PRINCIPLES OF FRACTURES
AHMAD FADZLI SULONG
Advanced Trauma Unit
Dept of Orthopaedics, Traumatology & Rehabilitation
By the end of this lecture,
hopefully…
1.what is fracture
2. Forces that causes fracture
3. Types of fracture – especially
open fracture
4. FRACTURE HEALING
DEFINITION
A break in structural
continuity of bone
CAUSES
1. Traumatic fracture
• Direct force – bone breaks at point of impact
• Indirect force – bone breaks at a distance from
where force is applied
2. Pathological fracture
• Normal stress in weakened bone
3. Stress fracture
• Repetitive stress in normal bone
Mechanism of injury:
• Spiral – torsion
• Short oblique – compression
• Butterfly – bending
• Transverse – tension
TYPES
1. Transverse – distraction/bending force
2. Oblique – bending, compression
3. Spiral – twisting
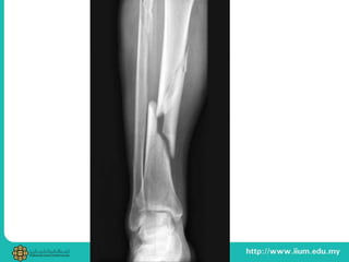
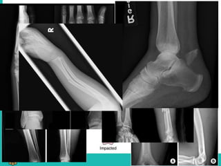
4. Impacted – axial loading
5. Comminuted – high energy
6. Greenstick
7. Torus
OPEN
FRACTURES
DEFINITION
Fracture with break in skin and underlying
soft tissues with communication between
external environment and fractured bone and
its hematoma
GUSTILO CLASSIFICATION
• 4 main components:
 Size of wound
 Degree of soft tissue injury
 Degree of contamination
 Degree of comminution
• Established at time of operative debriment
(intra op classification)
TYPE I
• The wound is less than one centimeter
long.
• It is usually a clean puncture, through
which a spike of bone has pierced the skin.
• There is little soft-tissue damage and no
sign of crushing injury.
• The fracture is usually simple, transverse,
or short oblique, with little comminution.
The management of open fractures RB Gustilo, RL Merkow and D Templeman J Bone Joint Surg Am. 1990;72:299-
304
TYPE II
• The laceration is more than one centimeter
long (1cm<x<10cm)
• There is no extensive soft-tissue damage,
flap, or avulsion.
• There is a slight or moderate crushing
injury, moderate comminution of the
fracture, and moderate contamination.
The management of open fractures RB Gustilo, RL Merkow and D Templeman J Bone Joint Surg Am. 1990;72:299-
304
TYPE III
• Extensive damage to soft tissue, including
muscles, skin, and neurovascular
structures.
• A high degree of contamination. The
fracture is often caused by high-velocity
trauma
• Fracture with high degree of comminution
The management of open fractures RB Gustilo, RL Merkow and D Templeman J Bone Joint Surg Am. 1990;72:299-
304
TYPE III A
• Soft-tissue coverage of the fractured bone
is adequate, despite extensive laceration,
flaps, or high-energy trauma.
• This subtype includes segmental or
severely comminuted fractures from high-
energy trauma, regardless of the size of
the wound.
The management of open fractures RB Gustilo, RL Merkow and D Templeman J Bone Joint Surg Am. 1990;72:299-
304
TYPE III B
• Periosteal stripping and exposure of bone,
massive contamination, and severe
comminution of the fracture from high-
velocity trauma.
• After debridement and irrigation is
completed, a segment of bone is exposed
and a local or free flap is needed for
coverage.
The management of open fractures RB Gustilo, RL Merkow and D Templeman J Bone Joint Surg Am. 1990;72:299-
304
TYPE III C
• Associated with an neurovascular injury
that must be repaired, regardless of the
degree of soft-tissue injury.
The management of open fractures RB Gustilo, RL Merkow and D Templeman J Bone Joint Surg Am. 1990;72:299-
304
ALL OPEN FRACTURES, NO
MATTER HOW TRIVIAL THEY
MAY SEEM, MUST BE ASSUMED
TO BE CONTAMINATED
SEPSIS
RATE
SEPSIS
RATE
TYPE I 0%
TYPE II 2.5%
TYPE III 13.7% TYPE IIIA 5%
TYPE IIIB 28%
TYPE IIIC 8%
Classification of type III (severe) open fractures relative to treatment and results. Gustilo RB; Gruninger RP;
Davis T Orthopedics. 1987; 10(12):1781-8 (ISSN: 0147-7447)
FRACTURE HEALING
1. Primary bone healing
• Rigid fixation
• No callus
• aka contact/gap healing
2. Secondary bone healing
• Non rigid fixation
• Callus formation
• aka endochondral ossification
SECONDARY BONE HEALING
1. Tissue destruction & hematoma formation
2. Inflammation & cellular proliferation
3. Callus formation (soft callus)
4. Consolidation (woven bone)
5. Remodelling (lamellar bone)
Hematoma
Callus formation
Consolidation
Remodeling
Inflammation
PRIMARY BONE HEALING
1. Immobilized fragments (no callus stimulus)
2. Gap healing – osteoblastic activity across
fracture to achieve contact healing
3. Cutting cones – remodeling action by osteoclasts
4. Relies on fixation for strength (no callus) and
may lead to osteoporotic changes of bone
Cutting cones (osteoclasts)
Fracture Gap
Fracture ends
MANAGEMENT
OF FRACTURE
THE ‘4R’
1. RESUSCITATION
2. REDUCE
3. RETAIN / HOLD
4. REHAB / EXERCISE
RESUSCITATION
• ABC
• Primary survey
REDUCE
• As soon as possible
• Alignment more important than apposition
• Articular surface requires anatomical
reduction
• Closed manipulative reduction
• Open reduction
Adequate apposition
Normal alignment
REDUCE FRACTURE
REDUCE FRACTURE
Extra articular fracture – relative stability
REDUCE FRACTURE
Intra articular fractures – MUST obtain
absolute stability
Preferably 3 people
Adequate sedation
essential
Continuous
monitoring
CLOSED REDUCTION
CLOSED REDUCTION
OPEN REDUCTION
RETAIN
1. Cast splintage
2. Functional bracing
3. Internal fixation
4. External fixation
**Traction?
RETAIN
Casts
RETAIN
Functional bracing
RETAIN
Internal fixation
RETAIN
External fixation
RETAIN
Traction
RETAIN (why splint?)
1. Alleviate pain
2. Ensure that union takes place in good
position
3. Permit early movement of the limb and a
return of function
REHABILITATION
• Reducing oedema
• Preserve joint movement
• Restore muscle power
• Back to normal activity
MANAGEMENT OF OPEN
FRACTURE
UNION vs. CONSOLIDATION ?
• UNION
– Incomplete repair
• calcified callus
• # site a little tender, attempted angulation
painful
• Xray – visible # line
• CONSOLIDATION
– Completed repair
• ossification of calcified callus
• # site not tender, no movement, attempted
angulation painless
• # line obliterated & crossed by bone
trabeculae
PERKIN’S RULES
For spiral fractures in upper limb
• Union in 3/52
• Consolidation x2
• Lower limb x2 again
• Tranverse # x2 again
Why?
DELAYED UNION
Fracture that has not healed within expected
time frame
WHY?
WHAT SHOULD WE DO ?
NON UNION
Fracture that will not heal without further
intervention
•Mechanical
• Inadequate fracture stabilization
• Uncontrolled repetitive stress
• Distraction & separation of fragments
•Biological
• Insufficient blood supply
• Infection
NON UNION
1. Septic (Infected)
2. Aseptic
• Hypertrophic – good blood supply but excessive
motion
• Atrophic – good fixation but poor blood supply
COMPLICATIONS
OF FRACTURE
GENERAL COMPLICATIONS
1. Shock
2. Coagulopathy
3. Fat embolism
4. Deep venous thrombosis
5. Tetanus
6. Gas gangrene
LOCAL COMPLICATIONS
• EARLY
• Bone – infection
• Soft tissues – compartment syndrome
• Joints – ligamentous injury
• LATE
• Bone – delayed union / non union / malunion
• Soft tissues – volkmann ischemic contracture
• Joints – stiffness, instability
STRESS FRACTURE
• Occur in normal bone of healthy patient
due to repetitive stress below yield strength
• During repetitive strenuous physical activity
causing imbalance in Wolf's Law
• Tibial shaft, calcaneum, MT, NOF
• Pain after – during – without exercise
PATHOLOGICAL FRACTURE
• Occur from trivial injuries through area of
weakened bone with a preexisting
abnormality
• Osteoporosis
• Paget’s disease
• Osteogenesis imperfecta
• Bone cysts
• Malignant tumors – primary & metastasis
THANK YOU
STEPS
1. Antibiotic prophylaxis
2. Wound debridement
3. Stabilization of fracture
4. Early wound cover
PREVENTION OF INFECTION
1. Antibiotics
• What?
• When?
• How?
2. Wound debridement
• The solution to pollution is dilution
• Removal of nonviable tissue – ‘4C’
• Color
• Consistency
• Contractility
• Capability to bleed
**Bone and fascia
STABILIZATION OF FRACTURE
• The importance of skeletal stability
• Promotes soft tissue healing
• Reduces rate of infection
• Wound care
• Options
• External fixation
• Internal fixation
WOUND CLOSURE
• 5-7 days is reasonable
• Options
• Primary delayed closure
• Skin grafting
• flaps

Principles of fractures

  • 1.
    PRINCIPLES OF FRACTURES AHMADFADZLI SULONG Advanced Trauma Unit Dept of Orthopaedics, Traumatology & Rehabilitation
  • 2.
    By the endof this lecture, hopefully… 1.what is fracture 2. Forces that causes fracture 3. Types of fracture – especially open fracture 4. FRACTURE HEALING
  • 3.
    DEFINITION A break instructural continuity of bone
  • 4.
    CAUSES 1. Traumatic fracture •Direct force – bone breaks at point of impact • Indirect force – bone breaks at a distance from where force is applied 2. Pathological fracture • Normal stress in weakened bone 3. Stress fracture • Repetitive stress in normal bone
  • 5.
    Mechanism of injury: •Spiral – torsion • Short oblique – compression • Butterfly – bending • Transverse – tension
  • 6.
  • 7.
    1. Transverse –distraction/bending force 2. Oblique – bending, compression 3. Spiral – twisting 4. Impacted – axial loading 5. Comminuted – high energy 6. Greenstick 7. Torus
  • 8.
  • 9.
    DEFINITION Fracture with breakin skin and underlying soft tissues with communication between external environment and fractured bone and its hematoma
  • 11.
    GUSTILO CLASSIFICATION • 4main components:  Size of wound  Degree of soft tissue injury  Degree of contamination  Degree of comminution • Established at time of operative debriment (intra op classification)
  • 12.
    TYPE I • Thewound is less than one centimeter long. • It is usually a clean puncture, through which a spike of bone has pierced the skin. • There is little soft-tissue damage and no sign of crushing injury. • The fracture is usually simple, transverse, or short oblique, with little comminution. The management of open fractures RB Gustilo, RL Merkow and D Templeman J Bone Joint Surg Am. 1990;72:299- 304
  • 14.
    TYPE II • Thelaceration is more than one centimeter long (1cm<x<10cm) • There is no extensive soft-tissue damage, flap, or avulsion. • There is a slight or moderate crushing injury, moderate comminution of the fracture, and moderate contamination. The management of open fractures RB Gustilo, RL Merkow and D Templeman J Bone Joint Surg Am. 1990;72:299- 304
  • 16.
    TYPE III • Extensivedamage to soft tissue, including muscles, skin, and neurovascular structures. • A high degree of contamination. The fracture is often caused by high-velocity trauma • Fracture with high degree of comminution The management of open fractures RB Gustilo, RL Merkow and D Templeman J Bone Joint Surg Am. 1990;72:299- 304
  • 17.
    TYPE III A •Soft-tissue coverage of the fractured bone is adequate, despite extensive laceration, flaps, or high-energy trauma. • This subtype includes segmental or severely comminuted fractures from high- energy trauma, regardless of the size of the wound. The management of open fractures RB Gustilo, RL Merkow and D Templeman J Bone Joint Surg Am. 1990;72:299- 304
  • 18.
    TYPE III B •Periosteal stripping and exposure of bone, massive contamination, and severe comminution of the fracture from high- velocity trauma. • After debridement and irrigation is completed, a segment of bone is exposed and a local or free flap is needed for coverage. The management of open fractures RB Gustilo, RL Merkow and D Templeman J Bone Joint Surg Am. 1990;72:299- 304
  • 19.
    TYPE III C •Associated with an neurovascular injury that must be repaired, regardless of the degree of soft-tissue injury. The management of open fractures RB Gustilo, RL Merkow and D Templeman J Bone Joint Surg Am. 1990;72:299- 304
  • 20.
    ALL OPEN FRACTURES,NO MATTER HOW TRIVIAL THEY MAY SEEM, MUST BE ASSUMED TO BE CONTAMINATED
  • 21.
    SEPSIS RATE SEPSIS RATE TYPE I 0% TYPEII 2.5% TYPE III 13.7% TYPE IIIA 5% TYPE IIIB 28% TYPE IIIC 8% Classification of type III (severe) open fractures relative to treatment and results. Gustilo RB; Gruninger RP; Davis T Orthopedics. 1987; 10(12):1781-8 (ISSN: 0147-7447)
  • 22.
    FRACTURE HEALING 1. Primarybone healing • Rigid fixation • No callus • aka contact/gap healing 2. Secondary bone healing • Non rigid fixation • Callus formation • aka endochondral ossification
  • 23.
    SECONDARY BONE HEALING 1.Tissue destruction & hematoma formation 2. Inflammation & cellular proliferation 3. Callus formation (soft callus) 4. Consolidation (woven bone) 5. Remodelling (lamellar bone)
  • 24.
  • 25.
    PRIMARY BONE HEALING 1.Immobilized fragments (no callus stimulus) 2. Gap healing – osteoblastic activity across fracture to achieve contact healing 3. Cutting cones – remodeling action by osteoclasts 4. Relies on fixation for strength (no callus) and may lead to osteoporotic changes of bone
  • 26.
  • 29.
  • 30.
    THE ‘4R’ 1. RESUSCITATION 2.REDUCE 3. RETAIN / HOLD 4. REHAB / EXERCISE
  • 31.
  • 32.
    REDUCE • As soonas possible • Alignment more important than apposition • Articular surface requires anatomical reduction • Closed manipulative reduction • Open reduction
  • 33.
  • 34.
    REDUCE FRACTURE Extra articularfracture – relative stability
  • 35.
    REDUCE FRACTURE Intra articularfractures – MUST obtain absolute stability
  • 36.
    Preferably 3 people Adequatesedation essential Continuous monitoring CLOSED REDUCTION
  • 37.
  • 38.
  • 39.
    RETAIN 1. Cast splintage 2.Functional bracing 3. Internal fixation 4. External fixation **Traction?
  • 40.
  • 41.
  • 42.
  • 43.
  • 44.
  • 45.
    RETAIN (why splint?) 1.Alleviate pain 2. Ensure that union takes place in good position 3. Permit early movement of the limb and a return of function
  • 46.
    REHABILITATION • Reducing oedema •Preserve joint movement • Restore muscle power • Back to normal activity
  • 48.
  • 49.
    UNION vs. CONSOLIDATION? • UNION – Incomplete repair • calcified callus • # site a little tender, attempted angulation painful • Xray – visible # line
  • 50.
    • CONSOLIDATION – Completedrepair • ossification of calcified callus • # site not tender, no movement, attempted angulation painless • # line obliterated & crossed by bone trabeculae
  • 51.
    PERKIN’S RULES For spiralfractures in upper limb • Union in 3/52 • Consolidation x2 • Lower limb x2 again • Tranverse # x2 again Why?
  • 52.
    DELAYED UNION Fracture thathas not healed within expected time frame WHY? WHAT SHOULD WE DO ?
  • 53.
    NON UNION Fracture thatwill not heal without further intervention •Mechanical • Inadequate fracture stabilization • Uncontrolled repetitive stress • Distraction & separation of fragments •Biological • Insufficient blood supply • Infection
  • 54.
    NON UNION 1. Septic(Infected) 2. Aseptic • Hypertrophic – good blood supply but excessive motion • Atrophic – good fixation but poor blood supply
  • 55.
  • 56.
    GENERAL COMPLICATIONS 1. Shock 2.Coagulopathy 3. Fat embolism 4. Deep venous thrombosis 5. Tetanus 6. Gas gangrene
  • 57.
    LOCAL COMPLICATIONS • EARLY •Bone – infection • Soft tissues – compartment syndrome • Joints – ligamentous injury • LATE • Bone – delayed union / non union / malunion • Soft tissues – volkmann ischemic contracture • Joints – stiffness, instability
  • 58.
  • 59.
    • Occur innormal bone of healthy patient due to repetitive stress below yield strength • During repetitive strenuous physical activity causing imbalance in Wolf's Law • Tibial shaft, calcaneum, MT, NOF • Pain after – during – without exercise
  • 60.
  • 61.
    • Occur fromtrivial injuries through area of weakened bone with a preexisting abnormality • Osteoporosis • Paget’s disease • Osteogenesis imperfecta • Bone cysts • Malignant tumors – primary & metastasis
  • 62.
  • 64.
    STEPS 1. Antibiotic prophylaxis 2.Wound debridement 3. Stabilization of fracture 4. Early wound cover
  • 65.
    PREVENTION OF INFECTION 1.Antibiotics • What? • When? • How? 2. Wound debridement • The solution to pollution is dilution • Removal of nonviable tissue – ‘4C’ • Color • Consistency • Contractility • Capability to bleed **Bone and fascia
  • 66.
    STABILIZATION OF FRACTURE •The importance of skeletal stability • Promotes soft tissue healing • Reduces rate of infection • Wound care • Options • External fixation • Internal fixation
  • 67.
    WOUND CLOSURE • 5-7days is reasonable • Options • Primary delayed closure • Skin grafting • flaps

Editor's Notes

  • #4 It is a spectrum from: Crack  complete Closed  open Simple  comminuted
  • #5 Bone is relatively brittle but it still has sufficient strength to withstand considerable stress Fractures can result from :
  • #24 HEMATOMA -torn vessel  hematoma formation -bone end deprived of blood  dies back few mm INFLAMMATION -within 8 hours -proliferation of cells around fracture ends which bridge the fracture site -clotted hematoma is absorbed  new capillaries grow CALLUS FORMATION -cells are chondrogenic / osteogenic  will start forming bone -form woven bone (immature bone)  become calcified CONSOLIDATION -woven bone transformed into lamellar bone -slow process = several month REMODELLING -period of years -reshaping of bone by alternating bone resorption and formation in response to stress
  • #26 Gap invaded by capillaries and osteoprogenitor cells Less than 200 microM, osteogen produces lamellar bone straight away Bigger gap has woven bone laid down, which then remodels
  • #33 ASAP = before soft tissue swelling that make reduction difficult Not all fracture require reduction -minimally displaced -when displacement does not matter (clavicle) -when reduction is unlikely to succeed (vertebra)