Deri Dokusu
Dr. Alpaslan GÖKÇİMEN
Giriş
• Epidermis
• Dermis
• Hipodermis
İşlev
•   Mekanik koruma
•   Suya karşı bariyer
•   Vücut sıcaklığının korunması
•   Mikroorganizmaya karşı direnç
•   D-vitamini Sentezi
•   Duyu organı
•   Cinsel uyarı
•   Dermatoglif
•   Tuzun atılması
Kalın Deri
•   5 mm’den daha kalın
•   Avuç içinde, ayak tabanında
•   Kalın epidermis ve dermis
•   Sadece ter bezine sahip
İnce Deri
• Kalınlık  1 – 2 mm
• Kıl folükülü, erektör pili kası, yağ ve ter
  bezleri
Epidermis
5 tabakalı
• Stratum Korneum
• S. Lusidum
• S. Granülozum
• S. Spinozum
• S. Bazale
Malpighi Tabakası
• Bazal + Spinoz tabakalar
• Her ikisinde de mitoz var
Yorumsuz!
Epidermis Tabakasındaki Hücreler
•   Keratinosit
•   Melanosit
•   Langerhans Hücresi
•   Merkel Hücresi
Bazale Tabakası
•   Bazal membrana, tek katlı kübik veya prizmatik hücreler halinde
    yerleşmişlerdir.
•   Mitoz göstermeleri ve bol miktarda ribozoma sahip olmaları ile
    bazofilik boyanır.
•   Göç etmeyenleri, bir araya toplanır ve kök hücre topluluğunu
    oluşturur. Üst tabakalara ait bütün deri hücreleri, bu bölgeden
    farklılaşır. Keratin 5 ve 14, bazal keratinositlerin ana ürünleridir.
•   Sitoplazmada desmozomlarla bir arada bulunan ara filamanlar,
    ışık mikroskobu altında tonofilaman denilen demetler şeklinde
    görülür. Melanositler, bazal membrana düzenli olarak dizilmiş
    epitel hücrelerinin arasında yerleşik vaziyette bulunur.
•   Elektron mikroskobunda, bazal laminaya yakın seviyede çok
    sayıda hemidesmozomlara sahip oldukları görülür.
•   Yan kenarlarda, bu hücreleri birbirine tutturan desmozomlar
    vardır. Ayrıca, hücrelerin bazal yüzünde diffüzyonla ilgili pinositik
    veziküller yer alır.
Klinik – Stratum Bazale
• Epidermolizis Bülloza Simpleks: Keratin 5 veya 14’te meydana
  gelen mutasyonlar sonucunda ortaya çıkar.
• Bazal Hücreli Karsinom: Derinin bazal tabakasında, mor ötesi
  radyasyonun yol açtığı hasara bağlı olarak görülür. Burun bölgesi,
  en sık yerleşim yeridir. Cerrahi tedavi ile, nüks (tekrarlama)
  olmaksızın % 90’a yakın iyileşme sağlanır.
• Yara İyileşmesi: Epidermiste bir kesi meydana geldiği zaman, bu
  bölge bazal hücre göçü ve çoğalımı ile çevrelenir. Bazal membran,
  dermisin hücre dışı matriksi, epidermis (EGF) ve keratinosit (KGF)
  büyüme unsurları, bu iyileşmeye katkıda bulunur.
• Psöriyazis (Sedef Hastalığı): Özellikle, eklemlerin etrafında ve saçlı
  deride yama tarzında lezyonlar dikkati çeker. Derinin korneum
  tabakasında hücre birikimiyle ve epitel hücrelerinde hızlanan hücre
  döngüsüyle birlikte ortaya çıkar. Etyoloji halen tam olarak
  bilinmemektedir fakat, bu döngüsel duruma bazal hücre çoğalımında
  meydana gelen bazı kontrol hatalarının yol açtığı düşünülmektedir.
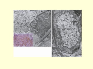
Epidermolizis Bülloza Simpleks




                                  Bazal Hücreli Karsinom

             Psöriyazis (Sedef)
S. Spinozum
•   Epidermisin en kalın tabakasıdır.
•   Bazal keratinositler spinozum tabakasına göç ettikleri zaman,
    keratin (5 ve 14), keratin (1 ve 10) ile yer değiştirir.
•   Bu arada tonolifler, sitoplazmanın eozinofilik görülmesine yol
    açar. Lipit maddesi içeren ve zarla kaplı olan granüler yapıdaki
    sitoplazmik lameller cisimler, bu tabakada yer alır.
•   Hücre şekilleri kübik, poligonal veya hafifçe yassıdır. Merkezi
    çekirdeğe sahip olan bu hücrelerin, filamanla dolu sitoplazmik
    uzantıları vardır. Uzantılarda yer alan filaman demetleri, bir araya
    gelir ve pek çok küçük hücresel çıkıntıyı oluşturur.
•   Bundan dolayı, keratinositlerin sitoplazması dikensi bir görünüme
    sahiptir. Demetler, desmozomlarda sonlanır.
Klinik - S. Spinozum
• Yassı      Hücreli    Karsinom:       Bazal     hücreli
  karsinomdan sonra en sık görülen ikinci deri kanseri
  çeşididir. Çevre       dokulara    metastaz     yapar.
  Muhtemelen X – ışını, mor ötesi radyasyonu ve
  arsenik gibi çeşitli kimyasal maddelerin de
  aralarında yer aldığı çevresel unsurların tetikleyici
  etkisiyle ortaya çıkmaktadır. Spinoz tabakadaki
  hücrelerden kaynaklanır. Sıklıkla kanamalarla
  seyreden ve alttaki dokulara yayılan hiperkeratoz
  plakları şeklinde görülür. Tedavisi cerrahidir.
• Epidermolitik Hiperkeratozis: Keratin 1’de veya
  10’da mutasyon vardır.
S. Granülozum
•   Çok tabakalı ve yassı olan polihedral hücreler, ovoid çekirdeğe
    sahiptir.
•   Bu hücrelerin sitoplazması, bir ara filaman proteini olmayan
    filagrinle doludur.
•   Filagrin proteini, keratinlerin grup oluşturmasını sağlar. Bu
    proteinin dışında, keratinositlerin içinde keratohiyalin granülleri
    denilen kaba ve düzensiz şekilli zarsız granüller yer alır. Bu
    granüller bol miktarda fosfat grubu içerdiğinden, keratinositler
    bazofilik boyanır.
•   Diğer bir özelliği ise, çift tabakalı lipitlerden oluşmuş zarla kaplı
    lameller diskler içeren oval veya çubuk şeklindeki lameller
    cisimlerdir. İlk olarak spinozum tabakasında beliren lameller
    cisimlerin sayısı, granülozum tabakasına gelindiğinde daha da
    artar.
•   Yapılarındaki glikolipit ve açilglukozilseramid salgıları hücreler
    arası ortama verildiğinde, epidermisin suya karşı bariyer
    oluşturması sağlanmış olur.
S. Lusidum
•   Bazı histologlar tarafından korneum tabakasının
    altında ve granülozum tabakasının üzerinde yer
    alan ara tabaka olarak bilinir.
•   Sitolojik özellikleri, önemli bir farklılık göstermez.
•   Lusidum ve korneum tabakasında bulunan birkaç
    sıralı     çekirdeksiz      keratinositlerde,      trans
    glutaminazların katalizlemesi neticesinde flagrin
    proteiniyle keratin ara filamentleri arasında
    çapraz bağlı gruplar oluşur.
•   Keratin – flagrin bileşiği, hücre zarının iç kısmında
    birikir ve hücre çeperi olarak adlandırılan
    boynuzsu yapıyı şekillendirir.
S. Korneum
•   Keratinizasyon sonrasında, hücrelerde
    sadece lifler, şekilsiz proteinler ve kalın
    hücre zarı kalır.
•   Bunlara, keratinize (boynuzsu) hücreler
    denir.
•   Hücre çeperi bileşeni, hücre zarına
    sıvılara karşı bariyer özelliği kazandırır.
Langerhans Hücreleri
• Malpighi tabakasında yerleşiktirler.
• Epidermisteki hücrelerin % 3’ünü oluştururlar.
• Ağız boşluğunda, özefagusta ve vajen dermisinde de
  bulunurlar.
• Altın klorürle seçici şekilde boyanabilir.
• Derinin aşırı duyarlılık reaksiyonlarının başlangıcında,
  yardımcı T lenfositlerine antijen sunarlar.
• E-kadherin       aracılığıyla,  spinozum    tabakasındaki
  keratinositlerin arasına uzanırlar.
• Çok sayıdaki uzantılarından dolayı, mezoderm kökenli
  dendritik hücreler şeklinde de bilinirler.
• Hücre yüzeylerinde, Fc ve C3 reseptörleriyle hücre
  zarına bağlanan Birbeck (vermiform) granülleri vardır.
Merkel Hücreleri
• Epidermisin     bazal     tabakasındaki    keratinosit
  hücrelerinin arasında yer alırlar. Köken  Nöral
  Krista.
• Mekanoreseptör işleve sahip hücrelerdir.
• Parmak uçları, ağız mukozası ve kıl folliküllerinin
  tabanı.
• İnce deride, sayıları biraz daha fazladır.
• Akson sonlanmaları ile temas halindedirler.
• Sitoplazmalarında, oldukça açık renkte küçük ve
  yoğun granüller vardır.
• Taban kısımlarında, genişlemiş terminal bir disk
  oluşturan serbest sinir plak sonlanmaları mevcuttur.
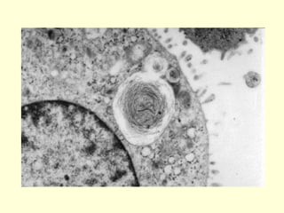
Melanositler
• Özelleşmiş epidermis hücreleridir.
• Bazal tabaka hücrelerinin arasında ve kıl foliküllerinde
  bulunurlar.
• Köken  Nöral krista. Epidermise ilk göç eden
  hücrelerdir.
• Emriyonik dönemin 8. haftasında ortaya çıkarlar ve
  dendritik özellik taşırlar.
• Komşu keratinositlere, hemidesmozomla bağlanırlar.
• Sitoplazma  Bol miktarda mitokondriyon, iyi gelişmiş
  Golgi kompleksi, kısa granüler endoplazmik retikulum
  sisternaları (sarnıçları) ve melanin sentezleyen zarlı
  melanozom organelleri.
• Bu hücreler, TEM’de sitoplazmasında gelişmiş ve olgun
  melanin granülleri ile kolayca ayırt edilebilir.
• Yarı ömürleri, keratinositlerden daha kısadır.
Melanin Sentezi
• Ribozom  Tirozin Sentezi  GER 
  Golgi  Vezikül
• Tirozin  (Tirozinaz)  (3, 4) Dihidroksi
  fenilalanin  Dopakinon  Melanin
• Melanosit  Sitokrin Salgılama 
  Keratinosite melanin verilir.
• Sitokrin Salgılama Nedir ?  Melanosit
  uzantıları fagosite edilir.
Melaninin Etkisi
• Melanin     Granülleri       Keratinosit
  çekirdeklerinde birikir    UV’ye karşı
  koruma
Klinik – Deri Rengi
• Melanine bağlı. Karoten  Önemli bir özellik. Sarı renk verir
• Karoten, boynuzsu tabakadaki ve hipodermisteki yağ
  hücrelerinde depolanır.
• Kılcal kan damarları da, deri renginin belirlenmesinde önemli
  bir faktördür.
• Fazla UV  Melanin koyulaşır ve tirozinaz sentez hızı artar 
  Melanin üretim hızı ve miktarı artar
• Melanosit uyarıcı hormon (MSH)  Pigmentasyonu artırır.
• ACTH  Pigmentasyonu artırır.
• Addison hastalığı  Kortizol azalır  ACTH üretimi artar 
  BÜB uyarılır  Hiperpigmentasyon.
• Albinizm: Tirozinaz genetik sebepler dolayısıyla eksik
  Melanin pigmenti üretilmez.
• Toprak rengi  Kronik böbrek yetmezliğinin ileri evresinde.
• Hepatit (Sarılık)  Plazma serbest bilirübin seviyesinde artış
   Deri renginde belirgin bir sarılık gözlenir.
Malign Melanoma
• Hayatı tehdit eden bir durumdur.
• Melanosit hücrelerinden köken alır.
• Dermis tabakasını tutar.
• Lenfatik yolla uzak doku ve organlara
  yayılabilir.
• Tedavisi  Cerrahi ve kemoterapi.
Dermis
İki kısımda incelenir:
• Papiller ve retiküler tabaka
Papiller Tabaka
• Kollajen, retiküler ve elastik liflerden
  meydana gelir ve gevşek bağ dokusu
  yapısındadır.
• Epidermisin hemen altında, dermisin retiküler
  lifleri sıkıca bir araya gelir ve bir ağ meydana
  getirir.
• Tip – VII’den oluşan tutturucu lifler, dermisi
  epidermise bağlar.
• Tip – III kollajen ve elastik lifler, bu gevşek bağ
  dokusunun içinde yer alır.
Papiller Tabaka
• Ayrıca, bu tabakada fibroblastlar, makrofajlar, plazma ve
  mast hücrelerinin yanı sıra, zengin kılcal damar ağı da
  mevcuttur. Bu ağ sayesinde, vücut ısısı korunur ve
  epidermisteki damarsız epitel hücreleri beslenir.
• Meissner cisimcikleri, mekanoreseptör görevi yapar.
  Bu reseptörler, sıklıkla dokunmaya karşı hassastır ve
  dudaklarda, dış genital bölgelerde ve meme uçlarında
  bol miktarda bulunurlar.
• Diğer bir mekanoreseptör ise, papiller tabakada yer alan
  kapsüllü Krause sonlanma topuzcuğudur. Krause
  sonlanma topuzcuğunun işlevi, günümüzde henüz tam
  olarak anlaşılamamıştır.
Retiküler Tabaka
• Düzensiz sıkı bağ dokusu ve tip – I kollajen lifleri
  yönünden zengindir.
• Elastik lifler, kollajenle birliktedir. Burada bol
  miktarda ter ve yağ bezleri, kıl folikülleri ile birlikte
  fibroblastlar, mast hücreleri, lenfositler, makrofajlar
  ve derin kısımlarda sıklıkla yağ hücreleri yer alır.
• Penis, skrotum ve meme başı gibi retiküler
  tabakanın derin kısımlarında, düz kas hücre grupları
  vardır.
• Diğer düz kas hücreleri ise, erektör pili kasları
  olarak adlandırılır. Bu kaslar kıl diplerinde yerleşik
  olup, kasıldıkları zaman kıllar dikleşir.
Afferent Sinir Sonlanmaları
        (Duyu Reseptörleri)
• Ekstroseptör,
• Proprioseptör,
• İnteroseptör

 Uyarı şekline göre:

 1) Mekanoreseptör
 2) Termoreseptör
 3) Nosiseptör
Afferent Sinir Sonlanmaları
        (Duyu Reseptörleri)
• Mekanoreseptörler, doku veya reseptörde
  gerilme, titreşim, basınç ve dokunma sonucunda
  meydana gelen değişime cevap verir.
• Termoreseptörler, sıcak veya soğuğa cevap
  verir.
• Nosiseptörler (ağrı reseptörleri), ağrılı uyarana
  cevap verirler. Deri ve subkutan dokuda
  dokunma, basınç, sıcaklık, soğukluk ve ağrı
  uyaran larına karşı cevap oluşturan reseptörler
  vardır.
Merkel Diski
• Bu reseptör sinir sonlanması, iki nokta
  ayırımını yapar.
• Bunlar, epidermisin bazale tabakasında
  disk şekilli Merkel hücreleri halinde
  bulunur.
• Mekanoreseptörlerin    üçüncü    tipiyse,
  kapsüllü olan Meissner ve pacini (pasini)
  cisimcikleridir.
Meissner Cisimciği
• Parmak uçlarında, ayak tabanında, dudakta, dil ucunda, göz
  kapaklarında, dış genitallerde ve meme başında bol miktarda
  bulunur.
• Epidermis – dermis sınırının hemen altında ve dermisin
  papiller tabakasında yer alır.
• Mekanoreseptör özelliğinde olup, dokunma duyusuna karşı
  hassastır.
• Oval şekilli cisimciklerin uzun eksenleri, deri yüzeyine diktir.
• Miyelinli afferent sinir lifinin terminal kısmı, dallara ayrıldıktan
  sonra miyelinini kaybeder ve miyelinsiz olarak cisimciğin
  taban kısmından girer.
• Genellikle spiral benzeri bir şekle sahiptirler. Diğer sinir
  sonlanmaları ve Schwann hücreleriyle, yakın temas
  halindedirler.
Pacini Cisimciği
• Dermiste, deri altı dokularda ve bilhassa parmak
  uçları ile avuç içinde bol miktarda bulunan
  mekanik reseptör çeşididir.
• Oval veya yuvarlak yapıdadır. Histolojik
  kesitlerde, iç içe konsantrik tabakalar şeklinde
  tertiplenmiş olup, soğan zarını andırır.
• Cisimciğe giren miyelinli bir sinir lifi, tam Ranvier
  düğümü hizasında miyelinini kaybeder.
• Boydan boya ilerleyen lifin uç kısmı, toplu iğne
  başı şeklinde sonlanır. Miyelinsiz lifin etrafı
  elektron mikroskobunda incelendiği zaman, iç
  içe konsantrik lameller göze çarpar.
Pacini Cisimciği
• Cisimcikteki lamelleri meydana getiren yassı hücreler,
  değişikliğe uğramış olan Schwann hücreleridir.
• Cisimciğin en dışında ve lamellerin etrafında, bağ
  dokusu yapısında bir kapsül vardır.
• Kapsül, afferent lifin cisimcikle ilgili endonöryum kılıfıyla
  devam eder.
• Pacini cisimcikleri, basınç veya kaba dokunma, titreşim
  (vibrasyon) ve gerilme duyularını almakla görevlidir.
• Avuç içinde ve ayak tabanında, derinin derin kısmında,
  ligamentlerde, eklem kapsülünde, seröz zarlarda,
  mezenterde, pankreasta, mesane duvarında ve dış
  genital organların etrafında bulunur
Derideki Yapılar
•   Ekrin Ter Bezleri
•   Apokrin Ter Bezleri
•   Yağ Bezleri
•   Kıl
Ekrin Ter Bezleri
• İnsanda, sayıca en fazla olan ter bezi çeşididir.
• Glans penis gibi birkaç yer dışında, deride oldukça sık
  olarak bulunurlar.
• Bunlar, kanalları deri yüzeyine açılan basit ve kıvrıntılı
  tübüler bezlerdir.
• Dermiste bulunurlar ve salgılarını, ekzositoz yoluyla
  verirler.
• Salgı kısmı, koyu ve açık hücrelerden oluşur. Koyu
  (mukoid) hücreler piramid şeklinde olup, bezin salgı
  yapan kısmının çoğunluğunu meydana getirir. Salgı
  granülü içermeyen piramidal şekilli açık hücreler, bol
  miktarda glikojen içerir ve koyu hücreler tarafından
  çevrelenmiştir.
• Ekrin ter bezleri, protein metabolizma ürünlerinin
  atılmasına ve vücut sıcaklığının düşmesine yardımcı
  olur.
Apokrin Ter Bezleri
• Daha az sayıdadırlar.
• Başlıca aksiller, areolar ve anal
  bölgelerde yerleşiktirler.
• Ekrin bezlerden daha büyük ve daha geniş
  bir lümene sahiptirler ve visköz (yapışkan)
  nitelikte salgı yaparlar.
• Göz kapaklarının kenarındaki Moll bezleri
  ve kulağın seruminöz bezleri, değişikliğe
  uğramış ter bezleridir.
Klinik – Kistik Fibrozis
• 7. kromozomda yerleşik olan kistik fibrozis
  geninin kodladığı bir kanal proteini olan
  Kistik    Fibroz    Transmembran     İletim
  Düzenleyicisi (CFTR) tarafından yapılan
  epitelyal klor taşınmasında meydana gelen
  genetik bir bozukluktur.
Klinik – Kistik Fibrozis
• Ekzokrin bezlerle solunum, gastrointestinal
  ve genital kanalların epitel örtüleri,
  CFTR’deki bir mutasyondan etkilenmiştir.
• Tekrarlayan akciğer enfeksiyonları
• Pankreas yetmezliği
• Steatore ve KC sirozu
• Barsak tıkanıklığı
• Erkekte infertilite
Klinik – Kistik Fibrozis
• Ter bezlerinin boşaltım kanalları, klorun
  taşınmasında rol alan ve CFTR içeren
  epitel hücreleriyle örtülüdür.
• Normal Mekanizma:
  - Ach  cAMP artar  Pro. Kinaz – A
  etkinleşir  ATP üretimi artar.
  - ATP  CFTR’deki ATP bağlayıcı
  bölgeye tutunur.  CFTR kanalı açılır.
Klinik – Kistik Fibrozis
• Deride, ter bezi kanalındaki bir CFTR
  kanal hasarı  Lümenden Na ve Cl
  emilimi azalır  Terde Na ve Cl
  yoğunlukları artar  Kistik F.nin kliniğinde,
  terdeki yüksek tuz içeriğinin temeli.
Yağ Bezleri
• İnce deride bulunurlar.
• Salgılarını sıklıkla kıl folliküllerine boşaltırlar ve
  kılsız deride, doğrudan yüzeye açılırlar.
• Ayak tabanında ve avuç içinde bulunmazlar.
• Holokrin salgı yaparlar.
• Yağsı özellikteki salgı (sebum), kanallar
  aracılığıyla kıl folliküllerine verilir.
• Bu salgı, kıl ve etrafındaki yüzeyi kaplayarak
  kayganlık sağlar ve deriyi mikroorganizmaların
  zararlı etkilerine karşı korur.
Kıl
• Derinin epidermisinden dışarıya doğru
  uzanan filamanlı ve keratin leşmiş
  yapılardır.
• İnsan vücudunda dudaklar, avuç içleri,
  ayak     tabanları,   parmakların       distal
  kısımları, glans penis, glans klitoris, minör
  ve majör labiyumların vestibüler kısımları
  haricindeki yerlerde bulunurlar.
Kıl
• İki çeşit kıl mevcuttur:

  - Vellus tipi kıllar yumuşak, ince ve
  kısadır. İnsanlarda, çoğunlukla vellus
  tipinde kıllar vardır.
  - Uç tip kıllar ise kalın, uzun ve daha
  serttir.
Kıl
• Kıl Soğanı (Bulbus)
• Matriks
• Dış Kök Kılıfı:
   - Henle tabakası, dışta tek sıralı kübik hücreler
   - Huxley tabakası, bir – iki sıralı yassı hücre
  tabakası
   - İç kök kılıfının kütikülü. İç kök kılıfı, sebase
  bezlerin kıl follikülüne tutundukları yerde son
  bulur.
Tırnaklar
• Parmakların distal falankslarında bulunan tırnaklar,
  oldukça sıkı bir şekilde sıralanmış olan ve bol miktarda
  keratin içeren epitel hücrelerinden gelişir.
• Tırnaklar, tırnak matriksinde çoğalıp keratinize olan
  hücrelerden meydana gelir.
• Matriks, proksimal katlantının altında yer alır. Yakın
  (proksimal) tırnak katlantısı, eponikumu (kütikülü)
  meydana getirir. Kenarlardaysa, yan tırnak olukları
  mevcuttur.
• Epidermis, tırnağın altında yatak şeklinde devam eder.
  Tırnağın proksimal kısmında, yarım ay şeklindeki lunula
  fark edilir.
• Plağın distal ucu, tırnak yatağına bağlı değildir. Tırnakla
  derinin bileşkesine yakın yerde, hiponikum denilen
  boynuzsu bir tabaka birikimi mevcuttur.
Deri dokusu (fazlası için www.tipfakultesi.org)
Deri dokusu (fazlası için www.tipfakultesi.org)

Deri dokusu (fazlası için www.tipfakultesi.org)

  • 1.
  • 3.
  • 4.
    İşlev • Mekanik koruma • Suya karşı bariyer • Vücut sıcaklığının korunması • Mikroorganizmaya karşı direnç • D-vitamini Sentezi • Duyu organı • Cinsel uyarı • Dermatoglif • Tuzun atılması
  • 9.
    Kalın Deri • 5 mm’den daha kalın • Avuç içinde, ayak tabanında • Kalın epidermis ve dermis • Sadece ter bezine sahip
  • 10.
    İnce Deri • Kalınlık 1 – 2 mm • Kıl folükülü, erektör pili kası, yağ ve ter bezleri
  • 11.
    Epidermis 5 tabakalı • StratumKorneum • S. Lusidum • S. Granülozum • S. Spinozum • S. Bazale
  • 13.
    Malpighi Tabakası • Bazal+ Spinoz tabakalar • Her ikisinde de mitoz var
  • 14.
  • 15.
    Epidermis Tabakasındaki Hücreler • Keratinosit • Melanosit • Langerhans Hücresi • Merkel Hücresi
  • 17.
    Bazale Tabakası • Bazal membrana, tek katlı kübik veya prizmatik hücreler halinde yerleşmişlerdir. • Mitoz göstermeleri ve bol miktarda ribozoma sahip olmaları ile bazofilik boyanır. • Göç etmeyenleri, bir araya toplanır ve kök hücre topluluğunu oluşturur. Üst tabakalara ait bütün deri hücreleri, bu bölgeden farklılaşır. Keratin 5 ve 14, bazal keratinositlerin ana ürünleridir. • Sitoplazmada desmozomlarla bir arada bulunan ara filamanlar, ışık mikroskobu altında tonofilaman denilen demetler şeklinde görülür. Melanositler, bazal membrana düzenli olarak dizilmiş epitel hücrelerinin arasında yerleşik vaziyette bulunur. • Elektron mikroskobunda, bazal laminaya yakın seviyede çok sayıda hemidesmozomlara sahip oldukları görülür. • Yan kenarlarda, bu hücreleri birbirine tutturan desmozomlar vardır. Ayrıca, hücrelerin bazal yüzünde diffüzyonla ilgili pinositik veziküller yer alır.
  • 19.
    Klinik – StratumBazale • Epidermolizis Bülloza Simpleks: Keratin 5 veya 14’te meydana gelen mutasyonlar sonucunda ortaya çıkar. • Bazal Hücreli Karsinom: Derinin bazal tabakasında, mor ötesi radyasyonun yol açtığı hasara bağlı olarak görülür. Burun bölgesi, en sık yerleşim yeridir. Cerrahi tedavi ile, nüks (tekrarlama) olmaksızın % 90’a yakın iyileşme sağlanır. • Yara İyileşmesi: Epidermiste bir kesi meydana geldiği zaman, bu bölge bazal hücre göçü ve çoğalımı ile çevrelenir. Bazal membran, dermisin hücre dışı matriksi, epidermis (EGF) ve keratinosit (KGF) büyüme unsurları, bu iyileşmeye katkıda bulunur. • Psöriyazis (Sedef Hastalığı): Özellikle, eklemlerin etrafında ve saçlı deride yama tarzında lezyonlar dikkati çeker. Derinin korneum tabakasında hücre birikimiyle ve epitel hücrelerinde hızlanan hücre döngüsüyle birlikte ortaya çıkar. Etyoloji halen tam olarak bilinmemektedir fakat, bu döngüsel duruma bazal hücre çoğalımında meydana gelen bazı kontrol hatalarının yol açtığı düşünülmektedir.
  • 20.
    Epidermolizis Bülloza Simpleks Bazal Hücreli Karsinom Psöriyazis (Sedef)
  • 22.
    S. Spinozum • Epidermisin en kalın tabakasıdır. • Bazal keratinositler spinozum tabakasına göç ettikleri zaman, keratin (5 ve 14), keratin (1 ve 10) ile yer değiştirir. • Bu arada tonolifler, sitoplazmanın eozinofilik görülmesine yol açar. Lipit maddesi içeren ve zarla kaplı olan granüler yapıdaki sitoplazmik lameller cisimler, bu tabakada yer alır. • Hücre şekilleri kübik, poligonal veya hafifçe yassıdır. Merkezi çekirdeğe sahip olan bu hücrelerin, filamanla dolu sitoplazmik uzantıları vardır. Uzantılarda yer alan filaman demetleri, bir araya gelir ve pek çok küçük hücresel çıkıntıyı oluşturur. • Bundan dolayı, keratinositlerin sitoplazması dikensi bir görünüme sahiptir. Demetler, desmozomlarda sonlanır.
  • 24.
    Klinik - S.Spinozum • Yassı Hücreli Karsinom: Bazal hücreli karsinomdan sonra en sık görülen ikinci deri kanseri çeşididir. Çevre dokulara metastaz yapar. Muhtemelen X – ışını, mor ötesi radyasyonu ve arsenik gibi çeşitli kimyasal maddelerin de aralarında yer aldığı çevresel unsurların tetikleyici etkisiyle ortaya çıkmaktadır. Spinoz tabakadaki hücrelerden kaynaklanır. Sıklıkla kanamalarla seyreden ve alttaki dokulara yayılan hiperkeratoz plakları şeklinde görülür. Tedavisi cerrahidir. • Epidermolitik Hiperkeratozis: Keratin 1’de veya 10’da mutasyon vardır.
  • 27.
    S. Granülozum • Çok tabakalı ve yassı olan polihedral hücreler, ovoid çekirdeğe sahiptir. • Bu hücrelerin sitoplazması, bir ara filaman proteini olmayan filagrinle doludur. • Filagrin proteini, keratinlerin grup oluşturmasını sağlar. Bu proteinin dışında, keratinositlerin içinde keratohiyalin granülleri denilen kaba ve düzensiz şekilli zarsız granüller yer alır. Bu granüller bol miktarda fosfat grubu içerdiğinden, keratinositler bazofilik boyanır. • Diğer bir özelliği ise, çift tabakalı lipitlerden oluşmuş zarla kaplı lameller diskler içeren oval veya çubuk şeklindeki lameller cisimlerdir. İlk olarak spinozum tabakasında beliren lameller cisimlerin sayısı, granülozum tabakasına gelindiğinde daha da artar. • Yapılarındaki glikolipit ve açilglukozilseramid salgıları hücreler arası ortama verildiğinde, epidermisin suya karşı bariyer oluşturması sağlanmış olur.
  • 28.
    S. Lusidum • Bazı histologlar tarafından korneum tabakasının altında ve granülozum tabakasının üzerinde yer alan ara tabaka olarak bilinir. • Sitolojik özellikleri, önemli bir farklılık göstermez. • Lusidum ve korneum tabakasında bulunan birkaç sıralı çekirdeksiz keratinositlerde, trans glutaminazların katalizlemesi neticesinde flagrin proteiniyle keratin ara filamentleri arasında çapraz bağlı gruplar oluşur. • Keratin – flagrin bileşiği, hücre zarının iç kısmında birikir ve hücre çeperi olarak adlandırılan boynuzsu yapıyı şekillendirir.
  • 29.
    S. Korneum • Keratinizasyon sonrasında, hücrelerde sadece lifler, şekilsiz proteinler ve kalın hücre zarı kalır. • Bunlara, keratinize (boynuzsu) hücreler denir. • Hücre çeperi bileşeni, hücre zarına sıvılara karşı bariyer özelliği kazandırır.
  • 30.
    Langerhans Hücreleri • Malpighitabakasında yerleşiktirler. • Epidermisteki hücrelerin % 3’ünü oluştururlar. • Ağız boşluğunda, özefagusta ve vajen dermisinde de bulunurlar. • Altın klorürle seçici şekilde boyanabilir. • Derinin aşırı duyarlılık reaksiyonlarının başlangıcında, yardımcı T lenfositlerine antijen sunarlar. • E-kadherin aracılığıyla, spinozum tabakasındaki keratinositlerin arasına uzanırlar. • Çok sayıdaki uzantılarından dolayı, mezoderm kökenli dendritik hücreler şeklinde de bilinirler. • Hücre yüzeylerinde, Fc ve C3 reseptörleriyle hücre zarına bağlanan Birbeck (vermiform) granülleri vardır.
  • 33.
    Merkel Hücreleri • Epidermisin bazal tabakasındaki keratinosit hücrelerinin arasında yer alırlar. Köken  Nöral Krista. • Mekanoreseptör işleve sahip hücrelerdir. • Parmak uçları, ağız mukozası ve kıl folliküllerinin tabanı. • İnce deride, sayıları biraz daha fazladır. • Akson sonlanmaları ile temas halindedirler. • Sitoplazmalarında, oldukça açık renkte küçük ve yoğun granüller vardır. • Taban kısımlarında, genişlemiş terminal bir disk oluşturan serbest sinir plak sonlanmaları mevcuttur.
  • 35.
    Melanositler • Özelleşmiş epidermishücreleridir. • Bazal tabaka hücrelerinin arasında ve kıl foliküllerinde bulunurlar. • Köken  Nöral krista. Epidermise ilk göç eden hücrelerdir. • Emriyonik dönemin 8. haftasında ortaya çıkarlar ve dendritik özellik taşırlar. • Komşu keratinositlere, hemidesmozomla bağlanırlar. • Sitoplazma  Bol miktarda mitokondriyon, iyi gelişmiş Golgi kompleksi, kısa granüler endoplazmik retikulum sisternaları (sarnıçları) ve melanin sentezleyen zarlı melanozom organelleri. • Bu hücreler, TEM’de sitoplazmasında gelişmiş ve olgun melanin granülleri ile kolayca ayırt edilebilir. • Yarı ömürleri, keratinositlerden daha kısadır.
  • 38.
    Melanin Sentezi • Ribozom Tirozin Sentezi  GER  Golgi  Vezikül • Tirozin  (Tirozinaz)  (3, 4) Dihidroksi fenilalanin  Dopakinon  Melanin • Melanosit  Sitokrin Salgılama  Keratinosite melanin verilir. • Sitokrin Salgılama Nedir ?  Melanosit uzantıları fagosite edilir.
  • 41.
    Melaninin Etkisi • Melanin Granülleri  Keratinosit çekirdeklerinde birikir  UV’ye karşı koruma
  • 43.
    Klinik – DeriRengi • Melanine bağlı. Karoten  Önemli bir özellik. Sarı renk verir • Karoten, boynuzsu tabakadaki ve hipodermisteki yağ hücrelerinde depolanır. • Kılcal kan damarları da, deri renginin belirlenmesinde önemli bir faktördür. • Fazla UV  Melanin koyulaşır ve tirozinaz sentez hızı artar  Melanin üretim hızı ve miktarı artar • Melanosit uyarıcı hormon (MSH)  Pigmentasyonu artırır. • ACTH  Pigmentasyonu artırır. • Addison hastalığı  Kortizol azalır  ACTH üretimi artar  BÜB uyarılır  Hiperpigmentasyon. • Albinizm: Tirozinaz genetik sebepler dolayısıyla eksik Melanin pigmenti üretilmez. • Toprak rengi  Kronik böbrek yetmezliğinin ileri evresinde. • Hepatit (Sarılık)  Plazma serbest bilirübin seviyesinde artış  Deri renginde belirgin bir sarılık gözlenir.
  • 45.
    Malign Melanoma • Hayatıtehdit eden bir durumdur. • Melanosit hücrelerinden köken alır. • Dermis tabakasını tutar. • Lenfatik yolla uzak doku ve organlara yayılabilir. • Tedavisi  Cerrahi ve kemoterapi.
  • 48.
    Dermis İki kısımda incelenir: •Papiller ve retiküler tabaka
  • 49.
    Papiller Tabaka • Kollajen,retiküler ve elastik liflerden meydana gelir ve gevşek bağ dokusu yapısındadır. • Epidermisin hemen altında, dermisin retiküler lifleri sıkıca bir araya gelir ve bir ağ meydana getirir. • Tip – VII’den oluşan tutturucu lifler, dermisi epidermise bağlar. • Tip – III kollajen ve elastik lifler, bu gevşek bağ dokusunun içinde yer alır.
  • 50.
    Papiller Tabaka • Ayrıca,bu tabakada fibroblastlar, makrofajlar, plazma ve mast hücrelerinin yanı sıra, zengin kılcal damar ağı da mevcuttur. Bu ağ sayesinde, vücut ısısı korunur ve epidermisteki damarsız epitel hücreleri beslenir. • Meissner cisimcikleri, mekanoreseptör görevi yapar. Bu reseptörler, sıklıkla dokunmaya karşı hassastır ve dudaklarda, dış genital bölgelerde ve meme uçlarında bol miktarda bulunurlar. • Diğer bir mekanoreseptör ise, papiller tabakada yer alan kapsüllü Krause sonlanma topuzcuğudur. Krause sonlanma topuzcuğunun işlevi, günümüzde henüz tam olarak anlaşılamamıştır.
  • 51.
    Retiküler Tabaka • Düzensizsıkı bağ dokusu ve tip – I kollajen lifleri yönünden zengindir. • Elastik lifler, kollajenle birliktedir. Burada bol miktarda ter ve yağ bezleri, kıl folikülleri ile birlikte fibroblastlar, mast hücreleri, lenfositler, makrofajlar ve derin kısımlarda sıklıkla yağ hücreleri yer alır. • Penis, skrotum ve meme başı gibi retiküler tabakanın derin kısımlarında, düz kas hücre grupları vardır. • Diğer düz kas hücreleri ise, erektör pili kasları olarak adlandırılır. Bu kaslar kıl diplerinde yerleşik olup, kasıldıkları zaman kıllar dikleşir.
  • 54.
    Afferent Sinir Sonlanmaları (Duyu Reseptörleri) • Ekstroseptör, • Proprioseptör, • İnteroseptör Uyarı şekline göre: 1) Mekanoreseptör 2) Termoreseptör 3) Nosiseptör
  • 55.
    Afferent Sinir Sonlanmaları (Duyu Reseptörleri) • Mekanoreseptörler, doku veya reseptörde gerilme, titreşim, basınç ve dokunma sonucunda meydana gelen değişime cevap verir. • Termoreseptörler, sıcak veya soğuğa cevap verir. • Nosiseptörler (ağrı reseptörleri), ağrılı uyarana cevap verirler. Deri ve subkutan dokuda dokunma, basınç, sıcaklık, soğukluk ve ağrı uyaran larına karşı cevap oluşturan reseptörler vardır.
  • 56.
    Merkel Diski • Bureseptör sinir sonlanması, iki nokta ayırımını yapar. • Bunlar, epidermisin bazale tabakasında disk şekilli Merkel hücreleri halinde bulunur. • Mekanoreseptörlerin üçüncü tipiyse, kapsüllü olan Meissner ve pacini (pasini) cisimcikleridir.
  • 58.
    Meissner Cisimciği • Parmakuçlarında, ayak tabanında, dudakta, dil ucunda, göz kapaklarında, dış genitallerde ve meme başında bol miktarda bulunur. • Epidermis – dermis sınırının hemen altında ve dermisin papiller tabakasında yer alır. • Mekanoreseptör özelliğinde olup, dokunma duyusuna karşı hassastır. • Oval şekilli cisimciklerin uzun eksenleri, deri yüzeyine diktir. • Miyelinli afferent sinir lifinin terminal kısmı, dallara ayrıldıktan sonra miyelinini kaybeder ve miyelinsiz olarak cisimciğin taban kısmından girer. • Genellikle spiral benzeri bir şekle sahiptirler. Diğer sinir sonlanmaları ve Schwann hücreleriyle, yakın temas halindedirler.
  • 59.
    Pacini Cisimciği • Dermiste,deri altı dokularda ve bilhassa parmak uçları ile avuç içinde bol miktarda bulunan mekanik reseptör çeşididir. • Oval veya yuvarlak yapıdadır. Histolojik kesitlerde, iç içe konsantrik tabakalar şeklinde tertiplenmiş olup, soğan zarını andırır. • Cisimciğe giren miyelinli bir sinir lifi, tam Ranvier düğümü hizasında miyelinini kaybeder. • Boydan boya ilerleyen lifin uç kısmı, toplu iğne başı şeklinde sonlanır. Miyelinsiz lifin etrafı elektron mikroskobunda incelendiği zaman, iç içe konsantrik lameller göze çarpar.
  • 60.
    Pacini Cisimciği • Cisimciktekilamelleri meydana getiren yassı hücreler, değişikliğe uğramış olan Schwann hücreleridir. • Cisimciğin en dışında ve lamellerin etrafında, bağ dokusu yapısında bir kapsül vardır. • Kapsül, afferent lifin cisimcikle ilgili endonöryum kılıfıyla devam eder. • Pacini cisimcikleri, basınç veya kaba dokunma, titreşim (vibrasyon) ve gerilme duyularını almakla görevlidir. • Avuç içinde ve ayak tabanında, derinin derin kısmında, ligamentlerde, eklem kapsülünde, seröz zarlarda, mezenterde, pankreasta, mesane duvarında ve dış genital organların etrafında bulunur
  • 63.
    Derideki Yapılar • Ekrin Ter Bezleri • Apokrin Ter Bezleri • Yağ Bezleri • Kıl
  • 64.
    Ekrin Ter Bezleri •İnsanda, sayıca en fazla olan ter bezi çeşididir. • Glans penis gibi birkaç yer dışında, deride oldukça sık olarak bulunurlar. • Bunlar, kanalları deri yüzeyine açılan basit ve kıvrıntılı tübüler bezlerdir. • Dermiste bulunurlar ve salgılarını, ekzositoz yoluyla verirler. • Salgı kısmı, koyu ve açık hücrelerden oluşur. Koyu (mukoid) hücreler piramid şeklinde olup, bezin salgı yapan kısmının çoğunluğunu meydana getirir. Salgı granülü içermeyen piramidal şekilli açık hücreler, bol miktarda glikojen içerir ve koyu hücreler tarafından çevrelenmiştir. • Ekrin ter bezleri, protein metabolizma ürünlerinin atılmasına ve vücut sıcaklığının düşmesine yardımcı olur.
  • 66.
    Apokrin Ter Bezleri •Daha az sayıdadırlar. • Başlıca aksiller, areolar ve anal bölgelerde yerleşiktirler. • Ekrin bezlerden daha büyük ve daha geniş bir lümene sahiptirler ve visköz (yapışkan) nitelikte salgı yaparlar. • Göz kapaklarının kenarındaki Moll bezleri ve kulağın seruminöz bezleri, değişikliğe uğramış ter bezleridir.
  • 69.
    Klinik – KistikFibrozis • 7. kromozomda yerleşik olan kistik fibrozis geninin kodladığı bir kanal proteini olan Kistik Fibroz Transmembran İletim Düzenleyicisi (CFTR) tarafından yapılan epitelyal klor taşınmasında meydana gelen genetik bir bozukluktur.
  • 70.
    Klinik – KistikFibrozis • Ekzokrin bezlerle solunum, gastrointestinal ve genital kanalların epitel örtüleri, CFTR’deki bir mutasyondan etkilenmiştir. • Tekrarlayan akciğer enfeksiyonları • Pankreas yetmezliği • Steatore ve KC sirozu • Barsak tıkanıklığı • Erkekte infertilite
  • 71.
    Klinik – KistikFibrozis • Ter bezlerinin boşaltım kanalları, klorun taşınmasında rol alan ve CFTR içeren epitel hücreleriyle örtülüdür. • Normal Mekanizma: - Ach  cAMP artar  Pro. Kinaz – A etkinleşir  ATP üretimi artar. - ATP  CFTR’deki ATP bağlayıcı bölgeye tutunur.  CFTR kanalı açılır.
  • 72.
    Klinik – KistikFibrozis • Deride, ter bezi kanalındaki bir CFTR kanal hasarı  Lümenden Na ve Cl emilimi azalır  Terde Na ve Cl yoğunlukları artar  Kistik F.nin kliniğinde, terdeki yüksek tuz içeriğinin temeli.
  • 74.
    Yağ Bezleri • İncederide bulunurlar. • Salgılarını sıklıkla kıl folliküllerine boşaltırlar ve kılsız deride, doğrudan yüzeye açılırlar. • Ayak tabanında ve avuç içinde bulunmazlar. • Holokrin salgı yaparlar. • Yağsı özellikteki salgı (sebum), kanallar aracılığıyla kıl folliküllerine verilir. • Bu salgı, kıl ve etrafındaki yüzeyi kaplayarak kayganlık sağlar ve deriyi mikroorganizmaların zararlı etkilerine karşı korur.
  • 77.
    Kıl • Derinin epidermisindendışarıya doğru uzanan filamanlı ve keratin leşmiş yapılardır. • İnsan vücudunda dudaklar, avuç içleri, ayak tabanları, parmakların distal kısımları, glans penis, glans klitoris, minör ve majör labiyumların vestibüler kısımları haricindeki yerlerde bulunurlar.
  • 78.
    Kıl • İki çeşitkıl mevcuttur: - Vellus tipi kıllar yumuşak, ince ve kısadır. İnsanlarda, çoğunlukla vellus tipinde kıllar vardır. - Uç tip kıllar ise kalın, uzun ve daha serttir.
  • 79.
    Kıl • Kıl Soğanı(Bulbus) • Matriks • Dış Kök Kılıfı: - Henle tabakası, dışta tek sıralı kübik hücreler - Huxley tabakası, bir – iki sıralı yassı hücre tabakası - İç kök kılıfının kütikülü. İç kök kılıfı, sebase bezlerin kıl follikülüne tutundukları yerde son bulur.
  • 81.
    Tırnaklar • Parmakların distalfalankslarında bulunan tırnaklar, oldukça sıkı bir şekilde sıralanmış olan ve bol miktarda keratin içeren epitel hücrelerinden gelişir. • Tırnaklar, tırnak matriksinde çoğalıp keratinize olan hücrelerden meydana gelir. • Matriks, proksimal katlantının altında yer alır. Yakın (proksimal) tırnak katlantısı, eponikumu (kütikülü) meydana getirir. Kenarlardaysa, yan tırnak olukları mevcuttur. • Epidermis, tırnağın altında yatak şeklinde devam eder. Tırnağın proksimal kısmında, yarım ay şeklindeki lunula fark edilir. • Plağın distal ucu, tırnak yatağına bağlı değildir. Tırnakla derinin bileşkesine yakın yerde, hiponikum denilen boynuzsu bir tabaka birikimi mevcuttur.