Repair the complete denture
Dr. Waseem Bahjat Mushtaha
Specialized in prosthodontics
Repair
1-Repairing fractured dentures:
Complete dentures occasionally break when in
function, or when dropped onto a hard surface.
Often fractured dentures can be repaired. The key
of repair of all fractured dentures is the accurate
reassembly of the broken parts. When the pieces
are not reassembled properly, the denture will
neither fit nor occlude properly.
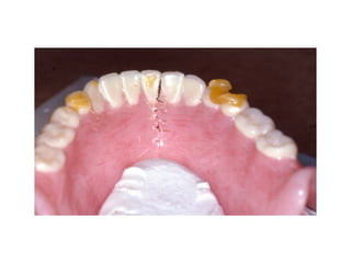
A- dentures fractured in two halves
This type of fracture often occurs in the
midline of maxillary denture. It usually
occurs due to poor fit or in a denture
exhibiting occlusal errors. In these cases the
repaired denture will re-fractured if repair is
hot followed by relining to improve fit or
remounting to improve occlusion. Midline
fracture may also occur due to accidental
dropping of the denture on a hard surface.
If the repair does not involve replacing lost or
broken teeth.
1(The broken parts are assembled, and fixed
together with sticky wax applied on the
fracture line to maintain both pieces in the
correct position.
2(The denture may be reinforced by
attaching old burs or wooden sticks to the
occlusal surfaces of the teeth.
3(Any undercut on the denture surface
should be blocked out to facilitate
removing, and replacing the denture from
the cast. The cast is then poured into the
denture, using quick setting stone.
4(After the cast has set, the denture is
removed from the cast and the edges of the
fracture are beveled toward the polished
durface to increase the bonding surface.
5(The polished surface of the fractured
pieces is also reduced to create a groove 8-
10mm wide along the fracture line. In the
palate of maxillary denture, dovetail cuts
may be made to strengthen the repair joint.
6(After painting the cast with tin-foil
substitute , the pieces of the denture are re-
assembled on the cast self curing acrylic
resin is used to repair the denture. Alternate
applications of the monomer and polymer
are applied until the area to be repaired is
overfilled to allow for finishing.
7(The denture is then secured to the cast with rubber
band and cured in pressure curing until for 30
minutes containing water at 100F. This will
prevent porosity in the repair material. The cured
denture is then finished and polished.
8(An alternate method is to the fractured line using
plate wax contoured to the desired form. The cast
is then flasked and wax is eliminated in the usual
manner. A dough mix of self cure resin is then
packed and the parts of the flask are assembled
and placed uder the press for two hours. The
denture is then deflasked, finished and polished in
te usual manner.
B- Repairing fractures dentures with
missing section
Repairing a fractured denture with a missing
section requires a new impression made
with the denture placed in the patient's
mouth and upper and lower teeth, in the
maximum intercuspation. After pouring the
cast, autopolymerization resin is then
painted on the cast to replace the missing
portion.
2-Repairing dentures with fractured
or missing teeth.
A- Acrylic anterior tooth replacement:
Lack of bonding between the denture base resin and
tooth allows an acrylic tooth to be dislodged from
the denture. This occurs if wax residue remains on
the ridge lap of the denture teeth, due to improper
wax elimination or if tin-foil substitute was
painted on the ridge portion of the teeth and was
not removed before packing.
Replacement of an acrylic anterior teeth
requires the fractured teeth to be first
removed by grinding it with a round bur,
the denture lingual area adjacent to the lost
tooth is then reduced using a fissure bur, to
provide space for repair resin to be added
later, whereas the labial margin is left intact
to preserve esthetic. A replacement tooth
indentical in size, shape and shade, to the
one removed is selected and placed in
proper alignment and secured in position
with sticky wax.
When the tooth position is acceptable, a
plaster index is made onto the labial surface
of the tooth to be replaced and on the labial
surfaces of adjacent teeth on each side. This
index is made to record the position of the
tooth to be replaced. After the plaster set,
the index is then separated and coated with
tin-foil substitute. The tooth is also
separated and all traces of sticky wax are
removed. Shallow grooves may be placed
on the ridge lap of the tooth to provide for
an additional bonding area.
The index and tooth are then re-assembled on
the denture.
Autopolymerizing resin is used to attach the
tooth, alternate applications of monomer
and polymer are made from the lingual or
palatal side until the area lingual to the
tooth to be replaced is slightly overfilled.
The denture is placed in a pressure curing
until containing 100F water for 30 minutes.
After curing, the labial index is removed
and the denture is polished in the usual
manner.
Setting up of anterior teeth in
deferent arch relationship
a- class II Angle's classification:
this condition presents a retruded relationship of the mandible
to the maxilla. It is difficult to obtain correct cuspid
relations due to smaller cuspid to cuspid width of the lower
arch when compared to the upper arch.
The following modifications may be done:
1-the maxillary incisors are set-up slightly posterior i.e. on
the crest of the ridge rather than labial to the ridge.
2-the maxillary anterior are set up with their incisal edges
inclined more palatal than their necks.
3-in serve cases it is essential to leave out either a lower
central obtain the correct cuspid relationships.
b-Class III Angle's classification:
this condition presents a protruded relationship of
the mandible to the maxilla. This necessitates
positioning of anterior teeth in an edge to edge
relationship.
Cuspid relation may be obtained by:
1-setting-up maxillary anterior teeth more anterior
to the crest of the ridge than usual.
2-setting up the maxillary anterior with their incisal
edges inclined more labial than their necks.
3-the use of slightly larger anterior teeth.
4-addition of a lower central or lateral incisor.
Setting up of posterior teeth in
deferent arch relationship
a- class II Angle's classification:
The upper posterior teeth will need to be set inside
ridge, in order that they may occlude with the
lower teeth. the lower teeth should never be set out
side the ridge.
Setting the upper teeth inside the ridge does not
produce the marked instability while setting the
lower teeth outside the ridge will lead to
instability.
b-Class III Angle's classification:
when this condition arises it is necessary to cross bite the posterior teeth.
This means that the teeth meet edge to edge or with upper cusps of the
upper lingual to the buccal cusps of the lower. This is much easer to
do if flat plane (cuspless) teeth are used but even then a considerable
amount of grinding may be necessary. It should be remembered that
the long axis of the teeth should usually be kept in line with an
imaginary line joining to the crests of the upper and lower ridges.
Lower teeth that are narrow buccolingually provide great advantages
in these cases as they prevent encroachment upon the tongue space. In
cases presenting marked inferior protrusion it is frequently necessary
to set the upper outside the ridge. If the retention of the denture is
satisfactory the trouble likely to result from this a midline fracture of
the denture due to its continual flexure. If the jaw relation requires the
teeth to be set far outside the ridge a metal plate should be
incorporated in the denture.

Repair المحاضرة 15

  • 1.
    Repair the completedenture Dr. Waseem Bahjat Mushtaha Specialized in prosthodontics
  • 2.
    Repair 1-Repairing fractured dentures: Completedentures occasionally break when in function, or when dropped onto a hard surface. Often fractured dentures can be repaired. The key of repair of all fractured dentures is the accurate reassembly of the broken parts. When the pieces are not reassembled properly, the denture will neither fit nor occlude properly.
  • 3.
    A- dentures fracturedin two halves This type of fracture often occurs in the midline of maxillary denture. It usually occurs due to poor fit or in a denture exhibiting occlusal errors. In these cases the repaired denture will re-fractured if repair is hot followed by relining to improve fit or remounting to improve occlusion. Midline fracture may also occur due to accidental dropping of the denture on a hard surface.
  • 4.
    If the repairdoes not involve replacing lost or broken teeth. 1(The broken parts are assembled, and fixed together with sticky wax applied on the fracture line to maintain both pieces in the correct position. 2(The denture may be reinforced by attaching old burs or wooden sticks to the occlusal surfaces of the teeth.
  • 5.
    3(Any undercut onthe denture surface should be blocked out to facilitate removing, and replacing the denture from the cast. The cast is then poured into the denture, using quick setting stone. 4(After the cast has set, the denture is removed from the cast and the edges of the fracture are beveled toward the polished durface to increase the bonding surface.
  • 6.
    5(The polished surfaceof the fractured pieces is also reduced to create a groove 8- 10mm wide along the fracture line. In the palate of maxillary denture, dovetail cuts may be made to strengthen the repair joint. 6(After painting the cast with tin-foil substitute , the pieces of the denture are re- assembled on the cast self curing acrylic resin is used to repair the denture. Alternate applications of the monomer and polymer are applied until the area to be repaired is overfilled to allow for finishing.
  • 7.
    7(The denture isthen secured to the cast with rubber band and cured in pressure curing until for 30 minutes containing water at 100F. This will prevent porosity in the repair material. The cured denture is then finished and polished. 8(An alternate method is to the fractured line using plate wax contoured to the desired form. The cast is then flasked and wax is eliminated in the usual manner. A dough mix of self cure resin is then packed and the parts of the flask are assembled and placed uder the press for two hours. The denture is then deflasked, finished and polished in te usual manner.
  • 24.
    B- Repairing fracturesdentures with missing section Repairing a fractured denture with a missing section requires a new impression made with the denture placed in the patient's mouth and upper and lower teeth, in the maximum intercuspation. After pouring the cast, autopolymerization resin is then painted on the cast to replace the missing portion.
  • 25.
    2-Repairing dentures withfractured or missing teeth. A- Acrylic anterior tooth replacement: Lack of bonding between the denture base resin and tooth allows an acrylic tooth to be dislodged from the denture. This occurs if wax residue remains on the ridge lap of the denture teeth, due to improper wax elimination or if tin-foil substitute was painted on the ridge portion of the teeth and was not removed before packing.
  • 26.
    Replacement of anacrylic anterior teeth requires the fractured teeth to be first removed by grinding it with a round bur, the denture lingual area adjacent to the lost tooth is then reduced using a fissure bur, to provide space for repair resin to be added later, whereas the labial margin is left intact to preserve esthetic. A replacement tooth indentical in size, shape and shade, to the one removed is selected and placed in proper alignment and secured in position with sticky wax.
  • 27.
    When the toothposition is acceptable, a plaster index is made onto the labial surface of the tooth to be replaced and on the labial surfaces of adjacent teeth on each side. This index is made to record the position of the tooth to be replaced. After the plaster set, the index is then separated and coated with tin-foil substitute. The tooth is also separated and all traces of sticky wax are removed. Shallow grooves may be placed on the ridge lap of the tooth to provide for an additional bonding area.
  • 28.
    The index andtooth are then re-assembled on the denture. Autopolymerizing resin is used to attach the tooth, alternate applications of monomer and polymer are made from the lingual or palatal side until the area lingual to the tooth to be replaced is slightly overfilled. The denture is placed in a pressure curing until containing 100F water for 30 minutes. After curing, the labial index is removed and the denture is polished in the usual manner.
  • 38.
    Setting up ofanterior teeth in deferent arch relationship a- class II Angle's classification: this condition presents a retruded relationship of the mandible to the maxilla. It is difficult to obtain correct cuspid relations due to smaller cuspid to cuspid width of the lower arch when compared to the upper arch. The following modifications may be done: 1-the maxillary incisors are set-up slightly posterior i.e. on the crest of the ridge rather than labial to the ridge. 2-the maxillary anterior are set up with their incisal edges inclined more palatal than their necks. 3-in serve cases it is essential to leave out either a lower central obtain the correct cuspid relationships.
  • 39.
    b-Class III Angle'sclassification: this condition presents a protruded relationship of the mandible to the maxilla. This necessitates positioning of anterior teeth in an edge to edge relationship. Cuspid relation may be obtained by: 1-setting-up maxillary anterior teeth more anterior to the crest of the ridge than usual. 2-setting up the maxillary anterior with their incisal edges inclined more labial than their necks. 3-the use of slightly larger anterior teeth. 4-addition of a lower central or lateral incisor.
  • 40.
    Setting up ofposterior teeth in deferent arch relationship a- class II Angle's classification: The upper posterior teeth will need to be set inside ridge, in order that they may occlude with the lower teeth. the lower teeth should never be set out side the ridge. Setting the upper teeth inside the ridge does not produce the marked instability while setting the lower teeth outside the ridge will lead to instability.
  • 41.
    b-Class III Angle'sclassification: when this condition arises it is necessary to cross bite the posterior teeth. This means that the teeth meet edge to edge or with upper cusps of the upper lingual to the buccal cusps of the lower. This is much easer to do if flat plane (cuspless) teeth are used but even then a considerable amount of grinding may be necessary. It should be remembered that the long axis of the teeth should usually be kept in line with an imaginary line joining to the crests of the upper and lower ridges. Lower teeth that are narrow buccolingually provide great advantages in these cases as they prevent encroachment upon the tongue space. In cases presenting marked inferior protrusion it is frequently necessary to set the upper outside the ridge. If the retention of the denture is satisfactory the trouble likely to result from this a midline fracture of the denture due to its continual flexure. If the jaw relation requires the teeth to be set far outside the ridge a metal plate should be incorporated in the denture.