Jаffaя яaza Syзd Page 1
Mucogingival Surgery
Also named as periodontal plastic surgery
“Surgical procedures performed to correct or eliminate anatomic, developmental or traumatic deformities of
the gingiva or alveolar mucosa”
“Periodontal surgical procedures designed to correct defects in the morphology, position and/or amount of
gingiva surrounding the teeth”
“plastic surgical procedures for the correction of gingiva, mucous membrane relationships that complicate
periodontal diseases and may interfere with the success of periodontal treatment”
Jаffaя яaza Syзd Page 2
Mucogingival Problems
i. Pockets extending up to or beyond mucogingival junction
ii. Recession causing denudation of root surfaces
iii. High frenum and muscle attachments
iv. Inadequate width of attached gingival.
Objectives
1. Widening the zone of attached gingiva
2. Coverage of denuded roots
3. Removal of aberrant frenum.
4. Creation of some vestibular depth when it is lacking.
5. As an adjunct to routine pocket elimination procedures.
Indications
1. Augmentation of the edentulous ridge.
2. Prevention of ridge collapse associated with tooth extraction.
3. Crown-lengthening.
4. Loss of interdental papilla which presents as esthetic/or phonetic defect.
Jаffaя яaza Syзd Page 3
Contraindications
• Gingival augmentation procedures for correction of mucosal defects (around implants)
• Root coverage procedures
• Gingival preservation at ectopic tooth eruption
• Removal of aberrant frenulum
• Ridge augmentation
• Crown-lengthening procedures.
Techniques To Increase The Width Of Attached Gingiva
Free Soft Tissue Autograft
Techinques
• Classic technique
• Variant techniques.
Jаffaя яaza Syзd
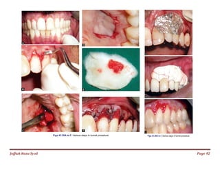
The Classic Technique
Step 1: Eliminate the pockets
Step 2: Preparation of the recipient site
Step 3:Obtaining the graft from the donor site
Step 4: Transfer and immobilization of the graft
Step 5: Protection of the donor site
Step 3:Obtaining the graft from the donor site
Step 4: Transfer and immobilization of the graft
Page 4
Jаffaя яaza Syзd Page 5
Jаffaя яaza Syзd Page 6
Jаffaя яaza Syзd Page 7
Jаffaя яaza Syзd Page 8
Jаffaя яaza Syзd Page 9
Variant Techniques
Four variants to the classic technique are described:
a. Accordion technique
b. Strip technique
c. The connective tissue technique
d. Combination of strip and connective tissue techniques.
Jаffaя яaza Syзd
Accordion Technique
Page 10
Jаffaя яaza Syзd
Strip Technique
Page 11
Jаffaя яaza Syзd Page 12
Connective Tissue Technique
Advantages of this technique include:
a. Donor site—Healing by primary intention is achieved because the donor material can be obtained from
connective tissue that is present beneath the palatal flap.
b. Color matching is better.
Jаffaя яaza Syзd Page 13
Combination Techniques
It can be performed as follows:
Remove a strip of tissue about 3 to 4 mm thick from the palate,
place it between two wet tongue depressors, and slice it longitudinally with a sharp BP blade.
Use a superficial portion that contains epithelium and connective tissue.
And the deeper portion that only consists of connective tissue.
Jаffaя яaza Syзd Page 14
Healing Of The Graft
I. Plasmatic Circulation Stage (2-3 Days):
Direct joining of capillaries between the graft and the recipient bed is seen and capillaries of the recipient bed
invade the graft.
Ii. Capillary Circulation Stage (4-5 Days):
Capillaries start functional circulation again.
The epithelium at this stage is almost desquamated and sparse.
Iii. Organization Stage (10-14 Days):
Organization is completed by growth of fibroblasts in the graft and in the recipient bed.
The network of capillaries become dense.
Regeneration of epithelium becomes active to complete the epithelialization
(wound healing is by secondary intention)
Jаffaя яaza Syзd Page 15
Jаffaя яaza Syзd Page 16
Apically-Displaced Flap
Pocket elimination
widening the zone of attached gingival.
can be a full thickness (or) split thickness flap
Procedure
Step I : Internal bevel incision 0.5-1 mm from the crest of the marginal gingiva is given.
Step II : Crevicular incision and interdental incisions are placed.
Step III : Vertical incisions extending beyond the mucogingival junction are made so that the flap can
be displaced easily. Reflect the flap depending on the purpose (split thickness or full thickness).
Step IV : Debride the area and place the flap apical to its original position and suture.
Jаffaя яaza Syзd Page 17
Jаffaя яaza Syзd
Techniques For Widening The Zone Of Attached Gingiva
Fenestration Operation/Periosteal Separation
Utilizes a partial thickness flap
Techniques For Widening The Zone Of Attached Gingiva
Fenestration Operation/Periosteal Separation
Page 18
Jаffaя яaza Syзd Page 19
Vestibular Extension Operation
For the widening of attached non-keratinizing tissue.
two vertical incisions from the junction of the marginal and attached gingiva to approximately 12 mm from the
alveolar margin into the vestibule.
The vertical incisions are joined by horizontal incision.
A mucosal flap is elevated exposing the periosteum on the bone.
The periosteum is separated from the bone, starting from the line of attachment of the mucosal flap.
The periosteum including muscle attachments is transported to bone and is sutured to the inner surface of the
periosteum.
Jаffaя яaza Syзd Page 20
Root Coverage
Advantages for root coverage procedures
i. Reduces root sensitivity.
ii. Improves esthetics.
iii. Manage the defects resulting from root caries removal and/or cervical abrasions.
iv. Manage mucogingival defect which fail to respond to altering abusive tooth-brushing techniques and/ or
plaque removal.
Jаffaя яaza Syзd Page 21
Classification
Sullivan and Atkins, 1960
i. Shallow-narrow.
ii. Shallow-wide.
iii. Deep-narrow.
iv. Deep-wide
Jаffaя яaza Syзd Page 22
Miller’s Classification (1985)
Class I:
Marginal tissue recession that does not extend to the mucogingival junction. There is no loss of bone or soft
tissue in the interdental area. This type of recession can be narrow or wide
Class II :
Marginal tissue recession that extends to or beyond the mucogingival junction. There is no loss of bone and
soft tissue in the interdental area. This type of recession may be wide or narrow.
Class III :
Marginal tissue recession that extends to or beyond the mucogingival junction. In addition, there is bone
and/or soft tissue loss interdentally or tooth may be malposed.
Class IV :
Marginal tissue recession extends to or beyond the mucogingival junction. With severe bone and soft tissue
loss interdentally and/or severe tooth malposition.
Jаffaя яaza Syзd Page 23
Jаffaя яaza Syзd Page 24
Type of recession Prognosis
Class I and II Good to excellent
Class III Only partial coverage can be expected
Class IV Very poor
Jаffaя яaza Syзd Page 25
Procedures For Root Coverage
1. Conventional procedures.
2. Regenerative procedures.
Conventional procedures
Depending on the width of the attached gingiva, i.e. if adequate width is present at the donor site the
following procedures can be selected:
a. Laterally (horizontally) displaced flap.
b. Double-papilla flap.
c. Coronally-positioned flap
If the donor site is associated with inadequate width:
i. Free soft tissue autograft.
ii. Subepithelial connective tissue grafts are available
Regenerative procedures:
Guided tissue regeneration (GTR) has been proposed.
Pedicle autografts:
Jаffaя яaza Syзd Page 26
Laterally (Horizontally) displaced flap
Advantages
a. One surgical site
b. Good vascularity of the pedicle flap.
c. Ability to cover isolated, denuded roots that have
adequate donor tissue laterally.
Disadvantages
a. Limited by the amount of adjacent keratinized attached gingiva.
b. Possibility of recession at the donor site.
c. Dehiscence or fenestration at the donor site.
d. Limited to one or two teeth with gingival recession.
Indications:
a. For covering the isolated denuded root.
b. When there is sufficient width of interdental papilla in the adjacent teeth.
c. Sufficient vestibular depth.
Contraindications:
a. Presence of deep interproximal pockets.
b. Excessive root prominence.
c. Deep or extensive root abrasion or erosion.
d. Significant loss of interproximal bone height.
Jаffaя яaza Syзd
Procedure for laterally displaced flap:
Step I : Preparation of the recipient site
Incision  3 insions  SRP of the recipient bed
thickness or full thickness reflection  short oblique
the flap, pointing more towards the recipient sit
Step II : Transfer the flap
Suturing to the adjacent gingival and
alveolar mucosa with interrupted suture
Step III : Protect the flap and donor site
periodontal pack for 1 week
Antibiotics  optional
Analgesic  mandatory
e
of the recipient bed  removal of GT  flap is then raised utilizing either partial
short oblique incision into the alveolar mucosa at the distal
recipient site.
alveolar mucosa with interrupted sutures
e
Page 27
flap is then raised utilizing either partial
incision into the alveolar mucosa at the distal corner of
Jаffaя яaza Syзd Page 28
Double papilla flap
Indications:
1. When the interproximal papillae adjacent to the mucogingival problem are sufficiently wide.
2. When the attached gingiva on an approximating tooth is insufficient to allow for a Lateral Pedicle Flap.
3. When periodontal pockets are not present.
Advantages:
1. The risk of loss of alveolar bone is minimized because the interdental bone is more resistant to loss than is
radicular bone.
2. The papillae usually supply a greater width of attached gingiva than from the radicular surface of a tooth.
3. The clinical predictability of this procedure is fairly good.
Disadvantage:
Technique sensitive—Having to join together the small flap in such a way so that they act as a single flap
Jаffaя яaza Syзd Page 29
Jаffaя яaza Syзd Page 30
Coronally-repositioned flap
Indications:
• Esthetic coverage of exposed roots.
• For tooth sensitivity owing to gingival recession.
Advantages:
• Treatment of multiple areas of root exposure.
• No need for involvement of adjacent teeth.
• High degree of success.
• Even if the procedure does not work, it does not increase the existing problem.
Disadvantage:
There is a need for two surgical procedures if the zone of keratinized gingiva is inadequate
Jаffaя яaza Syзd Page 31
Jаffaя яaza Syзd Page 32
Jаffaя яaza Syзd Page 33
First Technique
Step 1 : Make two apically-divergent vertical releasing incisions
Step 2 : A split thickness flap is prepared on coronal side and full thickness flap is prepared apical to recession
Step 3 : Once the flap is reflected the root surfaces are debrided thoroughly. Some authors have suggested
the use of citric acid with a pH 1.0 for conditioning the root surface.
Step 4 : At the base of the inner surface of the flap, approximately 3 mm apical to the bone dehiscense, a
horizontal incision is made through the periosteum, followed by a blunt dissection into the lining mucosa to
release muscle tension. Now the mucosal graft can be easily positioned coronally at the level of
cementoenamel junction.
Step 5 : interrupted sutures and additional sling sutures can be placed to maintain the flap in place.
Step 6 : Periodontal dressing is placed to protect the wound during initial healing.
Jаffaя яaza Syзd Page 34
Second Technique (Semilunar flap)
Indication:
Small localized area
Advantages:
• No vestibular shortening, as occurs with the coronallypositioned flap.
• No esthetic compromise of interproximal papillae.
• No need for sutures.
Disadvantages:
• Inability to treat large areas of gingival recession.
• The need for a free gingival graft if there is an underlying dehiscence or fenestration.
Jаffaя яaza Syзd Page 35
Jаffaя яaza Syзd Page 36
Subepithelial Connective Tissue Graft
Indications:
• Where esthetics is of prime concern
• For covering multiple denuded roots
• In the absence of sufficient width of attached gingiva in the adjacent areas.
Advantages:
• High degree of cosmetic enhancement
• Incurs no additional cost for autogenous donor tissue
• One step procedure
• Minimal palatal trauma
• Increased graft vascularity.
Disadvantages:
• High degree of technical skills required.
• Complicated suturing
Jаffaя яaza Syзd Page 37
Technique
I. Preparation of recipient site:
The initial horizontal right angle incision is made into the adjacent interdental papillae at, or slightly coronal to
the cementoenamel junction of the tooth with an exposed root surface.  preserve the papillary blood supply
 A partial thickness flap is raised without vertical incisions  SRP  Root Conditioning with citric acid pH 1.0
or tetracycline HCl in a concentration of 250 mg mixed in 5 ml of sterile water  approximate mesio distal
width necessary for the graft is measured with a periodontal probe.
II. Excision of the donor tissue
1st
incision  horizontal incision 2-3mm apical to gingival margin
2nd
incision  parallel to the long axis of the teeth, 1 to 2 mm apical to the first incision
raise a full thickness periosteal connective tissue graft
III. Grafting to the recipient site:
With interrupted sutures
Jаffaя яaza Syзd Page 38
Jаffaя яaza Syзd Page 39
Jаffaя яaza Syзd Page 40
Jаffaя яaza Syзd Page 41
Jаffaя яaza Syзd Page 42
Jаffaя яaza Syзd Page 43
Guided Tissue Regeneration Technique For Root Coverage
Indications
• Esthetic demand.
• Indicated for single tooth with wide, deep localized recessions.
• For areas of root sensitivity where oral hygiene is impaired.
• For repair of recessions associated with failing or unesthetic class V restorations.
Advantages:
• Techniques does not require a secondary donor surgical
site reducing postoperative discomfort.
• New tissue blends evenly with the adjacent tissue,
providing highly esthetic results.
Disadvantages:
• It is sensitive technique.
• Insurance of additional cost of barrier membrane.
Jаffaя яaza Syзd Page 44
Technique
 Full thickness flap till MGJ is raised.
 Partial thickness flap beyond MGJ till upto 8mm is raised
 SRP
 Goretex memb placement and stabilizing
 Coronal positioned flap placement
 after 4 weeks, membrane is removed
Modifications
a. Titanium–reinforced membranes  used to create the space below the membrane.
b. Resorbable membranes have been used to prevent a second surgery
Jаffaя яaza Syзd Page 45
Operations For Removal Of Frena
“A frenum is a fold of mucous membrane usually with enclosed muscle fibers, that attaches the lips and
cheeks to the alveolar mucosa and/or gingiva and underlying periosteum.”
Indications
To prevent:
1. The accumulation of irritants.
2. The deflection of the wall of periodontal pocket which may aggravate its severity.
3. Its interference with post-treatment healing.
4. Pocket formation.
5. Injury while brushing
Jаffaя яaza Syзd
Frenal attachment may be of four types
Page 46
Jаffaя яaza Syзd
Techniques for the Removal of the
Step 1 : After anesthetizing the area, engage the frenum
Step 2 : Incise along the upper surface of the hemostat,
the under surface of the hemostat.
Step 3 : Remove the triangular resected portion of the
the fibrous connective tissue attachment to the bone.
Step 4 : Make a horizontal incision to dissect and separate
Step 5 : Close the wound by placing interrupted sutures.
Frenum
ing the area, engage the frenum with a hemostat.
Incise along the upper surface of the hemostat, simultaneously make a similar incision along
under surface of the hemostat.
angular resected portion of the frenum along with hemostat. This exposes
fibrous connective tissue attachment to the bone.
Make a horizontal incision to dissect and separate the fibers attached to the bone.
Close the wound by placing interrupted sutures.
Page 47
simultaneously make a similar incision along
frenum along with hemostat. This exposes
ached to the bone.
Jаffaя яaza Syзd Page 48
Jаffaя яaza Syзd Page 49

036. mucogingival surgery

  • 1.
    Jаffaя яaza SyзdPage 1 Mucogingival Surgery Also named as periodontal plastic surgery “Surgical procedures performed to correct or eliminate anatomic, developmental or traumatic deformities of the gingiva or alveolar mucosa” “Periodontal surgical procedures designed to correct defects in the morphology, position and/or amount of gingiva surrounding the teeth” “plastic surgical procedures for the correction of gingiva, mucous membrane relationships that complicate periodontal diseases and may interfere with the success of periodontal treatment”
  • 2.
    Jаffaя яaza SyзdPage 2 Mucogingival Problems i. Pockets extending up to or beyond mucogingival junction ii. Recession causing denudation of root surfaces iii. High frenum and muscle attachments iv. Inadequate width of attached gingival. Objectives 1. Widening the zone of attached gingiva 2. Coverage of denuded roots 3. Removal of aberrant frenum. 4. Creation of some vestibular depth when it is lacking. 5. As an adjunct to routine pocket elimination procedures. Indications 1. Augmentation of the edentulous ridge. 2. Prevention of ridge collapse associated with tooth extraction. 3. Crown-lengthening. 4. Loss of interdental papilla which presents as esthetic/or phonetic defect.
  • 3.
    Jаffaя яaza SyзdPage 3 Contraindications • Gingival augmentation procedures for correction of mucosal defects (around implants) • Root coverage procedures • Gingival preservation at ectopic tooth eruption • Removal of aberrant frenulum • Ridge augmentation • Crown-lengthening procedures. Techniques To Increase The Width Of Attached Gingiva Free Soft Tissue Autograft Techinques • Classic technique • Variant techniques.
  • 4.
    Jаffaя яaza Syзd TheClassic Technique Step 1: Eliminate the pockets Step 2: Preparation of the recipient site Step 3:Obtaining the graft from the donor site Step 4: Transfer and immobilization of the graft Step 5: Protection of the donor site Step 3:Obtaining the graft from the donor site Step 4: Transfer and immobilization of the graft Page 4
  • 5.
  • 6.
  • 7.
  • 8.
  • 9.
    Jаffaя яaza SyзdPage 9 Variant Techniques Four variants to the classic technique are described: a. Accordion technique b. Strip technique c. The connective tissue technique d. Combination of strip and connective tissue techniques.
  • 10.
  • 11.
    Jаffaя яaza Syзd StripTechnique Page 11
  • 12.
    Jаffaя яaza SyзdPage 12 Connective Tissue Technique Advantages of this technique include: a. Donor site—Healing by primary intention is achieved because the donor material can be obtained from connective tissue that is present beneath the palatal flap. b. Color matching is better.
  • 13.
    Jаffaя яaza SyзdPage 13 Combination Techniques It can be performed as follows: Remove a strip of tissue about 3 to 4 mm thick from the palate, place it between two wet tongue depressors, and slice it longitudinally with a sharp BP blade. Use a superficial portion that contains epithelium and connective tissue. And the deeper portion that only consists of connective tissue.
  • 14.
    Jаffaя яaza SyзdPage 14 Healing Of The Graft I. Plasmatic Circulation Stage (2-3 Days): Direct joining of capillaries between the graft and the recipient bed is seen and capillaries of the recipient bed invade the graft. Ii. Capillary Circulation Stage (4-5 Days): Capillaries start functional circulation again. The epithelium at this stage is almost desquamated and sparse. Iii. Organization Stage (10-14 Days): Organization is completed by growth of fibroblasts in the graft and in the recipient bed. The network of capillaries become dense. Regeneration of epithelium becomes active to complete the epithelialization (wound healing is by secondary intention)
  • 15.
  • 16.
    Jаffaя яaza SyзdPage 16 Apically-Displaced Flap Pocket elimination widening the zone of attached gingival. can be a full thickness (or) split thickness flap Procedure Step I : Internal bevel incision 0.5-1 mm from the crest of the marginal gingiva is given. Step II : Crevicular incision and interdental incisions are placed. Step III : Vertical incisions extending beyond the mucogingival junction are made so that the flap can be displaced easily. Reflect the flap depending on the purpose (split thickness or full thickness). Step IV : Debride the area and place the flap apical to its original position and suture.
  • 17.
  • 18.
    Jаffaя яaza Syзd TechniquesFor Widening The Zone Of Attached Gingiva Fenestration Operation/Periosteal Separation Utilizes a partial thickness flap Techniques For Widening The Zone Of Attached Gingiva Fenestration Operation/Periosteal Separation Page 18
  • 19.
    Jаffaя яaza SyзdPage 19 Vestibular Extension Operation For the widening of attached non-keratinizing tissue. two vertical incisions from the junction of the marginal and attached gingiva to approximately 12 mm from the alveolar margin into the vestibule. The vertical incisions are joined by horizontal incision. A mucosal flap is elevated exposing the periosteum on the bone. The periosteum is separated from the bone, starting from the line of attachment of the mucosal flap. The periosteum including muscle attachments is transported to bone and is sutured to the inner surface of the periosteum.
  • 20.
    Jаffaя яaza SyзdPage 20 Root Coverage Advantages for root coverage procedures i. Reduces root sensitivity. ii. Improves esthetics. iii. Manage the defects resulting from root caries removal and/or cervical abrasions. iv. Manage mucogingival defect which fail to respond to altering abusive tooth-brushing techniques and/ or plaque removal.
  • 21.
    Jаffaя яaza SyзdPage 21 Classification Sullivan and Atkins, 1960 i. Shallow-narrow. ii. Shallow-wide. iii. Deep-narrow. iv. Deep-wide
  • 22.
    Jаffaя яaza SyзdPage 22 Miller’s Classification (1985) Class I: Marginal tissue recession that does not extend to the mucogingival junction. There is no loss of bone or soft tissue in the interdental area. This type of recession can be narrow or wide Class II : Marginal tissue recession that extends to or beyond the mucogingival junction. There is no loss of bone and soft tissue in the interdental area. This type of recession may be wide or narrow. Class III : Marginal tissue recession that extends to or beyond the mucogingival junction. In addition, there is bone and/or soft tissue loss interdentally or tooth may be malposed. Class IV : Marginal tissue recession extends to or beyond the mucogingival junction. With severe bone and soft tissue loss interdentally and/or severe tooth malposition.
  • 23.
  • 24.
    Jаffaя яaza SyзdPage 24 Type of recession Prognosis Class I and II Good to excellent Class III Only partial coverage can be expected Class IV Very poor
  • 25.
    Jаffaя яaza SyзdPage 25 Procedures For Root Coverage 1. Conventional procedures. 2. Regenerative procedures. Conventional procedures Depending on the width of the attached gingiva, i.e. if adequate width is present at the donor site the following procedures can be selected: a. Laterally (horizontally) displaced flap. b. Double-papilla flap. c. Coronally-positioned flap If the donor site is associated with inadequate width: i. Free soft tissue autograft. ii. Subepithelial connective tissue grafts are available Regenerative procedures: Guided tissue regeneration (GTR) has been proposed. Pedicle autografts:
  • 26.
    Jаffaя яaza SyзdPage 26 Laterally (Horizontally) displaced flap Advantages a. One surgical site b. Good vascularity of the pedicle flap. c. Ability to cover isolated, denuded roots that have adequate donor tissue laterally. Disadvantages a. Limited by the amount of adjacent keratinized attached gingiva. b. Possibility of recession at the donor site. c. Dehiscence or fenestration at the donor site. d. Limited to one or two teeth with gingival recession. Indications: a. For covering the isolated denuded root. b. When there is sufficient width of interdental papilla in the adjacent teeth. c. Sufficient vestibular depth. Contraindications: a. Presence of deep interproximal pockets. b. Excessive root prominence. c. Deep or extensive root abrasion or erosion. d. Significant loss of interproximal bone height.
  • 27.
    Jаffaя яaza Syзd Procedurefor laterally displaced flap: Step I : Preparation of the recipient site Incision  3 insions  SRP of the recipient bed thickness or full thickness reflection  short oblique the flap, pointing more towards the recipient sit Step II : Transfer the flap Suturing to the adjacent gingival and alveolar mucosa with interrupted suture Step III : Protect the flap and donor site periodontal pack for 1 week Antibiotics  optional Analgesic  mandatory e of the recipient bed  removal of GT  flap is then raised utilizing either partial short oblique incision into the alveolar mucosa at the distal recipient site. alveolar mucosa with interrupted sutures e Page 27 flap is then raised utilizing either partial incision into the alveolar mucosa at the distal corner of
  • 28.
    Jаffaя яaza SyзdPage 28 Double papilla flap Indications: 1. When the interproximal papillae adjacent to the mucogingival problem are sufficiently wide. 2. When the attached gingiva on an approximating tooth is insufficient to allow for a Lateral Pedicle Flap. 3. When periodontal pockets are not present. Advantages: 1. The risk of loss of alveolar bone is minimized because the interdental bone is more resistant to loss than is radicular bone. 2. The papillae usually supply a greater width of attached gingiva than from the radicular surface of a tooth. 3. The clinical predictability of this procedure is fairly good. Disadvantage: Technique sensitive—Having to join together the small flap in such a way so that they act as a single flap
  • 29.
  • 30.
    Jаffaя яaza SyзdPage 30 Coronally-repositioned flap Indications: • Esthetic coverage of exposed roots. • For tooth sensitivity owing to gingival recession. Advantages: • Treatment of multiple areas of root exposure. • No need for involvement of adjacent teeth. • High degree of success. • Even if the procedure does not work, it does not increase the existing problem. Disadvantage: There is a need for two surgical procedures if the zone of keratinized gingiva is inadequate
  • 31.
  • 32.
  • 33.
    Jаffaя яaza SyзdPage 33 First Technique Step 1 : Make two apically-divergent vertical releasing incisions Step 2 : A split thickness flap is prepared on coronal side and full thickness flap is prepared apical to recession Step 3 : Once the flap is reflected the root surfaces are debrided thoroughly. Some authors have suggested the use of citric acid with a pH 1.0 for conditioning the root surface. Step 4 : At the base of the inner surface of the flap, approximately 3 mm apical to the bone dehiscense, a horizontal incision is made through the periosteum, followed by a blunt dissection into the lining mucosa to release muscle tension. Now the mucosal graft can be easily positioned coronally at the level of cementoenamel junction. Step 5 : interrupted sutures and additional sling sutures can be placed to maintain the flap in place. Step 6 : Periodontal dressing is placed to protect the wound during initial healing.
  • 34.
    Jаffaя яaza SyзdPage 34 Second Technique (Semilunar flap) Indication: Small localized area Advantages: • No vestibular shortening, as occurs with the coronallypositioned flap. • No esthetic compromise of interproximal papillae. • No need for sutures. Disadvantages: • Inability to treat large areas of gingival recession. • The need for a free gingival graft if there is an underlying dehiscence or fenestration.
  • 35.
  • 36.
    Jаffaя яaza SyзdPage 36 Subepithelial Connective Tissue Graft Indications: • Where esthetics is of prime concern • For covering multiple denuded roots • In the absence of sufficient width of attached gingiva in the adjacent areas. Advantages: • High degree of cosmetic enhancement • Incurs no additional cost for autogenous donor tissue • One step procedure • Minimal palatal trauma • Increased graft vascularity. Disadvantages: • High degree of technical skills required. • Complicated suturing
  • 37.
    Jаffaя яaza SyзdPage 37 Technique I. Preparation of recipient site: The initial horizontal right angle incision is made into the adjacent interdental papillae at, or slightly coronal to the cementoenamel junction of the tooth with an exposed root surface.  preserve the papillary blood supply  A partial thickness flap is raised without vertical incisions  SRP  Root Conditioning with citric acid pH 1.0 or tetracycline HCl in a concentration of 250 mg mixed in 5 ml of sterile water  approximate mesio distal width necessary for the graft is measured with a periodontal probe. II. Excision of the donor tissue 1st incision  horizontal incision 2-3mm apical to gingival margin 2nd incision  parallel to the long axis of the teeth, 1 to 2 mm apical to the first incision raise a full thickness periosteal connective tissue graft III. Grafting to the recipient site: With interrupted sutures
  • 38.
  • 39.
  • 40.
  • 41.
  • 42.
  • 43.
    Jаffaя яaza SyзdPage 43 Guided Tissue Regeneration Technique For Root Coverage Indications • Esthetic demand. • Indicated for single tooth with wide, deep localized recessions. • For areas of root sensitivity where oral hygiene is impaired. • For repair of recessions associated with failing or unesthetic class V restorations. Advantages: • Techniques does not require a secondary donor surgical site reducing postoperative discomfort. • New tissue blends evenly with the adjacent tissue, providing highly esthetic results. Disadvantages: • It is sensitive technique. • Insurance of additional cost of barrier membrane.
  • 44.
    Jаffaя яaza SyзdPage 44 Technique  Full thickness flap till MGJ is raised.  Partial thickness flap beyond MGJ till upto 8mm is raised  SRP  Goretex memb placement and stabilizing  Coronal positioned flap placement  after 4 weeks, membrane is removed Modifications a. Titanium–reinforced membranes  used to create the space below the membrane. b. Resorbable membranes have been used to prevent a second surgery
  • 45.
    Jаffaя яaza SyзdPage 45 Operations For Removal Of Frena “A frenum is a fold of mucous membrane usually with enclosed muscle fibers, that attaches the lips and cheeks to the alveolar mucosa and/or gingiva and underlying periosteum.” Indications To prevent: 1. The accumulation of irritants. 2. The deflection of the wall of periodontal pocket which may aggravate its severity. 3. Its interference with post-treatment healing. 4. Pocket formation. 5. Injury while brushing
  • 46.
    Jаffaя яaza Syзd Frenalattachment may be of four types Page 46
  • 47.
    Jаffaя яaza Syзd Techniquesfor the Removal of the Step 1 : After anesthetizing the area, engage the frenum Step 2 : Incise along the upper surface of the hemostat, the under surface of the hemostat. Step 3 : Remove the triangular resected portion of the the fibrous connective tissue attachment to the bone. Step 4 : Make a horizontal incision to dissect and separate Step 5 : Close the wound by placing interrupted sutures. Frenum ing the area, engage the frenum with a hemostat. Incise along the upper surface of the hemostat, simultaneously make a similar incision along under surface of the hemostat. angular resected portion of the frenum along with hemostat. This exposes fibrous connective tissue attachment to the bone. Make a horizontal incision to dissect and separate the fibers attached to the bone. Close the wound by placing interrupted sutures. Page 47 simultaneously make a similar incision along frenum along with hemostat. This exposes ached to the bone.
  • 48.
  • 49.