Blood Smear Interpretation
Kanchana Chansung M.D.
Hematology Unit, Department of Medicine,
Faculty of Medicine, Khon-Kaen University
E-learning MD.KKU.
2.----------------------------------------------------------------------------------------------
-------------------
การเลือกบริเวณที่เหมาะสม
การดูslide ควรเลือกบริเวณที่เหมาะสม โดยทั่วไปหากแบง slide เปนสามสวน
บริเวณที่เหมาะสมจะอยูประมาณสวนที่สามแตไมใชสวนปลายสุดของ slide
3.----------------------------------------------------------------------------------------------
-------------------
บริเวณที่เหมาะสมในการดูBlood smear
บริเวณที่เหมาะสมในการดูslide คือบริเวณที่เม็ดเลือดแดงกระจายตัว
ไมซอนทับกันแตไมแบนราบจน central pallor หายไป
4.--------------------------------------------------------------------------------------------------------------------
ตนสไลด ปลายสไลด์
หากดูที่บริเวณตน slide เกินไปจะเห็นเม็ดเลือดแดงซอนทับกันเปนตาขาย
เรียกวา Psudorouleaux formation หากดูslide บริเวณปลาย slide เกินไป
เม็ดเลือดแดงถูกรีดจนแบนราบไปหมดไมเห็น central pallor ทําใหไมสามารถ
แยกไดวาเม็ดเลือดแดงมีการติดสีปกติหรือไม
5.--------------------------------------------------------------------------------------------------------------------
Normal RBC Hypochromic-Microcytic
เม็ดเลือดแดงปกติมีขนาดเล็กกวา small lymphocyte เล็กนอย รูปรางกลม บุมตรงกลางคลาย
ขนมโดนัททําใหมองเห็นบริเวณตรงกลางติสีจางลงเรียกวา
central pallor ปกติมักมีขนาด ประมาณ 1/3 ของเสนผาศูนยกลางเม็ดเลือดแดง เม็ดเลือดแดง
ที่มีการติดสีจางกวาปกติเรียกวามีhypochromia หรือ hypochromic RBC สังเกตดูจะเห็นวา
central pallor กวางขึ้นเกินกวาครึ่งหนึ่ง ของเสนผาศูนยกลางเม็ดเลือดแดง การติดสีจางมัก
เห็นพรอมๆ กับเม็ดเลือดแดง
ตัวเล็กกวาปกติเรียกวา microcytic RBC ภาวะที่มีเม็ดเลือดแดงลักษณะ hypochromic-
microcytic ที่พบบอยคือ thalassemia และ
Irondeficiency
6.--------------------------------------------------------------------------------------------------------------------
Iron deficiency anemia : ใหสังเกตลักษณะ hypochromic microcytic คือเม็ดเลือดแดงตัวเล็ก
และติดสีจางมีcentral pallor กวาง นอกจากนั้น
ยังพบเม็ดเลือดแดงขนาดแตกตางกันและมีลักษณะผิดปกติเรียกวามี
aniso-poikeilocytosis แตลักษณะนี้พบเพียงเล็กนอยเทานั้น
7.--------------------------------------------------------------------------------------------------------------------
Thalassemia : blood smear ของ thalassemia มีลักษณะ hypochromic-microcytic เชนเดียว
กับIron deficiency anemia แตมีเม็ดเลือดแดง
ที่ลักษณะผิดปกติมากกวาใน iron deficiency anemia มาก กลาวคือใน thalassemia ลักษณะ
aniso-poikielocytosis เปนลักษณะเดน ตางจาก
iron deficiency anemia ซึ่งมีลักษณะ hypochromic-microcytic เปนลักษณะเดน
8.--------------------------------------------------------------------------------------------------------------------
Thalassemia : ใหสังเกตเม็ดเลือดแดงตัวเล็กติดสีจาง และเม็ดเลือดแดงมีรูปราง
ผิดปกตินอกจากนั้นเนื่องจาก thalassemia เปนโรคที่มีภาวะ hemolysisจึงพบ polychromasia
หรืออาจพบ NRC ไดดวย
9.--------------------------------------------------------------------------------------------------------------------
Basophilic stippling : ที่เห็นเปนจุดเล็กๆสีนํ้าเงินในเม็ดเลือดแดง สิ่งนี้คือ
เศษชิ้นสวนของ RNA ที่หลงเหลืออยูในเม็ดเลือดแดง ลักษณะนี้พบไดใน
- blood smear ของผูปวย thalassemia บางราย
- Hemoglobin Constant Spring
- Myelodysplastic syndrome
- Lead poisoning
- 5’ Pyrimidine oxidase inhibitor deficeincy
10.------------------------------------------------------------------------------------------------------------------
ในรูปเปน Blood smear ของผูปวย Homozygous Hemoglobin Constant Spring เม็ดเลือดแดง
บางเซลลในภาพมีcentral pallor ลักษณะคลายปากเรียกวา stomatocyte ลักษณะเชนนี้ถาพบ
ในเซลลเม็ดเลือดแดงสวนมากมักเปน
ความผิดปกติทางพันธุกรรมเรียกวา stomatocytosis
11.------------------------------------------------------------------------------------------------------------------
ผูปวย Betathalassemia / Hemoglobin E ที่ไดรับการตัดมามจะพบวามีNRC จํานวนมาก และ
พบ Howell-Jolly bodies ซึ่งมีลักษณะเปนจุดสีมวงเขมใน
เม็ดเลือดแดง สิ่งนี้คือเศษ nucleous ของเม็ดเลือดแดงที่หลงเหลืออยูจะพบได
ในกรณีที่ผูปวยไมมีมาม หรือมีภาวะ hyposplenism รวมทั้งพบไดใน
megaloblastic anemia หรือ MDS
12.------------------------------------------------------------------------------------------------------------------
เปรียบเทียบ Thalassemia กับ Iron deficiency
ใหเปรียบเทียบความแตกตางของ blood smear ผูปวย thalasemia และ Iron deficiency anemia
จะพบวาใน thalassemia จะมีลักษณะ hemolysis คือเห็น spherocyte และ polychromasia จํานวน
มาก รวมทั้งมีลักษณะ aniso-poikielocytosis เดนมาก ในขณะที่Iron deficiency anemia มี
ลักษณะเดนที่hypochromic-microcytic และ มีaniso-poikilocytosis จํานวนนอย
13.------------------------------------------------------------------------------------------------------------------
ในผูปวย thalassemia ชนิด hemoglobin H หากนําเลือดมาตรวจ
โดยการยอมดวย 1% Methylene blue จะพบลักษณะการตกตะกอนใน
เม็ดเลือดแดงดังที่เห็นเรียกวา inclusion bodies ในเม็ดเลือดแดงจํานวนมาก
การยอมสีลักษณะนี้เรียกวาการตรวจยอม vital stain
14.------------------------------------------------------------------------------------------------------------------
Hemolytic blood picture : คือลักษณะที่บงบอกวามีภาวะ hemolysis เกิดขึ้น ใหสังเกตวาจะพบ
spherocyte เปนเซลลกลมเสนผาศูนยกลางเล็กกวา
เม็ดเลือดแดงปกติติดสีเขมและไมมีcentral pallor จํานวนมาก รวมทั้งพบ polychromasia ซึ่งมี
ขนาดใหญกวาเม็ดเลือดแดงปกติและติดสีมวงอมนํ้าเงิน
จํานวนมากดวย ในบางรายอาจพบ NRC ดวยก็ไดเซลลตัวออนของเม็ดเลือดแดงนี้
เปนเครื่องหมายของ bone marrow response
15.------------------------------------------------------------------------------------------------------------------
ภาพขยายของ hemolytic blood picture
16.------------------------------------------------------------------------------------------------------------------
ในกรณีที่พบ polychromasia ในเลือดจํานวนมากหากนําเลือดมาทําการยอม vital stain พบเม็ด
เลือดแดงลักษณะดังที่เห็น เรียกวา reticulocyte
เซลลนี้เปนเม็ดเลือดแดงตัวออน correspond กับ polychromasia ใน blood smear ที่ยอมดวย
Wright’s stain
ใหสังเกตความแตกตางระหวาง reticulocyte กับ RBC with inclusion bodies ใน Hb. H disease
จะเห็นวา reticulocyte ตกตะกอนสีนํ้าเงินเปน เสนใยเล็กๆ ในเม็ดเลือดแดงในขณะที่inclusion
bodies มีลักษณะการตกตะกอนสีเปนเม็ดๆ
17.------------------------------------------------------------------------------------------------------------------
ลักษณะการเกาะกลุมของเม็ดเลือดแดงที่เห็นเรียกวา autoagglutination พบในภาวะ
autoimmune hemolytic anemia (AIHA)
ลักษณะ auto-agglutination นี้จะเห็นชัดเจนขึ้นหากเลื่อนดูบริเวณกลางๆและตน slide แตจะ
เห็นไมชัดหากดูบริเวณปลาย slide มากๆ ผูปวย AIHA บางราย blood smear มีลักษณะ
hemolytic picture แตไมมีauto-agglutination อยางไรก็ดีรอยละ 95 ของ AIHA จะตรวจพบ
direct Coombs’ test positive
18.------------------------------------------------------------------------------------------------------------------
ลักษณะการเกาะกลุมของเม็ดเลือดแดงที่เห็นเรียกวา rouleaux formation พบลักษณะนี้ไดใน
กรณีที่ผูปวยมีglobulin สูง เชน Multiple Myeloma, Chronic infection, parasitic infestation เชน
Fasciolar hepatica.
ตองแยก Rouleaux formation กับ auto-agglutination
19.------------------------------------------------------------------------------------------------------------------
เปรียบเทียบ Auto-agglutination กับ Rouleaux formation
เปรียบเทียบใหเห็นความแตกตางระหวาง auto-agglutination กับ Rouleaux formation
20.------------------------------------------------------------------------------------------------------------------
ผูปวย AIHA อาจเกิดเนื่องจากสาเหตุอื่นๆไดหลายอยางเชน autoimmune disease, viral
infection, drug induced,chronic infection, malignancy เปนตน
Malignancy ที่พบ AIHA รวมดวยบอยไดแกhematologic malignancy กลุม
lymphoproliferative disorder โรคที่พบบอยที่สุดคือ chronic lymphocytic leukemia (CLL)
สังเกตในภาพจะพบวาเม็ดเลือดขาวที่เห็นทั้งหมดเปน lymphocyte และเม็ดเลือดแดงมี
auto-agglutination ชัดเจน
21.------------------------------------------------------------------------------------------------------------------
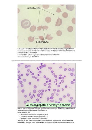
Schistocyte : หมายถึงเม็ดเลือดแดงที่เปนเศษชิ้นสวนดังที่เห็นในภาพ สวนใหญมักเกิดจาก
traumatic mechanism คือมีการแตกของเม็ดเลือดแดง อันเนื่องมาจากการกระแทกเศษชิ้นสวน
เหลานี้ถาเปนชิ้นเล็กๆอาจเรียก
อีกอยางหนึ่งวา red cell fragmentationเซลลเหลานี้พบไดในภาวะที่มี
intravascular hemolysis เชน MAHA
22.------------------------------------------------------------------------------------------------------------------
MAHA : Micro angiopathic hemolytic anemia เปนภาวะ hemolysis ที่เกิดเนื่องจากพยาธิสภาพ
ในหลอดเลือดแดงเล็กๆ ลักษณะเชนนี้พบไดใน
หลายโรค/ภาวะ เชน
- Disseminated intravascular coagulation (DIC)
- Thrombotic thrombocytopenic purpura (TTP)
- Hemolytic Uremic Syndrome (HUS) เปนตน
ใหสังเกตใน slide จะพบวาเซลลเม็ดเลือดแดงที่เห็นเปน normochromia คือมีการติดสีปกติ
เห็นลักษณะ hemolytic blood picture คือพบ microspherocyte และ polychromasia จํานวนมาก
รวมกับพบ schistocyte จํานวนมากนอกจากลักษณะ MAHA blood picture แลว ใน slide นี้ยัง
ไมพบเกร็ดเลือดเลยเรียกวามีภาวะ thrombocytopenia รวมดวย
23.------------------------------------------------------------------------------------------------------------------
Slide ที่เห็นนี้คือ slide ของผูปวย G-6PD deficiency ขณะกําลังเกิดภาวะ
เม็ดเลือดแดงแตก ผูปวยที่มีภาวะพรอง enzyme นี้ในภาวะปกติจะมีลักษณะ
รูปรางของเม็ดเลือดแดงปกติแตเมื่อวัดระดับ enzyme G-6PD ในเม็ดเลือดแดง
ตัวแกจะพบวาตํ่ากวาปกติเม็ดเลือดแดงของผูปวยที่เปนโรคนี้แตกในกระแสเลือด
ทําใหเกิด acute intravascular hemolysis ไดเมื่อรางกายเกิด oxidative stress ซึ่งโดยทั่วไปมัก
เกิดจากการไดรับยาหรือสารเคมีบางชนิด เชน ยารักษา malaria, ASA, ยาปฏิชีวนะบางชนิด,
naphthalene หรืออาหารบางชนิดเชนถั่วปากอา เปนตน
โปรดสังเกตใน slide จะพบลักษณะ hemolysis ชัดเจน และเห็น defective
spherocyte หรือ spherocyte ที่ขอบไมเรียบรอย
24.------------------------------------------------------------------------------------------------------------------
ภาพขยายของ slide ผูปวย G-6-PD deficiency with acute hemolysis แสดงเซลลลักษณะ
จําเพาะในภาวะนี้3 แบบ ไดแก
- Ghost cell
- Hemoglobin contracted cell
- Hemoglobin leakage cell
25.------------------------------------------------------------------------------------------------------------------
ภาพขยายของ slide ผูปวย G-6-PD deficiency with acute hemolysis แสดงเซลลลักษณะ
จําเพาะในภาวะนี้3 แบบ ไดแก
- Ghost cell
- Hemoglobin contracted cell
- Hemoglobin leakage cell
26.------------------------------------------------------------------------------------------------------------------
เมื่อนําเลือดผูปวย G-6-PD deficiency with acute hemolysis มายอมสี1% new methylene blue
จะพบลักษณะ inclusion bodies เม็ดใหญ1-2 อันอยูชิดขอบเซลลเรียกวา Heize’s bodies
27.------------------------------------------------------------------------------------------------------------------
Slide ที่เห็นนี้เปนของผูปวย Megaloblastic anemia โปรดสังเกตวา
เม็ดเลือดแดงของผูปวยมีขนาดใหญมาก ทั้งนี้เมื่อเทียบกับ lymphocyte ที่ปกติขนาดใหญกวา
เม็ดเลือดแดงเล็กนอยจะเห็นไดชด นอกจากนี้เม็ดเลือดแดง
ขนาดใหญที่เห็นยังมีรูปทรงรีเรียกวา macro-ovalocyte และยังพบเซลลaniso-poikilocyte รวม
ดวย ผูปวย megaloblastic anemia มีMCV ใหญ
โดยมากมักเกิน 115 fl. ขึ้นไป
นอกเหนือจากลักษณะเม็ดเลือดแดงดังกลาวแลว ใน blood smear ผูปวย megaloblastic
anemia ยังพบ PMN หรือ Neutrophils ที่มีnucleous เกิน 4 lobe ขึ้นไป เรียกวา hyper-segmented
PMN ดวย
28.------------------------------------------------------------------------------------------------------------------
Dimorphic blood picture : คือลักษณะเม็ดเลือดแดงที่มีทั้ง hypochromia
และ normochromia red cells อยูดวยกัน ลักษณะเชนนี้พบไดใน Myelodysplastic syndrome
(MDS) , Sideroblastic anemia แตอาจพบไดในผูปวย Iron deficiency anemia ที่เพิ่งไดรับการ
รักษา
โดยการใหiron replacement หรือ blood transfusion
29.------------------------------------------------------------------------------------------------------------------
Agnogenic Myeloid Metaplasia (AMM)
Agnogenic Myeloid Metaplasia หรือ AMM เปนโรคในกลุม myelproliferative disorder ผูปวยมัก
มีอาการซีดและมีมามโตมาก เมื่อเจาะไขกระดูกอาจทํา aspiration ไมไดตองทํา biopsy
เทานั้น
เนื่องจากไขกระดูกมีพังผืด(Myelofibrosis)
ลักษณะ peripheral blood smear ของ AMM จะพบลักษณะตัวออน
ทั้งของเม็ดเลือดแดงและเม็ดเลือดขาวเรียกวา “leuco-erythroblastic blood picture” นอกจาก
นั้นยังพบเม็ดเลือดแดงที่มีลักษณะคลายหยดนํ้าเรียกวา tear drop cells ซึ่งเปนลักษณะ
จําเพาะของภาวะนี้
30.------------------------------------------------------------------------------------------------------------------
เม็ดเลือดแดงที่มีผิวเปนหนามเรียกวา Acanthocyte ถามีหนามสั้นๆขนาดเทาๆกัน
เรียกวา ecchinocyte หรือ crenated cells ลักษณะเชนนี้พบไดใน severe liver failure, alcohol
toxicity, a-beta lipoproteinemia, chronic renal failure เปนตน ขอพึงระวังในการอานผล slide นี้
ไดแกการเตรียม slide บกพรองทําใหcell เหี่ยวอาจพบวามีลักษณะเปน crenated cells ได
ทั้งนี้
หากลักษณะเชนนี้เกิดจากความบกพรองในการเตรียม slide จะพบลักษณะ crenated cell ใน
ทุกเซลลหากเกิดจากความบกพรองของ cell membrane จะพบลักษณะนี้ในบางเซลลและ
สามารถเห็นเซลลเม็ดเลือดแดงปกติไดในบริเวณเดียวกัน
31.------------------------------------------------------------------------------------------------------------------
Target cell : เซลลเม็ดเลือดแดงที่มีลักษณะเหมือนเปาตาวัว พบไดใน iron deficiency anemia ,
thalassemia แตหากพบวาเซลลสวนใหญเปน target cells และไมมีลักษณะผิดปกติอื่นโดดเดน
จะพบไดใน 2 ภาวะคือ
- Hemoglobin E
- Chronic liver disease ชนิด obstructive หรือ cholestesis
Stomatocyte : เม็ดเลือดแดงที่มีcentral pallor เปนรูปปากแทนที่จะเปนรูปกลม
เกิดจากความผิดปกติของ red cell membrane โดยมากเปนความผิดปกติทาง
พันธุกรรมแตกําเนิด มักไมมีอาการทางคลินิก
32.------------------------------------------------------------------------------------------------------------------
เม็ดเลือดแดงที่มีรูปรางผิดปกติที่เห็น กรณีมีรูปทรงรีเรียกวา “ovalocytosis” กรณีเซลลสวน
ใหญเปน spherocyte เรียก “spherocytosis” ทั้งสองกรณี
เกิดจากความผิดปกติของ cell membrane แตกําเนิดเนื่องจากพันธุกรรม Hereditary
Ovalocyosis ถายทอดทางพันธุกรรมแบบ autosomal dominant สวน Hereditary Spherocytosis
มีทั้งชนิดที่ถายทอดทาง
พันธุกรรมแบบ autosomal dominant และ autosomal recessive
33.------------------------------------------------------------------------------------------------------------------
ในการประเมินจํานวนเม็ดเลือดขาวจาก blood smear ใชการดูดวย Objective lens (40 x) นับ
จํานวนเม็ดเลือดขาวแลวหาคาเฉลี่ยวามีเม็ดเลือดขาวเฉลี่ยกี่เซลล/high power fields. นํา
คาที่ไดx 1,500 จะไดคาโดยประมาณของเม็ดเลือดขาว
การประเมินจํานวนเกร็ดเลือดจาก blood smear ใชวิธีการเดียวกันแตเปลี่ยนจาก lens (40 x)
เปน (100 x) และเปลี่ยนจํานวนเลขที่นําไปคูณกับคาเฉลี่ยที่นับไดจาก 1,500 เปน 15,000
แทนเม็ดเลือดขาวที่เห็นสวนใหญเปน PMN segmented form มีlymphocyte และ Monocyte
จํานวนนอย
34.------------------------------------------------------------------------------------------------------------------
ภาวะที่มีเม็ดเลือดขาวนอยกวาปกติเรียกวา Leucopenia
ใน slide นี้เม็ดเลือดขาวที่เห็นเปน transformed lymphocyte
35-------------------------------------------------------------------------------------------------------------------
เม็ดเลือดขาวมีจํานวนมากกวาปกติเรียกวามีภาวะ leucocytosis
36.------------------------------------------------------------------------------------------------------------------
กรณีที่เม็ดเลือดขาวมีจํานวนสูงมากเกินกวา 50,000/mm3 และมีเซลลสวนใหญเปน
segmented PMN เรียกภาวะนี้วา Leukemoid reaction ภาวะนี้พบในหลายกรณีเชน malignancy,
severe bacterial infection, severe burn เปนตน
37.------------------------------------------------------------------------------------------------------------------
Acute leukemia สวนใหญมีเม็ดเลือดขาวสูง แตบางรายอาจมีจํานวน
เม็ดเลือดขาวปกติหรือตํ่าก็ไดแตใหสังเกตวาเม็ดเลือดขาวที่เห็นสวนใหญ
เปนตัวออนและมีลักษณะคลายกัน
38.------------------------------------------------------------------------------------------------------------------
Lymphoid series
39.------------------------------------------------------------------------------------------------------------------
Small lymphocyte
Small lymphocyte เปนเซลลขนาดเล็กใหญกวาเม็ดเลือดแดงเพียงเล็กนอย nucleocytoplasmic
ratio สูงมากเห็น cytoplasm เพียงเล็กนอยติดสีฟา nuclear chromatin aggregate เปนปนๆเห็น
parachromatin ชัดเจน
40.------------------------------------------------------------------------------------------------------------------
Large lymphocyte
Large lymphocyte มีขนาดใหญกวา small lymphocyte เล็กนอย cytoplasm มากกวา บางเซลลมี
azulophilic granule เม็ดหยาบใหญ
จํานวนนอยอยูใน cytoplasm ดวย เซลลที่มีazulophilic granule นี้เปน Natural killer cells.
41.------------------------------------------------------------------------------------------------------------------
เปรียบเทียบ small กับ large lymphocyte
42.------------------------------------------------------------------------------------------------------------------
เปรียบเทียบ lymphocyte กับ NRC
ใหสังเกตขนาดของเซลลลักษณะ nucleous และการติดสีcytplasm จะเห็นวา cytoplasm ของ
NRC ติดสีคลายเม็ดเลือดแดง
43.------------------------------------------------------------------------------------------------------------------
Transform lymphocyte
Transform lymphocyte : พบไดในหลายภาวะเชน viral infection , Malaria, Drug allergy ฯลฯ
สังเกตลักษณะจะพบวาเซลลมีขนาดใหญcytoplasm ติดสีนํ้าเงินเขม nuclear chromatin มี
ลักษณะ aggregation เปนปนๆเหมือน lymphocyte ตัวแก
44.------------------------------------------------------------------------------------------------------------------
เปรียบเทียบ large กับ transform lymphocyte
ใหสังเกตความแตกตางของ large lymphocyte กับ transform lymphocyte จะพบวาตางกันทั้ง
ขนาด จํานวนและสีของ cytoplasm nuclear chromatin มีลักษณะของ lymph ตัวแกเหมือนกัน
45.------------------------------------------------------------------------------------------------------------------
Transform lymphocyte VS Lymphoblast
ใหเปรียบเทียบ transform lymphocyte กับ lymphoblast จะพบวา
nuclear chromatin ของ lymphoblast ละเอียดกวา cytoplam ของ
transform lymphocyte มากกวาและติดสีนํ้าเงินจัดกวา
46.------------------------------------------------------------------------------------------------------------------
Plasma cell
Plasma cell: เปนเซลลที่เปลี่ยนแปลงมาจาก B lymphocyte เมื่อไดรับ การกระตุนจาก antigen
ทําหนาที่สราง immunoglobulin ที่เปน
antibody สังเกตลักษณะของเซลลจะพบเปน mononuclear cell ที่มี
nucleocytoplasmic ratio ตํ่า เห็น cytoplasm มาก ติดสีนํ้าเงินอมเทา
nucleous เอียงไปขางหนึ่ง (eccentric nucleous) มองเห็น perinuclear halo คือบริเวณที่ติดสีจาง
อยูรอบๆ nucleous
47.------------------------------------------------------------------------------------------------------------------
Chronic lymphocytic leukemia
Chronic lymphocytic leukemia : วินิจฉัยไดดวยการที่มีเม็ดเลือดขาว
จํานวนมากและเซลลสวนใหญเปน mature lymphocyte โดยมีเกณฑใน
การวินิจฉัยคือตองมีabsolute lymphocyte count มากกวา
5,000 cells/mm3
48.------------------------------------------------------------------------------------------------------------------
Acute lymphoblastic leukemia (L1)
L1: เปน lymphoblast ขนาดเล็ก ใหญกวาเม็ดเลือดแดงไมมากประมาณ 1.5-2.0 เทา
nucleocytoplasmic ratio สูงมากจนเกือบไมเห็น cytoplasm มีnucleolus 1-2 อันแตเห็นไมคอย
ชัดเจน
49.------------------------------------------------------------------------------------------------------------------
เปรียบเทียบ CLL กับ ALL(L1)
ใหเปรียบเทียบลักษณะของเซลลmature lymphocyte ใน CLL กับ L1 lymphoblast
50.------------------------------------------------------------------------------------------------------------------
Acute lymphoblastic leukemia (L2)
L2 : Lymphoblast L2 มีขนาดใหญกวา L1 คือใหญกวาเม็ดเลือดแดงประมาณ 2-2.5 เทา เห็น
cytoplasm มากกวา ไมเห็น granule หรือ auer rod ในcytoplasm
51.------------------------------------------------------------------------------------------------------------------
Acute lymphoblastic leukemia (L3)
L3 : เรียกอีกอยางหนึ่งวา Burkitt’s cell type มีลักษณะที่เห็นไดชัดคือ cytoplsm ติดสีนํ้าเงินจัด
และมีvacuole ใน cytoplasm
52.------------------------------------------------------------------------------------------------------------------
เปรียบเทียบใหเห็น lymphoid leukemias ทั้ง 4 ชนิด
53.------------------------------------------------------------------------------------------------------------------
Granulocytic series
54.------------------------------------------------------------------------------------------------------------------
Myeloblast
Myeloblast : ใหสังเกตลักษณะเซลลจะเห็นวาเปน mononuclear cell ขนาดใหญกวาเม็ดเลือด
แดง3-4 เทา เห็น cytoplasm มาก nuclear
chromatin ละเอียดปานกลาง nucleolus เห็นขอบเขตชัดเจน จํานวน 3-5 อัน
ใน cytoplasm ของบางเซลลอาจเห็น inclusion ลักษณะเปนแทงสีแดง เรียกวา “auer rod” สิ่งนี้
พบไดใน blast cells ที่ไมใชlymphoblast คือพบไดทั้งใน myeloblast , promyelocyte และ
monoblast
55.------------------------------------------------------------------------------------------------------------------
Promyelocyte
Promyelocyte : เซลลมีขนาดใหญกวา myeloblast เล็กนอย ยังคงเห็น nucleolus ชัดเจน สังเกต
ดูใน cytoplasm จะเห็น azulophilic granule เม็ดหยาบใหญติดสีแดง
56.------------------------------------------------------------------------------------------------------------------
Myelocyte
Myelocyte : เปนเซลลระยะแกขึ้นถัดจาก promyelocyte เซลลมีขนาดเล็กลง nucloecytoplasmic
ratio ลดลงเห็น cytoplasm มากขึ้น nucleus ยังคงมีลักษณะกลมแตnuclear chromatin aggregate
มากขึ้นและไมเห็น nucleolus แลว cytoplasm สีออกชมพูและมีgranule เปน specific granule
57.------------------------------------------------------------------------------------------------------------------
Metamyelocyte
Metamyelocyte : ลักษณะทั่วไปคลาย myelocyte แตขนาดเล็กกวาเล็กนอยและ nucleus เปนรูป
ถั่ว
58.------------------------------------------------------------------------------------------------------------------
Band form Neutrophils
Band form PMN : เปนเซลลในระยะที่แกกวา metamyelocyte ใหสังเกตลักษณะ nucleus ที่มี
ลักษณะเปนริ้วยาวเหมือนริบบิ้น
59.------------------------------------------------------------------------------------------------------------------
Segmented form Neutrophils
เซลลระยะนี้เปนเซลลตัวแกของ nutrophils หรือเรียกอีกชื่อหนึ่ง วา Polymorphonuclear cells
(PMN) ใหสังเกต nucleus มีลักษณะ
เปน lobe หลาย lobe สวนเชื่อมตอแตละ lobe มีลักษณะเปนเสน ปกติมี
ประมาณ 3-4 lobe ถา nucleus ของ PMN มีตั้งแต5 lobe ขึ้นไปเรียกวา hypersegmented PMN
60.------------------------------------------------------------------------------------------------------------------
Granulocyte
เปรียบเทียบเซลลตระกูล granulocyte ในระยะตางๆกันตั้งแตระยะ ตัวออนสุดไปจนถึงตัวแก
61.------------------------------------------------------------------------------------------------------------------
PMN with toxic granules and vacuolization
ลักษณะที่เห็นนี้พบไดในภาวะ severe bacterial infection
62.------------------------------------------------------------------------------------------------------------------
Pelger H?et anormaly
ใหสังเกตวา nutrophils ที่เห็นมีnucleus เปน 2 lobe ลักษณะเหมือนแวนตา ลักษณะผิดปกติ
เชนนี้พบไดในหลายภาวะ เชน
- Congenital abnormality
- Myelodysplastic syndrome
- TB etc.
63.------------------------------------------------------------------------------------------------------------------
Eosinophils and Basophils
Eosinophils : เปนเซลลที่มีgranule เม็ดใหญติดสีสมวาวๆคลายลูกปด เซลลนี้ในภาวะปกติพบ
จํานวนนอยเพียง 1-5% ของจํานวนเม็ดเลือดขาว
ใน peripheral blood จะพบมากขึ้นในภาวะตางๆดังตอไปนี้
- Tissue parasitic infestation
- Allergy
- Myeloproliferative disorder etc.
Basophils: ใหสังเกตวาเปนเซลลขนาดปานกลาง มีgranule เม็ดใหญติดสีนํ้าเงินเขม ปกติพบ
นอยมากใน peripheral blood เพียง 0-1% พบมากขึ้น
ใน myeloproliferative disorder
64.------------------------------------------------------------------------------------------------------------------
Monocyte
Monocyte : ใหสังเกตวาเปนเซลลขนาดใหญcytoplasm มากติดสีฟาอมเทา ในบางเซลลอาจ
พบ vacuole ไดดวย nucleus มีลักษณะหยักพับไปมา
คลายสมอง เรียกวามีconvoluted nucleus ลักษณะ nuclear chromatin
ฟูเบากวาเซลลชนิดอื่น
65.------------------------------------------------------------------------------------------------------------------
Monoblast
Monoblast : เปนตัวออนของ monocyte จะสังเกตเห็นความคลายคลึงกันกับ monocyte แต
nuclear chromatin ละเอียดกวา เห็น nucleolus ไดและอาจพบ granule เล็กละเอียดสีชมพูใน
cytoplasm ได( fine pink
dusty granule)
66.------------------------------------------------------------------------------------------------------------------
เปรียบเทียบ Monoblast กับ Monocyte
เปรียบเทียบระหวาง monoblast กับ monocyte สิ่งที่แตกตางกันชัดเจนคือ ความละเอียดของ
nuclear chromatin ของ blast cell ซึ่งเปนตัวออน
จะละเอียดกวามาก
67.------------------------------------------------------------------------------------------------------------------
เปรียบเทียบใหเห็นความแตกตางระหวาง blast cell ชนิดตางๆ จะเห็นวา
Lymphoblast มีขนาดเล็ก nucleocytoplasmic ratio สูงมากและ nuclear chromatin clumping มาก
ที่สุด Myeloblast ขนาดปานกลาง
มีnucelolus จํานวนมากและเดนชัด Monoblast ขนาดใหญcytoplasm มาก
และ nucleus หยักพับไปมา Promyelocyte ขนาดใหญมาก มีgranule
เม็ดหยาบใหญติดสีแดงจํานวนมาก
68.------------------------------------------------------------------------------------------------------------------
mature form ของ monocyte granulocytic series WBC.
69.------------------------------------------------------------------------------------------------------------------
Chronic Myeloid leukemia (CML)
CML: เม็ดเลือดขาวมีจํานวนเพิ่มจากปกติมาก เห็นเซลลgranulocyte ทุกระยะตั้งแตblast
cells จนถึง segmented PMN สวนใหญเกร็ดเลือดมักไมตํ่า บางรายมีเกร็ดเลือดเพิ่มมากขึ้น
และพบ pale stained
หรือ giant platelet ไดผูปวยโรคนี้หากทําการตรวจ chromosome จะพบ
chromosome ผิดปกติคือพบ t (9,22) เรียกวา “Philadelphia chromosome”
CML แบงออกเปน 3 phase คือ
- Chronic phase
- Acellerated phase
- Blastic phase
70.------------------------------------------------------------------------------------------------------------------
CML blastic phase
CML blastic phase : จะพบวาลักษณะเปนเชนเดียวกับ CML แตมีจํานวนของ Blast cells +
promyelocyte มากกวา 20% ของจํานวน WBC ทั้งหมด
71.------------------------------------------------------------------------------------------------------------------
ใหสังเกตความแตกตางระหวาง CML กับ AML จะพบวาใน acute leukemia cells สวนใหญอยู
ในระยะเดียวกันเกือบทั้งหมด
72.------------------------------------------------------------------------------------------------------------------
M1: Acute myeloblastic leukemia (AML) พบ blast cell ขนาด
ใหญcytoplasm มีปานกลาง nucleolus เดนชัดจํานวน 3-5 อัน
M1 พบเซลลเปน blast มากกวารอยละ 90
M2: ใหการวินิจฉัยเมื่อมีmyeloblast ในไขกระดูกมากกวารอยละ 20 แต
ไมถึงรอยละ 90 พบเซลลgranulocyte ตัวแกตั้งแตระดับ myelocyte ขึ้นไป
มากกวารอยละ 10
73.------------------------------------------------------------------------------------------------------------------
M3: Acute Promyelocytic Leukemia (APL) ใหสังเกต blast cell มี
ขนาดใหญมีgranule เม็ดหยาบใหญสีแดงจํานวนมาก acute leukemia ชนิดนี้ผูปวยมีปญหา
เลือดออกผิดปกติมากกวา acute leukemia ชนิดอื่น และอาจพบ DIC รวมดวยไดบอย
ประมาณ 2/3 ของผูปวย acute leukemia
ชนิดนี้มีภาวะ pancytopenia เมื่อแรกวินิจฉัยผูปวย APL ทุกราย
ตองตรวจพบโครโมโซมผิดปกติชนิด t(15,17) Acute leukemia ชนิดนี้
มีพยากรณโรคดีที่สุด หากไดรับการรักษาที่ถูกตองจะมีโอกาสโรคสงบ
ระยะยาวมากที่สุด
M4: Acute Myelomonocytic Leukemia (AMMoL) ใหสังเกตวา
พบ blast cell ทั้ง myeloblast และ monoblast อยูปนกันโดยทิ่blast cell ชนิดที่พบนอยกวาพบ
เกินรอยละ 20 หากพบวามีeosinophils เพิ่มขึ้นดวย
และตรวจโครโมโซมพบ ivs(16) ผูปวยมักมีพยากรณโรคดีเชนกัน
74.------------------------------------------------------------------------------------------------------------------
M5 : Acute Monoblastic leukemia (AMoL) มี2 ชนิดยอยคือ
M5a : Monoblast มีลักษณะเปนตัวออนมาก ใหสังเกต chromatin pattern ของ blast cell จะ
ละเอียดมาก และเห็น nucleolus ชัด
M5b: Monoblast คอนขางมีลักษณะเปนตัวแกมากขึ้น ลักษณะใกลเคียงกับ monocyte ดังนั้น
ใหพึงระวังวาในกรณีที่ผูปวยมีclinical นาสงสัย acute leukemia และผล CBC พบมีWBC
จํานวนมาก สวนใหญเปน monocyte ผูปวยอาจเปน ANLL ชนิด M5b ได
75.------------------------------------------------------------------------------------------------------------------
M6 : Erythroleukemia ใหสังเกตใน slide จะพบ myeloblast และ NRC จํานวนมาก รวมทั้งเม็ด
เลือดแดงมีลักษณะผิดปกติมาก ผูปวย M6 จํานวนหนึ่ง เริ่มตนอาการจากการเปน MDS กอน
อาการทางคลินิกที่สําคัญคือ ซีด สวนใหญอาการมักคอยเปนคอยไปไมเฉียบพลันเหมือน
acute leukemia ชนิดอื่น
M7: Megakaryoblastic leukemia ใหสังเกต Blast cell ขนาดเล็ก cytoplasm นอยคลาย
lymphoblast แตที่cytoplasm มีpsudopod เล็กๆ
ยื่นออกมาหลายอันผูปวย M7 จํานวนหนึ่งมีmarrow fibrosis คอนขางมาก
ทําใหไมสามารถทํา bone marrow aspiration ไดตองตรวจ bone marrow biopsy เทานั้น และ
บางรายมา present ดวยภาวะ pancytopenia ในระยะแรกของโรค
76.------------------------------------------------------------------------------------------------------------------
Abnormalities of Platelets
77.------------------------------------------------------------------------------------------------------------------
ในการประมาณเกร็ดเลือดจาก peripheral blood ใหดูดวยหัว oil fields และนับคาเฉลี่ยของ
เกร็ดเลือด
จํานวนเกร็ดเลือดโดยประมาณ = จํานวนเกร็ดเลือดเฉลี่ย/ oil fields X 15,000
ในภาวะปกติอาจเห็นเกร็ดเลือดจับกันเปนกลุมเล็กๆไดเรียกวา platelets clumping โดยทั่วไป
หากพบ platelets clumping ไดผูปวยมักไมมีภาวะ thrombocytopenia
ในภาพที่2 พบลักษณะ Pale stained platelets เกร็ดเลือดมีขนาด
ใหญกวาปกติเล็กนอยและติดสีจาง มีgranule นอย
78.------------------------------------------------------------------------------------------------------------------
Thrombocytosis : ใหสังเกตจะพบวาใน slide นี้พบเกร็ดเลือดจํานวนมาก Platelets clumps :
สังเกตดูในภาพจะเห็นเกร็ดเลือดเกาะกลุมกันจํานวนมาก การเห็น platelets clumping เปนการ
ยืนยันไดวา function ของเกร็ดเลือด
ผูปวยนาจะเปนปกติถาพบ Platelets clumping กลุมใหญมากๆ อาจเกิดจาก
ภาวะ hyper-aggregation ของเกร็ดเลือด
79.------------------------------------------------------------------------------------------------------------------
ITP : ใหสังเกตจะพบวาเม็ดเลือดแดงและเม็ดเลือดขาวอยูในเกณฑปกติแตไมพบเกร็ดเลือด
ใน slide เลย แสดงวาผูปวยมีภาวะ Isolated thrombocytopenia ซึ่งมีสาเหตุไดหลายอยางเชน
เปนผลจากยาบางชนิด, alcohol, hypersplenism, และITP เปนตน ขอพึงระวังในการวินิจฉัย
ภาวะนี้ไดแกควรตรวจดูใหดีวาผูปวยไมมีลักษณะ
เม็ดเลือดแดงหรือเม็ดเลือดขาวผิดปกติดวย เชนมีdimorphic RBC morphology
หรือมีabnormal WBC เพราะอาจเปนภาวะ MDS หรือ Myelopthisis ก็ได
APDE : ใหสังเกตวาผูปวยมีจํานวนเกร็ดเลือดปกติแตเกร็ดเลือดติดสีจาง (pale stained
platelets) รวมกับมีภาวะ eosinophilia ผูปวยกลุมนี้จะมีปญหาเลือดออกผิดปกติ
เนื่องจาก Platelets dysfunctions และมักสัมพันธกับ parasitic infestation.
80.------------------------------------------------------------------------------------------------------------------
Giant platelets
Giant platelets: ใหสังเกตเกร็ดเลือดมีขนาดใหญมาก ขนาดใกลเคียงกับ
เม็ดเลือดแดงหรือใหญกวา Giant platelets พบไดในหลายภาวะเชน Myeloproliferative
disorder, MDS, Myelopthisis เปนตน
The End
มีปญหาเรื่องบทเรียนนี้ติดตอไดที่
Kanchana Chansung M.D.
Hematology Unit, Department of Medicine,
Faculty of Medicine, Khon-Kaen University
************************************************************************************
ผลิตโดย.. หนวยสงเสริมสนับสนุนการเรียนการสอนดวยคอมพิวเตอร(CAI)
ฝายวิชาการ คณะแพทยศาสตรมหาวิทยาลัยขอนแกน
โทร. 3437, 3351
Back

Peripheral blood smear

  • 1.
    Blood Smear Interpretation KanchanaChansung M.D. Hematology Unit, Department of Medicine, Faculty of Medicine, Khon-Kaen University E-learning MD.KKU. 2.---------------------------------------------------------------------------------------------- ------------------- การเลือกบริเวณที่เหมาะสม การดูslide ควรเลือกบริเวณที่เหมาะสม โดยทั่วไปหากแบง slide เปนสามสวน บริเวณที่เหมาะสมจะอยูประมาณสวนที่สามแตไมใชสวนปลายสุดของ slide 3.---------------------------------------------------------------------------------------------- ------------------- บริเวณที่เหมาะสมในการดูBlood smear
  • 2.
    บริเวณที่เหมาะสมในการดูslide คือบริเวณที่เม็ดเลือดแดงกระจายตัว ไมซอนทับกันแตไมแบนราบจน centralpallor หายไป 4.-------------------------------------------------------------------------------------------------------------------- ตนสไลด ปลายสไลด์ หากดูที่บริเวณตน slide เกินไปจะเห็นเม็ดเลือดแดงซอนทับกันเปนตาขาย เรียกวา Psudorouleaux formation หากดูslide บริเวณปลาย slide เกินไป เม็ดเลือดแดงถูกรีดจนแบนราบไปหมดไมเห็น central pallor ทําใหไมสามารถ แยกไดวาเม็ดเลือดแดงมีการติดสีปกติหรือไม 5.-------------------------------------------------------------------------------------------------------------------- Normal RBC Hypochromic-Microcytic
  • 3.
    เม็ดเลือดแดงปกติมีขนาดเล็กกวา small lymphocyteเล็กนอย รูปรางกลม บุมตรงกลางคลาย ขนมโดนัททําใหมองเห็นบริเวณตรงกลางติสีจางลงเรียกวา central pallor ปกติมักมีขนาด ประมาณ 1/3 ของเสนผาศูนยกลางเม็ดเลือดแดง เม็ดเลือดแดง ที่มีการติดสีจางกวาปกติเรียกวามีhypochromia หรือ hypochromic RBC สังเกตดูจะเห็นวา central pallor กวางขึ้นเกินกวาครึ่งหนึ่ง ของเสนผาศูนยกลางเม็ดเลือดแดง การติดสีจางมัก เห็นพรอมๆ กับเม็ดเลือดแดง ตัวเล็กกวาปกติเรียกวา microcytic RBC ภาวะที่มีเม็ดเลือดแดงลักษณะ hypochromic- microcytic ที่พบบอยคือ thalassemia และ Irondeficiency 6.-------------------------------------------------------------------------------------------------------------------- Iron deficiency anemia : ใหสังเกตลักษณะ hypochromic microcytic คือเม็ดเลือดแดงตัวเล็ก และติดสีจางมีcentral pallor กวาง นอกจากนั้น ยังพบเม็ดเลือดแดงขนาดแตกตางกันและมีลักษณะผิดปกติเรียกวามี aniso-poikeilocytosis แตลักษณะนี้พบเพียงเล็กนอยเทานั้น 7.--------------------------------------------------------------------------------------------------------------------
  • 4.
    Thalassemia : bloodsmear ของ thalassemia มีลักษณะ hypochromic-microcytic เชนเดียว กับIron deficiency anemia แตมีเม็ดเลือดแดง ที่ลักษณะผิดปกติมากกวาใน iron deficiency anemia มาก กลาวคือใน thalassemia ลักษณะ aniso-poikielocytosis เปนลักษณะเดน ตางจาก iron deficiency anemia ซึ่งมีลักษณะ hypochromic-microcytic เปนลักษณะเดน 8.-------------------------------------------------------------------------------------------------------------------- Thalassemia : ใหสังเกตเม็ดเลือดแดงตัวเล็กติดสีจาง และเม็ดเลือดแดงมีรูปราง ผิดปกตินอกจากนั้นเนื่องจาก thalassemia เปนโรคที่มีภาวะ hemolysisจึงพบ polychromasia หรืออาจพบ NRC ไดดวย 9.--------------------------------------------------------------------------------------------------------------------
  • 5.
    Basophilic stippling :ที่เห็นเปนจุดเล็กๆสีนํ้าเงินในเม็ดเลือดแดง สิ่งนี้คือ เศษชิ้นสวนของ RNA ที่หลงเหลืออยูในเม็ดเลือดแดง ลักษณะนี้พบไดใน - blood smear ของผูปวย thalassemia บางราย - Hemoglobin Constant Spring - Myelodysplastic syndrome - Lead poisoning - 5’ Pyrimidine oxidase inhibitor deficeincy 10.------------------------------------------------------------------------------------------------------------------ ในรูปเปน Blood smear ของผูปวย Homozygous Hemoglobin Constant Spring เม็ดเลือดแดง บางเซลลในภาพมีcentral pallor ลักษณะคลายปากเรียกวา stomatocyte ลักษณะเชนนี้ถาพบ ในเซลลเม็ดเลือดแดงสวนมากมักเปน ความผิดปกติทางพันธุกรรมเรียกวา stomatocytosis 11.------------------------------------------------------------------------------------------------------------------
  • 6.
    ผูปวย Betathalassemia /Hemoglobin E ที่ไดรับการตัดมามจะพบวามีNRC จํานวนมาก และ พบ Howell-Jolly bodies ซึ่งมีลักษณะเปนจุดสีมวงเขมใน เม็ดเลือดแดง สิ่งนี้คือเศษ nucleous ของเม็ดเลือดแดงที่หลงเหลืออยูจะพบได ในกรณีที่ผูปวยไมมีมาม หรือมีภาวะ hyposplenism รวมทั้งพบไดใน megaloblastic anemia หรือ MDS 12.------------------------------------------------------------------------------------------------------------------ เปรียบเทียบ Thalassemia กับ Iron deficiency ใหเปรียบเทียบความแตกตางของ blood smear ผูปวย thalasemia และ Iron deficiency anemia จะพบวาใน thalassemia จะมีลักษณะ hemolysis คือเห็น spherocyte และ polychromasia จํานวน มาก รวมทั้งมีลักษณะ aniso-poikielocytosis เดนมาก ในขณะที่Iron deficiency anemia มี ลักษณะเดนที่hypochromic-microcytic และ มีaniso-poikilocytosis จํานวนนอย 13.------------------------------------------------------------------------------------------------------------------
  • 7.
    ในผูปวย thalassemia ชนิดhemoglobin H หากนําเลือดมาตรวจ โดยการยอมดวย 1% Methylene blue จะพบลักษณะการตกตะกอนใน เม็ดเลือดแดงดังที่เห็นเรียกวา inclusion bodies ในเม็ดเลือดแดงจํานวนมาก การยอมสีลักษณะนี้เรียกวาการตรวจยอม vital stain 14.------------------------------------------------------------------------------------------------------------------ Hemolytic blood picture : คือลักษณะที่บงบอกวามีภาวะ hemolysis เกิดขึ้น ใหสังเกตวาจะพบ spherocyte เปนเซลลกลมเสนผาศูนยกลางเล็กกวา เม็ดเลือดแดงปกติติดสีเขมและไมมีcentral pallor จํานวนมาก รวมทั้งพบ polychromasia ซึ่งมี ขนาดใหญกวาเม็ดเลือดแดงปกติและติดสีมวงอมนํ้าเงิน จํานวนมากดวย ในบางรายอาจพบ NRC ดวยก็ไดเซลลตัวออนของเม็ดเลือดแดงนี้ เปนเครื่องหมายของ bone marrow response 15.------------------------------------------------------------------------------------------------------------------
  • 8.
    ภาพขยายของ hemolytic bloodpicture 16.------------------------------------------------------------------------------------------------------------------ ในกรณีที่พบ polychromasia ในเลือดจํานวนมากหากนําเลือดมาทําการยอม vital stain พบเม็ด เลือดแดงลักษณะดังที่เห็น เรียกวา reticulocyte เซลลนี้เปนเม็ดเลือดแดงตัวออน correspond กับ polychromasia ใน blood smear ที่ยอมดวย Wright’s stain ใหสังเกตความแตกตางระหวาง reticulocyte กับ RBC with inclusion bodies ใน Hb. H disease จะเห็นวา reticulocyte ตกตะกอนสีนํ้าเงินเปน เสนใยเล็กๆ ในเม็ดเลือดแดงในขณะที่inclusion bodies มีลักษณะการตกตะกอนสีเปนเม็ดๆ 17.------------------------------------------------------------------------------------------------------------------
  • 9.
    ลักษณะการเกาะกลุมของเม็ดเลือดแดงที่เห็นเรียกวา autoagglutination พบในภาวะ autoimmunehemolytic anemia (AIHA) ลักษณะ auto-agglutination นี้จะเห็นชัดเจนขึ้นหากเลื่อนดูบริเวณกลางๆและตน slide แตจะ เห็นไมชัดหากดูบริเวณปลาย slide มากๆ ผูปวย AIHA บางราย blood smear มีลักษณะ hemolytic picture แตไมมีauto-agglutination อยางไรก็ดีรอยละ 95 ของ AIHA จะตรวจพบ direct Coombs’ test positive 18.------------------------------------------------------------------------------------------------------------------ ลักษณะการเกาะกลุมของเม็ดเลือดแดงที่เห็นเรียกวา rouleaux formation พบลักษณะนี้ไดใน กรณีที่ผูปวยมีglobulin สูง เชน Multiple Myeloma, Chronic infection, parasitic infestation เชน Fasciolar hepatica. ตองแยก Rouleaux formation กับ auto-agglutination
  • 10.
    19.------------------------------------------------------------------------------------------------------------------ เปรียบเทียบ Auto-agglutination กับRouleaux formation เปรียบเทียบใหเห็นความแตกตางระหวาง auto-agglutination กับ Rouleaux formation 20.------------------------------------------------------------------------------------------------------------------ ผูปวย AIHA อาจเกิดเนื่องจากสาเหตุอื่นๆไดหลายอยางเชน autoimmune disease, viral infection, drug induced,chronic infection, malignancy เปนตน Malignancy ที่พบ AIHA รวมดวยบอยไดแกhematologic malignancy กลุม lymphoproliferative disorder โรคที่พบบอยที่สุดคือ chronic lymphocytic leukemia (CLL) สังเกตในภาพจะพบวาเม็ดเลือดขาวที่เห็นทั้งหมดเปน lymphocyte และเม็ดเลือดแดงมี auto-agglutination ชัดเจน 21.------------------------------------------------------------------------------------------------------------------
  • 11.
    Schistocyte : หมายถึงเม็ดเลือดแดงที่เปนเศษชิ้นสวนดังที่เห็นในภาพสวนใหญมักเกิดจาก traumatic mechanism คือมีการแตกของเม็ดเลือดแดง อันเนื่องมาจากการกระแทกเศษชิ้นสวน เหลานี้ถาเปนชิ้นเล็กๆอาจเรียก อีกอยางหนึ่งวา red cell fragmentationเซลลเหลานี้พบไดในภาวะที่มี intravascular hemolysis เชน MAHA 22.------------------------------------------------------------------------------------------------------------------ MAHA : Micro angiopathic hemolytic anemia เปนภาวะ hemolysis ที่เกิดเนื่องจากพยาธิสภาพ ในหลอดเลือดแดงเล็กๆ ลักษณะเชนนี้พบไดใน หลายโรค/ภาวะ เชน - Disseminated intravascular coagulation (DIC) - Thrombotic thrombocytopenic purpura (TTP) - Hemolytic Uremic Syndrome (HUS) เปนตน ใหสังเกตใน slide จะพบวาเซลลเม็ดเลือดแดงที่เห็นเปน normochromia คือมีการติดสีปกติ เห็นลักษณะ hemolytic blood picture คือพบ microspherocyte และ polychromasia จํานวนมาก
  • 12.
    รวมกับพบ schistocyte จํานวนมากนอกจากลักษณะMAHA blood picture แลว ใน slide นี้ยัง ไมพบเกร็ดเลือดเลยเรียกวามีภาวะ thrombocytopenia รวมดวย 23.------------------------------------------------------------------------------------------------------------------ Slide ที่เห็นนี้คือ slide ของผูปวย G-6PD deficiency ขณะกําลังเกิดภาวะ เม็ดเลือดแดงแตก ผูปวยที่มีภาวะพรอง enzyme นี้ในภาวะปกติจะมีลักษณะ รูปรางของเม็ดเลือดแดงปกติแตเมื่อวัดระดับ enzyme G-6PD ในเม็ดเลือดแดง ตัวแกจะพบวาตํ่ากวาปกติเม็ดเลือดแดงของผูปวยที่เปนโรคนี้แตกในกระแสเลือด ทําใหเกิด acute intravascular hemolysis ไดเมื่อรางกายเกิด oxidative stress ซึ่งโดยทั่วไปมัก เกิดจากการไดรับยาหรือสารเคมีบางชนิด เชน ยารักษา malaria, ASA, ยาปฏิชีวนะบางชนิด, naphthalene หรืออาหารบางชนิดเชนถั่วปากอา เปนตน โปรดสังเกตใน slide จะพบลักษณะ hemolysis ชัดเจน และเห็น defective spherocyte หรือ spherocyte ที่ขอบไมเรียบรอย 24.------------------------------------------------------------------------------------------------------------------
  • 13.
    ภาพขยายของ slide ผูปวยG-6-PD deficiency with acute hemolysis แสดงเซลลลักษณะ จําเพาะในภาวะนี้3 แบบ ไดแก - Ghost cell - Hemoglobin contracted cell - Hemoglobin leakage cell 25.------------------------------------------------------------------------------------------------------------------ ภาพขยายของ slide ผูปวย G-6-PD deficiency with acute hemolysis แสดงเซลลลักษณะ จําเพาะในภาวะนี้3 แบบ ไดแก - Ghost cell - Hemoglobin contracted cell - Hemoglobin leakage cell 26.------------------------------------------------------------------------------------------------------------------
  • 14.
    เมื่อนําเลือดผูปวย G-6-PD deficiencywith acute hemolysis มายอมสี1% new methylene blue จะพบลักษณะ inclusion bodies เม็ดใหญ1-2 อันอยูชิดขอบเซลลเรียกวา Heize’s bodies 27.------------------------------------------------------------------------------------------------------------------ Slide ที่เห็นนี้เปนของผูปวย Megaloblastic anemia โปรดสังเกตวา เม็ดเลือดแดงของผูปวยมีขนาดใหญมาก ทั้งนี้เมื่อเทียบกับ lymphocyte ที่ปกติขนาดใหญกวา เม็ดเลือดแดงเล็กนอยจะเห็นไดชด นอกจากนี้เม็ดเลือดแดง ขนาดใหญที่เห็นยังมีรูปทรงรีเรียกวา macro-ovalocyte และยังพบเซลลaniso-poikilocyte รวม ดวย ผูปวย megaloblastic anemia มีMCV ใหญ โดยมากมักเกิน 115 fl. ขึ้นไป นอกเหนือจากลักษณะเม็ดเลือดแดงดังกลาวแลว ใน blood smear ผูปวย megaloblastic anemia ยังพบ PMN หรือ Neutrophils ที่มีnucleous เกิน 4 lobe ขึ้นไป เรียกวา hyper-segmented PMN ดวย 28.------------------------------------------------------------------------------------------------------------------
  • 15.
    Dimorphic blood picture: คือลักษณะเม็ดเลือดแดงที่มีทั้ง hypochromia และ normochromia red cells อยูดวยกัน ลักษณะเชนนี้พบไดใน Myelodysplastic syndrome (MDS) , Sideroblastic anemia แตอาจพบไดในผูปวย Iron deficiency anemia ที่เพิ่งไดรับการ รักษา โดยการใหiron replacement หรือ blood transfusion 29.------------------------------------------------------------------------------------------------------------------ Agnogenic Myeloid Metaplasia (AMM) Agnogenic Myeloid Metaplasia หรือ AMM เปนโรคในกลุม myelproliferative disorder ผูปวยมัก มีอาการซีดและมีมามโตมาก เมื่อเจาะไขกระดูกอาจทํา aspiration ไมไดตองทํา biopsy เทานั้น เนื่องจากไขกระดูกมีพังผืด(Myelofibrosis) ลักษณะ peripheral blood smear ของ AMM จะพบลักษณะตัวออน ทั้งของเม็ดเลือดแดงและเม็ดเลือดขาวเรียกวา “leuco-erythroblastic blood picture” นอกจาก นั้นยังพบเม็ดเลือดแดงที่มีลักษณะคลายหยดนํ้าเรียกวา tear drop cells ซึ่งเปนลักษณะ จําเพาะของภาวะนี้ 30.------------------------------------------------------------------------------------------------------------------
  • 16.
    เม็ดเลือดแดงที่มีผิวเปนหนามเรียกวา Acanthocyte ถามีหนามสั้นๆขนาดเทาๆกัน เรียกวาecchinocyte หรือ crenated cells ลักษณะเชนนี้พบไดใน severe liver failure, alcohol toxicity, a-beta lipoproteinemia, chronic renal failure เปนตน ขอพึงระวังในการอานผล slide นี้ ไดแกการเตรียม slide บกพรองทําใหcell เหี่ยวอาจพบวามีลักษณะเปน crenated cells ได ทั้งนี้ หากลักษณะเชนนี้เกิดจากความบกพรองในการเตรียม slide จะพบลักษณะ crenated cell ใน ทุกเซลลหากเกิดจากความบกพรองของ cell membrane จะพบลักษณะนี้ในบางเซลลและ สามารถเห็นเซลลเม็ดเลือดแดงปกติไดในบริเวณเดียวกัน 31.------------------------------------------------------------------------------------------------------------------ Target cell : เซลลเม็ดเลือดแดงที่มีลักษณะเหมือนเปาตาวัว พบไดใน iron deficiency anemia , thalassemia แตหากพบวาเซลลสวนใหญเปน target cells และไมมีลักษณะผิดปกติอื่นโดดเดน จะพบไดใน 2 ภาวะคือ - Hemoglobin E - Chronic liver disease ชนิด obstructive หรือ cholestesis Stomatocyte : เม็ดเลือดแดงที่มีcentral pallor เปนรูปปากแทนที่จะเปนรูปกลม เกิดจากความผิดปกติของ red cell membrane โดยมากเปนความผิดปกติทาง พันธุกรรมแตกําเนิด มักไมมีอาการทางคลินิก
  • 17.
    32.------------------------------------------------------------------------------------------------------------------ เม็ดเลือดแดงที่มีรูปรางผิดปกติที่เห็น กรณีมีรูปทรงรีเรียกวา “ovalocytosis”กรณีเซลลสวน ใหญเปน spherocyte เรียก “spherocytosis” ทั้งสองกรณี เกิดจากความผิดปกติของ cell membrane แตกําเนิดเนื่องจากพันธุกรรม Hereditary Ovalocyosis ถายทอดทางพันธุกรรมแบบ autosomal dominant สวน Hereditary Spherocytosis มีทั้งชนิดที่ถายทอดทาง พันธุกรรมแบบ autosomal dominant และ autosomal recessive 33.------------------------------------------------------------------------------------------------------------------ ในการประเมินจํานวนเม็ดเลือดขาวจาก blood smear ใชการดูดวย Objective lens (40 x) นับ จํานวนเม็ดเลือดขาวแลวหาคาเฉลี่ยวามีเม็ดเลือดขาวเฉลี่ยกี่เซลล/high power fields. นํา คาที่ไดx 1,500 จะไดคาโดยประมาณของเม็ดเลือดขาว การประเมินจํานวนเกร็ดเลือดจาก blood smear ใชวิธีการเดียวกันแตเปลี่ยนจาก lens (40 x) เปน (100 x) และเปลี่ยนจํานวนเลขที่นําไปคูณกับคาเฉลี่ยที่นับไดจาก 1,500 เปน 15,000 แทนเม็ดเลือดขาวที่เห็นสวนใหญเปน PMN segmented form มีlymphocyte และ Monocyte จํานวนนอย 34.------------------------------------------------------------------------------------------------------------------
  • 18.
    ภาวะที่มีเม็ดเลือดขาวนอยกวาปกติเรียกวา Leucopenia ใน slideนี้เม็ดเลือดขาวที่เห็นเปน transformed lymphocyte 35------------------------------------------------------------------------------------------------------------------- เม็ดเลือดขาวมีจํานวนมากกวาปกติเรียกวามีภาวะ leucocytosis 36.------------------------------------------------------------------------------------------------------------------
  • 19.
    กรณีที่เม็ดเลือดขาวมีจํานวนสูงมากเกินกวา 50,000/mm3 และมีเซลลสวนใหญเปน segmentedPMN เรียกภาวะนี้วา Leukemoid reaction ภาวะนี้พบในหลายกรณีเชน malignancy, severe bacterial infection, severe burn เปนตน 37.------------------------------------------------------------------------------------------------------------------ Acute leukemia สวนใหญมีเม็ดเลือดขาวสูง แตบางรายอาจมีจํานวน เม็ดเลือดขาวปกติหรือตํ่าก็ไดแตใหสังเกตวาเม็ดเลือดขาวที่เห็นสวนใหญ เปนตัวออนและมีลักษณะคลายกัน 38.------------------------------------------------------------------------------------------------------------------ Lymphoid series 39.------------------------------------------------------------------------------------------------------------------ Small lymphocyte
  • 20.
    Small lymphocyte เปนเซลลขนาดเล็กใหญกวาเม็ดเลือดแดงเพียงเล็กนอยnucleocytoplasmic ratio สูงมากเห็น cytoplasm เพียงเล็กนอยติดสีฟา nuclear chromatin aggregate เปนปนๆเห็น parachromatin ชัดเจน 40.------------------------------------------------------------------------------------------------------------------ Large lymphocyte Large lymphocyte มีขนาดใหญกวา small lymphocyte เล็กนอย cytoplasm มากกวา บางเซลลมี azulophilic granule เม็ดหยาบใหญ จํานวนนอยอยูใน cytoplasm ดวย เซลลที่มีazulophilic granule นี้เปน Natural killer cells. 41.------------------------------------------------------------------------------------------------------------------ เปรียบเทียบ small กับ large lymphocyte
  • 21.
    42.------------------------------------------------------------------------------------------------------------------ เปรียบเทียบ lymphocyte กับNRC ใหสังเกตขนาดของเซลลลักษณะ nucleous และการติดสีcytplasm จะเห็นวา cytoplasm ของ NRC ติดสีคลายเม็ดเลือดแดง 43.------------------------------------------------------------------------------------------------------------------ Transform lymphocyte
  • 22.
    Transform lymphocyte :พบไดในหลายภาวะเชน viral infection , Malaria, Drug allergy ฯลฯ สังเกตลักษณะจะพบวาเซลลมีขนาดใหญcytoplasm ติดสีนํ้าเงินเขม nuclear chromatin มี ลักษณะ aggregation เปนปนๆเหมือน lymphocyte ตัวแก 44.------------------------------------------------------------------------------------------------------------------ เปรียบเทียบ large กับ transform lymphocyte ใหสังเกตความแตกตางของ large lymphocyte กับ transform lymphocyte จะพบวาตางกันทั้ง ขนาด จํานวนและสีของ cytoplasm nuclear chromatin มีลักษณะของ lymph ตัวแกเหมือนกัน 45.------------------------------------------------------------------------------------------------------------------ Transform lymphocyte VS Lymphoblast
  • 23.
    ใหเปรียบเทียบ transform lymphocyteกับ lymphoblast จะพบวา nuclear chromatin ของ lymphoblast ละเอียดกวา cytoplam ของ transform lymphocyte มากกวาและติดสีนํ้าเงินจัดกวา 46.------------------------------------------------------------------------------------------------------------------ Plasma cell Plasma cell: เปนเซลลที่เปลี่ยนแปลงมาจาก B lymphocyte เมื่อไดรับ การกระตุนจาก antigen ทําหนาที่สราง immunoglobulin ที่เปน antibody สังเกตลักษณะของเซลลจะพบเปน mononuclear cell ที่มี nucleocytoplasmic ratio ตํ่า เห็น cytoplasm มาก ติดสีนํ้าเงินอมเทา nucleous เอียงไปขางหนึ่ง (eccentric nucleous) มองเห็น perinuclear halo คือบริเวณที่ติดสีจาง อยูรอบๆ nucleous 47.------------------------------------------------------------------------------------------------------------------ Chronic lymphocytic leukemia
  • 24.
    Chronic lymphocytic leukemia: วินิจฉัยไดดวยการที่มีเม็ดเลือดขาว จํานวนมากและเซลลสวนใหญเปน mature lymphocyte โดยมีเกณฑใน การวินิจฉัยคือตองมีabsolute lymphocyte count มากกวา 5,000 cells/mm3 48.------------------------------------------------------------------------------------------------------------------ Acute lymphoblastic leukemia (L1) L1: เปน lymphoblast ขนาดเล็ก ใหญกวาเม็ดเลือดแดงไมมากประมาณ 1.5-2.0 เทา nucleocytoplasmic ratio สูงมากจนเกือบไมเห็น cytoplasm มีnucleolus 1-2 อันแตเห็นไมคอย ชัดเจน 49.------------------------------------------------------------------------------------------------------------------ เปรียบเทียบ CLL กับ ALL(L1)
  • 25.
    ใหเปรียบเทียบลักษณะของเซลลmature lymphocyte ในCLL กับ L1 lymphoblast 50.------------------------------------------------------------------------------------------------------------------ Acute lymphoblastic leukemia (L2) L2 : Lymphoblast L2 มีขนาดใหญกวา L1 คือใหญกวาเม็ดเลือดแดงประมาณ 2-2.5 เทา เห็น cytoplasm มากกวา ไมเห็น granule หรือ auer rod ในcytoplasm 51.------------------------------------------------------------------------------------------------------------------ Acute lymphoblastic leukemia (L3)
  • 26.
    L3 : เรียกอีกอยางหนึ่งวาBurkitt’s cell type มีลักษณะที่เห็นไดชัดคือ cytoplsm ติดสีนํ้าเงินจัด และมีvacuole ใน cytoplasm 52.------------------------------------------------------------------------------------------------------------------ เปรียบเทียบใหเห็น lymphoid leukemias ทั้ง 4 ชนิด 53.------------------------------------------------------------------------------------------------------------------ Granulocytic series 54.------------------------------------------------------------------------------------------------------------------ Myeloblast
  • 27.
    Myeloblast : ใหสังเกตลักษณะเซลลจะเห็นวาเปนmononuclear cell ขนาดใหญกวาเม็ดเลือด แดง3-4 เทา เห็น cytoplasm มาก nuclear chromatin ละเอียดปานกลาง nucleolus เห็นขอบเขตชัดเจน จํานวน 3-5 อัน ใน cytoplasm ของบางเซลลอาจเห็น inclusion ลักษณะเปนแทงสีแดง เรียกวา “auer rod” สิ่งนี้ พบไดใน blast cells ที่ไมใชlymphoblast คือพบไดทั้งใน myeloblast , promyelocyte และ monoblast 55.------------------------------------------------------------------------------------------------------------------ Promyelocyte Promyelocyte : เซลลมีขนาดใหญกวา myeloblast เล็กนอย ยังคงเห็น nucleolus ชัดเจน สังเกต ดูใน cytoplasm จะเห็น azulophilic granule เม็ดหยาบใหญติดสีแดง 56.------------------------------------------------------------------------------------------------------------------ Myelocyte
  • 28.
    Myelocyte : เปนเซลลระยะแกขึ้นถัดจากpromyelocyte เซลลมีขนาดเล็กลง nucloecytoplasmic ratio ลดลงเห็น cytoplasm มากขึ้น nucleus ยังคงมีลักษณะกลมแตnuclear chromatin aggregate มากขึ้นและไมเห็น nucleolus แลว cytoplasm สีออกชมพูและมีgranule เปน specific granule 57.------------------------------------------------------------------------------------------------------------------ Metamyelocyte Metamyelocyte : ลักษณะทั่วไปคลาย myelocyte แตขนาดเล็กกวาเล็กนอยและ nucleus เปนรูป ถั่ว 58.------------------------------------------------------------------------------------------------------------------ Band form Neutrophils Band form PMN : เปนเซลลในระยะที่แกกวา metamyelocyte ใหสังเกตลักษณะ nucleus ที่มี ลักษณะเปนริ้วยาวเหมือนริบบิ้น 59.------------------------------------------------------------------------------------------------------------------
  • 29.
    Segmented form Neutrophils เซลลระยะนี้เปนเซลลตัวแกของnutrophils หรือเรียกอีกชื่อหนึ่ง วา Polymorphonuclear cells (PMN) ใหสังเกต nucleus มีลักษณะ เปน lobe หลาย lobe สวนเชื่อมตอแตละ lobe มีลักษณะเปนเสน ปกติมี ประมาณ 3-4 lobe ถา nucleus ของ PMN มีตั้งแต5 lobe ขึ้นไปเรียกวา hypersegmented PMN 60.------------------------------------------------------------------------------------------------------------------ Granulocyte เปรียบเทียบเซลลตระกูล granulocyte ในระยะตางๆกันตั้งแตระยะ ตัวออนสุดไปจนถึงตัวแก 61.------------------------------------------------------------------------------------------------------------------ PMN with toxic granules and vacuolization
  • 30.
    ลักษณะที่เห็นนี้พบไดในภาวะ severe bacterialinfection 62.------------------------------------------------------------------------------------------------------------------ Pelger H?et anormaly ใหสังเกตวา nutrophils ที่เห็นมีnucleus เปน 2 lobe ลักษณะเหมือนแวนตา ลักษณะผิดปกติ เชนนี้พบไดในหลายภาวะ เชน - Congenital abnormality - Myelodysplastic syndrome - TB etc. 63.------------------------------------------------------------------------------------------------------------------ Eosinophils and Basophils
  • 31.
    Eosinophils : เปนเซลลที่มีgranuleเม็ดใหญติดสีสมวาวๆคลายลูกปด เซลลนี้ในภาวะปกติพบ จํานวนนอยเพียง 1-5% ของจํานวนเม็ดเลือดขาว ใน peripheral blood จะพบมากขึ้นในภาวะตางๆดังตอไปนี้ - Tissue parasitic infestation - Allergy - Myeloproliferative disorder etc. Basophils: ใหสังเกตวาเปนเซลลขนาดปานกลาง มีgranule เม็ดใหญติดสีนํ้าเงินเขม ปกติพบ นอยมากใน peripheral blood เพียง 0-1% พบมากขึ้น ใน myeloproliferative disorder 64.------------------------------------------------------------------------------------------------------------------ Monocyte Monocyte : ใหสังเกตวาเปนเซลลขนาดใหญcytoplasm มากติดสีฟาอมเทา ในบางเซลลอาจ พบ vacuole ไดดวย nucleus มีลักษณะหยักพับไปมา คลายสมอง เรียกวามีconvoluted nucleus ลักษณะ nuclear chromatin ฟูเบากวาเซลลชนิดอื่น 65.------------------------------------------------------------------------------------------------------------------ Monoblast
  • 32.
    Monoblast : เปนตัวออนของmonocyte จะสังเกตเห็นความคลายคลึงกันกับ monocyte แต nuclear chromatin ละเอียดกวา เห็น nucleolus ไดและอาจพบ granule เล็กละเอียดสีชมพูใน cytoplasm ได( fine pink dusty granule) 66.------------------------------------------------------------------------------------------------------------------ เปรียบเทียบ Monoblast กับ Monocyte เปรียบเทียบระหวาง monoblast กับ monocyte สิ่งที่แตกตางกันชัดเจนคือ ความละเอียดของ nuclear chromatin ของ blast cell ซึ่งเปนตัวออน จะละเอียดกวามาก 67.------------------------------------------------------------------------------------------------------------------
  • 33.
    เปรียบเทียบใหเห็นความแตกตางระหวาง blast cellชนิดตางๆ จะเห็นวา Lymphoblast มีขนาดเล็ก nucleocytoplasmic ratio สูงมากและ nuclear chromatin clumping มาก ที่สุด Myeloblast ขนาดปานกลาง มีnucelolus จํานวนมากและเดนชัด Monoblast ขนาดใหญcytoplasm มาก และ nucleus หยักพับไปมา Promyelocyte ขนาดใหญมาก มีgranule เม็ดหยาบใหญติดสีแดงจํานวนมาก 68.------------------------------------------------------------------------------------------------------------------ mature form ของ monocyte granulocytic series WBC. 69.------------------------------------------------------------------------------------------------------------------ Chronic Myeloid leukemia (CML)
  • 34.
    CML: เม็ดเลือดขาวมีจํานวนเพิ่มจากปกติมาก เห็นเซลลgranulocyteทุกระยะตั้งแตblast cells จนถึง segmented PMN สวนใหญเกร็ดเลือดมักไมตํ่า บางรายมีเกร็ดเลือดเพิ่มมากขึ้น และพบ pale stained หรือ giant platelet ไดผูปวยโรคนี้หากทําการตรวจ chromosome จะพบ chromosome ผิดปกติคือพบ t (9,22) เรียกวา “Philadelphia chromosome” CML แบงออกเปน 3 phase คือ - Chronic phase - Acellerated phase - Blastic phase 70.------------------------------------------------------------------------------------------------------------------ CML blastic phase CML blastic phase : จะพบวาลักษณะเปนเชนเดียวกับ CML แตมีจํานวนของ Blast cells + promyelocyte มากกวา 20% ของจํานวน WBC ทั้งหมด
  • 35.
    71.------------------------------------------------------------------------------------------------------------------ ใหสังเกตความแตกตางระหวาง CML กับAML จะพบวาใน acute leukemia cells สวนใหญอยู ในระยะเดียวกันเกือบทั้งหมด 72.------------------------------------------------------------------------------------------------------------------ M1: Acute myeloblastic leukemia (AML) พบ blast cell ขนาด ใหญcytoplasm มีปานกลาง nucleolus เดนชัดจํานวน 3-5 อัน M1 พบเซลลเปน blast มากกวารอยละ 90 M2: ใหการวินิจฉัยเมื่อมีmyeloblast ในไขกระดูกมากกวารอยละ 20 แต ไมถึงรอยละ 90 พบเซลลgranulocyte ตัวแกตั้งแตระดับ myelocyte ขึ้นไป มากกวารอยละ 10 73.------------------------------------------------------------------------------------------------------------------
  • 36.
    M3: Acute PromyelocyticLeukemia (APL) ใหสังเกต blast cell มี ขนาดใหญมีgranule เม็ดหยาบใหญสีแดงจํานวนมาก acute leukemia ชนิดนี้ผูปวยมีปญหา เลือดออกผิดปกติมากกวา acute leukemia ชนิดอื่น และอาจพบ DIC รวมดวยไดบอย ประมาณ 2/3 ของผูปวย acute leukemia ชนิดนี้มีภาวะ pancytopenia เมื่อแรกวินิจฉัยผูปวย APL ทุกราย ตองตรวจพบโครโมโซมผิดปกติชนิด t(15,17) Acute leukemia ชนิดนี้ มีพยากรณโรคดีที่สุด หากไดรับการรักษาที่ถูกตองจะมีโอกาสโรคสงบ ระยะยาวมากที่สุด M4: Acute Myelomonocytic Leukemia (AMMoL) ใหสังเกตวา พบ blast cell ทั้ง myeloblast และ monoblast อยูปนกันโดยทิ่blast cell ชนิดที่พบนอยกวาพบ เกินรอยละ 20 หากพบวามีeosinophils เพิ่มขึ้นดวย และตรวจโครโมโซมพบ ivs(16) ผูปวยมักมีพยากรณโรคดีเชนกัน 74.------------------------------------------------------------------------------------------------------------------ M5 : Acute Monoblastic leukemia (AMoL) มี2 ชนิดยอยคือ M5a : Monoblast มีลักษณะเปนตัวออนมาก ใหสังเกต chromatin pattern ของ blast cell จะ ละเอียดมาก และเห็น nucleolus ชัด M5b: Monoblast คอนขางมีลักษณะเปนตัวแกมากขึ้น ลักษณะใกลเคียงกับ monocyte ดังนั้น
  • 37.
    ใหพึงระวังวาในกรณีที่ผูปวยมีclinical นาสงสัย acuteleukemia และผล CBC พบมีWBC จํานวนมาก สวนใหญเปน monocyte ผูปวยอาจเปน ANLL ชนิด M5b ได 75.------------------------------------------------------------------------------------------------------------------ M6 : Erythroleukemia ใหสังเกตใน slide จะพบ myeloblast และ NRC จํานวนมาก รวมทั้งเม็ด เลือดแดงมีลักษณะผิดปกติมาก ผูปวย M6 จํานวนหนึ่ง เริ่มตนอาการจากการเปน MDS กอน อาการทางคลินิกที่สําคัญคือ ซีด สวนใหญอาการมักคอยเปนคอยไปไมเฉียบพลันเหมือน acute leukemia ชนิดอื่น M7: Megakaryoblastic leukemia ใหสังเกต Blast cell ขนาดเล็ก cytoplasm นอยคลาย lymphoblast แตที่cytoplasm มีpsudopod เล็กๆ ยื่นออกมาหลายอันผูปวย M7 จํานวนหนึ่งมีmarrow fibrosis คอนขางมาก ทําใหไมสามารถทํา bone marrow aspiration ไดตองตรวจ bone marrow biopsy เทานั้น และ บางรายมา present ดวยภาวะ pancytopenia ในระยะแรกของโรค 76.------------------------------------------------------------------------------------------------------------------ Abnormalities of Platelets 77.------------------------------------------------------------------------------------------------------------------
  • 38.
    ในการประมาณเกร็ดเลือดจาก peripheral bloodใหดูดวยหัว oil fields และนับคาเฉลี่ยของ เกร็ดเลือด จํานวนเกร็ดเลือดโดยประมาณ = จํานวนเกร็ดเลือดเฉลี่ย/ oil fields X 15,000 ในภาวะปกติอาจเห็นเกร็ดเลือดจับกันเปนกลุมเล็กๆไดเรียกวา platelets clumping โดยทั่วไป หากพบ platelets clumping ไดผูปวยมักไมมีภาวะ thrombocytopenia ในภาพที่2 พบลักษณะ Pale stained platelets เกร็ดเลือดมีขนาด ใหญกวาปกติเล็กนอยและติดสีจาง มีgranule นอย 78.------------------------------------------------------------------------------------------------------------------ Thrombocytosis : ใหสังเกตจะพบวาใน slide นี้พบเกร็ดเลือดจํานวนมาก Platelets clumps : สังเกตดูในภาพจะเห็นเกร็ดเลือดเกาะกลุมกันจํานวนมาก การเห็น platelets clumping เปนการ ยืนยันไดวา function ของเกร็ดเลือด ผูปวยนาจะเปนปกติถาพบ Platelets clumping กลุมใหญมากๆ อาจเกิดจาก ภาวะ hyper-aggregation ของเกร็ดเลือด 79.------------------------------------------------------------------------------------------------------------------
  • 39.
    ITP : ใหสังเกตจะพบวาเม็ดเลือดแดงและเม็ดเลือดขาวอยูในเกณฑปกติแตไมพบเกร็ดเลือด ในslide เลย แสดงวาผูปวยมีภาวะ Isolated thrombocytopenia ซึ่งมีสาเหตุไดหลายอยางเชน เปนผลจากยาบางชนิด, alcohol, hypersplenism, และITP เปนตน ขอพึงระวังในการวินิจฉัย ภาวะนี้ไดแกควรตรวจดูใหดีวาผูปวยไมมีลักษณะ เม็ดเลือดแดงหรือเม็ดเลือดขาวผิดปกติดวย เชนมีdimorphic RBC morphology หรือมีabnormal WBC เพราะอาจเปนภาวะ MDS หรือ Myelopthisis ก็ได APDE : ใหสังเกตวาผูปวยมีจํานวนเกร็ดเลือดปกติแตเกร็ดเลือดติดสีจาง (pale stained platelets) รวมกับมีภาวะ eosinophilia ผูปวยกลุมนี้จะมีปญหาเลือดออกผิดปกติ เนื่องจาก Platelets dysfunctions และมักสัมพันธกับ parasitic infestation. 80.------------------------------------------------------------------------------------------------------------------ Giant platelets Giant platelets: ใหสังเกตเกร็ดเลือดมีขนาดใหญมาก ขนาดใกลเคียงกับ เม็ดเลือดแดงหรือใหญกวา Giant platelets พบไดในหลายภาวะเชน Myeloproliferative disorder, MDS, Myelopthisis เปนตน
  • 45.
  • 46.
    Hematology Unit, Departmentof Medicine, Faculty of Medicine, Khon-Kaen University ************************************************************************************ ผลิตโดย.. หนวยสงเสริมสนับสนุนการเรียนการสอนดวยคอมพิวเตอร(CAI) ฝายวิชาการ คณะแพทยศาสตรมหาวิทยาลัยขอนแกน โทร. 3437, 3351 Back