acute pancreatitis
By : Dr. Anoop under guidance of Dr. M. Salim sir
Anatomy
 Pancreas is a retroperitoneal organ 15-20 cm long and weights about 90 g.
 Transversely it lies across the posterior abdominal wall posterior to the
stomach between duodenum on the right and the spleen on the left.
Relation of pancrease
 Head
1. Anterior relation
transverse colon
2. Posterior relation
IVC
CBD
Right renal vein
NECK
BODY
• Tail
Lies anterior to the left kidney, where it is closely related to the splenic hilum
and the left colic flexure.
Blood supply
Venous drainage
 In SMV , SV, portal vein
Phyiology
 Both exocrine and endocrine.
 Composed of acinar cell[85%], islet cell[2%],ductal cell[3%],matrix[10%]
 Acinar cell secret digestive enzyme .
 An exocrine secretion ( pancreatic juice from the acinar cells) that enter the
duodenum through the main and accessor y pancreatic ducts.
Why pancreatic enzyme not cause auto
digestion ?
 Proenzyme
 Pancreatic secretory trypsin inhibitor
 Lac of alkaline medium
Phases of pancreatic secretion
 Cephalic phase [20%[
 Gastric phase [10%]
 Intestinal phase [70%]
Acute pancreatitis
 A clinical description of acute pancreatitis was first presented in 1652 by
the Dutch anatomist Nicholas Tulp.
 Reginald Fitz of Boston presented the first systematic analyses of acute
pancreatitis In 1889.
 Prevalence rate for Pancreatitis in India is 7.9 per 100,000.
Pathophysiology
pancreatic injury
leads to zymogen
granules and
lysosomes colocalize
inside the acinar cells.
Lysosome contains
cathepsin B
activates trypsin[in
zymogen granules ]
in these
colocalization
organelles.
Pancreatitis
activated trypsin then
induces leak of
colocalized
organelles, releasing
cathepsin B into the
cytosol.
It is the cytosolic
cathepsin B that then
induces apoptosis or
necrosis, leading to
acinar cell death.
Risk factors
Gall Stones
 40 percent .
 The overall incidence of AP in patients with symptomatic
gallstone disease is 3% to 8%.
 Old women
 Two theory
1. Obstructive theory.
2. Reflux theory.
Alcohol
 35 percent .
 heavy ethanol abuse (>100 g/day for at least 5 years)
 However, only 5% to 10% of patients who drink alcohol
develop AP.
 Young men
 Smoker .
 Mechanism
1. Decrease pancreatic perfusion.
2. Sphincter of Oddi spasm.
3. Obstructs pancreatic ducts through the precipitation of
proteins inside the ducts.
4. fatty acid ethyl esters, cause fragility of zymogen granules
and lysosomes, which leads to abnormal pancreatic enzyme
activation inside acinar cells
5. Ethanol activates PSCs and induces pancreatic fibrosis.
Anatomical obstruction
 Pancrease divisum
 Pancreatic tumour
 Parasite - Ascaris lumbricoides
ERCP
 AP is the most common complication after
ERCP,
 occurring in up to 5% of patients.
 AP occurs more frequently in patients who
have undergone therapeutic procedures
compared with diagnostic procedures.
 Clinical course mild .
Drug-Induced Pancreatitis
 2 percent
 sulfonamides, metronidazole,
 erythromycin,tetracyclines,
 thiazides, furosemide
 (HMG-CoA) reductase inhibitors (statins),
 azathioprine, 6-mercaptopurine
 sulfasalazine, valproic acid,
 antiretroviral agents
Metabolic factor
 Hypertriglyceridemia
 Hypercalcemia
 Hyperparathyroidism
Other
 Autoimmune pancreatitis
 Viral infections (mumps, coxsackie B)
 Fungul infection[ aspergillus ]
 Scorpion bite - Italian scorpion('l'ityus trimtatis)
MOA: Neurotransmitter discharge from cholinergic
nerve terminals, massive production of pancreatic juice
 Idiopathic
 Intraoperative injury or handling
 Trauma
Clinical menifestion
 ABDOMINAL PAIN
 SITE : usually experienced first in the epigastrium but may be localized to either upper
quadrant or felt diffusely throughout the abdomen or lower chest
 ONSET: characteristically develops quickly, generally following substantial meal
 SEVERITY: frequently severe, reaching max. intensity within minutes
 NATURE: "knifing" burning
 DURATION: hours-days
 COURSE: constant (refractory to usual doses of analgesics, not relieved by vomiting)
 RADIATION : directly to back(50%), chest or flanks
 AGGRAVATING FACTOR: food/alcohol intake, walking, lying supine.
 RELEIVING FACTOR: sitting or leaning/stooping forward (MUHAMMEDAN
Associative symptoms
 Nausea, frequent and effortless vomiting, Due to reflex pylorospasm
 Persistent retching despite empty stomach
 Hiccups Due to gastric distension/diaphragmatic irritation
 Fever
 Weakness, Anxiety, Sweating
 dehydration
Signs
 Tenderness
 Guarding
 Rigidity
 Cullen sign
 Grey turner sign
Diagnosis of pacreatitis
 CBC
 LFT
 RFT
 S.AMYLASE
 S.LIPASE
 RBS
 S.electrolyte
 ABG
Pancreatic Enzymes' Assays
 Serum Amylase:
 ONSET: almost immediately
 PEAK: within several hours
 3-4 times upper limit of normal within 24 hrs (90%)
 RETURN to normal depends on severity(3-5 days)
 Also raise in SBO, appendicitis, peptic perforation, mesenteric ischemia,
torsion of ovary, ruptured ectopic pregnancy
 Serum Lipase:
 more sensitive/specific than amylase
 Remains elevated longer than amylase(12 days)
 Useful if late presentation
Imaging studies
X-ray FPA
1. Sentinel loop sign
 Localized isolated Distended gut loop (Ileus) seen near the site of injured viscus
or inflamed organ
 SITE.
 Acute Pancreatitis* Left hypochondrium (PROXIMAL JEJUNUM)
 Acute Appendicitis* Right iliac fossa
 Acute Cholecystitis* Right Hypochondrium
 Diverticulitis* Left iliac fossa
 Not diagnostic of Acute Pancreatitis; useful in differential diagnosis
2. Colon cut-off sign
 Gas filled (Distended) segment of proximal(mainly transverse) colon associated
with narrowing of the splenic flexure with collapse of descending colon
3. OTHERS
 Obliteration of psoas shadow
 Localized ground glass appearance ( localized increased high soft
 tissue density)
 Calcified gall stones
 Pancreatic calcification(chronic pancreatitis)
 Air in the duodenal C-loop
 For DD of perforation peritonitis
USG
 Not diagnostic
 Should be performed within 24 hours in all patients to detect gall stones*
as a potential cause .
 Rule out acute cholecystits as differential diagnosis
 Detect dilated CBD
 sensitivity-(70-80%)
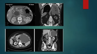
CECT Abdomen
 IOC
 Detect pancreatic necrosis (patients with suspected severe pancreatitis).
 Detect complications of AP.
 Diagnose conditions mimicking AP, including
 gastrointestinal ischemia, ulceration, or perforation
 90% sensitivity and specificity
 Normal pancreas enhance uniformaly.
 Pancreatic duct appear linear non enhancing structure
Magnetic Resonant Imaging
 Suitable alternative to CT in patients with a contrast allergy and renal
insufficiency where T2-weighted images without gadolinium contrast can
diagnose pancreatic necrosis
Magnetic Resonant
Cholangiopancreatography
 INDICATION:
 diagnosis of suspected biliary and pancreatic duct obstruction in the setting of
pancreatitis.
 Repeated attacks of idiopathic acute pancreatitis
Mrcp
Endoscopic Retrograde
Cholangiopancreatography
INDICATION
 Severe gallstone AP or AP with concurrent acute
cholangitis/biliary obstruction/ biliary sepsis/jaundice
(due to persistent stone)
 ERCP within 24(-72) h of admission
 Sphincterotomy/stent and bile duct clearance reduces
infective complications/mortality
Assessment of Severity of Disease
Ranson criteria
 11 parameters
 3 or more
 PPV 50%
 NPV 90%
 Drawbacks
1. it does not predict the severity of disease at the time of the admission
because six parameters are assessed only after 48 hours of admission.
2. it is mainly used to rule out severe pancreatitis or to predict the risk of
mortality
3. Different for gall stone and alcoholic pancreatitis .
Acute Physiology and Chronic Health
Evaluation (APACHE II) score
 12 PARAMETERS
 An APACHE II score of 8 or higher defines severe pancreatitis.
 The main advantage is that it can be used on admission and repeated at
any time.
 However, it is complex, not specific for AP, and based on the patient’s age,
which easily upgrades the AP severity score.
Management
Mild or moderate acute Pancreatitls
 self-limiting, needing only brief hospitalization.
 Rehydration by IV fluids
 Frequent non-invasive observation/monitoring(atleast 8 hrly)
 Brief period of fasting till pain/vomiting settles
 No medication required other than analgesics and anti-emetics
 Antibiotics not indicated in absence of signs or documented sources of
infection
 Correction of electrolyte imbalance
Severe acute pancreatitis
SAP is characterized
by the presence of
organic failure
(Ranson ≥ 3 or
APACHE II ≥ 8), or
local complications
such as necrosis,
pseudocyst and
abscess
Antibiotics
 Routine use NOT recommended as Prophylaxis in severe AP as Prevenitve
measure in sterile necrosis to prevent development of infected necrosis
 Indicated in Established infected pancreatic necrosis or Extraperitoneal
infections ,Cholangitis, catheter-acquired infections, bacteremia, UTIs,
pneumonia
 C-reactive protein is a sensitive marker of pancreatic necrosis and it starts
to increase significantly 48 hours after the onset of symptoms. Thus, C-
reactive protein can be useful in the identification of patients with high
possibility to develop necrosis, in particular when the value is over 150
mg/dl, and subsequently define which patients are candidates to receive
early antibiotics
 The main arguments against the use of antibiotics are the increase of fungal
infection, and the increase of bacteria resistance,
 One paper analyzing data of 46 patients with infected pancreatic necrosis
receiving antibiotics showed that 17 (37%) of them developed fungal
infection.
 International Association of Pancreatology guidelines for the management of
AP recommends the use of prophylactic broadspectrum antibiotics to reduce
infection rates in CT-proven necrotizing pancreatitis
 Although there is no support in the literature, it is reasonable to assume that
prophylactic antibiotic therapy should be considered only for patients with
more than 30% pancreatic necrosis. In contrast, there is no evidence in the
literature that the use of antibiotics in the absence of necrosis is beneficial.
Which antibiotic?
 Two main aspects must drive the choice of the antibiotics: the flora and the
penetration in the pancreatic tissue.
 The bacteria most frequently found are E. coli (27–35%), Enterococcus (24–
26%), Staphylococcus aureus (14–16%), Staphylococcus epidermidis (15%),
Klebsiella (15%) Pseudomonas sp (7–11%) and Streptococos (4–7%)
 Experimental studies were performed to determine which antibiotic would
have a better pancreatic concentration
Poor penetration Medium penetration Good penetration
Netilmicin Mezlocillin Ciprofloxacin
Tobramicin Piperacillin Ofloxacin
Ceftizoxime Imipenem
Cefotaxime Metronidazole
 Based on studies and guidelines, conclude that the recommended
antibiotic in AP is Imipenem 3 × 500 mg/day i.v. Alternatively, the use of
Ciprofloxacin 2 × 400 mg/day i.v. associated with Metronidazole 3 × 500
mg/day i.v. can also be considered.
Best painkiller in pancreatitis ?
The WHO analgesia ladder was
originally developed to treat
pain due to cancer. However,
over time, the indications have
been extended, and the medical
management of pain in acute
pancreatitis
 Opioid analgesics, especially morphine, were long blamed to cause dysfunction of the
sphincter of Oddi after systemic administration. However, several studies showed that
morphine has no proven significantly unfavorable influence on the course of AP (
 the latest studies including systematic reviews convincingly demonstrated that opioid
analgesics could be safely administered with major benefit in AP, and that the dogma of
“no opioids in AP” should be considered to be obsolete
 metamizole resulted in somewhat more frequent and quicker pain relief than s.c.
morphine
 pethidine
 tramadol
 buprenorphine as a longer-acting analgesic has a similar analgesic capacity as
pethidine, but a lower potential to cause physical opioid dependence
 An interesting question on the interaction of pain with nutrition in AP is
related to pain relapse after oral refeeding during AP. In different studies,
the incidence of pain onset or exacerbation after refeeding ranged
between 21-25% and reached a maximum between 50-100% of cases
within 48 h of refeeding (59). Therefore, the incidence of pain relapse after
oral refeeding during AP seems to be quite high (59). Current evidence
suggests that nutrition support should only be performed in patients with
severe pancreatitis, whereas nutrition support is generally not needed in
patients with mild or moderate disease where oral feeding should be
started as soon as possible and as tolerated by patients. If nutrition
support is needed in these patients, enteral nutrition should be preferred
over parenteral nutrition. However, a clear consensus on how and when
the oral refeeding should be initiated has not yet been reached.
Novel Strategies of Pain Management in AP
 recently reported improved survival owing to thoracic epidural analgesia (TEA) in a
animal AP model. Here, the 7-day-survival rate of animals that received bupivacaine
as TEA was 82% when compared to a mere 29% in the control group.
 inhibitors of the proteinase-activated-receptor-2 (PAR2), or of the transient receptor
potential vanilloid-1 (TRPV1) have been shown to be beneficial for treating pain during
experimental AP in mice
 Recently, blockade of interleukin-6 (IL-6) signaling by an orally available, small-
molecule IL-6 receptor inhibitor was shown to diminish abdominal hyperalgesia during
AP
 nitric oxide synthase (NOS) inhibitors reduced abdominal hyperalgesia and AP-
associated during AP in rats.
 a multicentre randomized controlled trial of magnesium sulphate in the prevention of
post-ERPC pancreatitis shall provide data on the impact of magnesium on pain
sensation during post-ERCP pancreatitis (26). Once shown to be effective, beyond its
preventive usage, magnesium may be considered a novel analgesic alternative to treat
pain in AP
Nutrition
In mild AP
 oral feedings can be started immediately if there is no nausea/vomiting,
and the abdominal pain/tenderness/lleus has resolved
 Initiation of feeding with a small and slowly increasing low-fat (low-
protein) soft diet
In severe AP
 Enteral route is recommended to prevent infectious complications
 Parenteral nutrition should be avoided, unless enteral route is not
available, not tolerated, or not meeting caloric requirements
Role of Surgery in pancreatitis
 In case of mild gallstone AP, cholecystectomy should be performed before
discharge to prevent a recurrence of AP
 In case of necrotizing biliary AP, in order to prevent infection,
cholecystectomy is should be done after 6 week.
 If patient unfit for surgery(comorbid/elderly), biliary sphincherotomy alone
may be effective to reduce further attacks of AP
Complication of acute pancreatitis
 Most common complication – peripancreatic fluid collection
 Most common metaboloc complication – hypocalcemia
1. Peripancreatic fluid collection [30 to 57%]
 not covered with epithelium or capsule
 treatment –conservative
2. Pancreatic necrosis - Pancreatic necrosis is the presence of nonviable
pancreatic parenchyma.
 20%
 Complication -infection
 Infected pancreatic necrosis should be suspected in patients with
prolonged fever, elevated white blood cell count,
 CECT is the most reliable technique to diagnose pancreatic necrosis. It is
typically seen as areas of low attenuation. Evidence of air within the
pancreatic necrosis seen on a CT scan confirms the diagnosis but is a rare
finding.
Management
 FNA with culture and sensitivity .
 Historically, the definitive treatment of infected pancreatic necrosis was surgical
debridement with necrosectomy, but mortality was very high .
 As a result of the elevated morbidity and mortality rates with open debridement,
endoscopic and laparoscopic techniques are being used more often.
Timing of debridement
 The optimal timing is at least 3-4wks following the onset of acute pancreatitis.
Delayed debridement allows
 –clinical stabilization of the patient
 –resolution of early organ failure
 –decreased inflammatory reaction, and
 necrotic areas are demarcated
3.Pancreatic pseudocyst
 By definition, the capsule of a pseudocyst is composed of collagen and
granulation tissue, and it is not lined by epithelium.
location-Lesser peritoneal sac in proximity to the pancreas Large pseudocysts
can extend into the paracolic gutters, pelvis
Pathophysiology
 Pancreatic necrosis causes ductular disruption, resulting in leakage of
pancreatic juice from inflamed area of gland, accumulates in space
adjacent to pancreas Inflammatory response induces formation of distinct
cyst wall composed of granulation tissue, organizes with connective tissue
and fibrosis
 5% to 15%
 Presentation
1. Symptoms
 Abdominal pain 3 weeks
 Nausea / vomiting
 Early satiety
 indigestion
2. Signs
 Tenderness
 Abdominal fullness 90%)
Treatment
 Initial NBM
 Octreotide
 Antibiotics if infected
 1/3 — 1/2 resolve spontaneously
Intervention
 Indications for drainage
1. Presence of symptoms 6 wks)
2. Enlargement of pseudocyst ( 6 cm)
3. Complications
4. Suspicion of malignancy
 Intervention
1. Percutaneous drainage
2. Endoscopic drainage
3. Surgical drainage – cystogastrostomy,cystoduodenostomy,cystojejunostomy
 4.pancreaticopleural fistula ,
 5.pancreaticocutaneous fistula
 6.hypocalcemia
When to Discharge
 Pain is well controlled with oral analgesia
Able to tolerate an oral diet that maintains their caloric needs, and
all complications have been addressed adequately
Follow up
 Routine clinical follow-up care (typically including physical examination
and amylase and lipase assays) is needed to monitor for potential
complications of the pancreatitis Within 7-10 days
Prognosis
1. Short practice of surgery by
BAILEY and LOVE.
2. Textbook of surgery by
SABISTON.
3. Internet
Acute Pancreatitis by dr anoop

Acute Pancreatitis by dr anoop

  • 1.
    acute pancreatitis By :Dr. Anoop under guidance of Dr. M. Salim sir
  • 2.
    Anatomy  Pancreas isa retroperitoneal organ 15-20 cm long and weights about 90 g.  Transversely it lies across the posterior abdominal wall posterior to the stomach between duodenum on the right and the spleen on the left.
  • 5.
    Relation of pancrease Head 1. Anterior relation transverse colon 2. Posterior relation IVC CBD Right renal vein
  • 6.
  • 7.
  • 8.
    • Tail Lies anteriorto the left kidney, where it is closely related to the splenic hilum and the left colic flexure.
  • 12.
  • 13.
    Venous drainage  InSMV , SV, portal vein
  • 14.
    Phyiology  Both exocrineand endocrine.  Composed of acinar cell[85%], islet cell[2%],ductal cell[3%],matrix[10%]  Acinar cell secret digestive enzyme .  An exocrine secretion ( pancreatic juice from the acinar cells) that enter the duodenum through the main and accessor y pancreatic ducts.
  • 16.
    Why pancreatic enzymenot cause auto digestion ?  Proenzyme  Pancreatic secretory trypsin inhibitor  Lac of alkaline medium
  • 17.
    Phases of pancreaticsecretion  Cephalic phase [20%[  Gastric phase [10%]  Intestinal phase [70%]
  • 18.
    Acute pancreatitis  Aclinical description of acute pancreatitis was first presented in 1652 by the Dutch anatomist Nicholas Tulp.  Reginald Fitz of Boston presented the first systematic analyses of acute pancreatitis In 1889.  Prevalence rate for Pancreatitis in India is 7.9 per 100,000.
  • 19.
  • 20.
    pancreatic injury leads tozymogen granules and lysosomes colocalize inside the acinar cells. Lysosome contains cathepsin B activates trypsin[in zymogen granules ] in these colocalization organelles. Pancreatitis activated trypsin then induces leak of colocalized organelles, releasing cathepsin B into the cytosol. It is the cytosolic cathepsin B that then induces apoptosis or necrosis, leading to acinar cell death.
  • 22.
    Risk factors Gall Stones 40 percent .  The overall incidence of AP in patients with symptomatic gallstone disease is 3% to 8%.  Old women  Two theory 1. Obstructive theory. 2. Reflux theory.
  • 23.
    Alcohol  35 percent.  heavy ethanol abuse (>100 g/day for at least 5 years)  However, only 5% to 10% of patients who drink alcohol develop AP.  Young men  Smoker .  Mechanism 1. Decrease pancreatic perfusion. 2. Sphincter of Oddi spasm. 3. Obstructs pancreatic ducts through the precipitation of proteins inside the ducts. 4. fatty acid ethyl esters, cause fragility of zymogen granules and lysosomes, which leads to abnormal pancreatic enzyme activation inside acinar cells 5. Ethanol activates PSCs and induces pancreatic fibrosis.
  • 24.
    Anatomical obstruction  Pancreasedivisum  Pancreatic tumour  Parasite - Ascaris lumbricoides
  • 25.
    ERCP  AP isthe most common complication after ERCP,  occurring in up to 5% of patients.  AP occurs more frequently in patients who have undergone therapeutic procedures compared with diagnostic procedures.  Clinical course mild .
  • 26.
    Drug-Induced Pancreatitis  2percent  sulfonamides, metronidazole,  erythromycin,tetracyclines,  thiazides, furosemide  (HMG-CoA) reductase inhibitors (statins),  azathioprine, 6-mercaptopurine  sulfasalazine, valproic acid,  antiretroviral agents
  • 27.
    Metabolic factor  Hypertriglyceridemia Hypercalcemia  Hyperparathyroidism
  • 28.
    Other  Autoimmune pancreatitis Viral infections (mumps, coxsackie B)  Fungul infection[ aspergillus ]  Scorpion bite - Italian scorpion('l'ityus trimtatis) MOA: Neurotransmitter discharge from cholinergic nerve terminals, massive production of pancreatic juice  Idiopathic  Intraoperative injury or handling  Trauma
  • 29.
    Clinical menifestion  ABDOMINALPAIN  SITE : usually experienced first in the epigastrium but may be localized to either upper quadrant or felt diffusely throughout the abdomen or lower chest  ONSET: characteristically develops quickly, generally following substantial meal  SEVERITY: frequently severe, reaching max. intensity within minutes  NATURE: "knifing" burning  DURATION: hours-days  COURSE: constant (refractory to usual doses of analgesics, not relieved by vomiting)  RADIATION : directly to back(50%), chest or flanks  AGGRAVATING FACTOR: food/alcohol intake, walking, lying supine.  RELEIVING FACTOR: sitting or leaning/stooping forward (MUHAMMEDAN
  • 31.
    Associative symptoms  Nausea,frequent and effortless vomiting, Due to reflex pylorospasm  Persistent retching despite empty stomach  Hiccups Due to gastric distension/diaphragmatic irritation  Fever  Weakness, Anxiety, Sweating  dehydration
  • 32.
    Signs  Tenderness  Guarding Rigidity  Cullen sign  Grey turner sign
  • 35.
    Diagnosis of pacreatitis CBC  LFT  RFT  S.AMYLASE  S.LIPASE  RBS  S.electrolyte  ABG
  • 36.
    Pancreatic Enzymes' Assays Serum Amylase:  ONSET: almost immediately  PEAK: within several hours  3-4 times upper limit of normal within 24 hrs (90%)  RETURN to normal depends on severity(3-5 days)  Also raise in SBO, appendicitis, peptic perforation, mesenteric ischemia, torsion of ovary, ruptured ectopic pregnancy  Serum Lipase:  more sensitive/specific than amylase  Remains elevated longer than amylase(12 days)  Useful if late presentation
  • 37.
    Imaging studies X-ray FPA 1.Sentinel loop sign  Localized isolated Distended gut loop (Ileus) seen near the site of injured viscus or inflamed organ  SITE.  Acute Pancreatitis* Left hypochondrium (PROXIMAL JEJUNUM)  Acute Appendicitis* Right iliac fossa  Acute Cholecystitis* Right Hypochondrium  Diverticulitis* Left iliac fossa  Not diagnostic of Acute Pancreatitis; useful in differential diagnosis
  • 40.
    2. Colon cut-offsign  Gas filled (Distended) segment of proximal(mainly transverse) colon associated with narrowing of the splenic flexure with collapse of descending colon
  • 41.
    3. OTHERS  Obliterationof psoas shadow  Localized ground glass appearance ( localized increased high soft  tissue density)  Calcified gall stones  Pancreatic calcification(chronic pancreatitis)  Air in the duodenal C-loop  For DD of perforation peritonitis
  • 44.
    USG  Not diagnostic Should be performed within 24 hours in all patients to detect gall stones* as a potential cause .  Rule out acute cholecystits as differential diagnosis  Detect dilated CBD  sensitivity-(70-80%)
  • 45.
    CECT Abdomen  IOC Detect pancreatic necrosis (patients with suspected severe pancreatitis).  Detect complications of AP.  Diagnose conditions mimicking AP, including  gastrointestinal ischemia, ulceration, or perforation  90% sensitivity and specificity  Normal pancreas enhance uniformaly.  Pancreatic duct appear linear non enhancing structure
  • 52.
    Magnetic Resonant Imaging Suitable alternative to CT in patients with a contrast allergy and renal insufficiency where T2-weighted images without gadolinium contrast can diagnose pancreatic necrosis Magnetic Resonant Cholangiopancreatography  INDICATION:  diagnosis of suspected biliary and pancreatic duct obstruction in the setting of pancreatitis.  Repeated attacks of idiopathic acute pancreatitis
  • 53.
  • 54.
    Endoscopic Retrograde Cholangiopancreatography INDICATION  Severegallstone AP or AP with concurrent acute cholangitis/biliary obstruction/ biliary sepsis/jaundice (due to persistent stone)  ERCP within 24(-72) h of admission  Sphincterotomy/stent and bile duct clearance reduces infective complications/mortality
  • 55.
    Assessment of Severityof Disease Ranson criteria  11 parameters  3 or more  PPV 50%  NPV 90%
  • 57.
     Drawbacks 1. itdoes not predict the severity of disease at the time of the admission because six parameters are assessed only after 48 hours of admission. 2. it is mainly used to rule out severe pancreatitis or to predict the risk of mortality 3. Different for gall stone and alcoholic pancreatitis .
  • 58.
    Acute Physiology andChronic Health Evaluation (APACHE II) score  12 PARAMETERS  An APACHE II score of 8 or higher defines severe pancreatitis.  The main advantage is that it can be used on admission and repeated at any time.  However, it is complex, not specific for AP, and based on the patient’s age, which easily upgrades the AP severity score.
  • 60.
    Management Mild or moderateacute Pancreatitls  self-limiting, needing only brief hospitalization.  Rehydration by IV fluids  Frequent non-invasive observation/monitoring(atleast 8 hrly)  Brief period of fasting till pain/vomiting settles  No medication required other than analgesics and anti-emetics  Antibiotics not indicated in absence of signs or documented sources of infection  Correction of electrolyte imbalance
  • 61.
    Severe acute pancreatitis SAPis characterized by the presence of organic failure (Ranson ≥ 3 or APACHE II ≥ 8), or local complications such as necrosis, pseudocyst and abscess
  • 62.
    Antibiotics  Routine useNOT recommended as Prophylaxis in severe AP as Prevenitve measure in sterile necrosis to prevent development of infected necrosis  Indicated in Established infected pancreatic necrosis or Extraperitoneal infections ,Cholangitis, catheter-acquired infections, bacteremia, UTIs, pneumonia  C-reactive protein is a sensitive marker of pancreatic necrosis and it starts to increase significantly 48 hours after the onset of symptoms. Thus, C- reactive protein can be useful in the identification of patients with high possibility to develop necrosis, in particular when the value is over 150 mg/dl, and subsequently define which patients are candidates to receive early antibiotics
  • 63.
     The mainarguments against the use of antibiotics are the increase of fungal infection, and the increase of bacteria resistance,  One paper analyzing data of 46 patients with infected pancreatic necrosis receiving antibiotics showed that 17 (37%) of them developed fungal infection.  International Association of Pancreatology guidelines for the management of AP recommends the use of prophylactic broadspectrum antibiotics to reduce infection rates in CT-proven necrotizing pancreatitis  Although there is no support in the literature, it is reasonable to assume that prophylactic antibiotic therapy should be considered only for patients with more than 30% pancreatic necrosis. In contrast, there is no evidence in the literature that the use of antibiotics in the absence of necrosis is beneficial.
  • 64.
    Which antibiotic?  Twomain aspects must drive the choice of the antibiotics: the flora and the penetration in the pancreatic tissue.  The bacteria most frequently found are E. coli (27–35%), Enterococcus (24– 26%), Staphylococcus aureus (14–16%), Staphylococcus epidermidis (15%), Klebsiella (15%) Pseudomonas sp (7–11%) and Streptococos (4–7%)  Experimental studies were performed to determine which antibiotic would have a better pancreatic concentration Poor penetration Medium penetration Good penetration Netilmicin Mezlocillin Ciprofloxacin Tobramicin Piperacillin Ofloxacin Ceftizoxime Imipenem Cefotaxime Metronidazole
  • 65.
     Based onstudies and guidelines, conclude that the recommended antibiotic in AP is Imipenem 3 × 500 mg/day i.v. Alternatively, the use of Ciprofloxacin 2 × 400 mg/day i.v. associated with Metronidazole 3 × 500 mg/day i.v. can also be considered.
  • 66.
    Best painkiller inpancreatitis ? The WHO analgesia ladder was originally developed to treat pain due to cancer. However, over time, the indications have been extended, and the medical management of pain in acute pancreatitis
  • 67.
     Opioid analgesics,especially morphine, were long blamed to cause dysfunction of the sphincter of Oddi after systemic administration. However, several studies showed that morphine has no proven significantly unfavorable influence on the course of AP (  the latest studies including systematic reviews convincingly demonstrated that opioid analgesics could be safely administered with major benefit in AP, and that the dogma of “no opioids in AP” should be considered to be obsolete  metamizole resulted in somewhat more frequent and quicker pain relief than s.c. morphine  pethidine  tramadol  buprenorphine as a longer-acting analgesic has a similar analgesic capacity as pethidine, but a lower potential to cause physical opioid dependence
  • 68.
     An interestingquestion on the interaction of pain with nutrition in AP is related to pain relapse after oral refeeding during AP. In different studies, the incidence of pain onset or exacerbation after refeeding ranged between 21-25% and reached a maximum between 50-100% of cases within 48 h of refeeding (59). Therefore, the incidence of pain relapse after oral refeeding during AP seems to be quite high (59). Current evidence suggests that nutrition support should only be performed in patients with severe pancreatitis, whereas nutrition support is generally not needed in patients with mild or moderate disease where oral feeding should be started as soon as possible and as tolerated by patients. If nutrition support is needed in these patients, enteral nutrition should be preferred over parenteral nutrition. However, a clear consensus on how and when the oral refeeding should be initiated has not yet been reached.
  • 69.
    Novel Strategies ofPain Management in AP  recently reported improved survival owing to thoracic epidural analgesia (TEA) in a animal AP model. Here, the 7-day-survival rate of animals that received bupivacaine as TEA was 82% when compared to a mere 29% in the control group.  inhibitors of the proteinase-activated-receptor-2 (PAR2), or of the transient receptor potential vanilloid-1 (TRPV1) have been shown to be beneficial for treating pain during experimental AP in mice  Recently, blockade of interleukin-6 (IL-6) signaling by an orally available, small- molecule IL-6 receptor inhibitor was shown to diminish abdominal hyperalgesia during AP  nitric oxide synthase (NOS) inhibitors reduced abdominal hyperalgesia and AP- associated during AP in rats.  a multicentre randomized controlled trial of magnesium sulphate in the prevention of post-ERPC pancreatitis shall provide data on the impact of magnesium on pain sensation during post-ERCP pancreatitis (26). Once shown to be effective, beyond its preventive usage, magnesium may be considered a novel analgesic alternative to treat pain in AP
  • 70.
    Nutrition In mild AP oral feedings can be started immediately if there is no nausea/vomiting, and the abdominal pain/tenderness/lleus has resolved  Initiation of feeding with a small and slowly increasing low-fat (low- protein) soft diet In severe AP  Enteral route is recommended to prevent infectious complications  Parenteral nutrition should be avoided, unless enteral route is not available, not tolerated, or not meeting caloric requirements
  • 71.
    Role of Surgeryin pancreatitis  In case of mild gallstone AP, cholecystectomy should be performed before discharge to prevent a recurrence of AP  In case of necrotizing biliary AP, in order to prevent infection, cholecystectomy is should be done after 6 week.  If patient unfit for surgery(comorbid/elderly), biliary sphincherotomy alone may be effective to reduce further attacks of AP
  • 72.
    Complication of acutepancreatitis  Most common complication – peripancreatic fluid collection  Most common metaboloc complication – hypocalcemia 1. Peripancreatic fluid collection [30 to 57%]  not covered with epithelium or capsule  treatment –conservative 2. Pancreatic necrosis - Pancreatic necrosis is the presence of nonviable pancreatic parenchyma.  20%  Complication -infection
  • 74.
     Infected pancreaticnecrosis should be suspected in patients with prolonged fever, elevated white blood cell count,  CECT is the most reliable technique to diagnose pancreatic necrosis. It is typically seen as areas of low attenuation. Evidence of air within the pancreatic necrosis seen on a CT scan confirms the diagnosis but is a rare finding.
  • 75.
    Management  FNA withculture and sensitivity .  Historically, the definitive treatment of infected pancreatic necrosis was surgical debridement with necrosectomy, but mortality was very high .  As a result of the elevated morbidity and mortality rates with open debridement, endoscopic and laparoscopic techniques are being used more often. Timing of debridement  The optimal timing is at least 3-4wks following the onset of acute pancreatitis. Delayed debridement allows  –clinical stabilization of the patient  –resolution of early organ failure  –decreased inflammatory reaction, and  necrotic areas are demarcated
  • 76.
    3.Pancreatic pseudocyst  Bydefinition, the capsule of a pseudocyst is composed of collagen and granulation tissue, and it is not lined by epithelium. location-Lesser peritoneal sac in proximity to the pancreas Large pseudocysts can extend into the paracolic gutters, pelvis Pathophysiology  Pancreatic necrosis causes ductular disruption, resulting in leakage of pancreatic juice from inflamed area of gland, accumulates in space adjacent to pancreas Inflammatory response induces formation of distinct cyst wall composed of granulation tissue, organizes with connective tissue and fibrosis  5% to 15%
  • 77.
     Presentation 1. Symptoms Abdominal pain 3 weeks  Nausea / vomiting  Early satiety  indigestion 2. Signs  Tenderness  Abdominal fullness 90%)
  • 79.
    Treatment  Initial NBM Octreotide  Antibiotics if infected  1/3 — 1/2 resolve spontaneously
  • 80.
    Intervention  Indications fordrainage 1. Presence of symptoms 6 wks) 2. Enlargement of pseudocyst ( 6 cm) 3. Complications 4. Suspicion of malignancy  Intervention 1. Percutaneous drainage 2. Endoscopic drainage 3. Surgical drainage – cystogastrostomy,cystoduodenostomy,cystojejunostomy
  • 82.
     4.pancreaticopleural fistula,  5.pancreaticocutaneous fistula  6.hypocalcemia
  • 84.
    When to Discharge Pain is well controlled with oral analgesia Able to tolerate an oral diet that maintains their caloric needs, and all complications have been addressed adequately Follow up  Routine clinical follow-up care (typically including physical examination and amylase and lipase assays) is needed to monitor for potential complications of the pancreatitis Within 7-10 days
  • 85.
  • 86.
    1. Short practiceof surgery by BAILEY and LOVE. 2. Textbook of surgery by SABISTON. 3. Internet