PINEAL REGION MASSES
Presenter: Zubeir Z– Mmed radiology year 3
Date: 22/11/2024
Facilitators: Dr. Gilbert Patrick – Neuroradiology fellow
OUTLINE
• Anatomy
• Imaging modalities
• Pineal region masses
Intra pineal gland
Extra pineal gland
• Summary
• References
PINEAL REGION
Boundaries
• Anteriorly: third ventricle (pineal recess)
• Anterosuperiorly: habenular commissure and
thalamus
• Superiorly: internal cerebral veins, vein of
Galen (posteriorly) and splenium of the
corpus.
• Posteroinferiorly: superior cerebellar cistern
or quadrigerminal cistern
• Inferiorly: superior colliculi of the midbrain
(tectum plate)
• Anteroinferiorly: posterior commissure,
Cerebral aqueduct of Sylvius
1-Pineal glad 2- superior colliculus 3-inferior
caliculus 4-aqueduct of sylvius 5-mid brain
(tegmentum) 6-cerebellum 7- fourth ventricle 8-
pons
• The pineal gland is small glandular body (7x6x3)mm .
• It is shaped like a pine cone, from which its name is derived.
Two types of cells:
• Pinealocytes (photoreceptor cells) – hormone secreting cells.
• Glial cells – supporting cells.
• Secrets Melatonin – Controls the circadian rhythm
-Reproductive function
• It does not have a blood brain barrier like any other gland for easy diffusion of
the hormones into the blood streams
• The arterial supply through the posterior choroidal plexus- arises from
posterior cerebral artery.
• Venous drainage is via the internal cerebral veins into Vein of gallen.
IMAGING MODALITIES
• CT scan brain
• MRI brain
PINEAL TUMORS
• Pineal tumors arise in region of pineal gland.
• <1% of all intracranial masses.
• 4% of childhood intracranial masses.
General symptoms and signs
• Cerebral aqueduct of sylvius obstruction- hydrocephalus
• Cerebellar compression- incoordination and imbalance
• Tectal plate involvement-vertical gaze palsy
(Parinaud syndrome)
GERM CELL TUMORS
• Pineal gland is the most common site for intracranial germ cell tumors
• They are due to aberrant migration of totipotent germ cells during
embryogenesis.
• Pick age in teenage years
• Male > female
1. Pineal Germinomas
The most common intracranial germ cell tumors
Males > females, (13:1).
Most patients are 20 years or younger at the time of diagnosis.
Good prognosis
CT Findings
• High cellular tumor
• Slight hyperdense mass, somehow lobulated
• Avidly enhancing post contrast
• Characteristically “engulfs” the pineal gland and promotes its
calcification, resulting in a central of calcification.
MRI findings
• T1W and T2W:Iso-hyperintense
If cystic necrotic foci (High SI TW2)
• FLAIR: Slightly hyperintense
• DWI/ ADC: Restriction diffusion
• T1W+C: Strong homogenous enhancement
Images courtesy of Angel Donato rID: 70265
2. Pineal Teratoma
• Benign tumour
• Almost exclusively in male children
• Well defined rounded/irregular lobulated mass with fat, cartilage, hair,
& calcification
• Presence of fat is a helpful hint
CT findings
• Sharp circumscribed lobulated mass
• NECT Heterogeneous (mixture of lipid, soft tissue, calcification)
• CECT Soft tissue components enhancement
MRI Findings
• T1W Heterogeneous intensity-(high signal from fat)
• T2W Soft tissue is iso- hyperintense .
• T1W+C soft tissue component enhancement
• Fat suppressed imaging (Recommended) Signal drop out in the fatty
component
Image courtesy of research gate
PINEAL PARENCHYMAL TUMORS
1. Pineocytoma (WHO grade1)
2. Pineal parenchymal tumor of intermediate differentiation
3. Papillary tumor of the pineal region (grade 2 or 3),
4. Pineoblastoma (grade 4).
Pineocytoma
• Relatively benign (WHO grade 1)
• Encountered at any age but mostly (20-60 years of age)
• More frequently in females (M:F 0.6:1)
• They generally appear as a well-demarcated tumor less than 3 cm in
its greatest dimension
CT findings
• CT demonstrates the mass to be of intermediate density, similar to
the adjacent brain.
• Pineal calcifications tend to be dispersed peripherally.
MRI findings
• T1: hypo- to isointense to brain parenchyma
• T2
• solid components are isointense to brain parenchyma
• areas of cystic change are common
• sometimes the majority of the tumor is cystic
• T1 C+ (Gd): solid components vividly enhance
Pineoblastoma
• They are small round blue cell tumours located in the pineal region.
• They closely resemble (both on imaging and histology) like other blue
cells like medulloblastoma and retinoblastoma.
• They are the most aggressive (WHO grade 4)
• They are typically found in young children, with only a slight female
predilection
• There is a well established association with hereditary retinoblastoma
where
• Trilateral retinoblastoma- Bilateral retinoblastoma and a
pineoblastoma
• Quadrilateral retinoblastoma- Bilateral retinoblastoma,
pineoblastoma and a supracellar pineoblastoma
CT Findings
• Relatively large tumours
• Slight hyperdense (high cellular tumor)
• Classically, shows or "exploded" similar to pineocytomas ( In contrast,
pineal germinomas tend to engulf pineal calcification)
MRI Findings
• Irregular masses often with evidence of invasion into the adjacent
brain
• T1: Isointense to hypointense to adjacent brain
• T2
• Isointense to adjacent brain
• areas of cyst formation or necrosis may be present
• T1 C+ (Gd): vivid heterogeneous enhancement
• DWI/ADC- restricted diffusion due to dense cellular packing
• Central cystic necrosis is sometimes present and thus can
roughly mimic a pineal cyst, although the latter should have
a smooth, thin wall
• Screening of the whole neural axis is necessary as CSF seeding is seen
in 45% of cases.
PINEAL CYST
• They are common, usually asymptomatic, and typically found
incidentally.
• Common in women.
• The cyst typically contains proteinaceous fluid that, as a result, does
not follow CSF on imaging.
• Internal haemorrhage may also be present
CT Findings
• Pineal cysts appear as well circumscribed fluid density lesions.
• A thin rim calcification is seen in ~25%.
• Thin, smooth peripheral enhancement is also often seen.
• The internal cerebral veins are elevated and splayed by the cyst.
T1
• Iso to hypointense compared to
brain parenchyma
• 55-60% are somewhat hyperintense
when compared to CSF
• Usually homogeneous in signal
T2
• High signal
• Usually slightly hypointense to CSF
• Thin septations or small internal cysts may be present
• FLAIR: high signal does not often suppress fully
• DWI/ADC: they demonstrate no restricted diffusion
• T1 C+ (Gd)
• ~ 60% of lesions enhance
• Enhancement is usually thin
(<2 mm), smooth and
confined to the rim (either
complete or incomplete)
• It is important to note that if
postcontrast imaging is delayed (60-90
min), gadolinium may diffuse into the
cyst fluid and may lead to the mass
appearing solid
• In atypical cases enhancement may be
nodular, or there may be evidence of
previous hemorrhage into the cysts
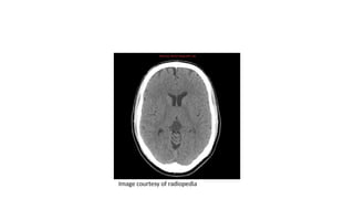
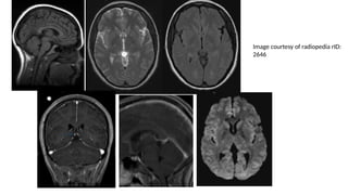
Image courtesy of radiopedia
Image courtesy of Radiopedia rID: 2321
Image courtesy of radiopedia rID:
2646
Pineal region mass (extra-pineal)
Quadrigeminal plate lipoma
• Intracranial lipoma is rare
• Located within the quadrigeminal cistern.
• They may be associated with hypoplasia of the inferior colliculus or
agenesis of the corpus callosum
CT FINDING
• lobulated, non-enhancing fat attenuating often (HU = − 50 to − 100) mass in the
quadrigeminal cistern.
• Peripheral calcification can be present in some cases.
MRI findings
• MRI reveals signal characteristic of fat:
• T1: high signal intensity
• T2: high signal intensity
• T1 C+ (Gd): no enhancement
• fat saturated sequences: low signal intensity
Vein of Galen aneurysmal malformation
• Common in childhood
• Commonest AV malformation diagnosed during antenatal screening
• Left to right shunt with high output cardiac failure
Imaging
• CTA
• MRI – signal void on T2
does not attenuate on flair
• MRA-Show dilated feeding and draining vessels
Image courtesy of Frank Gaillard radiopedia rID: 10512
◈
Summary
Summary
• Common symptoms include of those secondary to mass effect to the
adjacent structures
• Germ cell tumors are the commonest pineal tumors and are found in
children
• On Imaging, Germinomas tends to engulf the calcifications where as in
pineocytoma and pineoblastomas tend to disperse the calcifications
• Pineal cyst are the most common incidental pineal mass seen
References
• https://radiopaedia.org/articles/pineal-gland
• https://
www.sciencedirect.com/science/article/abs/pii/S1091853104000333
• https://radiologykey.com/pineal-region-masses/
• https://radiopaedia.org/articles/pineal-region-mass
• Core_radiology_A_Visual_Approach_To_Diagnostic_Imaging;
neuroimaging chapter 4, pg 240-242
• Fundamentals of Diagnostic Radiology, 4th ed. Section II
neuroradiology pg 131-132.

22. PINEAL REGION MASSES. ..pptx

  • 1.
    PINEAL REGION MASSES Presenter:Zubeir Z– Mmed radiology year 3 Date: 22/11/2024 Facilitators: Dr. Gilbert Patrick – Neuroradiology fellow
  • 2.
    OUTLINE • Anatomy • Imagingmodalities • Pineal region masses Intra pineal gland Extra pineal gland • Summary • References
  • 4.
    PINEAL REGION Boundaries • Anteriorly:third ventricle (pineal recess) • Anterosuperiorly: habenular commissure and thalamus • Superiorly: internal cerebral veins, vein of Galen (posteriorly) and splenium of the corpus. • Posteroinferiorly: superior cerebellar cistern or quadrigerminal cistern • Inferiorly: superior colliculi of the midbrain (tectum plate) • Anteroinferiorly: posterior commissure, Cerebral aqueduct of Sylvius
  • 5.
    1-Pineal glad 2-superior colliculus 3-inferior caliculus 4-aqueduct of sylvius 5-mid brain (tegmentum) 6-cerebellum 7- fourth ventricle 8- pons
  • 7.
    • The pinealgland is small glandular body (7x6x3)mm . • It is shaped like a pine cone, from which its name is derived. Two types of cells: • Pinealocytes (photoreceptor cells) – hormone secreting cells. • Glial cells – supporting cells.
  • 8.
    • Secrets Melatonin– Controls the circadian rhythm -Reproductive function • It does not have a blood brain barrier like any other gland for easy diffusion of the hormones into the blood streams • The arterial supply through the posterior choroidal plexus- arises from posterior cerebral artery. • Venous drainage is via the internal cerebral veins into Vein of gallen.
  • 9.
    IMAGING MODALITIES • CTscan brain • MRI brain
  • 10.
    PINEAL TUMORS • Pinealtumors arise in region of pineal gland. • <1% of all intracranial masses. • 4% of childhood intracranial masses.
  • 11.
    General symptoms andsigns • Cerebral aqueduct of sylvius obstruction- hydrocephalus • Cerebellar compression- incoordination and imbalance • Tectal plate involvement-vertical gaze palsy (Parinaud syndrome)
  • 13.
    GERM CELL TUMORS •Pineal gland is the most common site for intracranial germ cell tumors • They are due to aberrant migration of totipotent germ cells during embryogenesis. • Pick age in teenage years • Male > female
  • 14.
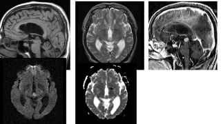
    1. Pineal Germinomas Themost common intracranial germ cell tumors Males > females, (13:1). Most patients are 20 years or younger at the time of diagnosis. Good prognosis
  • 15.
    CT Findings • Highcellular tumor • Slight hyperdense mass, somehow lobulated • Avidly enhancing post contrast • Characteristically “engulfs” the pineal gland and promotes its calcification, resulting in a central of calcification.
  • 16.
    MRI findings • T1Wand T2W:Iso-hyperintense If cystic necrotic foci (High SI TW2) • FLAIR: Slightly hyperintense • DWI/ ADC: Restriction diffusion • T1W+C: Strong homogenous enhancement
  • 18.
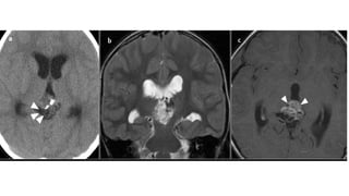
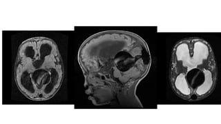
    Images courtesy ofAngel Donato rID: 70265
  • 19.
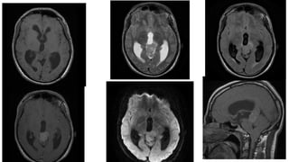
    2. Pineal Teratoma •Benign tumour • Almost exclusively in male children • Well defined rounded/irregular lobulated mass with fat, cartilage, hair, & calcification • Presence of fat is a helpful hint
  • 20.
    CT findings • Sharpcircumscribed lobulated mass • NECT Heterogeneous (mixture of lipid, soft tissue, calcification) • CECT Soft tissue components enhancement
  • 21.
    MRI Findings • T1WHeterogeneous intensity-(high signal from fat) • T2W Soft tissue is iso- hyperintense . • T1W+C soft tissue component enhancement • Fat suppressed imaging (Recommended) Signal drop out in the fatty component
  • 23.
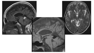
    Image courtesy ofresearch gate
  • 24.
    PINEAL PARENCHYMAL TUMORS 1.Pineocytoma (WHO grade1) 2. Pineal parenchymal tumor of intermediate differentiation 3. Papillary tumor of the pineal region (grade 2 or 3), 4. Pineoblastoma (grade 4).
  • 25.
    Pineocytoma • Relatively benign(WHO grade 1) • Encountered at any age but mostly (20-60 years of age) • More frequently in females (M:F 0.6:1) • They generally appear as a well-demarcated tumor less than 3 cm in its greatest dimension
  • 26.
    CT findings • CTdemonstrates the mass to be of intermediate density, similar to the adjacent brain. • Pineal calcifications tend to be dispersed peripherally.
  • 27.
    MRI findings • T1:hypo- to isointense to brain parenchyma • T2 • solid components are isointense to brain parenchyma • areas of cystic change are common • sometimes the majority of the tumor is cystic • T1 C+ (Gd): solid components vividly enhance
  • 30.
    Pineoblastoma • They aresmall round blue cell tumours located in the pineal region. • They closely resemble (both on imaging and histology) like other blue cells like medulloblastoma and retinoblastoma. • They are the most aggressive (WHO grade 4) • They are typically found in young children, with only a slight female predilection
  • 31.
    • There isa well established association with hereditary retinoblastoma where • Trilateral retinoblastoma- Bilateral retinoblastoma and a pineoblastoma • Quadrilateral retinoblastoma- Bilateral retinoblastoma, pineoblastoma and a supracellar pineoblastoma
  • 32.
    CT Findings • Relativelylarge tumours • Slight hyperdense (high cellular tumor) • Classically, shows or "exploded" similar to pineocytomas ( In contrast, pineal germinomas tend to engulf pineal calcification)
  • 33.
    MRI Findings • Irregularmasses often with evidence of invasion into the adjacent brain • T1: Isointense to hypointense to adjacent brain • T2 • Isointense to adjacent brain • areas of cyst formation or necrosis may be present • T1 C+ (Gd): vivid heterogeneous enhancement
  • 34.
    • DWI/ADC- restricteddiffusion due to dense cellular packing • Central cystic necrosis is sometimes present and thus can roughly mimic a pineal cyst, although the latter should have a smooth, thin wall • Screening of the whole neural axis is necessary as CSF seeding is seen in 45% of cases.
  • 38.
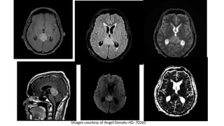
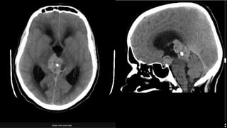
    PINEAL CYST • Theyare common, usually asymptomatic, and typically found incidentally. • Common in women. • The cyst typically contains proteinaceous fluid that, as a result, does not follow CSF on imaging. • Internal haemorrhage may also be present
  • 39.
    CT Findings • Pinealcysts appear as well circumscribed fluid density lesions. • A thin rim calcification is seen in ~25%. • Thin, smooth peripheral enhancement is also often seen. • The internal cerebral veins are elevated and splayed by the cyst.
  • 40.
    T1 • Iso tohypointense compared to brain parenchyma • 55-60% are somewhat hyperintense when compared to CSF • Usually homogeneous in signal T2 • High signal • Usually slightly hypointense to CSF • Thin septations or small internal cysts may be present • FLAIR: high signal does not often suppress fully • DWI/ADC: they demonstrate no restricted diffusion
  • 41.
    • T1 C+(Gd) • ~ 60% of lesions enhance • Enhancement is usually thin (<2 mm), smooth and confined to the rim (either complete or incomplete) • It is important to note that if postcontrast imaging is delayed (60-90 min), gadolinium may diffuse into the cyst fluid and may lead to the mass appearing solid • In atypical cases enhancement may be nodular, or there may be evidence of previous hemorrhage into the cysts
  • 42.
  • 43.
    Image courtesy ofRadiopedia rID: 2321
  • 44.
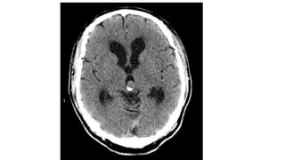
    Image courtesy ofradiopedia rID: 2646
  • 45.
    Pineal region mass(extra-pineal) Quadrigeminal plate lipoma • Intracranial lipoma is rare • Located within the quadrigeminal cistern. • They may be associated with hypoplasia of the inferior colliculus or agenesis of the corpus callosum
  • 46.
    CT FINDING • lobulated,non-enhancing fat attenuating often (HU = − 50 to − 100) mass in the quadrigeminal cistern. • Peripheral calcification can be present in some cases.
  • 47.
    MRI findings • MRIreveals signal characteristic of fat: • T1: high signal intensity • T2: high signal intensity • T1 C+ (Gd): no enhancement • fat saturated sequences: low signal intensity
  • 49.
    Vein of Galenaneurysmal malformation • Common in childhood • Commonest AV malformation diagnosed during antenatal screening • Left to right shunt with high output cardiac failure
  • 50.
    Imaging • CTA • MRI– signal void on T2 does not attenuate on flair • MRA-Show dilated feeding and draining vessels
  • 51.
    Image courtesy ofFrank Gaillard radiopedia rID: 10512 ◈
  • 53.
  • 55.
    Summary • Common symptomsinclude of those secondary to mass effect to the adjacent structures • Germ cell tumors are the commonest pineal tumors and are found in children • On Imaging, Germinomas tends to engulf the calcifications where as in pineocytoma and pineoblastomas tend to disperse the calcifications • Pineal cyst are the most common incidental pineal mass seen
  • 56.
    References • https://radiopaedia.org/articles/pineal-gland • https:// www.sciencedirect.com/science/article/abs/pii/S1091853104000333 •https://radiologykey.com/pineal-region-masses/ • https://radiopaedia.org/articles/pineal-region-mass • Core_radiology_A_Visual_Approach_To_Diagnostic_Imaging; neuroimaging chapter 4, pg 240-242 • Fundamentals of Diagnostic Radiology, 4th ed. Section II neuroradiology pg 131-132.

Editor's Notes

  • #5 Pineal anatomy. 1, Pineal gland; 2, tectum of midbrain, superior colliculus; 3, tectum, inferior colliculus; 4, aqueduct of Sylvius; 5, tegmentum of midbrain; 6, cerebellum; 7, fourth ventricle; 8, pons.
  • #7 is situated in a groove between the laterally placed thalamic bodies 1-6. Normal sizes have been described in the radiology literature up to 14 mm 9. Appearing to arise from the gland are two laminae. Above is the habenular commissure and below it is the posterior commissure.
  • #8 Wake and sleep pattern Has been associated with onset of puberty Vein of gallen forms straight sinus that later joins with the transverse and superior sinuses at the torqula Melatonin has at least two distinct functions. First, it regulates our diurnal cycle, whereby bodily functions are organized around a day-night schedule. The production of melatonin is stimulated by darkness and inhibited by light Another major function of melatonin is to regulate sexual development, primarily by delaying the onset of puberty. Accordingly, pineal region tumors that suppress melatonin production occasionally present as precocious puberty.
  • #10 PG is more cellularity active during childhood increase the risk of abnormal cell growth compared to adult activities and cellular growth slowdown.
  • #11 Parinaud syndrome is characterised by a classic triad of findings: -upward gaze palsy, often manifesting as diplopia -pupillary light-near dissociation (pupils respond to near stimuli, but not light) -convergence-retraction nystagmus
  • #17 A large lobulated mass is centered on the pineal gland, engulfing the pineal calcifiation. It is somewhat hyperdense compared to adjacent brain. A further smaller mass is seen in the floor of the third ventricle. The midbrain is distorted, compressed and demonstrates low density suggestive of edema. Obstructive hydrocephalus is present.  Pineal germinoma with a synchronous suprasellar germ cell tumor
  • #18 T1W fat sat + C FLAIR T2W T1W C+ Sag DWI ADC There is a large pineal region mass with moderate enhancement with compression of the tectum resulting in obstructive hydrocephalus. On SWAN imaging the pineal calcification is confirmed to be placed centrally. On T2 the pineal mass is hyperintense. Diffusion-weighted imaging (DWI) shows restriction with low apparent diffusion coefficient (ADC) values.
  • #20 NECT-Non enhanced CT CECT- Contrast enhanced CT
  • #22 Axial CT image showing heterogenous pineal mass contain(arroehead), soft tissue and calfications.Coronal T2W and axial T1W+C showing enhancing soft tissue component of the teratoma (arrow head).
  • #23 Pineal teratoma in a 2-year-old boy. Axial (a) and sagittal (b) T1-weighted MR images show a large, heterogeneous pineal gland mass (arrowheads) and severe obstructive hydrocephalus.
  • #28 A 14 X 13 (axial) mm soft tissue density mass in the pineal region with eccentric peripheral calcification demonstrated. The ventricles are prominent, out of keeping with the degree of sulcal prominence, indicating mild to moderate obstructive hydrocephalus due to the lesion partially obstructing the upper margin of the cerebral aqueduct. Periventricular hypoattenuation is in keeping with chronic small vessel ischemia +/- transependymal CSF accumulation. No other significant intracranial abnormality. 
  • #29 Circular mass centered in pineal region measures 12 x 11 x 9 mm and demonstrates homogeneous enhancement (on volumetric sequence for stereotaxis), peripheral calcification and diffusion restriction.  It has mass effect on the adjacent structures with stenosis of the cerebral aqueduct (some flow still present on cine imaging) and associated non-communicating hydrocephalus affecting the lateral ventricles and 3rd ventricle. Periventricular FLAIR hyperintensity may represent some transependymal edema superimposed on chronic small vessel disease.  T1,T2,T1C+.DWI.ADC Histology: The sections show a moderately cellular tumor. It often forms rosettes and nests, surrounded by vascularized stroma.
  • #30 highest grade tumour among pineal parenchymal tumours and are considered WHO grade 4 tumours (M:F 0.7:1; similar to other pineal parenchymal tumours), which is in contrast to the male predominance seen in pineal germinomas)
  • #31 Trilateral retinoblastoma refers to the combination of retinoblastoma (usually bilateral) and pineoblastoma. This association highlights the close relationship between these highly aggressive small round blue cell tumors. Approximately 5-15% .
  • #35 A large mass ( * ) centered on the pineal region elvates, splays and partially engulfs the internal cerebral veins (blue arrows). Pineal calcifications (red arrows) are best seen on CT and are located at the periphery of the mass.  Enhancing soft tissue is also seen filling the floor of the third ventricle (green arrows) and in the lateral ventricles (best seen in the left forntal horn - yellow arrow). 
  • #36  the pineal region shows a lobulated soft tissue mass lesion, it measures about 2.9 X 2.7 X 2.7 cm in its main diameters  the lesion shows mildly hypointense T1 and hyperintense T2 / FLAIR signal, with inhomogenous post-contrast enhancement the lesion shows mild restricted diffusion a suspected small signal void focus is seen at its peripheral anterior aspect of the lesion (which was evident on CT study that was available with the patient)  the lesion is seen compressing the superior portion of the cerebral aqueduct with moderate supratentorial hydrocephalus as well as transependymal CSF permeation mild downward herniation of the cerebellar tonsils is noted
  • #42 CT of the brain demonstrates no focal mass or abnormality. Incidental note is made of a 20 mm pineal cyst.
  • #43 Incidentally well-circumscribed fluid density lesion with rim calcification is seen at pineal topography with no contrast enhancement.
  • #44 MRI demonstrates a cyst in the pineal region. On T2 sequences, signal largely follows CSF but does not fully attenuate on FLAIR. Intrinsic pineal tissue masses tend to cause upward displacement of the internal cerebral veins. This is in distinction to tentorial meningiomas, which depress the cerebral veins. Internal cerebral veins (arrow) are elevated and splayed. Typical appearances of an incidental pineal cyst, almost certainly not the cause of the patient's headaches.
  • #48 MRI demonstrates a mass in the quadrigeminal plate cistern with very high T1 and T2 signal which demonstrates fat saturation and chemical shift artifact, confirming that the mass is composed of fat, and as such represents a quadrigeminal cistern lipoma. 
  • #51 Selected images from an MRI demonstrate a markedly enlarge flow void centrally, just above the pineal region, draining posteriorly to the sagittal sinus.
  • #52 Large vein of Galen aneurysm flow void with significant local mass effect: compression of the aqueduct and 3rd ventricle anteriorly with secondary hydrocephalus. The inferior sagittal sinus is draining into the aneurysm directly and straight sinus draining out (as seen on T1W sagittal imaging)