Spacing of teeth
Abu-Hussein Muhamad,
DDS, MSc D, MSc, M Dent Sci (Paed Dent )
The 8th International Orthodontic
• Sunday 27 to Wednesday 30 September 2015
at ExCeL (Exhibition Centre, London), London,
UK
Nazareth
Key topics
• ◾ Median diastema
• ◾ Missing maxillary incisors
• ◾ Pathological migration of teeth
• ◾ Congenitally missing premolars
• ◾ Partial edentulous dentitions
• ◾ General spacing of teeth
Abstract
• Excess of space in the dental arch is diagnosed as a
generalised spacing or a local divergence, often
observed in the maxillary anterior region, as a median
diastema, traumatic loss of central incisors, or
congenital absence of lateral incisors. Furthermore,
spacing is observed in aging individuals, due to
pathological migration of teeth caused by
periodontitis. Finally, adult individuals with partial
edentulous jaws demand pre-prosthetic orthodontic
treatment from functional aspects. Thus, indication for
orthodontic treatment in subjects with spacing of teeth
exists for aesthetic reasons, but also for facilitating
prosthetic restorations with optimal occlusalstability.
Diastema
• Azzaldeen A, Muhamad AH. Diastema Closure
with Direct Composite: Architectural Gingival
Contouring. J Adv Med Dent Scie Res. 2015,
3(1): 134-139
Diastema
• Abu-Hussein M, Watted N, Abdulgani A. An
Interdisciplinary Approach for Improved
Esthetic Results in the Anterior Maxilla
Diastema Journal of Dental and Medical
Sciences. 2015, 14(12): 96-101.
Diastema
• Abdulgani A, Watted N, Abu-Hussein M. Direct
bonding in diastema closure high drama,
immediate resolution: a case report. Ijdhs.
2014, 1(4): 430-435
Diastema
• Muhamad Abu-Hussein, Nezar Watted(201);
Maxillary Midline Diastema – Aetiology And
Orthodontic Treatment- Clinical Review,
Journal of Dental and Medical SciencesVolume
15, Issue 6 Ver. II ,116-130, DOI:
10.9790/0853-150602116130
Diastema
• Abu-Hussein Muhamad, et al. Anterior
Esthetic Restorations Using Direct Composite
Restoration; a Case Report. Dentistry & Dent
Pract J 2019, 2(1): 180008
Diastema
• Abu-Hussein Muhamad et al.(2019), Restoring
Fractured Anterior Tooth Using Direct
Composite Restoration: A Case Report. Global
Journal of Dental Sciences1:1
Diastema
• M. Abu-Hussein , Aspasia Sarafianou;
MATHEMATICAL ANALYSIS OF DENTAL ARCH
OF CHILDREN IN NORMAL OCCLUSION: A
LITERATURE REVIEW. International Journal of
Medical Dentistry2012,16,1,33-40
Genetic Basis of Tooth Agenesis
• Abu-Hussein M., Watted N., Yehia M., Proff P.,
Iraqi F.(2015); Clinical Genetic Basis of Tooth
Agenesis, Journal of Dental and Medical
Sciences ,14(12),68-77 DOI:
10.9790/0853141236877
Genetic Basis of Tooth Agenesis
• Muhamad AH, Azzaldeen A, Nezar W,
Mohammed Z. (2015); Esthetic Evaluation of
Implants Placed after Orthodontic Treatment
in Patients with Congenitally Missing Lateral
Incisors. J Adv Med Dent Scie Res
;3(3):110118.
The genes and molecular pathways
involved in tooth agenesis
• Wnt/b catenin/LEF1
• MSX1
• MSX2
• SHH
• P63
• Pitx2
• Runx2Cbfa 1
Median diastema
• Amaxillarydiastemaiscommoninearlymixed
dentition and can be regarded as a normal
feature in connection with eruption of the
centralincisors.Inmostcases,thereisaprogressiv
e reduction, especially at the eruption of the
lateralincisorsandthecanines.Inpermanentden
tition, the frequency is about 4% in a Swedish
population(ThilanderandMyrberg,1973).
Missing maxillary incisors
• Missing teeth, because of trauma or congenital
absence, generally affect the maxillary anterior
region. Aesthetic improvement is the real desire
of the patient. Treatment solutions include
orthodontic space closure, auto-transplantation
orprostheticreplacement(bondedorfixeddental
bridges, or implant-supported crowns). All
alternatives have their advantages as well as
disadvantagesandproperdecisionsshouldbemade
already in young ages.
Space closure
• This can be facilitated by early extraction of
any deciduous teeth to allow forward
movement of the first permanent molars in
that quadrant(s). Fixed appliances are usually
necessary to complete alignment and correct
the axial inclinations. If any masking
procedures (for example contouring a canine
incisally, palatally, and interproximally to
resemble a lateral incisor) or acid-etch
composite additions are required.
Space maintenance or opening
• In cases with congenitally absent upper lateral
incisors early extraction of the deciduous
predecessor may be indicated. The rationale
for this is that the permanent canine is
encouraged to erupt mesially, then when it is
subsequently retracted during active space
opening a greater volume of alveolar bone is
achieved.
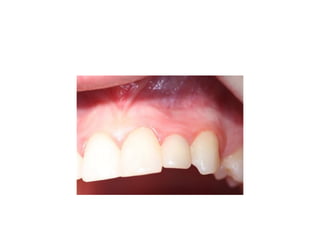
pre-op
pre-op
palatal inflammation is noted from
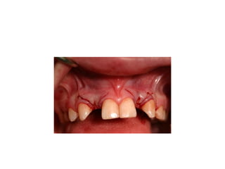
retainer
implants are placed w/in restorative
confines
Management of missing upp incisor
• Upper central incisors are rarely congenitally
absent. They can be lost as a result of trauma,
or occasionally their extraction may be
indicated because of dilaceration. Upper
lateral incisors are congenitally absent in
approximately 2 per cent of a Caucasian
population, but can also be lost following
trauma. Both can occur unilaterally, bilaterally,
or together. Whatever the reason for their
absence. there are two treatment options:
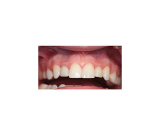
time of insertion
retainer has been modified
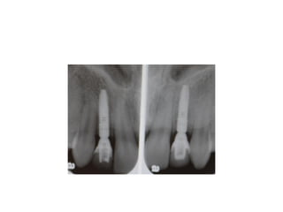
final crowns are delivered
Modern Treatment
• Abu-Hussein M, Watted N, Abdulgani A,
Borbély B (2015) Modern Treatment for
Congenitally Missing Teeth: A
MultidisciplinaryApproach. Int J Maxillofac Res
1: 179-190.
Several criteria have to be considered
before placing a single tooth implant
• 1. Time of implant placement
• • 2. Development of a proper implant site
• • 3. Space needed coronally •
• 4. Space needed apically •
• 5. Height of gingiva •
• 6. Retention of space needed before implant
placement
Interdisciplinary Management
• • Abusalih A, Ismail H, Abdulgani A,
Chlorokostas G, Abu-Hussein M (2016)
Interdisciplinary Management of Congenitally
Agenesis Maxillary Lateral Incisors:
Orthodontic/Prosthodontic Perspectives. J
Dent Med Sci 15: 90-9
Autotransplantation
• Muhamad AH, Azzaldeen A (2012)
Autotransplantation of Tooth in Children with
Mixed Dentition. Dentistry
2:149.doi:10.4172/2161-1122.1000149
Central incisors
• Missing maxillary central incisors are usually
caused by a traumatic injury. The immediate
measure, following the trauma, is descried in
some textbooks (Andreasen, 1992), while this
present chapter focuses on the orthodontic
problem.
Lateral incisors
• The frequency of congenitally missing
maxillary lateral incisors is 1 to 2% and the
treatment alternatives are the same as for
central incisors. Autotransplantation of a
premolar to this region may be an alternative
in the young patient.
Lateral incisors
• Abu-Hussein M., Abdulgani A., Watted N
.Zahalka M.; Congenitally Missing Lateral
Incisor with Orthodontics, Bone Grafting and
Single-Tooth Implant: A Case Report. Journal
of Dental and Medical Sciences2015,
14(4),124-130
Tooth Agenesis
• Muhamad Abu-Hussein, Nezar Watted, Ali
Watted, Yosef Abu-Hussein, Mohammad
Yehia, Obaida Awadi, Abdulgani Azzaldeen.
Prevalence of Tooth Agenesis in Orthodontic
Patients at Arab Population in Israel.
International Journal of Public Health
Research. Vol. 3, No. 3, 2015, pp. 77-82.
Pathological migration of teeth due to
periodontitis
• Pathological tooth migration can involve a single
tooth or a group of teeth and result in a median
diastema or general spacing, often combined
with infrabony pockets and/or proclination of the
maxillary incisors. The overall treatment for those
patients often involves orthodontic realignment
of the teeth to re-establish satisfactory occlusion
and aesthetic conditions. After treatment of the
periodontal disease, including elimination of
plaque, retention factors and deep gingival
pockets, the orthodontic treatment can start.
Congenitally Missing Upper Laterals
• Abu-Hussein M, Watted N, Hegedűs V, Péter B
(2015). Congenitally Missing Upper Laterals.
Clinical Considerations: Orthodontic Space
Closure;J Dent Oral Healt, HealthVolume 1 •
Issue 3 • 014, ReportISSN: 2369-4475
Spacing in the posterior areas of the
dentition
• In patients with partial edentulous dentitions,
because of congenitally absence or extraction
of teeth, orthodontic treatment should often
be performed, especially due to functional
aspects.
Congenitally missing premolars
• Thefrequencyofcongenitallymissingpremolars
is 2 to 3%, with the highest frequency for
mandibular second premolars. It is important
to remember that the diagnosis agenesis can
be verifiedfirstlyattheageof9to10years.
Autotransplantation
• Abu-Hussein M. , Watted N . ,Abdulgani M .,
Abdulgani Az .(2016); Tooth
Autotransplantation; Clinical Concepts Journal
of Dental and Medical Sciences , Vol 15 (7)
105-113 DOI:10.9790/0853-15078105113
Partial edentulous dentitions
• Tipped molars and reduced alveolar height are
frequently found in adults after performed
extractions in earlier ages. By positioning the
teeth towards or into the edentulous area,
improved aesthetic and functional results can
be obtained with optimal occlusal stability and
chewingcomfort.
General spacing of teeth
• General spacing is a distributed spreading of the
teeth with diastemas from premolar to premolar
in an otherwise normal occlusion. Small tooth
size together with a large apical base is the cause
to the anomaly. Closure of the gaps or
realignment of teeth for prosthetic replacement
is the treatment alternatives. Both need
fixedappliancesinbothjawsduringalongtreatmentp
eriodwithagreatriskforrelapse.Consequently, a
prolonged or permanent retention is necessary.
References
• Pre-Prosthetic Orthodontic Implant for
Management of Congenitally Unerupted Lateral
Incisors – A Case Report
Abu-Hussein Muhamad, Chlorokostas Georges,
Watted Nezar,Abdulgani Azzaldeen, Zahalka
Mohammed
Journal of Dental and Medical Sciences (IOSR-JDMS)
e-ISSN: 2279-0853, p-ISSN: 2279-0861.Volume
15, Issue 2 Ver. VIII (Feb. 2016), PP 99-104
References
References
• Abu-Hussein M., Watted N., Abdulgani N. ,
Alterman M.; Non-Syndromic Oligodontia: A
Rare Case Report, jmscr2015,3(5), . 5649-5655
References
• Abu-Hussein M., Watted N., Watted A., Abu-
Hussein Y, Yehia M .Awadi O. , Abdulgani A .;
Prevalence of Tooth Agenesis in Orthodontic
Patients at Arab Population in Israel,
International Journal of Public Health
Research ,2015; 3(3): 77-82.
References
• Abu-Hussein M., Watted N., Yehia M., Proff P.,
Iraqi F.; Clinical Genetic Basis of Tooth
Agenesis, Journal of Dental and Medical
Sciences2015,14(12),68-7
References
• Abu-Hussein M., Abdulgani A., Watted N
.Zahalka M.; Congenitally Missing Lateral
Incisor with Orthodontics, Bone Grafting and
Single-Tooth Implant: A Case Report. Journal
of Dental and Medical Sciences2015,
14(4),124-130
References
• Abu-Hussein M., Watted N., Abdulgani A.,
Bajali M.;Treatment of Patients With
Congenitally Missing Lateral Incisors: Is an .
Interdisciplinary Task. RRJDS 2014,2(4),53-68
References
• Abu-Hussein M., Watted N., Abdulgani A.,
BorbélyB.; Modern Treatment for Congenitally
Missing Teeth : A MultidisciplinaryApproach;
INTERNATIONAL JOURNAL OF MAXILLOFACIAL
RESEARCH,2015,1(2);179-190
References
• Abu-Hussein M, Watted N, ; Congenitally
Missing Upper Laterals. Clinical
Considerations: Orthodontic Space Closure,Int
Res Pub Med Sci, 2015;1(3):82-89
Criteria for successful auto-
transplantation
• • Root development of tooth to be transplanted-
2/J to 3/4 complete
• • Sufficient space in arch and occlusally to
accommodate transplanted tooth Careful
preparation of donor site to ensure good root to
bone adaptation
• • Careful surgical technique to avoid damage to
root surface of transplanted tooth
• Transplanted teeth sutured into position below
the occlusal plane.
Key Points:
Various terms have been used to describe the developmental
absence of teeth, including hypodontia, oligodontia and
dental agenesis. Hypodontia may present as an isolated
condition, or may be associated with syndromes including
the ectodermal dysplasias.
Prevalence varies between continents, racial groups and
genders. In Caucasians, the prevalence is 4 – 6% with a
female to male ratio of approximately 3 : 2.
A number of homeobox genes associated with tooth
development have been implicated in the aetiology of
hypodontia, including Msx1 , Pax9 and Axin2 . Gene
therapy may offer the potential for bioengineering of
replacement teeth as a novel approach to maxillary.
Roles of a hypodontia team
• In general, the roles of the team may encompass the following main
areas:
1. Diagnosis and interdisciplinary treatment planning
2. Patient and parent/carer counselling.
3. Provision of specifi c treatment plans for outreach provision of care.
4. Provision of treatment by team members.
5. Education for students in training (including senior undergraduates,
specialist trainees from associated specialties and development of
successional staff), education of purchasers (including insurers and
government agencies).
6. Data collection for local audit and clinic management.
7. Local and collaborative research at a national or international level.
8.Collaboration with national patient support groups.
Diagnosis and i nterdisciplinary
t reatment p lanning
• any patients are referred to a hypodontia
team with some information about their
condition provided by the referring
practitioner. However, the extent of the
hypodontia is often not made clear.
Patient and family c ounselling
• Many patients and their families arrive at the
clinic with concerns about the possible causes
of the condition and its lifetime implications.
There may be a history of hypodontia within
one or (less often) both sides of the family,
which may be identifi ed by questioning at the
clinic, or discovered subsequently by the
family once they become aware of the
condition’ s genetic dimension.
Space issues within the dental arches
• he underlying problem in many people
affected by hypodontia is not only the excess
of space but also the uneven distribution of
that space within the dental arches .
Composition of the ideal hypodontia
clinic team
• ● General dental practitioners
• ● Dental nurses
• ● Orthodontists
• ● Paediatric dentists
• ● Prosthodontists
• ● Oral and maxillofacial surgeons
• ● Specialist laboratory technicians
• ● Clinical psychologists
• ● Clinical geneticists
• ● Dermatologists
• ● Speech and language therapists
The general dental practitioner
• Although the dental practitioners are rarely
present on the hypodontia team, they form a
vital component of the care pathway and need
to be aware of the condition because they are
responsible for the initial identifi cation of the
problem and subsequent referral to the clinic.
Dental nurses
• he dental nurse is usually the fi rst team
member that the patients and their families
meet on arrival at the hypodontia clinic. They
are the initial point of contact when arranging
the appointment. This named contact will,
throughout the patient’ s time, remain
attached to the clinic, giving opportunities to
raise any concerns.
The orthodontist
• T he orthodontist’ s role is to provide
knowledge of normal growth and
development, and to assess any deviations
from the normal associated with hypodontia (
Paediatric dentists
• he paediatric dentist’ s role in the
management of child and adolescent patients
with hypodontia
Prosthodontists
• he prosthodontist’ s role is to plan and, where
appropriate, agree with the orthodontist the
ultimate sites and sizes of edentulous spaces,
and the intended functional occlusion.
Following orthodontic treatment the
prosthodontist will provide a range of
restorative treatment options, including fi xed
or removable prostheses, in order to restore
aesthetics and function .
Oral and maxillofacial surgeons
• he surgeon may be involved in dentoalveolar
surgery on patients of all ages. It may include
extractions, surgical removal of severely infra
o ccluded primary teeth, surgical exposure of
ectopic permanent teeth, and the
autotransplantation of permanent teeth from
one site to another.
Specialist laboratory technicians
• The complex nature of the treatment provided
for patients with hypodontia requires high -
quality laboratory support. Ideally the
laboratory should be on site to enable the
laboratory and clinical staff to discuss complex
issues face - to - face and where necessary at
the chair- s ide. However, where this is not
feasible then an off - site service is acceptable,
although this necessitates good
communication.
Clinical psychologists
• Patients with severe hypodontia may suffer
from associated psychosocial problems
(Wagenberg and Spitzer, 1998 ; Francischone
et al. , 2003 ), and may benefi t from a
meeting with a clinical psychologist. Issues
such as low self- e steem, social withdrawal
and coping strategies (because of bullying)
may be explored through discussions or group
therapy
Clinical geneticists
• The genetic basis of hypodontia is complex
and was discussed fully in the introduction .
Therefore the clinical geneticist may be
involved both in the genetic testing of severe
hypodontia patients and their parents and
with their counselling. This may be especially
useful where the hypodontia is associated
with a familial genetic syndrome, and where
parents are seeking advice about the risks for
future planned pregnancies.
Dermatologists
• Patients and families of patients with
hypodontia- r elated syndromes with skin
involvement including the ectoermal
dysplasias may benefit from time with a
dermatologist.
Speech and language therapists
• Young children with severe hypodontia may
present with speech defects associated with
large spaces. These defects may respond to
speech and language therapy, and the
integration of therapy both before and after
treatment of the hypodontia can maximise the
improvement in speech.
Providing care
The care pathway for patients with hypodontia is often complex,
with the delivery of care best delivered through an integrated
hypodontia clinic with access to the expertise of a range of
dental and medical specialties .
The roles of a hypodontia clinic include the within unit treatment
of patients, the provision of treatment plans for outreach
care, patient and family counselling, education and training,
and research.
A number of patient support groups have been set up world -
wide by affected families, providing a valuable service for
patients through specialist advice, counselling and hypodontia
research funding
•
Space issues in hypodontia
• Space should be considered in all three
dimensions and may be infl uenced by
continuing facial growth and development –
the ‘ fourth dimension” .
• The long - term prognosis of primary teeth is
related to root resorption, infra - occlusion,
dental caries, tooth surface loss and
periodontal disease
• Mesiodistal space is often poorly distributed
for ideal tooth replacement, due to abnormal
eruption paths and drifting of the permanent
teeth
The long - term prognosis
•
• The long - term prognosis of primary teeth is
related to root resorption, infra - occlusion,
dental caries, tooth surface loss and
periodontal disease
Treatment options for mesiodistal
space
• Orthodontic space closure Redistribution and
idealisation of the space followed by
prosthodontic restoration Prosthodontic
management within the limits of the existing
spaces where orthodontic treatment is
inappropriate
Orthodontically
• Orthodontically optimised spaces should be
assessed by a prosthodontist prior to the
removal of fixed appliances.
Conclusion
• The management of hypodontia during the
late mixed and early permanent dentition
stage is pivotal in the long - term management
of patients. Decisions made at this stage can
have lasting implications so it is essential that
careful treatment planning is carried out
within a multidisciplinary context.
Spacing of teeth
Spacing of teeth
Spacing of teeth

Spacing of teeth

  • 1.
    Spacing of teeth Abu-HusseinMuhamad, DDS, MSc D, MSc, M Dent Sci (Paed Dent )
  • 2.
    The 8th InternationalOrthodontic • Sunday 27 to Wednesday 30 September 2015 at ExCeL (Exhibition Centre, London), London, UK
  • 3.
  • 4.
    Key topics • ◾Median diastema • ◾ Missing maxillary incisors • ◾ Pathological migration of teeth • ◾ Congenitally missing premolars • ◾ Partial edentulous dentitions • ◾ General spacing of teeth
  • 6.
    Abstract • Excess ofspace in the dental arch is diagnosed as a generalised spacing or a local divergence, often observed in the maxillary anterior region, as a median diastema, traumatic loss of central incisors, or congenital absence of lateral incisors. Furthermore, spacing is observed in aging individuals, due to pathological migration of teeth caused by periodontitis. Finally, adult individuals with partial edentulous jaws demand pre-prosthetic orthodontic treatment from functional aspects. Thus, indication for orthodontic treatment in subjects with spacing of teeth exists for aesthetic reasons, but also for facilitating prosthetic restorations with optimal occlusalstability.
  • 8.
    Diastema • Azzaldeen A,Muhamad AH. Diastema Closure with Direct Composite: Architectural Gingival Contouring. J Adv Med Dent Scie Res. 2015, 3(1): 134-139
  • 9.
    Diastema • Abu-Hussein M,Watted N, Abdulgani A. An Interdisciplinary Approach for Improved Esthetic Results in the Anterior Maxilla Diastema Journal of Dental and Medical Sciences. 2015, 14(12): 96-101.
  • 10.
    Diastema • Abdulgani A,Watted N, Abu-Hussein M. Direct bonding in diastema closure high drama, immediate resolution: a case report. Ijdhs. 2014, 1(4): 430-435
  • 11.
    Diastema • Muhamad Abu-Hussein,Nezar Watted(201); Maxillary Midline Diastema – Aetiology And Orthodontic Treatment- Clinical Review, Journal of Dental and Medical SciencesVolume 15, Issue 6 Ver. II ,116-130, DOI: 10.9790/0853-150602116130
  • 12.
    Diastema • Abu-Hussein Muhamad,et al. Anterior Esthetic Restorations Using Direct Composite Restoration; a Case Report. Dentistry & Dent Pract J 2019, 2(1): 180008
  • 13.
    Diastema • Abu-Hussein Muhamadet al.(2019), Restoring Fractured Anterior Tooth Using Direct Composite Restoration: A Case Report. Global Journal of Dental Sciences1:1
  • 14.
    Diastema • M. Abu-Hussein, Aspasia Sarafianou; MATHEMATICAL ANALYSIS OF DENTAL ARCH OF CHILDREN IN NORMAL OCCLUSION: A LITERATURE REVIEW. International Journal of Medical Dentistry2012,16,1,33-40
  • 16.
    Genetic Basis ofTooth Agenesis • Abu-Hussein M., Watted N., Yehia M., Proff P., Iraqi F.(2015); Clinical Genetic Basis of Tooth Agenesis, Journal of Dental and Medical Sciences ,14(12),68-77 DOI: 10.9790/0853141236877
  • 17.
    Genetic Basis ofTooth Agenesis • Muhamad AH, Azzaldeen A, Nezar W, Mohammed Z. (2015); Esthetic Evaluation of Implants Placed after Orthodontic Treatment in Patients with Congenitally Missing Lateral Incisors. J Adv Med Dent Scie Res ;3(3):110118.
  • 19.
    The genes andmolecular pathways involved in tooth agenesis • Wnt/b catenin/LEF1 • MSX1 • MSX2 • SHH • P63 • Pitx2 • Runx2Cbfa 1
  • 20.
    Median diastema • Amaxillarydiastemaiscommoninearlymixed dentitionand can be regarded as a normal feature in connection with eruption of the centralincisors.Inmostcases,thereisaprogressiv e reduction, especially at the eruption of the lateralincisorsandthecanines.Inpermanentden tition, the frequency is about 4% in a Swedish population(ThilanderandMyrberg,1973).
  • 21.
    Missing maxillary incisors •Missing teeth, because of trauma or congenital absence, generally affect the maxillary anterior region. Aesthetic improvement is the real desire of the patient. Treatment solutions include orthodontic space closure, auto-transplantation orprostheticreplacement(bondedorfixeddental bridges, or implant-supported crowns). All alternatives have their advantages as well as disadvantagesandproperdecisionsshouldbemade already in young ages.
  • 22.
    Space closure • Thiscan be facilitated by early extraction of any deciduous teeth to allow forward movement of the first permanent molars in that quadrant(s). Fixed appliances are usually necessary to complete alignment and correct the axial inclinations. If any masking procedures (for example contouring a canine incisally, palatally, and interproximally to resemble a lateral incisor) or acid-etch composite additions are required.
  • 23.
    Space maintenance oropening • In cases with congenitally absent upper lateral incisors early extraction of the deciduous predecessor may be indicated. The rationale for this is that the permanent canine is encouraged to erupt mesially, then when it is subsequently retracted during active space opening a greater volume of alveolar bone is achieved.
  • 25.
  • 26.
  • 27.
    palatal inflammation isnoted from retainer
  • 28.
    implants are placedw/in restorative confines
  • 29.
    Management of missingupp incisor • Upper central incisors are rarely congenitally absent. They can be lost as a result of trauma, or occasionally their extraction may be indicated because of dilaceration. Upper lateral incisors are congenitally absent in approximately 2 per cent of a Caucasian population, but can also be lost following trauma. Both can occur unilaterally, bilaterally, or together. Whatever the reason for their absence. there are two treatment options:
  • 30.
  • 31.
  • 32.
  • 33.
    Modern Treatment • Abu-HusseinM, Watted N, Abdulgani A, Borbély B (2015) Modern Treatment for Congenitally Missing Teeth: A MultidisciplinaryApproach. Int J Maxillofac Res 1: 179-190.
  • 34.
    Several criteria haveto be considered before placing a single tooth implant • 1. Time of implant placement • • 2. Development of a proper implant site • • 3. Space needed coronally • • 4. Space needed apically • • 5. Height of gingiva • • 6. Retention of space needed before implant placement
  • 35.
    Interdisciplinary Management • •Abusalih A, Ismail H, Abdulgani A, Chlorokostas G, Abu-Hussein M (2016) Interdisciplinary Management of Congenitally Agenesis Maxillary Lateral Incisors: Orthodontic/Prosthodontic Perspectives. J Dent Med Sci 15: 90-9
  • 36.
    Autotransplantation • Muhamad AH,Azzaldeen A (2012) Autotransplantation of Tooth in Children with Mixed Dentition. Dentistry 2:149.doi:10.4172/2161-1122.1000149
  • 37.
    Central incisors • Missingmaxillary central incisors are usually caused by a traumatic injury. The immediate measure, following the trauma, is descried in some textbooks (Andreasen, 1992), while this present chapter focuses on the orthodontic problem.
  • 38.
    Lateral incisors • Thefrequency of congenitally missing maxillary lateral incisors is 1 to 2% and the treatment alternatives are the same as for central incisors. Autotransplantation of a premolar to this region may be an alternative in the young patient.
  • 39.
    Lateral incisors • Abu-HusseinM., Abdulgani A., Watted N .Zahalka M.; Congenitally Missing Lateral Incisor with Orthodontics, Bone Grafting and Single-Tooth Implant: A Case Report. Journal of Dental and Medical Sciences2015, 14(4),124-130
  • 40.
    Tooth Agenesis • MuhamadAbu-Hussein, Nezar Watted, Ali Watted, Yosef Abu-Hussein, Mohammad Yehia, Obaida Awadi, Abdulgani Azzaldeen. Prevalence of Tooth Agenesis in Orthodontic Patients at Arab Population in Israel. International Journal of Public Health Research. Vol. 3, No. 3, 2015, pp. 77-82.
  • 41.
    Pathological migration ofteeth due to periodontitis • Pathological tooth migration can involve a single tooth or a group of teeth and result in a median diastema or general spacing, often combined with infrabony pockets and/or proclination of the maxillary incisors. The overall treatment for those patients often involves orthodontic realignment of the teeth to re-establish satisfactory occlusion and aesthetic conditions. After treatment of the periodontal disease, including elimination of plaque, retention factors and deep gingival pockets, the orthodontic treatment can start.
  • 42.
    Congenitally Missing UpperLaterals • Abu-Hussein M, Watted N, Hegedűs V, Péter B (2015). Congenitally Missing Upper Laterals. Clinical Considerations: Orthodontic Space Closure;J Dent Oral Healt, HealthVolume 1 • Issue 3 • 014, ReportISSN: 2369-4475
  • 43.
    Spacing in theposterior areas of the dentition • In patients with partial edentulous dentitions, because of congenitally absence or extraction of teeth, orthodontic treatment should often be performed, especially due to functional aspects.
  • 44.
    Congenitally missing premolars •Thefrequencyofcongenitallymissingpremolars is 2 to 3%, with the highest frequency for mandibular second premolars. It is important to remember that the diagnosis agenesis can be verifiedfirstlyattheageof9to10years.
  • 45.
    Autotransplantation • Abu-Hussein M., Watted N . ,Abdulgani M ., Abdulgani Az .(2016); Tooth Autotransplantation; Clinical Concepts Journal of Dental and Medical Sciences , Vol 15 (7) 105-113 DOI:10.9790/0853-15078105113
  • 47.
    Partial edentulous dentitions •Tipped molars and reduced alveolar height are frequently found in adults after performed extractions in earlier ages. By positioning the teeth towards or into the edentulous area, improved aesthetic and functional results can be obtained with optimal occlusal stability and chewingcomfort.
  • 48.
    General spacing ofteeth • General spacing is a distributed spreading of the teeth with diastemas from premolar to premolar in an otherwise normal occlusion. Small tooth size together with a large apical base is the cause to the anomaly. Closure of the gaps or realignment of teeth for prosthetic replacement is the treatment alternatives. Both need fixedappliancesinbothjawsduringalongtreatmentp eriodwithagreatriskforrelapse.Consequently, a prolonged or permanent retention is necessary.
  • 66.
    References • Pre-Prosthetic OrthodonticImplant for Management of Congenitally Unerupted Lateral Incisors – A Case Report Abu-Hussein Muhamad, Chlorokostas Georges, Watted Nezar,Abdulgani Azzaldeen, Zahalka Mohammed Journal of Dental and Medical Sciences (IOSR-JDMS) e-ISSN: 2279-0853, p-ISSN: 2279-0861.Volume 15, Issue 2 Ver. VIII (Feb. 2016), PP 99-104 References
  • 67.
    References • Abu-Hussein M.,Watted N., Abdulgani N. , Alterman M.; Non-Syndromic Oligodontia: A Rare Case Report, jmscr2015,3(5), . 5649-5655
  • 68.
    References • Abu-Hussein M.,Watted N., Watted A., Abu- Hussein Y, Yehia M .Awadi O. , Abdulgani A .; Prevalence of Tooth Agenesis in Orthodontic Patients at Arab Population in Israel, International Journal of Public Health Research ,2015; 3(3): 77-82.
  • 69.
    References • Abu-Hussein M.,Watted N., Yehia M., Proff P., Iraqi F.; Clinical Genetic Basis of Tooth Agenesis, Journal of Dental and Medical Sciences2015,14(12),68-7
  • 70.
    References • Abu-Hussein M.,Abdulgani A., Watted N .Zahalka M.; Congenitally Missing Lateral Incisor with Orthodontics, Bone Grafting and Single-Tooth Implant: A Case Report. Journal of Dental and Medical Sciences2015, 14(4),124-130
  • 71.
    References • Abu-Hussein M.,Watted N., Abdulgani A., Bajali M.;Treatment of Patients With Congenitally Missing Lateral Incisors: Is an . Interdisciplinary Task. RRJDS 2014,2(4),53-68
  • 72.
    References • Abu-Hussein M.,Watted N., Abdulgani A., BorbélyB.; Modern Treatment for Congenitally Missing Teeth : A MultidisciplinaryApproach; INTERNATIONAL JOURNAL OF MAXILLOFACIAL RESEARCH,2015,1(2);179-190
  • 73.
    References • Abu-Hussein M,Watted N, ; Congenitally Missing Upper Laterals. Clinical Considerations: Orthodontic Space Closure,Int Res Pub Med Sci, 2015;1(3):82-89
  • 74.
    Criteria for successfulauto- transplantation • • Root development of tooth to be transplanted- 2/J to 3/4 complete • • Sufficient space in arch and occlusally to accommodate transplanted tooth Careful preparation of donor site to ensure good root to bone adaptation • • Careful surgical technique to avoid damage to root surface of transplanted tooth • Transplanted teeth sutured into position below the occlusal plane.
  • 75.
    Key Points: Various termshave been used to describe the developmental absence of teeth, including hypodontia, oligodontia and dental agenesis. Hypodontia may present as an isolated condition, or may be associated with syndromes including the ectodermal dysplasias. Prevalence varies between continents, racial groups and genders. In Caucasians, the prevalence is 4 – 6% with a female to male ratio of approximately 3 : 2. A number of homeobox genes associated with tooth development have been implicated in the aetiology of hypodontia, including Msx1 , Pax9 and Axin2 . Gene therapy may offer the potential for bioengineering of replacement teeth as a novel approach to maxillary.
  • 76.
    Roles of ahypodontia team • In general, the roles of the team may encompass the following main areas: 1. Diagnosis and interdisciplinary treatment planning 2. Patient and parent/carer counselling. 3. Provision of specifi c treatment plans for outreach provision of care. 4. Provision of treatment by team members. 5. Education for students in training (including senior undergraduates, specialist trainees from associated specialties and development of successional staff), education of purchasers (including insurers and government agencies). 6. Data collection for local audit and clinic management. 7. Local and collaborative research at a national or international level. 8.Collaboration with national patient support groups.
  • 91.
    Diagnosis and interdisciplinary t reatment p lanning • any patients are referred to a hypodontia team with some information about their condition provided by the referring practitioner. However, the extent of the hypodontia is often not made clear.
  • 92.
    Patient and familyc ounselling • Many patients and their families arrive at the clinic with concerns about the possible causes of the condition and its lifetime implications. There may be a history of hypodontia within one or (less often) both sides of the family, which may be identifi ed by questioning at the clinic, or discovered subsequently by the family once they become aware of the condition’ s genetic dimension.
  • 93.
    Space issues withinthe dental arches • he underlying problem in many people affected by hypodontia is not only the excess of space but also the uneven distribution of that space within the dental arches .
  • 96.
    Composition of theideal hypodontia clinic team • ● General dental practitioners • ● Dental nurses • ● Orthodontists • ● Paediatric dentists • ● Prosthodontists • ● Oral and maxillofacial surgeons • ● Specialist laboratory technicians • ● Clinical psychologists • ● Clinical geneticists • ● Dermatologists • ● Speech and language therapists
  • 97.
    The general dentalpractitioner • Although the dental practitioners are rarely present on the hypodontia team, they form a vital component of the care pathway and need to be aware of the condition because they are responsible for the initial identifi cation of the problem and subsequent referral to the clinic.
  • 98.
    Dental nurses • hedental nurse is usually the fi rst team member that the patients and their families meet on arrival at the hypodontia clinic. They are the initial point of contact when arranging the appointment. This named contact will, throughout the patient’ s time, remain attached to the clinic, giving opportunities to raise any concerns.
  • 99.
    The orthodontist • The orthodontist’ s role is to provide knowledge of normal growth and development, and to assess any deviations from the normal associated with hypodontia (
  • 100.
    Paediatric dentists • hepaediatric dentist’ s role in the management of child and adolescent patients with hypodontia
  • 101.
    Prosthodontists • he prosthodontist’s role is to plan and, where appropriate, agree with the orthodontist the ultimate sites and sizes of edentulous spaces, and the intended functional occlusion. Following orthodontic treatment the prosthodontist will provide a range of restorative treatment options, including fi xed or removable prostheses, in order to restore aesthetics and function .
  • 102.
    Oral and maxillofacialsurgeons • he surgeon may be involved in dentoalveolar surgery on patients of all ages. It may include extractions, surgical removal of severely infra o ccluded primary teeth, surgical exposure of ectopic permanent teeth, and the autotransplantation of permanent teeth from one site to another.
  • 103.
    Specialist laboratory technicians •The complex nature of the treatment provided for patients with hypodontia requires high - quality laboratory support. Ideally the laboratory should be on site to enable the laboratory and clinical staff to discuss complex issues face - to - face and where necessary at the chair- s ide. However, where this is not feasible then an off - site service is acceptable, although this necessitates good communication.
  • 104.
    Clinical psychologists • Patientswith severe hypodontia may suffer from associated psychosocial problems (Wagenberg and Spitzer, 1998 ; Francischone et al. , 2003 ), and may benefi t from a meeting with a clinical psychologist. Issues such as low self- e steem, social withdrawal and coping strategies (because of bullying) may be explored through discussions or group therapy
  • 105.
    Clinical geneticists • Thegenetic basis of hypodontia is complex and was discussed fully in the introduction . Therefore the clinical geneticist may be involved both in the genetic testing of severe hypodontia patients and their parents and with their counselling. This may be especially useful where the hypodontia is associated with a familial genetic syndrome, and where parents are seeking advice about the risks for future planned pregnancies.
  • 106.
    Dermatologists • Patients andfamilies of patients with hypodontia- r elated syndromes with skin involvement including the ectoermal dysplasias may benefit from time with a dermatologist.
  • 107.
    Speech and languagetherapists • Young children with severe hypodontia may present with speech defects associated with large spaces. These defects may respond to speech and language therapy, and the integration of therapy both before and after treatment of the hypodontia can maximise the improvement in speech.
  • 108.
    Providing care The carepathway for patients with hypodontia is often complex, with the delivery of care best delivered through an integrated hypodontia clinic with access to the expertise of a range of dental and medical specialties . The roles of a hypodontia clinic include the within unit treatment of patients, the provision of treatment plans for outreach care, patient and family counselling, education and training, and research. A number of patient support groups have been set up world - wide by affected families, providing a valuable service for patients through specialist advice, counselling and hypodontia research funding •
  • 109.
    Space issues inhypodontia • Space should be considered in all three dimensions and may be infl uenced by continuing facial growth and development – the ‘ fourth dimension” .
  • 110.
    • The long- term prognosis of primary teeth is related to root resorption, infra - occlusion, dental caries, tooth surface loss and periodontal disease
  • 111.
    • Mesiodistal spaceis often poorly distributed for ideal tooth replacement, due to abnormal eruption paths and drifting of the permanent teeth
  • 112.
    The long -term prognosis • • The long - term prognosis of primary teeth is related to root resorption, infra - occlusion, dental caries, tooth surface loss and periodontal disease
  • 113.
    Treatment options formesiodistal space • Orthodontic space closure Redistribution and idealisation of the space followed by prosthodontic restoration Prosthodontic management within the limits of the existing spaces where orthodontic treatment is inappropriate
  • 114.
    Orthodontically • Orthodontically optimisedspaces should be assessed by a prosthodontist prior to the removal of fixed appliances.
  • 116.
    Conclusion • The managementof hypodontia during the late mixed and early permanent dentition stage is pivotal in the long - term management of patients. Decisions made at this stage can have lasting implications so it is essential that careful treatment planning is carried out within a multidisciplinary context.