HEMOGLOBINOPATHIES
DR.ANAMIKA
INTRODUCTION
• Genetically determined abnormality of the structure or synthesis of the
haemoglobin molecule are called haemoglobinopathies.
• The abnormality is associated with globin chains, heme portion will be
normal.
• Range in severity is from asymptomatic laboratory anomalies to death in
utero.
GLOBIN
• GLOBIN – Different types of Hbs are formed depending on composition
of associated globin chain tetrads; responsible for different physical
properties of Hbs.
• α like chains – α & ζ chains
• Β Like chains – β, γ, ε, δ chains
• Globin chains – Held together by non-covalent bonds in a tetrahedral
array, giving the Hb, a spherical shape.
HEMOGLOBIN
• Tetramer of globin polypeptide chains:
a pair of α-like chains and a pair of β-like chains
• 6 Wks – Hb Portland(ζ 2γ2), Hb Gower I(ζ 2ε2) and Hb
Gower II(α2 ε2).
• 10-11 Wks – Hb F(α2 γ2)
• 35 Wks – Hb A2(α2 δ2)
• 38 Wks – Hb A(α2 β2)
• New born – Hb F-50-85%
• 1 Yr – Hb A is the major Hb, HbF < 2%,
HbA2 - 1.8-3.5%
HEMOGLOBIN
CLASSIFICATION OF HEMOGLOBINOPATHIES
5 Major classes
I. STRUCTURAL – Qualitative abnormality.
 Decreased solubility – Sickle cell anemia (Hb S), Hb C, Hb
SC, Hb D.
 Decreased stability – Congenital Heinz body anemia.
 Altered O2 Affinity – High- Polycythemia.
Low- Anemia, cyanosis.
II. THALASSEMIA SYNDROMES – Deficient globin chain
biosynthesis.
 α – Thalassemia.
 β – Thalassemia.
 δβ Thal, γδβ Thal, αβ Thal.
III. THALASSEMIC Hb VARIANTS –
– HbS/β-Thal.
– HbS/α-Thal.
– Hb E.
– Hb Constant Spring.
– Hb Lepore.
IV. HEREDITARY PERSISTENCE OF FETAL Hb-(
HPFH) – High levels of Hb F in adult life.
V. ACQUIRED HEMOGLOBINOPATHIES –
Modifications of normal Hb by toxins.
THALASSEMIA
 “Thalassa” – (Gk.) Sea.(referring to Mediterranean)
 Grp of congenital anemias that have deficient synthesis of one or more
of the globin subunits of the normal Hb.
 Thomas Cooley identified it.
 It is quantitative hemoglobinopathy since no structurally abnormal
hemoglobin is synthesized.
CLASSIFICATION OF THALASSEMIAS
Normally α : β - 1:1
Degree of imbalance is related to the clinical expression.
A. Impaired α–chain synthesis – α-Thal
B. Impaired β–chain synthesis – β-Thal
C. Misc. Thalassemic syndromes –HbS Thal, HbD Thal, HbE Thal, δβ-
BETA -
THALASSEMIA
ß THALASSEMIA SYNDROMES
• Thalassemia Major – Most severe form, homozygous state
• Thalassemia Intermedia – Double heterozygous state, milder form
• Thalassemia Minor/Trait(BTT) – Heterozygous state, asymptomatic with little or no
anemia
• Thalassemia Minima – Clinically undetectable
GENETICS
• Autosomal Recessive disorders
• 2 β- Thalassemia genes (βThal)–
• β˚ - No production of β-Chains.
• β+ - Some but still subnormal production.
• Any combination of normal β-genes and βThal genes are possible –
various phenotypes.
• Point mutation on globin gene cluster; i.e, single nucleotide substitution
– Splicing mutation – Most common cause of β+ Thalassemia
– Promoter region mutation - β+ Thalassemia
– Chain terminator mutation - β0 Thalassemia
BETA -THALASSEMIA MAJOR
• Also K/A Cooleys anemia
• Homozygous form of β0 / β0 or β+ / β+ or double heterozygous β0 /β+
• Infants well at birth
• Later by 6 months , develop moderate to severe anemia, failure to thrive,
hepatosplenomegaly and bone changes
• Transfusion dependent
CLINICAL FEATURES
Irritable, pale infant, failure to thrive, diarrhea, fever
and enlarged abdomen.
Severe anemia → Cardiac failure.
Chronic Hemolysis → Gout, Gall stones, Icterus
Thrombotic complications.
Massive Splenomegaly.
Flattened nose, wide set eyes, frontal bossing of the skull, prominent
cheek bones, and overgrowth of zygomatic bones– “Chipmunk Facies” /
thalassemic facies/ mongoloid facies.
Enlarged marrow cavities d/t hyperplastic marrow.
Hair-on-end appearance on X-Ray skull.
HEMATOLOGIC FINDINGS
• Anemia – moderate to severe when first diagnosed ; 3-8gm%
• MCV – 50-70fl
• MCH -12-20pg
• MCHC - 22-32%
• PERIPHERAL SMEAR-
– RBCs are microcytic and hypochromia is marked and red cells are thin
– Moderate to marked degree of aniso-poikilocytosis
– Many target cells. Central puddle of Hb may be eccentric
– Basophilic stippling – constant feature
– Nucleated RBCs (mainly late normoblasts )- 5 - 40/100 WBC
– Presence of tear drop , elliptical, fragmented red cells and occasional red cell with Howel Jolly
body
• Aggregates of free α chains can be seen by phase contrast microscopy on supravital
staining with methyl violet
• Reticulocyte count <2 % because of ineffective erythropoiesis & does not correspond to
severity of anemia
IRON STATUS
• S. ferritin >1000 µg/L ( 50-150)
• Transferrin saturation ↑’d 55-90% (30-35%)
• Total iron binding capacity ↓ ‘d 250-300 µg% (320-360)
• S. Iron is increased
BONE MARROW
• Markedly hypercellular
• Erythroid hyperplasia is marked
• M:E ratio is reversed to 1:1 to 1:2
• Erythropoiesis is normoblastic
• Some normoblasts demonstrates features of
dyserythropoiesis like irregular nuclear and
cytoplasmic borders.
• Normoblasts demonstrate pink inclusions of
free α chains and basophilic stippling in
intermediate and late normoblasts
• Few gaucher like cells may be seen
• Myelopoiesis and megakaryopoiesis - normal
• Abundance of iron ( Prussian blue stain)
LABORATORY TESTS FOR DIAGNOSIS
1. Acid elution test / kleihauer’s cytochemical method
• Hb F levels are high 30%-90%; being higher in β0 Thalassemia than in β+ Thalassemia
• In the red cells, Hb F can be demonstrated by acid elution test
• Procedure : blood smear fixed with ethyl alcohol and incubated in prewarmed citric
acid phosphate buffer solution for 5 mins and then stained with hematoxylin and
erythrosine B
• Result:
– Red cells containing Hb F  stained pink (resistant to acid elution)
– Red cells containing Hb A  appear as GHOST cells
2. Hb Electrophoresis
– Done on starch agarose/ cellulose acetate membrane
– Shows bands of both Hb A and Hb F in β+ Thalassemia
– In β0 Thalassemia – Hb F >90%
3. HPLC
4. Globin Chain synthesis analysis
– Due to lack of synthesis of ß chains,α:ß ratio is altered to 2-30:1 (normal 1:1).
– In transfused patients – Globin chain synthesis analysis is done by separating peripheral
blood reticulocytes
– Done by incubation of red cells with a radioactive tracer such as H-leucine
5. Mutation studies by DNA analysis, DNA Scanning and DNA Sequencing
HPLC
THALASSEMIA INTERMEDIA
• Double heterozygote for mild β+ Thalassemia alleles
• It’s a clinical spectrum intermediate between thalassemia major and minor
• Pts are anemic but not transfusion dependent
• Hematological features are of moderate severity
• Hb- 7-10gm/dl
• Hb F – 10-30%
THALASSEMIA MINOR/ ß THALASSEMIA TRAIT
(BTT)
• Heterozygotes for thalassemia gene
• Carriers are asymptomatic
• Women during pregnancy are diagnosed as trait cases in thalassemia screening
programmes.
• Hematologic findings
– Hb- 10-12gm/dl
– RBC count > 5.2 million /cumm
– MCV -65-80fl
– MCH – 20-25pg
– MCHC is nearly normal – 29-33%
– Hb A -90-93%
– HbA2 – 3.6-8% (normal < 3.5 %)
• If Hb A2 is 3.3 -3.7%  iron status to be studied because it can be BTT with associated
IDA
• Peripheral smear – mild degree of aniso-poikilocytosis with microcytosis, hypochromic
, few target cells and low RDW compared to IDA
• Serum iron and serum ferritin are normal to increased
• NESTROF test
– Naked eye single tube red cell osmotic fragility test
– Method : 5 ml of 0.35% saline solution is taken in two test tube. To the tubes is added 0.02
ml of blood of a normal person( control) and patients blood ( test )
– After half an hour put a white paper with dark black line behind both tubes
– In control tube , black line is clearly seen.
– In test tube, line is not clearly seen in positive cases since microcytic hypochromic red cells
of thalassemia are more resistant to lysis than normal normocytic normochromic red cells
– Used in screening programmes
– If +ve  do HbA2 estimation to detect BTT
– False positives : IDA, Hb E thalassemia , Hb D thalassemia
THALASSEMIA VS IRON DEFICIENCY
Differential diagnosis of BTT – iron deficiency anemia
BTT – high RBC count , target cells, and stippled cells, HbA2
> 3.5%
IDA – RDW increased and MCHC is low, Hb A2 – 1-3.5%
Thal Minor Fe Def Anemia
RDW N ↑
RBC N or ↑ ↓↓
MCV ↓↓ ↓
MCH ↓↓ ↓
MCHC ↓ ↓↓
HbA2
↑ N
FEP N ↑
Management of Thalassemia Major
• Regular blood transfusions at an early age – to prevent
hyperstimulation of the bone marrow.
• “Supertransfusion Regimen”
• Bone marrow transplantation
• Cord blood transplantation
• In-utero Stem cell transplantation
• Gene Therapy – to correct defects at molecular level.
• HbF reactivation - 5-Azacytidine, Hydroxyurea, Cytarabine,
Vinblastine, Butyrates.
• Splenectomy – when excessive destruction of RBCs.
Complications of Treatment
• Transfusion Related–
• Infections – HBV, HCV, HGV.
• Hemosiderosis –Each unit BT contains 200mg Iron.
PATHOGENESIS –tissue damage d/t- Iron-induced peroxidative injury
to the phospholipids of lysosomes and mitochondria; free radical
formation.
Myocardial Iron Toxicity
Hepatic fibrosis and cirrhosis.
Endocrinal
Pulmonary insufficiency
CHELATION – Desferrioxamine(DFO) , Deferiprone(DPO) and
Deferasirox
• BM Transplantation Related
• Chronic Graft-Vs-Host Disease.
• Short stature and fertility related problems.
PREVENTION OF THALASSEMIA
MAJOR
• All mothers during first antenatal check up screened for Hb, MCV, MCH, MCHC, PS,
and NESTROF test.
• Pts with MCV<70, MCH <23 and +ve NESTROF test Assess HbA2 level of mother ,if
3.6-8% , then evaluate father also.
• If positive for trait  if < 12 weeks – chorionic villous biopsy sampling
12-20 weeks – amniotic fluid sampling
• Then PCR analysis on fetal DNA is done to detect point mutations
MISC. THALASSEMIC SYNDROMES
1. HbS/β-Thalassemia(βS/βThal)
• Double heterozygous state of HbS & β thalassemia.
• Severity depends upon inheritance of β-Thal gene i.e β˚ or β+
CLINICAL FEATURES
•Hepatosplenomegaly.
•Lymphadenopathy.
•Vaso-occlusive crisis
•Mild episodes of skeletal pain and fever
LABORATORY FEATURES –
Similar to SCA to Heterozygous Thal
 Microcytic hypochromic anemia (Clue to the presence of Thalassemia)
MCV, MCH, MCHC
 Hb – 5-10g/dL
 PS – Anisocytosis, Poikilocytosis, Target cells, basophilic stippling
 Increase in HbF and Hb S levels
• Hb Electrophoresis –
- In HbS/β˚Thal – HbA – Absent
HbS – 70%
HbA2 & HbF – Increased
- In HbS/β+Thal – HbA – 50%
HbS – 50%
HbA2 & HbF - Increased
2. Hb E THALASSEMIA
– Patient inherits ßthal gene from one parent and HbE gene from another parent
– HPLC and Hb electrophoresis  HbA , HbF and HbE inß+/E
– No HbA in ß 0 /E
3. Hb D THALASSEMIA
– HbA , HbF and HbD
4. δß THALASSEMIA
– Reduced or absent production of both δ and ß chains and an increase in γ chain synthesis
– 2 types – δß + & (δß) 0
– Δß + production of Hb Lepore  has normal α chains and δß chains instead of ß chain
– HbF 10-20%
– HPLC – shows humps on downward slope
• 5. HEREDITARY PERSISTENCE OF FETAL HEMOGLOBIN
• Group of heterogenous disorders in which the absence of δ and β-
chains synthesis is compensated for by increased γ -chain production
into adult life.
• Deletion / inactivity of the β and δ-structural gene complex.
• No β and δ-Chains production → Excess of α–chains → Combine with
γ – chains to form HbF.
• Typical finding – PANCELLULAR distribution Hb F
• HPLC- near total absence of HbA and HbF >90%
A. ALPHA THALASSEMIA
Normal Hb α-Chain Production
• α chains of globin are not / partly synthesized.
•most frequently by deletions of DNA that involve one or
more α-genes.
•Less common causes are point mutations and presence of
an abnormal α-gene.
HYDROPS FETALIS/ HB BARTS
• Deletion of all the four α genes
• Intra-uterine death; if born , dies in 2 hours
• Baby is pale and bloated
• Placenta is edematous
• Moderate to massive hepatomegaly
• Barts has high affinity for oxygen, therefore oxygen does not dissociate from γ4  severe tissue hypoxia and
fetal death
• Hb Electrophoresis
• Hb Bart’s – 80-90%
• Hb H & Hb Portland – 10-20%
• TREATMENT
• No effective therapy.
• IU transfusions, In-utero stem cell transplants attempted unsuccessfully.
• Early termination of at-risk pregnancy.
Hb H DISEASE–(α-Thal-1/α-Thal-2)Or(–,–/–,α)
•Most frequent in South-East Asia.
•Excess of β-Chains form tetramers(β4) – Hb H.
β
ββ
β
β
ββ
β
Hb H
PATHOPHYSIOLOGY
•HbH – An unstable thermolabile protein with high O2
affinity.
•Form intracellular inclusions Membrane Damage
• Shortened RBC life span → Chronic Hemolytic Anemia.
• Ineffective Erythropoesis – Not very severe.
CLINICAL FEATURES –
• Mild to severe anemia.
• Worsening of anemia during pregnancy, infections, oxidant
drugs intake.
• Splenomegaly.
• Respiratory infections, leg ulcers, gall stones, Jaundice
• Moderate skeletal changes.
LABORATORY FEATURES
• Hb – 6-10 g/dL.
• Reticulocytosis – 5-10%
• MCV, MCH, MCHC – Reduced
• Erythrocytosis.
• PS – Microcytic Hypochromic BP.
– Variable poikilocytosis, anisocytosis.
HbH inclusions when stained with supravital stain.
Brilliant cresyl blue;40X
– Blue globules, Many per cell, require time for formation
– Gives a golf ball appearance
• BM – Erythroid hyperplasia with normoblasts having scant
supply of Hb.
•Hb Electrophoresis –
•HbH – Up to 40%
•HbA2 – Decreased •HbF - Normal
• α-THALASSEMIA TRAIT
 Common in Mediterranean Area, West Africa and in South-East
Asia.
 Asymptomatic or mild anemia.
 Hb – 10-12 g/dL.
 MCV – 60-70 fL, MCH – 20-25 pg.
 PS – Microcytosis, Hypochromia
– Occasionally HbH inclusions
– Target cells, Basophilic stippling
SILENT CARRIER – (α-Thal-2/Normal)
• One α-gene is deleted.
• Adequate normal Hb synthesis.
• Definitive diagnosis by Gene Mapping.
• Asymptomatic
REFERENCES
• Tejinder singh. Atlas and text of hematology. 3rd edition.
• Kumar, Abbas, Fausto. Robbins and Cotran Pathologic Basis of Disease.9th ed.
• Internet sources
Thalassemia

Thalassemia

  • 1.
  • 2.
    INTRODUCTION • Genetically determinedabnormality of the structure or synthesis of the haemoglobin molecule are called haemoglobinopathies. • The abnormality is associated with globin chains, heme portion will be normal. • Range in severity is from asymptomatic laboratory anomalies to death in utero.
  • 3.
    GLOBIN • GLOBIN –Different types of Hbs are formed depending on composition of associated globin chain tetrads; responsible for different physical properties of Hbs. • α like chains – α & ζ chains • Β Like chains – β, γ, ε, δ chains • Globin chains – Held together by non-covalent bonds in a tetrahedral array, giving the Hb, a spherical shape.
  • 4.
    HEMOGLOBIN • Tetramer ofglobin polypeptide chains: a pair of α-like chains and a pair of β-like chains • 6 Wks – Hb Portland(ζ 2γ2), Hb Gower I(ζ 2ε2) and Hb Gower II(α2 ε2). • 10-11 Wks – Hb F(α2 γ2) • 35 Wks – Hb A2(α2 δ2) • 38 Wks – Hb A(α2 β2) • New born – Hb F-50-85% • 1 Yr – Hb A is the major Hb, HbF < 2%, HbA2 - 1.8-3.5%
  • 6.
  • 7.
    CLASSIFICATION OF HEMOGLOBINOPATHIES 5Major classes I. STRUCTURAL – Qualitative abnormality.  Decreased solubility – Sickle cell anemia (Hb S), Hb C, Hb SC, Hb D.  Decreased stability – Congenital Heinz body anemia.  Altered O2 Affinity – High- Polycythemia. Low- Anemia, cyanosis. II. THALASSEMIA SYNDROMES – Deficient globin chain biosynthesis.  α – Thalassemia.  β – Thalassemia.  δβ Thal, γδβ Thal, αβ Thal.
  • 8.
    III. THALASSEMIC HbVARIANTS – – HbS/β-Thal. – HbS/α-Thal. – Hb E. – Hb Constant Spring. – Hb Lepore. IV. HEREDITARY PERSISTENCE OF FETAL Hb-( HPFH) – High levels of Hb F in adult life. V. ACQUIRED HEMOGLOBINOPATHIES – Modifications of normal Hb by toxins.
  • 9.
  • 10.
     “Thalassa” –(Gk.) Sea.(referring to Mediterranean)  Grp of congenital anemias that have deficient synthesis of one or more of the globin subunits of the normal Hb.  Thomas Cooley identified it.  It is quantitative hemoglobinopathy since no structurally abnormal hemoglobin is synthesized.
  • 11.
    CLASSIFICATION OF THALASSEMIAS Normallyα : β - 1:1 Degree of imbalance is related to the clinical expression. A. Impaired α–chain synthesis – α-Thal B. Impaired β–chain synthesis – β-Thal C. Misc. Thalassemic syndromes –HbS Thal, HbD Thal, HbE Thal, δβ-
  • 12.
  • 13.
    ß THALASSEMIA SYNDROMES •Thalassemia Major – Most severe form, homozygous state • Thalassemia Intermedia – Double heterozygous state, milder form • Thalassemia Minor/Trait(BTT) – Heterozygous state, asymptomatic with little or no anemia • Thalassemia Minima – Clinically undetectable
  • 14.
    GENETICS • Autosomal Recessivedisorders • 2 β- Thalassemia genes (βThal)– • β˚ - No production of β-Chains. • β+ - Some but still subnormal production. • Any combination of normal β-genes and βThal genes are possible – various phenotypes. • Point mutation on globin gene cluster; i.e, single nucleotide substitution – Splicing mutation – Most common cause of β+ Thalassemia – Promoter region mutation - β+ Thalassemia – Chain terminator mutation - β0 Thalassemia
  • 15.
    BETA -THALASSEMIA MAJOR •Also K/A Cooleys anemia • Homozygous form of β0 / β0 or β+ / β+ or double heterozygous β0 /β+ • Infants well at birth • Later by 6 months , develop moderate to severe anemia, failure to thrive, hepatosplenomegaly and bone changes • Transfusion dependent
  • 17.
    CLINICAL FEATURES Irritable, paleinfant, failure to thrive, diarrhea, fever and enlarged abdomen. Severe anemia → Cardiac failure. Chronic Hemolysis → Gout, Gall stones, Icterus Thrombotic complications. Massive Splenomegaly. Flattened nose, wide set eyes, frontal bossing of the skull, prominent cheek bones, and overgrowth of zygomatic bones– “Chipmunk Facies” / thalassemic facies/ mongoloid facies. Enlarged marrow cavities d/t hyperplastic marrow. Hair-on-end appearance on X-Ray skull.
  • 19.
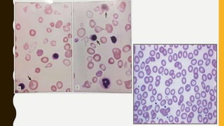
    HEMATOLOGIC FINDINGS • Anemia– moderate to severe when first diagnosed ; 3-8gm% • MCV – 50-70fl • MCH -12-20pg • MCHC - 22-32% • PERIPHERAL SMEAR- – RBCs are microcytic and hypochromia is marked and red cells are thin – Moderate to marked degree of aniso-poikilocytosis – Many target cells. Central puddle of Hb may be eccentric – Basophilic stippling – constant feature – Nucleated RBCs (mainly late normoblasts )- 5 - 40/100 WBC – Presence of tear drop , elliptical, fragmented red cells and occasional red cell with Howel Jolly body • Aggregates of free α chains can be seen by phase contrast microscopy on supravital staining with methyl violet • Reticulocyte count <2 % because of ineffective erythropoiesis & does not correspond to severity of anemia
  • 21.
    IRON STATUS • S.ferritin >1000 µg/L ( 50-150) • Transferrin saturation ↑’d 55-90% (30-35%) • Total iron binding capacity ↓ ‘d 250-300 µg% (320-360) • S. Iron is increased
  • 22.
    BONE MARROW • Markedlyhypercellular • Erythroid hyperplasia is marked • M:E ratio is reversed to 1:1 to 1:2 • Erythropoiesis is normoblastic • Some normoblasts demonstrates features of dyserythropoiesis like irregular nuclear and cytoplasmic borders. • Normoblasts demonstrate pink inclusions of free α chains and basophilic stippling in intermediate and late normoblasts • Few gaucher like cells may be seen • Myelopoiesis and megakaryopoiesis - normal • Abundance of iron ( Prussian blue stain)
  • 23.
    LABORATORY TESTS FORDIAGNOSIS 1. Acid elution test / kleihauer’s cytochemical method • Hb F levels are high 30%-90%; being higher in β0 Thalassemia than in β+ Thalassemia • In the red cells, Hb F can be demonstrated by acid elution test • Procedure : blood smear fixed with ethyl alcohol and incubated in prewarmed citric acid phosphate buffer solution for 5 mins and then stained with hematoxylin and erythrosine B • Result: – Red cells containing Hb F  stained pink (resistant to acid elution) – Red cells containing Hb A  appear as GHOST cells
  • 25.
    2. Hb Electrophoresis –Done on starch agarose/ cellulose acetate membrane – Shows bands of both Hb A and Hb F in β+ Thalassemia – In β0 Thalassemia – Hb F >90% 3. HPLC 4. Globin Chain synthesis analysis – Due to lack of synthesis of ß chains,α:ß ratio is altered to 2-30:1 (normal 1:1). – In transfused patients – Globin chain synthesis analysis is done by separating peripheral blood reticulocytes – Done by incubation of red cells with a radioactive tracer such as H-leucine 5. Mutation studies by DNA analysis, DNA Scanning and DNA Sequencing
  • 26.
  • 28.
    THALASSEMIA INTERMEDIA • Doubleheterozygote for mild β+ Thalassemia alleles • It’s a clinical spectrum intermediate between thalassemia major and minor • Pts are anemic but not transfusion dependent • Hematological features are of moderate severity • Hb- 7-10gm/dl • Hb F – 10-30%
  • 29.
    THALASSEMIA MINOR/ ßTHALASSEMIA TRAIT (BTT) • Heterozygotes for thalassemia gene • Carriers are asymptomatic • Women during pregnancy are diagnosed as trait cases in thalassemia screening programmes. • Hematologic findings – Hb- 10-12gm/dl – RBC count > 5.2 million /cumm – MCV -65-80fl – MCH – 20-25pg – MCHC is nearly normal – 29-33% – Hb A -90-93% – HbA2 – 3.6-8% (normal < 3.5 %)
  • 31.
    • If HbA2 is 3.3 -3.7%  iron status to be studied because it can be BTT with associated IDA • Peripheral smear – mild degree of aniso-poikilocytosis with microcytosis, hypochromic , few target cells and low RDW compared to IDA • Serum iron and serum ferritin are normal to increased • NESTROF test – Naked eye single tube red cell osmotic fragility test – Method : 5 ml of 0.35% saline solution is taken in two test tube. To the tubes is added 0.02 ml of blood of a normal person( control) and patients blood ( test ) – After half an hour put a white paper with dark black line behind both tubes – In control tube , black line is clearly seen. – In test tube, line is not clearly seen in positive cases since microcytic hypochromic red cells of thalassemia are more resistant to lysis than normal normocytic normochromic red cells – Used in screening programmes – If +ve  do HbA2 estimation to detect BTT – False positives : IDA, Hb E thalassemia , Hb D thalassemia
  • 33.
    THALASSEMIA VS IRONDEFICIENCY Differential diagnosis of BTT – iron deficiency anemia BTT – high RBC count , target cells, and stippled cells, HbA2 > 3.5% IDA – RDW increased and MCHC is low, Hb A2 – 1-3.5% Thal Minor Fe Def Anemia RDW N ↑ RBC N or ↑ ↓↓ MCV ↓↓ ↓ MCH ↓↓ ↓ MCHC ↓ ↓↓ HbA2 ↑ N FEP N ↑
  • 34.
    Management of ThalassemiaMajor • Regular blood transfusions at an early age – to prevent hyperstimulation of the bone marrow. • “Supertransfusion Regimen” • Bone marrow transplantation • Cord blood transplantation • In-utero Stem cell transplantation • Gene Therapy – to correct defects at molecular level. • HbF reactivation - 5-Azacytidine, Hydroxyurea, Cytarabine, Vinblastine, Butyrates. • Splenectomy – when excessive destruction of RBCs.
  • 35.
    Complications of Treatment •Transfusion Related– • Infections – HBV, HCV, HGV. • Hemosiderosis –Each unit BT contains 200mg Iron. PATHOGENESIS –tissue damage d/t- Iron-induced peroxidative injury to the phospholipids of lysosomes and mitochondria; free radical formation. Myocardial Iron Toxicity Hepatic fibrosis and cirrhosis. Endocrinal Pulmonary insufficiency CHELATION – Desferrioxamine(DFO) , Deferiprone(DPO) and Deferasirox
  • 36.
    • BM TransplantationRelated • Chronic Graft-Vs-Host Disease. • Short stature and fertility related problems.
  • 37.
    PREVENTION OF THALASSEMIA MAJOR •All mothers during first antenatal check up screened for Hb, MCV, MCH, MCHC, PS, and NESTROF test. • Pts with MCV<70, MCH <23 and +ve NESTROF test Assess HbA2 level of mother ,if 3.6-8% , then evaluate father also. • If positive for trait  if < 12 weeks – chorionic villous biopsy sampling 12-20 weeks – amniotic fluid sampling • Then PCR analysis on fetal DNA is done to detect point mutations
  • 38.
    MISC. THALASSEMIC SYNDROMES 1.HbS/β-Thalassemia(βS/βThal) • Double heterozygous state of HbS & β thalassemia. • Severity depends upon inheritance of β-Thal gene i.e β˚ or β+ CLINICAL FEATURES •Hepatosplenomegaly. •Lymphadenopathy. •Vaso-occlusive crisis •Mild episodes of skeletal pain and fever
  • 39.
    LABORATORY FEATURES – Similarto SCA to Heterozygous Thal  Microcytic hypochromic anemia (Clue to the presence of Thalassemia) MCV, MCH, MCHC  Hb – 5-10g/dL  PS – Anisocytosis, Poikilocytosis, Target cells, basophilic stippling  Increase in HbF and Hb S levels • Hb Electrophoresis – - In HbS/β˚Thal – HbA – Absent HbS – 70% HbA2 & HbF – Increased - In HbS/β+Thal – HbA – 50% HbS – 50% HbA2 & HbF - Increased
  • 40.
    2. Hb ETHALASSEMIA – Patient inherits ßthal gene from one parent and HbE gene from another parent – HPLC and Hb electrophoresis  HbA , HbF and HbE inß+/E – No HbA in ß 0 /E 3. Hb D THALASSEMIA – HbA , HbF and HbD 4. δß THALASSEMIA – Reduced or absent production of both δ and ß chains and an increase in γ chain synthesis – 2 types – δß + & (δß) 0 – Δß + production of Hb Lepore  has normal α chains and δß chains instead of ß chain – HbF 10-20% – HPLC – shows humps on downward slope
  • 42.
    • 5. HEREDITARYPERSISTENCE OF FETAL HEMOGLOBIN • Group of heterogenous disorders in which the absence of δ and β- chains synthesis is compensated for by increased γ -chain production into adult life. • Deletion / inactivity of the β and δ-structural gene complex. • No β and δ-Chains production → Excess of α–chains → Combine with γ – chains to form HbF. • Typical finding – PANCELLULAR distribution Hb F • HPLC- near total absence of HbA and HbF >90%
  • 45.
    A. ALPHA THALASSEMIA NormalHb α-Chain Production • α chains of globin are not / partly synthesized. •most frequently by deletions of DNA that involve one or more α-genes. •Less common causes are point mutations and presence of an abnormal α-gene.
  • 48.
    HYDROPS FETALIS/ HBBARTS • Deletion of all the four α genes • Intra-uterine death; if born , dies in 2 hours • Baby is pale and bloated • Placenta is edematous • Moderate to massive hepatomegaly • Barts has high affinity for oxygen, therefore oxygen does not dissociate from γ4  severe tissue hypoxia and fetal death • Hb Electrophoresis • Hb Bart’s – 80-90% • Hb H & Hb Portland – 10-20% • TREATMENT • No effective therapy. • IU transfusions, In-utero stem cell transplants attempted unsuccessfully. • Early termination of at-risk pregnancy.
  • 49.
    Hb H DISEASE–(α-Thal-1/α-Thal-2)Or(–,–/–,α) •Mostfrequent in South-East Asia. •Excess of β-Chains form tetramers(β4) – Hb H. β ββ β β ββ β Hb H PATHOPHYSIOLOGY •HbH – An unstable thermolabile protein with high O2 affinity. •Form intracellular inclusions Membrane Damage
  • 50.
    • Shortened RBClife span → Chronic Hemolytic Anemia. • Ineffective Erythropoesis – Not very severe. CLINICAL FEATURES – • Mild to severe anemia. • Worsening of anemia during pregnancy, infections, oxidant drugs intake. • Splenomegaly. • Respiratory infections, leg ulcers, gall stones, Jaundice • Moderate skeletal changes. LABORATORY FEATURES • Hb – 6-10 g/dL. • Reticulocytosis – 5-10% • MCV, MCH, MCHC – Reduced • Erythrocytosis.
  • 51.
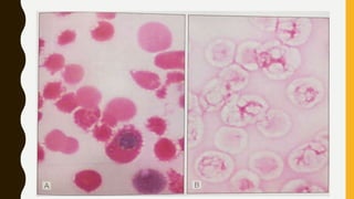
    • PS –Microcytic Hypochromic BP. – Variable poikilocytosis, anisocytosis. HbH inclusions when stained with supravital stain. Brilliant cresyl blue;40X – Blue globules, Many per cell, require time for formation – Gives a golf ball appearance • BM – Erythroid hyperplasia with normoblasts having scant supply of Hb. •Hb Electrophoresis – •HbH – Up to 40% •HbA2 – Decreased •HbF - Normal
  • 52.
    • α-THALASSEMIA TRAIT Common in Mediterranean Area, West Africa and in South-East Asia.  Asymptomatic or mild anemia.  Hb – 10-12 g/dL.  MCV – 60-70 fL, MCH – 20-25 pg.  PS – Microcytosis, Hypochromia – Occasionally HbH inclusions – Target cells, Basophilic stippling
  • 53.
    SILENT CARRIER –(α-Thal-2/Normal) • One α-gene is deleted. • Adequate normal Hb synthesis. • Definitive diagnosis by Gene Mapping. • Asymptomatic
  • 54.
    REFERENCES • Tejinder singh.Atlas and text of hematology. 3rd edition. • Kumar, Abbas, Fausto. Robbins and Cotran Pathologic Basis of Disease.9th ed. • Internet sources