Lupus
Erythematosus
BY
Prof. Mostafa A. Sanad
Lupus
Erythematosus
• Chronic multisystem inflammatory disease ,associated with abnormalities of
immune system that results from interactions among genetic, hormonal,
environmental, and immunologic factors.
• The pattern of skin involvement expressed by an individual patient with LE can
provide insight about the position on the spectrum where the patient's illness
might best be placed.
History
• Lupus was first described way back in the time of Hippocrates in
Ancient Greece.
• The word "Lupus" means "wolf" in Latin. There are at least two
explanations why the word "lupus" was chosen to describe the
disease we now know formally as systemic lupus erythematosus.
• One explanation is that lupus was so named because the common
butterfly rash seen on the cheeks and nose of many lupus patients
is similar to the facial markings of a wolf. An alternative explanation
relates to the early use of the word "lupus" to describe skin ulcers.
In the sixteenth century, certain skin ulcers were compared to a
hungry wolf eating the sufferer’s flesh.
• 1948 – Malcolm Hargraves discovers the lupus erythematosus (LE)
cell.
• 1957 – The first anti-DNA antibody is identified.
EPIDEMIOLOGY
• The strongest factor affecting risk for lupus is gender: women with
systemic lupus outnumber men by at least 6 to 1.
• lupus is rare in prepubertal children.
• SLE is fourfold higher in African-American women as compared to
Caucasian American women, In addition,African-Americans tend to
develop disease at an earlier age and have a higher mortality rate.
• Skin disease is the second most frequent clinical manifestation of LE after
joint inflammation.
• ACLE, like SLE in general, is much more common in women than men.
• SCLE is primarily a disease of white females, with the mean age of onset in
the fifth decade.
• Although DLE can occur in infants and the elderly, it is most common in
individuals between 20 and 40 years of age. DLE has a female-male ratio of
3:2 to 3:1, which is much lower than that of SLE.
ETIOLOGY AND PATHOGENESIS
Enviromental factors
• SLE is a disorder in which the interplay between host factors (susceptibility
genes, hormonal) and environmental factors [ultraviolet (UV) radiation,
viruses, drugs] leads to loss of self-tolerance, and induction of
autoimmunity.
• Recent work has highlighted the important role of interferon-a signaling in
the pathogenesis of both SLE and LE specific skin disease.
• Drugs, viruses, UV light, and, possibly, tobacco, have been shown to
induce development of SLE.
• UV radiation (UVR) is probably the most important environmental factor in
the induction phase of SLE and especially of LE-specific skin disease, UV
light likely leads to self-immunity and loss of tolerance because it causes
apoptosis of keratinocytes, which in turn, makes previously cryptic
peptides available for immunosurveillance , UVB radiation has been
shown to displace autoantigens such as Ro/SS-A and related autoantigens,
La/SS-B, and calreticulin, from their normal locations inside epidermal
keratinocytes to the cell surface.
ETIOLOGY AND PATHOGENESIS
Enviromental factors
• A recent, large, case-control study reported that smokers are at a
greater risk of developing SLE than are nonsmokers and former
smokers.
• Numerous drugs have been implicated in inducing various features
of SLE. The drugs that induce CLE can be linked by their
photosensitizing properties.
• There has been much speculation about the role of infectious
agents, particularly viruses, in the induction of SLE and CLE.
Infections of all types have long been known to exacerbate SLE.
Infection by α viruses, such as Sindbis, rubella, and
cytomegalovirus, appears able to induce cell surface expression of
Ro/SS-A and related autoantigens in cells undergoing virus-induced
apoptosis. Seroconversion to Epstein-Barr virus (EBV) among
patients with SLE is nearly universal.
UV radiation
TNF-a signaling
Genetic factor
• Many studies have described familial aggregation
of SLE. 5-13% of lupus have at least one first or
second degree relative with lupus
• It was found a 24-58% concordance in
monozygotic twins.
• 2-5% concordance in dizygotic twins or siblings..
• The risk of a child developing lupus born from a
mother (or father) with lupus is calculated to be 3-
4% at worst.
• What are the reasons of Genetic
susceptibility?
1. It seems likely that most of the genes
predisposing to SLE are normal.
2. An individual inherits an unlucky combination of
normal genetic polymorphisms, each of which
permit a little immune overreponse, or
presentation of high quantities of target antigens
in certain tissues. The combination of which is
just enough to permit SLE to evolve after some
environmental stimulus.
3. C2, C4, C1q deficiencies, DR2, DR3, 1q41-42
region, Fc-r RIIA, IL10 and Bcl polymorphisms.
CLINICAL FINDINGS
• cutaneous (The Gilliam Classification
of Skin Lesions Associated with Lupus
Erythematosus)
• Extracutaneous
• The 1982 Revised Criteria for
Classification of Systemic Lupus
Erythematosus.
The Gilliam
classification
of skin lesions
associated
with LE
A patient can be
classified as
having
SLE if any
combination of
four or more of
these criteria
can be observed
serially or
simultaneously.
ACUTE CUTANEOUS LUPUS ERYTHEMATOSUS
• Localized ACLE has commonly been referred to as the classic butterfly rash
or malar rash of SLE (the usual pattern). The nasolabial folds are
characteristically spared. The forehead, chin, and V area of the neck can
be involved, and severe facial swelling may occur.
• Generalized ACLE presents as a widespread morbilliform or
exanthematous eruption often focused over the extensor aspects of the
arms and hands and characteristically sparing the knuckles.
• An extremely acute form of ACLE is rarely seen that can simulate toxic
epidermal necrolysis (TEN). This form of LE-specific vesiculobullous
disease results from widespread apoptosis of epidermal keratinocytes,
and eventuates in areas of full-thickness epidermal skin necrosis
• ACLE is typically precipitated or exacerbated by exposure to UV light, Post-
inflammatory pigmentary change is most prominent in patients with
heavily pigmented skin. Scarring does not occur in ACLE unless the process
is complicated by secondary bacterial infection.
ACUTE CUTANEOUS LUPUS ERYTHEMATOSUS
SUBACUTE CUTANEOUS LUPUS
ERYTHEMATOSUS
• SCLE initially presents as erythematous macules and/or papules that
evolve into hyperkeratotic papulosquamous or annular/polycyclic plaques,
most patients have either annular or papulosquamous SCLE.
• SCLE lesions are characteristically photosensitive and occur in
predominantly sun-exposed areas (i.e., upper back, shoulders, extensor
aspects of the arms, V area of the neck, and, less commonly, the face).
SCLE lesions typically heal without scarring but can resolve with long-
lasting, if not permanent, vitiligo-like leukoderma and telangiectasias
• Several variants of SCLE have been described. On occasion, SCLE lesions
present initially with an appearance of erythema multiforme. Such cases
are similar to Rowell syndrome (erythema multiforme-like lesions
occurring in patients with SLE in the presence of La/SS-B autoantibodies).
An annular SCLE lesion occasionally undergoes a vesiculobullous change
that can subsequently produce a strikingly crusted appearance. Such
lesions can mimic Stevens-Johnson syndrome/TEN .Exfoliative
erythroderma and pityriasiform and exanthematous variants of SCLE have
been reported. The skin lesions of neonatal LE (transient, photosensitive,
non-scarring LE-specific skin lesions in neonates who have received IgG
anti-Ro/SS-A, and, occasionally, other autoantibody specificities
transplacentally) share many features with SCLE.
SUBACUTE CUTANEOUS LUPUS ERYTHEMATOSUS
• Although a finding of circulating autoantibodies to the Ro/SS-A
ribonucleoprotein particle strongly supports a diagnosis of SCLE,
the presence of this autoantibody specificity is not required to
make a diagnosis of SCLE.
• Approximately one-half of patients with SCLE meet the ACR's
revised criteria for the classification of SLE. However, manifestations
of severe SLE, such as nephritis, central nervous system disease,
and systemic vasculitis, develop in only 10 percent to 15 percent of
patients with SCLE. It has been suggested that the papulosquamous
type of SCLE, leukopenia, high titer of anti-nuclear antibody (ANA)
(> 1:640), and anti-dsDNA antibodies are risk factors for the
development of SLE in a patient presenting with SCLE lesions.
• SCLE can overlap with other autoimmune diseases, including
Sjögren syndrome, rheumatoid arthritis, and Hashimoto thyroiditis.
SUBACUTE CUTANEOUS LUPUS ERYTHEMATOSUS
Neonatal lupus syndrome
• NLS is an autoimmune disorder associated with
maternal anti-SSA/Ro and/or anti-SSB/La antibodies.
• The risk of an infant developing NLS in an anti-SSA/Ro-
or anti- SSB/La-positive mother is 2%. However, the risk
to subsequent pregnancies after a sibling has
developed NLS is 25%
• Clinical manifestations commonly include CHB and
skin rashes, and less commonly involve
cardiomyopathy, hepatic involvement and cytopenias
• Whereas cutaneous, hepatic and haematological
manifestations tend to resolve spontaneously as
maternal autoantibodies disappear from the infant’s
circulation, complete heart block and cardiomyopathy
can be life threatening.
Skin in neonatal lupus
• Approximately half of infants with NLS will develop
cutaneous disease. The rash is often photosensitive and
appears as annular plaques with erythema and scaling.It
affects the face and scalp with a preference for the upper
eyelids, but can occur anywhere on the body. The rash can
be malar in distribution.
• Although lesions occur in sun-exposed areas and may be
initiated or exacerbated by ultra-violet light, it is not a
prerequisite for the eruption. Lesions may be absent at
birth and develop over several weeks, with resolution
occurring at 6–9 months as the mother’s autoantibodies
disappear from the infant’s circulation.As the lesions
resolve, residual hypopigmentation, epidermal atrophy or
telangiectasia may be noted.
• Clinically and histopathologically, the skin lesions in NLS are
similar to those seen in subacute cutaneous lupus
erythematosus which is strongly associated with anti-
SSA/Ro antibodies.
CHRONIC CUTANEOUS LUPUS ERYTHEMATOSUS
• Classic DLE
• Hypertrophic DLE
• Mucosal DLE
• Lupus panniculitis
• Chilblain lupus
• Lupus erythematosus tumidus
Classic DLE
• Classic DLE lesions begin as red-purple macules, papules, or small plaques
and rapidly develop a hyperkeratotic surface. Early classic DLE lesions
typically evolve into sharply demarcated, coinshaped (i.e., discoid)
erythematous plaques covered by a prominent, adherent scale that
extends into the orifices of dilated hair follicles.
• DLE lesions typically expand with erythema and hyperpigmentation at the
periphery, leaving hallmark atrophic central scarring, telangiectasia, and
hypopigmentation.
• When present on hair-bearing skin (scalp, eyelid margins, eyebrows), DLE
causes scarring alopecia, which can lead to disfigurement and markedly
impact quality of life. Follicular involvement in DLE is a prominent feature.
Keratotic plugs accumulate in dilated follicles that soon become devoid of
hair(adherent scale).
• DLE in Asian&Indians, can present clinically as isolated areas of macular
hyperpigmentation. DLE lesions can be difficult to diagnose in Caucasian
patients because the characteristic peripheral hyperpigmentation is often
absent. Such lesions are often confused with actinic keratoses, squamous
cell carcinoma, or acne.
Classic DLE
• DLE lesions are frequently encountered on the face, scalp, ears, V area of
the neck, and extensor aspects of the arms. Any area of the face, including
the eyebrows, eyelids, nose, and lips, can be affected. DLE
characteristically affects the external ear, including the outer portion of
the external auditory canal.Such lesions often present initially as dilated,
hyperpigmented follicles.
• . The scalp is involved in 60 percent of patients with DLE;scarring alopecia
resulting from such involvement has been reported in one-third of
patients.The scarring alopecia resulting from DLE differs from the
reversible, non-scarring alopecia that patients with SLE often develop
during periods of systemic disease activity,the so-called lupus hair.
• Localized DLE lesions occur only on the head or neck, whereas generalized
DLE lesions occur both above and below the neck. DLE lesions below the
neck commonly occur on the extensor aspects of the arms, forearms, and
hands, although they can occur at any site on the body. The palms and
soles can be the sites of painful,disabling, erosive DLE lesions. On
occasion, small DLE lesions occurring only around follicular orifices appear
at the elbow and elsewhere (follicular DLE).
Classic DLE
• DLE activity can localize to the nail unit. The nail can be impacted by
other forms of CLE as well as SLE, producing nail fold erythema and
telangiectasia, red lunulae, clubbing, paronychia, pitting,
leukonychia striata, and onycholysis.
• DLE lesions can be potentiated by sunlight exposure but to a lesser
extent than ACLE and SCLE lesions. DLE, as well as other forms of LE
skin disease activity, can be precipitated by any form of cutaneous
trauma (i.e., the Koebner phenomenon or isomorphic effect).
• The relationship between classic DLE and SLE has been the subject
of much debate.5 The following summary points can be made: (1) 5
percent of patients presenting with classic DLE lesions subsequently
develop unequivocal evidence of SLE; and (2) patients with
generalized DLE (i.e., lesions both above and below the neck) have
somewhat higher rates of immunologic abnormalities, a higher risk
for progressing to SLE, and a higher risk for developing more severe
manifestations of SLE than patients with localized DLE.
Classic DLE
Hypertrophic DLE
• Hypertrophic DLE, also referred to as hyperkeratotic or verrucous
DLE, is a rare variant of CCLE in which the hyperkeratosis normally
found in classic DLE lesions is greatly exaggerated. The extensor
aspects of the arms, the upper back, and the face are the areas
most frequently affected.
• Overlapping features of hypertrophic LE and lichen planus have
been described under the rubric lupus planus. The entity lupus
erythematosus hypertrophicus et profundus appears to represent a
rare form of hypertrophic DLE, affecting the face with the additional
features of violaceous/dull red, indurated, rolled borders and
striking central, crateriform atrophy. The name for this clinical entity
is ambiguous because LE panniculitis is not characteristic of its
histopathology.
• Patients with hypertrophic DLE probably do not have a greater risk
for developing SLE than do patients with classic DLE lesions
Mucosal DLE
• Mucosal DLE occurs in approximately 25 percent of patients with CCLE.
The oral mucosa is most frequently affected; however, nasal, conjunctival,
and genital mucosal surfaces can be targeted. In the mouth, the buccal
mucosal surfaces are most commonly involved, with the palate ,alveolar
processes, and tongue being sites of less frequent involvement.
• Lesions begin as painless, erythematous patches that evolve to chronic
plaques that can be confused with lichen planus but painful ulceration can
develop.
• Rarely, oral mucosal DLE lesions can degenerate into squamous cell
carcinoma, similar to long-standing cutaneous DLE lesions. Any degree of
nodular asymmetry within a mucosal DLE lesion should be evaluated for
the possibility of malignant degeneration.
• Chronic DLE plaques also appear on the vermilion border of the lips. At
times, DLE involvement of the lips can present as a diffuse cheilitis,
especially on the more sun-exposed lower lip.
• Perforation of the nasal septum is more often associated with SLE than
DLE.
Mucosal DLE
Lupus panniculitis
• LE profundus/LE panniculitis (Kaposi-Irgang disease) is a rare form of CCLE
typified by inflammatory lesions in the lower dermis and subcutaneous
tissue. Approximately 70 percent of patients with this type of CCLE also
have typical DLE lesions, often overlying the panniculitis lesions.
• Typical subcutaneous lesions present as firm nodules, 1 to 3 cm in
diameter. The overlying skin often becomes attached to the subcutaneous
nodules and is drawn inward to produce deep depressions.
• The head, proximal upper arms, chest, back, breasts, buttocks, and thighs
are the sites frequently affected. LE panniculitis, in the absence of
overlying DLE, may produce breast nodules that can mimic carcinoma
clinically and radiologically (lupus mastitis).
• Dystrophic calcification frequently occurs in older lesions of LE
profundus/LE panniculitis, and pain associated with such calcification can,
at times, be the dominant clinical problem.
• Roughly 50 percent of patients with LE profundus/panniculitis have
evidence of SLE. However, the systemic features of patients with LE
panniculitis/profundus tend to be less severe, similar to those of patients
with SLE who have DLE skin lesions.
Lupus panniculitis
Chilblain lupus
• Chilblain LE lesions initially develop as purple-red patches, papules,
and plaques on the toes, fingers, and face, which are precipitated
by cold, damp climates and are clinically and histologically similar to
idiopathic chilblains (pernio).
• It is possible that chilblain LE begins as a classic acral, cold-induced
lesion that then koebnerizes DLE lesions, thus explaining the
spectrum of clinicohistologic findings, which seem to vary based on
when, in the course of the lesion, the biopsy sample is taken.
• Chilblain LE appears to be associated with anti-Ro/SS-A
antibodies.Persistence of lesions beyond the cold months, a
positive ANA, or presence of one of the other ACR criteria for SLE at
the time of diagnosis of chilblain lesions helps to distinguish
chilblain LE from idiopathic chilblains. Approximately 20 percent of
patients presenting with chilblain LE later develop SLE.
• An AD familial form of chilblain LE has recently been described and
is caused by missence mutation in the TREX1(endonuclease repair
gene).
Chilblain lupus
Lupus erythematosus tumidus
• Lupus erythematosus tumidus (LET; tumid LE) is a variant of
CCLE in which the dermal findings of DLE, namely excessive
mucin deposition and superficial perivascular and
periadnexal inflammation, are found on histologic
evaluation. The characteristic epidermal histologic changes
of LE-specific skin disease are only minimally expressed, if
at all.
• This results in succulent, edematous, urticaria-appearing
plaques with little surface change.The paucity of epidermal
change often produces confusion concerning the diagnosis
of LET as a form of CLE.
• LET appears to be the most photosensitive type,has a
benign course, absence of systemic disease, good response
to antimalarial treatment, and a tendency to recur.
Lupus erythematosus tumidus
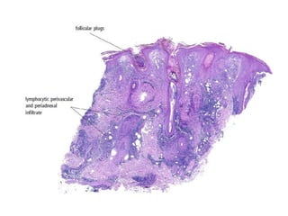
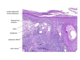
HISTOPATHOLOGY
LABORATORY TESTS
• Because of the strong association between ACLE and SLE, the
laboratory features of ACLE are those associated with SLE (high-titer
ANA, anti-dsDNA, anti-Sm, hypocomplementemia).
• The laboratory markers for SCLE are the presence of anti-Ro/SS-A
(70 percent to 90 percent) and, less commonly, anti-La/SS-B (30
percent to 50 percent) autoantibodies. ANA are present in 60
percent to 80 percent of patients with SCLE, and rheumatoid factor
is present in approximately one-third. Other autoantibodies in
patients with SCLE include false-positive serologic tests for syphilis
(VDRL rapid plasma reagin) (7 percent to 33 percent), anticardiolipin
(10 percent to 16 percent), anti-Sm (10 percent), anti-ds-DNA (10
percent).
• ANA are present in low titer in 30 percent to 40 percent of patients
with DLE; however, fewer than 5 percent have the higher ANA levels
that are characteristic of patients with overt SLE (> 1:320).
Antibodies to single-stranded DNA are not uncommon in DLE, but
antibodies to dsDNA are distinctly uncommon.
Biomarkers for systemic lupus erythematosus
• Anti-dsDNA: (level of anti-dsDNA was reported to be a good
predictor for disease flare as the elevated level of anti-dsDNA
appeared before disease exacerbation.
In a prospective,randomized, double-blind, placebo-controlled
trial, the combination of levels of anti-dsDNA and C3a were
used to predict severe flares in stable or inactive
disease.Interestingly, even if elevated levels of antidsDNA
occurred before SLE flares, the anti-dsDNA levels were often
reduced during the period of flare and a concurrent decrease
in anti-dsDNA was significantly associated with increases of
renal involvement.This decrease in anti-dsDNA might reflect
the onset of deposition in renal tissue at the time of
flare.More recently, in patients treated with the B-cell-
depleting drug rituximab (anti-CD20), improved clinical
response was associated with decreased levels of antidsDNA
while other ANA levels were unchanged.
Biomarkers for systemic lupus erythematosus
• The complement system :(The negative
association of C3, C4 and disease activity in SLE
has been widely reported, especially the
association with renal involvement.), However,
the results from these studies were far from
consistent.As such, the inconsistency of the
results need to be evaluated by larger-scale
prospective studies with appropriate design
regarding sample resource, statistical methods,
and disease activity score systems before the
clinical utilities of complements as biomarkers for
disease activities in SLE can be confirmed.
Biomarkers for systemic lupus erythematosus
• B lymphocyte stimulator: B lymphocyte stimulator (BLyS),
also known as BAFF,is a member of the tumor necrosis
factor ligand superfamily.It is expressed and secreted by
monocytes, macrophages,dendritic cells, neutrophils and
potentially other cell types.
Circulating levels of BAFF were elevated in patients with SLE;
BAFF protein levels and transcript levels were also
correlated with changes of SLE disease activity and anti-
dsDNA titers.64–67 A fully human immunoglobulin G1-k
monoclonal antibody against BAFF, belimumab, developed
by Human Genome Sciences, showed clinical benefit in SLE
and has been approved by the FDA.
One question that investigators have been trying to address is
whether the level of BAFF in blood predicts which SLE
patients are likely to respond to belimumab.
Biomarkers to predict organ-specific lupus flare
• One promising biomarker for nephritis is the tumor
necrosis factor-like inducer of apoptosis (TWEAK), a tumor
necrosis factor family member produced by macrophages,
the peak levels of TWEAK coincided with the flare, rather
than preceding it.Thus, urinary TWEAK appears to have high
specificity for nephritis,but may not be sensitive enough to
predict renal flares.
• One area that has received more attention recently is SLE-
associated neuropsychiatric events (NPSLE).The ACR has
developed case definitions for 19 different neuropsychiatric
lupus syndromes, and so multiple parameters and
combinations will likely be needed to develop markers with
sufficient sensitivity and specificity to predict
neuropsychiatric events. Several classes of
autoantibodies,including anti-phospholipid and anti-
ribosomal P protein, seem to be associated with NPSLE, but
their diagnostic value is still controversial.
Treatment of Cutaneous lupus erythematosus
• Sun protection:
• Experimental phototesting has shown that skin lesions can be
induced by both ultraviolet (UV) A and UVB radiation in patients
with CLE.
• Patients should avoid sunbathing, tanning salons,and being outside
during the peak UV radiation hours. Wherever possible, patients
should avoid jobs in which they are required to be outside during
the middle of the day.
• Sun protective clothing provides an excellent barrier to harmful
sunrays.
• the new FDA guidelines recommend that patients with CLE apply
broadspectrum sunscreen every 2 hours while in the sun.
• Vitamin D :
• Patients with CLE may be more prone to vitamin D deficiency
because of their obligate need of sun avoidance and protection.
• Patients with CLE should receive dietary supplementation of at least
400 IU per day of vitamin D3.
Topical treatment for CLE
• Topical corticosteroids
• Calcineurin inhibitors
• Topical retinoids
Topical corticosteroids
• In practice, topical steroids tend to be of only modest
benefit in most cases of CLE. Mid potency topical
steroids are often helpful in relieving itching or burning
in cases of widespread ACLE or SCLE, but rarely clear
the eruption. For localized DLE, class 1 or 2 topical
steroids can be useful as an adjunctive therapy for
recalcitrant lesions.
• Many authors prefer intra-lesional steroids when
possible.Triamcinolone acetonide injected into the
superficial dermis of active DLE lesions at a
concentration of 5 mg/cc is typically quite effective. It
can be repeated in 4–6-week intervals watching for
signs of steroidinduced atrophy.
Calcineurin inhibitors
• Calcinuerin inhibitors have a definite role in the
treatment of CLE, particularly on the face of
patients with ACLE or SCLE to avoid effects of
chronic topical steroids.
• Tacrolimus and pimecrolimus work by inhibiting
calcineurin,which is a calcium-binding
cytoplasmic protein involved in T-cell activation.
• In practice, they are usually used in rotation with
topical steroids and in combination with systemic
agents. They are generally well tolerated,
although topical tacrolimus can initially cause
some burning and stinging in some patients.
Topical retinoids
• Topical retinoids have been reported in the
literature to be effective in treating CLE.
• topical retinoids are usually used in
combination with topical or intralesional
steroids in hypertrophic DLE with modest
results, although there may be additional
benefit in prevention of steroid atrophy, they
do not seem to have any role in the treatment
of active ACLE or SCLE.
Systemic treatment for CLE
• Antimalarials
• Oral corticosteroids
• Methotrexate (MTX)
• Oral retinoids
• Dapsone
• Mycophenolate mofetil (MMF)
• Thalidomide
• IVIG
• Rituximab
• Belimumab
Antimalarials
• Anitmalarials have been commonly used in the treatment of CLE since the
1950s. The mechanism of action of antimalarials in lupus is not completely
understood.Possible anti-inflammatory mechanisms include an effect on
antigen presentation, suppression of pathogenic cytokines and inhibition
of toll-like receptors.Antimalarials may also have a photoprotective effect
in lupus patients by altering UV-induced apoptosis.
• There are three antimalarials commonly used in the treatment of CLE.
Chloroquine is a 4-amino quinoline that is water-soluble and deposits in
tissues including melanin-containing cells in the retina and skin.
Recommended dosing of chloroquine is 250–500 mg a day with a
maximum dose of 4 mg/kg/day. Hydroxychloroquine has a similar
structure and pharmacokinetics to chloroquine.It is administered orally
with a typical dose of 200 mg twice a day with a maximum recommended
dose of 6.5 mg/kg/day. There is a wide variability of tissue and blood
concentrations in patients taking hydroxychloroqine, but it is unclear how
that affects treatment response for CLE.Quinacrine is another antimalarial
that differs in structure with an extra benzene ring and does not cross-
react with chloroquine or hydroxychloroquine. It is administered orally at a
dose of 100 mg a day.
Antimalarials
• Antimalarials are generally well tolerated and do not cause systemic
immunosuppression. Side effects include dose-related retinopathy,
gastrointestinal complaints, lichenoid drug reactions,and blue/black
pigmentary changes in the skin.Quinacrine also commonly causes
diffuse yellowing of the skin and sclera.
• Retinopathy is dose related and occurs with hydroxychloroquine
and chloroquine but is not reported with quinacrine. Chloroquine
appears to carry the highest risk of this side effect. However,severe
retinopathy can generally be avoided with the use of appropriate
dosing and monitoring. The American Academy of Ophthalmology
recommends a baseline eye examination and follow-up exams
every 1–5 years depending on risk factors.
• It can take 3–6 months to see maximum improvement with
antimalarials and patients should be cautioned in that regard. Once
patients have responded, the dose may be lowered.
• Smoking has been associated with lack of response to antimalarials
in several studies.
Oral corticosteroids
• Oral corticosteroids are a mainstay of treatment
for systemic LE. For CLE, oral corticosteroids can
result in rapid improvement but use should be
limited to acute situations in severe disease and
not as a maintenance therapy.
• Recommended oral dosing is 0.5–1 mg/kg per
day followed by tapering over a few weeks. An
alternative is intravenous (IV) pulse dosing over 3
days. Side effects are well established and
increase with prolonged usage and include
osteoporosis, cataracts, Cushing’s syndrome,type
II diabetes, and avascular necrosis.
Methotrexate (MTX)
• MTX is a folic acid analog that irreversibly inhibits
dihydrofolate reductase, a key enzyme involved in the
synthesis of purine and pyrmidine nucleotides.MTX has
been reported to be effective in treating both SCLE and
DLE.
• MTX is an option for CLE patients who are recalcitrant
or cannot tolerate antimalarials. It is usually
administered orally or subcutaneously at doses ranging
from 10 to 25 mg. The side effects of MTX are well
known to dermatologists and include nausea,fatigue,
malaise, anorexia, nephrotoxicity, hepatotoxicity,bone
marrow toxicity, pneumonitis, and lung fibrosis.
Oral retinoids
• Oral retinoids have been used to treat a
variety of dermatologic disorders including
psoriasis, keratinzation disorders, and acne.
• Acitretin, at doses of 10–50 mg daily, is
somewhat helpful for hypertrophic DLE in
combination with other agents, but not as
useful in other forms of CLE. Side effects are
well known and include xerosis and
hyperlipidemia.
Dapsone
• Dapsone inhibits the synthesis of dihydrofolic acid through
competition with para-aminobenzoate. Dapsone has been
reported in individual case reports to be effective in
treating SCLE and LEP.
• Major side effects of dapsone include hemolysis and
methemoglobinemia (especially in patients with glucose-6-
phosphate dehydrogenase deficiency),agranulocytosis and
peripheral neuropathy.Another rare side effect is the
dapsone hypersensitivity syndrome, which presents as a
triad of fever, rash, and internal organ involvement.
• Dapsone tends to be most beneficial in CLE patients who
have a bullous variant of LE. It is also used effectively to
treat urticarial vasulitis. In these specific scenarios, it can
have excellent results.Typically, we will use a 50 mg starting
dose and titrate up to 100–150 mg while carefully
monitoring complete blood counts for hemolytic anemia.
Mycophenolate mofetil (MMF)
• MMFis another therapy that has been used to treat CLE.
MMF, which is converted to mycophenolic acid after
ingestion, is a reversible inhibitor of inosine
monophosphate dehydrogenase, an enzyme in the
guanosine nucleotide synthesis pathway.
• MMF side effects include gastrointestinal symptoms,such
as nausea, vomiting, and diarrhea.Enteric-coated
mycophenolate sodium is associated with fewer
gastrointestinal side effects.Other side effects include
cystits, upper respiratory infections, and viral infections,
such as herpes zoster.
• Mycophenolate mofetil has largely replaced azathioprine
for treatment of antimalarial resistant CLE, as it appears to
have at least equal efficacy and is generally better
tolerated.
Thalidomide
• Thalidomide was originally developed as a sedative in the 1950s. It was
later withdrawn from the world market because of teratogenic side
effects. Thalidomide has multiple mechanisms of action and has been
used effectively for a wide variety of dermatological conditions, including
CLE.
• Common side effects include drowsiness, constipation, rash and dizziness.
Teratogenicity and peripheral neuropathy are two serious well-known side
effects of thalidomide use.
• Thalidomide is the most effective oral treatment for severe or recalcitrant
CLE. It has been used successfully for all three main subtypes of CLE. The
limiting factor in its use is dose-related peripheral neuropathy. It is usually,
but not always, reversible with reduction in dose or discontinuation.
• Most patients can be started at a dose of 50 mg a day and titrated up to
150 mg a day if tolerating well. Once significant improvement is achieved
the dose can be decreased and results are then typically maintained even
at doses of 50 mg every other day. Thalidomide may also be used
effectively as a “rescue” therapy for a shorter duration and then patients
return to a maintenance regimen.
IVIG
• While the mechanism of action of IV
immunoglobulins(IVIG) is not completely understood, IVIG
has been used successfully to treat a wide variety of
diseases. It has also been used extensively as an off-label
therapy for a number of dermatologic conditions including
CLE.
• The majority of adverse side effects associated with IVIG
use are mild. The most common side effect is
headache.More seriousandrare side effects include
urticarial rash, aseptic meningitis, acute renal failure,
thromobembolic events, and anaphylaxis in IgA-deficient
patients.
• Because of high cost, IVIG is typically reserved only for
patients with severe refractory CLE. It may also be
appropriate for patients in whom additional
immunosuppresion is contraindicated. IgA levels should be
checked prior to dosing.
Rituximab
• Ritximab is a monoclonal antibody that targets CD20.
• Because it’s usage in CLE is relatively new, we will just mention some of the studies
that have been reported.
• In 2006, Risselada and Kallenberg treated two patients with SLE and predominant
skin lesions (urticarial vasculitis and diffuse generalized rash with painful
erythema) with two rounds of rituximab and methylprednisone at a 2-week
interval. Treatment resulted in dramatic and persistent improvement of skin
manifestations in both patients. Uthman et al. reported a patient with SLE who
presented with psoriaformSCLE and bullous SCLE of the palms. The patient was
resistant to treatment with hydroxychloroquine,azathioprine, and prednisone.
While on prednisone,the patient received two doses of rituximab,2 weeks apart
and showed remarkable improvement. Prednisone was tapered and discontinued
6 weeks after infusion and follow-up 6 months later showed only minimal lesions.
• In 2009, Kieu et al. reported a patient with resistant SCLE who responded to
weekly rituximab given for 4 weeks. The patient continued on hydroxychloroquine
at 600 mg per day and topical clobetasol propionate 0.05%. By 12 weeks after the
initial course of rituximab, the patient had no new lesions. Skin lesions recurred at
11 months and the same rituximab regimen was implemented along with a
maintenance regimen every 8 weeks for 2 years resulting in disease remission.
Belimumab
• Belimumab is a monoclonal antibody that inhibits
the soluble B-lymphocyte stimulator cytokine.
• It is the first FDAapproved(was approved in
March 2011) medication specifically for SLE in
over 55 years.
• The approved dosage of belimumab is 10 mg/kg
IV every 2 weeks for the first 3 doses and then 10
mg/kg IV every 4 weeks, according to the package
insert.
• Additional studies are needed to quantify the
degree of improvement specifically in CLE.
Conventional drugs used in the treatment of systemic lupus
erythematosus
 Lupus Erythematosus for dermatologists
 Lupus Erythematosus for dermatologists

Lupus Erythematosus for dermatologists

  • 1.
  • 2.
    Lupus Erythematosus • Chronic multisysteminflammatory disease ,associated with abnormalities of immune system that results from interactions among genetic, hormonal, environmental, and immunologic factors. • The pattern of skin involvement expressed by an individual patient with LE can provide insight about the position on the spectrum where the patient's illness might best be placed.
  • 3.
    History • Lupus wasfirst described way back in the time of Hippocrates in Ancient Greece. • The word "Lupus" means "wolf" in Latin. There are at least two explanations why the word "lupus" was chosen to describe the disease we now know formally as systemic lupus erythematosus. • One explanation is that lupus was so named because the common butterfly rash seen on the cheeks and nose of many lupus patients is similar to the facial markings of a wolf. An alternative explanation relates to the early use of the word "lupus" to describe skin ulcers. In the sixteenth century, certain skin ulcers were compared to a hungry wolf eating the sufferer’s flesh. • 1948 – Malcolm Hargraves discovers the lupus erythematosus (LE) cell. • 1957 – The first anti-DNA antibody is identified.
  • 4.
    EPIDEMIOLOGY • The strongestfactor affecting risk for lupus is gender: women with systemic lupus outnumber men by at least 6 to 1. • lupus is rare in prepubertal children. • SLE is fourfold higher in African-American women as compared to Caucasian American women, In addition,African-Americans tend to develop disease at an earlier age and have a higher mortality rate. • Skin disease is the second most frequent clinical manifestation of LE after joint inflammation. • ACLE, like SLE in general, is much more common in women than men. • SCLE is primarily a disease of white females, with the mean age of onset in the fifth decade. • Although DLE can occur in infants and the elderly, it is most common in individuals between 20 and 40 years of age. DLE has a female-male ratio of 3:2 to 3:1, which is much lower than that of SLE.
  • 5.
    ETIOLOGY AND PATHOGENESIS Enviromentalfactors • SLE is a disorder in which the interplay between host factors (susceptibility genes, hormonal) and environmental factors [ultraviolet (UV) radiation, viruses, drugs] leads to loss of self-tolerance, and induction of autoimmunity. • Recent work has highlighted the important role of interferon-a signaling in the pathogenesis of both SLE and LE specific skin disease. • Drugs, viruses, UV light, and, possibly, tobacco, have been shown to induce development of SLE. • UV radiation (UVR) is probably the most important environmental factor in the induction phase of SLE and especially of LE-specific skin disease, UV light likely leads to self-immunity and loss of tolerance because it causes apoptosis of keratinocytes, which in turn, makes previously cryptic peptides available for immunosurveillance , UVB radiation has been shown to displace autoantigens such as Ro/SS-A and related autoantigens, La/SS-B, and calreticulin, from their normal locations inside epidermal keratinocytes to the cell surface.
  • 6.
    ETIOLOGY AND PATHOGENESIS Enviromentalfactors • A recent, large, case-control study reported that smokers are at a greater risk of developing SLE than are nonsmokers and former smokers. • Numerous drugs have been implicated in inducing various features of SLE. The drugs that induce CLE can be linked by their photosensitizing properties. • There has been much speculation about the role of infectious agents, particularly viruses, in the induction of SLE and CLE. Infections of all types have long been known to exacerbate SLE. Infection by α viruses, such as Sindbis, rubella, and cytomegalovirus, appears able to induce cell surface expression of Ro/SS-A and related autoantigens in cells undergoing virus-induced apoptosis. Seroconversion to Epstein-Barr virus (EBV) among patients with SLE is nearly universal.
  • 7.
  • 8.
  • 9.
    Genetic factor • Manystudies have described familial aggregation of SLE. 5-13% of lupus have at least one first or second degree relative with lupus • It was found a 24-58% concordance in monozygotic twins. • 2-5% concordance in dizygotic twins or siblings.. • The risk of a child developing lupus born from a mother (or father) with lupus is calculated to be 3- 4% at worst.
  • 10.
    • What arethe reasons of Genetic susceptibility? 1. It seems likely that most of the genes predisposing to SLE are normal. 2. An individual inherits an unlucky combination of normal genetic polymorphisms, each of which permit a little immune overreponse, or presentation of high quantities of target antigens in certain tissues. The combination of which is just enough to permit SLE to evolve after some environmental stimulus. 3. C2, C4, C1q deficiencies, DR2, DR3, 1q41-42 region, Fc-r RIIA, IL10 and Bcl polymorphisms.
  • 11.
    CLINICAL FINDINGS • cutaneous(The Gilliam Classification of Skin Lesions Associated with Lupus Erythematosus) • Extracutaneous • The 1982 Revised Criteria for Classification of Systemic Lupus Erythematosus.
  • 12.
    The Gilliam classification of skinlesions associated with LE
  • 14.
    A patient canbe classified as having SLE if any combination of four or more of these criteria can be observed serially or simultaneously.
  • 15.
    ACUTE CUTANEOUS LUPUSERYTHEMATOSUS • Localized ACLE has commonly been referred to as the classic butterfly rash or malar rash of SLE (the usual pattern). The nasolabial folds are characteristically spared. The forehead, chin, and V area of the neck can be involved, and severe facial swelling may occur. • Generalized ACLE presents as a widespread morbilliform or exanthematous eruption often focused over the extensor aspects of the arms and hands and characteristically sparing the knuckles. • An extremely acute form of ACLE is rarely seen that can simulate toxic epidermal necrolysis (TEN). This form of LE-specific vesiculobullous disease results from widespread apoptosis of epidermal keratinocytes, and eventuates in areas of full-thickness epidermal skin necrosis • ACLE is typically precipitated or exacerbated by exposure to UV light, Post- inflammatory pigmentary change is most prominent in patients with heavily pigmented skin. Scarring does not occur in ACLE unless the process is complicated by secondary bacterial infection.
  • 16.
    ACUTE CUTANEOUS LUPUSERYTHEMATOSUS
  • 17.
    SUBACUTE CUTANEOUS LUPUS ERYTHEMATOSUS •SCLE initially presents as erythematous macules and/or papules that evolve into hyperkeratotic papulosquamous or annular/polycyclic plaques, most patients have either annular or papulosquamous SCLE. • SCLE lesions are characteristically photosensitive and occur in predominantly sun-exposed areas (i.e., upper back, shoulders, extensor aspects of the arms, V area of the neck, and, less commonly, the face). SCLE lesions typically heal without scarring but can resolve with long- lasting, if not permanent, vitiligo-like leukoderma and telangiectasias • Several variants of SCLE have been described. On occasion, SCLE lesions present initially with an appearance of erythema multiforme. Such cases are similar to Rowell syndrome (erythema multiforme-like lesions occurring in patients with SLE in the presence of La/SS-B autoantibodies). An annular SCLE lesion occasionally undergoes a vesiculobullous change that can subsequently produce a strikingly crusted appearance. Such lesions can mimic Stevens-Johnson syndrome/TEN .Exfoliative erythroderma and pityriasiform and exanthematous variants of SCLE have been reported. The skin lesions of neonatal LE (transient, photosensitive, non-scarring LE-specific skin lesions in neonates who have received IgG anti-Ro/SS-A, and, occasionally, other autoantibody specificities transplacentally) share many features with SCLE.
  • 18.
    SUBACUTE CUTANEOUS LUPUSERYTHEMATOSUS • Although a finding of circulating autoantibodies to the Ro/SS-A ribonucleoprotein particle strongly supports a diagnosis of SCLE, the presence of this autoantibody specificity is not required to make a diagnosis of SCLE. • Approximately one-half of patients with SCLE meet the ACR's revised criteria for the classification of SLE. However, manifestations of severe SLE, such as nephritis, central nervous system disease, and systemic vasculitis, develop in only 10 percent to 15 percent of patients with SCLE. It has been suggested that the papulosquamous type of SCLE, leukopenia, high titer of anti-nuclear antibody (ANA) (> 1:640), and anti-dsDNA antibodies are risk factors for the development of SLE in a patient presenting with SCLE lesions. • SCLE can overlap with other autoimmune diseases, including Sjögren syndrome, rheumatoid arthritis, and Hashimoto thyroiditis.
  • 19.
  • 20.
    Neonatal lupus syndrome •NLS is an autoimmune disorder associated with maternal anti-SSA/Ro and/or anti-SSB/La antibodies. • The risk of an infant developing NLS in an anti-SSA/Ro- or anti- SSB/La-positive mother is 2%. However, the risk to subsequent pregnancies after a sibling has developed NLS is 25% • Clinical manifestations commonly include CHB and skin rashes, and less commonly involve cardiomyopathy, hepatic involvement and cytopenias • Whereas cutaneous, hepatic and haematological manifestations tend to resolve spontaneously as maternal autoantibodies disappear from the infant’s circulation, complete heart block and cardiomyopathy can be life threatening.
  • 21.
    Skin in neonatallupus • Approximately half of infants with NLS will develop cutaneous disease. The rash is often photosensitive and appears as annular plaques with erythema and scaling.It affects the face and scalp with a preference for the upper eyelids, but can occur anywhere on the body. The rash can be malar in distribution. • Although lesions occur in sun-exposed areas and may be initiated or exacerbated by ultra-violet light, it is not a prerequisite for the eruption. Lesions may be absent at birth and develop over several weeks, with resolution occurring at 6–9 months as the mother’s autoantibodies disappear from the infant’s circulation.As the lesions resolve, residual hypopigmentation, epidermal atrophy or telangiectasia may be noted. • Clinically and histopathologically, the skin lesions in NLS are similar to those seen in subacute cutaneous lupus erythematosus which is strongly associated with anti- SSA/Ro antibodies.
  • 24.
    CHRONIC CUTANEOUS LUPUSERYTHEMATOSUS • Classic DLE • Hypertrophic DLE • Mucosal DLE • Lupus panniculitis • Chilblain lupus • Lupus erythematosus tumidus
  • 25.
    Classic DLE • ClassicDLE lesions begin as red-purple macules, papules, or small plaques and rapidly develop a hyperkeratotic surface. Early classic DLE lesions typically evolve into sharply demarcated, coinshaped (i.e., discoid) erythematous plaques covered by a prominent, adherent scale that extends into the orifices of dilated hair follicles. • DLE lesions typically expand with erythema and hyperpigmentation at the periphery, leaving hallmark atrophic central scarring, telangiectasia, and hypopigmentation. • When present on hair-bearing skin (scalp, eyelid margins, eyebrows), DLE causes scarring alopecia, which can lead to disfigurement and markedly impact quality of life. Follicular involvement in DLE is a prominent feature. Keratotic plugs accumulate in dilated follicles that soon become devoid of hair(adherent scale). • DLE in Asian&Indians, can present clinically as isolated areas of macular hyperpigmentation. DLE lesions can be difficult to diagnose in Caucasian patients because the characteristic peripheral hyperpigmentation is often absent. Such lesions are often confused with actinic keratoses, squamous cell carcinoma, or acne.
  • 26.
    Classic DLE • DLElesions are frequently encountered on the face, scalp, ears, V area of the neck, and extensor aspects of the arms. Any area of the face, including the eyebrows, eyelids, nose, and lips, can be affected. DLE characteristically affects the external ear, including the outer portion of the external auditory canal.Such lesions often present initially as dilated, hyperpigmented follicles. • . The scalp is involved in 60 percent of patients with DLE;scarring alopecia resulting from such involvement has been reported in one-third of patients.The scarring alopecia resulting from DLE differs from the reversible, non-scarring alopecia that patients with SLE often develop during periods of systemic disease activity,the so-called lupus hair. • Localized DLE lesions occur only on the head or neck, whereas generalized DLE lesions occur both above and below the neck. DLE lesions below the neck commonly occur on the extensor aspects of the arms, forearms, and hands, although they can occur at any site on the body. The palms and soles can be the sites of painful,disabling, erosive DLE lesions. On occasion, small DLE lesions occurring only around follicular orifices appear at the elbow and elsewhere (follicular DLE).
  • 27.
    Classic DLE • DLEactivity can localize to the nail unit. The nail can be impacted by other forms of CLE as well as SLE, producing nail fold erythema and telangiectasia, red lunulae, clubbing, paronychia, pitting, leukonychia striata, and onycholysis. • DLE lesions can be potentiated by sunlight exposure but to a lesser extent than ACLE and SCLE lesions. DLE, as well as other forms of LE skin disease activity, can be precipitated by any form of cutaneous trauma (i.e., the Koebner phenomenon or isomorphic effect). • The relationship between classic DLE and SLE has been the subject of much debate.5 The following summary points can be made: (1) 5 percent of patients presenting with classic DLE lesions subsequently develop unequivocal evidence of SLE; and (2) patients with generalized DLE (i.e., lesions both above and below the neck) have somewhat higher rates of immunologic abnormalities, a higher risk for progressing to SLE, and a higher risk for developing more severe manifestations of SLE than patients with localized DLE.
  • 28.
  • 29.
    Hypertrophic DLE • HypertrophicDLE, also referred to as hyperkeratotic or verrucous DLE, is a rare variant of CCLE in which the hyperkeratosis normally found in classic DLE lesions is greatly exaggerated. The extensor aspects of the arms, the upper back, and the face are the areas most frequently affected. • Overlapping features of hypertrophic LE and lichen planus have been described under the rubric lupus planus. The entity lupus erythematosus hypertrophicus et profundus appears to represent a rare form of hypertrophic DLE, affecting the face with the additional features of violaceous/dull red, indurated, rolled borders and striking central, crateriform atrophy. The name for this clinical entity is ambiguous because LE panniculitis is not characteristic of its histopathology. • Patients with hypertrophic DLE probably do not have a greater risk for developing SLE than do patients with classic DLE lesions
  • 30.
    Mucosal DLE • MucosalDLE occurs in approximately 25 percent of patients with CCLE. The oral mucosa is most frequently affected; however, nasal, conjunctival, and genital mucosal surfaces can be targeted. In the mouth, the buccal mucosal surfaces are most commonly involved, with the palate ,alveolar processes, and tongue being sites of less frequent involvement. • Lesions begin as painless, erythematous patches that evolve to chronic plaques that can be confused with lichen planus but painful ulceration can develop. • Rarely, oral mucosal DLE lesions can degenerate into squamous cell carcinoma, similar to long-standing cutaneous DLE lesions. Any degree of nodular asymmetry within a mucosal DLE lesion should be evaluated for the possibility of malignant degeneration. • Chronic DLE plaques also appear on the vermilion border of the lips. At times, DLE involvement of the lips can present as a diffuse cheilitis, especially on the more sun-exposed lower lip. • Perforation of the nasal septum is more often associated with SLE than DLE.
  • 31.
  • 32.
    Lupus panniculitis • LEprofundus/LE panniculitis (Kaposi-Irgang disease) is a rare form of CCLE typified by inflammatory lesions in the lower dermis and subcutaneous tissue. Approximately 70 percent of patients with this type of CCLE also have typical DLE lesions, often overlying the panniculitis lesions. • Typical subcutaneous lesions present as firm nodules, 1 to 3 cm in diameter. The overlying skin often becomes attached to the subcutaneous nodules and is drawn inward to produce deep depressions. • The head, proximal upper arms, chest, back, breasts, buttocks, and thighs are the sites frequently affected. LE panniculitis, in the absence of overlying DLE, may produce breast nodules that can mimic carcinoma clinically and radiologically (lupus mastitis). • Dystrophic calcification frequently occurs in older lesions of LE profundus/LE panniculitis, and pain associated with such calcification can, at times, be the dominant clinical problem. • Roughly 50 percent of patients with LE profundus/panniculitis have evidence of SLE. However, the systemic features of patients with LE panniculitis/profundus tend to be less severe, similar to those of patients with SLE who have DLE skin lesions.
  • 33.
  • 34.
    Chilblain lupus • ChilblainLE lesions initially develop as purple-red patches, papules, and plaques on the toes, fingers, and face, which are precipitated by cold, damp climates and are clinically and histologically similar to idiopathic chilblains (pernio). • It is possible that chilblain LE begins as a classic acral, cold-induced lesion that then koebnerizes DLE lesions, thus explaining the spectrum of clinicohistologic findings, which seem to vary based on when, in the course of the lesion, the biopsy sample is taken. • Chilblain LE appears to be associated with anti-Ro/SS-A antibodies.Persistence of lesions beyond the cold months, a positive ANA, or presence of one of the other ACR criteria for SLE at the time of diagnosis of chilblain lesions helps to distinguish chilblain LE from idiopathic chilblains. Approximately 20 percent of patients presenting with chilblain LE later develop SLE. • An AD familial form of chilblain LE has recently been described and is caused by missence mutation in the TREX1(endonuclease repair gene).
  • 35.
  • 36.
    Lupus erythematosus tumidus •Lupus erythematosus tumidus (LET; tumid LE) is a variant of CCLE in which the dermal findings of DLE, namely excessive mucin deposition and superficial perivascular and periadnexal inflammation, are found on histologic evaluation. The characteristic epidermal histologic changes of LE-specific skin disease are only minimally expressed, if at all. • This results in succulent, edematous, urticaria-appearing plaques with little surface change.The paucity of epidermal change often produces confusion concerning the diagnosis of LET as a form of CLE. • LET appears to be the most photosensitive type,has a benign course, absence of systemic disease, good response to antimalarial treatment, and a tendency to recur.
  • 37.
  • 38.
  • 42.
    LABORATORY TESTS • Becauseof the strong association between ACLE and SLE, the laboratory features of ACLE are those associated with SLE (high-titer ANA, anti-dsDNA, anti-Sm, hypocomplementemia). • The laboratory markers for SCLE are the presence of anti-Ro/SS-A (70 percent to 90 percent) and, less commonly, anti-La/SS-B (30 percent to 50 percent) autoantibodies. ANA are present in 60 percent to 80 percent of patients with SCLE, and rheumatoid factor is present in approximately one-third. Other autoantibodies in patients with SCLE include false-positive serologic tests for syphilis (VDRL rapid plasma reagin) (7 percent to 33 percent), anticardiolipin (10 percent to 16 percent), anti-Sm (10 percent), anti-ds-DNA (10 percent). • ANA are present in low titer in 30 percent to 40 percent of patients with DLE; however, fewer than 5 percent have the higher ANA levels that are characteristic of patients with overt SLE (> 1:320). Antibodies to single-stranded DNA are not uncommon in DLE, but antibodies to dsDNA are distinctly uncommon.
  • 43.
    Biomarkers for systemiclupus erythematosus • Anti-dsDNA: (level of anti-dsDNA was reported to be a good predictor for disease flare as the elevated level of anti-dsDNA appeared before disease exacerbation. In a prospective,randomized, double-blind, placebo-controlled trial, the combination of levels of anti-dsDNA and C3a were used to predict severe flares in stable or inactive disease.Interestingly, even if elevated levels of antidsDNA occurred before SLE flares, the anti-dsDNA levels were often reduced during the period of flare and a concurrent decrease in anti-dsDNA was significantly associated with increases of renal involvement.This decrease in anti-dsDNA might reflect the onset of deposition in renal tissue at the time of flare.More recently, in patients treated with the B-cell- depleting drug rituximab (anti-CD20), improved clinical response was associated with decreased levels of antidsDNA while other ANA levels were unchanged.
  • 44.
    Biomarkers for systemiclupus erythematosus • The complement system :(The negative association of C3, C4 and disease activity in SLE has been widely reported, especially the association with renal involvement.), However, the results from these studies were far from consistent.As such, the inconsistency of the results need to be evaluated by larger-scale prospective studies with appropriate design regarding sample resource, statistical methods, and disease activity score systems before the clinical utilities of complements as biomarkers for disease activities in SLE can be confirmed.
  • 45.
    Biomarkers for systemiclupus erythematosus • B lymphocyte stimulator: B lymphocyte stimulator (BLyS), also known as BAFF,is a member of the tumor necrosis factor ligand superfamily.It is expressed and secreted by monocytes, macrophages,dendritic cells, neutrophils and potentially other cell types. Circulating levels of BAFF were elevated in patients with SLE; BAFF protein levels and transcript levels were also correlated with changes of SLE disease activity and anti- dsDNA titers.64–67 A fully human immunoglobulin G1-k monoclonal antibody against BAFF, belimumab, developed by Human Genome Sciences, showed clinical benefit in SLE and has been approved by the FDA. One question that investigators have been trying to address is whether the level of BAFF in blood predicts which SLE patients are likely to respond to belimumab.
  • 46.
    Biomarkers to predictorgan-specific lupus flare • One promising biomarker for nephritis is the tumor necrosis factor-like inducer of apoptosis (TWEAK), a tumor necrosis factor family member produced by macrophages, the peak levels of TWEAK coincided with the flare, rather than preceding it.Thus, urinary TWEAK appears to have high specificity for nephritis,but may not be sensitive enough to predict renal flares. • One area that has received more attention recently is SLE- associated neuropsychiatric events (NPSLE).The ACR has developed case definitions for 19 different neuropsychiatric lupus syndromes, and so multiple parameters and combinations will likely be needed to develop markers with sufficient sensitivity and specificity to predict neuropsychiatric events. Several classes of autoantibodies,including anti-phospholipid and anti- ribosomal P protein, seem to be associated with NPSLE, but their diagnostic value is still controversial.
  • 48.
    Treatment of Cutaneouslupus erythematosus • Sun protection: • Experimental phototesting has shown that skin lesions can be induced by both ultraviolet (UV) A and UVB radiation in patients with CLE. • Patients should avoid sunbathing, tanning salons,and being outside during the peak UV radiation hours. Wherever possible, patients should avoid jobs in which they are required to be outside during the middle of the day. • Sun protective clothing provides an excellent barrier to harmful sunrays. • the new FDA guidelines recommend that patients with CLE apply broadspectrum sunscreen every 2 hours while in the sun. • Vitamin D : • Patients with CLE may be more prone to vitamin D deficiency because of their obligate need of sun avoidance and protection. • Patients with CLE should receive dietary supplementation of at least 400 IU per day of vitamin D3.
  • 49.
    Topical treatment forCLE • Topical corticosteroids • Calcineurin inhibitors • Topical retinoids
  • 50.
    Topical corticosteroids • Inpractice, topical steroids tend to be of only modest benefit in most cases of CLE. Mid potency topical steroids are often helpful in relieving itching or burning in cases of widespread ACLE or SCLE, but rarely clear the eruption. For localized DLE, class 1 or 2 topical steroids can be useful as an adjunctive therapy for recalcitrant lesions. • Many authors prefer intra-lesional steroids when possible.Triamcinolone acetonide injected into the superficial dermis of active DLE lesions at a concentration of 5 mg/cc is typically quite effective. It can be repeated in 4–6-week intervals watching for signs of steroidinduced atrophy.
  • 51.
    Calcineurin inhibitors • Calcinuerininhibitors have a definite role in the treatment of CLE, particularly on the face of patients with ACLE or SCLE to avoid effects of chronic topical steroids. • Tacrolimus and pimecrolimus work by inhibiting calcineurin,which is a calcium-binding cytoplasmic protein involved in T-cell activation. • In practice, they are usually used in rotation with topical steroids and in combination with systemic agents. They are generally well tolerated, although topical tacrolimus can initially cause some burning and stinging in some patients.
  • 52.
    Topical retinoids • Topicalretinoids have been reported in the literature to be effective in treating CLE. • topical retinoids are usually used in combination with topical or intralesional steroids in hypertrophic DLE with modest results, although there may be additional benefit in prevention of steroid atrophy, they do not seem to have any role in the treatment of active ACLE or SCLE.
  • 53.
    Systemic treatment forCLE • Antimalarials • Oral corticosteroids • Methotrexate (MTX) • Oral retinoids • Dapsone • Mycophenolate mofetil (MMF) • Thalidomide • IVIG • Rituximab • Belimumab
  • 54.
    Antimalarials • Anitmalarials havebeen commonly used in the treatment of CLE since the 1950s. The mechanism of action of antimalarials in lupus is not completely understood.Possible anti-inflammatory mechanisms include an effect on antigen presentation, suppression of pathogenic cytokines and inhibition of toll-like receptors.Antimalarials may also have a photoprotective effect in lupus patients by altering UV-induced apoptosis. • There are three antimalarials commonly used in the treatment of CLE. Chloroquine is a 4-amino quinoline that is water-soluble and deposits in tissues including melanin-containing cells in the retina and skin. Recommended dosing of chloroquine is 250–500 mg a day with a maximum dose of 4 mg/kg/day. Hydroxychloroquine has a similar structure and pharmacokinetics to chloroquine.It is administered orally with a typical dose of 200 mg twice a day with a maximum recommended dose of 6.5 mg/kg/day. There is a wide variability of tissue and blood concentrations in patients taking hydroxychloroqine, but it is unclear how that affects treatment response for CLE.Quinacrine is another antimalarial that differs in structure with an extra benzene ring and does not cross- react with chloroquine or hydroxychloroquine. It is administered orally at a dose of 100 mg a day.
  • 55.
    Antimalarials • Antimalarials aregenerally well tolerated and do not cause systemic immunosuppression. Side effects include dose-related retinopathy, gastrointestinal complaints, lichenoid drug reactions,and blue/black pigmentary changes in the skin.Quinacrine also commonly causes diffuse yellowing of the skin and sclera. • Retinopathy is dose related and occurs with hydroxychloroquine and chloroquine but is not reported with quinacrine. Chloroquine appears to carry the highest risk of this side effect. However,severe retinopathy can generally be avoided with the use of appropriate dosing and monitoring. The American Academy of Ophthalmology recommends a baseline eye examination and follow-up exams every 1–5 years depending on risk factors. • It can take 3–6 months to see maximum improvement with antimalarials and patients should be cautioned in that regard. Once patients have responded, the dose may be lowered. • Smoking has been associated with lack of response to antimalarials in several studies.
  • 56.
    Oral corticosteroids • Oralcorticosteroids are a mainstay of treatment for systemic LE. For CLE, oral corticosteroids can result in rapid improvement but use should be limited to acute situations in severe disease and not as a maintenance therapy. • Recommended oral dosing is 0.5–1 mg/kg per day followed by tapering over a few weeks. An alternative is intravenous (IV) pulse dosing over 3 days. Side effects are well established and increase with prolonged usage and include osteoporosis, cataracts, Cushing’s syndrome,type II diabetes, and avascular necrosis.
  • 57.
    Methotrexate (MTX) • MTXis a folic acid analog that irreversibly inhibits dihydrofolate reductase, a key enzyme involved in the synthesis of purine and pyrmidine nucleotides.MTX has been reported to be effective in treating both SCLE and DLE. • MTX is an option for CLE patients who are recalcitrant or cannot tolerate antimalarials. It is usually administered orally or subcutaneously at doses ranging from 10 to 25 mg. The side effects of MTX are well known to dermatologists and include nausea,fatigue, malaise, anorexia, nephrotoxicity, hepatotoxicity,bone marrow toxicity, pneumonitis, and lung fibrosis.
  • 58.
    Oral retinoids • Oralretinoids have been used to treat a variety of dermatologic disorders including psoriasis, keratinzation disorders, and acne. • Acitretin, at doses of 10–50 mg daily, is somewhat helpful for hypertrophic DLE in combination with other agents, but not as useful in other forms of CLE. Side effects are well known and include xerosis and hyperlipidemia.
  • 59.
    Dapsone • Dapsone inhibitsthe synthesis of dihydrofolic acid through competition with para-aminobenzoate. Dapsone has been reported in individual case reports to be effective in treating SCLE and LEP. • Major side effects of dapsone include hemolysis and methemoglobinemia (especially in patients with glucose-6- phosphate dehydrogenase deficiency),agranulocytosis and peripheral neuropathy.Another rare side effect is the dapsone hypersensitivity syndrome, which presents as a triad of fever, rash, and internal organ involvement. • Dapsone tends to be most beneficial in CLE patients who have a bullous variant of LE. It is also used effectively to treat urticarial vasulitis. In these specific scenarios, it can have excellent results.Typically, we will use a 50 mg starting dose and titrate up to 100–150 mg while carefully monitoring complete blood counts for hemolytic anemia.
  • 60.
    Mycophenolate mofetil (MMF) •MMFis another therapy that has been used to treat CLE. MMF, which is converted to mycophenolic acid after ingestion, is a reversible inhibitor of inosine monophosphate dehydrogenase, an enzyme in the guanosine nucleotide synthesis pathway. • MMF side effects include gastrointestinal symptoms,such as nausea, vomiting, and diarrhea.Enteric-coated mycophenolate sodium is associated with fewer gastrointestinal side effects.Other side effects include cystits, upper respiratory infections, and viral infections, such as herpes zoster. • Mycophenolate mofetil has largely replaced azathioprine for treatment of antimalarial resistant CLE, as it appears to have at least equal efficacy and is generally better tolerated.
  • 61.
    Thalidomide • Thalidomide wasoriginally developed as a sedative in the 1950s. It was later withdrawn from the world market because of teratogenic side effects. Thalidomide has multiple mechanisms of action and has been used effectively for a wide variety of dermatological conditions, including CLE. • Common side effects include drowsiness, constipation, rash and dizziness. Teratogenicity and peripheral neuropathy are two serious well-known side effects of thalidomide use. • Thalidomide is the most effective oral treatment for severe or recalcitrant CLE. It has been used successfully for all three main subtypes of CLE. The limiting factor in its use is dose-related peripheral neuropathy. It is usually, but not always, reversible with reduction in dose or discontinuation. • Most patients can be started at a dose of 50 mg a day and titrated up to 150 mg a day if tolerating well. Once significant improvement is achieved the dose can be decreased and results are then typically maintained even at doses of 50 mg every other day. Thalidomide may also be used effectively as a “rescue” therapy for a shorter duration and then patients return to a maintenance regimen.
  • 62.
    IVIG • While themechanism of action of IV immunoglobulins(IVIG) is not completely understood, IVIG has been used successfully to treat a wide variety of diseases. It has also been used extensively as an off-label therapy for a number of dermatologic conditions including CLE. • The majority of adverse side effects associated with IVIG use are mild. The most common side effect is headache.More seriousandrare side effects include urticarial rash, aseptic meningitis, acute renal failure, thromobembolic events, and anaphylaxis in IgA-deficient patients. • Because of high cost, IVIG is typically reserved only for patients with severe refractory CLE. It may also be appropriate for patients in whom additional immunosuppresion is contraindicated. IgA levels should be checked prior to dosing.
  • 63.
    Rituximab • Ritximab isa monoclonal antibody that targets CD20. • Because it’s usage in CLE is relatively new, we will just mention some of the studies that have been reported. • In 2006, Risselada and Kallenberg treated two patients with SLE and predominant skin lesions (urticarial vasculitis and diffuse generalized rash with painful erythema) with two rounds of rituximab and methylprednisone at a 2-week interval. Treatment resulted in dramatic and persistent improvement of skin manifestations in both patients. Uthman et al. reported a patient with SLE who presented with psoriaformSCLE and bullous SCLE of the palms. The patient was resistant to treatment with hydroxychloroquine,azathioprine, and prednisone. While on prednisone,the patient received two doses of rituximab,2 weeks apart and showed remarkable improvement. Prednisone was tapered and discontinued 6 weeks after infusion and follow-up 6 months later showed only minimal lesions. • In 2009, Kieu et al. reported a patient with resistant SCLE who responded to weekly rituximab given for 4 weeks. The patient continued on hydroxychloroquine at 600 mg per day and topical clobetasol propionate 0.05%. By 12 weeks after the initial course of rituximab, the patient had no new lesions. Skin lesions recurred at 11 months and the same rituximab regimen was implemented along with a maintenance regimen every 8 weeks for 2 years resulting in disease remission.
  • 64.
    Belimumab • Belimumab isa monoclonal antibody that inhibits the soluble B-lymphocyte stimulator cytokine. • It is the first FDAapproved(was approved in March 2011) medication specifically for SLE in over 55 years. • The approved dosage of belimumab is 10 mg/kg IV every 2 weeks for the first 3 doses and then 10 mg/kg IV every 4 weeks, according to the package insert. • Additional studies are needed to quantify the degree of improvement specifically in CLE.
  • 66.
    Conventional drugs usedin the treatment of systemic lupus erythematosus