RESPIRATORY FAILURE
IN PEDIATRICS
DEFINITION
“When oxygenation and ventilation are
insufficient to meet the metabolic
demands of thebody”
Hypoxic respiratory failure
- PaO2 < 60mmHg
Hypercarbic respiratory failure
- PaCO2 >50mmHh
Why does respiratory distress occur
more often in paediatric population ?
1. Obligate nose breather
2. Small airway
3.Disproportionally bigger tongues
4. Long, floppy epiglottis, Larynx is higherin neck
5. Cone shaped, Cricoid ring is the narrowest
point of the pediatric airway
Tracheal Position
6.Children have large tonsils and adenoids
7.The process of alveolization continues beyond the infant age
20-50 million alveoli at birth in a term infant
300 million by the age of 8 years
8.Collateral ventilation through the
pores of Kohn and Lambert’s canal
are not well developed in the early
years
Schittny, J. C. (2017). Development of the lung. Cell and Tissue Research,
367(3), 427–444. doi:10.1007/s00441-016-2545-0
9.
10.Ossification of the rib cage,
calcification of the costal
cartilage, and development of
muscular mass develops
progressively untiladulthood
11.development of Respiratorycenter
Apnea
Irregular
Respiration
What Causes
Respiratory Failure?
Respiratory failure
Intrinsic and acquired
lung disease
Airway disorder Neuromuscular
dysfunction
• Pneumonia
• Bronchiolitis
• Asthma
• ARDS secondary
to sepsis or
trauma
• Aspiration
• Pulmonary
edema
• Pneumothorax
• Anaphylaxis
• Bacterial
tracheitis
• Croup
• Diphteria
• Epiglottitis
• Foreign body
aspiration
• Subglottic
stenosis
• Airway malacia
• Myopathy
• Neuropathy (
eg: GBS)
• NMJ disorder
(eg: Myasthenia
gravis)
• CNS
dysfunction (
travel, infection,
seizure
• Diaphragmatic
paralysis
Preterm infant
• Respiratory distress syndrome
• Lung immaturity
• Congenital pneumonia
• Acquired lung disease :
nosocomial pneumonia,
bronchiolitis
• Sepsis
Newborn ( term)
• Congenital pneumonia
• Meconium aspirations
• Malformations : lung
hypoplasia, CDH
• Acquired lung diseases:
nosocomial pneumonia,
bronchiolitis
Infant ( 1 -12 months)
• Sepsis
• Infectious pneumonia
• Acute bronchiolitis
• Non infectious pneumonia
- Inhalational injury
• Croup
Preschool age
• Sepsis
• Infectious pneumonia
• Non infectious pneumonia
- Foreign body aspiration
- inhalational injury
- drowning
• Trauma
• Circulatory arrest
Identifying
respiratory failure
Signs&Symptomsof Respiratory
Failure
DIAGNOSIS
Investigations
• Full blood count
• Arterial Blood Gases
• Imaging : CXR
• Respiratory secretions for microbiologic,
cytologic and histological testing .
BloodGasAbnormalities
in Respiratory Failure
oTraditionally defined as
respiratory dysfunction resulting
in PaO2<60mmHg(room air)
PaCO2 >50mmHg(acidosis)
and Arterial Oxygensaturation,
SaO2<9
0
%
o The patient’s general state, respiratory effort,
and potential for impending exhaustion are
more important indicators than blood gas
values.
BloodGasAbnormalities
in Respiratory Failure
• PaO2 Low,PaCO2 Normal
“Non ventilatory orNormocapnic
or TypeIRespiratory Failure”
• PaO2 Low,PaCO2 High
“Ventilatory or Hypercapnic or
TypeI
IRespiratory Failure”
Pathophysiology
Reference :Kevin E J Gunning, Pathophysiology of Respiratory
Failure and Indications for Respiratory Support ,page 6
MANAGEMENT
TreatUnderlying cause and
pathophysiology
Adequate Oxygenation
Extrathoracic airway support
•Nasopharyngeal/oropharyngeal airway
•Inspired humidity to liquefy secretions
•Heliox to decreased work of breathing
•Systemic corticosteroids to decreased airway edema
•Nebulised hypertonic saline
•Nebulised epinephrine
OxygenAdministration
• Leastinvasiveand mosteasilytoleratedtherapy
for hypoxic respiratoryfailure
• Oxygen nasal cannula2-4L/min
• Simple face mask5-10L/min,FiO20.35-0.65
• Partial rebreathingmask
• Non-rebreathing mask
Positive-PressureRespiratory
support
• High-flow nasal cannula (4-16L/min)
• Continuous positive airway
pressure (CPAP)
• Bilevel Positive Airway Pressure(BiPaP)
Patients who benefit from
non-invasive ventillation
•Asthmatics
•Patients with neuromuscular weakness
Indication for Intubation
“failure of oxygenation or ventilation despite
noninvasive respiratory support or patients’
inability to protect their own airway”
Ventillation strategies
•Conventional mechanical ventilation
•High flow oscillatory ventilation
•Inverse ratio ventillation
Other management
•Inhaled nitric oxide
•Extracorporeal membrane oxygenation
Weaning off ventillator
•Requires improvement of underlying pathophysiology
•Patients must be on acceptably low ventilator settings prior to
extubation
•Must be neurologically stable to spontaneously breathe and protect
their airways
•May need to transition to noninvasive support after extubation until
their respiratory insufficiency has resolved
•A minority of patients will be aunable to wean from ventilator and
progress to chronic respiratory failure requiring tracheostomy and long
term mechanical ventillation
Take home message
•Acute respiratory failure is a common cause of admission with
favourable outcomes for most patients
•Prognosis is mainly dependent on the underlying etiology of the
impairment
•The main principle of treatment is to treat the underlying cause and
ensure adequate oxygenation
•A minority of will have long term respiratory impairment which will
require ongoing support and care
References
•Nelson’s text book of paediatrics 21st edition
• Bergeson, P. S., & Shaw, J. C. (2001). Are Infants Really Obligatory Nasal
Breathers? Clinical Pediatrics, 40(10), 567–569.
https://doi.org/10.1177/000992280104001006
•Tsui, B. C. H. (2011). Physiological considerations related to the pediatric
airway. Canadian Journal of Anesthesia/Journal Canadien D’anesthésie,
58(5), 476–477. doi:10.1007/s12630-011-9464-z
•Kundra P, Krishnan H (2005) . Airway management in Chidlren. Indian
Journal of anaesthesia 49(4): 300-307
•Schittny, J. C. (2017). Development of the lung. Cell and Tissue Research,
367(3), 427–444. doi:10.1007/s00441-016-2545-0
References
•Kevin E J Gunning, Pathophysiology of Respiratory Failure
and Indications for Respiratory Support ,page 6

Respiratory failure paediatrics

  • 1.
  • 2.
    DEFINITION “When oxygenation andventilation are insufficient to meet the metabolic demands of thebody”
  • 3.
    Hypoxic respiratory failure -PaO2 < 60mmHg Hypercarbic respiratory failure - PaCO2 >50mmHh
  • 4.
    Why does respiratorydistress occur more often in paediatric population ?
  • 5.
    1. Obligate nosebreather 2. Small airway 3.Disproportionally bigger tongues
  • 6.
    4. Long, floppyepiglottis, Larynx is higherin neck
  • 7.
    5. Cone shaped,Cricoid ring is the narrowest point of the pediatric airway
  • 8.
  • 9.
    6.Children have largetonsils and adenoids
  • 10.
    7.The process ofalveolization continues beyond the infant age 20-50 million alveoli at birth in a term infant 300 million by the age of 8 years
  • 11.
    8.Collateral ventilation throughthe pores of Kohn and Lambert’s canal are not well developed in the early years
  • 12.
    Schittny, J. C.(2017). Development of the lung. Cell and Tissue Research, 367(3), 427–444. doi:10.1007/s00441-016-2545-0
  • 13.
  • 14.
    10.Ossification of therib cage, calcification of the costal cartilage, and development of muscular mass develops progressively untiladulthood
  • 15.
  • 16.
  • 17.
    Respiratory failure Intrinsic andacquired lung disease Airway disorder Neuromuscular dysfunction • Pneumonia • Bronchiolitis • Asthma • ARDS secondary to sepsis or trauma • Aspiration • Pulmonary edema • Pneumothorax • Anaphylaxis • Bacterial tracheitis • Croup • Diphteria • Epiglottitis • Foreign body aspiration • Subglottic stenosis • Airway malacia • Myopathy • Neuropathy ( eg: GBS) • NMJ disorder (eg: Myasthenia gravis) • CNS dysfunction ( travel, infection, seizure • Diaphragmatic paralysis
  • 19.
    Preterm infant • Respiratorydistress syndrome • Lung immaturity • Congenital pneumonia • Acquired lung disease : nosocomial pneumonia, bronchiolitis • Sepsis Newborn ( term) • Congenital pneumonia • Meconium aspirations • Malformations : lung hypoplasia, CDH • Acquired lung diseases: nosocomial pneumonia, bronchiolitis
  • 20.
    Infant ( 1-12 months) • Sepsis • Infectious pneumonia • Acute bronchiolitis • Non infectious pneumonia - Inhalational injury • Croup Preschool age • Sepsis • Infectious pneumonia • Non infectious pneumonia - Foreign body aspiration - inhalational injury - drowning • Trauma • Circulatory arrest
  • 21.
  • 22.
  • 24.
  • 25.
    Investigations • Full bloodcount • Arterial Blood Gases • Imaging : CXR • Respiratory secretions for microbiologic, cytologic and histological testing .
  • 26.
    BloodGasAbnormalities in Respiratory Failure oTraditionallydefined as respiratory dysfunction resulting in PaO2<60mmHg(room air) PaCO2 >50mmHg(acidosis) and Arterial Oxygensaturation, SaO2<9 0 % o The patient’s general state, respiratory effort, and potential for impending exhaustion are more important indicators than blood gas values.
  • 27.
    BloodGasAbnormalities in Respiratory Failure •PaO2 Low,PaCO2 Normal “Non ventilatory orNormocapnic or TypeIRespiratory Failure” • PaO2 Low,PaCO2 High “Ventilatory or Hypercapnic or TypeI IRespiratory Failure”
  • 28.
    Pathophysiology Reference :Kevin EJ Gunning, Pathophysiology of Respiratory Failure and Indications for Respiratory Support ,page 6
  • 34.
  • 35.
  • 36.
    Extrathoracic airway support •Nasopharyngeal/oropharyngealairway •Inspired humidity to liquefy secretions •Heliox to decreased work of breathing •Systemic corticosteroids to decreased airway edema •Nebulised hypertonic saline •Nebulised epinephrine
  • 37.
    OxygenAdministration • Leastinvasiveand mosteasilytoleratedtherapy forhypoxic respiratoryfailure • Oxygen nasal cannula2-4L/min • Simple face mask5-10L/min,FiO20.35-0.65 • Partial rebreathingmask • Non-rebreathing mask
  • 38.
    Positive-PressureRespiratory support • High-flow nasalcannula (4-16L/min) • Continuous positive airway pressure (CPAP) • Bilevel Positive Airway Pressure(BiPaP)
  • 39.
    Patients who benefitfrom non-invasive ventillation •Asthmatics •Patients with neuromuscular weakness
  • 40.
    Indication for Intubation “failureof oxygenation or ventilation despite noninvasive respiratory support or patients’ inability to protect their own airway”
  • 41.
    Ventillation strategies •Conventional mechanicalventilation •High flow oscillatory ventilation •Inverse ratio ventillation
  • 42.
    Other management •Inhaled nitricoxide •Extracorporeal membrane oxygenation
  • 43.
    Weaning off ventillator •Requiresimprovement of underlying pathophysiology •Patients must be on acceptably low ventilator settings prior to extubation •Must be neurologically stable to spontaneously breathe and protect their airways •May need to transition to noninvasive support after extubation until their respiratory insufficiency has resolved •A minority of patients will be aunable to wean from ventilator and progress to chronic respiratory failure requiring tracheostomy and long term mechanical ventillation
  • 44.
    Take home message •Acuterespiratory failure is a common cause of admission with favourable outcomes for most patients •Prognosis is mainly dependent on the underlying etiology of the impairment •The main principle of treatment is to treat the underlying cause and ensure adequate oxygenation •A minority of will have long term respiratory impairment which will require ongoing support and care
  • 45.
    References •Nelson’s text bookof paediatrics 21st edition • Bergeson, P. S., & Shaw, J. C. (2001). Are Infants Really Obligatory Nasal Breathers? Clinical Pediatrics, 40(10), 567–569. https://doi.org/10.1177/000992280104001006 •Tsui, B. C. H. (2011). Physiological considerations related to the pediatric airway. Canadian Journal of Anesthesia/Journal Canadien D’anesthésie, 58(5), 476–477. doi:10.1007/s12630-011-9464-z •Kundra P, Krishnan H (2005) . Airway management in Chidlren. Indian Journal of anaesthesia 49(4): 300-307 •Schittny, J. C. (2017). Development of the lung. Cell and Tissue Research, 367(3), 427–444. doi:10.1007/s00441-016-2545-0
  • 46.
    References •Kevin E JGunning, Pathophysiology of Respiratory Failure and Indications for Respiratory Support ,page 6

Editor's Notes

  • #3 Inability of the respiratory system to support oxygenation , ventillation
  • #4  Hypoxic respiratory failure is defined by an arterial partial pressure of oxygen (PaO2) below 60 mm Hg, which typically produces an arterial oxygen saturation of 90%. Acute hypercarbic respiratory failure is defined by an acute increase in PaCO2 greater than 50 mm Hg. It is typically associated with a respiratory acidosis pH of <7.35.
  • #6 Obligate nasal breathers during the first few months of life, narrow nosetrils that are easily obstructed, proportionally larger tongue situated entirely in the oropharynx
  • #7 The higher and smaller larynx at level (C3 – C4 at birth, C4 – C5 at 2 years of age, C5 – C6 by adulthood . In younger age the thick omega shaped epiloggttis ( compared to adults which is short , broad and flat) and soft palate interlocks during feeding allowing milk to pass throught to the stomach via parallel faucium channels while breathing via nose. Of interest, however, is the following explanation put forward by anatomist, Dr. Crelin, over two decades agoThe larynx and epiglottis subsequently descends in the first year of life away from the soft palate creating a common passage for air , food and liquid and the base of the tongue eventually becomes the anterior wall of the oropharynx. descent of the larynx during infancy and early childhood allows the wide range of sounds that enable effective communication The position of the tongue entirely within the oral cavity
  • #8 Larynx is funned shaped until about the age of 6 – 8 years because of the cricoid is the narrowest part of the airway
  • #9 - bifurcation of trachea in children at T3 level (in adults is T6) - right mainstem bronchus in children has a steeper slope than in adults  - in children, the trachea is shorter and the angle of the right bronchus at bifurcation is more acute than in the adult. When you are resuscitating or suctioning, you must allow for these.  - the angle of the right bronchus is significant in foreign body aspiration because the object is more likely to go to that side and more prone to atelectasis
  • #10  lymph tissue (tonsils, adenoids) grows rapidly in early childhood; atrophies after age 12, may obstruct airways when enlarged
  • #11 Immatirity of respiratory system, up to
  • #12 Pores of Kohn ( interalveolar connection ) develop between 3 – 4 eyars along with the canals of lambert ( connection between bronchioles and adjacent alveoli) during the porecess of thinning of the alveolar septa
  • #13 The development of lungs continues until the age of about 7 years and up to adulthood
  • #14 Smaller airways in infants are to narrow further when they undergo edema, decreasing more cross sectional area compared to adult and sicne resistance is the directly proportional to the inverse of the radius to the power of 4 , the air that flows through it is subject to greater resistance to flow.
  • #15 This means there is less recoil in the rib cage of an infant, and their muscle bulk is lower , with the diaphragm having a higher percentage of type II muscle fibres ( fast twitch low oxidative) which are more prone to fatigability.
  • #16 The respiratory center is immature and prone to apnea and bradypnea
  • #24 Reference : http://depts.washington.edu/uwgenped/outpatient-clinical-guidelines (26/11/2015) although tachycardia is often an underappreciated sign of impending respiratory failure. Increased work of breathing manifests as retractions, grunting, head bobbing, nasal flaring, or belly breathing. Children with respiratory failure due to neuromuscular weakness or central nervous system dysfunction may not exhibit typical signs of increased respiratory effort, thus a higher index of suspicion is warranted; an arterial blood gas . Auscultation of the lung fields is helpful for both diagnosis and management. Prolonged exhalation or audible wheeze is suggestive of lower airway bronchoconstriction. Localized findings suggest a focal pneumonia or foreign body aspiration. Absence of breath sounds can be due to pneumothorax, pleural effusion, or dense consolidation of lung. Rales in all lung fields is commonly due to pulmonary edema or diffuse interstitial edema. Stridor is generated by turbulent airflow secondary to narrowing in the upper airway and may occur in croup, external airway compression, and high foreign body aspiration. Altered mental status may be a cause or consequence of respiratory failure. Patients who are hypercarbic present with somnolence, whereas hypoxic patients are often agitated due to the lack of oxygen delivery to the end organs including the central nervous system. Children with traumatic brain injury and a Glascow Coma Score of 8 or less should be promptly intubated for airway protection.
  • #27 TWC maybe elevated with the differentials guiding the diagnosis. Polycythaaemia may be apparent with chronic hypoxia The gold standard bronchoscopy with bronchoalveolar lavage (BAL) is the most invasive method but has the advantages of obtaining the deepest lung sample and visualizing the airways. If an infectious source of respiratory failure is suspected, the secretions are sent for the following laboratory tests: gram stain, acid fast bacillus stain, cell count, bacterial culture (possibly also fungal and mycobacterial culture), and/or viral polymerase chain reaction. BAL can also diagnose pulmonary hemorrhage, pulmonary hemosiderosis, and aspiration pneumonitis
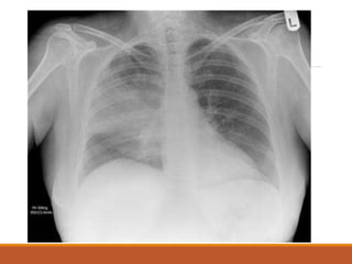
  • #31 bronchopneumonia
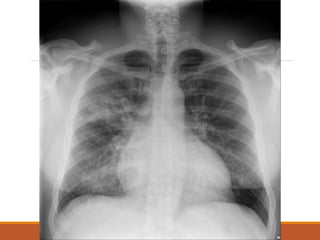
  • #32 Lobar pneumonia
  • #33 ards
  • #38 For partial upper-airway obstruction (eg, from anesthesia or acute tonsillitis), place a nasopharyngeal airway to provide a passageway for air. [3] An oropharyngeal airway can be used temporarily in the unconscious patient.
  • #40 HFNCO2 is a popular mode of respiratory support for infants and small children. At high flow rates the air delivered by nasal cannula is heated and humidified to avoid complications and for patient comfort. The physiological definition of “high flow” is a flow rate greater than minute ventilation. Minute ventilation is equal to respiratory rate times tidal volume. HFNCO2 improves acute respiratory failure by providing high FiO2 to treat hypoxia and by providing positive pressure in the alveoli and small airways to help reduce work of breathing.7 Although continuous positive pressure is supplied, HFNCO2 should not be used as a substitute for CPAP where an actual end-expiratory pressure can be targeted. Mask CPAP and BiPAP are classic modalities for noninvasive ventilation. CPAP provides a single pressure throughout the respiratory cycle to maintain lung expansion. Patients can breathe spontaneously around the CPAP pressure. CPAP enhances ventilation to areas with low V/Q ratios and improves respiratory mechanics. Furthermore, CPAP may be of benefit in locales where invasive ventilatory support is not available. BiPAP is a synchronized mode of ventilation that provides an inspiratory pressure to assist with ventilation in addition to the lower continuous positive end-expiratory pressure. CPAP and BiPAP are usually delivered through a tight-fitting mask that covers the nose or nose and mouth. The masks needed for CPAP and BiPAP can lead to facial skin breakdown and aspiration of secretions or emesis
  • #41 Certain patient populations clearly benefit from noninvasive ventilation to try to stave off intubation and mechanical ventilation.9 Patients with asthma are notoriously difficult to ventilate after intubation due to air trapping from persistent bronchospasm. Conversely, they often respond well to BiPAP with decreased work of breathing.9-11 BiPAP is also helpful in patients with neuromuscular weakness, as it aids both inspiration and maintenance of lung recruitment. The use of noninvasive ventilation modalities has shown promise in reducing the incidence of intubation.11
  • #42 Intubation is generally safe but there is a 6% risk of severe complication, including a 1.7% chance of cardiac arrest.12 Possible difficult airways should be identified early, including craniofacial abnormalities, difficulty opening mouth, contraindication to extending neck or prior history of difficult intubation
  • #43 Most children with acute respiratory failure are managed with conventional mechanical ventilation after intubation. Strategies for mechanical ventilation drastically changed after data revealed a 25% relative reduction in mortality in adults with ARDS when ventilated with a low-tidal volume strategy (6 mL/kg vs 12 mL/kg).14 Some pediatric studies have replicated similar benefits.15,16 Patients with hypoxia requiring greater than 0.4 FiO2 are treated with higher peak end expiratory pressure to maintain appropriate oxygenation while limiting toxic O2 exposure to the lungs.17 Children who fail conventional mechanical ventilation due to hypoxia can be transitioned to high-frequency oscillatory ventilation (HFOV). This ventilator uses a high mean airway pressure to maintain lung recruitment while using very small tidal volumes. HFOV is theorized to prevent ventilator-induced lung injury by avoiding high dynamic pressures in noncompliant lungs. In a study conducted before the era of low tidal volume ventilation, HFOV was shown to improve clinical outcomes in children.18 Two large adult trials have shown no mortality benefit of HFOV and possibly more adverse events Inverse ratio ventilation During positive pressure ventilation, the inspiratory phase is prolonged in excess of the expiratory phase. This increases mean airway pressure and improves oxygenation during severe acute lung disease. Inverse ratio ventilation is a nonphysiologic pattern for breathing; therefore, these patients are administered heavy sedation and paralysis.
  • #44 Inhaled nitric oxide selectively dilates the pulmonary arterioles and is a well-established treatment for pulmonary hypertension. It also has been used in patients with ARDS to improve V/Q matching in the absence of pulmonary hypertension. Inhaled nitric oxide will distribute to the well-ventilated areas of the lung and preferentially dilate the arterioles in those areas. Local blood flow increases, resulting in better V/Q matching. Inhaled nitric oxide has shown to improve oxygenation and extracorporeal membrane oxygenation (ECMO)-free survival but not mortality in adult patients with ARDS.21 Prone positioning has been used based on physiological arguments to improve V/Q matching. The adult data are mixed and the one large pediatric study did not show any clinical benefit.22,23 In patients who cannot be oxygenated or ventilated by conventional or advanced mechanical ventilation techniques, ECMO may be required. For refractory hypoxia or hypercarbia, the preferred modality is veno-venous extracorporeal membrane oxygenation (VV-ECMO). Venous blood is removed from the body with subsequent clearance of CO2 and oxygenation via an external artificial membrane, and returned to the right side of the heart. Currently, 64% of children placed on VV-ECMO will survive.24