NERRS: Women’s Imaging
        April 5, 2013


Panel of Unknown Cases
        Tejas S. Mehta MD MPH
     Assistant Professor of Radiology
          Chief, Breast Imaging
Dr. Yiming Gao
HISTORY
• 61 yo female
• Strong family history of breast and ovarian
  cancer
• Presents for routine screening
  mammography
• What is the abnormality?

• What is your differential diagnosis?

• What are your recommendations?
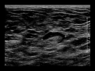
Dr. Vandana Dialani
HISTORY
• 65 yo female
• Presents from OSH with worsening ‘left
  breast swelling’ for 8-9 months
• New 1 month history of ‘change in left
  nipple’
Current Bilateral Mammogram




RCC      LCC             RMLO       LMLO
Current and Comparison Left Breast MGs




4 YRS PRIOR               CURRENT              4 YRS PRIOR
US retroareolar region




                         US Left upper outer breast
• What are the findings?

• What would you do next?
• What are the findings?

• What is your differential diagnosis?

• What are your recommendations?
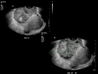
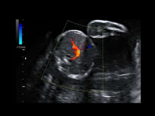
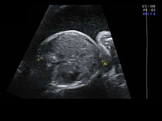
Dr. Ana Lourenco
HISTORY
• 36 yo female 30.5 weeks pregnant
• Referred with ‘multiple fetal anomalies’ for
  fetal ultrasound
LUS – Cephalic
POSTNATAL BABYGRAM
• What are the findings?

• What is the diagnosis?
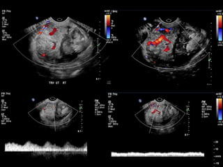
Dr. Anne Silas
HISTORY
• 40 yo female 8.5 weeks pregant
• S/P D&C for pregnancy implanted at site of
  c-section scar
• 6 weeks post D&C patient presents with
  heavy persistent bleeding
• For Pelvic US
• HCG = 451 mIU/mL
• What are the findings?

• What is the differential diagnosis?

• What are your recommendations?
• What is the diagnosis?

• What is the treatment?
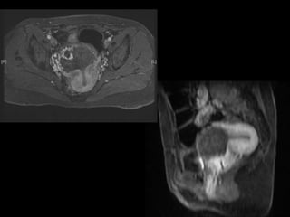
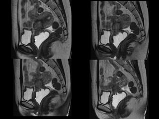
Dr. Hedvig Hricak
HISTORY
•   42 yo female
•   Recent immigrant from China
•   C/O postcoital and intermenstrual bleeding
•   Abnormal GYN exam
•   Abnormal biopsy
•   Further imaging performed
• What is the diagnosis?

• Staging?

NERRS Women's Imaging 2013