Round Cell Tumors
-Aldrin Jerry.J
Dr.Aldrin Jerry
content
• Introduction
• Classification of round cell lesions
• Description of individual round cell tumors
• Conclusion
• References
Dr.Aldrin Jerry
Introduction:
• The term ‘small round-cell tumour’ (SRCT) traditionally describes a group of
undifferentiated paediatric tumours that can present diagnostic difficulty because they may
be indistinguishable using light microscopy. [Aidan P. Mcmanus, Barry A. Gusterson. The Molecular Pathology Of
Small Round-cell Tumours-relevance To Diagnosis, Prognosis, And Classification. Journal Of Pathology, Vol. 178: 116--121 (1996)])
• Small round cell Tumors are a group of cytomorphologically similar neoplasm with
varied orgin. The neoplastic elements include undifferentiated , uniform, small round
to oval closely packed cells with a solitary hyperchromatic nucleus and a high nuclear
cytoplasmic ratio. The nucleoli may or may not be prominent. (Reshma Et al. Small round cell
tumor of head and neck region.International journal of oral and maxillofacial pathology.2014)
• Heterogeneous group of neoplasms featuring primitive, undifferentiated round-cell
morphology
• Therefore often lacking any particular morphological features that would allow precise
identification.
Dr.Aldrin Jerry
• Children (20% of the solid tumors), adolescents and young adults
• Skeletal system or soft tissue
• Immunophenotypic and genetic analysis
• Diagnostic uncertainty
Dr.Aldrin Jerry
Working Classification
Dr.Aldrin Jerry
Enzinger and Weiss SW, Goldblum JR. Soft tissue tumors. 5th editionDr.Aldrin Jerry
Classification based on size:
Small round cell lesions:
• Neuroblastoma
• Ewing’s sarcoma/PNET
• Rhabdomyosarcoma (embryonal
type)
• Merkel cell carcinoma
• Mesenchymal chondrosarcoma
• Small cell osteosarcoma
• Squamous cell carcinoma
• Adenocarcinoma
• Melanoma
• Lymphomas
Large round cell lesions:
• Squamous cell carcinoma
• Adenocarcinoma
• Melanoma
• Rhabdomyosarcoma
• Lymphomas
• Paraganglioma
Based On: AIDAN P. Mcmanus*, Barry A. Gusterson. The Molecular Pathology Of Small Round-cell Tumours-relevance To
Diagnosis, Prognosis, And Classification. Journal Of Pathology, Vol. 178: 116--121 (1996)Dr.Aldrin Jerry
Classification based on orgins:
Neurogenic origin
• Ewing’s sarcoma and primitive neuroectodermal tumor
• Neuroblastoma
• Merkel cell tumor
• Paraganglioma
• Retinoblastoma
• Medulloblastoma
• Small cell tumor of lung
Mesenchymal origin
• Myogenic differentiation - Rhabdomyosarcoma
• Osteoid differentiation - Small cell osteosarcoma
• Chondroid differentiation - Mesenchymal chondrosarcoma
• Adipose tissue like differentiation - round cell liposarcoma – thigh & popliteal
Malignant soft tissue tumors of uncertain types
• Desmoplastic small round cell tumor – abdominal & pelvic
• Poorly differentiated synovial sarcoma
Hematolymphoid origin - Lymphoma
Based On: AIDAN P. Mcmanus*, Barry A. Gusterson. The Molecular Pathology Of Small Round-cell Tumours-relevance To Diagnosis,
Prognosis, And Classification. Journal Of Pathology, Vol. 178: 116--121 (1996)
Dr.Aldrin Jerry
EWING’S SARCOMA
AND
PRIMITIVE NEUROECTODERMAL
TUMOR (PNET)
Dr.Aldrin Jerry
EWING’S SARCOMA AND PRIMITIVE
NEUROECTODERMAL TUMOR (PNET)
• distinct clinicopathological entities
• higher degree of neural differentiation in PNETs
• ESFT
• primitive neural crest cells
• spectrum of round-cell sarcomas
Dr.Aldrin Jerry
Ewing’s sarcoma: (James Ewing in 1921)
• 6% of all malignant bone tumors
• Site: Primarily affects skeletal system
-4% of Ewing’s sarcoma – head & neck
-1% - jaws – ramus of mandible
• Age: Ewing’s Sarcoma-children & young adults – 5 to 30 yrs
-PNET has broader age range than Ewing’s sarcomas
• Gender : Males > Females
• Symptoms: Painful swelling, aggressive behaviour, rapid growth; Mandible –
loosening of teeth, paraesthesia, otitis media
Dr.Aldrin Jerry
Neville. Oral and maxillofacial pathology 1st south asia edition
Dr.Aldrin Jerry
Radiographic features:
• non-specific, poorly defined osteolytic lesion and cortical erosion
• Sun-ray spicules of peri-osteal bone
• Onion-skin reaction – laminar periosteal response – rare in jaw bones
Dr.Aldrin Jerry
Ewing’s sarcoma:
Monotonous
proliferation of loosely
cohesive round cell
with scant, pale
cytoplasm, round
nucleus, distinct nuclear
membrane, fine
granular chromatin, one
or two nucleoli
Dr.Aldrin Jerry
PNET :
Cells with eosinophillic
cytoplasm, vesicular
nuclei and prominent
nucleoli surround a
central fibrillary core
(Homer Wright rosettes).
Enzinger and Weiss SW, Goldblum JR. Soft tissue tumors. 5th editionDr.Aldrin Jerry
Strong membranous
CD99 immunoreactivity
Enzinger and Weiss SW, Goldblum JR. Soft tissue tumors. 5th edition
Dr.Aldrin Jerry
Dr.Aldrin Jerry
Immunohistochemical findings
• Ewing’s Sarcoma – Neuron specific enolase (NSE), AE1/AE3
• PNET - Neural markers - NSE, S-100, synaptophysin, chromogranin positivity –
at least two neural markers for diagnosis
• CD 99 – 95% cases are positive
Dr.Aldrin Jerry
Treatment and prognosis : multimodality treatment.
• Hematogenous spread / lung metastasis
• Prognosis – poor – 60% 5 year survival rates
• Jaw bones – better prognosis than long bones
Dr.Aldrin Jerry
MERKEL CELL CARCINOMA
• Cutaneous malignancy of neuroendocrine origin
• 1st described by Toker in 1972
• Age : elderly (>65 yrs)
• Etiology : exposure to solar radiation, immunodeficiency
• Site : head & neck (55%), extremities
• Intra oral- lip is common site, floor of mouth, buccal mucosa, tongue, hard palate
Dr.Aldrin Jerry
Clinical features
• Reddish-purple plaque/solitary, painful, rapidly growing nodule
• Advanced lesion- ulcer & hemorrhage and lymphadenopathies
• Occurs in patients with history of multiple skin tumors
• AEIOU
Dr.Aldrin Jerry
Pablo Santos Gorjóna,, Ana Cristina Morales Martínb. Merkel Cell Carcinoma: A Presentation of 5 Cases and a Review o the Literature. Acta
Otorrinolaringol Esp. 2011;62(4):306---310
Dr.Aldrin Jerry
Histopathology – 3 types
• Trabecular or classic
• Intermediate cellular - most common - existence of a circular
arrangement in nests or rosettes of intermediate cells, accompanied by
a peripheral trabecular pattern
• Small-cell pattern - diffuse infiltrate of neoplastic cells in sheets
• Surface epithelium is intact. Moderately sized, uniform,
undifferentiated basophillic cells in dermis and subcutaneous fat.
Tumor cells have scant cytoplasm, indistinct cell borders, prominent
nuclei.
Dr.Aldrin Jerry
• Cells with vesicular nuclei are
observed among the small
round blue cells
Enzinger and Weiss SW, Goldblum JR. Soft tissue tumors. 5th edition
Dr.Aldrin Jerry
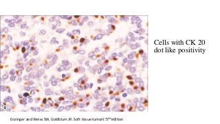
Cells with CK 20
dot like positivity
Enzinger and Weiss SW, Goldblum JR. Soft tissue tumors. 5th editionDr.Aldrin Jerry
Dr.Aldrin Jerry
OLFACTORY NEUROBLASTOMA
• Also known as Esthesioneuroblastoma; Origin : Neuroectodermal cells
• Site: Follows distribution of sympathetic fibers in anterior portion of
nasal cavity
• Age : 5th – 6th decade and 2nd decade
• Symptoms : Nasal obstruction, epistaxis
• Radiographic feature : spotty calcification in tumor
Dr.Aldrin Jerry
Dr.Aldrin Jerry
Low power view
showing nests of
uniform, small,
round cells in a
fibrovascular
stroma.
Enzinger and Weiss SW, Goldblum JR. Soft tissue tumors. 5th editionDr.Aldrin Jerry
Poorly differentiated
neuroblastoma.
Small round/ ovoid
cells with
hyperchromatic
nuclei, scant
cytoplasm and
Homer Wright
rosettes
Enzinger and Weiss SW, Goldblum JR. Soft tissue tumors. 5th editionDr.Aldrin Jerry
Immunohistochemical studies
• Positive for markers for neural or neuroendocrine differentiation
• CK, EMA- in areas with epithelial differentiation-focal
• CD 99 – negative
• Cytogenetic: t (11;22)(q24;q12)
Dr.Aldrin Jerry
RHABDOMYOSARCOMA (RMS)
• Commonest soft tissue sarcoma in children (50%)
• 2-5% of adult sarcomas
• Age: bimodal
• Types
-Botyroid RMS (2%)
-Spindle cell RMS
-classical embryonal RMS (71%)
-Alveolar RMS (17%)
-Undiffferentiated RMS
• Gender : Males > Females
• Site : Head and neck- 40%
-Orbit ,nasal cavity, nasopharynx
-Intra oral sites : tongue, lip
• Age : Embryonal: birth – 15 yrs
-Alveolar: 10 – 25 yrs
-Pleomorphic: adults
Dr.Aldrin Jerry
Neville. Oral and maxillofacial pathology 1st south asia editionDr.Aldrin Jerry
Enzinger and Weiss SW, Goldblum JR. Soft tissue tumors. 5th edition
Dr.Aldrin Jerry
Botyroid RMS
•Sparsity of cells and
abundance of mucoid stroma
‘Cambium layer’ –
subepithelial condensation
of tumor cells separated
from intact surface
epithelium by a zone of
loose stroma
Enzinger and Weiss SW, Goldblum JR. Soft tissue tumors. 5th edition
Dr.Aldrin Jerry
Alveolar RMS
• Ill-defined aggregates of poorly differentiated round tumor
cells
• Aggregates of cells are separated by hyalinised fibrous septa
• Cells show loss of cellular cohesion and formation of
irregular ‘alveolar’ spaces
• ‘Solid’ forms without alveolar patterns – similar to embryonal
RMS (regular arrangement of fibrous septa, more uniform
cellular picture)
Dr.Aldrin Jerry
Single layer of
neoplastic cells
adheres to dense
fibrous septa with
central loss of
cellular cohesion.
Enzinger and Weiss SW, Goldblum JR. Soft tissue tumors. 5th edition
Dr.Aldrin Jerry
Fibrovascular
septa lined by a
single layer of
round cells and
loss of cellular
cohesion
Enzinger and Weiss SW, Goldblum JR. Soft tissue tumors. 5th editionDr.Aldrin Jerry
`
Dr.Aldrin Jerry
Embryonal / Alveolar Rhabdomyosarcoma
Special stains
• PAS - abundant intracellular glycogen regardless of type
• Iron Haematoxylin
• Masson Trichrome
Immunohistochemical studies
• Desmin, Myoglobin- well differentiated cells
• Vimentin, CK, S-100- undifferentiated cells
• MyoD1, Myogenin- early stage of skeletal muscle differentiation
Dr.Aldrin Jerry
SMALL CELL OSTEOSARCOMA
• Variant of osteosarcoma
• Composed of small cells and varying amount of osteoid.
• Very rare bone tumor - 1% to 1.5% of all osteosarcomas
• Age : All ages; slightly older age group as compared to conventional forms
• Site : majority of tumors - metaphysis of long bones
• Clinical features : local pain/swelling/both
• Radiographic features:
-Mixed lytic and blastic pattern
-Destroys cortex and often extends into the soft tissue
-Mineralized matrix present in most tumors - distinctive feature to
differentiate small cell osteosarcoma from other small, blue cell tumors,
radiographically.
Dr.Aldrin Jerry
Uma K, Cherian G, Nayak V, Patil S. Small cell osteosarcoma of the mandible: Case report and review of its diagnostic aspects. J Oral
Maxillofac Pathol 2011;15:330-4.
Dr.Aldrin Jerry
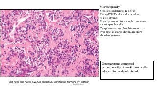
Osteosarcoma composed
predominantly of small round cells
adjacent to bands of osteoid
Microscopically
Small cells identical in size to
Ewing/PNET cells and a lace-like
osteoid stroma.
Majority - round tumor cells; rare cases
- short spindle cells
Cytoplasm – scant; Nuclei - round to
oval, fine to coarse chromatin, show
abundant mitoses.
Enzinger and Weiss SW, Goldblum JR. Soft tissue tumors. 5th edition
Dr.Aldrin Jerry
Immunohistochemistry
• Positive - Vimentin, Osteocalcin, Osteonectin
• Negative - Conventional lymphoid markers
Prognosis: Slightly worse than conventional osteosarcoma.
Management: Surgery with additional chemotherapy
Dr.Aldrin Jerry
MESENCHYMAL CHONDROSARCOMA
• 1st described by Lichtenstein and Bernstein, 1959
• 3-9% of all chondrosarcomas
• Malignant cartilaginous tumor- two components
• Tumor of bone & soft tissue- bimorphic histopathological pattern
• Age- 15-35yrs
• Site: head & neck- maxilla and mandible (25-30%)
-1/3rd to 1/4th arise in soft tissues than bone
• Presents as a pain/painless mass
• Radiographically, circumscribed radiolucency, infiltrative margins, stippled
calcifications
Dr.Aldrin Jerry
Neville. Oral and maxillofacial pathology 1st south asia editionDr.Aldrin Jerry
Neville. Oral and maxillofacial pathology 1st south asia editionDr.Aldrin Jerry
Histopathology:
Sheets of patternless masses of small, undifferentiated round cells
Surrounding discrete nodules of well differentiated cartilage
Non-cartilaginous component similar to Ewing’s sarcoma,
hemangipericytoma
Dr.Aldrin Jerry
Immunohistochemical studies - non specific
• S-100 positivity- Cartilaginous portion; but negative for areas devoid
of cartilaginous areas
• CD 99 –positive (50%)
• Neuron specific enolase - positive
• Sox9 - a transcription factor – master regulator of chondrogenesis,
primitive mesenchymal cells & cartilagenous tissue - nuclear staining;
negative for all other round cell sarcomas
Dr.Aldrin Jerry
Burkitt’s lymphoma
• Age: childhood, rare-adults
• Site: Maxilla, mandible
Clinical features
• African –swelling of infected jaw
• Loosing of teeth
• Lymphadenopathy
Etiology
• t(8;14)(q24;q32)
• HIV,
• EBV
Dr.Aldrin Jerry
Histopathology: Low power, numerous pale macrophages producing a “starry sky” appearance.
High power, tumor cells have multiple small nucleoli and high mitotic index. The lack of
significant variation in nuclear shape and size lends a monotonous appearance
Enzinger and Weiss SW, Goldblum JR. Soft tissue tumors. 5th edition
Dr.Aldrin Jerry
• IHC=CD45, CD 20
Dr.Aldrin Jerry
Hogdkin’s lymphoma
Age: Bimodal; young (15-34yrs), Older (>55yrs)
Clinical features: Painless- cervical lymphadenopathy
Site: Usually extranodal, Axilla, Waldeyer ring
Mandible & overlying alveolar mucosa
Etiology - HIV, EBV
Dr.Aldrin Jerry
Enzinger and Weiss SW, Goldblum JR. Soft tissue tumors. 5th edition
Dr.Aldrin Jerry
Enzinger and Weiss SW, Goldblum JR. Soft tissue tumors. 5th editionDr.Aldrin Jerry
• IHC= CD 15, CD 30
Dr.Aldrin Jerry
SQUAMOUS CELL CARCINOMA (POORLY
DIFFERENTIATED)
• Etiology: Tobacco, alcohol, radiation, immunosuppression,
malnutrition etc
• Site :base of tongue, floor of mouth, buccal mucosa, lips, gingiva
• Painless, indurated masses or ulcers with everted margins
• IHC – cytokeratin: +ve; HMB 45 & S100: -ve
Dr.Aldrin Jerry
Histology:
-Sheets of cells
-Pleomorphism & hyperchromatism
with many mitotic figures
• -
Squamous cell carcinoma (poorly differentiated)
Dr.Aldrin Jerry
MALIGNANT MELANOMA (SMALL CELL VARIANT)
• Variant of Melanoma
• Skin,UV
• Head & neck- sinonasal tract, oral cavity
• Age: above 40yrs
• Brown, bluish polypoid masses
Dr.Aldrin Jerry
Neville. Oral and maxillofacial pathology 1st south asia editionDr.Aldrin Jerry
Histological:
•small cells, hyperchromasia,
prominent nucleoli, and a large nuclear
to cytoplasmic ratio
•IHC – HMB 45 & S100 +ve;
cytokeratin: -ve
Enzinger and Weiss SW, Goldblum JR. Soft tissue tumors. 5th edition
Dr.Aldrin Jerry
LESION ORGIN HISTOPATHOLOGY IHC
EWING’S SARCOMA Neural ectoderm Monotonous proliferation in sheets or
lobular
CD 99,NSE,AE1/AE3
PRIMITIVE
NEUROECTODERMAL TUMOR
Neural ectoderm Homer Wright Rosettes CD 99, NSE, S-100,
synaptophysin,chromogranin
(any 2 makers)
MERKEL CELL CARCINOMA Neuroendocrine Psedoglandular, Trabecular, Cribriform
(swiss cheese) and Sheets
CK 20, EMA and AE1-AE3,
NSE, chromogranin,
synaptophysin
OLFACTORY NEUROBLASTOMA Neuro ectodermal Sheets, Lobular, Homer Wright Rosette,
Psedorosette
Dr.Aldrin Jerry
Conclusion
Round-cell lesion certainly represent the model of how the
integration of different diagnostic tools (morphology,
immunohistochemistry, molecular genetics) may impact on the accurate
diagnosis and classification of tumours.
Dr.Aldrin Jerry

Round cell tumors

  • 1.
    Round Cell Tumors -AldrinJerry.J Dr.Aldrin Jerry
  • 2.
    content • Introduction • Classificationof round cell lesions • Description of individual round cell tumors • Conclusion • References Dr.Aldrin Jerry
  • 3.
    Introduction: • The term‘small round-cell tumour’ (SRCT) traditionally describes a group of undifferentiated paediatric tumours that can present diagnostic difficulty because they may be indistinguishable using light microscopy. [Aidan P. Mcmanus, Barry A. Gusterson. The Molecular Pathology Of Small Round-cell Tumours-relevance To Diagnosis, Prognosis, And Classification. Journal Of Pathology, Vol. 178: 116--121 (1996)]) • Small round cell Tumors are a group of cytomorphologically similar neoplasm with varied orgin. The neoplastic elements include undifferentiated , uniform, small round to oval closely packed cells with a solitary hyperchromatic nucleus and a high nuclear cytoplasmic ratio. The nucleoli may or may not be prominent. (Reshma Et al. Small round cell tumor of head and neck region.International journal of oral and maxillofacial pathology.2014) • Heterogeneous group of neoplasms featuring primitive, undifferentiated round-cell morphology • Therefore often lacking any particular morphological features that would allow precise identification. Dr.Aldrin Jerry
  • 4.
    • Children (20%of the solid tumors), adolescents and young adults • Skeletal system or soft tissue • Immunophenotypic and genetic analysis • Diagnostic uncertainty Dr.Aldrin Jerry
  • 5.
  • 6.
    Enzinger and WeissSW, Goldblum JR. Soft tissue tumors. 5th editionDr.Aldrin Jerry
  • 7.
    Classification based onsize: Small round cell lesions: • Neuroblastoma • Ewing’s sarcoma/PNET • Rhabdomyosarcoma (embryonal type) • Merkel cell carcinoma • Mesenchymal chondrosarcoma • Small cell osteosarcoma • Squamous cell carcinoma • Adenocarcinoma • Melanoma • Lymphomas Large round cell lesions: • Squamous cell carcinoma • Adenocarcinoma • Melanoma • Rhabdomyosarcoma • Lymphomas • Paraganglioma Based On: AIDAN P. Mcmanus*, Barry A. Gusterson. The Molecular Pathology Of Small Round-cell Tumours-relevance To Diagnosis, Prognosis, And Classification. Journal Of Pathology, Vol. 178: 116--121 (1996)Dr.Aldrin Jerry
  • 8.
    Classification based onorgins: Neurogenic origin • Ewing’s sarcoma and primitive neuroectodermal tumor • Neuroblastoma • Merkel cell tumor • Paraganglioma • Retinoblastoma • Medulloblastoma • Small cell tumor of lung Mesenchymal origin • Myogenic differentiation - Rhabdomyosarcoma • Osteoid differentiation - Small cell osteosarcoma • Chondroid differentiation - Mesenchymal chondrosarcoma • Adipose tissue like differentiation - round cell liposarcoma – thigh & popliteal Malignant soft tissue tumors of uncertain types • Desmoplastic small round cell tumor – abdominal & pelvic • Poorly differentiated synovial sarcoma Hematolymphoid origin - Lymphoma Based On: AIDAN P. Mcmanus*, Barry A. Gusterson. The Molecular Pathology Of Small Round-cell Tumours-relevance To Diagnosis, Prognosis, And Classification. Journal Of Pathology, Vol. 178: 116--121 (1996) Dr.Aldrin Jerry
  • 9.
  • 10.
    EWING’S SARCOMA ANDPRIMITIVE NEUROECTODERMAL TUMOR (PNET) • distinct clinicopathological entities • higher degree of neural differentiation in PNETs • ESFT • primitive neural crest cells • spectrum of round-cell sarcomas Dr.Aldrin Jerry
  • 11.
    Ewing’s sarcoma: (JamesEwing in 1921) • 6% of all malignant bone tumors • Site: Primarily affects skeletal system -4% of Ewing’s sarcoma – head & neck -1% - jaws – ramus of mandible • Age: Ewing’s Sarcoma-children & young adults – 5 to 30 yrs -PNET has broader age range than Ewing’s sarcomas • Gender : Males > Females • Symptoms: Painful swelling, aggressive behaviour, rapid growth; Mandible – loosening of teeth, paraesthesia, otitis media Dr.Aldrin Jerry
  • 12.
    Neville. Oral andmaxillofacial pathology 1st south asia edition Dr.Aldrin Jerry
  • 13.
    Radiographic features: • non-specific,poorly defined osteolytic lesion and cortical erosion • Sun-ray spicules of peri-osteal bone • Onion-skin reaction – laminar periosteal response – rare in jaw bones Dr.Aldrin Jerry
  • 14.
    Ewing’s sarcoma: Monotonous proliferation ofloosely cohesive round cell with scant, pale cytoplasm, round nucleus, distinct nuclear membrane, fine granular chromatin, one or two nucleoli Dr.Aldrin Jerry
  • 15.
    PNET : Cells witheosinophillic cytoplasm, vesicular nuclei and prominent nucleoli surround a central fibrillary core (Homer Wright rosettes). Enzinger and Weiss SW, Goldblum JR. Soft tissue tumors. 5th editionDr.Aldrin Jerry
  • 16.
    Strong membranous CD99 immunoreactivity Enzingerand Weiss SW, Goldblum JR. Soft tissue tumors. 5th edition Dr.Aldrin Jerry
  • 17.
  • 18.
    Immunohistochemical findings • Ewing’sSarcoma – Neuron specific enolase (NSE), AE1/AE3 • PNET - Neural markers - NSE, S-100, synaptophysin, chromogranin positivity – at least two neural markers for diagnosis • CD 99 – 95% cases are positive Dr.Aldrin Jerry
  • 19.
    Treatment and prognosis: multimodality treatment. • Hematogenous spread / lung metastasis • Prognosis – poor – 60% 5 year survival rates • Jaw bones – better prognosis than long bones Dr.Aldrin Jerry
  • 20.
    MERKEL CELL CARCINOMA •Cutaneous malignancy of neuroendocrine origin • 1st described by Toker in 1972 • Age : elderly (>65 yrs) • Etiology : exposure to solar radiation, immunodeficiency • Site : head & neck (55%), extremities • Intra oral- lip is common site, floor of mouth, buccal mucosa, tongue, hard palate Dr.Aldrin Jerry
  • 21.
    Clinical features • Reddish-purpleplaque/solitary, painful, rapidly growing nodule • Advanced lesion- ulcer & hemorrhage and lymphadenopathies • Occurs in patients with history of multiple skin tumors • AEIOU Dr.Aldrin Jerry
  • 22.
    Pablo Santos Gorjóna,,Ana Cristina Morales Martínb. Merkel Cell Carcinoma: A Presentation of 5 Cases and a Review o the Literature. Acta Otorrinolaringol Esp. 2011;62(4):306---310 Dr.Aldrin Jerry
  • 23.
    Histopathology – 3types • Trabecular or classic • Intermediate cellular - most common - existence of a circular arrangement in nests or rosettes of intermediate cells, accompanied by a peripheral trabecular pattern • Small-cell pattern - diffuse infiltrate of neoplastic cells in sheets • Surface epithelium is intact. Moderately sized, uniform, undifferentiated basophillic cells in dermis and subcutaneous fat. Tumor cells have scant cytoplasm, indistinct cell borders, prominent nuclei. Dr.Aldrin Jerry
  • 24.
    • Cells withvesicular nuclei are observed among the small round blue cells Enzinger and Weiss SW, Goldblum JR. Soft tissue tumors. 5th edition Dr.Aldrin Jerry
  • 25.
    Cells with CK20 dot like positivity Enzinger and Weiss SW, Goldblum JR. Soft tissue tumors. 5th editionDr.Aldrin Jerry
  • 26.
  • 27.
    OLFACTORY NEUROBLASTOMA • Alsoknown as Esthesioneuroblastoma; Origin : Neuroectodermal cells • Site: Follows distribution of sympathetic fibers in anterior portion of nasal cavity • Age : 5th – 6th decade and 2nd decade • Symptoms : Nasal obstruction, epistaxis • Radiographic feature : spotty calcification in tumor Dr.Aldrin Jerry
  • 28.
  • 29.
    Low power view showingnests of uniform, small, round cells in a fibrovascular stroma. Enzinger and Weiss SW, Goldblum JR. Soft tissue tumors. 5th editionDr.Aldrin Jerry
  • 30.
    Poorly differentiated neuroblastoma. Small round/ovoid cells with hyperchromatic nuclei, scant cytoplasm and Homer Wright rosettes Enzinger and Weiss SW, Goldblum JR. Soft tissue tumors. 5th editionDr.Aldrin Jerry
  • 31.
    Immunohistochemical studies • Positivefor markers for neural or neuroendocrine differentiation • CK, EMA- in areas with epithelial differentiation-focal • CD 99 – negative • Cytogenetic: t (11;22)(q24;q12) Dr.Aldrin Jerry
  • 32.
    RHABDOMYOSARCOMA (RMS) • Commonestsoft tissue sarcoma in children (50%) • 2-5% of adult sarcomas • Age: bimodal • Types -Botyroid RMS (2%) -Spindle cell RMS -classical embryonal RMS (71%) -Alveolar RMS (17%) -Undiffferentiated RMS • Gender : Males > Females • Site : Head and neck- 40% -Orbit ,nasal cavity, nasopharynx -Intra oral sites : tongue, lip • Age : Embryonal: birth – 15 yrs -Alveolar: 10 – 25 yrs -Pleomorphic: adults Dr.Aldrin Jerry
  • 33.
    Neville. Oral andmaxillofacial pathology 1st south asia editionDr.Aldrin Jerry
  • 34.
    Enzinger and WeissSW, Goldblum JR. Soft tissue tumors. 5th edition Dr.Aldrin Jerry
  • 35.
    Botyroid RMS •Sparsity ofcells and abundance of mucoid stroma ‘Cambium layer’ – subepithelial condensation of tumor cells separated from intact surface epithelium by a zone of loose stroma Enzinger and Weiss SW, Goldblum JR. Soft tissue tumors. 5th edition Dr.Aldrin Jerry
  • 36.
    Alveolar RMS • Ill-definedaggregates of poorly differentiated round tumor cells • Aggregates of cells are separated by hyalinised fibrous septa • Cells show loss of cellular cohesion and formation of irregular ‘alveolar’ spaces • ‘Solid’ forms without alveolar patterns – similar to embryonal RMS (regular arrangement of fibrous septa, more uniform cellular picture) Dr.Aldrin Jerry
  • 37.
    Single layer of neoplasticcells adheres to dense fibrous septa with central loss of cellular cohesion. Enzinger and Weiss SW, Goldblum JR. Soft tissue tumors. 5th edition Dr.Aldrin Jerry
  • 38.
    Fibrovascular septa lined bya single layer of round cells and loss of cellular cohesion Enzinger and Weiss SW, Goldblum JR. Soft tissue tumors. 5th editionDr.Aldrin Jerry
  • 39.
  • 40.
    Embryonal / AlveolarRhabdomyosarcoma Special stains • PAS - abundant intracellular glycogen regardless of type • Iron Haematoxylin • Masson Trichrome Immunohistochemical studies • Desmin, Myoglobin- well differentiated cells • Vimentin, CK, S-100- undifferentiated cells • MyoD1, Myogenin- early stage of skeletal muscle differentiation Dr.Aldrin Jerry
  • 41.
    SMALL CELL OSTEOSARCOMA •Variant of osteosarcoma • Composed of small cells and varying amount of osteoid. • Very rare bone tumor - 1% to 1.5% of all osteosarcomas • Age : All ages; slightly older age group as compared to conventional forms • Site : majority of tumors - metaphysis of long bones • Clinical features : local pain/swelling/both • Radiographic features: -Mixed lytic and blastic pattern -Destroys cortex and often extends into the soft tissue -Mineralized matrix present in most tumors - distinctive feature to differentiate small cell osteosarcoma from other small, blue cell tumors, radiographically. Dr.Aldrin Jerry
  • 42.
    Uma K, CherianG, Nayak V, Patil S. Small cell osteosarcoma of the mandible: Case report and review of its diagnostic aspects. J Oral Maxillofac Pathol 2011;15:330-4. Dr.Aldrin Jerry
  • 43.
    Osteosarcoma composed predominantly ofsmall round cells adjacent to bands of osteoid Microscopically Small cells identical in size to Ewing/PNET cells and a lace-like osteoid stroma. Majority - round tumor cells; rare cases - short spindle cells Cytoplasm – scant; Nuclei - round to oval, fine to coarse chromatin, show abundant mitoses. Enzinger and Weiss SW, Goldblum JR. Soft tissue tumors. 5th edition Dr.Aldrin Jerry
  • 44.
    Immunohistochemistry • Positive -Vimentin, Osteocalcin, Osteonectin • Negative - Conventional lymphoid markers Prognosis: Slightly worse than conventional osteosarcoma. Management: Surgery with additional chemotherapy Dr.Aldrin Jerry
  • 45.
    MESENCHYMAL CHONDROSARCOMA • 1stdescribed by Lichtenstein and Bernstein, 1959 • 3-9% of all chondrosarcomas • Malignant cartilaginous tumor- two components • Tumor of bone & soft tissue- bimorphic histopathological pattern • Age- 15-35yrs • Site: head & neck- maxilla and mandible (25-30%) -1/3rd to 1/4th arise in soft tissues than bone • Presents as a pain/painless mass • Radiographically, circumscribed radiolucency, infiltrative margins, stippled calcifications Dr.Aldrin Jerry
  • 46.
    Neville. Oral andmaxillofacial pathology 1st south asia editionDr.Aldrin Jerry
  • 47.
    Neville. Oral andmaxillofacial pathology 1st south asia editionDr.Aldrin Jerry
  • 48.
    Histopathology: Sheets of patternlessmasses of small, undifferentiated round cells Surrounding discrete nodules of well differentiated cartilage Non-cartilaginous component similar to Ewing’s sarcoma, hemangipericytoma Dr.Aldrin Jerry
  • 49.
    Immunohistochemical studies -non specific • S-100 positivity- Cartilaginous portion; but negative for areas devoid of cartilaginous areas • CD 99 –positive (50%) • Neuron specific enolase - positive • Sox9 - a transcription factor – master regulator of chondrogenesis, primitive mesenchymal cells & cartilagenous tissue - nuclear staining; negative for all other round cell sarcomas Dr.Aldrin Jerry
  • 50.
    Burkitt’s lymphoma • Age:childhood, rare-adults • Site: Maxilla, mandible Clinical features • African –swelling of infected jaw • Loosing of teeth • Lymphadenopathy Etiology • t(8;14)(q24;q32) • HIV, • EBV Dr.Aldrin Jerry
  • 51.
    Histopathology: Low power,numerous pale macrophages producing a “starry sky” appearance. High power, tumor cells have multiple small nucleoli and high mitotic index. The lack of significant variation in nuclear shape and size lends a monotonous appearance Enzinger and Weiss SW, Goldblum JR. Soft tissue tumors. 5th edition Dr.Aldrin Jerry
  • 52.
    • IHC=CD45, CD20 Dr.Aldrin Jerry
  • 53.
    Hogdkin’s lymphoma Age: Bimodal;young (15-34yrs), Older (>55yrs) Clinical features: Painless- cervical lymphadenopathy Site: Usually extranodal, Axilla, Waldeyer ring Mandible & overlying alveolar mucosa Etiology - HIV, EBV Dr.Aldrin Jerry
  • 54.
    Enzinger and WeissSW, Goldblum JR. Soft tissue tumors. 5th edition Dr.Aldrin Jerry
  • 55.
    Enzinger and WeissSW, Goldblum JR. Soft tissue tumors. 5th editionDr.Aldrin Jerry
  • 56.
    • IHC= CD15, CD 30 Dr.Aldrin Jerry
  • 57.
    SQUAMOUS CELL CARCINOMA(POORLY DIFFERENTIATED) • Etiology: Tobacco, alcohol, radiation, immunosuppression, malnutrition etc • Site :base of tongue, floor of mouth, buccal mucosa, lips, gingiva • Painless, indurated masses or ulcers with everted margins • IHC – cytokeratin: +ve; HMB 45 & S100: -ve Dr.Aldrin Jerry
  • 58.
    Histology: -Sheets of cells -Pleomorphism& hyperchromatism with many mitotic figures • - Squamous cell carcinoma (poorly differentiated) Dr.Aldrin Jerry
  • 59.
    MALIGNANT MELANOMA (SMALLCELL VARIANT) • Variant of Melanoma • Skin,UV • Head & neck- sinonasal tract, oral cavity • Age: above 40yrs • Brown, bluish polypoid masses Dr.Aldrin Jerry
  • 60.
    Neville. Oral andmaxillofacial pathology 1st south asia editionDr.Aldrin Jerry
  • 61.
    Histological: •small cells, hyperchromasia, prominentnucleoli, and a large nuclear to cytoplasmic ratio •IHC – HMB 45 & S100 +ve; cytokeratin: -ve Enzinger and Weiss SW, Goldblum JR. Soft tissue tumors. 5th edition Dr.Aldrin Jerry
  • 62.
    LESION ORGIN HISTOPATHOLOGYIHC EWING’S SARCOMA Neural ectoderm Monotonous proliferation in sheets or lobular CD 99,NSE,AE1/AE3 PRIMITIVE NEUROECTODERMAL TUMOR Neural ectoderm Homer Wright Rosettes CD 99, NSE, S-100, synaptophysin,chromogranin (any 2 makers) MERKEL CELL CARCINOMA Neuroendocrine Psedoglandular, Trabecular, Cribriform (swiss cheese) and Sheets CK 20, EMA and AE1-AE3, NSE, chromogranin, synaptophysin OLFACTORY NEUROBLASTOMA Neuro ectodermal Sheets, Lobular, Homer Wright Rosette, Psedorosette Dr.Aldrin Jerry
  • 63.
    Conclusion Round-cell lesion certainlyrepresent the model of how the integration of different diagnostic tools (morphology, immunohistochemistry, molecular genetics) may impact on the accurate diagnosis and classification of tumours. Dr.Aldrin Jerry

Editor's Notes