Paranasal Sinuses Anatomy &
Variants-
A Systematic Approach To
Imaging Before FESS
Dr Priyanka Vishwakarma
Four Paired Sinuses –
• Ethmoid
• Maxillary
• Frontal
• Sphenoid
• The sinuses develop as outgrowths from
the nasal cavity; hence they all drain
directly or indirectly into the nose
Meati
• superior meatus drains the posterior ethmoid
air cells and the sphenoid sinus via the
sphenoethmoidal recess
• middle meatus drains the frontal sinus via the
nasofrontal duct/frontal recess, the maxillary
sinus via the maxillary ostium, and the anterior
ethmoid air cells via the ethmoid cell ostia.
• The nasolacrimal duct drains into the inferior
meatus
• spheno-ethmoidal recess, above and posterior
to the superior concha, receives the opening of
the sphenoidal sinus
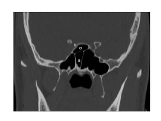
Osteomeatal unit
Common Drainage Pathway Of The Ant.
Group of Sinuses.-Coronal scan
The osteomeatal unit (OMU) includes the
• uncinate process
• Ethmoid infundibulum
• Ethmoid Bulla
• Middle Meatus
• Hiatus Semilunaris
Most common site of inflammatory disease
Nasal Septum
• Commonest Variation-DNS
• Pneumatization
• Inferior Turbinate-Hypertrophy
Maxillary sinus
• Largest and most constant pns.
• Pyramidal in shape- base is usually
medial, with its apex in the zygomatic
process of the maxilla
• Base -lat nasal wall-ostium
• Posterior wall/Temporal- pterygomaxillary
fossa
• Roof -Formed by roof of the orbit- infra
orbital foramen containing the infra orbital
vessels and nerves
• Ant-maxilla facial surface
Variants Related To the maxillary Sinus
Concha bullosa
Paradoxical curvature of MT
Haller Cell
Septae
Dehiscent floor-1st
,2nd
Molar Infn
Concha Bullosa
•pneumatization of
the bulbous portion
of the middle
turbinate
•An enlarged
concha bullosa may
impede drainage
from the middle
meatus
Haller cells
• Ethmoidal air cells belonging to the
anterior ethmoidal group.
• Also known as the infra orbital cells
• Adhere to roof of maxillary sinus forming
the lat wall of infundibulum
• Enlargement of these cells can impede
the maxillary sinus drainage
Paradoxical curvature- can potentially narrow or
obstruct the infundibulum or middle meatus.
bony septum in the maxillary
sinuses (MS)
Ethmoidal sinus
• basal lamellae of the middle turbinate
separates the ethmoid into anterior and
posterior groups with different drainage
patterns
• Ant cells form 1st followed by the posterior
cells.They are not seen on radiographs
until age one
• Lateral wall-Formed by the orbital plate of
the ethmoid,known as the lamina
papyracea.this wall could be dehiscent-
route of spread of infection
. The transition of thick fovea to the thin
portion of roof of ethmoid medially is very
weak-injuries during surgery leading on to
CSF leak.
Ethmoids-ant and post
vertical attachment of basal
lamellae to anterior skull base
Related Variants
• A cell above the orbit is called a
supraorbital cell.found in 15% of pt
• Invasion of an ethmoid cell into the floor of
the frontal sinus is called a frontal cell(type
1-4)
Agger Nasi Cell
term Agger in Latin - Mound/Eminence.
• anterior to the antero superior attachment
of the middle turbinate and borders the
frontal recess.
• its size may directly influence the patency
of the frontal recess. These agger nasi
cells are commonly involved in the
pathogenesis of the formation of frontal
• mucocele.
• It is the 1st prominent anatomical
landmark encountered in FESS
ethmoid bulla
• superior to uncinate processes.
• Ethmoid bulla air cells are part of the
anterior ethmoid sinuses and make up the
superior border of the hiatus semilunaris.
• variable pneumatization.
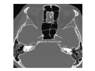
Onodi Cells
• posterior ethmoidal cells extending supero
lateral to the sphenoid sinus & can either
abut to or impinging upon the optic nerve.
• When these Onodi cells abut or surround
the optic nerve, the nerve is at risk when
surgical excision of these cells is
performed.
• It is also a potential cause of incomplete
sphenoidectomy.
Olfactory fossa
• The depth of the olfactory fossa is determined by
the height of the lateral lamella of the cribriform
plate, which is part of the ethmoid bone. In 1962,
Keros had classified the depth of the olfactory
fossa into three types, that is,
• Keros type I: <3 mm,
• type II: 4-7 mm , and
• type III: 8-16 mm.-Kero type III is most
vulnerable to iatrogenic injury.
Keros type I-< 3 mm
Keros type II- 4 to 7 mm
Keros type III-6-18 mm
Frontal sinus
• different sizes, are separated by a bony
septum that is usually deviated to one side
• Asymmetry btw the two sinuses frequent
• It may be absent in 5% of cases
• Best seen on Saggital images
• Among the para nasal sinuses this sinus
shows the maximum variations.
• The post wall separates the frontal sinus
from the anterior cranial fossa and is
much thinner.
• Floor is formed by the upper part of the
orbits
• Frontal sinus appear very late in life. Infact
they are not seen in skull films before the
age of 6.
• Nasofrontal duct-misnomer
• Frontal Recess
• the frontal recess can be conceptualized as an
inverted funnel within the anterior ethmoid complex
through which the frontal sinus drains.
• The tip or apex of the funnel lies at the frontal sinus
ostium, -sagittal CT images as a “waist” located at
the level of the nasofrontal process.
• The frontal recess typically flares out inferiorly and
posteriorly to form the wider opening of the funnel.
• inferior portion of the frontal sinus (commonly
referred to as the frontal infundibulum)
+
the frontal ostium
+
frontal recess = frontal sinus outflow tract
the right frontal
recess (dotted
red line), which is
bounded
anteriorly and
laterally by an
agger nasi cell
(white arrow) and
a type 1 frontal
cell (black
arrow), medially
by the middle
turbinate
  
posteriorly by the
ethmoid bulla
and bulla
lamella.
The nasofrontal
process
(arrowhead in b)
forms the floor of
the frontal sinus
and demarcates
the level of the
frontal sinus
ostium
superior compartment of the FSDP
Frontal outflow tract shows conglomeratization of
air cells.
Types of frontal sinus air cells include:
• I – Type I frontal cell (a single air cell above
agger nasi)
• II – Type II frontal cell (a series of air cells above
agger nasi but below the orbital roof)
• III – Type III frontal cell (this cell extends into the
frontal sinus but is contiguous with agger nasi
• cell)
• IV – Type IV frontal cell lies completely within
the frontal sinus
Type 2 frontal cells
 
Type 3 frontal cell
Type 4 frontal cell
situated entirely
within the right
frontal sinus &
bordered by the
anterior frontal
sinus wall. The
type 4 cell does
not abut the
agger nasi cell.
Variants – obstruct FSDP
• Agger nasi
• Supraorbital cells
•Frontal recess is bounded anteriorly by agger
nasi cell and posteriorly by suprabullar air cell-
can compromise frontal sinus drainage pathway.
Supraorbital/suprabullar ethmoid cell
Pneumatized
crista galli
may
communicate
with the
frontal recess
and can
potentially
obstruct the
frontal sinus
ostium
Inter–frontal sinus septal cell
arises from the frontal sinus septum
Fess Failure
• Frontal sinusitis after FESS
• The uncinate process may be attached to:
• Lamina papyracea or agger nasi (lamina
terminalis). The frontal recess opens
directly into middle meatus,medial to UP
The lamina terminalis is the blind pouch
between the UP and lamina papyracea
• Skull base or middle turbinate. The frontal
recess drains into the ethmoid
infundibulum lateral to UP
• Orbital floor or inferior aspect of the lamina
papyracea (silent sinus syndrome,
atelectatic uncinate process). This variant
is associated with hypoplastic, ipsilateral
Sphenoidal sinus
• They remain undeveloped until age
three.By age seven the pneumatisation
has reached the sell turcica.By age 18 the
sinuses have reached full size
• Optic nerve and internal carotid arteries
traverse its lateral wall.
• Pneumatisation can extend as far as the
clivus,the sphenoid wings and the foramen
magmum
•sphenoid sinus
(SpS) and the
sphenoethmoidal
recess marked by
the (*).
•(AE: anterior ethmoid, PE:
posterior ethmoid, CC: carotid
canal, NS: nasal septum)
•(FR: foramen
rotundum,
• VC: vidian
canal,
•OC: optic
canal,
• AC: anterior
clinoid,
• PtP: pterygoid
plate)
sphenoethmoidal recess
variations of intersinus septum
• 1.A single midline intersinus septum
extending on to the anterior wall of sella.
• 2. Multiple incomplete septae may be
seen
• 3. Accessory septa may be present.
These could be seen terminating on to the
carotid canal or optic
3 types
Concal-children-5%
presellar-23%
Sellar-67%
Pneumatized
lateral
recesses of
sphenoid
sinus (SpS)
and foramen
rotundum
(FR) bulging
into the sinus
pneumatized pterygoid plates
FESS-a roadmap to the otorhinolaryngologist prior to
surgery.
There are two main questions that the radiologist should
address:
1. Are there anatomic features on the computed
tomography (CT) scan that predispose the patient to
impaired mucociliary clearance?
2. Are there anatomic features that pose a surgical
hazard?
Checklist-Systematic
• the extent of sinus opacification,
• patency of sinus drainage pathways,
• anatomic variants(obstruct drainage
pathways &limit Surgical access),
• critical variants, (CP,LP,SphS
dehiscence)and
• condition of soft tissues of the brain, neck,
and orbits.-extrasinus extent of the
disease
References
• http://www.ajronline.org/doi/full/10.2214/AJR.0
• http://dx.doi.org/10.1148/rg.291085118

Sinus anatomy and variants

  • 1.
    Paranasal Sinuses Anatomy& Variants- A Systematic Approach To Imaging Before FESS Dr Priyanka Vishwakarma
  • 2.
    Four Paired Sinuses– • Ethmoid • Maxillary • Frontal • Sphenoid • The sinuses develop as outgrowths from the nasal cavity; hence they all drain directly or indirectly into the nose
  • 3.
    Meati • superior meatusdrains the posterior ethmoid air cells and the sphenoid sinus via the sphenoethmoidal recess • middle meatus drains the frontal sinus via the nasofrontal duct/frontal recess, the maxillary sinus via the maxillary ostium, and the anterior ethmoid air cells via the ethmoid cell ostia. • The nasolacrimal duct drains into the inferior meatus • spheno-ethmoidal recess, above and posterior to the superior concha, receives the opening of the sphenoidal sinus
  • 4.
    Osteomeatal unit Common DrainagePathway Of The Ant. Group of Sinuses.-Coronal scan The osteomeatal unit (OMU) includes the • uncinate process • Ethmoid infundibulum • Ethmoid Bulla • Middle Meatus • Hiatus Semilunaris Most common site of inflammatory disease
  • 6.
    Nasal Septum • CommonestVariation-DNS • Pneumatization • Inferior Turbinate-Hypertrophy
  • 7.
    Maxillary sinus • Largestand most constant pns. • Pyramidal in shape- base is usually medial, with its apex in the zygomatic process of the maxilla • Base -lat nasal wall-ostium • Posterior wall/Temporal- pterygomaxillary fossa • Roof -Formed by roof of the orbit- infra orbital foramen containing the infra orbital vessels and nerves • Ant-maxilla facial surface
  • 8.
    Variants Related Tothe maxillary Sinus Concha bullosa Paradoxical curvature of MT Haller Cell Septae Dehiscent floor-1st ,2nd Molar Infn
  • 9.
    Concha Bullosa •pneumatization of thebulbous portion of the middle turbinate •An enlarged concha bullosa may impede drainage from the middle meatus
  • 10.
    Haller cells • Ethmoidalair cells belonging to the anterior ethmoidal group. • Also known as the infra orbital cells • Adhere to roof of maxillary sinus forming the lat wall of infundibulum • Enlargement of these cells can impede the maxillary sinus drainage
  • 13.
    Paradoxical curvature- canpotentially narrow or obstruct the infundibulum or middle meatus.
  • 14.
    bony septum inthe maxillary sinuses (MS)
  • 15.
    Ethmoidal sinus • basallamellae of the middle turbinate separates the ethmoid into anterior and posterior groups with different drainage patterns • Ant cells form 1st followed by the posterior cells.They are not seen on radiographs until age one • Lateral wall-Formed by the orbital plate of the ethmoid,known as the lamina papyracea.this wall could be dehiscent- route of spread of infection
  • 17.
    . The transitionof thick fovea to the thin portion of roof of ethmoid medially is very weak-injuries during surgery leading on to CSF leak.
  • 18.
  • 19.
    vertical attachment ofbasal lamellae to anterior skull base
  • 20.
    Related Variants • Acell above the orbit is called a supraorbital cell.found in 15% of pt • Invasion of an ethmoid cell into the floor of the frontal sinus is called a frontal cell(type 1-4)
  • 21.
    Agger Nasi Cell termAgger in Latin - Mound/Eminence. • anterior to the antero superior attachment of the middle turbinate and borders the frontal recess. • its size may directly influence the patency of the frontal recess. These agger nasi cells are commonly involved in the pathogenesis of the formation of frontal • mucocele. • It is the 1st prominent anatomical landmark encountered in FESS
  • 23.
    ethmoid bulla • superiorto uncinate processes. • Ethmoid bulla air cells are part of the anterior ethmoid sinuses and make up the superior border of the hiatus semilunaris. • variable pneumatization.
  • 25.
    Onodi Cells • posteriorethmoidal cells extending supero lateral to the sphenoid sinus & can either abut to or impinging upon the optic nerve. • When these Onodi cells abut or surround the optic nerve, the nerve is at risk when surgical excision of these cells is performed. • It is also a potential cause of incomplete sphenoidectomy.
  • 28.
    Olfactory fossa • Thedepth of the olfactory fossa is determined by the height of the lateral lamella of the cribriform plate, which is part of the ethmoid bone. In 1962, Keros had classified the depth of the olfactory fossa into three types, that is, • Keros type I: <3 mm, • type II: 4-7 mm , and • type III: 8-16 mm.-Kero type III is most vulnerable to iatrogenic injury.
  • 29.
  • 30.
    Keros type II-4 to 7 mm
  • 31.
  • 32.
    Frontal sinus • differentsizes, are separated by a bony septum that is usually deviated to one side • Asymmetry btw the two sinuses frequent • It may be absent in 5% of cases • Best seen on Saggital images • Among the para nasal sinuses this sinus shows the maximum variations.
  • 33.
    • The postwall separates the frontal sinus from the anterior cranial fossa and is much thinner. • Floor is formed by the upper part of the orbits • Frontal sinus appear very late in life. Infact they are not seen in skull films before the age of 6. • Nasofrontal duct-misnomer • Frontal Recess
  • 34.
    • the frontalrecess can be conceptualized as an inverted funnel within the anterior ethmoid complex through which the frontal sinus drains. • The tip or apex of the funnel lies at the frontal sinus ostium, -sagittal CT images as a “waist” located at the level of the nasofrontal process. • The frontal recess typically flares out inferiorly and posteriorly to form the wider opening of the funnel. • inferior portion of the frontal sinus (commonly referred to as the frontal infundibulum) + the frontal ostium + frontal recess = frontal sinus outflow tract
  • 35.
    the right frontal recess(dotted red line), which is bounded anteriorly and laterally by an agger nasi cell (white arrow) and a type 1 frontal cell (black arrow), medially by the middle turbinate
  • 36.
       posteriorly by the ethmoidbulla and bulla lamella. The nasofrontal process (arrowhead in b) forms the floor of the frontal sinus and demarcates the level of the frontal sinus ostium
  • 37.
  • 38.
    Frontal outflow tractshows conglomeratization of air cells. Types of frontal sinus air cells include: • I – Type I frontal cell (a single air cell above agger nasi) • II – Type II frontal cell (a series of air cells above agger nasi but below the orbital roof) • III – Type III frontal cell (this cell extends into the frontal sinus but is contiguous with agger nasi • cell) • IV – Type IV frontal cell lies completely within the frontal sinus
  • 39.
  • 40.
  • 41.
    Type 4 frontalcell situated entirely within the right frontal sinus & bordered by the anterior frontal sinus wall. The type 4 cell does not abut the agger nasi cell.
  • 42.
    Variants – obstructFSDP • Agger nasi • Supraorbital cells
  • 43.
    •Frontal recess isbounded anteriorly by agger nasi cell and posteriorly by suprabullar air cell- can compromise frontal sinus drainage pathway.
  • 44.
  • 45.
    Pneumatized crista galli may communicate with the frontalrecess and can potentially obstruct the frontal sinus ostium
  • 46.
    Inter–frontal sinus septalcell arises from the frontal sinus septum
  • 47.
    Fess Failure • Frontalsinusitis after FESS
  • 48.
    • The uncinateprocess may be attached to: • Lamina papyracea or agger nasi (lamina terminalis). The frontal recess opens directly into middle meatus,medial to UP The lamina terminalis is the blind pouch between the UP and lamina papyracea • Skull base or middle turbinate. The frontal recess drains into the ethmoid infundibulum lateral to UP • Orbital floor or inferior aspect of the lamina papyracea (silent sinus syndrome, atelectatic uncinate process). This variant is associated with hypoplastic, ipsilateral
  • 50.
    Sphenoidal sinus • Theyremain undeveloped until age three.By age seven the pneumatisation has reached the sell turcica.By age 18 the sinuses have reached full size • Optic nerve and internal carotid arteries traverse its lateral wall. • Pneumatisation can extend as far as the clivus,the sphenoid wings and the foramen magmum
  • 51.
    •sphenoid sinus (SpS) andthe sphenoethmoidal recess marked by the (*). •(AE: anterior ethmoid, PE: posterior ethmoid, CC: carotid canal, NS: nasal septum)
  • 52.
    •(FR: foramen rotundum, • VC:vidian canal, •OC: optic canal, • AC: anterior clinoid, • PtP: pterygoid plate)
  • 53.
  • 54.
    variations of intersinusseptum • 1.A single midline intersinus septum extending on to the anterior wall of sella. • 2. Multiple incomplete septae may be seen • 3. Accessory septa may be present. These could be seen terminating on to the carotid canal or optic
  • 55.
  • 56.
    Pneumatized lateral recesses of sphenoid sinus (SpS) andforamen rotundum (FR) bulging into the sinus
  • 57.
  • 58.
    FESS-a roadmap tothe otorhinolaryngologist prior to surgery. There are two main questions that the radiologist should address: 1. Are there anatomic features on the computed tomography (CT) scan that predispose the patient to impaired mucociliary clearance? 2. Are there anatomic features that pose a surgical hazard?
  • 59.
    Checklist-Systematic • the extentof sinus opacification, • patency of sinus drainage pathways, • anatomic variants(obstruct drainage pathways &limit Surgical access), • critical variants, (CP,LP,SphS dehiscence)and • condition of soft tissues of the brain, neck, and orbits.-extrasinus extent of the disease
  • 60.

Editor's Notes

  • #8 The maxillary sinus, the largest of the sinuses, is within the body of the maxilla. It is shaped like a pyramid; its base is usually medial, with its apex in the zygomatic process of the maxilla. Its roof is the floor of the orbit, and its floor is the alveolar process of the maxilla. The maxillary sinus drains into the middle meatus by means of the semilunar hiatus. The floor of the maxillary sinus is slightly below the level of the nasal cavity, and it is related to the upper teeth
  • #13 If present, a Haller cell can cause narrowing of the infundibulum and maxillary sinus ostuim potentially causing obstruction
  • #17 Roof of ethmoid
  • #31 olfactory fossae are deeper and the lateral lamellae are longer
  • #32 olfactory fossae are very deep
  • #36 Normal frontal recess anatomy. Coronal (a) and sagittal (b) CT images show the right frontal recess (dotted red line), which is bounded anteriorly and laterally by an agger nasi cell (white arrow) and a type 1 frontal cell (black arrow), medially by the middle turbinate, and posteriorly by the ethmoid bulla and bulla lamella. The nasofrontal process (arrowhead in b) forms the floor of the frontal sinus and demarcates the level of the frontal sinus ostium.
  • #38 Sagittal image shows frontal sinus ostium (*) and arrow pointing to the superior compartment of the FSDP. (FS: frontal sinus, AG: agger nasi, PE: posterior ethmoid, SpS: sphenoid sinus, MT: middle turbinate, IT: inferior turbinate)
  • #40 Type 2 frontal cells. (a, b) Coronal (a) and parasagittal (b) drawings show a tier of type 2 frontal cells (blue areas) sitting atop an agger nasi cell. (c, d) Coronal (c) and sagittal (d) CT images show a tier of two type 2 frontal cells (arrows) sitting directly atop an agger nasi cell (*).
  • #41 Type 3 frontal cell. Coronal (a) and parasagittal (b) drawings show a type 3 frontal cell (blue area) sitting atop an agger nasi cell. The type 3 cell extends superiorly from the frontal recess through the frontal ostium and into the frontal sinus.
  • #42  Type 4 frontal cell. (a, b) Coronal (a) and parasagittal (b) drawings show a type 4 frontal cell (blue area) situated entirely within the right frontal sinus and bordered by the anterior frontal sinus wall. The type 4 cell does not abut the agger nasi cell. (c, d) Coronal (c) and sagittal (d) CT images show an opacified type 4 frontal cell (arrow) in the frontal sinus.
  • #45 Axial CT image shows the supraorbital ethmoid cell (arrow), which is clearly differentiated from the frontal sinus (*) by a discrete bony septum.
  • #46 pneumatized crista galli. Pneumatized crista galli may communicate with the frontal recess and can potentially obstruct the frontal sinus ostium
  • #47 which arises from the frontal sinus septum
  • #52 Axial image shows sphenoid sinus (SpS) and the sphenoethmoidal recess marked by the (*). (AE: anterior ethmoid, PE: posterior ethmoid, CC: carotid canal, NS: nasal septum)
  • #53 Coronal image of the sphenoid sinus (SpS) and neighboring structures. (FR: foramen rotundum, VC: vidian canal, OC: optic canal, AC: anterior clinoid, PtP: pterygoid plate)