hematoma subdural : panorama
general
Ciencias Aplicadas a la Actividad Profesiona
27 pag.
Document shared on https://www.docsity.com/es/hematoma-subdural-panorama-general/5322403/
Downloaded by: jennifer-fernandez-vizcarra (j_enn29@hotmail.com)
HEMATOMA
SUBDURAL
MR1 LEÓN PALACIOS JOSÉ LUIS
SERVICIO DE NEUROCIRUGÍA
HOSPITAL CAYETANO HEREDIA
SUBDURAL HEMATOMA
Document shared on https://www.docsity.com/es/hematoma-subdural-panorama-general/5322403/
Downloaded by: jennifer-fernandez-vizcarra (j_enn29@hotmail.com)
EPIDEMIOLOGÍA Y
FACTORES DE RIESGO
el traumatismo craneal
es la causa más común
de SDH
los pacientes con
atrofia cerebral
significativa tienen un
alto riesgo de SDH
Una serie de admisiones a la UCI informó 31
pacientes con SDH y siete pacientes con hematoma
epidural durante un período de 10 meses , lo que
sugiere que la SDH es más común que el hematoma
epidural
agentes antitrombóticos aumenta el riesgo de SDH
En una serie de pacientes
con SDH crónica después de
traumatismo
craneoencefálico, el
tratamiento con
anticoagulantes orales,
aspirina o heparina en el
momento de la hemorragia
estaba presente en 21, 13 y
5 por ciento de los
pacientes, respectivamente.
UpToDate.Subdural hematoma in adults: Etiology, clinical features, and diagnosis .Author:William McBride, MD Literature review current
through: Aug 2018
Document shared on https://www.docsity.com/es/hematoma-subdural-panorama-general/5322403/
Downloaded by: jennifer-fernandez-vizcarra (j_enn29@hotmail.com)
CAUSAS INUSUALES :
● La SDH acompaña del 0.5 al 7.9 por ciento de las hemorragias subaracnoideas
aneurismáticas
● SDH puede ocurrir por sangrado debido a otros trastornos subyacentes, incluidos los
siguientes:
- Malformación arteriovenosa , Meningioma, Metástasis durales , Coagulopatía
● SDH puede complicar la trombólisis sistémica para el infarto agudo de miocardio, aunque la
incidencia es bastante baja. Un ensayo informó que el tratamiento con heparina, aspirina y
activador del plasminógeno tisular recombinante intravenoso (rt-PA) a dosis de 150 mg o 100
mg se complicó por SDH en 0.2 y 0.1 por ciento de los pacientes, respectivamente .
● La SDH puede ocurrir con hipotensión espontánea del líquido cefalorraquídeo o después de
procedimientos complicados por una fuga persistente de líquido cefalorraquídeo, como
punción lumbar, ventriculostomía o colocación de derivación lumboperitoneal
UpToDate.Subdural hematoma in adults: Etiology, clinical features, and diagnosis .Author:William McBride, MD Literature review current
through: Aug 2018
Document shared on https://www.docsity.com/es/hematoma-subdural-panorama-general/5322403/
Downloaded by: jennifer-fernandez-vizcarra (j_enn29@hotmail.com)
PATOGÉNESIS
2 TEORÍAS
Patogénesis y fisiopatología del hematoma subdural crónico. Revista Mexicana de Neurociencia . Julio-Agosto, 2016; 17(4):
78-85
GRADIENTE OSMÓTICO
DE LA HEMORRAGIA
RECURRENTE ASOCIADA A
HIPERFIBRINOLÍSIS
aumento de proteínas en el
contenido del hematoma provoca
la entrada de fluido como
resultado de la mayor presión
oncótica.
PARIETAL
LA NEOMEMBRANA SE FORMA EN APROXIMADAMENTE 2
SEMANAS
INICIALMENTE AL 4TO DIA SE FORMA LA MEMBRANA EXTERNA
Document shared on https://www.docsity.com/es/hematoma-subdural-panorama-general/5322403/
Downloaded by: jennifer-fernandez-vizcarra (j_enn29@hotmail.com)
HIGROMA SUBDURAL TRAUMÁTICO
Patogénesis y fisiopatología del hematoma subdural crónico. Revista Mexicana de Neurociencia . Julio-Agosto, 2016; 17(4):
78-85
un desgarro traumático
de la aracnoides
más tarde puede transformarse en un
hematoma subdural
NO CONTIENEN
MEMBRANAS
PUEDEN CAUSAR
EFECTO DE MASA
COLECCIÓN QUISTICA EN ESPACIO SUBDURAL, TRANSPARENTE,
SANGUINOLENTO O XANTOMCRÓMICO
Document shared on https://www.docsity.com/es/hematoma-subdural-panorama-general/5322403/
Downloaded by: jennifer-fernandez-vizcarra (j_enn29@hotmail.com)
UpToDate.Subdural hematoma in adults: Etiology, clinical features, and diagnosis .Author:William McBride, MD Literature review current
through: Aug 2018
FISIOPATOLOGIA
Causada por el desgarro de las venas
puente que drenan desde la superficie del
cerebro hasta los senos durales
SANGRADO EN EL ESPACIOS ENTRE
DURAMADRE Y ARACNOIDES
HEMORRAGIA VENOSA SE DETIENE
Document shared on https://www.docsity.com/es/hematoma-subdural-panorama-general/5322403/
Downloaded by: jennifer-fernandez-vizcarra (j_enn29@hotmail.com)
UpToDate.Subdural hematoma in adults: Etiology, clinical features, and diagnosis .Author:William McBride, MD Literature review current
through: Aug 2018
Document shared on https://www.docsity.com/es/hematoma-subdural-panorama-general/5322403/
Downloaded by: jennifer-fernandez-vizcarra (j_enn29@hotmail.com)
Document shared on https://www.docsity.com/es/hematoma-subdural-panorama-general/5322403/
Downloaded by: jennifer-fernandez-vizcarra (j_enn29@hotmail.com)
Document shared on https://www.docsity.com/es/hematoma-subdural-panorama-general/5322403/
Downloaded by: jennifer-fernandez-vizcarra (j_enn29@hotmail.com)
HEMATOMA
SUBDURAL
AGUDO
1-3 DIAS
SUBAGUDO
3-14 DIAS
CRONICO >15 DIAS
MANIFESTACIONES CLINICAS
Document shared on https://www.docsity.com/es/hematoma-subdural-panorama-general/5322403/
Downloaded by: jennifer-fernandez-vizcarra (j_enn29@hotmail.com)
Acute subdural hematoma Chronic subdural hematoma
Coma is present from the time of injury in
approximately 50 percent of cases
Approximately 12 to 38 percent of
patients have a transient "lucid interval"
after the acute injury that is followed by
a progressive neurologic decline to coma
UpToDate.Subdural hematoma in adults: Etiology, clinical features, and diagnosis .Author:William McBride, MD Literature review current
through: Aug 2018
Posterior fossa SDH, like most space-
occupying lesions in this location,
presents with symptoms of elevated
intracranial pressure including
headache, vomiting, anisocoria,
dysphagia, cranial nerve palsies, nuchal
rigidity, and ataxia
The insidious onset of headaches, light-
headedness, cognitive impairment, apathy,
somnolence, and occasionally seizures, may
occur as a consequence of chronic SDH, and
symptoms may not become evident until
weeks after the initial injury.
Focal deficits may be either ipsilateral or
contralateral to the side of the SDH.
Contralateral hemiparesis can occur as a result
of direct compression of cortex underlying the
hematoma, whereas ipsilateral hemiparesis
can occur with lateral displacement of the
midbrain caused by the mass effect of the
hematoma
Document shared on https://www.docsity.com/es/hematoma-subdural-panorama-general/5322403/
Downloaded by: jennifer-fernandez-vizcarra (j_enn29@hotmail.com)
DIAGNOSTICO
H
E
M
A
T
O
M
A
S
U
B
D
U
R
A
L
A
G
U
D
O
Acute SDH is readily visualized on head CT as a high-density crescentic collection across the
hemispheric convexity
Document shared on https://www.docsity.com/es/hematoma-subdural-panorama-general/5322403/
Downloaded by: jennifer-fernandez-vizcarra (j_enn29@hotmail.com)
H
E
M
A
T
O
M
A
S
U
B
D
U
R
A
L
S
U
B
A
G
U
D
O
Subacute and chronic SDH appear as isodense or hypodense crescent-shaped lesions
that deform the surface of the brain
Document shared on https://www.docsity.com/es/hematoma-subdural-panorama-general/5322403/
Downloaded by: jennifer-fernandez-vizcarra (j_enn29@hotmail.com)
H
E
M
A
T
O
M
A
E
P
I
D
U
R
A
L
A
G
U
D
O
In contrast to SDH, epidural blood produces a convex pattern on CT because its collection is
limited by firm dural attachments at the cranial sutures
Document shared on https://www.docsity.com/es/hematoma-subdural-panorama-general/5322403/
Downloaded by: jennifer-fernandez-vizcarra (j_enn29@hotmail.com)
Document shared on https://www.docsity.com/es/hematoma-subdural-panorama-general/5322403/
Downloaded by: jennifer-fernandez-vizcarra (j_enn29@hotmail.com)
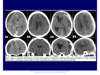
Multiple Densities of the Chronic Subdural Hematoma in CT Scans. Department of Neurosurgery, Soonchunhyang University
Cheonan Hospital, Cheonan, Korea. J Korean Neurosurg Soc 54 : 38-41, 2013
Document shared on https://www.docsity.com/es/hematoma-subdural-panorama-general/5322403/
Downloaded by: jennifer-fernandez-vizcarra (j_enn29@hotmail.com)
Multiple Densities of the Chronic Subdural Hematoma in CT Scans. Department of Neurosurgery, Soonchunhyang University
Cheonan Hospital, Cheonan, Korea. J Korean Neurosurg Soc 54 : 38-41, 2013
Document shared on https://www.docsity.com/es/hematoma-subdural-panorama-general/5322403/
Downloaded by: jennifer-fernandez-vizcarra (j_enn29@hotmail.com)
ESCALAS EN HEMATOMA SUBDURAL
MARKWALDER
Document shared on https://www.docsity.com/es/hematoma-subdural-panorama-general/5322403/
Downloaded by: jennifer-fernandez-vizcarra (j_enn29@hotmail.com)
GORDON - FIRING
Document shared on https://www.docsity.com/es/hematoma-subdural-panorama-general/5322403/
Downloaded by: jennifer-fernandez-vizcarra (j_enn29@hotmail.com)
Document shared on https://www.docsity.com/es/hematoma-subdural-panorama-general/5322403/
Downloaded by: jennifer-fernandez-vizcarra (j_enn29@hotmail.com)
Document shared on https://www.docsity.com/es/hematoma-subdural-panorama-general/5322403/
Downloaded by: jennifer-fernandez-vizcarra (j_enn29@hotmail.com)
MANEJO DEL HEMATOMA
SUBDURAL
CONSERVADOR
Apropiado para hematomas pequeños
No haya desplazamiento línea media
No hay signos de ocupación de Cisternas basales
Glasgow de 9 a 15 puntos con un hematoma subdural <10 mm y
desplazamiento de la línea media < 5 mm
Llegan estables ; la llegada a urgencias, con pupilas simétricas y
reactivas y PIC (presión intracraneal) < 20 mmHg
CHçVEZ-GîMEZ, V. R.; Chávez-MONTER, J. D.; ORDO.EZ-GRANJA, J.; BARBA-RUIZ, E.Y.; AVENDA.O-PRADEL, R.; RUIZ-GARCIA, E. & CASTILLO-RANGEL,
C. Tratamiento de hematoma subdural: Comparación entre drenaje subdural a presión negativa contra otro tipo de drenajes. Int. J. Med. Surg. Sci.,
4(1):1089-1099, 2017.
Document shared on https://www.docsity.com/es/hematoma-subdural-panorama-general/5322403/
Downloaded by: jennifer-fernandez-vizcarra (j_enn29@hotmail.com)
INDICACIONES QUIRÚRGICAS
Cuando el tamaño del hematoma es >10 mm o desplaza la línea
media >5 mm sin ningún punto en la escala de Glasgow.
Glasgow <9 que ha descendido > 2 puntos entre el trauma y la
llegada a la sala de urgencias, con un hematoma a subdural <10 mm
y que desplaza la línea media <5 mm
Glasgow <9, con un hematoma subdural <10 mm y desplaza la línea
media <5 mm y pupilas fijas o asimétricas.
Glasgow <9, con un hematoma subdural <10 mm y que desplaza la
línea media <5 mm y PIC >20 mmHg
Document shared on https://www.docsity.com/es/hematoma-subdural-panorama-general/5322403/
Downloaded by: jennifer-fernandez-vizcarra (j_enn29@hotmail.com)
Document shared on https://www.docsity.com/es/hematoma-subdural-panorama-general/5322403/
Downloaded by: jennifer-fernandez-vizcarra (j_enn29@hotmail.com)
Document shared on https://www.docsity.com/es/hematoma-subdural-panorama-general/5322403/
Downloaded by: jennifer-fernandez-vizcarra (j_enn29@hotmail.com)
Document shared on https://www.docsity.com/es/hematoma-subdural-panorama-general/5322403/
Downloaded by: jennifer-fernandez-vizcarra (j_enn29@hotmail.com)
GRACIAS
Document shared on https://www.docsity.com/es/hematoma-subdural-panorama-general/5322403/
Downloaded by: jennifer-fernandez-vizcarra (j_enn29@hotmail.com)

docsity-hematoma-subdural-panorama-general.pdf

  • 1.
    hematoma subdural :panorama general Ciencias Aplicadas a la Actividad Profesiona 27 pag. Document shared on https://www.docsity.com/es/hematoma-subdural-panorama-general/5322403/ Downloaded by: jennifer-fernandez-vizcarra (j_enn29@hotmail.com)
  • 2.
    HEMATOMA SUBDURAL MR1 LEÓN PALACIOSJOSÉ LUIS SERVICIO DE NEUROCIRUGÍA HOSPITAL CAYETANO HEREDIA SUBDURAL HEMATOMA Document shared on https://www.docsity.com/es/hematoma-subdural-panorama-general/5322403/ Downloaded by: jennifer-fernandez-vizcarra (j_enn29@hotmail.com)
  • 3.
    EPIDEMIOLOGÍA Y FACTORES DERIESGO el traumatismo craneal es la causa más común de SDH los pacientes con atrofia cerebral significativa tienen un alto riesgo de SDH Una serie de admisiones a la UCI informó 31 pacientes con SDH y siete pacientes con hematoma epidural durante un período de 10 meses , lo que sugiere que la SDH es más común que el hematoma epidural agentes antitrombóticos aumenta el riesgo de SDH En una serie de pacientes con SDH crónica después de traumatismo craneoencefálico, el tratamiento con anticoagulantes orales, aspirina o heparina en el momento de la hemorragia estaba presente en 21, 13 y 5 por ciento de los pacientes, respectivamente. UpToDate.Subdural hematoma in adults: Etiology, clinical features, and diagnosis .Author:William McBride, MD Literature review current through: Aug 2018 Document shared on https://www.docsity.com/es/hematoma-subdural-panorama-general/5322403/ Downloaded by: jennifer-fernandez-vizcarra (j_enn29@hotmail.com)
  • 4.
    CAUSAS INUSUALES : ●La SDH acompaña del 0.5 al 7.9 por ciento de las hemorragias subaracnoideas aneurismáticas ● SDH puede ocurrir por sangrado debido a otros trastornos subyacentes, incluidos los siguientes: - Malformación arteriovenosa , Meningioma, Metástasis durales , Coagulopatía ● SDH puede complicar la trombólisis sistémica para el infarto agudo de miocardio, aunque la incidencia es bastante baja. Un ensayo informó que el tratamiento con heparina, aspirina y activador del plasminógeno tisular recombinante intravenoso (rt-PA) a dosis de 150 mg o 100 mg se complicó por SDH en 0.2 y 0.1 por ciento de los pacientes, respectivamente . ● La SDH puede ocurrir con hipotensión espontánea del líquido cefalorraquídeo o después de procedimientos complicados por una fuga persistente de líquido cefalorraquídeo, como punción lumbar, ventriculostomía o colocación de derivación lumboperitoneal UpToDate.Subdural hematoma in adults: Etiology, clinical features, and diagnosis .Author:William McBride, MD Literature review current through: Aug 2018 Document shared on https://www.docsity.com/es/hematoma-subdural-panorama-general/5322403/ Downloaded by: jennifer-fernandez-vizcarra (j_enn29@hotmail.com)
  • 5.
    PATOGÉNESIS 2 TEORÍAS Patogénesis yfisiopatología del hematoma subdural crónico. Revista Mexicana de Neurociencia . Julio-Agosto, 2016; 17(4): 78-85 GRADIENTE OSMÓTICO DE LA HEMORRAGIA RECURRENTE ASOCIADA A HIPERFIBRINOLÍSIS aumento de proteínas en el contenido del hematoma provoca la entrada de fluido como resultado de la mayor presión oncótica. PARIETAL LA NEOMEMBRANA SE FORMA EN APROXIMADAMENTE 2 SEMANAS INICIALMENTE AL 4TO DIA SE FORMA LA MEMBRANA EXTERNA Document shared on https://www.docsity.com/es/hematoma-subdural-panorama-general/5322403/ Downloaded by: jennifer-fernandez-vizcarra (j_enn29@hotmail.com)
  • 6.
    HIGROMA SUBDURAL TRAUMÁTICO Patogénesisy fisiopatología del hematoma subdural crónico. Revista Mexicana de Neurociencia . Julio-Agosto, 2016; 17(4): 78-85 un desgarro traumático de la aracnoides más tarde puede transformarse en un hematoma subdural NO CONTIENEN MEMBRANAS PUEDEN CAUSAR EFECTO DE MASA COLECCIÓN QUISTICA EN ESPACIO SUBDURAL, TRANSPARENTE, SANGUINOLENTO O XANTOMCRÓMICO Document shared on https://www.docsity.com/es/hematoma-subdural-panorama-general/5322403/ Downloaded by: jennifer-fernandez-vizcarra (j_enn29@hotmail.com)
  • 7.
    UpToDate.Subdural hematoma inadults: Etiology, clinical features, and diagnosis .Author:William McBride, MD Literature review current through: Aug 2018 FISIOPATOLOGIA Causada por el desgarro de las venas puente que drenan desde la superficie del cerebro hasta los senos durales SANGRADO EN EL ESPACIOS ENTRE DURAMADRE Y ARACNOIDES HEMORRAGIA VENOSA SE DETIENE Document shared on https://www.docsity.com/es/hematoma-subdural-panorama-general/5322403/ Downloaded by: jennifer-fernandez-vizcarra (j_enn29@hotmail.com)
  • 8.
    UpToDate.Subdural hematoma inadults: Etiology, clinical features, and diagnosis .Author:William McBride, MD Literature review current through: Aug 2018 Document shared on https://www.docsity.com/es/hematoma-subdural-panorama-general/5322403/ Downloaded by: jennifer-fernandez-vizcarra (j_enn29@hotmail.com)
  • 9.
    Document shared onhttps://www.docsity.com/es/hematoma-subdural-panorama-general/5322403/ Downloaded by: jennifer-fernandez-vizcarra (j_enn29@hotmail.com)
  • 10.
    Document shared onhttps://www.docsity.com/es/hematoma-subdural-panorama-general/5322403/ Downloaded by: jennifer-fernandez-vizcarra (j_enn29@hotmail.com)
  • 11.
    HEMATOMA SUBDURAL AGUDO 1-3 DIAS SUBAGUDO 3-14 DIAS CRONICO>15 DIAS MANIFESTACIONES CLINICAS Document shared on https://www.docsity.com/es/hematoma-subdural-panorama-general/5322403/ Downloaded by: jennifer-fernandez-vizcarra (j_enn29@hotmail.com)
  • 12.
    Acute subdural hematomaChronic subdural hematoma Coma is present from the time of injury in approximately 50 percent of cases Approximately 12 to 38 percent of patients have a transient "lucid interval" after the acute injury that is followed by a progressive neurologic decline to coma UpToDate.Subdural hematoma in adults: Etiology, clinical features, and diagnosis .Author:William McBride, MD Literature review current through: Aug 2018 Posterior fossa SDH, like most space- occupying lesions in this location, presents with symptoms of elevated intracranial pressure including headache, vomiting, anisocoria, dysphagia, cranial nerve palsies, nuchal rigidity, and ataxia The insidious onset of headaches, light- headedness, cognitive impairment, apathy, somnolence, and occasionally seizures, may occur as a consequence of chronic SDH, and symptoms may not become evident until weeks after the initial injury. Focal deficits may be either ipsilateral or contralateral to the side of the SDH. Contralateral hemiparesis can occur as a result of direct compression of cortex underlying the hematoma, whereas ipsilateral hemiparesis can occur with lateral displacement of the midbrain caused by the mass effect of the hematoma Document shared on https://www.docsity.com/es/hematoma-subdural-panorama-general/5322403/ Downloaded by: jennifer-fernandez-vizcarra (j_enn29@hotmail.com)
  • 13.
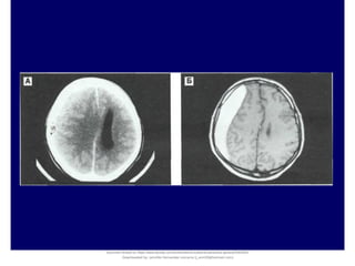
    DIAGNOSTICO H E M A T O M A S U B D U R A L A G U D O Acute SDH isreadily visualized on head CT as a high-density crescentic collection across the hemispheric convexity Document shared on https://www.docsity.com/es/hematoma-subdural-panorama-general/5322403/ Downloaded by: jennifer-fernandez-vizcarra (j_enn29@hotmail.com)
  • 14.
    H E M A T O M A S U B D U R A L S U B A G U D O Subacute and chronicSDH appear as isodense or hypodense crescent-shaped lesions that deform the surface of the brain Document shared on https://www.docsity.com/es/hematoma-subdural-panorama-general/5322403/ Downloaded by: jennifer-fernandez-vizcarra (j_enn29@hotmail.com)
  • 15.
    H E M A T O M A E P I D U R A L A G U D O In contrast toSDH, epidural blood produces a convex pattern on CT because its collection is limited by firm dural attachments at the cranial sutures Document shared on https://www.docsity.com/es/hematoma-subdural-panorama-general/5322403/ Downloaded by: jennifer-fernandez-vizcarra (j_enn29@hotmail.com)
  • 16.
    Document shared onhttps://www.docsity.com/es/hematoma-subdural-panorama-general/5322403/ Downloaded by: jennifer-fernandez-vizcarra (j_enn29@hotmail.com)
  • 17.
    Multiple Densities ofthe Chronic Subdural Hematoma in CT Scans. Department of Neurosurgery, Soonchunhyang University Cheonan Hospital, Cheonan, Korea. J Korean Neurosurg Soc 54 : 38-41, 2013 Document shared on https://www.docsity.com/es/hematoma-subdural-panorama-general/5322403/ Downloaded by: jennifer-fernandez-vizcarra (j_enn29@hotmail.com)
  • 18.
    Multiple Densities ofthe Chronic Subdural Hematoma in CT Scans. Department of Neurosurgery, Soonchunhyang University Cheonan Hospital, Cheonan, Korea. J Korean Neurosurg Soc 54 : 38-41, 2013 Document shared on https://www.docsity.com/es/hematoma-subdural-panorama-general/5322403/ Downloaded by: jennifer-fernandez-vizcarra (j_enn29@hotmail.com)
  • 19.
    ESCALAS EN HEMATOMASUBDURAL MARKWALDER Document shared on https://www.docsity.com/es/hematoma-subdural-panorama-general/5322403/ Downloaded by: jennifer-fernandez-vizcarra (j_enn29@hotmail.com)
  • 20.
    GORDON - FIRING Documentshared on https://www.docsity.com/es/hematoma-subdural-panorama-general/5322403/ Downloaded by: jennifer-fernandez-vizcarra (j_enn29@hotmail.com)
  • 21.
    Document shared onhttps://www.docsity.com/es/hematoma-subdural-panorama-general/5322403/ Downloaded by: jennifer-fernandez-vizcarra (j_enn29@hotmail.com)
  • 22.
    Document shared onhttps://www.docsity.com/es/hematoma-subdural-panorama-general/5322403/ Downloaded by: jennifer-fernandez-vizcarra (j_enn29@hotmail.com)
  • 23.
    MANEJO DEL HEMATOMA SUBDURAL CONSERVADOR Apropiadopara hematomas pequeños No haya desplazamiento línea media No hay signos de ocupación de Cisternas basales Glasgow de 9 a 15 puntos con un hematoma subdural <10 mm y desplazamiento de la línea media < 5 mm Llegan estables ; la llegada a urgencias, con pupilas simétricas y reactivas y PIC (presión intracraneal) < 20 mmHg CHçVEZ-GîMEZ, V. R.; Chávez-MONTER, J. D.; ORDO.EZ-GRANJA, J.; BARBA-RUIZ, E.Y.; AVENDA.O-PRADEL, R.; RUIZ-GARCIA, E. & CASTILLO-RANGEL, C. Tratamiento de hematoma subdural: Comparación entre drenaje subdural a presión negativa contra otro tipo de drenajes. Int. J. Med. Surg. Sci., 4(1):1089-1099, 2017. Document shared on https://www.docsity.com/es/hematoma-subdural-panorama-general/5322403/ Downloaded by: jennifer-fernandez-vizcarra (j_enn29@hotmail.com)
  • 24.
    INDICACIONES QUIRÚRGICAS Cuando eltamaño del hematoma es >10 mm o desplaza la línea media >5 mm sin ningún punto en la escala de Glasgow. Glasgow <9 que ha descendido > 2 puntos entre el trauma y la llegada a la sala de urgencias, con un hematoma a subdural <10 mm y que desplaza la línea media <5 mm Glasgow <9, con un hematoma subdural <10 mm y desplaza la línea media <5 mm y pupilas fijas o asimétricas. Glasgow <9, con un hematoma subdural <10 mm y que desplaza la línea media <5 mm y PIC >20 mmHg Document shared on https://www.docsity.com/es/hematoma-subdural-panorama-general/5322403/ Downloaded by: jennifer-fernandez-vizcarra (j_enn29@hotmail.com)
  • 25.
    Document shared onhttps://www.docsity.com/es/hematoma-subdural-panorama-general/5322403/ Downloaded by: jennifer-fernandez-vizcarra (j_enn29@hotmail.com)
  • 26.
    Document shared onhttps://www.docsity.com/es/hematoma-subdural-panorama-general/5322403/ Downloaded by: jennifer-fernandez-vizcarra (j_enn29@hotmail.com)
  • 27.
    Document shared onhttps://www.docsity.com/es/hematoma-subdural-panorama-general/5322403/ Downloaded by: jennifer-fernandez-vizcarra (j_enn29@hotmail.com)
  • 28.
    GRACIAS Document shared onhttps://www.docsity.com/es/hematoma-subdural-panorama-general/5322403/ Downloaded by: jennifer-fernandez-vizcarra (j_enn29@hotmail.com)