Tıp Fakültesi
           Histoloji & Embriyoloji AD




SİNİR SİSTEMİ HİSTOLOJİSİ


                Semih TAN
       Pamukkale Üniversitesi Tıp Fakültesi
       Histoloji & Embriyoloji Anabilim Dalı
Sinir Doku Elemanları ve Sinir Sistemi Gelişimi

                               NÖRONLAR
 Nöronlar, karmaşık morfolojik özelliklere
  sahip olan fonksiyonal birimlerdir.
 Bireyin vücudunun iç ve dışından gelen
  uyarıları (bilgileri) alarak ilgili organa (kas,
  bez vs.) taşır, nörotransmitterler ve
  haberleşmeyi sağlayan diğer molekülleri
  sentezler.
 Nöronların çoğu 3 bölümden oluşur: Çevreden
  gelen uyarıları alan, çok sayıda ve kısa olan,
  özelleşmiş uzantılar (dendrit); hücreye gelen
  uyarıları başka bir hücreye taşıyan, tek ve uzun
  olan (akson-eksen) ve hücre gövdesidir
  (perikaryon; peri-çevre, karyon-nukleus).


  Akson, nöronların çoğunda gözlenen tek bir uzantıdır, sinir
  uyarılmasını başka bir sinir hücresine-kas hücresine-bez hücresine
  iletmek için özelleşmiştir. Bütün aksonlar, perikaryondaki akson
  tepeciği adı verilen ve piramit şeklindeki bir bölgeden çıkar.
 Aksonun plazma zarına aksolemma, içini
  dolduran sitoplazmaya aksoplazma adı
  verilir.

 Aksoplazmada      birkaç    mitokondri,
  mikrotübül, nörofilamentler, granülsüz
  endoplazmik retikulum (DER) bulunur,
  poliribozom ve granüllü endoplazmik
  retikulum (RER) bulunmaz.

 Bu durum, aksonun bazı ihtiyaçları
  açısından hücre gövdesine bağımlı
  olduğunu gösterir.

 Büyük moleküller ve organeller hücre
  gövdesinde sentezlenerek akson boyunca
  ileriye doğru iletilir. Vakuolller çift yönlü
  iletilirler.

 Bu olayda ATPaz aktivitesi olan 2 protein
  rol oynar; dinein (geriye akım ile ilgili)
  ve ileriye akımı uyaran kinezin.
 Aksonların çoğunun üzerinde miyelin
  kılıf denilen bir örtü vardır.

 Miyelin kılıf, uyarının hızlı taşınmasını
  sağlar ve Schwann hücreleri denilen bir
  çeşit    nöroglia   hücresi    tarafından
  oluşturulur.

 Schwann hücreleri miyelin kılıf üzerinde
  sürekli olmayan Schwann kılıfını
  oluştururlar. Miyelin tabakanın devam
  etmediği yerler Ranvier boğumları adını
  alır.
 Akson, perikaryondan uzak bölgelerde
  genellikle dallanır ve uçlarda düğme
  şeklinde genişlemiş bölgeleri vardır.
 Bu bölgeler, başka sinir hücreleri ya da
  sinir    hücresi     olmayan      hücrelerle
  etkileştikleri, bilgiyi aktardıkları sinaps
  bölgeleridir.
 Nöronlar ve uzantıları büyüklüklerine,
  şekillerine      ve işlevlerine  göre
  sınıflandırılırlar.

 Çok kutuplu (multipolar) nöronlar, bir
  aksonu ve çok sayıda dendritleri olan
  sinir hücreleridir. (Beyindeki motor ve
  ara nöronlar)

 Çift kutuplu (bipolar) nöronların bir
  akson    ve    bir   dendriti     vardır.
  (Retina, vestibulocochlear sinir)

 Yalancı           çok           kutuplu
  (pseudounipolar) nöronlarda, hücreden
  tek bir uzantı çıkar, sonra T harfi
  şeklinde 2 kola ayrılır. (periferik sinir
  sisteminin sensör nöronları)
Nöronlar, fonksiyonel rollerine göre de sınıflandırılırlar:

 Motor (efferent-götürücü) nöronlar, kas fibrili, eksokrin ve endokrin
  bezleri kontrol ederler.

 Duysal (afferent-getirici) nöronlar, vücuttan ve çevreden gelen uyarıları
  alırlar.

 İnternöronlar (ara nöronlar), nöronlar arasındaki bağlantıyı sağlarlar.
   Perikaryon (hücre gövdesi), hücre gövdesidir,
    nukleus ve onu kuşatan sitoplazmadan oluşur.

   Sitoplazmasında fazla miktarda paralel keselere
    sahip olan ribozomal endoplazmik retikulum
    (RER), poliribozomlar, yapısal ve taşıyıcı
    proteinler bulunur.

   Işık mikroskobunda RER ve serbest ribozomlar
    bazofilik granüller olarak boyanırlar ve bu
    yapılar Nissl cisimcikleri olarak adlandırılırlar.

   Nissl cisimciklerinin sayısı, nöronun tipine ve
    işlevine göre değişir. Motor nöronlarda oldukça
    fazladır.

   Golgi    kompleksi,     nukleus    çevresinde
    konumlanmıştır.      Özellikle akson çıkış
    noktasında bol mitokondri bulunur.

   Nörofilamentler, perikaryonda bol miktarda
    bulunan diğer yapılardır. Işık mikroskobunda
    bazı özel boyama yöntemleriyle (gümüşleme
    gibi) görülebilen sinir lifçikleridir.
Sinaps Tipleri
 Sinapslar (synapsis-birlik), sinir impulslarının tek yönlü iletilmesinden
  sorumludur. Sinapslar, nöronlar arasında ya da nöronlarla diğer efektör
  organlar arasında oluşur.

 Akson, hücre ve gövdesiyle sinaps yaptığında akso-somatik sinapslar;
  dendritle sinaps yaptığında akso-dendritik sinaps veya bir aksonla sinaps
  yaptığında akso-aksonik sinaps adını alır.

 Sinapsların büyük bölümünü oluşturan kimyasal sinapslarda, uyarının
  iletilmesinde nörotransmitterler rol oynar; bunlar kimyasal maddelerdir, bir
  nörondan diğerine ya da efektör organa uyarının geçmesini sağlarlar.

    40’ tan fazla transmitter saptanmıştır.
   Bunlar      arasında    en   önemlileri,
   asetilkolin, norepinefrin, histamin,
   gama-aminobütirik asit (GABA),
   glisin, serotonin ve glutamat’ tır.

    Az sayıda sinaps, iletileri doğrudan
   ileten elektriksel sinapslardır, elektriği
   bir hücreden diğerine ileten direkt
   kanallardır. Bunların çoğu küçük protein
   tübüllerinden oluşur.
 Sinapslar       sinyalleri, presinaptik
nörondan        postsinaptik nörona tek
yönde iletir.
 Elektriksel sinapslar ise uyarıyı çift
yönde iletir. Presinaptik ucu kaplayan
hücre       membranı       (presinaptik
membran) üzerinde çok sayıda voltaj-
kapılı kalsiyum kanalları vardır.

 Bu zar, aksiyon potansiyeliyle depolarize olduğunda çok sayıda
  kalsiyum iyonu bu kanallardan sinir terminaline gelir.

 Kalsiyum, membranın iç yüzündeki serbestleşme bölgesindeki özel
  proteinlere bağlanarak, membrana yakın olan veziküllerin
  içeriklerini ekzositozla dışarı boşaltmalarını sağlar.

 Bu veziküllerin her birinde 2.000-10.000 arasında asetilkolin
  molekülü vardır.
 Sinaps bölgesinde postsinaptik nöron
membranında çok sayıda reseptör proteinler
vardır.
 Bu reseptörlerin sinaps aralığındaki
nörotransmitterle birleşen bağlanma bölümü
ve postsinaptik nöron içine kadar uzanan
membran içindeki iyonofor bölümleri vardır.
 İyonofor,     belirli    tipteki     iyonların
kanallardan geçişine izin veren iyon kanalı
veya ikinci haberci aktivatörü olabilir.


 İyon kanalları genellikle iki tiptir; katyon kanalları çoğunlukla Na+
  iyonlarının, bunun yanısıra K+ ve Ca++ iyonlarının geçişine izin verir.

 Anyon kanalları, daha çok Cl- iyonlarının, az miktarda diğer iyonların
  geçişine izin verir. Sinaps sonrası hücre zarında uyarı başlatan
  sinapslara uyarıcı, zıt yönde etkili olanlara ise engelleyici sinapslar adı
  verilir.
Dendritlerin ucundaki akson
terminallerini prizlere takılan
fişlere benzetebiliriz. Böylece
tıpkı prizden fişe elektrik
akımının devam etmesi gibi, iki
sinir hücresi arasındaki elektrik
sinyali de devam eder.
GLİA HÜCRELERİ
                      (Destek hücreleri)
 Sinir sistemi içindeki sayıları çok fazla
  olmasına rağmen, hacim olarak sinir
  hücrelerinin yarısı kadar yer kaplarlar.

 Glial hücreler, erişkinlerde de kendilerini
  yenileyebilirler. Sinir dokusunda hücreler
  arası materyal yok denecek kadar azdır.

 Glia hücreleri nöronların aralarında
  yerleşerek hem hücre gövdesini hem de
  dendrit ve aksonları sararak desteklik
  verir, nöronların işlevleri için gereken
  mikro çevreyi oluşturur.

 Başlıca 5 tipi vardır; oligodendrositler,
  Schwann hücreleri, astrositler, ependim
  hücreleri, mikroglia.
Oligodendrositler
 Oligodendrositlerin (oligos-küçük) bazıları, beyin ve omurilikte
  bulunan nöronların etrafındaki miyelin kılıfı oluştururken, bazıları
  da hücrelerin gövdelerini sararlar.

   Miyelin kılıf, elektriksel yalıtımı sağlar.
Schwann hücreleri
 Sadece çevresel sinir sistemindeki aksonları destekleyip miyelin
  kılıflarını oluştururlar.
  Bu açıdan oligodendrositlere
benzerler ancak, bir Schwann
hücresi bir aksonun etrafındaki
miyelin kılıfını oluştururken,
oligodendrositler birden fazla
nöron ve uzantıları etrafında
kılıf oluşturabilirler.
Astrositler
 Çok sayıda uzantılarından        dolayı   yıldız
  şeklinde olan hücrelerdir.

 Astrositler, nöronları kılcal kan damarlarına
  ve pia matere (merkezi sinir sistemini örten
  ince bir bağ dokusu) bağlar.

 Kan-beyin bariyerleri adı verilen yapılar bu
  şekilde oluşur. Oksijen, su, karbondioksit,
  alkol gibi bazı küçük moleküller bu bariyeri
  kolaylıkla geçerken, büyük moleküller ya çok
  az geçer, ya da hiç geçemez.

 Astrositler    aynı    zamanda        nöronların
  birbirleriyle doğrudan temasını engeller.
  Uzantılarının miktarına göre alt tipleri vardır.
Astrositler
 Az sayıda uzun uzantıları olan ve ak madde
  içinde bulunanlar fibröz astrositler, gri madde
  içinde bulunan ve çok sayıda kısa uzantıları
  olanlar protoplazmik astrositler olarak
  isimlendirilirler.

 Astrositler, glia hücreleri içinde sayıları en
  fazla olan hücrelerdir.

 Astrositlerin     hücre    zarlarının   gama-
  aminobütirük asit (GABA), natriüretik
  peptid,     anjiyotensin    II,    endotelinler,
  vazoaktif intestinal peptid, tirotiropin
  salgılatıcı hormon reseptörlerine sahip
  olmaları, astrositlerin pek çok uyarıya cevap
  verdiğini gösterir.

 Astrositler, nöronun aktivitesi ve canlılığını da
  etkileyebilir. Astrositler, birbirleriyle doğrudan
  temas halindedirler, bu nedenle bilgi uzak
  mesafeler arasında aktarılabilir.
Ependim hücreleri
 Epiteliyal hücrelere benzer hücrelerdir.

 Beyin ventriküllerini ve omurilik kanalının içini tabaka şeklinde
  sararlar.

 Bazıları beyin-omurilik sıvısını üretirler, bazılarında bulunan siller
  bu sıvının hareketini kolaylaştırır.
Mikroglia
 Kısa uzantıları     olan   küçük
  hücrelerdir.

 Enfeksiyonlarda veya beyin
  dokusunun       dejenerasyonunda
  hem sayıları artar hem de
  hareketlenirler    ve   fagositoz
  yaparlar.

 Milroglialar kemik iliğindeki
  öncül hücrelerden kökenlenirler.
NÖROGLİA HÜCRELERİNİN KÖKENİ VE ANA İŞLEVLERİ

Glial Hücre Tipi     Kökeni        Yeri                 Temel İşlevleri

                                   Merkezi sinir
Oligodendrosit       Nöral tüp                          Miyelin yapımı, elektrik yalıtımı
                                   sistemi


Schwann Hücresi      Nöral tüp     Periferik sinirler   Miyelin yapımı, elektrik yalıtımı



                                   Merkezi sinir        Yapısal destek, onarım işlemleri
Astrosit             Nöral tüp
                                   sistemi              Kan-beyin bariyeri, metabolik değiş-tokuş



                                   Merkezi sinir
Ependim Hücresi      Nöral tüp                          Merkezi sinir sisteminin boşluklarının döşenmesi
                                   sistemi


                                   Merkezi sinir
Mikroglia            Kemik iliği                        Makrofaj aktivitesi
                                   sistemi
SİNİR SİSTEMİNİN ORGANİZASYONU

 Sinir sistemi, iç ve dış çevrede oluşan değişimleri saptamak,
  değerlendirmek ve kasların veya endokrin bezlerin aktivitesini
  değiştirerek gerekli cevabın oluşturulmasını sağlamak için
  organize olmuş bir sistemdir.

 Çok karmaşık olan bu sistemi anlamak için bölümler halinde
  incelenir.
SİNİR SİSTEMİ HİSTOLOJİSİ

MERKEZI SINIR SISTEMI (MSS) : Beyin, beyincik ve omurilik.
PERIFERIK SINIR SISTEMI ( PSS : Ganglionlar, periferik sinirler ve sinir sonlanmaları
meydana getirir.

         Ana görevi organizmanın iç ve dışında oluşan mekanik ve kimyasal
değişimlerin meydana getirdiği bilgileri almak , analiz etmek değerlendirmek ve
yanıtlamak olarak özetlenebilir.
SİNİR SİSTEMİ HİSTOLOJİSİ
                                 SOMATİK VE OTONOM SİSTEM

Fonksiyonel olarak ise;
    •sinir sisteminin iskelet kaslarını innerve eden yapıları (bölümü) somatik sinir sistemi,
    • kalb kası,düz kas ve bez epitellerini innerve eden yapıları (bölümü) ise otonom sinir sistemi
    olarak ayrılır.



Otonom sinir sistemini oluşturan
yapılar;

•sempatik bölüm,
•parasempatik bölüm
•enterik bölüm
MERKEZİ SİNİR SİSTEMİ
 Tüm sinir sistemindeki yapısal ve fonksiyonel merkezleri ifade
  eder. Beyin, beyincik ve omurilikten oluşur.

 Histolojik kesitlerde beyin (serebrum), beyincik (serebellum)
  ve omurilikte (medulla spinalis), beyaz (ak madde) ve gri (boz
  madde) renkli bölgeler görülür. Bu durum miyelinin farklı
  dağılımından ileri gelir.

 Ak madde içinde aksonlar ve
miyelini oluşturan oligodendrositler
bulunurken, gri madde içinde nöron
hücre gövdeleri, dendritler, aksonlar,
glia    hücrelerinin     başlangıçtaki
miyelinsiz kısımları bulunur. Bu
bölge sinapsların olduğu alandır.
 Beyin ve beyinciğin korteksini gri madde oluştururken,
  merkezini ak madde doldurur.

 Beyin korteksinin bazı bölgelerinde bulunan nöronlar gelen
  uyarıları algılar (duysal nöronlar), bazıları istemli hareketleri
  kontrol eden motor uyaranları oluştururlar (motor nöronlar).

 Omurilikte ak madde çevrede, gri madde ise H harfi şeklinde
  merkezde yer alır.

 Bu H harfinin ortasında embriyonal nöral tüp oluşumundan kalan
  ve ependim hücreleri ile döşeli olan enine bir açıklık vardır.

 H harfinin ön ve arka bacaklarını oluşturan gri madde ön ve arka
  boynuzları oluşturur. Ön boynuzlar spinal sinirlerin ventral
  köklerini yapan aksonlara sahip olan motor nöronları içerir. Arka
  boynuzlar, spinal gangliyonlardaki nöronlardan duysal lifleri alır.
MENİNKSLER (BEYİN ZARLARI)
 Merkezi sinir sistemini korur.
 Meninkslerin, en dıştan içe doğru; dura mater, araknoid, pia
  mater olarak 3 tabakası vardır.
Dura mater
 Sıkı bağ dokusundan
  yapılıdır ve kafatasının
  periosteumu ile devam
  eder.
 Omuriliği saran dura
  mater,         omurganın
  periosteumundan        bir
  boşlukla         (epidural
  boşluk) ayrılır.


  Epidural boşluk ince duvarlı venler, gevşek bağ dokusu ve yağ dokusu
 içerir.

  Dura materin iç yüzeyinde, hem kafatasında hem de omurilikte,
 mezenşim kökenli tek tabakalı yassı epitel vardır.
Duramater (pakimeninks)
                                             • Birbirine paralel yerleşmiş çok
                                               sayıda kollojen fibril, az sayıda
                                               elastik fibril ve fibroblastlar
                                               bulunan kompakt bağ
                                               dokusundan oluşur. Az
                                               miktarda kan damarı ve duyu
                                               sinirleri bulunur. İç yüzü (m.
•Anatomik özelliği: altındaki araknoid         spinaliste ayrıca dış yüzü) yassı
membrandan potansiyel olarak varolduğu         mezenkimal kökenli mezotel
düşünülen subdural aralık ile ayrılmıştır.
Beyin durası ile spinal dura foramen           hücresi ile döşelidir. Duranın 2
magnum aracılığıyla birbirleriyle devam        yaprağı arasında endotelle
etmektedir.
                                               döşeli venöz sinuslar bulunur.
                                               Bu sinuslar v. jugularis
                                               internaya boşalır.
• Beyin durası ile spinal dura arasında aşağıda belirtilen
  farklar vardır:
• Beyin durası:
       • A) Kafatası kemiklerine sıkıca yapışıktır. Yani kemiğin periostu ile dura
         sıkıca bağlanarak bilaminar (2 tabakalı) bir yapı oluştururlar.
         Dolayısıyla epidural aralık ve dura dışını kuşatan mezotel hücreleri
         bulunmaz. Damarlar durayı delip periosta girer. Dura tubuler bir kılıf
         şeklinde kafatasından çıkan sinirlerin etrafında dışa doğru uzanır.
         Sinirin en dış kılıfı olan epineuriumla kaynaşır. Ancak epidural
         kanamalarda spinal duradakine benzer bir epidural aralık oluşur.
       • B) İçe doğru septumlar yollayarak kranial boşluğu kavitelere ayırır
         (falks serebri(beyin yarım küreleri arasında), tentorium
         serebelli(serebrum-serebellum arasında), diafragma sella dura
         uzantılarıdır).
• Spinal dura :
       • A) Kemik ile dura arasında epidural aralık vardır. Dura kemiğe küçük
         lateral ligamentlerle asılı durumdadır. Epidural aralıktaki yağdan
         zengin gevşek bağ dokusu içinde çok sayıda ven bulunur. Duranın dış
         ve iç yüzü mezotelle döşelidir. Yine dura spinal sinirler çevresinde
         tubuler biçimde uzanır.
       • B) Septum bulunmaz.
Araknoid
 Örümcek anlamına gelen araknoid, kan damarı içermeyen bağ
  dokusundan oluşur ve iki alt tipi vardır; biri dura mater ile temas
  halinde olan tabaka, diğeri pia materle bu tabakayı birbirine
  bağlayan trabekül sistemidir.

 Trabeküller arasındaki boşluklar araknoid altı aralığı adını alır, beyin
  omurilik sıvısı ile doludur ve merkezi sinir sistemini travmalardan
  koruyan hidrolik bir yastık gibi iş görür.

   Yüzeyini dura materdeki gibi tek
 tabakalı yassı epitel örter, omurilikteki
 araknoidde trabekül sayısı daha azdır.
Araknoid membran

            Damarsız ince ağ şeklinde bağ
            dokusudur. Makroskobik
            olarak örümcek ağına
            benzediğinden araknoid
            membran denir.
            Beyni saran pia ile araknoid
            arasında bir aralık
            bulunmaktadır
            (subaraknoidal aralık).
            Araknoid membranın piaya
            bakan yüzünde 2 membranı
            birbirine bağlayan ve
            subaraknoidal aralığı
            bölmelendiren trabeküller
            vardır.
• Subaraknoidal aralıkta serebrospinal sıvı bulunur. Belirli yerlerde
  subaraknoidal aralık genişleyerek sisternaları oluşturur.
  Sisternalarda trabeküla nadirdir ya da hiç bulunmaz.
• Araknoid membran bazı yerlerde durayı parmak şeklinde
  delerek, dura içindeki venöz sinuslara açılır, son kısmı biraz
  genişler, üzeri yassı hücrelerle örtülü bu uzantılara araknoid
  villus denir. Bu villuslar, subaraknoidal aralıktaki serebrospinal
  sıvının aralıklı olarak venöz sinuslara akmasını sağlayan tek
  yönlü valvler olarak kabul edilebilir. Serebrospinal sıvı villusların
  apeksinden osmozla venöz sinuslara verilir.
• Villusların tepesinde dura oldukça incelmiştir. Serebrospinal sıvı
  ile venöz kan arasında doku engeli olarak sadece venin endotel
  tabakası vardır. Buradaki damarların geçirgenliği vücudun diğer
  yerlerinde bulunanlara kıyasla daha azdır. Yaşlılıkla villus bağ
  dokusu içinde kalsiyum tuzları birikir ve Paccioni granülleri
  oluşur.
Pia mater
 Çok sayıda kan damarı
  içeren     gevşek       bağ
  dokusuyla çevrilmiştir.

 Merkezi sinir sisteminin
  yüzeyindeki tüm girinti ve
  çıkıntıları örter ve kan
  damarları     ile     birlikte
  yüzeyden içeri girer.

 Pia    materi     mezenşim
  kökenli yassı hücreler örter.
Piamater

• Histolojik yapısı genellikle 2 tabaka olarak tanımlanır:
   1. İntimal pia: Beyin dokusuna yakın bulunan, içteki
      membranöz yapıdaki tabakadır. Elastik ince retiküler
      fibrilleri içerir. İntimal piadan sinir dokusu içine fibröz
      septumlar şeklinde uzantılar sokulur (m.spinalisin septum
      mediana posterior).
   2. Epipial tabaka: Yüzeyel pia tabakasıdır, kollajen fibriller ve
      az sayıda fibroblasttan yapılıdır. Epipial tabakanın dış yüzü
      tek katlı yassı mezotel hücreleriyle döşelidir.
• Beyin içine giren arterler
  beraberlerinde pia materi        Piamater.      Subaraknoidal Aralık
  de içeriye sürüklerler,
  böylece prekapiller arteriole
  kadar olan damarlar
  çevresinde pia mater yer                          Beyin dokusu
  alır. Damar pia arasında
  aralığa Wirchow Robins
  aralığı ya da perivasküler                   Perivasküler Aralık
  aralık denir. Bu aralık
  kaybolana kadar giderek
  daralır. Kapiller çevresinde
  damar ile sinir dokusunu
  ayırıcı glia damar ayaklarının
  oluşturduğu membrana
  limitans glia perivaskülaris
  bulunmaktadır.
Araknoid




                                                 Kapiller




                    Subaraknoidal Aralık

                                                            Beyin dokusu


                                      Piamater              Glia Limitans
Mezotel Hücreleri
Subaraknoidal Aralık




Piamater.


                   Kapiller




                     Beyin dokusu
Kan-beyin bariyeri (engeli)

 Kan-beyin bariyeri; antibiyotiklerin, kimyasalların, bakteri kökenli
  maddelerin kandan sinir dokusuna geçmesini engelleyen bir barikattır.

 Bu bariyeri, sinir dokusu içindeki kılcal kan damarlarını oluşturan
  endotel hücreleri arasındaki devamlılığı sağlayan tıkayıcı bağlantılar
  oluşturur.
Koroid pleksus ve beyin omurilik sıvısı
 Koroid          pleksus,     beyin
  ventriküllerinin iç kısmına uzanan
  pia       materin     kılcal    kan
  damarlarından zengin girinti ve
  çıkıntılı katmanlarından oluşur.

 Koroid pleksus esas olarak beyin
  omurilik sıvısını (BOS) yapar.

 BOS berrak, düşük yoğunlukta ve
  protein içeriği çok az olan bir
  sıvıdır.

 Merkezi        sinir     sistemi
  metabolizmasında ve mekanik
  darbelere karşı korunmasında rol
  oynar.
Pleksus koroideus
• 3 ve 4. ventrikülün                     Ependim
  çatısı, ayrıca yan                      Hücreleri
                               Kapiller
  ventriküllerde kısmen
  bulunan pianın
  ependim altına
  sokulmasıyla oluşmuş 2
  yapraklı membrana tela
  koroidea denir. Tela
  koroideada parmak
  şeklinde birçok çıkıntılar
  (vilus) oluşarak yüzeyi
  genişlemiştir (200 cm2
  kadar): böylece pleksus
  koroideus ismini alır.
• Epitel (ependim hücresi): Basit kübik ya da silindirik şekillidir. Çıplak
  gözle görülebilen ependim hücrelerinde, villusların yanısıra
  mikrovillusların oluşu yüzeyi çok genişletmiştir. Sitoplazma
  mitokondriden zengindir. Yapısal özellik salgı fonksiyonundan çok su
  transportuna uygun olduğunu gösterir (Golgi kompleksi iyi
  gelişmemiş, salgı granülü yok, buna karşılık bazal kıvrımlar
  bulunmakta). Fizyolojik çalışmalar beyin-omurilik sıvısı-BOS (likör
  serebrospinalis) buradan salındığını göstermektedir. Bu işlem pia
  damarlarından filtrasyon yoluyla yapılır.
• Ependim hücrelerinde az da olsa BOS absorbsiyonu yapılmaktadır,
  bazılarında sil bulunur. Ependimal hücreler birbirlerine yan
  yüzlerinden sıkıca zonula okludenslerle bağlanmışlardır. Bu bölgedeki
  kapillerlerin pencereli tipte olmasına karşın, ekstravasküler materyelin
  serebrospinal sıvıya girişi ependimal hücrelerin sıkı yan bağlantılarıyla
  engellenmiştir.
• Stroma: Damardan zengin gevşek bağ dokusudur (pia). Az miktarda
  fibroblast, az sayıda kollajen fibril vardır. Çoğu hücreler yassıdır.
  Makrofajlar yer alır.
Serebrum Hemisiferleri

                             Serebrum Korteksi



                                                                        Korteks
                  Beyaz Cevher                           Beyaz Cevher
                                     Korteks
                                                   SAA

                                 S
                                               G




SAA: Subaraknoid aralık
G: Girus
S: Sulkus
Subaraknoid Aralık

Korteks




          Beyaz Cevher
Gri Cevher




Ak Cevher
Kapiller




                 Nöronlar




           Oligodendrosit
Astrosit




      Oligodendrosit
                       Mikroglia
Korteksteki nöronların tipleri
1. Piramidal nöron:
   – Nöron soması piramit biçimlidir. Apikal dendrit (piramidin
     tepesinden çıkar) yukarıya dışa doğru uzanır, dendritte bir çok
     internöronla sinaps yapan spinalar vardır. Lateral dendrit, yandan
     çıkar, horizontal uzanır, kısa uzantılardır. Akson, somanın
     bazalinden çıkarak derinlere doğru uzanır, bir kısmı ak cevhere
     geçer, bir kısmı yeniden kortekse girerek assosiasyon fibrillerini
     oluşturur.
   – Çapına göre, küçük orta büyük tipleri vardır. En büyüklerine Betz'in
     dev piramidal hücreleri denir. Piramidal nöronların hepsinin apeksi
     beyin yüzeyine doğrudur. En küçükleri 10 mikron, en büyükleri 150
     mikrondur.
Korteksteki nöronların tipleri
2. Stellat ya da Granüler nöron:
   – Uzantıları nedeniyle yıldız biçiminde olan küçük nöronlardır (çapı 8
     mikron). Dendritleri diğer nöronlarla çok sayıda sinaps yapar.
     Aksonu çok kısadır (Golgi 2 tip) korteks içinde kalarak yakınındaki
     piramidal hücrelerin dendritleri çevresinde pleksus yapar,
     korteksin her tabakasında bulunur.
3. Füziform nöronlar:
   – Modifiye stellat nöronlardır. Genellikle korteksin en derin
     tabakasında bulunurlar, birçok piramidal hücre ile sinapslaşırlar.
4.Horizontal nöron:
   – Yüzeyel yerleşmiş, horizontal konumdaki, füziform nöronlardır.
5. Martinotti nöronları:
   – Küçük multipolar, tersine dönük piramidal nöronlardır (apeksi içe
     bakar).
Beyin korteksinin tabakaları

• Beyin korteksi gelişimine göre 2'ye ayrılır:
   1. Paleokorteks–allokorteks: İlk gelişen korteks kısımlarıdır.
     Ancak daha sonra gelişen korteks kısımları buna eklendikçe
     giderek küçülür, bir başka deyişle motor yollar geliştikçe
     neokorteks paleokorteks aleyhine genişler. Erginde area
     piriformis ve formasyo hipokampi allokorteksi yapar.
   2. Neokorteks–neopallium-isokorteks: Daha sonra gelişen
     korteks bölümüdür, allokorteks dışındaki alanlar
     neokortekse aittir.
Neokorteks - isokorteks

• 6 hücre tabakası vardır. Tabakalar beyin yüzeyine paraleldir.
  Girus ve sulkuslarda daha az düzenli tabakalanma görülür.
  Tabaka kalınlıkları, hücre sayıları hemisferin değişik
  kısımlarında farklılık gösterir.
• Dıştan içe doğru:
    1. Moleküler tabaka: Pleksiform tabaka: az sayıda horizontal hücre ve çok
       miktarda horizontal seyirli nöron uzantısı (alt tabakalardaki piramidal nöron
       dendritleri, stellat hücre ve Martinotti nöronlarının aksonları) yapıda
       bulunur.
    2. Dış granüler tabaka: Küçük piramidal nöronlar ve stellat (granüler) nöronlar
       bulunur. Çoğunlukla yoğun bir şekilde birbirine yakın konumdadırlar. Komşu
       tabakalardan gelen akson ve dendritlerle bu tabakadaki akson ve dendritler
       yoğun bir ağ oluşturur. 5. Tabakadaki piramidal nöronların apikal dendritleri
       ile assenden fibriller arasında çok sayıda sinaps vardır.
Moleküler Tabaka

                      İç Granüler Tabaka



Dış Granüler Tabaka   Ganglioner Tabaka




                      Multiform Tabaka



 Piramidal Tabaka



                      Ak Cevher
Neokorteks – isokorteks (devam)
3. Piramidal tabaka: Orta çapta piramidal hücreler ve 2 tabakaya yakın yerleşmiş
    küçük piramidal nöronlar bulunur. Ayrıca horizontal ve vertikal konumdaki
    fuziform nöron yer alır.
4. İç granüler tabaka: Moleküler tabakadan sonra en ince tabaka 4 tabakadır.
    Başlıca stellat (granüler) nöron, nadiren küçük piramidal nöronlar bulunur.
    Yine hücreler yoğun yerleşimlidir. Horizontal seyirli fibrillerin yoğunlaşmasıyla
    Baillarger'in dış bandı diye bilinen fibriller alan ortaya çıkmıştır. Komşu
    tabakalarda, subkortikal bölgede, korteksin diğer kısımlarında yerleşik
    nöronların horizontal seyirli nöritleridir.
5. Gangliyonik tabaka: En büyük piramidal nöronlar, az sayıda da stellat hücreler
    vardır. Piramidal nöronların büyüklüğü değişik alanlarda farklılık gösterir. 4.
    Tabakadaki gibi horizontal seyirli fibrillerin yoğunlaşmasıyla Baillarger'in iç
    bandı oluşmuştur.
6. Multiform tabaka: Değişik nöron tipleri ve uzantılarından oluşur. Martinotti
   nöronları en belirginleridir. Fuziform, ovoid, üçgenimsi somalar görülür.

•   1., 2. ve 3. tabakaya beraberce subragranüler tabaka, 5. ve 6. tabakaya
    infragranüler tabaka denmektedir. İnsanda supragranüler tabaka en son
    gelişir ve en ileri farklılanma gösteren tabakadır,
Moleküler Tabaka

Dış Granüler Tabaka


 Piramidal Tabaka



İç Granüler Tabaka


Ganglioner Tabaka




 Multiform Tabaka
Allokorteks - Paleokorteks
• Priform alan ve hipokampal formasyon bu tabakayı
  oluştururlar.
• 3 tabakası vardır;
  1. Moleküler tabaka: en dışta bulunur. Az sayıda hücre ve çok
     miktarda horizontal fibrilden oluşur.

  2. Granuler tabaka: orta tabakadır,

  3. Piramidal tabaka: en iç tabakadır,
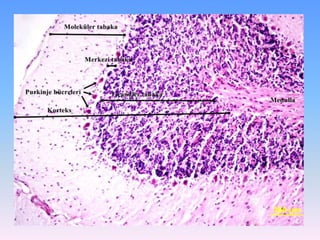
Cerebellum




              Gri Cevher




  Ak Cevher
Cerebellum Korteksi
           (Substansiya grisea: Gri cevher)

• 1.Granüler tabaka =
  Nükleer tabaka                                      Granüler
                                                      Tabaka



• 2. Purkinje hücre tabakası =
  Gangliyoner tabaka
                                        Purkinje H.



• 3. Moleküler tabaka =                               Moleküler
                                                      Tabaka
  Pleksiform tabaka.
Granüler tabaka = Nükleer tabaka
  Medullaya (ak cevhere) komşu en iç tabakadır. 2
  tip nöron bulunur.
• 1.Granüler nöron:
   – En küçük nöronlardır
   – Koyu boyalı çekirdekleri nedeniyle görünümü lenfosite
     benzer.
   – Dendritleri: 3-6 kısa dendriti serebelluma giren mossy
     fibrillerin aksonlarıyla sinaplaşır. Bu sinaptik alanlara
     Sinaptik Glomerulus denir.
   – Aksonu: myelinsizdir, en dıştaki moleküler tabakaya
     geçerek 2'ye ayrılır. Bu dallar yüzeye paralel seyirlidir
     (paralel fibriller). Böylece akson t harfi biçimindedir.
Granüler tabaka = Nükleer tabaka
• 2.Golgi nöronları (İç stellat hücre):
   – Granüler hücreler ile Purkinje hücreleri arasında bulunan
     yıldız şekilli nöronlardır.
Purkinje hücre tabakası
• Armut biçimli, büyük Purkinje nöronlarının bulunduğu
  tabakadır.(boyu 60 mikron, eni 30 mikron)
• Dendritlerinin dallanmaları bir düzlem üzerinde olduğundan
  yelpaze biçimindedir. Dışa doğru uzanarak granüler nöronların
  paralel fibrilleriyle sinapslaşır.
• Aksonu ak cevhere geçerek, büyük bir kısmı intraserebellar
  çekirdeklerde bir kısmı da korteksin bazı yerlerinde sonlanır.
• Serebellum korteksinden dışarıya sadece purkinje hücreleri
  uyarı gönderir. Bu uyarı inhibe edici niteliktedir (GABA).
• Sinaptik noktalar dışında perikaryon tamamen glia hücre
  uzantıları ile kuşatılmıştır.
Moleküler tabaka
• Genellikle sinir fibrillerinden (akson, dendrit)
  yapılmıştır. Az sayıdaki nöronlar yıldız biçimlidir.
  Bulunduğu yere göre 2'ye ayrılır:

   – 1. Yüzeyel stellat hücre:
   – 2. Derin stellat hücre= Basket nöronları
Kortekste yer alan afferent fibriller

• 1. Mossy fibriller (yosun biçimli):
    – Granüler tabakaya girince bol dallanmalarla üzüm şeklinde sinaptik sonlanma
      yaparlar ya da bunların merkezini oluşturduğu "serebellar glomerüli" şeklinde
      sonlanır.
    – Mossy fibrilleri eksitatördür.


• 2. Tırmanıcı fibriller:
    – Dallanmadan granüler tabakayı geçer, tek bir Purkinje hücresine
      ulaşınca dallanmaya başlar, bu dallar Purkinje hücresinin dendritleri ile
      sinapslaşır.
Serebellar glomerüli
Serebellar korteksin işleyiş düzeni :




•   Mossy ve tırmanıcı fibriller kortekse duyusal bilgi taşır, eksitatördür.
•   Tırmanıcı fibriller tek bir Purkinje hücresi ile sinaps yapar
•   Mossy fibriller yüzlerce granüler nöronu uyararak, P.H. ni uyarmasını sağlar.
•   Granüler nöronların dışında diğerleri (basket, Golgi, stellat ve PH) inhibitör etkili.
•   Serebelluma gelen eksitatör uyarı inhibitör olarak çıkar.
•   Serebellum çizgili kas aktivitesinin koordinasyon ve modülasyonunu yapar (postür,
    denge gibi)
Ak cevher (Substansiya alba)

• Kortekse gelen mossy ve
  tırmanıcı fibriller,
  korteksten çıkan Purkinje
  aksonu, ak cevherin
  başlıca fibrillerini
  oluşturur.
• 4 çekirdek (intraserebellar
  nukleuslar) alba içinde yer
  alan gri cevher adacıkları
  şeklindedir.
• Glia hücreleri
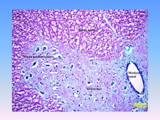
Medulla Spinalis

Arka Boynuz                          Septum mediana
                                     posterior




                                           Ak Cevher




Ön Boynuz                                    Gri Cevher
                         Fissura mediana
                         anterior
Gri Cevher (Substansiya Grisea)
• Nöronlar, nöron uzantıları, glial hücreler ve kan damarları
  bulunur.
• Medulla spinalis grizea’sında bulunan nöronlar; topoğrafik
  dağılımları, yapısal ve fönksiyonel özellikleri göz önüne
  alınarak üç gruba ayrılırlar:
   1.   Radiküler nöronlar,
   2.   Funiküler nöronlar,
   3.   Gölgi II tipi nöronlar.


• Nöronlar gri cevher içinde küçük ya da büyük gruplar
  oluşturacak biçimde yer alır. En büyük nöronlar (motor
  nöronlar) ön boynuzda yer alırlar
Gri Cevher (Substansiya Grisea)
Radiküler Nöronlar:          Bunların hücre gövdeleri ön ve yan boynuzlarda bulunur. Aksonları ön köklerle
medulla spinalis’ten ( aynı zamanda merkezi sinir sisteminden) çıkarak periferik sinirler içerisinde perifere
giderler. Bunlar motor nöronlardır ( ön boynuzdakiler somatomotor’dur; iskelet kaslarına gider, yan
boynuzdakiler vejetamotor (visceral motor)’dur; kalb kası, düz kas ve bezlere gider). Bunlar aynı zamanda
uyarımları merkezden perifere ilettikleri için efferent nöronlar diye de adlanırlar.
Funiküler nöronlar:             Arka boynuzda bulunurlar. Bunların hem nöron gövdeleri
hemde aksonları merkezi sinir sistemi içinde kalır. Bunlar duyusal bağlantı (ara duyusal
bağlantı) nöronlarıdır.
       Arka boynuz’da bulunan funiküler hücreler duyusaldır. Bunlar, periferik spinal
ganglion’lardaki duyusal nöronların aksonlarıyla arka kökler içinde medulla spinalise
gelen uyartıyı; dendritleriyle alıp , aksonlarıyla ileten duyusal ara nöronlardır.


Golgi II tipi nöronlar: Özellikle arka boynuzda, az sayıdada diğer gri madde içinde
dağılmış küçük nöronlardır. Bunların hücre gövdeleri, dendrit ve aksonları gri madde
içinde kalır, albaya geçmezler. Bu hücrelere intrasegmenter bağlantı nöronları adı verilir.
Bunlar duyusal ve motor nöronlar arasında bağlantı sağlarlar.
Ak Cevher (Substansia alba)
• Myelinli ve myelinsiz sinir fibrilleri, glialar, kan
  damarları ve pianın içe doğru uzantılarından oluşur.
• Piamaterin hemen altında glialar oldukça kalın bir
  tabaka oluştururlar: marjinal glia tabakası.
• Sinir fibrillerinin çoğu longitudinal seyirlidir ve başlıca
  3 demet oluştururlar. Bunlara funikulus denir (yerine
  göre ön, arka, lateral). Funikulusları yapan daha
  küçük sinir fibrilleri demetine de fasikulus
  denmektedir.
Kanalis sentralis
Kanalis
sentralis

                        Erginde ekseri oblitere olan kanalis
                        sentralisin lümeni ependimal hücrelerle
                        döşelidir.
                        Nörogliaların uzantıları kanalis sentralis
                        çevresinde yoğunlaşarak jelatinöz bir madde
                        oluşturur (substansiya jelatinoza sentralis).
                        Serebrospinal sıvı içerir




            Ependim
            Hücreleri
PERİFERİK SİNİR SİSTEMİ

Periferal sinir sistemini;
•periferik sinirler,
•bunların yolları üzerinde bulunan ganglionlar ve
•sinir sonlanmaları (sinir uçları)oluşturur.


***Uyarımların merkezi sinir sistemine veya merkezi sinir
sisteminden ilgili organ veya alt birimlere taşınmasını sağlarlar.***
PERİFERİK SİNİR SİSTEMİ

Periferal sinir sistemi, ilişkili bulunduğu doku tipi veya vücut bölgesine bağlı
olarak somatik ve visseral(otonom) sinir sistemi olarak ikiye ayrılır.

    •Somatik sinir sistemi isteme bağlı olarak çalışan doku ve organlar (iskelet
    kasları) ile merkezin ilişkisini sağlarken,

    •visseral (otonom,vejetatif) sinir sistemi istem dışı çalışan doku ve organlar
    (bezler, kalb kası, düz kas, sindirim vs) ile merkezi sinir sistemi arasındaki
    bağlantıyı gerçekleştirirler.
PERİFERİK (ÇEVRESEL)
        SİNİR SİSTEMİ
 Çevresel sinir sistemi sinirler, gangliyonlar ve
  sinir uçlarından oluşur. Beyinden kaynaklanan
  sinirler   kraniyal      sinirler,   omurilikten
  kaynaklananlar ise spinal sinirler olarak
  isimlendirilir.

 Çevresel sinir sistemi 13 çift kraniyal ve 31 çift
  spinal olmak üzere 44 çift sinirden oluşur.
  Kraniyal ve spinal sinirler ile bu sinirlerin
  dalları bilgiyi merkeze veya çevreye taşıyan
  liflerden oluşurlar.

 Bundan dolayı çevresel sinir sistemi iki ana
  grup altında incelenir; çevreden merkeze doğru
  tüm duysal bilgiyi taşıyan sinirlerden oluşan
  afferent (duysal) sinir sistemi, merkezden
  çevreye ulaşan tüm motor lifleri içeren efferent
  (motor) sinir sistemi.
 Efferent (motor) sinir sistemi, ulaştıkları organların tipine göre,
  bilgiyi iskelet kaslarına taşıyan somatik ve bilgiyi düz kaslara, kalp
  kasına ve endokrin bezlere taşıyan, aktivitesini istem dışı
  düzenleyen otonom sinir sistemi olarak iki alt bölümde incelenir.

 Otonom sinir sistemi de kendi içinde iki alt gruba ayrılır; sempatik
  bölüm, omuriliğin (medulla spinalis) orta bölgesinden kaynaklanan
  liflerden oluşan ve vücudun iç ortamında ortaya çıkan değişikliklere
  karşı ani cevapların oluşmasından sorumludur.


 Parasempatik bölüm, beyin ve
omuriliğin alt kısımlarından çıkan
liflerden oluşur ve vücudun dinlenme
halindeyken normal aktivitelerini
yapmasından sorumludur.
SİNİR LİFLERİ
 Sinir lifleri, ektoderm kökenli hücrelerden
  türeyen özel bir kılıfla sarılı olan aksonlardan
  oluşur.

 Çevresel sinir liflerinin kılıflarını Schwann
  hücresi, merkezi sinir sistemindeki liflerin
  kılıflarını ise oligodendrositler yapar.

 Küçük çaplı aksonlara miyelinsiz sinir
  lifleri, kılıf hücresinin daha fazla katlanarak
  oluşturduğu kalın aksonlara miyelinli sinir
  lifleri adı verilir.
Miyelinli lifler

 Miyelinli liflerde Schwann hücresinin plazma zarı akson
  etrafında dönerek onu sarar.

 Bu zar katmanları birleşirler ve içeriğindeki lipidler rutin
  laboratuvar yöntemleri uygulandığında erir ve aksonlar bir
  boşluk içindeymiş gibi görülür.

 Miyelin kılıf yer yer kesintiye uğrar (Ranvier boğumları), bu
  bölgeler aslında iki Schwann hücresi arasındaki boşluklardır.

 Aksonlarda iki Ranvier boğumu arasında yer alan ve ışık
  mikroskobunda ince yarıklar şeklinde gözlenen Schmidt-
  Lanterman yarıkları olarak bilinen oluşumlar vardır.
 Elektron mikroskobu incelemeleri, bu bölgelerde miyelin kılıf
  lamellerinin birbirlerinden uzaklaştıklarını göstermiştir. Bu
  yapıların aksonun bükülebilirliğini arttırdığı düşünülmektedir.

 Merkezi sinir sisteminde aksonlar etrafındaki miyelin kılıfı
  oligodendrositlerin uzantıları yapar. Oligodendrositler,
  Schwann hücrelerinden farklı olarak, birkaç aksonu birden
  sarabilirler.
Miyelinsiz lifler


 Hem merkezi (sayıca fazla) hem de çevresel sinir sisteminde
  miyelin kılıfı olmayan aksonlar da vardır.

 Her bir Schwann hücresi biden fazla aksonu sarar ancak,
  sürekli bir tabaka oluşturmadığı için, bu tip liflerde Ranvier
  boğumu bulunmaz.
Sinirler
 Sinirler dıştan içe doğru, epinöryum, perinöryum ve
  endonöryum adı verilen ve bağ dokusundan oluşan örtülerle
  sarılmıştır.

 Sinirler, beyin ve omurilik ile duyu organları ve efektör organlar
  (kas, bez vs.) arasında iletişim kurarlar.
Periferik Sinirler
(Anatomik Sinirler)
 Vücudun iç bölgesinden ve çevreden gelen bilgiyi merkezi sinir
  sistemine taşıyan liflere getirici lifler; merkezi sinir sisteminden
  gelen uyarıları efektör organlara taşıyan liflere götürücü lifler adı
  verilir.

 Yalnızca duysal liflere sahip olan sinirler duysal sinirler, uyarıları
  sadece efektör organlara taşıyan liflerden oluşan sinirler motor
  sinirler, çoğu sinirde olduğu gibi hem duysal hem de motor liflere
  sahip olan sinirler karışık sinirler olarak isimlendirilirler.

 Karışık sinirlerde hem miyelinli hem de miyelinsiz aksonlar vardır.
GANGLİYONLAR
 Gangliyonlar, hem merkezi sinir
  sisteminde hem de merkezi sinir sistemi
  dışında nöronların ve glia hücrelerinin
  biraraya geldiği ve bağ dokusuyla
  desteklendiği oval yapılardır.

 Sinir     uyarılarının     aktarılmasında
  dağıtım istasyonu olarak görev yaparlar.
  İki esas grup altında incelenirler.
1-Kraniyospinal gangliyonlar (Beyin ve omurilik gangliyonları).
Kraniyospinal gangliyonların nöronları pseudounipolar (yalancı
tek kutuplu) tiptedir. Omurilik gangliyonları oldukça belirgin
küçük Nissl cisimciklerine sahip iri nöron gövdelerinden
oluşmuştur.

2-Otonom gangliyonlar, sempatik zincir ve kollarındaki ampul
şeklinde genişlemiş yapılardır. Bazıları otonom sinir sistemiyle
donatılan visseral organların duvarlarında yer alır. Otonom
gangliyonlar çok kutuplu ve ince Nissl taneciklerine sahip olan
nöronlardan oluşmuştur.
SİNİR DOKUSUNUN BOZULMASI VE
             ONARILMASI
 Ergin kuşlarda beyindeki nöronların bölünebildiği gösterilmiştir.
  Memelilerde nöronlar genelde bölünmez ve hasarlanmaları kalıcı kayıplara
  neden olur.

 Merkezi ve çevresel sinir sistemlerinde nöron gövdesi hasarlanmadığı sürece,
  uzantılardaki hasarlar yenilenebilir. Merkezi sinir sisteminin nöroglia
  hücrelerinin ve Schwann hücrelerinin mitoz bölünme yetenekleri vardır.

 Bir hasar veya hastalıkta kaybedilen sinir hücrelerinin yerini nöroglialar alır.
  Sinirler vücutta yaygın bir ağ sistemi oluşturdukları için sıkça hasarlanırlar.
  Bir akson kesildiğinde önce bozulma belirtileri, sonra onarım evresi görülür.
  Yaralanmanın hücre gövdesine yakın veya uzak oluşu da onarımı etkiler.

 Akson yaralanmasında perikaryonda Nissl taneciklerinin dağılımlarındaki
  farklılıktan kaynaklanan bazofili azalması, hücre gövdesinin büyümesi,
  nukleusun bir tarafa doğru itilmesi gibi değişiklikler görülür. Hücre
  gövdesine yakın bölgede bozulan akson parçası makrofajlar tarafından
  fagosite edildikten sonra akson büyümeye başlar.
 Makrofajlar ayrıca interlökin-1 salgılayarak Schwann
  hücrelerinin akson etrafındaki miyelin kılıfı yapmasını
  kolaylaştırır.

 Schwann hücrelerinin oluşturduğu sütunlar içine girebilen
  akson parçası, bu doğrultuda büyümesine devam ederek
  efektör organa ulaşır.

 Embriyo gelişimi sırasında oluşan fazla nöronlar ve yanlış
  sinapslar yapan nöronlar ortadan kaldırılır. Erişkin
  memelilerde hasardan sonra kaybedilen sinapsların yerinde
  yenilerinin oluştuğu gösterilmiştir.

 Bu yenilenme olayı nöronlar, glia hücreleri, Schwann hücreleri
  ve bazı hedef hücreleri tarafından üretilen ve nörotropinler
  olarak isimlendirilen birkaç büyüme faktörü tarafından
  denetlenir.
 Erişkin organlarını oluşturan bazı dokularda yeni hücreler
  oluşturabilen kök hücreler bulunmaktadır. Bu hücrelerden
  türeyen bazı hücreler farklılaşmadan kalarak kök hücre havuzu
  sabit tutulur.

 Sinir hücreleri bölünmediği için, kaza veya hastalık sonucu
  kaybedilen sinir hücrelerinin yerine yenilerini verecek olan
  sinir kök hücreleri üzerinde yoğun olarak çalışılmaktadır.

 Yapılan araştırmalarda erişkin memeli beyni ve omuriliğinin
  bazı bölgelerinde astrositleri, nöronları ve oligodendrositleri
  oluşturabilen bölgelerin bulunduğu gösterilmiştir .
KAYNAKLAR
   Demir, R. Histoloji ve Hücre Biyolojisi, Palme Yayıncılık, 2006.
   Junqueira, L.C., Carneiro, J. Basic Histology, text & atlas. 11nd Ed. 2005.
   Ross, M.H.: Histology. A Text and Atlas, Harper and Row Publ. C.B. Lippincott Co. 1983.
   Ovalle, W. K. and P. C. Nahirney, Eds. (2009). Netter's Essential Histology, Saunders Elsevier.
   Gartner, L. P. and J. L. Hiatt, Eds. (2009). Color Atlas of Histology, Lippincott Williams &
    Wilkins.
   www.gfmer.ch/Medical_journals/Anatomy_histology.htm
   www.meddean.luc.edu/LUMEN/MedEd/Histo/frames/histo_frames.html
   http://image.bloodline.net/category
   https://histo.life.uiuc.edu/histo
   http://www.uni-mainz.de/FB/Medizin/Anatomie/workshop/EM/EMAtlas.html
   http://www.fahrisimsek.com/atlas/index.html
Teşekkürler…

Sinir sistemi histolojisi

  • 1.
    Tıp Fakültesi Histoloji & Embriyoloji AD SİNİR SİSTEMİ HİSTOLOJİSİ Semih TAN Pamukkale Üniversitesi Tıp Fakültesi Histoloji & Embriyoloji Anabilim Dalı
  • 2.
    Sinir Doku Elemanlarıve Sinir Sistemi Gelişimi NÖRONLAR  Nöronlar, karmaşık morfolojik özelliklere sahip olan fonksiyonal birimlerdir.  Bireyin vücudunun iç ve dışından gelen uyarıları (bilgileri) alarak ilgili organa (kas, bez vs.) taşır, nörotransmitterler ve haberleşmeyi sağlayan diğer molekülleri sentezler.  Nöronların çoğu 3 bölümden oluşur: Çevreden gelen uyarıları alan, çok sayıda ve kısa olan, özelleşmiş uzantılar (dendrit); hücreye gelen uyarıları başka bir hücreye taşıyan, tek ve uzun olan (akson-eksen) ve hücre gövdesidir (perikaryon; peri-çevre, karyon-nukleus). Akson, nöronların çoğunda gözlenen tek bir uzantıdır, sinir uyarılmasını başka bir sinir hücresine-kas hücresine-bez hücresine iletmek için özelleşmiştir. Bütün aksonlar, perikaryondaki akson tepeciği adı verilen ve piramit şeklindeki bir bölgeden çıkar.
  • 3.
     Aksonun plazmazarına aksolemma, içini dolduran sitoplazmaya aksoplazma adı verilir.  Aksoplazmada birkaç mitokondri, mikrotübül, nörofilamentler, granülsüz endoplazmik retikulum (DER) bulunur, poliribozom ve granüllü endoplazmik retikulum (RER) bulunmaz.  Bu durum, aksonun bazı ihtiyaçları açısından hücre gövdesine bağımlı olduğunu gösterir.  Büyük moleküller ve organeller hücre gövdesinde sentezlenerek akson boyunca ileriye doğru iletilir. Vakuolller çift yönlü iletilirler.  Bu olayda ATPaz aktivitesi olan 2 protein rol oynar; dinein (geriye akım ile ilgili) ve ileriye akımı uyaran kinezin.
  • 4.
     Aksonların çoğununüzerinde miyelin kılıf denilen bir örtü vardır.  Miyelin kılıf, uyarının hızlı taşınmasını sağlar ve Schwann hücreleri denilen bir çeşit nöroglia hücresi tarafından oluşturulur.  Schwann hücreleri miyelin kılıf üzerinde sürekli olmayan Schwann kılıfını oluştururlar. Miyelin tabakanın devam etmediği yerler Ranvier boğumları adını alır.  Akson, perikaryondan uzak bölgelerde genellikle dallanır ve uçlarda düğme şeklinde genişlemiş bölgeleri vardır.  Bu bölgeler, başka sinir hücreleri ya da sinir hücresi olmayan hücrelerle etkileştikleri, bilgiyi aktardıkları sinaps bölgeleridir.
  • 5.
     Nöronlar veuzantıları büyüklüklerine, şekillerine ve işlevlerine göre sınıflandırılırlar.  Çok kutuplu (multipolar) nöronlar, bir aksonu ve çok sayıda dendritleri olan sinir hücreleridir. (Beyindeki motor ve ara nöronlar)  Çift kutuplu (bipolar) nöronların bir akson ve bir dendriti vardır. (Retina, vestibulocochlear sinir)  Yalancı çok kutuplu (pseudounipolar) nöronlarda, hücreden tek bir uzantı çıkar, sonra T harfi şeklinde 2 kola ayrılır. (periferik sinir sisteminin sensör nöronları)
  • 6.
    Nöronlar, fonksiyonel rollerinegöre de sınıflandırılırlar:  Motor (efferent-götürücü) nöronlar, kas fibrili, eksokrin ve endokrin bezleri kontrol ederler.  Duysal (afferent-getirici) nöronlar, vücuttan ve çevreden gelen uyarıları alırlar.  İnternöronlar (ara nöronlar), nöronlar arasındaki bağlantıyı sağlarlar.
  • 7.
    Perikaryon (hücre gövdesi), hücre gövdesidir, nukleus ve onu kuşatan sitoplazmadan oluşur.  Sitoplazmasında fazla miktarda paralel keselere sahip olan ribozomal endoplazmik retikulum (RER), poliribozomlar, yapısal ve taşıyıcı proteinler bulunur.  Işık mikroskobunda RER ve serbest ribozomlar bazofilik granüller olarak boyanırlar ve bu yapılar Nissl cisimcikleri olarak adlandırılırlar.  Nissl cisimciklerinin sayısı, nöronun tipine ve işlevine göre değişir. Motor nöronlarda oldukça fazladır.  Golgi kompleksi, nukleus çevresinde konumlanmıştır. Özellikle akson çıkış noktasında bol mitokondri bulunur.  Nörofilamentler, perikaryonda bol miktarda bulunan diğer yapılardır. Işık mikroskobunda bazı özel boyama yöntemleriyle (gümüşleme gibi) görülebilen sinir lifçikleridir.
  • 8.
    Sinaps Tipleri  Sinapslar(synapsis-birlik), sinir impulslarının tek yönlü iletilmesinden sorumludur. Sinapslar, nöronlar arasında ya da nöronlarla diğer efektör organlar arasında oluşur.  Akson, hücre ve gövdesiyle sinaps yaptığında akso-somatik sinapslar; dendritle sinaps yaptığında akso-dendritik sinaps veya bir aksonla sinaps yaptığında akso-aksonik sinaps adını alır.  Sinapsların büyük bölümünü oluşturan kimyasal sinapslarda, uyarının iletilmesinde nörotransmitterler rol oynar; bunlar kimyasal maddelerdir, bir nörondan diğerine ya da efektör organa uyarının geçmesini sağlarlar.  40’ tan fazla transmitter saptanmıştır. Bunlar arasında en önemlileri, asetilkolin, norepinefrin, histamin, gama-aminobütirik asit (GABA), glisin, serotonin ve glutamat’ tır.  Az sayıda sinaps, iletileri doğrudan ileten elektriksel sinapslardır, elektriği bir hücreden diğerine ileten direkt kanallardır. Bunların çoğu küçük protein tübüllerinden oluşur.
  • 10.
     Sinapslar sinyalleri, presinaptik nörondan postsinaptik nörona tek yönde iletir.  Elektriksel sinapslar ise uyarıyı çift yönde iletir. Presinaptik ucu kaplayan hücre membranı (presinaptik membran) üzerinde çok sayıda voltaj- kapılı kalsiyum kanalları vardır.  Bu zar, aksiyon potansiyeliyle depolarize olduğunda çok sayıda kalsiyum iyonu bu kanallardan sinir terminaline gelir.  Kalsiyum, membranın iç yüzündeki serbestleşme bölgesindeki özel proteinlere bağlanarak, membrana yakın olan veziküllerin içeriklerini ekzositozla dışarı boşaltmalarını sağlar.  Bu veziküllerin her birinde 2.000-10.000 arasında asetilkolin molekülü vardır.
  • 11.
     Sinaps bölgesindepostsinaptik nöron membranında çok sayıda reseptör proteinler vardır.  Bu reseptörlerin sinaps aralığındaki nörotransmitterle birleşen bağlanma bölümü ve postsinaptik nöron içine kadar uzanan membran içindeki iyonofor bölümleri vardır.  İyonofor, belirli tipteki iyonların kanallardan geçişine izin veren iyon kanalı veya ikinci haberci aktivatörü olabilir.  İyon kanalları genellikle iki tiptir; katyon kanalları çoğunlukla Na+ iyonlarının, bunun yanısıra K+ ve Ca++ iyonlarının geçişine izin verir.  Anyon kanalları, daha çok Cl- iyonlarının, az miktarda diğer iyonların geçişine izin verir. Sinaps sonrası hücre zarında uyarı başlatan sinapslara uyarıcı, zıt yönde etkili olanlara ise engelleyici sinapslar adı verilir.
  • 12.
    Dendritlerin ucundaki akson terminalleriniprizlere takılan fişlere benzetebiliriz. Böylece tıpkı prizden fişe elektrik akımının devam etmesi gibi, iki sinir hücresi arasındaki elektrik sinyali de devam eder.
  • 13.
    GLİA HÜCRELERİ (Destek hücreleri)  Sinir sistemi içindeki sayıları çok fazla olmasına rağmen, hacim olarak sinir hücrelerinin yarısı kadar yer kaplarlar.  Glial hücreler, erişkinlerde de kendilerini yenileyebilirler. Sinir dokusunda hücreler arası materyal yok denecek kadar azdır.  Glia hücreleri nöronların aralarında yerleşerek hem hücre gövdesini hem de dendrit ve aksonları sararak desteklik verir, nöronların işlevleri için gereken mikro çevreyi oluşturur.  Başlıca 5 tipi vardır; oligodendrositler, Schwann hücreleri, astrositler, ependim hücreleri, mikroglia.
  • 14.
    Oligodendrositler  Oligodendrositlerin (oligos-küçük)bazıları, beyin ve omurilikte bulunan nöronların etrafındaki miyelin kılıfı oluştururken, bazıları da hücrelerin gövdelerini sararlar.  Miyelin kılıf, elektriksel yalıtımı sağlar.
  • 15.
    Schwann hücreleri  Sadeceçevresel sinir sistemindeki aksonları destekleyip miyelin kılıflarını oluştururlar.  Bu açıdan oligodendrositlere benzerler ancak, bir Schwann hücresi bir aksonun etrafındaki miyelin kılıfını oluştururken, oligodendrositler birden fazla nöron ve uzantıları etrafında kılıf oluşturabilirler.
  • 16.
    Astrositler  Çok sayıdauzantılarından dolayı yıldız şeklinde olan hücrelerdir.  Astrositler, nöronları kılcal kan damarlarına ve pia matere (merkezi sinir sistemini örten ince bir bağ dokusu) bağlar.  Kan-beyin bariyerleri adı verilen yapılar bu şekilde oluşur. Oksijen, su, karbondioksit, alkol gibi bazı küçük moleküller bu bariyeri kolaylıkla geçerken, büyük moleküller ya çok az geçer, ya da hiç geçemez.  Astrositler aynı zamanda nöronların birbirleriyle doğrudan temasını engeller. Uzantılarının miktarına göre alt tipleri vardır.
  • 17.
    Astrositler  Az sayıdauzun uzantıları olan ve ak madde içinde bulunanlar fibröz astrositler, gri madde içinde bulunan ve çok sayıda kısa uzantıları olanlar protoplazmik astrositler olarak isimlendirilirler.  Astrositler, glia hücreleri içinde sayıları en fazla olan hücrelerdir.  Astrositlerin hücre zarlarının gama- aminobütirük asit (GABA), natriüretik peptid, anjiyotensin II, endotelinler, vazoaktif intestinal peptid, tirotiropin salgılatıcı hormon reseptörlerine sahip olmaları, astrositlerin pek çok uyarıya cevap verdiğini gösterir.  Astrositler, nöronun aktivitesi ve canlılığını da etkileyebilir. Astrositler, birbirleriyle doğrudan temas halindedirler, bu nedenle bilgi uzak mesafeler arasında aktarılabilir.
  • 18.
    Ependim hücreleri  Epiteliyalhücrelere benzer hücrelerdir.  Beyin ventriküllerini ve omurilik kanalının içini tabaka şeklinde sararlar.  Bazıları beyin-omurilik sıvısını üretirler, bazılarında bulunan siller bu sıvının hareketini kolaylaştırır.
  • 19.
    Mikroglia  Kısa uzantıları olan küçük hücrelerdir.  Enfeksiyonlarda veya beyin dokusunun dejenerasyonunda hem sayıları artar hem de hareketlenirler ve fagositoz yaparlar.  Milroglialar kemik iliğindeki öncül hücrelerden kökenlenirler.
  • 20.
    NÖROGLİA HÜCRELERİNİN KÖKENİVE ANA İŞLEVLERİ Glial Hücre Tipi Kökeni Yeri Temel İşlevleri Merkezi sinir Oligodendrosit Nöral tüp Miyelin yapımı, elektrik yalıtımı sistemi Schwann Hücresi Nöral tüp Periferik sinirler Miyelin yapımı, elektrik yalıtımı Merkezi sinir Yapısal destek, onarım işlemleri Astrosit Nöral tüp sistemi Kan-beyin bariyeri, metabolik değiş-tokuş Merkezi sinir Ependim Hücresi Nöral tüp Merkezi sinir sisteminin boşluklarının döşenmesi sistemi Merkezi sinir Mikroglia Kemik iliği Makrofaj aktivitesi sistemi
  • 21.
    SİNİR SİSTEMİNİN ORGANİZASYONU Sinir sistemi, iç ve dış çevrede oluşan değişimleri saptamak, değerlendirmek ve kasların veya endokrin bezlerin aktivitesini değiştirerek gerekli cevabın oluşturulmasını sağlamak için organize olmuş bir sistemdir.  Çok karmaşık olan bu sistemi anlamak için bölümler halinde incelenir.
  • 22.
    SİNİR SİSTEMİ HİSTOLOJİSİ MERKEZISINIR SISTEMI (MSS) : Beyin, beyincik ve omurilik. PERIFERIK SINIR SISTEMI ( PSS : Ganglionlar, periferik sinirler ve sinir sonlanmaları meydana getirir. Ana görevi organizmanın iç ve dışında oluşan mekanik ve kimyasal değişimlerin meydana getirdiği bilgileri almak , analiz etmek değerlendirmek ve yanıtlamak olarak özetlenebilir.
  • 23.
    SİNİR SİSTEMİ HİSTOLOJİSİ SOMATİK VE OTONOM SİSTEM Fonksiyonel olarak ise; •sinir sisteminin iskelet kaslarını innerve eden yapıları (bölümü) somatik sinir sistemi, • kalb kası,düz kas ve bez epitellerini innerve eden yapıları (bölümü) ise otonom sinir sistemi olarak ayrılır. Otonom sinir sistemini oluşturan yapılar; •sempatik bölüm, •parasempatik bölüm •enterik bölüm
  • 25.
    MERKEZİ SİNİR SİSTEMİ Tüm sinir sistemindeki yapısal ve fonksiyonel merkezleri ifade eder. Beyin, beyincik ve omurilikten oluşur.  Histolojik kesitlerde beyin (serebrum), beyincik (serebellum) ve omurilikte (medulla spinalis), beyaz (ak madde) ve gri (boz madde) renkli bölgeler görülür. Bu durum miyelinin farklı dağılımından ileri gelir.  Ak madde içinde aksonlar ve miyelini oluşturan oligodendrositler bulunurken, gri madde içinde nöron hücre gövdeleri, dendritler, aksonlar, glia hücrelerinin başlangıçtaki miyelinsiz kısımları bulunur. Bu bölge sinapsların olduğu alandır.
  • 26.
     Beyin vebeyinciğin korteksini gri madde oluştururken, merkezini ak madde doldurur.  Beyin korteksinin bazı bölgelerinde bulunan nöronlar gelen uyarıları algılar (duysal nöronlar), bazıları istemli hareketleri kontrol eden motor uyaranları oluştururlar (motor nöronlar).  Omurilikte ak madde çevrede, gri madde ise H harfi şeklinde merkezde yer alır.  Bu H harfinin ortasında embriyonal nöral tüp oluşumundan kalan ve ependim hücreleri ile döşeli olan enine bir açıklık vardır.  H harfinin ön ve arka bacaklarını oluşturan gri madde ön ve arka boynuzları oluşturur. Ön boynuzlar spinal sinirlerin ventral köklerini yapan aksonlara sahip olan motor nöronları içerir. Arka boynuzlar, spinal gangliyonlardaki nöronlardan duysal lifleri alır.
  • 27.
    MENİNKSLER (BEYİN ZARLARI) Merkezi sinir sistemini korur.  Meninkslerin, en dıştan içe doğru; dura mater, araknoid, pia mater olarak 3 tabakası vardır.
  • 29.
    Dura mater  Sıkıbağ dokusundan yapılıdır ve kafatasının periosteumu ile devam eder.  Omuriliği saran dura mater, omurganın periosteumundan bir boşlukla (epidural boşluk) ayrılır.  Epidural boşluk ince duvarlı venler, gevşek bağ dokusu ve yağ dokusu içerir.  Dura materin iç yüzeyinde, hem kafatasında hem de omurilikte, mezenşim kökenli tek tabakalı yassı epitel vardır.
  • 30.
    Duramater (pakimeninks) • Birbirine paralel yerleşmiş çok sayıda kollojen fibril, az sayıda elastik fibril ve fibroblastlar bulunan kompakt bağ dokusundan oluşur. Az miktarda kan damarı ve duyu sinirleri bulunur. İç yüzü (m. •Anatomik özelliği: altındaki araknoid spinaliste ayrıca dış yüzü) yassı membrandan potansiyel olarak varolduğu mezenkimal kökenli mezotel düşünülen subdural aralık ile ayrılmıştır. Beyin durası ile spinal dura foramen hücresi ile döşelidir. Duranın 2 magnum aracılığıyla birbirleriyle devam yaprağı arasında endotelle etmektedir. döşeli venöz sinuslar bulunur. Bu sinuslar v. jugularis internaya boşalır.
  • 31.
    • Beyin durasıile spinal dura arasında aşağıda belirtilen farklar vardır: • Beyin durası: • A) Kafatası kemiklerine sıkıca yapışıktır. Yani kemiğin periostu ile dura sıkıca bağlanarak bilaminar (2 tabakalı) bir yapı oluştururlar. Dolayısıyla epidural aralık ve dura dışını kuşatan mezotel hücreleri bulunmaz. Damarlar durayı delip periosta girer. Dura tubuler bir kılıf şeklinde kafatasından çıkan sinirlerin etrafında dışa doğru uzanır. Sinirin en dış kılıfı olan epineuriumla kaynaşır. Ancak epidural kanamalarda spinal duradakine benzer bir epidural aralık oluşur. • B) İçe doğru septumlar yollayarak kranial boşluğu kavitelere ayırır (falks serebri(beyin yarım küreleri arasında), tentorium serebelli(serebrum-serebellum arasında), diafragma sella dura uzantılarıdır). • Spinal dura : • A) Kemik ile dura arasında epidural aralık vardır. Dura kemiğe küçük lateral ligamentlerle asılı durumdadır. Epidural aralıktaki yağdan zengin gevşek bağ dokusu içinde çok sayıda ven bulunur. Duranın dış ve iç yüzü mezotelle döşelidir. Yine dura spinal sinirler çevresinde tubuler biçimde uzanır. • B) Septum bulunmaz.
  • 32.
    Araknoid  Örümcek anlamınagelen araknoid, kan damarı içermeyen bağ dokusundan oluşur ve iki alt tipi vardır; biri dura mater ile temas halinde olan tabaka, diğeri pia materle bu tabakayı birbirine bağlayan trabekül sistemidir.  Trabeküller arasındaki boşluklar araknoid altı aralığı adını alır, beyin omurilik sıvısı ile doludur ve merkezi sinir sistemini travmalardan koruyan hidrolik bir yastık gibi iş görür.  Yüzeyini dura materdeki gibi tek tabakalı yassı epitel örter, omurilikteki araknoidde trabekül sayısı daha azdır.
  • 33.
    Araknoid membran Damarsız ince ağ şeklinde bağ dokusudur. Makroskobik olarak örümcek ağına benzediğinden araknoid membran denir. Beyni saran pia ile araknoid arasında bir aralık bulunmaktadır (subaraknoidal aralık). Araknoid membranın piaya bakan yüzünde 2 membranı birbirine bağlayan ve subaraknoidal aralığı bölmelendiren trabeküller vardır.
  • 34.
    • Subaraknoidal aralıktaserebrospinal sıvı bulunur. Belirli yerlerde subaraknoidal aralık genişleyerek sisternaları oluşturur. Sisternalarda trabeküla nadirdir ya da hiç bulunmaz. • Araknoid membran bazı yerlerde durayı parmak şeklinde delerek, dura içindeki venöz sinuslara açılır, son kısmı biraz genişler, üzeri yassı hücrelerle örtülü bu uzantılara araknoid villus denir. Bu villuslar, subaraknoidal aralıktaki serebrospinal sıvının aralıklı olarak venöz sinuslara akmasını sağlayan tek yönlü valvler olarak kabul edilebilir. Serebrospinal sıvı villusların apeksinden osmozla venöz sinuslara verilir. • Villusların tepesinde dura oldukça incelmiştir. Serebrospinal sıvı ile venöz kan arasında doku engeli olarak sadece venin endotel tabakası vardır. Buradaki damarların geçirgenliği vücudun diğer yerlerinde bulunanlara kıyasla daha azdır. Yaşlılıkla villus bağ dokusu içinde kalsiyum tuzları birikir ve Paccioni granülleri oluşur.
  • 36.
    Pia mater  Çoksayıda kan damarı içeren gevşek bağ dokusuyla çevrilmiştir.  Merkezi sinir sisteminin yüzeyindeki tüm girinti ve çıkıntıları örter ve kan damarları ile birlikte yüzeyden içeri girer.  Pia materi mezenşim kökenli yassı hücreler örter.
  • 37.
    Piamater • Histolojik yapısıgenellikle 2 tabaka olarak tanımlanır: 1. İntimal pia: Beyin dokusuna yakın bulunan, içteki membranöz yapıdaki tabakadır. Elastik ince retiküler fibrilleri içerir. İntimal piadan sinir dokusu içine fibröz septumlar şeklinde uzantılar sokulur (m.spinalisin septum mediana posterior). 2. Epipial tabaka: Yüzeyel pia tabakasıdır, kollajen fibriller ve az sayıda fibroblasttan yapılıdır. Epipial tabakanın dış yüzü tek katlı yassı mezotel hücreleriyle döşelidir.
  • 39.
    • Beyin içinegiren arterler beraberlerinde pia materi Piamater. Subaraknoidal Aralık de içeriye sürüklerler, böylece prekapiller arteriole kadar olan damarlar çevresinde pia mater yer Beyin dokusu alır. Damar pia arasında aralığa Wirchow Robins aralığı ya da perivasküler Perivasküler Aralık aralık denir. Bu aralık kaybolana kadar giderek daralır. Kapiller çevresinde damar ile sinir dokusunu ayırıcı glia damar ayaklarının oluşturduğu membrana limitans glia perivaskülaris bulunmaktadır.
  • 40.
    Araknoid Kapiller Subaraknoidal Aralık Beyin dokusu Piamater Glia Limitans Mezotel Hücreleri
  • 41.
    Subaraknoidal Aralık Piamater. Kapiller Beyin dokusu
  • 42.
    Kan-beyin bariyeri (engeli) Kan-beyin bariyeri; antibiyotiklerin, kimyasalların, bakteri kökenli maddelerin kandan sinir dokusuna geçmesini engelleyen bir barikattır.  Bu bariyeri, sinir dokusu içindeki kılcal kan damarlarını oluşturan endotel hücreleri arasındaki devamlılığı sağlayan tıkayıcı bağlantılar oluşturur.
  • 43.
    Koroid pleksus vebeyin omurilik sıvısı  Koroid pleksus, beyin ventriküllerinin iç kısmına uzanan pia materin kılcal kan damarlarından zengin girinti ve çıkıntılı katmanlarından oluşur.  Koroid pleksus esas olarak beyin omurilik sıvısını (BOS) yapar.  BOS berrak, düşük yoğunlukta ve protein içeriği çok az olan bir sıvıdır.  Merkezi sinir sistemi metabolizmasında ve mekanik darbelere karşı korunmasında rol oynar.
  • 44.
    Pleksus koroideus • 3ve 4. ventrikülün Ependim çatısı, ayrıca yan Hücreleri Kapiller ventriküllerde kısmen bulunan pianın ependim altına sokulmasıyla oluşmuş 2 yapraklı membrana tela koroidea denir. Tela koroideada parmak şeklinde birçok çıkıntılar (vilus) oluşarak yüzeyi genişlemiştir (200 cm2 kadar): böylece pleksus koroideus ismini alır.
  • 45.
    • Epitel (ependimhücresi): Basit kübik ya da silindirik şekillidir. Çıplak gözle görülebilen ependim hücrelerinde, villusların yanısıra mikrovillusların oluşu yüzeyi çok genişletmiştir. Sitoplazma mitokondriden zengindir. Yapısal özellik salgı fonksiyonundan çok su transportuna uygun olduğunu gösterir (Golgi kompleksi iyi gelişmemiş, salgı granülü yok, buna karşılık bazal kıvrımlar bulunmakta). Fizyolojik çalışmalar beyin-omurilik sıvısı-BOS (likör serebrospinalis) buradan salındığını göstermektedir. Bu işlem pia damarlarından filtrasyon yoluyla yapılır. • Ependim hücrelerinde az da olsa BOS absorbsiyonu yapılmaktadır, bazılarında sil bulunur. Ependimal hücreler birbirlerine yan yüzlerinden sıkıca zonula okludenslerle bağlanmışlardır. Bu bölgedeki kapillerlerin pencereli tipte olmasına karşın, ekstravasküler materyelin serebrospinal sıvıya girişi ependimal hücrelerin sıkı yan bağlantılarıyla engellenmiştir. • Stroma: Damardan zengin gevşek bağ dokusudur (pia). Az miktarda fibroblast, az sayıda kollajen fibril vardır. Çoğu hücreler yassıdır. Makrofajlar yer alır.
  • 46.
    Serebrum Hemisiferleri Serebrum Korteksi Korteks Beyaz Cevher Beyaz Cevher Korteks SAA S G SAA: Subaraknoid aralık G: Girus S: Sulkus
  • 47.
  • 48.
  • 49.
    Kapiller Nöronlar Oligodendrosit
  • 50.
    Astrosit Oligodendrosit Mikroglia
  • 51.
    Korteksteki nöronların tipleri 1.Piramidal nöron: – Nöron soması piramit biçimlidir. Apikal dendrit (piramidin tepesinden çıkar) yukarıya dışa doğru uzanır, dendritte bir çok internöronla sinaps yapan spinalar vardır. Lateral dendrit, yandan çıkar, horizontal uzanır, kısa uzantılardır. Akson, somanın bazalinden çıkarak derinlere doğru uzanır, bir kısmı ak cevhere geçer, bir kısmı yeniden kortekse girerek assosiasyon fibrillerini oluşturur. – Çapına göre, küçük orta büyük tipleri vardır. En büyüklerine Betz'in dev piramidal hücreleri denir. Piramidal nöronların hepsinin apeksi beyin yüzeyine doğrudur. En küçükleri 10 mikron, en büyükleri 150 mikrondur.
  • 52.
    Korteksteki nöronların tipleri 2.Stellat ya da Granüler nöron: – Uzantıları nedeniyle yıldız biçiminde olan küçük nöronlardır (çapı 8 mikron). Dendritleri diğer nöronlarla çok sayıda sinaps yapar. Aksonu çok kısadır (Golgi 2 tip) korteks içinde kalarak yakınındaki piramidal hücrelerin dendritleri çevresinde pleksus yapar, korteksin her tabakasında bulunur. 3. Füziform nöronlar: – Modifiye stellat nöronlardır. Genellikle korteksin en derin tabakasında bulunurlar, birçok piramidal hücre ile sinapslaşırlar. 4.Horizontal nöron: – Yüzeyel yerleşmiş, horizontal konumdaki, füziform nöronlardır. 5. Martinotti nöronları: – Küçük multipolar, tersine dönük piramidal nöronlardır (apeksi içe bakar).
  • 54.
    Beyin korteksinin tabakaları •Beyin korteksi gelişimine göre 2'ye ayrılır: 1. Paleokorteks–allokorteks: İlk gelişen korteks kısımlarıdır. Ancak daha sonra gelişen korteks kısımları buna eklendikçe giderek küçülür, bir başka deyişle motor yollar geliştikçe neokorteks paleokorteks aleyhine genişler. Erginde area piriformis ve formasyo hipokampi allokorteksi yapar. 2. Neokorteks–neopallium-isokorteks: Daha sonra gelişen korteks bölümüdür, allokorteks dışındaki alanlar neokortekse aittir.
  • 55.
    Neokorteks - isokorteks •6 hücre tabakası vardır. Tabakalar beyin yüzeyine paraleldir. Girus ve sulkuslarda daha az düzenli tabakalanma görülür. Tabaka kalınlıkları, hücre sayıları hemisferin değişik kısımlarında farklılık gösterir. • Dıştan içe doğru: 1. Moleküler tabaka: Pleksiform tabaka: az sayıda horizontal hücre ve çok miktarda horizontal seyirli nöron uzantısı (alt tabakalardaki piramidal nöron dendritleri, stellat hücre ve Martinotti nöronlarının aksonları) yapıda bulunur. 2. Dış granüler tabaka: Küçük piramidal nöronlar ve stellat (granüler) nöronlar bulunur. Çoğunlukla yoğun bir şekilde birbirine yakın konumdadırlar. Komşu tabakalardan gelen akson ve dendritlerle bu tabakadaki akson ve dendritler yoğun bir ağ oluşturur. 5. Tabakadaki piramidal nöronların apikal dendritleri ile assenden fibriller arasında çok sayıda sinaps vardır.
  • 56.
    Moleküler Tabaka İç Granüler Tabaka Dış Granüler Tabaka Ganglioner Tabaka Multiform Tabaka Piramidal Tabaka Ak Cevher
  • 57.
    Neokorteks – isokorteks(devam) 3. Piramidal tabaka: Orta çapta piramidal hücreler ve 2 tabakaya yakın yerleşmiş küçük piramidal nöronlar bulunur. Ayrıca horizontal ve vertikal konumdaki fuziform nöron yer alır. 4. İç granüler tabaka: Moleküler tabakadan sonra en ince tabaka 4 tabakadır. Başlıca stellat (granüler) nöron, nadiren küçük piramidal nöronlar bulunur. Yine hücreler yoğun yerleşimlidir. Horizontal seyirli fibrillerin yoğunlaşmasıyla Baillarger'in dış bandı diye bilinen fibriller alan ortaya çıkmıştır. Komşu tabakalarda, subkortikal bölgede, korteksin diğer kısımlarında yerleşik nöronların horizontal seyirli nöritleridir. 5. Gangliyonik tabaka: En büyük piramidal nöronlar, az sayıda da stellat hücreler vardır. Piramidal nöronların büyüklüğü değişik alanlarda farklılık gösterir. 4. Tabakadaki gibi horizontal seyirli fibrillerin yoğunlaşmasıyla Baillarger'in iç bandı oluşmuştur. 6. Multiform tabaka: Değişik nöron tipleri ve uzantılarından oluşur. Martinotti nöronları en belirginleridir. Fuziform, ovoid, üçgenimsi somalar görülür. • 1., 2. ve 3. tabakaya beraberce subragranüler tabaka, 5. ve 6. tabakaya infragranüler tabaka denmektedir. İnsanda supragranüler tabaka en son gelişir ve en ileri farklılanma gösteren tabakadır,
  • 58.
    Moleküler Tabaka Dış GranülerTabaka Piramidal Tabaka İç Granüler Tabaka Ganglioner Tabaka Multiform Tabaka
  • 59.
    Allokorteks - Paleokorteks •Priform alan ve hipokampal formasyon bu tabakayı oluştururlar. • 3 tabakası vardır; 1. Moleküler tabaka: en dışta bulunur. Az sayıda hücre ve çok miktarda horizontal fibrilden oluşur. 2. Granuler tabaka: orta tabakadır, 3. Piramidal tabaka: en iç tabakadır,
  • 60.
    Cerebellum Gri Cevher Ak Cevher
  • 61.
    Cerebellum Korteksi (Substansiya grisea: Gri cevher) • 1.Granüler tabaka = Nükleer tabaka Granüler Tabaka • 2. Purkinje hücre tabakası = Gangliyoner tabaka Purkinje H. • 3. Moleküler tabaka = Moleküler Tabaka Pleksiform tabaka.
  • 63.
    Granüler tabaka =Nükleer tabaka Medullaya (ak cevhere) komşu en iç tabakadır. 2 tip nöron bulunur. • 1.Granüler nöron: – En küçük nöronlardır – Koyu boyalı çekirdekleri nedeniyle görünümü lenfosite benzer. – Dendritleri: 3-6 kısa dendriti serebelluma giren mossy fibrillerin aksonlarıyla sinaplaşır. Bu sinaptik alanlara Sinaptik Glomerulus denir. – Aksonu: myelinsizdir, en dıştaki moleküler tabakaya geçerek 2'ye ayrılır. Bu dallar yüzeye paralel seyirlidir (paralel fibriller). Böylece akson t harfi biçimindedir.
  • 64.
    Granüler tabaka =Nükleer tabaka • 2.Golgi nöronları (İç stellat hücre): – Granüler hücreler ile Purkinje hücreleri arasında bulunan yıldız şekilli nöronlardır.
  • 65.
    Purkinje hücre tabakası •Armut biçimli, büyük Purkinje nöronlarının bulunduğu tabakadır.(boyu 60 mikron, eni 30 mikron) • Dendritlerinin dallanmaları bir düzlem üzerinde olduğundan yelpaze biçimindedir. Dışa doğru uzanarak granüler nöronların paralel fibrilleriyle sinapslaşır. • Aksonu ak cevhere geçerek, büyük bir kısmı intraserebellar çekirdeklerde bir kısmı da korteksin bazı yerlerinde sonlanır. • Serebellum korteksinden dışarıya sadece purkinje hücreleri uyarı gönderir. Bu uyarı inhibe edici niteliktedir (GABA). • Sinaptik noktalar dışında perikaryon tamamen glia hücre uzantıları ile kuşatılmıştır.
  • 67.
    Moleküler tabaka • Genelliklesinir fibrillerinden (akson, dendrit) yapılmıştır. Az sayıdaki nöronlar yıldız biçimlidir. Bulunduğu yere göre 2'ye ayrılır: – 1. Yüzeyel stellat hücre: – 2. Derin stellat hücre= Basket nöronları
  • 68.
    Kortekste yer alanafferent fibriller • 1. Mossy fibriller (yosun biçimli): – Granüler tabakaya girince bol dallanmalarla üzüm şeklinde sinaptik sonlanma yaparlar ya da bunların merkezini oluşturduğu "serebellar glomerüli" şeklinde sonlanır. – Mossy fibrilleri eksitatördür. • 2. Tırmanıcı fibriller: – Dallanmadan granüler tabakayı geçer, tek bir Purkinje hücresine ulaşınca dallanmaya başlar, bu dallar Purkinje hücresinin dendritleri ile sinapslaşır.
  • 69.
  • 70.
    Serebellar korteksin işleyişdüzeni : • Mossy ve tırmanıcı fibriller kortekse duyusal bilgi taşır, eksitatördür. • Tırmanıcı fibriller tek bir Purkinje hücresi ile sinaps yapar • Mossy fibriller yüzlerce granüler nöronu uyararak, P.H. ni uyarmasını sağlar. • Granüler nöronların dışında diğerleri (basket, Golgi, stellat ve PH) inhibitör etkili. • Serebelluma gelen eksitatör uyarı inhibitör olarak çıkar. • Serebellum çizgili kas aktivitesinin koordinasyon ve modülasyonunu yapar (postür, denge gibi)
  • 71.
    Ak cevher (Substansiyaalba) • Kortekse gelen mossy ve tırmanıcı fibriller, korteksten çıkan Purkinje aksonu, ak cevherin başlıca fibrillerini oluşturur. • 4 çekirdek (intraserebellar nukleuslar) alba içinde yer alan gri cevher adacıkları şeklindedir. • Glia hücreleri
  • 72.
    Medulla Spinalis Arka Boynuz Septum mediana posterior Ak Cevher Ön Boynuz Gri Cevher Fissura mediana anterior
  • 73.
    Gri Cevher (SubstansiyaGrisea) • Nöronlar, nöron uzantıları, glial hücreler ve kan damarları bulunur. • Medulla spinalis grizea’sında bulunan nöronlar; topoğrafik dağılımları, yapısal ve fönksiyonel özellikleri göz önüne alınarak üç gruba ayrılırlar: 1. Radiküler nöronlar, 2. Funiküler nöronlar, 3. Gölgi II tipi nöronlar. • Nöronlar gri cevher içinde küçük ya da büyük gruplar oluşturacak biçimde yer alır. En büyük nöronlar (motor nöronlar) ön boynuzda yer alırlar
  • 74.
  • 75.
    Radiküler Nöronlar: Bunların hücre gövdeleri ön ve yan boynuzlarda bulunur. Aksonları ön köklerle medulla spinalis’ten ( aynı zamanda merkezi sinir sisteminden) çıkarak periferik sinirler içerisinde perifere giderler. Bunlar motor nöronlardır ( ön boynuzdakiler somatomotor’dur; iskelet kaslarına gider, yan boynuzdakiler vejetamotor (visceral motor)’dur; kalb kası, düz kas ve bezlere gider). Bunlar aynı zamanda uyarımları merkezden perifere ilettikleri için efferent nöronlar diye de adlanırlar.
  • 76.
    Funiküler nöronlar: Arka boynuzda bulunurlar. Bunların hem nöron gövdeleri hemde aksonları merkezi sinir sistemi içinde kalır. Bunlar duyusal bağlantı (ara duyusal bağlantı) nöronlarıdır. Arka boynuz’da bulunan funiküler hücreler duyusaldır. Bunlar, periferik spinal ganglion’lardaki duyusal nöronların aksonlarıyla arka kökler içinde medulla spinalise gelen uyartıyı; dendritleriyle alıp , aksonlarıyla ileten duyusal ara nöronlardır. Golgi II tipi nöronlar: Özellikle arka boynuzda, az sayıdada diğer gri madde içinde dağılmış küçük nöronlardır. Bunların hücre gövdeleri, dendrit ve aksonları gri madde içinde kalır, albaya geçmezler. Bu hücrelere intrasegmenter bağlantı nöronları adı verilir. Bunlar duyusal ve motor nöronlar arasında bağlantı sağlarlar.
  • 78.
    Ak Cevher (Substansiaalba) • Myelinli ve myelinsiz sinir fibrilleri, glialar, kan damarları ve pianın içe doğru uzantılarından oluşur. • Piamaterin hemen altında glialar oldukça kalın bir tabaka oluştururlar: marjinal glia tabakası. • Sinir fibrillerinin çoğu longitudinal seyirlidir ve başlıca 3 demet oluştururlar. Bunlara funikulus denir (yerine göre ön, arka, lateral). Funikulusları yapan daha küçük sinir fibrilleri demetine de fasikulus denmektedir.
  • 80.
    Kanalis sentralis Kanalis sentralis Erginde ekseri oblitere olan kanalis sentralisin lümeni ependimal hücrelerle döşelidir. Nörogliaların uzantıları kanalis sentralis çevresinde yoğunlaşarak jelatinöz bir madde oluşturur (substansiya jelatinoza sentralis). Serebrospinal sıvı içerir Ependim Hücreleri
  • 81.
    PERİFERİK SİNİR SİSTEMİ Periferalsinir sistemini; •periferik sinirler, •bunların yolları üzerinde bulunan ganglionlar ve •sinir sonlanmaları (sinir uçları)oluşturur. ***Uyarımların merkezi sinir sistemine veya merkezi sinir sisteminden ilgili organ veya alt birimlere taşınmasını sağlarlar.***
  • 82.
    PERİFERİK SİNİR SİSTEMİ Periferalsinir sistemi, ilişkili bulunduğu doku tipi veya vücut bölgesine bağlı olarak somatik ve visseral(otonom) sinir sistemi olarak ikiye ayrılır. •Somatik sinir sistemi isteme bağlı olarak çalışan doku ve organlar (iskelet kasları) ile merkezin ilişkisini sağlarken, •visseral (otonom,vejetatif) sinir sistemi istem dışı çalışan doku ve organlar (bezler, kalb kası, düz kas, sindirim vs) ile merkezi sinir sistemi arasındaki bağlantıyı gerçekleştirirler.
  • 83.
    PERİFERİK (ÇEVRESEL) SİNİR SİSTEMİ  Çevresel sinir sistemi sinirler, gangliyonlar ve sinir uçlarından oluşur. Beyinden kaynaklanan sinirler kraniyal sinirler, omurilikten kaynaklananlar ise spinal sinirler olarak isimlendirilir.  Çevresel sinir sistemi 13 çift kraniyal ve 31 çift spinal olmak üzere 44 çift sinirden oluşur. Kraniyal ve spinal sinirler ile bu sinirlerin dalları bilgiyi merkeze veya çevreye taşıyan liflerden oluşurlar.  Bundan dolayı çevresel sinir sistemi iki ana grup altında incelenir; çevreden merkeze doğru tüm duysal bilgiyi taşıyan sinirlerden oluşan afferent (duysal) sinir sistemi, merkezden çevreye ulaşan tüm motor lifleri içeren efferent (motor) sinir sistemi.
  • 84.
     Efferent (motor)sinir sistemi, ulaştıkları organların tipine göre, bilgiyi iskelet kaslarına taşıyan somatik ve bilgiyi düz kaslara, kalp kasına ve endokrin bezlere taşıyan, aktivitesini istem dışı düzenleyen otonom sinir sistemi olarak iki alt bölümde incelenir.  Otonom sinir sistemi de kendi içinde iki alt gruba ayrılır; sempatik bölüm, omuriliğin (medulla spinalis) orta bölgesinden kaynaklanan liflerden oluşan ve vücudun iç ortamında ortaya çıkan değişikliklere karşı ani cevapların oluşmasından sorumludur.  Parasempatik bölüm, beyin ve omuriliğin alt kısımlarından çıkan liflerden oluşur ve vücudun dinlenme halindeyken normal aktivitelerini yapmasından sorumludur.
  • 86.
    SİNİR LİFLERİ  Sinirlifleri, ektoderm kökenli hücrelerden türeyen özel bir kılıfla sarılı olan aksonlardan oluşur.  Çevresel sinir liflerinin kılıflarını Schwann hücresi, merkezi sinir sistemindeki liflerin kılıflarını ise oligodendrositler yapar.  Küçük çaplı aksonlara miyelinsiz sinir lifleri, kılıf hücresinin daha fazla katlanarak oluşturduğu kalın aksonlara miyelinli sinir lifleri adı verilir.
  • 87.
    Miyelinli lifler  Miyelinliliflerde Schwann hücresinin plazma zarı akson etrafında dönerek onu sarar.  Bu zar katmanları birleşirler ve içeriğindeki lipidler rutin laboratuvar yöntemleri uygulandığında erir ve aksonlar bir boşluk içindeymiş gibi görülür.  Miyelin kılıf yer yer kesintiye uğrar (Ranvier boğumları), bu bölgeler aslında iki Schwann hücresi arasındaki boşluklardır.  Aksonlarda iki Ranvier boğumu arasında yer alan ve ışık mikroskobunda ince yarıklar şeklinde gözlenen Schmidt- Lanterman yarıkları olarak bilinen oluşumlar vardır.
  • 88.
     Elektron mikroskobuincelemeleri, bu bölgelerde miyelin kılıf lamellerinin birbirlerinden uzaklaştıklarını göstermiştir. Bu yapıların aksonun bükülebilirliğini arttırdığı düşünülmektedir.  Merkezi sinir sisteminde aksonlar etrafındaki miyelin kılıfı oligodendrositlerin uzantıları yapar. Oligodendrositler, Schwann hücrelerinden farklı olarak, birkaç aksonu birden sarabilirler.
  • 89.
    Miyelinsiz lifler  Hemmerkezi (sayıca fazla) hem de çevresel sinir sisteminde miyelin kılıfı olmayan aksonlar da vardır.  Her bir Schwann hücresi biden fazla aksonu sarar ancak, sürekli bir tabaka oluşturmadığı için, bu tip liflerde Ranvier boğumu bulunmaz.
  • 90.
    Sinirler  Sinirler dıştaniçe doğru, epinöryum, perinöryum ve endonöryum adı verilen ve bağ dokusundan oluşan örtülerle sarılmıştır.  Sinirler, beyin ve omurilik ile duyu organları ve efektör organlar (kas, bez vs.) arasında iletişim kurarlar.
  • 91.
  • 92.
     Vücudun içbölgesinden ve çevreden gelen bilgiyi merkezi sinir sistemine taşıyan liflere getirici lifler; merkezi sinir sisteminden gelen uyarıları efektör organlara taşıyan liflere götürücü lifler adı verilir.  Yalnızca duysal liflere sahip olan sinirler duysal sinirler, uyarıları sadece efektör organlara taşıyan liflerden oluşan sinirler motor sinirler, çoğu sinirde olduğu gibi hem duysal hem de motor liflere sahip olan sinirler karışık sinirler olarak isimlendirilirler.  Karışık sinirlerde hem miyelinli hem de miyelinsiz aksonlar vardır.
  • 93.
    GANGLİYONLAR  Gangliyonlar, hemmerkezi sinir sisteminde hem de merkezi sinir sistemi dışında nöronların ve glia hücrelerinin biraraya geldiği ve bağ dokusuyla desteklendiği oval yapılardır.  Sinir uyarılarının aktarılmasında dağıtım istasyonu olarak görev yaparlar. İki esas grup altında incelenirler.
  • 94.
    1-Kraniyospinal gangliyonlar (Beyinve omurilik gangliyonları). Kraniyospinal gangliyonların nöronları pseudounipolar (yalancı tek kutuplu) tiptedir. Omurilik gangliyonları oldukça belirgin küçük Nissl cisimciklerine sahip iri nöron gövdelerinden oluşmuştur. 2-Otonom gangliyonlar, sempatik zincir ve kollarındaki ampul şeklinde genişlemiş yapılardır. Bazıları otonom sinir sistemiyle donatılan visseral organların duvarlarında yer alır. Otonom gangliyonlar çok kutuplu ve ince Nissl taneciklerine sahip olan nöronlardan oluşmuştur.
  • 95.
    SİNİR DOKUSUNUN BOZULMASIVE ONARILMASI  Ergin kuşlarda beyindeki nöronların bölünebildiği gösterilmiştir. Memelilerde nöronlar genelde bölünmez ve hasarlanmaları kalıcı kayıplara neden olur.  Merkezi ve çevresel sinir sistemlerinde nöron gövdesi hasarlanmadığı sürece, uzantılardaki hasarlar yenilenebilir. Merkezi sinir sisteminin nöroglia hücrelerinin ve Schwann hücrelerinin mitoz bölünme yetenekleri vardır.  Bir hasar veya hastalıkta kaybedilen sinir hücrelerinin yerini nöroglialar alır. Sinirler vücutta yaygın bir ağ sistemi oluşturdukları için sıkça hasarlanırlar. Bir akson kesildiğinde önce bozulma belirtileri, sonra onarım evresi görülür. Yaralanmanın hücre gövdesine yakın veya uzak oluşu da onarımı etkiler.  Akson yaralanmasında perikaryonda Nissl taneciklerinin dağılımlarındaki farklılıktan kaynaklanan bazofili azalması, hücre gövdesinin büyümesi, nukleusun bir tarafa doğru itilmesi gibi değişiklikler görülür. Hücre gövdesine yakın bölgede bozulan akson parçası makrofajlar tarafından fagosite edildikten sonra akson büyümeye başlar.
  • 97.
     Makrofajlar ayrıcainterlökin-1 salgılayarak Schwann hücrelerinin akson etrafındaki miyelin kılıfı yapmasını kolaylaştırır.  Schwann hücrelerinin oluşturduğu sütunlar içine girebilen akson parçası, bu doğrultuda büyümesine devam ederek efektör organa ulaşır.  Embriyo gelişimi sırasında oluşan fazla nöronlar ve yanlış sinapslar yapan nöronlar ortadan kaldırılır. Erişkin memelilerde hasardan sonra kaybedilen sinapsların yerinde yenilerinin oluştuğu gösterilmiştir.  Bu yenilenme olayı nöronlar, glia hücreleri, Schwann hücreleri ve bazı hedef hücreleri tarafından üretilen ve nörotropinler olarak isimlendirilen birkaç büyüme faktörü tarafından denetlenir.
  • 98.
     Erişkin organlarınıoluşturan bazı dokularda yeni hücreler oluşturabilen kök hücreler bulunmaktadır. Bu hücrelerden türeyen bazı hücreler farklılaşmadan kalarak kök hücre havuzu sabit tutulur.  Sinir hücreleri bölünmediği için, kaza veya hastalık sonucu kaybedilen sinir hücrelerinin yerine yenilerini verecek olan sinir kök hücreleri üzerinde yoğun olarak çalışılmaktadır.  Yapılan araştırmalarda erişkin memeli beyni ve omuriliğinin bazı bölgelerinde astrositleri, nöronları ve oligodendrositleri oluşturabilen bölgelerin bulunduğu gösterilmiştir .
  • 99.
    KAYNAKLAR  Demir, R. Histoloji ve Hücre Biyolojisi, Palme Yayıncılık, 2006.  Junqueira, L.C., Carneiro, J. Basic Histology, text & atlas. 11nd Ed. 2005.  Ross, M.H.: Histology. A Text and Atlas, Harper and Row Publ. C.B. Lippincott Co. 1983.  Ovalle, W. K. and P. C. Nahirney, Eds. (2009). Netter's Essential Histology, Saunders Elsevier.  Gartner, L. P. and J. L. Hiatt, Eds. (2009). Color Atlas of Histology, Lippincott Williams & Wilkins.  www.gfmer.ch/Medical_journals/Anatomy_histology.htm  www.meddean.luc.edu/LUMEN/MedEd/Histo/frames/histo_frames.html  http://image.bloodline.net/category  https://histo.life.uiuc.edu/histo  http://www.uni-mainz.de/FB/Medizin/Anatomie/workshop/EM/EMAtlas.html  http://www.fahrisimsek.com/atlas/index.html
  • 100.