At IDKD from Walter Kucharczyk
Key points
• Known the anatomy
• Identify pituitary gland and sellar turcica
• Determine epicenter of lesion
– Is the sellar enlarged?
– If not, above, below or lateral to the sella
• Then analyzed the signal
Anatomic approach to
Ddx
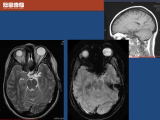
Pituitary gland
• Adenoma
• Rathke cleft cyst
• Craniopharyngioma
Pituitary stalk
• Rathke
• Craniop
• Germinoma
• EG
• metastasis
Optic tract, infundibulum, tuber cinerum and mammary body
Optic chiasm
• Glioma
• Demyelination
Optic tract, infundibulum, tuber cinerum and mammary body
Hypothalamus
• Glioma
• Hamartoma
• Germinoma
• EG
Optic tract, infundibulum, tuber cinerum and mammary body
Cavernous sinus wall
• Meningioma
• Inflammation: TB, Fungus, Sarcoidosis
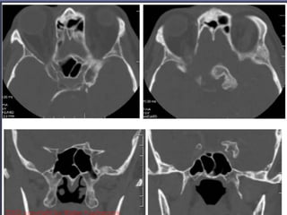
Sphenoid sinus
• SCCA
• Chordoma
• Sarcoma
• Metastasis
• Inflammation: sinusitis
Carotid artery
• Aneurysm
• Ectasia
• Anomalies
Cavernous sinus
• Mostly venous spaces
• Schwannoma
• Inflammation
– Pseudotumor, Tolosa Hunt syndrome
• Carotid cavernous fistula
Pituitary gland
• Adenoma
• Rathke cleft cyst
• Craniopharyngioma
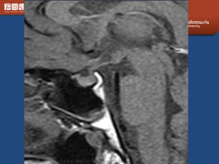
Pituitary microadenoma
• <10 mm.
• T1 sensitivity 70%, T2w sense 60%
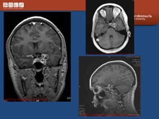
Pituitary Macroadenoma
• Usually soft
• Elevate diaphargma selle
• Often contrasted at diaphargmatic hiatus as
tumor growth into the suprasellar cistern
• Snowman shape
• *commonest large tumor of the skull base
Meningioma
• Different shape from adenoma
• Diaphargma sellar = depressed
• #Craniopharyngioma
– Ddx dermoid (less likely)
• Bimodal distribution 5-15, 40-60
• 2 types
– Adamantinomatous : child with cal
– papillary
• Benign but adhere tightly
• Suprasellar, intrasellar, 3rd vent, sphenoid sinus,
nasopharynx
• Cystic solid, calcified mixed
Pituitary apoplexy
• Predisposing by: pre-existing macroadenoma,
pregnancy (Shehan syndrome)
• Associated with SDH, SAH, visual loss, acute
pituitary insufficiency.
Rathke cleft cyst
• Very common and very few are symptomatic
• Importation to not over treat them
#Germinoma
• 5-25 yrs
• AKA dysgeminoma, intracranail seminoma
• MC at stalk and hypothalamus and pineal
region
• Crawls along floor of the 3rd vent
• Ddx: LCH, craniopharyngioma
• Adult: sarcoid, lymphoma
• #LCH
– Ddx sarcoidosis
• If no posterior bright spot  Look at the stalk
and hypothalamus
• Must inject contrast
• DI
– If normal at first
– Please follow up.
# chordoma
• Locally agreesive never metas
• Clivus, upper C, lower L, sacrum
• 70% at the midline
• Expansile, calcification, bright T2
• Ddx chondrosarcoma
• #meningioma with hyperostosis
• The larger part signal drop on T1FS+Gd  fat
marrow of the bone
Olier disease
• Enchondromatosis
• No hereditary sporadic skeletal disorder
• Ddx
– Maffucci = plus hemangioma
– Metachondromatosis = plus osteochondromas
Sellar and parasellar tumor

Sellar and parasellar tumor