Dr. Abel, Calloapaza Pari
a1be2l@hotmail.com
MR. Cirugía de Tórax y Cardiovascular
HNHU
                             El presente trabajo expresa la opinión personal del autor sobre el tema.
   Definición.
   Etiología y Epidemiologia.
   Cuadro Clínico.
   Métodos Diagnósticos.
   Opciones terapéuticas.
   Pronostico.
   Imágenes.
PERICARDITIS CONSTRICTIVA
   Constrictive pericarditis is the end stage of an inflammatory
    process involving the pericardium.




               Libby: Braunwald's Heart Disease: A Textbook of Cardiovascular Medicine, 8th ed.
PERICARDITIS CONSTRICTIVA
   In the developed world the cause is most commonly: (1 –
    3).
     idiopathic,
     postsurgical, or
     radiation injury.
   Tuberculosis was the most common cause of constrictive
    pericarditis in the developed world before development of
    effective drug therapy. It remains important in developing
    countries.
                1. Troughton RW, Asher CR, Klein AL: Pericarditis. Lancet 2004; 363:717.
                2. Hoit BD: Management of effusive and constrictive pericardial heart disease. Circulation 2002; 105:2939.
                3. Little WC, Freeman GL: Pericardial disease. Circulation 2006; 113:1622.
   Although constriction can follow an initial insult by as little
    as several months, it usually takes years to develop.
   The end result is dense fibrosis, often calcification, and
    adhesions of the parietal and visceral pericardium.
   Usually scarring is more or less symmetrical and impedes
    filling of all heart chambers.
   In a subset of patients the process develops relatively
    rapidly and is reversible. This variant is seen most
    commonly following cardiac surgery. 1

                      1. Haley JH, Tajik AJ, Danielson GK, et al: Transient constrictive pericarditis: Causes and
                      natural history. J Am Coll Cardiol 2004; 43:271.
PERICARDITIS CONSTRICTIVA
   The clinical presentation is usually dominated by signs and
    symptoms of right-heart failure.
   The pathophysiological consequence of pericardial
    scarring is markedly restricted filling of the heart. This
    results in elevation and equilibration of filling pressures in
    all chambers and the systemic and pulmonary veins. In
    early diastole the ventricles fill abnormally rapidly because
    of markedly elevated atrial pressures and accentuated
    early diastolic ventricular suction, the latter related to small
    end-systolic volumes.
               1. Troughton RW, Asher CR, Klein AL: Pericarditis. Lancet 2004; 363:717.
               2. Hoit BD: Management of effusive and constrictive pericardial heart disease. Circulation 2002; 105:2939.
               3. Little WC, Freeman GL: Pericardial disease. Circulation 2006; 113:1622.
   Systemic venous congestion results in hepatic congestion,
    peripheral edema, ascites, and sometimes anasarca and cardiac
    cirrhosis. Reduced cardiac output is a consequence of impaired
    ventricular filling and causes fatigue, muscle wasting, and weight
    loss.
   In “pure” constriction, contractile function is preserved, although
    ejection fraction can be reduced as a consequence of reduced
    preload.
   The myocardium is occasionally involved in the chronic inflammation
    and fibrosis, leading to true contractile dysfunction that can at times
    be quite severe. The latter predicts a poor response to
    pericardiectomy.
                 Libby: Braunwald's Heart Disease: A Textbook of Cardiovascular Medicine, 8th ed.
Schematic representation of transvalvular and central venous flow velocities in constrictive
pericarditis. During inspiration the decrease in left ventricular filling results in a leftward
septal shift, allowing augmented flow into the right ventricle. The opposite occurs during
expiration. EA = mitral inflow; HV = hepatic vein; LA = left atrium; LV = left ventricle; PV =
pulmonary venous flow; RA = right atrium; RV = right ventricle.
   At a relatively early stage these signs and symptoms include lower
    extremity edema, vague abdominal complaints, and some degree of
    passive hepatic congestion.
   Signs and symptoms ascribable to elevated pulmonary venous
    pressures such as exertional dyspnea, cough, and orthopnea may
    also appear with progressive disease. Atrial fibrillation and tricuspid
    regurgitation, which further exacerbate venous pressure elevation,
    may also appear at this stage. In the end stage of constrictive
    pericarditis, the effects of a chronically low cardiac output are
    prominent including severe fatigue, muscle wasting, and cachexia.



                Libby: Braunwald's Heart Disease: A Textbook of Cardiovascular Medicine, 8th ed.
   El hallazgo semiológico más propio de la pericarditis constrictiva es
    el signo de Kussmaul o aumento de la presión venosa yugular
    (ingurgitación yugular) durante la inspiración, como
    consecuencia de un aumento del retorno venoso, secundario a la
    presión negativa intratorácica, pero con restricción al llene
    ventricular derecho y sin que haya un aumento simultáneo del gasto
    cardíaco. Dado que el corazón está recubierto por una coraza
    rígida, la distensibilidad de este se ve muy disminuida y cualquier
    aumento de volumen se transmite en forma retrógrada, es por eso
    que las yugulares se ingurgitan al inspirar (no como normalmente se
    esperaría: al inspirar, las yugulares colapsan)

                       1. Haley JH, Tajik AJ, Danielson GK, et al: Transient constrictive pericarditis: Causes and
                       natural history. J Am Coll Cardiol 2004; 43:271.
   O… en valsalva.
Medicine.2009; 10(43) :2870-5
Medicine.2009; 10(43) :2870-5
Constrictive pericarditis Doppler schema of respirophasic changes in mitral and tricuspid inflow. Reciprocal
patterns of ventricular filling are assessed on pulsed Doppler examination of mitral (MV) and tricuspid (TV)
inflow. (Courtesy of Bernard E. Bulwer, MD; with permission.)
PERICARDITIS CONSTRICTIVA
 No specific ECG findings exist.
 Nonspecific T wave abnormalities are often
  observed, as well as reduced voltage.
 Left atrial abnormality may also be present.
 Atrial fibrillation is present in significant numbers of
  patients.



            Libby: Braunwald's Heart Disease: A Textbook of Cardiovascular Medicine, 8th ed.
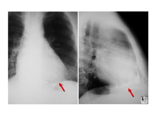
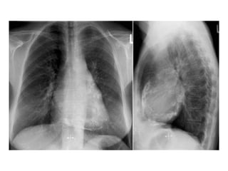
   The cardiac silhouette can be enlarged secondary to a coexisting pericardial
    effusion.
   Pericardial calcification is seen in a minority of patients and should raise the
    suspicion of tuberculous pericarditis, but calcification per se is not diagnostic of
    constrictive physiology.
   The lateral chest film is useful to detect pericardial calcification along the right
    heart border and in the atrioventricular groove.
   Isolated calcification of the LV apex or posterior wall suggests ventricular
    aneurysm rather than pericardial calcification.
   Pleural effusions are occasionally noted and can be a presenting sign of
    constrictive pericarditis.
   When left heart filling pressures are markedly elevated, pulmonary vascular
    congestion and redistribution can be present.


                   Libby: Braunwald's Heart Disease: A Textbook of Cardiovascular Medicine, 8th ed.
Chest radiograph showing marked pericardial calcifications
in a patient with constrictive pericarditis.
   CT provides detailed images of the pericardium and is especially
    helpful in detecting even minute amounts of pericardial calcification.
    Its major disadvantage is the frequent need for iodinated contrast
    medium administration to best display findings of pericardial
    pathology. The thickness of the normal pericardium measured by CT
    is less than 2 mm.
   MRI provides a detailed and comprehensive examination of the
    pericardium without the need for iodinated contrast or ionizing
    radiation. It is somewhat less sensitive for detecting calcification
    than CT.

                1. Wang ZJ, Reddy GP, Gotway MB, et al: CT and MR imaging of pericardial disease. Radiographics
                2003; 23:S167-S180.
                2. Oyama N, Oyama N, Komuro K, et al: Computed tomography and magnetic resonance imaging of the
                pericardium: Anatomy and pathology. Magn Res Med Sci 2004; 3:145.
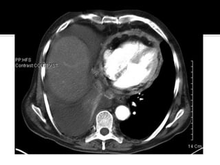
CT scan performed during an infusion of contrast material shows enhancement of the soft-tissue-
density pericardium (arrowheads), which is up to 6 mm thick.
Computed Body Tomography by JKT Lee, SS Sagel, and RJ Stanley (Eds) with permission of Raven
Press, New York, ©1989.
   Panel A. Echocardiographic transmitral flow
    pattern with exaggerated respiratory variation in
    inflow velocities (>25%).
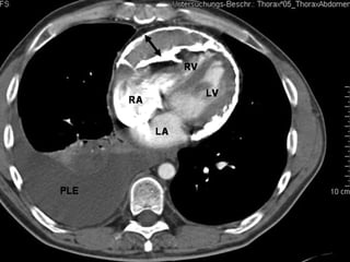
   Panel B. Transaxial CT image (slice thickness
    3.0 mm) of the heart at mid-ventricular level,
    demonstrating severe calcification of the
    pericardium (arrows). In addition, bilateral pleural
    effusion is seen. AO, descending aorta; PE,
    pleural effusion.
   Panel C. Three-dimensional volume rendering
    technique reconstruction of the whole chest.
    Nearly circumferential pericardial calcification is
    seen (structures of high CT density, such as bone
    and calcification, are rendered in white colour).
   Panel D. Three-dimensional volume rendering
    technique reconstruction of the heart. To exclude
    the non-calcified part of the heart, a threshold of
    130 Hounsfield units (common threshold for
    coronary calcification in CT imaging) was chosen.
   In mid-diastole, the thickened pericardium
    begins to restrict right ventricular filling,
    causing a rapid increase in ventricular
    pressure. Early changes of septal
    flattening     and     bowing     of      the
    interventricular septum toward the left
    ventricle (normally concave in shape
    toward the left ventricle during diastolic
    filling) are seen. This pressure change
    results in diastolic septal dysfunction, the
    septal       bounce       described         in
    echocardiography.
                                          Frontiers in Bioscience 14, 2688-2703, January 1, 2009
   M-mode and two-dimensional echocardiography findings
    include:
     Pericardial thickening,
     Abrupt displacement of the interventricular septum during early
      diastole (septal “bounce”), and
     Signs of systemic venous congestion such as dilation of hepatic
      veins and distention of the inferior vena cava with blunted
      respiratory fluctuation.
     Premature pulmonic valve opening as a result of elevated RV
      early diastolic pressure may also be observed.
     Exaggerated septal shifting during respiration is often present. 1

                       1. Maisch B, Seferovic PM, Ristic AD, et al: Guidelines on the diagnosis and
                       management of pericardial diseases executive summary; the Task Force on the
                       Diagnosis and Management of Pericardial Diseases of the European Society of
                       Cardiology. Eur Heart J 2004; 25:587.
 Cardiac catheterization in patients with suspected constrictive
  pericarditis provides documentation of the hemodynamics of
  constrictive physiology and assists in discriminating between
  constrictive pericarditis and restrictive cardiomyopathy.
 Although there is limited need for contrast ventriculography,
  coronary angiography is used to detect occult coronary artery
  disease in those being considered for pericardiectomy. In
  addition, on rare occasions external pinching or compression of
  the coronary arteries or outflow tract regions by the constricting
  pericardium is detected.
Cardiac Catheterization and Angiography
Cardiac Catheterization and Angiography
Cardiac Catheterization and Angiography
Constrictive Pericarditis
Constriction              Restriction
Prominent y descent in venous pressure Present                      Variable
Paradoxical pulse                         ≈⅓ cases                  Absent
Pericardial knock                         Present                   Absent
Equal right-left side filling pressures   Present                   Left at least 3-5 mm Hg > right
Filling pressures >25 mm Hg               Rare                      Common
Pulmonary artery systolic pressure >60 No                           Common
mm Hg
“Square root” sign                        Present                   Variable
Respiratory variation in left-right       Exaggerated               Normal
pressures/flows
Ventricular wall thickness                Normal                    Usually increased
Atrial size                               Possible LA enlargement   Biatrial enlargement
Septal “bounce”                           Present                   Absent
Tissue Doppler E′ velocity                Increased                 Reduced
Pericardial thickness                     Increased                 Normal


                      Libby: Braunwald's Heart Disease: A Textbook of Cardiovascular Medicine, 8th ed.
Constrictive Pericarditis
   Constrictive pericarditis is a progressive disease.
   With the exception of patients with transient constrictive
    pericarditis, surgical pericardiectomy is the only
    definitive treatment.




              Libby: Braunwald's Heart Disease: A Textbook of Cardiovascular Medicine, 8th ed.
HOSPITAL NACIONAL HIPOLITO UNANUE
Pericarditis constrictiva
Pericarditis constrictiva
Pericarditis constrictiva
Pericarditis constrictiva
Pericarditis constrictiva

Pericarditis constrictiva

  • 1.
    Dr. Abel, CalloapazaPari a1be2l@hotmail.com MR. Cirugía de Tórax y Cardiovascular HNHU El presente trabajo expresa la opinión personal del autor sobre el tema.
  • 3.
    Definición.  Etiología y Epidemiologia.  Cuadro Clínico.  Métodos Diagnósticos.  Opciones terapéuticas.  Pronostico.  Imágenes.
  • 4.
  • 5.
    Constrictive pericarditis is the end stage of an inflammatory process involving the pericardium. Libby: Braunwald's Heart Disease: A Textbook of Cardiovascular Medicine, 8th ed.
  • 6.
  • 7.
    In the developed world the cause is most commonly: (1 – 3).  idiopathic,  postsurgical, or  radiation injury.  Tuberculosis was the most common cause of constrictive pericarditis in the developed world before development of effective drug therapy. It remains important in developing countries. 1. Troughton RW, Asher CR, Klein AL: Pericarditis. Lancet 2004; 363:717. 2. Hoit BD: Management of effusive and constrictive pericardial heart disease. Circulation 2002; 105:2939. 3. Little WC, Freeman GL: Pericardial disease. Circulation 2006; 113:1622.
  • 8.
    Although constriction can follow an initial insult by as little as several months, it usually takes years to develop.  The end result is dense fibrosis, often calcification, and adhesions of the parietal and visceral pericardium.  Usually scarring is more or less symmetrical and impedes filling of all heart chambers.  In a subset of patients the process develops relatively rapidly and is reversible. This variant is seen most commonly following cardiac surgery. 1 1. Haley JH, Tajik AJ, Danielson GK, et al: Transient constrictive pericarditis: Causes and natural history. J Am Coll Cardiol 2004; 43:271.
  • 10.
  • 11.
    The clinical presentation is usually dominated by signs and symptoms of right-heart failure.  The pathophysiological consequence of pericardial scarring is markedly restricted filling of the heart. This results in elevation and equilibration of filling pressures in all chambers and the systemic and pulmonary veins. In early diastole the ventricles fill abnormally rapidly because of markedly elevated atrial pressures and accentuated early diastolic ventricular suction, the latter related to small end-systolic volumes. 1. Troughton RW, Asher CR, Klein AL: Pericarditis. Lancet 2004; 363:717. 2. Hoit BD: Management of effusive and constrictive pericardial heart disease. Circulation 2002; 105:2939. 3. Little WC, Freeman GL: Pericardial disease. Circulation 2006; 113:1622.
  • 12.
    Systemic venous congestion results in hepatic congestion, peripheral edema, ascites, and sometimes anasarca and cardiac cirrhosis. Reduced cardiac output is a consequence of impaired ventricular filling and causes fatigue, muscle wasting, and weight loss.  In “pure” constriction, contractile function is preserved, although ejection fraction can be reduced as a consequence of reduced preload.  The myocardium is occasionally involved in the chronic inflammation and fibrosis, leading to true contractile dysfunction that can at times be quite severe. The latter predicts a poor response to pericardiectomy. Libby: Braunwald's Heart Disease: A Textbook of Cardiovascular Medicine, 8th ed.
  • 13.
    Schematic representation oftransvalvular and central venous flow velocities in constrictive pericarditis. During inspiration the decrease in left ventricular filling results in a leftward septal shift, allowing augmented flow into the right ventricle. The opposite occurs during expiration. EA = mitral inflow; HV = hepatic vein; LA = left atrium; LV = left ventricle; PV = pulmonary venous flow; RA = right atrium; RV = right ventricle.
  • 14.
    At a relatively early stage these signs and symptoms include lower extremity edema, vague abdominal complaints, and some degree of passive hepatic congestion.  Signs and symptoms ascribable to elevated pulmonary venous pressures such as exertional dyspnea, cough, and orthopnea may also appear with progressive disease. Atrial fibrillation and tricuspid regurgitation, which further exacerbate venous pressure elevation, may also appear at this stage. In the end stage of constrictive pericarditis, the effects of a chronically low cardiac output are prominent including severe fatigue, muscle wasting, and cachexia. Libby: Braunwald's Heart Disease: A Textbook of Cardiovascular Medicine, 8th ed.
  • 15.
    El hallazgo semiológico más propio de la pericarditis constrictiva es el signo de Kussmaul o aumento de la presión venosa yugular (ingurgitación yugular) durante la inspiración, como consecuencia de un aumento del retorno venoso, secundario a la presión negativa intratorácica, pero con restricción al llene ventricular derecho y sin que haya un aumento simultáneo del gasto cardíaco. Dado que el corazón está recubierto por una coraza rígida, la distensibilidad de este se ve muy disminuida y cualquier aumento de volumen se transmite en forma retrógrada, es por eso que las yugulares se ingurgitan al inspirar (no como normalmente se esperaría: al inspirar, las yugulares colapsan) 1. Haley JH, Tajik AJ, Danielson GK, et al: Transient constrictive pericarditis: Causes and natural history. J Am Coll Cardiol 2004; 43:271.
  • 18.
    O… en valsalva.
  • 19.
  • 20.
  • 21.
    Constrictive pericarditis Dopplerschema of respirophasic changes in mitral and tricuspid inflow. Reciprocal patterns of ventricular filling are assessed on pulsed Doppler examination of mitral (MV) and tricuspid (TV) inflow. (Courtesy of Bernard E. Bulwer, MD; with permission.)
  • 22.
  • 23.
     No specificECG findings exist.  Nonspecific T wave abnormalities are often observed, as well as reduced voltage.  Left atrial abnormality may also be present.  Atrial fibrillation is present in significant numbers of patients. Libby: Braunwald's Heart Disease: A Textbook of Cardiovascular Medicine, 8th ed.
  • 24.
    The cardiac silhouette can be enlarged secondary to a coexisting pericardial effusion.  Pericardial calcification is seen in a minority of patients and should raise the suspicion of tuberculous pericarditis, but calcification per se is not diagnostic of constrictive physiology.  The lateral chest film is useful to detect pericardial calcification along the right heart border and in the atrioventricular groove.  Isolated calcification of the LV apex or posterior wall suggests ventricular aneurysm rather than pericardial calcification.  Pleural effusions are occasionally noted and can be a presenting sign of constrictive pericarditis.  When left heart filling pressures are markedly elevated, pulmonary vascular congestion and redistribution can be present. Libby: Braunwald's Heart Disease: A Textbook of Cardiovascular Medicine, 8th ed.
  • 27.
    Chest radiograph showingmarked pericardial calcifications in a patient with constrictive pericarditis.
  • 29.
    CT provides detailed images of the pericardium and is especially helpful in detecting even minute amounts of pericardial calcification. Its major disadvantage is the frequent need for iodinated contrast medium administration to best display findings of pericardial pathology. The thickness of the normal pericardium measured by CT is less than 2 mm.  MRI provides a detailed and comprehensive examination of the pericardium without the need for iodinated contrast or ionizing radiation. It is somewhat less sensitive for detecting calcification than CT. 1. Wang ZJ, Reddy GP, Gotway MB, et al: CT and MR imaging of pericardial disease. Radiographics 2003; 23:S167-S180. 2. Oyama N, Oyama N, Komuro K, et al: Computed tomography and magnetic resonance imaging of the pericardium: Anatomy and pathology. Magn Res Med Sci 2004; 3:145.
  • 30.
    CT scan performedduring an infusion of contrast material shows enhancement of the soft-tissue- density pericardium (arrowheads), which is up to 6 mm thick. Computed Body Tomography by JKT Lee, SS Sagel, and RJ Stanley (Eds) with permission of Raven Press, New York, ©1989.
  • 33.
    Panel A. Echocardiographic transmitral flow pattern with exaggerated respiratory variation in inflow velocities (>25%).  Panel B. Transaxial CT image (slice thickness 3.0 mm) of the heart at mid-ventricular level, demonstrating severe calcification of the pericardium (arrows). In addition, bilateral pleural effusion is seen. AO, descending aorta; PE, pleural effusion.  Panel C. Three-dimensional volume rendering technique reconstruction of the whole chest. Nearly circumferential pericardial calcification is seen (structures of high CT density, such as bone and calcification, are rendered in white colour).  Panel D. Three-dimensional volume rendering technique reconstruction of the heart. To exclude the non-calcified part of the heart, a threshold of 130 Hounsfield units (common threshold for coronary calcification in CT imaging) was chosen.
  • 34.
    In mid-diastole, the thickened pericardium begins to restrict right ventricular filling, causing a rapid increase in ventricular pressure. Early changes of septal flattening and bowing of the interventricular septum toward the left ventricle (normally concave in shape toward the left ventricle during diastolic filling) are seen. This pressure change results in diastolic septal dysfunction, the septal bounce described in echocardiography. Frontiers in Bioscience 14, 2688-2703, January 1, 2009
  • 36.
    M-mode and two-dimensional echocardiography findings include:  Pericardial thickening,  Abrupt displacement of the interventricular septum during early diastole (septal “bounce”), and  Signs of systemic venous congestion such as dilation of hepatic veins and distention of the inferior vena cava with blunted respiratory fluctuation.  Premature pulmonic valve opening as a result of elevated RV early diastolic pressure may also be observed.  Exaggerated septal shifting during respiration is often present. 1 1. Maisch B, Seferovic PM, Ristic AD, et al: Guidelines on the diagnosis and management of pericardial diseases executive summary; the Task Force on the Diagnosis and Management of Pericardial Diseases of the European Society of Cardiology. Eur Heart J 2004; 25:587.
  • 37.
     Cardiac catheterizationin patients with suspected constrictive pericarditis provides documentation of the hemodynamics of constrictive physiology and assists in discriminating between constrictive pericarditis and restrictive cardiomyopathy.  Although there is limited need for contrast ventriculography, coronary angiography is used to detect occult coronary artery disease in those being considered for pericardiectomy. In addition, on rare occasions external pinching or compression of the coronary arteries or outflow tract regions by the constricting pericardium is detected.
  • 38.
  • 39.
  • 40.
  • 41.
  • 42.
    Constriction Restriction Prominent y descent in venous pressure Present Variable Paradoxical pulse ≈⅓ cases Absent Pericardial knock Present Absent Equal right-left side filling pressures Present Left at least 3-5 mm Hg > right Filling pressures >25 mm Hg Rare Common Pulmonary artery systolic pressure >60 No Common mm Hg “Square root” sign Present Variable Respiratory variation in left-right Exaggerated Normal pressures/flows Ventricular wall thickness Normal Usually increased Atrial size Possible LA enlargement Biatrial enlargement Septal “bounce” Present Absent Tissue Doppler E′ velocity Increased Reduced Pericardial thickness Increased Normal Libby: Braunwald's Heart Disease: A Textbook of Cardiovascular Medicine, 8th ed.
  • 43.
  • 44.
    Constrictive pericarditis is a progressive disease.  With the exception of patients with transient constrictive pericarditis, surgical pericardiectomy is the only definitive treatment. Libby: Braunwald's Heart Disease: A Textbook of Cardiovascular Medicine, 8th ed.
  • 45.