Extern Conference
Orakarn Kriengwattanakul
Extern RA
Case
ผู้ป่วยหญิง อายุ 30 ปี
ปวดแขนขวา 2 ชั่วโมงก่อนมาโรงพยาบาล
สาเหตุ ขับ MC ล้มเอง
Event 9.00 25/06/2560
Arrived at MNRH 11.00 25/06/2560
Primary survey
A : can speak, not tender along C-spine, active neck flexion
B : trachea in midline, equal breath sound,
chest compression test negative
C : pulse 78 bpm full regular, no external bleeding,
abdomen soft, not tender, no guarding,
no rebound tenderness
D : E4M6V5, pupil 2 mm RTLBE
Primary survey
E : marked tender at right arm, no external wound,
avulsion wound at right zygoma 2x2 cm
laceration wound at right orbital rim 2 cm
avulsion wound at chin 3 cm
no active bleeding
Secondary survey
A : no drug/food allergy
M : no current medication, denied herb used
P : no underlying disease, denied major trauma,
denied history of surgery
L : NPO 00.00
E : ขับ MC เสียหลัก ล้มเอง ไม่สลบ จําเหตุการณ์ได้ แขนขวาและ
ใบหน้ากระแทกพื้น ไม่ปวดศีรษะ ไม่คลื่นไส้อาเจียน ปวดแขนขวา
มาก ขยับได้น้อยเนื่องจากเจ็บ ขยับปลายนิ้วได้ปกติ ไม่อ่อนแรง
ไม่ชา
Physical examination
Vital sign : T36.9c, BP 119/64 mmHg, PR 78 bpm, RR 18/min
General appearance : Thai adult woman, good consciousness,
well cooperated
HEENT : no pale conjunctiva, anicteric sclera
avulsion wound at right zygoma 2x2 cm
laceration wound at right orbital rim 2 cm
avulsion wound at chin 3 cm
no active bleeding
Physical examination
Heart : normal S1S2, no murmur
Lung : equal breath sound, no adventitious sound
Abdomen : soft, not tender, no guarding, no rebound tenderness
Extremities : marked tender at proximal right arm, mild swelling,
no external wound, normal movement of right hand and finger,
radial pulse 2+, ulnar pulse 2+, capillary refill <2 sec
Neurological exam : motor grade V all except right arm cannot
evaluate due to pain
Management at ER
• Check neurovascular + Immobilization (on arm sling)
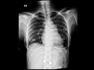
• Imaging
CXR
Film right arm AP, transcapular Y view
Film skull AP, lateral, towne, water
• Medication
Pain control tramol 50 mg IV stat then q 6 hr
plasil 10 mg IV prn q 6 hr
ATB cefazolin 1 g IC stat then q 6 hr
Vaccine Tetanus vaccine 0.5 ml IM
Proximal humerus fracture
• Epidemiology
– incidence
• 4-6% of all fractures
• third most common fracture pattern seen in elderly
– demographics
• 2:1 female to male ratio
• increasing age correlates with increasing fracture risk in
women
• Pathophysiology
– mechanism
• low-energy falls
– elderly with osteoporotic bone
• high-energy trauma
– young individuals
– concomitant soft tissue and neurovascular injuries
• Associated conditions
– nerve injury
• axillary nerve palsy most common
– fracture-dislocations
• more commonly associated with nerve injuries
Anatomy
• Osteology
– anatomic neck (epiphyseal plate)
– surgical neck (weakened area)
Anatomy
• Vascular anatomy
– anterior humeral circumflex artery
– posterior humeral circumflex artery
Classification
• Neer classification (4 segments)
– greater tuberosity
– lesser tuberosity
– articular surface
– shaft
• considered a separate part if
– displacement of > 1 cm
– 45° angulation
Evaluation
• Symptoms
– pain and swelling
– decreased motion
• Physical exam
– inspection
• extensive ecchymosis of chest, arm, and forearm
– neurovascular exam
• 45% incidence of nerve injury (axillary most common)
• arterial injury may be masked by extensive collateral
circulation preserving distal pulses
Imaging
• Radiographs
• complete trauma series
– true AP
– scapular Y
– axillary
• CT scan
– indications
• preoperative planning
• humeral head or greater tuberosity position uncertain
• intra-articular comminution
• MRI
– indications
• rarely indicated
• useful to identify associated rotator cuff injury
CT
Diagnosis
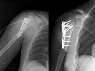
• Closed fracture right proximal humerus (4 parts)
Treatment
• Nonoperative
– sling immobilization followed by progressive rehab
• indications
» minimally displaced surgical neck fracture (1-, 2-
, and 3-part)
» greater tuberosity fracture displaced < 5mm
» fractures in patients who are not surgical
candidates
– start early range of motion within 14 days
Treatment
• Operative
– CRPP (closed reduction percutaneous pinning)
• indications
– 2-part surgical neck fractures
– 3-part and valgus-impacted 4-part fractures in
patients with good bone quality, minimal
metaphyseal comminution, and intact medial calcar
– ORIF
• indications
– greater tuberosity displaced > 5mm
– 2-,3-, and 4-part fractures in younger patients
– head-splitting fractures in younger patients
Treatment
• Operative
– intramedullary rodding
• indications
– surgical neck fractures or 3-part greater tuberosity
fractures in younger patients
– combined proximal humerus and humeral shaft
fractures
Treatment
• Operative
– hemiarthroplasty
• indications
– anatomic neck fractures in elderly (initial varus malalignment
>20 degrees) or those that are severely comminuted
– 4-part fractures and fracture-dislocations (3-part if stable
internal fixation unachievable)
– rotator cuff compromise
– glenoid surface is intact and healthy
– chronic nonunions or malunions in the elderly
– head-splitting fractures with incongruity of humeral head
– humeral head impression defect of > 40% of articular surface
– detachment of articular blood supply (most 3- and 4-part
fractures)
Treatment
 Operative
– total shoulder arthroplasty
• indications
– rotator cuff intact
– glenoid surface is compromised (arthritis, trauma)
– reverse shoulder arthroplasty
• indications
– elderly individuals with nonreconstructible
tuberosities
Treatment by fracture type
Rehabilitation
• 3-phase programs
– early passive ROM for first 6 weeks
– active ROM and progressive resistance
– advanced stretching and strengthening program
Complications
• Screw penetration
– most common complication after locked plating
fixation (up to 14%)
• Avascular necrosis
• Nerve injury
– axillary nerve injury (up to 58%)
– suprascapular nerve (up to 48%)
• Malunion
• Nonunion
Complications
• Rotator cuff injuries and dysfunction
• Missed posterior dislocation
• Adhesive capsulitis
• Posttraumatic arthritis
• Infection

Proximal humerus fracture

  • 1.
  • 2.
    Case ผู้ป่วยหญิง อายุ 30ปี ปวดแขนขวา 2 ชั่วโมงก่อนมาโรงพยาบาล สาเหตุ ขับ MC ล้มเอง Event 9.00 25/06/2560 Arrived at MNRH 11.00 25/06/2560
  • 3.
    Primary survey A :can speak, not tender along C-spine, active neck flexion B : trachea in midline, equal breath sound, chest compression test negative C : pulse 78 bpm full regular, no external bleeding, abdomen soft, not tender, no guarding, no rebound tenderness D : E4M6V5, pupil 2 mm RTLBE
  • 4.
    Primary survey E :marked tender at right arm, no external wound, avulsion wound at right zygoma 2x2 cm laceration wound at right orbital rim 2 cm avulsion wound at chin 3 cm no active bleeding
  • 5.
    Secondary survey A :no drug/food allergy M : no current medication, denied herb used P : no underlying disease, denied major trauma, denied history of surgery L : NPO 00.00 E : ขับ MC เสียหลัก ล้มเอง ไม่สลบ จําเหตุการณ์ได้ แขนขวาและ ใบหน้ากระแทกพื้น ไม่ปวดศีรษะ ไม่คลื่นไส้อาเจียน ปวดแขนขวา มาก ขยับได้น้อยเนื่องจากเจ็บ ขยับปลายนิ้วได้ปกติ ไม่อ่อนแรง ไม่ชา
  • 6.
    Physical examination Vital sign: T36.9c, BP 119/64 mmHg, PR 78 bpm, RR 18/min General appearance : Thai adult woman, good consciousness, well cooperated HEENT : no pale conjunctiva, anicteric sclera avulsion wound at right zygoma 2x2 cm laceration wound at right orbital rim 2 cm avulsion wound at chin 3 cm no active bleeding
  • 7.
    Physical examination Heart :normal S1S2, no murmur Lung : equal breath sound, no adventitious sound Abdomen : soft, not tender, no guarding, no rebound tenderness Extremities : marked tender at proximal right arm, mild swelling, no external wound, normal movement of right hand and finger, radial pulse 2+, ulnar pulse 2+, capillary refill <2 sec Neurological exam : motor grade V all except right arm cannot evaluate due to pain
  • 9.
    Management at ER •Check neurovascular + Immobilization (on arm sling) • Imaging CXR Film right arm AP, transcapular Y view Film skull AP, lateral, towne, water • Medication Pain control tramol 50 mg IV stat then q 6 hr plasil 10 mg IV prn q 6 hr ATB cefazolin 1 g IC stat then q 6 hr Vaccine Tetanus vaccine 0.5 ml IM
  • 12.
  • 13.
    • Epidemiology – incidence •4-6% of all fractures • third most common fracture pattern seen in elderly – demographics • 2:1 female to male ratio • increasing age correlates with increasing fracture risk in women • Pathophysiology – mechanism • low-energy falls – elderly with osteoporotic bone • high-energy trauma – young individuals – concomitant soft tissue and neurovascular injuries
  • 14.
    • Associated conditions –nerve injury • axillary nerve palsy most common – fracture-dislocations • more commonly associated with nerve injuries
  • 15.
    Anatomy • Osteology – anatomicneck (epiphyseal plate) – surgical neck (weakened area)
  • 16.
    Anatomy • Vascular anatomy –anterior humeral circumflex artery – posterior humeral circumflex artery
  • 17.
    Classification • Neer classification(4 segments) – greater tuberosity – lesser tuberosity – articular surface – shaft • considered a separate part if – displacement of > 1 cm – 45° angulation
  • 19.
    Evaluation • Symptoms – painand swelling – decreased motion • Physical exam – inspection • extensive ecchymosis of chest, arm, and forearm – neurovascular exam • 45% incidence of nerve injury (axillary most common) • arterial injury may be masked by extensive collateral circulation preserving distal pulses
  • 20.
    Imaging • Radiographs • completetrauma series – true AP – scapular Y – axillary • CT scan – indications • preoperative planning • humeral head or greater tuberosity position uncertain • intra-articular comminution • MRI – indications • rarely indicated • useful to identify associated rotator cuff injury
  • 21.
  • 22.
    Diagnosis • Closed fractureright proximal humerus (4 parts)
  • 23.
    Treatment • Nonoperative – slingimmobilization followed by progressive rehab • indications » minimally displaced surgical neck fracture (1-, 2- , and 3-part) » greater tuberosity fracture displaced < 5mm » fractures in patients who are not surgical candidates – start early range of motion within 14 days
  • 24.
    Treatment • Operative – CRPP(closed reduction percutaneous pinning) • indications – 2-part surgical neck fractures – 3-part and valgus-impacted 4-part fractures in patients with good bone quality, minimal metaphyseal comminution, and intact medial calcar – ORIF • indications – greater tuberosity displaced > 5mm – 2-,3-, and 4-part fractures in younger patients – head-splitting fractures in younger patients
  • 25.
    Treatment • Operative – intramedullaryrodding • indications – surgical neck fractures or 3-part greater tuberosity fractures in younger patients – combined proximal humerus and humeral shaft fractures
  • 26.
    Treatment • Operative – hemiarthroplasty •indications – anatomic neck fractures in elderly (initial varus malalignment >20 degrees) or those that are severely comminuted – 4-part fractures and fracture-dislocations (3-part if stable internal fixation unachievable) – rotator cuff compromise – glenoid surface is intact and healthy – chronic nonunions or malunions in the elderly – head-splitting fractures with incongruity of humeral head – humeral head impression defect of > 40% of articular surface – detachment of articular blood supply (most 3- and 4-part fractures)
  • 27.
    Treatment  Operative – totalshoulder arthroplasty • indications – rotator cuff intact – glenoid surface is compromised (arthritis, trauma) – reverse shoulder arthroplasty • indications – elderly individuals with nonreconstructible tuberosities
  • 29.
  • 33.
    Rehabilitation • 3-phase programs –early passive ROM for first 6 weeks – active ROM and progressive resistance – advanced stretching and strengthening program
  • 34.
    Complications • Screw penetration –most common complication after locked plating fixation (up to 14%) • Avascular necrosis • Nerve injury – axillary nerve injury (up to 58%) – suprascapular nerve (up to 48%) • Malunion • Nonunion
  • 35.
    Complications • Rotator cuffinjuries and dysfunction • Missed posterior dislocation • Adhesive capsulitis • Posttraumatic arthritis • Infection