Ürolojik Taş Hastalıkları
Dr.Mehmet Tatlı
• Epidemioloji
• Patofizyoloji
• Klinik
• Tanı
• Tedavi
Epidemiyoloji
•
•
•
•
•
•
•
•

%5 prevelans
Erkek/kadın: 2/1
Ortalama 30 lu yaşlarda sıktır
Beyazlar zencilere göre iki kat daha fazla
Pediatrik hastalarda
metabolik bozukluklar (50%)
Ürolojik bozukluklar (20%)
Enfeksiyon(15%)
• Böbrek taşı hikayesi olanların 1/3 den fazlası ilk
bir yılda,%50 si beş yıl içinde tekrar eder
• Üriner süpersaturasyon
• Kristallerin büyümesini engelleyen idrar
• proteinlerinin azalması (sitrat,Mg,Zn )
• Üriner staz(fiziksel anomali,nörojenik
• mesane, kateter takılması,yabancı cisim
• varlığı gibi)
• Genetik geçiş
• Böbrek taşlarına bağlı gelişen ağrı; ureterin
tıkanmasına ve yanısıra olan hidronefrozun
gerota fasya üzerine yaptığı basınca bağlı
olarak oluşan yan ağrısıdır.
• Renal pelvise oturan izole küçük taşlar bası
yapmadığı sürece ağrı oluşturmazlar.
• Tıkanma yapmayan ama hareket eden bir taşta
ağrı yapar.
• Tıkanma olduğu zaman renal kan akımı ve
renal pelvik basınç artar. Üç saat sonunda
renal kan akımı sabit kalır. Renal pelvik basınç
artmaya devam eder.
• Tedavi edilmezse 3 hafta sonunda irreversibl
hasar olur.
• Kreatinin hemen yükselmez , diğer böbrek
kompanze eder
• En sık tıkanan bölge
• Üreteropelvik bileşkedir , 1cm lik üreterin 2-3mm
‘e daraldığı yer;
• pelvic brim, üreterin iliak damarları çaprazladığı
bölge
• Ureterovesical bileşke(UVJ) mesanenin
muskuler yapısndan dolayı
• En çok tıkanan bölgelerdir.
•
• Taşın boyutuna göre <5mm den küçük taşlar
%98 oranında hiçbir şeye gerek kalmadan 4
hafta içinde kendiliğinden düşer.
• 5-7mm nin %60’ı
• >7mm %20 si 4 hafta içinde düşer.
• Direk grafide görülen boyutundan %20 daha
büyüktürler.
• BT de %88 gerçek boyutu hesaplanır.
KLİNİK
• Akut şiddetli ağrı; ağrı yanlardan
başlar,abdomenin anteroinferiorundan
testisler veya labium majuslara ilerler.
• Bulantı, kusma, terleme eşlik edebilir.
• Hasta semptomlardan rahatlayacağı pozisyon
arayışı içindedir.
•
•
•
•
•

rebound (29%),
defans (61%),
rijidite (8%).
Bulantı-kusma(50%).
Adrenerjik yanıta bağlı olarak taşikardi ,
hipertansiyon ve diaforez görülebilir.
• Hematuria 85% hastada görülür.
Dikkat
• Abdominal aort anevrizması ve renal arter
enfarktı renal taş hastalığını taklit edebilir.
• 60 yaş üzerinde taş çok sık değildir
• Taş , hipotansiyon genelde yapmaz.
Tanı
•
•
•
•
•
•

Labaratuvar:
Gebelik testi
Tit: enfeksiyon varsa kültür de al
Çocuklarda enfeksiyon olmazsada kültür al
Üre-kreatinin
Wbc yüksek olması enfeksiyon varlığını
desteklemez , enfeksiyonsuz renal taş
hastalığında yükselebilir.
Görüntüleme
•
•
•
•
•

Taşın varlığını kanıtlar
Diğer tanıları dışlatır
komplikasyonIarı öngörür.
Taşı lokalize eder
Tedaviyi öngörür.
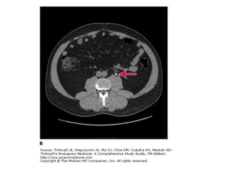
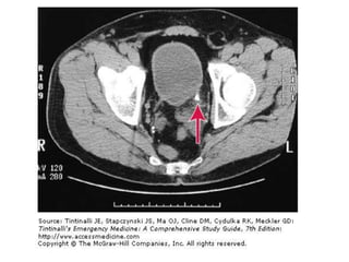
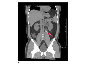
BT
• Non-kontrast helikal BT sensitif ve spesifiktir
ULTRASON
• BT için uygun olmayan hastalar usg ile
değerlendirilebilir.
• Tanıya yardımcıdır.
• Hidronefroz için %98 sensitiftir
• Usg de hidronefroz denilenlerin %22 si normal
variasyon , kist yada dolu mesaneye bağlıdır.
• Hızlı kristalloid infizyonu yanlış pozitif
hidroureter gösterebilir.
• Doppler görüntülemesiyle renal kan akımı
hakkında fikir verir.
• Ucuz , güvenli ve yan etkisiz bir yöntemdir.
• Obezlerde görüntüleme güçtür.
• Operatöre çok bağlıdır.
• Acil tıp hekimlerinin renal usg başarısı
yüksektir.
Ayırıcı Tanı
TEDAVİ
•
•
•
•

Ağrı kontrolü
Bulantı-kusma kontrolü
Dehitratasyonun engellenmesi
Enfeksiyon varsa tedavisi
• Forse ıv hidrasyonun minimal ıv hidrasyon la
karşılaştırılmasında taşın düşmesine ve
semptomların gerilemesine anlamlı bir
farkının olmadığı ortaya çıkmıştır.
• NSAID ler ureter üzerinde prostaglandin
sentezini azaltarak ağrıyı keserler, ilk
tercihtirler.
• IV yolla verilirse PO ve IM ye göre daha hızlı
etki eder.
• GİS ten kanama riski olanlarda ve renal
yetmezliği olanlarda dikkatli kullanılmalıdır.
• Narkotikler iyi ağrı kesiciidirler fakat ağrının
nedenini ortadan kaldırmazlar.
• Renal kolikte narkotiklerde bulantı-kusma
yaparlar.
• Metpamid renal kolikte çalışması yapılan tek
antiemetiktir.
• Medikal taş düşürme tedavileri:
•
-blokörler taş düşürme oranını arttırır, düşürme zamanını azaltır,
3.3 gün tedavi süresini kısaltır.
• Ortalama %4 yan etki görülür(hipotansiyon) iyi tolere edilir.
• Faydası üreterin distali ile sınırlıdır çünkü alfa reseptörler buradadır.
• tamsulosin (0.4 milligrams PO günlük 4 haftaya kadar),
• terazosin (5 to 10 milligrams günlük)
• Ve doxazosin (4 milligrams günlük) te etkilidir.
• Kalsiyum kanal blokörleri özellikle de nifedipin (30 mg / gün) 8
haftaya kadar kullanılabilir.
• Steroidlerin de etkili olduğu gösterilmiştir.
YATIŞ KRİTERLERİ
ÖZEL DURUMLAR
• Gebelerde de yan ağrısı ve hematuri ile
gelirler.
• Ultrason en uygun görüntülemedir.
• Fakat gebelerin çoğunda fizyolojik hidronefroz
gözlenebilir.
• Uterusunda basısına bağlı olarak hidronefroz
sağda daha fazla görülür.
• Literatüre göre 5cGy nin altındaki değerlerde
spontan anomali yok denilmektedir.
• 10 cGy ile birlikte fetal anomali riski %5
artmaktadır.
• BT 2.2 ile 2.5 cGy
• Çocuklara renal taş hastalığı varlığında
metabolik hastalık araştırmak için
yönlendirmek gerekir.
• İdrar kültürü istenmelidir.
üRolojik taş hastalıkları mehmet tatli
üRolojik taş hastalıkları mehmet tatli
üRolojik taş hastalıkları mehmet tatli
üRolojik taş hastalıkları mehmet tatli

üRolojik taş hastalıkları mehmet tatli

  • 1.
  • 2.
    • Epidemioloji • Patofizyoloji •Klinik • Tanı • Tedavi
  • 3.
    Epidemiyoloji • • • • • • • • %5 prevelans Erkek/kadın: 2/1 Ortalama30 lu yaşlarda sıktır Beyazlar zencilere göre iki kat daha fazla Pediatrik hastalarda metabolik bozukluklar (50%) Ürolojik bozukluklar (20%) Enfeksiyon(15%)
  • 4.
    • Böbrek taşıhikayesi olanların 1/3 den fazlası ilk bir yılda,%50 si beş yıl içinde tekrar eder • Üriner süpersaturasyon • Kristallerin büyümesini engelleyen idrar • proteinlerinin azalması (sitrat,Mg,Zn ) • Üriner staz(fiziksel anomali,nörojenik • mesane, kateter takılması,yabancı cisim • varlığı gibi) • Genetik geçiş
  • 6.
    • Böbrek taşlarınabağlı gelişen ağrı; ureterin tıkanmasına ve yanısıra olan hidronefrozun gerota fasya üzerine yaptığı basınca bağlı olarak oluşan yan ağrısıdır. • Renal pelvise oturan izole küçük taşlar bası yapmadığı sürece ağrı oluşturmazlar. • Tıkanma yapmayan ama hareket eden bir taşta ağrı yapar.
  • 7.
    • Tıkanma olduğuzaman renal kan akımı ve renal pelvik basınç artar. Üç saat sonunda renal kan akımı sabit kalır. Renal pelvik basınç artmaya devam eder. • Tedavi edilmezse 3 hafta sonunda irreversibl hasar olur. • Kreatinin hemen yükselmez , diğer böbrek kompanze eder
  • 8.
    • En sıktıkanan bölge • Üreteropelvik bileşkedir , 1cm lik üreterin 2-3mm ‘e daraldığı yer; • pelvic brim, üreterin iliak damarları çaprazladığı bölge • Ureterovesical bileşke(UVJ) mesanenin muskuler yapısndan dolayı • En çok tıkanan bölgelerdir. •
  • 9.
    • Taşın boyutunagöre <5mm den küçük taşlar %98 oranında hiçbir şeye gerek kalmadan 4 hafta içinde kendiliğinden düşer. • 5-7mm nin %60’ı • >7mm %20 si 4 hafta içinde düşer. • Direk grafide görülen boyutundan %20 daha büyüktürler. • BT de %88 gerçek boyutu hesaplanır.
  • 10.
    KLİNİK • Akut şiddetliağrı; ağrı yanlardan başlar,abdomenin anteroinferiorundan testisler veya labium majuslara ilerler. • Bulantı, kusma, terleme eşlik edebilir. • Hasta semptomlardan rahatlayacağı pozisyon arayışı içindedir.
  • 11.
    • • • • • rebound (29%), defans (61%), rijidite(8%). Bulantı-kusma(50%). Adrenerjik yanıta bağlı olarak taşikardi , hipertansiyon ve diaforez görülebilir. • Hematuria 85% hastada görülür.
  • 12.
    Dikkat • Abdominal aortanevrizması ve renal arter enfarktı renal taş hastalığını taklit edebilir. • 60 yaş üzerinde taş çok sık değildir • Taş , hipotansiyon genelde yapmaz.
  • 14.
    Tanı • • • • • • Labaratuvar: Gebelik testi Tit: enfeksiyonvarsa kültür de al Çocuklarda enfeksiyon olmazsada kültür al Üre-kreatinin Wbc yüksek olması enfeksiyon varlığını desteklemez , enfeksiyonsuz renal taş hastalığında yükselebilir.
  • 15.
    Görüntüleme • • • • • Taşın varlığını kanıtlar Diğertanıları dışlatır komplikasyonIarı öngörür. Taşı lokalize eder Tedaviyi öngörür.
  • 16.
    BT • Non-kontrast helikalBT sensitif ve spesifiktir
  • 20.
    ULTRASON • BT içinuygun olmayan hastalar usg ile değerlendirilebilir. • Tanıya yardımcıdır. • Hidronefroz için %98 sensitiftir • Usg de hidronefroz denilenlerin %22 si normal variasyon , kist yada dolu mesaneye bağlıdır. • Hızlı kristalloid infizyonu yanlış pozitif hidroureter gösterebilir.
  • 22.
    • Doppler görüntülemesiylerenal kan akımı hakkında fikir verir. • Ucuz , güvenli ve yan etkisiz bir yöntemdir. • Obezlerde görüntüleme güçtür. • Operatöre çok bağlıdır. • Acil tıp hekimlerinin renal usg başarısı yüksektir.
  • 23.
  • 24.
  • 25.
    • Forse ıvhidrasyonun minimal ıv hidrasyon la karşılaştırılmasında taşın düşmesine ve semptomların gerilemesine anlamlı bir farkının olmadığı ortaya çıkmıştır.
  • 26.
    • NSAID lerureter üzerinde prostaglandin sentezini azaltarak ağrıyı keserler, ilk tercihtirler. • IV yolla verilirse PO ve IM ye göre daha hızlı etki eder. • GİS ten kanama riski olanlarda ve renal yetmezliği olanlarda dikkatli kullanılmalıdır.
  • 27.
    • Narkotikler iyiağrı kesiciidirler fakat ağrının nedenini ortadan kaldırmazlar. • Renal kolikte narkotiklerde bulantı-kusma yaparlar. • Metpamid renal kolikte çalışması yapılan tek antiemetiktir.
  • 28.
    • Medikal taşdüşürme tedavileri: • -blokörler taş düşürme oranını arttırır, düşürme zamanını azaltır, 3.3 gün tedavi süresini kısaltır. • Ortalama %4 yan etki görülür(hipotansiyon) iyi tolere edilir. • Faydası üreterin distali ile sınırlıdır çünkü alfa reseptörler buradadır. • tamsulosin (0.4 milligrams PO günlük 4 haftaya kadar), • terazosin (5 to 10 milligrams günlük) • Ve doxazosin (4 milligrams günlük) te etkilidir. • Kalsiyum kanal blokörleri özellikle de nifedipin (30 mg / gün) 8 haftaya kadar kullanılabilir. • Steroidlerin de etkili olduğu gösterilmiştir.
  • 29.
  • 30.
    ÖZEL DURUMLAR • Gebelerdede yan ağrısı ve hematuri ile gelirler. • Ultrason en uygun görüntülemedir. • Fakat gebelerin çoğunda fizyolojik hidronefroz gözlenebilir. • Uterusunda basısına bağlı olarak hidronefroz sağda daha fazla görülür.
  • 31.
    • Literatüre göre5cGy nin altındaki değerlerde spontan anomali yok denilmektedir. • 10 cGy ile birlikte fetal anomali riski %5 artmaktadır. • BT 2.2 ile 2.5 cGy
  • 32.
    • Çocuklara renaltaş hastalığı varlığında metabolik hastalık araştırmak için yönlendirmek gerekir. • İdrar kültürü istenmelidir.