PNEUMOTHORAX
3
What is pneumothorax
• Pleural cavity is a latent closed space, in which there
is no air
• Normally negative pressure exist between the
visceral pleura and parietal pleura allowing the lung
to be filled by chest wall expansion
• Pneumothorax is defined as air in the pleural space
• That is, air between the lung and chest wall, or in
other term, air between the visceral pleura and the
parietal pleura
4
Pneumothorax
5
Classification of
pneumothorax
• Divided into three types
o Spontaneous
having an unknown cause or occurring as a
consequence of the nature course of a disease
process, such as COPD, tuberculosis
Primary
Secondary
o Traumatic
following any penetrating or non-penetrating chest
trauma, with or without bronchial rupture
OPEN
CLOSED- no Communication b/n airway and the
pleural space seals off as the lung deflates
• Iatrogenic
occurring as the results of diagnostic or therapeutic
medical procedure. Intentional or a complication
• EG- Transthoracic needle aspiration
sublavian catheter insertion
mechanical ventilation
Tension pneumothorax
• Communication b/n the airway & the pleural space acts as
a one-way valve
• Allowing air to enter the pleural space during inspiration but
not to escape on expiration
• Large amt of air accumulates progressively in the pleural
space
• Intrapleural pressure increases above atm pressure
• Pressure causes mediastinal shift towards the
opposite side
• with compression of the opposite lung
• & impairment of systemic venous return
• Causing cardiovascular compromise
Clinical features
• Sudden onset of unliateral pleuritic chest pain
• Breathlessness
[In pts with a small pneumothorax, physical examination may
be normal ]
General examination
oCyanosis
oRapid thready pulse
oSigns of peripheral circulatory failure in
severe cases
Inspection & palpation
• Dyspnoea
• Accessory muscles of respiration
• Shift of trachea
• Shift of mediastinum to opposite side
• Fullness of chest on the affected side
• Diminished chest movements
Percussion
• Hyper-resonant on affected
pneumothorax.
Auscultation
• Diminished to absent breath sounds
• Absence of adventitious sounds
Investigations
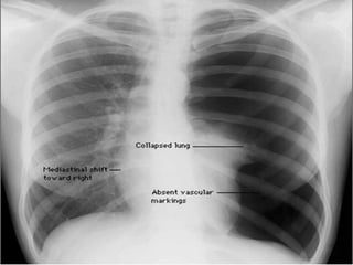
Chest x ray
Shows : increased radiolucency, with
absence of bronchovascular markings
• extend of mediastinal shift.
• pleural fluid ,if present .
• underlying pulmonary disease .
• (costophrenic angles are clear)
Treatment
Primary pneumothorax
• If the lung edge is < 2cm from the chest
wall and patient is not breathless
↓
Resolves normally with out intervention
• If the patient is having severe
symptoms
↓
Percutaneous needle aspiration
↓
If it fails , intercostal tube drainage is done
• Tension hemothorax
Air enters the pleural space but cannot escape
acts as a one-way valve
PERCUTANEOUS NEEDLE ASPIRATION OF AIR
Secondary pneumothorax
Even a small secondary pneumothorax may
cause respiratory failure, so all such patients require
↓
Intercostal tube drainage
[Intercostal drains are inserted in the 4th ,5th or 6th intercostal
space in the midaxillary line ,connected to an under
waterseal]
Tension pneumothorax
• It is a medical emergency.
• A large bore needle is inserted into pleural
space through 2nd intercostal space.
• Needle should be left in place until a
thoracostomy tube can be inserted.
27
Intercostal tube drainage
Fix the catheter and cover with gauze
Making a small incision
Using a forceps to extend the hole
Inserting a catheter into pleural cavity
28
Intercostal tube drainage
29
Observation and nursing
care
• No bubble released
o The lung reexpansion
o The chest tube is obstructed by secretion or blood
clot
o The chest tube shift to chest wall, the hole of the
chest tube is located in the chest wall
• If the lung reexpansion, removing the chest tube
24 hours after reexpansion
• Otherwise, the chest tube will be inserted again
or regulated the position

pneumothorax-171013103109.pdf

  • 1.
  • 2.
    3 What is pneumothorax •Pleural cavity is a latent closed space, in which there is no air • Normally negative pressure exist between the visceral pleura and parietal pleura allowing the lung to be filled by chest wall expansion • Pneumothorax is defined as air in the pleural space • That is, air between the lung and chest wall, or in other term, air between the visceral pleura and the parietal pleura
  • 3.
  • 4.
    5 Classification of pneumothorax • Dividedinto three types o Spontaneous having an unknown cause or occurring as a consequence of the nature course of a disease process, such as COPD, tuberculosis Primary Secondary
  • 5.
    o Traumatic following anypenetrating or non-penetrating chest trauma, with or without bronchial rupture OPEN CLOSED- no Communication b/n airway and the pleural space seals off as the lung deflates
  • 7.
    • Iatrogenic occurring asthe results of diagnostic or therapeutic medical procedure. Intentional or a complication • EG- Transthoracic needle aspiration sublavian catheter insertion mechanical ventilation
  • 8.
    Tension pneumothorax • Communicationb/n the airway & the pleural space acts as a one-way valve • Allowing air to enter the pleural space during inspiration but not to escape on expiration • Large amt of air accumulates progressively in the pleural space • Intrapleural pressure increases above atm pressure
  • 9.
    • Pressure causesmediastinal shift towards the opposite side • with compression of the opposite lung • & impairment of systemic venous return • Causing cardiovascular compromise
  • 11.
    Clinical features • Suddenonset of unliateral pleuritic chest pain • Breathlessness [In pts with a small pneumothorax, physical examination may be normal ]
  • 12.
    General examination oCyanosis oRapid threadypulse oSigns of peripheral circulatory failure in severe cases
  • 13.
    Inspection & palpation •Dyspnoea • Accessory muscles of respiration • Shift of trachea • Shift of mediastinum to opposite side • Fullness of chest on the affected side • Diminished chest movements
  • 14.
    Percussion • Hyper-resonant onaffected pneumothorax.
  • 15.
    Auscultation • Diminished toabsent breath sounds • Absence of adventitious sounds
  • 16.
    Investigations Chest x ray Shows: increased radiolucency, with absence of bronchovascular markings • extend of mediastinal shift. • pleural fluid ,if present . • underlying pulmonary disease . • (costophrenic angles are clear)
  • 19.
  • 20.
    Primary pneumothorax • Ifthe lung edge is < 2cm from the chest wall and patient is not breathless ↓ Resolves normally with out intervention
  • 21.
    • If thepatient is having severe symptoms ↓ Percutaneous needle aspiration ↓ If it fails , intercostal tube drainage is done
  • 22.
    • Tension hemothorax Airenters the pleural space but cannot escape acts as a one-way valve
  • 23.
  • 24.
    Secondary pneumothorax Even asmall secondary pneumothorax may cause respiratory failure, so all such patients require ↓ Intercostal tube drainage [Intercostal drains are inserted in the 4th ,5th or 6th intercostal space in the midaxillary line ,connected to an under waterseal]
  • 25.
    Tension pneumothorax • Itis a medical emergency. • A large bore needle is inserted into pleural space through 2nd intercostal space. • Needle should be left in place until a thoracostomy tube can be inserted.
  • 26.
    27 Intercostal tube drainage Fixthe catheter and cover with gauze Making a small incision Using a forceps to extend the hole Inserting a catheter into pleural cavity
  • 27.
  • 28.
    29 Observation and nursing care •No bubble released o The lung reexpansion o The chest tube is obstructed by secretion or blood clot o The chest tube shift to chest wall, the hole of the chest tube is located in the chest wall • If the lung reexpansion, removing the chest tube 24 hours after reexpansion • Otherwise, the chest tube will be inserted again or regulated the position