Navigating the
Complexities of
Diabetic Retinopathy
Mohamed ELShafie
Lecturer of ophthalmology
Harvard Medical School Almuni
Director of training unit
Diabetic Retinopathy
Classification
Reproducible, Well validated,
and are Robust in Prediction of important
outcomes
Limitations
• Rely only on 7 standard field photographs (30% of the retina)
• DR classification system prognosticates the risk of progression to PDR and does not effectively
Ultra-Wide Field Imaging
ü Images of up to 200º of the retina (80%).
ü Screening
• May not require mydriasis
• 133º-200º with 1 single image (vs. 30º-50º standard cameras).
ü UWF imaging vs 7 ETDRS fields
à15% greater DR stage
ü Predominantly peripheral lesions
• >50% of lesions outside 7 ETDRS fields
• X 3.2 progression of 2 steps DR
• X 4.7 progression into PROLIFERATIVE DR
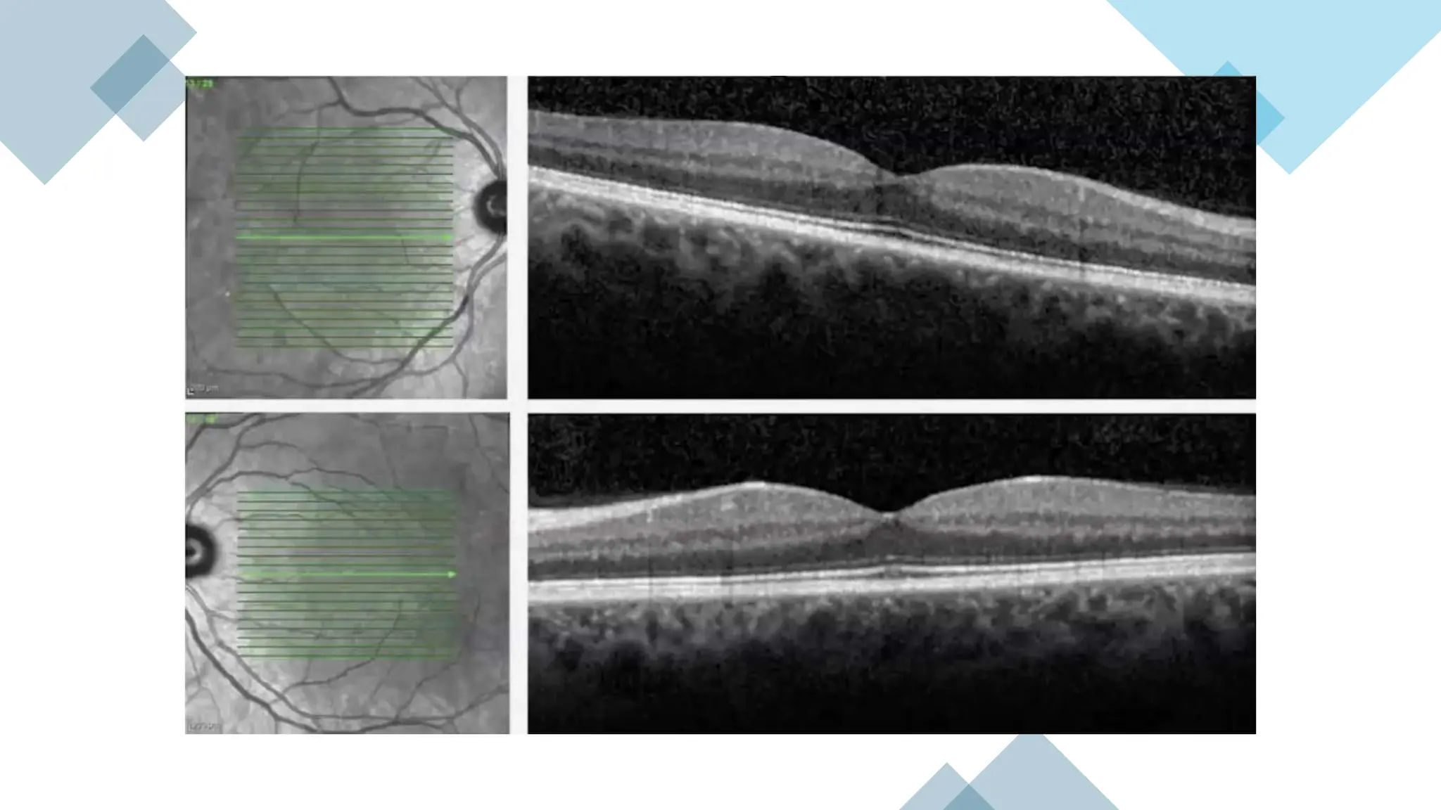
Diabetic Maculopathy
Classification
OCT-based classification
• Depending on the morphology of the edema (E)
• E1: diffuse thickening (spongiform) without cysts
• E2: cystic thickening
• E3: detachment of the neuroepithelium
• Depending on the existence of vitreomacular traction (T)
• T0: absence of preretinal hyperreflectivities
• T1: presence of hyperreflective line adhered to the retina without traction
• T2: hyperreflective line with multiple traction points
• T3: hyperreflective line with anteroposterior traction in “gull wings”
DISORGANIZATIO
N OF INTERNAL
RETINAL LAYERS
D R I L
DISORGANIZATION
OF OUTER RETINAL
LAYERS
D R O L
OCT /OCTA
Imaging
Fluid:
• Intra or subretinal
• Hyperreflective material
• Confluent cystic spaces
• Suspended Scattering Particles In
Motion
(SSPiM)
OCT/OCTA
Imaging
Microaneurysm:
• Hyperreflective contour & Continuous .. No
leakage
• Loss of continuity … leakage
• OCT delineate the capsular structure,
hyperreflective spots, and location of
microaneurysms
• Microaneurysms with the ring sign
were positively correlated with
exudation
OCT /OCTA
Imaging
Hard Exudate
• Hyperreflective foci leading to exudation
• When central involvement, severe vision loss
Cotton Wool Spot
Paracentral Acute Middle Maculopathy (PAMM)
OCT /OCTA
Imaging
Proliferation
Surgical planning
• New vessels vs IRMA
Navigating the Complexities of  Diabetic Retinopathy
Navigating the Complexities of  Diabetic Retinopathy
Navigating the Complexities of  Diabetic Retinopathy
Navigating the Complexities of  Diabetic Retinopathy
Navigating the Complexities of  Diabetic Retinopathy
Navigating the Complexities of  Diabetic Retinopathy

Navigating the Complexities of Diabetic Retinopathy

Editor's Notes

  • #9 Wide field
  • #10 Mild nonproliferative BCVA 20/20
  • #14 Thinning Neovessels above retinal surface
  • #18 THINK AS CLINICIAN Simple classification without details
  • #20 Disruption ilm, photors
  • #21 DROL DRIL
  • #24 Hypo and hyper reflective
  • #25 Hyper lipoprotein deposition
  • #32 1st sign of ischemia is cotton wall spot and PAMM PAMM: hypertrophy in acute and thinning & irregularity in chronic
  • #36 Ischemia .. Thinning
  • #37 New vessels باصه لفوق
  • #38 Leakage newvessels
  • #39 Irma لتحت
  • #40 TRD اللي تحت