ACUTE
PANCREATITIS
DR AVIJIT BANERJEE
DR AMIT KUMAR SINGH
DR ANUPAM LAHIRI
DR BULLI BOYIDI
SOUTH EASTERN RAILWAY HOSPITAL
Dr Anupam Lahiri
DIAGNOSIS OF ACUTE
PANCREATITIS
DIAGNOSTIC
CRITERIA
Two of following three features
•Clinically - Upper abd. pain of
acute onset often radiating to
back
•Hematological - Serum amylase or
lipase > 3 times normal
•Imaging - Finding on cross sectional
abd. imaging
PHYSICAL
EXAM
•Grey Turner’s Sign
-ecchymosis in 1 or both flanks
•Cullen’s sign
- ecchymosis in periumbilical
area
•Associated with Necrotizing
pancreatitis
•poor prognosis occurs in 1% of
GREY TURNER’S SIGN
CULLEN’S
SIGN
HEMATOLOGIC
AL
• ABG’s
• Etiology specific investigations
– Serum fasting lipid profile
– Serum Calcium (HypercalcemiaAPHypocalcemia)
– Autoimmune markers
• increased serum levels of IgG4
• serum autoantibodies such as anti-nuclear antibody (ANA),anti-lactoferrin
antibody, anti-carbonic anhydrase II antibody, and rheumatoid factor (RF),
Acid-Base Disturbance Etiology
Metabolic (Lactic)acidosis with high anion gap Hypovolemic shock
Chloride-responsive Hypokalemic Hypochloremic metabolic alkalosis
(Urine chloride < 20 mEq/L)
persistent vomiting
Respiratory acidosis ARDS/resp failure
HEMATOLOGIC
AL
• Pancreatic Enzymes’ Assays
– Serum Amylase:
• ONSET: almost immediately
• PEAK: within several hours
Raised Amylase  may not AP
Normal Amylase  may be AP
– 3-4 times upper limit of normal within 24 hrs(90%)
• RETURN to normal depends on severity(3-5 days)
• normal at time of admission in 20% cases
• Compared with lipase, returns more quickly to values below
the upper limit of normal.
– Serum Lipase:
• more sensitive/specific than amylase
• Remains elevated longer than amylase(12 days)
Useful if late presentation
Begins to increase 4-8 Hr after onset of symptoms and peaks at 24Hr
Remains elevated for days
Sensitivity 86-100% and Specificity 60- 99%
>3X normal Sensitivity & Specificity is 100%
– Urine Amylase
• More sensitive than serum levels
• Remain elevated for several days after serum levels returned to
normal
– Pancreatic-specific amylase (p-amylase)
• Measuring p-amylase instead to total amylase (also
includes salivary amylase) makes diagnosis more
specific(88-93%)
HEMATOLOGIC
AL• BASELINES
– CBC:
• Low Hb: prolonged hemetemesis/melena, internal hemorrhage
• Leucocytosis (10,000-30,000/mcL)-infection, non infectious inflammation
• Low platelets-DIC
• Hct –raised in hemoconcentration
– LFT’s:
• raised bilirubin, AST/ALT/LDH, ALP, GGTP- gall stone pancreatitis
– RFT’s:
• raised BUN/cretainine- ATN ARF
– Coagulation profile:
• increased INR-DIC
– BSR:
• > 180 mg/dl-diabetes as a sequelae or cause
– Serum electrolytes:
• Low sodium/potassium: persistent vomiting
• Hypocalcemia- saponification/fat necrosis
– Serum Protein:
• low protein/ albumin
Diabetes Mellitus AP
Slide 189
PLAIN ABDOMINAL
RADIOGRAPH
• Bowel ileus
• Sentinel Loop
• Colon cut off sign
• Loss of psoas shadow
Helps exclude other causes of
abdominal pain: bowel obstruction
and perforation
SENTINEL
LOOP
•
• Sentinel* loop sign
– Localized isolated Distended gut loop (Ileus) seen near the site
of injured viscus
or inflamed organ
– RATIONALE: body's effort to localize the traumatic or inflamed
COLON
CUTOFF SIGN
• Colon cut-off sign
– Gas filled (Distended) segment
of proximal (mainly transverse)
colon
associated with narrowing of the
splenic flexure
– abruptly ending at the area of
pancreatic inflammation
– with collapse of descending
colon
– RATIONALE: Extension of
inflammatory process from the
pancreas into the
phrenicocolic ligament via the
transverse mesocolon
MORPHOLOGIC TYPES OF ACUTE
PANCREATITIS
1992 ATLANTA
 Interstitial
edematous
pancreatitis
 Acute
necrotizing
pancreatitis
REVISED
 Interstitial edematous
pancreatitis
 Acute necrotizing
pancreatitis
-parenchymal necrosis
alone
-peripancreatic
necrosis alone
-combined type
CT SCAN OF ACUTE
PANCREATITIS
CT shows
significant
swelling and
inflammation of
the pancreas
INTERSTITIAL EDEMATOUS
PANCREATITIS
 Localized / diffuse
enlargement
of the pancreas
Normal homogenous
/ slightly
heterogenous
enhancement
 Mild inflammatory
changes in the
peripancreatic soft
tissue : i.e: stranding 63yold. There is peripancreatic fat
stranding (arrows) without an acute
peripancreatic fluid collection.
INTERSTITIAL EDEMATOUS
PANCREATITIS
(A) Acute interstitial oedematous pancreatitis and acute peripancreatic
fluid collection (APFC) in the left anterior pararenal space (white arrows
showing the borders of the APFC). (B) A few weeks later, a follow up CT
shows complete resolution of the APFC with minimal residual
peripancreatic fat stranding.
ACUTE NECROTIZING
PANCREATITIS

Inflammation associated with
pancreatic parenchymal
necrosis and/or

peripancreatic
necrosis
Lack of pancreatic
parenchymal
enhancement by
intravenous contrast
agent
Acute necrotic collection (ANC) in a 47-year-old
woman involving the pancreatic parenchyma alone.
Thin white arrows denote a newly developed,
slightly heterogeneous collection in the region of
the neck and body of the pancreas, without
extension in the peripancreatic tissues.
ACUTE NECROTIZING
PANCREATITIS
Acute necrotic collections (ANC) in a 44-year-old man with acute necrotising pancreatitis
involving only the peripancreatic tissues. Enhancement of the entire pancreatic
parenchyma (white stars) and the heterogeneous, non-liquid peripancreatic components in
the retroperitoneum (white arrows pointing at the borders of the ANC). (B) The ANC in the
same patient but imaged a few weeks later demonstrate a heterogeneous collection with
areas of fat (black arrowheads) surrounded by fluid density. This finding is typical for
peripancreatic necrosis. White arrows denote border of ANC; white stars denote
enhancement
GALL STONE PANCREATITIS BY ERCP
RENAL HALO
SIGNNORMAL RENAL HALO SIGN
• Renal halo sign
– RATIONALE: peripancreatic inflammatory reaction extension into
pararenal space
– ETIOLOGY: water-density (radiolucent-halo)of inflammation in
anterior pararenal space contrasts with perirenal fat; more common
IV CONTRAST ENHANCED COMPUTED
TOMOGRAPHY SCAN• INDICATIONS-DIAGNOSTIC
– Initial assessment of prognosis(CT severityindex)
– Perfusion CT at 3rd day  area of ischemia predict pancreatic
necrosis
• INDICATIONS-THERAPEUTIC:
– CT-guided aspiration of fluid collection/necrotic tissue for gram
staining and culture(sterile vs infected necrosis)
– specimen should be delivered to the laboratory within an hour and
interpreted promptly
– CT-guided pig tail catheter insertion
Seldom needed within first 72 hrs after symptom onset
unless the diagnosis is uncertain, because inflammatory
changes are often not radiological present until this time
*Use of IV contrast may increase risk of complications of pancreatitis and AKI
*Avoided if serum creatinine >1.5 mg/dL
*MRI suitable alternative
BALTHAZAR CT SEVERITY INDEX(CTSI)-
1994
Mild (0-3) moderate (4-6) severe (7-10)
CT Severity Index Inflammation score + Necrosis score
PLAIN CXR-PA
VIEW
• Left sided Pleural effusion: blunting of costophrenic and
cardiophrenic angles + haziness in lower zones
• Elevated diaphragm on left side
• Linear focal atelactasis of lower lobe of lungs
• ARDS: diffuse alveolar interstitial shadowing
• Pulmonary edema: prominent vascular markings
Not diagnostic of Acute Pancreatitis; useful in differential diagnosis
ABDOMINAL ULTRASONOGRAPHY
• Not diagnostic
• Should be performed within 24 hours in all patients to
– detect gall stones* as a potential cause
– Rule out acute cholecystits as differential diagnosis
– Detect dilated CBD
– sensitivity-(70-80%)
– DEMERIT: overlying gas shadows secondary to bowel distension
• THERAPEUTIC:
– USG-guided aspiration for gram staining and culture
– USG-guided pig tail catheter insertion
MAGNETIC
RESONANT
IMAGING
Suitable alternative to CT in patients with a
contrast allergy and renal insufficiency where
T2-weighted images without gadolinium
contrast can diagnose pancreatic necrosis
MAGNETIC RESONANT
CHOLANGIOPANCREATOGRAP
HY
• INDICATION:
– diagnosis of suspected biliary and pancreatic duct obstruction in
the setting of pancreatitis.
– Repeated attacks of idiopathic acute pancreatitis
• Merit
– used if choledocholithiasis is suspected but there is concern that
pancreatitis might worsen if ERCP is performed
– Provide non-invasive/fast/safe high-quality (Heavily T2–
weighted) imaging for diagnostic and/or severity purposes
ENDOSCOPIC
ULTRASONOGRAPHY• INDICATIONS
– Repeated idiopathic acute pancreatitis*
• occult biliary disease- small stones/sludge
• secretin-stimulated EUS study may reveal resistance to
ductal outflow at the level of the papilla,
– as evidenced by dilatation of the pancreatic duct to
a greater extent and longer duration than in a healthy
population
– Age >40 to exclude malignancy
• especially those with prolong or recurrentcourse
• RATIONALE: 5 % CA pancreas present as AP
ENDOSCOPIC RETROGRADE
CHOLANGIOPANCREATOGRAPHY
INDICATION
• Severe gallstone AP or AP with concurrent acute cholangitis/biliary
obstruction/ biliary sepsis/jaundice (due to persistent stone)
• ERCP within 24 -72 hr of admission
• Sphincterotomy/stent and bile duct clearance reduces infective
complications/mortality
NOT INDICATED
• Not needed early in most patients with gallstone pancreatitis who lack
laboratory or clinical evidence of ongoing biliary obstruction
As most of gallstones causing AP readily pass to duodenum and are lost in
stool
MISCELLANEOU
S• Peritoneal(sensitivity 54%,specificity 93%)/Pleural fluid tap
– High amylase/lipase/protein
• Urine Complete Examination
– Proteinuria, granular cast, glycosuria
• Electrocardiography
– ST-T wave changes
• Bile Aspiration
– Crystal analysis, if suspicion of microlithiasis
• Manometry
– Sphincterof Oddi dysfunction as a cause
• Genetic testing
– may be considered in young(<30 yrs) patients if no cause is evident and a
family history (especially if >1 family member)of pancreatic disease is present
RANSON CRITERIA
The Ranson criteria form a clinical prediction rule for predicting the
prognosis and mortality risk of acute pancreatitis.
They were introduced in 1974 by the English-American Pancreatic
Expert and Surgeon, Dr. John Ranson
ATLANTA CLASSIFICATION
The Revised Atlanta classification of acute pancreatitis is an
international multidisciplinary classification of the severity of acute
pancreatitis, updating the 1992 Atlanta classification.
It was initially revised in 2012 and then further updated in 2016
CT SEVERITY INDEX
The CTSI sums two scores:
1.Balthazar score: grading of pancreatitis (A-E)
2.Grading the extent of pancreatic necrosis
The necrosis scoring system was added to the traditional Balthazar
score in the 1990
Modifications have been made to the CTSI, resulting in the Modified
CTSI (2004)
MANAGEMENT OF ACUTE
PANCREATITIS
Dr Avijit Banerjee
INITIAL MANAGEMENT
1. Aggressive hydration, defined as 250-500 ml per hour of isotonic
crystalloid solution should be provided to all patients, unless
cardiovascular and / or renal co-morbidites exist. Early aggressive
intravenous hydration is most beneficial the first 12 – 24 h, and may
have little benefit beyond.
2. In a patient with severe volume depletion, manifest as hypotension
and tachycardia, more rapid repletion (bolus) may be needed .
3. Lactated Ringer’s solution may be the preferred isotonic crystalloid
replacement fluid.
4. Fluid requirements should be reassessed at frequent intervals within
6 h of admission and for the next 24 – 48 h. The goal of aggressive
hydration should be to decrease the blood urea nitrogen
RATIONALE FOR RAPID HYDRATION
• Despite dozens of randomized trials, no medication has been shown to
be effective in treating AP.
• The rationale for early aggressive hydration in AP arises from
observation of the frequent hypovolemia that occurs from multiple factors:
i. including vomiting,
ii. reduced oral intake,
iii. third spacing of fluids,
iv. increased respiratory losses and
v. diaphoresis.
vi. In addition, researchers hypothesize that a combination of
microangiopathic effects and edema of the inflamed pancreas decreases
blood flow, leading to increased cellular death, necrosis, and ongoing
release of pancreatic enzymes activating numerous cascades.
WHY RL?
• Benefits to using the more pH-balanced lactated
Ringer ’ s solution for fluid resuscitation compared
with normal saline. Low pH activates the trypsinogen,
makes the acinar cells more susceptible to injury and
increases the severity of established AP in
experimental studies. Although both are isotonic
crystalloid solutions, normal saline given in large
volumes may lead to the development of a non-anion
gap, hyperchloremic metabolic acidosis.
ERCP IN AP
1. Patients with acute pancreatitis and concurrent acute
cholangitis should undergo ERCP within 24 h of admission.
2. ERCP is not needed in most patients with gallstone
pancreatitis who lack laboratory or clinical evidence of ongoing
biliary obstruction.
3. In the absence of cholangitis and / or jaundice, MRCP or
endoscopic ultrasound (EUS) rather than diagnostic ERCP should
be used to screen for choledocholithiasis if highly suspected.
4. Pancreatic duct stents and / or postprocedure rectal
nonsteroidal anti-infl ammatory drug (NSAID) suppositories
should be utilized to prevent severe postERCP pancreatitis in
high-risk patient
ROLE OF ANTIBIOTICS IN AP
1. Antibiotics should be given for an extrapancreatic infection,
such as cholangitis, catheter-acquired infections, bacteremia,
urinary tract infections, pneumonia .
2. Routine use of prophylactic antibiotics in patients with severe
acute pancreatitis is not recommended .
3. The use of antibiotics in patients with sterile necrosis to
prevent the development of infected necrosis is not
recommended .
4. Infected necrosis should be considered in patients with
pancreatic or extrapancreatic necrosis who deteriorate or fail to
improve after 7 – 10 days of hospitalization. In these patients,
either – (i) initial CT-guided FNA for Gram stain and culture to
guide use of appropriate antibiotics or – (ii) empiric use of
5. In patients with infected necrosis, antibiotics known to
penetrate pancreatic necrosis, such as carbapenems,
quinolones, and metronidazole, may be useful in delaying or
sometimes totally avoiding intervention, thus decreasing
morbidity and mortality .
6. Routine administration of antifungal agents along with
prophylactic or therapeutic antibiotics is not recommended
• The need to place the pancreas at rest until complete
resolution of AP no longer seems imperative.
• Long held assumption that the inflamed pancreas requires
prolonged rest by fasting does not appear to be supported by
clinical and laboratory observations.
• TPN is associated with infections and other line related
complications. Enteral feeding maintains gut mucosal barrier,
prevents disruption and translocation of bacteria that seed
pancreatic necrosis.
ROLE OF SURGERY IN AP
• In patients with mild AP, found to have gallstones in the gallbladder, a
cholecystectomy should be performed before discharge to prevent a
recurrence of AP
• In a patient with necrotizing biliary AP, in order to prevent infection,
cholecystectomy is to be deferred until active inflammation subsides and
fluid collections resolve or stabilize .
• The presence of asymptomatic pseudocysts and pancreatic and / or
extrapancreatic necrosis do not warrant intervention, regardless of size,
location, and / or extension .
• In stable patients with infected necrosis, surgical, radiologic, and / or
endoscopic drainage should be delayed preferably for more than 4 weeks to
allow liquefication of the contents and the development of a fibrous wall
around the necrosis .
ACUTE NECROTIZING
PANCREATITIS
Conceptually, it is helpful to view the pathophysiology of ANP as
evolving in two clinical
phases:
1>Early (<7 days from the onset of pancreatitis) cytokine-mediated
vasoactive
phase where deaths are related to progressive organ dysfunction and
hypoperfusion;
2>Late (>14 days from the onset of pancreatitis) infection-mediated
septic phase, commonly attributed to secondary bacterial infection
(e.g., infected pancreatic necrosis) leading to persistent multiple
organ system failure
MANAGEMENT
1>Adequate, early (within 24 h of diagnosis) fluid resuscitation may
influence the clinical course of patients with AP by reducing the
systemic inflammatory response and development of organ failure
2>Improved supportive care (enteral nutrition, prophylactic
antibiotics),avoiding unnecessary or ill-timed surgical intervention
(CT-guided fine-needle aspiration [FNA], delayed operative
intervention), and targeted, minimally invasive necrosectomy for
infected necrosis using a step-up approach
NUTRITIONAL SUPPORT
1>The concept that limitation of enteral feeding is necessary in ANP
to avoid further stimulation of pancreatic exocrine secretion is
outdated
2>Enteral nutrition, when tolerated, is cost effective, decreases
catheter-related infectious complications, improves blood glucose
control and intestinal mucosal integrity
3> Unfortunately, not all patients tolerate enteral feeding, particularly
early in the course of their disease
4>Total parenteral nutrition providing adequate calories and protein
remains useful.
PROPHYLACTIC ANTIBIOTICS
<>Secondary infection in pancreatic necrosis is thought to occur
through
1> Translocation of intestinal bacteria (aerobic gram-negative rods,
Enterococcus, and anaerobes) or
2> Through seeding caused by transient bacteremias related to
invasive arterial monitoring lines and venous access sites (gram-
positive cocci)
<>Current policy is to give antibiotic “on demand” to cover possible
sources of infection for specific clinical indications in critically ill
patients until culture results are available to guide further therapy
TIMING OF SURGICAL
INTERVENTION
The presence of infection in pancreatic necrosis is confirmed by
either:
(1) radiographic evidence of extra-luminal gas located in the area of
necrosis as seen on cross-sectional imaging
(2) CT-guided percutaneous FNA showing organisms on gram stain
or culture
Operative necrosectomy is best utilized after the third week of a
patient’s clinical course to allow time for the resolution of early
cytokine-mediated vasoactive disease phase, as well as the structural
demarcation between live and dead tissue in the retroperitoneum
percutaneous
CT-guided catheter drainage (PCD) can be an extremely effective
treatment modality BEFORE 3 WEEKS of proven infected APN.
METHODS OF NECROSECTOMY
POST NECROSECTOMY
COMPLICATIONS
1> Residual retroperitoneal or intraperitoneal fluid collection
2> Postoperative bleeding can be categorized as either early (<24
h)<due to colonic or peripancreatic artery bleed> or late (>24 h) in
the postoperative period< due to pseudo aneurysm>
Common sites of pseudoaneurysm formation in necrotizing
pancreatitis include the splenic, gastroduodenal,
pancreaticoduodenal, and dorsal pancreatic arteries
3>Pancreatic fistulas
4>Postoperative incisional hernias
LOCAL COMPLICATIONS OF ACUTE
PANCREATITIS Dr Bulli Boyidi
LOCAL COMPLICATIONS OF ACUTE
PANCREATITIS- Pancreatic Fluid Collections
* Acute Peripancreatic Fluid Collection , Acute Necrotic Collection
* Pseudocyst and Walled off Pancreatic Necrosis
- Pancreatic Ascites
- Portal, Splenic Vein Thrombosis
- Pseudoaneurysm
PANCREATIC FLUID COLLECTIONS
Revised ATLANTA CRITERIA
- Pancreatic fluid collections are classified as
Acute (< 4 weeks after the episode of pancreatitis )
Chronic (> 4 weeks after the episode of pancreatitis )
- The acute and chronic collections are further subdivided based on the
presence of necrosis within the collections
PANCREATIC FLUID COLLECTIONS
Revised ATLANTA Criteria
- Acute collections are divided into
Acute Peripancreatic Fluid Collections (APFC)
Acute Necrotic Collections (ANC)
- Chronic fluid collections are divided into
Pseudocysts
Walled-Off Pancreatic Necrosis (WOPN)
PANCREATIC FLUID COLLECTIONS
- Fluid collections associated with Interstitial oedematous pancreatitis (i.e. minimal or
no necrosis)
Acute peripancreatic fluid collections (APFC)
Pseudocysts
- Fluid collections associated with Necrotising pancreatitis
Acute necrotic collections (ANCs):
Walled-off (pancreatic) necrosis ( WOPN):
ACUTE PERIPANCREATIC FLUID COLLECTIONS
(APFC)- Amylase rich collections, adjacent to the pancreas , lack a well defined wall
- Seen in Interstitial pancreatitis
- Majority remain sterile
- The usual locations are
Lesser sac
Anterior and posterior pararenal space of the retroperitoneum
Transverse mesocolon
Small bowel mesentery
- Usually resolve with conservative management in 2-4 weeks
MANAGEMENT OF APFC
- Majority of them resolve with conservative management
- Intervention is necessary in case of a large collection causing symptoms or
pressure effects
USG guided / CT guided PERCUTANEOUS ASPIRATION
EUS guided Transgastric Drainage
- An APFC that does not resolve can evolve into a PSEUDOCYST
ACUTE NECROTIC COLLECTIONS (ANC)
- Pancreatic necrosis refers to diffuse or focal area of non-viable parenchyma
that is typically associated with peripancreatic fat necrosis
- Occurs in Necrotising pancreatitis
- It involves both the pancreas and peripancreatic tissues
- Lacks a well defined wall
ACUTE NECROTIC COLLECTION -
MANAGEMENT- Sterile pancreatic necrosis should not be drained or interfered with
- If the patient shows signs of sepsis and peripancreatic fluid is infected ~USG
or more appropriately CT Guided percutaneous aspiration is performed
~ If the aspirate is purulent
. Percutaneous drainage of the infected fluid is done with the possible
widest bore tube drain
. Microbiological assessment of the aspirate and appropriate antibiotic
therapy according to the sensitivity report
ACUTE NECROTIC COLLECTION -
MANAGEMENT- If sepsis worsens ,Pancreatic Necrosectomy should be considered
- Pancreatic Necrosectomy
~ Open Surgical approach - challenging operation with high morbidity and
mortality
~ Laparoscopic Approach - Minimally invasive via Trans Peritoneal or
retroperitoneal approach
- Once the open surgical necrosectomy has been performed the options are
Closed Continuous Lavage ( Beger ): Tube drains are left in and the raw
areas are flushed
Lavage is carried out through several double and single lumen catheters in
lesser sac
1 litre of Saline is infused through and then drained over a period of hours
The process is repeated
- Closed Drainage : The incision is closed but the cavity packed with gauge
filled penrose drains and closed suction drains
The penrose drains are brought out through the flank and slowly pulled out
and removed after 7 days
- Open Packing : The incision is left open and the cavity is packed with the
intention of returning to the operation room at regular intervals and
repacking until there is clean granulating cavity
- Closure and Relaparotomy : The incision is closed with drains with the
intention of performing a series of planned laparotomies every 48-72 hours
until the raw area granulates
PANCREATIC NECROSECTOMY
- In recent years there has been a shift in paradigm from Open Surgical
Necrosectomy to Endoscopic or Percutaneous procedures
- Surgery is now reserved for cases in which endoscopic or percutaneous
procedures are not feasible
. Infection of the pancreatic bed before a well formed, walled-off collection
is formed
. Abdominal compartment syndrome
PANCREATIC NECROSECTOMY
EUS Guided Pancreatic Necrosectomy
- Standard treatment in specialized centres
- Under EUS guidance a cystogastrostomy is done
Minimally invasive Alternatives
- Percutaneous drainage followed by percutaneous or sinus tract endoscopy
with necrosectomy
- Retroperitoneal Laparoscopic necrosectomy via percutaneous access without
entering into the abdominal cavity
PSEUDOCYSTS
- Peripancreatic fluid collection containing high concentration of pancreatic
enzymes within a defined fibrous wall and lacking an epithelial lining
- Usually arises from APFC and matures after four weeks or more
- Usually single,occasionally multiple
- More than half communicate with the Main Pancreatic duct
PANCREATIC PSEUDOCYST -
MANAGEMENT- Pseudocysts resolve spontaneously in most instances
- Less likely to resolve Thick walled
Large(> 6 cm in diameter)
Lasting for > 12 weeks
Arisen in the context of Chronic pancreatitis
- The therapeutic intervention : Pseudocyst causing symptoms
Complications develop
Neoplasm is suspected
MANAGEMENT OF PANCREATIC
PSEUDOCYST- The possible approaches are
Percutaneous
Endoscopic
Open Surgical
PERCUTANEOUS DRAINAGE OF
PANCREATIC PSEUDOCYST- Usually done under radiological guidance
- Carries high likelihood of recurrence
- Contraindications - Suspected Neoplasm
Communication with the main PD
- Complications - Infection
Pancreaticocutaneous fistula
PANCREATIC PSEUDOCYST -
MANAGEMENT
- Endoscopic Transmural Drainage
Conventional Transmural Endoscopic drainage
. identifying the bulge of Pseudocyst on the gastric wall and creating a
fistulous tract between pseudocyst cavity and gastric lumen and placing one
or more PLASTIC STENT to allow continuous drainage
EUS Guided Transmural Drainage
. particularly useful in pseudocysts without bulge on the gastric wall
. ability to identify vascular structures between cyst and gastric lumen
PANCREATIC PSEUDOCYST -
MANAGEMENTEndoscopic Transmural Drainage
- Plastic stents : Multiple, long procedure times, stent occlusion
- Fully Covered Self Expanding Metal Stents (FCSEMS)
Single , shorter procedure times
With/without anti migratory fins
- Novel Lumen Apposing Metal Stents (LAMS) - Less risks of stent migration
OPEN SURGICAL DRAINAGE
- The open surgical drainage depending on the location of the pseudocyst
Cystogastrostomy
CystoJejunostomy
PANCREATIC PSEUDOCYST -
MANAGEMENT
- Pseudocyst communicating with the main Pancreatic duct
ERCP and placement of a Pancreatic stent across the ampulla
WALLED-OFF PANCREATIC NECROSIS (WOPN)
- It is a PFC that contains solid necrotic debris that contains a well defined
capsule with or without fluid component
- Usually develops after necrotising pancreatitis
- Small percentage may resolve spontaneously
- Majority require Surgical Intervention
WALLED-OFF PANCREATIC NECROSIS -
MANAGEMENT- Management includes
* Percutaneous Drainage
* Direct Endoscopic Necrosectomy(DEN) - endoscope is passed through the
fistulous tract , mechanical cleaning
* Fully Covered SEMS (limited value)- do not allow the passage of endoscope
* Lumen Apposing Metal Stents - allow the passage of endoscope
PANCREATIC ASCITES
- Pancreatic ascites is a chronic, generalised, peritoneal, enzyme rich effusion
usually associated with pancreatic bed disruption
- Paracentesis : Turbid fluid with high Amylase level
- Management : Wide bore drains placed under radiological guidance
Parenteral feeding
Octreotide
HAEMORRHAGE
- Bleeding may occur into the gut , into the retroperitoneum, peritoneal cavity
- Possible causes include : Bleeding into the pseudocyst cavity
Diffuse bleeding from a large raw surface
Pseudoaneurysm
False aneurysm of a major peripancreatic vessel
- Diagnosis - CT/ MR Angiography
- Management - Embolisation or Surgery
PORTAL OR SPLENIC VEIN THROMBOSIS
- Often develop silently and are identified on a CT Scan
- A marked rise in Platelet count should raise the suspicion
- Management ;
In the context of Acute pancreatitis is conservative
Patient should be screened for pro coagulant tendencies
Varices - Endoscopic banding/injection, Beta- blockade
Thrombocytosis - May mandate Aspirin
Systemic Anticoagulation
Acute pancreatitis

Acute pancreatitis

  • 1.
    ACUTE PANCREATITIS DR AVIJIT BANERJEE DRAMIT KUMAR SINGH DR ANUPAM LAHIRI DR BULLI BOYIDI SOUTH EASTERN RAILWAY HOSPITAL
  • 2.
    Dr Anupam Lahiri DIAGNOSISOF ACUTE PANCREATITIS
  • 3.
    DIAGNOSTIC CRITERIA Two of followingthree features •Clinically - Upper abd. pain of acute onset often radiating to back •Hematological - Serum amylase or lipase > 3 times normal •Imaging - Finding on cross sectional abd. imaging
  • 4.
    PHYSICAL EXAM •Grey Turner’s Sign -ecchymosisin 1 or both flanks •Cullen’s sign - ecchymosis in periumbilical area •Associated with Necrotizing pancreatitis •poor prognosis occurs in 1% of
  • 5.
  • 6.
  • 7.
    HEMATOLOGIC AL • ABG’s • Etiologyspecific investigations – Serum fasting lipid profile – Serum Calcium (HypercalcemiaAPHypocalcemia) – Autoimmune markers • increased serum levels of IgG4 • serum autoantibodies such as anti-nuclear antibody (ANA),anti-lactoferrin antibody, anti-carbonic anhydrase II antibody, and rheumatoid factor (RF), Acid-Base Disturbance Etiology Metabolic (Lactic)acidosis with high anion gap Hypovolemic shock Chloride-responsive Hypokalemic Hypochloremic metabolic alkalosis (Urine chloride < 20 mEq/L) persistent vomiting Respiratory acidosis ARDS/resp failure
  • 8.
    HEMATOLOGIC AL • Pancreatic Enzymes’Assays – Serum Amylase: • ONSET: almost immediately • PEAK: within several hours Raised Amylase  may not AP Normal Amylase  may be AP – 3-4 times upper limit of normal within 24 hrs(90%) • RETURN to normal depends on severity(3-5 days) • normal at time of admission in 20% cases • Compared with lipase, returns more quickly to values below the upper limit of normal.
  • 9.
    – Serum Lipase: •more sensitive/specific than amylase • Remains elevated longer than amylase(12 days) Useful if late presentation Begins to increase 4-8 Hr after onset of symptoms and peaks at 24Hr Remains elevated for days Sensitivity 86-100% and Specificity 60- 99% >3X normal Sensitivity & Specificity is 100%
  • 10.
    – Urine Amylase •More sensitive than serum levels • Remain elevated for several days after serum levels returned to normal – Pancreatic-specific amylase (p-amylase) • Measuring p-amylase instead to total amylase (also includes salivary amylase) makes diagnosis more specific(88-93%)
  • 11.
    HEMATOLOGIC AL• BASELINES – CBC: •Low Hb: prolonged hemetemesis/melena, internal hemorrhage • Leucocytosis (10,000-30,000/mcL)-infection, non infectious inflammation • Low platelets-DIC • Hct –raised in hemoconcentration – LFT’s: • raised bilirubin, AST/ALT/LDH, ALP, GGTP- gall stone pancreatitis – RFT’s: • raised BUN/cretainine- ATN ARF – Coagulation profile: • increased INR-DIC – BSR: • > 180 mg/dl-diabetes as a sequelae or cause – Serum electrolytes: • Low sodium/potassium: persistent vomiting • Hypocalcemia- saponification/fat necrosis – Serum Protein: • low protein/ albumin Diabetes Mellitus AP
  • 12.
  • 13.
    PLAIN ABDOMINAL RADIOGRAPH • Bowelileus • Sentinel Loop • Colon cut off sign • Loss of psoas shadow Helps exclude other causes of abdominal pain: bowel obstruction and perforation
  • 14.
    SENTINEL LOOP • • Sentinel* loopsign – Localized isolated Distended gut loop (Ileus) seen near the site of injured viscus or inflamed organ – RATIONALE: body's effort to localize the traumatic or inflamed
  • 15.
    COLON CUTOFF SIGN • Coloncut-off sign – Gas filled (Distended) segment of proximal (mainly transverse) colon associated with narrowing of the splenic flexure – abruptly ending at the area of pancreatic inflammation – with collapse of descending colon – RATIONALE: Extension of inflammatory process from the pancreas into the phrenicocolic ligament via the transverse mesocolon
  • 16.
    MORPHOLOGIC TYPES OFACUTE PANCREATITIS 1992 ATLANTA  Interstitial edematous pancreatitis  Acute necrotizing pancreatitis REVISED  Interstitial edematous pancreatitis  Acute necrotizing pancreatitis -parenchymal necrosis alone -peripancreatic necrosis alone -combined type
  • 17.
    CT SCAN OFACUTE PANCREATITIS CT shows significant swelling and inflammation of the pancreas
  • 18.
    INTERSTITIAL EDEMATOUS PANCREATITIS  Localized/ diffuse enlargement of the pancreas Normal homogenous / slightly heterogenous enhancement  Mild inflammatory changes in the peripancreatic soft tissue : i.e: stranding 63yold. There is peripancreatic fat stranding (arrows) without an acute peripancreatic fluid collection.
  • 19.
    INTERSTITIAL EDEMATOUS PANCREATITIS (A) Acuteinterstitial oedematous pancreatitis and acute peripancreatic fluid collection (APFC) in the left anterior pararenal space (white arrows showing the borders of the APFC). (B) A few weeks later, a follow up CT shows complete resolution of the APFC with minimal residual peripancreatic fat stranding.
  • 20.
    ACUTE NECROTIZING PANCREATITIS  Inflammation associatedwith pancreatic parenchymal necrosis and/or  peripancreatic necrosis Lack of pancreatic parenchymal enhancement by intravenous contrast agent Acute necrotic collection (ANC) in a 47-year-old woman involving the pancreatic parenchyma alone. Thin white arrows denote a newly developed, slightly heterogeneous collection in the region of the neck and body of the pancreas, without extension in the peripancreatic tissues.
  • 21.
    ACUTE NECROTIZING PANCREATITIS Acute necroticcollections (ANC) in a 44-year-old man with acute necrotising pancreatitis involving only the peripancreatic tissues. Enhancement of the entire pancreatic parenchyma (white stars) and the heterogeneous, non-liquid peripancreatic components in the retroperitoneum (white arrows pointing at the borders of the ANC). (B) The ANC in the same patient but imaged a few weeks later demonstrate a heterogeneous collection with areas of fat (black arrowheads) surrounded by fluid density. This finding is typical for peripancreatic necrosis. White arrows denote border of ANC; white stars denote enhancement
  • 22.
  • 23.
    RENAL HALO SIGNNORMAL RENALHALO SIGN • Renal halo sign – RATIONALE: peripancreatic inflammatory reaction extension into pararenal space – ETIOLOGY: water-density (radiolucent-halo)of inflammation in anterior pararenal space contrasts with perirenal fat; more common
  • 24.
    IV CONTRAST ENHANCEDCOMPUTED TOMOGRAPHY SCAN• INDICATIONS-DIAGNOSTIC – Initial assessment of prognosis(CT severityindex) – Perfusion CT at 3rd day  area of ischemia predict pancreatic necrosis • INDICATIONS-THERAPEUTIC: – CT-guided aspiration of fluid collection/necrotic tissue for gram staining and culture(sterile vs infected necrosis) – specimen should be delivered to the laboratory within an hour and interpreted promptly – CT-guided pig tail catheter insertion Seldom needed within first 72 hrs after symptom onset unless the diagnosis is uncertain, because inflammatory changes are often not radiological present until this time *Use of IV contrast may increase risk of complications of pancreatitis and AKI *Avoided if serum creatinine >1.5 mg/dL *MRI suitable alternative
  • 25.
    BALTHAZAR CT SEVERITYINDEX(CTSI)- 1994 Mild (0-3) moderate (4-6) severe (7-10) CT Severity Index Inflammation score + Necrosis score
  • 26.
    PLAIN CXR-PA VIEW • Leftsided Pleural effusion: blunting of costophrenic and cardiophrenic angles + haziness in lower zones • Elevated diaphragm on left side • Linear focal atelactasis of lower lobe of lungs • ARDS: diffuse alveolar interstitial shadowing • Pulmonary edema: prominent vascular markings Not diagnostic of Acute Pancreatitis; useful in differential diagnosis
  • 27.
    ABDOMINAL ULTRASONOGRAPHY • Notdiagnostic • Should be performed within 24 hours in all patients to – detect gall stones* as a potential cause – Rule out acute cholecystits as differential diagnosis – Detect dilated CBD – sensitivity-(70-80%) – DEMERIT: overlying gas shadows secondary to bowel distension • THERAPEUTIC: – USG-guided aspiration for gram staining and culture – USG-guided pig tail catheter insertion
  • 28.
    MAGNETIC RESONANT IMAGING Suitable alternative toCT in patients with a contrast allergy and renal insufficiency where T2-weighted images without gadolinium contrast can diagnose pancreatic necrosis
  • 29.
    MAGNETIC RESONANT CHOLANGIOPANCREATOGRAP HY • INDICATION: –diagnosis of suspected biliary and pancreatic duct obstruction in the setting of pancreatitis. – Repeated attacks of idiopathic acute pancreatitis • Merit – used if choledocholithiasis is suspected but there is concern that pancreatitis might worsen if ERCP is performed – Provide non-invasive/fast/safe high-quality (Heavily T2– weighted) imaging for diagnostic and/or severity purposes
  • 30.
    ENDOSCOPIC ULTRASONOGRAPHY• INDICATIONS – Repeatedidiopathic acute pancreatitis* • occult biliary disease- small stones/sludge • secretin-stimulated EUS study may reveal resistance to ductal outflow at the level of the papilla, – as evidenced by dilatation of the pancreatic duct to a greater extent and longer duration than in a healthy population – Age >40 to exclude malignancy • especially those with prolong or recurrentcourse • RATIONALE: 5 % CA pancreas present as AP
  • 31.
    ENDOSCOPIC RETROGRADE CHOLANGIOPANCREATOGRAPHY INDICATION • Severegallstone AP or AP with concurrent acute cholangitis/biliary obstruction/ biliary sepsis/jaundice (due to persistent stone) • ERCP within 24 -72 hr of admission • Sphincterotomy/stent and bile duct clearance reduces infective complications/mortality NOT INDICATED • Not needed early in most patients with gallstone pancreatitis who lack laboratory or clinical evidence of ongoing biliary obstruction As most of gallstones causing AP readily pass to duodenum and are lost in stool
  • 32.
    MISCELLANEOU S• Peritoneal(sensitivity 54%,specificity93%)/Pleural fluid tap – High amylase/lipase/protein • Urine Complete Examination – Proteinuria, granular cast, glycosuria • Electrocardiography – ST-T wave changes • Bile Aspiration – Crystal analysis, if suspicion of microlithiasis • Manometry – Sphincterof Oddi dysfunction as a cause • Genetic testing – may be considered in young(<30 yrs) patients if no cause is evident and a family history (especially if >1 family member)of pancreatic disease is present
  • 35.
    RANSON CRITERIA The Ransoncriteria form a clinical prediction rule for predicting the prognosis and mortality risk of acute pancreatitis. They were introduced in 1974 by the English-American Pancreatic Expert and Surgeon, Dr. John Ranson
  • 40.
    ATLANTA CLASSIFICATION The RevisedAtlanta classification of acute pancreatitis is an international multidisciplinary classification of the severity of acute pancreatitis, updating the 1992 Atlanta classification. It was initially revised in 2012 and then further updated in 2016
  • 45.
    CT SEVERITY INDEX TheCTSI sums two scores: 1.Balthazar score: grading of pancreatitis (A-E) 2.Grading the extent of pancreatic necrosis The necrosis scoring system was added to the traditional Balthazar score in the 1990 Modifications have been made to the CTSI, resulting in the Modified CTSI (2004)
  • 49.
  • 51.
    INITIAL MANAGEMENT 1. Aggressivehydration, defined as 250-500 ml per hour of isotonic crystalloid solution should be provided to all patients, unless cardiovascular and / or renal co-morbidites exist. Early aggressive intravenous hydration is most beneficial the first 12 – 24 h, and may have little benefit beyond. 2. In a patient with severe volume depletion, manifest as hypotension and tachycardia, more rapid repletion (bolus) may be needed . 3. Lactated Ringer’s solution may be the preferred isotonic crystalloid replacement fluid. 4. Fluid requirements should be reassessed at frequent intervals within 6 h of admission and for the next 24 – 48 h. The goal of aggressive hydration should be to decrease the blood urea nitrogen
  • 52.
    RATIONALE FOR RAPIDHYDRATION • Despite dozens of randomized trials, no medication has been shown to be effective in treating AP. • The rationale for early aggressive hydration in AP arises from observation of the frequent hypovolemia that occurs from multiple factors: i. including vomiting, ii. reduced oral intake, iii. third spacing of fluids, iv. increased respiratory losses and v. diaphoresis. vi. In addition, researchers hypothesize that a combination of microangiopathic effects and edema of the inflamed pancreas decreases blood flow, leading to increased cellular death, necrosis, and ongoing release of pancreatic enzymes activating numerous cascades.
  • 53.
    WHY RL? • Benefitsto using the more pH-balanced lactated Ringer ’ s solution for fluid resuscitation compared with normal saline. Low pH activates the trypsinogen, makes the acinar cells more susceptible to injury and increases the severity of established AP in experimental studies. Although both are isotonic crystalloid solutions, normal saline given in large volumes may lead to the development of a non-anion gap, hyperchloremic metabolic acidosis.
  • 54.
    ERCP IN AP 1.Patients with acute pancreatitis and concurrent acute cholangitis should undergo ERCP within 24 h of admission. 2. ERCP is not needed in most patients with gallstone pancreatitis who lack laboratory or clinical evidence of ongoing biliary obstruction. 3. In the absence of cholangitis and / or jaundice, MRCP or endoscopic ultrasound (EUS) rather than diagnostic ERCP should be used to screen for choledocholithiasis if highly suspected. 4. Pancreatic duct stents and / or postprocedure rectal nonsteroidal anti-infl ammatory drug (NSAID) suppositories should be utilized to prevent severe postERCP pancreatitis in high-risk patient
  • 55.
    ROLE OF ANTIBIOTICSIN AP 1. Antibiotics should be given for an extrapancreatic infection, such as cholangitis, catheter-acquired infections, bacteremia, urinary tract infections, pneumonia . 2. Routine use of prophylactic antibiotics in patients with severe acute pancreatitis is not recommended . 3. The use of antibiotics in patients with sterile necrosis to prevent the development of infected necrosis is not recommended . 4. Infected necrosis should be considered in patients with pancreatic or extrapancreatic necrosis who deteriorate or fail to improve after 7 – 10 days of hospitalization. In these patients, either – (i) initial CT-guided FNA for Gram stain and culture to guide use of appropriate antibiotics or – (ii) empiric use of
  • 56.
    5. In patientswith infected necrosis, antibiotics known to penetrate pancreatic necrosis, such as carbapenems, quinolones, and metronidazole, may be useful in delaying or sometimes totally avoiding intervention, thus decreasing morbidity and mortality . 6. Routine administration of antifungal agents along with prophylactic or therapeutic antibiotics is not recommended
  • 57.
    • The needto place the pancreas at rest until complete resolution of AP no longer seems imperative. • Long held assumption that the inflamed pancreas requires prolonged rest by fasting does not appear to be supported by clinical and laboratory observations. • TPN is associated with infections and other line related complications. Enteral feeding maintains gut mucosal barrier, prevents disruption and translocation of bacteria that seed pancreatic necrosis.
  • 58.
    ROLE OF SURGERYIN AP • In patients with mild AP, found to have gallstones in the gallbladder, a cholecystectomy should be performed before discharge to prevent a recurrence of AP • In a patient with necrotizing biliary AP, in order to prevent infection, cholecystectomy is to be deferred until active inflammation subsides and fluid collections resolve or stabilize . • The presence of asymptomatic pseudocysts and pancreatic and / or extrapancreatic necrosis do not warrant intervention, regardless of size, location, and / or extension . • In stable patients with infected necrosis, surgical, radiologic, and / or endoscopic drainage should be delayed preferably for more than 4 weeks to allow liquefication of the contents and the development of a fibrous wall around the necrosis .
  • 60.
    ACUTE NECROTIZING PANCREATITIS Conceptually, itis helpful to view the pathophysiology of ANP as evolving in two clinical phases: 1>Early (<7 days from the onset of pancreatitis) cytokine-mediated vasoactive phase where deaths are related to progressive organ dysfunction and hypoperfusion; 2>Late (>14 days from the onset of pancreatitis) infection-mediated septic phase, commonly attributed to secondary bacterial infection (e.g., infected pancreatic necrosis) leading to persistent multiple organ system failure
  • 61.
    MANAGEMENT 1>Adequate, early (within24 h of diagnosis) fluid resuscitation may influence the clinical course of patients with AP by reducing the systemic inflammatory response and development of organ failure 2>Improved supportive care (enteral nutrition, prophylactic antibiotics),avoiding unnecessary or ill-timed surgical intervention (CT-guided fine-needle aspiration [FNA], delayed operative intervention), and targeted, minimally invasive necrosectomy for infected necrosis using a step-up approach
  • 62.
    NUTRITIONAL SUPPORT 1>The conceptthat limitation of enteral feeding is necessary in ANP to avoid further stimulation of pancreatic exocrine secretion is outdated 2>Enteral nutrition, when tolerated, is cost effective, decreases catheter-related infectious complications, improves blood glucose control and intestinal mucosal integrity 3> Unfortunately, not all patients tolerate enteral feeding, particularly early in the course of their disease 4>Total parenteral nutrition providing adequate calories and protein remains useful.
  • 63.
    PROPHYLACTIC ANTIBIOTICS <>Secondary infectionin pancreatic necrosis is thought to occur through 1> Translocation of intestinal bacteria (aerobic gram-negative rods, Enterococcus, and anaerobes) or 2> Through seeding caused by transient bacteremias related to invasive arterial monitoring lines and venous access sites (gram- positive cocci) <>Current policy is to give antibiotic “on demand” to cover possible sources of infection for specific clinical indications in critically ill patients until culture results are available to guide further therapy
  • 64.
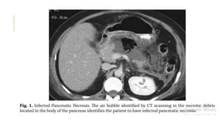
    TIMING OF SURGICAL INTERVENTION Thepresence of infection in pancreatic necrosis is confirmed by either: (1) radiographic evidence of extra-luminal gas located in the area of necrosis as seen on cross-sectional imaging (2) CT-guided percutaneous FNA showing organisms on gram stain or culture Operative necrosectomy is best utilized after the third week of a patient’s clinical course to allow time for the resolution of early cytokine-mediated vasoactive disease phase, as well as the structural demarcation between live and dead tissue in the retroperitoneum percutaneous CT-guided catheter drainage (PCD) can be an extremely effective treatment modality BEFORE 3 WEEKS of proven infected APN.
  • 67.
  • 69.
    POST NECROSECTOMY COMPLICATIONS 1> Residualretroperitoneal or intraperitoneal fluid collection 2> Postoperative bleeding can be categorized as either early (<24 h)<due to colonic or peripancreatic artery bleed> or late (>24 h) in the postoperative period< due to pseudo aneurysm> Common sites of pseudoaneurysm formation in necrotizing pancreatitis include the splenic, gastroduodenal, pancreaticoduodenal, and dorsal pancreatic arteries 3>Pancreatic fistulas 4>Postoperative incisional hernias
  • 70.
    LOCAL COMPLICATIONS OFACUTE PANCREATITIS Dr Bulli Boyidi
  • 71.
    LOCAL COMPLICATIONS OFACUTE PANCREATITIS- Pancreatic Fluid Collections * Acute Peripancreatic Fluid Collection , Acute Necrotic Collection * Pseudocyst and Walled off Pancreatic Necrosis - Pancreatic Ascites - Portal, Splenic Vein Thrombosis - Pseudoaneurysm
  • 72.
    PANCREATIC FLUID COLLECTIONS RevisedATLANTA CRITERIA - Pancreatic fluid collections are classified as Acute (< 4 weeks after the episode of pancreatitis ) Chronic (> 4 weeks after the episode of pancreatitis ) - The acute and chronic collections are further subdivided based on the presence of necrosis within the collections
  • 73.
    PANCREATIC FLUID COLLECTIONS RevisedATLANTA Criteria - Acute collections are divided into Acute Peripancreatic Fluid Collections (APFC) Acute Necrotic Collections (ANC) - Chronic fluid collections are divided into Pseudocysts Walled-Off Pancreatic Necrosis (WOPN)
  • 74.
    PANCREATIC FLUID COLLECTIONS -Fluid collections associated with Interstitial oedematous pancreatitis (i.e. minimal or no necrosis) Acute peripancreatic fluid collections (APFC) Pseudocysts - Fluid collections associated with Necrotising pancreatitis Acute necrotic collections (ANCs): Walled-off (pancreatic) necrosis ( WOPN):
  • 76.
    ACUTE PERIPANCREATIC FLUIDCOLLECTIONS (APFC)- Amylase rich collections, adjacent to the pancreas , lack a well defined wall - Seen in Interstitial pancreatitis - Majority remain sterile - The usual locations are Lesser sac Anterior and posterior pararenal space of the retroperitoneum Transverse mesocolon Small bowel mesentery - Usually resolve with conservative management in 2-4 weeks
  • 77.
    MANAGEMENT OF APFC -Majority of them resolve with conservative management - Intervention is necessary in case of a large collection causing symptoms or pressure effects USG guided / CT guided PERCUTANEOUS ASPIRATION EUS guided Transgastric Drainage - An APFC that does not resolve can evolve into a PSEUDOCYST
  • 78.
    ACUTE NECROTIC COLLECTIONS(ANC) - Pancreatic necrosis refers to diffuse or focal area of non-viable parenchyma that is typically associated with peripancreatic fat necrosis - Occurs in Necrotising pancreatitis - It involves both the pancreas and peripancreatic tissues - Lacks a well defined wall
  • 79.
    ACUTE NECROTIC COLLECTION- MANAGEMENT- Sterile pancreatic necrosis should not be drained or interfered with - If the patient shows signs of sepsis and peripancreatic fluid is infected ~USG or more appropriately CT Guided percutaneous aspiration is performed ~ If the aspirate is purulent . Percutaneous drainage of the infected fluid is done with the possible widest bore tube drain . Microbiological assessment of the aspirate and appropriate antibiotic therapy according to the sensitivity report
  • 80.
    ACUTE NECROTIC COLLECTION- MANAGEMENT- If sepsis worsens ,Pancreatic Necrosectomy should be considered - Pancreatic Necrosectomy ~ Open Surgical approach - challenging operation with high morbidity and mortality ~ Laparoscopic Approach - Minimally invasive via Trans Peritoneal or retroperitoneal approach
  • 81.
    - Once theopen surgical necrosectomy has been performed the options are Closed Continuous Lavage ( Beger ): Tube drains are left in and the raw areas are flushed Lavage is carried out through several double and single lumen catheters in lesser sac 1 litre of Saline is infused through and then drained over a period of hours The process is repeated
  • 83.
    - Closed Drainage: The incision is closed but the cavity packed with gauge filled penrose drains and closed suction drains The penrose drains are brought out through the flank and slowly pulled out and removed after 7 days
  • 84.
    - Open Packing: The incision is left open and the cavity is packed with the intention of returning to the operation room at regular intervals and repacking until there is clean granulating cavity - Closure and Relaparotomy : The incision is closed with drains with the intention of performing a series of planned laparotomies every 48-72 hours until the raw area granulates
  • 85.
    PANCREATIC NECROSECTOMY - Inrecent years there has been a shift in paradigm from Open Surgical Necrosectomy to Endoscopic or Percutaneous procedures - Surgery is now reserved for cases in which endoscopic or percutaneous procedures are not feasible . Infection of the pancreatic bed before a well formed, walled-off collection is formed . Abdominal compartment syndrome
  • 86.
    PANCREATIC NECROSECTOMY EUS GuidedPancreatic Necrosectomy - Standard treatment in specialized centres - Under EUS guidance a cystogastrostomy is done Minimally invasive Alternatives - Percutaneous drainage followed by percutaneous or sinus tract endoscopy with necrosectomy - Retroperitoneal Laparoscopic necrosectomy via percutaneous access without entering into the abdominal cavity
  • 87.
    PSEUDOCYSTS - Peripancreatic fluidcollection containing high concentration of pancreatic enzymes within a defined fibrous wall and lacking an epithelial lining - Usually arises from APFC and matures after four weeks or more - Usually single,occasionally multiple - More than half communicate with the Main Pancreatic duct
  • 88.
    PANCREATIC PSEUDOCYST - MANAGEMENT-Pseudocysts resolve spontaneously in most instances - Less likely to resolve Thick walled Large(> 6 cm in diameter) Lasting for > 12 weeks Arisen in the context of Chronic pancreatitis - The therapeutic intervention : Pseudocyst causing symptoms Complications develop Neoplasm is suspected
  • 89.
    MANAGEMENT OF PANCREATIC PSEUDOCYST-The possible approaches are Percutaneous Endoscopic Open Surgical
  • 90.
    PERCUTANEOUS DRAINAGE OF PANCREATICPSEUDOCYST- Usually done under radiological guidance - Carries high likelihood of recurrence - Contraindications - Suspected Neoplasm Communication with the main PD - Complications - Infection Pancreaticocutaneous fistula
  • 91.
    PANCREATIC PSEUDOCYST - MANAGEMENT -Endoscopic Transmural Drainage Conventional Transmural Endoscopic drainage . identifying the bulge of Pseudocyst on the gastric wall and creating a fistulous tract between pseudocyst cavity and gastric lumen and placing one or more PLASTIC STENT to allow continuous drainage EUS Guided Transmural Drainage . particularly useful in pseudocysts without bulge on the gastric wall . ability to identify vascular structures between cyst and gastric lumen
  • 92.
    PANCREATIC PSEUDOCYST - MANAGEMENTEndoscopicTransmural Drainage - Plastic stents : Multiple, long procedure times, stent occlusion - Fully Covered Self Expanding Metal Stents (FCSEMS) Single , shorter procedure times With/without anti migratory fins - Novel Lumen Apposing Metal Stents (LAMS) - Less risks of stent migration
  • 93.
    OPEN SURGICAL DRAINAGE -The open surgical drainage depending on the location of the pseudocyst Cystogastrostomy CystoJejunostomy
  • 94.
    PANCREATIC PSEUDOCYST - MANAGEMENT -Pseudocyst communicating with the main Pancreatic duct ERCP and placement of a Pancreatic stent across the ampulla
  • 95.
    WALLED-OFF PANCREATIC NECROSIS(WOPN) - It is a PFC that contains solid necrotic debris that contains a well defined capsule with or without fluid component - Usually develops after necrotising pancreatitis - Small percentage may resolve spontaneously - Majority require Surgical Intervention
  • 96.
    WALLED-OFF PANCREATIC NECROSIS- MANAGEMENT- Management includes * Percutaneous Drainage * Direct Endoscopic Necrosectomy(DEN) - endoscope is passed through the fistulous tract , mechanical cleaning * Fully Covered SEMS (limited value)- do not allow the passage of endoscope * Lumen Apposing Metal Stents - allow the passage of endoscope
  • 97.
    PANCREATIC ASCITES - Pancreaticascites is a chronic, generalised, peritoneal, enzyme rich effusion usually associated with pancreatic bed disruption - Paracentesis : Turbid fluid with high Amylase level - Management : Wide bore drains placed under radiological guidance Parenteral feeding Octreotide
  • 98.
    HAEMORRHAGE - Bleeding mayoccur into the gut , into the retroperitoneum, peritoneal cavity - Possible causes include : Bleeding into the pseudocyst cavity Diffuse bleeding from a large raw surface Pseudoaneurysm False aneurysm of a major peripancreatic vessel - Diagnosis - CT/ MR Angiography - Management - Embolisation or Surgery
  • 99.
    PORTAL OR SPLENICVEIN THROMBOSIS - Often develop silently and are identified on a CT Scan - A marked rise in Platelet count should raise the suspicion - Management ; In the context of Acute pancreatitis is conservative Patient should be screened for pro coagulant tendencies Varices - Endoscopic banding/injection, Beta- blockade Thrombocytosis - May mandate Aspirin Systemic Anticoagulation