POST PROCESSING TECHNIQUES
Chandana.R
Dept. of MIT
ADC
DIGITAL DATA
TO
COMPUTER
X- ray tube
Beam shaping filter
Pre patient collimators
patient
Detector collimator
detector
Electrical signal
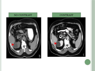
2D IMAGE OF ABDOMEN
NO CONTRAST CONTRAST
Straight Sinus
2D IMAGE OF BRAIN CT
AFTER GETTING TWO DIMENTIONAL SLICE
currently available for generating multidirectional
3D reformation are:
 Multi planar reconstruction
 Curved Planar Imaging
 Ray tracing projections
 Maximum intensity projection
 Minimum intensity projection
 3 D imaging
- Surface rendering
- Volume rendering
MULTI PLANAR
RECONSTRUCTIONS
 Sagittal, coronal or oblique reformations from a stack of
acquired axial slices
 Fast and easy to perform
Advantages:
 Enables visualization of
specific structures in relation to
surrounding structures
 Determines extent of lesions
or fractures
 Helps to localize lesions, bone
fragments or foreign bodies
Disadvantages:
 Loss of image detail
 Reformatted image quality
depends on quality of axial
images
 Plane thickness – Blurring
and loss of structural detail
MAXIMUM INTENSITY
PROJECTIONS
 Only tissues with greatest attenuation selectively highlighted
 The maximum Hounsfield Unit that each mathematical
ray of reconstruction encounters is displayed
 Makes use of less than 10% of data in 3D space
Benefits
 CT-angiography: Vessels containing contrast medium are clearly
seen
 Takes less time to produce 3D stimulated images than VR
algorithms
Limitations
 Presence of other high attenuating objects may obscure the
evaluation
 Lacks depth and Inability to show superimposed structures
 Generates “string of beads” artifact due to volume
averaging problems of tissues with lower intensity values
MINIMUM INTENSITY PROJECTIONS
 Only tissues with minimum attenuation or lowest
Hounsfield unit will be displayed
 Advantage - Provides a valuable perspective in defining
lesions for surgical planning or detecting subtle small
airway diseases i.e. easily demonstrates air filled cavities
 Disadvantage: Overlapping structures as
it lacks real 3D relationship
3D IMAGING
3D imaging using MDCT reconstructs and displays 3D CT
anatomy with unprecedental special effects for enhanced
diagnostic confidence.
There are two modes of 3-D Imaging:
 SURFACE RENDERING
 VOLUME RENDERING
SURFACE SHADED DISPLAY
(SSD)
 RENDERING is a process in which a computer program
uses the CT scan data to generate recognizable 3D CT
images
 Surface shaded display is a surface rendered image that
provides a realistically looking three dimensional view of the
surface of a structure of interest within the acquired volume
set.
 Uses less than 10% of original data in 3D space.
SSD
ADVANTAGES:-
 Clarity in display of image.
 Smoothness of ridges.
 Computational time is less.
 Best demonstration of overlapping structures .
 Depiction of vessel structures .
DISADVANTAGE:-
 Removes all data; except the data associated with surface.
 Internal structures of the object is not compared.
VOLUME RENDERING
 Volume rendering technique enables edge enhanced visualisation
from an extra luminal perspective or endoscopic perspective
volume rendering of body cavities and hollow viscera.
 The advantage of volume rendering over surface rendering is that
it allows visualizing the structures beyond the surface.
 Along with vascular anatomy; it provides definition of soft tissue ,
muscle , and bone ; which helps in more pathological evaluation.
VOLUME RENDERED IMAGE
ADVANTAGE:-
 Provides vast information of the whole scanned image.
 Assign full spectrum of opacity values.
 Separation of tissue classification and shading.
 More robust and versatile data set than SSD.
 Helpful in thoracic aorta and carotid artery stenosis evaluation.
DISADVANTAGE:-
 Requires 100% of acquired data set ; so time taking processing.
 High computational cost.
WORKSPACE DISPLAY
IMAGE AREA
1 . Workflow bar, provides access to major functions
2 . Select either a Viewer or an Analysis application
3 . Select a storage Device, to retrieve, copy, or save information
4 . Buttons that Clear Filter of the patient list, or Refresh
display
5 . Archive Manager, to manage Patient and data files
6 . List of patient studies in the currently accessed Device
7 . List of Bookmarks related to the current study
8 . Queue Manager, monitors progress of transfer, print, or Pre-
processing
9 . Series (and Files and Reports) connected to the current study
10. Quick review of study (without using Viewer or Analysis)
11. Buttons to Logout from system, or access user Preferences
12. System status monitor
13. Message bar displays information to the user
APPLICATIONS
CT Viewer
 A comprehensive viewer for fast review of CT data in four
visualization modes:
1. 2D - review original axial images
2. Slab - review a thin slab image in different orientations
3. Volume - review full volume images
4. Endo - review using the flythrough mode
Cardiac Viewer (option)
 See detailed views of the patient’s heart, perform Functional
Analysis procedures, and see cine views of the heart’s dynamic
behavior
ENDO VIEWER WINDOW
Advanced Vessel Analysis(option)
 Offers a set of tools for stent planning and general vascular analysis.
Lung Nodule Assessment(option)
 Assist the diagnosis of pulmonary nodules and lesions with subsequent follow-up.
Lung Density (option)
 Provides quantitative (volumetric) lung emphysema measurements with a visual
representation of emphysema diffusion.
Virtual Colonoscopy(option)
 Fast and easy visualization of colon scans,
Comprehensive Cardiac Analysis (option)
 Assess the state of the coronary arteries and create a functional analysis of the heart.
(Cardiac) Calcium Scoring(Heartbeat CS)
 Estimate the amount of calcium in the coronary arteries or other organs.
Electrophysiology Planning(option)
 For viewing pre- and post-procedural exams of pulmonary arteries for
early detection of complications
Brain Perfusion (option)
 Blood flow imaging of the brain to analyze uptake of contrast, to
determine functional blood flow information.
Functional CT (option)
 Blood flow imaging to analyze uptake of contrast, analyzes time-
dependent processes, and determines functional blood flow information.
Bone Mineral Density(option)
 Measure bone density, track changes over time when osteoporosis has been
diagnosed.
Dental Planning (option)
 Planning of implantation of dental prostheses.
Spectral Analysis (option)
 Spectral Analysis is an application for review and analysis of iCT Dual
Energy (DE) scans.
Liver Analysis (option)
 Provides segmentation tools to facilitate quantitative assessment of the
entire liver, vasculature, territories, and lesions. A set of tools is included for
interventional planning.
Fat Assessment (option)
 Provides semi-automatic tools to measure fat area in the abdomen.
Detailed analysis of the visceral and subcutaneous fat regions is provided.
Automatic Registration(option)
 Allows you to align series of differing modalities including PET, SPECT,
CT and MRI.
Emory Cardiac toolbox(option)
 Allows you to assess, analyze and display myocardial perfusion and
viability in PET
NeuroQ (option)
 Aids in the assessment of FDG-PET human brain scans.
4D CT SCAN
 Four-dimensional computed tomography (4DCT) is a
type of CT scanning which records multiple images
over time. It allows playback of the scan as a video, so
that physiological processes can be observed and
internal movement can be tracked. The name is
derived from the addition of time (as the fourth
dimension) to traditional 3D computed tomography.
Alternatively, the phase of a particular process, such
as respiration, may be considered the fourth
dimension.
 Fluoroscopy is a similar technique to 4DCT, however it
refers to the introduction of a time element to 2D
planar radiography, rather than to 3D CT.
APPLICATIONS
1. 4DCT has started to be used for diagnostic
radiology procedures, for example looking at joint
problems, the cardiac cycle and parathyroid
washout of contrast. Downsides of 4DCT for
diagnostic purposes include large and complex
datasets, and increased radiation dose to the
patient
2. Radiotherapy
 4DCT is used in radiation therapy planning to reduce doses to healthy organs
such as the heart or lungs. Most radiation therapy is planned using the results
of a 3D CT scan. A 3D scan largely presents a snapshot of the body at a
particular point in time, however due to the time of the acquisition, in which the
patient is likely to have moved in some way (even if only breathing), there will
be an element of blurring or averaging in the 3D scan. When it comes to
treatment planning, this motion can mean there is less accuracy in the
positioning of treatment beams, and reduce the likelihood of a repeatable set-up
on the linear accelerator when it comes to treatment.
 To minimise physical movements of the patient, some sort of immobilisation is
typically used. To overcome physiological motion, such as breathing, 4DCT
acquires images at a range of times and positions, allowing the extent of motion
to be visualised (e.g. from maximum inspiration to maximum exhalation). The
treatment plan can then be designed with a knowledge of the full range of
possible positions of important organs, and the tumour (target) itself.
 4DCT will usually involve a gating technique, such as breathing tracking, so
that image acquisition is automatically triggered at set points. This gating can
also be applied at treatment, where the radiotherapy beam is only switched on
at certain points in the breathing cycle (as in the deep inspiration breath-hold
technique).
RECONSTRUCTION METHODS
 4DCT aims to visualise the temporal dynamics of a 3D sample with a
sufficiently high temporal and spatial resolution. Successive time frames
are typically obtained by sequential scanning, followed by independent
reconstruction of each 3D dataset. Such an approach requires a large
number of projections for each scan to obtain images with sufficient
quality (in terms of artefacts and SNR). Hence, there is a clear trade-off
between the rotation speed of the gantry (i.e. time resolution) and the
quality of the reconstructed images. Motion vector based Iterative
Techniques are available which reconstruct a particular time frame by
including the projections of neighbouring time frames as well. Such a
strategy allows to improve the trade-off between the rotation speed and
the SNR.
 For fluid dynamics, specialized reconstruction algorithms have been
developed that model the attenuation course throughout time. An
example of such fluid dynamics is perfusion CT in which the
propagation of contrast agent is modelled and simultaneously estimated
with the CT images.
REFERENCE
 Computed radiography, Euclid Seeram.
 Philips CT-manual
Thank you

Post proceesing techniques & visualization.pptx

  • 1.
  • 2.
    ADC DIGITAL DATA TO COMPUTER X- raytube Beam shaping filter Pre patient collimators patient Detector collimator detector Electrical signal
  • 3.
    2D IMAGE OFABDOMEN
  • 4.
  • 5.
  • 6.
    AFTER GETTING TWODIMENTIONAL SLICE currently available for generating multidirectional 3D reformation are:  Multi planar reconstruction  Curved Planar Imaging  Ray tracing projections  Maximum intensity projection  Minimum intensity projection  3 D imaging - Surface rendering - Volume rendering
  • 7.
    MULTI PLANAR RECONSTRUCTIONS  Sagittal,coronal or oblique reformations from a stack of acquired axial slices  Fast and easy to perform
  • 8.
    Advantages:  Enables visualizationof specific structures in relation to surrounding structures  Determines extent of lesions or fractures  Helps to localize lesions, bone fragments or foreign bodies Disadvantages:  Loss of image detail  Reformatted image quality depends on quality of axial images  Plane thickness – Blurring and loss of structural detail
  • 9.
    MAXIMUM INTENSITY PROJECTIONS  Onlytissues with greatest attenuation selectively highlighted  The maximum Hounsfield Unit that each mathematical ray of reconstruction encounters is displayed  Makes use of less than 10% of data in 3D space
  • 10.
    Benefits  CT-angiography: Vesselscontaining contrast medium are clearly seen  Takes less time to produce 3D stimulated images than VR algorithms
  • 11.
    Limitations  Presence ofother high attenuating objects may obscure the evaluation  Lacks depth and Inability to show superimposed structures  Generates “string of beads” artifact due to volume averaging problems of tissues with lower intensity values
  • 12.
    MINIMUM INTENSITY PROJECTIONS Only tissues with minimum attenuation or lowest Hounsfield unit will be displayed  Advantage - Provides a valuable perspective in defining lesions for surgical planning or detecting subtle small airway diseases i.e. easily demonstrates air filled cavities
  • 13.
     Disadvantage: Overlappingstructures as it lacks real 3D relationship
  • 14.
    3D IMAGING 3D imagingusing MDCT reconstructs and displays 3D CT anatomy with unprecedental special effects for enhanced diagnostic confidence. There are two modes of 3-D Imaging:  SURFACE RENDERING  VOLUME RENDERING
  • 15.
    SURFACE SHADED DISPLAY (SSD) RENDERING is a process in which a computer program uses the CT scan data to generate recognizable 3D CT images  Surface shaded display is a surface rendered image that provides a realistically looking three dimensional view of the surface of a structure of interest within the acquired volume set.  Uses less than 10% of original data in 3D space.
  • 16.
  • 17.
    ADVANTAGES:-  Clarity indisplay of image.  Smoothness of ridges.  Computational time is less.  Best demonstration of overlapping structures .  Depiction of vessel structures . DISADVANTAGE:-  Removes all data; except the data associated with surface.  Internal structures of the object is not compared.
  • 18.
    VOLUME RENDERING  Volumerendering technique enables edge enhanced visualisation from an extra luminal perspective or endoscopic perspective volume rendering of body cavities and hollow viscera.  The advantage of volume rendering over surface rendering is that it allows visualizing the structures beyond the surface.  Along with vascular anatomy; it provides definition of soft tissue , muscle , and bone ; which helps in more pathological evaluation.
  • 19.
  • 20.
    ADVANTAGE:-  Provides vastinformation of the whole scanned image.  Assign full spectrum of opacity values.  Separation of tissue classification and shading.  More robust and versatile data set than SSD.  Helpful in thoracic aorta and carotid artery stenosis evaluation. DISADVANTAGE:-  Requires 100% of acquired data set ; so time taking processing.  High computational cost.
  • 22.
  • 23.
  • 25.
    1 . Workflowbar, provides access to major functions 2 . Select either a Viewer or an Analysis application 3 . Select a storage Device, to retrieve, copy, or save information 4 . Buttons that Clear Filter of the patient list, or Refresh display 5 . Archive Manager, to manage Patient and data files 6 . List of patient studies in the currently accessed Device 7 . List of Bookmarks related to the current study 8 . Queue Manager, monitors progress of transfer, print, or Pre- processing 9 . Series (and Files and Reports) connected to the current study 10. Quick review of study (without using Viewer or Analysis) 11. Buttons to Logout from system, or access user Preferences 12. System status monitor 13. Message bar displays information to the user
  • 26.
  • 27.
    CT Viewer  Acomprehensive viewer for fast review of CT data in four visualization modes: 1. 2D - review original axial images 2. Slab - review a thin slab image in different orientations 3. Volume - review full volume images 4. Endo - review using the flythrough mode Cardiac Viewer (option)  See detailed views of the patient’s heart, perform Functional Analysis procedures, and see cine views of the heart’s dynamic behavior
  • 28.
  • 29.
    Advanced Vessel Analysis(option) Offers a set of tools for stent planning and general vascular analysis. Lung Nodule Assessment(option)  Assist the diagnosis of pulmonary nodules and lesions with subsequent follow-up. Lung Density (option)  Provides quantitative (volumetric) lung emphysema measurements with a visual representation of emphysema diffusion. Virtual Colonoscopy(option)  Fast and easy visualization of colon scans, Comprehensive Cardiac Analysis (option)  Assess the state of the coronary arteries and create a functional analysis of the heart.
  • 30.
    (Cardiac) Calcium Scoring(HeartbeatCS)  Estimate the amount of calcium in the coronary arteries or other organs. Electrophysiology Planning(option)  For viewing pre- and post-procedural exams of pulmonary arteries for early detection of complications Brain Perfusion (option)  Blood flow imaging of the brain to analyze uptake of contrast, to determine functional blood flow information. Functional CT (option)  Blood flow imaging to analyze uptake of contrast, analyzes time- dependent processes, and determines functional blood flow information.
  • 31.
    Bone Mineral Density(option) Measure bone density, track changes over time when osteoporosis has been diagnosed. Dental Planning (option)  Planning of implantation of dental prostheses. Spectral Analysis (option)  Spectral Analysis is an application for review and analysis of iCT Dual Energy (DE) scans. Liver Analysis (option)  Provides segmentation tools to facilitate quantitative assessment of the entire liver, vasculature, territories, and lesions. A set of tools is included for interventional planning.
  • 32.
    Fat Assessment (option) Provides semi-automatic tools to measure fat area in the abdomen. Detailed analysis of the visceral and subcutaneous fat regions is provided. Automatic Registration(option)  Allows you to align series of differing modalities including PET, SPECT, CT and MRI. Emory Cardiac toolbox(option)  Allows you to assess, analyze and display myocardial perfusion and viability in PET NeuroQ (option)  Aids in the assessment of FDG-PET human brain scans.
  • 43.
    4D CT SCAN Four-dimensional computed tomography (4DCT) is a type of CT scanning which records multiple images over time. It allows playback of the scan as a video, so that physiological processes can be observed and internal movement can be tracked. The name is derived from the addition of time (as the fourth dimension) to traditional 3D computed tomography. Alternatively, the phase of a particular process, such as respiration, may be considered the fourth dimension.  Fluoroscopy is a similar technique to 4DCT, however it refers to the introduction of a time element to 2D planar radiography, rather than to 3D CT.
  • 44.
    APPLICATIONS 1. 4DCT hasstarted to be used for diagnostic radiology procedures, for example looking at joint problems, the cardiac cycle and parathyroid washout of contrast. Downsides of 4DCT for diagnostic purposes include large and complex datasets, and increased radiation dose to the patient
  • 45.
    2. Radiotherapy  4DCTis used in radiation therapy planning to reduce doses to healthy organs such as the heart or lungs. Most radiation therapy is planned using the results of a 3D CT scan. A 3D scan largely presents a snapshot of the body at a particular point in time, however due to the time of the acquisition, in which the patient is likely to have moved in some way (even if only breathing), there will be an element of blurring or averaging in the 3D scan. When it comes to treatment planning, this motion can mean there is less accuracy in the positioning of treatment beams, and reduce the likelihood of a repeatable set-up on the linear accelerator when it comes to treatment.  To minimise physical movements of the patient, some sort of immobilisation is typically used. To overcome physiological motion, such as breathing, 4DCT acquires images at a range of times and positions, allowing the extent of motion to be visualised (e.g. from maximum inspiration to maximum exhalation). The treatment plan can then be designed with a knowledge of the full range of possible positions of important organs, and the tumour (target) itself.  4DCT will usually involve a gating technique, such as breathing tracking, so that image acquisition is automatically triggered at set points. This gating can also be applied at treatment, where the radiotherapy beam is only switched on at certain points in the breathing cycle (as in the deep inspiration breath-hold technique).
  • 46.
    RECONSTRUCTION METHODS  4DCTaims to visualise the temporal dynamics of a 3D sample with a sufficiently high temporal and spatial resolution. Successive time frames are typically obtained by sequential scanning, followed by independent reconstruction of each 3D dataset. Such an approach requires a large number of projections for each scan to obtain images with sufficient quality (in terms of artefacts and SNR). Hence, there is a clear trade-off between the rotation speed of the gantry (i.e. time resolution) and the quality of the reconstructed images. Motion vector based Iterative Techniques are available which reconstruct a particular time frame by including the projections of neighbouring time frames as well. Such a strategy allows to improve the trade-off between the rotation speed and the SNR.  For fluid dynamics, specialized reconstruction algorithms have been developed that model the attenuation course throughout time. An example of such fluid dynamics is perfusion CT in which the propagation of contrast agent is modelled and simultaneously estimated with the CT images.
  • 47.
    REFERENCE  Computed radiography,Euclid Seeram.  Philips CT-manual
  • 48.

Editor's Notes

  • #5 Straight Sinus
  • #7 Image reformation using computer program that….
  • #20 opacity-transparency / Clarity
  • #35 Advance Vessel Analysis
  • #36 Lung Nodule Assesement
  • #37 Vitual Colonoscopy
  • #38 Brain Perfusiion
  • #39 Bone Mineral Density(option)
  • #40 Dental Planning (option)
  • #41 Liver Analysis (option) Provides segmentation tools to facilitate quantitative assessment of the entire liver, vasculature, territories, and lesions. A set of tools is included for interventional planning.