CASE PRESENTATION
• MODERATOR
• Dr. Anil Rawat
• M.D.
PRESENTER
• RAHUL KM. TIWARI
• JR III
1
HISTORY
• 9 year old female patient present with
Headache and
Numbness & pain in both upper and lower limbs.
No H/O fever and seizures.
2
3
4
5
6
DIFFERENTIALS
Concurrent pineal and suprasellar region mass
• Germinoma
• Other germ cell tumours
Choriocarcinoma
• Pineoblastomas
7
8
Approach to pineal region masses:
1) Determine if the mass is pineal or extra-pineal in origin
• This can be done by evaluating the direction of mass effect
on the internal cerebral veins and Vein of Galen.
• This relationship will also affect surgical planning as
follows:
1. If the tumor is below these veins, a suboccipital
infratentorial approach.
2. If the tumor is above these veins, an interhemispheric or
Sub temporal approach is used.
9
10
11
2) Age of the patient
12
3) Pattern of calcifications (if present)
13
GERMINOMA
• Involve midline structures (80-90%)
• Pineal (50-65%)> > suprasellar (25-35%) > basal ganglia
• Multiple (20%, usually pineal + suprasellar)
• > 90% of patients under age 20. Peak presentation is 10-12
years
• Pineal germinoma has male predominance, M:F = 3-10:1;
suprasellar, M = F
• Dissemination by CSF and invasion of the adjacent brain
commonly occur, but the prognosis is good (5-year survival
at least 90%).
14
IMAGING FINDINGS
CT FINDINGS
• NECT-
Hyper dense compared to brain .
Appear to be “draped” around the posterior third ventricle.
Obstructive hydrocephalus is variable.
Pineal calcifications are “engulfed” and surrounded by tumor .
Look for a second lesion in the suprasellar region!
• CECT- Strong uniform enhancement is typical.
15
MR FINDINGS
• Iso- to slightly hyperintense to cortex on T1- and T2WI.
• T2* (GRE, SWI) may show “blooming” due to intratumoral
calcification.
• Enhancement is strong and usually homogeneous .
• Because of their high cellularity, germinomas may show
restricted diffusion.
16
CHORIOCARCINOMA
• CNS choriocarcinoma can be primary or metastatic, arising
from an extracranial site such as the retroperitoneum or
mediastinum.
• Typically present in patients 3-20 years of age.
• 4:1 male predominance
• MC sites are the pineal and suprasellar regions.
• Intratumoral hemorrhage with stripe-like or patchy
hypointensities on T2WI are common.
• Heterogeneous rim and nodular enhancement is seen in most
cases.
• Extraneural/CSF metastases are common
17
Imaging
18
• Appearance on CT is non-specific;
like germinomas they often show
areas of high attenuation on plain
CT and show prominent contrast
enhancement.
• Ectatic vascular channels within
make them prone to hemorrhage.
• Heterogeneous signal intensity seen
on MR images reflects the various
components contained within the
lesion, such as intratumoral
hemorrhage, fibrosis, cysts,
necrosis, or vascular proliferation.
Pineoblastoma
• Highly malignant PNET (Primitive
Neuroectodermal tumor)
• Malignant lesions, typically > 3 cm.
Nearly 100% present with hydrocephalus.
• Age: children > young adults. Sex: M:F ~ 1:2
• CSF seeding common
• In patients with trilateral retinoblastoma, Pineoblastoma may
develop in patients with familial and or bilateral retinoblastoma
• (Exploded calcifications) along outside of mass
(peripherally), unlike germinoma which engulfs and induces
calcification of the pineal gland
19
GERMINOMA
• Points in Favour
 Age of the patient
 Pineal mass with
concurrent suprasellar
mass
Calcification pattern
CSF seeding
• Point against
Female patient
20
PINELOBLASTOMA
• Point in favour
Age of the patient
CSF seeding
Features of obstructive
hydrocephalus
• Point Against
Pattern of Calcification
Pineal mass with
concurrent suprasellar
mass
21
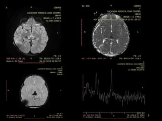
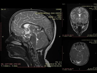
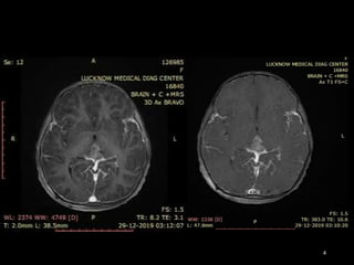
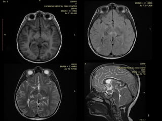
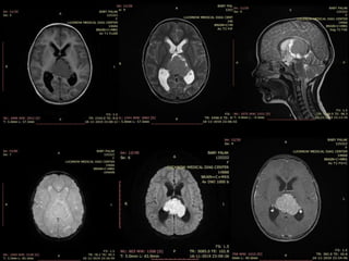
CASE SUMMARY
• 9yr old female patient present with headache and
numbness of limbs
• On imaging shows Relatively well define
hetrogenous enhancing mass lesion in pineal region
and concurrent suprasellar mass with
leptomeningeal spread
• Likely Diagnosis is GERMINOMA
• HPE is awaited
22
QUESTIONS
23
Q 1. Which of the following is false statetment
A. Pineal gland is a small ( ~ 7mm) structure located at the level of
the midbrain, between the thalami at the posterior aspect of the third
ventricle
B. Internal cerebral veins and vein of Galen are located superior
and posterior to the pineal gland, respectively.
C. Principal neuronal cell of the pineal gland is the pinealocyte; a
Modified retinal neuronal cell that is innervated by the sympathetic
plexus originating in the retina.
D. Main product of the pineal gland; Serotonin, modulates the
sleep/wake cycle.
• Ref: European society of radiology, Systematic Approach to
Pineal Region Lesions S. Moawad, S. Hasan, H. Semaan, S. pinsky.
24
Ans1. D
Q 2. Which of the following is wrong statement
A. The pineal gland does not have a blood-brain barrier.
B. Mass lesion in the pineal region with Compression of the
cerebral aqueduct of Sylvius producing obstructive
hydrocephalus.
C. Compression of the tectal plate producing Parinaud
syndrome (vertical gaze palsy), pupillary light dissociation,
and nystagmus.
D. Physiologic calcification is usually seen before the age of
10 years.
25
Ref: European society of radiology, Systematic Approach to Pineal Region Lesions
S. Moawad, S. Hasan, H. Semaan, S. pinsky.
Ans2: D
Q 3. Exploded pattern of calcification seen in
which pineal tumour
A. Pinelocytoma
B. Pineloblastoma
C. Pineal germinoma
D. Both A & B
26
Ref: European society of radiology, Systematic Approach to Pineal Region
Lesions S. Moawad, S. Hasan, H. Semaan, S. pinsky.
Ans3: D
Q 4. Identify the structure labelled as 2 in this
T1 weighted axial image of pineal region
A.Pineal gland
B.Habenula
C.3rdventricle
D. Pulvinar
27
Ref: European society of radiology,
Systematic Approach to Pineal Region
Lesions S. Moawad, S. Hasan, H. Semaan,
S. pinsky.
Ans4: B
Q 5. Identify the structure labelled 1 in T1
weighted sagittal image of Pineal region
A. Posterior commissure
B. Cerebral aqueduct (of Sylvius)
C. Tectum
D. Pineal gland
28
Ref: European society of radiology, Systematic
Approach to Pineal Region Lesions S. Moawad,
S. Hasan, H. Semaan, S. pinsky.
Ans5: A
Q 6. Axial NECT showing a lobulated homogenously
hyperdense midline mass with"engulfed" central
pineal calcifications.Likely
diagnosis is
A. Pinelocytoma
B. Pineloblastoma
C. Pineal germinoma
D. Meningioma
29
Ref: European society of radiology, Systematic Approach to Pineal Region
Lesions S. Moawad, S. Hasan, H. Semaan, S. pinsky.
Ans6: C
Q 7. Drop metastasis is commonly seen in all
except
A. Pineloblastoma
B. Germinoma
C. Pinelocytoma
D. Ependymoma
30
Ref: European society of radiology, Systematic Approach to Pineal
Region Lesions S. Moawad, S. Hasan, H. Semaan, S. pinsky.
Ans7: C
Q 8. 11 yr old female patient
present with Large heterogeneous
mass with "exploded", peripheral
calcification with obstructive
hydrocephalus,likely diagnosis is
A. Pineloblastoma
B. Germinoma
C. Craniopharyngioma
D. Meningioma
31
Ref: European society of radiology, Systematic
Approach to Pineal Region Lesions S. Moawad,
S. Hasan, H. Semaan, S. pinsky.
Ans8: A
Q 9. Quadrilateral retinoblastoma includes all
except
A. Bilateral Retinoblastoma
B. Pineal tumor
C. Suprasellar mass
D. Medulloblastoma
32
Ref: European society of radiology, Systematic Approach to Pineal Region Lesions
S. Moawad, S. Hasan, H. Semaan, S. pinsky.
Ans9: D
Q 10. 5 year old female patient presented
with headache since 1 month
A. Pinelocytoma
B. Pineloblastoma
C. Germinoma
D. Craniopharyngioma
33
34
pineal germinoma CASE

pineal germinoma CASE

  • 1.
    CASE PRESENTATION • MODERATOR •Dr. Anil Rawat • M.D. PRESENTER • RAHUL KM. TIWARI • JR III 1
  • 2.
    HISTORY • 9 yearold female patient present with Headache and Numbness & pain in both upper and lower limbs. No H/O fever and seizures. 2
  • 3.
  • 4.
  • 5.
  • 6.
  • 7.
    DIFFERENTIALS Concurrent pineal andsuprasellar region mass • Germinoma • Other germ cell tumours Choriocarcinoma • Pineoblastomas 7
  • 8.
  • 9.
    Approach to pinealregion masses: 1) Determine if the mass is pineal or extra-pineal in origin • This can be done by evaluating the direction of mass effect on the internal cerebral veins and Vein of Galen. • This relationship will also affect surgical planning as follows: 1. If the tumor is below these veins, a suboccipital infratentorial approach. 2. If the tumor is above these veins, an interhemispheric or Sub temporal approach is used. 9
  • 10.
  • 11.
  • 12.
    2) Age ofthe patient 12
  • 13.
    3) Pattern ofcalcifications (if present) 13
  • 14.
    GERMINOMA • Involve midlinestructures (80-90%) • Pineal (50-65%)> > suprasellar (25-35%) > basal ganglia • Multiple (20%, usually pineal + suprasellar) • > 90% of patients under age 20. Peak presentation is 10-12 years • Pineal germinoma has male predominance, M:F = 3-10:1; suprasellar, M = F • Dissemination by CSF and invasion of the adjacent brain commonly occur, but the prognosis is good (5-year survival at least 90%). 14
  • 15.
    IMAGING FINDINGS CT FINDINGS •NECT- Hyper dense compared to brain . Appear to be “draped” around the posterior third ventricle. Obstructive hydrocephalus is variable. Pineal calcifications are “engulfed” and surrounded by tumor . Look for a second lesion in the suprasellar region! • CECT- Strong uniform enhancement is typical. 15
  • 16.
    MR FINDINGS • Iso-to slightly hyperintense to cortex on T1- and T2WI. • T2* (GRE, SWI) may show “blooming” due to intratumoral calcification. • Enhancement is strong and usually homogeneous . • Because of their high cellularity, germinomas may show restricted diffusion. 16
  • 17.
    CHORIOCARCINOMA • CNS choriocarcinomacan be primary or metastatic, arising from an extracranial site such as the retroperitoneum or mediastinum. • Typically present in patients 3-20 years of age. • 4:1 male predominance • MC sites are the pineal and suprasellar regions. • Intratumoral hemorrhage with stripe-like or patchy hypointensities on T2WI are common. • Heterogeneous rim and nodular enhancement is seen in most cases. • Extraneural/CSF metastases are common 17
  • 18.
    Imaging 18 • Appearance onCT is non-specific; like germinomas they often show areas of high attenuation on plain CT and show prominent contrast enhancement. • Ectatic vascular channels within make them prone to hemorrhage. • Heterogeneous signal intensity seen on MR images reflects the various components contained within the lesion, such as intratumoral hemorrhage, fibrosis, cysts, necrosis, or vascular proliferation.
  • 19.
    Pineoblastoma • Highly malignantPNET (Primitive Neuroectodermal tumor) • Malignant lesions, typically > 3 cm. Nearly 100% present with hydrocephalus. • Age: children > young adults. Sex: M:F ~ 1:2 • CSF seeding common • In patients with trilateral retinoblastoma, Pineoblastoma may develop in patients with familial and or bilateral retinoblastoma • (Exploded calcifications) along outside of mass (peripherally), unlike germinoma which engulfs and induces calcification of the pineal gland 19
  • 20.
    GERMINOMA • Points inFavour  Age of the patient  Pineal mass with concurrent suprasellar mass Calcification pattern CSF seeding • Point against Female patient 20
  • 21.
    PINELOBLASTOMA • Point infavour Age of the patient CSF seeding Features of obstructive hydrocephalus • Point Against Pattern of Calcification Pineal mass with concurrent suprasellar mass 21
  • 22.
    CASE SUMMARY • 9yrold female patient present with headache and numbness of limbs • On imaging shows Relatively well define hetrogenous enhancing mass lesion in pineal region and concurrent suprasellar mass with leptomeningeal spread • Likely Diagnosis is GERMINOMA • HPE is awaited 22
  • 23.
  • 24.
    Q 1. Whichof the following is false statetment A. Pineal gland is a small ( ~ 7mm) structure located at the level of the midbrain, between the thalami at the posterior aspect of the third ventricle B. Internal cerebral veins and vein of Galen are located superior and posterior to the pineal gland, respectively. C. Principal neuronal cell of the pineal gland is the pinealocyte; a Modified retinal neuronal cell that is innervated by the sympathetic plexus originating in the retina. D. Main product of the pineal gland; Serotonin, modulates the sleep/wake cycle. • Ref: European society of radiology, Systematic Approach to Pineal Region Lesions S. Moawad, S. Hasan, H. Semaan, S. pinsky. 24
  • 25.
    Ans1. D Q 2.Which of the following is wrong statement A. The pineal gland does not have a blood-brain barrier. B. Mass lesion in the pineal region with Compression of the cerebral aqueduct of Sylvius producing obstructive hydrocephalus. C. Compression of the tectal plate producing Parinaud syndrome (vertical gaze palsy), pupillary light dissociation, and nystagmus. D. Physiologic calcification is usually seen before the age of 10 years. 25 Ref: European society of radiology, Systematic Approach to Pineal Region Lesions S. Moawad, S. Hasan, H. Semaan, S. pinsky.
  • 26.
    Ans2: D Q 3.Exploded pattern of calcification seen in which pineal tumour A. Pinelocytoma B. Pineloblastoma C. Pineal germinoma D. Both A & B 26 Ref: European society of radiology, Systematic Approach to Pineal Region Lesions S. Moawad, S. Hasan, H. Semaan, S. pinsky.
  • 27.
    Ans3: D Q 4.Identify the structure labelled as 2 in this T1 weighted axial image of pineal region A.Pineal gland B.Habenula C.3rdventricle D. Pulvinar 27 Ref: European society of radiology, Systematic Approach to Pineal Region Lesions S. Moawad, S. Hasan, H. Semaan, S. pinsky.
  • 28.
    Ans4: B Q 5.Identify the structure labelled 1 in T1 weighted sagittal image of Pineal region A. Posterior commissure B. Cerebral aqueduct (of Sylvius) C. Tectum D. Pineal gland 28 Ref: European society of radiology, Systematic Approach to Pineal Region Lesions S. Moawad, S. Hasan, H. Semaan, S. pinsky.
  • 29.
    Ans5: A Q 6.Axial NECT showing a lobulated homogenously hyperdense midline mass with"engulfed" central pineal calcifications.Likely diagnosis is A. Pinelocytoma B. Pineloblastoma C. Pineal germinoma D. Meningioma 29 Ref: European society of radiology, Systematic Approach to Pineal Region Lesions S. Moawad, S. Hasan, H. Semaan, S. pinsky.
  • 30.
    Ans6: C Q 7.Drop metastasis is commonly seen in all except A. Pineloblastoma B. Germinoma C. Pinelocytoma D. Ependymoma 30 Ref: European society of radiology, Systematic Approach to Pineal Region Lesions S. Moawad, S. Hasan, H. Semaan, S. pinsky.
  • 31.
    Ans7: C Q 8.11 yr old female patient present with Large heterogeneous mass with "exploded", peripheral calcification with obstructive hydrocephalus,likely diagnosis is A. Pineloblastoma B. Germinoma C. Craniopharyngioma D. Meningioma 31 Ref: European society of radiology, Systematic Approach to Pineal Region Lesions S. Moawad, S. Hasan, H. Semaan, S. pinsky.
  • 32.
    Ans8: A Q 9.Quadrilateral retinoblastoma includes all except A. Bilateral Retinoblastoma B. Pineal tumor C. Suprasellar mass D. Medulloblastoma 32 Ref: European society of radiology, Systematic Approach to Pineal Region Lesions S. Moawad, S. Hasan, H. Semaan, S. pinsky.
  • 33.
    Ans9: D Q 10.5 year old female patient presented with headache since 1 month A. Pinelocytoma B. Pineloblastoma C. Germinoma D. Craniopharyngioma 33
  • 34.

Editor's Notes

  • #9 NGGCT-Non germinomatous GCT PPT- Pineal parenchymal tumour
  • #15 The normal prevalence of pineal calcifications detected at CT is approximately 40%, but, for unknown reasons, this increases to almost 100% when the patient also has a germinoma. This is true even when the germinoma is in the suprasellar cistern rather than in the pineal area.
  • #17 Sagittal MRI T2WI (a) , T1WI (b) and T1WI+C (c) showing a T1 and T2 isointense germinoma with homogenous post contrast enhancement
  • #20 Axial NCCT shows a large pineal region mass with resultant hydrocephalus , the pineal calcifications are exploded toward the periphery (arrows)
  • #28 1-Pineal gland 2-Habenula 3-3rd ventricle 4-Pulvinar 5-Lateral ventricle
  • #29 Posterior commissure Cerebral aqueduct (of Sylvius) Tectum Fourth ventricle 5-Cerebellum Quadrigeminal cistern Pineal gland Splenium , corpus callosum Third ventricle
  • #31 IDEM also in medulloblastoma,GBM, PNET