSKA TAHIKARDIJA , 12O-22O U MIN. • ATRIJALNI FLATER , 3OO U MIN.ATRIJALNI FLATER , 3OO U MIN. • NODALNI RITAM , IMPULS NASTAJE U AV NODUSUNODALNI RITAM , IMPULS NASTAJE U AV NODUSU • KOMORSKE EKSTRASISTOLE , VESKOMORSKE EKSTRASISTOLE , VES • VENTRIKULARNA TAHIKARDIJAVENTRIKULARNA TAHIKARDIJA • FLATER I FIBRILACIJA KOMORA .FLATER I FIBRILACIJA KOMORA .
  • 85.
  • 86.
    POREMEĆAJI SPROVODJENJAPOREMEĆAJI SPROVODJENJA IMPULSAIMPULSA •BOLEST SINUSNOG ČVORA , SA BLOK I , II iBOLEST SINUSNOG ČVORA , SA BLOK I , II i III STEPENAIII STEPENA • ATRIOVENTRIKULARNI POREMEĆAJIATRIOVENTRIKULARNI POREMEĆAJI SPROVODJENJA IMPULSA :SPROVODJENJA IMPULSA : • 1.AV blok I stepena1.AV blok I stepena • 2.AV blok II stepena ( Mobiz I i II )2.AV blok II stepena ( Mobiz I i II ) • 3.AV blok III stepena3.AV blok III stepena • INTRAVENTRIKULARNI POREMEĆAJIINTRAVENTRIKULARNI POREMEĆAJI SPROVODJENJASPROVODJENJA
  • 87.
  • 88.
    SRČANE MANESRČANE MANE •URODJENE SRČANEURODJENE SRČANE MANEMANE • STEČENE SRČANE MANESTEČENE SRČANE MANE
  • 89.
    Anatomija srca –poprečni presekAnatomija srca – poprečni presek
  • 90.
    URODJENE SRČANE MANEURODJENESRČANE MANE • UZROCIUZROCI : genetski i mutageni (hemijski ,: genetski i mutageni (hemijski , infektivni , fizički )infektivni , fizički ) • STENOZA AORTESTENOZA AORTE • KOARKTACIJA AORTEKOARKTACIJA AORTE • STENOZA PLUĆNE ARTERIJESTENOZA PLUĆNE ARTERIJE • ASD , atrijalni defekt septumaASD , atrijalni defekt septuma • VST, ventrikularni defekt septumaVST, ventrikularni defekt septuma • PERZISTENTNI DUCTUS ARTERIOSUSPERZISTENTNI DUCTUS ARTERIOSUS • TETRALOGIJA FALLOTTETRALOGIJA FALLOT • PENTALOGIJA FALLOTPENTALOGIJA FALLOT
  • 91.
  • 92.
  • 93.
  • 94.
  • 95.
  • 96.
  • 97.
  • 98.
  • 99.
  • 100.
    Atrijalni septum defekt- ASD Rtg ASD-ostium secundum: Dilatacija RV i RA; prominira pulzatorno naglašena PA; izražena plućna vaskularna šara - “dance hilare”; “mala aorta” RV RA PA LV LA
  • 101.
  • 102.
    Ventricular septal defect(VSD) RV VSD LV A B
  • 103.
  • 104.
    Trilogija - Fallot Pato-anatomskisupstrat: valvularna (ili subvalvularna) stenoza PA; ASD; hipertrofija VD; Rtg Trilogije-Fallot: RA uvećan; naglašen luk PA; vremenom ⇑ LA, luk LV- mali; plućna vaskularna šara oskudna. Angiokardiografija (kateterizacija): promena saturacije u LA (šant L-D i D-L); proširema RV i PA (postenotično);infundibularna hipertrofija; valvularna pulm. stenoza; ASD; nekada proširen LA. RVRV Ao ASD LV LA
  • 105.
    D’ D G G’ α Tr2Tr1 TrTh RA VCS (Asc.A) T A PA A.AL LV Rtg pluća i srca – normalan nalazRtg pluća i srca – normalan nalaz
  • 107.
  • 108.