Embed presentation
Download as PDF, PPTX






























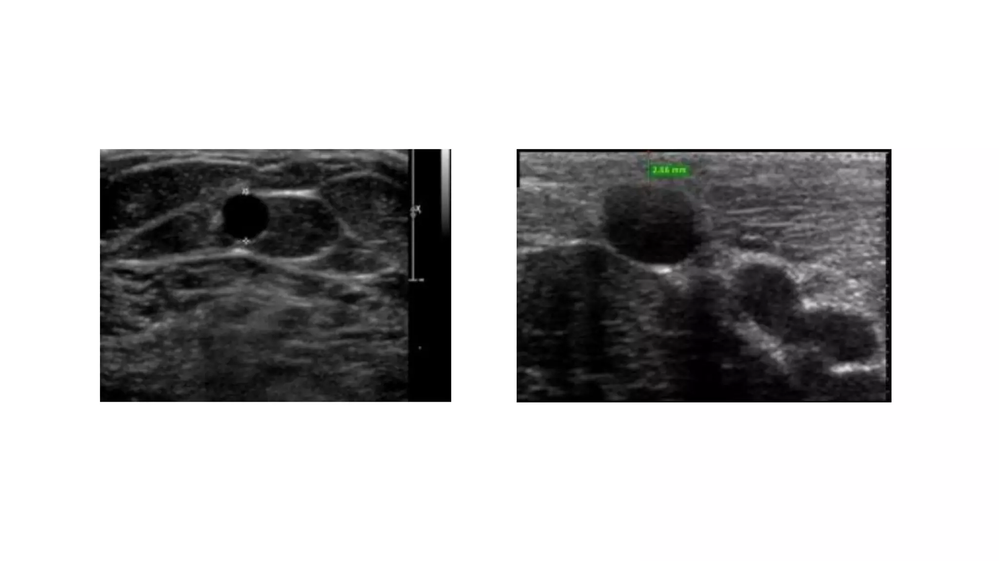
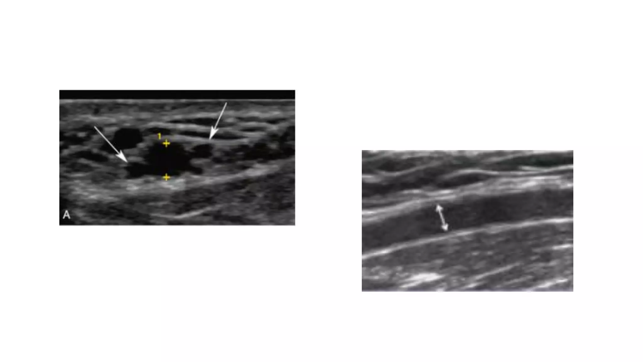
Ultrasound vascular mapping uses ultrasound to examine arteries and veins in the arms before dialysis access placement. It assesses vessel diameter, wall characteristics, blood flow, compressibility, and identifies the best vessels. The mapping examines arteries for internal diameter and wall appearance, uses Doppler to evaluate blood flow, and may check for calcification. It also assesses superficial arm veins for caliber, depth, wall appearance, distensibility, course, patency, and presence of collaterals to identify the best vessel options for dialysis access. A vein mapping worksheet is used to report the ultrasound findings.





























