Embed presentation










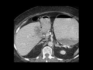
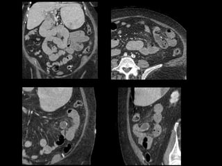
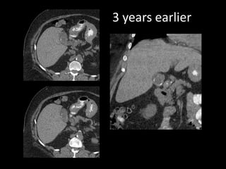
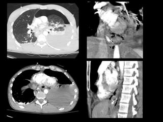
This document describes four patient cases seen by different doctors, including a 72-year-old female with abdominal pain, a 42-year-old female with abdominal pain and bloody diarrhea, a 37-year-old male with chest pain and vomiting of digested blood, and a 67-year-old male with an abnormal heart ultrasound.









