Dr. Ayush Garg
High Grade Glioma
WHO CLASSIFICATION OF BRAIN TUMORS
(2007)
1. Tumors of neuroepithelial tissue
2. Tumors of cranial and paraspinal nerves
3. Tumors of meninges
4. Lymphomas & haemopoeitic neoplasms
5. Germ cell tumors
6. Tumors of sellar region
7. Metastatic tumors
TUMORS OF NEUROEPITHELIAL TISSUE
Neuroepithelial cells:progenitors to the CNS neurons and glia
1. Astrocytic tumors
2. Oligodendroglial tumors
3. Oligoastrocytomas
4. Ependymal tumors
5. Choroid plexus tumors
6. Other neuroepithelial tumours
7. Neuronal & mixed neuronal glial tumors
8. Tumours of pineal region
9. Embryonal tumors
GLIOMAS
CBTRUS Statistical Report: Primary Brain and Central Nervous
System Tumors Diagnosed in the United States in 2006-2010
GRADING OF ASTROCYTIC TUMORS
(WHO 2007)
Commonest – 1/3 of primary brain tumors
Astrocytic Tumours I II III I V
SEGA *
Pilocytic astrocytoma
*
Pilomyxoid astrocytoma *
Diffuse astrocytoma *
PXA *
Anaplastic astrocytoma *
GBM *
Giant cellGBM *
Gliosarcoma *
Astrocytic Tumors (WHO 2007)
WHO Age Site
Anaplastic Astro (Gr.III) 5th decade Cerebral hem, brainstem
GBM (Gr.IV) 6th decade Cerebral hemisphere
Challenge to Neuro-Oncologists
unique biology :
 Widely invasive / infiltrative
 Inherent tendency to recur
 Malignant progression on recurrence
 Resistance to conventional forms of
therapy - RT & CT
Biology of Gliomas
WHO 2007 classification - Mainstay of
Diagnosis
• Routine histopathology supplemented with
IHC
Type of glioma
– Astrocytic / oligo / oligoastro / ependymal
Grading of glioma
– Astrocytic tumors : grade I to IV
– Oligo / oligoastrocytic tumors : grade II & III
– Ependymal tumors : grade I to III
• MIB-1 proliferation index
– Very important supplement to histopathological
diagnosis in CNS tumors
– Very good guide to surgeons regarding patient
management
Feature Anaplastic
astro Gr III
GBM Gr
IV
High cellularity and
nuclear atypia
+ +
Mitosis + +
Necrosis - +
Microvascular
proliferation (multi
layered blood vessels)
- +
*GBM cellular heterogeneity - Multi nucleated cells, gemistocytes, granular
cells, lipidized cells
** Prominent MV proliferation &/or necrosis
Histopathological Features of Astrocytic Tumors
Immunohistochemical Features
• GFAP : +ve (degree of cytoplasmic positivity highly
variable- related to grade)
• S-100 : +ve (less specific glial marker; but +ve even in
gliomas in which GFAP is –ve / equivocal)
• CK : –ve (false +ve with AE1/AE3 cocktail; not with CAM 5.2)
• EMA : –ve
Proliferation Index
 MIB-1 labeling index correlates with grade
– Grade I : 1-2%
– Grade II: <5%
– Grade III: 5-10%
– Grade IV: >10-20%
•Increased cellularity compared
to grade II
•Nuclear atypia, pleomorphism
Anaplastic Astrocytoma Grade III
Increased cellularity & pleomorphism
Classical GBM Gr.IV
Mitosis
Large ischemic necrosisPseudopallisading
Variants of GBM
Giant cell
Gliosarcoma
Small cell
GBM with oligodendroglial
differntiation
GLIOBLASTOMA MULTIFORME
• Most common & most aggressive subtype of Glioma
• Typical symptoms: Headache
Cognitive changes
Seizures
Focal neurological deficits-weakness
• MRI - ring-enhancing lesion surrounding central area of
necrosis on T1 weighted imaging- significant FLAIR
hyperintensity surrounding the lesion
• Most cases- grow inexorably- finally refractory to all T/t
• Recent data- 5-yr survival of almost 30% in patients with
favourable prognostic factors (age< 50 yrs & high PS)
GLIOBLASTOMA MULTIFORME
• 75% of all high grade gliomas
• HP features- nuclear atypia, mitotic activity, vascular proliferation
and necrosis- any 3 of these
Psuedopallisading necrosis a histologic hallmark
• Typically diffusely infiltrative
• Prognosis poor - median survival approx. 1 year
• Predictors of Survival: Pre T/t patient & tumour character
Age at diagnosis
Tumor histology
KPS
Tumor location- frontal lobe tumours improved surv
Extent of surgical resection
Duration of neurologic symptoms
Radiographic response to treatment
Oligodendroglial tumors
WHO Grading (2007)
• Anaplastic oligodendroglioma:Grade III
De novo Progression from
Grade II oligo
Clinical Features
Features Oligo III
Incidence 1.2% of all primary brain
tumors (20 – 35%) of all oligo
tumors are grade III.
Age range Middle age adults. Distinctly
rare in children.
Peak age 45 – 50 yrs (approx 7-8 yrs
older than pts with grade II
oligo)
Sex Male predominance
Location Cerebral hemispheres
-Frontal lobe commonest (50-
65%)
-Parietal & temporal lobes
-Rare sites: cerebellum, basal
ganglia, brainstem, spinal cord
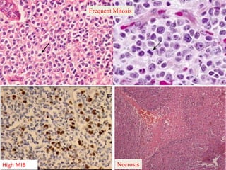
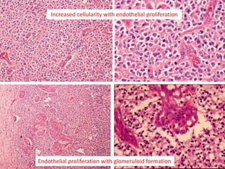
Histopathological features of
Oligodendroglioma Grade III
Increased cellularity with endothelial proliferation
Endothelial proliferation with glomeruloid formation
High MIB
Frequent Mitosis
Necrosis
Oligoastrocytoma
Oligoastrocytoma
• Diffusely infiltrating gliomas.
• Admixture of tumor cells with oligodendroglial and
astrocytic differentiation
• Two variants:
– Biphasic or compact variant : Oligo and astro
components in geographically distinct zones.
– Intermingled or diffuse variant : both oligo and
astro components intimately intermixed.
• Clinical features & radiology :
– overlap with pure astro and pure oligo tumors
 Anaplastic oligoastrocytoma grade III
 ? Oligoastrocytoma grade IV / GBM with
oligodendroglioma component (GBMO).
WHO grading (2007)
Feature Grade III
Oligoastro
Grade IV
Oligoastro/GBMO
Cellularity &
cytological atypia
Moderate to severe Moderate to severe
Mitosis Frequent Frequent
Endothelial prolif. Present Present
Necrosis Absent Present
Mean survival time 2 – 4 yrs ~ 22 mths
WHO Grading
p53 1p 19qATRX
• New age tool in patient care management
• Markers related to genetic/epigenetic alterations –
– deletions, amplifications, translocations, mutations, promoter methylation
• Diagnostic biomarkers
– Help in classification of tumor with ambiguous histological features.
– Allow for clinically useful subdivision of tumors within a given histological
tumor type.
• Prognostic biomarkers
– Correlate with disease free & overall survival.
– Provide information beyond that obtained by already established
prognostic parameters.
• Predictive biomarkers
– Provide information on response to given therapy which will help to
stratify patients into distinct therapeutic groups to allow for optimal t/t.
Molecular biomarkers
Molecular pathology
• Understand the role of molecular genetic alterations in the initiation and
progression of gliomas
• Identify different pathways of gliomagenesis - result of multiple complex
genetic alterations that accumulate with tumor progression
 1p/19q codeletion
 IDH1 mutation
 ATRX mutation
Markers for integrated diagnosis of
diffuse gliomas
1. Combined 1p/19q deletion
 Diagnostic
 Prognostic
 Predictive
1p/19q loss in Oligodendrogliomas
 Combined loss of 1p & 19q – characteristic mol sign of
oligodendroglial tumors (Gr II & III)
 60 to 90% of oligodendrogliomas
 40 to 60% of oligoastrocytoma
 5 to 15% of Astrocytomas
 Loss of 1p & 19q - favourable prognostic marker
 Longer survival (OS & PFS)
 Chemosensitivity (PCV & TMZ)
IDH1 Mutation
 Diagnostic
 Prognostic
• Isocitrate dehydrogenase 1
(cytosol) and 2 (mitochondrial)
• Participates in the citric acid
cycle, NADP+ dependant
• IDH1: hot spot mutation at
position 395 (amino acid
residue 132)
– Mostly G  A (substitution
of Arg  His)
IDH1 mutation
• Early lesions in gliomas
• Site : codon 132 of IDH1and codon 172 of
IDH2
• Majority grade II and III gliomas, and 20
GBMs, share IDH mutations
• USE
 Diagnostic value
-positively identifying diffuse gliomas
- distinguishing them from reactive gliosis
 Association with a better prognosis
IDH1 gene on chromosome 2q33.3 encodes for
isocitrate dehydrogenase . Catalyzes NADPH
production via oxidative decarboxylation of
isocitrate to alpha-KG in the Krebs citric acid cycle
Alpha Thalassemia/Mental Retardation
Syndrome X-linked gene (ATRX)
Diagnostic
? Prognostic
ATRX gene
• ATRX (α thalassemia/mental retardation syndrome X-
linked) and its binding partner DAXX (death-associated
protein 6) are central components of a chromatin
remodeling complex
• Normal functions
– Chromatin remodelling and nucleosome assembly
– Regulates incorporation of histone H3.3 into telomeric chromatin
– Plays crucial role in normal telomere homeostasis
New WHO guidelines: Diffuse gliomas
Other Important molecular bio-markers in
gliomas not yet integrated into classification
 Markers only of diagnostic use
 Tp53 gene mutation
 EGFR amplification / EGFR vIII mutant
 CDKN2A deletion / p16 loss
 LOH 10q / PTEN deletion
 BRAF Duplication/Fusion
 BRAF V600E mutation
 Marker only of prognostic / predictive use
 MGMT promoter methylation
 TERT mutation
Glioblastoma
• Histological features
Molecular profile – Primary GBMs
• No 1p/19q deletion
• No IDH1 mutation
• No ATRX loss
• Combination of 7p gain and 10q loss
• EGFR amplification
 GBM with ATRX loss and IDH mutation (15-18%) –
possibly Secondary GBMs
MGMT (O6 – Methyl Guanine-DNA-
Methyl Transferase) Promoter
Methylation
Prognostic and Predictive
Molecular Marker
• MGMT (O6 – Methyl Guanine-DNA-Methyl Transferase)
– DNA repair enzyme
– Gene located on Chr 10q26
– Inhibits killing of tumor cells by alkylating agents (chemotherapeutic
drugs)
• Alkylating agents Tumor cell death
Alkylates O6 position of guanine
Crosslinks adjacent
DNA strands
MGMT
Reverts alkyl gp.
addition
No lethal cross links
No tumor cell killing
DNA
New Prognostic Marker
TERT Mutation
TERT mutations
• Recurrent mutations in promoter region of telomerase reverse
transcriptase (TERT)
• Gene encoding catalytic subunit of telomerase
• Two most common mutations - C228T, C250T
– Associated with marked upregulation of TERT expression
C228T mutationC250T mutation
Principles of Brain Imaging
Treatment
GLIOBLASTOMA MULTIFORME
Surgery
• A critical component of T/t
• Survival: extensive resection> partial resection>surgical
decompression
• Devaux et al (1993)- Resection & RT- med. surv.-50.6 wks
• Laws et al (2003) - Biopsy & RT- med. surv.-33.0 wks
• Lacroix et al (2001) - Resection of at least 98% tumour tissue
increased med. surv. (13 vs 8.8 months)
• Maximal surgical resection- currently accepted standard of care esp.
for patients <65 yrs
• Larger resection-increased diagnostic accuracy and tissue for
molecular profiling- may prognosticate and guide T/t
• Gliomas- “ïnfiltrating propensities” without clear demarcation from
normal tissues
• Include T/t with potential to target focal disease and microscopic
tumour cells throughout brain
GLIOBLASTOMA MULTIFORME
Radiotherapy
• Diffusely infiltrate brain beyond gross tumour & recur locally
• RT- a critical component - focus T/t to areas of highest risk
• In current form - GTV and margin of several cms
• Benefit clearly seen since 1970s. Use dates back to 1925
• Shapiro and Young (1976)- CT vs CT+RT. RT 45Gy+15Gy
RT+CT(BCNU+VCR)- med. surv.- 44.5 wks
CT-med. surv - 30 wks
• Coop. Gr. Trials: Improved surv. for RT ± nitrosurea - med surv. - 9-12
months vs. half of this when RT excluded
• Radiosurgery- interest in past - abandoned after negative trials
• Current standard - total of appr. 60Gy / 30#
• Different total dose, fractionation and delivery methods tried
• Ext. beam RT+Temozolamide & adjuvant Temozolamide
Chemotherapy
Agents
GLIOBLASTOMA MULTIFORME
• Chemotherapy
• Stupp trial randomized 573 patients with newly diagnosed glioblastoma to
either RT alone (total 60 Gy in 30 fractions; control arm) or RT + TMZ (total 60
Gy in 30 fractions; experimental arm). Patients on the experimental arm
received temozolomide daily during RT at a dose of 75 mg/m2, followed by
monthly temozolomide at a dose of 150 to 200 mg/m2 on a 5 of every 28 days
schedule for 6 cycles.
• Patients randomized to the experimental arm had a median survival of 14.6
months as compared to 12.1 months for the control arm. The 2-year survival
of patients treated with radiation therapy plus chemotherapy was 26% as
compared to 6% for radiation alone.
• The survival benefit from the addition of temozolomide has now been
demonstrated for at least 5 years out from initial treatment and in all clinical
prognostic subgroups, including patients aged 60 to 70 years and in RPA
classes III through V. Five-year overall survival was 9.8% for patients who
received combined temozolomide and radiotherapy as compared to 1.9% for
those who received radiotherapy alone.
• The RTOG recently completed a 1,100-patient, randomized, phase III trial
comparing standard adjuvant temozolomide with a dose-dense schedule
in newly diagnosed glioblastoma.
• A total of 833 patients were randomized to receive either standard
therapy (temozolomide plus radiotherapy followed by 6 to 12 cycles of
temozolomide at a dose of 150 to 200 mg/m2 on a 5/28 day schedule) or
dose-intense temozolomide (temozolomide plus radiotherapy followed by
6 to 12 cycles of temozolomide at a dose of 150 mg/m2 on a 21/28 day
schedule).
• There was no statistical difference between the experimental and
standard arms for overall survival (16.6 vs.14.9 months, p = .63) or
progression-free survival (5.5 vs. 6.7 months, p = .06), indicating no
additional benefit from dose-intense temozolomide.
• The trial prospectively stratified for MGMT methylation status, and no
survival benefit with dose-intense therapy was identified in any subgroup.
As expected, the dose-intense arm resulted in increased toxicity.
• Thus, at the present time, there is no role for dose-intense temozolomide
for newly diagnosed glioblastoma patients.
• Other chemotherapeutic regimens, such as the combination of CPT-11
and temozolomide, have shown promising results in a phase II trial with an
objective response rate of 25% and 6-month progression-free rate of 38%.
When tested prospectively in a single-arm RTOG trial, the regimen did not
show improved survival.
• Buckner et al. reported on a phase III trial of carmustine with or without
cisplatin before and concurrently with radiotherapy and observed
increased toxicity but no survival benefit with the addition of cisplatin.
• Two large phase III, randomized clinical trials investigating the addition of
bevacizumab to the EORTC/NCIC regimen have completed accrual, and
results are pending.
• Anaplastic Oligodendroglioma/Oligoastrocytoma
• Anaplastic oligodendroglioma and oligoastrocytoma are generally
chemosensitive primarily based on high response rates to PCV in
several studies.
• Two large randomized trials, described earlier, investigated the use
of sequential chemoradiotherapy compared to radiotherapy alone
with chemotherapy reserved for salvage in patients with anaplastic
oligodendroglioma and oligoastrocytoma.
• With 11-year follow-up, no difference in survival was found for the
entire cohort, but for the codeleted patients, there was a near-
doubling of survival, establishing chemoradiotherapy as a standard
for this subset.
• Because of the significant toxicity associated with PCV, many
clinicians now use temozolomide, which is much better tolerated.
GLIOBLASTOMA MULTIFORME
Early Brain Tumour Study Group Studies
Dose Response to Radiation based on 3 BTSG studies (Walker et al 1979)
Med. Surv.(weeks) P-value
BTSG 6901( Walker et al, 1978)
Best supportive care 14
BCNU (Carmustine) 18.5 0.119
Radiation 35 0.001
Radiation+BCNU 34.5 0.001
BTSG 7201(Walker et al, (1980)
MeCCNU (Semustine) 31
Radiation 37 0.003
Radiaiton+BCNU 49 <0.001
Radiaiton+MeCCNU 43 <0.001
No RT ≤45 Gy 50 Gy 55 Gy 60 Gy
Med. Surv (wks) 18 13.5 28 36 42
P-value 0.346 <0.001 <0.001 <0.001
GLIOBLASTOMA MULTIFORME
Brachytherapy for GBM
• Retrospective data- technique promising- I-125 improved med. surv. from 17.9
months in RTOG Class III patients to 28 months. Improvement also in Class IV & V
(Videtic et al. 1999)
• Prospective studies failed to support this
Med. Surv.(weeks) P-Value
Brain Tumour Cooperative Group (Selker 2002)
60.2 Gy 58.5
60.2 Gy+I-125 (60Gy) 68.1 0.101
Princess Margaret (Laperriere et al,1998)
50 Gy 57.2
50Gy+I-125 (60Gy) 59.8 0.49
UCSF (Sneed et al, 1998)
59.4 Gy+I-125 (60Gy) 76
59.4 Gy+ I-125(60Gy) + Hyperthermia 85 0.02
GLIOBLASTOMA MULTIFORME
Radiation Volumes:
• Historically margins to cover potential microscopic disease beyond visualised
area of disease-typically 2cm around gross tumour
• Better imaging and sophisticated radiation delivery- variation in margin
• Partial brain RT is standard - no benefit of WBT in terms of survival and
control (Shibamoto et al, 1990)
• 90% recurrence within 2cm of known primary tumour - typically 2-3cm margin
• Using oedema to delineate microscopic disease imperfect- imaging that is
more specific to tumour better
• UCSF- MRI spectroscopy to define volume (Park et al. 2007)
• Univ. Michigan- 11C-methionine PET (Lee et al, 2007)
GLIOBLASTOMA MULTIFORME
Radiation Volumes:
• Historically margins to cover potential microscopic disease beyond visualised
area of disease
• Typically 2cm around gross tumour
• Better imaging and sophisticated radiation delivery-variation in margin
RTOG (old) RTOG (new) EORTC NABTT
Total Dose 46 Gy 46 Gy 60 Gy 46 Gy
Initial Margin 2 cm block 2cm dosimetric to PTV 2-3 cm dosimet. to PTV 1 cm dosimetric to PTV
Initial Vol. Def. T2/FLAIR T2/FLAIR T1+ Contrast T2/FLAIR
Boost + + - +
Boost Dose 14Gy 14 Gy 14Gy
Boost Margin 2.5cm block 2.5 cm dosimet. to PTV 1cm dosimetric to PTV
Boost Vol. Def. T1 + Contrast T1+ Contrast T1+ Contrast
IMRT allowed No No No Yes
Final Dose 60Gy 60 Gy 60 Gy 60 Gy
GLIOBLASTOMA MULTIFORME
Radiation Volumes:
• IMRT as a means to hypofractionate / deliver more dose centrally in some
centre
• Preliminary studies- RT over 2-4 weeks without concurrent CT comparable to
full 6 weeks T/t (Floyd et al, 2004; Sultanem et al 2004)
• With this RT can be given safely and effectively in a shorter period of time
• IMRT using conventional fractionation- incorporated into current studies
including studies by NABTT- uses 5mm margin for CTV and PTV both for initial
and boost volume
GLIOBLASTOMA MULTIFORME
Simulation:
• CT based simulation typically used
• Thermoplastic mask and contrast usually given
• GBM may progress after postoperative images acquired- contrast used in
simulation may help identify progression following surgery
• After CT simulation, fusion of MRI image if available
• Critical structures typically included-lenses, eyes, optic nerve, optic chiasm,
pituitary, hypothalamus, cochleas, brainstem
GLIOBLASTOMA MULTIFORME
Dose Limiting Structures:
• Given poor outcome - tumour coverage often not sacrificed to limit dose to
critical structures
• Improv. outcomes & subsets living ≥5yrs- reducing late tox. a concern
• Higher doses can be given to these- compromise of tumour coverage not
allowed
• Clinical judgement used to exclude these sensitive structures from PTV
• May exclude regions where natural barriers precludes microscopic tumour
extension- cerebellum, contralateral hemisphere, directly across from
tentorium cerebri & ventricles
GLIOBLASTOMA MULTIFORME
Dose Limitation to Critical Structures (RTOG 0525 study)
Structure Dose Limit
Optic Chiasm / Optic nerve 54 Gy
Retina 50 Gy
Brainstem 60 Gy
Lens Shielded from direct beam
Cervical Spine Shielded from direct beam
GLIOBLASTOMA MULTIFORME
Toxicity:
Incidence of radiation necrosis in GBM following 60Gy difficult to determine-
estimated to be 5% by extrapolation data
Structure Dose Limit
Likely(>10%)
Redness and soreness, hair loss, fatigue, lethargy, temporary
aggravation of symptoms- headaches, seizures, weakness
Less likely (<10%)
Mental slowing, Ear/ear canal reactions- short term hearing
loss, cataracts, behavioural change, nausea, vomiting, pituitary
related endocrine changes, severe damage to brain tissue,
dizziness, seizures, dry mouth altered taste
Rare but serious(<1%)
Optic injury- possibility of blindness, permanent hearing loss,
depression
GLIOBLASTOMA MULTIFORME
GBM in elderly / poor performance patients:
• RT beneficial in elderly - Keime-Guibert et al (2007) RT vs best supportive care- RT
improves survival- 81 patients ≥70 yrs- 50Gy or no RT- med. surv. 29.1 wks with RT
vs. 16.9 wks with no RT. No CT. Dose scheme may not have had an effect on
outcome
• Roa et al (2004)- 100 patients ≥ 60yrs- 60Gy/30# vs 40Gy/15# - med. surv 5.1 mon.
vs 5.6 mon. (p=0.57, NS)-no CT used. No diff. med OS
• RT 0525 allows elderly to enrol- presumption that elderly may benefit from
aggressive T/t incorporating CT
• Other studies to see if CT can benefit this subset
• Chamberlain et al (2007)- TMZ without RT being investigated in elderly
• In poor PS patients, KPS <60 - hypofractionated course of RT reasonable (Bauman
GS et al ,1994; Chang EL et al, 2003) - 30Gy/10# or 37.5Gy/15# WBT or focal RT 40-
45Gy/15# - to complete T/t early. These patients do poorly with med. surv. 7
months
GLIOBLASTOMA MULTIFORME
Radiation sensitizers:
• Motexafin Gadolinium (Xcytrin) - previously known as Gadolinium Texaphyrin
or Gd-Tex- redox mediator selectively targets tumour cells- generation of
reactive oxygen species and fixation of damage by radiation
• Phase I study in GBM - max tolerated dose 5mg/kg/day daily for 2 wks, then 3
times per week till RT completion. TMZ not given (Ford et al 2007)
• Results from a single-arm phase II trial, RTOG 0513, of MGd and
conventional therapy in newly diagnosed GBM showed no
survival improvement.
GLIOBLASTOMA MULTIFORME
FOLLOW-UP:
• MRI scan 4 weeks after completion of CT+RT, 2-3 months thereafter
• Pseudoprogression- one area of controversy- worsening FLAIR or T1 contrast
soon after RT completion- may resolve if followed long enough rather than
changing planned T/t course
• Controversial how to image pseudoprogression and distinguish from tumour
progression
• Cause unknown- seen more frequently after using aggressive upfront T/t-
acute T/t related changes including blood-brain barrier disruption and oedema
• While FU of GBM, pseudoprogression a D/d
GLIOBLASTOMA MULTIFORME
RE-IRRADIATION
• Studied both for local and distant recurrence
• Often given stereotactically
Study Authors
Nos of
Pts.
Med. Dose in Gy Med. Surv
U.. Michigan Kim et al. 1997 20 36 (30.6-50.4) 9 mo
Germany
Vordermark et al..
2005
14
30. Hypo. Stereo.
Med 5Gy/#
7.9 mo
U. Heidelberg Combs et al. 2005 53
36. Med #-2Gy
1mm mar. stereo
8 mo
U. Wisconsin Tome et al. 2007 99
LDR radiation. 0.2
Gy pulses 3 min
apart
6 mo 31% surv
• Recurrence
• Single-agent bevacizumab was approved by the FDA in
2009 for the treatment of recurrent glioblastoma.
• In a study of 49 glioblastoma patients, Kreisl et al. reported
objective response rate of 35%, 6-month progression-free
survival of 29%, 3.7-month median progression-free
survival, and 7.2-month median overall survival.
• Similarly, Friedman et al. reported an objective response
rate of 28%, 6-month progression-free survival of 43%,
median progression-free survival of 4.2 months, and
median overall survival of 9.2 months in a total of 85
patients.
FLOWCHART (NCCN Guidelines)
• Molecular markers in adult gliomas – well established
• Diagnostic use of molecular markers
– To improve the precision of histological diagnosis
– To refine current histomorphology based WHO classification in the future
• Prognostic / predictive markers
 1p/19q deletion
 IDH1 mutation
 MGMT promoter methylation
 TERT mutation
 Used in routine practice for patient management
 Very important role of the pathologist
CONCLUSION
FUTURE DIRECTIONS:
• Better molecular imaging techniques to define and follow areas of disease and
better understanding of biology of the disease
• Use of heavy particles- Carbon ions tried in Japan (Mizoe et al., 2007)
• Radioimmunotherapy with I-125-EGFR Mab 425- tried and promising- when
added with RT+TMZ, med surv. 20.4 months- (Li et al 2007)
• Future studies to define role of I-125-EGFR Mab 425- and of other
radioimmunotherapies
• Agents with radiosensitizing properties- Motexafin Gadolinium currently being
studied
• Best “radiosensitizer” to date, TMZ standard in T/t of GBM (Stupp et al. 2005)
• Agents to improve efficacy of TMZ being developed and assessed
High-grade glioma: Where we are and where
are we going
• Systemic therapy-most often utilized treatment in recurrent HGG.
• Choice of therapy- varies and revolves around re-challenge with
temozolomide (TMZ), use of a nitrosourea (most often lomustine;
CCNU) or BEV (most frequently used angiogenic inhibitor)
• No clear recommendation regarding prefered agent or combination of
agents.
• Prognosis after progression of HGG remains poor, with unmet need to
improve therapy.
THANK YOU

High Grade Glioma

  • 1.
    Dr. Ayush Garg HighGrade Glioma
  • 2.
    WHO CLASSIFICATION OFBRAIN TUMORS (2007) 1. Tumors of neuroepithelial tissue 2. Tumors of cranial and paraspinal nerves 3. Tumors of meninges 4. Lymphomas & haemopoeitic neoplasms 5. Germ cell tumors 6. Tumors of sellar region 7. Metastatic tumors
  • 3.
    TUMORS OF NEUROEPITHELIALTISSUE Neuroepithelial cells:progenitors to the CNS neurons and glia 1. Astrocytic tumors 2. Oligodendroglial tumors 3. Oligoastrocytomas 4. Ependymal tumors 5. Choroid plexus tumors 6. Other neuroepithelial tumours 7. Neuronal & mixed neuronal glial tumors 8. Tumours of pineal region 9. Embryonal tumors GLIOMAS
  • 4.
    CBTRUS Statistical Report:Primary Brain and Central Nervous System Tumors Diagnosed in the United States in 2006-2010
  • 5.
    GRADING OF ASTROCYTICTUMORS (WHO 2007) Commonest – 1/3 of primary brain tumors Astrocytic Tumours I II III I V SEGA * Pilocytic astrocytoma * Pilomyxoid astrocytoma * Diffuse astrocytoma * PXA * Anaplastic astrocytoma * GBM * Giant cellGBM * Gliosarcoma *
  • 6.
    Astrocytic Tumors (WHO2007) WHO Age Site Anaplastic Astro (Gr.III) 5th decade Cerebral hem, brainstem GBM (Gr.IV) 6th decade Cerebral hemisphere
  • 7.
    Challenge to Neuro-Oncologists uniquebiology :  Widely invasive / infiltrative  Inherent tendency to recur  Malignant progression on recurrence  Resistance to conventional forms of therapy - RT & CT Biology of Gliomas
  • 8.
    WHO 2007 classification- Mainstay of Diagnosis • Routine histopathology supplemented with IHC Type of glioma – Astrocytic / oligo / oligoastro / ependymal Grading of glioma – Astrocytic tumors : grade I to IV – Oligo / oligoastrocytic tumors : grade II & III – Ependymal tumors : grade I to III • MIB-1 proliferation index – Very important supplement to histopathological diagnosis in CNS tumors – Very good guide to surgeons regarding patient management
  • 9.
    Feature Anaplastic astro GrIII GBM Gr IV High cellularity and nuclear atypia + + Mitosis + + Necrosis - + Microvascular proliferation (multi layered blood vessels) - + *GBM cellular heterogeneity - Multi nucleated cells, gemistocytes, granular cells, lipidized cells ** Prominent MV proliferation &/or necrosis Histopathological Features of Astrocytic Tumors
  • 10.
    Immunohistochemical Features • GFAP: +ve (degree of cytoplasmic positivity highly variable- related to grade) • S-100 : +ve (less specific glial marker; but +ve even in gliomas in which GFAP is –ve / equivocal) • CK : –ve (false +ve with AE1/AE3 cocktail; not with CAM 5.2) • EMA : –ve Proliferation Index  MIB-1 labeling index correlates with grade – Grade I : 1-2% – Grade II: <5% – Grade III: 5-10% – Grade IV: >10-20%
  • 11.
    •Increased cellularity compared tograde II •Nuclear atypia, pleomorphism Anaplastic Astrocytoma Grade III
  • 12.
    Increased cellularity &pleomorphism Classical GBM Gr.IV
  • 13.
  • 14.
    Variants of GBM Giantcell Gliosarcoma Small cell GBM with oligodendroglial differntiation
  • 15.
    GLIOBLASTOMA MULTIFORME • Mostcommon & most aggressive subtype of Glioma • Typical symptoms: Headache Cognitive changes Seizures Focal neurological deficits-weakness • MRI - ring-enhancing lesion surrounding central area of necrosis on T1 weighted imaging- significant FLAIR hyperintensity surrounding the lesion • Most cases- grow inexorably- finally refractory to all T/t • Recent data- 5-yr survival of almost 30% in patients with favourable prognostic factors (age< 50 yrs & high PS)
  • 16.
    GLIOBLASTOMA MULTIFORME • 75%of all high grade gliomas • HP features- nuclear atypia, mitotic activity, vascular proliferation and necrosis- any 3 of these Psuedopallisading necrosis a histologic hallmark • Typically diffusely infiltrative • Prognosis poor - median survival approx. 1 year • Predictors of Survival: Pre T/t patient & tumour character Age at diagnosis Tumor histology KPS Tumor location- frontal lobe tumours improved surv Extent of surgical resection Duration of neurologic symptoms Radiographic response to treatment
  • 17.
  • 18.
    WHO Grading (2007) •Anaplastic oligodendroglioma:Grade III De novo Progression from Grade II oligo
  • 19.
    Clinical Features Features OligoIII Incidence 1.2% of all primary brain tumors (20 – 35%) of all oligo tumors are grade III. Age range Middle age adults. Distinctly rare in children. Peak age 45 – 50 yrs (approx 7-8 yrs older than pts with grade II oligo) Sex Male predominance Location Cerebral hemispheres -Frontal lobe commonest (50- 65%) -Parietal & temporal lobes -Rare sites: cerebellum, basal ganglia, brainstem, spinal cord
  • 20.
  • 21.
    Increased cellularity withendothelial proliferation Endothelial proliferation with glomeruloid formation
  • 22.
  • 23.
  • 24.
    Oligoastrocytoma • Diffusely infiltratinggliomas. • Admixture of tumor cells with oligodendroglial and astrocytic differentiation • Two variants: – Biphasic or compact variant : Oligo and astro components in geographically distinct zones. – Intermingled or diffuse variant : both oligo and astro components intimately intermixed. • Clinical features & radiology : – overlap with pure astro and pure oligo tumors
  • 25.
     Anaplastic oligoastrocytomagrade III  ? Oligoastrocytoma grade IV / GBM with oligodendroglioma component (GBMO). WHO grading (2007)
  • 26.
    Feature Grade III Oligoastro GradeIV Oligoastro/GBMO Cellularity & cytological atypia Moderate to severe Moderate to severe Mitosis Frequent Frequent Endothelial prolif. Present Present Necrosis Absent Present Mean survival time 2 – 4 yrs ~ 22 mths WHO Grading
  • 27.
  • 28.
    • New agetool in patient care management • Markers related to genetic/epigenetic alterations – – deletions, amplifications, translocations, mutations, promoter methylation • Diagnostic biomarkers – Help in classification of tumor with ambiguous histological features. – Allow for clinically useful subdivision of tumors within a given histological tumor type. • Prognostic biomarkers – Correlate with disease free & overall survival. – Provide information beyond that obtained by already established prognostic parameters. • Predictive biomarkers – Provide information on response to given therapy which will help to stratify patients into distinct therapeutic groups to allow for optimal t/t. Molecular biomarkers
  • 29.
    Molecular pathology • Understandthe role of molecular genetic alterations in the initiation and progression of gliomas • Identify different pathways of gliomagenesis - result of multiple complex genetic alterations that accumulate with tumor progression
  • 31.
     1p/19q codeletion IDH1 mutation  ATRX mutation Markers for integrated diagnosis of diffuse gliomas
  • 32.
    1. Combined 1p/19qdeletion  Diagnostic  Prognostic  Predictive
  • 33.
    1p/19q loss inOligodendrogliomas  Combined loss of 1p & 19q – characteristic mol sign of oligodendroglial tumors (Gr II & III)  60 to 90% of oligodendrogliomas  40 to 60% of oligoastrocytoma  5 to 15% of Astrocytomas  Loss of 1p & 19q - favourable prognostic marker  Longer survival (OS & PFS)  Chemosensitivity (PCV & TMZ)
  • 34.
    IDH1 Mutation  Diagnostic Prognostic • Isocitrate dehydrogenase 1 (cytosol) and 2 (mitochondrial) • Participates in the citric acid cycle, NADP+ dependant • IDH1: hot spot mutation at position 395 (amino acid residue 132) – Mostly G  A (substitution of Arg  His)
  • 35.
    IDH1 mutation • Earlylesions in gliomas • Site : codon 132 of IDH1and codon 172 of IDH2 • Majority grade II and III gliomas, and 20 GBMs, share IDH mutations • USE  Diagnostic value -positively identifying diffuse gliomas - distinguishing them from reactive gliosis  Association with a better prognosis IDH1 gene on chromosome 2q33.3 encodes for isocitrate dehydrogenase . Catalyzes NADPH production via oxidative decarboxylation of isocitrate to alpha-KG in the Krebs citric acid cycle
  • 36.
    Alpha Thalassemia/Mental Retardation SyndromeX-linked gene (ATRX) Diagnostic ? Prognostic
  • 37.
    ATRX gene • ATRX(α thalassemia/mental retardation syndrome X- linked) and its binding partner DAXX (death-associated protein 6) are central components of a chromatin remodeling complex • Normal functions – Chromatin remodelling and nucleosome assembly – Regulates incorporation of histone H3.3 into telomeric chromatin – Plays crucial role in normal telomere homeostasis
  • 38.
    New WHO guidelines:Diffuse gliomas
  • 39.
    Other Important molecularbio-markers in gliomas not yet integrated into classification  Markers only of diagnostic use  Tp53 gene mutation  EGFR amplification / EGFR vIII mutant  CDKN2A deletion / p16 loss  LOH 10q / PTEN deletion  BRAF Duplication/Fusion  BRAF V600E mutation  Marker only of prognostic / predictive use  MGMT promoter methylation  TERT mutation
  • 40.
    Glioblastoma • Histological features Molecularprofile – Primary GBMs • No 1p/19q deletion • No IDH1 mutation • No ATRX loss • Combination of 7p gain and 10q loss • EGFR amplification  GBM with ATRX loss and IDH mutation (15-18%) – possibly Secondary GBMs
  • 41.
    MGMT (O6 –Methyl Guanine-DNA- Methyl Transferase) Promoter Methylation Prognostic and Predictive Molecular Marker
  • 42.
    • MGMT (O6– Methyl Guanine-DNA-Methyl Transferase) – DNA repair enzyme – Gene located on Chr 10q26 – Inhibits killing of tumor cells by alkylating agents (chemotherapeutic drugs) • Alkylating agents Tumor cell death Alkylates O6 position of guanine Crosslinks adjacent DNA strands MGMT Reverts alkyl gp. addition No lethal cross links No tumor cell killing DNA
  • 43.
  • 44.
    TERT mutations • Recurrentmutations in promoter region of telomerase reverse transcriptase (TERT) • Gene encoding catalytic subunit of telomerase • Two most common mutations - C228T, C250T – Associated with marked upregulation of TERT expression C228T mutationC250T mutation
  • 45.
  • 46.
  • 47.
    GLIOBLASTOMA MULTIFORME Surgery • Acritical component of T/t • Survival: extensive resection> partial resection>surgical decompression • Devaux et al (1993)- Resection & RT- med. surv.-50.6 wks • Laws et al (2003) - Biopsy & RT- med. surv.-33.0 wks • Lacroix et al (2001) - Resection of at least 98% tumour tissue increased med. surv. (13 vs 8.8 months) • Maximal surgical resection- currently accepted standard of care esp. for patients <65 yrs • Larger resection-increased diagnostic accuracy and tissue for molecular profiling- may prognosticate and guide T/t • Gliomas- “ïnfiltrating propensities” without clear demarcation from normal tissues • Include T/t with potential to target focal disease and microscopic tumour cells throughout brain
  • 48.
    GLIOBLASTOMA MULTIFORME Radiotherapy • Diffuselyinfiltrate brain beyond gross tumour & recur locally • RT- a critical component - focus T/t to areas of highest risk • In current form - GTV and margin of several cms • Benefit clearly seen since 1970s. Use dates back to 1925 • Shapiro and Young (1976)- CT vs CT+RT. RT 45Gy+15Gy RT+CT(BCNU+VCR)- med. surv.- 44.5 wks CT-med. surv - 30 wks • Coop. Gr. Trials: Improved surv. for RT ± nitrosurea - med surv. - 9-12 months vs. half of this when RT excluded • Radiosurgery- interest in past - abandoned after negative trials • Current standard - total of appr. 60Gy / 30# • Different total dose, fractionation and delivery methods tried • Ext. beam RT+Temozolamide & adjuvant Temozolamide
  • 49.
  • 50.
    GLIOBLASTOMA MULTIFORME • Chemotherapy •Stupp trial randomized 573 patients with newly diagnosed glioblastoma to either RT alone (total 60 Gy in 30 fractions; control arm) or RT + TMZ (total 60 Gy in 30 fractions; experimental arm). Patients on the experimental arm received temozolomide daily during RT at a dose of 75 mg/m2, followed by monthly temozolomide at a dose of 150 to 200 mg/m2 on a 5 of every 28 days schedule for 6 cycles. • Patients randomized to the experimental arm had a median survival of 14.6 months as compared to 12.1 months for the control arm. The 2-year survival of patients treated with radiation therapy plus chemotherapy was 26% as compared to 6% for radiation alone. • The survival benefit from the addition of temozolomide has now been demonstrated for at least 5 years out from initial treatment and in all clinical prognostic subgroups, including patients aged 60 to 70 years and in RPA classes III through V. Five-year overall survival was 9.8% for patients who received combined temozolomide and radiotherapy as compared to 1.9% for those who received radiotherapy alone.
  • 51.
    • The RTOGrecently completed a 1,100-patient, randomized, phase III trial comparing standard adjuvant temozolomide with a dose-dense schedule in newly diagnosed glioblastoma. • A total of 833 patients were randomized to receive either standard therapy (temozolomide plus radiotherapy followed by 6 to 12 cycles of temozolomide at a dose of 150 to 200 mg/m2 on a 5/28 day schedule) or dose-intense temozolomide (temozolomide plus radiotherapy followed by 6 to 12 cycles of temozolomide at a dose of 150 mg/m2 on a 21/28 day schedule). • There was no statistical difference between the experimental and standard arms for overall survival (16.6 vs.14.9 months, p = .63) or progression-free survival (5.5 vs. 6.7 months, p = .06), indicating no additional benefit from dose-intense temozolomide. • The trial prospectively stratified for MGMT methylation status, and no survival benefit with dose-intense therapy was identified in any subgroup. As expected, the dose-intense arm resulted in increased toxicity. • Thus, at the present time, there is no role for dose-intense temozolomide for newly diagnosed glioblastoma patients.
  • 52.
    • Other chemotherapeuticregimens, such as the combination of CPT-11 and temozolomide, have shown promising results in a phase II trial with an objective response rate of 25% and 6-month progression-free rate of 38%. When tested prospectively in a single-arm RTOG trial, the regimen did not show improved survival. • Buckner et al. reported on a phase III trial of carmustine with or without cisplatin before and concurrently with radiotherapy and observed increased toxicity but no survival benefit with the addition of cisplatin. • Two large phase III, randomized clinical trials investigating the addition of bevacizumab to the EORTC/NCIC regimen have completed accrual, and results are pending.
  • 53.
    • Anaplastic Oligodendroglioma/Oligoastrocytoma •Anaplastic oligodendroglioma and oligoastrocytoma are generally chemosensitive primarily based on high response rates to PCV in several studies. • Two large randomized trials, described earlier, investigated the use of sequential chemoradiotherapy compared to radiotherapy alone with chemotherapy reserved for salvage in patients with anaplastic oligodendroglioma and oligoastrocytoma. • With 11-year follow-up, no difference in survival was found for the entire cohort, but for the codeleted patients, there was a near- doubling of survival, establishing chemoradiotherapy as a standard for this subset. • Because of the significant toxicity associated with PCV, many clinicians now use temozolomide, which is much better tolerated.
  • 54.
    GLIOBLASTOMA MULTIFORME Early BrainTumour Study Group Studies Dose Response to Radiation based on 3 BTSG studies (Walker et al 1979) Med. Surv.(weeks) P-value BTSG 6901( Walker et al, 1978) Best supportive care 14 BCNU (Carmustine) 18.5 0.119 Radiation 35 0.001 Radiation+BCNU 34.5 0.001 BTSG 7201(Walker et al, (1980) MeCCNU (Semustine) 31 Radiation 37 0.003 Radiaiton+BCNU 49 <0.001 Radiaiton+MeCCNU 43 <0.001 No RT ≤45 Gy 50 Gy 55 Gy 60 Gy Med. Surv (wks) 18 13.5 28 36 42 P-value 0.346 <0.001 <0.001 <0.001
  • 55.
    GLIOBLASTOMA MULTIFORME Brachytherapy forGBM • Retrospective data- technique promising- I-125 improved med. surv. from 17.9 months in RTOG Class III patients to 28 months. Improvement also in Class IV & V (Videtic et al. 1999) • Prospective studies failed to support this Med. Surv.(weeks) P-Value Brain Tumour Cooperative Group (Selker 2002) 60.2 Gy 58.5 60.2 Gy+I-125 (60Gy) 68.1 0.101 Princess Margaret (Laperriere et al,1998) 50 Gy 57.2 50Gy+I-125 (60Gy) 59.8 0.49 UCSF (Sneed et al, 1998) 59.4 Gy+I-125 (60Gy) 76 59.4 Gy+ I-125(60Gy) + Hyperthermia 85 0.02
  • 56.
    GLIOBLASTOMA MULTIFORME Radiation Volumes: •Historically margins to cover potential microscopic disease beyond visualised area of disease-typically 2cm around gross tumour • Better imaging and sophisticated radiation delivery- variation in margin • Partial brain RT is standard - no benefit of WBT in terms of survival and control (Shibamoto et al, 1990) • 90% recurrence within 2cm of known primary tumour - typically 2-3cm margin • Using oedema to delineate microscopic disease imperfect- imaging that is more specific to tumour better • UCSF- MRI spectroscopy to define volume (Park et al. 2007) • Univ. Michigan- 11C-methionine PET (Lee et al, 2007)
  • 57.
    GLIOBLASTOMA MULTIFORME Radiation Volumes: •Historically margins to cover potential microscopic disease beyond visualised area of disease • Typically 2cm around gross tumour • Better imaging and sophisticated radiation delivery-variation in margin RTOG (old) RTOG (new) EORTC NABTT Total Dose 46 Gy 46 Gy 60 Gy 46 Gy Initial Margin 2 cm block 2cm dosimetric to PTV 2-3 cm dosimet. to PTV 1 cm dosimetric to PTV Initial Vol. Def. T2/FLAIR T2/FLAIR T1+ Contrast T2/FLAIR Boost + + - + Boost Dose 14Gy 14 Gy 14Gy Boost Margin 2.5cm block 2.5 cm dosimet. to PTV 1cm dosimetric to PTV Boost Vol. Def. T1 + Contrast T1+ Contrast T1+ Contrast IMRT allowed No No No Yes Final Dose 60Gy 60 Gy 60 Gy 60 Gy
  • 58.
    GLIOBLASTOMA MULTIFORME Radiation Volumes: •IMRT as a means to hypofractionate / deliver more dose centrally in some centre • Preliminary studies- RT over 2-4 weeks without concurrent CT comparable to full 6 weeks T/t (Floyd et al, 2004; Sultanem et al 2004) • With this RT can be given safely and effectively in a shorter period of time • IMRT using conventional fractionation- incorporated into current studies including studies by NABTT- uses 5mm margin for CTV and PTV both for initial and boost volume
  • 59.
    GLIOBLASTOMA MULTIFORME Simulation: • CTbased simulation typically used • Thermoplastic mask and contrast usually given • GBM may progress after postoperative images acquired- contrast used in simulation may help identify progression following surgery • After CT simulation, fusion of MRI image if available • Critical structures typically included-lenses, eyes, optic nerve, optic chiasm, pituitary, hypothalamus, cochleas, brainstem
  • 60.
    GLIOBLASTOMA MULTIFORME Dose LimitingStructures: • Given poor outcome - tumour coverage often not sacrificed to limit dose to critical structures • Improv. outcomes & subsets living ≥5yrs- reducing late tox. a concern • Higher doses can be given to these- compromise of tumour coverage not allowed • Clinical judgement used to exclude these sensitive structures from PTV • May exclude regions where natural barriers precludes microscopic tumour extension- cerebellum, contralateral hemisphere, directly across from tentorium cerebri & ventricles
  • 61.
    GLIOBLASTOMA MULTIFORME Dose Limitationto Critical Structures (RTOG 0525 study) Structure Dose Limit Optic Chiasm / Optic nerve 54 Gy Retina 50 Gy Brainstem 60 Gy Lens Shielded from direct beam Cervical Spine Shielded from direct beam
  • 62.
    GLIOBLASTOMA MULTIFORME Toxicity: Incidence ofradiation necrosis in GBM following 60Gy difficult to determine- estimated to be 5% by extrapolation data Structure Dose Limit Likely(>10%) Redness and soreness, hair loss, fatigue, lethargy, temporary aggravation of symptoms- headaches, seizures, weakness Less likely (<10%) Mental slowing, Ear/ear canal reactions- short term hearing loss, cataracts, behavioural change, nausea, vomiting, pituitary related endocrine changes, severe damage to brain tissue, dizziness, seizures, dry mouth altered taste Rare but serious(<1%) Optic injury- possibility of blindness, permanent hearing loss, depression
  • 63.
    GLIOBLASTOMA MULTIFORME GBM inelderly / poor performance patients: • RT beneficial in elderly - Keime-Guibert et al (2007) RT vs best supportive care- RT improves survival- 81 patients ≥70 yrs- 50Gy or no RT- med. surv. 29.1 wks with RT vs. 16.9 wks with no RT. No CT. Dose scheme may not have had an effect on outcome • Roa et al (2004)- 100 patients ≥ 60yrs- 60Gy/30# vs 40Gy/15# - med. surv 5.1 mon. vs 5.6 mon. (p=0.57, NS)-no CT used. No diff. med OS • RT 0525 allows elderly to enrol- presumption that elderly may benefit from aggressive T/t incorporating CT • Other studies to see if CT can benefit this subset • Chamberlain et al (2007)- TMZ without RT being investigated in elderly • In poor PS patients, KPS <60 - hypofractionated course of RT reasonable (Bauman GS et al ,1994; Chang EL et al, 2003) - 30Gy/10# or 37.5Gy/15# WBT or focal RT 40- 45Gy/15# - to complete T/t early. These patients do poorly with med. surv. 7 months
  • 64.
    GLIOBLASTOMA MULTIFORME Radiation sensitizers: •Motexafin Gadolinium (Xcytrin) - previously known as Gadolinium Texaphyrin or Gd-Tex- redox mediator selectively targets tumour cells- generation of reactive oxygen species and fixation of damage by radiation • Phase I study in GBM - max tolerated dose 5mg/kg/day daily for 2 wks, then 3 times per week till RT completion. TMZ not given (Ford et al 2007) • Results from a single-arm phase II trial, RTOG 0513, of MGd and conventional therapy in newly diagnosed GBM showed no survival improvement.
  • 65.
    GLIOBLASTOMA MULTIFORME FOLLOW-UP: • MRIscan 4 weeks after completion of CT+RT, 2-3 months thereafter • Pseudoprogression- one area of controversy- worsening FLAIR or T1 contrast soon after RT completion- may resolve if followed long enough rather than changing planned T/t course • Controversial how to image pseudoprogression and distinguish from tumour progression • Cause unknown- seen more frequently after using aggressive upfront T/t- acute T/t related changes including blood-brain barrier disruption and oedema • While FU of GBM, pseudoprogression a D/d
  • 66.
    GLIOBLASTOMA MULTIFORME RE-IRRADIATION • Studiedboth for local and distant recurrence • Often given stereotactically Study Authors Nos of Pts. Med. Dose in Gy Med. Surv U.. Michigan Kim et al. 1997 20 36 (30.6-50.4) 9 mo Germany Vordermark et al.. 2005 14 30. Hypo. Stereo. Med 5Gy/# 7.9 mo U. Heidelberg Combs et al. 2005 53 36. Med #-2Gy 1mm mar. stereo 8 mo U. Wisconsin Tome et al. 2007 99 LDR radiation. 0.2 Gy pulses 3 min apart 6 mo 31% surv
  • 67.
    • Recurrence • Single-agentbevacizumab was approved by the FDA in 2009 for the treatment of recurrent glioblastoma. • In a study of 49 glioblastoma patients, Kreisl et al. reported objective response rate of 35%, 6-month progression-free survival of 29%, 3.7-month median progression-free survival, and 7.2-month median overall survival. • Similarly, Friedman et al. reported an objective response rate of 28%, 6-month progression-free survival of 43%, median progression-free survival of 4.2 months, and median overall survival of 9.2 months in a total of 85 patients.
  • 68.
  • 74.
    • Molecular markersin adult gliomas – well established • Diagnostic use of molecular markers – To improve the precision of histological diagnosis – To refine current histomorphology based WHO classification in the future • Prognostic / predictive markers  1p/19q deletion  IDH1 mutation  MGMT promoter methylation  TERT mutation  Used in routine practice for patient management  Very important role of the pathologist CONCLUSION
  • 75.
    FUTURE DIRECTIONS: • Bettermolecular imaging techniques to define and follow areas of disease and better understanding of biology of the disease • Use of heavy particles- Carbon ions tried in Japan (Mizoe et al., 2007) • Radioimmunotherapy with I-125-EGFR Mab 425- tried and promising- when added with RT+TMZ, med surv. 20.4 months- (Li et al 2007) • Future studies to define role of I-125-EGFR Mab 425- and of other radioimmunotherapies • Agents with radiosensitizing properties- Motexafin Gadolinium currently being studied • Best “radiosensitizer” to date, TMZ standard in T/t of GBM (Stupp et al. 2005) • Agents to improve efficacy of TMZ being developed and assessed
  • 76.
    High-grade glioma: Wherewe are and where are we going • Systemic therapy-most often utilized treatment in recurrent HGG. • Choice of therapy- varies and revolves around re-challenge with temozolomide (TMZ), use of a nitrosourea (most often lomustine; CCNU) or BEV (most frequently used angiogenic inhibitor) • No clear recommendation regarding prefered agent or combination of agents. • Prognosis after progression of HGG remains poor, with unmet need to improve therapy.
  • 77.