PRESENTER – Dr. R.P.RAGHAVENDRA RAJU
DEFINITION
 Osteoporosis is a systemic skeletal disease
characterized –
 1. low bone density
 2. a micro- architecture deterioration of bone
tissue
 3. that enhances bone fragility
 4. increases the risk of fracture
Osteoporosis by WHO
BMD 2.5 SD or more below the mean for young healthy
adult of same gender(T-score at or below -2.5).
Epidemiology
 1 in 3 women over 50 years suffer from osteoporosis.
 1 in 5 men over 50 years suffer from osteoporosis.
 15% - 30% men and 30%- 50% women suffer fractures
related to osteoporosis in their life time.
 Peak incidence-
western – 70 – 80 years
india – 50 – 60 years
In women it isThree times more common
than men
1.low peak bone mass (PBM)
2.hormonal changes at menopause
3.live longer than men
 vertebral #s and wrist #s more common in women
CONSTITUENTS OF BONE
CELLS
 1.OSTEOCYTES-
 Are mononuclear cells in mineralized matrix
 Under influence of PTH, participate in bone
resorption and calcium ion transport.
 2.OSTEOBLASTS-
 Mesenchymal cells derived from marrow stromal cells.
 Responsible for mineralization of bone matrix.
 Resonsible for secretion of type 1 collagen and large
number of non collagenous bone proteins.
 3.OSTEOCLASTS-
 EXCLUSIVELY BONE RESORBING CELLS.
 Appear at sites of high bone turnover.
 Contain characteristic TRAP and carbonic anhydrase.
MATRIX
 Mainly consists of collagenous and non collagenous
matrix-
 A.TYPE 1 COLLAGEN-
 Forms a scaffold on which mineralization occurs.
 Produced by osteoblasts.
 Makes upto 80% of unmineralized bone matrix.
 B. NON COLLAGENOUS PROTEINS-
 Osteopontin, osteonectin, osteocalcin, alkaline phosphate
 Function is regulation of bone cells and matrix
mineralisation.
 C.BONE MORPHOGENIC PROTEINS-
 A collection of growth factor proteins.
 Important in inducing differentiation of progenitor cells.
 Used in treatment of bone defects, non unions , delayed
unions.
1.PEAK BONE MASS
2.BONE REMODELLING
1.Peak bone mass & Osteoporosis
 Peak bone mass is the maximum mass of bone achieved
by an individual at skeletal maturity, typically between
ages 25 and 35
 After peak bone mass is attained, both men and
women lose bone mass over the remainder of their
lifetimes
 Because of the subsequent bone loss, peak bone
mass is an important factor in the development of
osteoporosis 13
Determinants Of Peak Bone Mass
Peak Bone Mass
Physical activity Gonadal status
Nutritional statusGenetic factors
Peak Bone Mass in Women
10 20 30 40 50 60
•Women achieve lesser peak bone mass than men
15
BONE MODELLING AND
REMODELLING
 MODELLING- during growth, skeleton increases in
size by apposition of new bone tissue on outer surface
of cortex.
 REMODELLING- It is a cellular process of bone
activity by which both cortical and cancellous bone are
maintained.
 OSTEOPOROSIS results from bone loss due to age
related changes in bone remodelling as well as
extrinsic and intrinsic factors that exagerate this
process.
 Bone remodelling has two main functions-
 1.to repair micro damage within skeleton to maintain
skeletal strength.
 To supply calcium to maintain serum calcium levels.
RANK – RANKL RECEPTOR
PATHWAY FOR BONE
REMODELLING
 RANK L- the cytokine responsible for communication
between osteoblasts and other marrow cells and
osteoclasts.( receptor activated nuclear factor kappa
ligand)
 Secreted by osteoblats and certain cells of immune
system.
 RANK- receptor present on osteoclast.
 Activation of RANK by RANKL is final common
pathway for osteoclast differentiation and functioning.
 Osteoprotegerin is humoral decoy for RANK secreted
by osteoblasts.
Hormones & Growth factors regulating bone formation
Factor Target cells & tissue Effect
Interleukins
(IL-l, IL-3, lL-6, IL-ll)
Bone marrow, osteoclasts Stimulate osteoclast
formation & resorption
Tumor necrosis factor
(TNF-a) ;
Granulocyte macrophage
stimulating factor
(GM-CSF)
Osteoclasts Stimulates bone resorption
Leukemic inhibitory Factor Osteoblasts, osteoclasts Stimulates osteoblast and
Osteoclast formation in
marrow
Factor Target cells Effect
Parathyroid Hormone
(PTH)
Kidney & Bone Stimulate production of Vit-D &
helps resorption of calcium
Calcitonin Bone osteoclasts Inhibits resorptive action of
osteoclasts: lowers circulating
Calcium.
Calcitriol
(1.25-dihydroxy vit-D3)
Bone Osteoblasts
Bone Osteoclasts,
Kidney,
Intestine
-Stimulates collagen, osteopontin,
osteocalcin synthesis;
-stimulates cell differentiation;
-Stimulates Calcium retention
-Stimulates calcium absorption
Estrogen Bone Stimulates formation of calcitonin
receptors, inhibiting resorption,;
Stimulate bone formation
Testosterone Muscle, Bone Muscle growth, placing stress on
bone to stimulate bone formation
Prostaglandins Osteoclasts Stimulate resorption and bone
formation
Bone Morphogenic
protein
Mesenchyme Stimulate cartilage protein & bone
matrix formation; replication
CLASSIFICATION-
1.NORDIN – 1. generalized
2. localized
2. RIGGS AND MELTON-
a.Primary osteoporosis –type 1 post menopausal
type 2 senile
b.Secondary osteoporosis
Post-Menopausal Osteoporosis
 Caused by a lack of estrogens, which helps to
regulate, the incorporation of calcium into bone in
women.
 Lack of estrogen increased bone resorption
 AGE RELATED OSTEOPOROSIS
 Usually affects people over 70 y.
 Results from age-related calcium deficiency.
 There is decreased bone formation.
 Patients usually present with fractures of the hip and
the vertebrae.
23
SECONDARY OSTEOPOROSIS
CLINICAL FEATURES
 A/K SILENT DISEASE.
 Low back ache- usually mild.
 Loss of height
 KYPHOSIS
 Fractures- mc vertebral and hip.
Risk Factors for Fracture
(Major) with relative risk >2 (Minor) with relative risk 1-2
Age >70 Estrogen deficiency
Menopause <45 Calcium intake <500mg/day
Hypogonadism Primary hyperparathyroidism
Fragility fracture Rheumatoid arthritis
Hip fracture h/o in parents Hypercalciuria
Glucocorticoids Anticonvulsants
High bone turnover Diabetes mellitus
Anorexia nervosa Smoking
<18 BMI Alcohol
Immobilisation/sedentary life
Chr. Renal failure
Transplantation
Chronic Inflammatory diseases
DIFFERENTIAL DIAGNOSIS
 HYPERPARATHYROIDISM
 PAGETS DISEASE
 OSTEOMALACIA
 OSTEOGENESIS IMPERFECTA
 MULTIPLE MYELOMA
 SECONDARY TUMOURS
WORK UP FOR SECONDARY
OSTEOPOROSIS
X-ray
 Post menopausal osteoporosis :Trabecular resorption
and cortical resorption
 Senile osteoporosis: Endosteal resorption
 Hyperparathyroidism: Sub periosteal resorption
 Note: Osteoporosis produces increased radiolucency
of vertebral bone. Approximately 30 to 80 per cent of
bone tissue must be lost before a recognizable
abnormality can be detected on spinal radiographs.
INDICATIONS FOR VERTEBRAL
IMAGING
1.ALL WOMEN AGE 70 AND OLDER AND ALL MEN
AGE 80 AND OLDER IF BMD T SCORE AT THE
SPINE, TOTAL HIP OR FEMORAL NECK IS <-1.0
2.WOMEN AGE 65 TO 69 YEARS AND MEN AGE 70 TO
79 IF BMD T SCORE AT THE SPINE, TOTAL HIP OR
FEMORAL NECK <-1.5
3.POSTMENOPAUSAL WOMEN AND MEN AGE 50 AND
OLDER WITH SPECIFIC RISK FACTORS LIKE
A.LOW TRAUMA FRACTURE DURING ADULTHOOD{AGE
50}
B.HISTORICAL HEIGHT LOSS OF 1.5 INCHES OR
MORE{4cm}
C.PROSPECTIVE HEIGHT LOSS OF 0.8INCHES OR
MORE{2cms}
D.RECENT OR ONGOING LONG TERM
GLUCOCORTICOID TRATMENT
CONVENTIONAL RADIOGRAPHY
 LS SPINE-
 Generalized osteopenia
 Thining and accentuation of cortex
 Accentuation of primary trabeculae and thinning of
secondary trabaculae.
 Vertically striated appearance vertebral body.
KLEER KOPER score
 Osteoporosis produces increased radiolucency of vertebral bone.
Approximately 30 to 80 per cent of bone tissue must be lost before a
recognizable abnormality can be detected on spinal radiographs. Lesions less
than 2cm may escape detection.
HIP X RAY
 Disadvantages-
 Subjective
 Affected by body habitus , exposure, positioning.
 >30% bone loss should be present.
INDICATIONS FOR BMD TESTING
 In women age 65 and older and men age 70 and older
 In postmenopausal women and men above age 50–69,
based on risk factor profile
 In postmenopausal women and men age 50 and older
who have had an adult age fracture, to diagnose and
determine degree of osteoporosis
 At dual-energy X-ray absorptiometry (DXA) facilities
using accepted quality assurance measures
Sites of measurement are the spine, the hip, calcaneum
and the wrists.
DEXA SCAN
 Commercially introduced in 1987.
 Principle – 2 x ray of 70Kv and 140kv are fired on site of
measurement with lag time 0f 4ms.
 Detector detects accentuation of 2 beams.
 Data is fed into computer powered with complex
algorithm and calculates BMD.
 SITES-
 Central dexa- lumbar spine, hip, whole body.
 Peripheral dexa- forearm , calcaneum.
 CONTRAINDICATIONS-
 PREGNANCY.
 RECENT ADMINISTRATION OF CONTRAST.
AGENT,NUCLEAR MEDICINE SCAN.
 RADIOPAQUE IMPLANT IN MEASUREMENT AREA.
 MARKED OBESITY.
BONE TURN OVER MARKERS
BIOCHEMICAL MARKERS OF BONE
TURNOVER
1.PREDICT THE RISK OF FRACTURE
INDEPENDENTLY OF BONE DENSITY IN
UNTREATED PATIENTS
2.PREDICT RAPIDITY OF BONE LOSS IN UNTREATED
PATIENTS
3.PREDICT EXTENT OF FRACTURE RISK REDUCTION
WHEN REPEATED AFTER 3-6 MONTHS OF
TREATMENT WITH FDA APPROVED THERAPIES
4.PREDICT MAGNITUDE OF INCREASE IN BMD
WITH FDA APPROVED THERAPIES
5.HELP DETERMINE DURATION OF DRUG HOLIDAY
AND WHEN AND IF MEDICATION SHOULD BE
RESTARTED
WHO FRAX SORING TOOL
 A web based algorithm designed to calculate the 10
year probability of major osteoporosis related fracture
based on clinical risk factors and BMD.
 Results evaluated are given in % of risk of patient
developing fracture in next 10 years.
FRAX
 Following assessment of fracture risk using FRAX, the
patient can be classified according to the NOGG
intervention thresholds: -
 Low risk – reassure, give lifestyle advice and reassess in
≤5 years depending on the clinical context.
 Intermediate risk - measure BMD and recalculate the
fracture risk to determine whether the individual's
risk lies above or below the intervention threshold.
 –
 High risk - can be considered for treatment without
the need for BMD, although BMD measurement may
sometimes be appropriate, particularly in younger
postmenopausal women -
 Recalculate- after a minimum of 2 years if the original
calculated risk was in the region of the intervention
threshold or if the individual’s risk factors
1.NON
PHARMACOLOGICAL –
PREVENTION OF
OSTEOPOROSIS AND
OSTEOPOROTIC
FARCTURE.
A.NUTRITION
B.LIFE STYLE
MODIFICATIONS
C.PREVENTION OF
FALL
D.HIP PROTECTORS
2. BASIC THERAUPETIC
MEASURES
A. VIT D AND
CALCIUM
SUPPLEMENTATIO
N
B. ESTEROGEN AND
HRT
3.ANTI RESORBTIVE
AGENTS
A.CALCITONIN
B. BISPHOSHPHANTES
C.SERM
D.DONESUMAB
4. DRUGS STIMULATE
BONE FORMATION
A.SODIUM FLOURIDE
B.EXOGENOUS PTH
C.VIT D ANALOGUES
5. DRUGS WITH DUAL
ACTION
A.STRONTIUM
RANELATE
2.LIFESTYLE MODIFICATIONS-
a.Physical activity-weight bearing and muscle
strengthing exercises.
Exercise improves bone strength by 30%to 50%.
Exercise should be life long.
b.Cessation of smoking,alcohol,high caffeine intake.
c.Adequate sunexposure
Prevention of falls
 a. Exercises like balance training, lower limb
strengthing exercises
 b. Correction of sensory impairment like
correction of low vision and hearing impairments
 c. Reduce environmental hazards
 d. Appropriate reduction of medications
 e. Education of individual in behavior strategies
4.HIP PROTECTORS-PREVENT DIRECT IMPACT ON
PELVIS.
1.Energy absorption type
2.Energy shunting types
3.Crash helmet type
4.Airbag type
 Men age 50–70 should consume 1000 mg/day of
calcium.
 Women age 51 and older and men age 71 and older
consume 1200 mg/day of calcium.
 Intakes in excess of 1200 to 1500 mg/day may increase
the risk of developing kidney stones, cardiovascular
disease, and stroke.
PHARMACOLOGICAL PREVENTION
OF OSTEOPOROSIS
VIT D
 800 to 1000 international units (IU) of vitamin D per day
for adults age 50 and older.
 Treatment of vitamin D deficiency-
Adults should be treated with 50,000 IU once a week or the
equivalent daily dose (7000 IU vitamin D2 or vitamin D3)
for8–12 weeks to achieve a 25(OH)D blood level of
approximately 30 ng/ml.
This regimen should be followed by
maintenance therapy of 1500–2000 IU/day.
Pharmacologic therapy
 All patients being considered for treatment of
osteoporosis should also be counseled on risk factor
reduction including the importance of calcium,
vitamin D, and exercise as part of any treatment
program for osteoporosis.
 Prior to initiating treatment, patients should be
evaluated for secondary causes of osteoporosis and
have BMD measurements by central DXA, when
available, and vertebral imaging studies when
appropriate.
 Biochemical marker levels should be obtained if
monitoring of treatment effects is planned.
Who should be considered for
treatment?
Postmenopausal women and men age 50 and older
presenting with the following should be considered-
 A hip or vertebral fracture (clinically apparent or found
on vertebral imaging).
 T-score ≤−2.5 at the femoral neck, total hip, or lumbar
spine.
 Low bone mass (T-score between −1.0 and −2.5 at the
femoral neck or lumbar spine)
 a 10-year probability of a hip fracture ≥3 % or a 10-year
probability of a major osteoporosis-related fracture
≥20 %.
Bisphosphonates
 Are analogues of pyrophosphates.
 MOA- attach to bone remodelling sites.
 Cause apoptosis of osteoclasts by by disrupting
cytoskeleton.
 Alendronate-
 prevention -5 mg daily and 35 mg weekly tablets.
 treatment -10 mg daily tablet, 70 mg weekly tablet,
70 mg weekly tablet.
 Alendronate is also used in treatment of osteoporosis
in men and women taking glucocorticoids.
 Ibandronate-
 Treatment-150 mg monthly tablet and 3 mg every
3 months by intravenous injection.
 Risedronate-
 prevention and treatment -5 mg daily tablet; 35 mg
weekly tablet ,150 mg monthly tablet.
 Zoledronic acid
 prevention and treatment -5 mg by intravenous
infusion over at least 15 min once yearly for treatment
and once every 2 years for prevention.
 Drug administration-
 Oral tablets should be taken early morning on empty
stomach, 6o mins before breakfast ,and patient should
sit upright for 1 hr.
 Ibandronate, 3 mg/3 ml prefilled syringe, is given by
intravenous injection over 15 to 30 s. Serum creatinine
should be checked before each injection.
 Zoledronic acid, 5 mg in 100 ml is given by intravenous
infusion over at least 15 min.
 Patients should be well hydrated and may be pre-
treated with acetaminophen to reduce the risk of an
acute phase reaction (arthralgia, headache, myalgia,
fever).
Drug safety
 Side effects for all oral bisphosphonates
gastrointestinal problems such as difficulty swallowing
and oesophagitis and gastritis.
 All bisphosphonates are contraindicated in patients
with estimated GFR below 30–35 ml/min.
 osteonecrosis of the jaw (ONJ) can occur with long-
term use of bisphosphonates (>5year).
 Although rare, low-trauma atypical femur fractures
may be associated with the long-term use of
bisphosphonates (e.g., >5 years of use).
Calcitonin
 Treatment of osteoporosis in women who are at least
5 years postmenopausal when alternative treatments
are not suitable.
 200 IU delivered as a single daily intranasal spray.
 Intranasal calcitonin can cause rhinitis, epistaxis, and
allergic reactions.
 Very small increase in the risk of certain cancers.
E. HORMONE REPLACEMENT THERAPHY-
Esterogen with or without progestin is used.
Also relieves symptoms of postmenopausal symptoms,
vulvovaginal atrophy.
Dose-0.625mg daily.
Routes –oral,transdermal
Side effects- increased incidence of coronary heart
disease events, strokes, pulmonary embolisms, and
invasive breast cancers
 The overall health risks from estrogen exceeds the
benefits from use.
PTH, teriparatide
 Teriparatide is approved for the treatment of
osteoporosis in postmenopausal women and men at
high risk for fracture.
 It is also approved for treatment in men and women at
high risk of fracture with osteoporosis associated with
sustained systemic glucocorticoid therapy.
 DOSE-20 μg daily subcutaneous injection.
 Duration not to exceed 18 to 24 months.
 When treatment is stopped, bone loss can be rapid
and alternative agents should be considered to
maintain BMD.
 SIDE EFFECTS- leg cramps, nausea, and dizziness.
 CONTRA INDICATIONS-increased risk of
osteosarcoma (e.g., Paget’s disease prior radiation
therapy of the skeleton), bone metastases,
hypercalcemia, or a history of skeletal malignancy.
F.SERMS-used for both prevention and treatment of
osteoporosis.
RALOXIFENE-60mg/day.
Side effects-increased risk of DVT,hot flushes,leg
cramps.
G.DONESUMAB[RANKL INHIBITOR]-
Dose-60mg/6months S.C
Used in postmenopausal women.
Side effects-hypocalcemia , cellulitis ,skin rash.
H.Tissue selective esterogen complex- Bazedoxifene.
Progesterone can be avoided.
Only for postmenopausal women who are not
undergone hysterectomy.
PREVENTATION TREATMENT
Calcium 500mg to 1500 mg 1000 to 1500
Vit – D 400IU 400IU – 800IU
Bi phosphonates
1. Alendronate 5mg/day 10mg/day
2. Ibandronate - 150mg/month
3. Rsidronate - 5mg/day
4. Zolendronic acid 5mg/2 year 5mg/ 1 year
SERMS
Rolaxifen 5mg/day 10mg/day
Calcitonin 200 IU 200IU
Parathyroid harmone 20ug/d 20-40ug/d
Donesumab - 60mg/6 months
NON FDA APPROVED DRUGS-
1.SODIUM FLUORIDE
2.STRONTIUM
3.CALCITRIOL
4.TIBOLONE
5.GENISTEIN
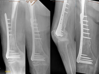
Role of Orthopaedicians &surgical
management
 The goals of surgical treatment of osteoporotic
fractures include
 rapid mobilization and return to normal function
and activities
 Avoid too much manipulations
 Progressive physio therapy
VERTEBRAL FRACTURES
 Vertebroplasty to reduce vertebral fracture–associated
pain
 Kyphoplasty to restore height or to treat the deformity
associated with osteoporotic vertebral fractures
 Progressive vertebral collapse or
deformity-pedicle scrwe fixation
CHOICE OF IMPLANTS
by bending load
PULLOUT OF REGULAR
SCREWS
Slide 83
RESISTANCE AGAINST BENDING
LOAD
Slide 84
UNI- VS. BICORTICAL SCREW FIXATION
female
Slide 85
Thin cortices: choose screw diameter as large as
possible
Slide 86
FAILURE WITH UNICORTICAL SCREWS
10 months
postop.
5 days later
Slide 87
+6%
+18%
+36%
0
100
200
300
400
500
600
Load (N)
4.5 mm
Cortex,
bicortical
5.0 mm
Locking,
bicortical
4.0 mm
Locking,
bicortical
4.0 mm Locking,
unicortical
BIOMECHANICS: NORMAL BONE
Slide 88
+17%
+82% +91%
0
100
200
300
400
500
600
Load (N)
4.5 mm
Cortex,
bicortical
5.0 mm
Locking,
bicortical
4.0 mm
Locking,
bicortical
4.0 mm
Locking,
unicortical
BIOMECHANICS:
OSTEOPENIC BONE
Slide 89
OSTEOPOROTIC TRABECULAR
BONE:
CLINICAL CONSEQUENCES
 Cut out
 Loss of screw fixation
 Spontaneous fractures
Slide 90
Augmentation to Improve Screw Fixation
Enlarges the bone implant surface area
NOT FDA APPROVED!Slide 91
If bone is very poor, consider
prosthetic replacement
Slide 93
DON’T FORGET THE SOFT
TISSUES
The wound must heal also
Skin is also 98 years old
Slide 94
TAKE-HOME MESSAGES
 Age & bone quality affect cortical and trabecular bone
in different ways
 Absolute stability often not possible
 Principles of fixation:
 Angular stability
 Fracture reduction
 Long bridging plates
 Enlarged surface area of implant / bone
 Augmentation
 Prosthetic replacement
Slide 95
Latest in Osteoporosis Treatment
 1.Carotenoids, Lycopene Reduce Fracture Risk
(Antioxidants)
“…reactive oxygen intermediates may be involved in the bone-
resorptive process and that fruit and vegetable-specific
antioxidants, such as carotenoids, are capable of decreasing
this oxidative stress. Therefore carotenoids may help in
preventing osteoporosis.
In particular, an inverse relation of carotenoids and lycopene
with biochemical markers of bone turnover has recently
been demonstrated.”
J Bone Miner Res. 2009 Jun;24(6):1086-94.
 2.Omega-3 Fatty Acids Reduce hs-CRP1
 “This study provides evidence that in healthy individuals,
plasma n-3 fatty acid concentration is inversely related to
hs-CRP…”
 “High sensitivity C-reactive protein (hs-CRP) is a marker of
low grade sustained inflammation.”
 “Increased hs-CRP by just 1SD increases fracture risk by an
amazing 23 percent2.”
 Consider supplementing the diet with omega-3 fatty acids
(fish oil). They’re a great way to help reduce
inflammation, hs-CRP, cardiovascular disease, and
fractures related to osteoporosis.
1. Micallef M A et al., European Journal of Clinical Nutrition, 2009; April 8 [Epub ahead of print].
2. Pasco et al. JAMA. 2006;296(11):1353-1355
 3.Vitamin K Improves Bone Strength and Reduces
Fractures
 Review of RCTs showed that vitamin K(1) and vitamin K(2)
supplementation reduced serum undercarboxylated
osteocalcin levels regardless of dose but that it had
inconsistent effects on serum total osteocalcin levels and no
effect on bone resorption.”
Iwamoto J et al., Nutrition Research, 2009; 29(4): 221-228.
Osteoporosis my ppt

Osteoporosis my ppt

  • 1.
    PRESENTER – Dr.R.P.RAGHAVENDRA RAJU
  • 2.
    DEFINITION  Osteoporosis isa systemic skeletal disease characterized –  1. low bone density  2. a micro- architecture deterioration of bone tissue  3. that enhances bone fragility  4. increases the risk of fracture
  • 3.
    Osteoporosis by WHO BMD2.5 SD or more below the mean for young healthy adult of same gender(T-score at or below -2.5).
  • 4.
    Epidemiology  1 in3 women over 50 years suffer from osteoporosis.  1 in 5 men over 50 years suffer from osteoporosis.  15% - 30% men and 30%- 50% women suffer fractures related to osteoporosis in their life time.  Peak incidence- western – 70 – 80 years india – 50 – 60 years
  • 6.
    In women itisThree times more common than men 1.low peak bone mass (PBM) 2.hormonal changes at menopause 3.live longer than men  vertebral #s and wrist #s more common in women
  • 7.
  • 8.
    CELLS  1.OSTEOCYTES-  Aremononuclear cells in mineralized matrix  Under influence of PTH, participate in bone resorption and calcium ion transport.  2.OSTEOBLASTS-  Mesenchymal cells derived from marrow stromal cells.  Responsible for mineralization of bone matrix.  Resonsible for secretion of type 1 collagen and large number of non collagenous bone proteins.
  • 9.
     3.OSTEOCLASTS-  EXCLUSIVELYBONE RESORBING CELLS.  Appear at sites of high bone turnover.  Contain characteristic TRAP and carbonic anhydrase.
  • 10.
    MATRIX  Mainly consistsof collagenous and non collagenous matrix-  A.TYPE 1 COLLAGEN-  Forms a scaffold on which mineralization occurs.  Produced by osteoblasts.  Makes upto 80% of unmineralized bone matrix.
  • 11.
     B. NONCOLLAGENOUS PROTEINS-  Osteopontin, osteonectin, osteocalcin, alkaline phosphate  Function is regulation of bone cells and matrix mineralisation.  C.BONE MORPHOGENIC PROTEINS-  A collection of growth factor proteins.  Important in inducing differentiation of progenitor cells.  Used in treatment of bone defects, non unions , delayed unions.
  • 12.
  • 13.
    1.Peak bone mass& Osteoporosis  Peak bone mass is the maximum mass of bone achieved by an individual at skeletal maturity, typically between ages 25 and 35  After peak bone mass is attained, both men and women lose bone mass over the remainder of their lifetimes  Because of the subsequent bone loss, peak bone mass is an important factor in the development of osteoporosis 13
  • 14.
    Determinants Of PeakBone Mass Peak Bone Mass Physical activity Gonadal status Nutritional statusGenetic factors
  • 15.
    Peak Bone Massin Women 10 20 30 40 50 60 •Women achieve lesser peak bone mass than men 15
  • 16.
    BONE MODELLING AND REMODELLING MODELLING- during growth, skeleton increases in size by apposition of new bone tissue on outer surface of cortex.  REMODELLING- It is a cellular process of bone activity by which both cortical and cancellous bone are maintained.
  • 17.
     OSTEOPOROSIS resultsfrom bone loss due to age related changes in bone remodelling as well as extrinsic and intrinsic factors that exagerate this process.  Bone remodelling has two main functions-  1.to repair micro damage within skeleton to maintain skeletal strength.  To supply calcium to maintain serum calcium levels.
  • 18.
    RANK – RANKLRECEPTOR PATHWAY FOR BONE REMODELLING  RANK L- the cytokine responsible for communication between osteoblasts and other marrow cells and osteoclasts.( receptor activated nuclear factor kappa ligand)  Secreted by osteoblats and certain cells of immune system.  RANK- receptor present on osteoclast.  Activation of RANK by RANKL is final common pathway for osteoclast differentiation and functioning.  Osteoprotegerin is humoral decoy for RANK secreted by osteoblasts.
  • 20.
    Hormones & Growthfactors regulating bone formation Factor Target cells & tissue Effect Interleukins (IL-l, IL-3, lL-6, IL-ll) Bone marrow, osteoclasts Stimulate osteoclast formation & resorption Tumor necrosis factor (TNF-a) ; Granulocyte macrophage stimulating factor (GM-CSF) Osteoclasts Stimulates bone resorption Leukemic inhibitory Factor Osteoblasts, osteoclasts Stimulates osteoblast and Osteoclast formation in marrow
  • 21.
    Factor Target cellsEffect Parathyroid Hormone (PTH) Kidney & Bone Stimulate production of Vit-D & helps resorption of calcium Calcitonin Bone osteoclasts Inhibits resorptive action of osteoclasts: lowers circulating Calcium. Calcitriol (1.25-dihydroxy vit-D3) Bone Osteoblasts Bone Osteoclasts, Kidney, Intestine -Stimulates collagen, osteopontin, osteocalcin synthesis; -stimulates cell differentiation; -Stimulates Calcium retention -Stimulates calcium absorption Estrogen Bone Stimulates formation of calcitonin receptors, inhibiting resorption,; Stimulate bone formation Testosterone Muscle, Bone Muscle growth, placing stress on bone to stimulate bone formation Prostaglandins Osteoclasts Stimulate resorption and bone formation Bone Morphogenic protein Mesenchyme Stimulate cartilage protein & bone matrix formation; replication
  • 22.
    CLASSIFICATION- 1.NORDIN – 1.generalized 2. localized 2. RIGGS AND MELTON- a.Primary osteoporosis –type 1 post menopausal type 2 senile b.Secondary osteoporosis
  • 23.
    Post-Menopausal Osteoporosis  Causedby a lack of estrogens, which helps to regulate, the incorporation of calcium into bone in women.  Lack of estrogen increased bone resorption  AGE RELATED OSTEOPOROSIS  Usually affects people over 70 y.  Results from age-related calcium deficiency.  There is decreased bone formation.  Patients usually present with fractures of the hip and the vertebrae. 23
  • 24.
  • 25.
    CLINICAL FEATURES  A/KSILENT DISEASE.  Low back ache- usually mild.  Loss of height  KYPHOSIS  Fractures- mc vertebral and hip.
  • 26.
    Risk Factors forFracture (Major) with relative risk >2 (Minor) with relative risk 1-2 Age >70 Estrogen deficiency Menopause <45 Calcium intake <500mg/day Hypogonadism Primary hyperparathyroidism Fragility fracture Rheumatoid arthritis Hip fracture h/o in parents Hypercalciuria Glucocorticoids Anticonvulsants High bone turnover Diabetes mellitus Anorexia nervosa Smoking <18 BMI Alcohol Immobilisation/sedentary life Chr. Renal failure Transplantation Chronic Inflammatory diseases
  • 28.
    DIFFERENTIAL DIAGNOSIS  HYPERPARATHYROIDISM PAGETS DISEASE  OSTEOMALACIA  OSTEOGENESIS IMPERFECTA  MULTIPLE MYELOMA  SECONDARY TUMOURS
  • 30.
    WORK UP FORSECONDARY OSTEOPOROSIS
  • 32.
    X-ray  Post menopausalosteoporosis :Trabecular resorption and cortical resorption  Senile osteoporosis: Endosteal resorption  Hyperparathyroidism: Sub periosteal resorption  Note: Osteoporosis produces increased radiolucency of vertebral bone. Approximately 30 to 80 per cent of bone tissue must be lost before a recognizable abnormality can be detected on spinal radiographs.
  • 33.
    INDICATIONS FOR VERTEBRAL IMAGING 1.ALLWOMEN AGE 70 AND OLDER AND ALL MEN AGE 80 AND OLDER IF BMD T SCORE AT THE SPINE, TOTAL HIP OR FEMORAL NECK IS <-1.0 2.WOMEN AGE 65 TO 69 YEARS AND MEN AGE 70 TO 79 IF BMD T SCORE AT THE SPINE, TOTAL HIP OR FEMORAL NECK <-1.5
  • 34.
    3.POSTMENOPAUSAL WOMEN ANDMEN AGE 50 AND OLDER WITH SPECIFIC RISK FACTORS LIKE A.LOW TRAUMA FRACTURE DURING ADULTHOOD{AGE 50} B.HISTORICAL HEIGHT LOSS OF 1.5 INCHES OR MORE{4cm} C.PROSPECTIVE HEIGHT LOSS OF 0.8INCHES OR MORE{2cms} D.RECENT OR ONGOING LONG TERM GLUCOCORTICOID TRATMENT
  • 35.
    CONVENTIONAL RADIOGRAPHY  LSSPINE-  Generalized osteopenia  Thining and accentuation of cortex  Accentuation of primary trabeculae and thinning of secondary trabaculae.  Vertically striated appearance vertebral body.
  • 36.
    KLEER KOPER score Osteoporosis produces increased radiolucency of vertebral bone. Approximately 30 to 80 per cent of bone tissue must be lost before a recognizable abnormality can be detected on spinal radiographs. Lesions less than 2cm may escape detection.
  • 37.
  • 38.
     Disadvantages-  Subjective Affected by body habitus , exposure, positioning.  >30% bone loss should be present.
  • 40.
    INDICATIONS FOR BMDTESTING  In women age 65 and older and men age 70 and older  In postmenopausal women and men above age 50–69, based on risk factor profile  In postmenopausal women and men age 50 and older who have had an adult age fracture, to diagnose and determine degree of osteoporosis  At dual-energy X-ray absorptiometry (DXA) facilities using accepted quality assurance measures
  • 41.
    Sites of measurementare the spine, the hip, calcaneum and the wrists.
  • 42.
    DEXA SCAN  Commerciallyintroduced in 1987.  Principle – 2 x ray of 70Kv and 140kv are fired on site of measurement with lag time 0f 4ms.  Detector detects accentuation of 2 beams.  Data is fed into computer powered with complex algorithm and calculates BMD.  SITES-  Central dexa- lumbar spine, hip, whole body.  Peripheral dexa- forearm , calcaneum.
  • 43.
     CONTRAINDICATIONS-  PREGNANCY. RECENT ADMINISTRATION OF CONTRAST. AGENT,NUCLEAR MEDICINE SCAN.  RADIOPAQUE IMPLANT IN MEASUREMENT AREA.  MARKED OBESITY.
  • 45.
  • 46.
    BIOCHEMICAL MARKERS OFBONE TURNOVER 1.PREDICT THE RISK OF FRACTURE INDEPENDENTLY OF BONE DENSITY IN UNTREATED PATIENTS 2.PREDICT RAPIDITY OF BONE LOSS IN UNTREATED PATIENTS 3.PREDICT EXTENT OF FRACTURE RISK REDUCTION WHEN REPEATED AFTER 3-6 MONTHS OF TREATMENT WITH FDA APPROVED THERAPIES
  • 47.
    4.PREDICT MAGNITUDE OFINCREASE IN BMD WITH FDA APPROVED THERAPIES 5.HELP DETERMINE DURATION OF DRUG HOLIDAY AND WHEN AND IF MEDICATION SHOULD BE RESTARTED
  • 48.
    WHO FRAX SORINGTOOL  A web based algorithm designed to calculate the 10 year probability of major osteoporosis related fracture based on clinical risk factors and BMD.  Results evaluated are given in % of risk of patient developing fracture in next 10 years.
  • 49.
  • 50.
     Following assessmentof fracture risk using FRAX, the patient can be classified according to the NOGG intervention thresholds: -  Low risk – reassure, give lifestyle advice and reassess in ≤5 years depending on the clinical context.  Intermediate risk - measure BMD and recalculate the fracture risk to determine whether the individual's risk lies above or below the intervention threshold.  –  High risk - can be considered for treatment without the need for BMD, although BMD measurement may sometimes be appropriate, particularly in younger postmenopausal women -
  • 51.
     Recalculate- aftera minimum of 2 years if the original calculated risk was in the region of the intervention threshold or if the individual’s risk factors
  • 53.
    1.NON PHARMACOLOGICAL – PREVENTION OF OSTEOPOROSISAND OSTEOPOROTIC FARCTURE. A.NUTRITION B.LIFE STYLE MODIFICATIONS C.PREVENTION OF FALL D.HIP PROTECTORS 2. BASIC THERAUPETIC MEASURES A. VIT D AND CALCIUM SUPPLEMENTATIO N B. ESTEROGEN AND HRT 3.ANTI RESORBTIVE AGENTS A.CALCITONIN B. BISPHOSHPHANTES C.SERM D.DONESUMAB 4. DRUGS STIMULATE BONE FORMATION A.SODIUM FLOURIDE B.EXOGENOUS PTH C.VIT D ANALOGUES 5. DRUGS WITH DUAL ACTION A.STRONTIUM RANELATE
  • 55.
    2.LIFESTYLE MODIFICATIONS- a.Physical activity-weightbearing and muscle strengthing exercises. Exercise improves bone strength by 30%to 50%. Exercise should be life long. b.Cessation of smoking,alcohol,high caffeine intake. c.Adequate sunexposure
  • 56.
    Prevention of falls a. Exercises like balance training, lower limb strengthing exercises  b. Correction of sensory impairment like correction of low vision and hearing impairments  c. Reduce environmental hazards  d. Appropriate reduction of medications  e. Education of individual in behavior strategies
  • 57.
    4.HIP PROTECTORS-PREVENT DIRECTIMPACT ON PELVIS. 1.Energy absorption type 2.Energy shunting types 3.Crash helmet type 4.Airbag type
  • 58.
     Men age50–70 should consume 1000 mg/day of calcium.  Women age 51 and older and men age 71 and older consume 1200 mg/day of calcium.  Intakes in excess of 1200 to 1500 mg/day may increase the risk of developing kidney stones, cardiovascular disease, and stroke. PHARMACOLOGICAL PREVENTION OF OSTEOPOROSIS
  • 59.
    VIT D  800to 1000 international units (IU) of vitamin D per day for adults age 50 and older.  Treatment of vitamin D deficiency- Adults should be treated with 50,000 IU once a week or the equivalent daily dose (7000 IU vitamin D2 or vitamin D3) for8–12 weeks to achieve a 25(OH)D blood level of approximately 30 ng/ml. This regimen should be followed by maintenance therapy of 1500–2000 IU/day.
  • 60.
    Pharmacologic therapy  Allpatients being considered for treatment of osteoporosis should also be counseled on risk factor reduction including the importance of calcium, vitamin D, and exercise as part of any treatment program for osteoporosis.  Prior to initiating treatment, patients should be evaluated for secondary causes of osteoporosis and have BMD measurements by central DXA, when available, and vertebral imaging studies when appropriate.  Biochemical marker levels should be obtained if monitoring of treatment effects is planned.
  • 61.
    Who should beconsidered for treatment? Postmenopausal women and men age 50 and older presenting with the following should be considered-  A hip or vertebral fracture (clinically apparent or found on vertebral imaging).  T-score ≤−2.5 at the femoral neck, total hip, or lumbar spine.  Low bone mass (T-score between −1.0 and −2.5 at the femoral neck or lumbar spine)  a 10-year probability of a hip fracture ≥3 % or a 10-year probability of a major osteoporosis-related fracture ≥20 %.
  • 62.
    Bisphosphonates  Are analoguesof pyrophosphates.  MOA- attach to bone remodelling sites.  Cause apoptosis of osteoclasts by by disrupting cytoskeleton.
  • 63.
     Alendronate-  prevention-5 mg daily and 35 mg weekly tablets.  treatment -10 mg daily tablet, 70 mg weekly tablet, 70 mg weekly tablet.  Alendronate is also used in treatment of osteoporosis in men and women taking glucocorticoids.
  • 64.
     Ibandronate-  Treatment-150mg monthly tablet and 3 mg every 3 months by intravenous injection.  Risedronate-  prevention and treatment -5 mg daily tablet; 35 mg weekly tablet ,150 mg monthly tablet.
  • 65.
     Zoledronic acid prevention and treatment -5 mg by intravenous infusion over at least 15 min once yearly for treatment and once every 2 years for prevention.  Drug administration-  Oral tablets should be taken early morning on empty stomach, 6o mins before breakfast ,and patient should sit upright for 1 hr.
  • 66.
     Ibandronate, 3mg/3 ml prefilled syringe, is given by intravenous injection over 15 to 30 s. Serum creatinine should be checked before each injection.  Zoledronic acid, 5 mg in 100 ml is given by intravenous infusion over at least 15 min.  Patients should be well hydrated and may be pre- treated with acetaminophen to reduce the risk of an acute phase reaction (arthralgia, headache, myalgia, fever).
  • 67.
    Drug safety  Sideeffects for all oral bisphosphonates gastrointestinal problems such as difficulty swallowing and oesophagitis and gastritis.  All bisphosphonates are contraindicated in patients with estimated GFR below 30–35 ml/min.  osteonecrosis of the jaw (ONJ) can occur with long- term use of bisphosphonates (>5year).  Although rare, low-trauma atypical femur fractures may be associated with the long-term use of bisphosphonates (e.g., >5 years of use).
  • 68.
    Calcitonin  Treatment ofosteoporosis in women who are at least 5 years postmenopausal when alternative treatments are not suitable.  200 IU delivered as a single daily intranasal spray.  Intranasal calcitonin can cause rhinitis, epistaxis, and allergic reactions.  Very small increase in the risk of certain cancers.
  • 69.
    E. HORMONE REPLACEMENTTHERAPHY- Esterogen with or without progestin is used. Also relieves symptoms of postmenopausal symptoms, vulvovaginal atrophy. Dose-0.625mg daily. Routes –oral,transdermal
  • 70.
    Side effects- increasedincidence of coronary heart disease events, strokes, pulmonary embolisms, and invasive breast cancers  The overall health risks from estrogen exceeds the benefits from use.
  • 71.
    PTH, teriparatide  Teriparatideis approved for the treatment of osteoporosis in postmenopausal women and men at high risk for fracture.  It is also approved for treatment in men and women at high risk of fracture with osteoporosis associated with sustained systemic glucocorticoid therapy.  DOSE-20 μg daily subcutaneous injection.  Duration not to exceed 18 to 24 months.
  • 72.
     When treatmentis stopped, bone loss can be rapid and alternative agents should be considered to maintain BMD.  SIDE EFFECTS- leg cramps, nausea, and dizziness.  CONTRA INDICATIONS-increased risk of osteosarcoma (e.g., Paget’s disease prior radiation therapy of the skeleton), bone metastases, hypercalcemia, or a history of skeletal malignancy.
  • 73.
    F.SERMS-used for bothprevention and treatment of osteoporosis. RALOXIFENE-60mg/day. Side effects-increased risk of DVT,hot flushes,leg cramps.
  • 74.
    G.DONESUMAB[RANKL INHIBITOR]- Dose-60mg/6months S.C Usedin postmenopausal women. Side effects-hypocalcemia , cellulitis ,skin rash.
  • 75.
    H.Tissue selective esterogencomplex- Bazedoxifene. Progesterone can be avoided. Only for postmenopausal women who are not undergone hysterectomy.
  • 76.
    PREVENTATION TREATMENT Calcium 500mgto 1500 mg 1000 to 1500 Vit – D 400IU 400IU – 800IU Bi phosphonates 1. Alendronate 5mg/day 10mg/day 2. Ibandronate - 150mg/month 3. Rsidronate - 5mg/day 4. Zolendronic acid 5mg/2 year 5mg/ 1 year SERMS Rolaxifen 5mg/day 10mg/day Calcitonin 200 IU 200IU Parathyroid harmone 20ug/d 20-40ug/d Donesumab - 60mg/6 months
  • 77.
    NON FDA APPROVEDDRUGS- 1.SODIUM FLUORIDE 2.STRONTIUM 3.CALCITRIOL 4.TIBOLONE 5.GENISTEIN
  • 78.
    Role of Orthopaedicians&surgical management  The goals of surgical treatment of osteoporotic fractures include  rapid mobilization and return to normal function and activities  Avoid too much manipulations  Progressive physio therapy
  • 79.
    VERTEBRAL FRACTURES  Vertebroplastyto reduce vertebral fracture–associated pain  Kyphoplasty to restore height or to treat the deformity associated with osteoporotic vertebral fractures  Progressive vertebral collapse or deformity-pedicle scrwe fixation
  • 81.
  • 82.
    by bending load PULLOUTOF REGULAR SCREWS Slide 83
  • 83.
  • 84.
    UNI- VS. BICORTICALSCREW FIXATION female Slide 85
  • 85.
    Thin cortices: choosescrew diameter as large as possible Slide 86 FAILURE WITH UNICORTICAL SCREWS
  • 86.
  • 87.
    +6% +18% +36% 0 100 200 300 400 500 600 Load (N) 4.5 mm Cortex, bicortical 5.0mm Locking, bicortical 4.0 mm Locking, bicortical 4.0 mm Locking, unicortical BIOMECHANICS: NORMAL BONE Slide 88
  • 88.
    +17% +82% +91% 0 100 200 300 400 500 600 Load (N) 4.5mm Cortex, bicortical 5.0 mm Locking, bicortical 4.0 mm Locking, bicortical 4.0 mm Locking, unicortical BIOMECHANICS: OSTEOPENIC BONE Slide 89
  • 89.
    OSTEOPOROTIC TRABECULAR BONE: CLINICAL CONSEQUENCES Cut out  Loss of screw fixation  Spontaneous fractures Slide 90
  • 90.
    Augmentation to ImproveScrew Fixation Enlarges the bone implant surface area NOT FDA APPROVED!Slide 91
  • 92.
    If bone isvery poor, consider prosthetic replacement Slide 93
  • 93.
    DON’T FORGET THESOFT TISSUES The wound must heal also Skin is also 98 years old Slide 94
  • 94.
    TAKE-HOME MESSAGES  Age& bone quality affect cortical and trabecular bone in different ways  Absolute stability often not possible  Principles of fixation:  Angular stability  Fracture reduction  Long bridging plates  Enlarged surface area of implant / bone  Augmentation  Prosthetic replacement Slide 95
  • 95.
    Latest in OsteoporosisTreatment  1.Carotenoids, Lycopene Reduce Fracture Risk (Antioxidants) “…reactive oxygen intermediates may be involved in the bone- resorptive process and that fruit and vegetable-specific antioxidants, such as carotenoids, are capable of decreasing this oxidative stress. Therefore carotenoids may help in preventing osteoporosis. In particular, an inverse relation of carotenoids and lycopene with biochemical markers of bone turnover has recently been demonstrated.” J Bone Miner Res. 2009 Jun;24(6):1086-94.
  • 96.
     2.Omega-3 FattyAcids Reduce hs-CRP1  “This study provides evidence that in healthy individuals, plasma n-3 fatty acid concentration is inversely related to hs-CRP…”  “High sensitivity C-reactive protein (hs-CRP) is a marker of low grade sustained inflammation.”  “Increased hs-CRP by just 1SD increases fracture risk by an amazing 23 percent2.”  Consider supplementing the diet with omega-3 fatty acids (fish oil). They’re a great way to help reduce inflammation, hs-CRP, cardiovascular disease, and fractures related to osteoporosis. 1. Micallef M A et al., European Journal of Clinical Nutrition, 2009; April 8 [Epub ahead of print]. 2. Pasco et al. JAMA. 2006;296(11):1353-1355
  • 97.
     3.Vitamin KImproves Bone Strength and Reduces Fractures  Review of RCTs showed that vitamin K(1) and vitamin K(2) supplementation reduced serum undercarboxylated osteocalcin levels regardless of dose but that it had inconsistent effects on serum total osteocalcin levels and no effect on bone resorption.” Iwamoto J et al., Nutrition Research, 2009; 29(4): 221-228.